Spandidos Publications Logo
  • About
    • About Spandidos
    • Aims and Scopes
    • Abstracting and Indexing
    • Editorial Policies
    • Reprints and Permissions
    • Job Opportunities
    • Terms and Conditions
    • Contact
  • Journals
    • All Journals
    • Oncology Letters
      • Oncology Letters
      • Information for Authors
      • Editorial Policies
      • Editorial Board
      • Aims and Scope
      • Abstracting and Indexing
      • Bibliographic Information
      • Archive
    • International Journal of Oncology
      • International Journal of Oncology
      • Information for Authors
      • Editorial Policies
      • Editorial Board
      • Aims and Scope
      • Abstracting and Indexing
      • Bibliographic Information
      • Archive
    • Molecular and Clinical Oncology
      • Molecular and Clinical Oncology
      • Information for Authors
      • Editorial Policies
      • Editorial Board
      • Aims and Scope
      • Abstracting and Indexing
      • Bibliographic Information
      • Archive
    • Experimental and Therapeutic Medicine
      • Experimental and Therapeutic Medicine
      • Information for Authors
      • Editorial Policies
      • Editorial Board
      • Aims and Scope
      • Abstracting and Indexing
      • Bibliographic Information
      • Archive
    • International Journal of Molecular Medicine
      • International Journal of Molecular Medicine
      • Information for Authors
      • Editorial Policies
      • Editorial Board
      • Aims and Scope
      • Abstracting and Indexing
      • Bibliographic Information
      • Archive
    • Biomedical Reports
      • Biomedical Reports
      • Information for Authors
      • Editorial Policies
      • Editorial Board
      • Aims and Scope
      • Abstracting and Indexing
      • Bibliographic Information
      • Archive
    • Oncology Reports
      • Oncology Reports
      • Information for Authors
      • Editorial Policies
      • Editorial Board
      • Aims and Scope
      • Abstracting and Indexing
      • Bibliographic Information
      • Archive
    • Molecular Medicine Reports
      • Molecular Medicine Reports
      • Information for Authors
      • Editorial Policies
      • Editorial Board
      • Aims and Scope
      • Abstracting and Indexing
      • Bibliographic Information
      • Archive
    • World Academy of Sciences Journal
      • World Academy of Sciences Journal
      • Information for Authors
      • Editorial Policies
      • Editorial Board
      • Aims and Scope
      • Abstracting and Indexing
      • Bibliographic Information
      • Archive
    • International Journal of Functional Nutrition
      • International Journal of Functional Nutrition
      • Information for Authors
      • Editorial Policies
      • Editorial Board
      • Aims and Scope
      • Abstracting and Indexing
      • Bibliographic Information
      • Archive
    • International Journal of Epigenetics
      • International Journal of Epigenetics
      • Information for Authors
      • Editorial Policies
      • Editorial Board
      • Aims and Scope
      • Abstracting and Indexing
      • Bibliographic Information
      • Archive
    • Medicine International
      • Medicine International
      • Information for Authors
      • Editorial Policies
      • Editorial Board
      • Aims and Scope
      • Abstracting and Indexing
      • Bibliographic Information
      • Archive
  • Articles
  • Information
    • Information for Authors
    • Information for Reviewers
    • Information for Librarians
    • Information for Advertisers
    • Conferences
  • Language Editing
Spandidos Publications Logo
  • About
    • About Spandidos
    • Aims and Scopes
    • Abstracting and Indexing
    • Editorial Policies
    • Reprints and Permissions
    • Job Opportunities
    • Terms and Conditions
    • Contact
  • Journals
    • All Journals
    • Biomedical Reports
      • Information for Authors
      • Editorial Policies
      • Editorial Board
      • Aims and Scope
      • Abstracting and Indexing
      • Bibliographic Information
      • Archive
    • Experimental and Therapeutic Medicine
      • Information for Authors
      • Editorial Policies
      • Editorial Board
      • Aims and Scope
      • Abstracting and Indexing
      • Bibliographic Information
      • Archive
    • International Journal of Epigenetics
      • Information for Authors
      • Editorial Policies
      • Editorial Board
      • Aims and Scope
      • Abstracting and Indexing
      • Bibliographic Information
      • Archive
    • International Journal of Functional Nutrition
      • Information for Authors
      • Editorial Policies
      • Editorial Board
      • Aims and Scope
      • Abstracting and Indexing
      • Bibliographic Information
      • Archive
    • International Journal of Molecular Medicine
      • Information for Authors
      • Editorial Policies
      • Editorial Board
      • Aims and Scope
      • Abstracting and Indexing
      • Bibliographic Information
      • Archive
    • International Journal of Oncology
      • Information for Authors
      • Editorial Policies
      • Editorial Board
      • Aims and Scope
      • Abstracting and Indexing
      • Bibliographic Information
      • Archive
    • Medicine International
      • Information for Authors
      • Editorial Policies
      • Editorial Board
      • Aims and Scope
      • Abstracting and Indexing
      • Bibliographic Information
      • Archive
    • Molecular and Clinical Oncology
      • Information for Authors
      • Editorial Policies
      • Editorial Board
      • Aims and Scope
      • Abstracting and Indexing
      • Bibliographic Information
      • Archive
    • Molecular Medicine Reports
      • Information for Authors
      • Editorial Policies
      • Editorial Board
      • Aims and Scope
      • Abstracting and Indexing
      • Bibliographic Information
      • Archive
    • Oncology Letters
      • Information for Authors
      • Editorial Policies
      • Editorial Board
      • Aims and Scope
      • Abstracting and Indexing
      • Bibliographic Information
      • Archive
    • Oncology Reports
      • Information for Authors
      • Editorial Policies
      • Editorial Board
      • Aims and Scope
      • Abstracting and Indexing
      • Bibliographic Information
      • Archive
    • World Academy of Sciences Journal
      • Information for Authors
      • Editorial Policies
      • Editorial Board
      • Aims and Scope
      • Abstracting and Indexing
      • Bibliographic Information
      • Archive
  • Articles
  • Information
    • For Authors
    • For Reviewers
    • For Librarians
    • For Advertisers
    • Conferences
  • Language Editing
Login Register Submit
  • This site uses cookies
  • You can change your cookie settings at any time by following the instructions in our Cookie Policy. To find out more, you may read our Privacy Policy.

    I agree
Search articles by DOI, keyword, author or affiliation
Search
Advanced Search
presentation
Oncology Letters
Join Editorial Board Propose a Special Issue
Print ISSN: 1792-1074 Online ISSN: 1792-1082
Journal Cover
June-2023 Volume 25 Issue 6

Full Size Image

Sign up for eToc alerts
Recommend to Library

Journals

International Journal of Molecular Medicine

International Journal of Molecular Medicine

International Journal of Molecular Medicine is an international journal devoted to molecular mechanisms of human disease.

International Journal of Oncology

International Journal of Oncology

International Journal of Oncology is an international journal devoted to oncology research and cancer treatment.

Molecular Medicine Reports

Molecular Medicine Reports

Covers molecular medicine topics such as pharmacology, pathology, genetics, neuroscience, infectious diseases, molecular cardiology, and molecular surgery.

Oncology Reports

Oncology Reports

Oncology Reports is an international journal devoted to fundamental and applied research in Oncology.

Experimental and Therapeutic Medicine

Experimental and Therapeutic Medicine

Experimental and Therapeutic Medicine is an international journal devoted to laboratory and clinical medicine.

Oncology Letters

Oncology Letters

Oncology Letters is an international journal devoted to Experimental and Clinical Oncology.

Biomedical Reports

Biomedical Reports

Explores a wide range of biological and medical fields, including pharmacology, genetics, microbiology, neuroscience, and molecular cardiology.

Molecular and Clinical Oncology

Molecular and Clinical Oncology

International journal addressing all aspects of oncology research, from tumorigenesis and oncogenes to chemotherapy and metastasis.

World Academy of Sciences Journal

World Academy of Sciences Journal

Multidisciplinary open-access journal spanning biochemistry, genetics, neuroscience, environmental health, and synthetic biology.

International Journal of Functional Nutrition

International Journal of Functional Nutrition

Open-access journal combining biochemistry, pharmacology, immunology, and genetics to advance health through functional nutrition.

International Journal of Epigenetics

International Journal of Epigenetics

Publishes open-access research on using epigenetics to advance understanding and treatment of human disease.

Medicine International

Medicine International

An International Open Access Journal Devoted to General Medicine.

Journal Cover
June-2023 Volume 25 Issue 6

Full Size Image

Sign up for eToc alerts
Recommend to Library

  • Article
  • Citations
    • Cite This Article
    • Download Citation
    • Create Citation Alert
    • Remove Citation Alert
    • Cited By
  • Similar Articles
    • Related Articles (in Spandidos Publications)
    • Similar Articles (Google Scholar)
    • Similar Articles (PubMed)
  • Download PDF
  • Download XML
  • View XML
Case Report Open Access

A giant breast malignant solitary fibrous tumor: A rare case report and brief review

  • Authors:
    • Yonghui Wang
    • Liquan Wang
    • Jinning Huang
    • Xiuping Liu
    • Huimin Sun
    • Xiaomei Sui
    • Xianglian Sun
  • View Affiliations / Copyright

    Affiliations: Department of Thyroid and Breast Surgery, Weifang People's Hospital, Weifang, Shandong 261041, P.R. China, Department of Pathology, Weifang People's Hospital, Weifang, Shandong 261041, P.R. China, Department of Radiotherapy, Affiliated Hospital of Weifang Medical University, Weifang, Shandong 261031, P.R. China
    Copyright: © Wang et al. This is an open access article distributed under the terms of Creative Commons Attribution License.
  • Article Number: 249
    |
    Published online on: April 26, 2023
       https://doi.org/10.3892/ol.2023.13835
  • Expand metrics +
Metrics: Total Views: 0 (Spandidos Publications: | PMC Statistics: )
Metrics: Total PDF Downloads: 0 (Spandidos Publications: | PMC Statistics: )
Cited By (CrossRef): 0 citations Loading Articles...

This article is mentioned in:



Abstract

Solitary fibrous tumors (SFTs), which were first identified in the pleura and later at multiple anatomical locations, are rare mesenchymal neoplasms. The characteristics of SFTs include well‑circumscribed margins, intense vascularity and a relatively indolent clinical course. SFTs originating from the breast are rare. To the best of our knowledge, only 33 cases of breast SFTs, including five malignant tumors, have been reported to date. In the present study, a rare case of complete resection of a giant malignant SFT is reported. A 48‑year‑old female patient who visited Weifang People's Hospital (Weifang, China) had a 2‑year history of a right palpable breast lesion. The patient reported no other symptoms, such as skin changes or nipple discharge. An ultrasound examination revealed a giant, well‑circumscribed, heterogeneous and hypoechoic lesion with central and peripheral blood flow. Owing to the large size of the lesion, mammography and magnetic resonance imaging were not feasible. Core needle biology showed that the lesion was a malignant spindle cell tumor. Following this, mastectomy and sentinel lymph node biopsy were performed. The sentinel lymph nodes exhibited metastasis. A definitive diagnosis of malignant SFT was made by microscopic examination with immunohistochemistry. The treatment strategy for benign breast SFTs should be complete surgical excision, whereas for malignant SFTs, it should include radical resection along with radiotherapy and chemotherapy. Owing to the indolent nature and late recurrence and metastasis of malignant breast SFTs, regular patient follow‑up for a longer duration is essential.

Introduction

A solitary fibrous tumor (SFT) is a rare soft-tissue tumor of mesenchymal origin (1). The reported incidence rate is <0.1/100,000 individuals/year (2). First recognized in the pleura (1), with gross and histological features that overlap with numerous other soft-tissue tumors, SFT was previously referred to by several other names, including pleural fibroma, benign mesothelioma, hemangiopericytoma, localized fibrous tumor and subserosal fibroma (3). SFT is now recognized to occur at all anatomical sites and comprises a histological spectrum, ranging from hypocellular fibrous SFT, to hypercellular tumors previously recognized as hemangiopericytoma, to anaplastic SFT with frank sarcomatous transformation (3). Historically, SFTs are divided into three categories: i) Benign (local disease); ii) not otherwise specified (rarely metastasize); and iii) malignant (4). The traditional criteria for malignant SFTs include a mitotic rate of ≥4 per 10 high-power fields (HPFs), pleomorphism, necrosis and a large tumor size (5). The diagnosis of an SFT is established by the conjunction of clinical, pathological, immunohistochemical and molecular features.

The treatment strategy of SFTs depends on the historical type (3). For the benign and not otherwise specified SFTs, the best treatment method is complete surgical excision. Complete en bloc surgical resection with negative margins (R0) is the gold-standard treatment for malignant SFT. If the surgery could not achieve an R0 resection due to anatomical site, then adjuvant radiotherapy and chemotherapy could give a favorable long-term outcome.

To date, only 33 cases of breast SFTs, including 5 malignant tumors, have been reported (6). In the present report, a rare case of a 48-year-old female patient with a large tumor confirmed to be a malignant SFT is reported. A brief literature review is also presented.

Case report

A 48-year-old female patient visited Weifang People's Hospital (Weifang, China) in September 2021 with the complaint of a mass in the right breast that had expanded rapidly in the preceding 2 years. The patient had no family history of breast and ovarian cancer, and denied any chronic diseases, including malignancies of other tissues. The patient accidentally found a small nodule in the right upper outer quadrant measuring 2×2 cm2 ~2 years ago. The nodule grew rapidly and occupied almost the entire left breast when the patient visited the breast clinic of Weifang People's Hospital.

Physical examination revealed a giant hard mass (~25×25×10 cm). The lesion occupied the entire right breast without skin retraction or other skin alterations. Nipple discharge and palpable axillary or supraclavicular lymph nodes were not observed. The liver [glutamic-pyruvic transaminase, 16 U/l (normal range, 0–40 U/l); glutamic oxalacetic transaminase, 15 U/l (normal range, 0–40 U/l)] and kidney [creatinine, 56 µmol/l (normal range, 41–81 µmol/l)] functions were normal, and the serum tumor marker levels were within the normal range [carcinoembryonic antigen, 0.70 ng/ml (normal range, 0–5 ng/ml); carbohydrate antigen 153, 6.25 U/ml (normal range, 0–19 U/ml]. Breast ultrasonography revealed a giant, well-circumscribed, heterogeneous and hypoechoic lesion with central and peripheral blood flow (Fig. 1A). The diameter of the lesion was not measured using breast ultrasonography due to its size. Computed tomography revealed a large heterogeneous tumor of ~25×25×10 cm in the right breast (Fig. 1B). Mammography and magnetic resonance imaging were not performed, as the lesion was too large.

Figure 1.

Ultrasonography and CT expression of the breast solitary fibrous tumor. (A) Ultrasonography revealing a giant, well-circumscribed, heterogeneous and hypoechoic lesion with central and peripheral blood flow. (B) CT showing a giant heterogeneous lesion in the right breast. CT, computed tomography.

To prepare a surgical plan, a core needle biopsy was performed. The pathological results indicated a malignant spindle cell tumor. The patient underwent mastectomy and intraoperative sentinel lymph node biopsy. The results of the intraoperative frozen section examination for sentinel lymph nodes showed no metastasis. Therefore, axillary lymph node dissection, epidermization or autologous breast reconstruction was not performed on the patient.

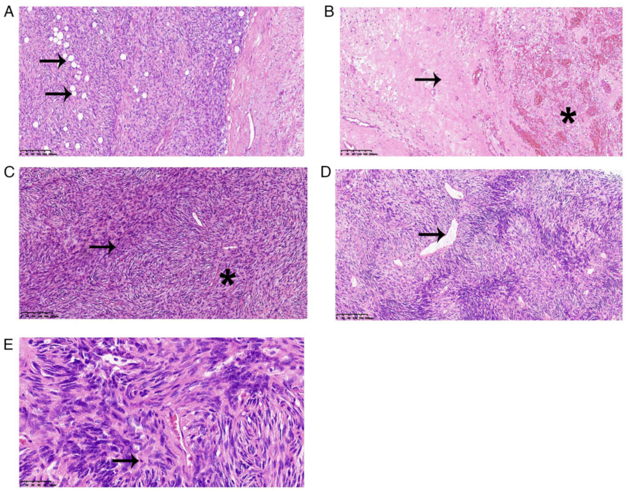
In brief, the resected tumor measured 25×20×8 cm and occupied almost the entire right breast (Fig. 2A). The cut surface of the tumor was white-gray in color and exhibited cystic degeneration (Fig. 2B). Specimens were fixed with 4% formalin at room temperature for 12 h, embedded in paraffin, cut into 4-µm sections, stained for 5 min at room temperature with hematoxylin and eosin, and observed under a light microscope (Nikon Corporation). As observed under the light microscope with ×200 magnification, the lesion had a well-defined, fibrous capsule and focally infiltrated the surrounding adipose tissue (Fig. 3A). Necrotic tissue and hemorrhage were identified in some areas (Fig. 3B). The tumor showed a patternless architecture characterized by alternating hypercellular and hypocellular areas (Fig. 3C). In the hypercellular area, ovoid spindle-shaped tumor cells were surrounded by branching and staghorn vasculature (Fig. 3D). Under ×400 magnification, relatively greater mitotic activity (6 mitoses in every 10 HPFs) was observed (Fig. 3E).

Figure 2.

Gross appearance of the malignant solitary fibrous tumor. (A) The tumor occupied almost the entirety of the right breast (length of sponge forceps, 25 cm). (B) The cut surface of the tumor was white-gray with a well-circumscribed border and cystic degeneration.

Figure 3.

Hematoxylin and eosin staining of the malignant breast solitary fibrous tumor. (A) Well-defined, fibrous capsule and focal infiltration into the surrounding adipose tissue (black arrow). (B) Necrosis (black arrow) and hemorrhage (*) in the tumor tissue. (C) Alternation of hypercellular (black arrow) and hypocellular (*) areas. (D) Staghorn-like branching blood vessels (black arrow). (E) Pleomorphic tumor cells with increased mitotic figures in the hypercellular area (black arrow). (A-D) Light microscope; magnification, ×200; scale bar, 200 µm. (E) Light microscope; magnification, ×400; scale bar, 50 µm.

For immunohistochemical (IHC) staining, the tissue was fixed with 4% neutral formalin at room temperature for 12 h, then embedded in paraffin, cut into 4-µm sections and sealed with 3% hydrogen peroxide at room temperature for 10 min. Antigen retrieval was performed with EDTA at 100°C for 2.5 min, followed by washing with PBS. Primary antibody incubation was performed at 37°C for 60 min and secondary antibody incubation at 37°C for 20 min. The primary antibodies were purchased from Beyotime Institute of Biotechnology. The following primary antibodies were used: CD34 (cat. no. AG1463; 1:100), Bcl-2 (cat. no. AG1222; 1:100), β-catenin (cat. no. AF0069; 1:100), STAT6 (cat. no. AF1534; 1:100), desmin (cat. no. AF1414; 1:100), S-100 (cat. no. AF1945; 1:100), p63 (cat. no. AF1993; 1:100), smooth muscle actin (cat. no, AF1507; 1:100) and Ki-67 (cat. no. AF1738; 1:100). Biotinylated Goat anti-Mouse and -Rabbit secondary antibodies were obtained from OriGene Technologies, Inc. (cat. no. PV-6000; 1:500). Finally, sections were stained with DAB at room temperature for 5 min, counterstained with hematoxylin at room temperature for 5 min and observed under a Nikon light microscope (Nikon Corporation). IHC staining revealed that the tumor cells were CD34+ (Fig. 4A), Bcl-2+ (Fig. 4B), β-catenin+ (Fig. 4C) and STAT6+ (Fig. 4D), but desmin− (Fig. 4E), S-100− (Fig. 4F), p63− (Fig. 4G), and smooth muscle actin− (Fig. 4H). The Ki67 labeling index was 10% (Fig. 4I).

Figure 4.

Immunohistochemical analysis of the SFT markers. (A) CD34, (B) Bcl-2, (C) β-catenin (D) STAT6, (E) desmin, (F) S-100, (G) p63 and (H) smooth muscle actin. (I) The Ki-67 index of the SFT was 10%. Light microscope; magnification ×200; scale bar, 100 µm. SFT, solitary fibrous tumor.

Based on the findings of a hypercellular lesion with a high mitotic index, infiltrating margins and tissue necrosis, and the IHC results, the final histological diagnosis of the tumor was malignant SFT.

Owing to the scarcity of evidence on the benefits of chemotherapy and radiotherapy for malignant breast SFTs, further treatments were not performed. That patient underwent regular medical follow-up every 3 months; however, no evidence of local recurrence or metastasis was observed 1 year after the resection.

Discussion

Due to the low morbidity of SFTs, data on breast SFTs are primarily available from case reports. In the present study, the advances in the understanding of SFTs, including SFT location in the breast, epidemiology, histology, molecular techniques used for diagnosis, presentation and therapeutic strategy are discussed.

An SFT is a rare mesenchymal tumor, and the reported incidence rate is <0.1/100,000 individuals/year (2). The precise incidence rate of breast SFTs is difficult to illustrate. Breast SFTs appear to be more common in female (24 cases) than male (9 cases) patients, whereas in the pleura and central nervous system SFTs have similar distribution between male and female patients (6). This difference may be attributed to the specific epicenter of SFTs. Breast SFTs have been diagnosed in adults ranging between 38–88 years old, and are most commonly diagnosed in patients in their 50 to 70s (7). Neither environmental nor hereditary factors have been shown to increase the incidence rate of SFTs.

SFTs are often slow-growing tumors, and are frequently diagnosed based on incidental radiological or accidental findings of painless palpable masses of varying sizes (range, 0.6–10 cm) (6). Pain, nipple discharge or enlarged regional lymph nodes are usually not observed in patients with SFTs (7). Ultrasound examination and mammography are the most common auxiliary examinations. On ultrasound, SFTs appear to be oval or lobulated, well-defined hypoechoic lesions with central and peripheral vascularity. Mammography usually reveals a high-density round or oval mass with well-defined borders without calcification. The categorization according to the Breast Imaging-Reporting and Data System (8) was primarily category 2–4A using ultrasound and category 3–4A using mammography, which both indicated a <10% chance of malignancy. Magnetic resonance imaging generally shows a well-circumscribed oval tumor with geographic enhancement, and the time-intensity curve usually shows a rapid-plateau pattern (9). In addition, few patients with SFTs (<5%) have Doege-Potter syndrome, and exhibit refractory hypoglycemic syndrome owing to the overproduction of insulin-like growth factor-2 by large peritoneal or pleural SFTs (3). Paraneoplastic syndrome has not been observed in SFTs of the breast likely due to the rarity of the condition.

Based on its gross appearance, a breast SFT is a well-circumscribed, lobulated solid mass with or without hemorrhage and necrosis (3). Histological characteristics include the following: i) A mass composed of spindle cells arranged in a disorderly pattern accompanying the alteration of hypocellular and hypercellular areas; ii) a low mitotic count and the typical absence of tumor necrosis and nuclear pleomorphism; and iii) presence of characteristic branching staghorn vasculature, but mostly inconspicuous or altered by stromal hyalinization (3). The aforementioned histopathological patterns are not specific to SFTs, and the patterns cannot be used to distinguish SFTs from other mesenchymal tumors, including fibromatosis, inflammatory myofibroblastic tumors, reactive spindle cell nodules, nodular fasciitis, fibrosarcoma, spindle cell metaplastic carcinoma and myoepithelioma. Therefore, IHC analysis is necessary for a definitive diagnosis.

Immunohistochemically, CD34, nuclear β-catenin and Bcl-2 are the most consistent markers in breast SFTs. The sensitivity range of nuclear β-catenin expression is 33–40% (10,11). Although the sensitivities of CD34 and Bcl-2 in breast SFTs are >95%, these markers lack specificity, and positive staining results are limited in mesenchymal tumors, including myofibroblastomas and spindle cell lipomas (3,4). In addition, actin, desmin and smooth muscle actin are not expressed in breast SFTs (3,4).

Along with the development of molecular techniques, detection of NAB2-STAT6 fusion, the defining driver mutation, is possible (12–14). However, the sensitivity of the NAB2-STAT6 fusion varies in different studies (range, 55–100%) depending on the molecular techniques used, including next-generation sequencing, fluorescence in situ hybridization probing and reverse transcription PCR (15,16). The varying sensitivity may be attributed to the small size of the chromosomal inversion, which is not detected by most break-apart clinical fluorescence in situ hybridization probes or multiple breakpoints of NAB2-STAT6, with multiplex PCR being required for ensuring accuracy (3). Therefore, NAB2-STAT6 fusion is not required for the diagnosis of an SFT.

STAT6 is another important marker of an SFT. Previous studies have shown that a nuclear C-terminus of STAT6 (as observed by IHC staining) can lead to good diagnostic performance, with sensitivity and specificity of 98 and >85%, respectively, for SFTs (17,18). In addition, positive nuclear STAT6 immunoreactivities were observed in all cases (3/3) of breast SFT, whereas in other spindle cell lesions, such as myofibroblastomas, desmoid-type fibromatosis, spindle cell metaplastic carcinomas, benign fibroblastic spindle cell tumors and pseudoangiomatous stromal hyperplasias, the expression of the C-terminal region of STAT6 was only focal, and weak cytoplasmic staining was observed (19). Therefore, in a clinical study, STAT6 IHC staining may be a reliable surrogate for the detection of the NAB2-STA6 fusion gene (20).

SFTs are divided into 3 categories: i) Benign (local disease); ii) not otherwise specified (rarely metastasis); and iii) malignant (4). The traditional criteria for malignant SFT include a mitotic rate of ≥4 per 10 HPFs, pleomorphism, necrosis and large tumor size (5). However, other risk factors, such as age and history of adjuvant radiation therapy have been shown to be related to metastasis and recurrence in patients with SFTs. These risk factors are integral, and no single factor has a predictive value for metastasis or recurrence. Therefore, multivariable models have been constructed for predicting metastasis, overall survival (OS) and progression-free survival (PFS) in patients with SFTs.

The Demicco Score, which incorporates mitotic activity, patient age and tumor size to predict the risk of metastasis, is the most used and validated system for the risk stratification of non-meningeal SFTs (21). The modified Demicco Score (developed in 2017) adds tumor necrosis to the previously included risk factors, yielding a total score of 7. Based on this, SFTs can be divided into three groups according to the modified Demicco score: Low-, intermediate- and high-risk SFTs (22). The modified Demicco Score was primarily used to predict the metastasis of soft-tissue and pleural SFTs, and may help improve the treatment strategy for high-risk SFTs (22). However, the use of the modified Demicco score in predicting local recurrence has not been demonstrated. Therefore, other models should be used for predicting local recurrence. The Salas score system (23), developed by the French Sarcoma Group, is a frequently used model for predicting local recurrence in SFT. The risk factors include patient age, site and history of radiotherapy. Patients with SFT were divided into four groups according to the Salas score: Low-, intermediate- and high-risk SFTs (23). However, there are no specific risk models for breast SFTs owing to the paucity of incidence.

Due to the low incidence of SFTs and the paucity of randomized control trials on this tumor type, the treatment strategy varies according to the tumor location. Therefore, multidisciplinary teams consisting of clinical and radiation oncologists, surgeons and pathologists are formed to determine the best individualized therapeutic strategy.

Complete en-bloc surgical resection is the mainstay of SFT treatment, including breast SFT treatment. Similar to the treatment approach followed for primary SFTs in other locations, the goal of surgical management is to resect the tumor and obtain adequate negative margins. Concurrently, surgical management can help preserve critical surrounding organs. According to previous case reports (6,24), 31/33 patients (93.9%) underwent complete surgical resection and showed a negative margin, whereas 2 patients underwent mastectomy during the primary surgery. However, despite R0 margins, 2 patients (6.3%) with breast SFTs showed recurrence and required a second surgery; one malignant tumor was removed using mastectomy and a second benign tumor was resected with a negative margin (24,25). The 5- and 10-year OS rates of re-resection in cases of local recurrence were 86 and 77%, respectively (26). Therefore, complete surgical resection is the primary approach in breast SFTs, with procedures similar to those used in other breast surgeries.

Radiotherapy has not been performed for breast SFTs to date. However, adjuvant radiotherapy was shown to reduce the local recurrence of high-risk SFTs in other locations, including pleural, intracranial and spinal locations, according to the Salas score system (27). Nevertheless, local recurrence control in response to adjuvant therapy did not lead to an improvement in OS (27). For patients with locally advanced or metastatic SFTs, definitive radiotherapy yielded an objective response rate (ORR) of 67% (28). Therefore, radiotherapy was a supplementary treatment to surgery, especially in patients with high-risk local recurrence and metastatic breast SFTs.

Evidence supporting the use of adjuvant chemotherapy or neoadjuvant chemotherapy for treating breast SFTs is yet to be reported. Some retrospective studies (29–32) assessed the effectiveness of adjuvant chemotherapy with a doxorubicin-based regimen or anthracycline-based regimen in SFTs in the pleura, pelvis, meninges, limb, visceral organs, spine, peritoneum and mediastinum. The effectiveness of chemotherapy varied, and most studies reported a low to questionable ORR (29,30,32). Chemotherapy may be suitable for unresectable lung metastases or extrapulmonary metastatic disease; however, a standard chemical drug regimen has not been established. According to results from small case series and retrospective studies (29–33), an anthracycline-based regimen yielded an ORR range of 0–20%, and the stable disease range was 26–65%, with a mPFS range of 4–5.2 months and a mOS range of 11.5-14.6 months. Other drugs such as ifosfamide and trabectedin are effective for metastatic SFTs (34,35). Even in the absence of a formal gold standard, anthracycline is the first-line therapy, followed by ifosfamide and dacarbazine as second-line therapeutics for patients with metastatic SFTs, including breast SFTs.

Owing to the low effectiveness of chemotherapy, some targeted therapeutic drugs for metastatic SFTS have been studied (36–39). The inhibition of angiogenesis pathways using the antiangiogenic agents sunitinib, sorafenib and pazopanib may be a suitable alternative therapeutic method for inhibiting tumor metastasis (37–39). According to findings from previous phase I and phase II trials, the ORR range was 0–87% with a mPFS range of 4.7-9.7 months when antiangiogenic agents were used for treatment (37–39). Based on these results, antiangiogenic agents are prescribed in subsequent treatments if chemotherapy resistance is observed in patients with metastatic SFT.

Owing to late relapse of 10–20 years after initial presentation (40,41), continued long-term follow-up is essential for SFTs, including breast SFTs, after surgical resection due to the indolent nature and the potential for the late recurrence of SFTs (40,41). Regular surveillance can help identify local recurrence and metastatic disease at an early stage and assist with receipt of early therapy. According to previous case reports, the local recurrence of breast SFTs is 6.1% (2/33), and the monitoring time range from surgery is 6–18 months. There are no reports on the metastasis of breast SFTs likely due to the low incidence and short follow-up time. A study performed by the MD Anderson Cancer Center (20) showed that patients with stronger risk factors, including age >55 years, mitotic figures >4/10 HPFs and tumors >15 cm, need closer surveillance. Based on findings from other breast tumors, the recommended frequency of surveillance is every 3 months for the first 2 years after surgery, every 6 months for years 2–5 after surgery and then at 5 years after the surgery.

Owing to the low morbidity of breast SFTs and the availability of only retrospective data from case reports, extensive research is needed on the condition. First, the molecular mechanism underlying SFT development needs to be studied to identify novel signaling pathways. Novel target therapies may lead to high clinical effectiveness. Based on the low effectiveness of traditional drugs, immunotherapy is another promising approach for SFT treatment. To develop the most effective treatment strategy, prospective, randomized and double-blinded studies may be performed.

Acknowledgements

Not applicable.

Funding

Funding: No funding was received.

Availability of data and materials

All data generated or analyzed during this study are included in this published article.

Authors' contributions

YHW and XLS conceived the study. YHW, LQW and JNH completed the surgery. LQW, JNH, XPL, HMS, and XMS collected and analyzed the data. YHW wrote the manuscript. XMS and XLS revised the manuscript. YHW and XLS confirm the authenticity of all the raw data. All authors read and approved the final version of the manuscript.

Ethics approval and consent to participate

The present study was approved by the Ethics Committee of Weifang People's Hospital.

Patient consent for publication

The patient provided written informed consent for publication.

Competing interests

The authors declare that they have no competing interests.

Glossary

Abbreviations

Abbreviations:

SFT

solitary fibrous tumor

OS

overall survival

PFS

progression-free survival

References

1 

Klemperer P and Coleman BR: Primary neoplasms of the pleura. A report of five cases. Am J Ind Med. 22:1–31. 1992. View Article : Google Scholar : PubMed/NCBI

2 

Kinslow CJ and Wang TJC: Incidence of extrameningeal solitary fibrous tumors. Cancer. 126:40672020. View Article : Google Scholar : PubMed/NCBI

3 

Kazazian K, Demicco EG, de Perrot M, Strauss D and Swallow CJ: Toward better understanding and management of solitary fibrous tumor. Surg Oncol Clin N Am. 31:459–483. 2022. View Article : Google Scholar : PubMed/NCBI

4 

Chmielecki J, Crago AM, Rosenberg M, O'Connor R, Walker SR, Ambrogio L, Auclair D, McKenna A, Heinrich MC, Frank DA and Meyerson M: Whole-exome sequencing identifies a recurrent NAB2-STAT6 fusion in solitary fibrous tumors. Nat Genet. 45:131–132. 2013. View Article : Google Scholar : PubMed/NCBI

5 

England DM, Hochholzer L and McCarthy MJ: Localized benign and malignant fibrous tumors of the pleura. A clinicopathologic review of 223 cases. Am J Surg Pathol. 13:640–658. 1989. View Article : Google Scholar : PubMed/NCBI

6 

Kawaguchi S, Kinowaki K, Tamura N, Nishikawa A, Shibata A, Tanaka K, Kobayashi Y, Ogura T, Sato J and Kawabata H: Solitary fibrous tumor of male breast: A case report and literature review. Medicine (Baltimore). 101:e321992022. View Article : Google Scholar : PubMed/NCBI

7 

Jung MJ, Alrahwan D, Dubrovsky E, Baek D, Ayala AG and Ro JY: Solitary fibrous tumor of breast with anaplastic areas (Malignant Solitary Fibrous Tumor): A case report with review of literature. J Breast Cancer. 22:326–335. 2019. View Article : Google Scholar : PubMed/NCBI

8 

Spak DA, Plaxco JS, Santiago L, Dryden MJ and Dogan BE: BI-RADS® fifth edition: A summary of changes. Diagn Interv Imaging. 98:179–190. 2017. View Article : Google Scholar : PubMed/NCBI

9 

Dubois C, Nika E, Hoffmann P, Delouche A, Michy T and Philippe AC: Solitary fibrous tumor of the breast: A rare entity. Breast J. 26:289–290. 2020. View Article : Google Scholar : PubMed/NCBI

10 

Barthelmeß S, Geddert H, Boltze C, Moskalev EA, Bieg M, Sirbu H, Brors B, Wiemann S, Hartmann A, Agaimy A and Haller F: Solitary fibrous tumors/hemangiopericytomas with different variants of the NAB2-STAT6 gene fusion are characterized by specific histomorphology and distinct clinicopathological features. Am J Pathol. 184:1209–1218. 2014. View Article : Google Scholar

11 

Kallen ME and Hornick JL: The 2020 WHO Classification: What's new in soft tissue tumor pathology? Am J Surg Pathol. 45:e1–e23. 2021. View Article : Google Scholar : PubMed/NCBI

12 

Mohajeri A, Tayebwa J, Collin A, Nilsson J, Magnusson L, von Steyern FV, Brosjö O, Domanski HA, Larsson O, Sciot R, et al: Comprehensive genetic analysis identifies a pathognomonic NAB2/STAT6 fusion gene, nonrandom secondary genomic imbalances, and a characteristic gene expression profile in solitary fibrous tumor. Genes Chromosomes Cancer. 52:873–886. 2013. View Article : Google Scholar : PubMed/NCBI

13 

Vogels RJ, Vlenterie M, Versleijen-Jonkers YM, Ruijter E, Bekers EM, Verdijk MA, Link MM, Bonenkamp JJ, van der Graaf WT, Slootweg PJ, et al: Solitary fibrous tumor-clinicopathologic, immunohistochemical and molecular analysis of 28 cases. Diagn Pathol. 9:2242014. View Article : Google Scholar : PubMed/NCBI

14 

Fritchie KJ, Jin L, Rubin BP, Burger PC, Jenkins SM, Barthelmeß S, Moskalev EA, Haller F, Oliveira AM and Giannini C: NAB2-STAT6 Gene fusion in meningeal hemangiopericytoma and solitary fibrous tumor. J Neuropathol Exp Neurol. 75:263–271. 2016. View Article : Google Scholar : PubMed/NCBI

15 

Schweizer L, Koelsche C, Sahm F, Piro RM, Capper D, Reuss DE, Pusch S, Habel A, Meyer J, Göck T, et al: Meningeal hemangiopericytoma and solitary fibrous tumors carry the NAB2-STAT6 fusion and can be diagnosed by nuclear expression of STAT6 protein. Acta Neuropathol. 125:651–658. 2013. View Article : Google Scholar : PubMed/NCBI

16 

Demicco EG, Harms PW, Patel RM, Smith SC, Ingram D, Torres K, Carskadon SL, Camelo-Piragua S, McHugh JB, Siddiqui J, et al: Extensive survey of STAT6 expression in a large series of mesenchymal tumors. Am J Clin Pathol. 143:672–682. 2015. View Article : Google Scholar : PubMed/NCBI

17 

Vivero M, Doyle LA, Fletcher CD, Mertens F and Hornick JL: GRIA2 is a novel diagnostic marker for solitary fibrous tumour identified through gene expression profiling. Histopathology. 65:71–80. 2014. View Article : Google Scholar : PubMed/NCBI

18 

Magro G, Spadola S, Motta F, Palazzo J, Catalano F, Vecchio GM and Salvatorelli L: STAT6 expression in spindle cell lesions of the breast: An immunohistochemical study of 48 cases. Pathol Res Pract. 214:1544–1549. 2018. View Article : Google Scholar : PubMed/NCBI

19 

Doyle LA, Vivero M, Fletcher CD, Mertens F and Hornick JL: Nuclear expression of STAT6 distinguishes solitary fibrous tumor from histologic mimics. Mod Pathol. 27:390–395. 2014. View Article : Google Scholar : PubMed/NCBI

20 

Demicco EG, Park MS, Araujo DM, Fox PS, Bassett RL, Pollock RE, Lazar AJ and Wang WL: Solitary fibrous tumor: A clinicopathological study of 110 cases and proposed risk assessment model. Mod Pathol. 25:1298–1306. 2012. View Article : Google Scholar : PubMed/NCBI

21 

Demicco EG, Wagner MJ, Maki RG, Gupta V, Iofin I, Lazar AJ and Wang WL: Risk assessment in solitary fibrous tumors: Validation and refinement of a risk stratification model. Mod Pathol. 30:1433–1442. 2017. View Article : Google Scholar : PubMed/NCBI

22 

Demicco EG, Griffin AM, Gladdy RA, Dickson BC, Ferguson PC, Swallow CJ, Wunder JS and Wang WL: Comparison of published risk models for prediction of outcome in patients with extrameningeal solitary fibrous tumour. Histopathology. 75:723–737. 2019. View Article : Google Scholar : PubMed/NCBI

23 

Salas S, Resseguier N, Blay JY, Le Cesne A, Italiano A, Chevreau C, Rosset P, Isambert N, Soulie P, Cupissol D, et al: Prediction of local and metastatic recurrence in solitary fibrous tumor: Construction of a risk calculator in a multicenter cohort from the French Sarcoma Group (FSG) database. Ann Oncol. 28:1979–1987. 2017. View Article : Google Scholar : PubMed/NCBI

24 

Nitta T, Kimura K, Tominaga T, Ikari A, Takashima Y, Hirata A, Takeshita A, Ishibashi T and Iwamoto M: Malignant solitary fibrous tumor of the breast. Breast J. 27:391–393. 2021. View Article : Google Scholar : PubMed/NCBI

25 

Lahon B, Mercier O, Fadel E, Ghigna MR, Petkova B, Mussot S, Fabre D, Le Chevalier T and Dartevelle P: Solitary fibrous tumor of the pleura: Outcomes of 157 complete resections in a single center. Ann Thorac Surg. 94:394–400. 2012. View Article : Google Scholar : PubMed/NCBI

26 

Haas RL, Walraven I, Lecointe-Artzner E, van Houdt WJ, Strauss D, Schrage Y, Hayes AJ, Raut CP, Fairweather M, Baldini EH, et al: Extrameningeal solitary fibrous tumors-surgery alone or surgery plus perioperative radiotherapy: A retrospective study from the global solitary fibrous tumor initiative in collaboration with the Sarcoma Patients EuroNet. Cancer. 126:3002–3012. 2020. View Article : Google Scholar : PubMed/NCBI

27 

Haas RL, Walraven I, Lecointe-Artzner E, Scholten AN, van Houdt WJ, Griffin AM, Ferguson PC, Miah AB, Zaidi S, DeLaney TF, et al: Radiation therapy as sole management for solitary fibrous tumors (SFT): A Retrospective study from the global SFT initiative in collaboration with the sarcoma patients EuroNet. Int J Radiat Oncol Biol Phys. 101:1226–1233. 2018. View Article : Google Scholar : PubMed/NCBI

28 

de Bernardi A, Dufresne A, Mishellany F, Blay JY, Ray-Coquard I and Brahmi M: Novel therapeutic options for solitary fibrous tumor: Antiangiogenic therapy and Beyond. Cancers (Basel). 14:10642022. View Article : Google Scholar : PubMed/NCBI

29 

Park MS, Ravi V, Conley A, Patel SR, Trent JC, Lev DC, Lazar AJ, Wang WL, Benjamin RS and Araujo DM: The role of chemotherapy in advanced solitary fibrous tumors: A retrospective analysis. Clin Sarcoma Res. 3:72013. View Article : Google Scholar : PubMed/NCBI

30 

Stacchiotti S, Libertini M, Negri T, Palassini E, Gronchi A, Fatigoni S, Poletti P, Vincenzi B, Dei Tos AP, Mariani L, et al: Response to chemotherapy of solitary fibrous tumour: A retrospective study. Eur J Cancer. 49:2376–2383. 2013. View Article : Google Scholar : PubMed/NCBI

31 

Constantinidou A, Jones RL, Olmos D, Thway K, Fisher C, Al-Muderis O and Judson I: Conventional anthracycline-based chemotherapy has limited efficacy in solitary fibrous tumour. Acta Oncol. 51:550–554. 2012. View Article : Google Scholar : PubMed/NCBI

32 

Levard A, Derbel O, Meeus P, Ranchère D, Ray-Coquard I, Blay JY and Cassier PA: Outcome of patients with advanced solitary fibrous tumors: The Centre Leon Berard experience. BMC Cancer. 13:1092013. View Article : Google Scholar : PubMed/NCBI

33 

Stacchiotti S, Tortoreto M, Bozzi F, Tamborini E, Morosi C, Messina A, Libertini M, Palassini E, Cominetti D, Negri T, et al: Dacarbazine in solitary fibrous tumor: A case series analysis and preclinical evidence vis-a-vis temozolomide and antiangiogenics. Clin Cancer Res. 19:5192–5201. 2013. View Article : Google Scholar : PubMed/NCBI

34 

Schoffski P, Timmermans I, Hompes D, Stas M, Sinnaeve F, De Leyn P, Coosemans W, Van Raemdonck D, Hauben E, Sciot R, et al: Clinical presentation, natural history, and therapeutic approach in patients with solitary fibrous tumor: A retrospective analysis. Sarcoma. 2020:13859782020. View Article : Google Scholar : PubMed/NCBI

35 

Outani H, Kobayashi E, Wasa J, Saito M, Takenaka S, Hayakawa K, Endo M, Takeuchi A, Kobayashi H, Kito M, et al: Clinical Outcomes of Patients with Metastatic Solitary Fibrous Tumors: A Japanese Musculoskeletal Oncology Group (JMOG) Multiinstitutional Study. Ann Surg Oncol. 28:3893–3901. 2021. View Article : Google Scholar : PubMed/NCBI

36 

De Pas T, Toffalorio F, Colombo P, Trifirò G, Pelosi G, Vigna PD, Manzotti M, Agostini M and de Braud F: Brief report: Activity of imatinib in a patient with platelet-derived-growth-factor receptor positive malignant solitary fibrous tumor of the pleura. J Thorac Oncol. 3:938–941. 2008. View Article : Google Scholar : PubMed/NCBI

37 

George S, Merriam P, Maki RG, Van den Abbeele AD, Yap JT, Akhurst T, Harmon DC, Bhuchar G, O'Mara MM, D'Adamo DR, et al: Multicenter phase II trial of sunitinib in the treatment of nongastrointestinal stromal tumor sarcomas. J Clin Oncol. 27:3154–3160. 2009. View Article : Google Scholar : PubMed/NCBI

38 

Valentin T, Fournier C, Penel N, Bompas E, Chaigneau L, Isambert N and Chevreau C: Sorafenib in patients with progressive malignant solitary fibrous tumors: A subgroup analysis from a phase II study of the French Sarcoma Group (GSF/GETO). Invest New Drugs. 31:1626–1627. 2013. View Article : Google Scholar : PubMed/NCBI

39 

Stacchiotti S, Negri T, Palassini E, Conca E, Gronchi A, Morosi C, Messina A, Pastorino U, Pierotti MA, Casali PG and Pilotti S: Sunitinib malate and figitumumab in solitary fibrous tumor: Patterns and molecular bases of tumor response. Mol Cancer Ther. 9:1286–1297. 2010. View Article : Google Scholar : PubMed/NCBI

40 

Gholami S, Cassidy MR, Kirane A, Kuk D, Zanchelli B, Antonescu CR, Singer S and Brennan M: Size and location are the most important risk factors for malignant behavior in resected solitary fibrous tumors. Ann Surg Oncol. 24:3865–3871. 2017. View Article : Google Scholar : PubMed/NCBI

41 

Kayani B, Sharma A, Sewell MD, Platinum J, Olivier A, Briggs TWR and Eastwood DM: A review of the surgical management of extrathoracic solitary fibrous tumors. Am J Clin Oncol. 41:687–694. 2018. View Article : Google Scholar : PubMed/NCBI

Related Articles

  • Abstract
  • View
  • Download
  • Twitter
Copy and paste a formatted citation
Spandidos Publications style
Wang Y, Wang L, Huang J, Liu X, Sun H, Sui X and Sun X: A giant breast malignant solitary fibrous tumor: A rare case report and brief review. Oncol Lett 25: 249, 2023.
APA
Wang, Y., Wang, L., Huang, J., Liu, X., Sun, H., Sui, X., & Sun, X. (2023). A giant breast malignant solitary fibrous tumor: A rare case report and brief review. Oncology Letters, 25, 249. https://doi.org/10.3892/ol.2023.13835
MLA
Wang, Y., Wang, L., Huang, J., Liu, X., Sun, H., Sui, X., Sun, X."A giant breast malignant solitary fibrous tumor: A rare case report and brief review". Oncology Letters 25.6 (2023): 249.
Chicago
Wang, Y., Wang, L., Huang, J., Liu, X., Sun, H., Sui, X., Sun, X."A giant breast malignant solitary fibrous tumor: A rare case report and brief review". Oncology Letters 25, no. 6 (2023): 249. https://doi.org/10.3892/ol.2023.13835
Copy and paste a formatted citation
x
Spandidos Publications style
Wang Y, Wang L, Huang J, Liu X, Sun H, Sui X and Sun X: A giant breast malignant solitary fibrous tumor: A rare case report and brief review. Oncol Lett 25: 249, 2023.
APA
Wang, Y., Wang, L., Huang, J., Liu, X., Sun, H., Sui, X., & Sun, X. (2023). A giant breast malignant solitary fibrous tumor: A rare case report and brief review. Oncology Letters, 25, 249. https://doi.org/10.3892/ol.2023.13835
MLA
Wang, Y., Wang, L., Huang, J., Liu, X., Sun, H., Sui, X., Sun, X."A giant breast malignant solitary fibrous tumor: A rare case report and brief review". Oncology Letters 25.6 (2023): 249.
Chicago
Wang, Y., Wang, L., Huang, J., Liu, X., Sun, H., Sui, X., Sun, X."A giant breast malignant solitary fibrous tumor: A rare case report and brief review". Oncology Letters 25, no. 6 (2023): 249. https://doi.org/10.3892/ol.2023.13835
Follow us
  • Twitter
  • LinkedIn
  • Facebook
About
  • Spandidos Publications
  • Careers
  • Cookie Policy
  • Privacy Policy
How can we help?
  • Help
  • Live Chat
  • Contact
  • Email to our Support Team