Spandidos Publications Logo
  • About
    • About Spandidos
    • Aims and Scopes
    • Abstracting and Indexing
    • Editorial Policies
    • Reprints and Permissions
    • Job Opportunities
    • Terms and Conditions
    • Contact
  • Journals
    • All Journals
    • Oncology Letters
      • Oncology Letters
      • Information for Authors
      • Editorial Policies
      • Editorial Board
      • Aims and Scope
      • Abstracting and Indexing
      • Bibliographic Information
      • Archive
    • International Journal of Oncology
      • International Journal of Oncology
      • Information for Authors
      • Editorial Policies
      • Editorial Board
      • Aims and Scope
      • Abstracting and Indexing
      • Bibliographic Information
      • Archive
    • Molecular and Clinical Oncology
      • Molecular and Clinical Oncology
      • Information for Authors
      • Editorial Policies
      • Editorial Board
      • Aims and Scope
      • Abstracting and Indexing
      • Bibliographic Information
      • Archive
    • Experimental and Therapeutic Medicine
      • Experimental and Therapeutic Medicine
      • Information for Authors
      • Editorial Policies
      • Editorial Board
      • Aims and Scope
      • Abstracting and Indexing
      • Bibliographic Information
      • Archive
    • International Journal of Molecular Medicine
      • International Journal of Molecular Medicine
      • Information for Authors
      • Editorial Policies
      • Editorial Board
      • Aims and Scope
      • Abstracting and Indexing
      • Bibliographic Information
      • Archive
    • Biomedical Reports
      • Biomedical Reports
      • Information for Authors
      • Editorial Policies
      • Editorial Board
      • Aims and Scope
      • Abstracting and Indexing
      • Bibliographic Information
      • Archive
    • Oncology Reports
      • Oncology Reports
      • Information for Authors
      • Editorial Policies
      • Editorial Board
      • Aims and Scope
      • Abstracting and Indexing
      • Bibliographic Information
      • Archive
    • Molecular Medicine Reports
      • Molecular Medicine Reports
      • Information for Authors
      • Editorial Policies
      • Editorial Board
      • Aims and Scope
      • Abstracting and Indexing
      • Bibliographic Information
      • Archive
    • World Academy of Sciences Journal
      • World Academy of Sciences Journal
      • Information for Authors
      • Editorial Policies
      • Editorial Board
      • Aims and Scope
      • Abstracting and Indexing
      • Bibliographic Information
      • Archive
    • International Journal of Functional Nutrition
      • International Journal of Functional Nutrition
      • Information for Authors
      • Editorial Policies
      • Editorial Board
      • Aims and Scope
      • Abstracting and Indexing
      • Bibliographic Information
      • Archive
    • International Journal of Epigenetics
      • International Journal of Epigenetics
      • Information for Authors
      • Editorial Policies
      • Editorial Board
      • Aims and Scope
      • Abstracting and Indexing
      • Bibliographic Information
      • Archive
    • Medicine International
      • Medicine International
      • Information for Authors
      • Editorial Policies
      • Editorial Board
      • Aims and Scope
      • Abstracting and Indexing
      • Bibliographic Information
      • Archive
  • Articles
  • Information
    • Information for Authors
    • Information for Reviewers
    • Information for Librarians
    • Information for Advertisers
    • Conferences
  • Language Editing
Spandidos Publications Logo
  • About
    • About Spandidos
    • Aims and Scopes
    • Abstracting and Indexing
    • Editorial Policies
    • Reprints and Permissions
    • Job Opportunities
    • Terms and Conditions
    • Contact
  • Journals
    • All Journals
    • Biomedical Reports
      • Information for Authors
      • Editorial Policies
      • Editorial Board
      • Aims and Scope
      • Abstracting and Indexing
      • Bibliographic Information
      • Archive
    • Experimental and Therapeutic Medicine
      • Information for Authors
      • Editorial Policies
      • Editorial Board
      • Aims and Scope
      • Abstracting and Indexing
      • Bibliographic Information
      • Archive
    • International Journal of Epigenetics
      • Information for Authors
      • Editorial Policies
      • Editorial Board
      • Aims and Scope
      • Abstracting and Indexing
      • Bibliographic Information
      • Archive
    • International Journal of Functional Nutrition
      • Information for Authors
      • Editorial Policies
      • Editorial Board
      • Aims and Scope
      • Abstracting and Indexing
      • Bibliographic Information
      • Archive
    • International Journal of Molecular Medicine
      • Information for Authors
      • Editorial Policies
      • Editorial Board
      • Aims and Scope
      • Abstracting and Indexing
      • Bibliographic Information
      • Archive
    • International Journal of Oncology
      • Information for Authors
      • Editorial Policies
      • Editorial Board
      • Aims and Scope
      • Abstracting and Indexing
      • Bibliographic Information
      • Archive
    • Medicine International
      • Information for Authors
      • Editorial Policies
      • Editorial Board
      • Aims and Scope
      • Abstracting and Indexing
      • Bibliographic Information
      • Archive
    • Molecular and Clinical Oncology
      • Information for Authors
      • Editorial Policies
      • Editorial Board
      • Aims and Scope
      • Abstracting and Indexing
      • Bibliographic Information
      • Archive
    • Molecular Medicine Reports
      • Information for Authors
      • Editorial Policies
      • Editorial Board
      • Aims and Scope
      • Abstracting and Indexing
      • Bibliographic Information
      • Archive
    • Oncology Letters
      • Information for Authors
      • Editorial Policies
      • Editorial Board
      • Aims and Scope
      • Abstracting and Indexing
      • Bibliographic Information
      • Archive
    • Oncology Reports
      • Information for Authors
      • Editorial Policies
      • Editorial Board
      • Aims and Scope
      • Abstracting and Indexing
      • Bibliographic Information
      • Archive
    • World Academy of Sciences Journal
      • Information for Authors
      • Editorial Policies
      • Editorial Board
      • Aims and Scope
      • Abstracting and Indexing
      • Bibliographic Information
      • Archive
  • Articles
  • Information
    • For Authors
    • For Reviewers
    • For Librarians
    • For Advertisers
    • Conferences
  • Language Editing
Login Register Submit
  • This site uses cookies
  • You can change your cookie settings at any time by following the instructions in our Cookie Policy. To find out more, you may read our Privacy Policy.

    I agree
Search articles by DOI, keyword, author or affiliation
Search
Advanced Search
presentation
Oncology Letters
Join Editorial Board Propose a Special Issue
Print ISSN: 1792-1074 Online ISSN: 1792-1082
Journal Cover
June-2023 Volume 25 Issue 6

Full Size Image

Sign up for eToc alerts
Recommend to Library

Journals

International Journal of Molecular Medicine

International Journal of Molecular Medicine

International Journal of Molecular Medicine is an international journal devoted to molecular mechanisms of human disease.

International Journal of Oncology

International Journal of Oncology

International Journal of Oncology is an international journal devoted to oncology research and cancer treatment.

Molecular Medicine Reports

Molecular Medicine Reports

Covers molecular medicine topics such as pharmacology, pathology, genetics, neuroscience, infectious diseases, molecular cardiology, and molecular surgery.

Oncology Reports

Oncology Reports

Oncology Reports is an international journal devoted to fundamental and applied research in Oncology.

Experimental and Therapeutic Medicine

Experimental and Therapeutic Medicine

Experimental and Therapeutic Medicine is an international journal devoted to laboratory and clinical medicine.

Oncology Letters

Oncology Letters

Oncology Letters is an international journal devoted to Experimental and Clinical Oncology.

Biomedical Reports

Biomedical Reports

Explores a wide range of biological and medical fields, including pharmacology, genetics, microbiology, neuroscience, and molecular cardiology.

Molecular and Clinical Oncology

Molecular and Clinical Oncology

International journal addressing all aspects of oncology research, from tumorigenesis and oncogenes to chemotherapy and metastasis.

World Academy of Sciences Journal

World Academy of Sciences Journal

Multidisciplinary open-access journal spanning biochemistry, genetics, neuroscience, environmental health, and synthetic biology.

International Journal of Functional Nutrition

International Journal of Functional Nutrition

Open-access journal combining biochemistry, pharmacology, immunology, and genetics to advance health through functional nutrition.

International Journal of Epigenetics

International Journal of Epigenetics

Publishes open-access research on using epigenetics to advance understanding and treatment of human disease.

Medicine International

Medicine International

An International Open Access Journal Devoted to General Medicine.

Journal Cover
June-2023 Volume 25 Issue 6

Full Size Image

Sign up for eToc alerts
Recommend to Library

  • Article
  • Citations
    • Cite This Article
    • Download Citation
    • Create Citation Alert
    • Remove Citation Alert
    • Cited By
  • Similar Articles
    • Related Articles (in Spandidos Publications)
    • Similar Articles (Google Scholar)
    • Similar Articles (PubMed)
  • Download PDF
  • Download XML
  • View XML

  • Supplementary Files
    • Supplementary_Data.pdf
Case Report Open Access

Synchronous ipsilateral papillary renal cell carcinoma and urothelial carcinoma: A case report

  • Authors:
    • Muhamed Hussen Babarasul
    • Rawa Bapir
    • Dalshad Hama Khurshid Rahman
    • Saman Salih Fakhralddin
    • Fahmi H. Kakamad
    • Soran H. Tahir
    • Rawa M. Ali
    • Berun A. Abdalla
    • Shvan H. Mohammed
    • Dlsoz M. Hussein
  • View Affiliations / Copyright

    Affiliations: Department of Urology, Shaheed Shawkat Haji Musheer Hospital, Said Sadiq 46008, Republic of Iraq, Smart Health Tower, Sulaimani 46000, Republic of Iraq, Department of Urology, Sulaymaniyah General Teaching Hospital, Sulaimani 46000, Republic of Iraq, Kscien Organization, Sulaimani 46000, Republic of Iraq
    Copyright: © Babarasul et al. This is an open access article distributed under the terms of Creative Commons Attribution License.
  • Article Number: 221
    |
    Published online on: April 13, 2023
       https://doi.org/10.3892/ol.2023.13807
  • Expand metrics +
Metrics: Total Views: 0 (Spandidos Publications: | PMC Statistics: )
Metrics: Total PDF Downloads: 0 (Spandidos Publications: | PMC Statistics: )
Cited By (CrossRef): 0 citations Loading Articles...

This article is mentioned in:



Abstract

Concurrence of renal cell carcinoma (RCC) and urothelial carcinoma (UC) in the same kidney is a rare phenomenon. It is critical to define this unusual disease to avoid a delay in diagnosis and improve the prognosis. The present study describes a case of a 71‑year‑old patient with synchronous ipsilateral RCC and UC of the renal pelvis and ureter. The patient presented with intermittent attacks of left loin pain with frank hematuria for 3 months and a weight loss of 5 kg over the same period of time. The patient had been a chronic heavy smoker for >45 years. Physical examination revealed stable vital signs; however, a mobile, non‑tender mass was palpated in the left upper abdomen. A left nephroureterectomy with the removal of a bladder cuff was performed. Histopathological examination revealed a papillary RCC with a pathological stage of pT1N0Mx and a high‑grade UC of the renal pelvis and ureter with a pathological stage of pT3-pN1-pMx. The postoperative recovery was good, and the patient was referred to an oncology center for further management. Previous reports have failed to identify definitive risk factors for the concurrence of RCC and UC. However, 24% of the patients in the various case reports in the literature were smokers. The most common presenting complaints included weight loss and painless hematuria. The concurrence of RCC and UC in the same kidney is a rare entity, and it frequently leads to a worse prognosis than the occurrence of RCC alone. Radical nephroureterectomy is the main line of treatment for patients with upper tract UC.

Introduction

Renal cell carcinoma (RCC) is a predominantly solid tumor of the kidneys, representing ~90% of all kidney malignancies and 2–3% of all human cancer cases (1). The most common histological types of RCC are clear cell (70%), papillary (10–15%), chromophobe (5%) and, collecting duct carcinoma (2). Clear cell RCC and papillary RCC likely originate from the proximal tubules, whereas chromophobe RCC is considered to originate from distal portions of the nephron (3).

Urothelial carcinoma (UC) is the most common cancer of the urinary tract that can develop anywhere along the upper part (renal calyx, renal pelvis or ureter) or the lower part (bladder or urethra) of the urinary tract (4). Renal pelvis and upper ureter carcinomas are less common than renal parenchymal tumors and represent ~5% of all urothelial malignancies (5,6). Additionally, the majority of UC cases are unilateral, with bilateral disease occurring in ~1.6% of all cases (7).

Concurrence of RCC and UC in the same kidney is rare (8,9). Reported cases have revealed a slight male preponderance, with the peak incidence being at 60–70 years of age (7). Synchronous ipsilateral renal malignancies are more difficult to diagnose and have a poorer prognosis than solitary tumors. It is critical to research this uncommon condition in order to prevent a delay in diagnosis and improve its prognosis (10,11).

The present report aims to describe a rare case of synchronous RCC and UC of the ipsilateral renal pelvis and ureter in a 71-year-old male patient.

Case report

Patient information

A 71-year-old male patient presented to Sulaymaniyah General Teaching Hospital (Sulaimani, Iraq) in February 2022 with a 3-month history of intermittent attacks of left loin pain and frank hematuria. Weight loss of 5 kg was also reported during the same time period. The patient had been a chronic heavy smoker with a history of smoking 1.5 packs a day for more than 45 years (67.5 pack-years), but he had ceased smoking 3 years before presentation.

Clinical findings

The patient's vital signs were stable. Palpation of the abdomen revealed a mobile, non-tender mass in the left upper quadrant.

Diagnostic approach

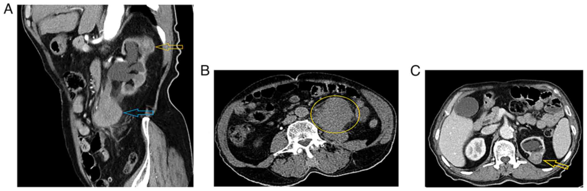
Blood investigations showed the following results: White blood cells (WBCs), 17×1010 (reference range, 4–11×109/l); hemoglobin, 12 g/dl (reference range, 13.0-18.0 g/dl); blood urea, 63 mg/dl (reference range, 8–23 mg/dl); serum creatinine, 1.4 mg/dl (reference range, 0.6-1.2 mg/dl); glucose, 121 mg/dl (reference range, 70–110 mg/dl); and C-reactive protein, 25 mg/dl (reference range, <5.0 mg/l). An ultrasound scan of the abdomen and pelvis revealed moderate to severe left hydronephrosis with decreased renal cortical thickness and hydroureter to the level of a 54×41-mm hypoechoic mass located 4 cm away from the left ureteropelvic junction. A contrast computed tomography (CT) scan of the abdomen and pelvis demonstrated two masses. A 60×50×48-mm mass was identified at the left upper and mid ureter, showing heterogeneous enhancement, causing proximal ureteric and pelvicalyceal system dilatation with parenchymal thinning and moderate to severe hydronephrosis. The disease had spread from the ureter wall to the retroperitoneum, with no surrounding organ invasion. There were only a few 7-mm para-aortic lymph nodes, but without definite pathological features. Overall, the mass was suggestive of ureteric UC. The second mass was located in the upper pole of the left kidney, measured 37×27×20 mm, was partially exophytic and exhibited a hyperdense central region with no enhancement that was probably a hemorrhage. The peripheral hypodense part showed enhancement in a delayed-phase scan, and was not associated with perinephric or peritumoral pseudocapsule invasion. Overall, it was suggestive of RCC T1a (a stage 1 tumor ≤4 cm in size according to the TNM staging system) (12) (Fig. 1). Cystoscopy was performed during surgery, and the bladder urothelium appeared normal, however multiple bladder biopsies were taken. Metastatic workup was performed, including contrast CT scans of the chest, abdomen and pelvis. There were no suspicious bone lesions found in the CT scan, and laboratory tests, such as alkaline phosphatase and serum calcium tests, were normal. Additionally, the patient had no syptoms of bone pain. According to guidelines (13,14), upper UC and RCC do not require a bone scan, so this was not performed.

Figure 1.

Contrast CT scan of the abdomen and pelvis. (A) Coronal and (B) axial sections of a delayed-phase CT scan with contrast showing a left upper ureteral mass (yellow circle). (C) Axial section showing a left upper pole renal mass (yellow arrows). The blue arrow indicates urothelial cancer in the left upper ureter.

CT was performed on a Siemens SOMATOM Definition AS 64-slice scanner (Siemens AG). The CT scan parameters and contrast enhancement settings used were the following: 5 mm-thick, native, corticomedullary, nephrographic and excretory phases, each with 1-mm reconstruction, were reviewed in the axial, coronal and sagittal planes.

Therapeutic intervention

A left nephroureterectomy with the removal of a bladder cuff was performed under general anesthesia and through left anterior subcostal and left Gibson incisions (Fig. 2). Several para-aortic and pelvic lymph nodes were removed. Open surgical intervention was preferred over robotic and laparoscopic surgery due to the lack of a robotic surgery facility and the researcher experience in performing major surgeries and extensive lymph node dissections. The post-operative period was uneventful; the patient was discharged on the third post-operative day with a Foley catheter, to be removed 10 days later.

Figure 2.

Gross surgical specimen. Surgical specimen showing the left kidney with an upper ureteral mass and the whole ureter down to a bladder cuff.

The specimen was fixed in 10% neutral buffered formalin at room temperature for 24 h prior to grossing. Gross examination revealed a 35-mm diameter, well-defined, variegated, soft mass in the upper pole of the kidney, with areas of necrosis and hemorrhage, without invasion beyond the renal capsule or into the renal hilum. In addition, there were two ill-defined, firm, white masses in the renal pelvis (52 mm in diameter) and upper ureter (56 mm in diameter), which were not connected to each other or to the mass in the upper pole. The ureteric mass was found to be invading the ureter wall and reaching the soft-tissue margin. Sections taken from tumors, adjacent tissues and margins were placed into tissue cassettes. The tissue cassettes were then processed with the DiaPath Donatello automated processor using a standard 11-h processing protocol with alcohol, xylene and paraffin. Following embedding in paraffin and trimming, the blocks were sectioned (4–6 µm) onto regular glass slides, kept in an oven at 60°C overnight, and then stained with the DiaPath Giotto (1% for 10 min) automated stainer for hematoxylin and eosin (H&E) using Gill II hematoxylin. The slides were then dried, and coverslips were applied.

Microscopic examination revealed a classic type I papillary RCC in the upper pole with well-formed papillae lined by cuboidal cells with moderate amphophilic cytoplasm, grade 1 to grade 2 nuclear features, areas of necrosis (<50%) and hemorrhage. The tumor was low risk, staged as pT1a-pN0-pMx (12). The other masses had the histology of UC (Fig. 3), all composed of nests and solid sheets of large polygonal cells with abundant eosinophilic cytoplasm, moderate to high nuclear atypia and lymphovascular invasion. Metastatic UC was identified from one of the para-aortic lymph nodes. The highest stage identified for these tumors was pT3-pN1-pMx. No invasive or in situ UC was identified from the bladder mucosa and distal cuff margin.

Figure 3.

Histopathological staining and immunohistochemistry. (A) Papillary renal cell carcinoma (hematoxylin and eosin; original magnification, ×400). (B) Positive reaction of the tumor cells to AMACR in papillary RCC (original magnification, ×400). (C) High-grade urothelial carcinoma (star) and benign urothelium of the pelvis (arrow) (hematoxylin and eosin; original magnification, ×200). (D) Positive reaction of the tumor cells to CK7 in UC (original magnification, ×200). (E) Diffuse nuclear reaction of the tumor cells to GATA3 in UC (original magnification, ×200). (F) Negative reaction of the tumor cells to CD10 in UC (original magnification, ×200).

For immunohistochemistry, the paraffin blocks were sectioned (4–6 µm) onto charged glass slides and kept overnight in an oven at 60°C. Antigen retrieval was achieved through boiling at 100°C for 5–10 min using the Dako PT Link (Agilent Technologies, Inc.) with a solution of pH 6.0 or pH 9.0, depending on the target antibody. The slides were then washed with buffer solution (20 ml) [0.05 mol/l Tris/HCl, 0.15 mol/l NaCl, 0.05% Tween 20 (pH 7.6)] for 15 min at room temperature and welled using the Dako Pen (Agilent Technologies, Inc.), followed by blocking endogenous peroxidase using 3% hydrogen peroxide. The primary antibodies were then applied at room temperature for 80 min, followed by the secondary antibody (horseradish peroxidase) and the chromogen (diaminobenzidine) at room temperature for 15 min. Counterstaining was achieved using hematoxylin Gill II for 30 sec at room temperature, followed by drying and applying coverslips.

Immunohistochemical examination showed diffuse and strong positivity for CK7 (clone OV-TL 12/30; pH 9.0; dilution 1:1; Dako; Agilent Technologies, Inc.) (LOT#: 20038751) and GATA-3 (clone EP368; pH 9.0; dilution 1:1.3; Bio SB, Inc.) (LOT#: 3333PKE11), with negativity for CD10 (clone EP195; pH 9.0; dilution 1:1.5; Bio SB, Inc.) (LOT#: 6434XKI28) in the renal pelvic mass (UC), while the upper pole mass showed diffuse and strong granular cytoplasmic staining for AMACR (clone 13H4; pH 9; dilution 1:1; Bio SB, Inc.) (LOT#: 5062JKC24) (papillary RCC). Since the histological image of both tumor types on routine H&E was sufficiently straightforward for establishing the diagnosis, this limited immunohistochemistry panel was to be performed for confirmation, and a wider panel was not deemed necessary.

Follow-up and outcome

On the 14th post-operative day, the patient was in a good general condition; however, no imaging assessment was performed and the patient was referred to an oncology center in Hiwa Hospital (Sulaimani, Iraq) for further management. After surgery, the patient received six cycles of adjuvant chemotherapy that consisted of gemcitabine (1,000 mg/m2 on days 1, 8 and 15) and cisplatin (70 mg/m2 on day 2). Each cycle lasted 3 weeks. At the time of writing this paper, the patient was being monitored by an oncologist every 3 to 6 months. At 6 months after the surgery, imaging scans showed no signs of local recurrence or distant metastases. The second post-operative imaging scan in February 2023 was normal.

Discussion

RCC is one of the 10 most commonly detected malignancies worldwide, and especially in Western countries, its incidence is rising. RCC comprises of histologically defined subtypes that differ in pathophysiology, clinical course, therapeutic response and prognosis (15). Approximately 40% of patients with localized RCC have distant metastases after surgery (6). The liver, lungs, bones and lymph nodes are the common sites for RCC metastasis, and have a high growth pattern (16). The main factors contributing to the increase in RCC incidence include the development of diagnostic techniques and the public awareness of the importance of periodic health screening. Consequently, there is an increase in the number of patients being diagnosed in the early stages. Due to early diagnosis and treatment, the mortality rate of RCC has markedly decreased over the past three decades, and the total incidence rate has increased, especially in developed countries (16). Papillary RCC comprises 10–15% of all cases of RCC and is associated with a better prognosis than clear cell RCC (6). Papillary RCC can be histologically subclassified as either type I, defined by small cells arranged in a single layer, scant basophilic cytoplasm and oval nuclei, or type II, characterized by large cells with eosinophilic cytoplasm, spherical nuclei, prominent nucleoli and pseudostratification (17).

Upper urinary tract UC is a relatively unusual condition and the prognosis has primarily been associated with tumor stage and grade. Similar to bladder cancer, upper urinary tract UC types include muscle-invasive and non-muscle-invasive diseases (18). The concurrence of ipsilateral RCC and UC of the upper urinary tract is an unusual event, with only a few small series and case reports being available in the literature (5). To the best of our knowledge, Graves and Templeton (19) reported the first case in 1921, and the most recent case was reported by Symeonidis et al (9) in 2022. A review of 47 reported cases showed that the prognosis was comparable to that reported for patients with solitary tumors (5).

Several etiological factors, including lifestyle parameters such as smoking, obesity, hypertension and pathological agents (such as chronic irritation, hydronephrosis, hyperkalemia and exposure to renal carcinogens) have been associated with primary renal pelvis neoplasms (1). Smoking is also a salient risk factor for RCC (8). While no definitive risk factors have been identified for the concurrence of different types of renal neoplasms, one review reported that 24% of the patients were smokers (1). The present case was that of a 71-year-old male who had been a chronic smoker for >45 years.

There are no differences in clinical presentation between patients with isolated primary renal pelvis neoplasms and those with synchronous RCC and UC. Approximately 10% of patients with RCC and UC are asymptomatic and incidentally diagnosed while undergoing abdominal imaging for other reasons (5). Some RCC patients still present with clinical symptoms such as gross haematuria, flank pain and a palpable abdominal mass (the classical triad), metastatic symptoms, such as lung nodules or bone pain, or paraneoplastic syndromes such as unexplained fever, erythrocytosis or wasting syndrome (20). While hematuria is one of the common symptoms of RCC, it is usually associated with advanced disease. Additionally, upper urinary tract UC may be randomly diagnosed or as a result of certain symptoms, mainly visible or non-visible hematuria (70–80%) and flank pain (20%). Systemic symptoms of upper urinary tract UC, such as anorexia, weight loss, malaise, exhaustion, fever, night sweats or a cough, are associated with metastases and a worse prognosis (20).

A CT scan is crucial for a detailed evaluation of the flank mass and for obtaining staging information regarding lymph nodes, renal veins and inferior vena cava involvement (4). For patients presenting with unexplained visible hematuria, CT urography is recommended as the first-line diagnostic test. Ultrasonography of the renal tract is a low-cost, non-ionizing method of evaluating the kidneys and bladder in low-risk, young individuals with non-visible hematuria. However, ultrasound sensitivity is only 26% for renal lesions <1 cm in size, and it is insufficient when examining the collecting systems (21). CT urography provides the highest diagnostic precision for upper urinary tract UC. A meta-analysis of 13 studies with 1,233 patients found that CT urography had a pooled sensitivity and specificity of 92 and 95%, respectively (20). Although MR urography has the advantage of a higher soft tissue contrast than CT and carries no radiation burden, it is limited by MR contraindications and scanner availability, as well as being prone to motion artifacts (21). MR urography may be reserved for problematic cases in pregnancy and renal failure, or for patients with an allergy to iodinated contrast agent (20). In the present case, a CT scan of the abdomen and pelvis revealed a left upper ureteric enhancing mass with an enhancing ipsilateral upper pole renal mass, suggestive of RCC. Qi et al (22) have reported two cases that were initially diagnosed with isolated RCC and one patient who was initially diagnosed with isolated cancer of the ureter.

An accurate pre-operative diagnosis of RCC with synchronous ipsilateral UC of the renal pelvis is critical for the selection of the surgical method. As this scenario is rare, there is a high rate of misdiagnosis (23). The standard treatment for small RCC is radical nephrectomy or partial nephrectomy. This modality, however, is not sufficient for upper tract UC, due to its poorer prognosis compared to RCC. The gold-standard treatment for upper tract UC is radical nephroureterectomy with excision of a bladder cuff (17). Segmental and endoscopic interventions are now widely accepted options based on the tumor's location, size and histological parameters (7). Lwin et al (7) showed that a higher number of endoscopic and nephron-sparing treatments should be employed to treat individuals with ureteral UC.

The prognosis for a patient with dual malignancies is determined by the aggressiveness rate of the two tumors (5). Upper urinary tract UC is more commonly diagnosed in advanced stages compared to bladder cancer. Secondary bladder cancer is ~10-fold more likely to occur after primary upper urinary tract UC, with a risk of 20–50% (18). In the majority of the reported cases, the tumor stages at diagnosis were reported as being pT2 or above (24). The prognostic impact of tumor location has been discussed but is controversial. After adjusting for stage, some studies have shown that ureteral tumors have a worse prognosis than pelvic malignancies; however, this was not confirmed in a study by Zigeuner and Pummer (18). In the study by Leelamma et al (24) the Fuhrman nuclear grade of RCC was 3, with no renal vein invasion or a pT1b lesion, and no signs of metastatic disease. Similar to the present case, the UC in this case had a high grade. The patient in the present study had RCC with a pathological stage of pT1 and no evidence of metastatic disease, combined with a high-grade UC of the renal pelvis and ureter with a pathological stage of pT3. Dutta et al (25) reported a better survival rate for patients with primary renal pelvis tumors than ureteral tumors. Holmäng and Johansson (26) reported a dismal 25% survival rate for high-grade pT3 upper tract UC. One of the limitations of the present study was the short follow-up period.

In conclusion, the occurrence of synchronous RCC and UC of the same kidney is a rare event. Adjuvant therapy should be given in accordance with the stage and pathological grade of the RCC. Radical nephroureterectomy with bladder cuff removal may be curative, especially in low-grade tumors.

Supplementary Material

Supporting Data

Acknowledgements

Not applicable.

Funding

Funding: No funding was received.

Availability of data and materials

The datasets used and/or analyzed during the current study are available from the corresponding author on reasonable request.

Authors' contributions

RB was the surgeon who performed the operation and literature review, and gave final approval of the manuscript. FHK was a major contributor to the study idea, performed the literature review, drafted the manuscript and accepted the final version of the manuscript to be published. RMA was the pathologist who examined the specimens, was a major contributor to the idea for the study and revised the manuscript. BAA and DMH critically revised the manuscript, accepted the final version of the manuscript to be published and analyzed the patient data. SHM, DHKR, SSF and MHB were involved in the literature review, the design of the study, revision of the manuscript and in the processing of the figures. SHT was the radiologist who performed the assessment of the case and gave final approval of the manuscript. RB and SHT were major contributors to the study idea. RB and FHK confirm the authenticity of all the raw data. All authors read and approved the final version of the manuscript.

Ethics approval and consent to participate

Not applicable.

Patient consent for publication

The patient has provided written informed consent for the publication of the data and images.

Competing interests

The authors declare that they have no competing interests.

References

1 

Atilgan D, Uluocak N and Parlaktas BS: Renal cell carcinoma of the kidney with synchronous ipsilateral transitional cell carcinoma of the renal pelvis. Case Rep Urol. 2013:1941272013.PubMed/NCBI

2 

Mucciardi G, Galì A, D'Amico C, Muscarà G, Barresi V and Magno C: Transitional cell carcinoma of the renal pelvis with synchronous ipsilateral papillary renal cell carcinoma: Case report and review. Urol Case Rep. 3:93–95. 2015. View Article : Google Scholar : PubMed/NCBI

3 

Büttner F, Winter S, Rausch S, Reustle A, Kruck S, Junker K, Stenzl A, Agaimy A, Hartmann A, Bedke J, et al: Survival prediction of clear cell renal cell carcinoma based on gene expression similarity to the proximal tubule of the nephron. Eur Urol. 68:1016–1020. 2015. View Article : Google Scholar : PubMed/NCBI

4 

Carlson P and McGary CT: Educational case: Renal cell and urothelial carcinoma. Acad Pathol. 7:23742895209563632020. View Article : Google Scholar : PubMed/NCBI

5 

Leveridge M, Isotalo PA, Boag AH and Kawakami J: Synchronous ipsilateral renal cell carcinoma and urothelial carcinoma of the renal pelvis. Can Urol Assoc J. 3:64–66. 2009. View Article : Google Scholar : PubMed/NCBI

6 

O'Rourke D: Renal Cell and Renal Pelvis/Ureter Carcinoma. Boyle D and Allen D: Histopathology Reporting. Springer; Cham, Switzerland: pp. 347–361. 2020, View Article : Google Scholar

7 

Lwin AA, Hsu CH and Chipollini J: Urothelial carcinoma of the renal pelvis and ureter: Does location make a difference? Clin Genitourin Cancer. 18:45–49.e1. 2020. View Article : Google Scholar : PubMed/NCBI

8 

Alhusban M, Alhamss S, Alzumaili B and Al-Daghmin A: Ipsilateral synchronous clear and papillary renal cell carcinoma: A case report and review of the literature. Urol Case Rep. 16:110–113. 2017. View Article : Google Scholar : PubMed/NCBI

9 

Symeonidis A, Tsikopoulos I, Symeonidis EN, Tsifountoudis I, Michailidis A, Tsantila I, Gkekas C, Georgiadis C, Malioris A and Papathanasiou M: More than meets the eye: A case of synchronous ipsilateral clear cell renal cell carcinoma and urothelial carcinoma of the pelvicalyceal system and literature review. Acta Biomed. 92:e20213802022.PubMed/NCBI

10 

Lee JW, Kim MJ, Song JH, Kim JH and Kim JM: Ipsilateral synchronous renal cell carcinoma and transitional cell carcinoma. J Korean Med Sci. 9:466–470. 1994. View Article : Google Scholar : PubMed/NCBI

11 

Park JY, Kwak EK and Park TI: Ipsilateral synchronous renal cell carcinoma and transitional cell carcinoma: A Case Report. Korean J Pathol. 36:429–432. 2002.

12 

Edge SB and Compton CC: The American Joint Committee on Cancer: The 7th edition of the AJCC cancer staging manual and the future of TNM. Ann Surg Oncol. 17:1471–1474. 2010. View Article : Google Scholar : PubMed/NCBI

13 

Escudier B, Porta C, Schmidinger M, Rioux-Leclercq N, Bex A, Khoo V, Grünwald V, Gillessen S and Horwich A; ESMO Guidelines Committee, : Renal cell carcinoma: ESMO Clinical Practice Guidelines for diagnosis, treatment and follow-up. Ann Oncol. 30:706–720. 2019. View Article : Google Scholar : PubMed/NCBI

14 

Abu-Ghanem Y, Powles T, Capitanio U, Beisland C, Järvinen P, Stewart GD, Gudmundsson EO, Lam TB, Marconi L, Fernandéz-Pello S, et al: The impact of histological subtype on the incidence, timing, and patterns of recurrence in patients with renal cell carcinoma after surgery-results from RECUR Consortium. Eur Urol Oncol. 4:473–482. 2021. View Article : Google Scholar : PubMed/NCBI

15 

Büttner FA, Winter S, Stühler V, Rausch S, Hennenlotter J, Füssel S, Zastrow S, Meinhardt M, Toma M, Jerónimo C, et al: A novel molecular signature identifies mixed subtypes in renal cell carcinoma with poor prognosis and independent response to immunotherapy. Genome Med. 14:1052022. View Article : Google Scholar : PubMed/NCBI

16 

Bahadoram S, Davoodi M, Hassanzadeh S, Bahadoram M, Barahman M and Mafakher L: Renal cell carcinoma: An overview of the epidemiology, diagnosis, and treatment. G Ital Nefrol. 39:2022–vol3. 2022.PubMed/NCBI

17 

Yang X, Li P, Deng X, Dong H, Cheng Y, Zhang X, Yang C, Tang J, Yuan W, Xu X, et al: Perioperative treatments for resected upper tract urothelial carcinoma: A network meta-analysis. Oncotarget. 8:3568–3580. 2017. View Article : Google Scholar : PubMed/NCBI

18 

Zigeuner R and Pummer K: Urothelial carcinoma of the upper urinary tract: Surgical approach and prognostic factors. Eur Urol. 53:720–731. 2008. View Article : Google Scholar : PubMed/NCBI

19 

Graves RC and Templeton ER: Combined tumors of the kidney. J Urol. 5:517–538. 1921. View Article : Google Scholar

20 

Rouprêt M, Babjuk M, Burger M, Capoun O, Cohen D, Compérat EM, Cowan NC, Dominguez-Escrig JL, Gontero P, Hugh Mostafid A, et al: European Association of Urology guidelines on upper urinary tract urothelial carcinoma: 2020 update. Eur Urol. 79:62–79. 2021. View Article : Google Scholar : PubMed/NCBI

21 

Rossi SH, Prezzi D, Kelly-Morland C and Goh V: Imaging for the diagnosis and response assessment of renal tumours. World J Urol. 36:1927–1942. 2018. View Article : Google Scholar : PubMed/NCBI

22 

Qi N, Chen Y, Gong K and Li H: Concurrent renal cell carcinoma and urothelial carcinoma: Long-term follow-up study of 27 cases. World J Surg Oncol. 16:162018. View Article : Google Scholar : PubMed/NCBI

23 

Lu Q, Zhuang J and Guo H: Renal cell carcinoma with synchronous ipsilateral urothelial carcinoma of the renal pelvis. Oncol Lett. 13:4521–4525. 2017. View Article : Google Scholar : PubMed/NCBI

24 

Leelamma JP, Pothen L and Ramachandran NP: Synchronous urothelial carcinoma of renal pelvis and ipsilateral renal cell carcinoma. Saudi J Health Sci. 6:110–112. 2017. View Article : Google Scholar

25 

Dutta G, Silver D, Oliff A and Harrison A: Synchronous renal malignancy presenting as recurrent urinary tract infections. Case Rep Urol. 2011:8326732011.PubMed/NCBI

26 

Holmäng S and Johansson SL: Urothelial carcinoma of the upper urinary tract: Comparison between the WHO/ISUP 1998 consensus classification and WHO 1999 classification system. Urology. 66:274–278. 2005. View Article : Google Scholar : PubMed/NCBI

Related Articles

  • Abstract
  • View
  • Download
  • Twitter
Copy and paste a formatted citation
Spandidos Publications style
Babarasul MH, Bapir R, Rahman DH, Fakhralddin SS, Kakamad FH, Tahir SH, Ali RM, Abdalla BA, Mohammed SH, Hussein DM, Hussein DM, et al: Synchronous ipsilateral papillary renal cell carcinoma and urothelial carcinoma: A case report. Oncol Lett 25: 221, 2023.
APA
Babarasul, M.H., Bapir, R., Rahman, D.H., Fakhralddin, S.S., Kakamad, F.H., Tahir, S.H. ... Hussein, D.M. (2023). Synchronous ipsilateral papillary renal cell carcinoma and urothelial carcinoma: A case report. Oncology Letters, 25, 221. https://doi.org/10.3892/ol.2023.13807
MLA
Babarasul, M. H., Bapir, R., Rahman, D. H., Fakhralddin, S. S., Kakamad, F. H., Tahir, S. H., Ali, R. M., Abdalla, B. A., Mohammed, S. H., Hussein, D. M."Synchronous ipsilateral papillary renal cell carcinoma and urothelial carcinoma: A case report". Oncology Letters 25.6 (2023): 221.
Chicago
Babarasul, M. H., Bapir, R., Rahman, D. H., Fakhralddin, S. S., Kakamad, F. H., Tahir, S. H., Ali, R. M., Abdalla, B. A., Mohammed, S. H., Hussein, D. M."Synchronous ipsilateral papillary renal cell carcinoma and urothelial carcinoma: A case report". Oncology Letters 25, no. 6 (2023): 221. https://doi.org/10.3892/ol.2023.13807
Copy and paste a formatted citation
x
Spandidos Publications style
Babarasul MH, Bapir R, Rahman DH, Fakhralddin SS, Kakamad FH, Tahir SH, Ali RM, Abdalla BA, Mohammed SH, Hussein DM, Hussein DM, et al: Synchronous ipsilateral papillary renal cell carcinoma and urothelial carcinoma: A case report. Oncol Lett 25: 221, 2023.
APA
Babarasul, M.H., Bapir, R., Rahman, D.H., Fakhralddin, S.S., Kakamad, F.H., Tahir, S.H. ... Hussein, D.M. (2023). Synchronous ipsilateral papillary renal cell carcinoma and urothelial carcinoma: A case report. Oncology Letters, 25, 221. https://doi.org/10.3892/ol.2023.13807
MLA
Babarasul, M. H., Bapir, R., Rahman, D. H., Fakhralddin, S. S., Kakamad, F. H., Tahir, S. H., Ali, R. M., Abdalla, B. A., Mohammed, S. H., Hussein, D. M."Synchronous ipsilateral papillary renal cell carcinoma and urothelial carcinoma: A case report". Oncology Letters 25.6 (2023): 221.
Chicago
Babarasul, M. H., Bapir, R., Rahman, D. H., Fakhralddin, S. S., Kakamad, F. H., Tahir, S. H., Ali, R. M., Abdalla, B. A., Mohammed, S. H., Hussein, D. M."Synchronous ipsilateral papillary renal cell carcinoma and urothelial carcinoma: A case report". Oncology Letters 25, no. 6 (2023): 221. https://doi.org/10.3892/ol.2023.13807
Follow us
  • Twitter
  • LinkedIn
  • Facebook
About
  • Spandidos Publications
  • Careers
  • Cookie Policy
  • Privacy Policy
How can we help?
  • Help
  • Live Chat
  • Contact
  • Email to our Support Team