Spandidos Publications Logo
  • About
    • About Spandidos
    • Aims and Scopes
    • Abstracting and Indexing
    • Editorial Policies
    • Reprints and Permissions
    • Job Opportunities
    • Terms and Conditions
    • Contact
  • Journals
    • All Journals
    • Oncology Letters
      • Oncology Letters
      • Information for Authors
      • Editorial Policies
      • Editorial Board
      • Aims and Scope
      • Abstracting and Indexing
      • Bibliographic Information
      • Archive
    • International Journal of Oncology
      • International Journal of Oncology
      • Information for Authors
      • Editorial Policies
      • Editorial Board
      • Aims and Scope
      • Abstracting and Indexing
      • Bibliographic Information
      • Archive
    • Molecular and Clinical Oncology
      • Molecular and Clinical Oncology
      • Information for Authors
      • Editorial Policies
      • Editorial Board
      • Aims and Scope
      • Abstracting and Indexing
      • Bibliographic Information
      • Archive
    • Experimental and Therapeutic Medicine
      • Experimental and Therapeutic Medicine
      • Information for Authors
      • Editorial Policies
      • Editorial Board
      • Aims and Scope
      • Abstracting and Indexing
      • Bibliographic Information
      • Archive
    • International Journal of Molecular Medicine
      • International Journal of Molecular Medicine
      • Information for Authors
      • Editorial Policies
      • Editorial Board
      • Aims and Scope
      • Abstracting and Indexing
      • Bibliographic Information
      • Archive
    • Biomedical Reports
      • Biomedical Reports
      • Information for Authors
      • Editorial Policies
      • Editorial Board
      • Aims and Scope
      • Abstracting and Indexing
      • Bibliographic Information
      • Archive
    • Oncology Reports
      • Oncology Reports
      • Information for Authors
      • Editorial Policies
      • Editorial Board
      • Aims and Scope
      • Abstracting and Indexing
      • Bibliographic Information
      • Archive
    • Molecular Medicine Reports
      • Molecular Medicine Reports
      • Information for Authors
      • Editorial Policies
      • Editorial Board
      • Aims and Scope
      • Abstracting and Indexing
      • Bibliographic Information
      • Archive
    • World Academy of Sciences Journal
      • World Academy of Sciences Journal
      • Information for Authors
      • Editorial Policies
      • Editorial Board
      • Aims and Scope
      • Abstracting and Indexing
      • Bibliographic Information
      • Archive
    • International Journal of Functional Nutrition
      • International Journal of Functional Nutrition
      • Information for Authors
      • Editorial Policies
      • Editorial Board
      • Aims and Scope
      • Abstracting and Indexing
      • Bibliographic Information
      • Archive
    • International Journal of Epigenetics
      • International Journal of Epigenetics
      • Information for Authors
      • Editorial Policies
      • Editorial Board
      • Aims and Scope
      • Abstracting and Indexing
      • Bibliographic Information
      • Archive
    • Medicine International
      • Medicine International
      • Information for Authors
      • Editorial Policies
      • Editorial Board
      • Aims and Scope
      • Abstracting and Indexing
      • Bibliographic Information
      • Archive
  • Articles
  • Information
    • Information for Authors
    • Information for Reviewers
    • Information for Librarians
    • Information for Advertisers
    • Conferences
  • Language Editing
Spandidos Publications Logo
  • About
    • About Spandidos
    • Aims and Scopes
    • Abstracting and Indexing
    • Editorial Policies
    • Reprints and Permissions
    • Job Opportunities
    • Terms and Conditions
    • Contact
  • Journals
    • All Journals
    • Biomedical Reports
      • Information for Authors
      • Editorial Policies
      • Editorial Board
      • Aims and Scope
      • Abstracting and Indexing
      • Bibliographic Information
      • Archive
    • Experimental and Therapeutic Medicine
      • Information for Authors
      • Editorial Policies
      • Editorial Board
      • Aims and Scope
      • Abstracting and Indexing
      • Bibliographic Information
      • Archive
    • International Journal of Epigenetics
      • Information for Authors
      • Editorial Policies
      • Editorial Board
      • Aims and Scope
      • Abstracting and Indexing
      • Bibliographic Information
      • Archive
    • International Journal of Functional Nutrition
      • Information for Authors
      • Editorial Policies
      • Editorial Board
      • Aims and Scope
      • Abstracting and Indexing
      • Bibliographic Information
      • Archive
    • International Journal of Molecular Medicine
      • Information for Authors
      • Editorial Policies
      • Editorial Board
      • Aims and Scope
      • Abstracting and Indexing
      • Bibliographic Information
      • Archive
    • International Journal of Oncology
      • Information for Authors
      • Editorial Policies
      • Editorial Board
      • Aims and Scope
      • Abstracting and Indexing
      • Bibliographic Information
      • Archive
    • Medicine International
      • Information for Authors
      • Editorial Policies
      • Editorial Board
      • Aims and Scope
      • Abstracting and Indexing
      • Bibliographic Information
      • Archive
    • Molecular and Clinical Oncology
      • Information for Authors
      • Editorial Policies
      • Editorial Board
      • Aims and Scope
      • Abstracting and Indexing
      • Bibliographic Information
      • Archive
    • Molecular Medicine Reports
      • Information for Authors
      • Editorial Policies
      • Editorial Board
      • Aims and Scope
      • Abstracting and Indexing
      • Bibliographic Information
      • Archive
    • Oncology Letters
      • Information for Authors
      • Editorial Policies
      • Editorial Board
      • Aims and Scope
      • Abstracting and Indexing
      • Bibliographic Information
      • Archive
    • Oncology Reports
      • Information for Authors
      • Editorial Policies
      • Editorial Board
      • Aims and Scope
      • Abstracting and Indexing
      • Bibliographic Information
      • Archive
    • World Academy of Sciences Journal
      • Information for Authors
      • Editorial Policies
      • Editorial Board
      • Aims and Scope
      • Abstracting and Indexing
      • Bibliographic Information
      • Archive
  • Articles
  • Information
    • For Authors
    • For Reviewers
    • For Librarians
    • For Advertisers
    • Conferences
  • Language Editing
Login Register Submit
  • This site uses cookies
  • You can change your cookie settings at any time by following the instructions in our Cookie Policy. To find out more, you may read our Privacy Policy.

    I agree
Search articles by DOI, keyword, author or affiliation
Search
Advanced Search
presentation
Oncology Letters
Join Editorial Board Propose a Special Issue
Print ISSN: 1792-1074 Online ISSN: 1792-1082
Journal Cover
November-2022 Volume 24 Issue 5

Full Size Image

Sign up for eToc alerts
Recommend to Library

Journals

International Journal of Molecular Medicine

International Journal of Molecular Medicine

International Journal of Molecular Medicine is an international journal devoted to molecular mechanisms of human disease.

International Journal of Oncology

International Journal of Oncology

International Journal of Oncology is an international journal devoted to oncology research and cancer treatment.

Molecular Medicine Reports

Molecular Medicine Reports

Covers molecular medicine topics such as pharmacology, pathology, genetics, neuroscience, infectious diseases, molecular cardiology, and molecular surgery.

Oncology Reports

Oncology Reports

Oncology Reports is an international journal devoted to fundamental and applied research in Oncology.

Experimental and Therapeutic Medicine

Experimental and Therapeutic Medicine

Experimental and Therapeutic Medicine is an international journal devoted to laboratory and clinical medicine.

Oncology Letters

Oncology Letters

Oncology Letters is an international journal devoted to Experimental and Clinical Oncology.

Biomedical Reports

Biomedical Reports

Explores a wide range of biological and medical fields, including pharmacology, genetics, microbiology, neuroscience, and molecular cardiology.

Molecular and Clinical Oncology

Molecular and Clinical Oncology

International journal addressing all aspects of oncology research, from tumorigenesis and oncogenes to chemotherapy and metastasis.

World Academy of Sciences Journal

World Academy of Sciences Journal

Multidisciplinary open-access journal spanning biochemistry, genetics, neuroscience, environmental health, and synthetic biology.

International Journal of Functional Nutrition

International Journal of Functional Nutrition

Open-access journal combining biochemistry, pharmacology, immunology, and genetics to advance health through functional nutrition.

International Journal of Epigenetics

International Journal of Epigenetics

Publishes open-access research on using epigenetics to advance understanding and treatment of human disease.

Medicine International

Medicine International

An International Open Access Journal Devoted to General Medicine.

Journal Cover
November-2022 Volume 24 Issue 5

Full Size Image

Sign up for eToc alerts
Recommend to Library

  • Article
  • Citations
    • Cite This Article
    • Download Citation
    • Create Citation Alert
    • Remove Citation Alert
    • Cited By
  • Similar Articles
    • Related Articles (in Spandidos Publications)
    • Similar Articles (Google Scholar)
    • Similar Articles (PubMed)
  • Download PDF
  • Download XML
  • View XML

  • Supplementary Files
    • Supplementary_Data.pdf
Case Report Open Access

Imaging findings of inflammatory pseudotumor‑like follicular dendritic cell sarcoma of the spleen: A case report and literature review

  • Authors:
    • Jiaren Zhang
    • Lian He
    • Xuejin Ma
    • Ji Wang
    • Yi Qiu
    • Lin Jiang
  • View Affiliations / Copyright

    Affiliations: Department of Radiology, The First People's Hospital of Zunyi, The Third Affiliated Hospital of Zunyi Medical University, Zunyi, Guizhou 563000, P.R. China, Department of Radiology, The Second Affiliated Hospital of Zunyi Medical University, Zunyi, Guizhou 563000, P.R. China
    Copyright: © Zhang et al. This is an open access article distributed under the terms of Creative Commons Attribution License.
  • Article Number: 399
    |
    Published online on: September 22, 2022
       https://doi.org/10.3892/ol.2022.13519
  • Expand metrics +
Metrics: Total Views: 0 (Spandidos Publications: | PMC Statistics: )
Metrics: Total PDF Downloads: 0 (Spandidos Publications: | PMC Statistics: )
Cited By (CrossRef): 0 citations Loading Articles...

This article is mentioned in:



Abstract

Inflammatory pseudotumor‑like follicular dendritic cell sarcoma (IPT‑like FDCS) is a low‑grade malignant tumor type caused by the proliferation of follicular dendritic cells. It is a distinct subtype of FDCS that is rarely encountered in the clinic and is overwhelmingly associated with Epstein‑Barr virus infection. As it is a sporadic disease with a low specificity of clinical and imaging manifestations, it is less frequently considered a diagnosis, resulting in a low preoperative diagnostic rate and easy misdiagnosis. The present study reported the ultrasound, CT and MRI features of a patient with splenic IPT‑like FDCS and discussed this rare subtype of FDCS based on a review of previously published literature to provide radiologists with a broader understanding of the differential diagnosis of splenic lesions.

Introduction

Follicular dendritic cell sarcoma (FDCS) is a rare tumor type. The majority of FDCSs are located in lymph nodes, while the majority of extra-lymph node lesions are found in the liver, spleen, nasopharynx and soft tissues of the neck, which are rich in lymphoid tissue (1). Inflammatory pseudotumor-like follicular dendritic cell sarcoma (IPT-like FDCS) is a rare type of low-grade malignancy that was defined by Cheuk et al (2) in 2001. IPT-like FDCS is much rarer than classical FDCS and is a specific subtype of FDCS that occurs mainly in the liver and spleen. The clinical manifestations of splenic IPT-like FDCS are nonspecific; most patients do not have any obvious symptoms and splenic tumors are typically discovered unintentionally during physical examination. A small number of patients may present with upper abdominal discomfort, abdominal pain, fever and/or weight loss. The present study reported the pathological and imaging data of a case of IPT-like FDCS admitted to our hospital and reviewed the literature published since Cheuk et al (2) defined IPT-like FDCS in 2001, to gain a deeper understanding of this rare tumor type and to assist clinicians in developing a treatment plan.

Case report

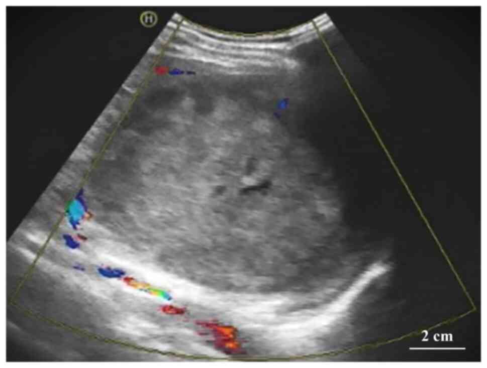
A 29-year-old female patient presented at the First People's Hospital of Zunyi (Guizhou, China) in July 2021, where a large splenic mass was incidentally detected during an abdominal ultrasound examination for their company-required annual physical examination. Physical examination revealed mild tenderness to palpation in the left upper quadrant. The levels of the tumor markers α-fetoprotein, carcinoembryonic antigen, carbohydrate antigen 125 (CA125) and CA199 were all normal. The patient denied having any remarkable medical personal or family history. Abdominal sonography revealed a heterogeneous echogenic mass measuring ~12.8×11.4×12.1 cm with hazy borders and poorly defined surrounding tissue. There was a fluid hypoechoic region within the mass, as well as dotted and streaked blood hyposignals in and around the mass (Fig. 1).

Figure 1.

On day 2 after hospitalization, abdominal ultrasonography showed a mixed echogenic mass in the spleen, which is poorly demarcated from the spleen parenchyma, with uneven internal echogenicity and liquid dark areas within the mass; color Doppler ultrasound indicates dotted streaks of blood hypo-signal around the mass (scale bar, 2 cm).

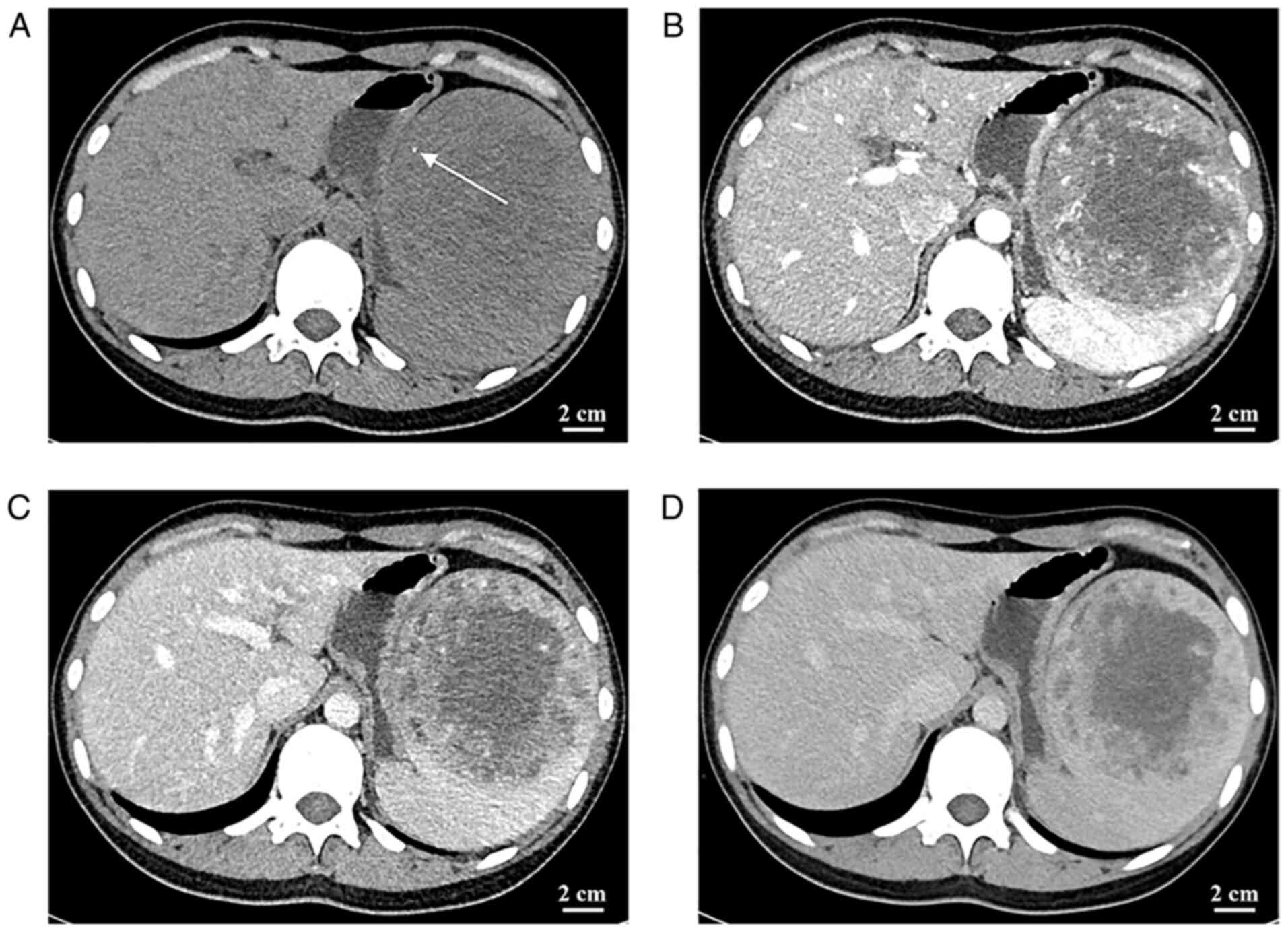
The CT of the abdomen revealed a mass of heterogeneous density with patchy, slightly hyperdense and poorly defined borders. In addition, punctate calcification was observed in the tumor. The parenchymal portion of the tumor had progressive enhancement, whereas the central liquefied necrotic region exhibited no discernible enhancement. The boundary between the tumor and the surrounding tissue was visible following enhancement (Fig. 2). Abdominal CT displayed a slightly hypodense, ill-defined mass. In addition, small patchy hemorrhage as well as calcification were seen within the mass (Fig. 2). Abdominal magnetic resonance imaging (MRI), including conventional MRI and enhanced abdominal MRI, indicated a mixed-signal mass in the spleen, measuring ~10.6×10.6×10.1 cm, with well-defined borders. The tumor margin had an envelope-like structure and the parenchyma exhibited progressive enhancement with no enhancement in the central necrotic area. The parenchymal part of the neoplasm had a high signal (b=1,000 sec/mm2) on diffusion-weighted imaging (DWI) and a low signal on the apparent diffusion coefficient map, suggesting that the spread of the parenchymal part of the neoplasm was restricted; by contrast, the central necrotic area was not restricted (Fig. 3). The radiologist initially diagnosed a vascular tumor originating from the spleen, such as hemangioma, based on this patient's clinical presentation and the imaging features. However, it was not possible to exclude other benign or malignant neoplastic lesions.

Figure 2.

(A) On the plain CT scan, the poorly defined tumor was visible as a foveal hypodense area with a noticeable occupying effect; small patchy high-density hemorrhagic foci and punctate calcifications may be seen within the tumor (arrow). (B) CT-enhanced arterial phase indicates the parenchymal part of the spleen tumor was mildly enhanced with foveal changes and abundant distribution of small arteries may also be seen in the parenchymal part. (C) In the CT-enhanced venous phase, the parenchymal part of the tumor was further enhanced but the density of the parenchymal part of the tumor was still smaller than the normal parenchymal part of the spleen. (D) CT-enhanced delayed period indicates the parenchymal part of the tumor further intensified with a density equal to that of the normal parenchymal part of the spleen, while the central liquefied necrotic area was never enhanced (scale bar, 2 cm).

Figure 3.

(A) MRI scan revealing a round mass-like mixed signal in the spleen, with mixed iso-signal and hypo-signal on T1WI. (B) T2WI indicates a predominantly iso-signal mixed signal in the parenchymal part and a predominantly hyper-signal in the internal necrotic and liquefied area. (C) The parenchymal portion of the tumor displays with a heterogeneous hyper-signal on diffusion-weighted imaging (b=1,000 sec/mm2), while the central area of liquefied necrosis displays as a hypo-signal. (D) The central liquefied necrotic area displayed as a hyper-signal on the apparent diffusion coefficient map. (E) Progressive enhancement in the parenchymal part and (F) no significant enhancement in the central liquefied and necrotic area (scale bar, 2 cm). T2WI, T2-weighted imaging.

After a multidisciplinary team discussion, the clinicians decided that surgical resection was the most appropriate treatment strategy. This patient subsequently underwent an open splenectomy with the surgical incision located under the left subcostal area. Macroscopically, the mass was round in shape, measuring ~11.0×9.5×9.6 cm, with solid gray-white tissue on the cut surface of the mass, clearly demarcated from the surrounding tissues, and a necrotic area visible in the center of the lesion within the mass. Histologically, tumor cells were scattered or arranged in faint bundles in a prominent lymphoplasmacytic infiltrate (Fig. 4). The tumor cells were shuttle-shaped with indistinct borders and abundant red cytoplasm. The nuclei were elongated and vesicular, with small but distinct nucleoli. Histopathological examination diagnosed splenic inflammatory pseudotumor-like follicular dendritic cell sarcoma (IPT-like FDCS). Immunohistochemical staining (3) using antibodies from Beijing Zhongshan Golden Bridge Biotechnology Co., Ltd. revealed positivity for CD21 (cat. no. ZA-0525; prediluted by the manufacturer), CD23 (cat. no. ZA-0516; prediluted by the manufacturer), CD35 (cat. no. ZA-0638; prediluted by the manufacturer) and a high Ki67 (cat. no. ZM-0378; prediluted by the manufacturer) proliferation index (~10%); furthermore, Epstein-Barr virus (EBV)-encoded RNA (EBER) was detected by in situ hybridization (cat. no. ZM-0105; dilution, 1:20) (4) (Fig. 4). The patient received postoperative anti-infective treatment; the patient's vital signs were stable and the patient recovered well, and the patient was discharged from the hospital 10 days after surgery. The patient was followed up for 12 months and is now in a healthy condition, with good treatment results, and no recurrence or metastasis was detected during an abdominal MRI as well as an abdominal ultrasound examination in the last month.

Figure 4.

Immunohistochemical and histology images. (A) CD21 positive with focal distribution (magnification, ×200; scale bar, 50 µm); (B) CD23 positive with scattered distribution (magnification, ×200; scale bar, 50 µm); (C) Ki-67 10% positive (magnification, ×100; scale bar, 50 µm). (D) Histological analysis indicated that the tumor cells were scattered or arranged in fuzzy bundles in a prominent lymphoplasmacytic infiltrate and the distribution of capillaries may be observed. The tumor cells were spindle-shaped with abundant cytoplasm. The nuclei were elongated and vesicular, and the nucleoli were small but obvious (H&E; magnification, ×200; scale bar, 50 µm).

Discussion

FDCS was first described by Monda et al (5) in 1986. FDCS is considered a rare, low-grade malignancy that originates from follicular dendritic cells in the follicle-generating centers of lymph nodes or the lymphoid tissue outside of lymph nodes. IPT-like FDCS is a new type defined by Cheuk et al (2) in 2001 and is closely related to EBV infection and certain histological features of inflammatory pseudotumor (IPT) (6). In a literature search performed as part of the present study, Google Scholar (https://scholar.google.com) and PubMed (https://pubmed.ncbi.nlm.nih.gov) were used as databases and all English-language literature was searched from 2001, the year when Cheuk et al (2) officially named the tumor IPT-like FDCS, to the present, using the search terms ‘IPT-like FDCS’ or ‘inflammatory pseudotumor-like follicular dendritic cell sarcoma’. Each report was carefully red, excluding duplicates and those that studies that were not on IPT-like FDCS. Finally, 106 cases with a definite diagnosis of IPT-FDCS published in the English language were retrieved and Table I details the epidemiologically relevant characteristics of these cases (further information provided in Table SI). The following features of the disease were identified by summarizing previous studies: i) This disease has a wide age range of distribution of 19–88 years (2,7), but patients are predominantly middle-aged and elderly, with a mean age of 54.59 years; ii) female patients were more common (~62.26%); iii) the most common organ affected was the spleen (62 cases), followed by the liver (26 cases), and other sites included the colon (8 cases), both the liver and spleen concomitantly (5 cases), pancreas and mesentery (2 cases each) and lung (1 case); and iv) the vast majority of IPT-like FDCS cases were associated with EBV infection and only three cases reported previously in the literature were negative for EBV-encoded RNA by in situ hybridization. EBV infection starts in the oropharynx, and subsequently, the virus enters the circulation of humans and binds to the CD21 receptor on B lymphocytes (8); therefore, positive expression of CD21 may be detected by immunohistochemistry to examine EBV infection. Of note, Takeuchi et al (9) reported an increase in the number of EBV-infected cells in IgG4-associated lymphadenopathy, suggesting that IgG4-associated disease may be associated with EBV. In addition, Choe et al (10) reported that a large number of IgG4-positive plasma cells were found in six EBV-positive patients with IPT-like FDCS, suggesting that EBV has a key role in IPT-like FDCS. EBV is associated not only with IPT-like FDCS but also with Burkitt's lymphoma, nasopharyngeal carcinoma and Hodgkin's disease (HD). In addition to the features mentioned above, another important finding of the present literature search was that, compared to developed countries, developing countries have higher rates of EBV infection and consequently a higher incidence of EBV-related diseases (11), including IPT-like FDCS. By analyzing the available relevant literature, it was indicated that IPT-like FDCS is more common in East Asia, accounting for 81.13% of worldwide cases, which may be due to the food culture (e.g., Chinese-style salted fish) and level of economic development in East Asian countries (12) (Table I).

Table I.

Epidemiologic features of inflammatory pseudotumor-like follicular dendritic cell sarcoma.

Table I.

Epidemiologic features of inflammatory pseudotumor-like follicular dendritic cell sarcoma.

Sex, n

RegionCases, nFemaleMaleLocation
East Asia865234Spleen (n=49), liver (n=24), colon (n=6), liver and spleen (n=4), peri-pancreas (n=1), lung (n=1), ileum and mesentery (n=1)
America13103Spleen (n=10), pancreas and spleen (n=1), colon (n=1), liver and spleen (n=1)
Europe633Spleen (n=3), liver (n=2), ileum and mesentery (n=1)
South Asia110Colon (n=1)

The imaging presentation was summarized based on previous reports in the literature (7,13). In most cases of IPT-like FDCS, the lesion appears on CT as a round, hypodense mass with well-defined borders, frequently with hemorrhage, necrosis and calcification. The MRI features of IPT-like FDCS were a well-defined soft tissue mass with fibrous envelope-like structures. Contrast enhancement on both CT and MRI indicated progressive enhancement of the parenchyma, demonstrating that the parenchyma of the tumor is rich in capillary blood supply, and the border becomes clearer in the arterial phase. On DWI, the parenchymal part of the tumor is diffusion-limited, while the liquefied necrotic area is not limited, suggesting that the solid part of the tumor has a higher tumor cell density. In the present study, the MRI signal of the solid part of the tumor was not homogeneous and multiple small patches of the hypersignal were visible on T2-weighted images Since the MR signal intensity varies with the composition of the parenchymal part (14), it was considered that this may be due to microhemorrhagic foci in the parenchymal part or related to the number of inflammatory cells. The central necrotic area does not exhibit a distinct hypointense signal on T1-weighted images but an isosignal, which was speculated to be due to the necrotic area of this tumor not being liquefied necrosis but coagulative necrosis, and a ring of granulation or fibrous tissue may be seen at the edge of this necrotic area. This ring of granulation/fibrous tissue exhibits a typical magnetic resonance signal pattern. The tumor was of a large size that it was rarely encountered in the previous literature, to an extent that adjacent tissues and organs are compressed, which may lead to the appearance of corresponding clinical symptoms. In addition, the tumor of the present case did not exhibit any aggressive biological behavior. This further supports that the IPT-like FDCS is relatively inert and/or has a slow growth rate (10).

IPT-like FDCS requires to be distinguished from hemangioma of the spleen, lymphoma of the spleen and metastases occurring on the spleen on imaging presentation. Hemangioma of the spleen is the most common benign tumor type occurring in the spleen. It is usually accompanied by multiple foci of punctate calcification. Due to the abundant blood sinuses and slow blood flow within the hemangioma, it is characterized by a significant hypersignal on T2-weighted images. Splenic lymphoma is the most common malignancy that occurs in the spleen. Splenic lymphomas may be divided into HD and non-Hodgkin's lymphoma. In patients with HD, the spleen is frequently the first or even the only organ involved. Splenic lymphoma has a variety of imaging presentations. When HD appears as an isolated large mass, it is difficult to distinguish it from IPT-like FDCS on CT in terms of the mass itself, but lymphoma is frequently associated with enlarged lymph nodes around the spleen or elsewhere, which is different from IPT-like FDCS. The spleen is a rare site of tumor metastasis, but splenic metastasis is the second most common malignancy of the spleen. These metastases usually present as multiple foci in the spleen and a single lesion is less common. Melanoma is one of the most common sources of splenic metastases (15). Metastases from melanoma have a unique imaging presentation, such as a hypersignal on T1-weighted images and a hyposignal on T2-weighted images, which is not difficult to distinguish from IPT-like FDCS. The diagnosis of splenic metastases is not difficult when the patient has a history of primary tumor or other organ metastases; otherwise, a pathological biopsy is required to make a definitive diagnosis.

IPT-like FDCS is a low-grade malignant tumor with a relatively inert biological behavior that has been reported in the previous literature to have lower metastasis and recurrence rates than classic FDCS, which exhibits more aggressive and higher mortality rates (2). In an earlier report in the literature, three out of nine patients with IPT-like FDCS experienced recurrence within three years, i.e., a recurrence rate of ~33% at three years (2). Chan et al (16) determined that indicators of poor prognosis were tumors with a diameter of >6 cm in with coagulative necrosis, tumor cells with significant heterogeneity and nuclear schistosomes >5/10 high-power fields. However, it remains elusive whether these indicators are also applicable to IPT-like FDCS occurring in the spleen. For the treatment of this tumor type, radical surgical resection is still considered the treatment of choice due to the controversial effects of radiotherapy and chemotherapy on IPT-like FDCS, and chemotherapy combined with radiotherapy may be considered for patients with recurrence or those who are not able to tolerate surgery, but the use of adjuvant radiotherapy and chemotherapy is still controversial (17). Adjuvant radiotherapy is thought to have a role in prolonging patient survival, but adjuvant chemotherapy has demonstrated inconsistent results, with no significant change in local recurrence rates or metastasis rates compared to previously reported rates. Therefore, it is essential that surgical resection of the tumor is complete, so it may be suggested that surgeons carefully examine the surgically resected specimens of this tumor type to ensure that the tumor is completely removed to improve patient survival.

Compared with previous relevant studies, the present case report suggests for the first time that the prevalence of IPT-like FDCS is significantly higher in East Asia than in other regions, which may be related to the increased prevalence of EBV-related diseases due to diet and lifestyle habits (18–20); in addition, the clinical characteristics, treatment and follow-up results of all previous case reports were reviewed; and finally, a younger age of the cases was observed. However, the clinical diagnostic methods of all previously reported cases were not compared and no gross anatomical images of the tumor after surgical resection were provided, which are limitations of the present study. The possibility of IPT-like FDCS should be considered when a single round-like well-defined mass-like lesion is present in the spleen of a female patient, particularly with the progressive enhancement of the parenchyma, although the disease is sporadic. Pathological immunohistology is ultimately required to confirm the diagnosis, i.e., by detection of immunological markers such as CD21, CD23 and CD35, as well as by in situ hybridization with EBV probes (21–23).

In summary, the present study reported a sporadic case of splenic IPT-like FDCS including its imaging features, and, more importantly, the literature review indicated for the first time, to the best of our knowledge, that the disease is more prevalent in the Asian population. The present case has unique features that we hope will help physicians further understand the diagnosis and treatment of this disease.

Supplementary Material

Supporting Data

Acknowledgements

Not applicable.

Funding

Funding: No funding was received.

Availability of data and materials

All data generated or analyzed during this study are included in this published article.

Authors' contributions

JRZ and LJ designed the study and wrote the manuscript. LH, JW and YQ performed all of the experiments. JRZ performed the literature review. LJ and XJM were involved in the acquisition of the data and confirm the authenticity of all the raw data. JRZ revised the manuscript and interpreted the data. All authors agreed to the journal to which the article was submitted and agreed to take responsibility for all aspects of the work. All authors read and approved the final version of the manuscript.

Ethics approval and consent to participate

Not applicable.

Patient consent for publication

The patient provided written informed consent for the case study to be published.

Competing interests

The authors declare that they have no competing interests.

References

1 

Chen T and Gopal P: Follicular dendritic cell sarcoma. Arch Pathol Lab Med. 141:596–599. 2017. View Article : Google Scholar : PubMed/NCBI

2 

Cheuk W, Chan JK, Shek TW, Chang JH, Tsou MH, Yuen NW, Ng WF, Chan AC and Prat J: Inflammatory pseudotumor-like follicular dendritic cell tumor: A distinctive low-grade malignant intra-abdominal neoplasm with consistent Epstein-Barr virus association. Am J Surg Pathol. 25:721–731. 2001. View Article : Google Scholar : PubMed/NCBI

3 

Khorooshi R and Owens T: Detection and cellular localization of phospho-STAT2 in the central nervous system by immunohistochemical staining. Methods Mol Biol. 967:179–188. 2013. View Article : Google Scholar : PubMed/NCBI

4 

Niedobitek G and Herbst H: In situ detection of Epstein-Barr virus and phenotype determination of EBV-infected cells. Methods Mol Biol. 326:115–137. 2006.PubMed/NCBI

5 

Monda L, Warnke R and Rosai J: A primary lymph node malignancy with features suggestive of dendritic reticulum cell differentiation. A report of 4 cases. Am J Pathol. 122:562–572. 1986.PubMed/NCBI

6 

Nguyen BD, Roarke MC and Yang M: Synchronous hepatic and splenic inflammatory pseudotumour-like follicular dendritic cell sarcomas. Liver Int. 35:19172015. View Article : Google Scholar : PubMed/NCBI

7 

Xu L, Ge R and Gao S: Imaging features and radiologic-pathologic correlations of inflammatory pseudotumor-like follicular dendritic cell sarcoma. BMC Med Imaging. 21:522021. View Article : Google Scholar : PubMed/NCBI

8 

Wang X, Kenyon WJ, Li Q, Müllberg J and Hutt-Fletcher LM: Epstein-Barr virus uses different complexes of glycoproteins gH and gL to infect B lymphocytes and epithelial cells. J Virol. 72:5552–5558. 1998. View Article : Google Scholar : PubMed/NCBI

9 

Takeuchi M, Sato Y, Yasui H, Ozawa H, Ohno K, Takata K, Gion Y, Orita Y, Tachibana T, Itoh T, et al: Epstein-Barr Virus-infected Cells in IgG4-related Lymphadenopathy with comparison with extranodal IgG4-related disease. Am J Surg Pathol. 38:946–955. 2014. View Article : Google Scholar : PubMed/NCBI

10 

Choe JY, Go H, Jeon YK, Yun JY, Kim YA, Kim HJ, Huh J, Lee H, Shin DH and Kim JE: Inflammatory pseudotumor-like follicular dendritic cell sarcoma of the spleen: A report of six cases with increased IgG4-positive plasma cells. Pathol Int. 63:245–251. 2013. View Article : Google Scholar : PubMed/NCBI

11 

Balfour HH Jr and Verghese P: Primary Epstein-Barr virus infection: Impact of age at acquisition, coinfection, and viral load. J Infect Dis. 207:1787–1789. 2013. View Article : Google Scholar : PubMed/NCBI

12 

Chang ET, Ye W, Zeng YX and Adami HO: The evolving epidemiology of nasopharyngeal carcinoma. Cancer Epidemiol Biomarkers Prev. 30:1035–1047. 2021. View Article : Google Scholar : PubMed/NCBI

13 

Barat M, Hoeffel C, Aissaoui M, Dohan A, Oudjit A, Dautry R, Paisant A, Malgras B, Cottereau AS and Soyer P: Focal splenic lesions: Imaging spectrum of diseases on CT, MRI and PET/CT. Diagn Interv Imaging. 102:501–513. 2021. View Article : Google Scholar : PubMed/NCBI

14 

Oz Puyan F, Bilgi S, Unlu E, Yalcin O, Altaner S, Demir M and Cakir B: Inflammatory pseudotumor of the spleen with EBV positivity: Report of a case. Eur J Haematol. 72:285–291. 2004. View Article : Google Scholar : PubMed/NCBI

15 

Schön CA, Görg C, Ramaswamy A and Barth PJ: Splenic metastases in a large unselected autopsy series. Pathol Res Pract. 202:351–356. 2006. View Article : Google Scholar : PubMed/NCBI

16 

Chan JK, Fletcher CD, Nayler SJ and Cooper K: Follicular dendritic cell sarcoma. Clinicopathologic analysis of 17 cases suggesting a malignant potential higher than currently recognized. Cancer. 79:294–313. 1997. View Article : Google Scholar : PubMed/NCBI

17 

Youens KE and Waugh MS: Extranodal follicular dendritic cell sarcoma. Arch Pathol Lab Med. 132:1683–1687. 2008. View Article : Google Scholar : PubMed/NCBI

18 

Kim RH, Chang MS, Kim HJ, Song KS, Kim YS, Choi BY and Kim WH: Medical history and lifestyle factors contributing to Epstein-Barr virus-associated gastric carcinoma and conventional gastric carcinoma in Korea. Anticancer Res. 30:2469–2475. 2010.PubMed/NCBI

19 

Camargo MC, Koriyama C, Matsuo K, Kim WH, Herrera-Goepfert R, Liao LM; Eurgast-EPIC Group, ; Yu J, Carrasquilla G, Sung JJ, et al: Case-case comparison of smoking and alcohol risk associations with Epstein-Barr virus-positive gastric cancer. Int J Cancer. 134:948–953. 2014. View Article : Google Scholar : PubMed/NCBI

20 

Khan G and Hashim MJ: Global burden of deaths from Epstein-Barr virus attributable malignancies 1990–2010. Infect Agent Cancer. 9:382014. View Article : Google Scholar : PubMed/NCBI

21 

Granados R, Aramburu JA, Rodríguez JM and Nieto MA: Cytopathology of a primary follicular dendritic cell sarcoma of the liver of the inflammatory pseudotumor-like type. Diagn Cytopathol. 36:42–46. 2008. View Article : Google Scholar : PubMed/NCBI

22 

Kiryu S, Takeuchi K, Shibahara J, Uozaki H, Fukayama M, Tanaka H, Maeda E, Akahane M and Ohtomo K: Epstein-Barr virus-positive inflammatory pseudotumour and inflammatory pseudotumour-like follicular dendritic cell tumour. Br J Radiol. 82:e67–e71. 2009. View Article : Google Scholar : PubMed/NCBI

23 

Vardas K, Manganas D, Papadimitriou G, Kalatzis V, Kyriakopoulos G, Chantziara M, Exarhos D and Drakopoulos S: Splenic inflammatory pseudotumor-like follicular dendritic cell tumor. Case Rep Oncol. 7:410–416. 2014. View Article : Google Scholar : PubMed/NCBI

Related Articles

  • Abstract
  • View
  • Download
  • Twitter
Copy and paste a formatted citation
Spandidos Publications style
Zhang J, He L, Ma X, Wang J, Qiu Y and Jiang L: Imaging findings of inflammatory pseudotumor‑like follicular dendritic cell sarcoma of the spleen: A case report and literature review. Oncol Lett 24: 399, 2022.
APA
Zhang, J., He, L., Ma, X., Wang, J., Qiu, Y., & Jiang, L. (2022). Imaging findings of inflammatory pseudotumor‑like follicular dendritic cell sarcoma of the spleen: A case report and literature review. Oncology Letters, 24, 399. https://doi.org/10.3892/ol.2022.13519
MLA
Zhang, J., He, L., Ma, X., Wang, J., Qiu, Y., Jiang, L."Imaging findings of inflammatory pseudotumor‑like follicular dendritic cell sarcoma of the spleen: A case report and literature review". Oncology Letters 24.5 (2022): 399.
Chicago
Zhang, J., He, L., Ma, X., Wang, J., Qiu, Y., Jiang, L."Imaging findings of inflammatory pseudotumor‑like follicular dendritic cell sarcoma of the spleen: A case report and literature review". Oncology Letters 24, no. 5 (2022): 399. https://doi.org/10.3892/ol.2022.13519
Copy and paste a formatted citation
x
Spandidos Publications style
Zhang J, He L, Ma X, Wang J, Qiu Y and Jiang L: Imaging findings of inflammatory pseudotumor‑like follicular dendritic cell sarcoma of the spleen: A case report and literature review. Oncol Lett 24: 399, 2022.
APA
Zhang, J., He, L., Ma, X., Wang, J., Qiu, Y., & Jiang, L. (2022). Imaging findings of inflammatory pseudotumor‑like follicular dendritic cell sarcoma of the spleen: A case report and literature review. Oncology Letters, 24, 399. https://doi.org/10.3892/ol.2022.13519
MLA
Zhang, J., He, L., Ma, X., Wang, J., Qiu, Y., Jiang, L."Imaging findings of inflammatory pseudotumor‑like follicular dendritic cell sarcoma of the spleen: A case report and literature review". Oncology Letters 24.5 (2022): 399.
Chicago
Zhang, J., He, L., Ma, X., Wang, J., Qiu, Y., Jiang, L."Imaging findings of inflammatory pseudotumor‑like follicular dendritic cell sarcoma of the spleen: A case report and literature review". Oncology Letters 24, no. 5 (2022): 399. https://doi.org/10.3892/ol.2022.13519
Follow us
  • Twitter
  • LinkedIn
  • Facebook
About
  • Spandidos Publications
  • Careers
  • Cookie Policy
  • Privacy Policy
How can we help?
  • Help
  • Live Chat
  • Contact
  • Email to our Support Team