International Journal of Molecular Medicine is an international journal devoted to molecular mechanisms of human disease.
International Journal of Oncology is an international journal devoted to oncology research and cancer treatment.
Covers molecular medicine topics such as pharmacology, pathology, genetics, neuroscience, infectious diseases, molecular cardiology, and molecular surgery.
Oncology Reports is an international journal devoted to fundamental and applied research in Oncology.
Experimental and Therapeutic Medicine is an international journal devoted to laboratory and clinical medicine.
Oncology Letters is an international journal devoted to Experimental and Clinical Oncology.
Explores a wide range of biological and medical fields, including pharmacology, genetics, microbiology, neuroscience, and molecular cardiology.
International journal addressing all aspects of oncology research, from tumorigenesis and oncogenes to chemotherapy and metastasis.
Multidisciplinary open-access journal spanning biochemistry, genetics, neuroscience, environmental health, and synthetic biology.
Open-access journal combining biochemistry, pharmacology, immunology, and genetics to advance health through functional nutrition.
Publishes open-access research on using epigenetics to advance understanding and treatment of human disease.
An International Open Access Journal Devoted to General Medicine.
Glioblastoma (GBM) is the most prevalent malignant brain tumor in adults, primarily affecting the elderly population with a median age at diagnosis of 65 years (1,2). The recognition of glial tumors in the brain dates back to a report by Rudolph Virchow in 1865 (3). In 1926, Harvard Cushing and Percival Bailey introduced the concept of GBM and improved the grading system for gliomas (3). Despite more than a century of research, the advancements in the treatment and prognosis of GBM have been modest. The challenges of achieving complete resection while preserving normal brain tissue during surgery, along with chemotherapy resistance, contribute to a short median survival time of 12–15 months (1), thus posing a threat to the lives of patients.
GBM with a primitive neuronal component (GBM-PNC) is a distinct morphological variant of GBM recognized by the World Health Organization (WHO) in 2016 (4). This rare subtype accounts for only 0.5% of GBM cases and is histologically characterized by the coexistence of malignant glioma cells with small round blue cells (PNC) expressing neuronal cell surface markers (3,5). GBM-PNC commonly manifests in the temporal lobe and exhibits an aggressive nature with a poor survival rate (6). The present study describes a case of GBM-PNC, and provides an analysis of the clinicopathological characteristics, immunohistochemistry and gene detection findings associated with GBM-PNC.
A 57-year-old woman was admitted to Sunshine Union Hospital (Weifang, China) in October 2022 due to a sudden onset of headache with nausea and vomiting for 5 days. The patient did not experience loss of consciousness, limb inflexibility, slurred speech, coughing or memory impairment. Their medical history included type 2 diabetes mellitus and a previous episode of significant bleeding requiring transfusion during the delivery of their second child. Laboratory examination (Table SI) revealed elevated lactate dehydrogenase (LDH) (277.61 U/l) levels. Magnetic resonance imaging (MRI) of their brain revealed lumpy T1-weighted hypointense and T2-weighted hyperintense signals in the junction area of the left parietal-occipital-temporal lobe, exhibiting an irregular shape with a clear boundary, measuring ~6.3×5.5 cm. Annular enhancement of the marginal zone was visible after an enhanced scan (Fig. 1). After their blood sugar levels were controlled with insulin, the patient underwent surgical intervention. During surgery, the mass was located in the left temporal lobe, extending towards the paraventricular region. The mass within the mesial temporal lobe appeared solid, whereas the mass near the paraventricular region exhibited cystic features with the presence of yellowish purulent fluid. The tumors from the temporal lobe and paraventricular region were separately excised and sent for pathological examination to establish a definitive diagnosis. The patient's blood pressure and temperature remained within normal ranges after the operation. The patient exhibited intact mental functioning and normal muscle tension in their limbs; however, they experienced difficulties with speech clarity.
The excised brain parenchyma (mesial temporal lobe) revealed a gray mass measuring 2×2×1 cm. Similarly, a gray mass measuring 2×2×1 cm was obtained from the paraventricular region. The tissue specimens were fixed in 4% neutral formalin at room temperature for 48 h, followed by dehydration with alcohol and xylene. Subsequently, the specimens were embedded in paraffin at 62°C and cooled. Serial sections (4 µm) were then prepared and stained with hematoxylin (~5%) for 5 min, followed by eosin (~1%) staining for 2 min at room temperature. Immunohistochemical staining and gene detection were also performed using the aforementioned paraffin-embedded tissue.
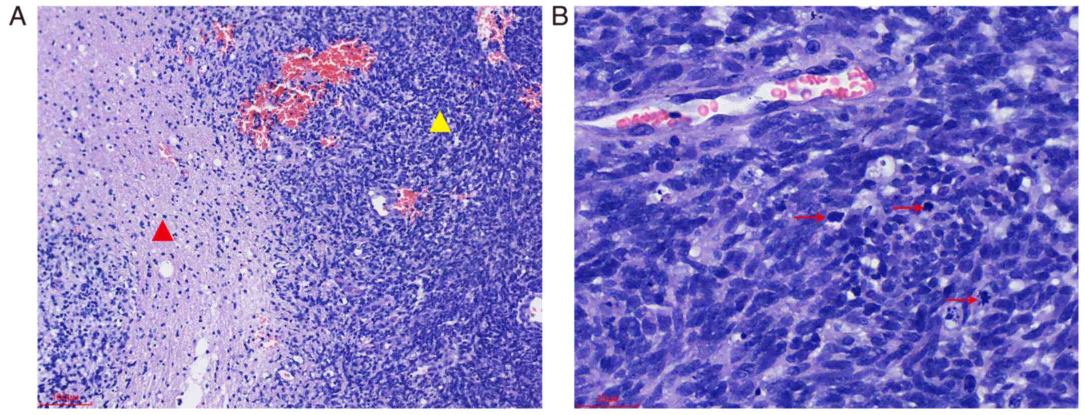
Hematoxylin and eosin (H&E) and immunohistochemical staining were examined using an Olympus BX53 light microscope (Olympus Corporation). H&E staining showed a slight to moderate increase in the density of glial cells compared with normal tissue. The nuclei exhibited similar size and morphology, displaying moderate atypia. They appeared round, quasi-round or short spindle-shaped, with fine chromatin and either absent or small nucleoli. Mitotic figures were infrequent. The PNC consisted of closely arranged small round or short spindle-shaped cells, exhibiting a flowing water-like pattern and abundant blood vessels. The cells surrounding the necrotic areas were arranged in a palisade manner, characterized by strongly stained nuclei and increased mitotic figures (Fig. 2).
Immunohistochemical staining (Fig. 3) was performed overnight at 4°C using the following primary antibodies (prediluted by the manufacturer, Guangzhou Anbiping Pharmaceutical Technology Co., Ltd.): Anti-glial fibrillary acidic protein (GFAP; cat. no. IR086), anti-p53 (cat. no. IM123), anti-CD56 (cat. no. IR040), anti-synaptin (Syn; cat. no. IM136), anti-neuron-specific enolase (NSE; cat. no. IM347), anti-vimentin (cat. no. IM142), anti-Ki-67 (cat. no. IR098), anti-thyroid transcription factor 1 (TTF-1; cat. no. IM301), anti-pan-cytokeratin (pan-CK; cat. no. IM067) and anti-chromogranin A (CgA; cat. no. IM053). For immunohistochemistry, tissue sections (3 µm) were fixed in 4% formalin at room temperature for 48 h before being in embedded in paraffin. These sections were then rehydrated in a descending alcohol series (xylene, 100% ethanol, 95% ethanol, 85% ethanol, ethanol-free water) and underwent antigen retrieval using EDTA antigen retrieval treatment (EnVision FLEX Target Retrieval Solution, High pH; cat. no. K8000; Agilent Technologies, Inc.) in a microwave on high heat for 2 min, followed by incubation at room temperature for 8 min. Endogenous peroxidase activity was quenched with 3% hydrogen peroxide in methanol before incubation with primary antibodies. The secondary antibody was obtained from the EnVision FLEX/HRP (prediluted by the manufacturer; cat. no. K8000; Agilent Technologies, Inc.) and was used to treat sections at room temperature for 25 min. Subsequently, a chromogen detection reagent was applied (EnVision FLEX DAB+ Chromogen; cat. no. K8000, Agilent Technologies, Inc.). The immunohistochemical staining showed strong expression of GFAP, and expression of p53, vimentin and Ki-67 (15%) in the glial component. Strong expression of Syn, p53, NSE, Ki-67 (90%) and TTF-1 was observed in the PNC. Additionally, CD56 was observed in both components, whereas pan-CK and CgA were not expressed.
The patient was diagnosed with GBM-PNC in both the brain parenchyma and paraventricular regions.
Gene detection (Sanger sequencing) was conducted on selected paraffin-embedded tissue sections at Di'An Diagnostics Group Co., Ltd. The results indicated the absence of mutations in the isocitrate dehydrogenase (IDH)1 and IDH2 genes. Additionally, no mutations were detected in the neurotrophic tyrosine kinase receptor-1 (NTRK1), NTRK2 and NTRK3 genes using fluorescence in situ hybridization, as determined by Di'An Diagnostics Group Co., Ltd (Fig. S1).
Following discharge, the patient opted to continue chemoradiotherapy treatment at a local hospital and declined our request for further follow-up.
In the WHO classification of tumors of the central nervous system (2016), GBM can be divided into IDH-wildtype, IDH-mutant, not otherwise specified GBM and GBM-PNC (6,7). GBM-PNC is a very rare type of GBM, characterized by the presence of a PNC within a glioma. The origin of GBM-PNC remains controversial, and possible explanations include: i) The development of a differentiated glial tumor from preexisting neuronal cells, ii) the phenomenon of neuronal metaplasia or dedifferentiation of astrocytic components into neuronal cells, iii) collision tumors with two different clonal expansions, and iv) the development of two components from normal stem cells (8). Donabedian et al (3) suggested that, due to the complexity of GBM-PNC pathogenesis, there may be multiple pathways leading to the occurrence of this disease.
The etiology of GBM-PNC remains unclear. Vollmer et al (9) reported a case with a previous history of leukemia, suggesting a potentially increased risk of brain cancer due to therapeutic ionizing brain radiation exposure. Among the patients reported by Donabedian et al (3), one patient had a sister who died from an unknown type of brain cancer; however, it is unclear if there was a hereditary connection in that case. In the present study, the patient had a history of massive bleeding and diabetes; however, any associations with the development of GBM-PNC are yet to be determined.
GBM-PNC typically presents with common clinical manifestations observed in brain tumors, such as limb numbness, headache, nausea and vomiting. Additionally, it may result in other symptoms, such as hypoesthesia, transient amnesia, hemiplegia and epilepsy. Limited information is available regarding the imaging features of GBM-PNC. Valbuena et al (4) reported that the MRI radiological features of this tumor typically show a heterogeneous T2-weighted mass and a well-circumscribed lesion with gadolinium enhancement on T1-weighted imaging. These features are often accompanied by vasogenic edema. Heterogeneous enhancement associated with central necrosis, cyst formation and tumoral hemorrhage may also be observed. Other imaging findings are nonspecific, mainly showing a cystic and solid intracranial mass compressing surrounding normal brain tissue. Intra-cystic hemorrhage, edema, calcification and necrosis may occur. In the present case report, the cystic portion of the mass contained yellow purulent fluid, which, to the best of our knowledge, is the first reported case of purulent fluid instead of blood or hemorrhagic fluid, which could be mistaken for a brain abscess.
Pathological examination of the PNC is recommended in patients with intratumoral hemorrhage in GBM (10). In the present case report, a laboratory examination showed an increase in LDH levels. Tan et al (8) also reported elevated LDH levels in their patient. Valvona et al (11) suggested that the interaction between LDHA and IDH may influence patient prognosis and has been associated with glioma. Therefore, it was hypothesized that LDH detection may be a potential diagnostic indicator for GBM-PNC.
Histologically, GBM-PNC is characterized by two distinct components. The glial component consists of astrocytes with abundant eosinophilic cytoplasm, large vacuolar nuclei with mitotic figures, necrosis and microvascular proliferation. The PNC exhibits high cell density, reduced cytoplasm, hyperchromatic nuclei and the formation of Homer-Wright chrysanthemum clusters. There is a clear transition between the two components.
In line with the present findings, a review of the current literature (Table SII) (3–6,8–10,12–31) indicated that the immunohistochemical profile of GBM-PNC is diverse but generally consistent. The glial component typically shows expression of GFAP, S-100, oligodendrocyte lineage transcription factor 2 and vimentin. The Ki-67 proliferation index ranges from 10 to 20%, and the expression rate of p53 is often lower than that detected in the PNC. The expression of Syn, neurofilament protein and NSE in the PNC suggests neural differentiation, with a Ki-67 proliferation index of up to 90% and high expression of p53. In both components, CD56 shows positive staining. These findings demonstrate that immunohistochemistry may have an accurate and feasible role in the diagnosis of GBM-PNC.
In the present case report, TTF-1 showed immunopositivity in the PNC and negative staining in the glial component. Previous studies have suggested that not all TTF-1 clones are equally applicable for diagnosing GBM-PNC (32,33). Since TTF-1 is commonly used to identify metastatic tumors originating from the lung or thyroid, different clones of TTF-1 may lead to incorrect diagnoses. Therefore, if GBM-PNC is suspected, it is recommended that the aforementioned panel of immunohistochemical markers is used.
GBM-PNC requires a differential diagnosis from papillary glioneuronal tumors (34) and glioneuronal tumors with neuropil-like islands (35). Papillary glioneuronal tumors have neuropil-like islands and are characterized as low-grade biphasic tumors with astrocytic and neural differentiation. These tumors commonly occur in young individuals. The glial component forms a pseudopapillary structure surrounding the blood vessels, whereas the neuronal component is located between the glial regions and consists of nerve cells in an oligodendrocyte-like morphology with very rare necrosis and mitotic figures. In the case of glioneuronal tumors with neuropil-like islands, the histological morphology is characterized by a background of infiltrating astrocytomas with islands of neuropil-like tissue surrounded by oligodendrocyte-like or atypical neuron-like cells.
There is currently no standardized treatment approach for GBM-PNC. The most common treatment method involves surgery followed by postoperative radiotherapy and chemotherapy. Temozolomide (TMZ) is commonly used for GBM treatment, whereas platinum-based chemotherapy is effective against peripheral neuroectodermal tumors (6). GBM-PNC tends to metastasize through the cerebrospinal fluid, with the metastasizing component typically being the PNC, highlighting the heterogeneity of the tumor (3,9). Although metastases of GBM-PNC are rare, they can occur in the spine (9), lungs (13) and throughout the skeletal system (10). GBM-PNC metastases may be more common than currently reported as the identification of metastases may be rare due to the poor prognosis and short survival time of patients. The short survival time may often prevent metastatic tumors from causing noticeable symptoms before the death of the patient. Therefore, patients with metastatic symptoms may have a relatively better prognosis as their metastatic tumors have had time to grow to a noticeable size (9).
In the present case report, the paraffin-embedded tumor sample underwent IDH and NTRK gene detection. IDH1/2 mutations are a defining factor in the diagnosis of adult-type diffuse glioma. There are three isoforms of IDH: IDH1, IDH2 and IDH3. The IDH1/2 mutation is common in secondary GBM, accounting for 73% of clinical cases, whereas it is rare in primary GBM, occurring in only 3.7% of cases (36). It is generally considered that only IDH1 and IDH2 can mutate in GBM, typically at arginine 132 in IDH1 (p.R132H) and arginine 172 in IDH2 (p.R172K). Mutations in either IDH1 or IDH2 provide a growth advantage for mutant cells, and only a single mutation is needed to mediate this advantage. Notably, few studies have suggested a role for IDH3 in the occurrence and development of GBM (36–40).
According to the 2021 WHO classification of central nervous system tumors, the grading of diffuse gliomas relies not only on the histological appearance but also on genetic parameters (41). The IDH mutation is a key factor in diagnosis, and is used to guide eligibility for glioma therapy and clinical trials (42). IDH1/2-mutant GBM generally has a better prognosis than wildtype GBM, although the exact reason for this is unclear. The extent and targets of IDH mutations that lead to genomic hypermethylation vary greatly depending on the cellular context. This variability may explain why IDH mutations are only favorable prognostic markers in certain gliomas (43).
The NTRK gene family, which includes NTRK1, NTRK2 and NTRK3, encodes the tropomyosin receptor kinase (TRK) protein family (TRKA, TRKB and TRKC). The TRK pathway has been implicated in the pathogenesis of a number of types of cancer. Chromosomal rearrangements resulting in oncogenic gene fusion, protein overexpression and single nucleotide variants are the most commonly described alterations associated with the NTRK gene family (44). In the present case report, NTRK gene detection was detected on the tumor tissue due to the involvement of the NTRK gene family in neuronal development, maintenance and protection, and its tendency to undergo fusions in rare diseases such as GBM (45). However, no fusion was detected in the NTRK1, NTRK2 or NTRK3 genes. To the best of our knowledge, no study has linked NTRK to the prognosis of GBM-PNC. However, Pekova et al (46) demonstrated that NTRK1 fusion-positive carcinomas are significantly associated with a higher incidence of tumor multifocality and distant metastases in thyroid carcinoma. Therefore, further studies on the relationship between NTRK and GBM-PNC are warranted.
With the current emphasis on genetic testing in disease research, there is an increasing interest in exploring the genetic aspects of GBM-PNC. Recent case reports on GBM-PNC were compiled and several genes that have been relatively well-studied were identified (Tables I and SII). The findings indicated that 85.7% of patients had wildtype IDH, 20.0% had wildtype tumor protein 53 (TP53), 75% had wildtype ATRX chromatin remodeler, 25.0% had wildtype epidermal growth factor receptor and 75.0% had wildtype B-Raf proto-oncogene, serine/threonine kinase. Further investigation into these genes may provide insights into the characteristics of GBM-PNC. Moreover, Xu et al (47) reported that the mutation frequencies of TP53, phosphatidylinositol-4,5-bisphosphate 3-kinase catalytic subunit α, phosphoinositide-3-kinase regulatory subunit 1 and phosphatase and tensin homolog in GBM-PNC were significantly higher compared with those in GBM, suggesting that GBM-PNC represents a distinct and rare variant of GBM.
It has been reported that epigenetics can influence the survival and prognosis of patients with GBM (48). One commonly used method in GBM diagnosis is the detection of methylation of the O6-methylguanine-DNA methyltransferase (MGMT) promoter. Hypermethylation of the MGMT promoter is associated with an improved response to TMZ, leading to better patient outcomes (49). Suwala et al (32) suggested that GBM-PNC has a unique methylation profile that is similar to IDH-wildtype GBM. Therefore, treatment with TMZ and prognosis may also follow a similar approach as IDH-wildtype GBM. However, due to the limited number of patients, further extensive studies are still required.
Separately evaluating the glioma component and the PNC is important, in order to further study the biological characteristics of PNC without being affected by the glioma component; however, certain limitations hindered us from conducting these tests. Firstly, the paraffin-embedded tissue samples contained numerous blood clots, leaving limited tissue available for additional immunohistochemistry and gene testing. Sufficient tissue needed to be preserved for potential future tests that the patient may require. Secondly, visually distinguishing the glioma component from the PNC is challenging and the two components are intricately intertwined under the microscope. This makes it difficult to ensure complete separation and individual detection, thereby compromising the accuracy of the results. Therefore, we decided not to conduct other gene tests or MGMT methylation tests.
In addition to the rarity and diverse clinical pathological features of GBM-PNC, the present study discussed the differential diagnosis from other similar tumor types, such as small cell GBM and papillary glioneuronal tumors. Genetic and epigenetic factors are important in GBM-PNC, including mutations in genes such as IDH1/2 and NTRK1/2/3 and the potential influence of epigenetics on patient prognosis. The current treatment approach involves surgery, radiotherapy and chemotherapy; however, its effectiveness is limited. Therefore, further research and a better understanding of GBM-PNC are crucial for improving patient survival and developing more effective treatment strategies.
The authors would like to thank Mr. Ning Meng (Department of Neurosurgery, Sunshine Union Hospital, Weifang, China) for their meticulous operation on the patient and for providing the tissue, and Mr. Xinxing Zhang (Imaging Center, Sunshine Union Hospital) for the MRI images.
The present study was supported by the Research Projects of Weifang Municipal Health Committee (grant no. WFWSJK-2022-239) and the Sunshine Union Hospital Research Project (grant no. 2022YGRH043).
The datasets used and/or analyzed during the current study are available from the corresponding author on reasonable request.
QM and XY drafted the manuscript and conceived the study. QM, LML, NS, YC, LL, LG and WG performed the research and analyzed the data. QM wrote the manuscript. XY and NS revised the manuscript. XY and WG confirm the authenticity of all the raw data. All authors read and approved the final manuscript.
This study was approved by the Ethics Committee of Sunshine Union Hospital (approval no. 2023-01-0003).
The patient provided written informed consent for the case study to be published.
The authors declare that they have no competing interests.
|
Thakur A, Faujdar C, Sharma R, Sharma S, Malik B, Nepali K and Liou JP: Glioblastoma: Current status, emerging targets, and recent advances. J Med Chem. 65:8596–8685. 2022. View Article : Google Scholar : PubMed/NCBI | |
|
Gritsch S, Batchelor TT and Castro LN: Diagnostic, therapeutic, and prognostic implications of the 2021 World Health Organization classification of tumors of the central nervous system. Cancer. 128:47–58. 2022. View Article : Google Scholar : PubMed/NCBI | |
|
Donabedian P, Tuna I, Rahman M, Gregory J, Kresak J and Rees JH: Glioblastoma with a primitive neuroectodermal component: Two cases with implications for glioblastoma cell-of-origin. Clin Imaging. 73:139–145. 2021. View Article : Google Scholar : PubMed/NCBI | |
|
Valbuena S, Ortega A, Centeno M and Rimbau JM: Glioblastoma multiform with primitive neuronal component, radiological and histology features: A case report. Egypt J Neurosurg. 36:372021. View Article : Google Scholar | |
|
Poyuran R, Chandrasekharan K, Easwer HV and Narasimhaiah D: Glioblastoma with primitive neuronal component: An immunohistochemical study and review of literature. J Clin Neurosci. 93:130–136. 2021. View Article : Google Scholar : PubMed/NCBI | |
|
Shayganfar A, Ebrahimian S, Mahzouni P, Shirani F and Aalinezhad M: A review of glioblastoma tumors with primitive neuronal component and a case report of a patient with this uncommon tumor at a rare location. Clin Case Rep. 8:2600–2604. 2020. View Article : Google Scholar : PubMed/NCBI | |
|
Banan R and Hartmann C: The new WHO 2016 classification of brain tumors-what neurosurgeons need to know. Acta Neurochir (Wien). 159:403–418. 2017. View Article : Google Scholar : PubMed/NCBI | |
|
Tan CH, Phung TB and Xenos C: Glioblastoma with primitive neuronal pattern in a girl aged 3 months: A rare diagnosis at an unusual age. BMJ Case Rep. 2017:bcr20162186172017. View Article : Google Scholar : PubMed/NCBI | |
|
Vollmer K, Pantazis G, Añon J, Roelcke U and Schwyzer L: Spinal metastases of supratentorial glioblastoma with primitive neuronal component. World Neurosurg X. 2:1000192019. View Article : Google Scholar : PubMed/NCBI | |
|
Rong T, Zou W, Qiu X, Cui W, Zhang D, Wu B, Kang Z, Li W and Liu B: A rare manifestation of a presumed non-osteophilic brain neoplasm: Extensive axial skeletal metastases from glioblastoma with primitive neuronal components. Front Oncol. 11:7606972021. View Article : Google Scholar : PubMed/NCBI | |
|
Valvona CJ, Fillmore HL, Nunn PB and Pilkington GJ: The regulation and function of lactate dehydrogenase a: Therapeutic potential in brain tumor. Brain Pathol. 26:3–17. 2016. View Article : Google Scholar : PubMed/NCBI | |
|
Vaidya MM, Parikh RC, Dhake RD, Vaidya SU and Mahajan SD: Secondary glioblastoma with primitive neuronal component. Neurol India. 70:459–461. 2022.PubMed/NCBI | |
|
Tamai S, Kinoshita M, Sabit H, Furuta T, Miyashita K, Yoshimura K, Homma T, Harada K and Nakada M: Case of metastatic glioblastoma with primitive neuronal component to the lung. Neuropathology. 39:218–223. 2019.PubMed/NCBI | |
|
Sánchez-Ortega JF, Aguas-Valiente J, Sota-Ochoa P and Calatayud-Pérez J: Glioblastoma with primitive neuronal component: A case report and considerations of fluorescence-guided surgery. Surg Neurol Int. 11:1782020. View Article : Google Scholar : PubMed/NCBI | |
|
Kay MD, Pariury HE, Perry A, Winegar BA and Kuo PH: Extracranial metastases from glioblastoma with primitive neuronal components on FDG PET/CT. Clin Nucl Med. 45:e162–e164. 2020. View Article : Google Scholar : PubMed/NCBI | |
|
Georgiu C, MihuŢ E, Raus I, Mirescu ŞC, Szabo L and Şovrea AS: Pediatric glioblastoma with giant cells and ‘supratentorial’ primitive neuroectodermal component-case report and review of the literature. Rom J Morphol Embryol. 56:1165–1171. 2015.PubMed/NCBI | |
|
Chen YT, Hsu SS, Yip CM, Lai PH and Lee HP: Glioblastoma with both oligodendroglioma and primitive neuroectodermal tumor-like components in a case with 9-year survival. Case Rep Surg. 2018:13826802018.PubMed/NCBI | |
|
Hendrych M, Solar P, Hermanova M, Slaby O, Valekova H, Vecera M, Kopkova A, Mackerle Z, Kazda T, Pospisil P, et al: Spinal metastasis in a patient with supratentorial glioblastoma with primitive neuronal component: A case report with clinical and molecular evaluation. Diagnostics (Basel). 13:1812023. View Article : Google Scholar : PubMed/NCBI | |
|
Piña-Oviedo S, De León-Bojorge B, Cuesta-Mejías T, White MK, Ortiz-Hidalgo C, Khalili K and Valle LD: Glioblastoma multiforme with small cell neuronal-like component: Association with human neurotropic JC virus. Acta Neuropathol. 111:388–396. 2006. View Article : Google Scholar : PubMed/NCBI | |
|
Maekawa K, Tokumitsu T, Noguchi H, Nakamura E, Gi T, Horinouchi S, Yamashita S, Takeshima H, Asada Y and Sato Y: Glioblastoma mimicking metastatic small cell carcinoma: A case report with ultrastructural findings. Diagn Cytopathol. 49:E291–E296. 2021. View Article : Google Scholar : PubMed/NCBI | |
|
Le BH and Sandusky M: 81 year-old male with confusion and weakness. Brain Pathol. 20:867–870. 2010. View Article : Google Scholar : PubMed/NCBI | |
|
Kandemir NO, Bahadir B, Gül S, Karadayi N and Ozdamar SO: Glioblastoma with primitive neuroectodermal tumor-like features: Case report. Turk Neurosurg. 19:260–264. 2009.PubMed/NCBI | |
|
Forbes V and Vredenburgh J: Primitive neuroectodermal tumor with glioblastoma multiforme components in an adult: A collision tumor. Cureus. 8:e4562016.PubMed/NCBI | |
|
Prelaj A, Rebuzzi SE, Caffarena G, Berrìos JR, Pecorari S, Fusto C, Caporlingua A, Caporlingua F, Di Palma A, Magliocca FM, et al: Therapeutic approach in glioblastoma multiforme with primitive neuroectodermal tumor components: Case report and review of the literature. Oncol Lett. 15:6641–6647. 2018.PubMed/NCBI | |
|
Karina A, Jonker BP, Morey A, Selinger C, Gupta R and Buckland ME: Glioblastoma with primitive neuroectodermal tumour-like components. Pathology. 44:270–273. 2012.PubMed/NCBI | |
|
Konar SK, Bir SC, Maiti TK, Patra DP, Brahmbhatt AC, Jacobsohn JA and Nanda A: Early dural metastasis from a case of glioblastoma with primitive neuroectodermal differentiation: A case report and literature review. J Clin Neurosci. 35:78–81. 2017. View Article : Google Scholar : PubMed/NCBI | |
|
Ricard JA, Cramer SW, Charles R, Tommee CG, Le A, Bell WR, Chen CC and Flanagan ME: Infratentorial glioblastoma metastasis to bone. World Neurosurg. 131:90–94. 2019. View Article : Google Scholar : PubMed/NCBI | |
|
Alvarado AM, Salacz ME and Chamoun RB: Malignant glioma-primitive neuroectodermal tumor recurring as PNET-like only subdural collection: Case report. Surg Neurol Int. 8:2432017. View Article : Google Scholar : PubMed/NCBI | |
|
Kuhn SA, Hanisch UK, Ebmeier K, Beetz C, Brodhun M, Reichart R, Ewald C, Deufel T and Kalff R: A paediatric supratentorial primitive neuroectodermal tumour associated with malignant astrocytic transformation and a clonal origin of both components. Neurosurg Rev. 30:143–149. 2007. View Article : Google Scholar : PubMed/NCBI | |
|
Wan KR, King NK, Low SY, Sitoh YY, Lee HY, Wong CF and Ng WH: Synchronous multicentric glioblastoma with PNET and O subtypes: Possible pathogenesis. Surg Neurol Int. 5:312014. View Article : Google Scholar : PubMed/NCBI | |
|
Liu J, Keisling MP, Samkari A, Halligan G, Pascasio JM and Katsetos CD: Malignant glioma with primitive neuroectodermal tumor-like component (MG-PNET): Novel microarray findings in a pediatric patient. Clin Neuropathol. 35:353–367. 2016. View Article : Google Scholar : PubMed/NCBI | |
|
Suwala AK, Stichel D, Schrimpf D, Maas SLN, Sill M, Dohmen H, Banan R, Reinhardt A, Sievers P, Hinz F, et al: Glioblastomas with primitive neuronal component harbor a distinct methylation and copy-number profile with inactivation of TP53, PTEN, and RB1. Acta Neuropathol. 142:179–189. 2021. View Article : Google Scholar : PubMed/NCBI | |
|
Galloway M and Sim R: TTF-1 staining in glioblastoma multiforme. Virchows Arch. 451:109–111. 2007. View Article : Google Scholar : PubMed/NCBI | |
|
Puzyrenko A, Cochran E, Giorgadze T and Nomani L: Papillary glioneuronal tumors: Distinctive cytological characteristics and cyto-histologic correlation. Ann Diagn Pathol. 53:1517572021. View Article : Google Scholar : PubMed/NCBI | |
|
Duan ZJ, Yao K and Qi XL: Glioneuronal tumor with neuropil-like island: Report of four cases and review of literature. Zhonghua Bing Li Xue Za Zhi. 45:324–328. 2016.(In Chinese). PubMed/NCBI | |
|
Han S, Liu Y, Cai SJ, Qian M, Ding J, Larion M, Gilbert MR and Yang C: IDH mutation in glioma: Molecular mechanisms and potential therapeutic targets. Br J Cancer. 122:1580–1589. 2020. View Article : Google Scholar : PubMed/NCBI | |
|
Miller JJ: Targeting IDH-Mutant Glioma. Neurotherapeutics. 19:1724–1732. 2022. View Article : Google Scholar : PubMed/NCBI | |
|
Hartmann C, Meyer J, Balss J, Capper D, Mueller W, Christians A, Felsberg J, Wolter M, Mawrin C, Wick W, et al: Type and frequency of IDH1 and IDH2 mutations are related to astrocytic and oligodendroglial differentiation and age: A study of 1,010 diffuse gliomas. Acta Neuropathol. 118:469–474. 2009. View Article : Google Scholar : PubMed/NCBI | |
|
Yao J, Yi Y, Xia L and Wei L: Research progres on that relationship between IDH1/2 gene mutation and glioma. Chin J Neurosurg Dis. 16:81–83. 2017. | |
|
May JL, Kouri FM, Hurley LA, Liu J, Tommasini-Ghelfi S, Ji Y, Gao P, Calvert AE, Lee A, Chandel NS, et al: IDH3α regulates one-carbon metabolism in glioblastoma. Sci Adv. 5:eaat04562019. View Article : Google Scholar : PubMed/NCBI | |
|
Louis DN, Perry A, Wesseling P, Brat DJ, Cree IA, Figarella-Branger D, Hawkins C, Ng HK, Pfister SM, Reifenberger G, et al: The 2021 WHO classification of tumors of the central nervous system: A summary. Neuro Oncol. 23:1231–1251. 2021. View Article : Google Scholar : PubMed/NCBI | |
|
Liu Y, Chen H, Li G, Zhang J, Yao K, Wu C, Li S and Qiu X: Radiotherapy delays malignant transformation and prolongs survival in patients with IDH-mutant gliomas. Cancer Biol Med. 19:1477–1486. 2022. View Article : Google Scholar : PubMed/NCBI | |
|
Unruh D, Zewde M, Buss A, Drumm MR, Tran AN, Scholtens DM and Horbinski C: Methylation and transcription patterns are distinct in IDH mutant gliomas compared to other IDH mutant cancers. Sci Rep. 9:89462019. View Article : Google Scholar : PubMed/NCBI | |
|
Khotskaya YB, Holla VR, Farago AF, Shaw KRM, Meric-Bernstam F and Hong DS: Targeting TRK family proteins in cancer. Pharmacol Ther. 173:58–66. 2017. View Article : Google Scholar : PubMed/NCBI | |
|
Gatalica Z, Xiu J, Swensen J and Vranic S: Molecular characterization of cancers with NTRK gene fusions. Mod Pathol. 32:147–153. 2019. View Article : Google Scholar : PubMed/NCBI | |
|
Pekova B, Sykorova V, Mastnikova K, Vaclavikova E, Moravcova J, Vlcek P, Lastuvka P, Taudy M, Katra R, Bavor P, et al: NTRK fusion genes in thyroid carcinomas: Clinicopathological characteristics and their impacts on prognosis. Cancers (Basel). 13:19322021. View Article : Google Scholar : PubMed/NCBI | |
|
Xu G, Zheng H and Li JY: Next-generation whole exome sequencing of glioblastoma with a primitive neuronal component. Brain Tumor Pathol. 36:129–134. 2019. View Article : Google Scholar : PubMed/NCBI | |
|
Verdugo E, Puerto I and Medina MÁ: An update on the molecular biology of glioblastoma, with clinical implications and progress in its treatment. Cancer Commun (Lond). 42:1083–1111. 2022. View Article : Google Scholar : PubMed/NCBI | |
|
Cardia A, Epistolio S, Zaed I, Sahnane N, Cerutti R, Cipriani D, Barizzi J, Spina P, Stefanini FM, Cerati M, et al: Identification of MGMT downregulation induced by miRNA in glioblastoma and possible effect on temozolomide sensitivity. J Clin Med. 12:20612023. View Article : Google Scholar : PubMed/NCBI |