Spandidos Publications Logo
  • About
    • About Spandidos
    • Aims and Scopes
    • Abstracting and Indexing
    • Editorial Policies
    • Reprints and Permissions
    • Job Opportunities
    • Terms and Conditions
    • Contact
  • Journals
    • All Journals
    • Oncology Letters
      • Oncology Letters
      • Information for Authors
      • Editorial Policies
      • Editorial Board
      • Aims and Scope
      • Abstracting and Indexing
      • Bibliographic Information
      • Archive
    • International Journal of Oncology
      • International Journal of Oncology
      • Information for Authors
      • Editorial Policies
      • Editorial Board
      • Aims and Scope
      • Abstracting and Indexing
      • Bibliographic Information
      • Archive
    • Molecular and Clinical Oncology
      • Molecular and Clinical Oncology
      • Information for Authors
      • Editorial Policies
      • Editorial Board
      • Aims and Scope
      • Abstracting and Indexing
      • Bibliographic Information
      • Archive
    • Experimental and Therapeutic Medicine
      • Experimental and Therapeutic Medicine
      • Information for Authors
      • Editorial Policies
      • Editorial Board
      • Aims and Scope
      • Abstracting and Indexing
      • Bibliographic Information
      • Archive
    • International Journal of Molecular Medicine
      • International Journal of Molecular Medicine
      • Information for Authors
      • Editorial Policies
      • Editorial Board
      • Aims and Scope
      • Abstracting and Indexing
      • Bibliographic Information
      • Archive
    • Biomedical Reports
      • Biomedical Reports
      • Information for Authors
      • Editorial Policies
      • Editorial Board
      • Aims and Scope
      • Abstracting and Indexing
      • Bibliographic Information
      • Archive
    • Oncology Reports
      • Oncology Reports
      • Information for Authors
      • Editorial Policies
      • Editorial Board
      • Aims and Scope
      • Abstracting and Indexing
      • Bibliographic Information
      • Archive
    • Molecular Medicine Reports
      • Molecular Medicine Reports
      • Information for Authors
      • Editorial Policies
      • Editorial Board
      • Aims and Scope
      • Abstracting and Indexing
      • Bibliographic Information
      • Archive
    • World Academy of Sciences Journal
      • World Academy of Sciences Journal
      • Information for Authors
      • Editorial Policies
      • Editorial Board
      • Aims and Scope
      • Abstracting and Indexing
      • Bibliographic Information
      • Archive
    • International Journal of Functional Nutrition
      • International Journal of Functional Nutrition
      • Information for Authors
      • Editorial Policies
      • Editorial Board
      • Aims and Scope
      • Abstracting and Indexing
      • Bibliographic Information
      • Archive
    • International Journal of Epigenetics
      • International Journal of Epigenetics
      • Information for Authors
      • Editorial Policies
      • Editorial Board
      • Aims and Scope
      • Abstracting and Indexing
      • Bibliographic Information
      • Archive
    • Medicine International
      • Medicine International
      • Information for Authors
      • Editorial Policies
      • Editorial Board
      • Aims and Scope
      • Abstracting and Indexing
      • Bibliographic Information
      • Archive
  • Articles
  • Information
    • Information for Authors
    • Information for Reviewers
    • Information for Librarians
    • Information for Advertisers
    • Conferences
  • Language Editing
Spandidos Publications Logo
  • About
    • About Spandidos
    • Aims and Scopes
    • Abstracting and Indexing
    • Editorial Policies
    • Reprints and Permissions
    • Job Opportunities
    • Terms and Conditions
    • Contact
  • Journals
    • All Journals
    • Biomedical Reports
      • Information for Authors
      • Editorial Policies
      • Editorial Board
      • Aims and Scope
      • Abstracting and Indexing
      • Bibliographic Information
      • Archive
    • Experimental and Therapeutic Medicine
      • Information for Authors
      • Editorial Policies
      • Editorial Board
      • Aims and Scope
      • Abstracting and Indexing
      • Bibliographic Information
      • Archive
    • International Journal of Epigenetics
      • Information for Authors
      • Editorial Policies
      • Editorial Board
      • Aims and Scope
      • Abstracting and Indexing
      • Bibliographic Information
      • Archive
    • International Journal of Functional Nutrition
      • Information for Authors
      • Editorial Policies
      • Editorial Board
      • Aims and Scope
      • Abstracting and Indexing
      • Bibliographic Information
      • Archive
    • International Journal of Molecular Medicine
      • Information for Authors
      • Editorial Policies
      • Editorial Board
      • Aims and Scope
      • Abstracting and Indexing
      • Bibliographic Information
      • Archive
    • International Journal of Oncology
      • Information for Authors
      • Editorial Policies
      • Editorial Board
      • Aims and Scope
      • Abstracting and Indexing
      • Bibliographic Information
      • Archive
    • Medicine International
      • Information for Authors
      • Editorial Policies
      • Editorial Board
      • Aims and Scope
      • Abstracting and Indexing
      • Bibliographic Information
      • Archive
    • Molecular and Clinical Oncology
      • Information for Authors
      • Editorial Policies
      • Editorial Board
      • Aims and Scope
      • Abstracting and Indexing
      • Bibliographic Information
      • Archive
    • Molecular Medicine Reports
      • Information for Authors
      • Editorial Policies
      • Editorial Board
      • Aims and Scope
      • Abstracting and Indexing
      • Bibliographic Information
      • Archive
    • Oncology Letters
      • Information for Authors
      • Editorial Policies
      • Editorial Board
      • Aims and Scope
      • Abstracting and Indexing
      • Bibliographic Information
      • Archive
    • Oncology Reports
      • Information for Authors
      • Editorial Policies
      • Editorial Board
      • Aims and Scope
      • Abstracting and Indexing
      • Bibliographic Information
      • Archive
    • World Academy of Sciences Journal
      • Information for Authors
      • Editorial Policies
      • Editorial Board
      • Aims and Scope
      • Abstracting and Indexing
      • Bibliographic Information
      • Archive
  • Articles
  • Information
    • For Authors
    • For Reviewers
    • For Librarians
    • For Advertisers
    • Conferences
  • Language Editing
Login Register Submit
  • This site uses cookies
  • You can change your cookie settings at any time by following the instructions in our Cookie Policy. To find out more, you may read our Privacy Policy.

    I agree
Search articles by DOI, keyword, author or affiliation
Search
Advanced Search
presentation
Oncology Letters
Join Editorial Board Propose a Special Issue
Print ISSN: 1792-1074 Online ISSN: 1792-1082
Journal Cover
June-2023 Volume 25 Issue 6

Full Size Image

Sign up for eToc alerts
Recommend to Library

Journals

International Journal of Molecular Medicine

International Journal of Molecular Medicine

International Journal of Molecular Medicine is an international journal devoted to molecular mechanisms of human disease.

International Journal of Oncology

International Journal of Oncology

International Journal of Oncology is an international journal devoted to oncology research and cancer treatment.

Molecular Medicine Reports

Molecular Medicine Reports

Covers molecular medicine topics such as pharmacology, pathology, genetics, neuroscience, infectious diseases, molecular cardiology, and molecular surgery.

Oncology Reports

Oncology Reports

Oncology Reports is an international journal devoted to fundamental and applied research in Oncology.

Experimental and Therapeutic Medicine

Experimental and Therapeutic Medicine

Experimental and Therapeutic Medicine is an international journal devoted to laboratory and clinical medicine.

Oncology Letters

Oncology Letters

Oncology Letters is an international journal devoted to Experimental and Clinical Oncology.

Biomedical Reports

Biomedical Reports

Explores a wide range of biological and medical fields, including pharmacology, genetics, microbiology, neuroscience, and molecular cardiology.

Molecular and Clinical Oncology

Molecular and Clinical Oncology

International journal addressing all aspects of oncology research, from tumorigenesis and oncogenes to chemotherapy and metastasis.

World Academy of Sciences Journal

World Academy of Sciences Journal

Multidisciplinary open-access journal spanning biochemistry, genetics, neuroscience, environmental health, and synthetic biology.

International Journal of Functional Nutrition

International Journal of Functional Nutrition

Open-access journal combining biochemistry, pharmacology, immunology, and genetics to advance health through functional nutrition.

International Journal of Epigenetics

International Journal of Epigenetics

Publishes open-access research on using epigenetics to advance understanding and treatment of human disease.

Medicine International

Medicine International

An International Open Access Journal Devoted to General Medicine.

Journal Cover
June-2023 Volume 25 Issue 6

Full Size Image

Sign up for eToc alerts
Recommend to Library

  • Article
  • Citations
    • Cite This Article
    • Download Citation
    • Create Citation Alert
    • Remove Citation Alert
    • Cited By
  • Similar Articles
    • Related Articles (in Spandidos Publications)
    • Similar Articles (Google Scholar)
    • Similar Articles (PubMed)
  • Download PDF
  • Download XML
  • View XML
Case Report Open Access

Bladder metastasis from type 2 papillary renal cell carcinoma: A case report

  • Authors:
    • Qinsong Zeng
    • Shuhang Luo
    • Linze Chen
    • Lingwu Chen
    • Junxing Chen
  • View Affiliations / Copyright

    Affiliations: Department of Urology, The First Affiliated Hospital of Sun Yat‑Sen University, Guangzhou, Guangdong 510080, P.R. China, Department of Urology, Da Lang Hospital of Dongguan, Dongguan, Guangdong 523777, P.R. China
    Copyright: © Zeng et al. This is an open access article distributed under the terms of Creative Commons Attribution License.
  • Article Number: 270
    |
    Published online on: May 5, 2023
       https://doi.org/10.3892/ol.2023.13856
  • Expand metrics +
Metrics: Total Views: 0 (Spandidos Publications: | PMC Statistics: )
Metrics: Total PDF Downloads: 0 (Spandidos Publications: | PMC Statistics: )
Cited By (CrossRef): 0 citations Loading Articles...

This article is mentioned in:



Abstract

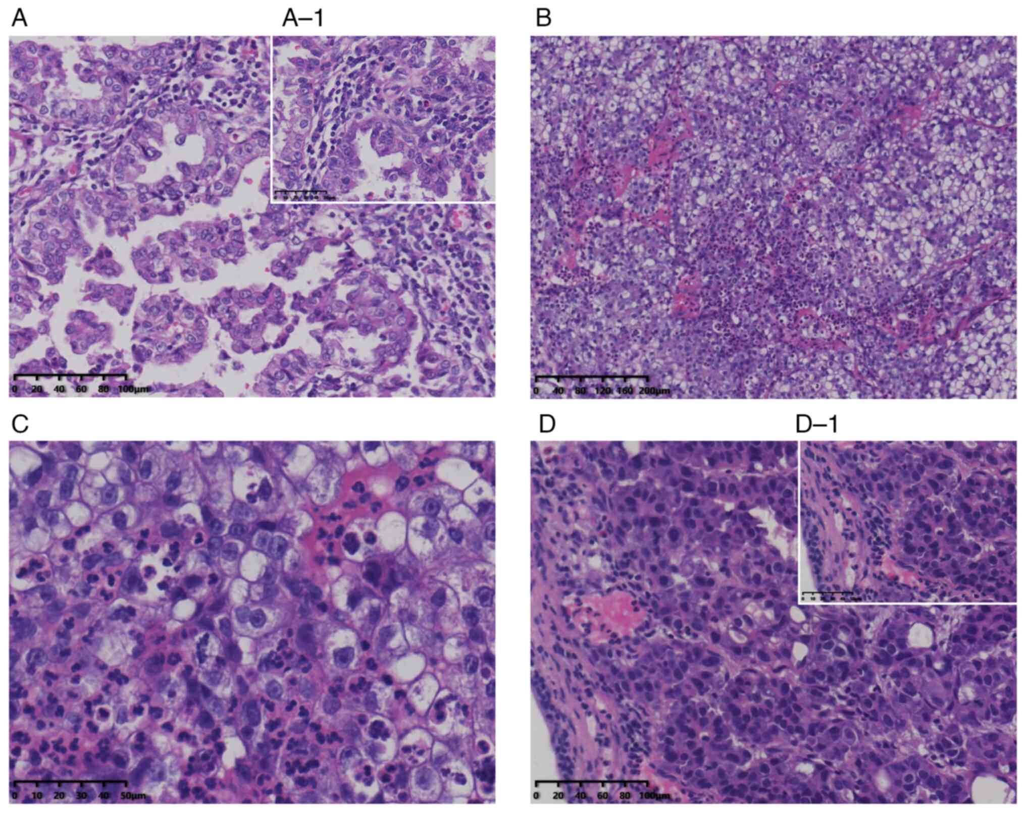
Renal cell carcinoma (RCC) is a common urinary tumor that may be pathologically divided into different subtypes: clear cell RCC, papillary RCC (PRCC) and chromophobe RCC. The most common organs of RCC metastasis are the lung, liver and bones, while bladder metastasis is rare. The treatment for PRCC metastasis is also a problem due to limited clinical data. Therefore, every single case of PRCC metastasis may significantly contribute to establishing a standard treatment protocol. The present study reported on a patient who suffered from repetitive bladder PRCC metastasis with 1.5 years of follow‑up. A 54‑year‑old male patient was diagnosed with left renal pelvic carcinoma in March 2020 and underwent a laparoscopic radical nephroureterectomy of the left kidney. The postoperative histological examination revealed that the tumor was consistent with a type 2 PRCC. Bladder metastasis was discovered three months after the surgery and transurethral resection of the bladder tumor (TURBT) was performed to eliminate the tumor in the bladder. Only three months after the initial TURBT, bladder metastasis was detected again, combined with lung metastasis. The patient refused to undergo radical cystectomy. Therefore, a second TURBT was arranged and targeted drugs were administered. However, both bladder and lung metastases were insensitive to the treatment strategy applied, although immunotherapy was subsequently added. The patient died in October 2021 due to respiratory failure and cachexia. The report aims to provide the whole treatment progress and lessons learned from this case, which is relatively rare.
View Figures

Figure 1

Figure 2

Figure 3

Figure 4

View References

1 

Escudier B, Porta C, Schmidinger M, Rioux-Leclercq N, Bex A, Khoo V, Grunwald V, Gillessen S and Horwich A; ESMO Guidelines Committee, : Renal cell carcinoma: ESMO Clinical Practice Guidelines for diagnosis, treatment and follow-up. Ann Oncol. 30:706–720. 2019. View Article : Google Scholar : PubMed/NCBI

2 

Siegel RL, Miller KD, Fuchs HE and Jemal A: Cancer statistics, 2022. CA Cancer J Clin. 72:7–33. 2022. View Article : Google Scholar : PubMed/NCBI

3 

Flippot R, Comperat E, Tannir NM and Malouf GG: Papillary renal cell carcinoma: A family portrait. Eur Urol. 73:79–80. 2018. View Article : Google Scholar : PubMed/NCBI

4 

Akhtar M, Al-Bozom IA and Al Hussain T: Papillary renal cell carcinoma (PRCC): An update. Adv Anat Pathol. 26:124–132. 2019. View Article : Google Scholar : PubMed/NCBI

5 

Ljungberg B, Campbell SC, Choi HY, Jacqmin D, Lee JE, Weikert S and Kiemeney LA: The epidemiology of renal cell carcinoma. Eur Urol. 60:615–621. 2011. View Article : Google Scholar : PubMed/NCBI

6 

Thyavihally YB, Mahantshetty U, Chamarajanagar RS, Raibhattanavar SG and Tongaonkar HB: Management of renal cell carcinoma with solitary metastasis. World J Surg Oncol. 3:482005. View Article : Google Scholar : PubMed/NCBI

7 

McAchran SE, Williams DH and MacLennan GT: Renal cell carcinoma metastasis to the bladder. J Urol. 184:726–727. 2010. View Article : Google Scholar : PubMed/NCBI

8 

Liem EIML, Baard J, Cauberg ECC, Bus MTJ, de Bruin DM, Laguna Pes MP, de la Rosette JJMCH and de Reijke TM: Fluorescence in situ hybridization as prognostic predictor of tumor recurrence during treatment with Bacillus Calmette-Guérin therapy for intermediate- and high-risk non-muscle-invasive bladder cancer. Med Oncol. 34:1722017. View Article : Google Scholar : PubMed/NCBI

9 

Matsumoto K, Hayakawa N, Nakamura S and Oya M: Bladder metastasis from renal cell carcinoma: Retrospective analysis of 65 reported cases. Clin Exp Metastasis. 32:135–141. 2015. View Article : Google Scholar : PubMed/NCBI

10 

Gajasinghe DG, Nazeer I, Maddumage HP, Perera C and Abeygunasekera AM: Metachronous bladder metastases of a type 2 papillary renal cell carcinoma: A case report and review of the literature. World J Surg Oncol. 14:2192016. View Article : Google Scholar : PubMed/NCBI

11 

Babar M, Hamdani S, Liu C, Vedula J and Schnapp DS: Metachronous renal cell carcinoma with metastasis to the urinary bladder, and distant organs, 28 years after radical nephrectomy: A case report. BMC Urol. 19:1362019. View Article : Google Scholar : PubMed/NCBI

12 

Raviv S, Eggener SE, Williams DH, Garnett JE, Pins MR and Smith ND: Long-term survival after ‘drop metastases’ of renal cell carcinoma to the bladder. Urology. 60:6972002. View Article : Google Scholar : PubMed/NCBI

13 

Chung HK, Silva LN, Pereira MA, Catelli R and Freitas RJ: Giant Abdominal Mass: Papillary Renal Cell Carcinoma with Metastases to the Bladder, Omentum and Perigastric tissue. J Surg Oncol. 2674–3000. 2020.

14 

Hsieh PY, Hung SC, Li JR, Wang SS, Yang CK, Chen CS, Lu K, Cheng CL and Chiu KY: The effect of metastasectomy on overall survival in metastatic renal cell carcinoma: A systematic review and meta-analysis. Urol Oncol. 39:422–430. 2021. View Article : Google Scholar : PubMed/NCBI

15 

Abern MR, Owusu RA, Anderson MR, Rampersaud EN and Inman BA: Perioperative intravesical chemotherapy in non-muscle-invasive bladder cancer: A systematic review and meta-analysis. J Natl Compr Canc Netw. 11:477–484. 2013. View Article : Google Scholar : PubMed/NCBI

16 

Kavolius JP, Mastorakos DP, Pavlovich C, Russo P, Burt ME and Brady MS: Resection of metastatic renal cell carcinoma. J Clin Oncol. 16:2261–2266. 1998. View Article : Google Scholar : PubMed/NCBI

17 

De Groote R, Larcher A, Goossens M, Hendrik R, Kris VS, De Coninck V, De Naeyer G, Schatteman P, D'Hondt F and Mottrie A: Metachronous metastasis of renal cell carcinoma to the urinary bladder: A case report. Ther Adv Urol. 10:29–32. 2017. View Article : Google Scholar : PubMed/NCBI

18 

Motzer RJ, Hutson TE, Cella D, Reeves J, Hawkins R, Guo J, Nathan P, Staehler M, de Souza P, Merchan JR, et al: Pazopanib versus sunitinib in metastatic renal-cell carcinoma. N Engl J Med. 369:722–731. 2013. View Article : Google Scholar : PubMed/NCBI

19 

Kaelin WG Jr: The von Hippel-Lindau tumour suppressor protein: O2 sensing and cancer. Nat Rev Cancer. 8:865–873. 2008. View Article : Google Scholar : PubMed/NCBI

20 

D'Avella C, Abbosh P, Pal SK and Geynisman DM: Mutations in renal cell carcinoma. Urol Oncol. 38:763–773. 2020. View Article : Google Scholar : PubMed/NCBI

21 

Sharma V, Miest TS, Juvet TS, Toussi A, Packiam V, Chamie K, Matin SF, Boorjian SA, Thompson RH, Frank I, et al: The impact of upper tract urothelial carcinoma diagnostic modality on intravesical recurrence after radical nephroureterectomy: A single institution series and updated meta-analysis. J Urol. 206:558–567. 2021. View Article : Google Scholar : PubMed/NCBI

22 

Campbell MT, Matin SF, Tam AL, Sheth RA, Ahrar K, Tidwell RS, Rao P, Karam JA, Wood CG, Tannir NM, et al: Pilot study of Tremelimumab with and without cryoablation in patients with metastatic renal cell carcinoma. Nat Commun. 12:63752021. View Article : Google Scholar : PubMed/NCBI

Related Articles

  • Abstract
  • View
  • Download
  • Twitter
Copy and paste a formatted citation
Spandidos Publications style
Zeng Q, Luo S, Chen L, Chen L and Chen J: Bladder metastasis from type 2 papillary renal cell carcinoma: A case report. Oncol Lett 25: 270, 2023.
APA
Zeng, Q., Luo, S., Chen, L., Chen, L., & Chen, J. (2023). Bladder metastasis from type 2 papillary renal cell carcinoma: A case report. Oncology Letters, 25, 270. https://doi.org/10.3892/ol.2023.13856
MLA
Zeng, Q., Luo, S., Chen, L., Chen, L., Chen, J."Bladder metastasis from type 2 papillary renal cell carcinoma: A case report". Oncology Letters 25.6 (2023): 270.
Chicago
Zeng, Q., Luo, S., Chen, L., Chen, L., Chen, J."Bladder metastasis from type 2 papillary renal cell carcinoma: A case report". Oncology Letters 25, no. 6 (2023): 270. https://doi.org/10.3892/ol.2023.13856
Copy and paste a formatted citation
x
Spandidos Publications style
Zeng Q, Luo S, Chen L, Chen L and Chen J: Bladder metastasis from type 2 papillary renal cell carcinoma: A case report. Oncol Lett 25: 270, 2023.
APA
Zeng, Q., Luo, S., Chen, L., Chen, L., & Chen, J. (2023). Bladder metastasis from type 2 papillary renal cell carcinoma: A case report. Oncology Letters, 25, 270. https://doi.org/10.3892/ol.2023.13856
MLA
Zeng, Q., Luo, S., Chen, L., Chen, L., Chen, J."Bladder metastasis from type 2 papillary renal cell carcinoma: A case report". Oncology Letters 25.6 (2023): 270.
Chicago
Zeng, Q., Luo, S., Chen, L., Chen, L., Chen, J."Bladder metastasis from type 2 papillary renal cell carcinoma: A case report". Oncology Letters 25, no. 6 (2023): 270. https://doi.org/10.3892/ol.2023.13856
Follow us
  • Twitter
  • LinkedIn
  • Facebook
About
  • Spandidos Publications
  • Careers
  • Cookie Policy
  • Privacy Policy
How can we help?
  • Help
  • Live Chat
  • Contact
  • Email to our Support Team