Spandidos Publications Logo
  • About
    • About Spandidos
    • Aims and Scopes
    • Abstracting and Indexing
    • Editorial Policies
    • Reprints and Permissions
    • Job Opportunities
    • Terms and Conditions
    • Contact
  • Journals
    • All Journals
    • Oncology Letters
      • Oncology Letters
      • Information for Authors
      • Editorial Policies
      • Editorial Board
      • Aims and Scope
      • Abstracting and Indexing
      • Bibliographic Information
      • Archive
    • International Journal of Oncology
      • International Journal of Oncology
      • Information for Authors
      • Editorial Policies
      • Editorial Board
      • Aims and Scope
      • Abstracting and Indexing
      • Bibliographic Information
      • Archive
    • Molecular and Clinical Oncology
      • Molecular and Clinical Oncology
      • Information for Authors
      • Editorial Policies
      • Editorial Board
      • Aims and Scope
      • Abstracting and Indexing
      • Bibliographic Information
      • Archive
    • Experimental and Therapeutic Medicine
      • Experimental and Therapeutic Medicine
      • Information for Authors
      • Editorial Policies
      • Editorial Board
      • Aims and Scope
      • Abstracting and Indexing
      • Bibliographic Information
      • Archive
    • International Journal of Molecular Medicine
      • International Journal of Molecular Medicine
      • Information for Authors
      • Editorial Policies
      • Editorial Board
      • Aims and Scope
      • Abstracting and Indexing
      • Bibliographic Information
      • Archive
    • Biomedical Reports
      • Biomedical Reports
      • Information for Authors
      • Editorial Policies
      • Editorial Board
      • Aims and Scope
      • Abstracting and Indexing
      • Bibliographic Information
      • Archive
    • Oncology Reports
      • Oncology Reports
      • Information for Authors
      • Editorial Policies
      • Editorial Board
      • Aims and Scope
      • Abstracting and Indexing
      • Bibliographic Information
      • Archive
    • Molecular Medicine Reports
      • Molecular Medicine Reports
      • Information for Authors
      • Editorial Policies
      • Editorial Board
      • Aims and Scope
      • Abstracting and Indexing
      • Bibliographic Information
      • Archive
    • World Academy of Sciences Journal
      • World Academy of Sciences Journal
      • Information for Authors
      • Editorial Policies
      • Editorial Board
      • Aims and Scope
      • Abstracting and Indexing
      • Bibliographic Information
      • Archive
    • International Journal of Functional Nutrition
      • International Journal of Functional Nutrition
      • Information for Authors
      • Editorial Policies
      • Editorial Board
      • Aims and Scope
      • Abstracting and Indexing
      • Bibliographic Information
      • Archive
    • International Journal of Epigenetics
      • International Journal of Epigenetics
      • Information for Authors
      • Editorial Policies
      • Editorial Board
      • Aims and Scope
      • Abstracting and Indexing
      • Bibliographic Information
      • Archive
    • Medicine International
      • Medicine International
      • Information for Authors
      • Editorial Policies
      • Editorial Board
      • Aims and Scope
      • Abstracting and Indexing
      • Bibliographic Information
      • Archive
  • Articles
  • Information
    • Information for Authors
    • Information for Reviewers
    • Information for Librarians
    • Information for Advertisers
    • Conferences
  • Language Editing
Spandidos Publications Logo
  • About
    • About Spandidos
    • Aims and Scopes
    • Abstracting and Indexing
    • Editorial Policies
    • Reprints and Permissions
    • Job Opportunities
    • Terms and Conditions
    • Contact
  • Journals
    • All Journals
    • Biomedical Reports
      • Information for Authors
      • Editorial Policies
      • Editorial Board
      • Aims and Scope
      • Abstracting and Indexing
      • Bibliographic Information
      • Archive
    • Experimental and Therapeutic Medicine
      • Information for Authors
      • Editorial Policies
      • Editorial Board
      • Aims and Scope
      • Abstracting and Indexing
      • Bibliographic Information
      • Archive
    • International Journal of Epigenetics
      • Information for Authors
      • Editorial Policies
      • Editorial Board
      • Aims and Scope
      • Abstracting and Indexing
      • Bibliographic Information
      • Archive
    • International Journal of Functional Nutrition
      • Information for Authors
      • Editorial Policies
      • Editorial Board
      • Aims and Scope
      • Abstracting and Indexing
      • Bibliographic Information
      • Archive
    • International Journal of Molecular Medicine
      • Information for Authors
      • Editorial Policies
      • Editorial Board
      • Aims and Scope
      • Abstracting and Indexing
      • Bibliographic Information
      • Archive
    • International Journal of Oncology
      • Information for Authors
      • Editorial Policies
      • Editorial Board
      • Aims and Scope
      • Abstracting and Indexing
      • Bibliographic Information
      • Archive
    • Medicine International
      • Information for Authors
      • Editorial Policies
      • Editorial Board
      • Aims and Scope
      • Abstracting and Indexing
      • Bibliographic Information
      • Archive
    • Molecular and Clinical Oncology
      • Information for Authors
      • Editorial Policies
      • Editorial Board
      • Aims and Scope
      • Abstracting and Indexing
      • Bibliographic Information
      • Archive
    • Molecular Medicine Reports
      • Information for Authors
      • Editorial Policies
      • Editorial Board
      • Aims and Scope
      • Abstracting and Indexing
      • Bibliographic Information
      • Archive
    • Oncology Letters
      • Information for Authors
      • Editorial Policies
      • Editorial Board
      • Aims and Scope
      • Abstracting and Indexing
      • Bibliographic Information
      • Archive
    • Oncology Reports
      • Information for Authors
      • Editorial Policies
      • Editorial Board
      • Aims and Scope
      • Abstracting and Indexing
      • Bibliographic Information
      • Archive
    • World Academy of Sciences Journal
      • Information for Authors
      • Editorial Policies
      • Editorial Board
      • Aims and Scope
      • Abstracting and Indexing
      • Bibliographic Information
      • Archive
  • Articles
  • Information
    • For Authors
    • For Reviewers
    • For Librarians
    • For Advertisers
    • Conferences
  • Language Editing
Login Register Submit
  • This site uses cookies
  • You can change your cookie settings at any time by following the instructions in our Cookie Policy. To find out more, you may read our Privacy Policy.

    I agree
Search articles by DOI, keyword, author or affiliation
Search
Advanced Search
presentation
Oncology Letters
Join Editorial Board Propose a Special Issue
Print ISSN: 1792-1074 Online ISSN: 1792-1082
Journal Cover
October-2023 Volume 26 Issue 4

Full Size Image

Sign up for eToc alerts
Recommend to Library

Journals

International Journal of Molecular Medicine

International Journal of Molecular Medicine

International Journal of Molecular Medicine is an international journal devoted to molecular mechanisms of human disease.

International Journal of Oncology

International Journal of Oncology

International Journal of Oncology is an international journal devoted to oncology research and cancer treatment.

Molecular Medicine Reports

Molecular Medicine Reports

Covers molecular medicine topics such as pharmacology, pathology, genetics, neuroscience, infectious diseases, molecular cardiology, and molecular surgery.

Oncology Reports

Oncology Reports

Oncology Reports is an international journal devoted to fundamental and applied research in Oncology.

Experimental and Therapeutic Medicine

Experimental and Therapeutic Medicine

Experimental and Therapeutic Medicine is an international journal devoted to laboratory and clinical medicine.

Oncology Letters

Oncology Letters

Oncology Letters is an international journal devoted to Experimental and Clinical Oncology.

Biomedical Reports

Biomedical Reports

Explores a wide range of biological and medical fields, including pharmacology, genetics, microbiology, neuroscience, and molecular cardiology.

Molecular and Clinical Oncology

Molecular and Clinical Oncology

International journal addressing all aspects of oncology research, from tumorigenesis and oncogenes to chemotherapy and metastasis.

World Academy of Sciences Journal

World Academy of Sciences Journal

Multidisciplinary open-access journal spanning biochemistry, genetics, neuroscience, environmental health, and synthetic biology.

International Journal of Functional Nutrition

International Journal of Functional Nutrition

Open-access journal combining biochemistry, pharmacology, immunology, and genetics to advance health through functional nutrition.

International Journal of Epigenetics

International Journal of Epigenetics

Publishes open-access research on using epigenetics to advance understanding and treatment of human disease.

Medicine International

Medicine International

An International Open Access Journal Devoted to General Medicine.

Journal Cover
October-2023 Volume 26 Issue 4

Full Size Image

Sign up for eToc alerts
Recommend to Library

  • Article
  • Citations
    • Cite This Article
    • Download Citation
    • Create Citation Alert
    • Remove Citation Alert
    • Cited By
  • Similar Articles
    • Related Articles (in Spandidos Publications)
    • Similar Articles (Google Scholar)
    • Similar Articles (PubMed)
  • Download PDF
  • Download XML
  • View XML
Case Report Open Access

A pancreatic adenocarcinoma mimicking hepatoid carcinoma of uncertain histogenesis: A case report and literature review

  • Authors:
    • Andreea Iliesiu
    • Radu-Valeriu Toma
    • Ana Maria Ciongariu
    • Radu Costea
    • Narcis Zarnescu
    • Liviu Bîlteanu
  • View Affiliations / Copyright

    Affiliations: Department of Pathology, University Emergency Hospital of Bucharest, Bucharest 014461, Romania, Faculty of General Medicine, ‘Carol Davila’ University of Medicine and Pharmacy, Bucharest 050474, Romania, Oncological Institute ‘Alexandru Trestioreanu’, Bucharest 022328, Romania
    Copyright: © Iliesiu et al. This is an open access article distributed under the terms of Creative Commons Attribution License.
  • Article Number: 442
    |
    Published online on: August 28, 2023
       https://doi.org/10.3892/ol.2023.14029
  • Expand metrics +
Metrics: Total Views: 0 (Spandidos Publications: | PMC Statistics: )
Metrics: Total PDF Downloads: 0 (Spandidos Publications: | PMC Statistics: )
Cited By (CrossRef): 0 citations Loading Articles...

This article is mentioned in:



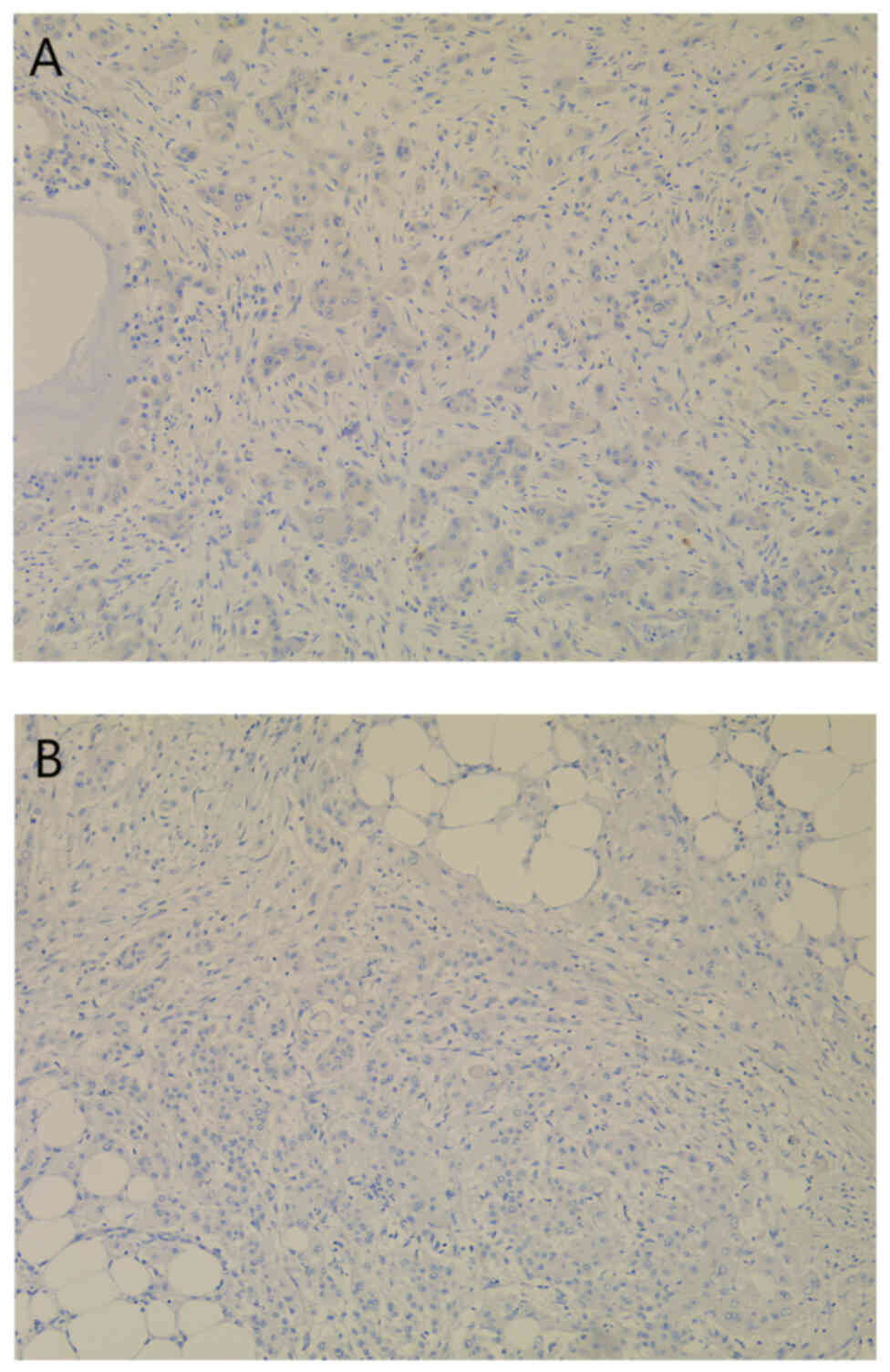
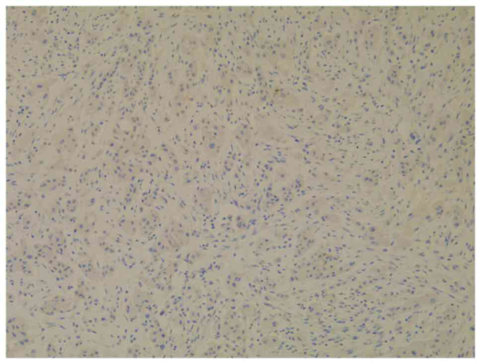
Abstract

In rare cases, metastatic adenocarcinomas of different origin may exhibit the features of hepatoid carcinoma (HC), a rare malignant epithelial tumor, most commonly occurring in the ovaries and stomach, as well as in the pancreas and biliary ducts. A case of a 72‑year‑old female patient who developed a highly aggressive, poorly differentiated pancreatic ductal adenocarcinoma with peritoneal carcinomatosis, demonstrating hepatoid differentiation upon conventional hematoxylin and eosin staining is reported in the present study. The patient presented with severe abdominal pain, and the radiological investigations performed revealed ovarian and hepatic tumor masses and peritoneal lesions, which were surgically removed. The gross examination of the peritoneum and omentum revealed multiple solid, firm, grey‑white nodules, diffusely infiltrating the adipose tissue. The microscopic examination revealed a malignant epithelial proliferation, composed of polygonal cells with abundant eosinophilic cytoplasm and irregular, pleomorphic nuclei. Certain cells presented with intracytoplasmic mucus inclusions, raising suspicion of a HC with an uncertain histogenesis. Immunohistochemical staining was performed, and the tumor cells were found to be positive for cytokeratin (CK)7, CK18 and mucin 5AC, whereas negative staining for CK20, caudal‑type homeobox transcription factor 2, α‑fetoprotein, paired box gene 8, GATA‑binding protein 3 and Wilms tumor 1 were documented. Thus, the diagnosis of metastatic pancreatic adenocarcinoma was established. The main aim of the present study was to provide further knowledge concerning poorly differentiated metastatic adenocarcinoma resembling HC, emphasizing the histopathological and immunohistochemical features of these malignant lesions and raising awareness of the diagnostic difficulties that may arise, as well as the importance of the use immunohistochemistry in differentiating carcinomas of uncertain histogenesis.
View Figures

Figure 1

Figure 2

Figure 3

Figure 4

Figure 5

Figure 6

View References

1 

Choi WK, Cho DH, Yim CY and Lee NR: Primary hepatoid carcinoma of the ovary: A case report and review of the literature. Medicine (Baltimore). 99:e200512020. View Article : Google Scholar : PubMed/NCBI

2 

Stamatova D, Theilmann L and Spiegelberg C: A hepatoid carcinoma of the pancreatic head. Sur Case Rep. 2:782016. View Article : Google Scholar

3 

Soofi Y, Kanehira K, Abbas A, Aranez J, Bain A and Ylagan L: Pancreatic hepatoid carcinoma: A rare form of pancreatic neoplasm. Diagn Cytopathol. 43:251–256. 2015. View Article : Google Scholar : PubMed/NCBI

4 

Chen TC, Huang SC, Chang HC, Yeh TS, Ng KF and Chen TC: Hepatoid microcarcinoma of the pancreas: A case report and review of the literature. Chang Gung Med J. 35:285–291. 2012.PubMed/NCBI

5 

Vanoli A, Argenti F, Vinci A, La Rosa S, Viglio A, Riboni R, Necchi V, Pugliese L, Sessa F, Pietrabissa A and Paulli M: Hepatoid carcinoma of the pancreas with lymphoid stroma: First description of the clinical, morphological, immunohistochemical, and molecular characteristics of an unusual pancreatic carcinoma. Virchows Arch. 467:237–245. 2015. View Article : Google Scholar : PubMed/NCBI

6 

Zeng SX, Tan SW, Fong CJTH, Liang Q, Zhao BL, Liu K, Guo J and Tao J: Hepatoid carcinoma of the pancreas: A case report and review of the literature. World J Clin Cases. 8:1116–1128. 2020. View Article : Google Scholar : PubMed/NCBI

7 

Uribe Rivera AK, Alvarez Larraondo M, Taxa Rojas L, Bravo Taxa M and Zevallos Cardenas A: Hepatoid carcinoma of the ovary-A case report and literature review. Gynecol Oncol Rep. 32:1005642020. View Article : Google Scholar : PubMed/NCBI

8 

Acosta AM and Pins MR: Hepatoid carcinoma of the ovary: Clinical, histopathologic, and immunophenotypic features. Arch Pathol Lab Med. 143:883–889. 2019. View Article : Google Scholar : PubMed/NCBI

9 

Karakas Y, Lacin S and Yalcin S: Recent advances in the management of pancreatic adenocarcinoma. Expert Rev Anticancer Ther. 18:51–62. 2018. View Article : Google Scholar : PubMed/NCBI

10 

Tesfaye AA, Kamgar M, Azmi A and Philip PA: The evolution into personalized therapies in pancreatic ductal adenocarcinoma: Challenges and opportunities. Expert Rev Anticancer Ther. 18:131–148. 2018. View Article : Google Scholar : PubMed/NCBI

11 

Tijeras-Raballand A, Hilmi M, Astorgues-Xerri L, Nicolle R, Bièche I and Neuzillet C: Microbiome and pancreatic ductal adenocarcinoma. Clin Res Hepatol Gastroenterol. 45:1015892021. View Article : Google Scholar : PubMed/NCBI

12 

Attiyeh MA, Amini A, Chung V and Melstrom LG: Multidisciplinary management of locally advanced pancreatic adenocarcinoma: Biology is King. J Surg Oncol. 123:1395–1404. 2021. View Article : Google Scholar : PubMed/NCBI

13 

Ogden J, Xie H, Ma W and Hubbard J: The management of older adults with pancreatic adenocarcinoma. Geriatrics. 3:852018. View Article : Google Scholar : PubMed/NCBI

14 

Ushio J, Kanno A, Ikeda E, Ando K, Nagai H, Miwata T, Kawasaki Y, Tada Y, Yokoyama K, Numao N, et al: Pancreatic ductal adenocarcinoma: Epidemiology and risk factors. Diagnostics (Basel). 11:5622021. View Article : Google Scholar : PubMed/NCBI

15 

Panchal K, Sahoo RK, Gupta U and Chaurasiya A: Role of targeted immunotherapy for pancreatic ductal adenocarcinoma (PDAC) treatment: An overview. Int Immunopharmacol. 95:1075082021. View Article : Google Scholar : PubMed/NCBI

16 

Pang Y, Holmes MV, Chen Z and Kartsonaki C: A review of lifestyle, metabolic risk factors, and blood-based biomarkers for early diagnosis of pancreatic ductal adenocarcinoma. J Gastroenterol Hepatol. 34:330–345. 2019. View Article : Google Scholar : PubMed/NCBI

17 

Sikdar N, Saha G, Dutta A, Ghosh S, Shrikhande SV and Banerjee S: Genetic alterations of periampullary and pancreatic ductal adenocarcinoma: An overview. Curr Genomics. 19:444–463. 2018. View Article : Google Scholar : PubMed/NCBI

18 

Garcia-Carbonero N, Li W, Cabeza-Morales M, Martinez-Useros J and Garcia-Foncillas J: New Hope for pancreatic ductal adenocarcinoma treatment targeting endoplasmic reticulum stress response: A systematic review. Int J Mol Sci. 19:24682018. View Article : Google Scholar : PubMed/NCBI

19 

Chappuis PO, Ghadirian P and Foulkes WD: The role of genetic factors in the etiology of pancreatic adenocarcinoma: An update. Cancer Inve. 19:65–75. 2001. View Article : Google Scholar

20 

Duvillié B, Kourdoughli R, Druillennec S, Eychène A and Pouponnot C: Interplay between diabetes and pancreatic ductal adenocarcinoma and insulinoma: The role of aging, genetic factors, and obesity. Front Endocrinol (Lausanne). 11:5632672020. View Article : Google Scholar : PubMed/NCBI

21 

Eskelinen MJ and Haglund UH: Prognosis of human pancreatic adenocarcinoma: Review of clinical and histopathological variables and possible uses of new molecular methods. Eur J Surg. 165:292–306. 1999. View Article : Google Scholar : PubMed/NCBI

22 

Diaz KE and Lucas AL: Familial pancreatic ductal adenocarcinoma. Am J Pathol. 189:36–43. 2019. View Article : Google Scholar : PubMed/NCBI

23 

Bellotti R, Speth C, Adolph TE, Lass-Flörl C, Effenberger M, Öfner D and Maglione M: Micro- and mycobiota dysbiosis in pancreatic ductal adenocarcinoma development. Cancers (Basel). 13:34312021. View Article : Google Scholar : PubMed/NCBI

24 

Bou Zerdan M, Shatila M, Sarwal D, Bouferraa Y, Bou Zerdan M, Allam S, Ramovic M and Graziano S: Single cell RNA sequencing: A new frontier in pancreatic ductal adenocarcinoma. Cancers (Basel). 14:45892022. View Article : Google Scholar : PubMed/NCBI

25 

Kothari A and Flick MJ: Coagulation signaling through PAR1 as a therapeutic target in pancreatic ductal adenocarcinoma. Int J Mol Sci. 22:51382021. View Article : Google Scholar : PubMed/NCBI

26 

Jin T, Dai C and Xu F: Surgical and local treatment of hepatic metastasis in pancreatic ductal adenocarcinoma: Recent advances and future prospects. Ther Adv Med Oncol. 12:1758835920933032020. View Article : Google Scholar : PubMed/NCBI

27 

Yu X, Gu J, Fu D and Jin C: Dose surgical resection of hepatic metastases bring benefits to pancreatic ductal adenocarcinoma? A systematic review and meta-analysis. Int J Surg. 48:149–154. 2017. View Article : Google Scholar : PubMed/NCBI

28 

Parte S, Nimmakayala RK, Batra SK and Ponnusamy MP: Acinar to ductal cell trans-differentiation: A prelude to dysplasia and pancreatic ductal adenocarcinoma. Biochim Biophys Acta Rev Cancer. 1877:1886692022. View Article : Google Scholar : PubMed/NCBI

29 

Igbinigie E, Guo F, Jiang SW, Kelley C and Li J: Dkk1 involvement and its potential as a biomarker in pancreatic ductal adenocarcinoma. Clin Chim Acta. 488:226–234. 2019. View Article : Google Scholar : PubMed/NCBI

30 

Mere Del Aguila E, Tang XH and Gudas LJ: Pancreatic ductal adenocarcinoma: New insights into the actions of vitamin A. Oncol Res Treat. 45:291–298. 2022. View Article : Google Scholar : PubMed/NCBI

31 

Das S and Cardin D: Targeting DNA damage repair pathways in pancreatic adenocarcinoma. Curr Treat Options Oncol. 21:622020. View Article : Google Scholar : PubMed/NCBI

32 

Schmitt A, Feldmann G, Zander T and Reinhardt HC: Targeting defects in the cellular DNA damage response for the treatment of pancreatic ductal adenocarcinoma. Oncol Res Treat. 41:619–625. 2018. View Article : Google Scholar : PubMed/NCBI

33 

Qian Y, Gong Y, Fan Z, Luo G, Huang Q, Deng S, Cheng H, Jin K, Ni Q, Yu X and Liu C: Molecular alterations and targeted therapy in pancreatic ductal adenocarcinoma. J Hematol Oncol. 13:1302020. View Article : Google Scholar : PubMed/NCBI

34 

Hayashi H, Higashi T, Miyata T, Yamashita Y and Baba H: Recent advances in precision medicine for pancreatic ductal adenocarcinoma. Ann Gastroenterol Surg. 5:457–466. 2021. View Article : Google Scholar : PubMed/NCBI

35 

Rainone M, Singh I, Salo-Mullen EE, Stadler ZK and O'Reilly EM: An emerging paradigm for germline testing in pancreatic ductal adenocarcinoma and immediate implications for clinical practice: A review. JAMA Oncol. 6:7642020. View Article : Google Scholar : PubMed/NCBI

36 

Wu C, Yang P, Liu B and Tang Y: Is there a CDKN2A-centric network in pancreatic ductal adenocarcinoma? Onco Targets Ther. 13:2551–2562. 2020. View Article : Google Scholar : PubMed/NCBI

37 

Macchini M, Centonze F, Peretti U, Orsi G, Militello AM, Valente MM, Cascinu S and Reni M: Epidemiology and geographic distribution of BRCA1-2 and DNA Damage response genes pathogenic variants in pancreatic ductal adenocarcinoma patients. Cancer Treat Rev. 104:1023572022. View Article : Google Scholar : PubMed/NCBI

38 

Pimenta JR, Ueda SKN and Peixoto RD: Excellent response to olaparib in a patient with metastatic pancreatic adenocarcinoma with germline BRCA1 mutation after progression on FOLFIRINOX: Case report and literature review. Case Rep Oncol. 13:904–910. 2020. View Article : Google Scholar : PubMed/NCBI

39 

Rebelatto TF, Falavigna M, Pozzari M, Spada F, Cella CA, Laffi A, Pellicori S and Fazio N: Should platinum-based chemotherapy be preferred for germline BReast CAncer genes (BRCA) 1 and 2-mutated pancreatic ductal adenocarcinoma (PDAC) patients? A systematic review and meta-analysis. Cancer Treat Rev. 80:1018952019. View Article : Google Scholar : PubMed/NCBI

40 

Reinacher-Schick A, Arnold D, Venerito M, Goekkurt E, Kraeft AL and Seufferlein T: Platinum-Based chemotherapy in locally advanced or metastatic pancreatic ductal adenocarcinoma: Summary of evidence and application in clinical practice. Oncol Res Treat. 45:752–763. 2022. View Article : Google Scholar : PubMed/NCBI

41 

Singh RR and O'Reilly EM: New treatment strategies for metastatic pancreatic ductal adenocarcinoma. Drugs. 80:647–669. 2020. View Article : Google Scholar : PubMed/NCBI

42 

Zemanek T, Melichar B, Lovecek M, Soucek P and Mohelnikova-Duchonova B: Biomarkers and pathways of chemoresistance and chemosensitivity for personalized treatment of pancreatic adenocarcinoma. Pharmacogenomics. 20:113–127. 2019. View Article : Google Scholar : PubMed/NCBI

43 

Dardare J, Witz A, Merlin JL, Gilson P and Harlé A: SMAD4 and the TGFβ pathway in patients with pancreatic ductal adenocarcinoma. Int J Mol Sci. 21:35342020. View Article : Google Scholar : PubMed/NCBI

44 

Jian S, Kong D and Tian J: Expression of miR-425-5p in pancreatic carcinoma and its correlation with tumor immune microenvironment. J Invest Surg. 36:22167562023. View Article : Google Scholar : PubMed/NCBI

45 

Nan P, Dong X, Bai X, Lu H, Liu F, Sun Y and Zhao X: Tumor-stroma TGF-β1-THBS2 feedback circuit drives pancreatic ductal adenocarcinoma progression via integrin αvβ3/CD36-mediated activation of the MAPK pathway. Cancer Lett. 528:59–75. 2022. View Article : Google Scholar : PubMed/NCBI

46 

Rajagopal MU, Bansal S, Kaur P, Jain SK, Altadil T, Hinzman CP, Li Y, Moulton J, Singh B, Bansal S, et al: TGFβ drives metabolic perturbations during epithelial mesenchymal transition in pancreatic cancer: TGFβ induced EMT in PDAC. Cancers (Basel). 13:62042021. View Article : Google Scholar : PubMed/NCBI

47 

Murthy D, Attri KS and Singh PK: Phosphoinositide 3-Kinase signaling pathway in pancreatic ductal adenocarcinoma progression, pathogenesis, and therapeutics. Front Physiol. 9:3352018. View Article : Google Scholar : PubMed/NCBI

48 

Dolay K, Malya FU and Akbulut S: Management of pancreatic head adenocarcinoma: From where to where? World J Gastrointest Surg. 11:143–154. 2019. View Article : Google Scholar : PubMed/NCBI

49 

Vaish U, Jain T, Are AC and Dudeja V: Cancer-Associated fibroblasts in pancreatic ductal adenocarcinoma: An update on heterogeneity and therapeutic targeting. Int J Mol Sci. 22:134082021. View Article : Google Scholar : PubMed/NCBI

50 

Khokhar AS, Sher AF and Schattner M: Interventional endoscopy in the diagnosis and management of pancreatic adenocarcinoma. Chin Clin Oncol. 6:63. 2017. View Article : Google Scholar : PubMed/NCBI

51 

Rémond MS, Pellat A, Brezault C, Dhooge M and Coriat R: Are targeted therapies or immunotherapies effective in metastatic pancreatic adenocarcinoma? ESMO Open. 7:1006382022. View Article : Google Scholar : PubMed/NCBI

52 

Seo YD and Katz MHG: Preoperative therapy for pancreatic adenocarcinoma-precision beyond anatomy. Cancer. 128:3041–3056. 2022. View Article : Google Scholar : PubMed/NCBI

53 

Lafond M, Lambin T, Drainville RA, Dupré A, Pioche M, Melodelima D and Lafon C: Pancreatic ductal adenocarcinoma: Current and emerging therapeutic uses of focused ultrasound. Cancers (Basel). 14:25772022. View Article : Google Scholar : PubMed/NCBI

54 

Ladd AM and Diehl DL: Artificial intelligence for early detection of pancreatic adenocarcinoma: The future is promising. World J Gastroenterol. 27:1283–1295. 2021. View Article : Google Scholar : PubMed/NCBI

55 

Constantin AL, Cazacu IM, Stroescu C, Copăescu C and Săftoiu A: Prognostic biomarkers related to tumoral microenvironment in pancreatic ductal adenocarcinoma: A systematic review. Rom J Morphol Embryol. 62:671–678. 2021. View Article : Google Scholar : PubMed/NCBI

56 

Kulkarni NM, Mannelli L, Zins M, Bhosale PR, Arif-Tiwari H, Brook OR, Hecht EM, Kastrinos F, Wang ZJ, Soloff EV, et al: White paper on pancreatic ductal adenocarcinoma from society of abdominal radiology's disease-focused panel for pancreatic ductal adenocarcinoma: Part II, update on imaging techniques and screening of pancreatic cancer in high-risk individuals. Abdom Radiol (NY). 45:729–742. 2020. View Article : Google Scholar : PubMed/NCBI

57 

Buscail E, Maulat C, Muscari F, Chiche L, Cordelier P, Dabernat S, Alix-Panabières C and Buscail L: Liquid biopsy approach for pancreatic ductal adenocarcinoma. Cancers (Basel). 11:8522019. View Article : Google Scholar : PubMed/NCBI

58 

Barhli A, Cros J, Bartholin L and Neuzillet C: Prognostic stratification of resected pancreatic ductal adenocarcinoma: Past, present, and future. Dig Liver Dis. 50:979–990. 2018. View Article : Google Scholar : PubMed/NCBI

59 

Lupinacci RM, Bachet J-B, André T, Duval A and Svrcek M: Pancreatic ductal adenocarcinoma harboring microsatellite instability/DNA mismatch repair deficiency. Towards personalized medicine. Surg Oncol. 28:121–127. 2019. View Article : Google Scholar : PubMed/NCBI

60 

Leal AD, Messersmith WA and Lieu CH: Neoadjuvant treatment of localized pancreatic adenocarcinoma. J Gastrointest Oncol. 12:2461–2474. 2021. View Article : Google Scholar : PubMed/NCBI

61 

Kapszewicz M and Małecka-Wojciesko E: Simple serum pancreatic ductal adenocarcinoma (PDAC) Protein Biomarkers-Is There Anything in Sight? J Clin Med. 10:54632021. View Article : Google Scholar : PubMed/NCBI

62 

Iyengar S, Nevala-Plagemann C and Garrido-Laguna I: Updates on adjuvant and neoadjuvant treatment strategies for surgically resectable and borderline resectable pancreatic ductal adenocarcinoma. Ther Adv Med Oncol. 13:1758835921104582021. View Article : Google Scholar : PubMed/NCBI

63 

Lawlor R, Veronese N, Nottegar A, Malleo G, Smith L, Demurtas J, Cheng L, Wood LD, Silvestris N, Salvia R, et al: Prognostic Role of High-Grade tumor budding in pancreatic ductal adenocarcinoma: A systematic review and meta-analysis with a focus on epithelial to mesenchymal transition. Cancers. 11:1132019. View Article : Google Scholar : PubMed/NCBI

64 

O'Connor D, Brown M, Eatock M, Turkington RC and Prue G: Exercise efficacy and prescription during treatment for pancreatic ductal adenocarcinoma: A systematic review. BMC Cancer. 21:432021. View Article : Google Scholar : PubMed/NCBI

65 

Thobie A, Mulliri A, Bouvier V, Launoy G, Alves A and Dejardin O: Same chance of accessing resection? impact of socioeconomic status on resection rates among patients with pancreatic adenocarcinoma-A systematic review. Health Equity. 5:143–150. 2021. View Article : Google Scholar : PubMed/NCBI

66 

He J, Zhao Q, Liu Q, Li F, He L, Liu M and Yan X: Surgical resection of pancreatic hepatoid carcinoma followed by combined transarterial chemoembolization and immunotherapy: A case report. Onco Targets Ther. 14:4575–4578. 2021. View Article : Google Scholar : PubMed/NCBI

67 

Tomino T, Ninomiya M, Matono R, Narutomi F, Oshiro Y, Watanabe K, Taniguchi D, Nishimura S, Zaitsu Y, Kajiwara Y, et al: Pure pancreatic hepatoid carcinoma: A surgical case report and literature review. Surg Case Rep. 5:1862019. View Article : Google Scholar : PubMed/NCBI

68 

Zeeshan MS and Ramzan Z: Current controversies and advances in the management of pancreatic adenocarcinoma. World J Gastrointest Oncol. 13:472–494. 2021. View Article : Google Scholar : PubMed/NCBI

69 

Gholap NN, Davies MJ, Mostafa SA and Khunti K: Diagnosing type 2 diabetes and identifying high-risk individuals using the new glycated haemoglobin (HbA1c) criteria. Br J Gen Pract. 63:e165–e167. 2013. View Article : Google Scholar : PubMed/NCBI

70 

Trinh HS, Luong TH, Lai TT and Nguyen TK: Mixed pancreatic hepatoid carcinoma: A surgical case report and literature review. Int J Surg Case Rep. 83:1059512021. View Article : Google Scholar : PubMed/NCBI

71 

Cardona D, Grobmyer S, Crawford JM and Liu C: Hepatocellular carcinoma arising from ectopic liver tissue in the pancreas. Virchows Arch. 450:225–229. 2007. View Article : Google Scholar : PubMed/NCBI

72 

Kubota K, Kita J, Rokkaku K, Iwasaki Y, Sawada T, Imura J and Fujimori T: Ectopic hepatocellular carcinoma arising from pancreas: A case report and review of the literature. World J Gastroenterol. 13:4270–4273. 2007. View Article : Google Scholar : PubMed/NCBI

73 

Veerankutty FH, Yeldho V, Tu SA, Venugopal B, Manoj KS and Vidhya C: Hepatoid carcinoma of the pancreas combined with serous cystadenoma: A case report and review of the literature. Hepatobiliary Surg Nutr. 4:35462–35362. 2015.PubMed/NCBI

74 

Yahaya A, Wa Kammal WS, Abd Shukor N and Osman SS: Oesophageal hepatoid carcinoma with liver metastasis, a diagnostic dilemma. Malays J Pathol. 41:59–63. 2019.PubMed/NCBI

75 

Schneitler S: Metastasized pancreatic carcinoma with neoadjuvant FOLFIRINOX therapy and R0 resection. World J Gastroenterol. 21:6384–6390. 2015. View Article : Google Scholar : PubMed/NCBI

76 

Orth M, Metzger P, Gerum S, Mayerle J, Schneider G, Belka C, Schnurr M and Lauber K: Pancreatic ductal adenocarcinoma: Biological hallmarks, current status, and future perspectives of combined modality treatment approaches. Radiat Oncol. 14:1412019. View Article : Google Scholar : PubMed/NCBI

77 

Sohal DPS, Kennedy EB, Cinar P, Conroy T, Copur MS, Crane CH, Garrido-Laguna I, Lau MW, Johnson T, Krishnamurthi S, et al: Metastatic pancreatic cancer: ASCO guideline update. J Clin Oncol. JCO20013642020.PubMed/NCBI

78 

Brown DB, Gonsalves CF, Yeo CJ, Witkiewicz AK and Carr BI: One Year survival with poorly differentiated metastatic pancreatic carcinoma following chemoembolization with gemcitabine and cisplatin. Oncol Rep. 24:767–769. 2010. View Article : Google Scholar : PubMed/NCBI

79 

Kuo PC, Chen SC, Shyr YM, Kuo YJ, Lee RC and Wang SE: Hepatoid carcinoma of the pancreas. World J Surg Oncol. 13:1852015. View Article : Google Scholar : PubMed/NCBI

80 

Schawkat K, Manning MA, Glickman JN and Mortele KJ: Pancreatic ductal adenocarcinoma and its variants: Pearls and perils. Radiographics. 40:1219–1239. 2020. View Article : Google Scholar : PubMed/NCBI

81 

Yang C, Sun L, Lai JZ, Zhou L, Liu Z, Xi Y, Tao Y, Dooley E and Cao D: Primary hepatoid carcinoma of the pancreas: A Clinicopathological study of 3 cases with review of additional 31 cases in the literature. Int J Surg Pathol. 27:28–42. 2019. View Article : Google Scholar : PubMed/NCBI

82 

Al-Obaidy KI, Williamson SR, Shelman N, Idrees MT and Ulbright TM: Hepatoid teratoma, hepatoid yolk sac tumor, and hepatocellular carcinoma: A morphologic and immunohistochemical study of 30 cases. Am J Surg Pathol. 45:127–136. 2021. View Article : Google Scholar : PubMed/NCBI

83 

Su JS, Chen YT, Wang RC, Wu CY, Lee SW and Lee TY: Clinicopathological characteristics in the differential diagnosis of hepatoid adenocarcinoma: A literature review. World J Gastroenterol. 19:321–327. 2013. View Article : Google Scholar : PubMed/NCBI

84 

Lai YCC, Cheng CC, Lai YS and Liu YH: Cytokeratin 18-associated Histone 3 modulation in hepatocellular carcinoma: A mini review. Cancer Genomics Proteomics. 14:219–223. 2017. View Article : Google Scholar : PubMed/NCBI

85 

Shimonishi T, Miyazaki K and Nakanuma Y: Cytokeratin profile relates to histological subtypes and intrahepatic location of intrahepatic cholangiocarcinoma and primary sites of metastatic adenocarcinoma of liver. Histopathology. 37:55–63. 2000. View Article : Google Scholar : PubMed/NCBI

86 

Gurzu S and Jung I: Aberrant pattern of the cytokeratin 7/cytokeratin 20 immunophenotype in colorectal adenocarcinomas with BRAF mutations. Pathol Res Pract. 208:163–166. 2012. View Article : Google Scholar : PubMed/NCBI

87 

Yokoyama S, Hamada T, Higashi M, Matsuo K, Maemura K, Kurahara H, Horinouchi M, Hiraki T, Sugimoto T, Akahane T, et al: Predicted prognosis of patients with pancreatic cancer by machine learning. Clin Cancer Res. 26:2411–2421. 2020. View Article : Google Scholar : PubMed/NCBI

88 

Al-Arashi MYH and Byers HR: Cutaneous clear cell squamous cell carcinoma in situ: Clinical, histological and immunohistochemical characterization. J Cutan Pathol. 34:226–233. 2007. View Article : Google Scholar : PubMed/NCBI

89 

Miettinen M and Fetsch JF: Distribution of keratins in normal endothelial cells and a spectrum of vascular tumors: Implications in tumor diagnosis. Hum Pathol. 31:1062–1067. 2000. View Article : Google Scholar : PubMed/NCBI

90 

Austgulen R, Chedwick L, Vogt Isaksen C, Vatten L and Craven C: Trophoblast apoptosis in human placenta at term as detected by expression of a cytokeratin 18 degradation product of caspase. Arch Pathol Lab Med. 126:1480–1486. 2002. View Article : Google Scholar : PubMed/NCBI

91 

Kuan SF, Montag AG, Hart J, Krausz T and Recant W: Differential expression of mucin genes in mammary and extramammary Paget's disease. Am J Surg Pathol. 25:1469–1477. 2001. View Article : Google Scholar : PubMed/NCBI

92 

Kirtonia A, Pandey AK, Ramachandran B, Mishra DP, Dawson DW, Sethi G, Ganesan TS, Koeffler HP and Garg M: Overexpression of laminin-5 gamma-2 promotes tumorigenesis of pancreatic ductal adenocarcinoma through EGFR/ERK1/2/AKT/mTOR cascade. Cell Mol Life Sci. 79:3622022. View Article : Google Scholar : PubMed/NCBI

93 

Qazi AM, Gruzdyn O, Semaan A, Seward S, Chamala S, Dhulipala V, Sethi S, Ali-Fehmi R, Philip PA, Bouwman DL, et al: Restoration of E-cadherin expression in pancreatic ductal adenocarcinoma treated with microRNA-101. Surgery. 152:704–713. 2012. View Article : Google Scholar : PubMed/NCBI

94 

Çoban EA, Tecimil D, Kașikci E, Bayrak ÖF and Şahin F: E-cadherin might be a stage-dependent modulator in aggressiveness in pancreatic cancer cells. Turk J Biol. 44:230–237. 2020. View Article : Google Scholar : PubMed/NCBI

95 

Hong SM, Li A, Olino K, Wolfgang CL, Herman JM, Schulick RD, Iacobuzio-Donahue C, Hruban RH and Goggins M: Loss of E-cadherin expression and outcome among patients with resectable pancreatic adenocarcinomas. Mod Pathol. 24:1237–1247. 2011. View Article : Google Scholar : PubMed/NCBI

96 

Jiao F, Hu H, Han T, Zhuo M, Yuan C, Yang H and Wang L and Wang L: Aberrant expression of nuclear HDAC3 and cytoplasmic CDH1 predict a poor prognosis for patients with pancreatic cancer. Oncotarget. 7:16505–16516. 2016. View Article : Google Scholar : PubMed/NCBI

97 

Zhao L, Wang YX, Xi M, Liu SL, Zhang P, Luo LL and Liu MZ: Association between E-cadherin (CDH1) polymorphisms and pancreatic cancer risk in Han Chinese population. Int J Clin Exp Pathol. 8:57532015.PubMed/NCBI

98 

Saito T, Mizukami H, Umetsu S, Uchida C, Inaba W, Abe M, Takahashi K, Kudo K, Itabashi C, Yagihashi S and Hakamada K: Worsened outcome in patients with pancreatic ductal carcinoma on long-term diabetes: Association with E-cadherin1 (CDH1) promoter methylation. Sci Rep |. 7:180562017. View Article : Google Scholar

99 

Dhayat SA, Traeger MM, Rehkaemper J, Stroese AJ, Steinestel K, Wardelmann E, Kabar I and Senninger N: Clinical impact of Epithelial-to-Mesenchymal transition regulating MicroRNAs in pancreatic ductal adenocarcinoma. Cancers (Basel). 10:3282018. View Article : Google Scholar : PubMed/NCBI

100 

Kang Y, Ling J, Suzuki R, Roife D, Chopin-Laly X, Truty MJ, Chatterjee D, Wang H, Thomas RM, Katz MH, et al: SMAD4 regulates cell motility through transcription of N-Cadherin in human pancreatic ductal epithelium. PLoS One. 9:1079482014. View Article : Google Scholar

101 

Ottenhof NA, De Wilde RF, Morsink FH, de Leng WW, Ausems MG, Morreau H, van Hillegersberg R, Offerhaus GJ and Milne AN: Pancreatic ductal adenocarcinoma in hereditary diffuse gastric cancer. A case report. Hum Pathol. 43:457–461. 2012. View Article : Google Scholar : PubMed/NCBI

102 

Zhou L, Sheng WW, Jia C, Shi X, Cao R, Wang G, Lin Y, Zhu F, Dong Q and Dong M: Musashi2 promotes the progression of pancreatic cancer through a novel ISYNA1-p21/ZEB-1 pathway. J Cell Mol Med. 24:10560–10572. 2020. View Article : Google Scholar : PubMed/NCBI

103 

Hu D, Ansari D, Pawlowski K, Zhou Q, Sasor A, Welinder C, Kristl T, Bauden M, Rezeli M, Jiang Y, et al: Proteomic analyses identify prognostic biomarkers for pancreatic ductal adenocarcinoma. Oncotarget. 9:9789–9807. 2018. View Article : Google Scholar : PubMed/NCBI

104 

Kurahara H, Takao S, Maemura K, Mataki Y, Kuwahata T, Maeda K, Ding Q, Sakoda M, Iino S, Ishigami S, et al: Epithelial-mesenchymal transition and mesenchymal-epithelial transition via regulation of ZEB-1 and ZEB-2 expression in pancreatic cancer. J Surg Oncol. 105:655–661. 2012. View Article : Google Scholar : PubMed/NCBI

105 

Vannier C, Mock K, Brabletz T and Driever W: Zeb1 regulates E-cadherin and Epcam (epithelial cell adhesion molecule) expression to control cell behavior in early zebrafish development. J Biol Chem. 288:18643–18659. 2013. View Article : Google Scholar : PubMed/NCBI

106 

Yu C, Wang M, Chen M, Huang Y and Jiang J: Upregulation of microRNA-138-5p inhibits pancreatic cancer cell migration and increases chemotherapy sensitivity. Mol Med Rep. 12:5135–5140. 2015. View Article : Google Scholar : PubMed/NCBI

107 

Lerbs T, Bisht S, Schölch S, Pecqueux M, Kristiansen G, Schneider M, Hofmann BT, Welsch T, Reissfelder C, Rahbari NN, et al: Inhibition of Six1 affects tumour invasion and the expression of cancer stem cell markers in pancreatic cancer. BMC Cancer. 17:2492017. View Article : Google Scholar : PubMed/NCBI

108 

Lahat G, Lubezky N, Loewenstein S, Nizri E, Gan S, Pasmanik-Chor M, Hayman L, Barazowsky E, Ben-Haim M and Klausner JM: Epithelial-to-Mesenchymal transition (EMT) in intraductal papillary mucinous neoplasm (IPMN) is associated with high tumor grade and adverse outcomes. Ann Surg Oncol. 21 (Suppl 4):S750–S757. 2014. View Article : Google Scholar : PubMed/NCBI

109 

Blevins MA, Towers CG, Patrick AN, Zhao R and Ford HL: The SIX1-EYA transcriptional complex as a therapeutic target in cancer. Expert Opin Ther Targets. 19:213–225. 2015. View Article : Google Scholar : PubMed/NCBI

110 

Nomura A, Majumder K, Giri B, Dauer P, Dudeja V, Roy S, Banerjee S and Saluja AK: Inhibition of NF-kappa B pathway leads to deregulation of epithelial-mesenchymal transition and neural invasion in pancreatic cancer. Lab Invest. 96:1268–1278. 2016. View Article : Google Scholar : PubMed/NCBI

111 

Zaheer A, Wadhwa V, Oh J and Fishman EK: Pearls and pitfalls of imaging metastatic disease from pancreatic adenocarcinoma: A systematic review. Clin Imaging. 39:750–758. 2015. View Article : Google Scholar : PubMed/NCBI

112 

Larentzakis A, Anagnostou E, Georgiou K, Vrakopoulou GZ, Zografos CG, Zografos GC and Toutouzas KG: Place of hyperthermic intraperitoneal chemotherapy in the armament against pancreatic adenocarcinoma: A survival, mortality and morbidity systematic review. Oncol Lett. 21:2462021. View Article : Google Scholar : PubMed/NCBI

113 

Tao L, Yuan C, Ma Z, Jiang B and Xiu D: Surgical resection of a primary tumor improves survival of metastatic pancreatic cancer: A population-based study. Cancer Manag Res. 9:471–479. 2017. View Article : Google Scholar : PubMed/NCBI

114 

Larentzakis A, Anagnostou E, Georgiou K, Vrakopoulou GZ, Zografos C, Zografos G and Toutouzas K: Place of hyperthermic intraperitoneal chemotherapy in the armament against pancreatic adenocarcinoma: A survival, mortality and morbidity systematic review. Oncol Lett. 21:2462021. View Article : Google Scholar : PubMed/NCBI

115 

Brind'Amour A, Webb M, Parapini M, Sidéris L, Segedi M, Chung SW, Chartier-Plante S, Dubé P, Scudamore CH and Kim PTW: The role of intraperitoneal chemotherapy in the surgical management of pancreatic ductal adenocarcinoma: A systematic review. Clin Exp Metastasis. 38:187–196. 2021. View Article : Google Scholar : PubMed/NCBI

116 

Moletta L, Serafini S, Valmasoni M, Pierobon ES, Ponzoni A and Sperti C: Surgery for recurrent pancreatic cancer: Is it effective? Cancers (Basel). 11:9912019. View Article : Google Scholar : PubMed/NCBI

117 

La Salvia A, Persano I, Parlagreco E, Audisio A, Cani M and Brizzi MP: Pancreatic adenocarcinoma and pancreatic high-grade neuroendocrine carcinoma: Two sides of the moon. Med Oncol. 39:1682022. View Article : Google Scholar : PubMed/NCBI

118 

Winner M, Goff SL and Chabot JA: Neoadjuvant therapy for Non-metastatic pancreatic ductal adenocarcinoma. Semin Oncol. 42:86–97. 2015. View Article : Google Scholar : PubMed/NCBI

119 

Zhou Y, Liao S, You J and Wu H: Conversion surgery for initially unresectable pancreatic ductal adenocarcinoma following induction therapy: A systematic review of the published literature. Updates Surg. 74:43–53. 2022. View Article : Google Scholar : PubMed/NCBI

120 

Liberko M, Kolostova K, Szabo A, Gurlich R, Oliverius M and Soumarova R: Circulating tumor cells, circulating tumor DNA and other blood-based prognostic scores in pancreatic ductal adenocarcinoma-mini-review. In Vivo. 35:31–39. 2021. View Article : Google Scholar : PubMed/NCBI

121 

Attard JA, Farrugia A, Pathanki A, Roberts KJ, Dasari B, Isaac J, Ma YT and Chatzizacharias NA: Treatment strategies for the optimal management of locally advanced pancreatic adenocarcinoma with curative intent: A systematic review. Pancreas. 49:1264–1275. 2020. View Article : Google Scholar : PubMed/NCBI

122 

Moorcraft SY, Khan K, Peckitt C, Watkins D, Rao S, Cunningham D and Chau I: FOLFIRINOX for locally advanced or metastatic pancreatic ductal adenocarcinoma: The royal marsden experience. Clin Colorectal Cancer. 13:232–238. 2014. View Article : Google Scholar : PubMed/NCBI

123 

Korrel M, Lof S, Van Hilst J, Alseidi A, Boggi U, Busch OR, van Dieren S, Edwin B, Fuks D, Hackert T, et al: Predictors for survival in an international cohort of patients undergoing distal pancreatectomy for pancreatic ductal adenocarcinoma. Ann Surg Oncol. 28:1079–1087. 2021. View Article : Google Scholar : PubMed/NCBI

124 

Fancellu A, Petrucciani N, Porcu A, Deiana G, Sanna V, Ninniri C, Perra T, Celoria V and Nigri G: The impact on survival and morbidity of Portal-Mesenteric resection during pancreaticoduodenectomy for pancreatic head adenocarcinoma: A systematic review and meta-analysis of comparative studies. Cancers (Basel). 12:19762020. View Article : Google Scholar : PubMed/NCBI

125 

Chen K, Pan Y, Zhang B, Maher H and Cai X: Laparoscopic versus open pancreatectomy for pancreatic ductal adenocarcinoma: A systematic review and meta-analysis. Int J Surg. 53:243–256. 2018. View Article : Google Scholar : PubMed/NCBI

126 

de Liguori Carino N, O'Reilly DA, Siriwardena AK, Valle JW, Radhakrishna G, Pihlak R and McNamara MG: Irreversible Electroporation in pancreatic ductal adenocarcinoma: Is there a role in conjunction with conventional treatment? Eur J Surg Oncol. 44:1486–1493. 2018. View Article : Google Scholar : PubMed/NCBI

127 

Yang DJ, Xiong JJ, Lu HM, Wei Y, Zhang L, Lu S and Hu WM: The oncological safety in minimally invasive versus open distal pancreatectomy for pancreatic ductal adenocarcinoma: A systematic review and meta-analysis. Sci Rep. 9:11592019. View Article : Google Scholar : PubMed/NCBI

128 

Ferreira BP, Vasquez J and Carilli A: Metastatic hepatoid carcinoma of the pancreas: First description of treatment with capecitabine and temozolomide. Am J Med Sci. 353:610–612. 2017. View Article : Google Scholar : PubMed/NCBI

129 

Brunner M, Wu Z, Krautz C, Pilarsky C, Grützmann R and Weber GF: Current clinical strategies of pancreatic cancer treatment and open molecular questions. Int J Mol Sci. 20:45432019. View Article : Google Scholar : PubMed/NCBI

130 

Oba A, Ho F, Bao QR, Al-Musawi MH, Schulick RD and Del Chiaro M: Neoadjuvant treatment in pancreatic cancer. Front Oncol. 10:2452020. View Article : Google Scholar : PubMed/NCBI

131 

Varghese AM, Lowery MA, Yu KH and O'Reilly EM: Current management and future directions in metastatic pancreatic adenocarcinoma: Review of metastatic pancreatic adenocarcinoma. Cancer. 122:3765–3775. 2016. View Article : Google Scholar : PubMed/NCBI

132 

Duffy A and Kummar S: Metastatic pancreatic adenocarcinoma: Current standards, future directions. Am J Ther. 17:79–85. 2010. View Article : Google Scholar : PubMed/NCBI

133 

Akhuba L, Tigai Z and Shek D: Where do we stand with immunotherapy for advanced pancreatic ductal adenocarcinoma: A synopsis of clinical outcomes. Biomedicines. 10:31962022. View Article : Google Scholar : PubMed/NCBI

134 

Sendur M: Current treatment options for metastatic pancreatic adenocarcinoma. UHOD. 25:263–274. 2015. View Article : Google Scholar

135 

Conroy T and Mitry E: Chemotherapy of metastatic pancreatic adenocarcinoma: Challenges and encouraging results. Bull Cancer. 98:1439–1446. 2011.(In French). View Article : Google Scholar : PubMed/NCBI

136 

Ballehaninna UK and Chamberlain RS: The clinical utility of serum CA 19-9 in the diagnosis, prognosis and management of pancreatic adenocarcinoma: An evidence based appraisal. J Gastrointest Oncol. 3:105–119. 2012.PubMed/NCBI

137 

Kriz D, Ansari D and Andersson R: Potential biomarkers for early detection of pancreatic ductal adenocarcinoma. Clin Transl Oncol. 22:2170–2174. 2020. View Article : Google Scholar : PubMed/NCBI

138 

Wu H, Ou S, Zhang H, Huang R, Yu S, Zhao M and Tai S: Advances in biomarkers and techniques for pancreatic cancer diagnosis. Cancer Cell Int. 22:2202022. View Article : Google Scholar : PubMed/NCBI

139 

Brand RE, Nolen BM, Zeh HJ, Allen PJ, Eloubeidi MA, Goldberg M, Elton E, Arnoletti JP, Christein JD, Vickers SM, et al: Serum biomarker panels for the detection of pancreatic cancer. Clin Cancer Res. 17:805–816. 2011. View Article : Google Scholar : PubMed/NCBI

140 

Tartaglione S, Pecorella I, Zarrillo SR, Granato T, Viggiani V, Manganaro L, Marchese C, Angeloni A and Anastasi E: Protein Induced by Vitamin K Absence II (PIVKA-II) as a potential serological biomarker in pancreatic cancer: A pilot study. Biochem Med (Zagreb). 29:0207072019. View Article : Google Scholar : PubMed/NCBI

141 

Tartaglione S, Mancini P, Viggiani V, Chirletti P, Angeloni A and Anastasi E: PIVKA-II: A biomarker for diagnosing and monitoring patients with pancreatic adenocarcinoma. PLoS One. 16:e02516562021. View Article : Google Scholar : PubMed/NCBI

142 

Chan HLY, Vogel A, Berg T, De Toni EN, Kudo M, Trojan J, Eiblmaier A, Klein HG, Hegel JK, Sharma A, et al: Performance evaluation of the Elecsys PIVKA-II and Elecsys AFP assays for hepatocellular carcinoma diagnosis. JGH Open. 6:292–300. 2022. View Article : Google Scholar : PubMed/NCBI

143 

Okada KI, Kawai M, Tani M, Hirono S, Miyazawa M, Shimizu A, Kitahata Y and Yamaue H: Predicting factors for unresectability in patients with pancreatic ductal adenocarcinoma. J Hepatobiliary Pancreat Sci. 21:648–653. 2014. View Article : Google Scholar : PubMed/NCBI

144 

Ozaki K, Hayashi H, Ikuta Y, Masuda T, Akaboshi S, Ogata K, Matumoto K, Ogawa K, Kamio T, Baba H and Takamori H: Conversion surgery for initially unresectable pancreatic ductal adenocarcinoma with synchronous liver metastasis after treatment with FOLFIRINOX. Clin J Gastroenterol. 12:603–608. 2019. View Article : Google Scholar : PubMed/NCBI

145 

Sunagawa Y, Yamada S, Sato Y, Morimoto D, Sonohara F, Takami H, Inokawa Y, Hayashi M, Kanda M, Tanaka C, et al: Novel prognostic implications of DUPAN-2 in the era of initial systemic therapy for pancreatic cancer. Ann Surg Oncol. 27:2081–2089. 2020. View Article : Google Scholar : PubMed/NCBI

146 

Takagi T, Nagai M, Nishiwada S, Terai T, Yasuda S, Matsuo Y, Doi S, Kohara Y and Sho M: Importance of triple tumor markers as biomarkers in patients with pancreatic ductal adenocarcinoma. Ann Gastroenterol Surg. 7:326–335. 2023. View Article : Google Scholar : PubMed/NCBI

147 

Hosokawa Y, Nagakawa Y, Sahara Y, Takishita C, Katsumata K and Tsuchida A: Serum SPan-1 is a significant risk factor for early recurrence of pancreatic cancer after curative resection. Dig Surg. 34:125–132. 2017. View Article : Google Scholar : PubMed/NCBI

148 

Nishio K, Kimura K, Amano R, Yamazoe S, Ohrira G, Nakata B, Hirakawa K and Ohira M: Preoperative predictors for early recurrence of resectable pancreatic cancer. World J Surg Oncol. 15:162017. View Article : Google Scholar : PubMed/NCBI

149 

Tsutsumi K, Kawamoto H, Hirao K, Sakakihara I, Yamamoto N, Noma Y, Fujii M, Kato H, Ogawa T, Ishida E, et al: Monitoring of CA19-9 and SPan-1 can facilitate the earlier confirmation of progressing pancreatic cancer during chemotherapy. Pancreatology. 12:409–416. 2012. View Article : Google Scholar : PubMed/NCBI

150 

Shimizu T, Asakuma M, Tomioka A, Inoue Y, Hirokawa F, Hayashi M and Uchiyama K: Span-1 and CA19-9 as predictors of early recurrence and lymph node metastasis for patients with invasive pancreatic cancer after pancreatectomy. Am Surg. 84:109–113. 2018. View Article : Google Scholar : PubMed/NCBI

151 

Inokuchi S, Itoh S, Yoshizumi T, Yugawa K, Yoshiya S, Toshima T, Takeishi K, Iguchi T, Sanefuji K, Harada N, et al: Mitochondrial expression of the DNA repair enzyme OGG1 improves the prognosis of pancreatic ductal adenocarcinoma. Pancreatology. 20:1175–1182. 2020. View Article : Google Scholar : PubMed/NCBI

152 

Miyata T, Hayashi H, Yamashita YI, Matsumura K, Nakao Y, Itoyama R, Yamao T, Tsukamoto M, Okabe H, Imai K, et al: Prognostic value of the preoperative tumor marker index in resected pancreatic ductal adenocarcinoma: A retrospective single-institution study. Ann Surg Oncol. 28:1572–1580. 2021. View Article : Google Scholar : PubMed/NCBI

153 

Ishido K, Kimura N, Wakiya T, Nagase H, Hara Y, Kanda T, Fujita H and Hakamada K: Development of a biomarker-based scoring system predicting early recurrence of resectable pancreatic duct adenocarcinoma. Ann Surg Oncol. 29:1281–1293. 2022. View Article : Google Scholar : PubMed/NCBI

154 

Kondo N, Murakami Y, Uemura K, Nakagawa N, Takahashi S, Ohge H and Sueda T: Comparison of the prognostic impact of pre- and post-operative CA19-9, SPan-1, and DUPAN-II levels in patients with pancreatic carcinoma. Pancreatology. 17:95–102. 2017. View Article : Google Scholar : PubMed/NCBI

155 

Ho J, Li X, Zhang L, Liang Y, Hu W, Yau JCW, Chan H, Gin T, Chan MTV, Tse G and Wu WKK: Translational genomics in pancreatic ductal adenocarcinoma: A review with re-analysis of TCGA dataset. Semin Cancer Biol. 55:70–77. 2019. View Article : Google Scholar : PubMed/NCBI

156 

Pietrasz D, Sereni E, Lancelotti F, Pea A, Luchini C, Innamorati G, Salvia R and Bassi C: Circulating tumour DNA: A challenging innovation to develop ‘precision onco-surgery’ in pancreatic adenocarcinoma. Br J Cancer. 126:1676–1683. 2022. View Article : Google Scholar : PubMed/NCBI

157 

McGowan R, Sally Á, McCabe A, Moran BM and Finn K: Circulating nucleic acids as novel biomarkers for pancreatic ductal adenocarcinoma. Cancers (Basel). 14:20272022. View Article : Google Scholar : PubMed/NCBI

158 

Araujo RLC, Silva RO, de Pádua Souza C, Milani JM, Huguet F, Rezende AC and Gaujoux S: Does neoadjuvant therapy for pancreatic head adenocarcinoma increase postoperative morbidity? A systematic review of the literature with meta-analysis. J Surg Oncol. 121:881–892. 2020.PubMed/NCBI

159 

Taniere P, Borghi-Scoazec G, Saurin JC, Lombard-Bohas C, Boulez J, Berger F, Hainaut P and Scoazec JY: Cytokeratin expression in adenocarcinomas of the esophagogastric junction: A comparative study of adenocarcinomas of the distal esophagus and of the proximal stomach. Am J Surg Pathol. 26:1213–1221. 2002. View Article : Google Scholar : PubMed/NCBI

160 

Kim MA, Lee HS, Yang H-K and Kim WH: Cytokeratin expression profile in gastric carcinomas. Hum Pathol. 35:576–581. 2004. View Article : Google Scholar : PubMed/NCBI

161 

Xu W, Zhang MW, Huang J, Wang X, Xu SF, Li Y and Wang SJ: Correlation between CK18 gene and gastric carcinoma micrometastasis. World J Gastroenterol. 11:6530–6534. 2005. View Article : Google Scholar : PubMed/NCBI

162 

Chen ZM and Wang HL: Alteration of cytokeratin 7 and cytokeratin 20 expression profile is uniquely associated with tumorigenesis of primary adenocarcinoma of the small intestine. Am J Surg Pathol. 28:1352–1359. 2004. View Article : Google Scholar : PubMed/NCBI

163 

Kelder W, van den Berg A, van der Leij J, Bleeker W, Tiebosch AT, Grond JK, Baas PC and Plukker JT: RT-PCR and immunohistochemical evaluation of sentinel lymph nodes after in vivo mapping with Patent Blue V in colon cancer patients. Scand J Gastroenterol. 41:1073–1078. 2006. View Article : Google Scholar : PubMed/NCBI

164 

Athanassiadou P, Psyhoyiou H, Grapsa D, Gonidi M, Ketikoglou I and Patsouris E: Cytokeratin 8 and 18 expression in imprint smears of chronic viral hepatitis, autoimmune hepatitis and hepatocellular carcinoma. Acta Cytologica. 51:61–65. 2007. View Article : Google Scholar : PubMed/NCBI

165 

Terracciano LM, Glatz K, Mhawech P, Vasei M, Lehmann FS, Vecchione R and Tornillo L: Hepatoid adenocarcinoma with liver metastasis mimicking hepatocellular carcinoma: An immunohistochemical and molecular study of eight cases. Am J Surg Pathol. 27:1302–1312. 2003. View Article : Google Scholar : PubMed/NCBI

166 

Cabibi D, Licata A, Barresi E, Craxì A and Aragona F: Expression of cytokeratin 7 and 20 in pathological conditions of the bile tract. Pathol Res Pract. 199:65–70. 2003. View Article : Google Scholar : PubMed/NCBI

167 

Castrillon DH, Lee KR and Nucci MR: Distinction between endometrial and endocervical adenocarcinoma: An immunohistochemical study. Int J Gynecol Pathol. 21:4–10. 2002. View Article : Google Scholar : PubMed/NCBI

168 

Chu P, Wu E and Weiss LM: Cytokeratin 7 and cytokeratin 20 expression in epithelial neoplasms: A survey of 435 cases. Mod Pathol. 13:962–972. 2000. View Article : Google Scholar : PubMed/NCBI

169 

Vang R, Gown AM, Barry TS, Wheeler DT, Yemelyanova A, Seidman JD and Ronnett BM: Cytokeratins 7 and 20 in primary and secondary mucinous tumors of the ovary: Analysis of coordinate immunohistochemical expression profiles and staining distribution in 179 cases. Am J Surg Pathol. 30:1130–1139. 2006. View Article : Google Scholar : PubMed/NCBI

170 

Harnden P, Kennedy W, Andrew AC and Southgate J: Immunophenotype of transitional metaplasia of the uterine cervix. Int J Gynecol Pathol. 18:125–129. 1999. View Article : Google Scholar : PubMed/NCBI

171 

Tot T: Patterns of distribution of cytokeratins 20 and 7 in special types of invasive breast carcinoma: a study of 123 cases. Ann Diagn Pathol. 3:350–356. 1999. View Article : Google Scholar : PubMed/NCBI

172 

Cruz I, Ciudad J, Cruz JJ, Ramos M, Gómez-Alonso A, Adansa JC, Rodríguez C and Orfao A: Evaluation of multiparameter flow cytometry for the detection of breast cancer tumor cells in blood samples. Am J Clin Pathol. 123:66–74. 2005. View Article : Google Scholar : PubMed/NCBI

173 

Leivo I: Sinonasal adenocarcinoma: Update on classification, immunophenotype and molecular features. Head Neck Pathol. 10:68–74. 2016. View Article : Google Scholar : PubMed/NCBI

174 

Bejarano PA, Nikiforov YE, Swenson ES and Biddinger PW: Thyroid transcription factor-1, thyroglobulin, cytokeratin 7, and cytokeratin 20 in thyroid neoplasms. Appl Immunohistochem Mol Morphol. 8:189–194. 2000. View Article : Google Scholar : PubMed/NCBI

175 

Ikeda S, Fujimori M, Shibata S, Okajima M, Ishizaki Y, Kurihara T, Miyata Y, Iseki M, Shimizu Y, Tokumoto N, et al: Combined immunohistochemistry of beta-catenin, cytokeratin 7, and cytokeratin 20 is useful in discriminating primary lung adenocarcinomas from metastatic colorectal cancer. BMC Cancer. 6:312006. View Article : Google Scholar : PubMed/NCBI

176 

Mhawech P, Uchida T and Pelte MF: Immunohistochemical profile of high-grade urothelial bladder carcinoma and prostate adenocarcinoma. Hum Pathol. 33:1136–1140. 2002. View Article : Google Scholar : PubMed/NCBI

Related Articles

  • Abstract
  • View
  • Download
  • Twitter
Copy and paste a formatted citation
Spandidos Publications style
Iliesiu A, Toma R, Ciongariu AM, Costea R, Zarnescu N and Bîlteanu L: A pancreatic adenocarcinoma mimicking hepatoid carcinoma of uncertain histogenesis: A case report and literature review. Oncol Lett 26: 442, 2023.
APA
Iliesiu, A., Toma, R., Ciongariu, A.M., Costea, R., Zarnescu, N., & Bîlteanu, L. (2023). A pancreatic adenocarcinoma mimicking hepatoid carcinoma of uncertain histogenesis: A case report and literature review. Oncology Letters, 26, 442. https://doi.org/10.3892/ol.2023.14029
MLA
Iliesiu, A., Toma, R., Ciongariu, A. M., Costea, R., Zarnescu, N., Bîlteanu, L."A pancreatic adenocarcinoma mimicking hepatoid carcinoma of uncertain histogenesis: A case report and literature review". Oncology Letters 26.4 (2023): 442.
Chicago
Iliesiu, A., Toma, R., Ciongariu, A. M., Costea, R., Zarnescu, N., Bîlteanu, L."A pancreatic adenocarcinoma mimicking hepatoid carcinoma of uncertain histogenesis: A case report and literature review". Oncology Letters 26, no. 4 (2023): 442. https://doi.org/10.3892/ol.2023.14029
Copy and paste a formatted citation
x
Spandidos Publications style
Iliesiu A, Toma R, Ciongariu AM, Costea R, Zarnescu N and Bîlteanu L: A pancreatic adenocarcinoma mimicking hepatoid carcinoma of uncertain histogenesis: A case report and literature review. Oncol Lett 26: 442, 2023.
APA
Iliesiu, A., Toma, R., Ciongariu, A.M., Costea, R., Zarnescu, N., & Bîlteanu, L. (2023). A pancreatic adenocarcinoma mimicking hepatoid carcinoma of uncertain histogenesis: A case report and literature review. Oncology Letters, 26, 442. https://doi.org/10.3892/ol.2023.14029
MLA
Iliesiu, A., Toma, R., Ciongariu, A. M., Costea, R., Zarnescu, N., Bîlteanu, L."A pancreatic adenocarcinoma mimicking hepatoid carcinoma of uncertain histogenesis: A case report and literature review". Oncology Letters 26.4 (2023): 442.
Chicago
Iliesiu, A., Toma, R., Ciongariu, A. M., Costea, R., Zarnescu, N., Bîlteanu, L."A pancreatic adenocarcinoma mimicking hepatoid carcinoma of uncertain histogenesis: A case report and literature review". Oncology Letters 26, no. 4 (2023): 442. https://doi.org/10.3892/ol.2023.14029
Follow us
  • Twitter
  • LinkedIn
  • Facebook
About
  • Spandidos Publications
  • Careers
  • Cookie Policy
  • Privacy Policy
How can we help?
  • Help
  • Live Chat
  • Contact
  • Email to our Support Team