Spandidos Publications Logo
  • About
    • About Spandidos
    • Aims and Scopes
    • Abstracting and Indexing
    • Editorial Policies
    • Reprints and Permissions
    • Job Opportunities
    • Terms and Conditions
    • Contact
  • Journals
    • All Journals
    • Oncology Letters
      • Oncology Letters
      • Information for Authors
      • Editorial Policies
      • Editorial Board
      • Aims and Scope
      • Abstracting and Indexing
      • Bibliographic Information
      • Archive
    • International Journal of Oncology
      • International Journal of Oncology
      • Information for Authors
      • Editorial Policies
      • Editorial Board
      • Aims and Scope
      • Abstracting and Indexing
      • Bibliographic Information
      • Archive
    • Molecular and Clinical Oncology
      • Molecular and Clinical Oncology
      • Information for Authors
      • Editorial Policies
      • Editorial Board
      • Aims and Scope
      • Abstracting and Indexing
      • Bibliographic Information
      • Archive
    • Experimental and Therapeutic Medicine
      • Experimental and Therapeutic Medicine
      • Information for Authors
      • Editorial Policies
      • Editorial Board
      • Aims and Scope
      • Abstracting and Indexing
      • Bibliographic Information
      • Archive
    • International Journal of Molecular Medicine
      • International Journal of Molecular Medicine
      • Information for Authors
      • Editorial Policies
      • Editorial Board
      • Aims and Scope
      • Abstracting and Indexing
      • Bibliographic Information
      • Archive
    • Biomedical Reports
      • Biomedical Reports
      • Information for Authors
      • Editorial Policies
      • Editorial Board
      • Aims and Scope
      • Abstracting and Indexing
      • Bibliographic Information
      • Archive
    • Oncology Reports
      • Oncology Reports
      • Information for Authors
      • Editorial Policies
      • Editorial Board
      • Aims and Scope
      • Abstracting and Indexing
      • Bibliographic Information
      • Archive
    • Molecular Medicine Reports
      • Molecular Medicine Reports
      • Information for Authors
      • Editorial Policies
      • Editorial Board
      • Aims and Scope
      • Abstracting and Indexing
      • Bibliographic Information
      • Archive
    • World Academy of Sciences Journal
      • World Academy of Sciences Journal
      • Information for Authors
      • Editorial Policies
      • Editorial Board
      • Aims and Scope
      • Abstracting and Indexing
      • Bibliographic Information
      • Archive
    • International Journal of Functional Nutrition
      • International Journal of Functional Nutrition
      • Information for Authors
      • Editorial Policies
      • Editorial Board
      • Aims and Scope
      • Abstracting and Indexing
      • Bibliographic Information
      • Archive
    • International Journal of Epigenetics
      • International Journal of Epigenetics
      • Information for Authors
      • Editorial Policies
      • Editorial Board
      • Aims and Scope
      • Abstracting and Indexing
      • Bibliographic Information
      • Archive
    • Medicine International
      • Medicine International
      • Information for Authors
      • Editorial Policies
      • Editorial Board
      • Aims and Scope
      • Abstracting and Indexing
      • Bibliographic Information
      • Archive
  • Articles
  • Information
    • Information for Authors
    • Information for Reviewers
    • Information for Librarians
    • Information for Advertisers
    • Conferences
  • Language Editing
Spandidos Publications Logo
  • About
    • About Spandidos
    • Aims and Scopes
    • Abstracting and Indexing
    • Editorial Policies
    • Reprints and Permissions
    • Job Opportunities
    • Terms and Conditions
    • Contact
  • Journals
    • All Journals
    • Biomedical Reports
      • Information for Authors
      • Editorial Policies
      • Editorial Board
      • Aims and Scope
      • Abstracting and Indexing
      • Bibliographic Information
      • Archive
    • Experimental and Therapeutic Medicine
      • Information for Authors
      • Editorial Policies
      • Editorial Board
      • Aims and Scope
      • Abstracting and Indexing
      • Bibliographic Information
      • Archive
    • International Journal of Epigenetics
      • Information for Authors
      • Editorial Policies
      • Editorial Board
      • Aims and Scope
      • Abstracting and Indexing
      • Bibliographic Information
      • Archive
    • International Journal of Functional Nutrition
      • Information for Authors
      • Editorial Policies
      • Editorial Board
      • Aims and Scope
      • Abstracting and Indexing
      • Bibliographic Information
      • Archive
    • International Journal of Molecular Medicine
      • Information for Authors
      • Editorial Policies
      • Editorial Board
      • Aims and Scope
      • Abstracting and Indexing
      • Bibliographic Information
      • Archive
    • International Journal of Oncology
      • Information for Authors
      • Editorial Policies
      • Editorial Board
      • Aims and Scope
      • Abstracting and Indexing
      • Bibliographic Information
      • Archive
    • Medicine International
      • Information for Authors
      • Editorial Policies
      • Editorial Board
      • Aims and Scope
      • Abstracting and Indexing
      • Bibliographic Information
      • Archive
    • Molecular and Clinical Oncology
      • Information for Authors
      • Editorial Policies
      • Editorial Board
      • Aims and Scope
      • Abstracting and Indexing
      • Bibliographic Information
      • Archive
    • Molecular Medicine Reports
      • Information for Authors
      • Editorial Policies
      • Editorial Board
      • Aims and Scope
      • Abstracting and Indexing
      • Bibliographic Information
      • Archive
    • Oncology Letters
      • Information for Authors
      • Editorial Policies
      • Editorial Board
      • Aims and Scope
      • Abstracting and Indexing
      • Bibliographic Information
      • Archive
    • Oncology Reports
      • Information for Authors
      • Editorial Policies
      • Editorial Board
      • Aims and Scope
      • Abstracting and Indexing
      • Bibliographic Information
      • Archive
    • World Academy of Sciences Journal
      • Information for Authors
      • Editorial Policies
      • Editorial Board
      • Aims and Scope
      • Abstracting and Indexing
      • Bibliographic Information
      • Archive
  • Articles
  • Information
    • For Authors
    • For Reviewers
    • For Librarians
    • For Advertisers
    • Conferences
  • Language Editing
Login Register Submit
  • This site uses cookies
  • You can change your cookie settings at any time by following the instructions in our Cookie Policy. To find out more, you may read our Privacy Policy.

    I agree
Search articles by DOI, keyword, author or affiliation
Search
Advanced Search
presentation
Oncology Letters
Join Editorial Board Propose a Special Issue
Print ISSN: 1792-1074 Online ISSN: 1792-1082
Journal Cover
December-2023 Volume 26 Issue 6

Full Size Image

Sign up for eToc alerts
Recommend to Library

Journals

International Journal of Molecular Medicine

International Journal of Molecular Medicine

International Journal of Molecular Medicine is an international journal devoted to molecular mechanisms of human disease.

International Journal of Oncology

International Journal of Oncology

International Journal of Oncology is an international journal devoted to oncology research and cancer treatment.

Molecular Medicine Reports

Molecular Medicine Reports

Covers molecular medicine topics such as pharmacology, pathology, genetics, neuroscience, infectious diseases, molecular cardiology, and molecular surgery.

Oncology Reports

Oncology Reports

Oncology Reports is an international journal devoted to fundamental and applied research in Oncology.

Experimental and Therapeutic Medicine

Experimental and Therapeutic Medicine

Experimental and Therapeutic Medicine is an international journal devoted to laboratory and clinical medicine.

Oncology Letters

Oncology Letters

Oncology Letters is an international journal devoted to Experimental and Clinical Oncology.

Biomedical Reports

Biomedical Reports

Explores a wide range of biological and medical fields, including pharmacology, genetics, microbiology, neuroscience, and molecular cardiology.

Molecular and Clinical Oncology

Molecular and Clinical Oncology

International journal addressing all aspects of oncology research, from tumorigenesis and oncogenes to chemotherapy and metastasis.

World Academy of Sciences Journal

World Academy of Sciences Journal

Multidisciplinary open-access journal spanning biochemistry, genetics, neuroscience, environmental health, and synthetic biology.

International Journal of Functional Nutrition

International Journal of Functional Nutrition

Open-access journal combining biochemistry, pharmacology, immunology, and genetics to advance health through functional nutrition.

International Journal of Epigenetics

International Journal of Epigenetics

Publishes open-access research on using epigenetics to advance understanding and treatment of human disease.

Medicine International

Medicine International

An International Open Access Journal Devoted to General Medicine.

Journal Cover
December-2023 Volume 26 Issue 6

Full Size Image

Sign up for eToc alerts
Recommend to Library

  • Article
  • Citations
    • Cite This Article
    • Download Citation
    • Create Citation Alert
    • Remove Citation Alert
    • Cited By
  • Similar Articles
    • Related Articles (in Spandidos Publications)
    • Similar Articles (Google Scholar)
    • Similar Articles (PubMed)
  • Download PDF
  • Download XML
  • View XML
Article Open Access

A retrospective study of transarterial chemoembolization (TACE) combined with lenvatinib compared with TACE monotherapy for BCLC B2 stage hepatocellular carcinoma

  • Authors:
    • Junning Liu
    • Shu Yan
    • Guangnian Zhang
    • Linfeng Yang
    • Song Wei
    • Pengsheng Yi
  • View Affiliations / Copyright

    Affiliations: Department of Hepato‑Biliary‑Pancreas II, Affiliated Hospital of North Sichuan Medical College, Nanchong, Sichuan 637000, P.R. China
    Copyright: © Liu et al. This is an open access article distributed under the terms of Creative Commons Attribution License.
  • Article Number: 507
    |
    Published online on: October 10, 2023
       https://doi.org/10.3892/ol.2023.14094
  • Expand metrics +
Metrics: Total Views: 0 (Spandidos Publications: | PMC Statistics: )
Metrics: Total PDF Downloads: 0 (Spandidos Publications: | PMC Statistics: )
Cited By (CrossRef): 0 citations Loading Articles...

This article is mentioned in:



Abstract

The present study aimed to compare the efficacy and safety of combination therapy with lenvatinib (Len) plus transarterial chemoembolization (TACE) and TACE alone in patients with Barcelona Clinic Liver Cancer (BCLC) B2 stage hepatocellular carcinoma (HCC). A total of 66 patients with BCLC B2 stage HCC were retrospectively reviewed in the present study, of which 34 patients received Len + TACE, while 32 patients received TACE alone between May 2018 and May 2020. Survival outcome, tumor response and adverse events (AEs) were compared between the two treatment groups. The 6‑month, 1‑ and 2‑year overall survival (OS) rates were significantly higher in the Len + TACE group (97.1, 85.3 and 76.3%, respectively) compared with those in the TACE group [(93.8, 81.1 and 45.4%, respectively); hazard ratio (HR), 0.395; 95% confidence interval (CI), 0.180‑0.867; P=0.023], but no significant difference in progression‑free survival rate was observed between the two groups (HR, 0.815; 95% CI, 0.437‑1.520; P=0.510). Patients receiving Len + TACE demonstrated a higher objective response rate compared with those receiving TACE alone (64.7 vs. 34.4%; P=0.014). Therefore, Len + TACE combination therapy was associated with increased OS and tumor response compared with that of TACE monotherapy in patients with BCLC B2 stage HCC. However, large‑scale, multicenter, prospective studies are needed to further confirm these results.

Introduction

Hepatocellular carcinoma (HCC) is the sixth most common type of cancer and third leading cause of cancer-related deaths worldwide in 2020 (1). HCC has emerged as one of the top five cancer types with regards to incidence, mortality and disability-adjusted life year of cancer in China; HCC is ranked tenth and fourteenth in the US and UK, respectively, although the disability-adjusted life year burden of HCC has decreased by 41.5%, and its ranking dropped from second to fifth between 1990 and 2019 (2). Currently, a number of options are recommended as treatments for HCC including surgical resection, liver transplantation and radiofrequency ablation (3). However, ~66% of patients with HCC are already at intermediate or advanced stage of disease at the time of diagnosis, and qualify for non-curative types of treatment, such as transarterial chemoembolization (TACE) and tyrosine kinase inhibitors (TKIs) (4).

The Barcelona Clinical Liver Cancer (BCLC) staging system is classified based on tumor load (tumor size, tumor number, vascular invasion and extrahepatic metastasis), liver function status (Child-Pugh class) and performance status (Eastern Cooperative Oncology Group-performance status), and is widely used for HCC staging (5). According to current recommendations, TACE is the global standard treatment for BCLC B stage HCC (5). However, due to the presence of heterogeneity with regards to tumor burden, liver function and clinical characteristics, as well as the recommendation for this treatment for a wide range of patients with intermediate stage HCC, there are several limitations associated with this type of treatment. Based on varying liver function and tumor burden, Bolondi et al (6) reclassified BCLC B stage HCC into four substages. Subsequently, various staging systems have since emerged, and appropriate treatments for different subgroups have been recommended (7). Based on the criteria recommended by Bolondi et al (6), Kudo et al (8) modified and improved the Kinki criteria, which subclassified intermediate HCC into three substages. The Kinki criteria are based on the Child-Pugh score, Milan criteria (solitary tumor ≤5 cm, or two or three nodules ≤3 cm) and up-to-seven criteria (the sum of the size in cm, and the number of tumors ≤7). The B2 substage includes patients with HCC with a Child-Pugh score of 5–7, beyond Milan criteria and exceeding the up-to-seven criteria. In 2018, Kudo (9) proposed the Kindai criteria (Table I), which were modified on the basis of the original version of the Kinki criteria in order to provide more suitable treatment decision-making in patients with intermediate-stage HCC.

Table I.

Subclassification of BCLC B stage hepatocellular carcinoma [Kindai criteria (9)].

Table I.

Subclassification of BCLC B stage hepatocellular carcinoma [Kindai criteria (9)].

Subclassification

Criteria or clinical strategyB1B2B3aB3b
Milan criteriaBeyondBeyondBeyondBeyond
Up-to-seven criteriaInOutInOut
Child-Pugh score5-75-78-98-9
Concept of treatment strategyCurativeNon-curative, palliativeCurative if within up-to-7Palliative, no treatment
Treatment optionResection, ablation, superselective c-TACE LenvatinibaTransplantation, ablation, superselective c-TACEHAIC, selective DEB-TACE, BSC
Alternative DEB-TACEb, B-TACEc Sorafeniba, TACE + sorafenib, DEB-TACEd, bland TAE4 followed by MTADEB-TACE, B-TACE, HAICBSC

a Both lenvatinib and sorafenib recommended for patients with liver function of Child-Pugh score 5 and 6;

b DEB-TACE is recommended for patients with relatively large tumors and Child-Pugh score 7;

c B-TACE is recommended for fewer tumors;

d Both DEB-TACE and bland TAE are recommended for huge tumors that are >6 cm (9). BCLC, Barcelona Clinic Liver Cancer; TACE, Transcatheter arterial chemoembolization; c-TACE, Conventional subsegmental lipiodol TACE; HAIC, Hepatic arterial infusion chemotherapy; DEB-TACE, TACE with drug-eluting beads; BSC, Best supportive care; B-TACE, Balloon occluded TACE; MTA, multi-targeted agent.

According to both the Bolondi and Kinki criteria, TACE and sorafenib are recommended as the first and/or alternative treatment options for patients with B2 stage HCC. However, >66.6% of patients with HCC exhibit resistance and a high rate of recurrence after TACE. Thus, repeated TACE is needed for such patients, and resistance to this treatment may lead to a poor prognosis. Previous studies suggested that TACE causes tumor cells to be surrounded by a hypoxic environment, which may elevate expression levels of vascular endothelial growth factor (VEGF) and basic fibroblast growth factor (FGF), and ultimately lead to tumor angiogenesis (10–12). TKIs targeting VEGF receptor (VEGFR) and other related receptors, inhibit receptor activity and the activation of downstream signaling pathways, and achieve anti-angiogenesis by blocking multiple signaling pathways (13,14). Previous randomized controlled trials in patients with HCC reported that combination therapy with TACE and sorafenib significantly prolonged progression-free survival time compared with TACE monotherapy (15,16). A recent meta-analysis reported a significantly increased efficacy of TACE plus sorafenib for patients with unresectable HCC (uHCC) compared with TACE alone (17). However, a multicenter retrospective observational study enrolled 1,719 patients with uHCC and divided these patients into three groups, namely low, moderate and high tumor burden, based on tumor size and number, and reported that TACE plus sorafenib provided notable survival benefits compared with TACE alone, only in patients with a moderate tumor burden (18).

As a novel member of multi-kinase inhibitor agents, targeting VEGF, FGF and platelet-derived growth factor receptors, lenvatinib (Len) was reported to show non-inferiority or superiority in both efficacy and safety measured compared with sorafenib, and has been recommended as a first-line treatment for patients with uHCC in Japan, America, China and other countries (19–22). In addition, TACE plus Len also demonstrated improved efficacy compared with that of TACE plus sorafenib in patients with HCC (23). Kudo et al (24) recommended Len-TACE sequential therapy as the first option for patients with uHCC deemed unsuitable for TACE treatment. Recently, a number of studies made a comparison between TACE plus Len, and Len alone for patients with uHCC, and the combination therapy achieved improved clinical outcomes (25,26). However, to the best of our knowledge, no studies focused on comparing the efficacy of the two treatments in subgroups of patients, especially those with moderate tumor burden.

Therefore, the present retrospective study was conducted to compare the efficacy and safety of combination therapy with TACE and Len against TACE monotherapy in patients with BCLC B2 stage HCC.

Materials and methods

Study design and patient population

A total of 66 patients with BCLC B2 stage HCC who received Len + TACE or TACE alone at the Affiliated Hospital of North Sichuan Medical College between May 2018 and May 2020 were retrospectively reviewed (Fig. 1). The cohort of patients in the present study was not included in other clinical trial studies. HCC was diagnosed using histopathological and/or imaging examinations, and was classified using the BCLC staging system (5). BCLC B2 stage HCC was defined as intermediate-stage HCC with Child-Pugh scores of 5–7, beyond the Milan criteria and up-to-seven criteria (8,9).

Figure 1.

Flow chart for selecting patients with BCLC B2 stage HCC for the present study study. BCLC, Barcelona Clinic Liver Cancer; HCC, hepatocellular carcinoma; Len, lenvatinib; TACE, transarterial chemoembolization.

The inclusion criteria were as follows: i) Diagnosis of BCLC B2 stage HCC; ii) age ≥18 but <75 years; and iii) no other history of malignant tumors. The exclusion criteria were as follows: i) Received previous local or systemic therapy, such as TACE, TKIs or programmed death-1(PD-1); and iii) incomplete data or loss of follow-up.

Baseline data were collected including age, sex, hepatitis B virus (HBV) status, α-fetoprotein (AFP) level, Child-Pugh score, liver cirrhosis, largest tumor size, tumor number and distribution.

TACE

After the assessment of routine blood tests, liver and kidney function, and PS, a 5-F infusion catheter was selectively inserted into the tumor-feeding hepatic arteries. An injection of an emulsion of epirubicin (20–40 mg; Pharmorubicin®; Pfizer, Inc.) and lipiodol (2–10 ml; Guerbet Laboratories Ltd.) into the intrahepatic arterial was performed, and small gelatin sponge particles were used for embolization. Biochemical indicators such as AFP, bilirubin, albumin and others were reviewed on day 3 post-operation, and patients were evaluated for changes in the tumor using CT or MRI scans 4 weeks after TACE. TACE was repeated until progression to either TACE-refractory criteria (27,28), unacceptable toxicity or withdrawal of consent.

Len + TACE

In principle, doctors recommended Len + TACE combination therapy for all patients with BCLC B2 stage HCC. However, patients who refused Len accepted TACE monotherapy for either economic or personal reasons, such as a fear of complications or disagreement with the doctor's decisions. If no obvious abnormalities in biochemical indicators, such as abnormal elevation of liver transaminase, and other symptoms, such as severe nausea and anaphylaxis, were observed on day 3 post operation, Len was administered on the same day, otherwise, Len was administered after symptoms had ceased. Len (Eisai Co., Ltd) was administered orally at 8 mg once per day in patients with weight <60 kg or at 12 mg per day in patients with weight ≥60 kg based on the recommended doses published by the REFLECT trial (20). If serious adverse events (AEs; grade ≥3) or any unacceptable treatment-related AEs occurred, the dose of Len was reduced, delayed or discontinued according to the manufacturer's instructions.

Follow-up and assessment

The first follow-up was conducted 4 weeks after TACE and included analysis of related biochemical indicators and CT or MRI. Follow-up was repeated every 4–8 weeks to detect any recurrence or metastasis. Follow-up was censored in April 2022.

Overall survival (OS) was defined as the period from the date of initial TACE to death or last follow-up, whereas progression-free survival (PFS) was defined as the period from the date of initial TACE to the time of disease progression or last follow-up. Tumor response was assessed every 4–8 weeks according to the modified response evaluation criteria for solid tumors (mRECIST) (29), including complete response (CR), partial response (PR), stable disease (SD) and progressive disease (PD). The objective response rate (ORR) was defined as the proportion of patients who achieved CR or PR, and the disease control rate (DCR) was defined as the proportion of patients who achieved either CR, PR or SD. Treatment-related AEs were evaluated according to the Common Terminology Criteria for Adverse Events (version 5) (30).

Statistical analysis

Continuous data with normal distribution were expressed as the mean and standard deviation and skewed distributions were expressed as medians and interquartile ranges. Categorical data are expressed as frequencies and percentages. Categorical variables were compared using the χ2 or Fisher's exact tests and continuous variables were comparing using the unpaired Student's t-test. PFS and OS were calculated using the Kaplan-Meier method and the log-rank test was used to compare PFS and OS between the groups. Hazard ratios (HRs) and confidence intervals (CIs) were estimated using the Cox proportional hazards model. Statistical analysis was performed using the SPSS software (version 21; IBM Corp.) and RStudio (version 4.2.1; RStudio, Inc.). P<0.05 was considered to indicate a statistically significant difference.

Results

Patient characteristics

In total, 66 patients were included in the present study with 34 patients receiving Len + TACE, and 32 patients receiving TACE alone (Table II). Most of the patients were male [n=58 (87.9%)] and had an HBV infection [n=57 (86.4%)], >3 tumors [n=56 (84.8%)], a bilobar distribution [n=53 (80.3%)] and a mean age of 52.55±13.45 years. In the Len + TACE group, the number of patients with higher AFP levels >400 ng/l [n=21 (61.8%)] was significantly higher compared with that in the TACE group [n=10 (31.2%)] (P=0.013). Other patient characteristics of note included hepatitis C virus (HCV) infection [n=1 (1.5%)], alcohol abuse [n=1 (1.5%)], non-alcoholic fatty liver disease [n=2 (3.0%)] and other unknown background of liver damage [n=5 (7.5%)]. All patients infected with HBV were treated with 0.5 mg entecavir (Chia Tai Tianqing Pharmaceutical Group Co., Ltd.) once daily, while the patient infected with HCV received 400/100 mg sofosbuvir and velpatasvir (Gilead Sciences, Inc.) once daily.

Table II.

Baseline patient characteristics.

Table II.

Baseline patient characteristics.

Patient characteristicLenvatinib + TACE (n=34)TACE (n=32)Total (n=66)P-value
Age, yearsa51.79±12.3053.34±14.7252.55±13.450.643
Sex, n (%) 0.710
  Female5 (14.7)3 (9.4)8 (12.1)
  Male29 (85.3)29 (90.6)58 (87.9)
HBV, n (%) >0.999
  Negative5 (14.7)4 (12.5)9 (13.6)
  Positive29 (85.3)28 (87.5)57 (86.4)
AFP (ng/l), n (%) 0.013
  ≤40013 (38.2)22 (68.8)35 (53.0)
  >40021 (61.8)10 (31.2)31 (47.0)
Child-Pugh score, n (%) 0.977
  513 (38.2)13 (40.6)26 (39.4)
  613 (38.2)12 (37.5)25 (37.9)
  78 (23.5)7 (21.9)15 (22.7)
Liver cirrhosis, n (%) 0.709
  No11 (32.4)9 (28.1)20 (30.3)
  Yes23 (67.6)23 (71.9)46 (69.7)
Tumor number, n (%) 0.654
  ≤34 (11.8)6 (18.8)10 (15.2)
  >330 (88.2)26 (81.3)56 (84.8)
Largest tumor size (cm), n (%) 0.622
  ≤418 (52.9)15 (46.9)33 (50.0)
  >416 (47.1)17 (53.1)33 (50.0)
Tumor distribution, n (%) 0.420
  Unilobar8 (23.5)5 (15.6)13 (19.7)
  Bilobar26 (76.5)27 (84.4)53 (80.3)

{ label (or @symbol) needed for fn[@id='tfn5-ol-26-6-14094'] } TACE, transarterial chemoembolization; HBV, hepatitis B virus; AFP, α-fetoprotein.

a Data are presented as mean ± SD.

Overall survival

As the number of deaths was so small that >50% of the patients still survived at the end of the follow-up, causing the inability to calculate the median value, the median OS time was not reached in the two treatment groups (Fig. 2A). The OS time was significantly longer in the Len + TACE group compared with that in the TACE group (HR, 0.395; 95% CI, 0.180–0.867; P=0.023). The 6-month, 1- and 2- year OS rates in the Len + TACE group were 97.1, 85.3 and 76.3%, respectively. The 6-month, 1- and 2- year OS rates in the TACE group were 93.8, 81.1 and 45.4%, respectively. The subgroup analysis demonstrated that patients aged >60 years, with lower levels of AFP (≤400 ng/ml), >3 tumors, largest tumor size ≤4 cm and without HBV infection and liver cirrhosis, benefited more from Len + TACE compared with TACE monotherapy (P<0.05; Fig. 3).

Figure 2.

Kaplan-Meier survival curves in (A) overall survival and (B) progression-free survival of patients with BCLC B2 stage HCC and treated with Len + TACE combination therapy or TACE monotherapy. The shaded areas on the graph represent the confidence interval. Len, lenvatinib; TACE, transarterial chemoembolization; BCLC, Barcelona Clinic Liver Cancer; HCC, hepatocellular carcinoma.

Figure 3.

Forest plot of the overall survival in the subgroup of comparison between the Len + TACE group and the TACE monotherapy group. Len, lenvatinib; TACE, transarterial chemoembolization; HBV, hepatitis B virus; AFP, α-fetoprotein; HR, hazard ratio; CI, confidence interval.

Progression-free survival

The median PFS time of the entire patient cohort was 16.00 months (95% CI, 11.60–20.41 months). In the Len + TACE combination therapy group and the TACE monotherapy group, the median PFS time was 17.00 months (95% CI, 11.55–22.45 months) and 14.00 months (95% CI, 8.68–19.32 months), respectively, and no significant difference was observed between the two treatment groups (HR, 0.815; 95% CI, 0.437–1.520; P=0.510; Fig. 2B). However, the PFS rates at 6 months, 1 and 2 years were higher in patients who received combination therapy (85.3, 70.6 and 40.1%, respectively) compared with those in patients who received monotherapy (78.1, 62.5 and 36.2%, respectively), however the difference was not statistically significant. A total of seven and two patients with disease progression received additional PD-1 treatment in the Len + TACE group and the TACE group, respectively. In total, ~70% of patients chose to maintain their original treatment strategy after disease progression because of either economic or personal reasons.

Tumor response

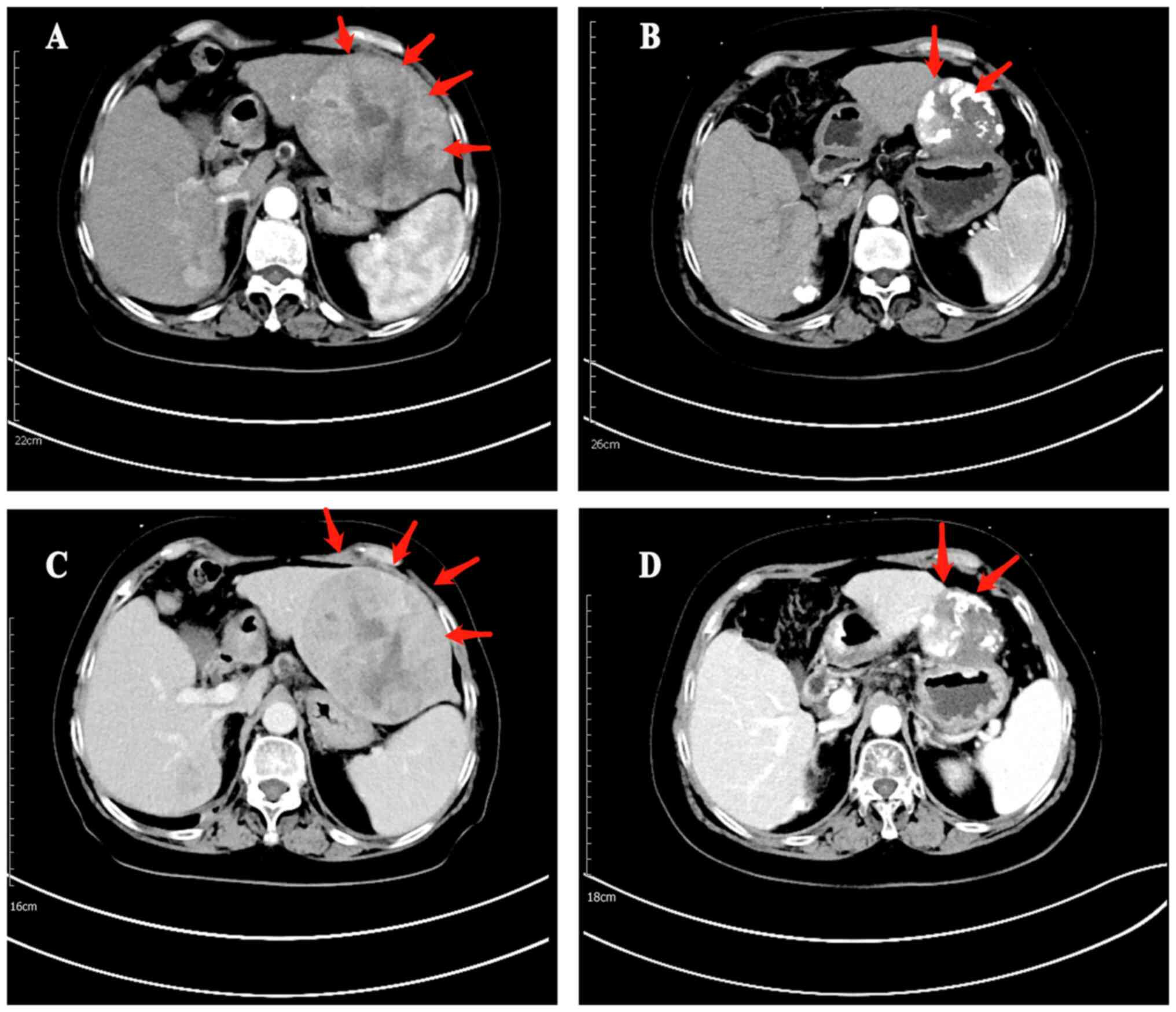
Based on the mRECIST criteria, four and 18 patients exhibited CR and PR, respectively after receiving Len + TACE, and two and nine patients, respectively after TACE (Table III). The ORR in the Len + TACE group was significantly higher compared with that in the TACE group (64.7 vs. 34.4%; P=0.014). Furthermore, DCR was markedly increased in the Len + TACE group compared with the TACE group (79.4 vs. 59.4%; P=0.066). Representative images of necrosis and regression of tumor lesion are shown in Fig. 4.

Figure 4.

Enhanced CT images in arterial phase of tumor lesions (A) before Len + TACE combination therapy (B) and necrosis and regression of the tumor lesions after Len + TACE combination therapy. Enhanced CT images in portal venous phase of tumor lesions (C) before Len + TACE combination therapy (D) and necrosis and regression of the tumor lesions after Len + TACE combination therapy. Len, lenvatinib; TACE, transarterial chemoembolization; CT, computer tomography.

Table III.

Tumor response in the combination and monotherapy treatment groups of patients.

Table III.

Tumor response in the combination and monotherapy treatment groups of patients.

Tumor responseLenvatinib + TACE, n (%)TACE, n (%)P-value
CR4 (11.8)2 (6.3)0.673
PR18 (52.9)9 (28.1)0.040
SD5 (14.7)10 (31.3)0.109
PD7 (20.6)11 (34.4)0.209
ORR22 (64.7)11 (34.4)0.014
DCR27 (79.4)19 (59.4)0.066

[i] TACE, transcatheter arterial chemoembolization; CR, complete response; PR, partial response; SD, stable disease; PD, progressive disease; ORR, objective response rate; DCR, disease control rate.

Adverse events

Occurrences of treatment-emergent AEs were recorded (Table IV). In the Len + TACE group, the most common AEs elevated were alanine aminotransferase (ALT)/aspartate transaminase (AST) (52.9%), fever (47.1%), pain (35.3%), hypertension (32.4%) and decreased white blood cells (WBCs; 23.5%), while grade 3/4 AEs included elevated ALT/AST (23.5%), hypertension (11.8%), decreased WBCs (5.9%), fever (2.9%) and diarrhea (2.9%). In the TACE group, fever was the most frequent event (46.9%), followed by elevated ALT/AST (43.8%), pain (25.0%), decreased WBCs (18.8%), diarrhea (9.4%) and rash (3.1%) and grade 3/4 AEs were reported in this patient group, including elevated ALT/AST (18.8%), fever (3.1%) and decreased WBCs (3.1%). In the Len + TACE group, three patients reduced the dose of Len, and one patient temporarily withdrew Len because of intolerance to AEs, which led to the AEs becoming manageable for the patient.

Table IV.

Adverse events in the combination and monotherapy treatment groups of patients.

Table IV.

Adverse events in the combination and monotherapy treatment groups of patients.

Lenvatinib + TACE (n=34)TACE (n=32)


Adverse eventsAll grades, n (%)Grade 3/4, n (%)All grades, n (%)Grade 3/4, n (%)
Elevated ALT/AST18 (52.9)8 (23.5)14 (43.8)6 (18.8)
Fever16 (47.1)1 (2.9)15 (46.9)1 (3.1)
Pain12 (35.3)0 (0.0)8 (25.0)0 (0.0)
Hypertension11 (32.4)4 (11.8)0 (0.0)0 (0.0)
Decreased white blood cell count8 (23.5)2 (5.9)6 (18.8)1 (3.1)
Diarrhea5 (14.7)1 (2.9)3 (9.4)0 (0.0)
HFSR3 (8.8)0 (0.0)0 (0.0)0 (0.0)
Rash2 (5.9)0 (0.0)1 (3.1)0 (0.0)

[i] TACE, transcatheter arterial chemoembolization; ALT, alanine aminotransferase; AST, aspartate transaminase; HFSR, hand-foot skin reaction.

Univariate and multivariate analyses

Univariate and multivariate Cox regression analyses of factors influencing OS and PFS were performed (Table V). Univariate analysis demonstrated that the use of Len + TACE and largest tumor size ≤4 cm were shown to be significant prognostic factors for favorable OS, but the largest tumor size was the only significant prognostic factor for PFS. Multivariate Cox proportional hazards model for OS identified the largest tumor size (>4 vs. ≤4 cm; HR, 4.086; 95% CI, 1.623–10.289; P=0.003) and treatment strategy (Len + TACE vs. TACE; HR, 0.426, 95% CI, 0.184–0.990; P=0.047) as independent risk factors. Similarly, for PFS, patients with largest tumor size ≤4 cm had significantly improved prognosis (HR, 2.548; 95% CI, 1.334–4.870; P=0.005).

Table V.

Univariate and multivariate analysis of overall survival and progression-free survival of patients treated with combination Len + TACE and TACE monotherapy.

Table V.

Univariate and multivariate analysis of overall survival and progression-free survival of patients treated with combination Len + TACE and TACE monotherapy.

Overall survivalProgression-free survival


Univariate analysisMultivariate analysisUnivariate analysisMultivariate analysis




Patient characteristicHR (95% CI)P-valueHR (95% CI)P-valueHR (95% CI)P-valueHR (95% CI)P-value
Age, years0.998 (0.970–1.027)0.892N/AN/A1.020 (0.996–1.044)0.107N/AN/A
Sex
Male vs. female0.643 (0.220–1.879)0.419N/AN/A0.774 (0.303–1.977)0.592N/AN/A
HBV
Positive vs. negative0.756 (0.259–2.203)0.608N/AN/A0.726 (0.304–1.731)0.470N/AN/A
AFP, ng/l
>400 vs. ≤4001.192 (0.544–2.613)0.661N/AN/A1.123 (0.604–2.091)0.714N/AN/A
Child-Pugh score
6 vs. 50.697 (0.265–1.833)0.465N/AN/A0.672 (0.326–1.385)0.282N/AN/A
7 vs. 51.620 (0.638–4.111)0.310N/AN/A0.982 (0.449–2.150)0.964N/AN/A
Liver cirrhosis
Yes vs. no1.201 (0.502–2.876)0.681N/AN/A0.816 (0.420–1.585)0.548N/AN/A
Tumor number
>3 vs. ≤31.437 (0.430–4.801)0.556N/AN/A1.664 (0.651–4.252)0.287N/AN/A
Largest tumor size, cm
>4 vs. ≤44.297 (1.709–10.806)0.0024.086 (1.623–10.289)0.003 (1.334–4.870)2.5480.005 (1.334–4.870)2.5480.005
Tumor distribution
Bilobar vs. Unilobar1.394 (0.478–4.066)0.543N/AN/A1.099 (0.506–2.387)0.811N/AN/A
Treatment
Len + TACE vs. TACE0.394 (0.170–0.914)0.0300.426 (0.184–0.990)0.047 (0.438–1.515)0.8150.517N/AN/A

[i] Only variables with P<0.05 at univariate analysis were analyzed by multivariate analysis. Len, lenvatinib; TACE, transarterial chemoembolization; HBV, hepatitis B virus; AFP, α-fetoprotein; HR, hazard ratio; CI, confidence interval; N.A, not applicable.

Discussion

According to the updated BCLC guidelines that take into consideration the extensive heterogeneity of tumor burden, intermediate stage HCC was divided into three groups (5). Among these groups, the BCLC B2 subgroup was defined as patients with defined tumor burden, preserved portal flow and feasibility of selective access to feeding tumor arteries who did not meet the extended liver transplant criteria, and TACE was recommended as the first line treatment option for this group (5). However, the cut-off for the division into subgroups is still not sufficiently specific, and heterogeneity and limitations still exist. Based on the Bolondi criteria, Kudo (9) developed the Kindai criteria. Len was recommended as the first-line treatment, and either sorafenib alone or sorafenib plus TACE were recommended as alternative options for patients categorized into the BCLC B2 substage, according to the Kindai criteria (8,9). As previously reported by Wang et al (18), no notable differences were observed in patient groups treated with TACE plus sorafenib and sorafenib alone in the BCLC B1 substage, as patients with low tumor burden responded favorably to TACE monotherapy. Although tumor burden was approved as an independent risk factor, TACE may cause a larger area of embolization and necrosis, and the addition of sorafenib cannot offset these side effects for patients with a high tumor burden, which leads to not marked clinical effects of treatment (18,31). In the TACTICS clinical trial, TACE plus sorafenib notably prolonged PFS than TACE alone for whole patient population, but did not for those within up-to-seven criteria (low tumor burden) (32).

In a previous study by Kudo et al (24), it was reported that Len-treated patients with B2 stage disease had a significantly improved ORR (73.3 vs. 33.3%; P<0.001) and DCR (100 vs. 53.3%; P<0.001) compared with TACE alone. Additionally, four patients no longer received treatment with lenvatinib, achieving drug-free status, after CR in the Len group, of which three patients received additional selective TACE. It could be suggested that Len-TACE sequential therapy can achieve improved CR, but additional comparisons of specific survival data between Len-TACE sequential therapy and TACE alone were lacking (24). Previous retrospective studies demonstrated that Len + TACE combination therapy notably improved treatment efficacy compared to TACE monotherapy for patients with uHCC, however, Fu et al (26) reported that TACE combined with Len failed to prolong OS in patients with BCLC B or C stage (P=0.070 and P=0.328, respectively) (25). Chen et al (25) further studied patients with BCLC B and C stage and Len + TACE combination therapy notably contributed to increased survival in this population.

However, to the best of our knowledge, there are still no studies for patients with BCLC B2 substage HCC comparing the efficacy of Len + TACE combination therapy and TACE monotherapy. Therefore, in the present retrospective study, the efficacy and safety between combination therapy and monotherapy in patients with BCLC B2 substage HCC were compared. The present study demonstrated that patients receiving Len + TACE had significantly longer OS compared with those receiving TACE alone, meanwhile, a similar tendency of PFS was also observed. In addition, patients in the combination therapy group had improved ORR and treatment safety compared with those the monotherapy group. Currently, multiple signaling pathways such as the β-catenin signaling pathway and the epidermal growth factor receptor (EGFR) system, have been reported to be involved in the tumorigenesis and progression of HCC, and crosstalk among various signal transduction pathways also exists (33). Therefore, combination therapy may circumvent these signal transduction pathways and possibly cause tumor suppression more effectively than single treatment agents limited to targeting single molecules or pathways (33). Previous studies have reported that TACE can induce tumor angiogenesis, which leads to a risk of tumor recurrence and metastasis, while TKIs serve a role in suppressing cell proliferation and tumor angiogenesis by targeting VEGFR and other related receptors (12–14,34). Based on these findings, a combination of TKIs and TACE has previously been used by researchers. Qu et al (35) treated 45 patients with advanced HCC with sorafenib in combination with TACE or TACE alone and combination therapy significantly prolonged the median OS time compared with monotherapy. Thereafter, a series of studies comparing the two treatment types were performed and reported the same outcomes in patients with intermediate-advanced HCC (36). The results of these studies provide a preliminary basis for the application of combination therapy.

The combination therapy of TACE and Len has also been used. Compared with the combination of TACE with sorafenib, Len possesses a stronger affinity for VEGFR2 and inhibits more targets, including FGF, which results in a difference in its higher efficacy in combination with TACE (19,37–39). Moreover, Len targets more signaling pathways, including FGFR-MAPK, ERK/MAPK and EGFR-PI3K-AKT compared with sorafenib, which results in a greater therapeutic advantage compared sorafenib (40–42). Previous studies reported the increased efficacy of Len + TACE combination therapy for patients with uHCC compared with TACE monotherapy (25,26). However, the diagnosis of uHCC has a wide range of presentations and characteristics, and combination therapy or monotherapy is not the best option for all patients. For example, Kim et al (43) studied 277 patients BCLC B stage disease treated with surgical resection or TACE, and reclassified patients into four subgroups on a basis of characteristics and estimated HRs. The aforementioned study reported a significantly increased survival in the surgical resection group compared with the TACE group (5-year survival rate, 53.6 vs. 26.1%; P=0.021) at the B2 substage which was characterized as ‘oligo’ tumors (2–4 nodules) with intermediate size and low AFP level, or with small to intermediate size and high AFP level. According to the Kinki criteria, Kudo (44) recommended curative treatment such as surgical resection and ablation, as a first-line option for patients with BCLC B1 stage HCC. In the B2 substage, tumor size and number may affect survival in patients with HCC and patients treated with TACE who had >6 tumors had a significantly shorter median time to progression than those with ≤6 tumors (10.4 vs. 14.0 months; P=0.002) (45). Thus, the present study focused only on the comparison between Len + TACE combination therapy and TACE monotherapy for BCLC B2 stage HCC. The Len + TACE group exhibited significantly improved OS and tumor response compared with the TACE group, which was in accordance with previous studies in which the same treatment comparisons were performed in patients with uHCC (25,26). Although a significant difference in PFS was not observed between the two treatment groups, with increasing sample size, this difference may be statistically significant. A recent network meta-analysis by Zhang et al (46) compared the combination therapy of TACE plus TKIs with TACE or TKIs monotherapy for patients with uHCC and these results showed that Len + TACE combination therapy ranked the highest in terms of OS (rank probability, 0.7559), PFS (rank probability, 0.8595) and DCR (rank probability, 0.3857) and was considered the optimal treatment for patients with uHCC.

The present multivariate analysis demonstrated that the largest tumor size >4 cm was an independent risk factor and was associated with OS and PFS. Additionally, a large tumor size and multiple tumors were regarded as poor prognostic factors for the survival of patients with HCC. A previous cohort study of 362 patients treated with TACE and reported that a maximal tumor size >4 cm (OR, 1.66; 95% CI, 1.29–2.30; P=0.002) and >5 tumors (OR, 1.92; 95% CI, 1.44–2.55; P<0.001) were significant prognostic risk factors and a lager sample size study with 8,410 patients also reported similar results (47,48). In addition, the subgroup analysis from the present study demonstrated that patients with >3 tumors benefited more from Len + TACE compared with monotherapy. Patients with a higher number of tumors are less likely to respond to TACE and achieve a limited effect from this treatment (47,49). Therefore, combination therapy may provide additional benefits to patients with multiple tumors. However, the sample size should be larger to further compare Len + TACE with TACE treatment alone in other subgroups, such as those of tumor distribution and Child-Pugh class. In subgroup analysis, it was demonstrated that patients aged >60 years benefited more from Len + TACE compared with patients aged ≤60 years. Mosconi et al (50) compared the efficacy and safety of TACE between patients aged greater and less than 70 years and no significant difference was observed in survival efficacy and complications between these age groups. In an additional retrospective study, patients aged >70 years old who received sorafenib had longer OS (16 vs. 12 months) and PFS (12 vs. 8 months) compared with those aged ≤70 years, although these results were not statistically significant (51). In addition, the same phenomenon was also observed in a CELESTIAL trial as patients aged >65 years benefited from cabozantinib, a type of TKI, in regard to increased OS, but younger patients did not (52). This may indicate that TKI improve the survival of the elderly population more effectively compared with younger patients. However, the phase III RESORCE trial yielded opposite results to the aforementioned study (53). Elderly patients were more likely to report comorbidities compared with younger patients, which may increase the risk of complications after receiving systemic therapy. In the present study, on the one hand, the follow-up time was not long enough to observe such complications, so the occurrence of complications in patients was not been fully explored, which leads to the possibility of exaggerating the treatment effect in the elderly patient population. On the other hand, only 25 patients ages >60 years were included in the subgroup analysis, which may introduce bias and potentially lead to inaccurate results. Thus, these results should be interpreted cautiously. Given that the prevalence and incidence of HCC is increasing in the elderly patient population (54), more randomized trials and prediction models concerning the treatment of HCC based on age factors are needed to explore suitable treatment strategies that balance efficacy and safety for the elderly patient population.

As presented in the current study, although AEs in the Len + TACE group were more frequent, amongst which mild to moderate AEs were the most predominant, AEs associated with combination therapy were classed as manageable. In addition, hand-foot-skin reactions and hypertension were observed only in the Len + TACE group, which were most likely attributable to Len. Due to the significantly increased survival benefit of combination therapy of TACE + TKIs compared with either TACE or TKIs alone, if serious AEs occur after using Len, sorafenib or other TKI drugs are a viable alternative option, rather than discontinuation of Len (45). In addition, previous studies have reported that the incidence of treatment-related AEs in the sorafenib plus TACE group were comparable to, or lower than, those in the Len + TACE group during the combination treatment (55–57).

The present study has several limitations. First, this was a retrospective study, therefore, selection biases were unavoidable. Second, the sample size was small, and the observation period was not long enough for the median OS time to be observed, which may have led to masking of the true therapeutic effects. Therefore, large-scale, multicenter, randomized controlled studies are needed to confirm these results and apply these findings to further research.

In conclusion, Len + TACE combination therapy was associated with increased OS and tumor response compared with TACE monotherapy in patients with BCLC B2 stage HCC. Combination therapy and monotherapy were safe and manageable. Tumor number can be used as an independent risk factor for both OS and PFS.

Acknowledgements

Not applicable.

Funding

This work was supported by the Bureau of Science and Technology Nanchong City (grant no. 22SXQT0052).

Availability of data and materials

The datasets used and/or analyzed during the current study are available from the corresponding author on reasonable request.

Authors' contributions

JL and PY conceived and designed the study. JL, SY, GZ and PY collected patient data. GZ, SW and LY analyzed and interpreted the data. JL, SY and PY drafted and revised the manuscript. All authors read and approved the final version of the manuscript. JL and PY confirm the authenticity of all the raw data.

Ethics approval and consent to participate

The present study was approved by the Medical Ethics Committee of Affiliated Hospital of North Sichuan Medical College (approval no. 2023ER059-1) according to the retrospective protocol and all procedures for the cohort in the present study were carried out in agreement with the Declaration of Helsinki. Written, informed consent was obtained from all subjects and/or their legal guardian(s).

Patient consent for publication

Not applicable.

Competing interests

The authors declare that they have no competing interests.

References

1 

Sung H, Ferlay J, Siegel RL, Laversanne M, Soerjomataram I, Jemal A and Bray F: Global cancer statistics 2020: GLOBOCAN estimates of incidence and mortality worldwide for 36 cancers in 185 countries. CA Cancer J Clin. 71:209–249. 2021. View Article : Google Scholar : PubMed/NCBI

2 

Qiu H, Cao S and Xu R: Cancer incidence, mortality, and burden in China: A time-trend analysis and comparison with the United States and United Kingdom based on the global epidemiological data released in 2020. Cancer Commun (Lond). 41:1037–1048. 2021. View Article : Google Scholar : PubMed/NCBI

3 

Grandhi MS, Kim AK, Ronnekleiv-Kelly SM, Kamel IR, Ghasebeh MA and Pawlik TM: Hepatocellular carcinoma: From diagnosis to treatment. Surg Oncol. 25:74–85. 2016. View Article : Google Scholar : PubMed/NCBI

4 

Moon H, Choi JE, Lee IJ, Kim TH, Kim SH, Ko YH, Kim HB, Nam BH and Park JW: All-treatment array of hepatocellular carcinoma from initial diagnosis to death Observation of cumulative treatments. J Cancer Res Clin Oncol. 143:2327–2339. 2017. View Article : Google Scholar : PubMed/NCBI

5 

Reig M, Forner A, Rimola J, Ferrer-Fàbrega J, Burrel M, Garcia-Criado Á, Kelley RK, Galle PR, Mazzaferro V, Salem R, et al: BCLC strategy for prognosis prediction and treatment recommendation: The 2022 update. J Hepatol. 76:681–693. 2022. View Article : Google Scholar : PubMed/NCBI

6 

Bolondi L, Burroughs A, Dufour JF, Galle PR, Mazzaferro V, Piscaglia F, Raoul JL and Sangro B: Heterogeneity of patients with intermediate (BCLC B) Hepatocellular Carcinoma: proposal for a subclassification to facilitate treatment decisions. Semin Liver Dis. 32:348–359. 2012.PubMed/NCBI

7 

Yi PS, Wang H and Li JS: Evolution and current status of the subclassification of intermediate hepatocellular carcinoma. World J Gastrointest Surg. 12:85–92. 2020. View Article : Google Scholar : PubMed/NCBI

8 

Kudo M, Arizumi T, Ueshima K, Sakurai T, Kitano M and Nishida N: Subclassification of BCLC B stage hepatocellular carcinoma and treatment strategies: Proposal of modified bolondi's subclassification (Kinki Criteria). Dig Dis. 33:751–758. 2015. View Article : Google Scholar : PubMed/NCBI

9 

Kudo M: Extremely High Objective Response Rate of Lenvatinib: Its Clinical Relevance and Changing the Treatment Paradigm in Hepatocellular Carcinoma. Liver cancer. 7:215–224. 2018. View Article : Google Scholar : PubMed/NCBI

10 

Li X, Feng GS, Zheng CS, Zhuo CK and Liu X: Influence of transarterial chemoembolization on angiogenesis and expression of vascular endothelial growth factor and basic fibroblast growth factor in rat with Walker-256 transplanted hepatoma: An experimental study. World J Gastroenterol. 9:2445–2449. 2003. View Article : Google Scholar : PubMed/NCBI

11 

Shim JH, Park JW, Kim JH, An M, Kong SY, Nam BH, Choi JI, Kim HB, Lee WJ and Kim CM: Association between increment of serum VEGF level and prognosis after transcatheter arterial chemoembolization in hepatocellular carcinoma patients. Cancer Sci. 99:2037–2044. 2008. View Article : Google Scholar : PubMed/NCBI

12 

Sergio A, Cristofori C, Cardin R, Pivetta G, Ragazzi R, Baldan A, Girardi L, Cillo U, Burra P, Giacomin A and Farinati F: Transcatheter arterial chemoembolization (TACE) in hepatocellular carcinoma (HCC): The role of angiogenesis and invasiveness. Am J Gastroenterol. 103:914–921. 2008. View Article : Google Scholar : PubMed/NCBI

13 

Kalbasi A and Ribas A: Tumour-intrinsic resistance to immune checkpoint blockade. Nat Rev Immunol. 20:25–39. 2020. View Article : Google Scholar : PubMed/NCBI

14 

Rahma OE and Hodi FS: The intersection between tumor angiogenesis and immune suppression. Clin Cancer Res. 25:5449–5457. 2019. View Article : Google Scholar : PubMed/NCBI

15 

Kudo M, Ueshima K, Ikeda M, Torimura T, Tanabe N, Aikata H, Izumi N, Yamasaki T, Nojiri S, Hino K, et al: Randomised, multicentre prospective trial of transarterial chemoembolisation (TACE) plus sorafenib as compared with TACE alone in patients with hepatocellular carcinoma: TACTICS trial. Gut. 69:1492–1501. 2020. View Article : Google Scholar : PubMed/NCBI

16 

Park JW, Kim YJ, Kim DY, Bae SH, Paik SW, Lee YJ, Kim HY, Lee HC, Han SY, Cheong JY, et al: Sorafenib with or without concurrent transarterial chemoembolization in patients with advanced hepatocellular carcinoma: The phase III STAH trial. J Hepatol. 70:684–691. 2019. View Article : Google Scholar : PubMed/NCBI

17 

Li H, Li S, Geng J, Zhao S, Tan K, Yang Z, Feng D and Liu L: Efficacy evaluation of the combination therapy of sorafenib and transarterial chemoembolization for unresectable HCC: A systematic review and meta-analysis of comparative studies. Ann Transl Med. 8:5402020. View Article : Google Scholar : PubMed/NCBI

18 

Wang Z, Wang E, Bai W, Xia D, Ding R, Li J, Wang Q, Liu L, Sun J, Mu W, et al: Exploratory analysis to identify candidates benefitting from combination therapy of transarterial chemoembolization and sorafenib for first-line treatment of unresectable hepatocellular carcinoma: A multicenter retrospective observational study. Liver Cancer. 9:308–325. 2020. View Article : Google Scholar : PubMed/NCBI

19 

Okamoto K, Ikemori-Kawada M, Jestel A, von König K, Funahashi Y, Matsushima T, Tsuruoka A, Inoue A and Matsui J: Distinct binding mode of multikinase inhibitor lenvatinib revealed by biochemical characterization. ACS Med Chem Lett. 6:89–94. 2014. View Article : Google Scholar : PubMed/NCBI

20 

Kudo M, Finn RS, Qin S, Han KH, Ikeda K, Piscaglia F, Baron A, Park JW, Han G, Jassem J, et al: Lenvatinib versus sorafenib in first-line treatment of patients with unresectable hepatocellular carcinoma: A randomised phase 3 non-inferiority trial. Lancet. 391:1163–1173. 2018. View Article : Google Scholar : PubMed/NCBI

21 

Vogel A, Qin S, Kudo M, Su Y, Hudgens S, Yamashita T, Yoon JH, Fartoux L, Simon K, López C, et al: Lenvatinib versus sorafenib for first-line treatment of unresectable hepatocellular carcinoma: Patient-reported outcomes from a randomised, open-label, non-inferiority, phase 3 trial. Lancet Gastroenterol Hepatol. 6:649–658. 2021. View Article : Google Scholar : PubMed/NCBI

22 

Facciorusso A, Tartaglia N, Villani R, Serviddio G, Ramai D, Mohan BP, Chandan S, Abd El Aziz MA, Evangelista J, Cotsoglou C and Ambrosi A: Lenvatinib versus sorafenib as first-line therapy of advanced hepatocellular carcinoma: A systematic review and meta-analysis. Am J Transl Res. 13:2379–2387. 2021.PubMed/NCBI

23 

Liu JN, Li JJ, Yan S, Zhang GN and Yi PS: Transarterial chemoembolization combined with lenvatinib versus transarterial chemoembolization combined with sorafenib for unresectable hepatocellular carcinoma: A systematic review and meta-analysis. Front Oncol. 13:10747932023. View Article : Google Scholar : PubMed/NCBI

24 

Kudo M, Ueshima K, Chan S, Minami T, Chishina H, Aoki T, Takita M, Hagiwara S, Minami Y, Ida H, et al: Lenvatinib as an initial treatment in patients with intermediate-stage hepatocellular carcinoma beyond Up-To-Seven Criteria and Child-Pugh A Liver Function: A Proof-Of-Concept Study. Cancers (Basel). 11:10842019. View Article : Google Scholar : PubMed/NCBI

25 

Chen YX, Zhang JX, Zhou CG, Liu J, Liu S, Shi HB and Zu QQ: Comparison of the efficacy and safety of transarterial chemoembolization with or without lenvatinib for unresectable hepatocellular carcinoma: A retrospective propensity score-matched analysis. J Hepatocell Carcinoma. 9:685–694. 2022. View Article : Google Scholar : PubMed/NCBI

26 

Fu Z, Li X, Zhong J, Chen X, Cao K, Ding N, Liu L, Zhang X, Zhai J and Qu Z: Lenvatinib in combination with transarterial chemoembolization for treatment of unresectable hepatocellular carcinoma (uHCC): A retrospective controlled study. Hepatol Int. 15:663–675. 2021. View Article : Google Scholar : PubMed/NCBI

27 

Kudo M, Matsui O, Izumi N, Kadoya M, Okusaka T, Miyayama S, Yamakado K, Tsuchiya K, Ueshima K, Hiraoka A, et al: Transarterial chemoembolization failure/refractoriness: JSH-LCSGJ criteria 2014 update. Oncology. 87 (Suppl 1):S22–S31. 2014. View Article : Google Scholar

28 

Lee JS, Kim BK, Kim SU, Park JY, Ahn SH, Seong JS, Han KH and Kim DY: A survey on transarterial chemoembolization refractoriness and a real-world treatment pattern for hepatocellular carcinoma in Korea. Clin Mol Hepatol. 26:24–32. 2020. View Article : Google Scholar : PubMed/NCBI

29 

Lencioni R and Llovet JM: Modified RECIST (mRECIST) assessment for hepatocellular carcinoma. Semin Liver Dis. 30:52–60. 2010. View Article : Google Scholar : PubMed/NCBI

30 

National Cancer Institute (NCI), . Common terminology criteria for adverse events (CTCAE) version 5.0. NCI; Bethesda, MD: 2017

31 

Hsu C, Po-Ching-Liang, Morita S, Hu FC and Cheng AL: Perspectives on the design of clinical trials combining transarterial chemoembolization and molecular targeted therapy. Liver Cancer. 1:168–176. 2012. View Article : Google Scholar : PubMed/NCBI

32 

Kudo M, Ueshima K, Ikeda M, Torimura T, Tanabe N, Aikata H, Izumi N, Yamasaki T, Nojiri S, Hino K, et al: Final Results of TACTICS: A randomized, prospective trial comparing transarterial chemoembolization plus sorafenib to transarterial chemoembolization alone in patients with unresectable hepatocellular carcinoma. Liver Cancer. 11:354–367. 2022. View Article : Google Scholar : PubMed/NCBI

33 

Mir IH, Guha S, Behera J and Thirunavukkarasu C: Targeting molecular signal transduction pathways in hepatocellular carcinoma and its implications for cancer therapy. Cell Biol Int. 45:2161–2177. 2021. View Article : Google Scholar : PubMed/NCBI

34 

Schicho A, Hellerbrand C, Krüger K, Beyer LP, Wohlgemuth W, Niessen C, Hohenstein E, Stroszczynski C, Pereira PL and Wiggermann P: Impact of different embolic agents for transarterial chemoembolization (TACE) procedures on systemic vascular endothelial growth factor (VEGF) levels. J Clin Transl Hepatol. 4:288–292. 2016. View Article : Google Scholar : PubMed/NCBI

35 

Qu XD, Chen CS, Wang JH, Yan ZP, Chen JM, Gong GQ, Liu QX, Luo JJ, Liu LX, Liu R and Qian S: The efficacy of TACE combined sorafenib in advanced stages hepatocellullar carcinoma. BMC Cancer. 12:2632012. View Article : Google Scholar : PubMed/NCBI

36 

Xie Y, Tian H, Xiang B, Zhang Y, Liu J, Cai Z and Xiang H: Transarterial chemoembolization plus sorafenib versus sorafenib for intermediate-advanced hepatocellular carcinoma: A meta-analysis comparing clinical outcomes. Medicine (Baltimore). 100:e269582021. View Article : Google Scholar : PubMed/NCBI

37 

Xue M, Wu Y, Zhu B, Zou X, Fan W and Li J: Advanced hepatocellular carcinoma treated by transcatheter arterial chemoembolization with drug-eluting beads plus lenvatinib versus sorafenib, a propensity score matching retrospective study. Am J Cancer Res. 11:6107–6118. 2021.PubMed/NCBI

38 

Matsuki M, Hoshi T, Yamamoto Y, Ikemori-Kawada M, Minoshima Y, Funahashi Y and Matsui J: Lenvatinib inhibits angiogenesis and tumor fibroblast growth factor signaling pathways in human hepatocellular carcinoma models. Cancer Med. 7:2641–2653. 2018. View Article : Google Scholar : PubMed/NCBI

39 

Yamamoto Y, Matsui J, Matsushima T, Obaishi H, Miyazaki K, Nakamura K, Tohyama O, Semba T, Yamaguchi A, Hoshi SS, et al: Lenvatinib, an angiogenesis inhibitor targeting VEGFR/FGFR, shows broad antitumor activity in human tumor xenograft models associated with microvessel density and pericyte coverage. Vasc Cell. 6:182014. View Article : Google Scholar : PubMed/NCBI

40 

Hoshi T, Watanabe Miyano S, Watanabe H, Sonobe RMK, Seki Y, Ohta E, Nomoto K, Matsui J and Funahashi Y: Lenvatinib induces death of human hepatocellular carcinoma cells harboring an activated FGF signaling pathway through inhibition of FGFR-MAPK cascades. Biochem Biophys Res Commun. 513:1–7. 2019. View Article : Google Scholar : PubMed/NCBI

41 

He X, Hikiba Y, Suzuki Y, Nakamori Y, Kanemaru Y, Sugimori M, Sato T, Nozaki A, Chuma M and Maeda S: EGFR inhibition reverses resistance to lenvatinib in hepatocellular carcinoma cells. Sci Rep. 12:80072022. View Article : Google Scholar : PubMed/NCBI

42 

Romei C, Ciampi R and Elisei R: A comprehensive overview of the role of the RET proto-oncogene in thyroid carcinoma. Nat Rev Endocrinol. 12:192–202. 2016. View Article : Google Scholar : PubMed/NCBI

43 

Kim JY, Sinn DH, Gwak GY, Choi GS, Saleh AM, Joh JW, Cho SK, Shin SW, Carriere KC, Ahn JH, et al: Transarterial chemoembolization versus resection for intermediate-stage (BCLC B) hepatocellular carcinoma. Clin Mol Hepatol. 22:250–258. 2016. View Article : Google Scholar : PubMed/NCBI

44 

Kudo M: A new treatment option for intermediate-stage hepatocellular carcinoma with high tumor Burden: Initial lenvatinib therapy with subsequent selective TACE. Liver Cancer. 8:299–311. 2019. View Article : Google Scholar : PubMed/NCBI

45 

Arizumi T, Minami T, Chishina H, Kono M, Takita M, Yada N, Hagiwara S, Minami Y, Ida H, Ueshima K, et al: Impact of tumor factors on survival in patients with hepatocellular carcinoma classified based on kinki criteria stage B2. Dig Dis. 35:583–588. 2017. View Article : Google Scholar : PubMed/NCBI

46 

Zhang Z, Wu Y, Zheng T, Chen X, Chen G, Chen H, Guo X, Zheng S, Xie X and Zhang B: Efficacy of transarterial chemoembolization combined with molecular targeted agents for unresectable hepatocellular carcinoma: A network meta-analysis. Cancers (Basel). 14:37102022. View Article : Google Scholar : PubMed/NCBI

47 

Hu HT, Kim JH, Lee LS, Kim KA, Ko GY, Yoon HK, Sung KB, Gwon DI, Shin JH and Song HY: Chemoembolization for hepatocellular carcinoma: Multivariate analysis of predicting factors for tumor response and survival in a 362-patient cohort. J Vasc Interv Radiol. 22:917–923. 2011. View Article : Google Scholar : PubMed/NCBI

48 

Takayasu K, Arii S, Ikai I, Omata M, Okita K, Ichida T, Matsuyama Y, Nakanuma Y, Kojiro M, Makuuchi M, et al: Prospective cohort study of transarterial chemoembolization for unresectable hepatocellular carcinoma in 8510 patients. Gastroenterology. 131:461–469. 2006. View Article : Google Scholar : PubMed/NCBI

49 

Miyayama S, Kikuchi Y, Yoshida M, Yamashiro M, Sugimori N, Ikeda R, Okimura K, Sakuragawa N, Ueda T, Sanada T, et al: Outcomes of conventional transarterial chemoembolization for hepatocellular carcinoma ≥10 cm. Hepatol Res. 49:787–798. 2019. View Article : Google Scholar : PubMed/NCBI

50 

Mosconi C, Gramenzi A, Biselli M, Cappelli A, Bruno A, De Benedittis C, Cucchetti A, Modestino F, Peta G, Bianchi G, et al: Survival and Tolerability of Transarterial Chemoembolization in Greater Versus less than 70 Years of Age Patients with Unresectable Hepatocellular Carcinoma: A Propensity Score Analysis. Cardiovasc Intervent Radiol. 43:1015–1024. 2020. View Article : Google Scholar : PubMed/NCBI

51 

Di Costanzo GG, Tortora R, De Luca M, Galeota Lanza A, Lampasi F, Tartaglione MT, Picciotto FP, Imparato M, Mattera S, Cordone G and Ascione A: Impact of age on toxicity and efficacy of sorafenib-targeted therapy in cirrhotic patients with hepatocellular carcinoma. Med Oncol. 30:4462013. View Article : Google Scholar : PubMed/NCBI

52 

Abou-Alfa GK, Meyer T, Cheng AL, El-Khoueiry AB, Rimassa L, Ryoo BY, Cicin I, Merle P, Chen Y, Park JW, et al: Cabozantinib in patients with advanced and progressing hepatocellular carcinoma. N Engl J Med. 379:54–63. 2018. View Article : Google Scholar : PubMed/NCBI

53 

Bruix J, Qin S, Merle P, Granito A, Huang YH, Bodoky G, Pracht M, Yokosuka O, Rosmorduc O, Breder V, et al: Regorafenib for patients with hepatocellular carcinoma who progressed on sorafenib treatment (RESORCE): A randomised, double-blind, placebo-controlled, phase 3 trial. Lancet. 389:56–66. 2017. View Article : Google Scholar : PubMed/NCBI

54 

Zhang X, El-Serag HB and Thrift AP: Sex and race disparities in the incidence of hepatocellular carcinoma in the united states examined through age-period-cohort analysis. Cancer Epidemiol Biomarkers Prev. 29:88–94. 2020. View Article : Google Scholar : PubMed/NCBI

55 

Zhang JX, Chen YX, Zhou CG, Liu J, Liu S, Shi HB and Zu QQ: Transarterial chemoembolization combined with lenvatinib versus transarterial chemoembolization combined with sorafenib for unresectable hepatocellular carcinoma: A comparative retrospective study. Hepatol Res. 52:794–803. 2022. View Article : Google Scholar : PubMed/NCBI

56 

Yang B, Jie L, Yang T, Chen M, Gao Y, Zhang T, Zhang Y, Wu H and Liao Z: TACE plus lenvatinib versus TACE plus sorafenib for unresectable hepatocellular carcinoma with portal vein tumor thrombus: A prospective cohort study. Front Oncol. 11:8215992021. View Article : Google Scholar : PubMed/NCBI

57 

Ding X, Sun W, Li W, Shen Y, Guo X, Teng Y, Liu X, Zheng L, Li W and Chen J: Transarterial chemoembolization plus lenvatinib versus transarterial chemoembolization plus sorafenib as first-line treatment for hepatocellular carcinoma with portal vein tumor thrombus: A prospective randomized study. Cancer. 127:3782–3793. 2021. View Article : Google Scholar : PubMed/NCBI

Related Articles

  • Abstract
  • View
  • Download
  • Twitter
Copy and paste a formatted citation
Spandidos Publications style
Liu J, Yan S, Zhang G, Yang L, Wei S and Yi P: A retrospective study of transarterial chemoembolization (TACE) combined with lenvatinib compared with TACE monotherapy for BCLC B2 stage hepatocellular carcinoma. Oncol Lett 26: 507, 2023.
APA
Liu, J., Yan, S., Zhang, G., Yang, L., Wei, S., & Yi, P. (2023). A retrospective study of transarterial chemoembolization (TACE) combined with lenvatinib compared with TACE monotherapy for BCLC B2 stage hepatocellular carcinoma. Oncology Letters, 26, 507. https://doi.org/10.3892/ol.2023.14094
MLA
Liu, J., Yan, S., Zhang, G., Yang, L., Wei, S., Yi, P."A retrospective study of transarterial chemoembolization (TACE) combined with lenvatinib compared with TACE monotherapy for BCLC B2 stage hepatocellular carcinoma". Oncology Letters 26.6 (2023): 507.
Chicago
Liu, J., Yan, S., Zhang, G., Yang, L., Wei, S., Yi, P."A retrospective study of transarterial chemoembolization (TACE) combined with lenvatinib compared with TACE monotherapy for BCLC B2 stage hepatocellular carcinoma". Oncology Letters 26, no. 6 (2023): 507. https://doi.org/10.3892/ol.2023.14094
Copy and paste a formatted citation
x
Spandidos Publications style
Liu J, Yan S, Zhang G, Yang L, Wei S and Yi P: A retrospective study of transarterial chemoembolization (TACE) combined with lenvatinib compared with TACE monotherapy for BCLC B2 stage hepatocellular carcinoma. Oncol Lett 26: 507, 2023.
APA
Liu, J., Yan, S., Zhang, G., Yang, L., Wei, S., & Yi, P. (2023). A retrospective study of transarterial chemoembolization (TACE) combined with lenvatinib compared with TACE monotherapy for BCLC B2 stage hepatocellular carcinoma. Oncology Letters, 26, 507. https://doi.org/10.3892/ol.2023.14094
MLA
Liu, J., Yan, S., Zhang, G., Yang, L., Wei, S., Yi, P."A retrospective study of transarterial chemoembolization (TACE) combined with lenvatinib compared with TACE monotherapy for BCLC B2 stage hepatocellular carcinoma". Oncology Letters 26.6 (2023): 507.
Chicago
Liu, J., Yan, S., Zhang, G., Yang, L., Wei, S., Yi, P."A retrospective study of transarterial chemoembolization (TACE) combined with lenvatinib compared with TACE monotherapy for BCLC B2 stage hepatocellular carcinoma". Oncology Letters 26, no. 6 (2023): 507. https://doi.org/10.3892/ol.2023.14094
Follow us
  • Twitter
  • LinkedIn
  • Facebook
About
  • Spandidos Publications
  • Careers
  • Cookie Policy
  • Privacy Policy
How can we help?
  • Help
  • Live Chat
  • Contact
  • Email to our Support Team