Spandidos Publications Logo
  • About
    • About Spandidos
    • Aims and Scopes
    • Abstracting and Indexing
    • Editorial Policies
    • Reprints and Permissions
    • Job Opportunities
    • Terms and Conditions
    • Contact
  • Journals
    • All Journals
    • Oncology Letters
      • Oncology Letters
      • Information for Authors
      • Editorial Policies
      • Editorial Board
      • Aims and Scope
      • Abstracting and Indexing
      • Bibliographic Information
      • Archive
    • International Journal of Oncology
      • International Journal of Oncology
      • Information for Authors
      • Editorial Policies
      • Editorial Board
      • Aims and Scope
      • Abstracting and Indexing
      • Bibliographic Information
      • Archive
    • Molecular and Clinical Oncology
      • Molecular and Clinical Oncology
      • Information for Authors
      • Editorial Policies
      • Editorial Board
      • Aims and Scope
      • Abstracting and Indexing
      • Bibliographic Information
      • Archive
    • Experimental and Therapeutic Medicine
      • Experimental and Therapeutic Medicine
      • Information for Authors
      • Editorial Policies
      • Editorial Board
      • Aims and Scope
      • Abstracting and Indexing
      • Bibliographic Information
      • Archive
    • International Journal of Molecular Medicine
      • International Journal of Molecular Medicine
      • Information for Authors
      • Editorial Policies
      • Editorial Board
      • Aims and Scope
      • Abstracting and Indexing
      • Bibliographic Information
      • Archive
    • Biomedical Reports
      • Biomedical Reports
      • Information for Authors
      • Editorial Policies
      • Editorial Board
      • Aims and Scope
      • Abstracting and Indexing
      • Bibliographic Information
      • Archive
    • Oncology Reports
      • Oncology Reports
      • Information for Authors
      • Editorial Policies
      • Editorial Board
      • Aims and Scope
      • Abstracting and Indexing
      • Bibliographic Information
      • Archive
    • Molecular Medicine Reports
      • Molecular Medicine Reports
      • Information for Authors
      • Editorial Policies
      • Editorial Board
      • Aims and Scope
      • Abstracting and Indexing
      • Bibliographic Information
      • Archive
    • World Academy of Sciences Journal
      • World Academy of Sciences Journal
      • Information for Authors
      • Editorial Policies
      • Editorial Board
      • Aims and Scope
      • Abstracting and Indexing
      • Bibliographic Information
      • Archive
    • International Journal of Functional Nutrition
      • International Journal of Functional Nutrition
      • Information for Authors
      • Editorial Policies
      • Editorial Board
      • Aims and Scope
      • Abstracting and Indexing
      • Bibliographic Information
      • Archive
    • International Journal of Epigenetics
      • International Journal of Epigenetics
      • Information for Authors
      • Editorial Policies
      • Editorial Board
      • Aims and Scope
      • Abstracting and Indexing
      • Bibliographic Information
      • Archive
    • Medicine International
      • Medicine International
      • Information for Authors
      • Editorial Policies
      • Editorial Board
      • Aims and Scope
      • Abstracting and Indexing
      • Bibliographic Information
      • Archive
  • Articles
  • Information
    • Information for Authors
    • Information for Reviewers
    • Information for Librarians
    • Information for Advertisers
    • Conferences
  • Language Editing
Spandidos Publications Logo
  • About
    • About Spandidos
    • Aims and Scopes
    • Abstracting and Indexing
    • Editorial Policies
    • Reprints and Permissions
    • Job Opportunities
    • Terms and Conditions
    • Contact
  • Journals
    • All Journals
    • Biomedical Reports
      • Information for Authors
      • Editorial Policies
      • Editorial Board
      • Aims and Scope
      • Abstracting and Indexing
      • Bibliographic Information
      • Archive
    • Experimental and Therapeutic Medicine
      • Information for Authors
      • Editorial Policies
      • Editorial Board
      • Aims and Scope
      • Abstracting and Indexing
      • Bibliographic Information
      • Archive
    • International Journal of Epigenetics
      • Information for Authors
      • Editorial Policies
      • Editorial Board
      • Aims and Scope
      • Abstracting and Indexing
      • Bibliographic Information
      • Archive
    • International Journal of Functional Nutrition
      • Information for Authors
      • Editorial Policies
      • Editorial Board
      • Aims and Scope
      • Abstracting and Indexing
      • Bibliographic Information
      • Archive
    • International Journal of Molecular Medicine
      • Information for Authors
      • Editorial Policies
      • Editorial Board
      • Aims and Scope
      • Abstracting and Indexing
      • Bibliographic Information
      • Archive
    • International Journal of Oncology
      • Information for Authors
      • Editorial Policies
      • Editorial Board
      • Aims and Scope
      • Abstracting and Indexing
      • Bibliographic Information
      • Archive
    • Medicine International
      • Information for Authors
      • Editorial Policies
      • Editorial Board
      • Aims and Scope
      • Abstracting and Indexing
      • Bibliographic Information
      • Archive
    • Molecular and Clinical Oncology
      • Information for Authors
      • Editorial Policies
      • Editorial Board
      • Aims and Scope
      • Abstracting and Indexing
      • Bibliographic Information
      • Archive
    • Molecular Medicine Reports
      • Information for Authors
      • Editorial Policies
      • Editorial Board
      • Aims and Scope
      • Abstracting and Indexing
      • Bibliographic Information
      • Archive
    • Oncology Letters
      • Information for Authors
      • Editorial Policies
      • Editorial Board
      • Aims and Scope
      • Abstracting and Indexing
      • Bibliographic Information
      • Archive
    • Oncology Reports
      • Information for Authors
      • Editorial Policies
      • Editorial Board
      • Aims and Scope
      • Abstracting and Indexing
      • Bibliographic Information
      • Archive
    • World Academy of Sciences Journal
      • Information for Authors
      • Editorial Policies
      • Editorial Board
      • Aims and Scope
      • Abstracting and Indexing
      • Bibliographic Information
      • Archive
  • Articles
  • Information
    • For Authors
    • For Reviewers
    • For Librarians
    • For Advertisers
    • Conferences
  • Language Editing
Login Register Submit
  • This site uses cookies
  • You can change your cookie settings at any time by following the instructions in our Cookie Policy. To find out more, you may read our Privacy Policy.

    I agree
Search articles by DOI, keyword, author or affiliation
Search
Advanced Search
presentation
Oncology Letters
Join Editorial Board Propose a Special Issue
Print ISSN: 1792-1074 Online ISSN: 1792-1082
Journal Cover
April-2023 Volume 25 Issue 4

Full Size Image

Sign up for eToc alerts
Recommend to Library

Journals

International Journal of Molecular Medicine

International Journal of Molecular Medicine

International Journal of Molecular Medicine is an international journal devoted to molecular mechanisms of human disease.

International Journal of Oncology

International Journal of Oncology

International Journal of Oncology is an international journal devoted to oncology research and cancer treatment.

Molecular Medicine Reports

Molecular Medicine Reports

Covers molecular medicine topics such as pharmacology, pathology, genetics, neuroscience, infectious diseases, molecular cardiology, and molecular surgery.

Oncology Reports

Oncology Reports

Oncology Reports is an international journal devoted to fundamental and applied research in Oncology.

Experimental and Therapeutic Medicine

Experimental and Therapeutic Medicine

Experimental and Therapeutic Medicine is an international journal devoted to laboratory and clinical medicine.

Oncology Letters

Oncology Letters

Oncology Letters is an international journal devoted to Experimental and Clinical Oncology.

Biomedical Reports

Biomedical Reports

Explores a wide range of biological and medical fields, including pharmacology, genetics, microbiology, neuroscience, and molecular cardiology.

Molecular and Clinical Oncology

Molecular and Clinical Oncology

International journal addressing all aspects of oncology research, from tumorigenesis and oncogenes to chemotherapy and metastasis.

World Academy of Sciences Journal

World Academy of Sciences Journal

Multidisciplinary open-access journal spanning biochemistry, genetics, neuroscience, environmental health, and synthetic biology.

International Journal of Functional Nutrition

International Journal of Functional Nutrition

Open-access journal combining biochemistry, pharmacology, immunology, and genetics to advance health through functional nutrition.

International Journal of Epigenetics

International Journal of Epigenetics

Publishes open-access research on using epigenetics to advance understanding and treatment of human disease.

Medicine International

Medicine International

An International Open Access Journal Devoted to General Medicine.

Journal Cover
April-2023 Volume 25 Issue 4

Full Size Image

Sign up for eToc alerts
Recommend to Library

  • Article
  • Citations
    • Cite This Article
    • Download Citation
    • Create Citation Alert
    • Remove Citation Alert
    • Cited By
  • Similar Articles
    • Related Articles (in Spandidos Publications)
    • Similar Articles (Google Scholar)
    • Similar Articles (PubMed)
  • Download PDF
  • Download XML
  • View XML
Case Report Open Access

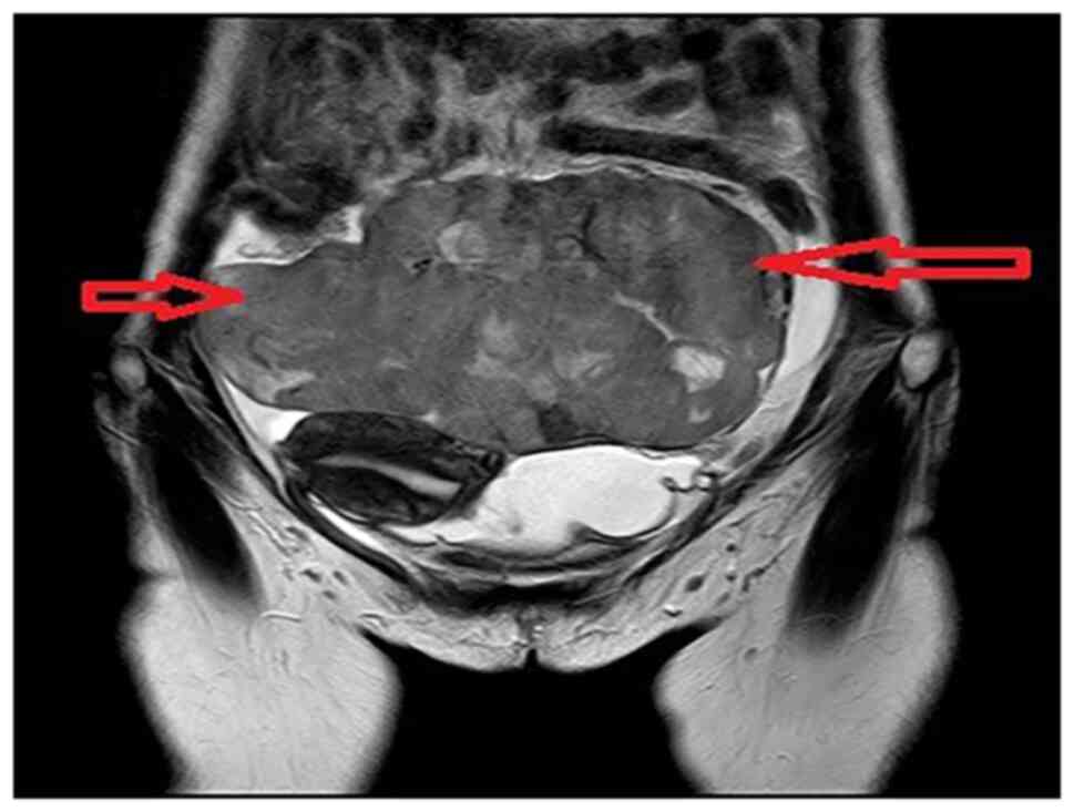
Double‑hit primary lymphoma (MYC and BCL2) in the bilateral ovary: A case report

  • Authors:
    • Yan Zhang
    • Wei Wang
    • Tingting Chen
  • View Affiliations / Copyright

    Affiliations: Key Laboratory of Birth Defects and Related Diseases of Women and Children (Sichuan University), Ministry of Education, Department of Pathology, West China Second University Hospital, Sichuan University, Chengdu, Sichuan 610041, P.R. China
    Copyright: © Zhang et al. This is an open access article distributed under the terms of Creative Commons Attribution License.
  • Article Number: 141
    |
    Published online on: February 22, 2023
       https://doi.org/10.3892/ol.2023.13727
  • Expand metrics +
Metrics: Total Views: 0 (Spandidos Publications: | PMC Statistics: )
Metrics: Total PDF Downloads: 0 (Spandidos Publications: | PMC Statistics: )
Cited By (CrossRef): 0 citations Loading Articles...

This article is mentioned in:



Abstract

Lymphoid neoplasm with 18q21.3/BCL2 and 8q24/MYC translocation to immunoglobulin genes as dual‑hit lymphoma in female bilateral ovaries is rare and has a poor clinical outcome. The present study reported on the case of a 33‑year‑old female, who was admitted to the hospital due to lower abdominal distension aggravated during defecation but with no obvious inducement. The B‑ultrasound revealed bilateral adnexal solid masses and the pathological examination indicated advanced B‑cell lymphoma (HGBL) with MYC and BCL2 gene rearrangement. The patient then received R‑CHOP treatment, but the effects were poor. Rare extranodal HGBL presentations with MYC and BCL2 rearrangement should be considered in the differential diagnosis of masses at unusual sites, such as the adnexa. Due to their aggressive nature, early and prompt recognition of these lymphomas is essential for appropriately administering therapies.
View Figures

Figure 1

Figure 2

Figure 3

Figure 4

View References

1 

Swerdlow SH, Campo E, Pileri SA, Harris NL, Stein H, Siebert R, Advani R, Ghielmini M, Salles GA, Zelenetz AD and Jaffe ES: The 2016 revision of the World Health Organization classification of lymphoid neoplasms. Blood. 127:2375–2390. 2016. View Article : Google Scholar : PubMed/NCBI

2 

Elharroudi T, Ismaili N, Errihani H and Jalil A: Primary lymphoma of the ovary. J Cancer Res Ther. 4:195–196. 2008. View Article : Google Scholar : PubMed/NCBI

3 

Salam DSDA, Thit EE, Teoh SH, Tan SY, Peh SC and Cheah SC: C-MYC, BCL2 and BCL6 translocation in B-cell non-Hodgkin lymphoma cases. J Cancer. 11:190–198. 2020. View Article : Google Scholar : PubMed/NCBI

4 

Nasioudis D, Kampaktsis PN, Frey M, Witkin SS and Holcomb K: Primary lymphoma of the female genital tract: An analysis of 697 cases. Gynecol Oncol. 145:305–309. 2017. View Article : Google Scholar : PubMed/NCBI

5 

Ng SP, Leong CF, Nurismah MI, Shahila T and Jamil MA: Primary Burkitt lymphoma of the ovary. Med J Malaysia. 61:363–365. 2006.PubMed/NCBI

6 

Crasta JA and Vallikad E: Ovarian lymphoma. Indian J Med Paediatr Oncol. 30:28–30. 2009. View Article : Google Scholar : PubMed/NCBI

7 

Zhang H, Lui F and Chen Y: A case of primary ovary non-Hodgkin's malignant lymphoma. Hunan Yi Ke Da Xue Xue Bao. 23:5161998.(In Chinese). PubMed/NCBI

8 

Fox H, Langley FA, Govan AD, Hill AS and Bennett MH: Malignant lymphoma presenting as an ovarian tumour: A clinicopathological analysis of 34 cases. Br J Obstet Gynaecol. 95:386–390. 1988. View Article : Google Scholar : PubMed/NCBI

9 

Sarina SJ and Song J: A case report and literature review of ‘double strike’ ovarian diffuse large b-fine. Gold lymphoma. Chin J PractGynecol Obstet. 38:247–249. 2022.

10 

Wei XX, Zhao Q, Li DP and Huang YH: Recent advances in diagnosis and treatment of double strike lymphoma. J Exp Hematol. 27:1311–1315. 2019.

11 

Li S, Saksena A, Desai P, Xu J, Zuo Z, Lin P, Tang G, Yin CC, Seegmiller A, Jorgensen JL, et al: Prognostic impact of history of follicular lymphoma, induction regimen and stem cell transplant in patients with MYC/BCL2 double hit lymphoma. Oncotarget. 7:38122–38132. 2016. View Article : Google Scholar : PubMed/NCBI

12 

Sehn LH and Salles G: Diffuse large B-cell lymphoma. N Engl J Med. 384:842–858. 2021. View Article : Google Scholar : PubMed/NCBI

13 

Zhuang Y, Che J, Wu M, Guo Y, Xu Y, Dong X and Yang H: Altered pathways and targeted therapy in double hit lymphoma. J Hematol Oncol. 15:262022. View Article : Google Scholar : PubMed/NCBI

14 

D'Angelo CR, Hanel W, Chen Y, Yu M, Yang D, Guo L, Karmali R, Burkart M, Ciccosanti C, David K, et al: Impact of initial chemotherapy regimen on outcomes for patients with double-expressor lymphoma: A multi-center analysis. Hematol Oncol. 39:473–482. 2021. View Article : Google Scholar : PubMed/NCBI

15 

Savage KJ, Johnson NA, Ben-Neriah S, Connors JM, Sehn LH, Farinha P, Horsman DE and Gascoyne RD: MYC gene rearrangements are associated with a poor prognosis in diffuse large B-cell lymphoma patients treated with R-CHOP chemotherapy. Blood. 114:3533–3537. 2009. View Article : Google Scholar : PubMed/NCBI

Related Articles

  • Abstract
  • View
  • Download
  • Twitter
Copy and paste a formatted citation
Spandidos Publications style
Zhang Y, Wang W and Chen T: Double‑hit primary lymphoma (MYC and BCL2) in the bilateral ovary: A case report. Oncol Lett 25: 141, 2023.
APA
Zhang, Y., Wang, W., & Chen, T. (2023). Double‑hit primary lymphoma (MYC and BCL2) in the bilateral ovary: A case report. Oncology Letters, 25, 141. https://doi.org/10.3892/ol.2023.13727
MLA
Zhang, Y., Wang, W., Chen, T."Double‑hit primary lymphoma (MYC and BCL2) in the bilateral ovary: A case report". Oncology Letters 25.4 (2023): 141.
Chicago
Zhang, Y., Wang, W., Chen, T."Double‑hit primary lymphoma (MYC and BCL2) in the bilateral ovary: A case report". Oncology Letters 25, no. 4 (2023): 141. https://doi.org/10.3892/ol.2023.13727
Copy and paste a formatted citation
x
Spandidos Publications style
Zhang Y, Wang W and Chen T: Double‑hit primary lymphoma (MYC and BCL2) in the bilateral ovary: A case report. Oncol Lett 25: 141, 2023.
APA
Zhang, Y., Wang, W., & Chen, T. (2023). Double‑hit primary lymphoma (MYC and BCL2) in the bilateral ovary: A case report. Oncology Letters, 25, 141. https://doi.org/10.3892/ol.2023.13727
MLA
Zhang, Y., Wang, W., Chen, T."Double‑hit primary lymphoma (MYC and BCL2) in the bilateral ovary: A case report". Oncology Letters 25.4 (2023): 141.
Chicago
Zhang, Y., Wang, W., Chen, T."Double‑hit primary lymphoma (MYC and BCL2) in the bilateral ovary: A case report". Oncology Letters 25, no. 4 (2023): 141. https://doi.org/10.3892/ol.2023.13727
Follow us
  • Twitter
  • LinkedIn
  • Facebook
About
  • Spandidos Publications
  • Careers
  • Cookie Policy
  • Privacy Policy
How can we help?
  • Help
  • Live Chat
  • Contact
  • Email to our Support Team