Spandidos Publications Logo
  • About
    • About Spandidos
    • Aims and Scopes
    • Abstracting and Indexing
    • Editorial Policies
    • Reprints and Permissions
    • Job Opportunities
    • Terms and Conditions
    • Contact
  • Journals
    • All Journals
    • Oncology Letters
      • Oncology Letters
      • Information for Authors
      • Editorial Policies
      • Editorial Board
      • Aims and Scope
      • Abstracting and Indexing
      • Bibliographic Information
      • Archive
    • International Journal of Oncology
      • International Journal of Oncology
      • Information for Authors
      • Editorial Policies
      • Editorial Board
      • Aims and Scope
      • Abstracting and Indexing
      • Bibliographic Information
      • Archive
    • Molecular and Clinical Oncology
      • Molecular and Clinical Oncology
      • Information for Authors
      • Editorial Policies
      • Editorial Board
      • Aims and Scope
      • Abstracting and Indexing
      • Bibliographic Information
      • Archive
    • Experimental and Therapeutic Medicine
      • Experimental and Therapeutic Medicine
      • Information for Authors
      • Editorial Policies
      • Editorial Board
      • Aims and Scope
      • Abstracting and Indexing
      • Bibliographic Information
      • Archive
    • International Journal of Molecular Medicine
      • International Journal of Molecular Medicine
      • Information for Authors
      • Editorial Policies
      • Editorial Board
      • Aims and Scope
      • Abstracting and Indexing
      • Bibliographic Information
      • Archive
    • Biomedical Reports
      • Biomedical Reports
      • Information for Authors
      • Editorial Policies
      • Editorial Board
      • Aims and Scope
      • Abstracting and Indexing
      • Bibliographic Information
      • Archive
    • Oncology Reports
      • Oncology Reports
      • Information for Authors
      • Editorial Policies
      • Editorial Board
      • Aims and Scope
      • Abstracting and Indexing
      • Bibliographic Information
      • Archive
    • Molecular Medicine Reports
      • Molecular Medicine Reports
      • Information for Authors
      • Editorial Policies
      • Editorial Board
      • Aims and Scope
      • Abstracting and Indexing
      • Bibliographic Information
      • Archive
    • World Academy of Sciences Journal
      • World Academy of Sciences Journal
      • Information for Authors
      • Editorial Policies
      • Editorial Board
      • Aims and Scope
      • Abstracting and Indexing
      • Bibliographic Information
      • Archive
    • International Journal of Functional Nutrition
      • International Journal of Functional Nutrition
      • Information for Authors
      • Editorial Policies
      • Editorial Board
      • Aims and Scope
      • Abstracting and Indexing
      • Bibliographic Information
      • Archive
    • International Journal of Epigenetics
      • International Journal of Epigenetics
      • Information for Authors
      • Editorial Policies
      • Editorial Board
      • Aims and Scope
      • Abstracting and Indexing
      • Bibliographic Information
      • Archive
    • Medicine International
      • Medicine International
      • Information for Authors
      • Editorial Policies
      • Editorial Board
      • Aims and Scope
      • Abstracting and Indexing
      • Bibliographic Information
      • Archive
  • Articles
  • Information
    • Information for Authors
    • Information for Reviewers
    • Information for Librarians
    • Information for Advertisers
    • Conferences
  • Language Editing
Spandidos Publications Logo
  • About
    • About Spandidos
    • Aims and Scopes
    • Abstracting and Indexing
    • Editorial Policies
    • Reprints and Permissions
    • Job Opportunities
    • Terms and Conditions
    • Contact
  • Journals
    • All Journals
    • Biomedical Reports
      • Information for Authors
      • Editorial Policies
      • Editorial Board
      • Aims and Scope
      • Abstracting and Indexing
      • Bibliographic Information
      • Archive
    • Experimental and Therapeutic Medicine
      • Information for Authors
      • Editorial Policies
      • Editorial Board
      • Aims and Scope
      • Abstracting and Indexing
      • Bibliographic Information
      • Archive
    • International Journal of Epigenetics
      • Information for Authors
      • Editorial Policies
      • Editorial Board
      • Aims and Scope
      • Abstracting and Indexing
      • Bibliographic Information
      • Archive
    • International Journal of Functional Nutrition
      • Information for Authors
      • Editorial Policies
      • Editorial Board
      • Aims and Scope
      • Abstracting and Indexing
      • Bibliographic Information
      • Archive
    • International Journal of Molecular Medicine
      • Information for Authors
      • Editorial Policies
      • Editorial Board
      • Aims and Scope
      • Abstracting and Indexing
      • Bibliographic Information
      • Archive
    • International Journal of Oncology
      • Information for Authors
      • Editorial Policies
      • Editorial Board
      • Aims and Scope
      • Abstracting and Indexing
      • Bibliographic Information
      • Archive
    • Medicine International
      • Information for Authors
      • Editorial Policies
      • Editorial Board
      • Aims and Scope
      • Abstracting and Indexing
      • Bibliographic Information
      • Archive
    • Molecular and Clinical Oncology
      • Information for Authors
      • Editorial Policies
      • Editorial Board
      • Aims and Scope
      • Abstracting and Indexing
      • Bibliographic Information
      • Archive
    • Molecular Medicine Reports
      • Information for Authors
      • Editorial Policies
      • Editorial Board
      • Aims and Scope
      • Abstracting and Indexing
      • Bibliographic Information
      • Archive
    • Oncology Letters
      • Information for Authors
      • Editorial Policies
      • Editorial Board
      • Aims and Scope
      • Abstracting and Indexing
      • Bibliographic Information
      • Archive
    • Oncology Reports
      • Information for Authors
      • Editorial Policies
      • Editorial Board
      • Aims and Scope
      • Abstracting and Indexing
      • Bibliographic Information
      • Archive
    • World Academy of Sciences Journal
      • Information for Authors
      • Editorial Policies
      • Editorial Board
      • Aims and Scope
      • Abstracting and Indexing
      • Bibliographic Information
      • Archive
  • Articles
  • Information
    • For Authors
    • For Reviewers
    • For Librarians
    • For Advertisers
    • Conferences
  • Language Editing
Login Register Submit
  • This site uses cookies
  • You can change your cookie settings at any time by following the instructions in our Cookie Policy. To find out more, you may read our Privacy Policy.

    I agree
Search articles by DOI, keyword, author or affiliation
Search
Advanced Search
presentation
Oncology Letters
Join Editorial Board Propose a Special Issue
Print ISSN: 1792-1074 Online ISSN: 1792-1082
Journal Cover
June-2023 Volume 25 Issue 6

Full Size Image

Sign up for eToc alerts
Recommend to Library

Journals

International Journal of Molecular Medicine

International Journal of Molecular Medicine

International Journal of Molecular Medicine is an international journal devoted to molecular mechanisms of human disease.

International Journal of Oncology

International Journal of Oncology

International Journal of Oncology is an international journal devoted to oncology research and cancer treatment.

Molecular Medicine Reports

Molecular Medicine Reports

Covers molecular medicine topics such as pharmacology, pathology, genetics, neuroscience, infectious diseases, molecular cardiology, and molecular surgery.

Oncology Reports

Oncology Reports

Oncology Reports is an international journal devoted to fundamental and applied research in Oncology.

Experimental and Therapeutic Medicine

Experimental and Therapeutic Medicine

Experimental and Therapeutic Medicine is an international journal devoted to laboratory and clinical medicine.

Oncology Letters

Oncology Letters

Oncology Letters is an international journal devoted to Experimental and Clinical Oncology.

Biomedical Reports

Biomedical Reports

Explores a wide range of biological and medical fields, including pharmacology, genetics, microbiology, neuroscience, and molecular cardiology.

Molecular and Clinical Oncology

Molecular and Clinical Oncology

International journal addressing all aspects of oncology research, from tumorigenesis and oncogenes to chemotherapy and metastasis.

World Academy of Sciences Journal

World Academy of Sciences Journal

Multidisciplinary open-access journal spanning biochemistry, genetics, neuroscience, environmental health, and synthetic biology.

International Journal of Functional Nutrition

International Journal of Functional Nutrition

Open-access journal combining biochemistry, pharmacology, immunology, and genetics to advance health through functional nutrition.

International Journal of Epigenetics

International Journal of Epigenetics

Publishes open-access research on using epigenetics to advance understanding and treatment of human disease.

Medicine International

Medicine International

An International Open Access Journal Devoted to General Medicine.

Journal Cover
June-2023 Volume 25 Issue 6

Full Size Image

Sign up for eToc alerts
Recommend to Library

  • Article
  • Citations
    • Cite This Article
    • Download Citation
    • Create Citation Alert
    • Remove Citation Alert
    • Cited By
  • Similar Articles
    • Related Articles (in Spandidos Publications)
    • Similar Articles (Google Scholar)
    • Similar Articles (PubMed)
  • Download PDF
  • Download XML
  • View XML
Case Report Open Access

Undifferentiated carcinoma with osteoclast‑like giant cells of the pancreas: A case report

  • Authors:
    • Haifeng Ran
    • Guiqin Chen
    • Yulun He
    • Qiane Yu
    • Yuxin Xie
    • Junwei Liu
    • Heng Liu
    • Tijiang Zhang
  • View Affiliations / Copyright

    Affiliations: Department of Radiology, Medical Imaging Center of Guizhou Province, The Affiliated Hospital of Zunyi Medical University, Zunyi, Guizhou 563000, P.R. China, Department of Radiology, Medical Imaging Center of Guizhou Province, The Affiliated Hospital of Zunyi Medical University, Zunyi, Guizhou 563000, P.R. China
    Copyright: © Ran et al. This is an open access article distributed under the terms of Creative Commons Attribution License.
  • Article Number: 252
    |
    Published online on: April 26, 2023
       https://doi.org/10.3892/ol.2023.13838
  • Expand metrics +
Metrics: Total Views: 0 (Spandidos Publications: | PMC Statistics: )
Metrics: Total PDF Downloads: 0 (Spandidos Publications: | PMC Statistics: )
Cited By (CrossRef): 0 citations Loading Articles...

This article is mentioned in:



Abstract

Undifferentiated carcinoma with osteoclast‑like giant cells of the pancreas (UCOGCP) is a rare pancreatic tumor that accounts for <1% of all primary pancreatic malignant tumors. Although the tumor is considered a variant of pancreatic ductal adenocarcinoma, there are substantial differences in the clinicopathological characteristics between UCOGCP and pancreatic ductal adenocarcinoma. Imaging examinations are useful in making a correct diagnosis, and providing a reasonable and effective surgical treatment regimen; however, the imaging characteristics of UCOGCP require further investigation. The present report describes a rare case of UCOGCP with rapid progression and poor prognosis. The patient could not undergo surgery and received chemotherapy drugs only. Chemotherapy did not markedly improve the outcome, and a follow‑up 6 months after discharge showed that the patient had died. The present report describes this case and summarizes the available imaging findings to increase awareness, and to improve early diagnosis of this rare disease and therapeutic outcomes.

Introduction

In pancreatic cancer, pancreatic undifferentiated carcinoma is a rare subtype, and in previous studies, the rate of pancreatic undifferentiated carcinoma varied between reported series from 0.1 to 0.7% (1,2), with an age-adjusted prevalence of 0.027/100000 persons (3). It has been divided into two categories based on the last WHO Classification: osteoclast-like giant cell carcinoma and pleomorphic giant cell carcinoma (4,5). Undifferentiated carcinoma with osteoclast-like giant cells (OGCs) of the pancreas (UCOGCP) accounts for less than 1% of all pancreatic malignancies, which is an aggressive malignant variant of pancreatic ductal adenocarcinoma and commonly encountered in middle-aged and elderly males (6–8). In contrast to pancreatic tumors without OGCs, UCOGCP can grow to a larger size and be accompanied by polypoid growth or cystic lesion (5); thus, it is frequently diagnosed at an advanced stage, which prevents effective resection. It is for this reason that the prognosis of the UCOGCP was initially thought worse than that of invasive ductal carcinoma (9). The initial clinical symptoms of UCOGCP are often atypical, making an accurate early diagnosis difficult and easily misdiagnosed. Early detection of the tumor is important for the improvement of outcomes, and effective tools are needed for this purpose, such as imaging examination, which serves a significant role in evaluating the location and nature of the tumor in a noninvasive manner, assisting clinicians in formulating and adjusting treatment plans. However, the clinical and imaging features of UCOGCP are poorly understood. Herein, we describe an exceedingly rare case of rapidly progressive UCOGCP to summarize the clinicopathological and radiologic features of this rare neoplasm and, consequently, raise awareness of early diagnosis.

Case report

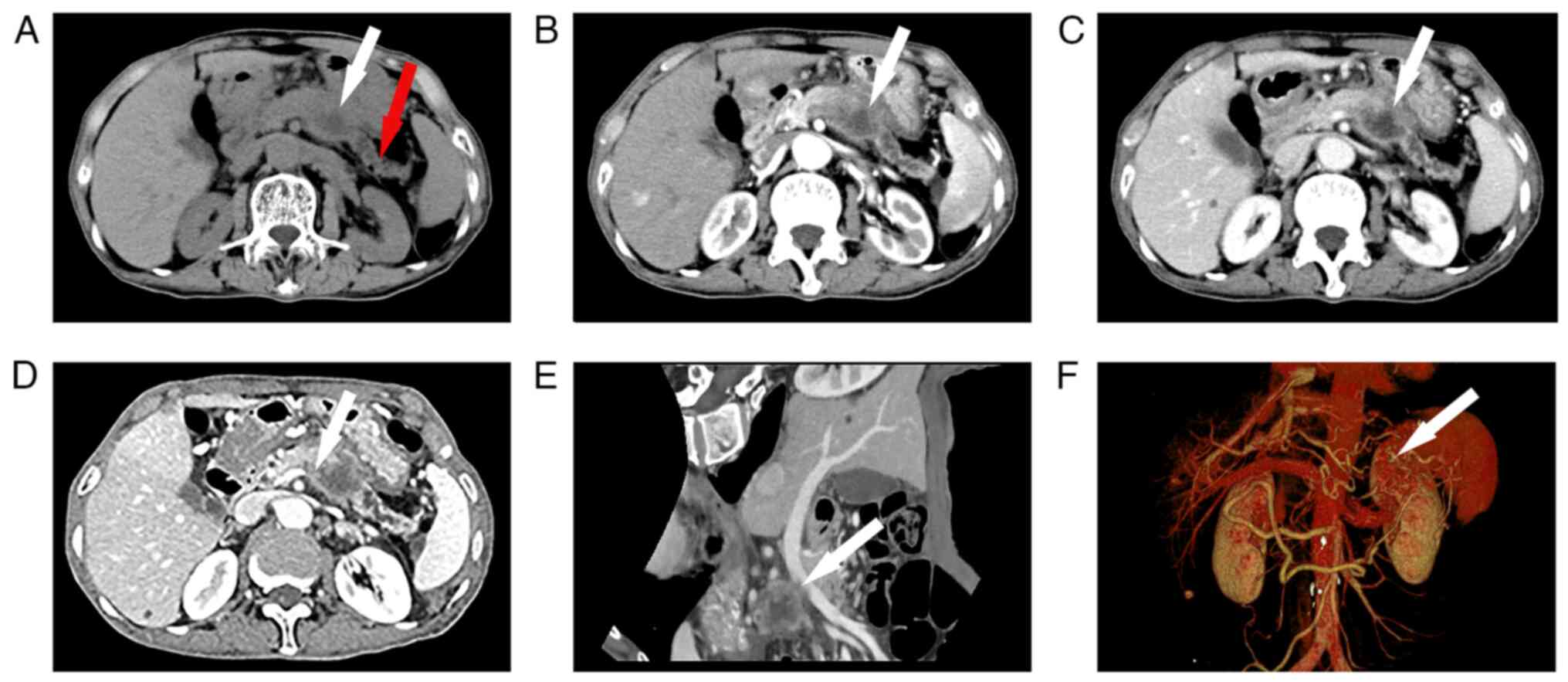
A 78-year-old male patient presented to our hospital with chronic intermittent pain in the left upper abdomen for one year and progressive aggravation for one month. The patient had been diagnosed with pancreatitis at a local hospital 1 year ago, and the pain symptoms were relieved after medical treatment. One month prior, he presented with marked left upper abdominal pain that increased while standing upright or walking. The patient had no history of trauma, high blood pressure, or diabetes, nor did he have a family history of pancreatic cancer. Physical examination revealed that his heart rate, body temperature and blood pressure were 87 bpm, 36.2°C, and 140/80 mmHg, respectively. The abdomen was soft and had left upper abdominal tenderness without abdominal muscle tension or rebound tenderness. Laboratory tests showed the following levels (reference range for normal): carbohydrate antigen 199 (CA199), serum amylase, and serum potassium levels were 1968 U/ml (0–37 U/ml), 332 U/L (35–135 U/L), and 3.1 mmol/l (3.5–5.5 mmol/l), respectively. Abdominal computed tomography (CT) revealed an irregular mass located in the pancreatic body and tail with no clear boundary, pancreatic body and tail atrophy, and the pancreatic duct dilation significantly. CT enhancement scan showed a central region with non-enhancement low-density but enhancement of the surrounding region of the tumor (Fig. 1A-C). On CT angiography, the structure of the splenic vein was not clearly displayed, and portal vein stenosis with portal hypertension (Fig. 1D-F). 18F-FDG (F-18-deoxyglucose) positron emission tomography (PET)/CT revealed a semisolid (cystic with solid fractions) mass measuring 4.5×3.5 cm on CT images with a maximum standardized uptake value of 7.9 in the pancreatic body (Fig. 2). Endoscopic ultrasonography (EUS) showed that the posterior wall of the upper portion of the gastric body was raised from the surface of the pancreas, revealing gastric varices (Fig. 3A). Ultrasonography showed an ill-defined hypoechoic mass lesion in the pancreatic body measuring 4.5×3.5 cm (Fig. 3B). Endoscopic ultrasound-guided tissue sampling for histological examination confirmed the presence of highly pleomorphic neoplastic cells and non-neoplastic osteoclast-like giant cells. Immunohistochemical staining revealed CD68 reactivity in OGCs, and the Ki-67 labeling index was 15% (Fig. 3C and D). Unfortunately, at the time of diagnosis, the patient's disease had advanced beyond the time of surgical intervention. According to the guidelines of the Chinese Society of Clinical Oncology, patients were treated with the following chemotherapy regimen: gemcitabine was administered on the first day and eighth day as an intravenous infusion over 30 min at a dose of 1200 mg, and tegafur, gimeracil, and oteracil potassium capsules were administered continuously at a dose of 80 mg/day orally for 14 consecutive days (3 weeks for a treatment course). Unfortunately, despite receiving chemotherapy, the patient showed a poor response to systemic chemotherapy because his condition quickly worsened, and he died 6 months after hospital discharge.

Figure 1.

(A) On the plain CT scan, a large mass with heterogeneous density and indistinct borders located in the pancreatic body (white arrow), and ductal dilatation of the main pancreatic duct (red arrow) were observed. Contrast-enhanced axial CT images showed the mass (white arrow) with heterogeneous enhancement in the (B) arterial and (C) venous phase. (D) CT angiography revealed the presence of obvious portal vein stenosis with portal hypertension (white arrow). (E) CT-multiplanar reconstruction of the portal vein indicated stenosis of the vascular lumen (white arrow). (F) Three-dimensional reconstruction showed a large amount of collateral circulation around the spleen (white arrow). CT, computed tomography.

Figure 2.

(A) Whole-body F-18-deoxyglucose PET, (B) axial F-18-deoxyglucose PET, (C) CT and (D) PET/CT fusion images showed a mass in the pancreatic body (black arrow), with increased radioactivity uptake (maximum standardized uptake value, 7.9). CT, computed tomography; PET, positron emission tomography.

Figure 3.

(A) Gastroscopy revealed a submucosal elevated lesion in the gastric body (white arrow heads). (B) Endoscopic ultrasound indicated a mass in the body of the pancreas (white arrow heads). (C) A mixture of highly pleomorphic neoplastic cells and non-neoplastic osteoclast-like giant cells was observed under a microscope (hematoxylin and eosin; magnification, ×20). (D) Immunohistochemical staining of CD68 was performed to assess the reactivity of osteoclast-like giant cells (magnification, ×20).

Discussion

Undifferentiated carcinoma of the pancreas (UCPs), also known as giant cell carcinoma, pleomorphic large cell carcinoma, or sarcomatous carcinoma, is a highly malignant tumor with poor prognosis (10). UCPs are arranged in two categories depending on the presence or absence of OGCs because OGCs may have different clinical features and affect the prognosis of patients (5). UCOGCP is an exceedingly rare non-endocrine tumor prevalent in elderly patients with no sex differences (11). The clinical findings are nonspecific, including weight loss, abdominal pain, a palpable mass, and fatigue, as they may also be present in nonmalignant infectious or inflammatory conditions as well as other types of cancers. Since the atypical imaging characteristics of these pancreatic lesions, it is challenging to make preoperative diagnosis, many cases reported in the literature were diagnosed after surgery (11).

UCOGCP is a unique variant of pancreatic ductal adenocarcinoma, and the histopathological and clinical features of UCOGCP was differ from those of normal ductal adenocarcinoma (12). Histologically, UCOGCP comprises three main cell types: multinucleated OGCs (non-neoplastic cells without cytologic atypia), mononuclear cells, and rapidly proliferating tumor cells. OGCs are mainly found in regions adjacent to hemorrhage or necrosis, and the existence of OGCs is the representative histological feature of UCOGCP. However, the origin of OGCs is controversial, and some cytological studies have shown that OGCs are of epithelial origin, suggesting that they may be involved in a metaplastic process (5). Immunohistochemically, it has been reported that some tumor cells in UCOGCP express vimentin, keratin, and p53-positive, while OGCs in UCOGCP were positive for vimentin and expression of CD68 but negative for keratin and p53 (10). The clinical findings can be summarized as follows: (I) there are no specific clinical symptoms, common symptoms include abdominal pain, weight loss, and fatigue, and gastrointestinal symptoms and jaundice have been reported occasionally; (II) the vast majority of reported cases showed masses larger than 3 cm, which suggests that the tumor tends to grow rapidly and cause hemorrhage, necrosis, or cystic degeneration; (III) the average age of onset is 60–70 years (8,13); (IV) UCOGCP can occur in any part of the pancreas but they are slightly more common in the tail and body. Among the serum tumor biomarkers, serum levels of CA199 were significantly increased in our case, which is different from those previously reported (8), suggesting that the specificity of preoperative CA199 may not be high and it is very limited in helping clinical diagnosis.

Imaging examinations, including CT, magnetic resonance imaging (MRI), EUS, and PET/CT, are essential and helpful for determining the correct preoperative diagnosis, and they assist in the development or modification of treatment strategies. However, there are currently very few reports on imaging findings of UCOGCP. In non-contrast CT scans, according to the components of the mass, UCOGCP appeared as solid, cystic-based, or mixed cystic-solid lesions with relatively clear margins, but it can also invade neighboring tissues and organs, thereby exhibiting poorly defined boundaries with surrounding tissues (14,15); also, cystic changes and intratumoral hemorrhage can be seen in larger lesions. On contrast-enhanced CT images, cystic lesions commonly exhibit slight peripheral enhancement, and the internal solid components of mixed cystic-solid lesions are continuously enhanced in the arterial, portal venous, and delayed phases; delayed enhancement style in enhanced CT scans has certain guiding significance for the differential diagnosis of pancreatic tumors, while a tumor manifests as cystic-solid performance, well-circumscribed, with calcification, and contrast-enhanced thick wall, thus, the possibility of a UCOGCP should be considered (15,16). Three-dimensional reconstruction CT techniques (3D CT) play an important role in assessing the spatial location and extent of a lesion, which is crucial for the success of a surgical procedure. In our case, using 3D CT technology, we were able to comprehensively evaluate the condition of the patient and the tumor progression. According to a literature review, on MRI, UCOGCP typically exhibits hypointense on T1-weighted imaging and T2-weighted imaging, and on diffusion-weighted imaging; a cystic component of UCOGCP was hyperintense on T2-weighted imaging, which played a certain role in distinguishing UCOGCP from other tumors (17). However, other tumor components, including hemosiderin, dense fibrosis, hyalinization, and necrotic calcification/ossification, may alter the MRI signal to cause difficulties in the differential diagnosis between UCOGCP and others (18,19). EUS has become an essential tool for clinical applications in oncology and is currently used for the rapid diagnosis and treatment of pancreatic cancer via ultrasound-guided needle biopsies of suspected tumors in patients who cannot undergo surgery (20). In addition, compared to other pancreatic malignancies, UCOGCP tends to be larger; thus, endoscopic ultrasound-guided fine-needle aspiration of tumors can be practical, safe, and provide high diagnostic accuracy (21). Abnormal metabolism is one of the most prominent characteristics of tumors, and PET/CT is very sensitive to alterations in local metabolism, has been widely used for diagnosis, staging, and therapeutic response assessment in oncology, and can detect neoplasms in the absence of marked anatomic changes. UCOGCP is often detected at an advanced stage; therefore, the tumor volume is usually large, and resection is not suitable. If detected in the early stages, the chances of cure by surgical resection may increase. Based on the literature, there have been few reports on the detection of UCOGCP using PET/CT, and the smallest lesion visualized using PET/CT was 1.0 cm (22). Therefore, a comprehensive consideration of the results of various imaging tests can assist in clinical evaluation and decision-making among validated treatment options and significantly improve patient outcomes.

To date, there is no standard treatment regimen for UCOGCP and the preferred treatment option is surgical resection. However, the primary tumor lesions in these patients tend to be relatively large, the surgical outcomes are unsatisfactory, and predicted survival is very short. Although a few patients achieve relatively long-term disease-free survival, the majority die because of rapid disease progression within one year after surgery (23,24). When surgery is not an option or the patient rejects surgery, chemotherapy may be an option. However, as there have not been many reports on this rare disease, there is no standard chemotherapy program for UCOGCP, and pancreatic cancer responds poorly to most chemotherapeutic agents (25). In our case, the patient had already lost the opportunity for surgical removal of the tumor and was forced to accept chemotherapy, but the prognosis is unfortunately still not very encouraging. Thus, a more in-depth investigation of how to improve treatment efficacy and choose the optimal treatment for patients is required.

UCOGCP must be differentiated from several other pancreatic tumors. Typically, pancreatic carcinomas are hypodense masses with mild enhancement, and serum levels of CA199 are often elevated. Solid pseudopapillary tumors of the pancreas are mostly found in young women and are commonly located in the pancreatic body and tail. A contrast-enhanced CT scan showed centripetal enhancement. Pancreatic serous cystadenomas often manifest as multilocular cystic masses with uneven walls and internal septation thickness on imaging. Other differential diagnoses include neuroendocrine tumors, pancreatic pseudocysts, and several other rare tumors (16). However, owing to the rarity and overlapping radiological features of these pancreatic tumors, it is difficult to make an accurate differential diagnosis.

Clinically, UCOGCP is rare and commonly found in middle-aged and elderly populations. The clinical symptoms of UCOGCP are not typical, and the major imaging findings of this tumor include a large mixed cystic and solid mass in the pancreas. Imaging examination, such as CT, PET/CT, EUS, can help to make early diagnosis, develop individualized treatment plans and improve the prognosis of patients with UCOGCP. However, a definitive diagnosis should be concluded based on pathological examinations. Since UCOGCP is commonly diagnosed and treated at an advanced stage, surgical treatment, radiotherapy, and chemotherapy may have difficulty achieving ideal therapeutic effects; thus, early diagnosis and intervention are crucial for the survival of patients with UCOGCP. In the future, studies with larger sample sizes are required to better understand UCOGCP.

Acknowledgements

Not applicable.

Funding

Funding: No funding was received.

Availability of data and materials

The datasets used and/or analyzed during the current study are available from the corresponding author on reasonable request.

Authors' contributions

HR, GC, HL and TZ conceived and designed the study. YH, QY, YX and JL made substantial contributions to acquisition of data, and analysis and interpretation of data. YH and QY confirm the authenticity of all the raw data. HR and GC drafted the manuscript. HL and TZ critically revised the manuscript for important intellectual content and gave final approval of the version to be published. All authors agreed to the journal to which the article was submitted and agreed to take responsibility for all aspects of the work. All authors have read and approved the final manuscript.

Ethics approval and consent to participate

The present study was approved by the Ethics Committee of Affiliated Hospital of Zunyi Medical University (ethical approval no. KLL-2022-777; Zunyi, China).

Patient consent for publication

Written informed consent was obtained from the patient for his information to be published in this case report.

Competing interests

The authors declare that they have no competing interests.

References

1 

Imaoka H, Ikeda M, Maehara K, Umemoto K, Ozaka M, Kobayashi S, Terashima T, Inoue H, Sakaguchi C, Tsuji K, et al: Risk stratification and prognostic factors in patients with unresectable undifferentiated carcinoma of the pancreas. Pancreatology. 21:738–745. 2021. View Article : Google Scholar : PubMed/NCBI

2 

Shiihara M, Higuchi R, Izumo W, Furukawa T and Yamamoto M: A comparison of the pathological types of undifferentiated carcinoma of the pancreas. Pancreas. 49:230–235. 2020. View Article : Google Scholar : PubMed/NCBI

3 

Clark CJ, Graham RP, Arun JS, Harmsen WS and Reid-Lombardo KM: Clinical outcomes for anaplastic pancreatic cancer: A population-based study. J Am Coll Surg. 215:627–634. 2012. View Article : Google Scholar : PubMed/NCBI

4 

Wang X, Miao J, Wang S, Shen R, Zhang S, Tian Y, Li M, Zhu D, Yao A, Bao W, et al: Single-cell RNA-seq reveals the genesis and heterogeneity of tumor microenvironment in pancreatic undifferentiated carcinoma with osteoclast-like giant-cells. Mol Cancer. 21:1332022. View Article : Google Scholar : PubMed/NCBI

5 

Nagtegaal ID, Odze RD, Klimstra D, Paradis V, Rugge M, Schirmacher P, Washington KM, Carneiro F and Cree IA; WHO Classification of Tumours Editorial Board, : The 2019 WHO classification of tumours of the digestive system. Histopathology. 76:182–188. 2020. View Article : Google Scholar : PubMed/NCBI

6 

Demetter P, Marechal R, Puleo F, Delhaye M, Debroux S, Charara F, Gomez Galdon M, Van Laethem JL and Verset L: Undifferentiated pancreatic carcinoma with osteoclast-like giant cells: What do we know so far? Front Oncol. 11:6300862021. View Article : Google Scholar : PubMed/NCBI

7 

Luchini C, Pea A, Lionheart G, Mafficini A, Nottegar A, Veronese N, Chianchiano P, Brosens LA, Noë M, Offerhaus GJA, et al: Pancreatic undifferentiated carcinoma with osteoclast-like giant cells is genetically similar to, but clinically distinct from, conventional ductal adenocarcinoma. J Pathol. 243:148–154. 2017. View Article : Google Scholar : PubMed/NCBI

8 

Gao HQ, Yang YM, Zhuang Y and Liu P: Locally advanced undifferentiated carcinoma with osteoclast-like giant cells of the pancreas. World J Gastroenterol. 21:694–698. 2015. View Article : Google Scholar : PubMed/NCBI

9 

Paal E, Thompson LD, Frommelt RA, Przygodzki RM and Heffess CS: A clinicopathologic and immunohistochemical study of 35 anaplastic carcinomas of the pancreas with a review of the literature. Ann Diagn Pathol. 5:129–140. 2001. View Article : Google Scholar : PubMed/NCBI

10 

Saito H, Kashiyama H, Murohashi T, Sasaki K, Misawa R and Ohwada S: Case of six-year disease-free survival with undifferentiated carcinoma of the pancreas. Case Rep Gastroenterol. 10:472–478. 2016. View Article : Google Scholar : PubMed/NCBI

11 

Yang KY, Choi JI, Choi MH, Park MY, Rha SE, Byun JY, Jung ES and Lall C: Magnetic resonance imaging findings of undifferentiated carcinoma with osteoclast-like giant cells of pancreas. Clin Imaging. 40:148–151. 2016. View Article : Google Scholar : PubMed/NCBI

12 

Jo S: Huge undifferentiated carcinoma of the pancreas with osteoclast-like giant cells. World J Gastroenterol. 20:2725–2730. 2014. View Article : Google Scholar : PubMed/NCBI

13 

Zhang L, Lee JM, Yoon JH, Joo I, Kang HJ, Han JK and Jeon SK: Huge and recurrent undifferentiated carcinoma with osteoclast-like giant cells of the pancreas. Quant Imaging Med Surg. 8:457–460. 2018. View Article : Google Scholar : PubMed/NCBI

14 

Jiang J and Luo J: Osteoclast-like giant cell undifferentiated carcinoma of the pancreas: A case report. Int J Clin Exp Pathol. 14:179–185. 2021.PubMed/NCBI

15 

Zhan K, Zhang S, Hu P, Chen J, Liu W and Niu Z: Undifferentiated carcinoma of the pancreas with osteoclast like giant cells: Literature review with CT/MR imaging findings in 3 cases. Radiol Case Rep. 17:2529–2533. 2022. View Article : Google Scholar : PubMed/NCBI

16 

Gao Y, Cai B, Yin L, Song G, Lu Z, Guo F, Chen J, Xi C, Wei J, Wu J, et al: Undifferentiated carcinoma of pancreas with osteoclast-like giant cells: One center's experience of 13 cases and characteristic pre-operative images. Cancer Manag Res. 14:1409–1419. 2022. View Article : Google Scholar : PubMed/NCBI

17 

Fukukura Y, Kumagae Y, Hirahara M, Hakamada H, Nagano H, Nakajo M, Kamimura K, Nakajo M, Higashi M and Yoshiura T: CT and MRI features of undifferentiated carcinomas with osteoclast-like giant cells of the pancreas: A case series. Abdom Radiol (NY). 44:1246–1255. 2019. View Article : Google Scholar : PubMed/NCBI

18 

Treadwell JR, Zafar HM, Mitchell MD, Tipton K, Teitelbaum U and Jue J: Imaging tests for the diagnosis and staging of pancreatic adenocarcinoma: A meta-analysis. Pancreas. 45:789–795. 2016. View Article : Google Scholar : PubMed/NCBI

19 

Sato K, Urakawa H, Sakamoto K, Ito E, Hamada Y and Yoshimitsu K: Undifferentiated carcinoma of the pancreas with osteoclast-like giant cells showing intraductal growth and intratumoral hemorrhage: MRI features. Radiol Case Rep. 14:1283–1287. 2019. View Article : Google Scholar : PubMed/NCBI

20 

Moutinho-Ribeiro P, Liberal R and Macedo G: Endoscopic ultrasound in pancreatic cancer treatment: Facts and hopes. Clin Res Hepatol Gastroenterol. 43:513–521. 2019. View Article : Google Scholar : PubMed/NCBI

21 

Gao L, Li ZS, Jin ZD, Man XH, Zhang MH and Zhu MH: Undifferentiated carcinoma with osteoclast-like giant cells of the pancreas diagnosed by endoscopic ultrasonography-guided fine-needle aspiration. Chin Med J (Engl). 122:1598–1600. 2009.PubMed/NCBI

22 

Fu LP, Cheng AP, Wang XG, Fu JL and Jin L: 18F-FDG PET/CT in the detection of undifferentiated carcinoma with osteoclast-like giant cells of the pancreas. Clin Nucl Med. 42:615–616. 2017. View Article : Google Scholar : PubMed/NCBI

23 

Wada T, Itano O, Oshima G, Chiba N, Ishikawa H, Koyama Y, Du W and Kitagawa Y: A male case of an undifferentiated carcinoma with osteoclast-like giant cells originating in an indeterminate mucin-producing cystic neoplasm of the pancreas. A case report and review of the literature. World J Surg Oncol. 9:1002011. View Article : Google Scholar : PubMed/NCBI

24 

Suda K, Takase M, Oyama T, Mitsui T and Horike S: An osteoclast-like giant cell tumor pattern in a mucinous cystadenocarcinoma of the pancreas with lymph node metastasis in a patient surviving over 10 years. Virchows Arch. 438:519–520. 2001. View Article : Google Scholar : PubMed/NCBI

25 

Wolfgang CL, Herman JM, Laheru DA, Klein AP, Erdek MA, Fishman EK and Hruban RH: Recent progress in pancreatic cancer. CA Cancer J Clin. 63:318–348. 2013. View Article : Google Scholar : PubMed/NCBI

Related Articles

  • Abstract
  • View
  • Download
  • Twitter
Copy and paste a formatted citation
Spandidos Publications style
Ran H, Chen G, He Y, Yu Q, Xie Y, Liu J, Liu H and Zhang T: Undifferentiated carcinoma with osteoclast‑like giant cells of the pancreas: A case report. Oncol Lett 25: 252, 2023.
APA
Ran, H., Chen, G., He, Y., Yu, Q., Xie, Y., Liu, J. ... Zhang, T. (2023). Undifferentiated carcinoma with osteoclast‑like giant cells of the pancreas: A case report. Oncology Letters, 25, 252. https://doi.org/10.3892/ol.2023.13838
MLA
Ran, H., Chen, G., He, Y., Yu, Q., Xie, Y., Liu, J., Liu, H., Zhang, T."Undifferentiated carcinoma with osteoclast‑like giant cells of the pancreas: A case report". Oncology Letters 25.6 (2023): 252.
Chicago
Ran, H., Chen, G., He, Y., Yu, Q., Xie, Y., Liu, J., Liu, H., Zhang, T."Undifferentiated carcinoma with osteoclast‑like giant cells of the pancreas: A case report". Oncology Letters 25, no. 6 (2023): 252. https://doi.org/10.3892/ol.2023.13838
Copy and paste a formatted citation
x
Spandidos Publications style
Ran H, Chen G, He Y, Yu Q, Xie Y, Liu J, Liu H and Zhang T: Undifferentiated carcinoma with osteoclast‑like giant cells of the pancreas: A case report. Oncol Lett 25: 252, 2023.
APA
Ran, H., Chen, G., He, Y., Yu, Q., Xie, Y., Liu, J. ... Zhang, T. (2023). Undifferentiated carcinoma with osteoclast‑like giant cells of the pancreas: A case report. Oncology Letters, 25, 252. https://doi.org/10.3892/ol.2023.13838
MLA
Ran, H., Chen, G., He, Y., Yu, Q., Xie, Y., Liu, J., Liu, H., Zhang, T."Undifferentiated carcinoma with osteoclast‑like giant cells of the pancreas: A case report". Oncology Letters 25.6 (2023): 252.
Chicago
Ran, H., Chen, G., He, Y., Yu, Q., Xie, Y., Liu, J., Liu, H., Zhang, T."Undifferentiated carcinoma with osteoclast‑like giant cells of the pancreas: A case report". Oncology Letters 25, no. 6 (2023): 252. https://doi.org/10.3892/ol.2023.13838
Follow us
  • Twitter
  • LinkedIn
  • Facebook
About
  • Spandidos Publications
  • Careers
  • Cookie Policy
  • Privacy Policy
How can we help?
  • Help
  • Live Chat
  • Contact
  • Email to our Support Team