Spandidos Publications Logo
  • About
    • About Spandidos
    • Aims and Scopes
    • Abstracting and Indexing
    • Editorial Policies
    • Reprints and Permissions
    • Job Opportunities
    • Terms and Conditions
    • Contact
  • Journals
    • All Journals
    • Oncology Letters
      • Oncology Letters
      • Information for Authors
      • Editorial Policies
      • Editorial Board
      • Aims and Scope
      • Abstracting and Indexing
      • Bibliographic Information
      • Archive
    • International Journal of Oncology
      • International Journal of Oncology
      • Information for Authors
      • Editorial Policies
      • Editorial Board
      • Aims and Scope
      • Abstracting and Indexing
      • Bibliographic Information
      • Archive
    • Molecular and Clinical Oncology
      • Molecular and Clinical Oncology
      • Information for Authors
      • Editorial Policies
      • Editorial Board
      • Aims and Scope
      • Abstracting and Indexing
      • Bibliographic Information
      • Archive
    • Experimental and Therapeutic Medicine
      • Experimental and Therapeutic Medicine
      • Information for Authors
      • Editorial Policies
      • Editorial Board
      • Aims and Scope
      • Abstracting and Indexing
      • Bibliographic Information
      • Archive
    • International Journal of Molecular Medicine
      • International Journal of Molecular Medicine
      • Information for Authors
      • Editorial Policies
      • Editorial Board
      • Aims and Scope
      • Abstracting and Indexing
      • Bibliographic Information
      • Archive
    • Biomedical Reports
      • Biomedical Reports
      • Information for Authors
      • Editorial Policies
      • Editorial Board
      • Aims and Scope
      • Abstracting and Indexing
      • Bibliographic Information
      • Archive
    • Oncology Reports
      • Oncology Reports
      • Information for Authors
      • Editorial Policies
      • Editorial Board
      • Aims and Scope
      • Abstracting and Indexing
      • Bibliographic Information
      • Archive
    • Molecular Medicine Reports
      • Molecular Medicine Reports
      • Information for Authors
      • Editorial Policies
      • Editorial Board
      • Aims and Scope
      • Abstracting and Indexing
      • Bibliographic Information
      • Archive
    • World Academy of Sciences Journal
      • World Academy of Sciences Journal
      • Information for Authors
      • Editorial Policies
      • Editorial Board
      • Aims and Scope
      • Abstracting and Indexing
      • Bibliographic Information
      • Archive
    • International Journal of Functional Nutrition
      • International Journal of Functional Nutrition
      • Information for Authors
      • Editorial Policies
      • Editorial Board
      • Aims and Scope
      • Abstracting and Indexing
      • Bibliographic Information
      • Archive
    • International Journal of Epigenetics
      • International Journal of Epigenetics
      • Information for Authors
      • Editorial Policies
      • Editorial Board
      • Aims and Scope
      • Abstracting and Indexing
      • Bibliographic Information
      • Archive
    • Medicine International
      • Medicine International
      • Information for Authors
      • Editorial Policies
      • Editorial Board
      • Aims and Scope
      • Abstracting and Indexing
      • Bibliographic Information
      • Archive
  • Articles
  • Information
    • Information for Authors
    • Information for Reviewers
    • Information for Librarians
    • Information for Advertisers
    • Conferences
  • Language Editing
Spandidos Publications Logo
  • About
    • About Spandidos
    • Aims and Scopes
    • Abstracting and Indexing
    • Editorial Policies
    • Reprints and Permissions
    • Job Opportunities
    • Terms and Conditions
    • Contact
  • Journals
    • All Journals
    • Biomedical Reports
      • Information for Authors
      • Editorial Policies
      • Editorial Board
      • Aims and Scope
      • Abstracting and Indexing
      • Bibliographic Information
      • Archive
    • Experimental and Therapeutic Medicine
      • Information for Authors
      • Editorial Policies
      • Editorial Board
      • Aims and Scope
      • Abstracting and Indexing
      • Bibliographic Information
      • Archive
    • International Journal of Epigenetics
      • Information for Authors
      • Editorial Policies
      • Editorial Board
      • Aims and Scope
      • Abstracting and Indexing
      • Bibliographic Information
      • Archive
    • International Journal of Functional Nutrition
      • Information for Authors
      • Editorial Policies
      • Editorial Board
      • Aims and Scope
      • Abstracting and Indexing
      • Bibliographic Information
      • Archive
    • International Journal of Molecular Medicine
      • Information for Authors
      • Editorial Policies
      • Editorial Board
      • Aims and Scope
      • Abstracting and Indexing
      • Bibliographic Information
      • Archive
    • International Journal of Oncology
      • Information for Authors
      • Editorial Policies
      • Editorial Board
      • Aims and Scope
      • Abstracting and Indexing
      • Bibliographic Information
      • Archive
    • Medicine International
      • Information for Authors
      • Editorial Policies
      • Editorial Board
      • Aims and Scope
      • Abstracting and Indexing
      • Bibliographic Information
      • Archive
    • Molecular and Clinical Oncology
      • Information for Authors
      • Editorial Policies
      • Editorial Board
      • Aims and Scope
      • Abstracting and Indexing
      • Bibliographic Information
      • Archive
    • Molecular Medicine Reports
      • Information for Authors
      • Editorial Policies
      • Editorial Board
      • Aims and Scope
      • Abstracting and Indexing
      • Bibliographic Information
      • Archive
    • Oncology Letters
      • Information for Authors
      • Editorial Policies
      • Editorial Board
      • Aims and Scope
      • Abstracting and Indexing
      • Bibliographic Information
      • Archive
    • Oncology Reports
      • Information for Authors
      • Editorial Policies
      • Editorial Board
      • Aims and Scope
      • Abstracting and Indexing
      • Bibliographic Information
      • Archive
    • World Academy of Sciences Journal
      • Information for Authors
      • Editorial Policies
      • Editorial Board
      • Aims and Scope
      • Abstracting and Indexing
      • Bibliographic Information
      • Archive
  • Articles
  • Information
    • For Authors
    • For Reviewers
    • For Librarians
    • For Advertisers
    • Conferences
  • Language Editing
Login Register Submit
  • This site uses cookies
  • You can change your cookie settings at any time by following the instructions in our Cookie Policy. To find out more, you may read our Privacy Policy.

    I agree
Search articles by DOI, keyword, author or affiliation
Search
Advanced Search
presentation
Oncology Letters
Join Editorial Board Propose a Special Issue
Print ISSN: 1792-1074 Online ISSN: 1792-1082
Journal Cover
April-2023 Volume 25 Issue 4

Full Size Image

Sign up for eToc alerts
Recommend to Library

Journals

International Journal of Molecular Medicine

International Journal of Molecular Medicine

International Journal of Molecular Medicine is an international journal devoted to molecular mechanisms of human disease.

International Journal of Oncology

International Journal of Oncology

International Journal of Oncology is an international journal devoted to oncology research and cancer treatment.

Molecular Medicine Reports

Molecular Medicine Reports

Covers molecular medicine topics such as pharmacology, pathology, genetics, neuroscience, infectious diseases, molecular cardiology, and molecular surgery.

Oncology Reports

Oncology Reports

Oncology Reports is an international journal devoted to fundamental and applied research in Oncology.

Experimental and Therapeutic Medicine

Experimental and Therapeutic Medicine

Experimental and Therapeutic Medicine is an international journal devoted to laboratory and clinical medicine.

Oncology Letters

Oncology Letters

Oncology Letters is an international journal devoted to Experimental and Clinical Oncology.

Biomedical Reports

Biomedical Reports

Explores a wide range of biological and medical fields, including pharmacology, genetics, microbiology, neuroscience, and molecular cardiology.

Molecular and Clinical Oncology

Molecular and Clinical Oncology

International journal addressing all aspects of oncology research, from tumorigenesis and oncogenes to chemotherapy and metastasis.

World Academy of Sciences Journal

World Academy of Sciences Journal

Multidisciplinary open-access journal spanning biochemistry, genetics, neuroscience, environmental health, and synthetic biology.

International Journal of Functional Nutrition

International Journal of Functional Nutrition

Open-access journal combining biochemistry, pharmacology, immunology, and genetics to advance health through functional nutrition.

International Journal of Epigenetics

International Journal of Epigenetics

Publishes open-access research on using epigenetics to advance understanding and treatment of human disease.

Medicine International

Medicine International

An International Open Access Journal Devoted to General Medicine.

Journal Cover
April-2023 Volume 25 Issue 4

Full Size Image

Sign up for eToc alerts
Recommend to Library

  • Article
  • Citations
    • Cite This Article
    • Download Citation
    • Create Citation Alert
    • Remove Citation Alert
    • Cited By
  • Similar Articles
    • Related Articles (in Spandidos Publications)
    • Similar Articles (Google Scholar)
    • Similar Articles (PubMed)
  • Download PDF
  • Download XML
  • View XML
Article Open Access

Endoscopic full‑thickness resection with clip‑ and snare‑assisted traction for gastric submucosal tumours in the fundus: A single‑centre case series

  • Authors:
    • Liujing Ni
    • Xiaolin Liu
    • Airong Wu
    • Chenyan Yu
    • Chentao Zou
    • Guoting Xu
    • Chao Wang
    • Xin Gao
  • View Affiliations / Copyright

    Affiliations: Department of Gastroenterology, The First Affiliated Hospital of Soochow University, Suzhou, Jiangsu 215000, P.R. China
    Copyright: © Ni et al. This is an open access article distributed under the terms of Creative Commons Attribution License.
  • Article Number: 151
    |
    Published online on: March 3, 2023
       https://doi.org/10.3892/ol.2023.13737
  • Expand metrics +
Metrics: Total Views: 0 (Spandidos Publications: | PMC Statistics: )
Metrics: Total PDF Downloads: 0 (Spandidos Publications: | PMC Statistics: )
Cited By (CrossRef): 0 citations Loading Articles...

This article is mentioned in:



Abstract

Exposed endoscopic full‑thickness resection (Eo‑EFTR) has been recognized as a feasible therapy for gastrointestinal submucosal tumours (SMTs) originating deep in the muscularis propria layer; however, Eo‑EFTR is difficult to perform in a retroflexed fashion in the gastric fundus. As a supportive technique, clip‑ and snare‑assisted traction may help expose the surgical field and shorten the operation time in endoscopic resection of difficult regions. However, the application of clip‑ and snare‑assisted traction in Eo‑EFTR of SMTs in the gastric fundus is limited. Between April 2018 and December 2021, Eo‑EFTR with clip‑ and snare‑assisted traction was performed in 20 patients with SMTs in the gastric fundus at The First Affiliated Hospital of Soochow University. The relevant clinical data were collected retrospectively for all of the patients and analysed. All 20 patients underwent Eo‑EFTR successfully without conversion to open surgery or severe adverse events. The en bloc resection rate and R0 resection rate were both 100%. Two patients had abdominal pain and fever after the operation, and five patients had fever, which recovered with medical therapy. No complications, such as delayed bleeding or delayed perforation, were observed. The postoperative pathology indicated that 19 cases were gastrointestinal stromal tumours and one case was leiomyoma. During the follow‑up, no residual tumour, local recurrence or distant metastasis was detected by endoscopy or abdominal computed tomography. In conclusion, Eo‑EFTR with clip‑ and snare‑assisted traction appears to be a relatively safe and effective treatment for gastric SMTs in the fundus. However, prospective studies on a larger sample size are required to verify the effect of the clip‑ and snare‑assisted traction in Eo‑EFTR.

Introduction

Submucosal tumours (SMTs) are a kind of lesion that originates below the mucosal layer (1). The incidence of gastric SMTs (G-SMTs) is lower than that of gastric mucosal tumours, and the related clinical symptoms appear later (2). G-SMTs generally do not produce clinical symptoms in the early stage of onset. Most of them are found by physical examination or for other reasons (3). Most G-SMTs are benign, and only some are malignant (4,5). The most common type of SMT is a gastrointestinal stromal tumour (GIST), followed by leiomyoma and ectopic pancreas (6). All GISTs have the potential for malignant transformation, with 10–30% becoming malignant tumours, so it is of great significance to diagnose and treat them early (7–9). GISTs are the most common mesenchymal tumours in the gastrointestinal tract and are widely located, especially in the stomach (10). In GISTs, endoscopic ultrasonography (EUS) showed hypoechoic lesions in the muscularis propria (MP) of the stomach (11). At present, the clinical treatment of G-SMTs, including GISTs, is mainly surgical resection (12).

With the development of endoscopic technology, early carcinoma of the digestive tract and some SMTs can now be resected endoscopically (13,14). In recent years, endoscopic submucosal dissection (ESD) has been widely used to treat gastrointestinal tumours, including SMTs (15–17). The feasibility, safety, and effectiveness of endoscopic therapy have been proven by many studies (18–22). ESD can completely remove gastric lesions with a diameter smaller than 3 cm, which is conducive to postoperative recovery and reduces body damage (23). If the tumours originate deep in the MP or adhere to the serosa layer, perforation and incomplete resection more easily occur during ESD (24,25). In this case, exposed endoscopic full-thickness resection (Eo-EFTR), derived from ESD, is used to address the problem and reduces the incidence of residual tumours (26,27). Based on ESD, Eo-EFTR is a treatment method involving completely removing the tumours by actively manufacturing digestive tract perforations and then closing the perforation sites (28). Eo-EFTR effectively removes the tissue of SMTs, reduces the risk of recurrence, and does not increase the incidence of complications (29,30).

The effect of surgical resection is easily affected by the location and size of the tumours (31). For example, the gastric fundus is a difficult area in which to operate because of its peculiar anatomical location. The lesions in the gastric fundus are difficult to access with the front end of the endoscope, especially when they have extraluminal growth (32–34). Therefore, our study selected a method called clip- and snare-assisted traction to promote the resection of SMTs. Clip- and snare-assisted traction is performed by clamping the edge of the cut lesion mucosa with the snare device and metallic clip and then pushing or pulling the snare device to achieve traction and expose the submucosa, providing a better surgical field of vision (35). Clip- and snare-assisted traction technology can effectively shorten the operation time and reduce complications (36).

Therefore, our study recorded and reported 20 consecutive cases to explore the safety and effectivity of Eo-EFTR with clip- and snare-assisted traction for G-SMTs in the fundus.

Materials and methods

Study design and patients

This study was designed as a single-arm, retrospective, case-series study. Data from 20 patients who underwent EUS and abdominal computed tomography (CT) before undergoing Eo-EFTR for SMTs in the gastric fundus at the First Affiliated Hospital of Soochow University from April 2018 to December 2021 were retrospectively enrolled. The median age of the patients was 58 (50–68) years.

The patient inclusion criteria were as follows: i) G-SMTs arising from the muscularis propria (MP) layer, which were confirmed by EUS; ii) abdominal CT before endoscopic resection showed no sign of lymph node involvement or distant metastasis; iii) the location of the SMTs was in the gastric fundus; and iv) Eo-EFTR with clip- and snare-assisted traction was chosen to resect the tumours.

Patients who met any of the following criteria were excluded: i) Metastatic disease revealed on EUS or abdominal CT; ii) continuous use of anticoagulants or coagulation disorders; iii) severe cardiopulmonary dysfunction; iv) anaesthesia allergy; and v) lack of informed consent.

The following data were extracted: Sex, age, lesion characteristics (size, location, and origin of tumours), operating time (from submucosal injection to the accomplishment of the wound suture), en bloc resection (that is, complete resection without tumour rupture or bleeding), R0 resection (that is, the tumours are removed completely without disruption of the tumour capsule, and the lateral and vertical margins were negative), the success rate of the procedure, surgical conversion, intraoperative complication, pro-operative complication, hospital stay after the procedure, pathology, National Institutes of Health (NIH) classification of GISTs, and follow-up period.

All of our patients underwent Eo-EFTR by an experienced endoscopist. This study was approved by the Ethics Committee of the First Affiliated Hospital of Soochow University [ethical approval number: (2022) No. 384], and it was performed following The Helsinki Declaration. The requirement for informed consent was waived due to the retrospective nature of the study.

Endoscopic equipment and accessories

Full-thickness resection was performed by employing a standard single-channel endoscope (GIT-H290, Olympus). A transparent cap (D-201-11304; Olympus) was attached to the front of the endoscope. An IT knife (KD-611 L; Olympus, Tokyo, Japan) and a Dual Knife (KD-655 L; Olympus) were used for incision and dissection. A clip (ROCC-D-26-195, Microtech Nanjing, China) and a snare (Snare Master; Olympus; Japan) were used to assist in the traction of lesions. A high frequency generator (ICC-200, ERBE, Erbe Elektromedizin GmbH, Tübingen, Germany) and hot biopsy forceps (FD-410LR, Olympus) were used to achieve intraoperative haemostasis. Other equipment consisted of injection needles (NM-4L-1, Olympus), endoloops (LeCampTM, Changzhou, China), and carbon dioxide insufflation (Olympus).

Preoperative evaluation and procedures

All patients underwent a preoperative evaluation to identify contraindications for Eo-EFTR. EUS was performed to identify the depth of invasion and the risk of malignant transformation. Abdominal enhanced CT was performed to exclude lymph node involvement and distant metastasis before Eo-EFTR, in which case patients were converted to surgery.

Conventional examinations were performed to evaluate the health condition of the patients, such as electrocardiograms, routine blood tests, liver and kidney function tests, serum electrolyte assessments, etc.

All patients underwent procedures under monitored anaesthesia care with endotracheal intubation.

The Eo-EFTR procedure involved the following consecutive steps (Fig. 1): (a) Marking: The edge of the lesion was marked with a Dual Knife; (b) Injection: A mixed solution (including indigo carmine, 1:2,000 epinephrine, and normal saline) was injected submucosally; (c) Incision: An incision was made in the mucosal and submucosal layers along the marked points by a Dual knife. (d) Clip- and snare-assisted traction: i) The gastroscope was withdrawn from the body, and the snare was opened and placed on the front end of the transparent cap of the gastroscope. ii) The gastroscope was used to bring the snare into the gastric cavity. iii) A metallic clip was inserted into the gastroscopic biopsy hole, and the snare was grabbed by the metallic clip to trap the tumour. iv) The snare was tightened, the tumour was pushed or pulled upwards, and the surgical field was exposed at the edge of the lesion after traction. (e) Resection: The MP and serosa around the tumour were resected with an IT knife. (f) After complete resection, the tumour was removed from the stomach with the help of the tightened snare. (g) Defect closure: When the diameter of the perforation was relatively small (<1 cm), metallic clips were used to repair the defect. In other cases of a larger wound or perforation, the purse-string suture technique was used instead. The specific operation method of purse-string suture: The metal clip fixes the nylon rope along the perforation edge, then uses the nylon rope to surround the wound to be closed, and finally tightens the nylon rope to make the gastric wall mucosa around the wound converge to the perforation centre to close the perforation. (h) Haemostasis: Throughout the procedure, adequate haemostasis was ensured as soon as a bleeding spot or active bleeding was detected. (i) Finally, the lesions were fixed and sent for pathological examination.

Figure 1.

Eo-EFTR procedure: (A) The edge of the lesion was marked; (B) A mixed solution was injected submucosally which showed a non-lifting sign; (C) An incision was made in the mucosal and submucosal layers along the marked points; (D) clip- and snare-assisted traction; (E) The MP and serosa around the tumour were resected with an IT knife; (F and G) The defect was closed by the purse-string suture technique; (H) The tumour was removed from the stomach after complete resection.

Postoperative management and follow-up

The patients were monitored with electrocardiography on the day of surgery, and oxygen was administered if necessary. The patients fasted for 24–48 h after the operation. During the fasting period, they were given intravenous fluids, including antibiotics, proton pump inhibitors (PPIs), haemostasis and nutritional support. Gastrointestinal decompression was administered to reduce the stimulation of digestive juice in response to the lesions. If there was no significant discomfort, the gastric tube was removed, and a liquid diet was started. Patients gradually returned to a normal diet as tolerated. The patients were monitored for bleeding, perforation, fever, abdominal pain, and other complications through observation of clinical symptoms and laboratory examinations. The patients were discharged when no obvious symptoms or complications were present. Gastroscopy and abdominal CT were performed regularly after the operation to monitor wound healing in cases of tumour recurrence or metastasis.

Results

Patient characteristics

The patients' characteristics are listed in Table I. There were 20 patients undergoing Eo-EFTR for SMTs in the gastric fundus at the First Affiliated Hospital of Soochow University from April 2018 to December 2021. Among these 20 patients, there were 12 males and 8 females, with a median age of 58 years. In the 20 patients, the lesions were located in the gastric fundus. All tumours originated from the deep part of the MP or adhered to the serosa layer, and some of them showed partial extraluminal growth. The median diameter of the lesions was 1.0 cm (range 0.3-2.0 cm). Of the 20 patients, the indications for endoscopic resection included EUS features of irregular edges (1/20), short-term enlargement of the tumours (1/20), patients' preference (5/20), and EUS features of heterogeneous echoes (13/20).

Table I.

Patient characteristics (n=20).

Table I.

Patient characteristics (n=20).

VariableValue
Median age, years (range)58 (50–68)
Sex, n
  Male/female12/8
Median tumour diameter, cm (range)1.0 (0.3-2.0)
Tumour location, n
  Gastric fundus20
Origin of tumours, n
  Muscularis propria20
Indication for resection, n
  Short-term enlargement of the tumour1
  EUS features of irregular edges1
  Patient preference5
  EUS features of heterogeneous echoes13
Pathology, n
  GIST19
  Leiomyoma1
NIH classification of GISTs, n
  Very low16
  Low2
  Intermediate1
  High0

[i] GIST, gastrointestinal stromal tumour; EUS, endoscopic ultrasonography; NIH, National Institutes of Health.

Operation-related data

The procedure-associated data are shown in Table II. The average operation time was 62.90 min (range 25–130 min). Haemorrhaging was effectively treated during the operation, and there was no severe bleeding due to the high-frequency generator, metallic clips, and hot biopsy forceps. Intraoperative perforations were closed via the purse-string suture technique or simple metallic clips, with 11 cases treated with clips and the rest treated with the purse-string suture technique. All endoscopic resections were performed successfully, and none of them were converted to open surgery. The en bloc resection rate was 100%. None the tumours resected during the operation fell into the abdominal cavity, which can lead to a risk of tumour dissemination. No pneumoperitoneum occurred during the procedure. The average length of hospital stay after the procedure was 5.2 days (range 4–9 days).

Table II.

Procedure-associated data for patients (n=20).

Table II.

Procedure-associated data for patients (n=20).

VariableValue
En bloc resection, %100
R0 resection, %100
Surgical conversion, %0
Intraoperative complications, n (%)
  Active perforation20 (100)
  Severe haemorrhage0 (0)
  Pneumoperitoneum0 (0)
  Tumour falling into the abdominal cavity0 (0)
Perforation repair method, n (%)
  Conventional metallic clip closure11 (55)
  Purse-string suturing9 (45)
Postoperative complications, n (%)
  Abdominal pain2 (10)
  Fever7 (35)
  Delayed perforation0 (0)
  Delayed haemorrhage0 (0)
  Abdominal abscess0 (0)
  Peritonitis0 (0)
Average procedure time, min (range)62.9 (25–130)
Average hospital stay after procedure, days (range)5.2 (4–9)
Average follow-up period, months (range)15.3 (6–45)
Local recurrence, %0 (0)
Residual/Metastatic tumour, %0 (0)
Complications

Delayed perforation, delayed haemorrhage, fistula, abdominal abscess or peritonitis were not observed after the procedure. After the procedure, 2 patients developed abdominal pain and fever, 5 patient developed fever only, and all of them returned to normal after conservative treatment (Table II).

A 68-year-old male developed median abdominal pain and bloating, along with fever. The maximum body temperature was 38.0°C. Mild tenderness over the left upper abdomen was found on physical examination. Thereafter, abdominal CT was performed to exclude delayed perforation and peritonitis and revealed mild pneumoperitoneum and hydrothorax. After administering anti-infection (imipenem), spasm relieving (magnesium sulphate), and acid suppression (esomeprazole) treatments, his symptoms were resolved completely. The patient was discharged on the seventh day after the procedure. Other patients who developed mild abdominal pain or fever were treated with symptomatic treatment.

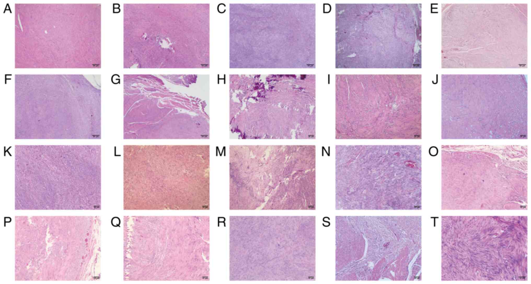
Pathology

The postoperative pathology showed GISTs in 19 patients, and leiomyoma in one patient (Table I; Fig. 2). The R0 resection rate was 100% (Table II). 19 GISTs had a very low risk or a low risk of recurrence because no more than 5 mitoses were seen per 50 high-power fields (HPF). One GIST showed 8 mitoses per 50 HPF, indicating an intermediate risk of recurrence (Table I).

Figure 2.

Histopathology of G-SMTs: (A) The pathology image suggested a leiomyoma (HE ×20); (B-T): The pathology images suggested GISTs (B-G: HE ×20, H-S: HE ×40, T: HE ×100). G-SMTs, gastric submucosal tumours; GISTs, gastrointestinal stromal tumours.

Follow-up

Each patient underwent endoscopic surveillance after Eo-EFTR. The average follow-up time was 15.3 months (range 6–45 months). The wound healed well, and no local recurrence or residual tumour was observed. Abdominal CT is not performed routinely except for in medium- and high-risk patients. The medium-risk patient aged 55 was examined by CT every six months, and no metastatic tumours were found (Table II).

Discussion

Most G-SMTs are identified by chance with endoscopy because of atypical symptoms (37). G-SMTs include GISTs, leiomyomas, calcifying fibroma lipoma, ectopic pancreas, and so on (38). Among these, GISTs are the most common mesenchymal tissue-derived tumours in the gastrointestinal tract (39). Nevertheless, GISTs have a certain probability of malignant transformation (7). It is estimated that the annual incidence of GIST is approximately 11–15 per million individuals (40,41). Therefore, early diagnosis and treatment are quite significant for GISTs. According to the National Comprehensive Cancer Network (NCCN) guidelines, EUS-guided fine-needle aspiration biopsy is the preferred method to use in the diagnosis of GISTs owing to the risk of tumour haemorrhage or rupture with other methods, such as endoscopic biopsy and hollow-core needle biopsy (42). GISTs can usually be successfully diagnosed based on histopathological morphology, immunohistochemistry, and molecular biology (43,44). The treatment for GISTs includes surgical treatment, drug treatment, and endoscopic treatment (43). When the diameter is ≥2 cm, surgical resection with or without targeted therapy is usually the first choice for GISTs. When the GIST diameter is <2 cm, the NCCN guidelines recommend active follow-up if there is no sign of high-risk malignant transformation (45). Studies in Japan and Europe suggest that once a GIST is confirmed histologically, resection should be performed regardless of the diameter (43,46,47).

With the development of endoscopic technology, endoscopic surgery has gradually begun to be applied to the treatment of SMTs such as GISTs. Most studies have shown that the en bloc resection rate for endoscopic resection of tumours originating from the MP can reach up to 96–100% (34,48–51). Compared with surgery, endoscopic treatment has the advantages of equivalent curative effects, less trauma, rapid recovery, and less impact on organ function (52). A retrospective study comparing the efficacy of surgery and endoscopic treatment showed that EFTR has the advantage of less blood loss, shorter bowel function restoration time, and lower hospital costs. The lower en bloc resection rate and higher tumour capsule rupture rate of EFTR should be notable (48,53). To date, the main indications for endoscopic treatment of GISTs include i) GISTs with tumour enlargement in a short time and a strong willingness for endoscopic treatment; ii) preoperative evaluation excluding lymph nodes or distant metastasis; and iii) low-risk GISTs with diameters between 2 and 5 cm (54). However, when the tumour diameter is less than 2 cm, regular follow-up may increase the economic burden and anxiety. Once the tumour suddenly increases, the opportunity for timely treatment may be lost, resulting in increased risks. Therefore, patients who cannot be followed up regularly may choose elective endoscopic resection (55). The commonly used endoscopic treatments for GISTs include ESD, submucosal tunnelling endoscopic resection, EFTR and laparoscopic and endoscopic cooperative surgery (56–58). EFTR should be selected when EUS and abdominal enhanced CT identify that the tumour originates from the MP adhering to the serosa layer or with the exophytic growth pattern (27,59). Therefore, 20 cases of gastric SMTs in the fundus originating from the MP were treated with Eo-EFTR. Due to the need for retroflexion of the endoscope when tumours are located in the gastric fundus, the gastroscope has difficulty getting close to the deep part of lesions, which increases the difficulty of complete resection (36,60,61). Given this, plenty of auxiliary traction options have been developed for use during endoscopic treatment, including the clip-with-line method, snare traction, clip-snare traction, grasping forceps traction, transparent cap traction, the suture loop needle-T tag tissue anchors method, the robot-assisted method, and magnetic anchor technology (62).

The advantages of the clip- and snare-assisted traction featured in our study consist of the following: i) Simple device: Clips and snares are common devices that are available in most hospitals. ii) Widespread application: Clip- and snare-assisted traction can be used in multiple parts of the gastrointestinal tract. For difficult parts, the surgical field of vision can be effectively expanded by applying auxiliary traction to improve the success rate of the operation. iii) Flexible traction: Different directions can be selected by pushing or pulling the snare. The snare can also be used to adjust the traction force to meet the different needs of the treatment (36,63).

However, there are also some knacks and pitfalls in the clip- and snare-assisted traction. First, the operation of clip- and snare-assisted traction is difficult, which requires endoscopists to have rich experience and competent operative ability. Second, the traction force is affected by the hardness of the snare, and the softer snare is not easy to change the direction of the tumour during the operation. Finally, excessive traction force or clamping too little gastric mucosa will easily cause the titanium clip to fall off from the mucosa, consuming the operation time and increasing mucosal damage (64).

Compared with traditional ESD, EFTR involves an iatrogenic perforation. The larger the postoperative wound is, the slower the wound healing. Therefore, it is critical to effectively close the lesion defect (65). In this study, two methods were used to repair the perforation. When the perforation was <1 cm, conventional metallic clip closure was used. When the defect was ≥1 cm, purse-string suturing was selected. The advantages of purse-string suturing are as follows: i) It is suitable for perforations with a relatively large diameter. ii) It is easily controlled. iii) The spacing between metallic clips is more than 5 mm, which can reduce the need for additional clips. iv) By tightening the nylon rope, mucosal aggregation can promote wound closure without leaving gaps and prevent the leakage of gastrointestinal contents into the abdominal cavity (66,67). There are other methods of defect closure after Eo-EFTR, such as over-the-scope clips (OTSCs), which are suitable for closing larger defects after Eo-EFTR than endoscopic purse-string sutures, but the equipment is expensive and limited to lesions <3 cm, resulting in limitations to their clinical application (68–73). Omental patches, fibrin glue, endoscopic puncture suture devices, and the overstitch system are also used to repair therapeutic perforations (74–77).

The operation time in our study was 62.9 min (range 25–130 min). Tan et al reported that the mean procedure time for conventional EFTR (n=32) for GISTs was 69.1±27.0 min (78). In addition, Hu et al showed a procedure time of 130.6±51.9 min in the traditional EFTR group (n=20) (61), indicating that our study had a shorter operative time than other studies that did not use traction. Li et al found that the mean time for EFTR assisted by dental floss and a haemoclip for G-SMTs in the fundus was 44.2±24.4 min (79). In a retrospective study consisting of 13 patients treated with thread-traction-assisted EFTR, the mean procedure time was 71.9±30.5 min (80). Effective traction methods can reduce the difficulty of endoscopic surgery, reduce the operation time to a certain extent, and reduce the risk of complications, while the efficacy and safety of surgery are also affected by the experience of the endoscopist and the size and location of the lesions (81,82).

The main complications of EFTR were delayed bleeding and perforation. Related studies have reported that complications after EFTR also include peritonitis, abdominal abscess, subcutaneous emphysema, and mediastinal emphysema (59). Granata A et al reported that the pooled estimates for overall delayed bleeding and delayed perforation were 0.14 and 0.14%, respectively (83). Appropriate haemostasis measures and defect repair are important means to preventing postoperative bleeding and perforations. Additionally, the time of resumption of a normal diet, gastrointestinal decompression, and the use of PPIs and antibiotics also have a certain impact on the occurrence of postoperative complications (84). When conservative treatment is ineffective, endoscopic exploration should be carried out in a timely manner to effectively treat bleeding points or perforation sites. If endoscopic treatment is ineffective, further surgery is required (59). Most studies reported no major complications in EFTR (51,61,73,85). None of our patients experienced delayed perforation or haemorrhage. In a study reported by Tan et al where 32 patients with tumours originating from the MP were treated with EFTR, delayed bleeding was seen in 1 patient, and abdominal pain with low-grade fever was seen in 4 patients (78). Another study including 192 patients by Li et al (79) reported that pneumoperitoneum was seen in 7 (3.6%) patients, hydrothorax was seen in 6 (3.1%) patients, and post-EFTR electrocoagulation syndrome was seen in 18 (9.4%). No significant pneumoperitoneum occurred in our study. The reasons may be: i) The use of carbon dioxide insufflation during the operation could reduce the incidence of pneumoperitoneum; ii) The exposure time of abdominal cavity is controlled by endoscopists. iii) During the exposure of the patient's abdominal cavity, the endoscopy physician will try to reduce the gas injection to avoid excessive gas entering the abdominal cavity. In our study, after the endoscopic suture, the patients' abdomen will be palpated to assess the abdominal tension. If the tension is judged to be high, a Veress needle will be used for decompression.

The postoperative pathology of the 19 patients was GISTs, including 18 cases with mitotic images <5/50 HPF and 1 case with mitotic images of 8/50 HPF. Medium- and high-risk patients are advised to undergo additional treatment, such as molecular targeted therapy or additional surgery, according to the guidelines (43). The NIH grading standard divides the risk of postoperative recurrence into four grades by considering the size, location, and mitotic image of the patient's tumour (86). In our study, 16 cases were very low risk, 2 cases were low risk, and 1 case was medium risk. The patient with a moderate risk was given imatinib targeted therapy and followed up regularly. The last follow-up showed that the tumour had healed well without signs of recurrence or distant metastasis.

The success rate, complete resection rate, and R0 resection rate in this study were 100%. There was no conversion to surgery, and there were no serious adverse events or complications during or after the operation. During postoperative follow-up, all patients healed well without recurrence or distant metastasis. Our results show the feasibility, safety, and effectiveness of Eo-EFTR with clip- and snare-assisted traction for G-SMTs in the fundus. Most of the studies compared the effectiveness of EFTR and surgery, showing the advantages of EFTR, such as a shorter operation time and faster cure time (53,87). Some studies have indicated that when the lesions are too large (more than 3 cm) or there are contraindications (distant metastasis), the recurrence rate and complete resection rate of endoscopic treatment are lower than those of surgery (53). At this time, surgery is a more appropriate choice.

This study had several limitations. First of all, it is a single-centre and retrospective study, which may cause selection bias and retrospective bias. Secondly, this study was descriptive and lacked a control group. Due to the difficulty of traditional Eo-EFTR in the gastric fundus, it is difficult to collect cases in the control group. So more data need to be further collected in the future. Moreover, the object of this study are the G-SMTs, which does not involve gastric cancer cases. If possible, auxiliary traction can be applied to the endoscopic resection of gastric cancers in the future, and the effectiveness and safety of endoscopic therapy combined with auxiliary traction in gastric cancer cases can be evaluated. Finally, a prospective or retrospective study with a larger sample size is needed to further confirm the feasibility and efficacy of Eo-EFTR with clip- and snare-assisted traction for G-SMTs in the fundus, as the sample size of this study is small.

After this study, we will conduct a retrospective case-control study to compare the traditional and assisted traction Eo-EFTR and identify the specific advantages (such as less operative time and complications) of traction methods in Eo-EFTR through data analysis. In addition, we will also learn and study other traction methods, such as multiple clips- and snare-assisted traction, clip-with-line method, etc. Through the collection of data, the characteristics of different traction methods will be compared to find a more suitable and effective traction method for Eo-EFTR.

In conclusion, Eo-EFTR with clip- and snare-assisted traction appears to be a relatively safe and effective treatment for gastric SMTs in the fundus. The traction method can shorten the operative time to a certain extent and don't increase the incidence of complications.

Acknowledgments

Not applicable.

Funding

This study was funded by the National Natural Science Foundation of China (grant no. 81900508) and the Natural Science Foundation of Jiangsu Province (grant no. BK20190172).

Availability of data and materials

The datasets used and/or analysed during the current study are available from the corresponding author on reasonable request.

Authors' contributions

LN and XG confirm the authenticity of all the raw data. All persons who meet authorship criteria are listed as authors, and all authors certify that they have participated sufficiently in the work to take public responsibility for the content. LN, XL, CY, XG, CW and AW participated in the conception, design and data acquisition. LN, CZ and GX were involved with data analysis and interpretation. LN and CW wrote the draft. XG, XL and AW revised the final manuscript. All authors read and approved the final manuscript.

Ethics approval and consent to participate

This study was approved by the Ethics Committee of the First Affiliated Hospital of Soochow University [ethical approval number: (2022) No. 384]. The requirement for informed consent was waived due to the retrospective nature of the study.

Patient consent for publication

Written informed consent for publication was obtained from all participants in the study.

Competing interests

The authors declare that they have no competing interests.

References

1 

Zhang J, Huang K, Ding S, Wang Y, Nai T, Huang Y and Zhou L: Clinical applicability of various treatment approaches for upper gastrointestinal Submucosal tumors. Gastroenterol Res Pract. 2016:94306522016. View Article : Google Scholar : PubMed/NCBI

2 

Song JH, Kim SG, Chung SJ, Kang HY, Yang SY and Kim YS: Risk of progression for incidental small subepithelial tumors in the upper gastrointestinal tract. Endoscopy. 47:675–679. 2015. View Article : Google Scholar : PubMed/NCBI

3 

Gaspar JP, Stelow EB and Wang AY: Approach to the endoscopic resection of duodenal lesions. World J Gastroenterol. 22:600–617. 2016. View Article : Google Scholar : PubMed/NCBI

4 

Ikehara H, Li Z, Watari J, Taki M, Ogawa T, Yamasaki T, Kondo T, Toyoshima F, Kono T, Tozawa K, et al: Histological diagnosis of gastric submucosal tumors: A pilot study of endoscopic ultrasonography-guided fine-needle aspiration biopsy vs mucosal cutting biopsy. World J Gastrointest Endosc. 7:1142–1149. 2015. View Article : Google Scholar : PubMed/NCBI

5 

Nishida T, Goto O, Raut CP and Yahagi N: Diagnostic and treatment strategy for small gastrointestinal stromal tumors. Cancer. 122:3110–3118. 2016. View Article : Google Scholar : PubMed/NCBI

6 

Nishida T, Kawai N, Yamaguchi S and Nishida Y: Submucosal tumors: Comprehensive guide for the diagnosis and therapy of gastrointestinal submucosal tumors. Dig Endosc. 25:479–489. 2013. View Article : Google Scholar : PubMed/NCBI

7 

Fletcher CD: The evolving classification of soft tissue tumours-an update based on the new 2013 WHO classification. Histopathology. 64:2–11. 2014. View Article : Google Scholar : PubMed/NCBI

8 

Dematteo RP, Gold JS, Saran L, Gonen M, Liau KH, Maki RG, Singer S, Besmer P, Brennan MF and Antonescu CR: Tumor mitotic rate, size, and location independently predict recurrence after resection of primary gastrointestinal stromal tumor (GIST). Cancer. 112:608–615. 2008. View Article : Google Scholar : PubMed/NCBI

9 

von Mehren M and Joensuu H: Gastrointestinal stromal tumors. J Clin Oncol. 36:136–143. 2018. View Article : Google Scholar : PubMed/NCBI

10 

Wang D, Ding Q, Cao L, Feng X, Zhang Z, Lu P, Ji X, Li L, Tian D and Liu M: Clinical outcomes of endoscopic treatment for gastric gastrointestinal stromal tumors: A single-center study of 240 cases in China. Scand J Gastroenterol. 57:996–1004. 2022. View Article : Google Scholar : PubMed/NCBI

11 

Guo J, Liu Z, Sun S, Wang S, Ge N, Liu X, Wang G and Liu W: Endosonography-assisted diagnosis and therapy of gastrointestinal submucosal tumors. Endosc Ultrasound. 2:125–133. 2013. View Article : Google Scholar : PubMed/NCBI

12 

Capkinoglu E, Durak E, Acar N, Acar T, Kamer E and Haciyanli M: Comparison of laparoscopic and open resections for gastric gastrointestinal stromal tumors (GISTs). Ann Ital Chir. 11:S0003469X2203682X20222022.

13 

Ebrahim A, Leeds SG, Clothier JS and Ward MA: Endoscopic submucosal dissection of a gastric mass. Proc (Bayl Univ Med Cent). 32:629–630. 2019.PubMed/NCBI

14 

Pimentel-Nunes P, Dinis-Ribeiro M, Ponchon T, Repici A, Vieth M, De Ceglie A, Amato A, Berr F, Bhandari P, Bialek A, et al: Endoscopic submucosal dissection: European society of gastrointestinal endoscopy (ESGE) guideline. Endoscopy. 47:829–854. 2015. View Article : Google Scholar : PubMed/NCBI

15 

Hulagu S, Senturk O, Aygun C, Kocaman O, Celebi A, Konduk T, Koc D, Sirin G, Korkmaz U, Duman AE, et al: Endoscopic submucosal dissection for premalignant lesions and noninvasive early gastrointestinal cancers. World J Gastroenterol. 17:1701–1709. 2011. View Article : Google Scholar : PubMed/NCBI

16 

Kobayashi N, Takeuchi Y, Ohata K, Igarashi M, Yamada M, Kodashima S, Hotta K, Harada K, Ikematsu H, Uraoka T, et al: Outcomes of endoscopic submucosal dissection for colorectal neoplasms: Prospective, multicenter, cohort trial. Dig Endosc. 34:1042–1051. 2022. View Article : Google Scholar : PubMed/NCBI

17 

He Z, Sun C, Zheng Z, Yu Q, Wang T, Chen X, Cao H, Liu W and Wang B: Endoscopic submucosal dissection of large gastrointestinal stromal tumors in the esophagus and stomach. J Gastroenterol Hepatol. 28:262–267. 2013. View Article : Google Scholar : PubMed/NCBI

18 

Qi ZP, Shi Q, Liu JZ, Yao LQ, Xu MD, Cai SL, Li B, Take I, Zhang YQ, Chen WF, et al: Efficacy and safety of endoscopic submucosal dissection for submucosal tumors of the colon and rectum. Gastrointest Endosc. 87:540–548.e1. 2018. View Article : Google Scholar : PubMed/NCBI

19 

Wang HY, Zeng X, Bai SY, Pu K, Zheng Y, Ji R, Guo QH, Guan QL, Wang YP and Zhou YN: The safety and efficacy of endoscopic submucosal dissection for treating early oesophageal carcinoma: A meta-analysis. Ann R Coll Surg Engl. 102:702–711. 2020. View Article : Google Scholar : PubMed/NCBI

20 

Chen X, Li B, Wang S, Yang B, Zhu L, Ma S, Wu J, He Q, Zhao J, Zheng Z, et al: Efficacy and safety of endoscopic submucosal dissection for gastrointestinal neuroendocrine tumors: A 10-year data analysis of Northern China. Scand J Gastroenterol. 54:384–389. 2019. View Article : Google Scholar : PubMed/NCBI

21 

Watanabe D, Hayashi H, Kataoka Y, Hashimoto T, Ichimasa K, Miyachi H, Tanaka S and Toyonaga T: Efficacy and safety of endoscopic submucosal dissection for non-ampullary duodenal polyps: A systematic review and meta-analysis. Dig Liver Dis. 51:774–781. 2019. View Article : Google Scholar : PubMed/NCBI

22 

Akintoye E, Obaitan I, Muthusamy A, Akanbi O, Olusunmade M and Levine D: Endoscopic submucosal dissection of gastric tumors: A systematic review and meta-analysis. World J Gastrointest Endosc. 8:517–532. 2016. View Article : Google Scholar : PubMed/NCBI

23 

Bhagat VH, Kim M and Kahaleh M: A review of endoscopic full-thickness resection, submucosal tunneling endoscopic resection, and endoscopic submucosal dissection for resection of subepithelial lesions. J Clin Gastroenterol. 55:309–315. 2021. View Article : Google Scholar : PubMed/NCBI

24 

Meier B, Schmidt A and Caca K: Endoscopic full-thickness resection. Internist (Berl). 57:755–762. 2016.(In German). View Article : Google Scholar : PubMed/NCBI

25 

Hsu WH, Wu TS, Hsieh MS, Kung YM, Wang YK, Wu JY, Yu FJ, Kuo CH, Su YC, Wang JY, et al: Comparison of endoscopic submucosal dissection application on mucosal tumor and subepithelial tumor in stomach. J Cancer. 12:765–770. 2021. View Article : Google Scholar : PubMed/NCBI

26 

Zhou PH, Yao LQ, Qin XY, Cai MY, Xu MD, Zhong YS, Chen WF, Zhang YQ, Qin WZ, Hu JW and Liu JZ: Endoscopic full-thickness resection without laparoscopic assistance for gastric submucosal tumors originated from the muscularis propria. Surg Endosc. 25:2926–2931. 2011. View Article : Google Scholar : PubMed/NCBI

27 

Cai MY, Martin Carreras-Presas F and Zhou PH: Endoscopic full-thickness resection for gastrointestinal submucosal tumors. Dig Endosc. 30 (Suppl 1):S17–S24. 2018. View Article : Google Scholar

28 

CASGE Technology Committee, . Aslanian HR, Sethi A, Bhutani MS, Goodman AJ, Krishnan K, Lichtenstein DR, Melson J, Navaneethan U, Pannala R, et al: ASGE guideline for endoscopic full-thickness resection and submucosal tunnel endoscopic resection. VideoGIE. 4:343–350. 2019. View Article : Google Scholar : PubMed/NCBI

29 

Cai M, Zhou P, Lourenco LC and Zhang D: Endoscopic Full-thickness Resection (EFTR) for Gastrointestinal Subepithelial Tumors. Gastrointest Endosc Clin N Am. 26:283–295. 2016. View Article : Google Scholar : PubMed/NCBI

30 

Brewer Gutierrez OI, Akshintala VS, Ichkhanian Y, Brewer GG, Hanada Y, Truskey MP, Agarwal A, Hajiyeva G, Kumbhari V, Kalloo AN, et al: Endoscopic full-thickness resection using a clip non-exposed method for gastrointestinal tract lesions: A meta-analysis. Endosc Int Open. 8:E313–E325. 2020. View Article : Google Scholar : PubMed/NCBI

31 

Abe N, Takeuchi H, Ohki A, Hashimoto Y, Mori T and Sugiyama M: Comparison between endoscopic and laparoscopic removal of gastric submucosal tumor. Dig Endosc. 30 (Suppl 1):S7–S16. 2018. View Article : Google Scholar : PubMed/NCBI

32 

Lu J, Zheng M, Jiao T, Wang Y and Lu X: Transcardiac tunneling technique for endoscopic submucosal dissection of gastric fundus tumors arising from the muscularis propria. Endoscopy. 46:888–892. 2014. View Article : Google Scholar : PubMed/NCBI

33 

Duan TY, Tan YY, Wang XH, Lv L and Liu DL: A comparison of submucosal tunneling endoscopic resection and endoscopic full-thickness resection for gastric fundus submucosal tumors. Rev Esp Enferm Dig. 110:160–165. 2018.PubMed/NCBI

34 

Li B, Chen T, Qi ZP, Yao LQ, Xu MD, Shi Q, Cai SL, Sun D, Zhou PH and Zhong YS: Efficacy and safety of endoscopic resection for small submucosal tumors originating from the muscularis propria layer in the gastric fundus. Surg Endosc. 33:2553–2561. 2019. View Article : Google Scholar : PubMed/NCBI

35 

Yoshida N, Doyama H, Ota R and Tsuji K: The clip-and-snare method with a pre-looping technique during gastric endoscopic submucosal dissection. Endoscopy. 46 (Suppl 1):E611–E612. 2014. View Article : Google Scholar : PubMed/NCBI

36 

Lu J, Jiao T, Li Y, Zheng M and Lu X: Facilitating retroflexed endoscopic full-thickness resection through loop-mediated or rope-mediated countertraction (with videos). Gastrointest Endosc. 83:223–228. 2016. View Article : Google Scholar : PubMed/NCBI

37 

Kim GH: Endoscopic resection of subepithelial tumors. Clin Endosc. 45:240–244. 2012. View Article : Google Scholar : PubMed/NCBI

38 

Li DM, Ren LL and Jiang YP: Long-term outcomes of endoscopic resection for gastric subepithelial tumors. Surg Laparosc Endosc Percutan Tech. 30:187–191. 2020. View Article : Google Scholar : PubMed/NCBI

39 

Joensuu H, Hohenberger P and Corless CL: Gastrointestinal stromal tumour. Lancet. 382:973–983. 2013. View Article : Google Scholar : PubMed/NCBI

40 

Goettsch WG, Bos SD, Breekveldt-Postma N, Casparie M, Herings RM and Hogendoorn PC: Incidence of gastrointestinal stromal tumours is underestimated: Results of a nation-wide study. Eur J Cancer. 41:2868–2872. 2005. View Article : Google Scholar : PubMed/NCBI

41 

Santos L, Jin C, Gazarkova T, Thornell A, Norlen O, Saljo K and Teneberg S: Characterization of glycosphingolipids from gastrointestinal stromal tumours. Sci Rep. 10:193712020. View Article : Google Scholar : PubMed/NCBI

42 

von Mehren M, Randall RL, Benjamin RS, Boles S, Bui MM, Ganjoo KN, George S, Gonzalez RJ, Heslin MJ, Kane JM, et al: Soft tissue sarcoma, version 2.2018, NCCN clinical practice guidelines in oncology. J Natl Compr Canc Netw. 16:536–563. 2018. View Article : Google Scholar : PubMed/NCBI

43 

Casali PG, Abecassis N, Aro HT, Bauer S, Biagini R, Bielack S, Bonvalot S, Boukovinas I, Bovee JVMG, Brodowicz T, et al: Gastrointestinal stromal tumours: ESMO-EURACAN Clinical Practice Guidelines for diagnosis, treatment and follow-up. Ann Oncol. 29 (Suppl 4):iv2672018. View Article : Google Scholar : PubMed/NCBI

44 

Corless CL, Barnett CM and Heinrich MC: Gastrointestinal stromal tumours: Origin and molecular oncology. Nat Rev Cancer. 11:865–878. 2011. View Article : Google Scholar : PubMed/NCBI

45 

von Mehren M, Randall RL, Benjamin RS, Boles S, Bui MM, Conrad EU III, Ganjoo KN, George S, Gonzalez RJ, Heslin MJ, et al: Soft tissue sarcoma, version 2.2016, NCCN clinical practice guidelines in oncology. J Natl Compr Canc Netw. 14:758–786. 2016. View Article : Google Scholar : PubMed/NCBI

46 

Nishida T, Hirota S, Yanagisawa A, Sugino Y, Minami M, Yamamura Y, Otani Y, Shimada Y, Takahashi F and Kubota T; GIST Guideline Subcommittee, : Clinical practice guidelines for gastrointestinal stromal tumor (GIST) in Japan: English version. Int J Clin Oncol. 13:416–430. 2008. View Article : Google Scholar : PubMed/NCBI

47 

Cao H and Wang M: Similarities and differences in diagnosis and treatment of gastrointestinal stromal tumors between China, Japan and Korea: From expert consensus to cooperation prospect. Zhonghua Wei Chang Wai Ke Za Zhi. 22:812–819. 2019.(In Chinese). PubMed/NCBI

48 

Zhao Y, Pang T, Zhang B, Wang L, Lv Y, Ling T, Zhang X, Huang Q, Xu G and Zou X: Retrospective comparison of endoscopic full-thickness versus laparoscopic or surgical resection of small (</=5 cm) gastric gastrointestinal stromal tumors. J Gastrointest Surg. 24:2714–2721. 2020. View Article : Google Scholar : PubMed/NCBI

49 

Jain D, Desai A, Mahmood E and Singhal S: Submucosal tunneling endoscopic resection of upper gastrointestinal tract tumors arising from muscularis propria. Ann Gastroenterol. 30:262–272. 2017.PubMed/NCBI

50 

Zhu H, Shi D, Song H, Zhou M, Sun D, Li R and Zhao Y: Snare-assisted endoscopic resection of gastric subepithelial tumors originating from the muscularis propria layer: A multicenter study. Surg Endosc. 34:3827–3832. 2020. View Article : Google Scholar : PubMed/NCBI

51 

Ge N, Hu JL, Yang F, Yang F and Sun SY: Endoscopic full-thickness resection for treating small tumors originating from the muscularis propria in the gastric fundus: An improvement in technique over 15 years. World J Gastrointest Oncol. 11:1054–1064. 2019. View Article : Google Scholar : PubMed/NCBI

52 

Zhu H, Zhao S, Jiao R, Zhou J, Zhang C and Miao L: Comparison of endoscopic versus laparoscopic resection for gastric gastrointestinal stromal tumors: A preliminary meta-analysis. J Gastroenterol Hepatol. 35:1858–1868. 2020. View Article : Google Scholar : PubMed/NCBI

53 

Liu S, Zhou X, Yao Y, Shi K, Yu M and Ji F: Resection of the gastric submucosal tumor (G-SMT) originating from the muscularis propria layer: Comparison of efficacy, patients' tolerability, and clinical outcomes between endoscopic full-thickness resection and surgical resection. Surg Endosc. 34:4053–4064. 2020. View Article : Google Scholar : PubMed/NCBI

54 

Zhou P, Zhong Y and Li Q: Chinese Consensus on Endoscopic Diagnosis and Management of Gastrointestinal Submucosal Tumor (Version 2018). Zhonghua Wei Chang Wai Ke Za Zhi. 21:841–852. 2018.(In Chinese). PubMed/NCBI

55 

Yu C, Liao G, Fan C, Yu J, Nie X, Yang S and Bai J: Long-term outcomes of endoscopic resection of gastric GISTs. Surg Endosc. 31:4799–4804. 2017. View Article : Google Scholar : PubMed/NCBI

56 

Ahmed M: Recent advances in the management of gastrointestinal stromal tumor. World J Clin Cases. 8:3142–3155. 2020. View Article : Google Scholar : PubMed/NCBI

57 

Kim SY and Kim KO: Management of gastric subepithelial tumors: The role of endoscopy. World J Gastrointest Endosc. 8:418–424. 2016. View Article : Google Scholar : PubMed/NCBI

58 

An W, Sun PB, Gao J, Jiang F, Liu F, Chen J, Wang D, Li ZS and Shi XG: Endoscopic submucosal dissection for gastric gastrointestinal stromal tumors: A retrospective cohort study. Surg Endosc. 31:4522–4531. 2017. View Article : Google Scholar : PubMed/NCBI

59 

Ren Z, Lin SL, Zhou PH, Cai SL, Qi ZP, Li J and Yao LQ: Endoscopic full-thickness resection (EFTR) without laparoscopic assistance for nonampullary duodenal subepithelial lesions: Our clinical experience of 32 cases. Surg Endosc. 33:3605–3611. 2019. View Article : Google Scholar : PubMed/NCBI

60 

Shi Q, Li B, Qi ZP, Yao LQ, Xu MD, Cai SL, Sun D, Zhou PH and Zhong YS: Clinical values of dental floss traction assistance in endoscopic full-thickness resection for submucosal tumors originating from the muscularis propria layer in the gastric fundus. J Laparoendosc Adv Surg Tech A. 28:1261–1265. 2018. View Article : Google Scholar : PubMed/NCBI

61 

Hu J, Ge N, Wang S, Guo J, Liu X, Wang G and Sun S: Direct endoscopic full-thickness resection for submucosal tumors with an intraluminal growth pattern originating from the muscularis propria layer in the gastric fundus. BMC Gastroenterol. 20:702020. View Article : Google Scholar : PubMed/NCBI

62 

Gu L, Wu Y, Yi J and Liu XW: Current status and research advances on the use of assisted traction technique in endoscopic full-thickness resection. Zhonghua Wei Chang Wai Ke Za Zhi. 24:1122–1128. 2021.(In Chinese). PubMed/NCBI

63 

Tian X, Shi B and Chen WQ: Modified endoscopic full-thickness resection of gastric stromal tumor originating from the muscularis Propria layer. J Gastrointest Oncol. 11:461–466. 2020. View Article : Google Scholar : PubMed/NCBI

64 

Zhang Q, Cai JQ, Wang Z, Xiao B and Bai Y: Snare combined with endoscopic clips in endoscopic resection of gastric submucosal tumor: A method of tumor traction. Endosc Int Open. 7:E1150–E1162. 2019. View Article : Google Scholar : PubMed/NCBI

65 

Granata A, Martino A, Amata M, Ligresti D and Traina M: Gastrointestinal exposed endoscopic full-thickness resection in the era of endoscopic suturing: A retrospective single-center case series. Wideochir Inne Tech Maloinwazyjne. 16:321–328. 2021.PubMed/NCBI

66 

Inayat F, Aslam A, Grunwald MD, Hussain Q, Hurairah A and Iqbal S: Omental patching and purse-string endosuture closure after endoscopic full-thickness resection in patients with gastric gastrointestinal stromal tumors. Clin Endosc. 52:283–287. 2019. View Article : Google Scholar : PubMed/NCBI

67 

Zhang Y, Wang X, Xiong G, Qian Y, Wang H, Liu L, Miao L and Fan Z: Complete defect closure of gastric submucosal tumors with purse-string sutures. Surg Endosc. 28:1844–1851. 2014. View Article : Google Scholar : PubMed/NCBI

68 

Weiland T, Fehlker M, Gottwald T and Schurr MO: Performance of the OTSC System in the endoscopic closure of iatrogenic gastrointestinal perforations: A systematic review. Surg Endosc. 27:2258–2274. 2013. View Article : Google Scholar : PubMed/NCBI

69 

Wang W, Liu CX, Niu Q, Wang AL, Shi N, Ma FZ and Hu YB: OTSC assisted EFTR for the treatment of GIST: 40 cases analysis. Minim Invasive Ther Allied Technol. 31:238–245. 2022. View Article : Google Scholar : PubMed/NCBI

70 

Tang SJ, Naga YM, Wu R and Zhang S: Over-the-scope clip-assisted endoscopic full thickness resection: A video-based case series. Surg Endosc. 34:2780–2788. 2020. View Article : Google Scholar : PubMed/NCBI

71 

Pawlak KM, Raiter A, Kozlowska-Petriczko K, Szelemej J, Petriczko J, Wojciechowska K and Wiechowska-Kozlowska A: Optimal endoscopic resection technique for selected gastric GISTs. The endoscopic suturing system combined with ESD-a new alternative? J Clin Med. 9:17762020.PubMed/NCBI

72 

Mori H, Kobara H, Nishiyama N and Masaki T: Current status and future perspectives of endoscopic full-thickness resection. Dig Endosc. 30 (Suppl 1):S25–S31. 2018. View Article : Google Scholar : PubMed/NCBI

73 

Jain D, Mahmood E, Desai A and Singhal S: Endoscopic full thickness resection for gastric tumors originating from muscularis propria. World J Gastrointest Endosc. 8:489–495. 2016. View Article : Google Scholar : PubMed/NCBI

74 

Guo J, Sun B, Sun S, Liu X, Wang S, Ge N, Wang G and Liu W: Endoscopic puncture-suture device to close gastric wall defects after full-thickness resection: A porcine study. Gastrointest Endosc. 85:447–450. 2017. View Article : Google Scholar : PubMed/NCBI

75 

Sun B, Guo J, Ge N, Sun S, Wang S, Liu X, Wang G and Feng L: Endoscopic ultrasound-guided puncture suture device versus metal clip for gastric defect closure after endoscopic full-thickness resection: A randomized, comparative, porcine study. Endosc Ultrasound. 5:263–268. 2016. View Article : Google Scholar : PubMed/NCBI

76 

Sigmon DF, Tuma F, Kamel BG and Cassaro S: Gastric Perforation. StatPearls. Treasure Island; FL: 2022

77 

Seehawong U, Morita Y, Nakano Y, Iwasaki T, Krutsri C, Sakaguchi H, Sako T, Takao T, Tanaka S, Toyonaga T, et al: Successful treatment of an esophageal perforation that occurred during endoscopic submucosal dissection for esophageal cancer using polyglycolic acid sheets and fibrin glue. Clin J Gastroenterol. 12:29–33. 2019. View Article : Google Scholar : PubMed/NCBI

78 

Tan Y, Tang X, Guo T, Peng D, Tang Y, Duan T, Wang X, Lv L, Huo J and Liu D: Comparison between submucosal tunneling endoscopic resection and endoscopic full-thickness resection for gastric stromal tumors originating from the muscularis propria layer. Surg Endosc. 31:3376–3382. 2017. View Article : Google Scholar : PubMed/NCBI

79 

Li B, Shi Q, Qi ZP, Yao LQ, Xu MD, Lv ZT, Yalikong A, Cai SL, Sun D, Zhou PH, et al: The efficacy of dental floss and a hemoclip as a traction method for the endoscopic full-thickness resection of submucosal tumors in the gastric fundus. Surg Endosc. 33:3864–3873. 2019. View Article : Google Scholar : PubMed/NCBI

80 

Li J, Meng Y, Ye S, Wang P and Liu F: Usefulness of the thread-traction method in endoscopic full-thickness resection for gastric submucosal tumor: A comparative study. Surg Endosc. 33:2880–2885. 2019. View Article : Google Scholar : PubMed/NCBI

81 

Abe S, Wu SYS, Ego M, Takamaru H, Sekiguchi M, Yamada M, Nonaka S, Sakamoto T, Suzuki H, Yoshinaga S, et al: Efficacy of current traction techniques for endoscopic submucosal dissection. Gut Liver. 14:673–684. 2020. View Article : Google Scholar : PubMed/NCBI

82 

Zheng S, Ali FS, Zhang J, Zhao L and Liu B: Endoscopic traction techniques. Am J Gastroenterol. 116:862–866. 2021. View Article : Google Scholar : PubMed/NCBI

83 

Granata A, Martino A, Ligresti D, Tuzzolino F, Lombardi G and Traina M: Exposed endoscopic full-thickness resection without laparoscopic assistance for gastric submucosal tumors: A systematic review and pooled analysis. Dig Liver Dis. 54:729–736. 2022. View Article : Google Scholar : PubMed/NCBI

84 

Jian G, Tan L, Wang H, Lv L, Wang X, Qi X, Le M, Tan Y and Liu D: Factors that predict the technical difficulty during endoscopic full-thickness resection of a gastric submucosal tumor. Rev Esp Enferm Dig. 113:35–40. 2021.PubMed/NCBI

85 

Huang J, Xian XS, Huang LY, Zhang B, Wu CR and Cui J: Endoscopic full-thickness resection for gastric gastrointestinal stromal tumor originating from the muscularis propria. Rev Assoc Med Bras (1992). 64:1002–1006. 2018. View Article : Google Scholar : PubMed/NCBI

86 

Joensuu H: Risk stratification of patients diagnosed with gastrointestinal stromal tumor. Hum Pathol. 39:1411–1419. 2008. View Article : Google Scholar : PubMed/NCBI

87 

Wang H, Feng X, Ye S, Wang J, Liang J, Mai S, Lai M, Feng H, Wang G and Zhou Y: A comparison of the efficacy and safety of endoscopic full-thickness resection and laparoscopic-assisted surgery for small gastrointestinal stromal tumors. Surg Endosc. 30:3357–3361. 2016. View Article : Google Scholar : PubMed/NCBI

Related Articles

  • Abstract
  • View
  • Download
  • Twitter
Copy and paste a formatted citation
Spandidos Publications style
Ni L, Liu X, Wu A, Yu C, Zou C, Xu G, Wang C and Gao X: Endoscopic full‑thickness resection with clip‑ and snare‑assisted traction for gastric submucosal tumours in the fundus: A single‑centre case series. Oncol Lett 25: 151, 2023.
APA
Ni, L., Liu, X., Wu, A., Yu, C., Zou, C., Xu, G. ... Gao, X. (2023). Endoscopic full‑thickness resection with clip‑ and snare‑assisted traction for gastric submucosal tumours in the fundus: A single‑centre case series. Oncology Letters, 25, 151. https://doi.org/10.3892/ol.2023.13737
MLA
Ni, L., Liu, X., Wu, A., Yu, C., Zou, C., Xu, G., Wang, C., Gao, X."Endoscopic full‑thickness resection with clip‑ and snare‑assisted traction for gastric submucosal tumours in the fundus: A single‑centre case series". Oncology Letters 25.4 (2023): 151.
Chicago
Ni, L., Liu, X., Wu, A., Yu, C., Zou, C., Xu, G., Wang, C., Gao, X."Endoscopic full‑thickness resection with clip‑ and snare‑assisted traction for gastric submucosal tumours in the fundus: A single‑centre case series". Oncology Letters 25, no. 4 (2023): 151. https://doi.org/10.3892/ol.2023.13737
Copy and paste a formatted citation
x
Spandidos Publications style
Ni L, Liu X, Wu A, Yu C, Zou C, Xu G, Wang C and Gao X: Endoscopic full‑thickness resection with clip‑ and snare‑assisted traction for gastric submucosal tumours in the fundus: A single‑centre case series. Oncol Lett 25: 151, 2023.
APA
Ni, L., Liu, X., Wu, A., Yu, C., Zou, C., Xu, G. ... Gao, X. (2023). Endoscopic full‑thickness resection with clip‑ and snare‑assisted traction for gastric submucosal tumours in the fundus: A single‑centre case series. Oncology Letters, 25, 151. https://doi.org/10.3892/ol.2023.13737
MLA
Ni, L., Liu, X., Wu, A., Yu, C., Zou, C., Xu, G., Wang, C., Gao, X."Endoscopic full‑thickness resection with clip‑ and snare‑assisted traction for gastric submucosal tumours in the fundus: A single‑centre case series". Oncology Letters 25.4 (2023): 151.
Chicago
Ni, L., Liu, X., Wu, A., Yu, C., Zou, C., Xu, G., Wang, C., Gao, X."Endoscopic full‑thickness resection with clip‑ and snare‑assisted traction for gastric submucosal tumours in the fundus: A single‑centre case series". Oncology Letters 25, no. 4 (2023): 151. https://doi.org/10.3892/ol.2023.13737
Follow us
  • Twitter
  • LinkedIn
  • Facebook
About
  • Spandidos Publications
  • Careers
  • Cookie Policy
  • Privacy Policy
How can we help?
  • Help
  • Live Chat
  • Contact
  • Email to our Support Team