Spandidos Publications Logo
  • About
    • About Spandidos
    • Aims and Scopes
    • Abstracting and Indexing
    • Editorial Policies
    • Reprints and Permissions
    • Job Opportunities
    • Terms and Conditions
    • Contact
  • Journals
    • All Journals
    • Oncology Letters
      • Oncology Letters
      • Information for Authors
      • Editorial Policies
      • Editorial Board
      • Aims and Scope
      • Abstracting and Indexing
      • Bibliographic Information
      • Archive
    • International Journal of Oncology
      • International Journal of Oncology
      • Information for Authors
      • Editorial Policies
      • Editorial Board
      • Aims and Scope
      • Abstracting and Indexing
      • Bibliographic Information
      • Archive
    • Molecular and Clinical Oncology
      • Molecular and Clinical Oncology
      • Information for Authors
      • Editorial Policies
      • Editorial Board
      • Aims and Scope
      • Abstracting and Indexing
      • Bibliographic Information
      • Archive
    • Experimental and Therapeutic Medicine
      • Experimental and Therapeutic Medicine
      • Information for Authors
      • Editorial Policies
      • Editorial Board
      • Aims and Scope
      • Abstracting and Indexing
      • Bibliographic Information
      • Archive
    • International Journal of Molecular Medicine
      • International Journal of Molecular Medicine
      • Information for Authors
      • Editorial Policies
      • Editorial Board
      • Aims and Scope
      • Abstracting and Indexing
      • Bibliographic Information
      • Archive
    • Biomedical Reports
      • Biomedical Reports
      • Information for Authors
      • Editorial Policies
      • Editorial Board
      • Aims and Scope
      • Abstracting and Indexing
      • Bibliographic Information
      • Archive
    • Oncology Reports
      • Oncology Reports
      • Information for Authors
      • Editorial Policies
      • Editorial Board
      • Aims and Scope
      • Abstracting and Indexing
      • Bibliographic Information
      • Archive
    • Molecular Medicine Reports
      • Molecular Medicine Reports
      • Information for Authors
      • Editorial Policies
      • Editorial Board
      • Aims and Scope
      • Abstracting and Indexing
      • Bibliographic Information
      • Archive
    • World Academy of Sciences Journal
      • World Academy of Sciences Journal
      • Information for Authors
      • Editorial Policies
      • Editorial Board
      • Aims and Scope
      • Abstracting and Indexing
      • Bibliographic Information
      • Archive
    • International Journal of Functional Nutrition
      • International Journal of Functional Nutrition
      • Information for Authors
      • Editorial Policies
      • Editorial Board
      • Aims and Scope
      • Abstracting and Indexing
      • Bibliographic Information
      • Archive
    • International Journal of Epigenetics
      • International Journal of Epigenetics
      • Information for Authors
      • Editorial Policies
      • Editorial Board
      • Aims and Scope
      • Abstracting and Indexing
      • Bibliographic Information
      • Archive
    • Medicine International
      • Medicine International
      • Information for Authors
      • Editorial Policies
      • Editorial Board
      • Aims and Scope
      • Abstracting and Indexing
      • Bibliographic Information
      • Archive
  • Articles
  • Information
    • Information for Authors
    • Information for Reviewers
    • Information for Librarians
    • Information for Advertisers
    • Conferences
  • Language Editing
Spandidos Publications Logo
  • About
    • About Spandidos
    • Aims and Scopes
    • Abstracting and Indexing
    • Editorial Policies
    • Reprints and Permissions
    • Job Opportunities
    • Terms and Conditions
    • Contact
  • Journals
    • All Journals
    • Biomedical Reports
      • Information for Authors
      • Editorial Policies
      • Editorial Board
      • Aims and Scope
      • Abstracting and Indexing
      • Bibliographic Information
      • Archive
    • Experimental and Therapeutic Medicine
      • Information for Authors
      • Editorial Policies
      • Editorial Board
      • Aims and Scope
      • Abstracting and Indexing
      • Bibliographic Information
      • Archive
    • International Journal of Epigenetics
      • Information for Authors
      • Editorial Policies
      • Editorial Board
      • Aims and Scope
      • Abstracting and Indexing
      • Bibliographic Information
      • Archive
    • International Journal of Functional Nutrition
      • Information for Authors
      • Editorial Policies
      • Editorial Board
      • Aims and Scope
      • Abstracting and Indexing
      • Bibliographic Information
      • Archive
    • International Journal of Molecular Medicine
      • Information for Authors
      • Editorial Policies
      • Editorial Board
      • Aims and Scope
      • Abstracting and Indexing
      • Bibliographic Information
      • Archive
    • International Journal of Oncology
      • Information for Authors
      • Editorial Policies
      • Editorial Board
      • Aims and Scope
      • Abstracting and Indexing
      • Bibliographic Information
      • Archive
    • Medicine International
      • Information for Authors
      • Editorial Policies
      • Editorial Board
      • Aims and Scope
      • Abstracting and Indexing
      • Bibliographic Information
      • Archive
    • Molecular and Clinical Oncology
      • Information for Authors
      • Editorial Policies
      • Editorial Board
      • Aims and Scope
      • Abstracting and Indexing
      • Bibliographic Information
      • Archive
    • Molecular Medicine Reports
      • Information for Authors
      • Editorial Policies
      • Editorial Board
      • Aims and Scope
      • Abstracting and Indexing
      • Bibliographic Information
      • Archive
    • Oncology Letters
      • Information for Authors
      • Editorial Policies
      • Editorial Board
      • Aims and Scope
      • Abstracting and Indexing
      • Bibliographic Information
      • Archive
    • Oncology Reports
      • Information for Authors
      • Editorial Policies
      • Editorial Board
      • Aims and Scope
      • Abstracting and Indexing
      • Bibliographic Information
      • Archive
    • World Academy of Sciences Journal
      • Information for Authors
      • Editorial Policies
      • Editorial Board
      • Aims and Scope
      • Abstracting and Indexing
      • Bibliographic Information
      • Archive
  • Articles
  • Information
    • For Authors
    • For Reviewers
    • For Librarians
    • For Advertisers
    • Conferences
  • Language Editing
Login Register Submit
  • This site uses cookies
  • You can change your cookie settings at any time by following the instructions in our Cookie Policy. To find out more, you may read our Privacy Policy.

    I agree
Search articles by DOI, keyword, author or affiliation
Search
Advanced Search
presentation
Oncology Letters
Join Editorial Board Propose a Special Issue
Print ISSN: 1792-1074 Online ISSN: 1792-1082
Journal Cover
June-2023 Volume 25 Issue 6

Full Size Image

Sign up for eToc alerts
Recommend to Library

Journals

International Journal of Molecular Medicine

International Journal of Molecular Medicine

International Journal of Molecular Medicine is an international journal devoted to molecular mechanisms of human disease.

International Journal of Oncology

International Journal of Oncology

International Journal of Oncology is an international journal devoted to oncology research and cancer treatment.

Molecular Medicine Reports

Molecular Medicine Reports

Covers molecular medicine topics such as pharmacology, pathology, genetics, neuroscience, infectious diseases, molecular cardiology, and molecular surgery.

Oncology Reports

Oncology Reports

Oncology Reports is an international journal devoted to fundamental and applied research in Oncology.

Experimental and Therapeutic Medicine

Experimental and Therapeutic Medicine

Experimental and Therapeutic Medicine is an international journal devoted to laboratory and clinical medicine.

Oncology Letters

Oncology Letters

Oncology Letters is an international journal devoted to Experimental and Clinical Oncology.

Biomedical Reports

Biomedical Reports

Explores a wide range of biological and medical fields, including pharmacology, genetics, microbiology, neuroscience, and molecular cardiology.

Molecular and Clinical Oncology

Molecular and Clinical Oncology

International journal addressing all aspects of oncology research, from tumorigenesis and oncogenes to chemotherapy and metastasis.

World Academy of Sciences Journal

World Academy of Sciences Journal

Multidisciplinary open-access journal spanning biochemistry, genetics, neuroscience, environmental health, and synthetic biology.

International Journal of Functional Nutrition

International Journal of Functional Nutrition

Open-access journal combining biochemistry, pharmacology, immunology, and genetics to advance health through functional nutrition.

International Journal of Epigenetics

International Journal of Epigenetics

Publishes open-access research on using epigenetics to advance understanding and treatment of human disease.

Medicine International

Medicine International

An International Open Access Journal Devoted to General Medicine.

Journal Cover
June-2023 Volume 25 Issue 6

Full Size Image

Sign up for eToc alerts
Recommend to Library

  • Article
  • Citations
    • Cite This Article
    • Download Citation
    • Create Citation Alert
    • Remove Citation Alert
    • Cited By
  • Similar Articles
    • Related Articles (in Spandidos Publications)
    • Similar Articles (Google Scholar)
    • Similar Articles (PubMed)
  • Download PDF
  • Download XML
  • View XML
Case Report Open Access

Primary signet‑ring cell melanoma of the anorectum: A case report

  • Authors:
    • Hongyan Ma
    • Shuai Shi
    • Zhigang Zhang
    • Honggang Liu
  • View Affiliations / Copyright

    Affiliations: Department of Pathology, Key Laboratory of Head and Neck Molecular Diagnosis Pathology, Beijing TongRen Hospital, Capital Medical University, Beijing 100000, P.R. China, Department of Pathology, Cangzhou People's Hospital, Cangzhou, Hebei 061000, P.R. China
    Copyright: © Ma et al. This is an open access article distributed under the terms of Creative Commons Attribution License.
  • Article Number: 220
    |
    Published online on: April 13, 2023
       https://doi.org/10.3892/ol.2023.13806
  • Expand metrics +
Metrics: Total Views: 0 (Spandidos Publications: | PMC Statistics: )
Metrics: Total PDF Downloads: 0 (Spandidos Publications: | PMC Statistics: )
Cited By (CrossRef): 0 citations Loading Articles...

This article is mentioned in:



Abstract

Malignant melanoma is one of the most common malignant tumors. Although its incidence rate is generally low among the Chinese population, it has grown rapidly in recent years. The incidence of primary malignant melanoma in the digestive tract is very low. The incidence in the esophagus and rectum are more common, while reports in the colon are only reported in <10 cases. Primary signet ring cell carcinoma of the rectum is also a rare and unique tumor. This paper reports a case of rectal malignant melanoma with signet ring cell carcinoma.

Introduction

Mucosal Malignant Melanoma (MMM) originates from the malignant transformation of neuroectodermal melanocytes. It is a very rare tumor. It only accounts for less than 2% of malignant melanoma in white people. Its common sites are head and neck (nasal mucosa and tongue bottom mucosa), female reproductive tract (vagina, vulva) and digestive tract (esophagus, anus and rectum), This may be related to melanocytes in squamous epithelium mucosa of these parts (1). The morphology of melanoma cells varies from epithelioid to spindle shaped differentiation, including various cytoplasmic morphologies (2). Among them, signet ring cell malignant melanoma (SRCMM) is a rare subtype of melanoma (3–6).

Malignant melanoma has a broad spectrum of histological characteristics, which can imitate epithelial tissue, hematopoietic tissue, neural tissue and mesenchymal tissue. Melanocytes can also form various structural features, including nest like, trabecular, glandular, whirlpool like, rose like and papillary structures (2). It can differentiate into a variety of cells, including Schwann cells, fibroblasts, myofibroblasts, rhabdomyoid cells, osteoid cells, chondroid cells, ganglion cells and smooth muscle cells. Cell morphology varies from epithelioid to spindle shaped differentiation, including various cytoplasmic morphology, such as signet ring cells, clear cells, balloon like cells, rhabdomyoid and plasma cell like appearance (2). The proportion of signet ring cell morphology in melanoma is extremely low 0.5% (7), which was first proposed by Sheibani and Battifora in 1988 (3). Because signet ring cell morphology can appear in a variety of tumors, including adenocarcinoma, squamous cell carcinoma, basal cell carcinoma, lymphoma and sarcoma, immunohistochemistry has become the initial means to distinguish it from other malignant tumors (4). These immunohistochemical markers include nerve growth factor and receptor, as well as related signal molecules regulating melanocyte differentiation and proliferation. Despite the increasing number of immunohistochemical markers, S-100 is still the most sensitive to melanocytosis. However, some other markers, such as HMB-45, Melan-A, and tyrosinase, have certain specificity, but are less sensitive than S-100 (8).

Melanomas are malignant tumors arising from neuroectoderm melanocytes. Mucosal melanomas arise from melanocytes located in mucosal membranes lining respiratory tract, gastrointestinal tract including anorectum, and urogenital tract etc. They can arise in any part of mucosal membranes, but the incidence of primary mucosal melanoma originating in the digestive tract is extremely rare. Melanoma can show a broad-spectrum morphologic differentiation from epithelioid to spindled cells with variable cytoplasmic features such as clear cell, rhabdoid cell, giant cell, signet-ring shape and plasmacytoid appearance (1). Signet-ring cell melanoma is a rare variant of malignant melanoma. To the best of our knowledge, there are only 22 previous cases that have been described in the English literature (2–18). This rare morphologic variant of malignant melanoma was firstly described by Sheibani and Battifora in 1988 (3). Skin is the primary site for the majority of reported signet-ring melanomas and there have been only 2 previously reported signet-ring melanomas in the digestive tract. We herein report a primary anorectal signet-ring cell melanoma without evidence of cutaneous or ocular malignant melanoma. We also reviewed the literature on this rare variant of mucosal melanoma and discuss the differential diagnosis with other rectum tumors such as signet-ring cell carcinoma and lymphoma etc.

Case report

A 64-year-old Asian woman presented with a 2-week history of rectal bleeding and tenesmus. She denied any other discomforts. The rectoscope showed an elevated lesions less than 2 cm from the anus. The magnetic resonance imaging (MRI) revealed suspicious wall thickening in the distal rectum. The abdomen of computerized tomography (CT) scan showed no hepatic or peritoneal cavity metastases or enlarged lymph nodes. A biopsy was performed in an outside hospital and the mass was initially diagnosed as signet-ring cell carcinoma. However, after further histologic and immunohistochemical review of the biopsy, this tumor turned out to be a malignant melanoma with signet-ring cell morphology. The patient then came to our hospital for further surgical treatment. In the resection sample, the tumor cells diffusely infiltrated the rectum mucosa with focal hyperpigmentation, with most cells being spindled but with some signet-ring cells as well. In considering prior consultation opinion on the biopsy material, additional immunohistochemical stains were performed. The clinical examination did not reveal skin melanoma. After a comprehensive analysis of the histomorphology and immunohistochemical results, the final diagnosis of signet-ring cell melanoma was made. Further imaging analysis revealed no tumor in the internal organs. The patient has no history of cutaneous melanoma or melanoma in another site, and therefore we classified this tumor as a primary mucosal melanoma of signet-ring cell subtype.

Serial 4 µm thick sections from the whole formalin-fixed paraffin-embedded (FFPE) samples of mucosal melanoma were prepared for immunohistochemical staining with an automated DAKO immunostainer. Heat-induced epitope retrieval for immunohistochemical analysis was performed and standardized for each antibody. The immunostains with the following antibodies were performed: pan-cytokeratin (ZSGB-BIO; clone 35βH11), cytokeratin 7 (ZSGB-BIO; clone EP16), cytokeratin 8/18 (ZSGB-BIO; clone Zym5.2), EMA (ZSGB-BIO; clone GP1.4), S-100 protein (ZSGB-BIO; clone 15E2E2+4C4.9),vimentin (ZSGB-BIO; clone EP21), human melanoma black-45 or HMB-45 (M2-7C10 + M2-9E3), Melan-A (ZSGB-BIO; clone A103) and Rabbit antihuman antibodies to Cytokeratin 20(ZSGB-BIO; clone EP23). Special stains including mucicarmin, PAS and Alcian blue/periodic acid Schiff staining diastase (AB/PAS) were also performed.

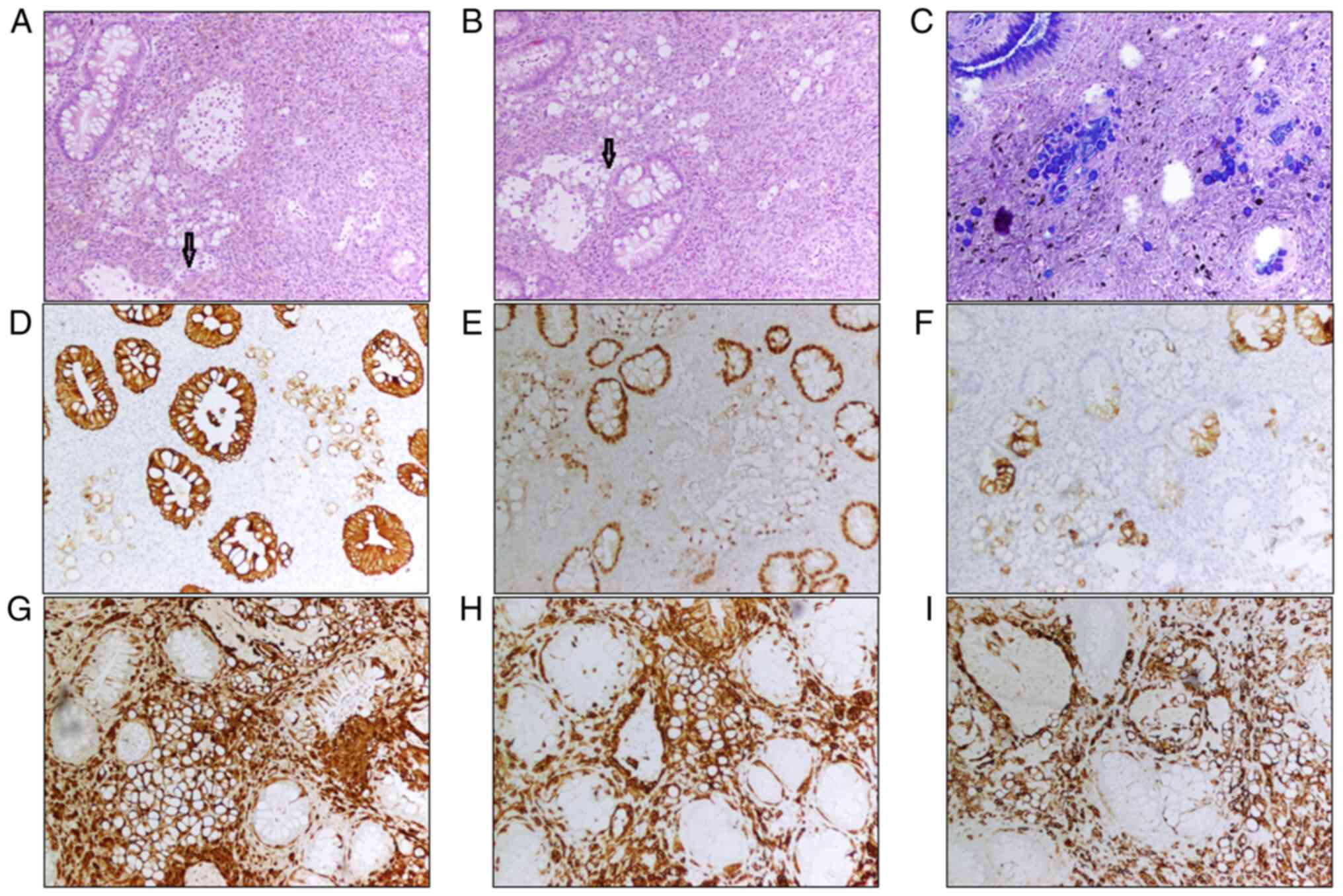
In the resection sample, the rectal mucosa is infiltrated by spindled cells and signet-ring cells. There was a gray-black protuberant mass adjacent to the dentate line with a maximum diameter of 2.3 cm, 0.8 cm above the mucosa. The cut surface was gray-black, solid and hard. Moreover, the melanin pigment can be seen in the area with spindled tumor cells. The spindle cells infiltrated to the deep layer of muscularis propria, while the signet-ring cells were located in the mucosa. There were also some lymphoid cells in the mucosa, and they were focally admixed with signet-ring cells. The signet-ring cells demonstrated abundant clear cytoplasm compressing the nuclei to the periphery (Fig. 1A and B). The cytoplasm of the signet-ring cells was positive for staining with Alcian blue/periodic acid Schiff staining (AB/PAS) (Fig. 1C), while the spindle cells were negative (Fig. 1C). The signet-ring cells were focally and weak positive for pan-CK (Fig. 1D), CDX2 (Fig. 1E), and CK20 (Fig. 1F) while the spindled tumor cells were negative for these three markers. The tumor cells of both components (spindled and signet-ring cells) were stained strongly positive for S-100 protein (Fig. 1G), MelanA (Fig. 1H) and HMB45 (Fig. 1I). In combining the histologic morphology with immunohistochemical findings, the diagnosis of the signet-ring cell melanoma was established.

Figure 1.

(A) There were also some lymphoid cells in the mucosa, and they were focally admixed with signet-ring cells. (B) The signet-ring cells demonstrated abundant clear cytoplasm compressing the nuclei to the periphery. (C) The cytoplasm of the signet-ring cells was positive for staining with Alcian blue/periodic acid Schiff staining, while the spindle cells were negative. (D) The signet ring cells were CK-positive. (E) CDX2 and (F) CK20 were strongly positive in signet ring cells and rectal mucosa. Immunohistochemistry showed the reactivity of malignant melanoma components: (G) S-100 protein, (H) Melan A and (I) HMB45. Magnification ×100. CK20, cytokeratin 20; MelanA, Melanoma antigen recongnized by T cells 1; pan-CK, pan cytokeratin.

Next-generation sequencing (NGS) with multiplex amplification of targets and AmpliSeq strategy was performed using the ION TORRENT PGM including a set of 74 exons of 31 genes including ABL1 exons 4, 5, and 6; AKT1 exons 4; BRAF exons 11, and 15; CTNNB1 exons 3; DDR2 exons 18; EGFR exons 18, 19, 20, and 21; ERBB4 exons 7, 15, and 23; FBXW7 exons 9 and 10; FGFR1 exons 12; FGFR2 exons 7, 9, and 12; FGFR3 exons 7 and 14; GNA11 exons 5; GNAQ exons 5; GNAS exons 8 and 9; HER2 exons 19, 20, and 21; HRAS exons 2, 3, and 4; IGH1 exons 4; IGH2 exons 4; JAK2 exons 14; KIT exons 9, 11, 13, 14, and 17; KRAS exons 2, 3, and 4; MAP2K1 exons 2 and 3; MET exons 14, 16, and 19; NOTCH1 exons 27; NRAS exons 2, 3, and 4; PDGFRA exons 12, 14, and 18; PIK3CA exons 10 and 21; PTEN exons 1, 5, 6, and 7; SMAD4 exons 9 and 10; STK11 exons 4, 6, and 8; TP53 exons 2, 4, 5, 6, 7, 8, and 10. TP53 missense mutation was identified and no mutation was seen in other genes in the panel. Studies have reported that colorectal melanoma has a poor prognosis, because local lymph nodes and distant metastasis often occur at the time of diagnosis (9). Interestingly, BRAF and NRAS mutations were less frequent than skin melanoma. In contrast, more than 30% of cases reported activated KIT mutations (10). In these patients, imatinib has shown promising activity (11). Other mutations of anorectal melanoma were found in BRCA1, HRAS, MLH1, NF1, PDGFRA and SF3B1 (12).

The differential diagnosis also includes metastatic melanoma. Primary melanomas originating from the alimentary tract is extremely rare (13). In addition, several studies have reported that the signet-ring cells are occasionally present only in metastatic sites. In a study of comparing expression of immunohistochemical markers between primary and metastatic malignant melanomas, it was found that epithelial marker reactivity was more common in the metastases of melanomas (14). The diagnostic criteria for primary malignant melanoma in the GI tract include: no evidence of metastatic spread on physical examination, no history of resection of melanoma or cutaneous melanoma, lack of gastrointestinal epithelium and its adjacent areas lentiginous lesions in situ. The criterion was proposed by Blecker with his colleges and other people (15,16). Based on the above criteria, primary anorectal melanoma was made for our case.

The melanoma in our case showed two distinct populations of tumor cells: spindled and signet-ring cells, raising the differential diagnosis of sarcomatoid carcinoma arising in association with signet-ring cell carcinoma. Immunohistochemical markers are useful for clarifying this issue as showed by our case.

We have presented a case of signet-ring cell melanoma accompanied by spindle cell areas, a rare variant of mucosal melanoma, in an uncommon location, the anorectum. To our best knowledge, this is the third report of signet-ring melanoma in the digestive mucosa. The diagnosis of signet-ring cell melanoma can be confirmed by the strongly positivity for melanocytic markers in the signet ring tumor cells, which also showed focally weak staining for epithelial markers such as pan-CK.

The patient was given paclitaxel/carboplatin) + bevacizumab chemotherapy and TC bevy regimen. At present, there is no clear treatment guideline for this disease, so we first treat it according to the treatment plan of melanoma.

Discussion

Signet-ring cell melanoma is a rare subtype of melanoma and poses some diagnostic challenges if without immunohistochemical staining. In this case, the differential diagnose is challenging and includes signet-ring carcinoma. Indeed, the initial pathologic diagnosis in the biopsy was signet ring cell carcinoma. In the resection specimen, we have done several additional epithelial markers including pan-CK, CK7, CK20, CK8/18 and EMA to address the differential diagnosis. Interestingly, all these markers were focally weakly positive in the signet ring cells. Previously, only one case of signet ring cell melanoma (17) was reported to show focal and weak positive staining for CK. In our case, the special stains including mucicarmin, PAS, Alcian blue/periodic acid Schiff staining (AB/PAS) were also positive in the signet ring cells. Although the PAS-stain can be detected in malignant melanoma, the PAS-D-stain was proved positive in only two (3,18) of the previous reports. Just based on the immunohistochemical results, one cannot exclude the diagnosis of signet-ring cell carcinoma. However, the usual melanocytic markers including S-100 protein, Melan-A and HMB-45 were also detected in the signet-ring cells in our case. From Fig. 1, we found that the signet-ring cells showed weak positivity for these markers, while such positivity also demonstrated in the fundus of enterocytes, which may indicate that the so-called signet-ring cells might originate from the intestinal epithelial stem cells. Moreover, the spindle cells were negative for the epithelial markers, then a hypothesis can be made that the two components were different in their origin. Thus, after making a comprehensive analysis, the diagnosis of signet-ring cell melanoma was established.

In this case, the spindle cell component is easy to overlook, and it is not difficult to ascertain its nature through a combination of immunohistochemical applications, bearing in mind that the rectum is a predilection site for malignant melanoma in the digestive system. The special feature of this case is its signet ring cell-like morphology, which not only showed immunohistochemical differentiation towards melanoma, but also showed expression of epithelial components, which could easily be misdiagnosed as Signet ring cell carcinoma, therefore, the comprehensive application of immunohistochemistry and comprehensive interpretation of the results is very important. We report a rare case, the mechanism of which is not clear. We need to collect more cases for further study.

Acknowledgements

Not applicable.

Funding

The authors received financial support for the research, authorship and/or publication of this article from the Beijing Municipal Education Commission (grant no. KZ201910025033) and Beijing Municipal Administration of Hospitals Clinical Medicine Development of Special Funding (grant no. ZYLX201814).

Availability of data and materials

All data generated or analyzed during this study are included in this published article.

Authors' contributions

HM and HL were responsible for the research idea, reviewing the literature and drafting the manuscript. ZZ and SS confirmed the authenticity of all raw data. HM acquired and analyzed patient data. HM and HL contributed to study conception, overall design and quality control. ZZ and SS collated and analyzed the pathological data of patients. All authors critically reviewed the manuscript and approved submission. All authors have read and approved the final manuscript.

Ethics approval and consent to participate

The study was approved by the Ethics Committee of Cangzhou People's Hospital (approval no. AF/SC-07/02.0).

Patient consent for publication

The patient provided written informed consent to publish the case.

Competing interests

The authors declare that they have no competing interests.

References

1 

Gutman M, Inbar M, Chaitchik S, Merhav A, Pausner D, Skoznik Y, Ilie B, Rozin RR and Klausner JM: Malignant melanoma of the mucus membranes. Eur J Surg Oncol. 18:307–312. 1992.PubMed/NCBI

2 

Banerjee SS and Harris M: Morphological and immunophenotypic variations in malignant melanoma. Histopathology. 36:387–402. 2000. View Article : Google Scholar : PubMed/NCBI

3 

Sheibani K and Battifora H: Signet-ring cell melanoma. A rare morphologic variant of malignant melanoma. Am J Surg Pathol. 12:28–34. 1988. View Article : Google Scholar : PubMed/NCBI

4 

Rutten A, Huschka U, Requena C, Rodriguez-Peralto JL and Requena L: Primary cutaneous signet-ring cell melanoma: A clinico-pathologic and immunohistochemical study of two cases. Am J Dermatopathol. 25:418–422. 2003. View Article : Google Scholar : PubMed/NCBI

5 

Kacerovska D, Sokol L, Michal M and Kazakov DV: Primary cutaneous signet-ring cell melanoma with pseudoglandular features, spindle cells and oncocytoid changes. Am J Dermatopathol. 31:81–83. 2009. View Article : Google Scholar : PubMed/NCBI

6 

Bastian BC, Kutzner H, Yen T and LeBoit PE: Signet-ring cell formation in cutaneous neoplasms. J Am Acad Dermatol. 41:606–613. 1999. View Article : Google Scholar : PubMed/NCBI

7 

Nakhleh RE, Wick MR, Rocamora A, Swanson PE and Dehner LP: Morphologic diversity in malignant melanomas. Am J Clin Pathol. 93:731–740. 1990. View Article : Google Scholar : PubMed/NCBI

8 

Ohsie SJ, Sarantopoulos GP, Cochran AJ and Binder SW: Immunohistochemical characteristics of melanoma. J Cutan Pathol. 35:433–444. 2008. View Article : Google Scholar : PubMed/NCBI

9 

Chang AE, Karnell LH and Menck HR: The National Cancer Data Base report on cutaneous and noncutaneous melanoma: A summary of 84,836 cases from the past decade. The American College of Surgeons Commission on Cancer and the American Cancer Society. Cancer. 83:1664–1678. 1998. View Article : Google Scholar : PubMed/NCBI

10 

Guo J, Si L, Kong Y, Flaherty KT, Xu X, Zhu Y, Corless CL, Li L, Li H, Sheng X, et al: Phase II, open-label, single-arm trial of imatinib mesylate in patients with metastatic melanoma harboring c-Kit mutation or amplification. J Clin Oncol. 29:2904–2909. 2011. View Article : Google Scholar : PubMed/NCBI

11 

Moreira A, Heinzerling L, Bhardwaj N and Friedlander P: Current melanoma treatments: Where Do We Stand? Cancers. 13:2212021. View Article : Google Scholar : PubMed/NCBI

12 

Yang HM, Hsiao SJ, Schaeffer DF, Lai C, Remotti HE, Horst D, Mansukhani MM and Horst BA: Identification of recurrent mutational events in anorectal melanoma. Mod Pathol. 30:286–296. 2017. View Article : Google Scholar : PubMed/NCBI

13 

Kocovski L and Alowami S: Signet-ring cell melanoma: A potential diagnostic pitfall. Am J Dermatopathol. 36:985–988. 2014. View Article : Google Scholar : PubMed/NCBI

14 

Ben-Izhak O, Stark P, Levy R, Bergman R and Lichtig C: Epithelial markers in malignant melanoma. A study of primary lesions and their metastases. Am J Dermatopathol. 16:241–246. 1994. View Article : Google Scholar : PubMed/NCBI

15 

Blecker D, Abraham S, Furth EE and Kochman ML: Melanoma in the gastrointestinal tract. Am J Gastroenterol. 94:3427–3433. 1999. View Article : Google Scholar : PubMed/NCBI

16 

Khalid U, Saleem T, Imam AM and Khan MR: Pathogenesis, diagnosis and management of primary melanoma of the colon. World J Surg Oncol. 9:142011. View Article : Google Scholar : PubMed/NCBI

17 

LiVolsi VA, Brooks JJ, Soslow R, Johnson BL and Elder DE: Signet cell melanocytic lesions. Mod Pathol. 5:515–520. 1992.PubMed/NCBI

18 

Bonetti F, Colombari R, Zamboni G and Chilosi M: Signet ring melanoma, S-100 negative. Am J Surg Pathol. 13:522–523. 1989. View Article : Google Scholar : PubMed/NCBI

Related Articles

  • Abstract
  • View
  • Download
  • Twitter
Copy and paste a formatted citation
Spandidos Publications style
Ma H, Shi S, Zhang Z and Liu H: Primary signet‑ring cell melanoma of the anorectum: A case report. Oncol Lett 25: 220, 2023.
APA
Ma, H., Shi, S., Zhang, Z., & Liu, H. (2023). Primary signet‑ring cell melanoma of the anorectum: A case report. Oncology Letters, 25, 220. https://doi.org/10.3892/ol.2023.13806
MLA
Ma, H., Shi, S., Zhang, Z., Liu, H."Primary signet‑ring cell melanoma of the anorectum: A case report". Oncology Letters 25.6 (2023): 220.
Chicago
Ma, H., Shi, S., Zhang, Z., Liu, H."Primary signet‑ring cell melanoma of the anorectum: A case report". Oncology Letters 25, no. 6 (2023): 220. https://doi.org/10.3892/ol.2023.13806
Copy and paste a formatted citation
x
Spandidos Publications style
Ma H, Shi S, Zhang Z and Liu H: Primary signet‑ring cell melanoma of the anorectum: A case report. Oncol Lett 25: 220, 2023.
APA
Ma, H., Shi, S., Zhang, Z., & Liu, H. (2023). Primary signet‑ring cell melanoma of the anorectum: A case report. Oncology Letters, 25, 220. https://doi.org/10.3892/ol.2023.13806
MLA
Ma, H., Shi, S., Zhang, Z., Liu, H."Primary signet‑ring cell melanoma of the anorectum: A case report". Oncology Letters 25.6 (2023): 220.
Chicago
Ma, H., Shi, S., Zhang, Z., Liu, H."Primary signet‑ring cell melanoma of the anorectum: A case report". Oncology Letters 25, no. 6 (2023): 220. https://doi.org/10.3892/ol.2023.13806
Follow us
  • Twitter
  • LinkedIn
  • Facebook
About
  • Spandidos Publications
  • Careers
  • Cookie Policy
  • Privacy Policy
How can we help?
  • Help
  • Live Chat
  • Contact
  • Email to our Support Team