Spandidos Publications Logo
  • About
    • About Spandidos
    • Aims and Scopes
    • Abstracting and Indexing
    • Editorial Policies
    • Reprints and Permissions
    • Job Opportunities
    • Terms and Conditions
    • Contact
  • Journals
    • All Journals
    • Oncology Letters
      • Oncology Letters
      • Information for Authors
      • Editorial Policies
      • Editorial Board
      • Aims and Scope
      • Abstracting and Indexing
      • Bibliographic Information
      • Archive
    • International Journal of Oncology
      • International Journal of Oncology
      • Information for Authors
      • Editorial Policies
      • Editorial Board
      • Aims and Scope
      • Abstracting and Indexing
      • Bibliographic Information
      • Archive
    • Molecular and Clinical Oncology
      • Molecular and Clinical Oncology
      • Information for Authors
      • Editorial Policies
      • Editorial Board
      • Aims and Scope
      • Abstracting and Indexing
      • Bibliographic Information
      • Archive
    • Experimental and Therapeutic Medicine
      • Experimental and Therapeutic Medicine
      • Information for Authors
      • Editorial Policies
      • Editorial Board
      • Aims and Scope
      • Abstracting and Indexing
      • Bibliographic Information
      • Archive
    • International Journal of Molecular Medicine
      • International Journal of Molecular Medicine
      • Information for Authors
      • Editorial Policies
      • Editorial Board
      • Aims and Scope
      • Abstracting and Indexing
      • Bibliographic Information
      • Archive
    • Biomedical Reports
      • Biomedical Reports
      • Information for Authors
      • Editorial Policies
      • Editorial Board
      • Aims and Scope
      • Abstracting and Indexing
      • Bibliographic Information
      • Archive
    • Oncology Reports
      • Oncology Reports
      • Information for Authors
      • Editorial Policies
      • Editorial Board
      • Aims and Scope
      • Abstracting and Indexing
      • Bibliographic Information
      • Archive
    • Molecular Medicine Reports
      • Molecular Medicine Reports
      • Information for Authors
      • Editorial Policies
      • Editorial Board
      • Aims and Scope
      • Abstracting and Indexing
      • Bibliographic Information
      • Archive
    • World Academy of Sciences Journal
      • World Academy of Sciences Journal
      • Information for Authors
      • Editorial Policies
      • Editorial Board
      • Aims and Scope
      • Abstracting and Indexing
      • Bibliographic Information
      • Archive
    • International Journal of Functional Nutrition
      • International Journal of Functional Nutrition
      • Information for Authors
      • Editorial Policies
      • Editorial Board
      • Aims and Scope
      • Abstracting and Indexing
      • Bibliographic Information
      • Archive
    • International Journal of Epigenetics
      • International Journal of Epigenetics
      • Information for Authors
      • Editorial Policies
      • Editorial Board
      • Aims and Scope
      • Abstracting and Indexing
      • Bibliographic Information
      • Archive
    • Medicine International
      • Medicine International
      • Information for Authors
      • Editorial Policies
      • Editorial Board
      • Aims and Scope
      • Abstracting and Indexing
      • Bibliographic Information
      • Archive
  • Articles
  • Information
    • Information for Authors
    • Information for Reviewers
    • Information for Librarians
    • Information for Advertisers
    • Conferences
  • Language Editing
Spandidos Publications Logo
  • About
    • About Spandidos
    • Aims and Scopes
    • Abstracting and Indexing
    • Editorial Policies
    • Reprints and Permissions
    • Job Opportunities
    • Terms and Conditions
    • Contact
  • Journals
    • All Journals
    • Biomedical Reports
      • Information for Authors
      • Editorial Policies
      • Editorial Board
      • Aims and Scope
      • Abstracting and Indexing
      • Bibliographic Information
      • Archive
    • Experimental and Therapeutic Medicine
      • Information for Authors
      • Editorial Policies
      • Editorial Board
      • Aims and Scope
      • Abstracting and Indexing
      • Bibliographic Information
      • Archive
    • International Journal of Epigenetics
      • Information for Authors
      • Editorial Policies
      • Editorial Board
      • Aims and Scope
      • Abstracting and Indexing
      • Bibliographic Information
      • Archive
    • International Journal of Functional Nutrition
      • Information for Authors
      • Editorial Policies
      • Editorial Board
      • Aims and Scope
      • Abstracting and Indexing
      • Bibliographic Information
      • Archive
    • International Journal of Molecular Medicine
      • Information for Authors
      • Editorial Policies
      • Editorial Board
      • Aims and Scope
      • Abstracting and Indexing
      • Bibliographic Information
      • Archive
    • International Journal of Oncology
      • Information for Authors
      • Editorial Policies
      • Editorial Board
      • Aims and Scope
      • Abstracting and Indexing
      • Bibliographic Information
      • Archive
    • Medicine International
      • Information for Authors
      • Editorial Policies
      • Editorial Board
      • Aims and Scope
      • Abstracting and Indexing
      • Bibliographic Information
      • Archive
    • Molecular and Clinical Oncology
      • Information for Authors
      • Editorial Policies
      • Editorial Board
      • Aims and Scope
      • Abstracting and Indexing
      • Bibliographic Information
      • Archive
    • Molecular Medicine Reports
      • Information for Authors
      • Editorial Policies
      • Editorial Board
      • Aims and Scope
      • Abstracting and Indexing
      • Bibliographic Information
      • Archive
    • Oncology Letters
      • Information for Authors
      • Editorial Policies
      • Editorial Board
      • Aims and Scope
      • Abstracting and Indexing
      • Bibliographic Information
      • Archive
    • Oncology Reports
      • Information for Authors
      • Editorial Policies
      • Editorial Board
      • Aims and Scope
      • Abstracting and Indexing
      • Bibliographic Information
      • Archive
    • World Academy of Sciences Journal
      • Information for Authors
      • Editorial Policies
      • Editorial Board
      • Aims and Scope
      • Abstracting and Indexing
      • Bibliographic Information
      • Archive
  • Articles
  • Information
    • For Authors
    • For Reviewers
    • For Librarians
    • For Advertisers
    • Conferences
  • Language Editing
Login Register Submit
  • This site uses cookies
  • You can change your cookie settings at any time by following the instructions in our Cookie Policy. To find out more, you may read our Privacy Policy.

    I agree
Search articles by DOI, keyword, author or affiliation
Search
Advanced Search
presentation
Oncology Letters
Join Editorial Board Propose a Special Issue
Print ISSN: 1792-1074 Online ISSN: 1792-1082
Journal Cover
June-2023 Volume 25 Issue 6

Full Size Image

Sign up for eToc alerts
Recommend to Library

Journals

International Journal of Molecular Medicine

International Journal of Molecular Medicine

International Journal of Molecular Medicine is an international journal devoted to molecular mechanisms of human disease.

International Journal of Oncology

International Journal of Oncology

International Journal of Oncology is an international journal devoted to oncology research and cancer treatment.

Molecular Medicine Reports

Molecular Medicine Reports

Covers molecular medicine topics such as pharmacology, pathology, genetics, neuroscience, infectious diseases, molecular cardiology, and molecular surgery.

Oncology Reports

Oncology Reports

Oncology Reports is an international journal devoted to fundamental and applied research in Oncology.

Experimental and Therapeutic Medicine

Experimental and Therapeutic Medicine

Experimental and Therapeutic Medicine is an international journal devoted to laboratory and clinical medicine.

Oncology Letters

Oncology Letters

Oncology Letters is an international journal devoted to Experimental and Clinical Oncology.

Biomedical Reports

Biomedical Reports

Explores a wide range of biological and medical fields, including pharmacology, genetics, microbiology, neuroscience, and molecular cardiology.

Molecular and Clinical Oncology

Molecular and Clinical Oncology

International journal addressing all aspects of oncology research, from tumorigenesis and oncogenes to chemotherapy and metastasis.

World Academy of Sciences Journal

World Academy of Sciences Journal

Multidisciplinary open-access journal spanning biochemistry, genetics, neuroscience, environmental health, and synthetic biology.

International Journal of Functional Nutrition

International Journal of Functional Nutrition

Open-access journal combining biochemistry, pharmacology, immunology, and genetics to advance health through functional nutrition.

International Journal of Epigenetics

International Journal of Epigenetics

Publishes open-access research on using epigenetics to advance understanding and treatment of human disease.

Medicine International

Medicine International

An International Open Access Journal Devoted to General Medicine.

Journal Cover
June-2023 Volume 25 Issue 6

Full Size Image

Sign up for eToc alerts
Recommend to Library

  • Article
  • Citations
    • Cite This Article
    • Download Citation
    • Create Citation Alert
    • Remove Citation Alert
    • Cited By
  • Similar Articles
    • Related Articles (in Spandidos Publications)
    • Similar Articles (Google Scholar)
    • Similar Articles (PubMed)
  • Download PDF
  • Download XML
  • View XML
Article Open Access

Resectability in bronchogenic carcinoma: A single‑center experience

  • Authors:
    • Mohammed Mowafaq Marie
    • Sabah N. Jaber
    • Okba F. Ahmed
    • Fahmi H. Kakamad
    • Bnar J. Hama Amin
    • Soran H. Tahir
    • Abdulwahid M. Salih
    • Shalaw H. Abdalla
    • Razhan K. Ali
    • Rezheen J. Rashid
    • Shvan H. Mohammed
    • Shevan M. Mustafa
    • Rebwar A. Ali
    • Hawbash M. Rahim
  • View Affiliations / Copyright

    Affiliations: Department of Surgery, Al Jamhori Teaching Hospital, Mousl 41001, Republic of Iraq, Department of Surgery, Medical City, Baghdad 10011, Republic of Iraq, Department of Surgery, Mousl Cardiac Center, Mousl 41001, Republic of Iraq, Kscien Organization for Scientific Research, University of Sulaimani, Sulaimani 46000, Republic of Iraq, Smart Health Tower, University of Sulaimani, Sulaimani 46000, Republic of Iraq, Department of Oncology, Hiwa Cancer Hospital, Sulaimani 46000, Republic of Iraq, Department of Cardiothoracic and Vascular Surgery, Shar Hospital, Sulaimani 46000, Republic of Iraq
    Copyright: © Marie et al. This is an open access article distributed under the terms of Creative Commons Attribution License.
  • Article Number: 219
    |
    Published online on: April 12, 2023
       https://doi.org/10.3892/ol.2023.13805
  • Expand metrics +
Metrics: Total Views: 0 (Spandidos Publications: | PMC Statistics: )
Metrics: Total PDF Downloads: 0 (Spandidos Publications: | PMC Statistics: )
Cited By (CrossRef): 0 citations Loading Articles...

This article is mentioned in:



Abstract

Bronchogenic carcinoma comprises >90% of primary lung tumors. The present study aimed to estimate the profile of patients with bronchogenic carcinoma and assess the cancer resectability in newly diagnosed patients. This is a single‑center retrospective review conducted over a period of 5 years. A total of 800 patients with bronchogenic carcinoma were included. The diagnoses were mostly proven with either cytological examination or histopathological diagnosis. Sputum analysis, cytological examination of pleural effusion and bronchoscopic examination were performed. Lymph node biopsy, minimally invasive procedures (mediastinoscopy and video‑assisted thoracoscopic surgery), tru‑cut biopsy or fine‑needle aspiration was used to obtain the samples for diagnosis. The masses were removed by lobectomy and pneumonectomy. The age range was between 22 and 87 years, with a mean age of 62.95 years. Males represented the predominant sex. Most of the patients were smokers or ex‑smokers. The most common symptom was a cough, followed by dyspnea. Chest radiography revealed abnormal findings in 699 patients. A bronchoscopic evaluation was performed for the majority of patients (n=633). Endobronchial masses and other suggestive malignancy findings were present in 473 patients (83.1%) of the 569 who underwent fiberoptic bronchoscopy. Cytological and/or histopathological samples of 581 patients (91.8%) were positive. Small cell lung cancer (SCLC) occurred in 38 patients (4.75%) and non‑SCLC was detected in 762 patients (95.25%). Lobectomy was the main surgical procedure, followed by pneumonectomy. A total of 5 patients developed postoperative complications without any mortality. In conclusion, bronchogenic carcinoma is rapidly increasing without a predilection for sex in the Iraqi population. Advanced preoperative staging and investigation tools are required to determine the rate of resectability.

Introduction

Bronchogenic carcinoma is the development of malignant tumors from the respiratory epithelium; it involves >90% of primary lung tumors (1). Pathologically, it is categorized into two types: Small cell lung cancer (SCLC) and non-SCLC (NSCLC). SCLC is known as oat cell cancer owing to the packed nature of the small dense cells. SCLCs represent ~20% of all lung cancer cases; they tend to metastasize to the lymph nodes, but are very responsive to chemotherapy (2). NSCLC consists of several types of cancer, including adenocarcinoma (the most common type), squamous carcinoma, large cell undifferentiated carcinoma, bronchioalveolar carcinoma and neuroendocrine tumors (2).

Smoking is the most common risk factor, accounting for ~85% of lung cancer cases (3). Radon gas is regarded as the second most common cause of lung cancer, which is generated by the breakdown of radioactive radium (3). Other factors, like asbestos exposure, air pollution, genetic abnormalities and pre-existing lung diseases, also play an important role in the occurrence of lung cancer (4,5). Cough, the most common symptom, is associated with almost 90% of lung cancer cases and is followed by dyspnea. Pleuritic pain, local chest wall pain, swelling of the head and arms, weakness, seizures and confusion are all among the abundant symptoms that can be associated with lung cancer (6). Despite the significant increase in lung cancer incidence in recent decades in Iraq, there are only a few small sample-sized studies focused on the profile of bronchogenic carcinoma (1,7).

The present study on a single-center experience aimed to estimate the profile of Iraqi patients with bronchogenic carcinoma and assess the cancer resectability in newly diagnosed patients.

Patients and methods

Study design

This is a single-center retrospective review with longitudinal follow-up conducted over 5 years (January 1, 2015, to October 1, 2019). The present study was approved by the Ethical Committee of the University of Sulaimani (Sulaimani, Iraq).

Participants

The records of 800 patients with bronchogenic carcinoma were collected from the Department of Thoracic and Vascular Surgery, Ghazzi Al-Hariri Hospital for Surgical Specialties (Baghdad, Iraq). Patients with bronchogenic carcinoma were mostly differentiated using either cytological examination or histopathological diagnosis.

Inclusion and exclusion criteria

All the patients with proven bronchogenic carcinoma were included. Patients with a carcinoid tumor, metastatic nodules regardless of size, and suspicion of bronchogenic carcinoma with negative cytological and histopathological samples were all excluded from the study.

Preoperative preparation

A detailed clinical assessment was conducted for the patients by taking the patients' history, performing physical examinations, and observing radiological imaging such as chest radiography (CXR), computed tomography (CT) and magnetic resonance imaging. Sputum analysis, cytological examination of pleural effusion and bronchoscopic examination using either flexible or rigid bronchoscopy were performed.

Lymph node biopsy, minimally invasive procedures [mediastinoscopy and video-assisted thoracoscopic surgery (VATS)], Tru-cut biopsy or fine-needle aspiration (FNA) were used to obtain the samples for diagnosis. Patients with a resectable mass should have undergone a positron emission tomography (PET) scan to exclude lymph node metastasis. If the PET scan was clear, the patients were scheduled for surgery. The surgeries (lobectomy and pneumonectomy) included the removal of the masses in addition to lymph node dissection.

Sputum analysis

After collecting the samples (sputum in the early morning), the samples were preserved and fixed for 30 min at 25°C using a saccomano fixative solution (BioGnost, Ltd.). A mucolytic agent such as methyl cysteine HC1 (Cytoclair) (MilliporeSigma) 2% solution in normal saline was used to obtain cell suspensions in samples at a temperature of 37°C for up to 18 h. The samples were centrifuged at 7,168 × g for ~10 min at 25°C and the precipitates were then immersed in absolute alcohol (99%) for 15 min at 37°C for further fixation and dehydration. The precipitations were put in clearing agents such as xylene or acetone for 30 min before preparing cell blocks using the Leukhardt paraffin box. For each sample, a 4-µm thick section was taken using a conventional microtome and stained with hematoxylin and eosin for 2 min at 37°C. A light microscope was used for the valuation and examination of the section with or without using the immunocytochemical staining method for confirmation of the histogenesis of the cells.

Cytological examination

After taking FNA samples, the samples were preserved and fixed for 30 min at 25°C using a saccomano fixative solution (BioGnost, Ltd.). The samples were centrifuged at 7,168 × g) for ~10 min at 25°C and the precipitates were then immersed in absolute alcohol (99%) for 15 min at 37°C for further fixation and dehydration. The precipitations were put in clearing agents such as xylene or acetone for 30 min before preparing cell blocks using the Leukhardt paraffin box. For each sample, a 4-µm thick section was taken using a conventional microtome and stained with hematoxylin and eosin for 2 min at 37°C. A light microscope was used for the valuation and examination of the section with or without using the immunocytochemical staining method for confirmation of the histogenesis of the cells.

Data collection and analysis

A data form was designed to collect and organize the information of the patients. The form included introductory information (age, sex and smoking history), symptoms, investigations, imaging findings, bronchoscopic data, surgical operation data and the final histological or cytological diagnosis.

The patients' information was taken either prospectively during their visit to the outpatient clinic or at admission when they were prepared for the procedures. In some other cases, the data was obtained retrospectively from the patients' medical files or surgeon's notes. Final histopathological information was obtained from the pathology laboratory.

Microsoft Excel (Microsoft Corporation) was used to collect and organize the data. SPSS version 25 (IBM Corp.) was used for encoding and descriptive analysis of the data.

Surgical procedures
Lobectomy

The surgeries were conducted under general anesthesia with a double endotracheal lumen and lateral position (right or left) according to the mass location. An anterior thoracotomy was performed through the 5th or 6th intercostal space according to the mass location. After accessing the pleural space, adhesions were released (if present). A hemoclip was used to ligate the vein of the affected lobe, followed by the dissection of the fissure between the lobes to identify the arterial supply of the affected lobe. The bronchi were isolated and a bronchial clamp was applied. The lung was inflated to ensure the clamping of the affected bronchus alone, and a linear stapler was used to ligate the bronchus and separate it. A single layer of non-absorbable sutures, such as polypropylene sutures, secured the bronchus, vein and artery. The stump of the vein, artery, and bronchus were checked for hemostasis and air leakage. A single chest drain was inserted, with the wound closed in multiple layers.

Pneumonectomy

The surgeries were conducted under general anesthesia with a double endotracheal lumen and lateral position (right or left) according to the mass location. A classical posterolateral thoracotomy was performed through the 5th or 6th intercostal space according to the mass location. After accessing the pleural space, adhesions were released (if present). The inferior pulmonary ligament was released. The pulmonary vein was identified by swab dissection between the lung and pericardium, and then ligated using a hemoclip. An apical dissection was performed to identify the main pulmonary artery, which was ligated using a hemoclip. No inflation of the lung following the clamping of the bronchus indicated a perfect closure. A linear stapler was applied and divided the main bronchus. A single layer of non-absorbable sutures, such as polypropylene sutures, secured the bronchus, vein and artery. The stump of the vein, artery and bronchus were checked for hemostasis and air leakage. A single chest drain was inserted and removed after 48 h, with the wound closed in multiple layers.

Results

The present study included a total of 800 patients with bronchogenic carcinoma. The age range was between 22 and 87 years, with a mean age of 62.95 years. With a ratio of 3.8:1, the dominant sex was male (636 patients, 79.5%). Almost half of the patients were in their sixth to seventh decades of life (373 patients, 46.6%) (Table I). Most of the patients were smokers or ex-smokers (84.3%); 87.6% of the males and 71.3% of the females were active or ex-smokers. The most common symptom was a cough (544 patients, 68.0%), followed by dyspnea (380 patients, 47.5%) (Table I). The CXR presented a suspicious mass in 699 patients (87.4%), which in most of the cases was located in the right lung. Other findings were pleural effusion (14.4%) and atelectasis (9.8%) (Fig. 1). A high-resolution CT of the chest and upper abdomen was performed for all of the patients. The most common findings were a mass (99.0%), lymphadenopathy (64.6%) and pleural effusion (19.8%) (Fig. 2). Cytological examination of the pleural effusions showed cancer cells in 90 patients (57.0%) (Fig. 3). Bronchoscopic evaluations were performed for the majority of the patients (633 patients, 79.1%). Fiberoptic bronchoscopy (FOB) was performed under local anesthesia for 569 patients (71.1%). Endobronchial masses and other suggestive malignancy findings were present in 473 of these patients (83.1%), while normal findings were observed in 96 patients (16.9%). Rigid bronchoscopy was used only for 64 non-cooperative patients under general anesthesia, and 59 of these patients (92.2%) had abnormal findings. Cytological and/or histopathological samples of 581 (91.8%) of the patients who underwent bronchoscopic evaluation were positive (Figs. 4 and 5). VATS and open lung biopsy were performed for 23 and 8 patients, respectively, with cancer detected in all of them. The findings of diagnostic modalities are all summarized in Fig. 6.

Figure 1.

Chest radiography findings.

Figure 2.

Chest computed tomography scan findings.

Figure 3.

Fine-needle aspiration cytology sample from a peripherally located lung mass obtained under computed tomography guidance showing a mucinous background with admixed clusters of atypical cells (×400 magnification; hematoxylin and eosin).

Figure 4.

Section showing squamous cell carcinoma in a sample taken by bronchoalveolar lavage (×400 magnification; hematoxylin and eosin).

Figure 5.

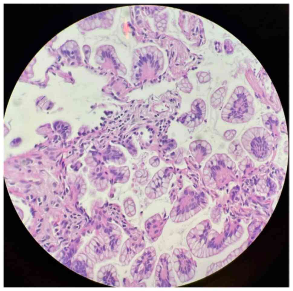
Well-differentiated mucinous cells with abundant intracellular mucin and bland-looking basally located nuclei, lining the alveolar septa in a lepidic fashion (×400 magnification; hematoxylin and eosin).

Figure 6.

Diagnostic approaches for bronchogenic carcinoma. FNA, fine-needle aspiration; VATS, video-assisted thoracoscopic surgery; EBUS, endobronchial ultrasound; PET, positron emission tomography.

Table I.

Characteristics of the included participants.

Table I.

Characteristics of the included participants.

CharacteristicNo. of casesPercentage
Sex
  Male63679.50
  Female16420.50
Age, years
  20-3040.50
  30-4070.88
  40-50627.75
  50-6021927.38
  60-7037346.62
  70-8010112.62
  >80344.25
Smoker/ex-smoker67484.25
  Male55787.58a
  Female11771.34a
Symptoms
  Cough54468.00
  Dyspnoea38047.50
  Hemoptysis28936.13
  Weight loss16921.13
  Chest pain13717.13
  Hoarseness of voice384.75
  SVC obstruction313.88
  Neurological symptoms243.00
Type of operation
  Non-operable77296.50
  Lobectomy232.88
  Pneumonectomy50.62
Histopathology
  SCLC384.75
  NSCLC76295.25
NSCLC subtypes
  Squamous cell carcinoma40250.25
  Adenocarcinoma34543.12
  Large cell carcinoma151.88
Post-operative complications
  Wound infection27.14b
  Air leakage27.14b
  Arrhythmia13.57b

a Percentage of total smokers/ex-smokers; bpercentage of total surgical candidates. SVC, superior vena cava; NSCLC, non-small cell lung cancer.

SCLC was present in 38 patients (4.75%) and NSCLC was detected in 762 patients (95.25%) (Table I).

Tumor-Node-Metastasis (TNM) staging (8) was conducted for most of the cases (95.3%) depending on their workup results, and most were in stages III (55.4%) and IV (31.8%). All stage I and 24% of stage II tumors were resectable (Table II). Regarding surgical resectability, only 28 patients (3.5%) were candidates for surgery with radical lymph node dissection (Table III). Most of the cases were investigated by PET scan and mediastinoscopy before making a surgical decision. The ratio of using PET scan and mediastinoscopy to aid in surgical resectability is presented in Fig. 7. Regarding sex, 20 of the surgical candidates were male and the other 8 were female (Table IV). Lobectomy was the main surgical procedure performed for 23 of the patients (82.1%), and pneumonectomy was performed for 5 of the patients (17.9%) (Table III). Regarding morbidity, 5 of the patients (17.9%) developed postoperative complications (Table I). There were no mortalities.

Figure 7.

Yearly usage of PET scans, mediastinoscopy and surgical resectability. PET, positron emission tomography.

Table II.

Stages of bronchogenic carcinoma in non-small cell lung cancer cases.

Table II.

Stages of bronchogenic carcinoma in non-small cell lung cancer cases.

Tumor-Node-Metastasis stagingNo. of casesPercentageOperability, %
I60.8100.0
II9212.124.0
III42255.40.0
IV24231.80.0

Table III.

Type of resections and resectability rate.

Table III.

Type of resections and resectability rate.

YearNo. of patientsResectability rate, %No. of operationsType of resectionNo. of resections
20151674.708Lobectomy5
Pneumonectomy3
20161633.606Lobectomy4
Pneumonectomy2
20171693.506Lobectomy6
20181613.105Lobectomy5
20191402.103Lobectomy3

Table IV.

Resectable patients according to sex, age and histopathology.

Table IV.

Resectable patients according to sex, age and histopathology.

CharacteristicsNo. of casesPercentage
Sex
  Male2071.4
  Female828.6
Age, years
  20-4000.0
  40-50414.3
  50-601139.3
  60-701242.9
  >7013.6
Histopathology
  SCLC00.0
  NSCLC28100.0
NSCLC type
  Squamous carcinoma1450.0
  Adenocarcinoma1450.0

Discussion

Alongside breast cancer, lung cancer is known as a major cause of cancer-related deaths worldwide (9). Despite the advancements in diagnostic modalities and management techniques, lung cancer still has a high incidence with a poor prognosis. The overall 5-year survival rates are <20% (10). In the UK, ~40,000 new cases are recorded annually. From the time of diagnosis, a large proportion of the patients die within 1 year, and only 5% of the patients have a chance of 5-year survival. This high mortality rate makes lung cancer one of the most common causes of cancer-related death (5). In Iraq, lung cancer is regarded as the most common cancer in men and one of the five most common cancer types in women (7).

It has been estimated that smoking is the major cause of lung cancer in 85–90% of all cases. In total, over 40 carcinogenic agents have been identified in cigarette smoke. Even non-smokers are susceptible to being affected by lung cancer when there is a high rate of exposure to tobacco smoke (11). In reviewing the results of the present study, smoking was the major risk factor for bronchogenic carcinoma. This is comparable with the result of the study by Al-Kadhimi et al (7).

The majority of patients in the present study were between 60 and 70 years old, with a mean age of 62.95 years. This is consistent with the studies by Westermann et al (12), De Perrot et al (13) and Boffa et al (14). The long-term carcinogenic effect of smoking may be the reason for these findings. In the current study, most of the patients were male, with a ratio of 3.8:1, which is not consistent with the previous studies. Boffa et al (14) reported a ratio of 1.5:1 and the results of Al-Kadhimi et al (7) were significantly different, with a reported male-to-female ratio of 5.4:1.

The development of smoking habits in the female sex may be responsible for this increase in incidence of bronchogenic carcinoma in Iraq. A cough was the most common presenting symptom in the present study. This is consistent with the local studies by Al-Rahim (1) and Al-Kadhimi et al (7). This commonality could be due to the strong association between bronchogenic carcinoma and smoking habits.

TNM staging based on clinical examination, mediastinoscopic examination, bronchoscopic examination and radiography has a vital role in deciding the resectability in most cases (15). In the present study, TNM staging was conducted for most of the cases depending on their work-up results. The CXR in a posterolateral view was taken for the patients in this study. The vast majority of abnormal radiological findings consisted of the presence of a mass, with a sensitivity of 87.3%, followed by the presence of effusion and atelectasis. This result agreed with that in the study by Gupta et al (16). Contrast CT of the chest and abdomen was performed for all the patients who had abnormal radiological findings on CXR, for confirmation of the diagnosis and staging of the tumor, and the disease was found in 792 patients. The lesions were distributed as follows: 405 on the right side, 291 on the left side and 96 bilateral masses. The second finding was of mediastinal lymphadenopathy (LAP) in 517 patients. Pleural effusion was found in 158 patients. These findings were consistent with the data obtained in the study by Gupta et al (16), in which a bronchogenic mass was reported in 96.7% of patients and LAP in 79.1%.

PET/CT imaging has been increasingly used in the last decade in the assessment of patients with lung cancer (17). In the present study, the high sensitivity of PET scans was similar to that found in the study by Hussein et al (18). A PET/CT scan was used in the last 2 years for 13 patients. Out of those 13 patients, only 6 patients were operated on due to clear mediastinal LAP. The other 7 patients had N2 disease at the time of examination, so surgical intervention was canceled. Sputum cytology is a rapid test used for the diagnosis and screening of bronchogenic carcinoma (19). This was performed for only 113 (14.1%) patients in the present study, while another local study performed sputum cytology in almost 79.5% of the cases (1). The reduction in the use of sputum cytology in the present study is due to the availability of more accurate tests for cytological examinations, such as bronchoscopy and FNA.

Despite the progress in cancer treatment, the management of malignant pleural effusion (MPE) remains palliative, with median survival ranging from 3 to 12 months (20). In the present study, 158 patients (19.8%) had pleural effusion. Cytological examination revealed positive results in 90 patients (57.0%), and this may be due to the advancement of cytological techniques and the more common use of CT scans that can detect even a small amount of MPE. In addition, the present results corresponded with those of the study by Asciak and Rahman (21), which reported positive results in 60% of the patients.

The rapid evolution in imaging technology makes bronchoscopes more flexible with a smaller diameter, a finer resolution of view and a wider working channel. This provides a facility for endobronchial ultrasound (EBUS), biopsy sampling and therapeutic intervention (22,23). In the present series, rigid and flexible bronchoscopies were performed for 633 patients (79.1%). Abnormal findings were found in 59 patients (92.2%) out of 64 cases that had undergone rigid bronchoscopy. FOB was performed for the other 569 patients, with abnormal bronchoscopic findings in 473 patients (83.1%) and non-specific findings in 96 patients (16.9%). However, in the study by Al-Rahim (1), bronchoscopy was performed in ~84% of the cases, with an abnormal finding in 64% of them.

Thoracoscopy is considered a standard diagnostic modality, but less invasive techniques have emerged as potential alternatives, including transthoracic needle aspiration and EBUS with needle aspiration (24). In the present study, in the 106 cases (13.3%) that were unable to undergo surgical intervention due to medical contraindications or advanced disease, FNA and Tru-cut biopsy were conducted to obtain tissue for histological diagnosis.

The use of an open cervical and scalene lymph node biopsy to confirm bronchogenic carcinoma has decreased with the advancement of other modalities. Recently, it has only been preserved for patients with palpable lymph nodes and those who have experienced the failure of less invasive techniques to confirm the diagnosis. In the present study experience, the results of the lymph node biopsy were almost the same as those of the study by Al-Rahim (1). Cervical mediastinoscopy was conducted for only 1.5% of the patients in the present study, with a positive histopathological finding in 83.3% of them. However, in the study by Bousema et al (25), it was performed for 29.5% of the patients. The cause of this low application in the present study is the late introduction of video-assisted mediastinoscopy in the Department of Thoracic and Vascular Surgery, Ghazzi Al-Hariri Hospital for Surgical Specialties. Furthermore, the data were obtained from a single center while the data collected in the study by Bousema et al (25) were from six Dutch thoracic surgery centers.

VATS represents a new developing technique for diagnosing patients with bronchogenic carcinoma; it greatly improves a patient's prognosis and significantly reduces morbidity and mortality rates (26). In the present series, VATS was performed for 23 patients, and open lung biopsy for 8 patients. In a previous study, a biopsy was required for 22 patients, and all of these were performed by open thoracic surgery (1).

Regarding the histological types of lung cancer, the most common type was squamous cell carcinoma, followed by adenocarcinoma in the present study. This result agreed with that found in the study by Al-Rahim (1) and differed from that found in the study by Strand et al (27), where the results showed that adenocarcinoma was the most common type compared with squamous cell carcinoma.

The first lobectomy for lung cancer was conducted by Hugh Davies in 1912 (28). The patient died with empyema 8 days after the resection. Surgical resection for lung cancer has become prevalent with the advancement of the water-sealed drainage system and anesthetic techniques. In 1933, Graham and Singer reported the first successful one-stage pneumonectomy (29). Since then, the standard operation for lung cancer has become pneumonectomy. Around the same time, Barney and Churchill (30) described an experience of lobectomies with hilar dissections. The vast majority of surgical procedures in the present study were lobectomies in 23 patients. Pneumonectomy was performed in only 5 cases.

Other studies used the segmentectomy technique alongside lobectomy and pneumectomy in a specific portion of the cases (14,27). The absence of segmentectomy in the present study can be explained by the lack of an intraoperative frozen section facility, which is necessary to confirm a cancer-free margin. The morbidity rate in the present study was 17.9%, without any mortality. In a study by Boffa et al (14), the morbidity rate was 32%, with a mortality rate of 2.5%. As most of the patients at the time of diagnosis were non-operable, the rate of surgical resectability in the present study was 3.5%. This result was lower than the percentage of resectability in the global studies by Strand et al (27) and Boffa et al (14).

In conclusion, bronchogenic carcinoma is an aggressive tumor with various presentations. The incidence of bronchogenic carcinoma is rapidly increasing without a predilection for either sex in the Iraqi population. Advanced preoperative staging and investigation tools are required to determine the rate of resectability.

Acknowledgements

Not applicable.

Funding

Funding: No funding was received.

Availability of data and materials

The datasets used and/or analyzed during the current study are available from the corresponding author on reasonable request.

Authors' contributions

MMM provided major contributions to the study concept and final approval of the manuscript. SNJ and OFA performed the operations. FHK was involved in the conception of the study, literature review and drafting the manuscript. BJHA, SHT, AMS, SHA, RKA, RJR, SHM, SMM, RAA and HMR were involved in critically revising the manuscript, data analysis and revision of the tables and figures. All authors read and approved the final manuscript. MMM, FHK and OFA confirm the authenticity of all the raw data. All authors agreed to be accountable for all aspects of the work in ensuring that questions related to the accuracy or integrity of any part of the work are appropriately investigated and resolved.

Ethics approval and consent to participate

The study was approved by the Ethical Committee of Sulaimani University (Sulaimani, Iraq). Written informed consent was obtained from all patients.

Patient consent for publication

The patients provided written consent for the publication of their data.

Competing interests

The authors declare that they have no competing interests.

References

1 

Al-Rahim YA: Lung Cancer in a sample of Iraqi patients. Al-Kindy Col Med J. 4:53–59. 2007.

2 

Kumar V, Abbas AK and Aster JC: Robbins Basic Pathology. 9th edition. Elsevier Saunders; Philadelphia, USA: pp. 5052013

3 

Broaddus VC, Mason RJ, King TE Jr, Lazarus SC, Murray JF, Nadal JA, Slutsky AS and Gotway MB: Epidemiology of Lung Cancer. Murray & Nadel's Textbook of Respiratory Medicine. 6th edition. Saunders Elsevier; Philadelphia, USA: pp. 9272016

4 

O'Reilly KM, Mclaughlin AM, Beckett WS and Sime PJ: Asbestos-related lung disease. Am Fam Physician. 75:683–688. 2007.PubMed/NCBI

5 

Dela Cruz CS, Tanoue LT and Matthay RA: Epidemiology of lung cancer'. Fishman's Pulmonary Diseases and Disorders. Grippi MA, Elias JA, Fishman JA, Kotloff RM, Pack AI, Senior RM and Siegel MD: 5th edition. McGraw-Hill; NY: pp. 16732015

6 

Brunicardi F, Andersen D, Billiar T, Dunn D, Hunter J, Matthews J, et al: Schwartz's principles of surgery. McGraw-Hill; NY: 19. pp. 9802014

7 

M Al-Kadhimi H, H Al-Azzawi Q and K Salih A: Bronchogenic Carcinoma in Patients Younger Than 40 Years. Kerbala J Med. 10:2785–2791. 2017.

8 

Edge SB and Compton CC: The American Joint Committee on Cancer: The 7th edition of the AJCC cancer staging manual and the future of TNM. Ann Surg Oncol. 17:1471–1474. 2010. View Article : Google Scholar : PubMed/NCBI

9 

Jemal A, Bray F, Center MM, Ferlay J, Ward E and Forman D: Global cancer statistics. CA Cancer J Clin. 61:69–90. 2011. View Article : Google Scholar : PubMed/NCBI

10 

National Institutes of Health, . National Cancer Institute, Surveillance Epidemiology and End Results Program (SEER). SEER Stat Fact Sheets: Liver and Intrahepatic Bile Duct Cancer. 2010.https://seer.cancer.gov/statfacts/html/livibd.htmlApril 1–2023

11 

Ettinger DS: Lung cancer and other pulmonary neoplasms. Goldman's Cecil Medicine. 24th edition. Elsevier Inc; pp. 1264–1272. 2011

12 

Westermann CJ, van Swieten HA, Brutel de la Rivière A, van den Bosch JM and Duurkens VA: Pulmonary resection after pneumonectomy in patients with bronchogenic carcinoma. J Thorac Cardiovasc Surg. 106:868–874. 1993. View Article : Google Scholar : PubMed/NCBI

13 

De Perrot M, Licker M, Reymond MA, Robert J and Spiliopoulos A: Influence of age on operative mortality and long-term survival after lung resection for bronchogenic carcinoma. Eur Respir J. 14:419–422. 1999. View Article : Google Scholar : PubMed/NCBI

14 

Boffa DJ, Allen MS, Grab JD, Gaissert HA, Harpole DH and Wright CD: Data from The Society of Thoracic Surgeons General Thoracic Surgery database: The surgical management of primary lung tumors. J Thorac Cardiovasc Surg. 135:247–254. 2008. View Article : Google Scholar : PubMed/NCBI

15 

Ali MK, Mountain CF, Ewer MS, Johnston D and Haynie TP: Predicting loss of pulmonary function after pulmonary resection for bronchogenic carcinoma. Chest. 77:337–342. 1980. View Article : Google Scholar : PubMed/NCBI

16 

Gupta R, Chowdhury I and Singh P: Clinical, radiological and histological profile of Primary Lung Carcinomas. JK Science. 17:1462015.

17 

Laking G and Price P: 18-Fluorodeoxyglucose positron emission tomography (FDG-PET) and the staging of early lung cancer. Thorax. 56 (Suppl 2):ii38–ii44. 2001.PubMed/NCBI

18 

Hussein O, Sherity SE and Omar Y: Contrast computed tomography versus PET/CT in the assessment of bronchogenic carcinoma. Egypt Pharmaceut J. 18:135–140. 2019.

19 

Schreiber G and McCrory DC: Performance characteristics of different modalities for diagnosis of suspected lung cancer. Summary of published evidence. Chest. 123 (1 Suppl):115S–128S. 2003. View Article : Google Scholar : PubMed/NCBI

20 

Psallidas I, Kalomenidis I, Porcel JM, Robinson BW and Stathopoulos GT: Malignant pleural effusion: From bench to bedside. Eur Respir Rev. 25:189–198. 2016. View Article : Google Scholar : PubMed/NCBI

21 

Asciak R and Rahman NM: Malignant pleural effusion: From diagnostics to therapeutics. Clin Chest Med. 39:181–193. 2018. View Article : Google Scholar : PubMed/NCBI

22 

Arroliga AC and Matthay RA: The role of bronchoscopy in lung cancer. Clin Chest Med. 14:87–98. 1993. View Article : Google Scholar : PubMed/NCBI

23 

Herth F, Becker HD, Manegold C and Drings P: Endobronchial ultrasound (EBUS)-assessment of a new diagnostic tool in bronchoscopy for staging of lung cancer. Onkologie. 24:151–154. 2001.PubMed/NCBI

24 

Galluccio G, Palazzolo M, Battistoni P, Dello Iacono R, Batzella S, Caterino U and Lucantoni G: Role of transbronchial needle core biopsy in the diagnosis of mediastinal diseases. J Bronchology Interv Pulmonol. 25:239–244. 2018. View Article : Google Scholar : PubMed/NCBI

25 

Bousema JE, van Dorp M, Hoeijmakers F, Huijbregts IA, Barlo NP, Bootsma GP, van Boven WP, Claessens NJM, Dingemans AC, Hanselaar WE, et al: Guideline adherence of mediastinal staging of non-small cell lung cancer: A multicentre retrospective analysis. Lung Cancer. 134:52–58. 2019. View Article : Google Scholar : PubMed/NCBI

26 

Sellke F, Del Nido P and Swanson S: Sabiston & Spencer surgery of the chest. Saunders Elsevier; Philadelphia, PA: Chapter 17. 9th edition. pp. 2532010

27 

Strand TE, Rostad H, Møller B and Norstein J: Survival after resection for primary lung cancer: A population-based study of 3211 resected patients. Thorax. 61:710–715. 2006. View Article : Google Scholar : PubMed/NCBI

28 

Meyer JA: Hugh morriston davies and lobectomy for cancer, 1912. Ann Thorac Surg. 46:472–474. 1988. View Article : Google Scholar : PubMed/NCBI

29 

Baue AE: Landmark perspective Evarts A: Graham and the first pneumonectomy. JAMA. 251:260–264. 1984. View Article : Google Scholar : PubMed/NCBI

30 

Barney JD and Churchill EJ: Adenocarcinoma of the kidney with metastasis to the lung: Cured by nephrectomy and lobectomy. J Urol. 42:269–276. 1939. View Article : Google Scholar

Related Articles

  • Abstract
  • View
  • Download
  • Twitter
Copy and paste a formatted citation
Spandidos Publications style
Marie MM, Jaber SN, Ahmed OF, Kakamad FH, Hama Amin BJ, Tahir SH, Salih AM, Abdalla SH, Ali RK, Rashid RJ, Rashid RJ, et al: Resectability in bronchogenic carcinoma: A single‑center experience. Oncol Lett 25: 219, 2023.
APA
Marie, M.M., Jaber, S.N., Ahmed, O.F., Kakamad, F.H., Hama Amin, B.J., Tahir, S.H. ... Rahim, H.M. (2023). Resectability in bronchogenic carcinoma: A single‑center experience. Oncology Letters, 25, 219. https://doi.org/10.3892/ol.2023.13805
MLA
Marie, M. M., Jaber, S. N., Ahmed, O. F., Kakamad, F. H., Hama Amin, B. J., Tahir, S. H., Salih, A. M., Abdalla, S. H., Ali, R. K., Rashid, R. J., Mohammed, S. H., Mustafa, S. M., Ali, R. A., Rahim, H. M."Resectability in bronchogenic carcinoma: A single‑center experience". Oncology Letters 25.6 (2023): 219.
Chicago
Marie, M. M., Jaber, S. N., Ahmed, O. F., Kakamad, F. H., Hama Amin, B. J., Tahir, S. H., Salih, A. M., Abdalla, S. H., Ali, R. K., Rashid, R. J., Mohammed, S. H., Mustafa, S. M., Ali, R. A., Rahim, H. M."Resectability in bronchogenic carcinoma: A single‑center experience". Oncology Letters 25, no. 6 (2023): 219. https://doi.org/10.3892/ol.2023.13805
Copy and paste a formatted citation
x
Spandidos Publications style
Marie MM, Jaber SN, Ahmed OF, Kakamad FH, Hama Amin BJ, Tahir SH, Salih AM, Abdalla SH, Ali RK, Rashid RJ, Rashid RJ, et al: Resectability in bronchogenic carcinoma: A single‑center experience. Oncol Lett 25: 219, 2023.
APA
Marie, M.M., Jaber, S.N., Ahmed, O.F., Kakamad, F.H., Hama Amin, B.J., Tahir, S.H. ... Rahim, H.M. (2023). Resectability in bronchogenic carcinoma: A single‑center experience. Oncology Letters, 25, 219. https://doi.org/10.3892/ol.2023.13805
MLA
Marie, M. M., Jaber, S. N., Ahmed, O. F., Kakamad, F. H., Hama Amin, B. J., Tahir, S. H., Salih, A. M., Abdalla, S. H., Ali, R. K., Rashid, R. J., Mohammed, S. H., Mustafa, S. M., Ali, R. A., Rahim, H. M."Resectability in bronchogenic carcinoma: A single‑center experience". Oncology Letters 25.6 (2023): 219.
Chicago
Marie, M. M., Jaber, S. N., Ahmed, O. F., Kakamad, F. H., Hama Amin, B. J., Tahir, S. H., Salih, A. M., Abdalla, S. H., Ali, R. K., Rashid, R. J., Mohammed, S. H., Mustafa, S. M., Ali, R. A., Rahim, H. M."Resectability in bronchogenic carcinoma: A single‑center experience". Oncology Letters 25, no. 6 (2023): 219. https://doi.org/10.3892/ol.2023.13805
Follow us
  • Twitter
  • LinkedIn
  • Facebook
About
  • Spandidos Publications
  • Careers
  • Cookie Policy
  • Privacy Policy
How can we help?
  • Help
  • Live Chat
  • Contact
  • Email to our Support Team