Spandidos Publications Logo
  • About
    • About Spandidos
    • Aims and Scopes
    • Abstracting and Indexing
    • Editorial Policies
    • Reprints and Permissions
    • Job Opportunities
    • Terms and Conditions
    • Contact
  • Journals
    • All Journals
    • Oncology Letters
      • Oncology Letters
      • Information for Authors
      • Editorial Policies
      • Editorial Board
      • Aims and Scope
      • Abstracting and Indexing
      • Bibliographic Information
      • Archive
    • International Journal of Oncology
      • International Journal of Oncology
      • Information for Authors
      • Editorial Policies
      • Editorial Board
      • Aims and Scope
      • Abstracting and Indexing
      • Bibliographic Information
      • Archive
    • Molecular and Clinical Oncology
      • Molecular and Clinical Oncology
      • Information for Authors
      • Editorial Policies
      • Editorial Board
      • Aims and Scope
      • Abstracting and Indexing
      • Bibliographic Information
      • Archive
    • Experimental and Therapeutic Medicine
      • Experimental and Therapeutic Medicine
      • Information for Authors
      • Editorial Policies
      • Editorial Board
      • Aims and Scope
      • Abstracting and Indexing
      • Bibliographic Information
      • Archive
    • International Journal of Molecular Medicine
      • International Journal of Molecular Medicine
      • Information for Authors
      • Editorial Policies
      • Editorial Board
      • Aims and Scope
      • Abstracting and Indexing
      • Bibliographic Information
      • Archive
    • Biomedical Reports
      • Biomedical Reports
      • Information for Authors
      • Editorial Policies
      • Editorial Board
      • Aims and Scope
      • Abstracting and Indexing
      • Bibliographic Information
      • Archive
    • Oncology Reports
      • Oncology Reports
      • Information for Authors
      • Editorial Policies
      • Editorial Board
      • Aims and Scope
      • Abstracting and Indexing
      • Bibliographic Information
      • Archive
    • Molecular Medicine Reports
      • Molecular Medicine Reports
      • Information for Authors
      • Editorial Policies
      • Editorial Board
      • Aims and Scope
      • Abstracting and Indexing
      • Bibliographic Information
      • Archive
    • World Academy of Sciences Journal
      • World Academy of Sciences Journal
      • Information for Authors
      • Editorial Policies
      • Editorial Board
      • Aims and Scope
      • Abstracting and Indexing
      • Bibliographic Information
      • Archive
    • International Journal of Functional Nutrition
      • International Journal of Functional Nutrition
      • Information for Authors
      • Editorial Policies
      • Editorial Board
      • Aims and Scope
      • Abstracting and Indexing
      • Bibliographic Information
      • Archive
    • International Journal of Epigenetics
      • International Journal of Epigenetics
      • Information for Authors
      • Editorial Policies
      • Editorial Board
      • Aims and Scope
      • Abstracting and Indexing
      • Bibliographic Information
      • Archive
    • Medicine International
      • Medicine International
      • Information for Authors
      • Editorial Policies
      • Editorial Board
      • Aims and Scope
      • Abstracting and Indexing
      • Bibliographic Information
      • Archive
  • Articles
  • Information
    • Information for Authors
    • Information for Reviewers
    • Information for Librarians
    • Information for Advertisers
    • Conferences
  • Language Editing
Spandidos Publications Logo
  • About
    • About Spandidos
    • Aims and Scopes
    • Abstracting and Indexing
    • Editorial Policies
    • Reprints and Permissions
    • Job Opportunities
    • Terms and Conditions
    • Contact
  • Journals
    • All Journals
    • Biomedical Reports
      • Information for Authors
      • Editorial Policies
      • Editorial Board
      • Aims and Scope
      • Abstracting and Indexing
      • Bibliographic Information
      • Archive
    • Experimental and Therapeutic Medicine
      • Information for Authors
      • Editorial Policies
      • Editorial Board
      • Aims and Scope
      • Abstracting and Indexing
      • Bibliographic Information
      • Archive
    • International Journal of Epigenetics
      • Information for Authors
      • Editorial Policies
      • Editorial Board
      • Aims and Scope
      • Abstracting and Indexing
      • Bibliographic Information
      • Archive
    • International Journal of Functional Nutrition
      • Information for Authors
      • Editorial Policies
      • Editorial Board
      • Aims and Scope
      • Abstracting and Indexing
      • Bibliographic Information
      • Archive
    • International Journal of Molecular Medicine
      • Information for Authors
      • Editorial Policies
      • Editorial Board
      • Aims and Scope
      • Abstracting and Indexing
      • Bibliographic Information
      • Archive
    • International Journal of Oncology
      • Information for Authors
      • Editorial Policies
      • Editorial Board
      • Aims and Scope
      • Abstracting and Indexing
      • Bibliographic Information
      • Archive
    • Medicine International
      • Information for Authors
      • Editorial Policies
      • Editorial Board
      • Aims and Scope
      • Abstracting and Indexing
      • Bibliographic Information
      • Archive
    • Molecular and Clinical Oncology
      • Information for Authors
      • Editorial Policies
      • Editorial Board
      • Aims and Scope
      • Abstracting and Indexing
      • Bibliographic Information
      • Archive
    • Molecular Medicine Reports
      • Information for Authors
      • Editorial Policies
      • Editorial Board
      • Aims and Scope
      • Abstracting and Indexing
      • Bibliographic Information
      • Archive
    • Oncology Letters
      • Information for Authors
      • Editorial Policies
      • Editorial Board
      • Aims and Scope
      • Abstracting and Indexing
      • Bibliographic Information
      • Archive
    • Oncology Reports
      • Information for Authors
      • Editorial Policies
      • Editorial Board
      • Aims and Scope
      • Abstracting and Indexing
      • Bibliographic Information
      • Archive
    • World Academy of Sciences Journal
      • Information for Authors
      • Editorial Policies
      • Editorial Board
      • Aims and Scope
      • Abstracting and Indexing
      • Bibliographic Information
      • Archive
  • Articles
  • Information
    • For Authors
    • For Reviewers
    • For Librarians
    • For Advertisers
    • Conferences
  • Language Editing
Login Register Submit
  • This site uses cookies
  • You can change your cookie settings at any time by following the instructions in our Cookie Policy. To find out more, you may read our Privacy Policy.

    I agree
Search articles by DOI, keyword, author or affiliation
Search
Advanced Search
presentation
Oncology Letters
Join Editorial Board Propose a Special Issue
Print ISSN: 1792-1074 Online ISSN: 1792-1082
Journal Cover
March-2023 Volume 25 Issue 3

Full Size Image

Sign up for eToc alerts
Recommend to Library

Journals

International Journal of Molecular Medicine

International Journal of Molecular Medicine

International Journal of Molecular Medicine is an international journal devoted to molecular mechanisms of human disease.

International Journal of Oncology

International Journal of Oncology

International Journal of Oncology is an international journal devoted to oncology research and cancer treatment.

Molecular Medicine Reports

Molecular Medicine Reports

Covers molecular medicine topics such as pharmacology, pathology, genetics, neuroscience, infectious diseases, molecular cardiology, and molecular surgery.

Oncology Reports

Oncology Reports

Oncology Reports is an international journal devoted to fundamental and applied research in Oncology.

Experimental and Therapeutic Medicine

Experimental and Therapeutic Medicine

Experimental and Therapeutic Medicine is an international journal devoted to laboratory and clinical medicine.

Oncology Letters

Oncology Letters

Oncology Letters is an international journal devoted to Experimental and Clinical Oncology.

Biomedical Reports

Biomedical Reports

Explores a wide range of biological and medical fields, including pharmacology, genetics, microbiology, neuroscience, and molecular cardiology.

Molecular and Clinical Oncology

Molecular and Clinical Oncology

International journal addressing all aspects of oncology research, from tumorigenesis and oncogenes to chemotherapy and metastasis.

World Academy of Sciences Journal

World Academy of Sciences Journal

Multidisciplinary open-access journal spanning biochemistry, genetics, neuroscience, environmental health, and synthetic biology.

International Journal of Functional Nutrition

International Journal of Functional Nutrition

Open-access journal combining biochemistry, pharmacology, immunology, and genetics to advance health through functional nutrition.

International Journal of Epigenetics

International Journal of Epigenetics

Publishes open-access research on using epigenetics to advance understanding and treatment of human disease.

Medicine International

Medicine International

An International Open Access Journal Devoted to General Medicine.

Journal Cover
March-2023 Volume 25 Issue 3

Full Size Image

Sign up for eToc alerts
Recommend to Library

  • Article
  • Citations
    • Cite This Article
    • Download Citation
    • Create Citation Alert
    • Remove Citation Alert
    • Cited By
  • Similar Articles
    • Related Articles (in Spandidos Publications)
    • Similar Articles (Google Scholar)
    • Similar Articles (PubMed)
  • Download PDF
  • Download XML
  • View XML

  • Supplementary Files
    • Supplementary_Data.pdf
Article Open Access

Venous thrombosis, multiple carcinomatous foci and differences in metastatic pathways of penile carcinoma

  • Authors:
    • Xianlin Yi
    • Haoyuan Lu
    • Wenhui Li
    • Yong Tang
  • View Affiliations / Copyright

    Affiliations: Department of Urology, Wuming Hospital of Guangxi Medical University, Nanning, Guangxi 530199, P.R. China, Department of Urology, Guangxi Medical University Cancer Hospital, Nanning, Guangxi 530021, P.R. China, Division of General Practice, Community Healthcare Center of Zhongshan Torch Development Zone, Zhongshan, Guangdong 528437, P.R. China
    Copyright: © Yi et al. This is an open access article distributed under the terms of Creative Commons Attribution License.
  • Article Number: 88
    |
    Published online on: January 17, 2023
       https://doi.org/10.3892/ol.2023.13674
  • Expand metrics +
Metrics: Total Views: 0 (Spandidos Publications: | PMC Statistics: )
Metrics: Total PDF Downloads: 0 (Spandidos Publications: | PMC Statistics: )
Cited By (CrossRef): 0 citations Loading Articles...

This article is mentioned in:



Abstract

The aim of the present study was to explore the life‑threatening complications and metastatic pathways of penile squamous cell carcinoma (SCC), as numerous patients with penile cancer are relatively young, are of good general health and have no visceral metastasis, yet have poor survival rates. A total of 94 patients with SCC of the penis who were surgically treated were included in the current study. The coagulation parameters, including prothrombin time (PT), fibrinogen and D‑dimer, were analyzed. The patients' age ranged from 25 to 95 years (mean ± standard deviation, 53.3±1.4 years). A total of 77 patients (81.9%) underwent partial penectomy and 17 (18.1%) underwent radical penectomy. The PT was significantly different between patients whose tumour invaded the corpora cavenosum and those whose tumour had not invaded, and between patients with and without pelvic lymph node metastasis. A negative correlation was obtained between PT and pelvic lymph node metastasis. In addition, six typical SCC cases and one metastatic penile carcinoma case manifested with multiple carcinomatous foci, embolisms and evidence of a metastatic pathway occurring simultaneously with tumour progression were presented. The present study indicated that venous thrombosis is one of the life‑threatening complications of advanced penile cancer. Furthermore, multiple carcinomatous foci were detected in histological images. Of note, direct clinical evidence for different metastatic pathways of primary and secondary penile carcinoma was provided.

Introduction

Penile squamous cell carcinoma (SCC) has a low incidence rate, accounting for 0.6% of all malignant tumors in males in the US, and may reach up to 10% in males in certain parts of Africa, South America and Asia (1,2). Of note, penile SCC has a high mortality rate (2).

The 5-year survival rate of patients with stage III disease without surgery is 0% and the average overall survival time of patients with stage IV disease is only 11.2 months (3). However, only 2.3% of patients with penile cancer have distant metastasis (4) and cachexia is not a common phenomenon in penile cancer. It has been reported that a high proportion (17%) of patients are <40 years old and the survival rate for this group is lower than for those aged 40–60 years (5). In clinical practice, numerous patients with penile cancer are relatively young (6), are in otherwise good physical health and present without any visceral metastasis (5). It remains elusive why their survival rates are so poor and further exploration of the life-threatening factors in patients with penile cancer may thus be necessary.

The surgical management of penile cancer has shifted from radical ablative surgery to organ-preserving techniques, with closer surgical margins, which provide good oncological, psychological and functional outcomes (7,8). Traditionally, the tumour-free margin of partial penectomy is recommended to be at least 20 mm (7,9). Agrawal et al (10) suggested a 10-mm surgical margin for grade 1 or 2 and a 15-mm surgical margin for grade 3 penile cancer. Hoffman et al (11) and Minhas et al (12) suggested a surgical margin of 10 mm or less, while Sri et al (13) concluded that a >1 mm surgical margin has a low risk of local recurrence in organ-preserving surgery. Therefore, no precise and unified clinical data of appropriate surgical margins have been reported to date (14,15) and the cause of this issue remains elusive.

The present study reported the recurrence of multiple carcinomatous foci in the stump after partial penectomy or positive margins in penile cancer. Subsequently, the metastatic pathways of penile cancer were summarized according to the current study and a literature review. The coagulation parameters, such as prothrombin time (PT), fibrinogen (FIB) and D-dimer (D-D), were also analysed to evaluate their relationship with T stage and metastasis of penile cancer.

Patients and methods

Patients with penile SCC

A retrospective review was performed including 94 cases of penile SCC encountered between November 2002 and August 2020 at the WuMing Hospital and Cancer Hospital of Guangxi Medical University (Nanning, China). The inclusion criteria were that both the clinical and the pathologic data were integrated. Patients lacking reliable pathologic data were excluded from the present analysis.

The study was in accordance with the guidelines of the Declaration of Helsinki and approved by the Ethics Committee of WuMing Hospital of Guangxi Medical University (Nanning, China). All cases were diagnosed as penile SCC by surgical pathology, as reviewed by two pathologists. Clinical information was acquired from the patients' clinical charts. The included patients were diagnosed from specimens of partial or radical penectomy. TNM staging was performed according to the Eighth Edition TNM Penile Staging System (16).

The related coagulation lab detection results, including plasma PT, thrombin coagulation time (TT), FIB and D-D, were also analysed (Table I).

Table I.

Characteristics of patients with penile cancer.

Table I.

Characteristics of patients with penile cancer.

VariableCasesValueP-value
Age, years9453.3±1.4
Operation
  Partial penectomy7781.9%
  Radical penectomy1718.1%
Inguinal lymph node operation
  Yes7074.5%
  No2425.5%
Lymph node operation method
  Inguinal lymph node dissection6390%
  Inguinal lymph node biopsy710%
Coagulation function (grouping by invasion of cavernous body)
  Prothrombin time, sec (normal range, 9–13 sec) 0.048a
    Invasion of corpora cavernosum4511.8±1.2
    No invasion2412.4±1.2
  APTT, sec (normal range, 20–40 sec) 0.677a
    Invasion of corpora cavernosum4530.0±4.4
    No invasion2430.6±6.12
  D-dimer, mg/l (normal range, 0–0.5 mg/l) 0.131b
    Invasion of corpora cavernosum350.26 (0.12-0.39)
    No invasion190.32 (0.19-1.20)
  Fibrinogen, g/l (normal range, 2–4 g/l) 0.304a
    Invasion of corpora cavenosum453.6±1.2
    Non-invasion243.3±1.0
Coagulation function (grouping by pelvic lymph node metastasis)c
  Prothrombin time, sec 0.043b
    Pelvic lymph node metastasis39.7
    No metastasis4611.9 (11.17-12.63)
  APTT, sec 0.677b
    Pelvic lymph node metastasis328.9
    No metastasis4629.7 (11.18-33.70)
  D-dimer, mg/l 0.637b
    Pelvic lymph node metastasis30.12
    No metastasis320.22 (0.12-0.57)
  Fibrinogen, g/l 0.550b
    Pelvic lymph node metastasis33.33
    No metastasis463.1 (2.80-3.71)

a Unpaired Student's t-test;

b Mann-Whitney U-test.

c Some data are formatted differently because the total number of cases was only 3 in the pelvic lymph node metastasis group, so these data cannot be shown as the median (interquartile range). Values are expressed as the mean ± standard deviation, median, median (interquartile range) or percentage.

Statistical analysis

Figures were generated using GraphPad Prism 9 software (GraphPad Software; Dotmatics). An unpaired Student's t-test was performed to compare the PT, activated partial thromboplastin time and fibrinogen levels of patients between the corpora cavernosum invasion and no invasion groups. Mann-Whitney U-test was used to compare coagulation parameters between the lymph metastasis group and no metastasis group, and D-dimer levels between the corpora cavernosum cavernous invasion and no invasion group. The relationships between coagulation parameters, cavernous invasion and pelvic lymph node metastasis were evaluated using Spearman's correlation coefficient. Statistical analyses were performed using SPSS software (version 21; IBM Corporation). P<0.05 was considered to indicate a statistically significant difference.

Results

Patient characteristics

A total of 94 patients were included in the present study; the patients' age ranged from 25 to 95 years (mean ± standard deviation, 53.3±1.4 years). A total of 77 patients (81.9%) underwent partial penectomy and 17 (18.1%) underwent radical penectomy. Furthermore, 71 patients (75.5%) underwent open or laparoscopic inguinal lymph node dissection or biopsy, while 23 patients (24.5%) did not undergo inguinal lymph node dissection. Among these former 71 cases, 63 (90%) were subjected to inguinal lymph node dissection, while 7 (10%) underwent inguinal lymph node biopsy.

A total of six patients presented with embolism or typical multiple lesions were observed (Fig. 1, Fig. 2, Fig. 3, Fig. 4, S1 and S2). Table I presents the laboratory parameters of cases 1, 2, 4. A total of two patients who died of inguinal blood vessel rupture were also not presented in detail (their data were included in the study but not included in the evaluation of coagulation function. These cases were not among the 6 cases mentioned at the start of this paragraph and not included in the case reports). Furthermore, one case of secondary penile carcinoma that occurred via a different metastatic pathway was noted, and presented as case 4 in the case reports (this case was not included in the SCC group and not included in the statistical analysis).

Figure 1.

(A) PT (normal range, 9–13 sec) was different between patients with and without invasion of the corpora cavenosum (Unpaired Student's t-test). (B) PT was also different between patients with or without pelvic lymph node metastasis (Mann-Whitney U-test). font-size:75%;P<0.05. PT, prothrombin time. Fig. 1 was drawn by GraphPad Prism 9 software (GraphPad Software, Inc.).

Figure 2.

Case 1 (66-year-old). (A) PET/CT results indicated multiple metastatic lymph nodes in the lower thoracic spine, abdominal aorta, bilateral iliac vessels and double inguinal regions. (B) font-size:75%;F-FDG PET/CT scan revealed a hypermetabolic mass in the penile shaft (black arrow with tail indicates multiple carcinomatous focus. Black arrow without tail showed metastatic lymph nodes). (C) Sagittal position of MRI indicated multiple carcinomatous foci (multiple carcinomatous foci were observed in the green circled area). (D) Transverse section of MRI indicated multiple carcinomatous foci (the arrows indicate multiple carcinomatous foci). (E) Multiple carcinomatous foci were confirmed by histological and pathological examination in sagittal position. Multiple carcinomatous foci were observed (green circle and rectangle). The black arrow with a tail indicates multiple carcinomatous foci near the primary penile carcinoma. The black arrow without a tail and the green rectangle indicate multiple carcinomatous foci on the right root of the penis. The enlarged image is shown in (F). (F) Multiple carcinomatous foci were also confirmed by histological and pathological examination in transverse section of the right root of penis (multiple carcinomatous foci are indicated by the black arrow). PET, positron emission tomography; FDG, fluorodeoxyglucose.

Figure 3.

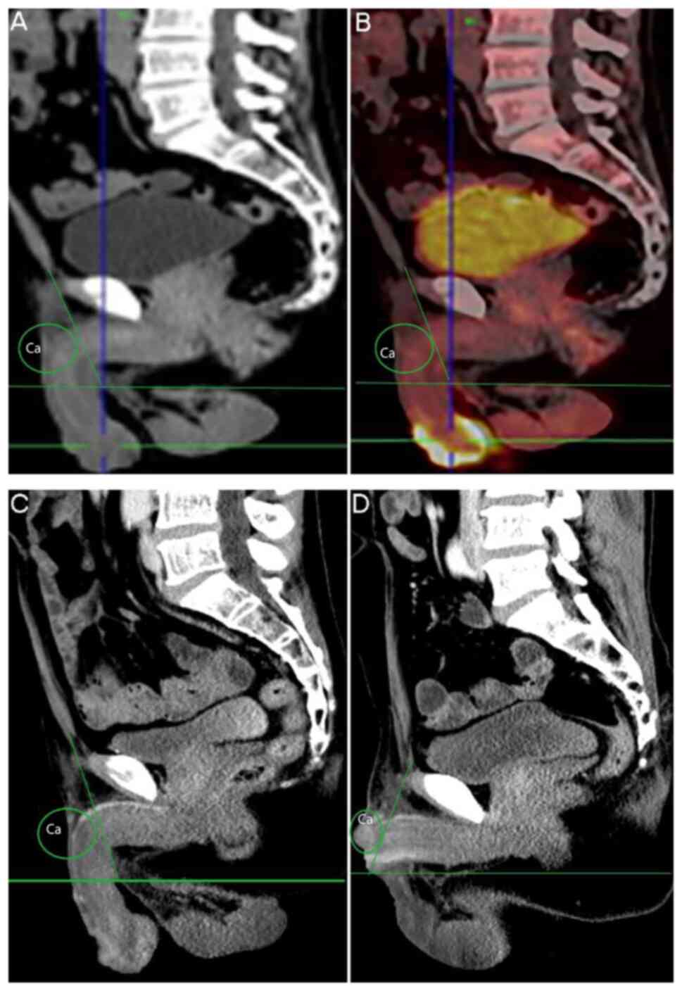
Case 2 (55-year-old). (A) Sagittal non-enhanced CT indicated multiple penile carcinomatous foci before partial penectomy (green circle indicates multiple penile carcinomatous foci). (B) Positron emission tomography/CT indicated multiple penile carcinomatous foci before partial penectomy (green circle indicates multiple penile carcinomatous foci). (C) Sagittal enhanced CT indicated multiple penile carcinomatous foci before partial penectomy (green circle indicates multiple penile carcinomatous foci). (D) Sagittal enhanced CT indicated recurrent cancer of the penile stump after partial penectomy (multiple penile carcinomatous foci were observed in the green circled area).

Figure 4.

(A) Different model of metastasis of primary and secondary penile carcinoma. Primary penile cancer is mainly located under the albuginea and may spread from the distant to the proximal region of the penis (black arrow). However, in secondary penile carcinoma, the metastatic lesion diffuses from the proximal part of the penis to the distal region (red arrow), which was supported by the findings in (E and F) for case 4. (B) The inguinal lymph node is the most common site of lymph node metastasis. Lymph node metastasis may extend from the pelvic vessels and abdominal aorta to the mediastinum. (C) The local small tumour thrombus of penile cancer may flow along the vein. (D) When an enlarged metastatic inguinal lymph node compresses the vein, the local blood flow will slow down, which increases the risk of thrombosis. Venous metastasis may be life-threatening and may result in pulmonary embolisms. (E) In case 4 of primary urothelial carcinoma of bladder, the penis was invaded and rapidly metastasized from the penile body to the glans, and then the whole penile cavernous body was hardened. The metastatic pathway was indicated by the erythema in the glans, as was observed in case 4. The metastatic lesion originated from the proximal penile body, and then spread to the distal penile glans, which was visible to the naked eye (red arrow; top view of case 4). (F) Metastatic pathway of secondary penile carcinoma (red arrow; side view of case 4). (G) In the early and middle stage, local invasion and lymphatic metastasis are the main mode of metastasis in primary penile cancer. However, unlike the secondary metastatic model, the direct extensive model of primary local advanced penile cancer involves direct infiltration and lymphatic metastasis, and the carcinoma diffuses from the glans and distal penis to proximal penis. Parts of the figure were drawn by using pictures from Servier Medical Art. Servier Medical Art by Servier is licensed under a Creative Commons Attribution 3.0 Unported License (https://creativecommons.org/licenses/by/3.0/).

PT in patients with and without invasion of the corpora cavenosum

The PT (normal range, 9–13 sec) exhibited differences between the groups of patients with and without invasion of the corpora cavernosum (Fig. 1A; Table II; P=0.048). The PT was also different between patients with or without pelvic lymph node metastasis (Fig. 1B; P=0.006). The PT was negatively correlated with pelvic lymph node metastasis (ρ=−0.366; P=0.009).

Table II.

Clinicopathological features of typical cases of primary and secondary penile carcinoma in the present study.

Table II.

Clinicopathological features of typical cases of primary and secondary penile carcinoma in the present study.

Primary penile carcinomaSecondary penile carcinoma


Case 1 (66 years)Case 2 (55 years)Case 4 (49 years)Normal reference range



ItemRadical penectomyFirst partial penectomySecond radical penectomyFirst cystectomyPenile metastasis
Stage
  AJCC 2017IVIVIVNDND-
  TNMT3N3M0T3N3M1TxN3M1T3bN0M0TxN2M1-
Blood parameters
  Total prostate-specific antigen, ng/mlND0.980.882.82ND0-4
  Free prostate-specific antigen, ng/mlND0.260.320.86ND0-1.3
  CRP, mg/lND22.34a4.55NDND0-10
  hs-CRP, mg/lND7.01a0.92NDND0-3
  IgM, g/l0.590.560.70.791.040.5-2.2
  IgG, g/l14.478.929.1317.9717.058-16
  Albumin to globulin ratio0.991.141.380.721.241-2.5
  Alexin C3, g/l1.691.511.090.91.20.9-1.5
  Alexin C4, g/l0.360.310.220.280.40.2-0.4
  Creatinine, µmol/l735543350a336a53-123
  Platelets, ×109/l322288249421a292100-300
  Alkaline phosphatase, g/l87158a87748825-135
  Lactate dehydrogenase, g/l207176135148198114-240
  Serum ferritin, µg/l703a1141211099120-300
  D-dimer, mg/l2.01aND0.170.432.96a0-0.5
  White blood cell count, ×109/l9.8911.57a7.7510.33a9.863.97-9.15
  Neutrophil ratio, %73.3067.3053.7071.606845-77
  Lymphocyte ratio, %14.6018.2026.1018.2017.420-40
  Neutrophils, ×109/l7.267.784.177.396.712-7.7
  Lymphocytes, ×109/l1.442.112.021.881.720.8-4
  Neutrophil to lymphocyte ratio5.043.692.063.933.90
  Cytokeratin 19 fragment, ng/ml3.79a3.66aNDND50.59a0-3.3
  Squamous cell carcinoma-associated antigen, ng/ml43.4a4.9aNDND51.50a0-1.5
  Carcinoembryonic antigen, ng/ml13.48a5.83aNDND71.16a<5
Pathology
  Size of lesion, cm3.973NDTotal penis-
  G stageNDG1G3NDND-
  Albuginea infiltratedNDYesNoNDND-
  Surgical marginPositiveNegativeNegativeNDND-
  Local abscess formationYesYesYesNDND-
  Tumor thrombiYesYes0NDND-
  Nerve invasionYesNDYesNDND-

a Abnormal. ND, not determined; AJCC, American Joint Committee on Cancer; hs-CRP, high-sensitivity C-reactive protein.

Coagulation parameters in penile lesions

D-D was correlated with T stage (ρ=−0.287; P=0.048) and with cholinesterase (ρ=−0.380; P=0.009; Fig. S2A and B). FIB was correlated with neutrophils (ρ=0.337; P=0.004; Fig. S2D) and lymphocytes (ρ=−0.241; P=0.041; Fig. S2E). A relationship between FIB and carcinoembryonic antigen was also demonstrated (ρ=0.643; P=0.018; Fig. S2C).

Presentation of typical cases

General

Cases 1–3 had multiple penile lesions, Case 4 had secondary penile carcinoma and Cases 5–7 had embolisms.

Case 1: Multiple carcinomatous foci confirmed by radical penectomy

A 66-year-old male complained of a penile tumour for 2 months in July 2020 (Fig. 2A). The positron emission tomography (PET)/CT results indicated multiple metastatic lymph nodes in the lower thoracic spine, abdominal aorta, bilateral iliac vessels and bilateral inguinal regions (Fig. 2B). Radical penectomy was performed after neoadjuvant chemotherapy. However, the postoperative pathology suggested that the margin of the corpora cavernosum was positive. Multiple carcinomatous foci were confirmed by MRI (Fig. 2C and D), and histological and pathological examination (Fig. 2E and F; Table I).

Case 2: Two penile operations within 3 months due to recurrence and multiple penile lesions

A 55-year-old male complained of a penile tumour that had recurred for one month in August 2018. The neoplasms had originally been resected 20 years previously. CT and PET/CT indicated metastasis of the bilateral inguinal and the left rib (Fig. 3A-D). SCC was confirmed after partial penectomy with unilateral inguinal lymph node dissection. The margin was negative (Table I).

Recurrent cancer of the penile stump was found only one month after the second operation. Radical penectomy and inguinal lymphadenectomy were performed. After one year, the patient died without having undergone any chemoradiotherapy.

Case 3: A negative margin was confirmed, but recurrence with multiple penile lesions was observed

A 49-year-old male complained of a penile tumour in January 2016. An SCC with a negative margin was confirmed by frozen and routine pathology. However, the recurrence of SCC with multiple penile lesions was confirmed by radical penectomy within one year. The patient died 8 months later.

Case 4: Different metastatic pathways of secondary penile carcinoma

This case is presented only to illustrate the metastatic pathway, but it was not included in the SCC group and not included in the statistical analysis. A 49-year-old male underwent radical cystectomy because of urothelial carcinoma of the bladder 1 year prior to presentation in March 2020. A penile nodule was observed following symptoms of scrotum and left lower limb swelling for 1 month. At first, the penile lesion was small, but it rapidly expanded in size (Fig. 4E and F; Table I). Metastasis from a bladder urothelial carcinoma was confirmed by pathology. The patient died 6 months later without chemoradiotherapy and immunotherapy.

Case 5: Pulmonary embolisms were found during hospitalization

A 45-year-old male complained of right inguinal ulceration for one month in March 2020. Partial penectomy had been performed one year prior. Four cycles of postoperative chemotherapy were administered. A 4×8 cm inguinal mass was palpated in the right groin.

Right pulmonary embolism was found while the patient was hospitalized. Inferior vena cava filter placement and anti-freezing treatment were performed. Partial penile resection plus laparoscopic bilateral inguinal lymph node dissection was then performed. The patient remained alive after a follow-up of 3 months.

Case 6: Femoral vein embolus and pulmonary embolism

A 48-year-old male underwent partial penile resection and bilateral inguinal lymph node dissection 4 years prior in February 2018. Recurrent right inguinal lymph node metastasis was detected. The metastatic lymph nodes were adjacent to the right iliac artery and inguinal area. Right femoral vein embolus and pulmonary embolism were confirmed by CT (Fig. S1). Inferior vena cava filter implantation, thrombolysis and radiotherapy were performed. The patient died 4 months later.

Case 7: External iliac vein and femoral vein embolisms migrated to the popliteal vein

A 53-year-old male complained of inguinal masses for 10 days in August 2015. A penile small mass was noted that had gradually increased in size for two years. The largest inguinal lymph node was found on the left and was 50×30 mm in size. External iliac vein thrombus was found on the same side (left), and the left femoral vein migrated to the popliteal vein. Inferior vena cava filter implantation, left iliac vein stent placement and thrombolysis were performed. The venous thromboses were controlled. Total penectomy was performed after chemotherapy (5-fluorouracil and cisplatin). The patient died 10 months later.

Discussion

The present study suggests that venous thrombosis may be a serious life-threatening complication of advanced penile cancer. Furthermore, multiple carcinomatous foci were found in histological images. More importantly, direct clinical evidence for the different metastatic pathways of primary and secondary penile carcinoma was provided (Fig. 4A-D).

PT measurement is a screening test to check for impairment of the function of the extrinsic coagulation system. The PT exhibited differences between patients with or without pelvic lymph node metastasis, and between patients with or without invasion of the corpora cavenosum. Shortened PT indicates thrombotic disease, disseminated intravascular coagulation (DIC) hypercoagulability or congenital increase in coagulation factor V levels. Venous thromboembolism (VTE) is a common complication in patients with cancer. Direct oral anticoagulants may be an effective and safe therapeutic choice (17) for patients with advanced penile cancer.

The coagulation parameters, including FIB and D-D, have been reported to influence the prognosis of cancer (18). D-D was also associated with T stage in the present study. D-D has been commonly used for the diagnosis and evaluation of VTE (19).

To the best of our knowledge, the present study was the first to investigate the relationship between venous metastasis and penile thrombosis, and femoral vein thrombosis and pulmonary embolism. Clinicians should pay attention to the life-threatening vein emboli. Additionally, it should be noted that some patients with penile cancer rarely develop cachexia despite the poor prognosis, unlike patients with other types of tumour. In the present study, numerous patients were relatively young (6), were in otherwise good physical health and had no visceral metastases, but their prognosis was poor (5). Life-threatening venous embolisms have an important role in prognosis, as demonstrated by the current study (Figs. 1, 4 and S1). Considering that three current patients who required clinical intervention for thrombosis were found during hospitalization (3.2%; 3/94), the proportion of patients with urgent thromboembolic events may be higher than expected. Inferior vena cava filter implantation and thrombolysis are the treatments for vein embolus. These treatments were effective, as demonstrated in cases 5–7.

Venous thrombosis may be a life-threatening complication of penile cancer, particularly in relatively young males in otherwise good physical condition. The occurrence of a thromboembolic event may be a life-threatening complication for numerous cancer patients (20). The presence of a hypercoagulable state in patients with malignancies is generally emphasized in clinical practice (19,21), and it is particularly important to monitor various indicators of coagulation, evaluate VTE and assess the hypercoagulable state in high-risk patients with penile cancer.

For venous metastasis, the local small tumour thrombus of penile cancer may propagate along the vein. When inguinal lymph node metastases compress the vein, the local blood flow is slowed, which increases the risk of thrombosis. After the formation of thrombi, this condition may embolize to vital organs, such as the lung, which may be life-threatening, as indicated in cases 5–7 (Fig. 4C and D).

It may be suggested that the multifocal features of high-stage penile carcinoma is one of the reasons why it is difficult to develop guidelines regarding an adequate surgical margin. In case 1, direct histological evidence of multifocal lesions of penile carcinoma was found. In case 2, the surgical margin of the patient was negative after partial penectomy, but SCC recurred on the penile stump only 1 month after surgery, which also highlights the occurrence of multifocal lesions in advanced-stage penile cancer.

In the present study, three patients with at least stage T2 cancer had lymph node metastasis and infiltrated tunica albuginea (cases 1–3). In addition, local multiple microvascular tumour thrombi were present and tumour markers, such as SCC-associated antigen and cytokeratin 19 fragment, were increased. If these features are present, radical penectomy may be recommended.

Thus, the present study suggested that for improved prognosis of patients with a late clinical stage, instead of partial penectomy, a more reasonable choice of treatment may be radical amputation. The following signs may indicate the requirement for radical penectomy: Stage T2 or above and accompanied by lymph node metastasis; infiltrated tunica albuginea; formatted local multiple vascular tumour thrombus; increased tumour markers, such as SCC-associated antigen and cytokeratin 19 fragment; and multiple hypermetabolic masses in the penile shaft as indicated by PET/CT.

In the early stage, local invasion and lymphatic metastasis are the main mode of metastasis in primary penile cancer, while in advanced primary tumors, hematogenous metastasis may serve a main role.

These multifocal lesions may represent the local metastatic pathway of primary penile cancer and this metastasis appears mainly located under the albuginea and may spread to the distant cavernous body (Fig. 4A, black arrow). The inguinal lymph node is the most common site of lymph node metastasis, which may extend from the pelvic vessels and abdominal aorta to the mediastinum in primary penile cancer (Fig. 4B).

However, the model of metastasis of secondary penile carcinoma is different. The local advanced model of primary penile cancer is direct extension, the lesion diffuses from the glans and distal penis to proximal region. However, the mode of metastasis of secondary carcinoma is hematogenous metastasis. In the secondary model, the lesion diffuses from the proximal penis to the distal shaft and glans (Fig. 4E-G). As shown in case 4 with primary urothelial carcinoma of bladder, the penis was invaded and rapidly metastasized from the penile body to the glans, and then the whole penile cavernous body was harden (Fig. 4E-G). The metastatic pathway can be evidenced by the erythema in the glans as shown in case 4. The metastatic lesion originated from the proximal penile body, and then spread to the distal penile glans, which was visible to the naked eye (Fig. 4A, black and red arrows; Fig. 4E-G).

Although the prognosis of penile cancer is generally poor, radical penectomy in high-risk patients with multiple lesions may reduce the symptoms of dysuria and pain, and the economic burden of secondary surgery for certain patients who may have financial difficulties. The combination of chemotherapy, radiotherapy, ongoing immunotherapy and the results of the International Penile Advanced Cancer Trial may bring hope to patients with advanced penile cancer (22).

One of the limitations of the present study is that thrombus examination was not performed in all patients, such as deep vein color Doppler ultrasound studies. As another limitation, there was a lack of survival analysis data. Furthermore, the sample size of the present study was relatively small.

In conclusion, the present study was the first to find multiple carcinomatous focus in primary high-grade penile cancer. Multiple carcinomatous focus should be evaluated in patients with metastatic penile cancer of T2 stage or above. It may be suggested that venous thrombosis is one of the life-threatening complications of advanced penile cancer. PT exhibited differences between patients with or without pelvic lymph node metastasis, and with or without invasion of the corpora cavernosum. Inferior vena cava filter implantation and thrombolysis are treatment choices for venous thrombosis. Most importantly, to the best of our knowledge, the present study was the first to report clinical evidence for the different metastatic pathways of primary and secondary penile carcinoma.

Supplementary Material

Supporting Data

Acknowledgements

Not applicable.

Funding

This work was supported by the ‘139’ Program Training Project for the Cultivation of High-level and Key Talent in Guangxi Medicine, China (grant no. G201903036), the National Natural Science Fund of China (grant nos. 31860289 and 32260241), Guangxi Scientific Research and Technology Development Projects of China (grant no. 1355005-3-11), Guangxi Medical and Health Key Research Projects of China (grant no. 2012093), Scientific Research and Technology Development Project, Wuming District, Nanning, China (grant no. 20180120) and the self-financing research of the Health Department of Guangxi Autonomous Region (grant no. Z20210631), which funded the fee for the polishing and publication of the article.

Availability of data and materials

The datasets used and/or analyzed during the current study are available from the corresponding author on reasonable request.

Authors' contributions

XY and WL were involved in the design and conceptualization of the study. Drafting of the manuscript and the acquisition, analysis and interpretation of data were performed by XY, WL, HL and YT. XY and HL confirm the authenticity of all the raw data. All authors have read and approved the final manuscript.

Ethics approval and consent to participate

The study was approved by the Ethics Committee of Wuming Hospital of Guangxi Medical University [Nanning, China; no. WM2022(080)].

Patient consent for publication

Written informed consent was obtained from the patients or the patients' next of kin for the publication of their case data and accompanying images.

Competing interests

The authors declare that they have no competing interests.

Glossary

Abbreviations

Abbreviations:

SCC

squamous cell carcinoma

PET/CT

positron emission-computed tomography

PT

prothrombin time

References

1 

Misra S, Chaturvedi A and Misra NC: Penile carcinoma: A challenge for the developing world. Lancet Oncol. 5:240–247. 2004. View Article : Google Scholar : PubMed/NCBI

2 

Montella M, Sabetta R, Ronchi A, De Sio M, Arcaniolo D, De Vita F, Tirino G, Caputo A, D'Antonio A, Fiorentino F, et al: Immunotherapy in penile squamous cell carcinoma: Present or future? Multi-target analysis of programmed cell death ligand 1 expression and microsatellite instability. Front Med (Lausanne). 9:8742132022. View Article : Google Scholar : PubMed/NCBI

3 

Sirithanaphol W, Sookprasert A, Rompsaithong U, Kiatsopit P, Wirasorn K and Chindaprasirt J: Prognostic factors for penile cancer and survival in response to multimodality therapy. Res Rep Urol. 12:29–34. 2020.PubMed/NCBI

4 

Rippentrop JM, Joslyn SA and Konety BR: Squamous cell carcinoma of the penis: Evaluation of data from the surveillance, epidemiology, and end results program. Cancer. 101:1357–1363. 2004. View Article : Google Scholar : PubMed/NCBI

5 

Paiva GR, de Oliveira Araújo IB, Athanazio DA and de Freitas LAR: Penile cancer: Impact of age at diagnosis on morphology and prognosis. Int Urol Nephrol. 47:295–299. 2015. View Article : Google Scholar : PubMed/NCBI

6 

Liu W, Luo Y, Wang G, Li N, Wang Z, Lei J and Wang X: Conditional survival after surgery for patients with penile cancer. Andrology. 8:1744–1752. 2020. View Article : Google Scholar : PubMed/NCBI

7 

Emmanuel A and Watkin N: Update on organ preserving surgical strategies for penile cancer. Urol Oncol. 40:179–183. 2022. View Article : Google Scholar : PubMed/NCBI

8 

McDougal WS: Phallic preserving surgery in patients with invasive squamous cell carcinoma of the penis. J Urol. 174:2218–2220. 2005. View Article : Google Scholar : PubMed/NCBI

9 

Nam JK, Lee DH, Park SW, Kam SC, Lee KS, Kim TH, Kim TS, Oh CK, Park HJ and Kim TN: Clinicopathologic characteristics and treatment outcomes of penile cancer. World J Mens Health. 35:28–33. 2017. View Article : Google Scholar : PubMed/NCBI

10 

Agrawal A, Pai D, Ananthakrishnan N, Smile SR and Ratnakar C: The histological extent of the local spread of carcinoma of the penis and its therapeutic implications. BJU Int. 85:299–301. 2000. View Article : Google Scholar : PubMed/NCBI

11 

Hoffman MA, Renshaw AA and Loughlin KR: Squamous cell carcinoma of the penis and microscopic pathologic margins: How much margin is needed for local cure? Cancer. 85:1565–1568. 1999. View Article : Google Scholar : PubMed/NCBI

12 

Minhas S, Kayes O, Hegarty P, Kumar P, Freeman A and Ralph D: What surgical resection margins are required to achieve oncological control in men with primary penile cancer? BJU Int. 96:1040–1043. 2005. View Article : Google Scholar : PubMed/NCBI

13 

Sri D, Sujenthiran A, Lam W, Minter J, Tinwell BE, Corbishley CM, Yap T, Sharma DM, Ayres BE and Watkin NW: A study into the association between local recurrence rates and surgical resection margins in organ-sparing surgery for penile squamous cell cancer. BJU Int. 122:576–582. 2018. View Article : Google Scholar : PubMed/NCBI

14 

Lindner AK, Schachtner G, Steiner E, Kroiss A, Uprimny C, Steinkohl F, Horninger W, Heidegger I, Madersbacher S and Pichler R: Organ-sparing surgery of penile cancer: Higher rate of local recurrence yet no impact on overall survival. World J Urol. 38:417–424. 2020. View Article : Google Scholar : PubMed/NCBI

15 

Miyamoto H: Clinical benefits of frozen section assessment during urological surgery: Does it contribute to improving surgical margin status and patient outcomes as previously thought? Int J Urol. 24:25–31. 2017. View Article : Google Scholar : PubMed/NCBI

16 

Pettaway CA, Srigley JR, Brookland RK, Choyke PL and Amin MB: Penis. Amin MB, Edge SB, Greene FL, et al: AJCC cancer staging manual. 8th edition. New York: Springer; pp. pp7012017

17 

Lee AYY: Anticoagulant therapy for venous thromboembolism in cancer. N Engl J Med. 382:1650–1652. 2020. View Article : Google Scholar : PubMed/NCBI

18 

Wang FM and Xing NZ: Systemic coagulation markers especially fibrinogen are closely associated with the aggressiveness of prostate cancer in patients who underwent transrectal ultrasound-guided prostate biopsy. Dis Markers. 2021:88999942021.PubMed/NCBI

19 

Bates SM, Greer IA, Middeldorp S, Veenstra DL, Prabulos AM and Vandvik PO: VTE, thrombophilia, antithrombotic therapy, and pregnancy: Antithrombotic therapy and prevention of thrombosis, 9th ed: American college of chest physicians evidence-based clinical practice guidelines. Chest. 141 (2 Suppl):e691S–e736S. 2012. View Article : Google Scholar : PubMed/NCBI

20 

Winters J and Garcia D: Cancer-associated thrombosis. Hematol Oncol Clin North Am. 24695–707. (viii)2010. View Article : Google Scholar : PubMed/NCBI

21 

O'Leary JG, Greenberg CS, Patton HM and Caldwell SH: AGA Clinical practice update: Coagulation in cirrhosis. Gastroenterology. 157:34–43.e1. 2019. View Article : Google Scholar : PubMed/NCBI

22 

Chahoud J, Kohli M and Spiess PE: Management of advanced penile cancer. Mayo Clin Proc. 96:720–732. 2021. View Article : Google Scholar : PubMed/NCBI

Related Articles

  • Abstract
  • View
  • Download
  • Twitter
Copy and paste a formatted citation
Spandidos Publications style
Yi X, Lu H, Li W and Tang Y: Venous thrombosis, multiple carcinomatous foci and differences in metastatic pathways of penile carcinoma. Oncol Lett 25: 88, 2023.
APA
Yi, X., Lu, H., Li, W., & Tang, Y. (2023). Venous thrombosis, multiple carcinomatous foci and differences in metastatic pathways of penile carcinoma. Oncology Letters, 25, 88. https://doi.org/10.3892/ol.2023.13674
MLA
Yi, X., Lu, H., Li, W., Tang, Y."Venous thrombosis, multiple carcinomatous foci and differences in metastatic pathways of penile carcinoma". Oncology Letters 25.3 (2023): 88.
Chicago
Yi, X., Lu, H., Li, W., Tang, Y."Venous thrombosis, multiple carcinomatous foci and differences in metastatic pathways of penile carcinoma". Oncology Letters 25, no. 3 (2023): 88. https://doi.org/10.3892/ol.2023.13674
Copy and paste a formatted citation
x
Spandidos Publications style
Yi X, Lu H, Li W and Tang Y: Venous thrombosis, multiple carcinomatous foci and differences in metastatic pathways of penile carcinoma. Oncol Lett 25: 88, 2023.
APA
Yi, X., Lu, H., Li, W., & Tang, Y. (2023). Venous thrombosis, multiple carcinomatous foci and differences in metastatic pathways of penile carcinoma. Oncology Letters, 25, 88. https://doi.org/10.3892/ol.2023.13674
MLA
Yi, X., Lu, H., Li, W., Tang, Y."Venous thrombosis, multiple carcinomatous foci and differences in metastatic pathways of penile carcinoma". Oncology Letters 25.3 (2023): 88.
Chicago
Yi, X., Lu, H., Li, W., Tang, Y."Venous thrombosis, multiple carcinomatous foci and differences in metastatic pathways of penile carcinoma". Oncology Letters 25, no. 3 (2023): 88. https://doi.org/10.3892/ol.2023.13674
Follow us
  • Twitter
  • LinkedIn
  • Facebook
About
  • Spandidos Publications
  • Careers
  • Cookie Policy
  • Privacy Policy
How can we help?
  • Help
  • Live Chat
  • Contact
  • Email to our Support Team