Spandidos Publications Logo
  • About
    • About Spandidos
    • Aims and Scopes
    • Abstracting and Indexing
    • Editorial Policies
    • Reprints and Permissions
    • Job Opportunities
    • Terms and Conditions
    • Contact
  • Journals
    • All Journals
    • Oncology Letters
      • Oncology Letters
      • Information for Authors
      • Editorial Policies
      • Editorial Board
      • Aims and Scope
      • Abstracting and Indexing
      • Bibliographic Information
      • Archive
    • International Journal of Oncology
      • International Journal of Oncology
      • Information for Authors
      • Editorial Policies
      • Editorial Board
      • Aims and Scope
      • Abstracting and Indexing
      • Bibliographic Information
      • Archive
    • Molecular and Clinical Oncology
      • Molecular and Clinical Oncology
      • Information for Authors
      • Editorial Policies
      • Editorial Board
      • Aims and Scope
      • Abstracting and Indexing
      • Bibliographic Information
      • Archive
    • Experimental and Therapeutic Medicine
      • Experimental and Therapeutic Medicine
      • Information for Authors
      • Editorial Policies
      • Editorial Board
      • Aims and Scope
      • Abstracting and Indexing
      • Bibliographic Information
      • Archive
    • International Journal of Molecular Medicine
      • International Journal of Molecular Medicine
      • Information for Authors
      • Editorial Policies
      • Editorial Board
      • Aims and Scope
      • Abstracting and Indexing
      • Bibliographic Information
      • Archive
    • Biomedical Reports
      • Biomedical Reports
      • Information for Authors
      • Editorial Policies
      • Editorial Board
      • Aims and Scope
      • Abstracting and Indexing
      • Bibliographic Information
      • Archive
    • Oncology Reports
      • Oncology Reports
      • Information for Authors
      • Editorial Policies
      • Editorial Board
      • Aims and Scope
      • Abstracting and Indexing
      • Bibliographic Information
      • Archive
    • Molecular Medicine Reports
      • Molecular Medicine Reports
      • Information for Authors
      • Editorial Policies
      • Editorial Board
      • Aims and Scope
      • Abstracting and Indexing
      • Bibliographic Information
      • Archive
    • World Academy of Sciences Journal
      • World Academy of Sciences Journal
      • Information for Authors
      • Editorial Policies
      • Editorial Board
      • Aims and Scope
      • Abstracting and Indexing
      • Bibliographic Information
      • Archive
    • International Journal of Functional Nutrition
      • International Journal of Functional Nutrition
      • Information for Authors
      • Editorial Policies
      • Editorial Board
      • Aims and Scope
      • Abstracting and Indexing
      • Bibliographic Information
      • Archive
    • International Journal of Epigenetics
      • International Journal of Epigenetics
      • Information for Authors
      • Editorial Policies
      • Editorial Board
      • Aims and Scope
      • Abstracting and Indexing
      • Bibliographic Information
      • Archive
    • Medicine International
      • Medicine International
      • Information for Authors
      • Editorial Policies
      • Editorial Board
      • Aims and Scope
      • Abstracting and Indexing
      • Bibliographic Information
      • Archive
  • Articles
  • Information
    • Information for Authors
    • Information for Reviewers
    • Information for Librarians
    • Information for Advertisers
    • Conferences
  • Language Editing
Spandidos Publications Logo
  • About
    • About Spandidos
    • Aims and Scopes
    • Abstracting and Indexing
    • Editorial Policies
    • Reprints and Permissions
    • Job Opportunities
    • Terms and Conditions
    • Contact
  • Journals
    • All Journals
    • Biomedical Reports
      • Information for Authors
      • Editorial Policies
      • Editorial Board
      • Aims and Scope
      • Abstracting and Indexing
      • Bibliographic Information
      • Archive
    • Experimental and Therapeutic Medicine
      • Information for Authors
      • Editorial Policies
      • Editorial Board
      • Aims and Scope
      • Abstracting and Indexing
      • Bibliographic Information
      • Archive
    • International Journal of Epigenetics
      • Information for Authors
      • Editorial Policies
      • Editorial Board
      • Aims and Scope
      • Abstracting and Indexing
      • Bibliographic Information
      • Archive
    • International Journal of Functional Nutrition
      • Information for Authors
      • Editorial Policies
      • Editorial Board
      • Aims and Scope
      • Abstracting and Indexing
      • Bibliographic Information
      • Archive
    • International Journal of Molecular Medicine
      • Information for Authors
      • Editorial Policies
      • Editorial Board
      • Aims and Scope
      • Abstracting and Indexing
      • Bibliographic Information
      • Archive
    • International Journal of Oncology
      • Information for Authors
      • Editorial Policies
      • Editorial Board
      • Aims and Scope
      • Abstracting and Indexing
      • Bibliographic Information
      • Archive
    • Medicine International
      • Information for Authors
      • Editorial Policies
      • Editorial Board
      • Aims and Scope
      • Abstracting and Indexing
      • Bibliographic Information
      • Archive
    • Molecular and Clinical Oncology
      • Information for Authors
      • Editorial Policies
      • Editorial Board
      • Aims and Scope
      • Abstracting and Indexing
      • Bibliographic Information
      • Archive
    • Molecular Medicine Reports
      • Information for Authors
      • Editorial Policies
      • Editorial Board
      • Aims and Scope
      • Abstracting and Indexing
      • Bibliographic Information
      • Archive
    • Oncology Letters
      • Information for Authors
      • Editorial Policies
      • Editorial Board
      • Aims and Scope
      • Abstracting and Indexing
      • Bibliographic Information
      • Archive
    • Oncology Reports
      • Information for Authors
      • Editorial Policies
      • Editorial Board
      • Aims and Scope
      • Abstracting and Indexing
      • Bibliographic Information
      • Archive
    • World Academy of Sciences Journal
      • Information for Authors
      • Editorial Policies
      • Editorial Board
      • Aims and Scope
      • Abstracting and Indexing
      • Bibliographic Information
      • Archive
  • Articles
  • Information
    • For Authors
    • For Reviewers
    • For Librarians
    • For Advertisers
    • Conferences
  • Language Editing
Login Register Submit
  • This site uses cookies
  • You can change your cookie settings at any time by following the instructions in our Cookie Policy. To find out more, you may read our Privacy Policy.

    I agree
Search articles by DOI, keyword, author or affiliation
Search
Advanced Search
presentation
Oncology Letters
Join Editorial Board Propose a Special Issue
Print ISSN: 1792-1074 Online ISSN: 1792-1082
Journal Cover
October-2022 Volume 24 Issue 4

Full Size Image

Sign up for eToc alerts
Recommend to Library

Journals

International Journal of Molecular Medicine

International Journal of Molecular Medicine

International Journal of Molecular Medicine is an international journal devoted to molecular mechanisms of human disease.

International Journal of Oncology

International Journal of Oncology

International Journal of Oncology is an international journal devoted to oncology research and cancer treatment.

Molecular Medicine Reports

Molecular Medicine Reports

Covers molecular medicine topics such as pharmacology, pathology, genetics, neuroscience, infectious diseases, molecular cardiology, and molecular surgery.

Oncology Reports

Oncology Reports

Oncology Reports is an international journal devoted to fundamental and applied research in Oncology.

Experimental and Therapeutic Medicine

Experimental and Therapeutic Medicine

Experimental and Therapeutic Medicine is an international journal devoted to laboratory and clinical medicine.

Oncology Letters

Oncology Letters

Oncology Letters is an international journal devoted to Experimental and Clinical Oncology.

Biomedical Reports

Biomedical Reports

Explores a wide range of biological and medical fields, including pharmacology, genetics, microbiology, neuroscience, and molecular cardiology.

Molecular and Clinical Oncology

Molecular and Clinical Oncology

International journal addressing all aspects of oncology research, from tumorigenesis and oncogenes to chemotherapy and metastasis.

World Academy of Sciences Journal

World Academy of Sciences Journal

Multidisciplinary open-access journal spanning biochemistry, genetics, neuroscience, environmental health, and synthetic biology.

International Journal of Functional Nutrition

International Journal of Functional Nutrition

Open-access journal combining biochemistry, pharmacology, immunology, and genetics to advance health through functional nutrition.

International Journal of Epigenetics

International Journal of Epigenetics

Publishes open-access research on using epigenetics to advance understanding and treatment of human disease.

Medicine International

Medicine International

An International Open Access Journal Devoted to General Medicine.

Journal Cover
October-2022 Volume 24 Issue 4

Full Size Image

Sign up for eToc alerts
Recommend to Library

  • Article
  • Citations
    • Cite This Article
    • Download Citation
    • Create Citation Alert
    • Remove Citation Alert
    • Cited By
  • Similar Articles
    • Related Articles (in Spandidos Publications)
    • Similar Articles (Google Scholar)
    • Similar Articles (PubMed)
  • Download PDF
  • Download XML
  • View XML

  • Supplementary Files
    • Supplementary_Data.pdf
Case Report Open Access

Pulmonary thromboembolic disease or pulmonary artery intimal sarcoma: Case report and literature review

  • Authors:
    • Nan Shao
    • Chaosheng Deng
  • View Affiliations / Copyright

    Affiliations: Division of Respiratory and Critical Care Medicine, The First Affiliated Hospital of Fujian Medical University, Fuzhou, Fujian 350005, P.R. China
    Copyright: © Shao et al. This is an open access article distributed under the terms of Creative Commons Attribution License.
  • Article Number: 350
    |
    Published online on: August 19, 2022
       https://doi.org/10.3892/ol.2022.13470
  • Expand metrics +
Metrics: Total Views: 0 (Spandidos Publications: | PMC Statistics: )
Metrics: Total PDF Downloads: 0 (Spandidos Publications: | PMC Statistics: )
Cited By (CrossRef): 0 citations Loading Articles...

This article is mentioned in:



Abstract

The present case study reported on a patient initially diagnosed with pulmonary embolism at the First Affiliated Hospital of Fujian Medical University (Fuzhou, China) in May 2021. Furthermore, a relevant literature review was performed. The patient was a 57‑year‑old Chinese male who presented with dyspnea and wheezing following exercise. Physical examination revealed pulmonary valve second heart sound > aortic valve second heart sound but lack of swelling on both lower limbs, while the imaging results suggested pulmonary artery filling defects. Initially, the patient was diagnosed with pulmonary embolism and was administered anticoagulation treatment, which lasted for 3 months but proved to be ineffective. Subsequent re‑examination via chest computed tomography further indicated multiple nodules in the left hilum and lung. Therefore, the patient was hospitalized for lung aspiration biopsy, which led to the final diagnosis of pulmonary artery intimal sarcoma based on the pathological review.

Introduction

Pulmonary embolism includes pulmonary thromboembolism (PTE), fat embolism syndrome, amniotic fluid embolism, air embolism and tumor embolism (1), among which PTE is the most common type. Pulmonary arteritis, fibrinous mediastinitis and pulmonary artery sarcoma are easily misdiagnosed as pulmonary embolism. Up to 2021, ~400 cases of pulmonary artery intimal sarcoma (PAIS) have been reported in the literature (2–4), most of which were published as case reports. Despite these publications, the pathogenesis of the disease remains elusive. The average age at onset of PAIS is 50 years and the age range of onset is estimated to be 13–86 years (5–7). There are no significant differences between male and female subjects in terms of the prevalence and outcomes of this condition based on previous evaluations (8). The clinical symptoms, laboratory findings and imaging features of PAIS are non-specific, which makes diagnosis difficult. To date, there is no standard treatment for PAIS. The present study retrospectively analyzed the symptoms, clinical images, pathological features (based on morphological analysis, immunohistochemical and genetic testing), diagnosis, differential diagnosis and treatment of one patient who was initially diagnosed with pulmonary embolism at an external hospital and was subsequently referred to our hospital. The analysis was combined with a literature review to enhance awareness and prevent early misdiagnosis and missed diagnosis of pulmonary embolism.

Case report

Clinical course in external hospital

A 57-year-old male patient had complaints of dyspnea and wheezing following climbing 3 floors persisting for 6 months. Pulmonary artery computed tomography angiography (CTA) examination (Fig. 1) performed at an external hospital indicated that the left lower pulmonary artery and its branches had multiple pulmonary embolisms. The laboratory examinations included D-dimer (0.46 mg/l) and the tumor antigen markers carbohydrate antigen 19–9, carcinoembryonic antigen, α-fetoprotein and prostate-specific antigen (normal concentration values). The symptoms worsened following 3 months of irregular anticoagulation.

Figure 1.

Pulmonary artery CT angiography examination prior to anticoagulation treatment. (A) Left lower main pulmonary artery, (B) its proximal branch and (C) its distal branch were observed to have a large mural filling defect, which filled the lumen (red arrow). No filling defect was noted in the main trunk of the right pulmonary artery and its branches.

Clinical course at the hospital

The patient then consulted our department at the First Affiliated Hospital of Fujian Medical University (Fuzhou, China) in May 2021 and received standard anticoagulant therapy for an additional 3 months. The patient's symptoms improved slightly. However, chest CT re-examination (Fig. 2) indicated multiple pulmonary nodules and consequently, the patient was hospitalized. Examination of the patient's family history indicated a lack of evidence supporting any special history or family history. The physical examination indicated pulmonary valve second heart sound > aortic valve second heart sound and no swelling on both of the lower limbs.

Figure 2.

Chest CT re-examination after 6 months of anticoagulation. Multiple solid nodules of different sizes. Lesions with diameters of (A) ~2.81 cm, (B) ~2.47 cm, (C) ~2.24 cm and (D) ~1.73 cm were noted in the left hilum and left lung (red arrow); a certain number of these nodules adhered to the pleura. The larger nodule had the following dimensions: 4.2×3.3 cm.

Examinations

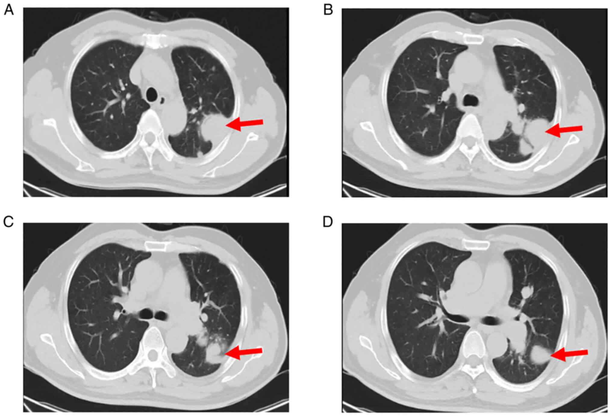
During the hospitalization period, right heart catheterization, which is a possibly helpful test for cases with similar presentation, e.g. to rule out the possibility of chronic thromboembolic pulmonary hypertension, was planned. However, the patient did not consent to undergo this examination. Re-examination of the pulmonary artery CTA (Fig. 3) revealed that the left pulmonary artery was completely embolized, whereas the right main and middle pulmonary arteries were partially embolized. Lung perfusion imaging (Fig. 4) indicated that blood perfusion was reduced in the majority of the left lung and in the anterior segment of the right upper lobe, which was consistent with pulmonary embolism. The patient underwent CT-guided percutaneous puncture biopsy and positron emission tomography (PET)/CT (Fig. 5), which revealed the following: Soft tissue mass in the area of the left pulmonary artery and slightly increased metabolism; space-occupying upper lobe of the left lung, slightly increased metabolism; nodules in both lungs; left hilum lymph nodes, increased metabolism; thickened left pleura with a small amount of effusion in the left pleural cavity.

Figure 3.

Pulmonary artery CTA examination following 6 months of anticoagulation treatment. Small nodular filling defects were observed in (A) the right main pulmonary artery (red arrow) and (B) right middle pulmonary artery (red arrow). (C) Multiple irregular filling defects were noted in the left main pulmonary artery (red arrow).

Figure 4.

Pulmonary perfusion imaging after 6 months of anticoagulation. A limited radioactive distribution was noted in the anterior part of the left upper lobe, whereas the remainder of the left lung and the anterior segment of the right upper lobe demonstrated a sparse radioactive distribution-defect area (red arrow). No abnormal radioactive distribution was noted in the remainder of the right lung. RPO, right posterior oblique; LPO, left posterior oblique; RL_P, right lateral position; LL_P, left lateral positions; RAO, right anterior oblique; LAO, left anterior oblique.

Figure 5.

PET-CT examination after 6 months of anticoagulation. Thickening of the soft tissue in the left pulmonary artery and formation of a mass with mild FDG uptake (the maximum cross-sectional area is ~4.7×3.9 cm); a soft-tissue mass was noted in the upper lobe of the left lung (size, ~11.7×8.6×9.6 cm), with a slightly higher FDG uptake. The lesion was involved the left hilum inwardly and the costal pleura in an outward direction; the upper lobe of the left lung nodule was noted in the tongue (~2.1 cm in diameter) and FDG uptake was mild. The left hilar demonstrated multiple lymph nodes (the larger diameter is ~2.5 cm) and FDG uptake was increased (red arrow). FDG, 18F-fluorodeoxyglucose.

Pathological test

Pulmonary nodule puncture pathological evaluation (Fig. 6) suggested the presence of mesenchymal tumors. Special staining indicated the presence of mesh fibers surrounding the tumor cells. Immunohistochemical evaluation demonstrated the following staining patterns: Thyroid transcription factor-1 (alveolar epithelium +), smooth muscle actin (vascular +), CD31, CD34 (vascular +), vimentin (+) and Ki-67 (85%+). Molecular detection analysis indicated that the Ewing sarcoma RNA binding protein 1 (EWSR1) gene isolation test was negative, whereas the mouse double minute 2 homolog (MDM2) gene amplification test was positive (further details of the primary and secondary antibodies used for immunohistochemistry and molecular test information are provided in Data S1). Based on the medical history, clinical imaging and immunohistochemical and molecular test analyses, PAIS was diagnosed.

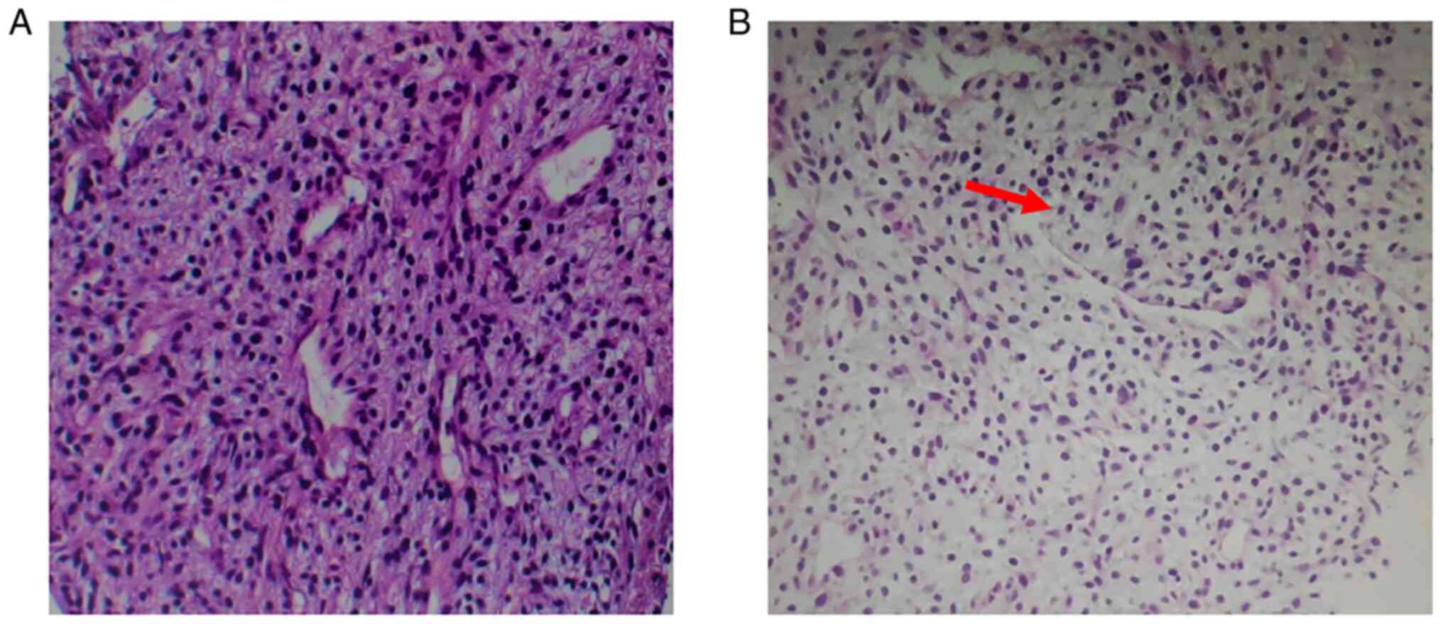
Figure 6.

Histology of left lung biopsy tissue. (A) H&E staining (magnification, ×10). (B) H&E staining (magnification, ×40). The cells were arranged in an epithelioid or spindle-like shape and multinucleated tumor cells were observed (red arrow).

Treatment results, follow-up and outcome

The patient had been hospitalized for about 13 days before being discharged., the patient was transferred to a local tumor hospital for chemotherapy treatment and received the first cycle of chemotherapy with the ‘epirubicin 70 mg igvtt’ regimen in October 2021. The patient responded to the treatment and the symptoms were slightly improved. Furthermore, the patient was also prescribed ‘anlotinib one tablet qd’ orally. However, the chemotherapy was ineffective and the patient succumbed to the disease in November 2021.

Discussion

The incidence rate of PAIS, which is a rare malignant mesenchymal tumor, is estimated to be 0.001-0.03% (2). Its classic characteristic is the growth and obstruction of the vascular cavity, resulting in distant organ embolization or implantation of tumor emboli. PAIS mainly involves the proximal end of the blood vessel, which is frequently located in the main pulmonary artery (80%) and the left or right pulmonary artery (50–70%). In addition, ~20% of cases have demonstrated additional thoracic malignant metastases, involving the lungs, kidneys, brain, lymph nodes and skin (9). Features of PAIS, such as age of onset, predisposing area, symptoms and imaging manifestations, as well as its treatment, are summarized in Table I.

Table I.

Summary of the characteristics of PAIS.

Table I.

Summary of the characteristics of PAIS.

ItemDetails
Age of onsetThe average age of onset of PAIS is 50 years and the age range of onset is 13–86 years (5–7).
Predisposing areaIt is frequently located in the main pulmonary artery (80%) or left or right pulmonary artery (50–70%) (9).
Transferring possibilityApproximately 20% of cases demonstrate additional thoracic malignant metastases, involving lungs, kidneys, brain, lymph nodes and skin (9).
Symptoms and signsThe classic symptoms include dyspnea, cough, chest tightness, hemoptysis, fever, fatigue and weight loss (10).
Microscopy imageThe tumor cells mainly include spindle cells, whereas others are epithelial, and giant and multinucleated cells present in focal points (2).
Radiological characteristicsIt displays the filling defect in the pulmonary artery lumen with uneven enhancement, extraluminal tumor invasion and a nodular appearance (4,7,14).
FDG PET/CTThe SUVmax of PAIS may be higher than that of CPTE.
TreatmentSurgical resection is generally considered to be the best treatment option. Whether adjuvant chemotherapy and radiotherapy improve the treatment response remains controversial (10,20).

[i] PAIS, pulmonary artery intimal sarcoma; CPTE, chronic pulmonary thromboembolism; FDG, 18F-fluorodeoxyglucose; PET, positron emission tomography; CT, computed tomography; SUVmax, maximum standardized uptake value.

It has been indicated that the manifestation of chronic right heart failure is frequently derived from PAIS-associated long-term occupation of the lumen in the pulmonary artery. The most common symptoms are dyspnea, cough, chest tightness and hemoptysis (10). The features associated with malignant tumors, such as fever, fatigue and weight loss, may also be present. In the present case, the patient had difficulty breathing, which was accompanied by wheezing following exercise. Pulmonary embolism initially consisted of anticoagulant therapy, which was administered for a total period of 6 months. Despite this treatment, the symptoms did not improve significantly. Subsequently, the patient was hospitalized following the analysis of the biopsy and CT results, which suggested the presence of multiple nodules in the left hilum and lung. The final diagnosis was PAIS.

According to previous reports, PAIS has the histological features of a poorly differentiated or undifferentiated mesenchymal tissue-derived malignant tumor. The majority of the tumor cells are spindle cells, whereas certain epithelial and certain giant and multinucleated tumor cells are also visible in the focal points (2). The pathological analysis of the present case revealed that the tumor cells were arranged in an epithelioid or spindle shape with concomitant nuclear atypia and pathological mitosis. It has been reported in the literature that PAIS is frequently detected based on MDM2 (65%), cyclin-dependent kinase 4, platelet-derived growth factor receptor α (81%) and EGFR (76%) gene amplifications (11). In the present case report, a lack of ectopic expression of the EWSR1 gene was noted by fluorescence in situ hybridization (FISH; results not shown). The patient was positive for MDM2 gene amplification, which was similar to the results of Wang et al (2).

In addition, comprehensive genomic profiling (CGP) is the sequencing of DNA and RNA from tumor samples, which enables the identification of known and novel alterations that may drive oncogenicity. Therefore, it is not surprising that CGP is increasingly being used in the evaluation and management of sarcomas (12). For instance, Wu et al (13) reported a case of disseminated primary pulmonary artery sarcoma achieving clinical tumor response to olaparib based on genetic alterations detected by CGP, which involved the DNA repair pathway. This provides supportive evidence that olaparib may be a promising therapeutic agent for patients with disseminated primary pulmonary artery sarcoma harboring haploinsufficiency of the DNA damage repair mechanism (13). Although CGP may refine the histological tumor diagnosis with its inherent ramifications for management, little is known regarding its application in PAIS. Therefore, due to the limitation in the equipment used, the FISH method was selected as an alternative to CGP for the early detection of PAIS.

The radiological characteristics of PAIS comprise a filling defect in the pulmonary artery lumen, extraluminal tumor invasion and a nodular appearance. Despite its specific characteristics, previously published studies have indicated that ≥50% of patients with PAIS are initially misdiagnosed as cases of chronic pulmonary thromboembolism (CPTE) (4,7,14). According to previous reports, lesion morphology (determined by CT) and location may help distinguish between PAIS and CPTE. The CT features of PAIS are expansive growth and a bulging appearance against the direction of blood flow. The proximal end of the tumor exhibits a lobulated structure and the distal end of the tumor has a grape-shaped appearance with uneven enhancement (4,14). The tumor may extend to the bifurcation of the pulmonary artery, pulmonary valve and right ventricular outflow tract. In contrast to these findings, the proximal end of CPTE is a straight cup-shaped structure, which is caused by the blood flow to the surface of the blood clot. In addition, pulmonary thromboembolism rarely occurs in the pulmonary valve or pulmonary trunk due to the increased blood flow in these areas (15). In the present case report, the early enhancement CT did not demonstrate any significant enhancement. The pulmonary artery CTA exhibited a filling defect of the pulmonary artery trunk and the tumor was confined to the lumen; therefore, it was misdiagnosed as pulmonary embolism.

According to previous studies, 18F-fluorodeoxyglucose (FDG) PET/CT may help distinguish PAIS from CPTE based on the maximum standardized uptake value (SUVmax). The SUVmax of PAIS is significantly higher than that of CPTE. When the cutoff value was 3.3, the reported sensitivity, specificity and accuracy were 98.4, 96.8 and 97.8%, respectively (16). However, certain false-negative cases have also been reported. In the reports of Suto et al (17) and Takauchi et al (18), the uptake of FDG in PET/CT used for the diagnosis of patients with PAIS was poor. The histopathology of these cases indicated highly malignant cells with low cellularity and a significant type of interstitial myxoid tissue. In the current case report, the left pulmonary artery exhibited mild FDG uptake (SUVmax 4.2) and increased FDG uptake of the left hilar multiple lymph node (SUVmax 8.1), which supported the diagnosis of PAIS.

The clinical and imaging manifestations of PAIS are frequently similar to those of pulmonary embolism. In addition, the tumor may easily cause thrombosis, which may be misdiagnosed. This is the reason why PAIS requires to be distinguished from CPTE. The common symptom of CPTE is difficulty in breathing following exercise, which is progressively worsening. In the present case report, the patient had undergone regular anticoagulation therapy for ≥3 months; however, the symptoms did not improve significantly. Furthermore, early laboratory examinations displayed normal D-dimer levels, which indicated a reduced possibility of the patient having CPTE. However, imaging examinations (CT pulmonary angiography and radionuclide pulmonary perfusion imaging) indicated pulmonary embolism, since CPTE could not be ruled out. Subsequently, the patient's pulmonary embolism was progressively worsening and the lumen of the filling defect was not obviously swelling but demonstrated a ‘worm-eaten’ appearance and infiltrating changes. Finally, the condition was diagnosed as PAIS based on puncture pathology and immunohistochemistry, which was further supported by a high intraluminal uptake rate indicated in PET-CT. The differential diagnosis of PAIS from pulmonary fungal infection is not always easy, since the imaging manifestations of the mass-like or nodular lung fungal infection have various similarities to those of malignant tumors. However, fungal infections are frequently secondary to various immune dysfunctions; therefore, the ‘air crescent sign’ is a typical manifestation of pulmonary mycosis and may be adopted as the main diagnostic criterion for pulmonary fungal infection (19).

To date, there is no standard treatment for PAIS. Surgical resection is generally considered to be the best treatment option for PAIS at present, including pulmonary endarterectomy, lobectomy or pneumonectomy. The appropriate surgical approach must be evaluated according to tumor performance, the existence of pulmonary hypertension and the patient's clinical condition (20). The potential of treatment improvement by adjuvant chemotherapy and radiotherapy remains controversial. Currently, no consensus exists on the effect of surgery combined with radiotherapy and chemotherapy on the overall survival rate of patients (10). Chemotherapy may be an option for patients with unresectable or recurring focal sarcoma (21). The most common adjuvant therapy includes doxorubicin and ifosfamide chemotherapy either alone or in combination with radiotherapy (22). In the current case report, the patient received chemotherapy with the drug ‘epirubicin’.

The prognosis of patients with PAIS is poor and the survival time of untreated cases is ~1.5-3 months (23). A previous study reported that the median survival after complete surgical resection may be extended to 36.5±20.2 months, whereas that of incomplete surgical resection may be extended to 11±3 months (5).

The present case report demonstrated that in the case of anticoagulant thrombolytic therapy for pulmonary embolism being ineffective (notably in middle-aged patients) the possibility of PAIS should be taken into consideration. It is also suggested that early diagnosis by means of the multi-faceted observation of medical history, clinical signs, imaging features and histopathological examinations may improve the prognosis of the disease.

Supplementary Material

Supporting Data

Acknowledgements

The present manuscript was edited and the language was polished by Dr Binmin Chen, an English major teacher at the School of Arts and Sciences of Fujian Medical University (Fuzhou, China).

Funding

The present manuscript was supported by Projects of Financial Foundation on Health in Fujian Province (grant no. BPB-DCS2021) and the Science and Technology Department of Fujian Province (grant no. 2019Y9126).

Availability of data and materials

The datasets used and/or analyzed during the current study are available from the corresponding author on reasonable request.

Authors' contributions

NS was the major contributor in writing the manuscript. NS and CD contributed to the conception and revisions of the manuscript. NS and CD confirmed the authenticity of all the raw data. Both authors read and approved the final version of the manuscript.

Ethics approval and consent to participate

The present study was approved by the Ethics Committee of The First Affiliated Hospital of Fujian Medical University (Fuzhou, China).

Patient consent for publication

Written informed consent was obtained from the patient's family.

Competing interests

The authors declare that they have no competing interests.

References

1 

Pulmonary Embolism and Pulmonary Vascular Disease Group of Respiratory Medicine Branch of Chinese Medical Association, Pulmonary Embolism and Pulmonary Vascular Disease Working Committee of Respiratory Physician Branch of Chinese Medical Association, National Cooperative Group for Prevention and Treatment of Pulmonary Embolism and Pulmonary Vascular Disease, . Guidelines for Diagnosis, Treatment and Prevention of Pulmonary Thromboembolism. Natl Med J China. 98:1060–1087. 2018.

2 

Wang B, Zhang T, Liu HY, Chen RR, Zhang XY, Zhang HL, Zhai ZG and Zhong DR: Clinicopathological characteristics of pulmonary artery intimal sarcoma. Zhonghua Bing Li Xue Za Zhi. 50:38–43. 2021.(In Chinese). PubMed/NCBI

3 

Xu R, Zhao Y, Xu X, Liu S, Hu C, Lv D and Wu H: Pulmonary intimal sarcoma involving the pulmonary valve and right ventricular outflow tract: A case report and literature review. Medicine (Baltimore). 99:e188132020. View Article : Google Scholar : PubMed/NCBI

4 

Moguillansky NI, Verma N, Shah P, Knapik J and Mohammed TL: Pulmonary artery sarcoma: Case report and review of the literature. Respir Med Case Rep. 27:1008572020.PubMed/NCBI

5 

Blackmon SH, Rice DC, Correa AM, Mehran R, Putnam JB, Smythe WR, Walkes JC, Walsh GL, Moran C, Singh H, et al: Management of primary pulmonary artery sarcomas. Ann Thorac Surg. 87:977–984. 2009. View Article : Google Scholar : PubMed/NCBI

6 

Deng L, Zhu J, Xu J, Guo S, Liu S and Song Y: Clinical presentation and surgical treatment of primary pulmonary artery sarcoma. Interact Cardiovasc Thorac Surg. 26:243–247. 2018. View Article : Google Scholar : PubMed/NCBI

7 

Lee Y, Kim HJ, Yoon H, Choi CM, Oh YM, Lee SD, Lim CM, Kim WS, Koh Y and Lee JS: Clinical characteristics and treatment outcomes of primary pulmonary artery sarcoma in korea. J Korean Med Sci. 31:1755–1760. 2016. View Article : Google Scholar : PubMed/NCBI

8 

Hieu NL, Tu VN, Hoan L, Hai HB, Luu DT, Cuong NN, My TT, Minh TN and Manh PT: A case report of primary pulmonary artery intimal sarcoma. Radiol Case Rep. 17:1986–1990. 2022. View Article : Google Scholar : PubMed/NCBI

9 

Lu P and Yin BB: Misdiagnosis of primary intimal sarcoma of the pulmonary artery as chronic pulmonary embolism: A case report. World J Clin Cases. 8:986–994. 2020. View Article : Google Scholar : PubMed/NCBI

10 

Li YC, Li LY, Tong HC, Xu HT, Ma S, Yang LH, Zhang WL, Sotolongo G and Wang E: Pulmonary artery intimal sarcoma mimicking pulmonary thromboembolism: A case report. Medicine (Baltimore). 100:e246992021. View Article : Google Scholar : PubMed/NCBI

11 

Van Dievel J, Sciot R, Delcroix M, Vandeweyer RO, Debiec-Rychter M, Dewaele B, Cornillie J, Van Cann T, Meyns B and Schöffski P: Single-center experience with intimal sarcoma, an ultra-orphan, commonly fatal mesenchymal malignancy. Oncol Res Treat. 40:353–359. 2017. View Article : Google Scholar : PubMed/NCBI

12 

Hay MA, Severson EA, Miller VA, Liebner DA, Vergilio JA, Millis SZ and Chen JL: Identifying opportunities and challenges for patients with sarcoma as a result of comprehensive genomic profiling of sarcoma specimens. JCO Precis Oncol. Mar 18–2020.(Epub ahead of print). doi: 10.1200/PO.19.00227. View Article : Google Scholar : PubMed/NCBI

13 

Wu CE, Ng CT and Tan KT: Transient response of olaparib on pulmonary artery sarcoma harboring multiple homologous recombinant repair gene alterations. J Pers Med. 11:3572021. View Article : Google Scholar : PubMed/NCBI

14 

Pu X, Song M, Huang X, Zhu G, Chen D, Gan H and Huang L: Clinical and radiological features of pulmonary artery sarcoma: A report of nine cases. Clin Respir J. 12:1820–1829. 2018. View Article : Google Scholar : PubMed/NCBI

15 

Kim C, Kim MY, Kang JW, Song JS, Lee KY and Kim SS: Pulmonary artery intimal sarcoma versus pulmonary artery thromboembolism: CT and clinical findings. Korean J Radiol. 19:792–802. 2018. View Article : Google Scholar : PubMed/NCBI

16 

Xi XY, Gao W, Gong JN, Guo XJ, Wu JY, Yang YH and Yang MF: Value of 18F-FDG PET/CT in differentiating malignancy of pulmonary artery from pulmonary thromboembolism: A cohort study and literature review. Int J Cardiovasc Imaging. 35:1395–1403. 2019. View Article : Google Scholar : PubMed/NCBI

17 

Suto H, Suto M, Inui Y and Okamura A: Difficulty in distinguishing pulmonary arterial intimal sarcoma from pulmonary thromboembolism using FDG PET/CT. In Vivo. 36:1519–1522. 2022. View Article : Google Scholar : PubMed/NCBI

18 

Takauchi T, Murai R, Musiake K, Akaike Y, Hirayama M, Ueda A, Komiya T and Kadota K: Pedunculated pulmonary artery intimal sarcoma with poor uptake in 18F-FDG PET/CT: A case report. J Cardiol Cases. 24:110–113. 2021. View Article : Google Scholar : PubMed/NCBI

19 

Marchiori E, Hochhegger B and Zanetti G: The air crescent sign. J Bras Pneumol. 48:e202200352022.(In English, Portuguese). View Article : Google Scholar : PubMed/NCBI

20 

Secondino S, Grazioli V, Valentino F, Pin M, Pagani A, Sciortino A, Klersy C, Callegari MG, Morbini P, Dore R, et al: Multimodal Approach of Pulmonary Artery Intimal Sarcoma: A single-institution experience. Sarcoma. 2017:79414322017. View Article : Google Scholar : PubMed/NCBI

21 

Goerlich CE, Zehr K, Aziz H and Kilic A: Repeat resection for recurrence of pulmonary artery intimal sarcoma. J Card Surg. 36:3889–3891. 2021. View Article : Google Scholar : PubMed/NCBI

22 

Allen A, Smith SC, Pillappa R, Boikos S, Medalion B, Grizzard J, Cassano A and Harris T: Intimal sarcoma of the pulmonary artery treated with neoadjuvant radiation prior to pulmonary artery resection and reconstruction. Respir Med Case Rep. 33:1014142021.PubMed/NCBI

23 

Li X, Hong L and Huo XY: Undifferentiated intimal sarcoma of the pulmonary artery: A case report. World J Clin Cases. 9:3960–3965. 2021. View Article : Google Scholar : PubMed/NCBI

Related Articles

  • Abstract
  • View
  • Download
  • Twitter
Copy and paste a formatted citation
Spandidos Publications style
Shao N and Deng C: Pulmonary thromboembolic disease or pulmonary artery intimal sarcoma: Case report and literature review. Oncol Lett 24: 350, 2022.
APA
Shao, N., & Deng, C. (2022). Pulmonary thromboembolic disease or pulmonary artery intimal sarcoma: Case report and literature review. Oncology Letters, 24, 350. https://doi.org/10.3892/ol.2022.13470
MLA
Shao, N., Deng, C."Pulmonary thromboembolic disease or pulmonary artery intimal sarcoma: Case report and literature review". Oncology Letters 24.4 (2022): 350.
Chicago
Shao, N., Deng, C."Pulmonary thromboembolic disease or pulmonary artery intimal sarcoma: Case report and literature review". Oncology Letters 24, no. 4 (2022): 350. https://doi.org/10.3892/ol.2022.13470
Copy and paste a formatted citation
x
Spandidos Publications style
Shao N and Deng C: Pulmonary thromboembolic disease or pulmonary artery intimal sarcoma: Case report and literature review. Oncol Lett 24: 350, 2022.
APA
Shao, N., & Deng, C. (2022). Pulmonary thromboembolic disease or pulmonary artery intimal sarcoma: Case report and literature review. Oncology Letters, 24, 350. https://doi.org/10.3892/ol.2022.13470
MLA
Shao, N., Deng, C."Pulmonary thromboembolic disease or pulmonary artery intimal sarcoma: Case report and literature review". Oncology Letters 24.4 (2022): 350.
Chicago
Shao, N., Deng, C."Pulmonary thromboembolic disease or pulmonary artery intimal sarcoma: Case report and literature review". Oncology Letters 24, no. 4 (2022): 350. https://doi.org/10.3892/ol.2022.13470
Follow us
  • Twitter
  • LinkedIn
  • Facebook
About
  • Spandidos Publications
  • Careers
  • Cookie Policy
  • Privacy Policy
How can we help?
  • Help
  • Live Chat
  • Contact
  • Email to our Support Team