Spandidos Publications Logo
  • About
    • About Spandidos
    • Aims and Scopes
    • Abstracting and Indexing
    • Editorial Policies
    • Reprints and Permissions
    • Job Opportunities
    • Terms and Conditions
    • Contact
  • Journals
    • All Journals
    • Oncology Letters
      • Oncology Letters
      • Information for Authors
      • Editorial Policies
      • Editorial Board
      • Aims and Scope
      • Abstracting and Indexing
      • Bibliographic Information
      • Archive
    • International Journal of Oncology
      • International Journal of Oncology
      • Information for Authors
      • Editorial Policies
      • Editorial Board
      • Aims and Scope
      • Abstracting and Indexing
      • Bibliographic Information
      • Archive
    • Molecular and Clinical Oncology
      • Molecular and Clinical Oncology
      • Information for Authors
      • Editorial Policies
      • Editorial Board
      • Aims and Scope
      • Abstracting and Indexing
      • Bibliographic Information
      • Archive
    • Experimental and Therapeutic Medicine
      • Experimental and Therapeutic Medicine
      • Information for Authors
      • Editorial Policies
      • Editorial Board
      • Aims and Scope
      • Abstracting and Indexing
      • Bibliographic Information
      • Archive
    • International Journal of Molecular Medicine
      • International Journal of Molecular Medicine
      • Information for Authors
      • Editorial Policies
      • Editorial Board
      • Aims and Scope
      • Abstracting and Indexing
      • Bibliographic Information
      • Archive
    • Biomedical Reports
      • Biomedical Reports
      • Information for Authors
      • Editorial Policies
      • Editorial Board
      • Aims and Scope
      • Abstracting and Indexing
      • Bibliographic Information
      • Archive
    • Oncology Reports
      • Oncology Reports
      • Information for Authors
      • Editorial Policies
      • Editorial Board
      • Aims and Scope
      • Abstracting and Indexing
      • Bibliographic Information
      • Archive
    • Molecular Medicine Reports
      • Molecular Medicine Reports
      • Information for Authors
      • Editorial Policies
      • Editorial Board
      • Aims and Scope
      • Abstracting and Indexing
      • Bibliographic Information
      • Archive
    • World Academy of Sciences Journal
      • World Academy of Sciences Journal
      • Information for Authors
      • Editorial Policies
      • Editorial Board
      • Aims and Scope
      • Abstracting and Indexing
      • Bibliographic Information
      • Archive
    • International Journal of Functional Nutrition
      • International Journal of Functional Nutrition
      • Information for Authors
      • Editorial Policies
      • Editorial Board
      • Aims and Scope
      • Abstracting and Indexing
      • Bibliographic Information
      • Archive
    • International Journal of Epigenetics
      • International Journal of Epigenetics
      • Information for Authors
      • Editorial Policies
      • Editorial Board
      • Aims and Scope
      • Abstracting and Indexing
      • Bibliographic Information
      • Archive
    • Medicine International
      • Medicine International
      • Information for Authors
      • Editorial Policies
      • Editorial Board
      • Aims and Scope
      • Abstracting and Indexing
      • Bibliographic Information
      • Archive
  • Articles
  • Information
    • Information for Authors
    • Information for Reviewers
    • Information for Librarians
    • Information for Advertisers
    • Conferences
  • Language Editing
Spandidos Publications Logo
  • About
    • About Spandidos
    • Aims and Scopes
    • Abstracting and Indexing
    • Editorial Policies
    • Reprints and Permissions
    • Job Opportunities
    • Terms and Conditions
    • Contact
  • Journals
    • All Journals
    • Biomedical Reports
      • Information for Authors
      • Editorial Policies
      • Editorial Board
      • Aims and Scope
      • Abstracting and Indexing
      • Bibliographic Information
      • Archive
    • Experimental and Therapeutic Medicine
      • Information for Authors
      • Editorial Policies
      • Editorial Board
      • Aims and Scope
      • Abstracting and Indexing
      • Bibliographic Information
      • Archive
    • International Journal of Epigenetics
      • Information for Authors
      • Editorial Policies
      • Editorial Board
      • Aims and Scope
      • Abstracting and Indexing
      • Bibliographic Information
      • Archive
    • International Journal of Functional Nutrition
      • Information for Authors
      • Editorial Policies
      • Editorial Board
      • Aims and Scope
      • Abstracting and Indexing
      • Bibliographic Information
      • Archive
    • International Journal of Molecular Medicine
      • Information for Authors
      • Editorial Policies
      • Editorial Board
      • Aims and Scope
      • Abstracting and Indexing
      • Bibliographic Information
      • Archive
    • International Journal of Oncology
      • Information for Authors
      • Editorial Policies
      • Editorial Board
      • Aims and Scope
      • Abstracting and Indexing
      • Bibliographic Information
      • Archive
    • Medicine International
      • Information for Authors
      • Editorial Policies
      • Editorial Board
      • Aims and Scope
      • Abstracting and Indexing
      • Bibliographic Information
      • Archive
    • Molecular and Clinical Oncology
      • Information for Authors
      • Editorial Policies
      • Editorial Board
      • Aims and Scope
      • Abstracting and Indexing
      • Bibliographic Information
      • Archive
    • Molecular Medicine Reports
      • Information for Authors
      • Editorial Policies
      • Editorial Board
      • Aims and Scope
      • Abstracting and Indexing
      • Bibliographic Information
      • Archive
    • Oncology Letters
      • Information for Authors
      • Editorial Policies
      • Editorial Board
      • Aims and Scope
      • Abstracting and Indexing
      • Bibliographic Information
      • Archive
    • Oncology Reports
      • Information for Authors
      • Editorial Policies
      • Editorial Board
      • Aims and Scope
      • Abstracting and Indexing
      • Bibliographic Information
      • Archive
    • World Academy of Sciences Journal
      • Information for Authors
      • Editorial Policies
      • Editorial Board
      • Aims and Scope
      • Abstracting and Indexing
      • Bibliographic Information
      • Archive
  • Articles
  • Information
    • For Authors
    • For Reviewers
    • For Librarians
    • For Advertisers
    • Conferences
  • Language Editing
Login Register Submit
  • This site uses cookies
  • You can change your cookie settings at any time by following the instructions in our Cookie Policy. To find out more, you may read our Privacy Policy.

    I agree
Search articles by DOI, keyword, author or affiliation
Search
Advanced Search
presentation
Oncology Letters
Join Editorial Board Propose a Special Issue
Print ISSN: 1792-1074 Online ISSN: 1792-1082
Journal Cover
February-2023 Volume 25 Issue 2

Full Size Image

Sign up for eToc alerts
Recommend to Library

Journals

International Journal of Molecular Medicine

International Journal of Molecular Medicine

International Journal of Molecular Medicine is an international journal devoted to molecular mechanisms of human disease.

International Journal of Oncology

International Journal of Oncology

International Journal of Oncology is an international journal devoted to oncology research and cancer treatment.

Molecular Medicine Reports

Molecular Medicine Reports

Covers molecular medicine topics such as pharmacology, pathology, genetics, neuroscience, infectious diseases, molecular cardiology, and molecular surgery.

Oncology Reports

Oncology Reports

Oncology Reports is an international journal devoted to fundamental and applied research in Oncology.

Experimental and Therapeutic Medicine

Experimental and Therapeutic Medicine

Experimental and Therapeutic Medicine is an international journal devoted to laboratory and clinical medicine.

Oncology Letters

Oncology Letters

Oncology Letters is an international journal devoted to Experimental and Clinical Oncology.

Biomedical Reports

Biomedical Reports

Explores a wide range of biological and medical fields, including pharmacology, genetics, microbiology, neuroscience, and molecular cardiology.

Molecular and Clinical Oncology

Molecular and Clinical Oncology

International journal addressing all aspects of oncology research, from tumorigenesis and oncogenes to chemotherapy and metastasis.

World Academy of Sciences Journal

World Academy of Sciences Journal

Multidisciplinary open-access journal spanning biochemistry, genetics, neuroscience, environmental health, and synthetic biology.

International Journal of Functional Nutrition

International Journal of Functional Nutrition

Open-access journal combining biochemistry, pharmacology, immunology, and genetics to advance health through functional nutrition.

International Journal of Epigenetics

International Journal of Epigenetics

Publishes open-access research on using epigenetics to advance understanding and treatment of human disease.

Medicine International

Medicine International

An International Open Access Journal Devoted to General Medicine.

Journal Cover
February-2023 Volume 25 Issue 2

Full Size Image

Sign up for eToc alerts
Recommend to Library

  • Article
  • Citations
    • Cite This Article
    • Download Citation
    • Create Citation Alert
    • Remove Citation Alert
    • Cited By
  • Similar Articles
    • Related Articles (in Spandidos Publications)
    • Similar Articles (Google Scholar)
    • Similar Articles (PubMed)
  • Download PDF
  • Download XML
  • View XML
Case Report Open Access

An unusual non‑metastatic, mismatch repair‑deficient primary gastric squamous cell carcinoma presenting as a large, exophytic, bleeding tumor: A case report

  • Authors:
    • Jagoda Jakubik
    • Alicja Majos
    • Dorota Jesionek-Kupnicka
    • Ewa Wrona
    • Agnieszka Kaufman-Szymczyk
    • Katarzyna Lubecka-Gajewska
    • Jaroslaw Jakubik
  • View Affiliations / Copyright

    Affiliations: Department of Biomedical Chemistry, Faculty of Health Sciences, Medical University of Lodz, 92‑215 Lodz, Poland, Department of General and Transplant Surgery, Medical University of Lodz, 90-153 Lodz, Poland, Department of Pathology, Chair of Oncology, Medical University of Lodz, 92‑213 Lodz, Poland, Department of Chemotherapy, Medical University of Lodz, 93‑513 Lodz, Poland, Department of Surgical Oncology, Medical University of Lodz, 93‑513 Lodz, Poland
    Copyright: © Jakubik et al. This is an open access article distributed under the terms of Creative Commons Attribution License.
  • Article Number: 82
    |
    Published online on: January 16, 2023
       https://doi.org/10.3892/ol.2023.13668
  • Expand metrics +
Metrics: Total Views: 0 (Spandidos Publications: | PMC Statistics: )
Metrics: Total PDF Downloads: 0 (Spandidos Publications: | PMC Statistics: )
Cited By (CrossRef): 0 citations Loading Articles...

This article is mentioned in:



Abstract

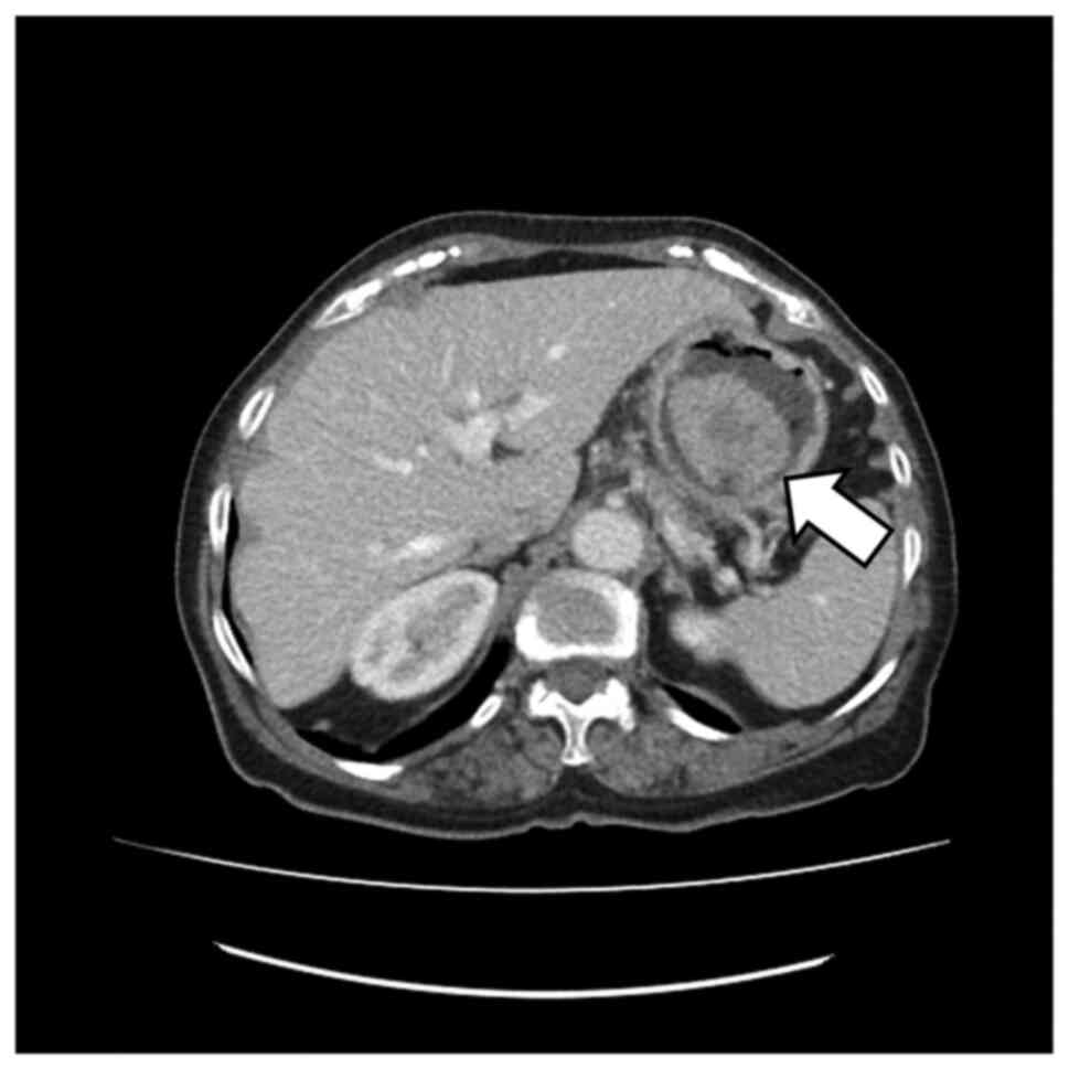
Primary gastric squamous cell carcinoma (GSCC) is an extremely rare malignancy with a poor prognosis. Despite the improved knowledge regarding its pathogenesis and biology, the treatment options remain limited. The present study reported on the unique case of a mismatch repair‑deficient (dMMR) primary GSCC in a 79‑year‑old woman reporting fatigue and symptoms of upper gastrointestinal tract bleeding. Physical examination revealed abdominal pain at palpation. Gastroscopy revealed a large, exophytic, bleeding tumor. Medical imaging confirmed a mushroom‑like polyp in the lumen of the stomach, with no signs of disease spread. Total gastrectomy and D2 lymphadenectomy were performed. Pathological examination of the post‑operational material confirmed a well‑differentiated SCC invading the mucosa, submucosa and muscle layer. There were no signs of dissemination observed in any of the 32 excised lymph nodes. Notably, according to the last follow‑up, the patient remains well, supporting the 5‑year GSCC survival rate statistics. To the best of our knowledge, this is the first such GSCC case reported in the Surgical Oncology Outpatient Clinic (Copernicus Memorial Hospital, Lodz, Poland) and these findings add to the limited data on GSCC. Although this is a very rare condition, it should always be considered during the process of diagnosis of gastric tumors.
View Figures

Figure 1

Figure 2

Figure 3

Figure 4

Figure 5

Figure 6

View References

1 

Siegel RL, Miller KD, Fuchs HE and Jemal A: Cancer statistics, 2021. CA Cancer J Clin. 71:7–33. 2021. View Article : Google Scholar : PubMed/NCBI

2 

Yu H, Xu L, Yin S, Jiang J, Hong C, He Y and Zhang C: Risk factors and prognostic impact of postoperative complications in patients with advanced gastric cancer receiving neoadjuvant chemotherapy. Curr Oncol. 29:6496–6507. 2022. View Article : Google Scholar : PubMed/NCBI

3 

Rihawi K, Ricci AD, Rizzo A, Brocchi S, Marasco G, Pastore LV, Llimpe FLR, Golfieri R and Renzulli M: Tumor-associated macrophages and inflammatory microenvironment in gastric cancer: Novel translational implications. Int J Mol Sci. 22:38052021. View Article : Google Scholar : PubMed/NCBI

4 

Ricci AD, Rizzo A, Rojas Llimpe FL, Di Fabio F, De Biase D and Rihawi K: Novel HER2-directed treatments in advanced gastric carcinoma: AnotHER paradigm shift? Cancers (Basel). 13:16642021. View Article : Google Scholar : PubMed/NCBI

5 

Ricci AD, Rizzo A and Brandi G: DNA damage response alterations in gastric cancer: Knocking down a new wall. Future Oncol. 17:865–868. 2021. View Article : Google Scholar : PubMed/NCBI

6 

Segura S, Pender J, Dodge J, Brandwein SL and El-Fanek H: Primary squamous cell carcinoma of the stomach: A case report and review of the literature. Conn Med. 80:209–212. 2016.PubMed/NCBI

7 

Altshuler JH and Shaka JA: Squamous cell carcinoma of the stomach. Review of the literature and report of a case. Cancer. 19:831–838. 1966. View Article : Google Scholar : PubMed/NCBI

8 

Boswell JT and Helwig EB: Squamous cell carcinoma and adenoacanthoma of the stomach. A clinicopathologic study. Cancer. 18:181–192. 1965. View Article : Google Scholar : PubMed/NCBI

9 

Straus R, Heschel S and Fortmann DJ: Primary adenosquamous carcinoma of the stomach. A case report and review. Cancer. 24:985–995. 1969. View Article : Google Scholar : PubMed/NCBI

10 

Muto M, Hasebe T, Muro K, Boku N, Ohtsu A, Fujii T, Ono M, Taijiri H, Mukai K and Yoshida S: Primary squamous cell carcinoma of the stomach: A case report with a review of Japanese and Western literature. Hepatogastroenterology. 46:3015–3018. 1999.PubMed/NCBI

11 

Amuluru K and Gupta H: Primary squamous cell carcinoma of the stomach: A case report. J Gastrointest Cancer. 41:24–26. 2010. View Article : Google Scholar : PubMed/NCBI

12 

Bonnheim DC, Sarac OK and Fett W: Primary squamous cell carcinoma of the stomach. Am J Gastroenterol. 80:91–94. 1985.PubMed/NCBI

13 

Schmidt C, Schmid A, Lüttges JE, Kremer B and Henne-Bruns D: Primary squamous cell carcinoma of the stomach. Report of a case and review of literature. Hepatogastroenterology. 48:1033–1036. 2001.PubMed/NCBI

14 

González-Sánchez JA, Vitón R, Collantes E and Rodríguez-Montes JA: Primary squamous cell carcinoma of the stomach. Clin Med Insights Oncol. 11:11795549166860762017. View Article : Google Scholar : PubMed/NCBI

15 

Hwang SH, Lee JH, Kim K, Shin DH, Kim JY, Sol MY and Choi KU: Primary squamous cell carcinoma of the stomach: A case report. Oncol Lett. 8:2122–2124. 2014. View Article : Google Scholar : PubMed/NCBI

16 

Wakabayashi H, Matsutani T, Fujita I, Kanazawa Y, Nomura T, Hagiwara N, Hosone M, Katayama H and Uchida E: A rare case of primary squamous cell carcinoma of the stomach and a review of the 56 cases reported in Japan. J Gastric Cancer. 14:58–62. 2014. View Article : Google Scholar : PubMed/NCBI

17 

Dong C, Jiang M, Tan Y, Kong Y, Yang Z, Zhong C, Li D and Yuan Y: The clinicopathological features and prognostic factors of gastric squamous cell carcinoma. Medicine (Baltimore). 95:e47202016. View Article : Google Scholar : PubMed/NCBI

18 

Kato A, Sato N, Sugawara T, Takahashi K, Kito M, Makino K, Sato T, Shimizu D, Shirasawa H, Miura H, et al: Isolated loss of PMS2 immunohistochemical expression is frequently caused by heterogenous MLH1 promoter hypermethylation in Lynch syndrome screening for endometrial cancer patients. Am J Surg Pathol. 40:770–776. 2016. View Article : Google Scholar : PubMed/NCBI

19 

Sharma M, Yang Z and Miyamoto H: Loss of DNA mismatch repair proteins in prostate cancer. Medicine (Baltimore). 99:e201242020. View Article : Google Scholar : PubMed/NCBI

20 

Callacondo D, Ganoza-Salas A, Anicama-Lima W, Quispe-Mauricio A and Longacre TA: Primary squamous cell carcinoma of the stomach with paraneoplastic leukocytosis: A case report and review of literature. Hum Pathol. 40:1494–1498. 2009. View Article : Google Scholar : PubMed/NCBI

21 

Parks RE: Squamous neoplasms of the stomach. Am J Roentgenol Radium Ther Nucl Med. 101:447–449. 1967. View Article : Google Scholar : PubMed/NCBI

22 

Takita J, Kato H, Miyazaki T, Nakajima M, Fukai Y, Masuda N, Manda R, Fukuchi M and Kuwano H: Primary squamous cell carcinoma of the stomach: A case report with immunohistochemical and molecular biologic studies. Hepatogastroenterology. 52:969–974. 2005.PubMed/NCBI

23 

Volpe CM, Hameer HR, Masetti P, Pell M, Shaposhnikov YD and Doerr RJ: Squamous cell carcinoma of the stomach. Am Surg. 61:1076–1078. 1995.PubMed/NCBI

24 

Chen Y, Zhu H, Xu F, Cao Y, Gu X, Wan Y and Gou H: Clinicopathological characteristics, treatment, and prognosis of 21 patients with primary gastric squamous cell carcinoma. Gastroenterol Res Pract. 2016:3062542016. View Article : Google Scholar

25 

von Waagner W, Wang Z and Picon AI: A rare case of a primary squamous cell carcinoma of the stomach presenting as a submucosal mas. Case Rep Surg. 2015:4823422015.PubMed/NCBI

26 

Karaca M, Tural D, Kocoglu H, Selcukbiricik F, Bilgetekin I and Özet A: Adjuvant chemotherapy for gastric cancer in elderly patients has same benefits as in younger patients. J Cancer Res Ther. 14:593–596. 2018. View Article : Google Scholar : PubMed/NCBI

27 

Yang J, Liu J, Gao S, Yang Y, Kong W, Ren W, Zhu L, Yang M, Wei J, Zou Z, et al: Use of simultaneous radiation boost achieves high treatment response rate in patients with metastatic gastric cancer. J Cancer Res Ther. 14:36–39. 2018. View Article : Google Scholar : PubMed/NCBI

28 

Meng Y, Zhang J, Wang H, Zhang Y, Sun R, Zhang Z, Gao F, Huang C and Zhang S: Poorer prognosis in patients with advanced gastric squamous cell carcinoma compared with adenocarcinoma of the stomach: Case report. Medicine (Baltimore). 96:e92242017. View Article : Google Scholar : PubMed/NCBI

29 

Guzman Rojas P, Parikh J, Vishnubhotla P and Oharriz JJ: Primary gastric squamous cell carcinoma. Cureus. 10:e23892018.PubMed/NCBI

30 

Gülçiçek OB, Solmaz A, Özdoğan K, Erçetin C, Yavuz E, Yiğitbaş H, Çelebi F and Altınay S: Primary squamous cell carcinoma of the stomach. Ulus Cerrahi Derg. 32:221–223. 2015.PubMed/NCBI

31 

Zito Marino F, Amato M, Ronchi A, Panarese I, Ferraraccio F, De Vita F, Tirino G, Martinelli E, Troiani T, Facchini G, et al: Microsatellite status detection in gastrointestinal cancers: PCR/NGS is mandatory in negative/patchy MMR immunohistochemistry. Cancers (Basel). 14:22042022. View Article : Google Scholar : PubMed/NCBI

Related Articles

  • Abstract
  • View
  • Download
  • Twitter
Copy and paste a formatted citation
Spandidos Publications style
Jakubik J, Majos A, Jesionek-Kupnicka D, Wrona E, Kaufman-Szymczyk A, Lubecka-Gajewska K and Jakubik J: An unusual non‑metastatic, mismatch repair‑deficient primary gastric squamous cell carcinoma presenting as a large, exophytic, bleeding tumor: A case report. Oncol Lett 25: 82, 2023.
APA
Jakubik, J., Majos, A., Jesionek-Kupnicka, D., Wrona, E., Kaufman-Szymczyk, A., Lubecka-Gajewska, K., & Jakubik, J. (2023). An unusual non‑metastatic, mismatch repair‑deficient primary gastric squamous cell carcinoma presenting as a large, exophytic, bleeding tumor: A case report. Oncology Letters, 25, 82. https://doi.org/10.3892/ol.2023.13668
MLA
Jakubik, J., Majos, A., Jesionek-Kupnicka, D., Wrona, E., Kaufman-Szymczyk, A., Lubecka-Gajewska, K., Jakubik, J."An unusual non‑metastatic, mismatch repair‑deficient primary gastric squamous cell carcinoma presenting as a large, exophytic, bleeding tumor: A case report". Oncology Letters 25.2 (2023): 82.
Chicago
Jakubik, J., Majos, A., Jesionek-Kupnicka, D., Wrona, E., Kaufman-Szymczyk, A., Lubecka-Gajewska, K., Jakubik, J."An unusual non‑metastatic, mismatch repair‑deficient primary gastric squamous cell carcinoma presenting as a large, exophytic, bleeding tumor: A case report". Oncology Letters 25, no. 2 (2023): 82. https://doi.org/10.3892/ol.2023.13668
Copy and paste a formatted citation
x
Spandidos Publications style
Jakubik J, Majos A, Jesionek-Kupnicka D, Wrona E, Kaufman-Szymczyk A, Lubecka-Gajewska K and Jakubik J: An unusual non‑metastatic, mismatch repair‑deficient primary gastric squamous cell carcinoma presenting as a large, exophytic, bleeding tumor: A case report. Oncol Lett 25: 82, 2023.
APA
Jakubik, J., Majos, A., Jesionek-Kupnicka, D., Wrona, E., Kaufman-Szymczyk, A., Lubecka-Gajewska, K., & Jakubik, J. (2023). An unusual non‑metastatic, mismatch repair‑deficient primary gastric squamous cell carcinoma presenting as a large, exophytic, bleeding tumor: A case report. Oncology Letters, 25, 82. https://doi.org/10.3892/ol.2023.13668
MLA
Jakubik, J., Majos, A., Jesionek-Kupnicka, D., Wrona, E., Kaufman-Szymczyk, A., Lubecka-Gajewska, K., Jakubik, J."An unusual non‑metastatic, mismatch repair‑deficient primary gastric squamous cell carcinoma presenting as a large, exophytic, bleeding tumor: A case report". Oncology Letters 25.2 (2023): 82.
Chicago
Jakubik, J., Majos, A., Jesionek-Kupnicka, D., Wrona, E., Kaufman-Szymczyk, A., Lubecka-Gajewska, K., Jakubik, J."An unusual non‑metastatic, mismatch repair‑deficient primary gastric squamous cell carcinoma presenting as a large, exophytic, bleeding tumor: A case report". Oncology Letters 25, no. 2 (2023): 82. https://doi.org/10.3892/ol.2023.13668
Follow us
  • Twitter
  • LinkedIn
  • Facebook
About
  • Spandidos Publications
  • Careers
  • Cookie Policy
  • Privacy Policy
How can we help?
  • Help
  • Live Chat
  • Contact
  • Email to our Support Team