Spandidos Publications Logo
  • About
    • About Spandidos
    • Aims and Scopes
    • Abstracting and Indexing
    • Editorial Policies
    • Reprints and Permissions
    • Job Opportunities
    • Terms and Conditions
    • Contact
  • Journals
    • All Journals
    • Oncology Letters
      • Oncology Letters
      • Information for Authors
      • Editorial Policies
      • Editorial Board
      • Aims and Scope
      • Abstracting and Indexing
      • Bibliographic Information
      • Archive
    • International Journal of Oncology
      • International Journal of Oncology
      • Information for Authors
      • Editorial Policies
      • Editorial Board
      • Aims and Scope
      • Abstracting and Indexing
      • Bibliographic Information
      • Archive
    • Molecular and Clinical Oncology
      • Molecular and Clinical Oncology
      • Information for Authors
      • Editorial Policies
      • Editorial Board
      • Aims and Scope
      • Abstracting and Indexing
      • Bibliographic Information
      • Archive
    • Experimental and Therapeutic Medicine
      • Experimental and Therapeutic Medicine
      • Information for Authors
      • Editorial Policies
      • Editorial Board
      • Aims and Scope
      • Abstracting and Indexing
      • Bibliographic Information
      • Archive
    • International Journal of Molecular Medicine
      • International Journal of Molecular Medicine
      • Information for Authors
      • Editorial Policies
      • Editorial Board
      • Aims and Scope
      • Abstracting and Indexing
      • Bibliographic Information
      • Archive
    • Biomedical Reports
      • Biomedical Reports
      • Information for Authors
      • Editorial Policies
      • Editorial Board
      • Aims and Scope
      • Abstracting and Indexing
      • Bibliographic Information
      • Archive
    • Oncology Reports
      • Oncology Reports
      • Information for Authors
      • Editorial Policies
      • Editorial Board
      • Aims and Scope
      • Abstracting and Indexing
      • Bibliographic Information
      • Archive
    • Molecular Medicine Reports
      • Molecular Medicine Reports
      • Information for Authors
      • Editorial Policies
      • Editorial Board
      • Aims and Scope
      • Abstracting and Indexing
      • Bibliographic Information
      • Archive
    • World Academy of Sciences Journal
      • World Academy of Sciences Journal
      • Information for Authors
      • Editorial Policies
      • Editorial Board
      • Aims and Scope
      • Abstracting and Indexing
      • Bibliographic Information
      • Archive
    • International Journal of Functional Nutrition
      • International Journal of Functional Nutrition
      • Information for Authors
      • Editorial Policies
      • Editorial Board
      • Aims and Scope
      • Abstracting and Indexing
      • Bibliographic Information
      • Archive
    • International Journal of Epigenetics
      • International Journal of Epigenetics
      • Information for Authors
      • Editorial Policies
      • Editorial Board
      • Aims and Scope
      • Abstracting and Indexing
      • Bibliographic Information
      • Archive
    • Medicine International
      • Medicine International
      • Information for Authors
      • Editorial Policies
      • Editorial Board
      • Aims and Scope
      • Abstracting and Indexing
      • Bibliographic Information
      • Archive
  • Articles
  • Information
    • Information for Authors
    • Information for Reviewers
    • Information for Librarians
    • Information for Advertisers
    • Conferences
  • Language Editing
Spandidos Publications Logo
  • About
    • About Spandidos
    • Aims and Scopes
    • Abstracting and Indexing
    • Editorial Policies
    • Reprints and Permissions
    • Job Opportunities
    • Terms and Conditions
    • Contact
  • Journals
    • All Journals
    • Biomedical Reports
      • Information for Authors
      • Editorial Policies
      • Editorial Board
      • Aims and Scope
      • Abstracting and Indexing
      • Bibliographic Information
      • Archive
    • Experimental and Therapeutic Medicine
      • Information for Authors
      • Editorial Policies
      • Editorial Board
      • Aims and Scope
      • Abstracting and Indexing
      • Bibliographic Information
      • Archive
    • International Journal of Epigenetics
      • Information for Authors
      • Editorial Policies
      • Editorial Board
      • Aims and Scope
      • Abstracting and Indexing
      • Bibliographic Information
      • Archive
    • International Journal of Functional Nutrition
      • Information for Authors
      • Editorial Policies
      • Editorial Board
      • Aims and Scope
      • Abstracting and Indexing
      • Bibliographic Information
      • Archive
    • International Journal of Molecular Medicine
      • Information for Authors
      • Editorial Policies
      • Editorial Board
      • Aims and Scope
      • Abstracting and Indexing
      • Bibliographic Information
      • Archive
    • International Journal of Oncology
      • Information for Authors
      • Editorial Policies
      • Editorial Board
      • Aims and Scope
      • Abstracting and Indexing
      • Bibliographic Information
      • Archive
    • Medicine International
      • Information for Authors
      • Editorial Policies
      • Editorial Board
      • Aims and Scope
      • Abstracting and Indexing
      • Bibliographic Information
      • Archive
    • Molecular and Clinical Oncology
      • Information for Authors
      • Editorial Policies
      • Editorial Board
      • Aims and Scope
      • Abstracting and Indexing
      • Bibliographic Information
      • Archive
    • Molecular Medicine Reports
      • Information for Authors
      • Editorial Policies
      • Editorial Board
      • Aims and Scope
      • Abstracting and Indexing
      • Bibliographic Information
      • Archive
    • Oncology Letters
      • Information for Authors
      • Editorial Policies
      • Editorial Board
      • Aims and Scope
      • Abstracting and Indexing
      • Bibliographic Information
      • Archive
    • Oncology Reports
      • Information for Authors
      • Editorial Policies
      • Editorial Board
      • Aims and Scope
      • Abstracting and Indexing
      • Bibliographic Information
      • Archive
    • World Academy of Sciences Journal
      • Information for Authors
      • Editorial Policies
      • Editorial Board
      • Aims and Scope
      • Abstracting and Indexing
      • Bibliographic Information
      • Archive
  • Articles
  • Information
    • For Authors
    • For Reviewers
    • For Librarians
    • For Advertisers
    • Conferences
  • Language Editing
Login Register Submit
  • This site uses cookies
  • You can change your cookie settings at any time by following the instructions in our Cookie Policy. To find out more, you may read our Privacy Policy.

    I agree
Search articles by DOI, keyword, author or affiliation
Search
Advanced Search
presentation
Oncology Letters
Join Editorial Board Propose a Special Issue
Print ISSN: 1792-1074 Online ISSN: 1792-1082
Journal Cover
June-2023 Volume 25 Issue 6

Full Size Image

Sign up for eToc alerts
Recommend to Library

Journals

International Journal of Molecular Medicine

International Journal of Molecular Medicine

International Journal of Molecular Medicine is an international journal devoted to molecular mechanisms of human disease.

International Journal of Oncology

International Journal of Oncology

International Journal of Oncology is an international journal devoted to oncology research and cancer treatment.

Molecular Medicine Reports

Molecular Medicine Reports

Covers molecular medicine topics such as pharmacology, pathology, genetics, neuroscience, infectious diseases, molecular cardiology, and molecular surgery.

Oncology Reports

Oncology Reports

Oncology Reports is an international journal devoted to fundamental and applied research in Oncology.

Experimental and Therapeutic Medicine

Experimental and Therapeutic Medicine

Experimental and Therapeutic Medicine is an international journal devoted to laboratory and clinical medicine.

Oncology Letters

Oncology Letters

Oncology Letters is an international journal devoted to Experimental and Clinical Oncology.

Biomedical Reports

Biomedical Reports

Explores a wide range of biological and medical fields, including pharmacology, genetics, microbiology, neuroscience, and molecular cardiology.

Molecular and Clinical Oncology

Molecular and Clinical Oncology

International journal addressing all aspects of oncology research, from tumorigenesis and oncogenes to chemotherapy and metastasis.

World Academy of Sciences Journal

World Academy of Sciences Journal

Multidisciplinary open-access journal spanning biochemistry, genetics, neuroscience, environmental health, and synthetic biology.

International Journal of Functional Nutrition

International Journal of Functional Nutrition

Open-access journal combining biochemistry, pharmacology, immunology, and genetics to advance health through functional nutrition.

International Journal of Epigenetics

International Journal of Epigenetics

Publishes open-access research on using epigenetics to advance understanding and treatment of human disease.

Medicine International

Medicine International

An International Open Access Journal Devoted to General Medicine.

Journal Cover
June-2023 Volume 25 Issue 6

Full Size Image

Sign up for eToc alerts
Recommend to Library

  • Article
  • Citations
    • Cite This Article
    • Download Citation
    • Create Citation Alert
    • Remove Citation Alert
    • Cited By
  • Similar Articles
    • Related Articles (in Spandidos Publications)
    • Similar Articles (Google Scholar)
    • Similar Articles (PubMed)
  • Download PDF
  • Download XML
  • View XML
Case Report Open Access

Primary small cell thyroid carcinoma combined with poorly differentiated thyroid carcinoma, evidence for a common origin: A case report

  • Authors:
    • Kyoung Min Kim
    • Ae Ri Ahn
    • Yong Tae Hong
    • Myoung Ja Chung
  • View Affiliations / Copyright

    Affiliations: Department of Pathology, Jeonbuk National University Medical School, Jeonbuk National University, Jeonju, Jeollabuk 54896, Republic of Korea, Department of Otolaryngology‑HNS, Jeonbuk National University Medical School, Jeonju, Jeollabuk 54896, Republic of Korea, Department of Pathology, Jeonbuk National University Medical School, Jeonbuk National University, Jeonju, Jeollabuk 54896, Republic of Korea
    Copyright: © Kim et al. This is an open access article distributed under the terms of Creative Commons Attribution License.
  • Article Number: 233
    |
    Published online on: April 18, 2023
       https://doi.org/10.3892/ol.2023.13819
  • Expand metrics +
Metrics: Total Views: 0 (Spandidos Publications: | PMC Statistics: )
Metrics: Total PDF Downloads: 0 (Spandidos Publications: | PMC Statistics: )
Cited By (CrossRef): 0 citations Loading Articles...

This article is mentioned in:



Abstract

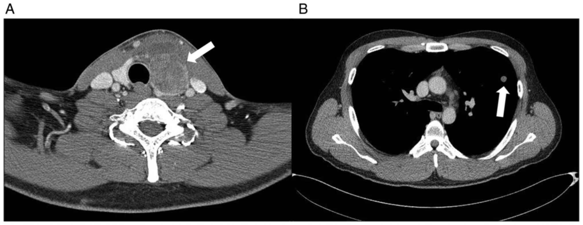
Primary small cell thyroid carcinomas are extremely rare and there is still debate about their classification as a distinct disease entity. The present case report reports a small cell carcinoma (SCC) combined with poorly differentiated thyroid carcinoma (PDTC) in a 34 year old man. The tumor consisted of ~80% PDTC and ~20% SCC. The PDTC component was positive for cytokeratin and thyroid transcription factor‑1 (TTF‑1), and negative for calcitonin, chromogranin and synaptophysin. The SCC component was positive for synaptophysin and CD56, and negative for calcitonin, chromogranin and TTF‑1. Seven months after thyroid surgery, two new lung nodules were detected. Histologically and immunohistochemically, the lung tumors were similar to the SCC component of the thyroid carcinoma. The mutational status of cancer‑related genes was assessed using targeted next‑generation sequencing in both the thyroid and lung, which identified similar genetic alterations. The histogenesis of SCC was evaluated through NGS analysis of the two cancer components.
View Figures

Figure 1

Figure 2

Figure 3

View References

1 

Somnay YR, Schneider D and Mazeh H: Thyroid: Medullary carcinoma. Atlas Genet Cytogenet Oncol Haematol. 17:291–296. 2013.PubMed/NCBI

2 

Lloyd RV, Osamura RY, Klöppel G and Rosai J: WHO Classification of Tumours of Endocrine Organs. (4th edition). IARC; Lyon: 2017

3 

Beach DF, Klump WJ, Haddad G, Reid LM, Schwarting R and Hageboutros A: Extrapulmonary small cell: A novel case of small cell carcinoma of the thyroid gland. Med Oncol. 29:1405–1408. 2012. View Article : Google Scholar : PubMed/NCBI

4 

Mussazhanova Z, Miura S, Stanojevic B, Rougounovitch T, Saenko V, Shiraishi T, Kurashige T, Shichijo K, Kaneko K, Takahashi H, et al: Radiation-associated small cell neuroendocrine carcinoma of the thyroid: A case report with molecular analyses. Thyroid. 24:593–598. 2014. View Article : Google Scholar : PubMed/NCBI

5 

Eusebi V, Damiani S, Riva C, Lloyd R and Capella C: Calcitonin free oat-cell carcinoma of the thyroid gland. Virchows Archiv A Pathol Anat Histopathol. 417:267–271. 1990. View Article : Google Scholar : PubMed/NCBI

6 

Aggarwal G, Jackson L and Sharma S: Primary combined small cell carcinoma of larynx with lateralized histologic components and corresponding side-specific neck nodal metastasis: Report of a unique case and review of literature. Int J Clin Exp Pathol. 4:111–117. 2011.

7 

Ferlito A, Recher G and Caruso G: Primary combined small cell carcinoma of the larynx. Am J Otolaryngol. 6:302–308. 1985. View Article : Google Scholar : PubMed/NCBI

8 

Bongiovanni M and Faquin WC: Poorly differentiated thyroid carcinoma. The Bethesda System For Reporting Thyroid Cytopathology: Definitions, Criteria and Explanatory Notes. Springer; pp. 129–138. 2010, View Article : Google Scholar

9 

Prado MCM, Staino IRFL, Silva HDBd, Castro AFd, França L and Barros PF: Primary small cell carcinoma of the thyroid: A case report. Brazil J Oncol. 15:1–7. 2019. View Article : Google Scholar

10 

Volante M, Collini P, Nikiforov YE, Sakamoto A, Kakudo K, Katoh R, Lloyd RV, LiVolsi VA, Papotti M, Sobrinoh-Simoes M, et al: Poorly differentiated thyroid carcinoma: The Turin proposal for the use of uniform diagnostic criteria and an algorithmic diagnostic approach. Am J Surg Pathol. 31:1256–1264. 2007. View Article : Google Scholar : PubMed/NCBI

11 

Chorny JA, Orrego JJ and Cameselle-Teijeiro JM: Primary high-grade calcitonin-negative neuroendocrine carcinoma of the thyroid: A very rare cancer. Endocrinol Diabetes Metab Case Rep. 17:18–36. 2018.PubMed/NCBI

12 

Rendl G, Manzl M, Hitzl W, Sungler P and Pirich C: Long-term prognosis of medullary thyroid carcinoma. Clin Endocrinol (Oxf). 69:497–505. 2008. View Article : Google Scholar : PubMed/NCBI

13 

Walenkamp AM, Sonke GS and Sleijfer DT: Clinical and therapeutic aspects of extrapulmonary small cell carcinoma. Cancer Treat Rev. 35:228–236. 2009. View Article : Google Scholar : PubMed/NCBI

14 

Song YS, Lim JA and Park YJ: Mutation profile of well-differentiated thyroid cancer in Asians. Endocrinol Metab (Seoul). 30:252–262. 2015. View Article : Google Scholar : PubMed/NCBI

15 

Kasaian K, Wiseman SM, Walker BA, Schein JE, Zhao Y, Hirst M, Moore RA, Mungall AJ, Marra MA and Jones SJM: The genomic and transcriptomic landscape of anaplastic thyroid cancer: Implications for therapy. BMC Cancer. 15:1–11. 2015. View Article : Google Scholar

16 

Ma B, Xu W, Wei W, Wen D, Lu Z, Yang S, Chen T, Wang Y, Wang Y and Ji Q: Clinicopathological and survival outcomes of well-differentiated thyroid carcinoma undergoing dedifferentiation: A retrospective study from FUSCC. Int J Endocrinol. 21:23837152018.PubMed/NCBI

17 

Mangum M, Greco F, Hainsworth J, Hande K and Johnson D: Combined small-cell and non-small-cell lung cancer. J Clin Oncol. 7:607–612. 1989. View Article : Google Scholar : PubMed/NCBI

Related Articles

  • Abstract
  • View
  • Download
  • Twitter
Copy and paste a formatted citation
Spandidos Publications style
Kim K, Ahn A, Hong Y and Chung M: Primary small cell thyroid carcinoma combined with poorly differentiated thyroid carcinoma, evidence for a common origin: A case report. Oncol Lett 25: 233, 2023.
APA
Kim, K., Ahn, A., Hong, Y., & Chung, M. (2023). Primary small cell thyroid carcinoma combined with poorly differentiated thyroid carcinoma, evidence for a common origin: A case report. Oncology Letters, 25, 233. https://doi.org/10.3892/ol.2023.13819
MLA
Kim, K., Ahn, A., Hong, Y., Chung, M."Primary small cell thyroid carcinoma combined with poorly differentiated thyroid carcinoma, evidence for a common origin: A case report". Oncology Letters 25.6 (2023): 233.
Chicago
Kim, K., Ahn, A., Hong, Y., Chung, M."Primary small cell thyroid carcinoma combined with poorly differentiated thyroid carcinoma, evidence for a common origin: A case report". Oncology Letters 25, no. 6 (2023): 233. https://doi.org/10.3892/ol.2023.13819
Copy and paste a formatted citation
x
Spandidos Publications style
Kim K, Ahn A, Hong Y and Chung M: Primary small cell thyroid carcinoma combined with poorly differentiated thyroid carcinoma, evidence for a common origin: A case report. Oncol Lett 25: 233, 2023.
APA
Kim, K., Ahn, A., Hong, Y., & Chung, M. (2023). Primary small cell thyroid carcinoma combined with poorly differentiated thyroid carcinoma, evidence for a common origin: A case report. Oncology Letters, 25, 233. https://doi.org/10.3892/ol.2023.13819
MLA
Kim, K., Ahn, A., Hong, Y., Chung, M."Primary small cell thyroid carcinoma combined with poorly differentiated thyroid carcinoma, evidence for a common origin: A case report". Oncology Letters 25.6 (2023): 233.
Chicago
Kim, K., Ahn, A., Hong, Y., Chung, M."Primary small cell thyroid carcinoma combined with poorly differentiated thyroid carcinoma, evidence for a common origin: A case report". Oncology Letters 25, no. 6 (2023): 233. https://doi.org/10.3892/ol.2023.13819
Follow us
  • Twitter
  • LinkedIn
  • Facebook
About
  • Spandidos Publications
  • Careers
  • Cookie Policy
  • Privacy Policy
How can we help?
  • Help
  • Live Chat
  • Contact
  • Email to our Support Team