Spandidos Publications Logo
  • About
    • About Spandidos
    • Aims and Scopes
    • Abstracting and Indexing
    • Editorial Policies
    • Reprints and Permissions
    • Job Opportunities
    • Terms and Conditions
    • Contact
  • Journals
    • All Journals
    • Oncology Letters
      • Oncology Letters
      • Information for Authors
      • Editorial Policies
      • Editorial Board
      • Aims and Scope
      • Abstracting and Indexing
      • Bibliographic Information
      • Archive
    • International Journal of Oncology
      • International Journal of Oncology
      • Information for Authors
      • Editorial Policies
      • Editorial Board
      • Aims and Scope
      • Abstracting and Indexing
      • Bibliographic Information
      • Archive
    • Molecular and Clinical Oncology
      • Molecular and Clinical Oncology
      • Information for Authors
      • Editorial Policies
      • Editorial Board
      • Aims and Scope
      • Abstracting and Indexing
      • Bibliographic Information
      • Archive
    • Experimental and Therapeutic Medicine
      • Experimental and Therapeutic Medicine
      • Information for Authors
      • Editorial Policies
      • Editorial Board
      • Aims and Scope
      • Abstracting and Indexing
      • Bibliographic Information
      • Archive
    • International Journal of Molecular Medicine
      • International Journal of Molecular Medicine
      • Information for Authors
      • Editorial Policies
      • Editorial Board
      • Aims and Scope
      • Abstracting and Indexing
      • Bibliographic Information
      • Archive
    • Biomedical Reports
      • Biomedical Reports
      • Information for Authors
      • Editorial Policies
      • Editorial Board
      • Aims and Scope
      • Abstracting and Indexing
      • Bibliographic Information
      • Archive
    • Oncology Reports
      • Oncology Reports
      • Information for Authors
      • Editorial Policies
      • Editorial Board
      • Aims and Scope
      • Abstracting and Indexing
      • Bibliographic Information
      • Archive
    • Molecular Medicine Reports
      • Molecular Medicine Reports
      • Information for Authors
      • Editorial Policies
      • Editorial Board
      • Aims and Scope
      • Abstracting and Indexing
      • Bibliographic Information
      • Archive
    • World Academy of Sciences Journal
      • World Academy of Sciences Journal
      • Information for Authors
      • Editorial Policies
      • Editorial Board
      • Aims and Scope
      • Abstracting and Indexing
      • Bibliographic Information
      • Archive
    • International Journal of Functional Nutrition
      • International Journal of Functional Nutrition
      • Information for Authors
      • Editorial Policies
      • Editorial Board
      • Aims and Scope
      • Abstracting and Indexing
      • Bibliographic Information
      • Archive
    • International Journal of Epigenetics
      • International Journal of Epigenetics
      • Information for Authors
      • Editorial Policies
      • Editorial Board
      • Aims and Scope
      • Abstracting and Indexing
      • Bibliographic Information
      • Archive
    • Medicine International
      • Medicine International
      • Information for Authors
      • Editorial Policies
      • Editorial Board
      • Aims and Scope
      • Abstracting and Indexing
      • Bibliographic Information
      • Archive
  • Articles
  • Information
    • Information for Authors
    • Information for Reviewers
    • Information for Librarians
    • Information for Advertisers
    • Conferences
  • Language Editing
Spandidos Publications Logo
  • About
    • About Spandidos
    • Aims and Scopes
    • Abstracting and Indexing
    • Editorial Policies
    • Reprints and Permissions
    • Job Opportunities
    • Terms and Conditions
    • Contact
  • Journals
    • All Journals
    • Biomedical Reports
      • Information for Authors
      • Editorial Policies
      • Editorial Board
      • Aims and Scope
      • Abstracting and Indexing
      • Bibliographic Information
      • Archive
    • Experimental and Therapeutic Medicine
      • Information for Authors
      • Editorial Policies
      • Editorial Board
      • Aims and Scope
      • Abstracting and Indexing
      • Bibliographic Information
      • Archive
    • International Journal of Epigenetics
      • Information for Authors
      • Editorial Policies
      • Editorial Board
      • Aims and Scope
      • Abstracting and Indexing
      • Bibliographic Information
      • Archive
    • International Journal of Functional Nutrition
      • Information for Authors
      • Editorial Policies
      • Editorial Board
      • Aims and Scope
      • Abstracting and Indexing
      • Bibliographic Information
      • Archive
    • International Journal of Molecular Medicine
      • Information for Authors
      • Editorial Policies
      • Editorial Board
      • Aims and Scope
      • Abstracting and Indexing
      • Bibliographic Information
      • Archive
    • International Journal of Oncology
      • Information for Authors
      • Editorial Policies
      • Editorial Board
      • Aims and Scope
      • Abstracting and Indexing
      • Bibliographic Information
      • Archive
    • Medicine International
      • Information for Authors
      • Editorial Policies
      • Editorial Board
      • Aims and Scope
      • Abstracting and Indexing
      • Bibliographic Information
      • Archive
    • Molecular and Clinical Oncology
      • Information for Authors
      • Editorial Policies
      • Editorial Board
      • Aims and Scope
      • Abstracting and Indexing
      • Bibliographic Information
      • Archive
    • Molecular Medicine Reports
      • Information for Authors
      • Editorial Policies
      • Editorial Board
      • Aims and Scope
      • Abstracting and Indexing
      • Bibliographic Information
      • Archive
    • Oncology Letters
      • Information for Authors
      • Editorial Policies
      • Editorial Board
      • Aims and Scope
      • Abstracting and Indexing
      • Bibliographic Information
      • Archive
    • Oncology Reports
      • Information for Authors
      • Editorial Policies
      • Editorial Board
      • Aims and Scope
      • Abstracting and Indexing
      • Bibliographic Information
      • Archive
    • World Academy of Sciences Journal
      • Information for Authors
      • Editorial Policies
      • Editorial Board
      • Aims and Scope
      • Abstracting and Indexing
      • Bibliographic Information
      • Archive
  • Articles
  • Information
    • For Authors
    • For Reviewers
    • For Librarians
    • For Advertisers
    • Conferences
  • Language Editing
Login Register Submit
  • This site uses cookies
  • You can change your cookie settings at any time by following the instructions in our Cookie Policy. To find out more, you may read our Privacy Policy.

    I agree
Search articles by DOI, keyword, author or affiliation
Search
Advanced Search
presentation
Oncology Letters
Join Editorial Board Propose a Special Issue
Print ISSN: 1792-1074 Online ISSN: 1792-1082
Journal Cover
October-2023 Volume 26 Issue 4

Full Size Image

Sign up for eToc alerts
Recommend to Library

Journals

International Journal of Molecular Medicine

International Journal of Molecular Medicine

International Journal of Molecular Medicine is an international journal devoted to molecular mechanisms of human disease.

International Journal of Oncology

International Journal of Oncology

International Journal of Oncology is an international journal devoted to oncology research and cancer treatment.

Molecular Medicine Reports

Molecular Medicine Reports

Covers molecular medicine topics such as pharmacology, pathology, genetics, neuroscience, infectious diseases, molecular cardiology, and molecular surgery.

Oncology Reports

Oncology Reports

Oncology Reports is an international journal devoted to fundamental and applied research in Oncology.

Experimental and Therapeutic Medicine

Experimental and Therapeutic Medicine

Experimental and Therapeutic Medicine is an international journal devoted to laboratory and clinical medicine.

Oncology Letters

Oncology Letters

Oncology Letters is an international journal devoted to Experimental and Clinical Oncology.

Biomedical Reports

Biomedical Reports

Explores a wide range of biological and medical fields, including pharmacology, genetics, microbiology, neuroscience, and molecular cardiology.

Molecular and Clinical Oncology

Molecular and Clinical Oncology

International journal addressing all aspects of oncology research, from tumorigenesis and oncogenes to chemotherapy and metastasis.

World Academy of Sciences Journal

World Academy of Sciences Journal

Multidisciplinary open-access journal spanning biochemistry, genetics, neuroscience, environmental health, and synthetic biology.

International Journal of Functional Nutrition

International Journal of Functional Nutrition

Open-access journal combining biochemistry, pharmacology, immunology, and genetics to advance health through functional nutrition.

International Journal of Epigenetics

International Journal of Epigenetics

Publishes open-access research on using epigenetics to advance understanding and treatment of human disease.

Medicine International

Medicine International

An International Open Access Journal Devoted to General Medicine.

Journal Cover
October-2023 Volume 26 Issue 4

Full Size Image

Sign up for eToc alerts
Recommend to Library

  • Article
  • Citations
    • Cite This Article
    • Download Citation
    • Create Citation Alert
    • Remove Citation Alert
    • Cited By
  • Similar Articles
    • Related Articles (in Spandidos Publications)
    • Similar Articles (Google Scholar)
    • Similar Articles (PubMed)
  • Download PDF
  • Download XML
  • View XML
Article Open Access

Encapsulated papillary carcinoma of the breast: A single institution experience

  • Authors:
    • Liang Xu
    • Qixin Mao
    • Qiuming Liu
    • Yufeng Gao
    • Lihua Luo
    • Chungen Guo
    • Wei Qu
    • Ningning Yan
    • Yali Cao
  • View Affiliations / Copyright

    Affiliations: Prevention and Cure Center of Breast Disease, The Third Hospital of Nanchang City, Nanchang, Jiangxi 330009, P.R. China, Department of Breast Disease, Henan Breast Cancer Center, The First Affiliated Hospital of Zhengzhou University, Zhengzhou, Henan 450002, P.R. China, Department of Medical Oncology, The First Affiliated Hospital of Zhengzhou University, Zhengzhou, Henan 450002, P.R. China
    Copyright: © Xu et al. This is an open access article distributed under the terms of Creative Commons Attribution License.
  • Article Number: 459
    |
    Published online on: September 7, 2023
       https://doi.org/10.3892/ol.2023.14046
  • Expand metrics +
Metrics: Total Views: 0 (Spandidos Publications: | PMC Statistics: )
Metrics: Total PDF Downloads: 0 (Spandidos Publications: | PMC Statistics: )
Cited By (CrossRef): 0 citations Loading Articles...

This article is mentioned in:



Abstract

Encapsulated papillary carcinoma (EPC) is a relatively rare form of breast cancer. To date, no evidence‑based guidelines for the treatment of EPC have been established. Between January 2015 and December 2021, patients with histologically confirmed EPC of the breast were recorded in a database by The Third Hospital of Nanchang City (Nanchang, China). A total of 46 patients with EPC were retrieved from the database. Age at diagnosis ranged from 41‑88 years (median age, 62 years). A total of 21 of these patients had pure EPC, 6 patients had EPC associated with ductal carcinoma in situ and 19 patients had EPC associated with invasive carcinoma. The majority of EPC cases were low nuclear grade, hormone receptor‑positive and human epidermal growth factor receptor‑2‑negative. Additionally, myoepithelial cells were always absent in the papillae of the EPC. All patients underwent lumpectomy or mastectomy with sentinel lymph node biopsy, and almost all of the patients received adjuvant hormonal therapy. Adjuvant chemotherapy was only suggested to 4 patients who were diagnosed with axillary lymph node involvement. Subsequently, the clinicopathological features of non‑invasive EPC were compared with invasive EPC. The results indicated that larger tumor sizes and axillary lymph node metastases were more common in invasive tumors. During the follow‑up, only 2 patients with invasive EPC experienced recurrence or metastasis. In conclusion, a substantial proportion of invasive EPC cases display aggressive characteristics and metastatic potential, despite it being considered a subtype of carcinoma in situ with excellent prognosis, and local surgical resection is the initial method of treatment. Therefore, adjuvant endocrine therapy, radiotherapy and chemotherapy should be considered in select patients, especially in those diagnosed with invasive EPC tumors.

Introduction

Encapsulated papillary carcinoma (EPC) of the breast, which is observed in only 0.5–1% of all malignant cases worldwide (1), is regarded as a transition between ductal carcinoma in situ (DCIS) and invasive carcinoma (2). According to the histological features, EPC can be divided into three subtypes: Pure EPC, EPC associated with DCIS and EPC associated with invasive carcinoma (3).

Microscopically, similar to other types of papillary intraductal carcinoma, EPCs arise in a cystically dilated duct and lack myoepithelial cells (MECs), both in the fibrovascular cores and at the periphery (4). The absence of MECs and reported cases of metastatic tumors indicate that these tumors represent low-grade invasive carcinomas with an expansile growth pattern (5). However, the presence of continuous and intense collagen IV expression at the periphery is considered highly suggestive of a non-invasive carcinoma that is confined within an intact basement membrane (6). EPC without an adjacent DCIS or any invasive component has a very favorable prognosis with adequate local therapy; however, the presence of associated DCIS or invasive components confers a higher risk of local recurrence (7).

Notably, the outcomes of EPC cases associated with invasive carcinoma remain unclear. Several retrospective clinicopathological studies have demonstrated that EPC has a favorable prognosis with suitable local therapy alone, regardless of whether they are in situ or not (8,9). However, evidence from other studies has indicated that EPC associated with invasive carcinoma behaves aggressively, and these tumors should be staged and treated as invasive breast cancer, especially in cases with an invasive component outside the tumor capsule (7,10). To the best of our knowledge, no clearly defined guidelines on treatments for EPC have been established thus far, due to its low incidence rate.

To better understand the pathology of EPC of the breast and to investigate the therapeutic role of treatment modalities, including surgery, chemotherapy, radiotherapy and hormonal therapy, the present study aimed to compare the clinicopathological features and survival of patients with non-invasive EPC and invasive EPC admitted to The Third Hospital of Nanchang City (Nanchang, China), and to provide preliminary guidelines for standard treatment recommendations of this rare clinical entity.

Materials and methods

Patient cohort

From the institutional database, all patients that were diagnosed with EPC and admitted to the Prevention and Cure Center of Breast Disease, The Third Hospital of Nanchang City between January 2015 and December 2021 were included in this retrospective clinicopathological study. All microscopy slides of these cases were confirmed as EPC by two pathologists independently. Cases with/without an adjacent DCIS or any invasive components were included. Data such as age, sex, menopausal status, primary complaint and treatments were also collected.

Pathological examination

All available hematoxylin and eosin (H&E)-stained EPC slides were reviewed by two independent pathologists. Tumor morphologies, including nuclear grade, mitotic rate, and presence and extent of associated in situ and invasive carcinoma were assessed using recently described criteria (11). Immunohistochemical analyses were performed on 4-µm paraffin-embedded tissue slides, which were initially fixed with 10% formalin at room temperature for 6 h, as previously described (12). First, the slides were incubated at 65°C for 2 h and then deparaffinized twice, 5 min each time. Antigen retrieval was performed in antigen retrieval solution (10 mmol/l Tris; 1 mmol/l EDTA; pH 9.0) at 100°C for 5 min and 2% sheep serum (Beyotime Institute of Biotechnology) was added for blocking at room temperature for 30 min. The slides were then incubated with primary antibody at 4°C overnight, and with the horseradish peroxidase-labeled secondary antibody and DAB for 1 h at 37°C. Tumor immunoreactivity was evaluated by two pathologists independently. Moreover, immunohistochemistry (IHC), as well as fluorescence in situ hybridization (FISH), was used to determine the status of human epidermal growth factor receptor-2 (HER2) according to the updated 2018 American Society of Clinical Oncology-College of American Pathologists recommendations for HER2 testing in breast cancer (13). FISH analyses were performed as previously reported (14).

Follow-up

All patients were followed-up in the Prevention and Cure Center of Breast Disease, The Third Hospital of Nanchang City. During the follow-up period, routine physical and radiological examinations were performed to monitor recurrence. All of the patients were followed up by telephone communication and the date of the last follow-up was October 1, 2022. In total, in the present study, 46 patients with EPC were included; one of which was diagnosed with bilateral primary EPC. Follow-up information was available from 42 patients.

Statistical analysis

Data were analyzed using SPSS version 21.0 (IBM Corp.). All continuous data, such as tumor size and age were compared using unpaired Student's two-sided t-test. In addition, a Pearson's χ2 test or Fisher's exact test was used to evaluate the categorical variables, including clinicopathological features, such as sex, axillary nodal invasion and hormone receptor (HR) status. P<0.05 was considered to indicate a statistically significant difference.

Results

Clinical and pathological findings

Descriptive characteristics and clinical findings of the patients included in the present study are listed in Table I. Between January 2015 and December 2021, 46 patients with EPC were admitted to the Third Hospital of Nanchang City. Consistent with previous studies (15,16), the majority of patients with EPC were female, with only one 70-year-old male patient diagnosed in 2017 in the present case series. The age of onset ranged from 41–88 years, with a median age of 62.1 years. As shown in Table I, a total of 22 cases (46.8%) were pure EPC, 6 cases (12.8%) were EPC associated with DCIS and 19 cases (40.4%) were EPC associated with invasive carcinoma.

Table I.

Clinicopathological characteristics of patients with EPCa.

Table I.

Clinicopathological characteristics of patients with EPCa.

CharacteristicValue
Age at diagnosis, n (%)
  <60 years15 (32.6)
  60-80 years27 (58.7)
  >80 years4 (8.7)
  Median age, years (range)62 (41–88)
Sex, n (%)
  Male1 (2.2)
  Female45 (97.8)
Menopausal statusb, n (%)
  Postmenopausal33 (73.3)
  Premenopausal or perimenopausal12 (26.7)
  Family history, n (%)
  Yes3 (6.5)
  No43 (93.5)
Clinical presentationc, n (%)
  Mass38 (82.6)
  Nipple discharge5 (10.9)
Laterality, n (%)
  Left24 (52.2)
  Right21 (45.7)
  Bilateral1 (2.2)
Site, n (%)
  Central28 (59.6)
  Peripheral15 (31.9)
  Unknown4 (8.5)
Subtype, n (%)
  Pure EPC22 (46.8)
  EPC associated with DCIS6 (12.8)
  EPC associated with invasion19 (40.4)
Graded, n (%)
  Low/intermediate42 (89.4)
  High5 (10.6)
T stagee,f, n (%)
  Tis0 (0)
  T113 (32.5)
  T224 (60.0)
  T33 (7.5)
  T40 (0)
N stagee,f, n (%)
  N043 (91.5)
  N14 (8.5)
  N20 (0)
  N30 (0)

a 46 patients with 47 cases were included.

b 1 male patient was not included.

c 3 cases were asymptomatic and only detected in routine physical checkup.

d The tumor grade was determined according to the Nottingham Grade System (24).

e The primary T stage and node involvement were staged using the 8th Edition American Joint Committee on Cancer (AJCC) staging system in primary breast cancer (36).

f Data missing for 7 cases. EPC, encapsulated papillary carcinoma; DCIS, ductal carcinoma in situ; Tis, tumor in situ.

In the present study, the most common clinical manifestation of EPC was a painless and palpable lump in the breast (82.9%). Nipple discharge was present in 5 cases (10.8%). Of the cases, 24 tumors (52.2%) were located in the left breast and 21 tumors (45.7%) were located in the right breast. Notably, one 61-year-old woman (2.2%) presented with synchronous bilateral EPC tumors. Upon palpation, the tumor size ranged from 0.8–6.1 cm (median, 2.5 cm). Ultrasonography revealed that most of the EPC lesions presented with a solid or mixed cystic nodule, which displayed a heterogeneous echo structure and the border was often obscured or irregular in shape. In 7 cases (14.9%), ipsilateral axillary node enlargement with no abnormal blood flow signal was also observed. Screening mammograms also depicted a well-circumscribed, round-to-oval and lobulated mass in 31 cases (66.0%). Clustered microcalcifications were also found in 6 cases (12.8%).

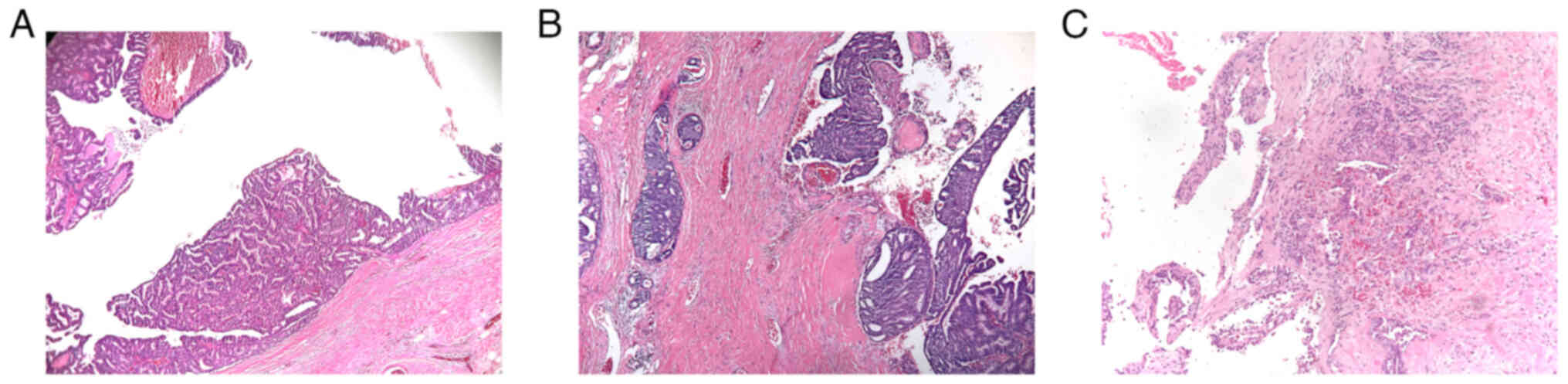
Histopathological examination of EPC showed a well-defined lesion of papillary carcinoma within a dilated duct comprised of fibrovascular cores covered by single or multiple layers of neoplastic cells, surrounded by a fibrous capsule. The surrounding fibrous capsule was thick and may have been accompanied by inflammatory cell infiltration (Fig. 1). According to the Nottingham Grading System in primary breast cancer, 5 EPC cases were high nuclear grade (10.6%), and they were all EPC associated with invasive carcinoma. Subsequent immunohistochemical analyses demonstrated that the EPC cases were primarily estrogen receptor (ER)- and progesterone receptor (PR)-positive (ER, 91.5%; PR, 80.9%). Notably, all 4 ER-negative cases were diagnosed with EPC associated with invasive carcinoma. As for the 9 PR-negative cases, 2 were pure EPC, 2 were EPC associated with DCIS and 5 were EPC associated with invasive carcinoma. According to the American Society of Clinical Oncology-College of American Pathologists Guideline for HER2 testing in breast cancer (17), cancer with HER2 overexpression refers to those patients who are HER2 IHC (3+), or HER2 IHC (2+) and FISH (+). Therefore, the majority of lesions were HER2-negative breast cancer (97.9%) in the present study, except for only one HER2 (2+) patient who had invasive EPC and was positive in the subsequent FISH analysis (Table II). Myoepithelial markers, such as p63, α smooth muscle antigen (α-SMA) and cytokeratin (CK)5/6, were negative in the majority of lesions (p63, 85.1% negative; α-SMA, 76.6% negative; CK5/6, 87.2% negative), which indicated that myoepithelial cells were often absent both in the fibrovascular cores and at the periphery of the tumor nodules of EPC (Fig. 2). A summary of the immunohistochemical analysis of the cohort is shown in Table II.

Figure 1.

Subtypes of EPC of the breast. (A) Pure EPC: A well-defined classic papillary carcinoma surrounded by a thick fibrous capsule. (B) EPC associated with DCIS: Around the EPC, multiple cribriform DCIS of intermediate nuclear grade were observed. (C) EPC associated with invasive carcinoma: Invasive carcinoma was observed beyond the fibrous capsule of the EPC by haphazardly arranged, irregular-shaped, tumor nests. Magnification, ×100. All the EPC cases were observed using H&E staining. EPC, encapsulated papillary carcinoma; DCIS, ductal carcinoma in situ.

Figure 2.

Immunohistochemical analysis of EPC. (A) ER-positive, (B) ER-negative, (C) PR-positive, (D) PR-negative, (E) CK5/6-negative and (F) p63-negative samples. The majority of EPC cases were ER- and/or PR-positive. Due to the absence of the myoepithelial layer within the papillae and around the tumor, p63 and CK5/6 immunostaining were often negative. Magnification, ×200. EPC, encapsulated papillary carcinoma; ER, estrogen receptor; PR, progesterone receptor; CK5/6, cytokeratin 5/6.

Table II.

Immunohistochemical analysis of the cohort.

Table II.

Immunohistochemical analysis of the cohort.

Immunohistochemical markersn, (%)
ER status
  Positive43 (91.5)
  Negative4 (8.5)
PR status
  Positive38 (80.9)
  Negative9 (19.1)
HER2 status
  (−)15 (31.9)
  (1+)17 (36.2)
  (2+)15 (31.9)
  (3+)0 (0)
Ki67 level
  ≤14%25 (53.2)
  >14%22 (46.8)
p63 status
  Positive6 (12.8)
  Negative40 (85.1)
  Unknown1 (2.1)
α-SMA status
  Positive8 (17.0)
  Negative36 (76.6)
  Unknown3 (6.4)
CK5/6 status
  Positive6 (12.8)
  Negative41 (87.2)
  Unknown0 (0)
Calponin status
  Positive5 (10.6)
  Negative38 (80.9)
  Unknown4 (8.5)
Molecular subtype
  Luminal43 (91.5)
  HER2 overexpression1 (2.1)
  TNBC3 (6.4)

[i] ER, estrogen receptor; PR, progesterone receptor; HER2, human epidermal growth factor receptor-2; α-SMA, α-smooth muscle actin; CK5/6, cytokeratin 5/6; TNBC, triple-negative breast cancer.

Diagnosis, treatments and survival

To establish a diagnosis, an ultrasound-guided core needle biopsy was performed in 26 cases prior to surgery. Of the 26 cases, 6 cases were diagnosed as pure EPC, 2 cases were diagnosed as EPC with DCIS, 2 cases were diagnosed as EPC with invasive carcinoma, 3 cases were diagnosed as invasive carcinoma, 10 cases were diagnosed as papilloma neoplasm, 2 cases were diagnosed as EPC suspicious for invasion and 1 case was diagnosed as atypical ductal hyperplasia. Subsequently, surgical excision was advised in all of these cases. Breast-conserving surgery/lumpectomy was performed in 16 cases (34.0%) and mastectomy was performed in 31 cases (66.0%). Sentinel lymph node biopsy (SLNB) was performed in all 47 cases to evaluate the axillary lymph node status and 4 (8.5%) of the cases were found to exhibit axillary lymph node involvement. Notably, all of the patients who had positive sentinel lymph nodes were diagnosed with EPC associated with invasive carcinoma. Additionally, all of these patients underwent subsequent axillary lymph node dissection (ALND) (Table III). Due to the observation that a substantial proportion of invasive EPC cases were axillary lymph node-positive (21.1%), SLNB should be considered in this unique subgroup.

Table III.

Treatments and clinical outcomes of patients with EPC.

Table III.

Treatments and clinical outcomes of patients with EPC.

Treatments and outcomesn (%)
Surgerya
  BCS or Lumpectomy16 (34.0)
  Mastectomy31 (66.0)
Surgery of axillary lymph nodesa
  SLNB47 (100)
  ALNDb4 (8.5)
Axillary lymph node metastasis
  Yes4 (8.7)
  No42 (91.3)
Chemotherapy
  Yes4 (8.7)
  No42 (91.3)
Radiotherapy
  Yes18 (39.1)
  No28 (60.9)
Endocrine therapy
  SERMs11 (23.9)
  AIs30 (65.2)
  OFS1 (2.2)
HER2-targeted therapy
  Yes1 (2.2)
  No45 (97.8)
Clinical outcome
  Local recurrence2 (4.3)
  Distant metastasis1 (2.2)

a 46 patients with EPC with 47 cases were reported in the present study.

b All patients with EPC received SLNB, and ALND was performed in patients with nodal metastasis. BCS, breast-conserving surgery; SLNB, sentinel lymph node biopsy; ALND, axillary lymph node dissection; SERMs, selective estrogen receptor modulators; AIs, aromatase inhibitors; OFS, ovarian function suppression; HER2, human epidermal growth factor receptor-2.

Concerning the postoperative treatments, tumor size, histological grade and the molecular subtyping of the invasive tumor cells should be considered when frankly invasive carcinoma is present in association with an EPC. In the present study, radiotherapy, chemotherapy, as well as endocrine therapy, were administered. Among all of the patients, 18 of them (39.1%) received adjuvant radiotherapy. Additionally, 4 patients (8.7%) who were originally diagnosed with axillary lymph node metastasis received systemic chemotherapy. Notably, these 4 patients all had invasive EPC and their invasive components were all HR-negative or HER2-positive. Moreover, one 41-year-old woman diagnosed with EPC associated with invasive carcinoma received adjuvant HER2-targeted therapy for 1 year as the invasive tumor cells were HER2-positive. Furthermore, adjuvant endocrine therapy was administered in 42 patients (91.3%). In the present study, all of the postmenopausal patients with EPC were given aromatase inhibitors (AIs), and all the premenopausal patients with EPC were given selective estrogen receptor modulators (SERMs), such as tamoxifen. Detailed treatments of this case series are listed in Table III.

Due to of the aggressive biological features and metastatic potential of invasive EPC, the clinicopathological characteristics of non-invasive EPC were compared with invasive EPC (Table IV). The results indicated that invasive EPC was positively associated with a larger tumor size, ER-negative status and axillary lymph node metastasis when compared with non-invasive EPC. Although not statistically significant, it should be noted that a PR-negative status was more often observed in EPC associated with invasive carcinoma.

Table IV.

Comparison of non-invasive EPC with invasive EPC.

Table IV.

Comparison of non-invasive EPC with invasive EPC.

Clinicopathological characteristicsNon-invasive EPCaInvasive EPCP-value
Age, yearsb
  Mean ± SD61.37±13.1962.65±9.050.731
Agec 0.440
  ≤50 years6 (22.2)2 (10.5)
  >50 years21 (77.8)17 (89.5)
Sexc 0.413
  Male0 (0)1 (5.3)
  Female27 (100)18 (94.7)
Tumor size, cmb,d
  Mean ± SD2.27±0.963.33±1.310.005e
Tumor sizec,d
  <2 cm7 (30.4)5 (29.4)0.241
  2-5 cm16 (69.6)9 (52.9)
  >5 cm0 (0)3 (17.7)
Gradec 0.144
  Low/Intermediate26 (96.3)15 (78.9)
  High1 (3.7)4 (21.1)
Axillary metastasisc 0.024f
  Present0 (0)4 (21.1)
  Absent27 (100)15 (78.9)
ER statusc 0.024f
  Positive27 (100)15 (78.9)
  Negative0 (0)4 (21.1)
PR statusc 0.133
  Positive24 (88.9)13 (68.4)
  Negative3 (11.1)6 (31.6)
HER2 statusc 0.413
  Positive0 (0)1 (5.3)
  Negative27 (100)18 (94.7)

a Non-invasive EPC refers to both pure EPC and EPC associated with DCIS.

b Independent samples Student's t-test,

c Fisher's exact test,

d Data of tumor size were available for 39 patients with 40 cases of EPC,

e P<0.01,

f P<0.05. DCIS, ductal carcinoma in situ; EPC, encapsulated papillary carcinoma; ER, estrogen receptor; PR, progesterone receptor; HER2, human epidermal growth factor receptor-2. All the data was presented as ‘n (%)’, unless otherwise indicated.

Follow-up information was available for 42 patients, with a mean follow-up of 31.5 months (range, 11.0–67.0 months). Routine physical and radiological examinations at the follow-up were performed to monitor recurrence. Until October 1, 2022, 40 cases were free of any recurrence on clinical examination and radiological imaging, while 2 patients experienced local recurrence or distant metastasis. One of these patients developed ipsilateral breast recurrence ~28 months after breast-conserving surgery, and they received a subsequent mastectomy in combination with ALND; the pathological examination showed a pure EPC with high nuclear grade and no regional lymph node metastasis. The immunohistochemical results demonstrated the recurrent EPC tumor was positive for HR and negative for HER2. However, the patient refused post-operative radiotherapy after primary breast-conserving surgery. In the other case, the patient was diagnosed with invasive EPC, and received mastectomy together with SLNB and adjuvant endocrine therapy. A total of 41 months after the primary surgery, routine ultrasonography found an enlarged ipsilateral supraclavicular fossa lymph node and metastatic adenocarcinoma was found in the ultrasound-guided core needle biopsy. Notably, the immunohistochemical staining revealed the metastatic lesion in the supraclavicular fossa was HR-negative and HER2-negative, although the corresponding primary tumor was classified as luminal A subtype. The computed tomography scan also suggested multiple pulmonary metastases and therefore chemotherapy was administered. In the follow-up, the 2 patients were still alive. The other patients (95.2%) were still in good health with no evidence of relapse or metastasis.

Discussion

EPC is used to define papillary carcinomas, which are well-defined lesions surrounded by a fibrous capsule, that lack myoepithelial cells in the periphery and the papillae (4). Previous studies have demonstrated that EPC tends to affect elderly women and always presents as a subareolar mass and/or with nipple discharge (18,19). Consistent with these reports, the age of the patients in the present study ranged from 41–88 years, with a median age of 62.1 years. The mean age at initial diagnosis of non-invasive EPC and EPC associated with invasive carcinoma was 61.4 and 62.7 years, respectively. These observations may seem inconsistent with previous studies, which typically had a mean age at initial diagnosis of invasive EPC that was lower when compared with the non-invasive counterparts (7,15). However, it should be acknowledged that a larger sample size is required to further obtain a meaningful result and it should be noted that the sample size in the present study was larger than that of the two aforementioned studies. Previous studies have demonstrated that male patients comprise 2–7% of EPC cases (2,3). This is inconsistent with the present report where a 70-year-old male patient was diagnosed with EPC associated with invasive breast cancer. Unlike several previous case reports (20,21), the male patient in the present case series did not have a significant family history of breast cancer.

The clinical manifestation of EPC mimics a benign breast tumor, as the most common symptom is a palpable breast mass (22,23). As for the tumor size, cases of EPC associated with invasive carcinoma were larger when compared with the non-invasive counterparts. Of note, it was not unusual for patients with EPC to complain of nipple discharge in the present case series (10.6%), and 4 out of 5 patients that presented with nipple discharge had EPC associated with invasion.

Microscopically, although the majority of EPC cases were of a low or intermediate grade according to the Nottingham Grading System in primary breast cancer (24), a substantial amount of tumors showed histological features associated with aggressive behavior, such as high-grade features with a high mitotic count (25,26) or HR negativity. In the present study, 5 EPC cases with high nuclear grade (10.6%) were all invasive EPC and 3 of these exhibited regional lymph node metastases. Therefore, taken together, these findings further indicated that high-grade features may allow EPC to metastasize easily, and these tumors should be staged and treated as non-specific invasive carcinoma.

In the immunohistochemical staining of myoepithelial markers performed in the present study, p63, α-SMA and CK5/6 were negative in the majority of cases, which suggested that myoepithelial cells were often absent in EPC. Although EPC was initially perceived as a rare subtype of in situ carcinoma, the observations of the present study further supported the notion that EPC may be a minimally invasive form of carcinoma with an expansile growth pattern and indolent behavior, or part of a wide spectrum of lesions, ranging from in situ to invasive carcinoma. Due to the lack of myoepithelial cells (27), it has been described that a subset of EPC cases have invasive potential and are able to develop local and/or distant metastases (5,28). The results of the present study also indicated that EPC associated with invasive carcinoma may behave aggressively and should be managed with caution. As for HR and HER2 status, only 4 cases were HR-negative (8.5%), while the majority of EPC cases were HER2-negative (97.9%). Only one of the 15 HER2 (2+) cases was positive in the subsequent FISH analysis. Notably, those patients who were HR-negative or HER2-positive all had EPC associated with invasive carcinoma. The majority of EPC cases in the present study had a luminal A or luminal B phenotype, except for 3 patients with triple-negative breast cancer and 1 patient with HER2-positive cancer. Subsequently, the clinicopathological characteristics of patients with non-invasive EPC were compared with those with invasive EPC. Markedly, invasive EPC was positively associated with tumor size and axillary nodal metastasis. Additionally, a HR-negative status was more often observed in cases of invasive EPC. Therefore, when frankly invasive carcinoma is present in association with EPC, it is recommended to stage and manage invasive EPC based on the characteristics of the invasive component.

To the best of our knowledge, no evidence-based guidelines have yet been established for EPC management given its low incidence rate. Once the tumor is diagnosed with EPC post-biopsy, the primary treatment is based on complete surgical excision, including breast-conserving surgery or mastectomy (3,15). However, differentiating EPC from other papillary breast lesions is difficult when using preoperative core needle biopsies and having to rely on surgical excision to obtain accurate pathological diagnoses (10). Moreover, it has been suggested that pathologists are often confused regarding the displaced fragments of tumor tissue outside the fibrous capsule and true invasion (29). Additionally, a newly proposed variant of invasive lobular carcinoma may sometimes morphologically mimic EPC growth patterns (30,31). In the present study, an ultrasound-guided core needle biopsy was performed in 26 cases before surgery and most of the cases were diagnosed as papillary neoplasm on core needle biopsy and surgical excision was suggested to obtain a clear diagnosis. In the present study, only 1 case of EPC associated with invasion was clearly diagnosed based on core needle biopsy.

Currently, whether SLNB can be omitted when pure EPC was clearly diagnosed before axillary surgery is still contested. However, some researchers have proposed SLNB as a suitable surgical option when invasive EPC is present given its potentially beneficial role in both prognosis and treatments (3,10). Unfortunately, as aforementioned, preoperative diagnosis of whether EPC occurs with invasion or not is a significant challenge. Therefore, all of the patients received SLNB in the present study and only 4 patients with invasive EPC exhibited axillary lymph node metastases (8.7%). Notably, a significant portion of the patients with invasive EPC showed metastasis in the present cohort (21.1%). Thus, to provide additional information for clear diagnosis, risk stratification and appropriate treatment for EPC, diagnostic imaging modalities, such as digital mammography, contrast-enhanced ultrasound and magnetic resonance imaging, are now considered to be of utmost importance (32,33).

Apart from surgical excision, the therapeutic role of adjuvant radiotherapy, chemotherapy, endocrine therapy, as well as HER2-targeted therapy, in EPC remains unclear. In principle, adjuvant treatment of EPC should be based on the malignant potential of the invasive tumor cells rather than the in situ components. Thus, previous publications have recommended adjuvant radiotherapy, chemotherapy and endocrine therapy in patients with EPC associated with invasive carcinoma (7,34). In the present study, 18 patients received adjuvant radiotherapy, 4 patients diagnosed with axillary lymph node metastases received chemotherapy and 1 patient received 1 year of HER2-targeted therapy. Moreover, the majority of patients with EPC received standard hormone therapy. Of note, all the postmenopausal patients with EPC were subsequently given AIs, although whether AIs were associated with superior benefits was unclear when compared with SERMs in postmenopausal patients with non-invasive carcinoma (35). Collectively, the findings further support that lumpectomy/mastectomy in combination with SLNB is a reliable therapeutic choice for patients with EPC. Adjuvant chemotherapy, radiotherapy, as well as endocrine therapy, should be considered in select patients, especially in cases of EPC associated with invasion, which display aggressive histological and biological features.

In conclusion, EPC, which most frequently affects elderly women, has a relatively excellent prognosis. Due to the lack of myoepithelial cells, EPC has metastatic potential although it is considered to be a malignant tumor in situ with indolent behavior. The present study further confirmed that EPC associated with invasive carcinoma has aggressive biological features, especially in lesions associated with unfavorable clinical or pathological characteristics, such as HR-negative and/or high nuclear grade. Local resection, as well as SLNB, should be considered in this population.

Acknowledgements

Not applicable.

Funding

This study was funded by the National Natural Science Foundation of China (grant nos. 81860467 and 82060482) and the Key Science and Technology Support Project of Nanchang (grant no. 2019-258-13).

Availability of data and materials

The datasets used and/or analyzed during the current study are available from the corresponding author on reasonable request.

Authors' contributions

LX, WQ, NY and YC conceived and designed the study. LX and QM wrote the manuscript. QL contributed to writing and revising the manuscript. YG and CG performed the statistical analysis. CG, QM, QL and LL collected and analyzed the data. WQ performed the pathological examination and provided experimental support. NY and YC drafted the manuscript and revised it critically for important intellectual content. LX and YC confirm the authenticity of all the raw data. All authors read and approved the final manuscript.

Ethics approval and consent to participate

The present study was approved by the Institutional Review Boards of The Third Hospital of Nanchang City (Nanchang, China) (approval no. K-ky2023004). Written informed consent was obtained from the patients at the time of tissue collection according to The Declaration of Helsinki.

Patient consent for publication

Not applicable.

Competing interests

The authors declare that they have no competing interests.

References

1 

Salemis NS and Mourtzoukou D: Encapsulated papillary carcinoma of the breast. Breast J. 27:280–283. 2021. View Article : Google Scholar : PubMed/NCBI

2 

George K, Anna Z, Evanthia K and Vassilios K: Encapsulated papillary carcinoma of the breast: An overview. J Cancer Res Ther. 9:564–570. 2013. View Article : Google Scholar : PubMed/NCBI

3 

Steponavičienė L, Gudavičienė D, Briedienė R, Petroška D and Garnelytė A: Diagnosis, treatment, and outcomes of encapsulated papillary carcinoma: A single institution experience. Acta Med Litu. 25:66–75. 2018.PubMed/NCBI

4 

Masood S: The significance of accurate diagnosis of encapsulated papillary carcinoma of the breast by core needle biopsy. Breast J. 27:207–208. 2021. View Article : Google Scholar : PubMed/NCBI

5 

Kitahara M, Hozumi Y, Takeuchi N, Ichinohe S, Fujiwara S, Machinaga M, Saitoh H and Iijima T: Distant metastasis after surgery for encapsulated papillary carcinoma of the breast: A case report. Case Rep Oncol. 13:1196–1201. 2020. View Article : Google Scholar : PubMed/NCBI

6 

Mulligan AM and O'Malley FP: Metastatic potential of encapsulated (intracystic) papillary carcinoma of the breast: A report of 2 cases with axillary lymph node micrometastases. Int J Surg Pathol. 15:143–147. 2007. View Article : Google Scholar : PubMed/NCBI

7 

Tariq MU, Idress R, Qureshi MB and Kayani N: Encapsulated papillary carcinoma of breast; a clinicopathological study of 25 cases and literature review with emphasis on high grade variant. Ann Diagn Pathol. 49:1516132020. View Article : Google Scholar : PubMed/NCBI

8 

Jackson CR, Felty CC, Marotti JD, Rosenkranz KM and Muller KE: Encapsulated papillary carcinoma with and without frank invasion: Comparison of clinicopathologic features and role of axillary staging. Breast J. 27:209–215. 2021. View Article : Google Scholar : PubMed/NCBI

9 

Grabowski J, Salzstein SL, Sadler GR and Blair S: Intracystic papillary carcinoma: A review of 917 cases. Cancer. 113:916–920. 2008. View Article : Google Scholar : PubMed/NCBI

10 

Hashmi AA, Iftikhar SN, Munawar S, Shah A, Irfan M and Ali J: Encapsulated papillary carcinoma of breast: Clinicopathological features and prognostic parameters. Cureus. 12:e112822020.PubMed/NCBI

11 

Patel A, Hoda RS and Hoda SA: Papillary breast tumors: Continuing controversies and commentary on WHO's 2019 criteria and classification. Int J Surg Pathol. 30:124–137. 2022. View Article : Google Scholar : PubMed/NCBI

12 

Yamamoto Y, Hayashi Y, Sakaki H and Murakami I: Downregulation of fascin induces collective cell migration in triple-negative breast cancer. Oncol Rep. 50:1502023. View Article : Google Scholar : PubMed/NCBI

13 

Wolff AC, Hammond MEH, Allison KH, Harvey BE, Mangu PB, Bartlett JMS, Bilous M, Ellis IO, Fitzgibbons P, Hanna W, et al: Human epidermal growth factor receptor 2 testing in breast cancer: American society of clinical oncology/college of American pathologists clinical practice guideline focused update. Arch Pathol Lab Med. 142:1364–1382. 2018. View Article : Google Scholar : PubMed/NCBI

14 

Jacobs TW, Gown AM, Yaziji H, Barnes MJ and Schnitt SJ: Comparison of fluorescence in situ hybridization and immunohistochemistry for the evaluation of HER-2/neu in breast cancer. J Clin Oncol. 17:1974–1982. 1999. View Article : Google Scholar : PubMed/NCBI

15 

Hassan Z, Boulos F, Abbas J, El Charif MH, Assi H and Sbaity E: Intracystic papillary carcinoma: Clinical presentation, patterns of practice, and oncological outcomes. Breast Cancer Res Treat. 182:317–323. 2020. View Article : Google Scholar : PubMed/NCBI

16 

Li X, Xu Y, Ye H, Qin S, Hou F and Liu W: Encapsulated papillary carcinoma of the breast: A clinicopathological study of 49 cases. Curr Probl Cancer. 42:291–301. 2018. View Article : Google Scholar : PubMed/NCBI

17 

Wolff AC, Hammond MEH, Allison KH, Harvey BE, Mangu PB, Bartlett JMS, Bilous M, Ellis IO, Fitzgibbons P, Hanna W, et al: Human epidermal growth factor receptor 2 testing in breast cancer: American society of clinical oncology/college of American pathologists clinical practice guideline focused update. J Clin Oncol. 36:2105–2122. 2018. View Article : Google Scholar : PubMed/NCBI

18 

Schwartz CJ, Boroujeni AM, Khodadadi-Jamayran A, Heguy A, Snuderl M, Jour G, Cotzia P and Darvishian F: Molecular analysis of encapsulated papillary carcinoma of the breast with and without invasion. Hum Pathol. 111:67–74. 2021. View Article : Google Scholar : PubMed/NCBI

19 

Solanki MH, Derylo AF, Visotcky AM and Jorns JM: Encapsulated and solid papillary carcinomas of the breast: Tumors in transition from in situ to invasive? Breast J. 25:539–541. 2019. View Article : Google Scholar : PubMed/NCBI

20 

Romics L Jr, O'Brien ME, Relihan N, O'Connell F and Redmond HP: Intracystic papillary carcinoma in a male as a rare presentation of breast cancer: A case report and literature review. J Med Case Rep. 3:132009. View Article : Google Scholar : PubMed/NCBI

21 

Brents M and Hancock J: Ductal carcinoma in situ of the male breast. Breast Care (Basel). 11:288–290. 2016. View Article : Google Scholar : PubMed/NCBI

22 

Rehman B, Mumtaz A, Sajjad B, Urooj N, Khan SM, Zahid MT, Mannan H, Chaudhary MZ, Khan A and Parvaiz MA: Papillary carcinoma of breast: Clinicopathological characteristics, management, and survival. Int J Breast Cancer. 2022:54278372022. View Article : Google Scholar : PubMed/NCBI

23 

Morgan S, Dodington D, Wu JM and Turashvili G: Solid papillary carcinoma and encapsulated papillary carcinoma of the breast: Clinical-pathologic features and basement membrane studies of 50 cases. Pathobiology. 88:359–373. 2021. View Article : Google Scholar : PubMed/NCBI

24 

Galea MH, Blamey RW, Elston CE and Ellis IO: The Nottingham prognostic index in primary breast cancer. Breast Cancer Res Treat. 22:207–219. 1992. View Article : Google Scholar : PubMed/NCBI

25 

Liu X, Wu H, Teng L, Zhang H, Lu J and Liang Z: High-grade encapsulated papillary carcinoma of the breast is clinicopathologically distinct from low/intermediate-grade neoplasms in Chinese patients. Histol Histopathol. 34:137–147. 2019.PubMed/NCBI

26 

Rakha EA, Varga Z, Elsheik S and Ellis IO: High-grade encapsulated papillary carcinoma of the breast: An under-recognized entity. Histopathology. 66:740–746. 2015. View Article : Google Scholar : PubMed/NCBI

27 

Athanasiou A, Khomsi F, de Joliniere B and Feki A: Encapsulated papillary carcinoma: A case report and review of the literature. Front Surg. 8:7438812022. View Article : Google Scholar : PubMed/NCBI

28 

Yee C, Drost L, Niglas M, Chow E and Vesprini D: Early local recurrence in a patient with encapsulated papillary carcinoma of the breast. Clin Breast Cancer. 18:e447–e448. 2018. View Article : Google Scholar : PubMed/NCBI

29 

Kang HJ, Kwon SY, Kim A, Kim WG, Kim EK, Kim AR, Kim C, Min SK, Park SY, Sung SH, et al: A multicenter study of interobserver variability in pathologic diagnosis of papillary breast lesions on core needle biopsy with WHO classification. J Pathol Transl Med. 55:380–387. 2021. View Article : Google Scholar : PubMed/NCBI

30 

Zheng L, Saluja K and Guo T: Invasive lobular carcinoma mimicking encapsulated papillary carcinoma with a literature review: A rare variant detected serendipitously. Int J Surg Pathol. 30:912–920. 2022. View Article : Google Scholar : PubMed/NCBI

31 

Motanagh SA and Muller KE: Invasive lobular carcinoma with papillary features: A newly described variant that poses a difficult histologic differential diagnosis. Breast J. 26:1231–1233. 2020. View Article : Google Scholar : PubMed/NCBI

32 

Kurtoğlu Özçağlayan Tİ and Öznur M: Digital mammography, ultrasound and magnetic resonance imaging characteristics in differential diagnosis of papillary carcinoma subtypes of the breast and diagnostic challenges. Eur J Breast Health. 18:172–181. 2022. View Article : Google Scholar : PubMed/NCBI

33 

Tang CY, Guan PS, You QQ, Yuan HX and Wang WP: Contrast-enhanced ultrasound combined with ultrasonic elastography to diagnose encapsulated papillary carcinoma: A case report. Clin Hemorheol Microcirc. 82:391–396. 2022. View Article : Google Scholar : PubMed/NCBI

34 

Tariq N, Mamoon N, Usman M, Ali Z and Nazir I: Encapsulated papillary carcinoma (EPC) of breast: A clinical, pathological and immunohistochemical analysis of eight cases. J Pak Med Assoc. 66:1490–1493. 2016.PubMed/NCBI

35 

Lazzeroni M, Dunn BK, Pruneri G, Jereczek-Fossa BA, Orecchia R, Bonanni B and DeCensi A: Adjuvant therapy in patients with ductal carcinoma in situ of the breast: The Pandora's box. Cancer Treat Rev. 55:1–9. 2017. View Article : Google Scholar : PubMed/NCBI

36 

Giuliano AE, Edge SB and Hortobagyi GN: Eighth edition of the AJCC cancer staging manual: Breast cancer. Ann Surg Oncol. 25:1783–1785. 2018. View Article : Google Scholar : PubMed/NCBI

Related Articles

  • Abstract
  • View
  • Download
  • Twitter
Copy and paste a formatted citation
Spandidos Publications style
Xu L, Mao Q, Liu Q, Gao Y, Luo L, Guo C, Qu W, Yan N and Cao Y: Encapsulated papillary carcinoma of the breast: A single institution experience. Oncol Lett 26: 459, 2023.
APA
Xu, L., Mao, Q., Liu, Q., Gao, Y., Luo, L., Guo, C. ... Cao, Y. (2023). Encapsulated papillary carcinoma of the breast: A single institution experience. Oncology Letters, 26, 459. https://doi.org/10.3892/ol.2023.14046
MLA
Xu, L., Mao, Q., Liu, Q., Gao, Y., Luo, L., Guo, C., Qu, W., Yan, N., Cao, Y."Encapsulated papillary carcinoma of the breast: A single institution experience". Oncology Letters 26.4 (2023): 459.
Chicago
Xu, L., Mao, Q., Liu, Q., Gao, Y., Luo, L., Guo, C., Qu, W., Yan, N., Cao, Y."Encapsulated papillary carcinoma of the breast: A single institution experience". Oncology Letters 26, no. 4 (2023): 459. https://doi.org/10.3892/ol.2023.14046
Copy and paste a formatted citation
x
Spandidos Publications style
Xu L, Mao Q, Liu Q, Gao Y, Luo L, Guo C, Qu W, Yan N and Cao Y: Encapsulated papillary carcinoma of the breast: A single institution experience. Oncol Lett 26: 459, 2023.
APA
Xu, L., Mao, Q., Liu, Q., Gao, Y., Luo, L., Guo, C. ... Cao, Y. (2023). Encapsulated papillary carcinoma of the breast: A single institution experience. Oncology Letters, 26, 459. https://doi.org/10.3892/ol.2023.14046
MLA
Xu, L., Mao, Q., Liu, Q., Gao, Y., Luo, L., Guo, C., Qu, W., Yan, N., Cao, Y."Encapsulated papillary carcinoma of the breast: A single institution experience". Oncology Letters 26.4 (2023): 459.
Chicago
Xu, L., Mao, Q., Liu, Q., Gao, Y., Luo, L., Guo, C., Qu, W., Yan, N., Cao, Y."Encapsulated papillary carcinoma of the breast: A single institution experience". Oncology Letters 26, no. 4 (2023): 459. https://doi.org/10.3892/ol.2023.14046
Follow us
  • Twitter
  • LinkedIn
  • Facebook
About
  • Spandidos Publications
  • Careers
  • Cookie Policy
  • Privacy Policy
How can we help?
  • Help
  • Live Chat
  • Contact
  • Email to our Support Team