Spandidos Publications Logo
  • About
    • About Spandidos
    • Aims and Scopes
    • Abstracting and Indexing
    • Editorial Policies
    • Reprints and Permissions
    • Job Opportunities
    • Terms and Conditions
    • Contact
  • Journals
    • All Journals
    • Oncology Letters
      • Oncology Letters
      • Information for Authors
      • Editorial Policies
      • Editorial Board
      • Aims and Scope
      • Abstracting and Indexing
      • Bibliographic Information
      • Archive
    • International Journal of Oncology
      • International Journal of Oncology
      • Information for Authors
      • Editorial Policies
      • Editorial Board
      • Aims and Scope
      • Abstracting and Indexing
      • Bibliographic Information
      • Archive
    • Molecular and Clinical Oncology
      • Molecular and Clinical Oncology
      • Information for Authors
      • Editorial Policies
      • Editorial Board
      • Aims and Scope
      • Abstracting and Indexing
      • Bibliographic Information
      • Archive
    • Experimental and Therapeutic Medicine
      • Experimental and Therapeutic Medicine
      • Information for Authors
      • Editorial Policies
      • Editorial Board
      • Aims and Scope
      • Abstracting and Indexing
      • Bibliographic Information
      • Archive
    • International Journal of Molecular Medicine
      • International Journal of Molecular Medicine
      • Information for Authors
      • Editorial Policies
      • Editorial Board
      • Aims and Scope
      • Abstracting and Indexing
      • Bibliographic Information
      • Archive
    • Biomedical Reports
      • Biomedical Reports
      • Information for Authors
      • Editorial Policies
      • Editorial Board
      • Aims and Scope
      • Abstracting and Indexing
      • Bibliographic Information
      • Archive
    • Oncology Reports
      • Oncology Reports
      • Information for Authors
      • Editorial Policies
      • Editorial Board
      • Aims and Scope
      • Abstracting and Indexing
      • Bibliographic Information
      • Archive
    • Molecular Medicine Reports
      • Molecular Medicine Reports
      • Information for Authors
      • Editorial Policies
      • Editorial Board
      • Aims and Scope
      • Abstracting and Indexing
      • Bibliographic Information
      • Archive
    • World Academy of Sciences Journal
      • World Academy of Sciences Journal
      • Information for Authors
      • Editorial Policies
      • Editorial Board
      • Aims and Scope
      • Abstracting and Indexing
      • Bibliographic Information
      • Archive
    • International Journal of Functional Nutrition
      • International Journal of Functional Nutrition
      • Information for Authors
      • Editorial Policies
      • Editorial Board
      • Aims and Scope
      • Abstracting and Indexing
      • Bibliographic Information
      • Archive
    • International Journal of Epigenetics
      • International Journal of Epigenetics
      • Information for Authors
      • Editorial Policies
      • Editorial Board
      • Aims and Scope
      • Abstracting and Indexing
      • Bibliographic Information
      • Archive
    • Medicine International
      • Medicine International
      • Information for Authors
      • Editorial Policies
      • Editorial Board
      • Aims and Scope
      • Abstracting and Indexing
      • Bibliographic Information
      • Archive
  • Articles
  • Information
    • Information for Authors
    • Information for Reviewers
    • Information for Librarians
    • Information for Advertisers
    • Conferences
  • Language Editing
Spandidos Publications Logo
  • About
    • About Spandidos
    • Aims and Scopes
    • Abstracting and Indexing
    • Editorial Policies
    • Reprints and Permissions
    • Job Opportunities
    • Terms and Conditions
    • Contact
  • Journals
    • All Journals
    • Biomedical Reports
      • Information for Authors
      • Editorial Policies
      • Editorial Board
      • Aims and Scope
      • Abstracting and Indexing
      • Bibliographic Information
      • Archive
    • Experimental and Therapeutic Medicine
      • Information for Authors
      • Editorial Policies
      • Editorial Board
      • Aims and Scope
      • Abstracting and Indexing
      • Bibliographic Information
      • Archive
    • International Journal of Epigenetics
      • Information for Authors
      • Editorial Policies
      • Editorial Board
      • Aims and Scope
      • Abstracting and Indexing
      • Bibliographic Information
      • Archive
    • International Journal of Functional Nutrition
      • Information for Authors
      • Editorial Policies
      • Editorial Board
      • Aims and Scope
      • Abstracting and Indexing
      • Bibliographic Information
      • Archive
    • International Journal of Molecular Medicine
      • Information for Authors
      • Editorial Policies
      • Editorial Board
      • Aims and Scope
      • Abstracting and Indexing
      • Bibliographic Information
      • Archive
    • International Journal of Oncology
      • Information for Authors
      • Editorial Policies
      • Editorial Board
      • Aims and Scope
      • Abstracting and Indexing
      • Bibliographic Information
      • Archive
    • Medicine International
      • Information for Authors
      • Editorial Policies
      • Editorial Board
      • Aims and Scope
      • Abstracting and Indexing
      • Bibliographic Information
      • Archive
    • Molecular and Clinical Oncology
      • Information for Authors
      • Editorial Policies
      • Editorial Board
      • Aims and Scope
      • Abstracting and Indexing
      • Bibliographic Information
      • Archive
    • Molecular Medicine Reports
      • Information for Authors
      • Editorial Policies
      • Editorial Board
      • Aims and Scope
      • Abstracting and Indexing
      • Bibliographic Information
      • Archive
    • Oncology Letters
      • Information for Authors
      • Editorial Policies
      • Editorial Board
      • Aims and Scope
      • Abstracting and Indexing
      • Bibliographic Information
      • Archive
    • Oncology Reports
      • Information for Authors
      • Editorial Policies
      • Editorial Board
      • Aims and Scope
      • Abstracting and Indexing
      • Bibliographic Information
      • Archive
    • World Academy of Sciences Journal
      • Information for Authors
      • Editorial Policies
      • Editorial Board
      • Aims and Scope
      • Abstracting and Indexing
      • Bibliographic Information
      • Archive
  • Articles
  • Information
    • For Authors
    • For Reviewers
    • For Librarians
    • For Advertisers
    • Conferences
  • Language Editing
Login Register Submit
  • This site uses cookies
  • You can change your cookie settings at any time by following the instructions in our Cookie Policy. To find out more, you may read our Privacy Policy.

    I agree
Search articles by DOI, keyword, author or affiliation
Search
Advanced Search
presentation
Oncology Letters
Join Editorial Board Propose a Special Issue
Print ISSN: 1792-1074 Online ISSN: 1792-1082
Journal Cover
June-2023 Volume 25 Issue 6

Full Size Image

Sign up for eToc alerts
Recommend to Library

Journals

International Journal of Molecular Medicine

International Journal of Molecular Medicine

International Journal of Molecular Medicine is an international journal devoted to molecular mechanisms of human disease.

International Journal of Oncology

International Journal of Oncology

International Journal of Oncology is an international journal devoted to oncology research and cancer treatment.

Molecular Medicine Reports

Molecular Medicine Reports

Covers molecular medicine topics such as pharmacology, pathology, genetics, neuroscience, infectious diseases, molecular cardiology, and molecular surgery.

Oncology Reports

Oncology Reports

Oncology Reports is an international journal devoted to fundamental and applied research in Oncology.

Experimental and Therapeutic Medicine

Experimental and Therapeutic Medicine

Experimental and Therapeutic Medicine is an international journal devoted to laboratory and clinical medicine.

Oncology Letters

Oncology Letters

Oncology Letters is an international journal devoted to Experimental and Clinical Oncology.

Biomedical Reports

Biomedical Reports

Explores a wide range of biological and medical fields, including pharmacology, genetics, microbiology, neuroscience, and molecular cardiology.

Molecular and Clinical Oncology

Molecular and Clinical Oncology

International journal addressing all aspects of oncology research, from tumorigenesis and oncogenes to chemotherapy and metastasis.

World Academy of Sciences Journal

World Academy of Sciences Journal

Multidisciplinary open-access journal spanning biochemistry, genetics, neuroscience, environmental health, and synthetic biology.

International Journal of Functional Nutrition

International Journal of Functional Nutrition

Open-access journal combining biochemistry, pharmacology, immunology, and genetics to advance health through functional nutrition.

International Journal of Epigenetics

International Journal of Epigenetics

Publishes open-access research on using epigenetics to advance understanding and treatment of human disease.

Medicine International

Medicine International

An International Open Access Journal Devoted to General Medicine.

Journal Cover
June-2023 Volume 25 Issue 6

Full Size Image

Sign up for eToc alerts
Recommend to Library

  • Article
  • Citations
    • Cite This Article
    • Download Citation
    • Create Citation Alert
    • Remove Citation Alert
    • Cited By
  • Similar Articles
    • Related Articles (in Spandidos Publications)
    • Similar Articles (Google Scholar)
    • Similar Articles (PubMed)
  • Download PDF
  • Download XML
  • View XML
Case Report Open Access

Diffuse large B‑cell lymphoma and monoclonal gammopathy secondary to immune thrombocytopenic purpura: A case report

  • Authors:
    • Liwei Ren
    • Wenhui Liu
    • Tao Wu
    • Feng Xue
    • Dongfeng Mao
    • Lingling Yu
    • Hai Bai
  • View Affiliations / Copyright

    Affiliations: Department of Hematology, The 940th Hospital of The Joint Logistics Support Force of The Chinese People's Liberation Army, Lanzhou, Gansu 730050, P.R. China
    Copyright: © Ren et al. This is an open access article distributed under the terms of Creative Commons Attribution License.
  • Article Number: 237
    |
    Published online on: April 19, 2023
       https://doi.org/10.3892/ol.2023.13823
  • Expand metrics +
Metrics: Total Views: 0 (Spandidos Publications: | PMC Statistics: )
Metrics: Total PDF Downloads: 0 (Spandidos Publications: | PMC Statistics: )
Cited By (CrossRef): 0 citations Loading Articles...

This article is mentioned in:



Abstract

The present study reports the case of a patient with diffuse large B‑cell lymphoma (DLBCL) and monoclonal gammopathy (MG) secondary to immune thrombocytopenia purpura (ITP). The clinical diagnoses and investigations of this case are reported. To the best of our knowledge, this is the first study to report DLBCL and MG secondary to ITP. The patient presented with a rare constellation of diseases, which made the diagnosis and treatment difficult for the physicians. The patient was followed up for 10 years using the morphological examination of bone marrow cells after chemotherapy, and currently continues with follow‑up examinations. Treatments and prognoses for ITP, DLBCL and MG are common. However, treatments and prognoses are unclear for patients with all three conditions. The different clinical manifestations and disease processes of DLBCL and MG secondary to ITP cause difficulties for physicians in terms of treatment and prognosis. The present case report describes the comprehensive evaluation, diagnosis and treatment of a patient with DLBCL and MG secondary to, and concurrent with, ITP.

Introduction

Immune thrombocytopenia purpura (ITP) is an autoimmune disease that destroys platelets. In certain patients, ITP can be resolved after appropriate treatment in the early stages of the disease. However, some patients with ITP suffer relapse or have continuous progression even after treatment. ITP is a recognized complication in patients with non-Hodgkin's lymphoma (NHL) (1,2). The incidence of NHL after ITP is low, and in one previous study, only 76 out of 8,067 patients with ITP had NHL, so the increased risk of NHL could not be considered as very large (3). The incidence of immune platelet destruction in patients with NHL is ~5% (4–6); however, most cases occur in patients with chronic lymphoblastic leukemia. To the best of our knowledge, there have been no reported cases of secondary lymphoproliferative diseases in patients with primary ITP. Diffuse large B-cell lymphoma (DLBCL) is the most common type of NHL and accounts for 30–40% of NHL (7). DLBCL is characterized by a broad heterogeneity in its clinical manifestations and prognoses (8).

Monoclonal gammopathy (MG) is a disease in which the body produces a higher concentration of immunoglobulins due to the abnormal proliferation of monoclonal B cells, tending to result in tumor formation. The association between MG and well-differentiated B-cell NHL has been reported (7). MG has been reported in certain patients with DLBCL; however, the number of MG cases in patients with DLBCL is still insufficient for further statistical research (9). Little is known about the pathogenesis and prognosis of patients with DLBCL coinciding with MG (10). To the best of our knowledge, there have been no previous case reports describing DLBCL secondary to ITP. The current study presents the case of a patient diagnosed with DLBCL and MG secondary to ITP.

Case report

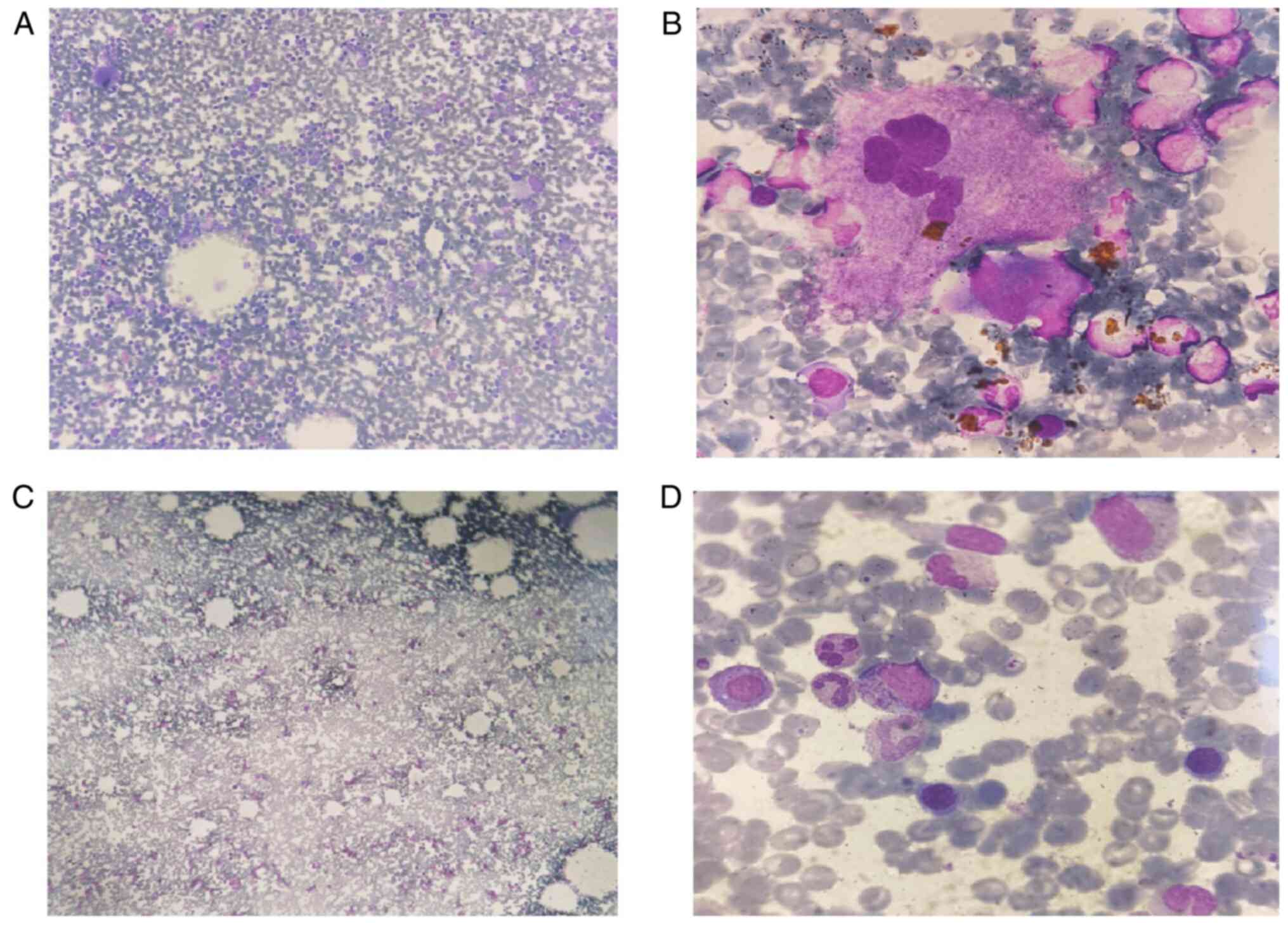
A 67-year-old man presented to the Department of Hematology, Gansu Provincial People's Hospital (Lanzhou, China) in August 2009 complaining of oral hematoma and gingival bleeding. A routine blood examination demonstrated a white blood cell count of 9.3×109/l (reference range, 4.0-10.0×109/l), a platelet count of 6.0×109/l (reference range, 100.0-300.0×109/l) and a hemoglobin level of 153 g/l (reference range, 120–165 g/l). Primary ITP was diagnosed after bone marrow cytomorphological examination of the anterior superior iliac spine, and ultrasound examination (used for finding any masses on the body surface) excluded other primary diseases. A treatment regime consisting of glucocorticoid, γ immune globulin and danazol was initiated, but the platelet count remained at 10.0×109/l. Upon failure of this ITP treatment, splenic embolization was performed on the patient. The patient's platelet count increased to 120×109/l after 1 month. Due to marked bleeding in both lower limbs, the patient was admitted to the 940th Hospital of the Joint Logistics Support Force of the Chinese People's Liberation Army (Lanzhou, China) in November 2009, 100 days after the initial presentation. A routine blood examination demonstrated a white blood cell count of 7.9×109/l, a platelet count of 1.0×109/l and a hemoglobin level of 95 g/l. B-scan ultrasonography of the abdomen demonstrated normal splenic color blood flow, which indicated a failure of the splenic embolization. Maturation arrest of megakaryocytes was found upon morphological examination of the bone marrow cells, which indicated ITP (Fig. 1A and B).

Figure 1.

Hematoxylin and eosin staining of bone marrow cells. (A and B) A large number of scattered megakaryocytes were demonstrated in the bone marrow. November 2009, 102 days after the initial presentation. [(A) ×10 magnification; (B), ×100 magnification]. (C) Normal proportions of lymphocytes and plasmacytes (×10 magnification). (D) Hyperplasia of bone marrow cells (×100 magnification). January 2010, 163 days after the initial presentation.

The patient underwent a splenectomy in January 2010, 152 days after the initial presentation, and the platelet count increased to 140×109/l. In May 2016, subsequent B-scan ultrasonography of the pelvis revealed multiple enlarged lymph nodes (3.0×2.5 cm) in the left inguinal region. The patient reported pain in the anterior tibial region due to the compression of the enlarged lymph nodes of the left leg, which limited its use. A biopsy of the lymph nodes demonstrated DLBCL in the left inguinal lymph node originating from the germinal center, based on assessment using the Hans algorithm (11). Immunohistochemical analysis of the tissue from the left inguinal lymph node demonstrated the presence of CD20+, Bcl-6+, interferon regulatory factor-1−, CD3− and CD10+ B cells. IgM was highly expressed in the cytoplasm of certain neoplastic cells, but the protein expression levels of IgG, CD38 and CD138 were below detection limits.

Ki-67+ cells accounted for ~75% of the tumor cells. The cells were negative for BCL-6 rearrangement as assessed using fluorescence in situ hybridization (FISH). Dysregulation of BCL-2 and MYC was also negative.

Whole-body bone scintigraphy revealed lesions that indicated bone destruction. Abnormally high radioactivity was demonstrated in the bilateral scapula, bilateral humeri and femurs, bilateral anterior ribs, vertebral bodies, the left anterior iliac spine, the upper tibia, and the left knee and ankle joints (Fig. 2A and B). These lesions were considered metastatic foci. The patient received eight courses of an rituximab, cyclophosphamide, doxorubicin, vincristine and prednisone (R-CHOP) regimen as follows: 375 mg/m2 rituximab, intravenous (IV), on day 0; 750 mg/m2 cyclophosphamide, 50 mg/m2 doxorubicin and 1.4 mg/m2 vincristine, IV, all on day 1; and 100 mg prednisone, per os, on days 1–5. After R-CHOP treatment, a positron emission tomography-computed tomography (PET-CT) scan found no further bone destruction.

Figure 2.

Whole-body bone scintigraphy. Whole-body bone scintigraphy [(A) anterior and (B) posterior view] demonstrated high radioactivity areas in numerous locations (bilateral scapula, bilateral humerus and femur, bilateral anterior ribs and vertebral bodies, left anterior iliac spine and upper tibia, and left knee and ankle joints), which were considered metastatic foci.

The patient returned for a follow-up examination in May 2019, 3,555 days after the initial presentation. An investigation of bone marrow cell morphology demonstrated that a proportion of lymphocytes (19%) and plasmacyte (1.2%) were normal, and bone marrow hyperplasia was active (Fig. 1C and D). A total of ~8% of nucleated cells were lymphocytes, of which mature B lymphocytes accounted for 14.5%. No abnormal immune phenotype was observed in the proliferative B lymphocytes. Enlarged lymph nodes (1.5×0.5 cm) were found in the left neck upon superficial B-scan ultrasonography. Immunofixation electrophoresis, using a 1% agarose gel, demonstrated the presence of λ light chains and IgGs. Serum protein electrophoresis demonstrated a γ band (40.7%), a β band (6.1%), an α2 band (6.5%) and an albumin band (44.6%). PET-CT demonstrated an abnormal increase of F-18 fluorodeoxyglucose lymph node metabolism in numerous body regions (Fig. 3A-E), which was consistent with metabolic changes in the progressive disease stage after lymphoma treatment.

Figure 3.

Whole body PET-CT. (A-E) PET-CT demonstrated abnormally increased 18F-fluorodeoxyglucose metabolism in lymph nodes in numerous regions of the body, which was consistent with the metabolic changes in progressive disease stage after lymphoma treatment. PET-CT, positron emission tomography-computed tomography. (A) Pelvic plane (S2). (B) Abdominal plane (L1-L2). (C) Pelvic plane (S5). (D) Abdominal plane (L2-L3). (E) Pelvic plane (S4).

The malignant lymphoma showed a progressive increase in globulin and IgG levels (Fig. 4A and B), and the patient was diagnosed with DLBCL and MG secondary to ITP. The patient was administered one course of the R-CHOP regimen after the DLBCL diagnosis. The patient's levels of globulins (42 g/l; reference range, 20–40 g/l) and IgG (2,520 mg/dl; reference range, 700–1,660 mg/dl) decreased but remained higher than normal. Immunofixation electrophoresis testing demonstrated the presence of λ light chains. The patient remains under follow-up treatment using the R-CHOP regimen at the time of writing.

Figure 4.

Serum IgG and globulin levels. Serum (A) IgG and (B) globulin levels.

Methods

Immunohistochemical analysis

Tissue from the left inguinal lymph node were fixed using 4% paraformaldehyde at room temperature for 24 h, paraffin embedded and sliced into 5 µm sections. Sections were dewaxed by heating to 65°C for 5 min, washed with xylene three times for 10 min and rehydrated using a descending ethanol series. Antigen repair was performed by incubation with EDTA for 3 min. Sections were incubated with 5% bovine serum albumin (Shengshi Technology Co., Ltd.) for 10 min at 37°C to block endogenous peroxidase activity and then washed three times with PBS for 3 min. Sections were incubated with primary antibodies against CD20 (L26) (1:100; cat. no. M0755; Dako; Agilent Technologies, Inc.) for 60 min at 25°C. Sections were incubated with Goat Anti-Mouse IgG HRP Conjugate secondary antibodies (1:500; cat. no sc-2005; Santa Cruz Biotechnology, Inc.) for 30 min at 25°C. Sections were imaged using a BX53 biological light microscope (magnification ×20; Olympus Corporation).

FISH

Vysis LSI IGH/BCL2 Dual Color, Dual Fusion Translocation Probe Kit (Abbott Molecular Inc.) was used to perform FISH. Tissues were fresh frozen at −20°C and cut into 5 µm sections. Sections were fixed using a methanol and glacial acetic acid mixture (30 and 10 ml, respectively) at 25°C For 10 min. Colcemid (0.1%; MedChemExpress) was used to arrest the cells in metaphase. Cells were centrifuged at 447.2 × g for 10 min at room temperature, the supernatant was discarded and 5 ml fixative (3:1 mixture of methanol to glacial acetic acid) was added for 10 min at room temperature. The aforementioned process was repeated for secondary fixation. KCl (0.075 M) was used as the hypotonic solution with incubation for 25 min at 37°C. The suspension was dropped on to dry glass slides.

The probe was thawed at room temperature, mixed manually, and centrifuged at 600 × g for 10 min at 25°C. A total of 5 µl (10 ng/µl) probe working solution (50 ng DNA template, 0.3 µM primer and 1 unit Taq DNA polymerase were required, and the total reaction volume was 25 µl) with saline sodium citrate buffer (2X SSC; 0.3 M NaCl, 0.03 M sodium citrate dihydrate, distilled water, adjusted to pH 7.0 with hydrochloric acid or sodium hydroxide) was used per sample and covered with a coverslip, which spread out the probe. Liquid adhesive was used to seal the edges of the coverslip. Slides were heated to 75°C for 2 min to denature the probe. Slides were incubated at 37°C overnight for hybridization.

The coverslips were removed and slides were placed in 72°C 0.4X SSC [60 mM NaCl, 20 mM Tris-HCl (pH 7.5), 0.5% SDS and 1 mM EDTA] solution for 2 min. Redundant probes were removed using buffer (0.05% Tween-20/2× SSC solution: 75 nM NaCl, 37.5 mM sodium citrate, 0.05% Tween-20, pH 7.0). Blocking was performed using 5% bovine serum albumin (Sangon Biotech Co., Ltd.) at room temperature for 1 h.

Slides were counterstained using 10 µl DAPI and immediately covered with a coverslip and placed in the dark at 4°C for 5–10 min. The slides were assessed using a fluorescence microscope. First, the cell area was confirmed under a low-magnification objective lens, and then a 40X objective lens was used to select areas with better nuclear distribution (such as areas in which a single nucleus could be distinguished). In order to accurately observe and interpret the results of FISH, a representative area for observation that accurately reflected the distribution of the signals was selected. After selecting the observation area, the FISH results of the nucleus were accurately counted.

Immunofixation electrophoresis

The serum of the patient was centrifuged at 5,180 × g for 10 min at room temperature and the supernatant was collected. Total protein was extracted using 20% ammonium sulfate and separated by 2% agarose gel electrophoresis. The separated protein was fixed and immunoprecipitated using an Immunoprecipitation Kit, Protein A/G Plus Agarose (cat. no. GS4780; Beijing Biolab Technology Co., Ltd.). The unprecipitated protein was removed using absorbent paper and washed with distilled water. The protein was stained using Coomassie brilliant blue at 37°C for 10 min and the locations of these immunoprecipitation bands were compared with the abnormal protein bands observed after electrophoresis.

Discussion

ITP is an autoimmune hemorrhagic disease characterized by increased platelet destruction and inhibition of platelet production (12,13). Patients display purpura in regions of the body. B-cell production is increased in the spleen of patients with ITP (14). Chen et al (15) reported increased antibody levels, and increased B-cell regulator and B-cell activating factor levels in the plasma of patients with ITP. Another study reported that the function of CD19+, CD41hi and CD38hi regulatory B cells (Bregs), which promoted peripheral immune tolerance in patients with ITP, were impaired (16). In a previous study, the levels of CD19+, CD24+ and FOXP3+ Breg subsets in the spleen of patients with ITP were increased (17). Impairment of Bregs and B cells in patients with ITP was reported to lead to the production of pathogenic antibodies, which triggered platelet destruction and megakaryocyte-formation defects in the spleen and liver (18).

One previous study reported a significant correlation between platelet count and the number of megakaryocytes in the bone marrow (13). The decrease in megakaryocyte levels was reported to be the main reason for the reduction in platelet count in patients with ITP (19). Anti-platelet antibodies have been reported in patients with chronic lymphoblastic leukemia, hairy cell leukemia, lymphoma, Hodgkin's disease and Waldenstrom macroglobulinemia, and indicated that an immune regulation mechanism is involved in the development of thrombocytopenia in lymphocyte proliferative diseases (20–24).

A previous study reported that platelet antibody IgG (PA-IgG) levels were elevated in 46% of patients with lymphoproliferative disorders (25). There was a certain correlation between thrombocytopenia and the increase of PA-IgG levels in patients with ITP after resection (26). The high incidence of elevated anti-platelet antibodies in patients undergoing splenectomy indicated that other organs could produce autoantibodies (27).

DLBCL is the most common malignant tumor of the lymphatic system in adults (7); it is one in a group of malignant tumors that demonstrate heterogeneity in terms of clinical manifestations and prognosis. Studies showed that the response and survival rates of patients with DLBCL were greatly improved after treatment with CD20 monoclonal antibodies; however, up to 40% of patients relapsed and 10% of the entire cohort of treated patients progressed to refractory diseases (28,29).

An increased level of free light chains in serum is a factor for a poor prognosis in DLBCL (30). MG is common in well-differentiated indolent lymphoma and is usually characterized by increased immunoglobulin levels (31). However, the frequency and prognostic significance of MG in patients with DLBCL remains unclear.

A previous study reported that of all patients with lymphocytic lymphoma, ~44% had elevated serum immunoglobulin levels and ~20% had MG, usually of the IgM type (32). However, another study reported that MG was present in 14.6% of patients with DLBCL (33). IgM was the most commonly reported immunoglobulin in numerous MG cases (32). However, Kim et al (34) and Li et al (35) reported that patients with DLBCL were susceptible to IgG-type MG. Furthermore, Zhang et al (36) reported that the presence of MG was unrelated to the adverse effects on overall survival and progression-free survival. However, Li et al (35) and Cox et al (37) reported that non-IgM MG was a negative prognostic factor for both overall and progression-free survival.

In the present case study, DLBCL concurrent with MG secondary to ITP was reported. Different clinical manifestations of MG and lymphoma have previously confused diagnoses and presented dilemmas in treatment. In the present case report, IgG was observed in the patient's serum and it was hypothesized that the excessive production of immunoglobulin could have promoted MG. Immunohistochemical analysis was used for differential diagnosis and classification; however, the diagnosis of DLBCL was confirmed using biopsy. To the best of our knowledge, no previous study has reported that ITP could cause DLBCL. Although the probability of ITP patients with DLBCL is minimal, the diagnosis and treatment of the three diseases in this patient is still worth discussing. Different clinical manifestations of MG and lymphoma have caused confusion in diagnoses and dilemmas in treatment. The present study highlights the unusual source of immunoglobulin, and suggests that the excessive production of immunoglobulin may promote MG. Although the prognosis of patients with subsequent monoclonal immunoglobulin disease due to lack of renal biopsy remains unclear, it reminds us that a comprehensive and detailed assessment of the patient's condition is necessary.

The present case demonstrated the importance of a complete clinical assessment and examination of patients with lymphoproliferative diseases. This information assists in making a comprehensive assessment and helps direct effective treatment protocols.

Acknowledgements

Not applicable.

Funding

The present study was supported by a grant from the Gansu Province Innovation Base and Talent Plan (Gansu Province Leukemia Clinical Research Center; grant no. 21JR7RA015).

Availability of data and materials

The datasets used or analyzed during the current study are available from the corresponding author upon reasonable request.

Authors' contributions

LR analyzed the data and wrote the manuscript. WL, FX and DM collected and provided data on the treatment of the case presented. LY, WL, FX and DM acquired the data and participated in critical revision of the manuscript. TW and HB analyzed the data, compiled diagnostic data and contributed to the writing of the manuscript. All authors read and approved the final manuscript. LY, TW and HB confirm the authenticity of all the raw data.

Ethics approval and consent to participate

Not applicable.

Patient consent for publication

Written informed consent was obtained from the patient to publish this case report and any accompanying images.

Competing interests

The authors declare that they have no competing interests.

References

1 

Fattizzo B and Barcellini W: Autoimmune cytopenias in chronic lymphocytic leukemia: Focus on molecular aspects. Front Oncol. 9:14352020. View Article : Google Scholar : PubMed/NCBI

2 

Barcellini W, Capalbo S, Agostinelli RM, Mauro FR, Ambrosetti A, Calori R, Cortelezzi A, Laurenti L, Pogliani EM, Pedotti P, et al: Relationship between autoimmune phenomena and disease stage and therapy in B-cell chronic lymphocytic leukemia. Haematologica. 91:1689–1692. 2006.PubMed/NCBI

3 

Fallah M, Liu X, Ji J, Försti A, Sundquist K and Hemminki K: Autoimmune diseases associated with non-Hodgkin lymphoma: A nationwide cohort study. Ann Oncol. 25:2025–2030. 2014. View Article : Google Scholar : PubMed/NCBI

4 

Visco C, Ruggeri M, Laura Evangelista M, Stasi R, Zanotti R, Giaretta I, Ambrosetti A, Madeo D, Pizzolo G and Rodeghiero F: Impact of immune thrombocytopenia on the clinical course of chronic lymphocytic leukemia. Blood. 111:1110–1116. 2008. View Article : Google Scholar : PubMed/NCBI

5 

Mittal S, Blaylock MG, Culligan DJ, Barker RN and Vickers MA: A high rate of CLL phenotype lymphocytes in autoimmune hemolytic anemia and immune thrombocytopenic purpura. Haematologica. 93:151–152. 2008. View Article : Google Scholar : PubMed/NCBI

6 

Kyle RA and Lust JA: Monoclonal gammopathies of undetermined significance. Semin Heamatol. 26:176–200. 1989.PubMed/NCBI

7 

Siegel RL, Miller KD and Jemal A: Cancer statistics, 2019. CA Cancer J Clin. 69:7–34. 2019. View Article : Google Scholar : PubMed/NCBI

8 

Liu Y and Barta SK: Diffuse large B-cell lymphoma: 2019 Update on diagnosis, risk stratification, and treatment. Am J Hematol. 94:604–616. 2019. View Article : Google Scholar : PubMed/NCBI

9 

Papageorgiou SG, Thomopoulos TP, Spathis A, Bouchla A, Glezou I, Stavroulaki G, Gkontopoulos K, Bazani E, Foukas PG and Pappa V: Prognostic significance of monoclonal gammopathy in diffuse large B-cell lymphoma. Hematol Oncol. 37:634–637. 2019. View Article : Google Scholar : PubMed/NCBI

10 

Harris NL, Jaffe ES, Diebold J, Flandrin G, Muller-Hermelink HK, Vardiman J, Lister TA and Bloomfield CD: World Health Organization classification of neoplastic diseases of the hematopoietic and lymphoid tissues: Report of the clinical advisory committee meeting. Airlie House, Virginia, November 1997. J Clin Oncol. 17:3835–3849. 1999. View Article : Google Scholar : PubMed/NCBI

11 

Hans CP, Weisenburger DD, Greiner TC, Gascoyne RD, Delabie J, Ott G, Müller-Hermelink HK, Campo E, Braziel RM, Jaffe ES, et al: Confirmation of the molecular classification of diffuse large B-cell lymphoma by immunohistochemistry using a tissue microarray. Blood. 103:275–282. 2004. View Article : Google Scholar : PubMed/NCBI

12 

Cooper N: State of the art-how I manage immune thrombocytopenia. Br J Haematol. 177:39–54. 2017. View Article : Google Scholar : PubMed/NCBI

13 

Zufferey A, Kapur R and Semple JW: Pathogenesis and therapeutic mechanisms in immune thrombocytopenia (ITP). J Clin Med. 6:162017. View Article : Google Scholar : PubMed/NCBI

14 

Olsson B, Ridell B, Jernås M and Wadenvik H: Increased number of B-cells in the red pulp of the spleen in ITP. Ann Hematol. 91:271–277. 2012. View Article : Google Scholar : PubMed/NCBI

15 

Chen JF, Yang LH, Chang LX, Feng JJ and Liu JQ: The clinical significance of circulating B cells secreting anti-glycoprotein IIb/IIIa antibody and platelet glycoprotein IIb/IIIa in patients with primary immune thrombocytopenia. Hematology. 17:283–290. 2012. View Article : Google Scholar : PubMed/NCBI

16 

Li X, Zhong H, Bao W, Boulad N, Evangelista J, Haider MA, Bussel J and Yazdanbakhsh K: Defective regulatory B-cell compartment in patients with immune thrombocytopenia. Blood. 120:3318–3325. 2012. View Article : Google Scholar : PubMed/NCBI

17 

Aslam R, Segel GB, Burack R, Spence SA, Speck ER, Guo L and Semple JW: Splenic lymphocyte subtypes in immune thrombocytopenia: Increased presence of a subtype of B-regulatory cells. Br J Haematol. 173:159–160. 2016. View Article : Google Scholar : PubMed/NCBI

18 

Min YN, Wang CY, Li XX, Hou Y, Qiu JH, Ma J, Shao LL, Zhang X, Wang YW, Peng J, et al: Participation of B-cell-activating factor receptors in the pathogenesis of immune thrombocytopenia. J Thromb Haemost. 14:559–571. 2016. View Article : Google Scholar : PubMed/NCBI

19 

Miltiadous O, Hou M and Bussel JB: Identifying and treating refractory ITP: Difficulty in diagnosis and role of combination treatment. Blood. 135:472–490. 2020. View Article : Google Scholar : PubMed/NCBI

20 

De Rossi G, Granati L, Girelli G, Gandolfo G, Arista MC, Martelli M, Conti L, Marini R, La Tagliata R, Leone R, et al: Incidence and prognostic significance of autoantibodies against erythrocytes and platelets in chronic lymphocytic leukemia (CLL). Nouv Rev Fr Hematol (1978). 30:403–406. 1988.PubMed/NCBI

21 

De Rossi G, Granati L, Girelli G, Gandolo G, Perrone P, Martelli M, Conti L, Marini R, Pastorelli D, Coluzzi S, et al: Prognostic value of autoantibodies against erythrocytes and platelets in chronic lymphocytic leukemia (CLL). Tumori. 77:100–104. 1991. View Article : Google Scholar : PubMed/NCBI

22 

Garvey MB and Freedman J: Indirect platelet radioactive antiglobulin test in patients with lymphoproliferative disease. J Lab Clin Med. 107:123–128. 1986.PubMed/NCBI

23 

Liu EB, Zhang PH, Li ZQ, Sun Q, Yang QY, Fang LH, Sun FJ and Qiu LG: Clinicopathologic features of lymphoplasmacytic lymphoma. Zhonghua Bing Li Xue Za Zhi. 39:308–312. 2010.(In Chinese). PubMed/NCBI

24 

Lechman HA, Lehman LO, Rutagi PK, Rustgi RN, Plunkett RW, Farolino DL, Conway J and Logue GL: Complement-mediated autoimmune thrombocytopenia. Monoclonal IgM antiplatelet antibody associated with lymphoreticular malignant disease. N Engl J Med. 316:194–198. 1987.

25 

Kuznetsov AI, Ivanov AL, Idelson LI and Mazurov AV: Mechanisms of thrombocytopenia in patients with lymphoproliferative diseases. Eur J Haematol. 49:113–118. 1992. View Article : Google Scholar : PubMed/NCBI

26 

Myers TJ, Kim BK, Steiner M and Baldini MG: Platelet-associated complement C3 in immune thrombocytopenic purpura. Blood. 59:1023–1028. 1982. View Article : Google Scholar : PubMed/NCBI

27 

Kaiho T, Miyazaki M, Iinuma K, Ito H, Koyama T, Nakagawa K and Nakajima N: Long-term prognosis of idiopathic thrombocytopenic purpura treated by partial splenic embolization. Nihon Geka Gakkai Zasshi. 94:383–393. 1993.(In Japanese). PubMed/NCBI

28 

Vardhana SA, Sauter CS, Matasar MJ, Zelenetz AD, Galasso N, Woo KM, Zhang Z and Moskowitz CH: Outcomes of primary refractory diffuse large B-cell lymphoma (DLBCL) treated with salvage chemotherapy and intention to transplant in the rituximab era. Br J Haematol. 176:591–599. 2017. View Article : Google Scholar : PubMed/NCBI

29 

Coiffier B, Thieblemont C, Van Den Neste E, Lepeu G, Plantier I, Castaigne S, Lefort S, Marit G, Macro M, Sebban C, et al: Long-term outcome of patients in the LNH-98.5 trial, the first randomized study comparing rituximab-CHOP to standard CHOP chemotherapy in DLBCL patients: A study by the Groupe d'Etudes des Lymphomes de l'Adulte. Blood. 116:2040–2045. 2010. View Article : Google Scholar : PubMed/NCBI

30 

Witzig TE, Maurer MJ, Stenson MJ, Allmer C, Macon W, Link B, Katzmann JA and Gupta M: Elevated serum monoclonal and polyclonal free light chains and interferon inducible protein-10 predicts inferior prognosis in untreated diffuse large B-cell lymphoma. Am J Hematol. 89:417–422. 2014. View Article : Google Scholar : PubMed/NCBI

31 

Kaseb H, Annamaraju P and Babiker HM: Monoclonal gammopathy of undetermined significance. StatPearls [Internet] Treasure Island (FL): StatPearls Publishing; 2023

32 

Wright DH: Malignant lymphomas other than Hodgkin's disease: Histology, cytology, ultrastructure, immunology. J Clin Pathol. 32:4141979. View Article : Google Scholar : PubMed/NCBI

33 

Economopoulos T, Papageorgiou S, Pappa V, Papageorgiou E, Valsami S, Kalantzis D, Xiros N, Dervenoulas J and Raptis S: Monoclonal gammopathies in B-cell non-Hodgkin's lymphomas. Leuk Res. 27:505–508. 2003. View Article : Google Scholar : PubMed/NCBI

34 

Kim YR, Kim SJ, Cheong JW, Kim Y, Jang JE, Lee JY, Min YH, Song JW, Yang WI and Kim JS: Monoclonal and polyclonal gammopathy measured by serum free light chain and immunofixation subdivide the clinical outcomes of diffuse large B-cell lymphoma according to molecular classification. Ann Hematol. 93:1867–1877. 2014. View Article : Google Scholar : PubMed/NCBI

35 

Li Y, Wang L, Zhu HY, Liang JH, Wu W, Wu JZ, Xia Y, Fan L, Li JY and Xu W: Prognostic significance of serum immunoglobulin paraprotein in patients with diffuse large B cell lymphoma. Br J Haematol. 182:131–134. 2018. View Article : Google Scholar : PubMed/NCBI

36 

Zhang Y, Wei Z, Li J, Gao R and Liu P: Monoclonal gammopathies regardless of subtypes are associated with poor prognosis of diffuse large B-cell lymphoma: A STROBE-compliant article. Medicine (Baltimore). 97:e117192018. View Article : Google Scholar : PubMed/NCBI

37 

Cox MC, Di Napoli A, Fabbri A, Cencini E and Ruco L: The significance of serum immunoglobulin paraprotein in diffuse large B-cell lymphoma. Br J Haematol. 182:741–742. 2018. View Article : Google Scholar : PubMed/NCBI

Related Articles

  • Abstract
  • View
  • Download
  • Twitter
Copy and paste a formatted citation
Spandidos Publications style
Ren L, Liu W, Wu T, Xue F, Mao D, Yu L and Bai H: Diffuse large B‑cell lymphoma and monoclonal gammopathy secondary to immune thrombocytopenic purpura: A case report. Oncol Lett 25: 237, 2023.
APA
Ren, L., Liu, W., Wu, T., Xue, F., Mao, D., Yu, L., & Bai, H. (2023). Diffuse large B‑cell lymphoma and monoclonal gammopathy secondary to immune thrombocytopenic purpura: A case report. Oncology Letters, 25, 237. https://doi.org/10.3892/ol.2023.13823
MLA
Ren, L., Liu, W., Wu, T., Xue, F., Mao, D., Yu, L., Bai, H."Diffuse large B‑cell lymphoma and monoclonal gammopathy secondary to immune thrombocytopenic purpura: A case report". Oncology Letters 25.6 (2023): 237.
Chicago
Ren, L., Liu, W., Wu, T., Xue, F., Mao, D., Yu, L., Bai, H."Diffuse large B‑cell lymphoma and monoclonal gammopathy secondary to immune thrombocytopenic purpura: A case report". Oncology Letters 25, no. 6 (2023): 237. https://doi.org/10.3892/ol.2023.13823
Copy and paste a formatted citation
x
Spandidos Publications style
Ren L, Liu W, Wu T, Xue F, Mao D, Yu L and Bai H: Diffuse large B‑cell lymphoma and monoclonal gammopathy secondary to immune thrombocytopenic purpura: A case report. Oncol Lett 25: 237, 2023.
APA
Ren, L., Liu, W., Wu, T., Xue, F., Mao, D., Yu, L., & Bai, H. (2023). Diffuse large B‑cell lymphoma and monoclonal gammopathy secondary to immune thrombocytopenic purpura: A case report. Oncology Letters, 25, 237. https://doi.org/10.3892/ol.2023.13823
MLA
Ren, L., Liu, W., Wu, T., Xue, F., Mao, D., Yu, L., Bai, H."Diffuse large B‑cell lymphoma and monoclonal gammopathy secondary to immune thrombocytopenic purpura: A case report". Oncology Letters 25.6 (2023): 237.
Chicago
Ren, L., Liu, W., Wu, T., Xue, F., Mao, D., Yu, L., Bai, H."Diffuse large B‑cell lymphoma and monoclonal gammopathy secondary to immune thrombocytopenic purpura: A case report". Oncology Letters 25, no. 6 (2023): 237. https://doi.org/10.3892/ol.2023.13823
Follow us
  • Twitter
  • LinkedIn
  • Facebook
About
  • Spandidos Publications
  • Careers
  • Cookie Policy
  • Privacy Policy
How can we help?
  • Help
  • Live Chat
  • Contact
  • Email to our Support Team