Spandidos Publications Logo
  • About
    • About Spandidos
    • Aims and Scopes
    • Abstracting and Indexing
    • Editorial Policies
    • Reprints and Permissions
    • Job Opportunities
    • Terms and Conditions
    • Contact
  • Journals
    • All Journals
    • Oncology Letters
      • Oncology Letters
      • Information for Authors
      • Editorial Policies
      • Editorial Board
      • Aims and Scope
      • Abstracting and Indexing
      • Bibliographic Information
      • Archive
    • International Journal of Oncology
      • International Journal of Oncology
      • Information for Authors
      • Editorial Policies
      • Editorial Board
      • Aims and Scope
      • Abstracting and Indexing
      • Bibliographic Information
      • Archive
    • Molecular and Clinical Oncology
      • Molecular and Clinical Oncology
      • Information for Authors
      • Editorial Policies
      • Editorial Board
      • Aims and Scope
      • Abstracting and Indexing
      • Bibliographic Information
      • Archive
    • Experimental and Therapeutic Medicine
      • Experimental and Therapeutic Medicine
      • Information for Authors
      • Editorial Policies
      • Editorial Board
      • Aims and Scope
      • Abstracting and Indexing
      • Bibliographic Information
      • Archive
    • International Journal of Molecular Medicine
      • International Journal of Molecular Medicine
      • Information for Authors
      • Editorial Policies
      • Editorial Board
      • Aims and Scope
      • Abstracting and Indexing
      • Bibliographic Information
      • Archive
    • Biomedical Reports
      • Biomedical Reports
      • Information for Authors
      • Editorial Policies
      • Editorial Board
      • Aims and Scope
      • Abstracting and Indexing
      • Bibliographic Information
      • Archive
    • Oncology Reports
      • Oncology Reports
      • Information for Authors
      • Editorial Policies
      • Editorial Board
      • Aims and Scope
      • Abstracting and Indexing
      • Bibliographic Information
      • Archive
    • Molecular Medicine Reports
      • Molecular Medicine Reports
      • Information for Authors
      • Editorial Policies
      • Editorial Board
      • Aims and Scope
      • Abstracting and Indexing
      • Bibliographic Information
      • Archive
    • World Academy of Sciences Journal
      • World Academy of Sciences Journal
      • Information for Authors
      • Editorial Policies
      • Editorial Board
      • Aims and Scope
      • Abstracting and Indexing
      • Bibliographic Information
      • Archive
    • International Journal of Functional Nutrition
      • International Journal of Functional Nutrition
      • Information for Authors
      • Editorial Policies
      • Editorial Board
      • Aims and Scope
      • Abstracting and Indexing
      • Bibliographic Information
      • Archive
    • International Journal of Epigenetics
      • International Journal of Epigenetics
      • Information for Authors
      • Editorial Policies
      • Editorial Board
      • Aims and Scope
      • Abstracting and Indexing
      • Bibliographic Information
      • Archive
    • Medicine International
      • Medicine International
      • Information for Authors
      • Editorial Policies
      • Editorial Board
      • Aims and Scope
      • Abstracting and Indexing
      • Bibliographic Information
      • Archive
  • Articles
  • Information
    • Information for Authors
    • Information for Reviewers
    • Information for Librarians
    • Information for Advertisers
    • Conferences
  • Language Editing
Spandidos Publications Logo
  • About
    • About Spandidos
    • Aims and Scopes
    • Abstracting and Indexing
    • Editorial Policies
    • Reprints and Permissions
    • Job Opportunities
    • Terms and Conditions
    • Contact
  • Journals
    • All Journals
    • Biomedical Reports
      • Information for Authors
      • Editorial Policies
      • Editorial Board
      • Aims and Scope
      • Abstracting and Indexing
      • Bibliographic Information
      • Archive
    • Experimental and Therapeutic Medicine
      • Information for Authors
      • Editorial Policies
      • Editorial Board
      • Aims and Scope
      • Abstracting and Indexing
      • Bibliographic Information
      • Archive
    • International Journal of Epigenetics
      • Information for Authors
      • Editorial Policies
      • Editorial Board
      • Aims and Scope
      • Abstracting and Indexing
      • Bibliographic Information
      • Archive
    • International Journal of Functional Nutrition
      • Information for Authors
      • Editorial Policies
      • Editorial Board
      • Aims and Scope
      • Abstracting and Indexing
      • Bibliographic Information
      • Archive
    • International Journal of Molecular Medicine
      • Information for Authors
      • Editorial Policies
      • Editorial Board
      • Aims and Scope
      • Abstracting and Indexing
      • Bibliographic Information
      • Archive
    • International Journal of Oncology
      • Information for Authors
      • Editorial Policies
      • Editorial Board
      • Aims and Scope
      • Abstracting and Indexing
      • Bibliographic Information
      • Archive
    • Medicine International
      • Information for Authors
      • Editorial Policies
      • Editorial Board
      • Aims and Scope
      • Abstracting and Indexing
      • Bibliographic Information
      • Archive
    • Molecular and Clinical Oncology
      • Information for Authors
      • Editorial Policies
      • Editorial Board
      • Aims and Scope
      • Abstracting and Indexing
      • Bibliographic Information
      • Archive
    • Molecular Medicine Reports
      • Information for Authors
      • Editorial Policies
      • Editorial Board
      • Aims and Scope
      • Abstracting and Indexing
      • Bibliographic Information
      • Archive
    • Oncology Letters
      • Information for Authors
      • Editorial Policies
      • Editorial Board
      • Aims and Scope
      • Abstracting and Indexing
      • Bibliographic Information
      • Archive
    • Oncology Reports
      • Information for Authors
      • Editorial Policies
      • Editorial Board
      • Aims and Scope
      • Abstracting and Indexing
      • Bibliographic Information
      • Archive
    • World Academy of Sciences Journal
      • Information for Authors
      • Editorial Policies
      • Editorial Board
      • Aims and Scope
      • Abstracting and Indexing
      • Bibliographic Information
      • Archive
  • Articles
  • Information
    • For Authors
    • For Reviewers
    • For Librarians
    • For Advertisers
    • Conferences
  • Language Editing
Login Register Submit
  • This site uses cookies
  • You can change your cookie settings at any time by following the instructions in our Cookie Policy. To find out more, you may read our Privacy Policy.

    I agree
Search articles by DOI, keyword, author or affiliation
Search
Advanced Search
presentation
Oncology Letters
Join Editorial Board Propose a Special Issue
Print ISSN: 1792-1074 Online ISSN: 1792-1082
Journal Cover
September-2023 Volume 26 Issue 3

Full Size Image

Sign up for eToc alerts
Recommend to Library

Journals

International Journal of Molecular Medicine

International Journal of Molecular Medicine

International Journal of Molecular Medicine is an international journal devoted to molecular mechanisms of human disease.

International Journal of Oncology

International Journal of Oncology

International Journal of Oncology is an international journal devoted to oncology research and cancer treatment.

Molecular Medicine Reports

Molecular Medicine Reports

Covers molecular medicine topics such as pharmacology, pathology, genetics, neuroscience, infectious diseases, molecular cardiology, and molecular surgery.

Oncology Reports

Oncology Reports

Oncology Reports is an international journal devoted to fundamental and applied research in Oncology.

Experimental and Therapeutic Medicine

Experimental and Therapeutic Medicine

Experimental and Therapeutic Medicine is an international journal devoted to laboratory and clinical medicine.

Oncology Letters

Oncology Letters

Oncology Letters is an international journal devoted to Experimental and Clinical Oncology.

Biomedical Reports

Biomedical Reports

Explores a wide range of biological and medical fields, including pharmacology, genetics, microbiology, neuroscience, and molecular cardiology.

Molecular and Clinical Oncology

Molecular and Clinical Oncology

International journal addressing all aspects of oncology research, from tumorigenesis and oncogenes to chemotherapy and metastasis.

World Academy of Sciences Journal

World Academy of Sciences Journal

Multidisciplinary open-access journal spanning biochemistry, genetics, neuroscience, environmental health, and synthetic biology.

International Journal of Functional Nutrition

International Journal of Functional Nutrition

Open-access journal combining biochemistry, pharmacology, immunology, and genetics to advance health through functional nutrition.

International Journal of Epigenetics

International Journal of Epigenetics

Publishes open-access research on using epigenetics to advance understanding and treatment of human disease.

Medicine International

Medicine International

An International Open Access Journal Devoted to General Medicine.

Journal Cover
September-2023 Volume 26 Issue 3

Full Size Image

Sign up for eToc alerts
Recommend to Library

  • Article
  • Citations
    • Cite This Article
    • Download Citation
    • Create Citation Alert
    • Remove Citation Alert
    • Cited By
  • Similar Articles
    • Related Articles (in Spandidos Publications)
    • Similar Articles (Google Scholar)
    • Similar Articles (PubMed)
  • Download PDF
  • Download XML
  • View XML
Article Open Access

Immunohistochemical detection of the chondroitin sulfate proteoglycan 4 protein in primary and metastatic melanoma

  • Authors:
    • Anna Grossauer
    • Karolina Uranowska
    • Melitta Kitzwögerer
    • Margit Mostegel
    • Heimo Breiteneder
    • Christine Hafner
  • View Affiliations / Copyright

    Affiliations: Department of Dermatology, University Hospital St. Poelten, Karl Landsteiner University of Health Sciences, A‑3100 St. Poelten, Austria, Department of Dermatology, University Hospital St. Poelten, Karl Landsteiner University of Health Sciences, A‑3100 St. Poelten, Austria, Department of Pathology, University Hospital St. Poelten, A‑3100 St. Poelten, Austria, Department of Pathology, University Hospital Krems, Karl Landsteiner University of Health Sciences, A‑3500 Krems an der Donau, Austria, Institute of Pathophysiology and Allergy Research, Center for Pathophysiology, Infectiology and Immunology, Medical University of Vienna, A‑1090 Vienna, Austria
    Copyright: © Grossauer et al. This is an open access article distributed under the terms of Creative Commons Attribution License.
  • Article Number: 382
    |
    Published online on: July 20, 2023
       https://doi.org/10.3892/ol.2023.13968
  • Expand metrics +
Metrics: Total Views: 0 (Spandidos Publications: | PMC Statistics: )
Metrics: Total PDF Downloads: 0 (Spandidos Publications: | PMC Statistics: )
Cited By (CrossRef): 0 citations Loading Articles...

This article is mentioned in:


Abstract

Treatment of malignant melanoma, the most aggressive form of skin cancer, continues to be a major challenge for clinicians. New targeted therapies with kinase inhibitors or drugs which modify the immune response are often accompanied by the development of resistance or severe side effects. In this context, chondroitin sulfate proteoglycan 4 (CSPG4), a highly immunogenic melanoma tumor antigen, could be a potential target for alternative therapeutic approaches. The aim of the present study was to identify differences in the levels of CSPG4 protein expression in primary and metastatic melanomas as well as to analyze correlations between CSPG4 expression and histopathological data and patient characteristics. A total of 189 melanoma tissue samples from Lower Austria, including primary melanomas and melanoma metastases, were immunohistochemically stained for the expression of CSPG4 and statistical analyses were performed. A total of 65.6% of melanoma tissue samples stained positive for the expression of CSPG4. Primary nodular and primary superficial spreading melanomas demonstrated a significantly higher number of positively stained tissue samples for CSPG4 compared with primary lentigo maligna melanomas. No significant differences in the expression of CSPG4 were demonstrated between primary melanomas and melanoma metastases. The present study supports the advancement of the understanding of CSPG4 tissue expression patterns in melanoma patients and provides additional information for further investigation of CSPG4 as a potential therapeutic target.

Introduction

Malignant melanoma continues to be a major challenge for clinicians with 324,635 newly diagnosed cases and 57,043 deaths worldwide in 2020 (1). According to the GLOBOCAN 2020 database, Austria has a moderate incidence of 13.5 cases per 100,000 person years (1). The data might however be underestimated as private pathology laboratories are not required to report the data to the national registry (2). Superficial spreading melanomas (SSM) represent the most common histopathological subtype in Central Europe, including Austria, followed by not otherwise specified (NOS) malignant melanomas and nodular melanomas (NM) (3). The majority of cutaneous melanomas confirmed using histopathology in Austria are classified as Tis or T1 (2). Melanomas in a more advanced stage, such as regional (III), distant (IV) or with a Breslow thickness >4 mm (pT4), were reported to present gender-related differences and to be more common in men than in women in Austria (2,4).

It previously been reported that ~50% of metastatic melanomas harbor a BRAF V600 activating mutation (5). Therefore, current therapeutic strategies include the combination of specific BRAF and MEK inhibitors (6–8). The use of the immune-checkpoint inhibitor ipilimumab, an anti-cytotoxic T-lymphocyte-associated protein 4 antibody, and the programmed cell death protein 1 inhibitors nivolumab and pembrolizumab demonstrate progress in the treatment of malignant melanoma (9–13). Despite the remarkable advances in targeted therapies and immunotherapy during the last decade, ~50% of patients with metastatic melanoma do not survive >5 years after diagnosis (13,14). Therefore, there is an urgent need for additional therapeutic targets to enable better management of melanoma patients.

In the search for new treatment approaches in melanoma therapy the chondroitin sulfate proteoglycan 4 (CSPG4) has been reported to be an important molecule involved in the oncogenic potential of melanoma (15). CSPG4, also termed human high molecular weight-melanoma associated antigen or melanoma-associated chondroitin sulfate proteoglycan, was reported as a glycoprotein-proteoglycan complex on human melanoma cells nearly 40 years ago (16). It is composed of a large extracellular domain, a transmembrane region and a short cytoplasmic tail (17). CSPG4 does not possess any catalytic function on its own but it associates with receptors that contain an intrinsic receptor tyrosine kinase activity (15). The mitogen-activated protein kinase/extracellular signal-regulated kinase (ERK) and the integrin-regulated focal adhesion kinase signaling pathway were proposed as the two major signaling pathways associated with CSPG4 activity (18). The enhanced downstream signaling of these pathways can promote tumor progression via cellular functions such as adhesion, migration, proliferation and survival (18). It has been reported that the cytoplasmic domain of CSPG4 contains a phospho-acceptor site at Thr-2314, which is phosphorylated by ERK1/2, which results in the stimulation of cell proliferation (19). Moreover, the expression of full length CSPG4 has been reported to be necessary for the maximal ERK1/2 activation in melanoma cells possessing a BRAF V600E mutation (20). Inhibition of CSPG4 with short interfering RNA has been reported to lead to a reduction in constitutive ERK1/2 activation (20). Consequently, inhibition of ERK1/2 with specific MEK inhibitors reduces CSPG4-dependent growth and the motility of BRAF-mutant cells (20).

Originally, expression of CSPG4 was only associated with malignant melanomas (21). In recent years the proteoglycan has also been reported to be present in numerous other cancer entities, including triple-negative breast cancer, glioma, squamous carcinoma of the head and neck (22), certain types of leukemia (23), pancreatic tumors (24), soft-tissue sarcomas (25), anaplastic thyroid cancer (26), osteosarcomas (27,28) and ovarian cancer (29).

CSPG4 expression in malignant melanoma has been reported to vary among the different histopathological subtypes (30–32). An early study by Kageshita et al (30) reported that CSPG4 expression in acral lentiginous melanoma (ALM) was significantly higher in metastatic lesions compared with primary lesions. This was observed both in terms of the number of tissue samples positively stained for CSPG4 and the percentage of stained melanoma cells within each lesion (30). Furthermore, Kageshita et al (30) reported that CSPG4 expression was more prevalent in primary NM lesions compared with primary ALM lesions and that the percentage of positively stained cells within each lesion was significantly higher in this subtype. Notably, CSPG4 expression in primary ALM lesions has been reported to be negatively associated with survival (30,33). In NM, the expression of CSPG4 was reported to be consistently high in both primary and metastatic lesions, with >90% of tissue samples demonstrating positive staining in each group (30). Similarly, in SSM, CSPG4 was expressed in the majority of stained cases (31). However, in mucosal melanoma, the frequency of CSPG4 expression was reported to be lower in primary lesions compared with metastatic lesions (32). A high expression of CSPG4 was demonstrated in ≤95% of uveal melanoma samples (34).

Certain approaches which make use of CSPG4 as a potential therapeutic target in the treatment of melanoma have already been reported, including monoclonal antibodies (35–40), mimotope vaccines (41,42), anti-idiotypic monoclonal antibodies (43–45), fusion proteins (46–48), CAR-T cells (27,49–54), bispecific T-cell engagers (55), antibody-drug conjugate (56) or targeted radioimmunotherapy (57–59). Those strategies rely on different mechanisms of action, as reviewed previously (60). Among these approaches, CAR-T cells targeting CSPG4 hold particular promise due to their ability to specifically recognize and eliminate CSPG4-expressing tumor cells, which makes them a highly attractive therapeutic option for further investigation in a clinical setting.

A more detailed analysis of CSPG4 expression in melanoma samples, including primary tumors as well as metastases, could support new approaches for melanoma therapy. Therefore, the present study assessed CSPG4 protein expression in melanoma tissue samples, both primary tumors and metastases, to evaluate the histopathological data as well as detailed patient characteristics.

Materials and methods

Patients and tissue samples

A total of 189 melanoma tissue samples were obtained from 159 Caucasian patients, who had been histologically diagnosed with primary melanoma (n=104) or a melanoma metastasis (n=85) at the Department of Pathology at the University Hospital Krems (Krems an der Donau, Austria) or at the Department of Pathology at the University Hospital St. Poelten (St. Poelten, Austria) between January 2010 and August 2018. Residual tissue samples were used for the present study. Clinicopathological data recorded with the samples included sex, age at diagnosis, histopathological subtype of primary melanomas (nodular, superficial spreading, lentigo maligna, acral lentiginous, mucosal or NOS), site of melanoma metastases (cutaneous, subcutaneous, lymph node, lung or other visceral metastases) and BRAF mutation status (wild type, V600E or V600K).

For primary melanoma tissue samples, the tumor thickness in mm (according to Breslow), the ulceration status and T classification were also evaluated (61). For routine histopathology, the formalin-fixed samples (10% buffered formalin) were placed in a Tissue-Tek VIP machine (Sakura Finetek Europe) overnight for dehydration and clearing, following the manufacturer's instructions. Samples were then embedded in paraffin, cut into 2–3 µm thick sections and stained using hematoxylin and eosin (Tissue-Tek Prisma H&E Stain Kit#1, cat. no. 6190; Sakura Finetek Europe), following the manufacturer's instruction. Routine immunohistochemistry (IHC) for HMB45, cytokeratin AE1/AE3, Melan A, S100, Vimentin, Ki-67 was performed using the fully-automated Benchmark ULTRA staining platform (Roche Tissue Diagnostics; Roche Diagnostics, Ltd) to support the histopathological diagnosis of primary malignant melanoma or melanoma metastasis. The following ready-to-use primary antibodies (Roche Diagnostics Ltd.) were used and the recommended staining procedure (temperature and duration of incubation) was applied: Anti-HMB45 mouse mAb (cat. no. 05479282001; incubation, 8 min at 36°C), anti-Pan Keratin mouse mAbs (cat. no. 05267145001; incubation, 8 min at 36°C), anti-Melan A mouse mAb (cat. no. 05278350001; incubation, 32 min at 36°C), anti-S100 mouse mAb (cat. no. 05278104001; incubation, 8 min at 36°C), anti-Vimentin mouse mAb (cat. no. 05278139001; incubation, 16 min at 36°C) and anti-Ki-67 rabbit mAb (cat. no. 05278384001; incubation, 16 min at 36°C). The antibodies were visualized using an UltraView Universal Detection Kit (cat. no. 760-501; Roche Diagnostics Ltd.) according to the manufacturer's instructions. Stained sections were examined using a light microscope (Olympus BX53; Olympus Europa SE & Co. KG). NOS melanomas were mainly punch biopsies that did not allow a more detailed diagnosis of the primary melanoma. The group ‘other visceral metastases’ comprised different parts of the gastrointestinal tract and other organ systems that occurred in a scattered manner in the sample group and were therefore pooled. The tumor (T) classification for primary melanomas was determined according to the eighth edition of the American Joint Committee on Cancer melanoma staging system (61). Information regarding the BRAF mutation status was obtained from data files for each sample. The routine testing procedure involved utilizing either the cobas 4800 BRAF V600 mutation test (Roche Diagnostics, Ltd) or the BRAF-strip Assay (ViennaLab Diagnostics GmbH). The study was performed in accordance with the Declaration of Helsinki and was approved by the Ethics Committee of the Karl Landsteiner University of Health Sciences (Krems an der Donau, Austria; approval no. 1031/2018).

CSPG4 staining and scoring

All tissue samples were stained for CSPG4 expression at the Department of Pathology at the University Hospital St. Poelten. Formalin-fixed paraffin-embedded tissue samples were deparaffinized and stained using the BenchMark XT automated immune-staining platform (Roche Tissue Diagnostics; Roche Diagnostics, Ltd) and the ultraView Universal DAB detection system (Roche Tissue Diagnostics; Roche Diagnostics, Ltd) according to the manufacturer's protocol. Briefly, heat-induced antigen retrieval was performed for 10 min at 95°C. Then the tissue sections were incubated in 3% H2O2 for 14 min at room temperature. Following this, Inhibitor CM (Roche Diagnostics Ltd.) was applied, and slides were incubated for 4 min at 37°C. Next, the sections were incubated with a mouse monoclonal antibody specific to CSPG4 (1:200; cat. no. ab50009; Abcam) overnight at 4°C. The slides were then incubated with OmniMap anti-Ms HRP for 16 min in conjunction with the ultraView Universal DAB detection system (cat. no. 760-700; Roche Diagnostics Ltd.), following the manufacturer's instructions. Between the steps, slides were washed with the Reaction buffer (Tris-based buffer, pH 7.6–7.8; cat. no. 950-300; Roche Diagnostics Ltd.). Finally, the samples were counterstained with Hematoxylin II (cat. no. 790-2208; Roche Diagnostics Ltd.) and Bluing Reagent (cat. no. 760-2037; Roche Diagnostics Ltd.) for 3 min at room temperature, and dehydrated in graded ethanol and xylene.

Scoring of tissue slides was performed independently by two investigators. Stained sections were examined using an Olympus BX53 microscope (Olympus Europa SE & Co. KG). Expression of CSPG4 was categorized visually according to a four-tiered scale as follows: i) 0, negative (a complete loss of CSPG4 expression); ii) +, weakly positive staining (<25% cells stained positive for CSPG4); iii) ++, moderately positive staining (25–50% cells stained positive for CSPG4); and iv) +++, strongly positive staining (>50% cells stained positive for CSPG4).

Statistical analysis

For statistical analysis, CSPG4 expression was dichotomized into positive (including +, ++ and +++) and negative groups. The T classification of primary melanomas was simplified to pT1-pT4 (pT1, tumor thickness according to Breslow ≤1 mm; pT2, >1-2 mm; pT3, >2-4 mm; and pT4, >4 mm) (61). The supplementary staging criterion non-ulcerated or ulcerated was considered as the separate variable ‘ulceration status of primary melanomas’. The numeric parameters, age at diagnosis and tumor thickness were tested for an association with CSPG4 expression using the Mann-Whitney-U test. Pearson's χ2 test was used to analyze associations between qualitative clinicopathological data and CSPG4 expression. When cells had an expected count of <5 in the crosstabulation, Fisher's Exact test was used instead of Pearson's χ2. For a more detailed analysis of significant results in the χ2 test or Fisher's Exact test the column proportion test (Z-test) and the Bonferroni method to adjust P-values for multiple comparisons were used. P<0.05 was considered to indicate a statistically significant difference. All statistical analyses were performed using SPSS Statistics, version 24.0 (IBM Corp.).

Results

Histopathological and clinical characteristics of the sample group

A total of 196 melanoma tissue samples were stained for CSPG4. CSPG4 expression could not be evaluated in seven samples due to technical reasons or missing tumor tissues. Therefore, the final data set included 189 melanoma tissue samples. Tables I and II presented the absolute frequencies for all characteristics of the sample group. A flowchart indicated the division and classification of the melanoma tumor samples (Fig. 1).

Figure 1.

Flowchart illustrating the classification of melanoma tumor samples. The numbers in parentheses illustrate the respective counts for each group.

Table I.

Association of CSPG4 expression and clinicopathological parameters.

Table I.

Association of CSPG4 expression and clinicopathological parameters.

Expression of CSPG4

Clinicopathological parametersSamples, nNegative, n (%)Positive, n (%)P-value
Sex 0.182a
  Female9236 (39.1)56 (60.9)
  Male9729 (29.9)68 (70.1)
Diagnosis 0.813a
  Primary melanoma10435 (33.7)69 (66.3)
  Melanoma metastasis8530 (35.3)55 (64.7)
Ulceration status of primary melanomas 0.742a
  Ulcerated3612 (33.3)24 (66.7)
  Non-ulcerated5015 (30.0)35 (70.0)
T classification of primary melanomas 1.000b
  pT13311 (33.3)22 (66.7)
  pT2134 (30.8)9 (69.2)
  pT3144 (28.6)10 (71.4)
  pT4268 (30.8)18 (69.2)
BRAF mutation status 0.214b
  Wild type4014 (35.0)26 (65.0)
  V600E326 (18.8)26 (81.3)
  V600K21 (50.0)1 (50.0)

a Pearson's χ2 test,

b Fisher's exact test. pT1-4, classification of primary melanoma according to AJCC (61); CSPG4, chondroitin sulfate proteoglycan 4.

Table II.

Association of CSPG4 expression and histopathological diagnosis.

Table II.

Association of CSPG4 expression and histopathological diagnosis.

Expression of CSPG4

Histopathological diagnosisSamples, nNegative, n (%)Positive, n (%)P-value
Primary melanoma subtypes 0.009a
  Nodular4110 (24.4)31 (75.6)
  Superficial spreading287 (25.0)21 (75.0)
  Lentigo maligna87 (87.5)1 (12.5)
  Acral lentiginous32 (66.7)1 (33.3)
  Mucosal115 (45.5)6 (54.5)
  Not otherwise specified134 (30.8)9 (69.2)
Site of melanoma metastases 0.882a
  Cutaneous73 (42.9)4 (57.1)
  Subcutaneous257 (28.0)18 (72.0)
  Lymph node207 (35.0)13 (65.0)
  Lung145 (35.7)9 (64.3)
  Other visceral metastases198 (42.1)11 (57.9)

a Fisher's exact test. CSPG4, chondroitin sulfate proteoglycan 4.

A total of 104 of the tissue samples (55.0%) were histologically diagnosed as primary melanomas and 85 (45.0%) as melanoma metastases (Table I and Fig. 1). Ninety-two of the tissue samples (48.7%) were obtained from female patients and 97 (51.3%) from male patients (Table I). The median age at diagnosis of the sample group was 71 years (range, 25–93 years). Data for tumor thickness, ulceration status and T classification were available for 86 primary melanomas. These data were not available for mucosal melanomas and for most of the NOS primary melanomas. The median tumor thickness (according to Breslow) of primary melanoma tissue samples was 2 mm (range, 0.2–25 mm), and 36 (41.9%) presented with an ulceration and 50 (58.1%) did not (Table I). A total of 33 of the primary melanoma tissue samples (38.4%) were classified as pT1, 13 (15.1%) as pT2, 14 (16.3%) as pT3 and 26 (30.2%) as pT4 (Table I). BRAF mutation status analyses were available for 74 tissue samples, including primary melanomas and melanoma metastases, and 32 (43.2%) samples demonstrated a BRAF V600E mutation (Table I). In terms of the histopathological subtype of the primary melanomas, NM were represented with the highest number (n=41; 39.4%), followed by SSM (n=28; 26.9%) (Table II and Fig. 1). Among the melanoma metastases group, the most common were subcutaneous metastases (n=25; 29.4%), followed by lymph node metastases (n=20; 23.5%) (Table II and Fig 1).

Immunohistochemical analysis of the expression of CSPG4

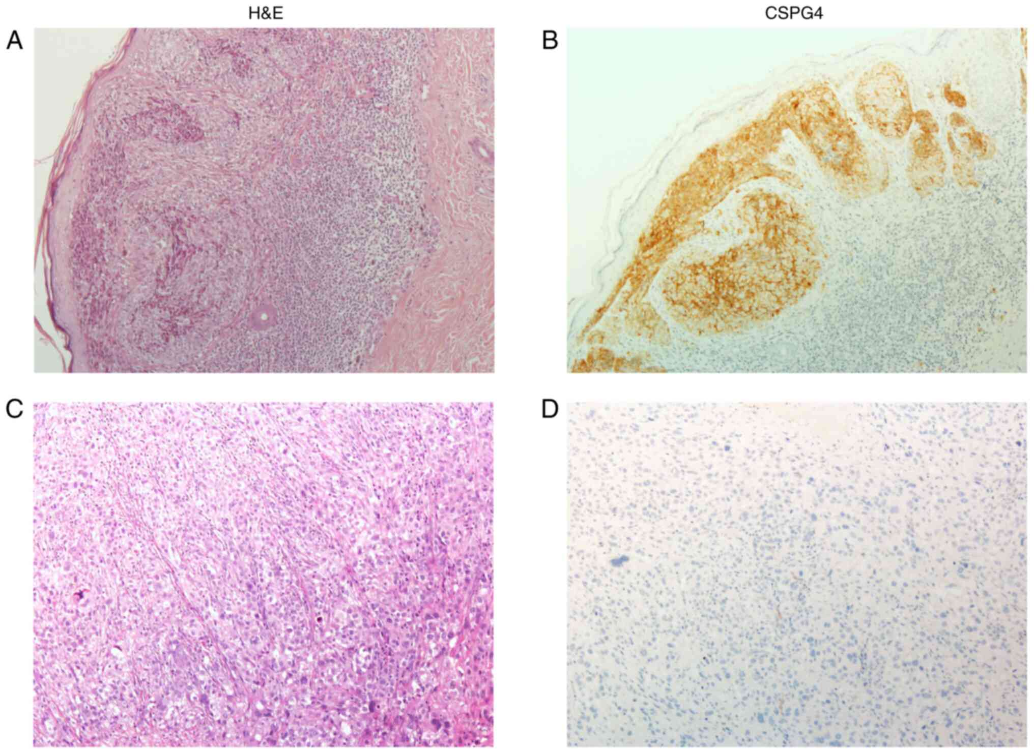
After staining the samples using CSPG4-specific antibodies, 124 samples (65.6%) were demonstrated to be positive for the expression of CSPG4. Among these, 47 (24.9%) were classified as +, 62 (32.8%) as ++, and 15 (7.9%) as +++. Sixty-five (34.4%) samples demonstrated no expression of CSPG4. No immunohistochemical staining for CSPG4 was demonstrated in the adjacent normal skin of the tumor tissues within the tissue samples, including both primary melanomas and cutaneous metastases (data not shown). Immunohistochemical analysis of CSPG4 expression in the sample group, which included a total of 189 melanoma tissue samples, was performed (Table III). Examples of H&E staining and CSPG4 staining for primary and metastatic melanomas were presented in Fig. 2.

Figure 2.

H&E and CSPG4 staining of representative primary melanoma and melanoma metastases. (A) Primary melanoma sample (magnification ×100). (B) Positive immunohistochemical staining of a primary melanoma with a mAb specific for CSPG4 (magnification, ×20). (C) Sample of a melanoma metastasis (magnification ×100). (D) Negative immunohistochemical staining of a melanoma metastasis with a mAb specific for CSPG4 (magnification, ×20). CSPG4, chondroitin sulfate proteoglycan 4; H&E, hematoxylin and eosin; mAb, monoclonal antibody.

Table III.

Immunohistochemical expression of CSPG4 in the sample group.

Table III.

Immunohistochemical expression of CSPG4 in the sample group.

Expression of CSPG4Samples, n (%)
Negative65 (34.4)
Positive
  +47 (24.9)
  ++62 (32.8)
  +++15 (7.9)
  Combined total124 (65.6)

[i] Percentage of the individual sample groups is relative to the total sample group (n=189). +, 1–24% of tumor cells express CSPG4; ++, 25–50% of tumor cells express CSPG4; +++, >50% of tumor cells express CSPG4. CSPG4, chondroitin sulfate proteoglycan 4.

Association between CSPG4 expression and clinicopathological characteristics

Details of the frequencies of positive and negative CSPG4 staining among the different clinicopathological parameters were presented (Table I). There was no significant association between the expression of CSPG4 in melanoma tissue samples and the demographic parameters sex (P=0.182) and age at diagnosis (P=0.121). Furthermore, no significant association with CSPG4 expression was demonstrated for tumor thickness (P=0.713), ulceration status (P=0.742) and T classification (P=1.000). The vast majority of BRAF V600E mutated tissue samples was stained positive for CSPG4 expression (n=26; 81.3%) and only few samples with a BRAF V600E mutation demonstrated no CSPG4 expression (n=6; 18.8%).

CSPG4 expression in primary melanomas and melanoma metastases

Frequencies of CSPG4 expression among the different primary melanoma subtypes and the different sites of melanoma metastases were summarized (Table II). There was a significant association between primary melanoma subtypes and CSPG4 protein expression (P=0.009). Therefore, a further evaluation was performed using the column proportion test (Z-test) in SPSS to evaluate which subtypes demonstrated significant differences. This analysis demonstrated that the number of primary nodular (P=0.009) and SSM lesions (P=0.021) stained positive for CSPG4 was significantly higher than the number of primary lentigo maligna melanomas (LMM). Primary nodular (n=31; 75.6%), primary superficial spreading (n=21; 75.0%) and mucosal (n=6; 54.5%) melanomas demonstrated positive staining for CSPG4 expression. However, only 1/8 (12.5%) primary LMM and 1/3 (33.3%) ALM demonstrated CSPG4 expression (Table II). No significant association was demonstrated (P=0.882) regarding the site of melanoma metastases. CSPG4 expression demonstrated a comparable distribution between negative and positive CSPG4 expression across different metastatic sites, including cutaneous, subcutaneous, lymph node, lung and other visceral metastases (Table II).

In total 69 (66.3%) of the primary melanoma tissue samples stained positive for the expression of CSPG4 and 35 (33.7%) samples were negative (Table I). Fifty-five (64.7%) samples in the melanoma metastases group were positive for CSPG4 expression and 30 (35.3%) were negative (Table I). There was no significant difference in the frequency of CSPG4 expression between the primary melanoma and melanoma metastases groups (P=0.813) (Table I).

Discussion

CSPG4 is a transmembrane proteoglycan involved in the oncogenic potential of malignant melanoma through numerous cellular mechanisms (15). Determining the expression of CSPG4 among a large number of primary and metastatic melanoma lesion samples may contribute to the demonstration of the clinical significance of CSPG4 and to defining its role in new treatment approaches. Previous studies have reported differences in the expression of the proteoglycan among the different histopathological subtypes of primary and metastatic malignant melanoma lesions (30–32). The present study demonstrated significant differences in CSPG4 protein expression in an analysis of a large number of archived melanoma tissue samples, including primary and metastatic lesions, from different histopathological subtypes.

As it has been reported that melanoma represents an underestimated disease burden in Austria, research on this topic is of importance (2). To the best of our knowledge, the present study represents the largest collection of melanoma samples systematically analyzed for the expression of a melanoma antigen in the region of Lower Austria to date. It should be noted that patients who underwent primary surgical intervention in a hospital setup tended to have thicker primary melanomas. Consequently, there was a higher frequency of nodular melanomas observed in these cases (Table II). It is important to acknowledge, that the data presented in the present study represents the collection of tumor materials from a specific group of institutions within a defined period of time.

The majority of tissue samples included in the present study demonstrated positive staining for the expression of CSPG4, both in the primary melanoma and melanoma metastases groups (Table I). An early study reported by Natali et al (21) in 1983 reported higher (>75%) percentages of melanoma tissue samples which stained positive for the expression of CSPG4. The reported differences in the number of tissue samples staining positive for the expression of CSPG4 may be attributed to the use of different antibodies that target distinct determinants of the proteoglycan. The monoclonal antibody used in the present study was validated for its suitability to stain formalin-fixed paraffin-embedded tissue samples specifically for CSPG4.

There was no significant difference in the frequency of CSPG4 expression between primary melanoma and melanoma metastasis lesions in the study population (Table I), which supported the previous hypothesis that CSPG4 already has an impact in the formation process of metastases (15). A higher frequency of cells which expressed CSPG4 in metastatic lesions than in primary ones has, to the best of our knowledge, only previously been described for ALM and mucosal melanomas (30,32). Given that the sample cohort in the present study primarily included NM and SSM, no statistically significant differences were demonstrated between primary and metastatic tumor samples. Further studies examining the detailed mechanisms of up- and down-regulation of CSPG4 expression in primary and metastatic lesions would therefore be of interest.

No correlation was demonstrated between CSPG4 expression and clinicopathological parameters, such as sex, age, BRAF mutation status, tumor thickness, ulceration status and T-classification of primary melanomas in the present study (Table I). A previous study by Kageshita et al (33) which also tested for an association between the factors such as age and stage of disease, and CSPG4 expression among primary ALM tissue samples, reported a significance between these clinical parameters and CSPG4 expression in this subtype of primary melanomas. The same study also reported an inverse correlation between CSPG4 expression and survival in primary ALM lesions, which emphasized the prognostic significance of CSPG4 (33). A significant finding in survival analysis has only been observed thus far in primary ALM lesions for CSPG4-expressing melanomas. Unfortunately, due to limitations of the study protocol, no information on the treatment status of the patients from whom samples were collected was available; as a result, it was not possible to calculate the correlation between the expression of CSPG4 and treatment modalities or overall survival within the study cohort.

The BRAF mutational status was available for 74 (39.1%) tissue samples in the present study (Table I). As analysis of the BRAF mutational status has been available only in the recent years, it has not been performed for all tissue samples in the present study, some of which date back to the year 2010.

The present study demonstrated that the vast majority of tissue samples with a confirmed BRAF V600E mutation also expressed CSPG4 (Table I). This finding supported the observations made in an earlier study which reported that CSPG4 seemed to function with an important role in a strong and sustained activation of ERK1,2 in BRAF-mutant melanoma cell lines (20). A detailed analysis of CSPG4 expression in BRAF-mutant melanomas is of importance when defining the role of this proteoglycan in tumor advancement and regarding it as a potential therapeutic target. Indeed, Yu et al (36) reported that a combination therapy of the BRAF-selective inhibitor vemurafenib with the CSPG4-specific monoclonal antibody (mAb) 225.28 resulted in a more effective inhibition of CSPG4-positive melanoma cells with a BRAF V600E mutation. The addition of mAb 225.28 to vemurafenib was also reported to delay the development of resistance to this therapy (36), which further supported the oncogenic potential of CSPG4 in BRAF mutant melanomas. It has also been reported that CSPG4-specific anti-225D9+-TT polyclonal antibodies enhanced the anti-proliferative effects of the BRAF inhibitor, PLX4032, in melanoma cells (62). In addition, a recent study reported that when combined with PLX4032, the anti-CSPG4 mAb 9.2.27 contributed to a significant, additional inhibition of melanoma cell viability, compared with cells treated with BRAF inhibitor alone (37).

The present study demonstrate a high prevalence of CSPG4 expression in primary NM and primary SSM (Table II), and in line with previous reports (30,31), CSPG4 was expressed in a distinct majority of stained tissue samples in these subtypes of primary melanomas. In primary LMM the frequency of CSPG4 expression was significantly lower than that in NM and SSM (Table II) and, to the best of our knowledge, the present study is the first to describe this significant difference. Previous studies had only reported a significantly lower frequency of cells which expressed CSPG4 in primary ALM tissue samples (30,31). In this retrospective analysis of CSPG4 expression in primary melanomas a low frequency of primary ALM tissue samples that stained positive for CSPG4 were observed. However, this result was not significant, which might be due to the small sample number of primary ALMs included in the present study (Table II). As ALMs are not that common in the Caucasian population (63), only a limited number of samples were available for inclusion in the present study.

It would be valuable to perform a prospective analysis of CSPG4 expression in a substantial number of melanoma tissue samples both before and after treatment with kinase inhibitors, as well as other treatment approaches such as immunotherapy. Our group has previously reported that CSPG4 expression is downregulated after treatment with a BRAF/MEK inhibitor by retrospectively analyzing a small number of patient-derived tumor samples (64). It has been reported that shedding of tumor antigens, such as carcinoembryonic antigen into the blood circulation could potentially suppress antitumor CD8+ T-cell function (65). It could be hypothesized that a similar phenomenon might occur for CSPG4.

In summary, the present study utilized a cohort of melanoma tissue samples from Lower Austria, which provided valuable insights into the expression profile of CSPG4 in this specific Caucasian population. By correlating CSPG4 expression with both histopathological characteristics and patient characteristics, w the clinical relevance and potential implications of CSPG4 expression in melanoma subtypes was demonstrated, which laid the foundation for personalized treatment strategies. Notably, the present study demonstrated a previously unreported finding of low CSPG4 expression in LMM within this particular population, which adds to our understanding of the heterogeneity of CSPG4 expression in melanoma.

Acknowledgements

The authors wish to acknowledge Mag. Konrad Kogler and Dipl. Ing. Alfred Zens (NÖ Landesgesundheitsagentur, the legal entity of University Hospitals in Lower Austria), for their contribution in providing the organizational framework for conducting this research.

Funding

The present study was funded by the NÖ Forschungs-und Bildungsges.m.b.H. (grant no. LSC15-007). The authors also acknowledge the support of the Open Access Publishing Fund of the Karl Landsteiner University of Health Sciences.

Availability of data and materials

The datasets used and/or analyzed during the current study are available from the corresponding author upon reasonable request.

Authors' contributions

AG and CH conceived and designed the study, and analyzed and interpreted the data. KU and HB participated in designing the study and in analyzing the data. MK and MM analyzed and interpreted the data. CH and HB confirm the authenticity of all the raw data. AG, CH, KU and HB wrote the manuscript. All authors have read and revised the manuscript, and approved the final version.

Ethics approval and consent to participate

All histopathological samples and clinical data were obtained from the collection of patient samples at the Department of Pathology at the University Hospital St. Poelten, Karl Landsteiner University of Health Sciences and the Department of Pathology at the University Hospital Krems, Karl Landsteiner University of Health Sciences. The collection and storage of archival tissue samples and data were performed according to local ethical guidelines. The study was conducted in accordance with the Declaration of Helsinki and was approved by the Ethics Committee of the Karl Landsteiner University (Krems an der Donau, Austria; approval no. 1031/2018). Informed patient consent was not required due to the retrospective nature of this study, in accordance with local ethical guidelines.

Patient consent for publication

Not applicable.

Competing interests

The authors declare that they have no competing interests.

Glossary

Abbreviations

Abbreviations:

ALM

acral lentiginous melanoma

CAR

chimeric antigen receptor

CSPG4

chondroitin sulfate proteoglycan 4

ERK

extracellular signal-regulated kinase

H&E

hematoxylin and eosin

LMM

lentigo maligna melanoma

mAb

monoclonal antibody

MEK

mitogen-activated protein kinase kinase

NM

nodular melanoma

NOS

not otherwise specified

SSM

superficial spreading melanoma

References

1 

World Health Organization, International Agency for Research on Cancer (IARC), . GLOBOCAN 2020: Estimated incidence, mortality and prevalence rates in 2020, melanoma of skin. Available from:. http://gco.iarc.fr/today/homeFeb 15–2022

2 

Monshi B, Vujic M, Kivaranovic D, Sesti A, Oberaigner W, Vujic I, Ortiz-Urda S, Posch C, Feichtinger H, Hackl M and Rappersberger K: The burden of malignant melanoma-lessons to be learned from Austria. Eur J Cancer. 56:45–53. 2016. View Article : Google Scholar : PubMed/NCBI

3 

Crocetti E, Mallone S, Robsahm TE, Gavin A, Agius D, Ardanaz E, Lopez MC, Innos K, Minicozzi P, Borgognoni L, et al: Survival of patients with skin melanoma in Europe increases further: Results of the EUROCARE-5 study. Eur J Cancer. 51:2179–2190. 2015. View Article : Google Scholar : PubMed/NCBI

4 

Duschek N, Skvara H, Kittler H, Delir G, Fink A, Pinkowicz A and Waldhor T: Melanoma epidemiology of Austria reveals gender-related differences. Eur J Dermatol. 23:872–878. 2013. View Article : Google Scholar : PubMed/NCBI

5 

Platz A, Egyhazi S, Ringborg U and Hansson J: Human cutaneous melanoma; a review of NRAS and BRAF mutation frequencies in relation to histogenetic subclass and body site. Mol Oncol. 1:395–405. 2008. View Article : Google Scholar : PubMed/NCBI

6 

Larkin J, Ascierto PA, Dreno B, Atkinson V, Liszkay G, Maio M, Mandala M, Demidov L, Stroyakovskiy D, Thomas L, et al: Combined vemurafenib and cobimetinib in BRAF-mutated melanoma. N Engl J Med. 371:1867–1876. 2014. View Article : Google Scholar : PubMed/NCBI

7 

Robert C, Karaszewska B, Schachter J, Rutkowski P, Mackiewicz A, Stroiakovski D, Lichinitser M, Dummer R, Grange F, Mortier L, et al: Improved overall survival in melanoma with combined dabrafenib and trametinib. N Engl J Med. 372:30–39. 2015. View Article : Google Scholar : PubMed/NCBI

8 

Long GV, Stroyakovskiy D, Gogas H, Levchenko E, de Braud F, Larkin J, Garbe C, Jouary T, Hauschild A, Grob JJ, et al: Dabrafenib and trametinib versus dabrafenib and placebo for Val600 BRAF-mutant melanoma: A multicentre, double-blind, phase 3 randomised controlled trial. Lancet. 386:444–451. 2015. View Article : Google Scholar : PubMed/NCBI

9 

Hodi FS, O'Day SJ, McDermott DF, Weber RW, Sosman JA, Haanen JB, Gonzalez R, Robert C, Schadendorf D, Hassel JC, et al: Improved survival with ipilimumab in patients with metastatic melanoma. N Engl J Med. 363:711–723. 2010. View Article : Google Scholar : PubMed/NCBI

10 

Eggermont AM, Chiarion-Sileni V, Grob JJ, Dummer R, Wolchok JD, Schmidt H, Hamid O, Robert C, Ascierto PA, Richards JM, et al: Adjuvant ipilimumab versus placebo after complete resection of high-risk stage III melanoma (EORTC 18071): A randomised, double-blind, phase 3 trial. Lancet Oncol. 16:522–530. 2015. View Article : Google Scholar : PubMed/NCBI

11 

Weber J, Mandala M, Del Vecchio M, Gogas HJ, Arance AM, Cowey CL, Dalle S, Schenker M, Chiarion-Sileni V, Marquez-Rodas I, et al: Adjuvant Nivolumab versus ipilimumab in resected stage III or IV melanoma. N Engl J Med. 377:1824–1835. 2017. View Article : Google Scholar : PubMed/NCBI

12 

Robert C, Schachter J, Long GV, Arance A, Grob JJ, Mortier L, Daud A, Carlino MS, McNeil C, Lotem M, et al: Pembrolizumab versus ipilimumab in advanced melanoma. N Engl J Med. 372:2521–2532. 2015. View Article : Google Scholar : PubMed/NCBI

13 

Schachter J, Ribas A, Long GV, Arance A, Grob JJ, Mortier L, Daud A, Carlino MS, McNeil C, Lotem M, et al: Pembrolizumab versus ipilimumab for advanced melanoma: Final overall survival results of a multicentre, randomised, open-label phase 3 study (KEYNOTE-006). Lancet. 390:1853–1862. 2017. View Article : Google Scholar : PubMed/NCBI

14 

Ribas A, Lawrence D, Atkinson V, Agarwal S, Miller WH Jr, Carlino MS, Fisher R, Long GV, Hodi FS, Tsoi J, et al: Combined BRAF and MEK inhibition with PD-1 blockade immunotherapy in BRAF-mutant melanoma. Nat Med. 25:936–940. 2019. View Article : Google Scholar : PubMed/NCBI

15 

Price MA, Wanshura LE, Yang J, Carlson J, Xiang B, Li G, Ferrone S, Dudek AZ, Turley EA and McCarthy JB: CSPG4, a potential therapeutic target, facilitates malignant progression of melanoma. Pigment Cell Melanoma Res. 24:1148–1157. 2011. View Article : Google Scholar : PubMed/NCBI

16 

Bumol TF and Reisfeld RA: Unique glycoprotein-proteoglycan complex defined by monoclonal antibody on human melanoma cells. Proc Natl Acad Sci USA. 79:1245–1249. 1982. View Article : Google Scholar : PubMed/NCBI

17 

Pluschke G, Vanek M, Evans A, Dittmar T, Schmid P, Itin P, Filardo EJ and Reisfeld RA: Molecular cloning of a human melanoma-associated chondroitin sulfate proteoglycan. Proc Natl Acad Sci USA. 93:9710–9715. 1996. View Article : Google Scholar : PubMed/NCBI

18 

Yang J, Price MA, Neudauer CL, Wilson C, Ferrone S, Xia H, Iida J, Simpson MA and McCarthy JB: Melanoma chondroitin sulfate proteoglycan enhances FAK and ERK activation by distinct mechanisms. J Cell Biol. 165:881–891. 2004. View Article : Google Scholar : PubMed/NCBI

19 

Makagiansar IT, Williams S, Mustelin T and Stallcup WB: Differential phosphorylation of NG2 proteoglycan by ERK and PKCalpha helps balance cell proliferation and migration. J Cell Biol. 178:155–165. 2007. View Article : Google Scholar : PubMed/NCBI

20 

Yang J, Price MA, Li GY, Bar-Eli M, Salgia R, Jagedeeswaran R, Carlson JH, Ferrone S, Turley EA and McCarthy JB: Melanoma proteoglycan modifies gene expression to stimulate tumor cell motility, growth, and epithelial-to-mesenchymal transition. Cancer Res. 69:7538–7547. 2009. View Article : Google Scholar : PubMed/NCBI

21 

Natali PG, Giacomini P, Russo C, Steinbach G, Fenoglio C and Ferrone S: Antigenic profile of human melanoma cells. Analysis with monoclonal antibodies to histocompatibility antigens and to melanoma-associated antigens. J Cutan Pathol. 10:225–237. 1983. View Article : Google Scholar : PubMed/NCBI

22 

Wang X, Wang Y, Yu L, Sakakura K, Visus C, Schwab JH, Ferrone CR, Favoino E, Koya Y, Campoli MR, et al: CSPG4 in cancer: Multiple roles. Curr Mol Med. 10:419–429. 2010. View Article : Google Scholar : PubMed/NCBI

23 

Fenton M, Whiteside TL, Ferrone S and Boyiadzis M: Chondroitin sulfate proteoglycan-4 (CSPG4)-specific monoclonal antibody 225.28 in detection of acute myeloid leukemia blasts. Oncol Res. 22:117–121. 2015. View Article : Google Scholar : PubMed/NCBI

24 

Keleg S, Titov A, Heller A, Giese T, Tjaden C, Ahmad SS, Gaida MM, Bauer AS, Werner J and Giese NA: Chondroitin sulfate proteoglycan CSPG4 as a novel hypoxia-sensitive marker in pancreatic tumors. PLoS One. 9:e1001782014. View Article : Google Scholar : PubMed/NCBI

25 

Hsu SC, Nadesan P, Puviindran V, Stallcup WB, Kirsch DG and Alman BA: Effects of chondroitin sulfate proteoglycan 4 (NG2/CSPG4) on soft-tissue sarcoma growth depend on tumor developmental stage. J Biol Chem. 293:2466–2475. 2018. View Article : Google Scholar : PubMed/NCBI

26 

Egan CE, Stefanova D, Ahmed A, Raja VJ, Thiesmeyer JW, Chen KJ, Greenberg JA, Zhang T, He B, Finnerty BM, et al: CSPG4 is a potential therapeutic target in anaplastic thyroid cancer. Thyroid. 31:1481–1493. 2021.PubMed/NCBI

27 

Beard RE, Zheng Z, Lagisetty KH, Burns WR, Tran E, Hewitt SM, Abate-Daga D, Rosati SF, Fine HA, Ferrone S, et al: Multiple chimeric antigen receptors successfully target chondroitin sulfate proteoglycan 4 in several different cancer histologies and cancer stem cells. J Immunother Cancer. 2:252014. View Article : Google Scholar : PubMed/NCBI

28 

Riccardo F, Tarone L, Iussich S, Giacobino D, Arigoni M, Sammartano F, Morello E, Martano M, Gattino F, De Maria R, et al: Identification of CSPG4 as a promising target for translational combinatorial approaches in osteosarcoma. Ther Adv Med Oncol. 11:17588359198554912019. View Article : Google Scholar : PubMed/NCBI

29 

Yang J, Liao Q, Price M, Moriarity B, Wolf N, Felices M, Miller JS, Geller MA, Bendzick L, Hopps R, et al: Chondroitin sulfate proteoglycan 4, a targetable oncoantigen that promotes ovarian cancer growth, invasion, cisplatin resistance and spheroid formation. Transl Oncol. 16:1013182022. View Article : Google Scholar : PubMed/NCBI

30 

Kageshita T, Nakamura T, Yamada M, Kuriya N, Arao T and Ferrone S: Differential expression of melanoma associated antigens in acral lentiginous melanoma and in nodular melanoma lesions. Cancer Res. 51:1726–1732. 1991.PubMed/NCBI

31 

Nishi H, Inoue Y, Kageshita T, Takata M and Ihn H: The expression of human high molecular weight melanoma-associated antigen in acral lentiginous melanoma. Biosci Trends. 4:86–89. 2010.PubMed/NCBI

32 

Kageshita T, Kimura T, Yoshi A, Hirai S, Ono T and Ferrone S: Antigenic profile of mucosal melanoma lesions. Int J Cancer. 56:370–374. 1994. View Article : Google Scholar : PubMed/NCBI

33 

Kageshita T, Kuriya N, Ono T, Horikoshi T, Takahashi M, Wong GY and Ferrone S: Association of high molecular weight melanoma-associated antigen expression in primary acral lentiginous melanoma lesions with poor prognosis. Cancer Res. 53:2830–2833. 1993.PubMed/NCBI

34 

Li Y, Madigan MC, Lai K, Conway RM, Billson FA, Crouch R and Allen BJ: Human uveal melanoma expresses NG2 immunoreactivity. Br J Ophthalmol. 87:629–632. 2003. View Article : Google Scholar : PubMed/NCBI

35 

Hafner C, Breiteneder H, Ferrone S, Thallinger C, Wagner S, Schmidt WM, Jasinska J, Kundi M, Wolff K, Zielinski CC, et al: Suppression of human melanoma tumor growth in SCID mice by a human high molecular weight-melanoma associated antigen (HMW-MAA) specific monoclonal antibody. Int J Cancer. 114:426–432. 2005. View Article : Google Scholar : PubMed/NCBI

36 

Yu L, Favoino E, Wang Y, Ma Y, Deng X and Wang X: The CSPG4-specific monoclonal antibody enhances and prolongs the effects of the BRAF inhibitor in melanoma cells. Immunol Res. 50:294–302. 2011. View Article : Google Scholar : PubMed/NCBI

37 

Uranowska K, Samadaei M, Kalic T, Pinter M, Breiteneder H and Hafner C: A chondroitin sulfate proteoglycan 4-specific monoclonal antibody inhibits melanoma cell invasion in a spheroid model. Int J Oncol. 59:702021. View Article : Google Scholar : PubMed/NCBI

38 

Schroff RW, Woodhouse CS, Foon KA, Oldham RK, Farrell MM, Klein RA and Morgan AC Jr: Intratumor localization of monoclonal antibody in patients with melanoma treated with antibody to a 250,000-dalton melanoma-associated antigen. J Natl Cancer Inst. 74:299–306. 1985.PubMed/NCBI

39 

Schroff RW, Morgan AC Jr, Woodhouse CS, Abrams PG, Farrell MM, Carpenter BE, Oldham RK and Foon KA: Monoclonal antibody therapy in malignant melanoma: Factors effecting in vivo localization. J Biol Response Mod. 6:457–472. 1987.PubMed/NCBI

40 

Oldham RK, Foon KA, Morgan AC, Woodhouse CS, Schroff RW, Abrams PG, Fer M, Schoenberger CS, Farrell M and Kimball E: Monoclonal antibody therapy of malignant melanoma: In vivo localization in cutaneous metastasis after intravenous administration. J Clin Oncol. 2:1235–1244. 1984. View Article : Google Scholar : PubMed/NCBI

41 

Wagner S, Hafner C, Allwardt D, Jasinska J, Ferrone S, Zielinski CC, Scheiner O, Wiedermann U, Pehamberger H and Breiteneder H: Vaccination with a human high molecular weight melanoma-associated antigen mimotope induces a humoral response inhibiting melanoma cell growth in vitro. J Immunol. 174:976–982. 2005. View Article : Google Scholar : PubMed/NCBI

42 

Wagner S, Krepler C, Allwardt D, Latzka J, Strommer S, Scheiner O, Pehamberger H, Wiedermann U, Hafner C and Breiteneder H: Reduction of human melanoma tumor growth in severe combined immunodeficient mice by passive transfer of antibodies induced by a high molecular weight melanoma-associated antigen mimotope vaccine. Clin Cancer Res. 14:8178–8183. 2008. View Article : Google Scholar : PubMed/NCBI

43 

Mittelman A, Chen ZJ, Yang H, Wong GY and Ferrone S: Human high molecular weight melanoma-associated antigen (HMW-MAA) mimicry by mouse anti-idiotypic monoclonal antibody MK2-23: Induction of humoral anti-HMW-MAA immunity and prolongation of survival in patients with stage IV melanoma. Proc Natl Acad Sci USA. 89:466–470. 1992. View Article : Google Scholar : PubMed/NCBI

44 

Wang X, Ko EC, Peng L, Gillies SD and Ferrone S: Human high molecular weight melanoma-associated antigen mimicry by mouse anti-idiotypic monoclonal antibody MK2-23: Enhancement of immunogenicity of anti-idiotypic monoclonal antibody MK2-23 by fusion with interleukin 2. Cancer Res. 65:6976–6983. 2005. View Article : Google Scholar : PubMed/NCBI

45 

Mittelman A, Chen ZJ, Kageshita T, Yang H, Yamada M, Baskind P, Goldberg N, Puccio C, Ahmed T and Arlin Z: Active specific immunotherapy in patients with melanoma. A clinical trial with mouse antiidiotypic monoclonal antibodies elicited with syngeneic anti-high-molecular-weight-melanoma-associated antigen monoclonal antibodies. J Clin Invest. 86:2136–2144. 1990. View Article : Google Scholar : PubMed/NCBI

46 

de Bruyn M, Rybczynska AA, Wei Y, Schwenkert M, Fey GH, Dierckx RA, van Waarde A, Helfrich W and Bremer E: Melanoma-associated chondroitin sulfate proteoglycan (MCSP)-targeted delivery of soluble TRAIL potently inhibits melanoma outgrowth in vitro and in vivo. Mol Cancer. 9:3012010. View Article : Google Scholar : PubMed/NCBI

47 

Jordaan S, Chetty S, Mungra N, Koopmans I, van Bommel PE, Helfrich W and Barth S: CSPG4: A target for selective delivery of human cytolytic fusion proteins and TRAIL. Biomedicines. 5:372017. View Article : Google Scholar : PubMed/NCBI

48 

Schwenkert M, Birkholz K, Schwemmlein M, Kellner C, Kugler M, Peipp M, Nettelbeck DM, Schuler-Thurner B, Schaft N, Dörrie J, et al: A single chain immunotoxin, targeting the melanoma-associated chondroitin sulfate proteoglycan, is a potent inducer of apoptosis in cultured human melanoma cells. Melanoma Res. 18:73–84. 2008. View Article : Google Scholar : PubMed/NCBI

49 

Geldres C, Savoldo B, Hoyos V, Caruana I, Zhang M, Yvon E, Del Vecchio M, Creighton CJ, Ittmann M, Ferron S and Dotti G: T lymphocytes redirected against the chondroitin sulfate proteoglycan-4 control the growth of multiple solid tumors both in vitro and in vivo. Clin Cancer Res. 20:962–971. 2014. View Article : Google Scholar : PubMed/NCBI

50 

Abken H, Hombach A, Heuser C and Reinhold U: A novel strategy in the elimination of disseminated melanoma cells: Chimeric receptors endow T cells with tumor specificity. Recent Results Cancer Res. 158:249–264. 2001. View Article : Google Scholar : PubMed/NCBI

51 

Burns WR, Zhao Y, Frankel TL, Hinrichs CS, Zheng Z, Xu H, Feldman SA, Ferrone S, Rosenberg SA and Morgan RA: A high molecular weight melanoma-associated antigen-specific chimeric antigen receptor redirects lymphocytes to target human melanomas. Cancer Res. 70:3027–3033. 2010. View Article : Google Scholar : PubMed/NCBI

52 

Wang Y, Geldres C, Ferrone S and Dotti G: Chondroitin sulfate proteoglycan 4 as a target for chimeric antigen receptor-based T-cell immunotherapy of solid tumors. Expert Opin Ther Targets. 19:1339–1350. 2015. View Article : Google Scholar : PubMed/NCBI

53 

Krug C, Birkholz K, Paulus A, Schwenkert M, Schmidt P, Hoffmann N, Hombach A, Fey G, Abken H, Schuler G, et al: Stability and activity of MCSP-specific chimeric antigen receptors (CARs) depend on the scFv antigen-binding domain and the protein backbone. Cancer Immunol Immunother. 64:1623–1635. 2015. View Article : Google Scholar : PubMed/NCBI

54 

Wiesinger M, Marz J, Kummer M, Schuler G, Dorrie J, Schuler-Thurner B and Schaft N: Clinical-scale production of CAR-T cells for the treatment of melanoma patients by mRNA transfection of a CSPG4-specific CAR under full GMP compliance. Cancers (Basel). 11:11982019. View Article : Google Scholar : PubMed/NCBI

55 

Torisu-Itakura H, Schoellhammer HF, Sim MS, Irie RF, Hausmann S, Raum T, Baeuerle PA and Morton DL: Redirected lysis of human melanoma cells by a MCSP/CD3-bispecific BiTE antibody that engages patient-derived T cells. J Immunother. 34:597–605. 2011. View Article : Google Scholar : PubMed/NCBI

56 

Hoffmann RM, Crescioli S, Mele S, Sachouli E, Cheung A, Chui CK, Andriollo P, Jackson PJM, Lacy KE, Spicer JF, et al: A novel antibody-drug conjugate (ADC) delivering a DNA mono-alkylating payload to chondroitin sulfate proteoglycan (CSPG4)-expressing melanoma. Cancers (Basel). 12:10292020. View Article : Google Scholar : PubMed/NCBI

57 

Allen BJ, Singla AA, Rizvi SM, Graham P, Bruchertseifer F, Apostolidis C and Morgenstern A: Analysis of patient survival in a phase I trial of systemic targeted alpha-therapy for metastatic melanoma. Immunotherapy. 3:1041–1050. 2011. View Article : Google Scholar : PubMed/NCBI

58 

Allen BJ, Raja C, Rizvi S, Li Y, Tsui W, Graham P, Thompson JF, Reisfeld RA and Kearsley J: Intralesional targeted alpha therapy for metastatic melanoma. Cancer Biol Ther. 4:1318–1324. 2005. View Article : Google Scholar : PubMed/NCBI

59 

Raja C, Graham P, Rizvi SM, Song E, Goldsmith H, Thompson J, Bosserhoff A, Morgenstern A, Apostolidis C, Kearsley J, et al: Interim analysis of toxicity and response in phase 1 trial of systemic targeted alpha therapy for metastatic melanoma. Cancer Biol Ther. 6:846–852. 2007. View Article : Google Scholar : PubMed/NCBI

60 

Ilieva KM, Cheung A, Mele S, Chiaruttini G, Crescioli S, Griffin M, Nakamura M, Spicer JF, Tsoka S, Lacy KE, et al: Chondroitin sulfate proteoglycan 4 and its potential as an antibody immunotherapy target across different tumor types. Front Immunol. 8:19112017. View Article : Google Scholar : PubMed/NCBI

61 

Gershenwald JE, Scolyer RA, Hess KR, Sondak VK, Long GV, Ross MI, Lazar AJ, Faries MB, Kirkwood JM, McArthur GA, et al: Melanoma staging: evidence-based changes in the American Joint Committee on Cancer eighth edition cancer staging manual. CA Cancer J Clin. 67:472–492. 2017. View Article : Google Scholar : PubMed/NCBI

62 

Pucciarelli D, Lengger N, Takacova M, Csaderova L, Bartosova M, Breiteneder H, Pastorekova S and Hafner C: Anti-chondroitin sulfate proteoglycan 4-specific antibodies modify the effects of vemurafenib on melanoma cells differentially in normoxia and hypoxia. Int J Oncol. 47:81–90. 2015. View Article : Google Scholar : PubMed/NCBI

63 

Wang Y, Zhao Y and Ma S: Racial differences in six major subtypes of melanoma: Descriptive epidemiology. BMC Cancer. 16:69112016. View Article : Google Scholar

64 

Uranowska K, Kalic T, Valtsanidis V, Kitzwögerer M, Breiteneder H and Hafner C: Expression of chondroitin sulfate proteoglycan 4 (CSPG4) in melanoma cells is downregulated upon inhibition of BRAF. Oncol Rep. 45:142021. View Article : Google Scholar : PubMed/NCBI

65 

Hochst B and Diehl L: Antigen shedding into the circulation contributes to tumor immune escape. Oncoimmunology. 1:1620–1622. 2012. View Article : Google Scholar : PubMed/NCBI

Related Articles

  • Abstract
  • View
  • Download
  • Twitter
Copy and paste a formatted citation
Spandidos Publications style
Grossauer A, Uranowska K, Kitzwögerer M, Mostegel M, Breiteneder H and Hafner C: Immunohistochemical detection of the chondroitin sulfate proteoglycan 4 protein in primary and metastatic melanoma. Oncol Lett 26: 382, 2023.
APA
Grossauer, A., Uranowska, K., Kitzwögerer, M., Mostegel, M., Breiteneder, H., & Hafner, C. (2023). Immunohistochemical detection of the chondroitin sulfate proteoglycan 4 protein in primary and metastatic melanoma. Oncology Letters, 26, 382. https://doi.org/10.3892/ol.2023.13968
MLA
Grossauer, A., Uranowska, K., Kitzwögerer, M., Mostegel, M., Breiteneder, H., Hafner, C."Immunohistochemical detection of the chondroitin sulfate proteoglycan 4 protein in primary and metastatic melanoma". Oncology Letters 26.3 (2023): 382.
Chicago
Grossauer, A., Uranowska, K., Kitzwögerer, M., Mostegel, M., Breiteneder, H., Hafner, C."Immunohistochemical detection of the chondroitin sulfate proteoglycan 4 protein in primary and metastatic melanoma". Oncology Letters 26, no. 3 (2023): 382. https://doi.org/10.3892/ol.2023.13968
Copy and paste a formatted citation
x
Spandidos Publications style
Grossauer A, Uranowska K, Kitzwögerer M, Mostegel M, Breiteneder H and Hafner C: Immunohistochemical detection of the chondroitin sulfate proteoglycan 4 protein in primary and metastatic melanoma. Oncol Lett 26: 382, 2023.
APA
Grossauer, A., Uranowska, K., Kitzwögerer, M., Mostegel, M., Breiteneder, H., & Hafner, C. (2023). Immunohistochemical detection of the chondroitin sulfate proteoglycan 4 protein in primary and metastatic melanoma. Oncology Letters, 26, 382. https://doi.org/10.3892/ol.2023.13968
MLA
Grossauer, A., Uranowska, K., Kitzwögerer, M., Mostegel, M., Breiteneder, H., Hafner, C."Immunohistochemical detection of the chondroitin sulfate proteoglycan 4 protein in primary and metastatic melanoma". Oncology Letters 26.3 (2023): 382.
Chicago
Grossauer, A., Uranowska, K., Kitzwögerer, M., Mostegel, M., Breiteneder, H., Hafner, C."Immunohistochemical detection of the chondroitin sulfate proteoglycan 4 protein in primary and metastatic melanoma". Oncology Letters 26, no. 3 (2023): 382. https://doi.org/10.3892/ol.2023.13968
Follow us
  • Twitter
  • LinkedIn
  • Facebook
About
  • Spandidos Publications
  • Careers
  • Cookie Policy
  • Privacy Policy
How can we help?
  • Help
  • Live Chat
  • Contact
  • Email to our Support Team