Spandidos Publications Logo
  • About
    • About Spandidos
    • Aims and Scopes
    • Abstracting and Indexing
    • Editorial Policies
    • Reprints and Permissions
    • Job Opportunities
    • Terms and Conditions
    • Contact
  • Journals
    • All Journals
    • Oncology Letters
      • Oncology Letters
      • Information for Authors
      • Editorial Policies
      • Editorial Board
      • Aims and Scope
      • Abstracting and Indexing
      • Bibliographic Information
      • Archive
    • International Journal of Oncology
      • International Journal of Oncology
      • Information for Authors
      • Editorial Policies
      • Editorial Board
      • Aims and Scope
      • Abstracting and Indexing
      • Bibliographic Information
      • Archive
    • Molecular and Clinical Oncology
      • Molecular and Clinical Oncology
      • Information for Authors
      • Editorial Policies
      • Editorial Board
      • Aims and Scope
      • Abstracting and Indexing
      • Bibliographic Information
      • Archive
    • Experimental and Therapeutic Medicine
      • Experimental and Therapeutic Medicine
      • Information for Authors
      • Editorial Policies
      • Editorial Board
      • Aims and Scope
      • Abstracting and Indexing
      • Bibliographic Information
      • Archive
    • International Journal of Molecular Medicine
      • International Journal of Molecular Medicine
      • Information for Authors
      • Editorial Policies
      • Editorial Board
      • Aims and Scope
      • Abstracting and Indexing
      • Bibliographic Information
      • Archive
    • Biomedical Reports
      • Biomedical Reports
      • Information for Authors
      • Editorial Policies
      • Editorial Board
      • Aims and Scope
      • Abstracting and Indexing
      • Bibliographic Information
      • Archive
    • Oncology Reports
      • Oncology Reports
      • Information for Authors
      • Editorial Policies
      • Editorial Board
      • Aims and Scope
      • Abstracting and Indexing
      • Bibliographic Information
      • Archive
    • Molecular Medicine Reports
      • Molecular Medicine Reports
      • Information for Authors
      • Editorial Policies
      • Editorial Board
      • Aims and Scope
      • Abstracting and Indexing
      • Bibliographic Information
      • Archive
    • World Academy of Sciences Journal
      • World Academy of Sciences Journal
      • Information for Authors
      • Editorial Policies
      • Editorial Board
      • Aims and Scope
      • Abstracting and Indexing
      • Bibliographic Information
      • Archive
    • International Journal of Functional Nutrition
      • International Journal of Functional Nutrition
      • Information for Authors
      • Editorial Policies
      • Editorial Board
      • Aims and Scope
      • Abstracting and Indexing
      • Bibliographic Information
      • Archive
    • International Journal of Epigenetics
      • International Journal of Epigenetics
      • Information for Authors
      • Editorial Policies
      • Editorial Board
      • Aims and Scope
      • Abstracting and Indexing
      • Bibliographic Information
      • Archive
    • Medicine International
      • Medicine International
      • Information for Authors
      • Editorial Policies
      • Editorial Board
      • Aims and Scope
      • Abstracting and Indexing
      • Bibliographic Information
      • Archive
  • Articles
  • Information
    • Information for Authors
    • Information for Reviewers
    • Information for Librarians
    • Information for Advertisers
    • Conferences
  • Language Editing
Spandidos Publications Logo
  • About
    • About Spandidos
    • Aims and Scopes
    • Abstracting and Indexing
    • Editorial Policies
    • Reprints and Permissions
    • Job Opportunities
    • Terms and Conditions
    • Contact
  • Journals
    • All Journals
    • Biomedical Reports
      • Information for Authors
      • Editorial Policies
      • Editorial Board
      • Aims and Scope
      • Abstracting and Indexing
      • Bibliographic Information
      • Archive
    • Experimental and Therapeutic Medicine
      • Information for Authors
      • Editorial Policies
      • Editorial Board
      • Aims and Scope
      • Abstracting and Indexing
      • Bibliographic Information
      • Archive
    • International Journal of Epigenetics
      • Information for Authors
      • Editorial Policies
      • Editorial Board
      • Aims and Scope
      • Abstracting and Indexing
      • Bibliographic Information
      • Archive
    • International Journal of Functional Nutrition
      • Information for Authors
      • Editorial Policies
      • Editorial Board
      • Aims and Scope
      • Abstracting and Indexing
      • Bibliographic Information
      • Archive
    • International Journal of Molecular Medicine
      • Information for Authors
      • Editorial Policies
      • Editorial Board
      • Aims and Scope
      • Abstracting and Indexing
      • Bibliographic Information
      • Archive
    • International Journal of Oncology
      • Information for Authors
      • Editorial Policies
      • Editorial Board
      • Aims and Scope
      • Abstracting and Indexing
      • Bibliographic Information
      • Archive
    • Medicine International
      • Information for Authors
      • Editorial Policies
      • Editorial Board
      • Aims and Scope
      • Abstracting and Indexing
      • Bibliographic Information
      • Archive
    • Molecular and Clinical Oncology
      • Information for Authors
      • Editorial Policies
      • Editorial Board
      • Aims and Scope
      • Abstracting and Indexing
      • Bibliographic Information
      • Archive
    • Molecular Medicine Reports
      • Information for Authors
      • Editorial Policies
      • Editorial Board
      • Aims and Scope
      • Abstracting and Indexing
      • Bibliographic Information
      • Archive
    • Oncology Letters
      • Information for Authors
      • Editorial Policies
      • Editorial Board
      • Aims and Scope
      • Abstracting and Indexing
      • Bibliographic Information
      • Archive
    • Oncology Reports
      • Information for Authors
      • Editorial Policies
      • Editorial Board
      • Aims and Scope
      • Abstracting and Indexing
      • Bibliographic Information
      • Archive
    • World Academy of Sciences Journal
      • Information for Authors
      • Editorial Policies
      • Editorial Board
      • Aims and Scope
      • Abstracting and Indexing
      • Bibliographic Information
      • Archive
  • Articles
  • Information
    • For Authors
    • For Reviewers
    • For Librarians
    • For Advertisers
    • Conferences
  • Language Editing
Login Register Submit
  • This site uses cookies
  • You can change your cookie settings at any time by following the instructions in our Cookie Policy. To find out more, you may read our Privacy Policy.

    I agree
Search articles by DOI, keyword, author or affiliation
Search
Advanced Search
presentation
Oncology Letters
Join Editorial Board Propose a Special Issue
Print ISSN: 1792-1074 Online ISSN: 1792-1082
Journal Cover
October-2022 Volume 24 Issue 4

Full Size Image

Sign up for eToc alerts
Recommend to Library

Journals

International Journal of Molecular Medicine

International Journal of Molecular Medicine

International Journal of Molecular Medicine is an international journal devoted to molecular mechanisms of human disease.

International Journal of Oncology

International Journal of Oncology

International Journal of Oncology is an international journal devoted to oncology research and cancer treatment.

Molecular Medicine Reports

Molecular Medicine Reports

Covers molecular medicine topics such as pharmacology, pathology, genetics, neuroscience, infectious diseases, molecular cardiology, and molecular surgery.

Oncology Reports

Oncology Reports

Oncology Reports is an international journal devoted to fundamental and applied research in Oncology.

Experimental and Therapeutic Medicine

Experimental and Therapeutic Medicine

Experimental and Therapeutic Medicine is an international journal devoted to laboratory and clinical medicine.

Oncology Letters

Oncology Letters

Oncology Letters is an international journal devoted to Experimental and Clinical Oncology.

Biomedical Reports

Biomedical Reports

Explores a wide range of biological and medical fields, including pharmacology, genetics, microbiology, neuroscience, and molecular cardiology.

Molecular and Clinical Oncology

Molecular and Clinical Oncology

International journal addressing all aspects of oncology research, from tumorigenesis and oncogenes to chemotherapy and metastasis.

World Academy of Sciences Journal

World Academy of Sciences Journal

Multidisciplinary open-access journal spanning biochemistry, genetics, neuroscience, environmental health, and synthetic biology.

International Journal of Functional Nutrition

International Journal of Functional Nutrition

Open-access journal combining biochemistry, pharmacology, immunology, and genetics to advance health through functional nutrition.

International Journal of Epigenetics

International Journal of Epigenetics

Publishes open-access research on using epigenetics to advance understanding and treatment of human disease.

Medicine International

Medicine International

An International Open Access Journal Devoted to General Medicine.

Journal Cover
October-2022 Volume 24 Issue 4

Full Size Image

Sign up for eToc alerts
Recommend to Library

  • Article
  • Citations
    • Cite This Article
    • Download Citation
    • Create Citation Alert
    • Remove Citation Alert
    • Cited By
  • Similar Articles
    • Related Articles (in Spandidos Publications)
    • Similar Articles (Google Scholar)
    • Similar Articles (PubMed)
  • Download PDF
  • Download XML
  • View XML

  • Supplementary Files
    • Supplementary_Data.pdf
Case Report Open Access

Craniopharyngioma resection and aneurysm clipping performed simultaneously by pure endoscopic endonasal approach: A case report and literature review

  • Authors:
    • Mingchao Zhang
    • Jian Wen Liao
    • Jingyang Chi
    • Huan Yu
    • Jianmin Kang
  • View Affiliations / Copyright

    Affiliations: Department of Neurosurgery, Tianjin Huanhu Hospital, Tianjin 300060, P.R. China
    Copyright: © Zhang et al. This is an open access article distributed under the terms of Creative Commons Attribution License.
  • Article Number: 352
    |
    Published online on: August 22, 2022
       https://doi.org/10.3892/ol.2022.13472
  • Expand metrics +
Metrics: Total Views: 0 (Spandidos Publications: | PMC Statistics: )
Metrics: Total PDF Downloads: 0 (Spandidos Publications: | PMC Statistics: )
Cited By (CrossRef): 0 citations Loading Articles...

This article is mentioned in:



Abstract

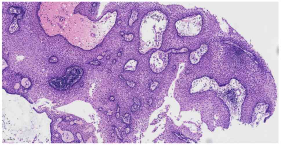
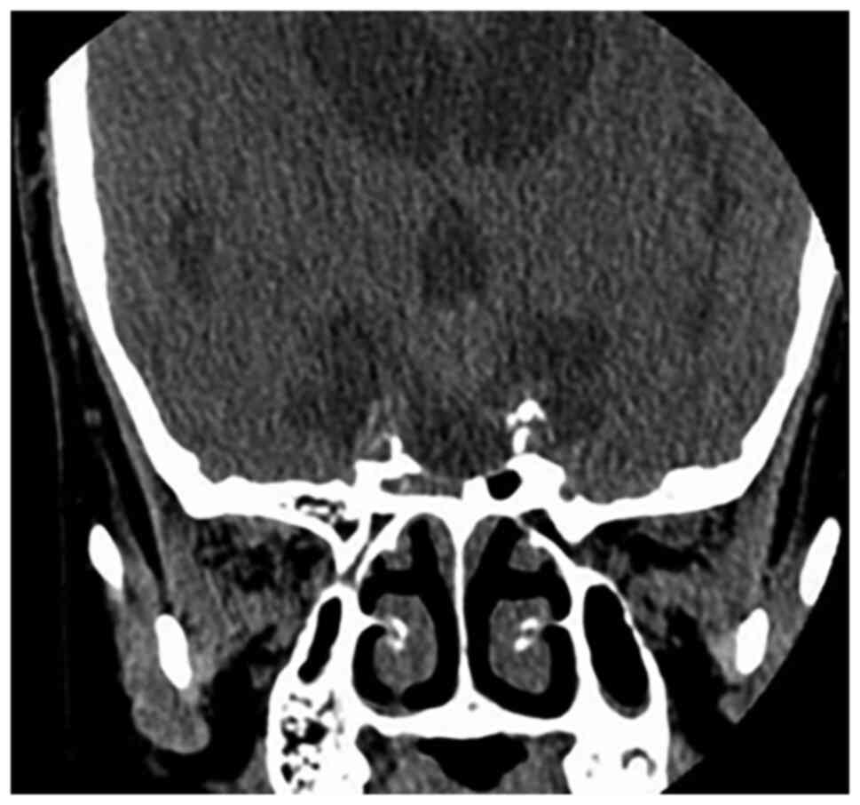
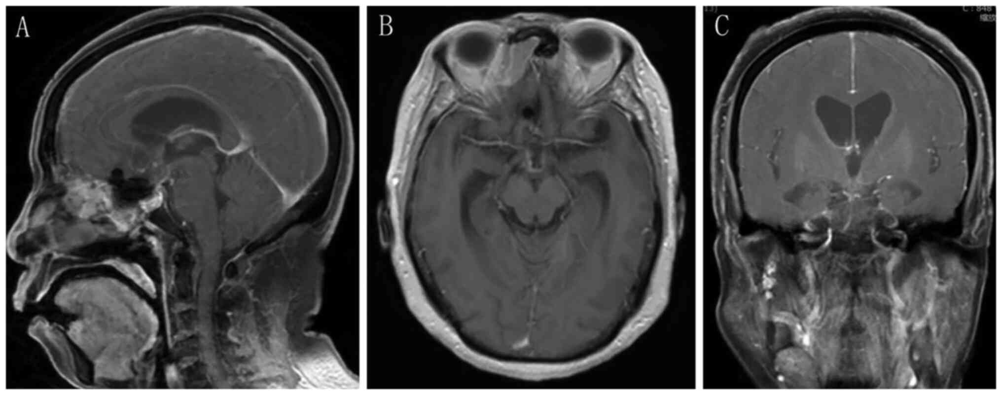
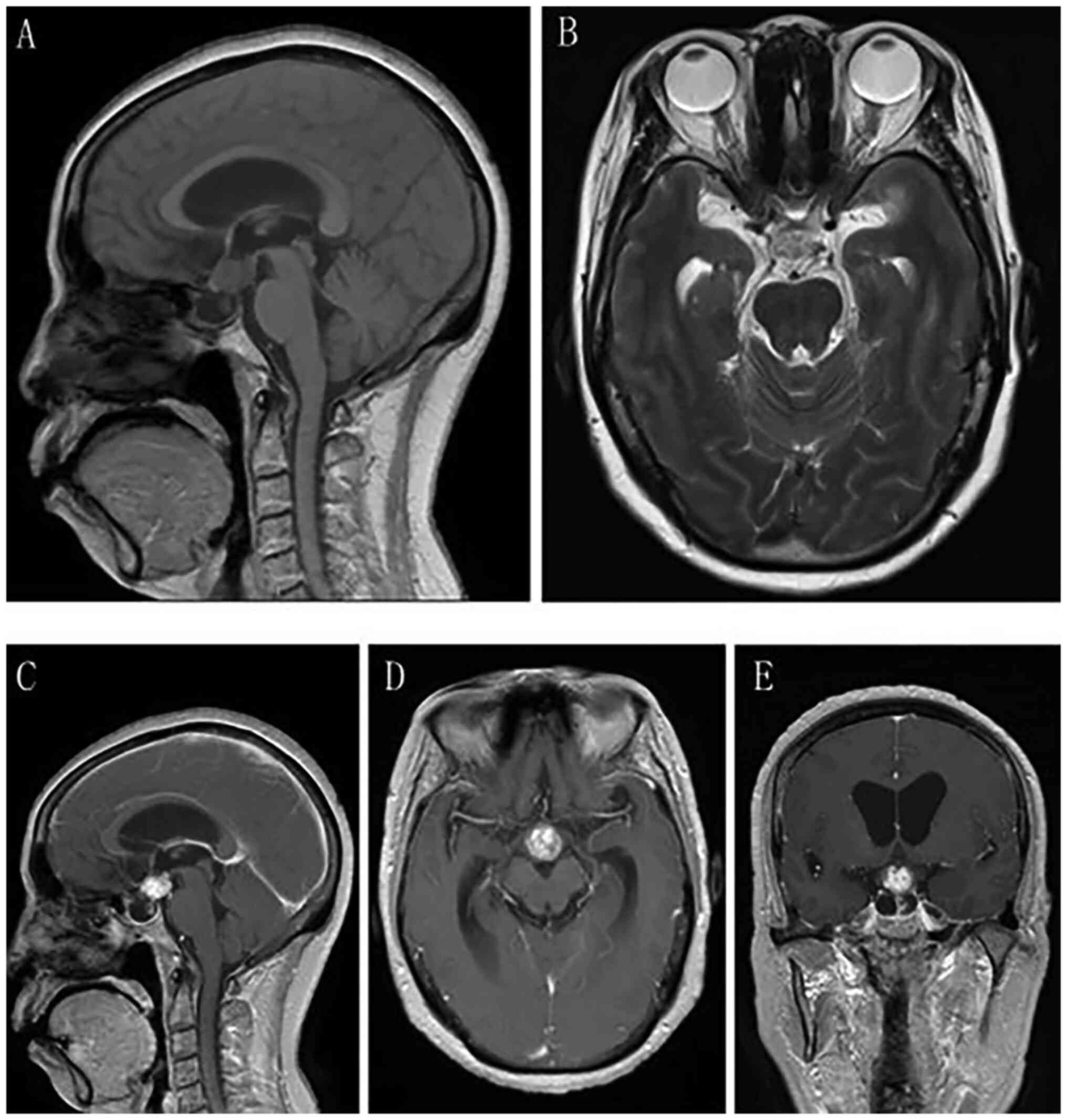
Craniopharyngioma is one of the most challenging issues for neurosurgeons as a brain tumor. Among the approaches of neurosurgery, in comparison to craniotomy, the endoscopic endonasal approach (EEA) has risen in popularity over the last two decades; unruptured intracranial aneurysms are relatively commonly found in the general population. The EEA as a new paradigm in the treatment of aneurysm has been reported to successfully clip dozens of cases of intracranial aneurysm. However, when reviewing the domestic and foreign literature, it appeared that cases of craniopharyngioma complicated with intracranial aneurysm purely treated by EEA have not been reported so far. In the present study, the published literature regarding endoscopic endonasal surgery for craniopharyngioma and intracranial aneurysms was reviewed, accompanied with a case of craniopharyngioma complicated with intracranial aneurysm, both of which were simultaneously treated by EEA.
View Figures

Figure 1

Figure 2

Figure 3

Figure 4

Figure 5

Figure 6

Figure 7

Figure 8

Figure 9

View References

1 

Erfurth EM, Holmer H and Fjalldal SB: Mortality and morbidity in adult craniopharyngioma. Pituitary. 16:46–55. 2013. View Article : Google Scholar : PubMed/NCBI

2 

Sutton LN, Gusnard D, Bruce DA, Fried A, Packer RJ and Zimmerman RA: Fusiform dilatations of the carotid artery following radical surgery of childhood craniopharyngiomas. J Neurosurg. 74:695–700. 1991. View Article : Google Scholar : PubMed/NCBI

3 

Shida N, Nakasato N, Mizoi K, Kanaki M and Yoshimoto T: Symptomatic vessel narrowing caused by spontaneous rupture of craniopharyngioma cyst-case report. Neurol Med Chir (Tokyo). 38:666–668. 1998. View Article : Google Scholar : PubMed/NCBI

4 

Takeuchi S, Wada K, Sakakibara F, Nawashiro H and Mori K: Anterior cerebral artery dissecting aneurysm associated with untreated craniopharyngioma. Br J Neurosurg. 27:102–104. 2013. View Article : Google Scholar : PubMed/NCBI

5 

Conger A, Zhao F, Wang X, Eisenberg A, Griffiths C, Esposito F, Carrau RL, Barkhoudarian G and Kelly DF: Evolution of the graded repair of CSF leaks and skull base defects in endonasal endoscopic tumor surgery: Trends in repair failure and meningitis rates in 509 patients. J Neurosurg. 130:861–875. 2018. View Article : Google Scholar : PubMed/NCBI

6 

Ostrom QT, Gittleman H, Farah P, Ondracek A, Chen Y, Wolinsky Y, Stroup NE, Kruchko C and Barnholtz-Sloan JS: CBTRUS statistical report: Primary brain and central nervous system tumors diagnosed in the United States in 2006–2010. Neuro Oncol. 15 (Suppl 2):ii1–ii56. 2013. View Article : Google Scholar : PubMed/NCBI

7 

Gupta S, Bi WL, Giantini Larsen A, Al-Abdulmohsen S, Abedalthagafi M and Dunn IF: Craniopharyngioma: A roadmap for scientific translation. Neurosurg Focus. 44:E122018. View Article : Google Scholar : PubMed/NCBI

8 

Bunin GR, Surawicz TS, Witman PA, Preston-Martin S, Davis F and Bruner JM: The Descriptive epidemiology of craniopharyngioma. Neurosurg Focus. 3:e11997. View Article : Google Scholar : PubMed/NCBI

9 

Lei C, Chuzhong L, Chunhui L, Peng Z, Jiwei B, Xinsheng W, Yazhuo Z and Songbai G: Approach selection and outcomes of craniopharyngioma resection: A single-institute study. Neurosurg Rev. 44:1737–1746. 2021. View Article : Google Scholar : PubMed/NCBI

10 

Qiao N: Endocrine outcomes of endoscopic versus transcranial resection of craniopharyngiomas: A system review and meta-analysis. Clin Neurol Neurosurg. 169:107–115. 2018. View Article : Google Scholar : PubMed/NCBI

11 

Algattas H, Setty P, Goldschmidt E, Wang EW, Tyler-Kabara EC, Snyderman CH and Gardner PA: EEndoscopic endonasal approach for craniopharyngiomas with intraventricular extension: Case series, long-term outcomes, and review. World Neurosurgery. 144:e447–e459. 2020. View Article : Google Scholar : PubMed/NCBI

12 

Zwagerman NT, Wang EW, Shin SS, Chang YF, Fernandez-Miranda JC, Snyderman CH and Gardner PA: Does lumbar drainage reduce postoperative cerebrospinal fluid leak after endoscopic endonasal skull base surgery? A prospective, randomized controlled trial. J Neurosurg. Oct 1–2018.doi: 10.3171/2018.4.JNS172447 (Epub Ahead of Print).

13 

Weir B: Unruptured intracranial aneurysms: A review. J Neurosurg. 96:3–42. 2002. View Article : Google Scholar : PubMed/NCBI

14 

Martinez-Perez R, Hardesty DA, Silveira-Bertazzo G, Albonette-Felicio T, Carrau RL and Prevedello DM: Safety and effectiveness of endoscopic endonasal intracranial aneurysm clipping: A systematic review. Neurosurg Rev. 44:889–896. 2020. View Article : Google Scholar : PubMed/NCBI

15 

Xiao LM, Tang B, Xie SH, Huang GL, Wang ZG, Zeng EM and Hong T: Endoscopic endonasal clipping of anterior circulation aneurysm: Surgical techniques and results. World Neurosurg. 115:e33–e44. 2018. View Article : Google Scholar : PubMed/NCBI

16 

Kassam AB, Mintz AH, Gardner PA, Horowitz MB, Carrau RL and Snyderman CH: The expanded endonasal approach for an endoscopic transnasal clipping and aneurysmorrhaphy of a large vertebral artery aneurysm: Technical case report. Neurosurgery. 59 (1 Suppl 1):ONSE162–ONSE165. 2006.PubMed/NCBI

17 

Fischer G, Oertel J and Perneczky A: Endoscopy in aneurysm surgery. Neurosurgery. 70:1842011.PubMed/NCBI

18 

Gardner PA, Vaz-Guimaraes F, Jankowitz B, Koutourousiou M, Fernandez-Miranda JC, Wang EW and Snyderman CH: Endoscopic endonasal clipping of intracranial aneurysms: Surgical technique and results. World Neurosurg. 84:1380–1393. 2015. View Article : Google Scholar : PubMed/NCBI

19 

Hardesty DA, Montaser AS, Beer-Furlan A, Carrau RL and Prevedello DM: Limits of endoscopic endonasal surgery for III ventricle craniopharyngiomas. J Neurosurg Sci. 62:310–321. 2018. View Article : Google Scholar : PubMed/NCBI

20 

Kassam AB, Thomas AJ, Zimmer LA, Snyderman CH, Carrau RL, Mintz A and Horowitz M: Expanded endonasal approach: A fully endoscopic completely transnasal resection of a skull base arteriovenous malformation. Childs Nerv Syst. 23:491–498. 2007. View Article : Google Scholar : PubMed/NCBI

21 

Masahiko K and Mamoru T: Extended transsphenoidal approach to anterior communicating artery aneurysm: Aneurysm incidentally identified during macroadenoma resection: Technical case report. Neurosurgery. 61 (5 Suppl 2):E299–E300. 2007.PubMed/NCBI

22 

Enseñat J, d'Avella E, Tercero A, Valero R and Alobid I: Endoscopic endonasal surgery for a mesencephalic cavernoma. Acta Neurochir (Wien). 157:53–55. 2015. View Article : Google Scholar : PubMed/NCBI

23 

Froelich S, Cebula H, Debry C and Boyer P: Anterior communicating artery aneurysm clipped via an endoscopic endonasal approach: Technical note. Neurosurgery. 68 (2 Suppl Operative):S310–S316. 2011.

24 

Germanwala AV and Zanation AM: Endoscopic endonasal approach for clipping of ruptured and unruptured paraclinoid cerebral aneurysms: Case report. Neurosurgery. 68 (1 Suppl Operative):S234–S240. 2011.PubMed/NCBI

25 

Drazin D, Zhuang L, Schievink WI and Mamelak AN: Expanded endonasal approach for the clipping of a ruptured basilar aneurysm and feeding artery to a cerebellar arteriovenous malformation. J Clin Neurosci. 19:144–148. 2012. View Article : Google Scholar : PubMed/NCBI

26 

Dehdashti AR: Extended endoscopic endonasal transclival clipping of posterior circulation aneurysms-an alternative to the transcranial approach. Acta Neurochirurgica. 157:2087–2088. 2015. View Article : Google Scholar : PubMed/NCBI

27 

Yildirim AE, Divanlioglu D, Karaoglu D, Cetinalp NE and Belen AD: Pure endoscopic endonasal clipping of an incidental anterior communicating artery aneurysm. J Craniofac Surg. 26:1378–1381. 2015. View Article : Google Scholar : PubMed/NCBI

Related Articles

  • Abstract
  • View
  • Download
  • Twitter
Copy and paste a formatted citation
Spandidos Publications style
Zhang M, Liao JW, Chi J, Yu H and Kang J: Craniopharyngioma resection and aneurysm clipping performed simultaneously by pure endoscopic endonasal approach: A case report and literature review. Oncol Lett 24: 352, 2022.
APA
Zhang, M., Liao, J.W., Chi, J., Yu, H., & Kang, J. (2022). Craniopharyngioma resection and aneurysm clipping performed simultaneously by pure endoscopic endonasal approach: A case report and literature review. Oncology Letters, 24, 352. https://doi.org/10.3892/ol.2022.13472
MLA
Zhang, M., Liao, J. W., Chi, J., Yu, H., Kang, J."Craniopharyngioma resection and aneurysm clipping performed simultaneously by pure endoscopic endonasal approach: A case report and literature review". Oncology Letters 24.4 (2022): 352.
Chicago
Zhang, M., Liao, J. W., Chi, J., Yu, H., Kang, J."Craniopharyngioma resection and aneurysm clipping performed simultaneously by pure endoscopic endonasal approach: A case report and literature review". Oncology Letters 24, no. 4 (2022): 352. https://doi.org/10.3892/ol.2022.13472
Copy and paste a formatted citation
x
Spandidos Publications style
Zhang M, Liao JW, Chi J, Yu H and Kang J: Craniopharyngioma resection and aneurysm clipping performed simultaneously by pure endoscopic endonasal approach: A case report and literature review. Oncol Lett 24: 352, 2022.
APA
Zhang, M., Liao, J.W., Chi, J., Yu, H., & Kang, J. (2022). Craniopharyngioma resection and aneurysm clipping performed simultaneously by pure endoscopic endonasal approach: A case report and literature review. Oncology Letters, 24, 352. https://doi.org/10.3892/ol.2022.13472
MLA
Zhang, M., Liao, J. W., Chi, J., Yu, H., Kang, J."Craniopharyngioma resection and aneurysm clipping performed simultaneously by pure endoscopic endonasal approach: A case report and literature review". Oncology Letters 24.4 (2022): 352.
Chicago
Zhang, M., Liao, J. W., Chi, J., Yu, H., Kang, J."Craniopharyngioma resection and aneurysm clipping performed simultaneously by pure endoscopic endonasal approach: A case report and literature review". Oncology Letters 24, no. 4 (2022): 352. https://doi.org/10.3892/ol.2022.13472
Follow us
  • Twitter
  • LinkedIn
  • Facebook
About
  • Spandidos Publications
  • Careers
  • Cookie Policy
  • Privacy Policy
How can we help?
  • Help
  • Live Chat
  • Contact
  • Email to our Support Team