Spandidos Publications Logo
  • About
    • About Spandidos
    • Aims and Scopes
    • Abstracting and Indexing
    • Editorial Policies
    • Reprints and Permissions
    • Job Opportunities
    • Terms and Conditions
    • Contact
  • Journals
    • All Journals
    • Oncology Letters
      • Oncology Letters
      • Information for Authors
      • Editorial Policies
      • Editorial Board
      • Aims and Scope
      • Abstracting and Indexing
      • Bibliographic Information
      • Archive
    • International Journal of Oncology
      • International Journal of Oncology
      • Information for Authors
      • Editorial Policies
      • Editorial Board
      • Aims and Scope
      • Abstracting and Indexing
      • Bibliographic Information
      • Archive
    • Molecular and Clinical Oncology
      • Molecular and Clinical Oncology
      • Information for Authors
      • Editorial Policies
      • Editorial Board
      • Aims and Scope
      • Abstracting and Indexing
      • Bibliographic Information
      • Archive
    • Experimental and Therapeutic Medicine
      • Experimental and Therapeutic Medicine
      • Information for Authors
      • Editorial Policies
      • Editorial Board
      • Aims and Scope
      • Abstracting and Indexing
      • Bibliographic Information
      • Archive
    • International Journal of Molecular Medicine
      • International Journal of Molecular Medicine
      • Information for Authors
      • Editorial Policies
      • Editorial Board
      • Aims and Scope
      • Abstracting and Indexing
      • Bibliographic Information
      • Archive
    • Biomedical Reports
      • Biomedical Reports
      • Information for Authors
      • Editorial Policies
      • Editorial Board
      • Aims and Scope
      • Abstracting and Indexing
      • Bibliographic Information
      • Archive
    • Oncology Reports
      • Oncology Reports
      • Information for Authors
      • Editorial Policies
      • Editorial Board
      • Aims and Scope
      • Abstracting and Indexing
      • Bibliographic Information
      • Archive
    • Molecular Medicine Reports
      • Molecular Medicine Reports
      • Information for Authors
      • Editorial Policies
      • Editorial Board
      • Aims and Scope
      • Abstracting and Indexing
      • Bibliographic Information
      • Archive
    • World Academy of Sciences Journal
      • World Academy of Sciences Journal
      • Information for Authors
      • Editorial Policies
      • Editorial Board
      • Aims and Scope
      • Abstracting and Indexing
      • Bibliographic Information
      • Archive
    • International Journal of Functional Nutrition
      • International Journal of Functional Nutrition
      • Information for Authors
      • Editorial Policies
      • Editorial Board
      • Aims and Scope
      • Abstracting and Indexing
      • Bibliographic Information
      • Archive
    • International Journal of Epigenetics
      • International Journal of Epigenetics
      • Information for Authors
      • Editorial Policies
      • Editorial Board
      • Aims and Scope
      • Abstracting and Indexing
      • Bibliographic Information
      • Archive
    • Medicine International
      • Medicine International
      • Information for Authors
      • Editorial Policies
      • Editorial Board
      • Aims and Scope
      • Abstracting and Indexing
      • Bibliographic Information
      • Archive
  • Articles
  • Information
    • Information for Authors
    • Information for Reviewers
    • Information for Librarians
    • Information for Advertisers
    • Conferences
  • Language Editing
Spandidos Publications Logo
  • About
    • About Spandidos
    • Aims and Scopes
    • Abstracting and Indexing
    • Editorial Policies
    • Reprints and Permissions
    • Job Opportunities
    • Terms and Conditions
    • Contact
  • Journals
    • All Journals
    • Biomedical Reports
      • Information for Authors
      • Editorial Policies
      • Editorial Board
      • Aims and Scope
      • Abstracting and Indexing
      • Bibliographic Information
      • Archive
    • Experimental and Therapeutic Medicine
      • Information for Authors
      • Editorial Policies
      • Editorial Board
      • Aims and Scope
      • Abstracting and Indexing
      • Bibliographic Information
      • Archive
    • International Journal of Epigenetics
      • Information for Authors
      • Editorial Policies
      • Editorial Board
      • Aims and Scope
      • Abstracting and Indexing
      • Bibliographic Information
      • Archive
    • International Journal of Functional Nutrition
      • Information for Authors
      • Editorial Policies
      • Editorial Board
      • Aims and Scope
      • Abstracting and Indexing
      • Bibliographic Information
      • Archive
    • International Journal of Molecular Medicine
      • Information for Authors
      • Editorial Policies
      • Editorial Board
      • Aims and Scope
      • Abstracting and Indexing
      • Bibliographic Information
      • Archive
    • International Journal of Oncology
      • Information for Authors
      • Editorial Policies
      • Editorial Board
      • Aims and Scope
      • Abstracting and Indexing
      • Bibliographic Information
      • Archive
    • Medicine International
      • Information for Authors
      • Editorial Policies
      • Editorial Board
      • Aims and Scope
      • Abstracting and Indexing
      • Bibliographic Information
      • Archive
    • Molecular and Clinical Oncology
      • Information for Authors
      • Editorial Policies
      • Editorial Board
      • Aims and Scope
      • Abstracting and Indexing
      • Bibliographic Information
      • Archive
    • Molecular Medicine Reports
      • Information for Authors
      • Editorial Policies
      • Editorial Board
      • Aims and Scope
      • Abstracting and Indexing
      • Bibliographic Information
      • Archive
    • Oncology Letters
      • Information for Authors
      • Editorial Policies
      • Editorial Board
      • Aims and Scope
      • Abstracting and Indexing
      • Bibliographic Information
      • Archive
    • Oncology Reports
      • Information for Authors
      • Editorial Policies
      • Editorial Board
      • Aims and Scope
      • Abstracting and Indexing
      • Bibliographic Information
      • Archive
    • World Academy of Sciences Journal
      • Information for Authors
      • Editorial Policies
      • Editorial Board
      • Aims and Scope
      • Abstracting and Indexing
      • Bibliographic Information
      • Archive
  • Articles
  • Information
    • For Authors
    • For Reviewers
    • For Librarians
    • For Advertisers
    • Conferences
  • Language Editing
Login Register Submit
  • This site uses cookies
  • You can change your cookie settings at any time by following the instructions in our Cookie Policy. To find out more, you may read our Privacy Policy.

    I agree
Search articles by DOI, keyword, author or affiliation
Search
Advanced Search
presentation
Oncology Letters
Join Editorial Board Propose a Special Issue
Print ISSN: 1792-1074 Online ISSN: 1792-1082
Journal Cover
October-2022 Volume 24 Issue 4

Full Size Image

Sign up for eToc alerts
Recommend to Library

Journals

International Journal of Molecular Medicine

International Journal of Molecular Medicine

International Journal of Molecular Medicine is an international journal devoted to molecular mechanisms of human disease.

International Journal of Oncology

International Journal of Oncology

International Journal of Oncology is an international journal devoted to oncology research and cancer treatment.

Molecular Medicine Reports

Molecular Medicine Reports

Covers molecular medicine topics such as pharmacology, pathology, genetics, neuroscience, infectious diseases, molecular cardiology, and molecular surgery.

Oncology Reports

Oncology Reports

Oncology Reports is an international journal devoted to fundamental and applied research in Oncology.

Experimental and Therapeutic Medicine

Experimental and Therapeutic Medicine

Experimental and Therapeutic Medicine is an international journal devoted to laboratory and clinical medicine.

Oncology Letters

Oncology Letters

Oncology Letters is an international journal devoted to Experimental and Clinical Oncology.

Biomedical Reports

Biomedical Reports

Explores a wide range of biological and medical fields, including pharmacology, genetics, microbiology, neuroscience, and molecular cardiology.

Molecular and Clinical Oncology

Molecular and Clinical Oncology

International journal addressing all aspects of oncology research, from tumorigenesis and oncogenes to chemotherapy and metastasis.

World Academy of Sciences Journal

World Academy of Sciences Journal

Multidisciplinary open-access journal spanning biochemistry, genetics, neuroscience, environmental health, and synthetic biology.

International Journal of Functional Nutrition

International Journal of Functional Nutrition

Open-access journal combining biochemistry, pharmacology, immunology, and genetics to advance health through functional nutrition.

International Journal of Epigenetics

International Journal of Epigenetics

Publishes open-access research on using epigenetics to advance understanding and treatment of human disease.

Medicine International

Medicine International

An International Open Access Journal Devoted to General Medicine.

Journal Cover
October-2022 Volume 24 Issue 4

Full Size Image

Sign up for eToc alerts
Recommend to Library

  • Article
  • Citations
    • Cite This Article
    • Download Citation
    • Create Citation Alert
    • Remove Citation Alert
    • Cited By
  • Similar Articles
    • Related Articles (in Spandidos Publications)
    • Similar Articles (Google Scholar)
    • Similar Articles (PubMed)
  • Download PDF
  • Download XML
  • View XML
Article Open Access

Sarcopenia does not predict outcome in patients with CNS lymphoma undergoing systemic therapy

  • Authors:
    • Vincenzo Ferraro
    • Maximilian Thormann
    • Mattes Hinnerichs
    • Maciej Pech
    • Denise Wolleschak
    • Dimitrios Mougiakakos
    • Andreas Wienke
    • Alexandra Strobel
    • Vanja Zeremski
    • Alexey Surov
    • Jazan Omari
  • View Affiliations / Copyright

    Affiliations: University Clinic for Radiology and Nuclear Medicine, University Hospital Magdeburg, D‑39120 Magdeburg, Germany, Department of Hematology and Oncology, University Hospital Magdeburg, D‑39120 Magdeburg, Germany, Institute of Medical Epidemiology, Biometry and Informatics, Martin‑Luther‑University, D‑06112 Halle‑Wittenberg, Germany
    Copyright: © Ferraro et al. This is an open access article distributed under the terms of Creative Commons Attribution License.
  • Article Number: 355
    |
    Published online on: August 22, 2022
       https://doi.org/10.3892/ol.2022.13475
  • Expand metrics +
Metrics: Total Views: 0 (Spandidos Publications: | PMC Statistics: )
Metrics: Total PDF Downloads: 0 (Spandidos Publications: | PMC Statistics: )
Cited By (CrossRef): 0 citations Loading Articles...

This article is mentioned in:



Abstract

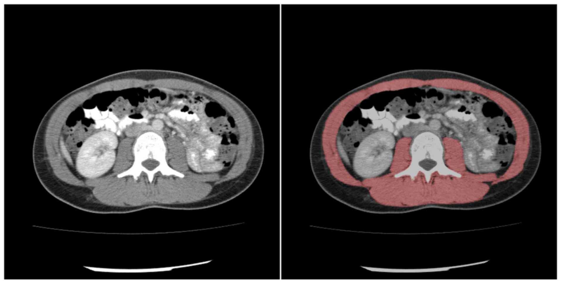
Low skeletal muscle mass as a proxy parameter for sarcopenia acts as a non‑invasive imaging marker that is associated with poor prognosis in numerous types of cancer. The present study aimed to assess the influence of body composition parameters on overall survival (OS) and progression free survival (PFS) in patients diagnosed with primary central nervous system lymphoma (PCNSL). A total of 98 patients with PCNSL treated at University Hospital Magdeburg (Magdeburg, Germany) from 2013‑2019 were retrospectively studied. Patients with a pre‑treatment staging computed tomography (CT) scan that included the third lumbar vertebra were reviewed for analysis. Skeletal muscle area (SMA), skeletal muscle index (SMI), mean muscle density and skeletal muscle gauge (SMG) were measured on the CT scan prior to treatment. Parameters were associated with OS and PFS. Overall, 72 patients were included in the present study. Results of the present study demonstrated that the median OS was 10 months (range, 1‑181 months), and 37 patients (51.4%) presented with sarcopenia. Moreover, the median OS was 7 months in the sarcopenic group and 32 months in the non‑sarcopenic group. Results of the present study further illustrated that SMI, SMA, density and SMG did not exert a significant effect on OS. Notably, the median PFS was 2.5 months in the low SMI group and 10 months in the normal SMI group. Body composition parameters did not exert a significant effect on PFS. Overall, the results of the present study demonstrated that sarcopenia was not a risk factor for decreased OS or PFS in patients with PCNSL undergoing systemic treatment.
View Figures

Figure 1

Figure 2

View References

1 

Hoang-Xuan K, Bessell E, Bromberg J, Hottinger AF, Preusser M, Rudà R, Schlegel U, Siegal T, Soussain C, Abacioglu U, et al: Diagnosis and treatment of primary CNS lymphoma in immunocompetent patients: Guidelines from the European association for neuro-oncology. Lancet Oncol. 16:e322–e332. 2015. View Article : Google Scholar : PubMed/NCBI

2 

Grommes C and DeAngelis LM: Primary CNS lymphoma. J Clin Oncol. 35:2410–2418. 2017. View Article : Google Scholar : PubMed/NCBI

3 

Batchelor T and Loeffler JS: Primary CNS lymphoma. J Clin Oncol. 24:1281–1288. 2006. View Article : Google Scholar : PubMed/NCBI

4 

Villano JL, Koshy M, Shaikh H, Dolecek TA and McCarthy BJ: Age, gender, and racial differences in incidence and survival in primary CNS lymphoma. Br J Cancer. 105:1414–1418. 2011. View Article : Google Scholar : PubMed/NCBI

5 

Gopal S, Patel MR, Yanik EL, Cole SR, Achenbach CJ, Napravnik S, Burkholder GA, Reid EG, Rodriguez B, Deeks SG, et al: Temporal trends in presentation and survival for HIV-associated lymphoma in the antiretroviral therapy era. J Natl Cancer Inst. 105:1221–1229. 2013. View Article : Google Scholar : PubMed/NCBI

6 

Han CH and Batchelor TT: Diagnosis and management of primary central nervous system lymphoma. Cancer. 123:4314–4324. 2017. View Article : Google Scholar : PubMed/NCBI

7 

Abrey LE, Ben-Porat L, Panageas KS, Yahalom J, Berkey B, Curran W, Schultz C, Leibel S, Nelson D, Mehta M and DeAngelis LM: Primary central nervous system lymphoma: The memorial sloan-kettering cancer center prognostic model. J Clin Oncol. 24:5711–5715. 2006. View Article : Google Scholar : PubMed/NCBI

8 

Ferreri AJM, Blay JY, Reni M, Pasini F, Spina M, Ambrosetti A, Calderoni A, Rossi A, Vavassori V, Conconi A, et al: Prognostic scoring system for primary CNS lymphomas: The international extranodal lymphoma study group experience. J Clin Oncol. 21:266–272. 2003. View Article : Google Scholar : PubMed/NCBI

9 

Surov A and Wienke A: Sarcopenia predicts overall survival in patients with malignant hematological diseases: A meta-analysis. Clin Nutr. 40:1155–1160. 2021. View Article : Google Scholar : PubMed/NCBI

10 

Kamarajah SK, Bundred J and Tan BHL: Body composition assessment and sarcopenia in patients with gastric cancer: A systematic review and meta-analysis. Gastric Cancer. 22:10–22. 2019. View Article : Google Scholar : PubMed/NCBI

11 

Mintziras I, Miligkos M, Wächter S, Manoharan J, Maurer E and Bartsch DK: Sarcopenia and sarcopenic obesity are significantly associated with poorer overall survival in patients with pancreatic cancer: Systematic review and meta-analysis. Int J Surg. 59:19–26. 2018. View Article : Google Scholar : PubMed/NCBI

12 

Sun G, Li Y, Peng Y, Lu D, Zhang F, Cui X, Zhang Q and Li Z: Can sarcopenia be a predictor of prognosis for patients with non-metastatic colorectal cancer? A systematic review and meta-analysis. Int J Colorectal Dis. 33:1419–1427. 2018. View Article : Google Scholar : PubMed/NCBI

13 

Bak SH, Kwon SO, Han SS and Kim WJ: Computed tomography-derived area and density of pectoralis muscle associated disease severity and longitudinal changes in chronic obstructive pulmonary disease: A case control study. Respir Res. 20:2262019. View Article : Google Scholar : PubMed/NCBI

14 

Weinberg MS, Shachar SS, Muss HB, Deal AM, Popuri K, Yu H, Nyrop KA, Alston SM and Williams GR: Beyond sarcopenia: Characterization and integration of skeletal muscle quantity and radiodensity in a curable breast cancer population. Breast J. 24:278–284. 2018. View Article : Google Scholar : PubMed/NCBI

15 

Shachar SS, Deal AM, Weinberg M, Nyrop KA, Williams GR, Nishijima TF, Benbow JM and Muss HB: Skeletal muscle measures as predictors of toxicity, hospitalization, and survival in patients with metastatic breast cancer receiving taxane-based chemotherapy. Clin Cancer Res. 23:658–665. 2017. View Article : Google Scholar : PubMed/NCBI

16 

Karmali R, Alrifai T, Fughhi IAM, Ng R, Chukkapalli V, Shah P, Basu S, Nathan S, Szymanski-Grant K, Gordon LI, et al: Impact of cachexia on outcomes in aggressive lymphomas. Ann Hematol. 96:951–956. 2017. View Article : Google Scholar : PubMed/NCBI

17 

Camus V, Lanic H, Kraut J, Modzelewski R, Clatot F, Picquenot JM, Contentin N, Lenain P, Groza L, Lemasle E, et al: Prognostic impact of fat tissue loss and cachexia assessed by computed tomography scan in elderly patients with diffuse large B-cell lymphoma treated with immunochemotherapy. Eur J Haematol. 93:9–18. 2014. View Article : Google Scholar : PubMed/NCBI

18 

Furtner J, Nenning KH, Roetzer T, Gesperger J, Seebrecht L, Weber M, Grams A, Leber SL, Marhold F, Sherif C, et al: Evaluation of the temporal muscle thickness as an independent prognostic biomarker in patients with primary central nervous system lymphoma. Cancers (Basel). 13:5662021. View Article : Google Scholar : PubMed/NCBI

19 

Leone R, Sferruzza G, Calimeri T, Steffanoni S, Conte GM, De Cobelli F, Falini A, Ferreri AJM and Anzalone N: Quantitative muscle mass biomarkers are independent prognosis factors in primary central nervous system lymphoma: The role of L3-skeletal muscle index and temporal muscle thickness. Eur J Radiol. 143:1099452021. View Article : Google Scholar : PubMed/NCBI

20 

Prado CM, Lieffers JR, McCargar LJ, Reiman T, Sawyer MB, Martin L and Baracos VE: Prevalence and clinical implications of sarcopenic obesity in patients with solid tumours of the respiratory and gastrointestinal tracts: A population-based study. Lancet Oncol. 9:629–635. 2008. View Article : Google Scholar : PubMed/NCBI

21 

Caram MV, Bellile EL, Englesbe MJ, Terjimanian M, Wang SC, Griggs JJ and Couriel D: Sarcopenia is associated with autologous transplant-related outcomes in patients with lymphoma. Leuk Lymphoma. 56:2855–2862. 2015. View Article : Google Scholar : PubMed/NCBI

22 

Chu MP, Lieffers J, Ghosh S, Belch A, Chua NS, Fontaine A, Sangha R, Turner RA, Baracos VE and Sawyer MB: Skeletal muscle density is an independent predictor of diffuse large B-cell lymphoma outcomes treated with rituximab-based chemoimmunotherapy. J Cachexia Sarcopenia Muscle. 8:298–304. 2017. View Article : Google Scholar : PubMed/NCBI

23 

Takeoka Y, Sakatoku K, Miura A, Yamamura R, Araki T, Seura H, Okamura T, Koh H, Nakamae H, Hino M and Ohta K: Prognostic Effect of low subcutaneous adipose tissue on survival outcome in patients with multiple myeloma. Clin Lymphoma Myeloma Leuk. 16:434–441. 2016. View Article : Google Scholar : PubMed/NCBI

24 

Neto AC, Moraes BDGC, Rocha IMG, Bezerra FA, Medeiros GOC, Alves LBO, Rossetti RAM, Fayh APT, Mariano LCB and Rocha V: Association of sarcopenia with toxicities and survival after autologous hematopoietic stem cell transplantation for adults with lymphomas. Blood. 132 (Suppl 1):S21582018. View Article : Google Scholar

25 

Zilioli VR, Albano D, Arcari A, Merli F, Coppola A, Besutti G, Marcheselli L, Gramegna D, Muzi C, Manicone M, et al: Clinical and prognostic role of sarcopenia in elderly patients with classical Hodgkin lymphoma: A multicentre experience. J Cachexia Sarcopenia Muscle. 12:1042–1055. 2021. View Article : Google Scholar : PubMed/NCBI

26 

Au PC, Li HL, Lee GK, Li GH, Chan M, Cheung BM, Wong IC, Lee VH, Mok J, Yip BH, et al: Sarcopenia and mortality in cancer: A meta-analysis. Osteoporos Sarcopenia. 7 (Suppl 1):S28–S33. 2021. View Article : Google Scholar : PubMed/NCBI

27 

Besutti G, Massaro F, Bonelli E, Braglia L, Casali M, Versari A, Ligabue G, Pattacini P, Cavuto S, Merlo DF, et al: Prognostic impact of muscle quantity and quality and fat distribution in diffuse large B-cell lymphoma patients. Front Nutr. 8:6206962021. View Article : Google Scholar : PubMed/NCBI

28 

Hacker UT, Hasenclever D, Linder N, Stocker G, Chung HC, Kang YK, Moehler M, Busse H and Lordick F: Prognostic role of body composition parameters in gastric/gastroesophageal junction cancer patients from the EXPAND trial. J Cachexia Sarcopenia Muscle. 11:135–144. 2020. View Article : Google Scholar : PubMed/NCBI

29 

Nipp RD, Fuchs G, El-Jawahri A, Mario J, Troschel FM, Greer JA, Gallagher ER, Jackson VA, Kambadakone A, Hong TS, et al: Sarcopenia is associated with quality of life and depression in patients with advanced cancer. Oncologist. 23:97–104. 2018. View Article : Google Scholar : PubMed/NCBI

30 

Moulignier A, Lamirel C, Picard H, Lebrette MG, Amiel C, Hamidi M, Polivka M, Mikol J, Cochereau I and Pialoux G: Long-term AIDS-related PCNSL outcomes with HD-MTX and combined antiretroviral therapy. Neurology. 89:796–804. 2017. View Article : Google Scholar : PubMed/NCBI

31 

Lin CH, Yang CF, Yang HC, Fay LY, Yeh CM, Kuan AS, Wang HY, Gau JP, Hsiao LT, Chiou TJ, et al: Risk prediction for early mortality in patients with newly diagnosed primary CNS lymphoma. J Cancer. 10:39582019. View Article : Google Scholar : PubMed/NCBI

32 

Martin L, Birdsell L, Macdonald N, Reiman T, Clandinin MT, McCargar LJ, Murphy R, Ghosh S, Sawyer MB and Baracos VE: Cancer cachexia in the age of obesity: Skeletal muscle depletion is a powerful prognostic factor, independent of body mass index. J Clin Oncol. 31:1539–1547. 2013. View Article : Google Scholar : PubMed/NCBI

33 

Fearon K, Strasser F, Anker SD, Bosaeus I, Bruera E, Fainsinger RL, Jatoi A, Loprinzi C, MacDonald N, Mantovani G, et al: Definition and classification of cancer cachexia: An international consensus. Lancet Oncol. 12:489–495. 2011. View Article : Google Scholar : PubMed/NCBI

34 

Taguchi S, Nakagawa T and Fukuhara H: Inconsistencies in currently used definitions of sarcopenia in oncology. Ann Oncol. 31:318–319. 2020. View Article : Google Scholar : PubMed/NCBI

35 

Rutten IJG, Ubachs J, Kruitwagen RFPM, Beets-Tan RGH, Olde Damink SWM and Van Gorp T: Psoas muscle area is not representative of total skeletal muscle area in the assessment of sarcopenia in ovarian cancer. J Cachexia Sarcopenia Muscle. 8:630–638. 2017. View Article : Google Scholar : PubMed/NCBI

Related Articles

  • Abstract
  • View
  • Download
  • Twitter
Copy and paste a formatted citation
Spandidos Publications style
Ferraro V, Thormann M, Hinnerichs M, Pech M, Wolleschak D, Mougiakakos D, Wienke A, Strobel A, Zeremski V, Surov A, Surov A, et al: Sarcopenia does not predict outcome in patients with CNS lymphoma undergoing systemic therapy. Oncol Lett 24: 355, 2022.
APA
Ferraro, V., Thormann, M., Hinnerichs, M., Pech, M., Wolleschak, D., Mougiakakos, D. ... Omari, J. (2022). Sarcopenia does not predict outcome in patients with CNS lymphoma undergoing systemic therapy. Oncology Letters, 24, 355. https://doi.org/10.3892/ol.2022.13475
MLA
Ferraro, V., Thormann, M., Hinnerichs, M., Pech, M., Wolleschak, D., Mougiakakos, D., Wienke, A., Strobel, A., Zeremski, V., Surov, A., Omari, J."Sarcopenia does not predict outcome in patients with CNS lymphoma undergoing systemic therapy". Oncology Letters 24.4 (2022): 355.
Chicago
Ferraro, V., Thormann, M., Hinnerichs, M., Pech, M., Wolleschak, D., Mougiakakos, D., Wienke, A., Strobel, A., Zeremski, V., Surov, A., Omari, J."Sarcopenia does not predict outcome in patients with CNS lymphoma undergoing systemic therapy". Oncology Letters 24, no. 4 (2022): 355. https://doi.org/10.3892/ol.2022.13475
Copy and paste a formatted citation
x
Spandidos Publications style
Ferraro V, Thormann M, Hinnerichs M, Pech M, Wolleschak D, Mougiakakos D, Wienke A, Strobel A, Zeremski V, Surov A, Surov A, et al: Sarcopenia does not predict outcome in patients with CNS lymphoma undergoing systemic therapy. Oncol Lett 24: 355, 2022.
APA
Ferraro, V., Thormann, M., Hinnerichs, M., Pech, M., Wolleschak, D., Mougiakakos, D. ... Omari, J. (2022). Sarcopenia does not predict outcome in patients with CNS lymphoma undergoing systemic therapy. Oncology Letters, 24, 355. https://doi.org/10.3892/ol.2022.13475
MLA
Ferraro, V., Thormann, M., Hinnerichs, M., Pech, M., Wolleschak, D., Mougiakakos, D., Wienke, A., Strobel, A., Zeremski, V., Surov, A., Omari, J."Sarcopenia does not predict outcome in patients with CNS lymphoma undergoing systemic therapy". Oncology Letters 24.4 (2022): 355.
Chicago
Ferraro, V., Thormann, M., Hinnerichs, M., Pech, M., Wolleschak, D., Mougiakakos, D., Wienke, A., Strobel, A., Zeremski, V., Surov, A., Omari, J."Sarcopenia does not predict outcome in patients with CNS lymphoma undergoing systemic therapy". Oncology Letters 24, no. 4 (2022): 355. https://doi.org/10.3892/ol.2022.13475
Follow us
  • Twitter
  • LinkedIn
  • Facebook
About
  • Spandidos Publications
  • Careers
  • Cookie Policy
  • Privacy Policy
How can we help?
  • Help
  • Live Chat
  • Contact
  • Email to our Support Team