Spandidos Publications Logo
  • About
    • About Spandidos
    • Aims and Scopes
    • Abstracting and Indexing
    • Editorial Policies
    • Reprints and Permissions
    • Job Opportunities
    • Terms and Conditions
    • Contact
  • Journals
    • All Journals
    • Oncology Letters
      • Oncology Letters
      • Information for Authors
      • Editorial Policies
      • Editorial Board
      • Aims and Scope
      • Abstracting and Indexing
      • Bibliographic Information
      • Archive
    • International Journal of Oncology
      • International Journal of Oncology
      • Information for Authors
      • Editorial Policies
      • Editorial Board
      • Aims and Scope
      • Abstracting and Indexing
      • Bibliographic Information
      • Archive
    • Molecular and Clinical Oncology
      • Molecular and Clinical Oncology
      • Information for Authors
      • Editorial Policies
      • Editorial Board
      • Aims and Scope
      • Abstracting and Indexing
      • Bibliographic Information
      • Archive
    • Experimental and Therapeutic Medicine
      • Experimental and Therapeutic Medicine
      • Information for Authors
      • Editorial Policies
      • Editorial Board
      • Aims and Scope
      • Abstracting and Indexing
      • Bibliographic Information
      • Archive
    • International Journal of Molecular Medicine
      • International Journal of Molecular Medicine
      • Information for Authors
      • Editorial Policies
      • Editorial Board
      • Aims and Scope
      • Abstracting and Indexing
      • Bibliographic Information
      • Archive
    • Biomedical Reports
      • Biomedical Reports
      • Information for Authors
      • Editorial Policies
      • Editorial Board
      • Aims and Scope
      • Abstracting and Indexing
      • Bibliographic Information
      • Archive
    • Oncology Reports
      • Oncology Reports
      • Information for Authors
      • Editorial Policies
      • Editorial Board
      • Aims and Scope
      • Abstracting and Indexing
      • Bibliographic Information
      • Archive
    • Molecular Medicine Reports
      • Molecular Medicine Reports
      • Information for Authors
      • Editorial Policies
      • Editorial Board
      • Aims and Scope
      • Abstracting and Indexing
      • Bibliographic Information
      • Archive
    • World Academy of Sciences Journal
      • World Academy of Sciences Journal
      • Information for Authors
      • Editorial Policies
      • Editorial Board
      • Aims and Scope
      • Abstracting and Indexing
      • Bibliographic Information
      • Archive
    • International Journal of Functional Nutrition
      • International Journal of Functional Nutrition
      • Information for Authors
      • Editorial Policies
      • Editorial Board
      • Aims and Scope
      • Abstracting and Indexing
      • Bibliographic Information
      • Archive
    • International Journal of Epigenetics
      • International Journal of Epigenetics
      • Information for Authors
      • Editorial Policies
      • Editorial Board
      • Aims and Scope
      • Abstracting and Indexing
      • Bibliographic Information
      • Archive
    • Medicine International
      • Medicine International
      • Information for Authors
      • Editorial Policies
      • Editorial Board
      • Aims and Scope
      • Abstracting and Indexing
      • Bibliographic Information
      • Archive
  • Articles
  • Information
    • Information for Authors
    • Information for Reviewers
    • Information for Librarians
    • Information for Advertisers
    • Conferences
  • Language Editing
Spandidos Publications Logo
  • About
    • About Spandidos
    • Aims and Scopes
    • Abstracting and Indexing
    • Editorial Policies
    • Reprints and Permissions
    • Job Opportunities
    • Terms and Conditions
    • Contact
  • Journals
    • All Journals
    • Biomedical Reports
      • Information for Authors
      • Editorial Policies
      • Editorial Board
      • Aims and Scope
      • Abstracting and Indexing
      • Bibliographic Information
      • Archive
    • Experimental and Therapeutic Medicine
      • Information for Authors
      • Editorial Policies
      • Editorial Board
      • Aims and Scope
      • Abstracting and Indexing
      • Bibliographic Information
      • Archive
    • International Journal of Epigenetics
      • Information for Authors
      • Editorial Policies
      • Editorial Board
      • Aims and Scope
      • Abstracting and Indexing
      • Bibliographic Information
      • Archive
    • International Journal of Functional Nutrition
      • Information for Authors
      • Editorial Policies
      • Editorial Board
      • Aims and Scope
      • Abstracting and Indexing
      • Bibliographic Information
      • Archive
    • International Journal of Molecular Medicine
      • Information for Authors
      • Editorial Policies
      • Editorial Board
      • Aims and Scope
      • Abstracting and Indexing
      • Bibliographic Information
      • Archive
    • International Journal of Oncology
      • Information for Authors
      • Editorial Policies
      • Editorial Board
      • Aims and Scope
      • Abstracting and Indexing
      • Bibliographic Information
      • Archive
    • Medicine International
      • Information for Authors
      • Editorial Policies
      • Editorial Board
      • Aims and Scope
      • Abstracting and Indexing
      • Bibliographic Information
      • Archive
    • Molecular and Clinical Oncology
      • Information for Authors
      • Editorial Policies
      • Editorial Board
      • Aims and Scope
      • Abstracting and Indexing
      • Bibliographic Information
      • Archive
    • Molecular Medicine Reports
      • Information for Authors
      • Editorial Policies
      • Editorial Board
      • Aims and Scope
      • Abstracting and Indexing
      • Bibliographic Information
      • Archive
    • Oncology Letters
      • Information for Authors
      • Editorial Policies
      • Editorial Board
      • Aims and Scope
      • Abstracting and Indexing
      • Bibliographic Information
      • Archive
    • Oncology Reports
      • Information for Authors
      • Editorial Policies
      • Editorial Board
      • Aims and Scope
      • Abstracting and Indexing
      • Bibliographic Information
      • Archive
    • World Academy of Sciences Journal
      • Information for Authors
      • Editorial Policies
      • Editorial Board
      • Aims and Scope
      • Abstracting and Indexing
      • Bibliographic Information
      • Archive
  • Articles
  • Information
    • For Authors
    • For Reviewers
    • For Librarians
    • For Advertisers
    • Conferences
  • Language Editing
Login Register Submit
  • This site uses cookies
  • You can change your cookie settings at any time by following the instructions in our Cookie Policy. To find out more, you may read our Privacy Policy.

    I agree
Search articles by DOI, keyword, author or affiliation
Search
Advanced Search
presentation
Oncology Letters
Join Editorial Board Propose a Special Issue
Print ISSN: 1792-1074 Online ISSN: 1792-1082
Journal Cover
December-2023 Volume 26 Issue 6

Full Size Image

Sign up for eToc alerts
Recommend to Library

Journals

International Journal of Molecular Medicine

International Journal of Molecular Medicine

International Journal of Molecular Medicine is an international journal devoted to molecular mechanisms of human disease.

International Journal of Oncology

International Journal of Oncology

International Journal of Oncology is an international journal devoted to oncology research and cancer treatment.

Molecular Medicine Reports

Molecular Medicine Reports

Covers molecular medicine topics such as pharmacology, pathology, genetics, neuroscience, infectious diseases, molecular cardiology, and molecular surgery.

Oncology Reports

Oncology Reports

Oncology Reports is an international journal devoted to fundamental and applied research in Oncology.

Experimental and Therapeutic Medicine

Experimental and Therapeutic Medicine

Experimental and Therapeutic Medicine is an international journal devoted to laboratory and clinical medicine.

Oncology Letters

Oncology Letters

Oncology Letters is an international journal devoted to Experimental and Clinical Oncology.

Biomedical Reports

Biomedical Reports

Explores a wide range of biological and medical fields, including pharmacology, genetics, microbiology, neuroscience, and molecular cardiology.

Molecular and Clinical Oncology

Molecular and Clinical Oncology

International journal addressing all aspects of oncology research, from tumorigenesis and oncogenes to chemotherapy and metastasis.

World Academy of Sciences Journal

World Academy of Sciences Journal

Multidisciplinary open-access journal spanning biochemistry, genetics, neuroscience, environmental health, and synthetic biology.

International Journal of Functional Nutrition

International Journal of Functional Nutrition

Open-access journal combining biochemistry, pharmacology, immunology, and genetics to advance health through functional nutrition.

International Journal of Epigenetics

International Journal of Epigenetics

Publishes open-access research on using epigenetics to advance understanding and treatment of human disease.

Medicine International

Medicine International

An International Open Access Journal Devoted to General Medicine.

Journal Cover
December-2023 Volume 26 Issue 6

Full Size Image

Sign up for eToc alerts
Recommend to Library

  • Article
  • Citations
    • Cite This Article
    • Download Citation
    • Create Citation Alert
    • Remove Citation Alert
    • Cited By
  • Similar Articles
    • Related Articles (in Spandidos Publications)
    • Similar Articles (Google Scholar)
    • Similar Articles (PubMed)
  • Download PDF
  • Download XML
  • View XML
Article Open Access

Non‑surgical outcomes and risk factors for pulmonary metastasis from giant cell tumor of bone

  • Authors:
    • Thanate Poosiripinyo
    • Sermsak Sukpanichyingyong
    • Krits Salang
    • Wiriya Mahikul
    • Thanapon Chobpenthai
  • View Affiliations / Copyright

    Affiliations: Department of Orthopedics, Khon Kaen Hospital, Mueang Khon Kaen, Khon Kaen 40000, Thailand, Department of Orthopedics, Princess Srisavangavadhana College of Medicine, Chulabhorn Royal Academy, Bangkok 10210, Thailand
    Copyright: © Poosiripinyo et al. This is an open access article distributed under the terms of Creative Commons Attribution License [CC BY 4.0].
  • Article Number: 508
    |
    Published online on: October 11, 2023
       https://doi.org/10.3892/ol.2023.14095
  • Expand metrics +
Metrics: Total Views: 0 (Spandidos Publications: | PMC Statistics: )
Metrics: Total PDF Downloads: 0 (Spandidos Publications: | PMC Statistics: )
Cited By (CrossRef): 0 citations Loading Articles...

This article is mentioned in:



Abstract

The present study detailed four factors associated with an increased risk of pulmonary metastasis, age, pathological fracture, local recurrence and mode of treatment. Local recurrence and pathological fracture were independent risk factors for developing metastasis. From January 2016 to December 2021, data from 50 patients diagnosed with giant cell tumor of bone (GCTB) treated in Khon Kaen Hospital, Thailand, were retrospectively analyzed. The risk factors, including age at diagnosis, location of GCTB, clinical presentation, Campanacci stage and no. of local recurrences, for GCTB‑induced pulmonary metastasis were evaluated using univariate and multivariable logistic regression analyses. Of the 50 patients analyzed, 9 patients (18%), with a mean age of 46.3 years (range, 18‑68 years), developed pulmonary metastasis. No patients died from pulmonary metastasis in the present study. Statistically significant associations were observed between the development of metastasis and both clinical fracture [odds ratio (OR), 6.107; 95% confidence interval (CI), 1.08‑34.70] and local recurrence (OR, 6.48; 95% CI, 1.03‑40.87). Patients presenting with both a clinical fracture and local tumor recurrence require more rigorous clinical observation due to the significantly elevated risk of disease progression.

Introduction

Giant cell tumor of bone (GCTB) comprises primarily intramedullary bone tumors and accounts for 4–5% of all bone tumors based on a multicenter study including 103 patients between 1980 and 2008 (1). GCTBs are benign lesions; however, several published reports of pulmonary metastasis exist (2). Pulmonary metastasis is detected in ~2–5% of cases of GCTB and is associated with poor treatment outcomes (3). The formation of an ossified rim is a prominent finding in both recurrent and metastatic GCTBs (4). These types of tumors are composed of reactive multinuclear cells expressing receptor activators of nuclear factor-kappa B (RANK) (5), resembling osteoclasts. Previous reports suggest there are overlapping markers for GCTB that are similar to those of osteoclasts, such as tartrate-resistant acid phosphatase (6), cathepsin K (7), carbonic anhydrase II (8) and calcitonin receptor (9).

A population-based study reported that the prevalence of GCTB is 80% in patients aged 20–40 years (10). Although GCTBs occur at multiple sites in the body, the predominant site is the end of a long bone and around the knee, which account for over half of the total number of reported cases (11–14). The clinical manifestations of GCTB comprise swelling, pain and pathological fracture (15). The first-line therapy for GCTB comprises curettage using a high-speed burr to reduce GCTB recurrence (16,17). Patients with GCTB must undergo long-term follow-up as recurrence and metastasis may occur up to 20 years postoperatively (18).

The diagnosis of GCTB comprises clinical observation, radiographs and histopathological analysis (19). The typical clinical manifestations of GCTB are swelling, local pain and pathological fracture (20). Dynamic contrast-enhanced MRI has increased the accuracy of diagnosing GCTBs (21). Additionally, molecular research has provided insights into diagnostic markers, such as p53, p63, kinectin 1, rho-associated, coiled-coil-containing protein kinase 1, nebulin and sterile alpha motif and leucine zipper containing kinase AZK, among others, related to GCTBs (22–24). Pulmonary metastasis is difficult to diagnose in early-stage GCTBs and is more likely to be discovered in recurrent cases (25). The development of pulmonary metastasis from primary lesions may take months to years (26,27).

The aim of the present study was to evaluate patient outcomes and identify any influencing factors in GCTB-induced pulmonary metastasis.

Materials and methods

Patient selection

The medical records of 50 patients with GCTB treated in Khon Kaen Hospital (Khon Kaen, Thailand) from January 2016 to December 2021 were retrospectively analyzed. Patients with incomplete medical records were excluded from the study. Ethical approval from The Institute Review Board in Human Research of Khon Kaen Hospital was obtained prior to the initiation of the study (approval no. KEXP65041).

Pulmonary metastasis was confirmed by considering the tumor characteristics, namely single or multiple pulmonary nodules differentiated from developing abnormal lesions, with rounded, well-defined opacities on chest computed tomography (CT). Metastasis was confirmed with subsequent CT if the lesions had increased in number and size.

The collected data comprised the patients' demographic and clinical data, namely the location(s) of the primary lesions, local recurrence history and metastasis. Follow-up durations were defined as the time from the first evaluation for primary treatment to local recurrence and from diagnosis of the primary tumor to pulmonary metastasis. Additional parameters were the treatment type for local recurrence, metastasis treatment, treatment course and follow-up events.

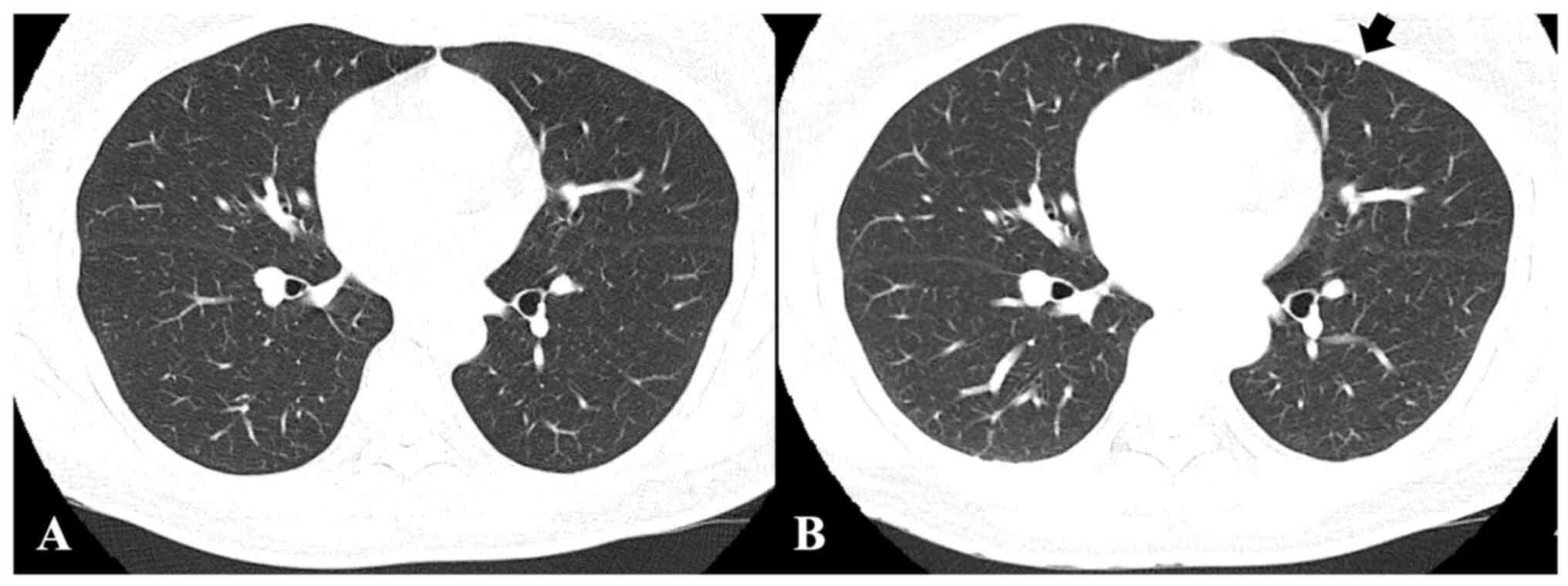
To meet the study purpose, radiographic images, namely CT, X-rays and magnetic resonance images were reviewed. CT images and chest X-rays were evaluated to confirm pulmonary metastasis. Follow-up chest CT images were screened for metastatic nodule development and progression to evaluate treatment efficacy. Follow-up chest CT images were analyzed to measure and evaluate the course of metastatic nodules receiving treatment. The chest CT evaluations determined whether the metastatic nodules were advanced, stationary or reduced (Fig. 1).

Figure 1.

Giant cell tumor of bone in the distal femur without pulmonary metastasis. Chest computed tomography at the (A) first visit and at (B) 12-month follow-up. At follow-up, the patient had a small nodule measuring 4 mm (black arrow) in the left posterior lower lung.

Statistical analysis

Data analysis was conducted using Microsoft Excel version 16.76 (Microsoft Corporation) for editing, sorting and coding. The final Excel file was subsequently imported into SPSS software (version 27; IBM Corp.) for statistical analysis. Continuous variables are expressed as the mean ± standard deviation. The normality of the data was tested using the Kolmogorov-Smirnov test. Unpaired Student's t-test was used to analyze statistical differences between group means. Categorical variables were presented as percentages and the chi-square test was used to compare categorical variables, including patients' clinical characteristics. If the expected value was <5 for >20% of the total cells, Fisher's exact test was used. P<0.05 was considered to indicate a statistically significant difference. Univariate and multivariable logistic regression analyses were conducted to evaluate the risk factors for GCTB-induced pulmonary metastasis. An alternative method, namely the continuity correction, was used for logistic regression analysis on contingency tables containing zero cell counts. The number of events and non-events in studies with zero cell counts was increased by 0.5. Variables with a P<0.10 in the univariate logistic regression analyses and other variables of known clinical relevance were included in the multivariable logistic regression analyses. The regression was performed with 95% confidence intervals (CIs). Univariate logistic regression models with 95% CI were used to conduct univariate [odds ratio (OR)] and multivariable analysis [adjusted odds ratio (AOR)]. An AOR is a statistical measure that has been modified to accommodate the influence of additional predictor variables, including age at diagnosis, axial location of GCTB, fracture and neurological deficit, stage III, and 1 and >1 local recurrences within a model. This measure is particularly valuable in illustrating the impact of a specific predictor variable on the likelihood of an event occurring, while controlling for the influence of other predictor variables. The logistic regression model is prone to being affected by small-sample bias (28). In medical literature, a commonly adopted lower limit for developing prediction models that forecast a binary outcome is an events per variable (EPV) of 10 (29,30). The EPV, representing the smaller count between the number of subjects who experienced the outcome and those who did not, is calculated by dividing it by the number of predictor variables utilized in building the prediction model. In the present study, with 50 events (cases) and six predictor variables including age at diagnosis, location of GCTB, clinical presentation, Campanacci stage, no. of local recurrences and treatment for local recurrence, the resulting EPV is ~8, falling below the recommended threshold of 10. The Firth method (Firth's Bias-Reduced Logistic Regression), named after its creator, utilizes a penalized likelihood approach to mitigate the impact of small-sample bias in maximum likelihood estimation (31). The Firth method was used for small-sample analysis in STATA version 16.0 (StataCorp LP). The variance inflation factor (VIF) was also calculated to confirm multicollinearity. All methods were performed in accordance with the relevant guidelines described by Altman et al (32).

Results

Patient demographics and clinical data

Of the 50 patients with GCTB, 26 (52.0%) were female and 24 (48.0%) were male, with a female-to-male ratio of 1.08:1.0 (Table I). The primary tumor sites in an extremity were the proximal humerus (n=2), distal radius (n=4), distal humerus (n=0), distal ulna (n=5), distal femur (n=17), proximal femur (n=3), proximal tibia (n=7), proximal fibula (n=3), distal tibia (n=2), talus (n=0), calcaneus (n=1), hand (n=2) and foot (n=1). Additionally, primary tumors were located in the axial locations in the spine (n=0), sacrum (n=2) and pelvis (n=1). Primary GCTBs occurred most often in the distal femur (n=17), accounting for 34% of all patients. Of the 50 patients evaluated in this study, 47 (94%) were primary cases and 3 (6%) were recurrent cases.

Table I.

Patient demographic and clinical data.

Table I.

Patient demographic and clinical data.

Patient characteristicResult
Mean patient age, years (mean ± SD)36.0±17.2
Follow-up duration, months (mean ± SD)26.3±18.4
Patient sex, n (%)
  Female26 (52.0)
  Male24 (48.0)
Duration from first treatment to first appearance of recurrence, (mean ± SD)13.5±12.5
Primary GCTB diagnosis to first appearance of pulmonary metastasis, (mean ± SD)11.7±9.4
Primary tumor location, n (%)
  Extremity
  Proximal humerus2 (4.0)
  Distal humerus0 (0.0)
  Distal radius4 (8.0)
  Distal ulna5 (10.0)
  Proximal femur3 (6.0)
  Distal femur17 (34.0)
  Proximal tibia7 (14.0)
  Proximal fibula3 (6.0)
  Distal tibia2 (4.0)
  Talus0 (0.0)
  Calcaneus1 (2.0)
  Hand2 (4.0)
  Foot1 (2.0)
Axial
  Spine0 (0.0)
  Sacrum2 (4.0)
  Pelvis1 (2.0)
Tumor type, n (%)
  Primary47 (94.0)
  Recurrence3 (6.0)
Clinical presentation, n (%)
  Incidental finding0 (0.0)
  Pain27 (54.0)
  Mass12 (24.0)
  Pathological fracture10 (20.0)
  Neurological deficit1 (2.0)
Campanacci radiographic stage, n (%)
  I1 (2.0)
  II11 (22.0)
  III38 (76.0)
Mode of treatment for the primary tumor, n (%)
  Simple curettage (without local adjuvant therapy)3 (6.0)
  Extended curettage (with local adjuvant therapy)35 (70.0)
  Wide resection11 (22.0)
  Amputation/disarticulation1 (2.0)
Local recurrence (number of tumors), n (%)
  037 (74.0)
  112 (24.0)
  >11 (2.0)
Treatment of local recurrence, n (%)
  None (no local recurrence)38 (76.0)
  Simple curettage (without local adjuvant therapy)0 (0.0)
  Extended curettage (with local adjuvant therapy)4 (8.0)
  Wide resection3 (6.0)
  Amputation/disarticulation2 (5.0)
  Adjuvant therapy2 (5.0)
  Mixed (curettage with adjuvant therapy and wide resection)1 (2.0)
Location/extension of pulmonary metastasis
  Single lesion
    None41 (82.0)
    Right upper lung1 (2.0)
    Right middle lung1 (2.0)
    Right lower lung0 (0.0)
    Left upper lung1 (2.0)
    Left lower lung0 (0.0)
  Multiple lesions
    Right lung2 (4.0)
    Left lung1 (2.0)
    Both lungs3 (6.0)
Treatment of pulmonary metastasis, n (%)
  None/no metastasis41 (82.0)
  Observation6 (12.0)
  Bisphosphonate0 (0.0)
  Denosumab3 (6.0)
  Chemotherapy0 (0.0)
  Resection0 (0.0)
  Radiation0 (0.0)

[i] SD, standard deviation.

Clinical characteristics

Pain, the presence of a mass, pathological fracture and neurological deficit were significant parameters in identifying and diagnosing the possibility of a tumor (Table I). Pain in 27 patients and pathological fracture in 10 patients accounted for two notable contributors at 54.0 and 20.0% of the cases, respectively. According to the Campanacci grading system (17), Campanacci grade I tumors were reported in 2% of the patients (n=1), Campanacci grade II tumors were reported in 22% of patients (n=11) and Campanacci grade III was most frequent being reported in 76% of patients (n=38). The average period from treatment to recurrence was 13.5±12.5 months. The mean time from primary GCTB to pulmonary metastasis diagnosis was 11.7±9.4 months.

Mode of treatment

Of the 50 patients with GCTB, 3 patients (6%) received simple curettage without local adjuvant therapy and 35 (70%) received extended curettage with local adjuvant therapy (Table I). Additionally, 11 patients (22%) underwent wide resection, and amputation or disarticulation was necessary for 1 patient (2%).

Recurrence and metastasis

The average follow-up duration was 26.3 months, during which 74% of the patients (n=37) were without local recurrence (Table I). However, 12 patients (24%) developed recurrence once and 1 patient (2%) developed recurrence more than once.

A total of 41 patients (n=82) did not develop metastasis. From the cohort of 9 patients (18%) who developed pulmonary metastasis, three had single lesions as follows: Right upper lung (n=1; 2%); right middle lung (n=1; 2%); and left upper lung (n=1; 2%). Of the remaining 6 patients, 3 patients (6%) developed multiple lesions in both lungs, 2 patients (4%) developed multiple lesions in the right lung and 1 patient (2%) developed multiple lesions in the left lung.

Of the 9 pulmonary metastasis cases, 5 reported fractures (Table II). Within this group of patients, 2 individuals developed tumor recurrence whereas the remaining 7 patients developed new primary tumors. Of the 2 cases with local recurrence, 1 underwent extended curettage and 1 underwent wide resection. None of the patients died from pulmonary metastasis in the present study.

Table II.

Clinical data of patients with pulmonary metastasis.

Table II.

Clinical data of patients with pulmonary metastasis.

Patient numberAge, yearsLocation of GCTBClinical presentationTumor typeCampanacci radiographic stageTreatment of GCTBNo. of local recurrencesTreatment of local recurrenceTime from diagnosis of the primary GCTB to diagnosis of pulmonary metastasis, monthsTreatment for pulmonary metastasisFollow-up time, months
146Distal femurFracturePrimaryIIICurettage>1Wide resection15Denosumab20
268Distal femurFracturePrimaryIIICurettage1Amputation0Observation6
358Distal femurNo fracturePrimaryIIIWide resectionNo recurrenceNone26Observation26
439Distal femurNo fracturePrimaryIIIWide resectionNo recurrenceNone14Observation31
542Distal femurFracturePrimaryIIIWide resectionNo recurrenceNone2Observation6
642Distal femurFracturePrimaryIIICurettage1Mixed, curettage with adjuvant therapy and wide resection14Denosumab29
739Proximal tibiaNo fractureRecurrentIIICurettage1Extended curettage3Denosumab7
865Proximal femurFracturePrimaryIICurettageNo recurrenceNone7Observation8
918Distal femurNo fractureRecurrentIICurettage1Wide resection24Observation8

[i] GCTB, giant cell tumor of bone.

Risk factors for pulmonary metastasis

In the present study, pulmonary metastasis occurred in 9 of the 50 patients with GCTB. GCTB occurrence was more frequent in patients aged ≥35 years compared with those aged <35 years in patients with Campanacci grade III tumors (8 vs. 1 patient, respectively; Table II). There was a statistically significant association between GCTB occurrence and age (P=0.045; Table III). The pulmonary metastasis incidence rate among patients with fractures was 55.5% (5/9), which was statistically significant (P=0.024). Similarly, in patients with >1 local tumor recurrence, the pulmonary metastasis incidence rate was 11.11% (1/9) and was statistically significant (P=0.038). Local treatment was demonstrated to be a significant risk factor for developing pulmonary metastasis (P=0.035; Table III). In the present study, sex, location of GCTB, tumor type, Campanacci stage, treatment for GCTB and mean time from treatment to local recurrence were not significantly associated with pulmonary metastasis (P=0.142, P=0.560, P=0.080, P=0.818, P=0.577 and P=0.251, respectively).

Table III.

Characteristics of the patients with and without pulmonary metastasis.

Table III.

Characteristics of the patients with and without pulmonary metastasis.

FactorWithout lung metastasis (N=41)With lung metastasis (N=9)P-value
Mean age ± SD, years33.8±16.846.3±15.40.045a
Sex, n (%)
  Female19 (73.1)7 (26.9)0.142b
  Male22 (91.7)2 (8.3)
Location of GCTB
  Extremity38 (82.6)8 (19.1)0.560b
  Axial3 (75.0)1 (25.0)
Clinical presentation
  No fracture35 (89.7)4 (10.3)0.024b
  Fracture5 (50.0)5 (50.0)
  Neurological deficit1 (100.0)0 (0.0)
Tumor type
  Primary40 (85.1)7 (14.9)0.080b
  Recurrence1 (33.3)2 (66.7)
Campanacci stage
  I1 (100.0)0 (0.0)0.818b
  II9 (81.8)2 (18.2)
  III31 (81.6)7 (18.4)
Treatment for GCTB
  Curettage32 (84.2)6 (15.8)0.577b
  Wide resection8 (72.7)3 (27.3)
  Mixed1 (100)0 (0.0)
No. of local recurrences
  No recurrence33 (89.2)4 (10.8)0.038b
  18 (66.7)4 (33.3)
  >10 (0.0)1 (100.0)
Mean time from treatment to local recurrence ± SD, months16.4±14.79.0±7.10.251a
Treatment for local recurrence
  None34 (89.5)4 (10.5)0.035b
  Curettage3 (75.0)1 (25.0)
  Wide resection2 (40.0)3 (60.0)
  Adjuvant therapy2 (100.0)0 (0.0)
  Mixed0 (0.0)1 (100.0)

a Unpaired Student's t-test.

b Fisher's exact test. GCTB, giant cell tumor of bone; SD, standard deviation.

Univariate analysis using Firth's Bias-Reduced Logistic Regression revealed a statistically significant association between GCTB-induced pulmonary metastasis and fractures (OR, 7.89; 95% CI, 1.69–36.65, P=0.008; Table IV). Local treatment requiring curettage with wide resection emerged as a significant risk factor for developing pulmonary metastasis (OR, 10.73; 95% CI, 1.61–71.56, P=0.014; Table IV). Multivariable analysis revealed two independent risk factors for developing pulmonary metastasis. Patients who presented with pathological fractures had an increased risk of developing pulmonary metastasis that was 6.107 times (AOR, 6.107; 95% CI, 1.075–34.70) higher than that of patients without pathological fractures (P=0.041). Local recurrence increased the risk of pulmonary metastasis by 6.480 times (AOR, 6.480; 95% CI, 1.027–40.87; P=0.047; Table V). Multicollinearity tests conducted on the model did not detect a significant level of multicollinearity among any of the included covariates with VIF <1.20.

Table IV.

Univariate analysis of the factors associated with pulmonary metastasis from GCTB using the Firth's Bias-Reduced Logistic Regression method.

Table IV.

Univariate analysis of the factors associated with pulmonary metastasis from GCTB using the Firth's Bias-Reduced Logistic Regression method.

FactorWithout lung metastasis (n=41)With lung metastasis (N=9)Odd ratio95% CIP-value
Mean age ± SD33.8±16.846.3±15.41.040.99–1.080.058
Sex
  Female (ref.)19 (73.1)7 (26.9)1--
  Male22 (91.7)2 (8.3)0.290.06–1.370.117
Location of GCTB
  Extremity (ref.)38 (82.6)8 (19.1)1--
  Axial3 (75.0)1 (25.0)1.960.25–15.110.526
Clinical presentation
  No fracture (ref.)35 (89.7)4 (10.3)1--
  Fracture5 (50.0)5 (50.0)7.891.69–36.650.008
  Neurological deficit1 (100.0)0 (0.0)2.63a0.09–74.760.571
Tumor type
  Primary (ref.)40 (85.1)7 (14.9)1--
  Recurrence1 (33.3)2 (66.7)9.001.03–78.750.050
Campanacci stage
  I (ref.)1 (100.0)0 (0.0)1--
  II9 (81.8)2 (18.2)0.79a0.02–25.900.894
  III31 (81.6)7 (18.4)0.71a0.03–19.330.842
Treatment for GCTB
  Curettage (ref.)32 (84.2)6 (15.8)1--
  Wide resection8 (72.7)3 (27.3)2.060.46–9.250.346
  Mixed1 (100)0 (0.0)1.66a0.06–45.620.762
No. of local recurrences
  No recurrence (ref.)33 (89.2)4 (10.8)1--
  18 (66.7)4 (33.3)3.940.87–17.800.075
  >10 (0.0)1 (100.0)22.33a0.78–635.580.069
Mean time from treatment to local recurrence ± SD, months16.4±14.79.0±7.10.960.87–1.050.373
Treatment for local recurrence
  None (ref.)34 (89.5)4 (10.5)1--
  Curettage3 (75.0)1 (25.0)3.280.38−28.210.278
  Wide resection2 (40.0)3 (60.0)10.731.61–71.560.014
  Adjuvant therapy2 (100.0)0 (0.0)1.53a0.06–37.290.793
  Mixed0 (0.0)1 (100.0)23.00a0.81–654.230.066

{ label (or @symbol) needed for fn[@id='tfn5-ol-26-6-14095'] } P-values were calculated using the Firth method.

a Continuity correction applied to the odd ratio calculation on contingency tables with zero cell counts. SD, standard deviation; ref., reference category for statistical comparison.

Table V.

Multivariable analysis of the factors associated with pulmonary metastasis from GCTB using the Firth's Bias-Reduced Logistic Regression method.

Table V.

Multivariable analysis of the factors associated with pulmonary metastasis from GCTB using the Firth's Bias-Reduced Logistic Regression method.

FactorP-valueAdjusted odds ratio95% CI
Age at diagnosis0.1441.0330.988–1.079
Location of GCTB (axial)0.4880.3550.019–6.623
Clinical presentation (fracture and neurological deficit)a0.0416.1071.075–34.70
Campanacci stage (III)0.5470.5620.086–3.671
No. of local recurrences (1 and >1)a0.0476.4801.027–40.87

{ label (or @symbol) needed for fn[@id='tfn7-ol-26-6-14095'] } Variables with

a P-value <0.10 in the univariate logistic regression analyses and other variables of known clinical relevance were included as basis categories in the multivariable logistic regression analyses, which comprised age at diagnosis, axial location of GCTB, fracture and neurological deficit, stage III, and 1 and >1 local recurrences. GCTB, giant cell tumor of bone.

Discussion

Metastasis of GCTBs is uncommon, as the rate of metastasis varies from 1–9% across previous studies and 3% of GCTBs metastasize to the lung (33–38). In the present study, the prevalence of metastasis was 18%, which differed from that in previously published reports (39–44). In the present study, all nine patients had pulmonary metastases. Among nine pulmonary metastases, recurrent patients showed higher incidences of lung metastasis (66.66%; 2/3) than non-recurrent patients (14.89%; 7/47). Several risk factors are associated with the onset of metastasis, such as local tumor recurrence, a delay in seeking treatment and pathological fractures being the most statistically significant (45,46). Performing tissue biopsies on every patient with a lung mass suspected of being pulmonary metastasis from GCTB is not feasible. It is important to balance the benefits of obtaining a definitive diagnosis with the potential risks, resource allocation and the well-being of the patient. Wang et al (47) defined the pulmonary metastasis from GCTB as follows: i) The development of abnormal lesions, either single or multiple pulmonary nodules, rounded and well-defined opacities on chest CT; and ii) there should be evidence of growth during the follow-up period, either in the number or size of lesions.

Pathological fracture is significantly associated with pulmonary metastasis. Previous studies have reported varying incidences (5.3–11%) of pathological fractures among patients diagnosed with pulmonary metastasis (47,48). The rate of pulmonary metastasis from GCTB is relatively high (18%) in the present study due to a delay in patients seeking treatment, leading to pathological fracture. The present study demonstrated that up to 20% of patients presented with pathological fractures and in 55.5% of the cases of pulmonary metastasis fractures were identified as independent risk factors for developing pulmonary metastasis at a rate 6.107 times higher compared with patients who did not experience fractures. The pathological fracture was a critical risk factor for developing metastasis. Faisham et al (38) reported that Campanacci grade III is a risk factor for pulmonary metastasis. In the present study, 76% of primary cases had Campanacci stage grade III tumors, which later resulted in metastasis in 7 patients (77.7% of malignant cases).

Local tumor recurrence and metastasis have a positive association (45,49). Similar to findings reported in previous studies, the present study demonstrated that local tumor recurrence significantly increased the risk of pulmonary metastasis. Of the 9 patients with pulmonary metastasis, 5 patients (55.5%) experienced local recurrence at least once and this association was confirmed in both univariate and multivariable analysis. Local curettage and local adjuvant therapy can help prevent local recurrence (50). Wide resection effectively reduces tumor burden in recurrent and pathological fracture cases (51,52).

In addition to local treatment, new drugs have been developed for the treatment of GCTBs. Denosumab was previously introduced for the treatment of advanced and metastatic GCTB and it binds to the RANK ligand-receptor activator (53). Denosumab inhibits the recruitment of osteoclast-like giant cells and prevents osteolysis (53–55). The bisphosphate zoledronic acid, also targets the neoplastic stromal cells in GCTBs (56). In the present study, denosumab was administered to 3 of the patients with pulmonary metastatic cancer and the remaining 6 patients underwent observation only, with no radiation or resection. The present study demonstrated that none of the patients died as a result of pulmonary metastasis from GCTB. Resection of metastatic lesions or administration of denosumab is considered in cases where there is an increase in the size of the metastatic lesion(s) and the metastatic lesion(s) are causing symptoms (57).

Although no mortality was reported in the present study, the reported mortality rate for metastatic GCTB cases ranges from 0–23% (58), which is a major concern. The prognosis is good after timely and appropriate surgical resection for patients with pulmonary metastasis, with a 71–100% survival rate at the last follow-up (59). Denosumab, a monoclonal antibody that inhibits bone breakdown both in normal and tumor-related contexts, by preventing the formation and activation of multinuclear osteoclasts or giant cells mediated by receptor activator of nuclear factor κβ, is being considered as a potential treatment option for pulmonary metastasis in unresectable GCTB (60).

In the present study, most patient cases were managed by close observation. Therefore, pulmonary metastasectomy was not performed immediately post-diagnosis. Metastasectomy is only advisable under conditions where the patient appears to have progressing metastasis. Local tumor recurrence and pathological fracture are independent risk factors for developing pulmonary metastasis from GCTB. Therefore, in cases with local recurrence or pathological fracture, more aggressive treatment, such as wide resection, should be performed to reduce the local recurrence rate and lower the risk of pulmonary metastasis.

The limitation of this study was the small sample size. There were 50 cases of GCTB and only 9 patients developed pulmonary metastasis. Therefore, a larger cohort of patients is required to validate the risk factors associated with GCTBs that were identified in the present study.

There are a number of unanswered questions in regard to the effective treatment of GCTBs, especially regarding the high recurrence rates and adverse effects observed upon systemic therapy (61). There is a need to investigate alternative therapeutic strategies to effectively treat pulmonary metastasis of GCTBs.

To conclude, pulmonary metastasis from GCTB was not uncommon in the present study. CT chest scan should be performed in each patient with GCTB as the rate of pulmonary metastasis from GCTB was relatively high (18%) in the present study. Local recurrence and pathological fracture were associated with developing pulmonary metastasis. It is unnecessary to perform pulmonary metastasectomy immediately. Additionally, a biopsy of metastatic lesions developed from GCT of bone is also unnecessary. Close observation of patients with metastasis is essential and serial imaging is recommended in every case. More studies are required that evaluate the molecular mechanisms of GCTB.

Acknowledgements

Not applicable.

Funding

Funding: No funding was received.

Availability of data and materials

The datasets used and/or analyzed during the current study are available from the corresponding author on reasonable request.

Authors' contributions

TP and TC conceptualized the study, curated the data, drafted, reviewed and edited the manuscript, acted as project administrators and supervised the project. TC visualized the data. TP and WM performed the methodology. TP, SS and KS performed data validation, investigation and obtained resources. TP, WM and TC performed formal data analysis. TP and TC confirm the authenticity of all the raw data. All authors read and approved the final version of the manuscript.

Ethics approval and consent to participate

The current study received permission and approval for all protocols used in the study. Due to the retrospective nature of this study, the need for informed consent was waived by The Institute Review Board in Human Research of Khon Kaen Hospital (approval no. KEXP65041).

Patient consent for publication

Not applicable.

Competing interests

The authors declare that they have no competing interests.

References

1 

Takeuchi A, Tsuchiya H, Ishii T, Nishida Y, Abe S, Matsumine A, Kawai A, Yoshimura K and Ueda T: Clinical outcome of recurrent giant cell tumor of the extremity in the era before molecular target therapy: The Japanese musculoskeletal oncology group study. BMC Musculoskelet Disord. 17:3062016. View Article : Google Scholar : PubMed/NCBI

2 

Athanasou NA, Bansal M, Forsyth R, Reid RP and Sapi Z: Tumours of soft tissue and bone. Pathology and Genetics. World Health Organization Classification of Tumours. Bridge J, Hogendoorn P and Mertens F: IARC press; 2013

3 

Viswanathan S and Jambhekar NA: Metastatic giant cell tumor of bone: Are there associated factors and best treatment modalities? Clin Orthop Relat Res. 468:827–833. 2010. View Article : Google Scholar : PubMed/NCBI

4 

Derbel O and Blay JY: Giant cell tumors of bone. Bone Cancer. Elsevier; pp. 437–445. 2015, View Article : Google Scholar

5 

Atkins GJ, Kostakis P, Vincent C, Farrugia AN, Houchins JP, Findlay DM, Evdokiou A and Zannettino AC: RANK expression as a cell surface marker of human osteoclast precursors in peripheral blood, bone marrow, and giant cell tumors of bone. J Bone Miner Res. 21:1339–1349. 2006. View Article : Google Scholar : PubMed/NCBI

6 

Anazawa U, Hanaoka H, Shiraishi T, Morioka H, Morii T and Toyama Y: Similarities between giant cell tumor of bone, giant cell tumor of tendon sheath, and pigmented villonodular synovitis concerning ultrastructural cytochemical features of multinucleated giant cells and mononuclear stromal cells. Ultrastruct Pathol. 30:151–158. 2006. View Article : Google Scholar : PubMed/NCBI

7 

Lindeman JH, Hanemaaijer R, Mulder A, Dijkstra PDS, Szuhai K, Bromme D, Verheijen JH and Hogendoorn PCW: Cathepsin K is the principal protease in giant cell tumor of bone. Am J Pathol. 165:593–600. 2004. View Article : Google Scholar : PubMed/NCBI

8 

Kotake S, Sato K, Kim KJ, Takahashi N, Udagawa N, Nakamura I, Yamaguchi A, Kishimoto T, Suda T and Kashiwazaki S: Interleukin-6 and soluble interleukin-6 receptors in the synovial fluids from rheumatoid arthritis patients are responsible for osteoclast-like cell formation. J Bone Miner Res. 11:88–95. 1996. View Article : Google Scholar : PubMed/NCBI

9 

Collier FM, Huang WH, Holloway WR, Hodge JM, Gillespie MT, Daniels LL, Zheng MH and Nicholson GC: Osteoclasts from human giant cell tumors of bone lack estrogen receptors. Endocrinology. 139:1258–1267. 1998. View Article : Google Scholar : PubMed/NCBI

10 

Huvos AG: Tumors of histiocytic or fibrohistiocytic origin: Giant cell tumor of bone. Bone Tumors: Diagnosis, Treatment, and Prognosis. 2nd edition. Huvos AG: WB Saunders; pp. 429–467. 1991

11 

Kim TS and Park JS: Metastasising recurrent giant cell tumor: A case report. J Korean Bone Joint Tumor Soc. 7:73–79. 2001.

12 

Mirra JM: Giant cell tumors. Bone Tumors; Clinical Radiological, and Pathologic Correlations. Mirra JM: Lea and Febiger; pp. 941–1020. 1989

13 

Osaka S, Sugita H, Osaka E, Yoshida Y, Ryu J, Hemmi A and Suzuki K: Clinical and immunohistochemical characteristics of benign giant cell tumour of bone with pulmonary metastases: Case series. J Orthop Surg (Hong Kong). 12:55–62. 2004. View Article : Google Scholar : PubMed/NCBI

14 

Benevenia J, Patterson FR, Beebe KS, Abdelshahed MM and Uglialoro AD: Comparison of phenol and argon beam coagulation as adjuvant therapies in the treatment of stage 2 and 3 benign-aggressive bone tumors. Orthopedics. 35:e371–e378. 2012. View Article : Google Scholar : PubMed/NCBI

15 

Deventer N, Budny T, Gosheger G, Rachbauer A, Puetzler J, Theil JC, Kovtun D, de Vaal M and Deventer N: Giant cell tumor of bone: A single center study of 115 cases. J Bone Oncol. 33:1004172022. View Article : Google Scholar : PubMed/NCBI

16 

Benevenia J, Rivero SM, Moore J, Ippolito JA, Siegerman DA, Beebe KS and Patterson FR: Supplemental bone grafting in giant cell tumor of the extremity reduces nononcologic complications. Clin Orthop Relat Res. 475:776–783. 2017. View Article : Google Scholar : PubMed/NCBI

17 

Campanacci M, Baldini N, Boriani S and Sudanese A: Giant-cell tumor of bone. J Bone Joint Surg Am. 69:106–114. 1987. View Article : Google Scholar : PubMed/NCBI

18 

Balke M, Schremper L, Gebert C, Ahrens H, Streitbuerger A, Koehler G, Hardes J and Gosheger G: Giant cell tumor of bone: Treatment and outcome of 214 cases. J Cancer Res Clin Oncol. 134:969–978. 2008. View Article : Google Scholar : PubMed/NCBI

19 

Abat F, Almenara M, Peiró A, Trullols L, Bagué S and Grácia I: Giant cell tumor of bone: A series of 97 cases with a mean follow-up of 12 years. Rev Esp Cir Ortop Traumatol. 59:59–65. 2015.(In Spanish). PubMed/NCBI

20 

Thomas D, Henshaw R, Skubitz K, Chawla S, Staddon A, Blay JY, Roudier M, Smith J, Ye Z, Sohn W, et al: Denosumab in patients with giant-cell tumour of bone: An open-label, phase 2 study. Lancet Oncol. 11:275–280. 2010. View Article : Google Scholar : PubMed/NCBI

21 

Tian R, Su M, Tian Y, Li F, Li L, Kuang A and Zeng J: Dual-time point PET/CT with F-18 FDG for the differentiation of malignant and benign bone lesions. Skeletal Radiol. 38:451–458. 2009. View Article : Google Scholar : PubMed/NCBI

22 

Cowan RW and Singh G: Giant cell tumor of bone: A basic science perspective. Bone. 52:238–246. 2013. View Article : Google Scholar : PubMed/NCBI

23 

Graziano V and De Laurenzi V: Role of p63 in cancer development. Biochim Biophys Acta. 1816:57–66. 2011.PubMed/NCBI

24 

Babeto E, Conceição AL, Valsechi MC, Peitl Junior P, de Campos Zuccari DA, de Lima LG, Bonilha JL, de Freitas Calmon M, Cordeiro JA and Rahal P: Differentially expressed genes in giant cell tumor of bone. Virchows Arch. 458:467–476. 2011. View Article : Google Scholar : PubMed/NCBI

25 

Tsukamoto S, Ciani G, Mavrogenis AF, Ferrari C, Akahane M, Tanaka Y, Rocca M, Longhi A and Errani C: Outcome of lung metastases due to bone giant cell tumor initially managed with observation. J Orthop Surg Res. 15:5102020. View Article : Google Scholar : PubMed/NCBI

26 

Dominkus M, Ruggieri P, Bertoni F, Briccoli A, Picci P, Rocca M and Mercuri M: Histologically verified lung metastases in benign giant cell tumours-14 cases from a single institution. Int Orthop. 30:499–504. 2006. View Article : Google Scholar : PubMed/NCBI

27 

Jacopin S, Viehweger E, Glard Y, Launay F, Jouve JL, Bouvier C and Bollini G: Fatal lung metastasis secondary to index finger giant cell tumor in an 8-year-old child. Orthop Traumatol Surg Res. 96:310–313. 2010. View Article : Google Scholar : PubMed/NCBI

28 

Nemes S, Jonasson JM, Genell A and Steineck G: Bias in odds ratios by logistic regression modelling and sample size. BMC Med Res Methodol. 9:562009. View Article : Google Scholar : PubMed/NCBI

29 

van Smeden M, Moons KGM, de Groot JAH, Collins GS, Altman DG, Eijkemans MJC and Reitsma JB: Sample size for binary logistic prediction models: Beyond events per variable criteria. Stat Methods Med Res. 28:2455–2474. 2019. View Article : Google Scholar : PubMed/NCBI

30 

Pavlou M, Ambler G, Seaman S, De Iorio M and Omar RZ: Review and evaluation of penalised regression methods for risk prediction in low-dimensional data with few events. Stat Med. 35:1159–1177. 2016. View Article : Google Scholar : PubMed/NCBI

31 

King G and Zeng L: Logistic regression in rare events data. Polit Anal. 9:137–163. 2001. View Article : Google Scholar

32 

Altman DG, Gore SM, Gardner MJ and Pocock SJ: Statistical guidelines for contributors to medical journals. Br Med J (Clin Res Ed). 286:1489–1493. 1983. View Article : Google Scholar : PubMed/NCBI

33 

Errani C, Ruggieri P, Asenzio MA, Toscano A, Colangeli S, Rimondi E, Rossi G, Longhi A and Mercuri M: Giant cell tumor of the extremity: A review of 349 cases from a single institution. Cancer Treat Rev. 36:1–7. 2010. View Article : Google Scholar : PubMed/NCBI

34 

Kremen TJ Jr, Bernthal NM, Eckardt MA and Eckardt JJ: Giant cell tumor of bone: Are we stratifying results appropriately? Clin Orthop Relat Res. 470:677–683. 2012. View Article : Google Scholar : PubMed/NCBI

35 

Takeuchi A, Tsuchiya H, Niu X, Ueda T, Jeon DG, Wang EH, Asavamongkolkul A, Kusuzaki K, Sakayama K and Kang YK: The prognostic factors of recurrent GCT: A cooperative study by the Eastern Asian musculoskeletal oncology group. J Orthop Sci. 16:196–202. 2011. View Article : Google Scholar : PubMed/NCBI

36 

Klenke FM, Wenger DE, Inwards CY, Rose PS and Sim FH: Recurrent giant cell tumor of long bones: Analysis of surgical management. Clin Orthop Relat Res. 469:1181–1187. 2011. View Article : Google Scholar : PubMed/NCBI

37 

Donthineni R, Boriani L, Ofluoglu O and Bandiera S: Metastatic behaviour of giant cell tumour of the spine. Int Orthop. 33:497–501. 2009. View Article : Google Scholar : PubMed/NCBI

38 

Faisham WI, Zulmi W, Halim AS, Biswal BM, Mutum SS and Ezane AM: Aggressive giant cell tumour of bone. Singapore Med J. 47:679–683. 2006.PubMed/NCBI

39 

Prosser GH, Baloch KG, Tillman RM, Carter SR and Grimer RJ: Does curettage without adjuvant therapy provide low recurrence rates in giant-cell tumors of bone? Clin Orthop Relat Res. 211–218. 2005. View Article : Google Scholar : PubMed/NCBI

40 

Su YP, Chen WM and Chen TH: Giant-cell tumors of bone: An analysis of 87 cases. Int Orthop. 28:239–243. 2004. View Article : Google Scholar : PubMed/NCBI

41 

Trieb K, Bitzan P, Lang S, Dominkus M and Kotz R: Recurrence of curetted and bone-grafted giant-cell tumours with and without adjuvant phenol therapy. Eur J Surg Oncol. 27:200–202. 2001. View Article : Google Scholar : PubMed/NCBI

42 

Blackley HR, Wunder JS, Davis AM, White LM, Kandel R and Bell RS: Treatment of giant-cell tumors of long bones with curettage and bone-grafting. J Bone Joint Surg Am. 81:811–820. 1999. View Article : Google Scholar : PubMed/NCBI

43 

O'Donnell RJ, Springfield DS, Motwani HK, Ready JE, Gebhardt MC and Mankin HJ: Recurrence of giant-cell tumors of the long bones after curettage and packing with cement. J Bone Joint Surg Am. 76:1827–1833. 1994. View Article : Google Scholar : PubMed/NCBI

44 

Kay RM, Eckardt JJ, Seeger LL, Mirra JM and Hak DJ: Pulmonary metastasis of benign giant cell tumor of bone. Six histologically confirmed cases, including one of spontaneous regression. Clin Orthop Relat Res. 219–230. 1994.PubMed/NCBI

45 

Rock MG, Pritchard DJ and Unni KK: Metastases from histologically benign giant-cell tumor of bone. J Bone Joint Surg Am. 66:269–274. 1984. View Article : Google Scholar : PubMed/NCBI

46 

Goldenberg RR, Campbell CJ and Bonfiglio M: Giant-cell tumor of bone. An analysis of two hundred and eighteen cases. J Bone Joint Surg Am. 52:619–664. 1970. View Article : Google Scholar : PubMed/NCBI

47 

Wang J, Liu X, Yang Y, Yang R, Tang X, Yan T and Guo W: Pulmonary metastasis of giant cell tumour: A retrospective study of three hundred and ten cases. Int Orthop. 45:769–778. 2021. View Article : Google Scholar : PubMed/NCBI

48 

Chan CM, Adler Z, Reith JD and Gibbs CP Jr: Risk factors for pulmonary metastases from giant cell tumor of bone. J Bone Joint Surg Am. 97:420–428. 2015. View Article : Google Scholar : PubMed/NCBI

49 

Ebeid WA, Badr IT, Mesregah MK and Hasan BZ: Risk factors and oncological outcomes of pulmonary metastasis in patients with giant cell tumor of bone. J Clin Orthop Trauma. 20:1014992021. View Article : Google Scholar : PubMed/NCBI

50 

Errani C, Tsukamoto S, Ciani G and Donati DM: Present day controversies and consensus in curettage for giant cell tumor of bone. J Clin Orthop Trauma. 10:1015–1020. 2019. View Article : Google Scholar : PubMed/NCBI

51 

Kito M, Matusmoto S, Ae K, Tanizawa T, Gokita T, Kobayashi H, Hayakawa K and Funauchi Y: Pulmonary metastasis from giant cell tumor of bone: Clinical outcome prior to the introduction of molecular target therapy. Jpn J Clin Oncol. 47:529–534. 2017. View Article : Google Scholar : PubMed/NCBI

52 

Chen CC, Liau CT, Chang CH, Hsu YH and Shih HN: Giant cell tumors of the bone with pulmonary metastasis. Orthopedics. 39:e68–e73. 2016. View Article : Google Scholar : PubMed/NCBI

53 

Dufresne A, Derbel O, Cassier P, Vaz G, Decouvelaere AV and Blay JY: Giant-cell tumor of bone, anti-RANKL therapy. Bonekey Rep. 1:1492012. View Article : Google Scholar : PubMed/NCBI

54 

Demirsoy U, Karadogan M, Selek Ö, Anik Y, Aksu G, Müezzinoglu B and Corapcioglu F: Golden bullet-denosumab: Early rapid response of metastatic giant cell tumor of the bone. J Pediatr Hematol Oncol. 36:156–158. 2014. View Article : Google Scholar : PubMed/NCBI

55 

Mak IWY, Evaniew N, Popovic S, Tozer R and Ghert M: A translational study of the neoplastic cells of giant cell tumor of bone following neoadjuvant denosumab. J Bone Joint Surg Am. 96:e1272014. View Article : Google Scholar : PubMed/NCBI

56 

Kumar A, Sinha S, Haider Y, Jameel J and Kumar S: Role of zoledronic acid supplementation in reducing post-surgical recurrence of giant cell tumor of bone: A meta-analysis of comparative studies. Cureus. 13:e167422021.PubMed/NCBI

57 

Li H, Gao J, Gao Y, Lin N, Zheng M and Ye Z: Denosumab in giant cell tumor of bone: Current status and pitfalls. Front Oncol. 10:5806052020. View Article : Google Scholar : PubMed/NCBI

58 

Siebenrock KA, Unni KK and Rock MG: Giant-cell tumour of bone metastasising to the lungs. A long-term follow-up. J Bone Joint Surg Br. 80:43–47. 1998. View Article : Google Scholar : PubMed/NCBI

59 

Muheremu A and Niu X: Pulmonary metastasis of giant cell tumor of bones. World J Surg Oncol. 12:2612014. View Article : Google Scholar : PubMed/NCBI

60 

Borkowska AM, Szumera-Ciećkiewicz A, Szostakowski B, Pieńkowski A and Rutkowski PL: Denosumab in giant cell tumor of bone: Multidisciplinary medical management based on pathophysiological mechanisms and real-world evidence. Cancers (Basel). 14:22902022. View Article : Google Scholar : PubMed/NCBI

61 

van der Heijden L, Dijkstra S, van de Sande M and Gelderblom H: Current concepts in the treatment of giant cell tumour of bone. Curr Opin Oncol. 32:332–338. 2020. View Article : Google Scholar : PubMed/NCBI

Related Articles

  • Abstract
  • View
  • Download
  • Twitter
Copy and paste a formatted citation
Spandidos Publications style
Poosiripinyo T, Sukpanichyingyong S, Salang K, Mahikul W and Chobpenthai T: Non‑surgical outcomes and risk factors for pulmonary metastasis from giant cell tumor of bone. Oncol Lett 26: 508, 2023.
APA
Poosiripinyo, T., Sukpanichyingyong, S., Salang, K., Mahikul, W., & Chobpenthai, T. (2023). Non‑surgical outcomes and risk factors for pulmonary metastasis from giant cell tumor of bone. Oncology Letters, 26, 508. https://doi.org/10.3892/ol.2023.14095
MLA
Poosiripinyo, T., Sukpanichyingyong, S., Salang, K., Mahikul, W., Chobpenthai, T."Non‑surgical outcomes and risk factors for pulmonary metastasis from giant cell tumor of bone". Oncology Letters 26.6 (2023): 508.
Chicago
Poosiripinyo, T., Sukpanichyingyong, S., Salang, K., Mahikul, W., Chobpenthai, T."Non‑surgical outcomes and risk factors for pulmonary metastasis from giant cell tumor of bone". Oncology Letters 26, no. 6 (2023): 508. https://doi.org/10.3892/ol.2023.14095
Copy and paste a formatted citation
x
Spandidos Publications style
Poosiripinyo T, Sukpanichyingyong S, Salang K, Mahikul W and Chobpenthai T: Non‑surgical outcomes and risk factors for pulmonary metastasis from giant cell tumor of bone. Oncol Lett 26: 508, 2023.
APA
Poosiripinyo, T., Sukpanichyingyong, S., Salang, K., Mahikul, W., & Chobpenthai, T. (2023). Non‑surgical outcomes and risk factors for pulmonary metastasis from giant cell tumor of bone. Oncology Letters, 26, 508. https://doi.org/10.3892/ol.2023.14095
MLA
Poosiripinyo, T., Sukpanichyingyong, S., Salang, K., Mahikul, W., Chobpenthai, T."Non‑surgical outcomes and risk factors for pulmonary metastasis from giant cell tumor of bone". Oncology Letters 26.6 (2023): 508.
Chicago
Poosiripinyo, T., Sukpanichyingyong, S., Salang, K., Mahikul, W., Chobpenthai, T."Non‑surgical outcomes and risk factors for pulmonary metastasis from giant cell tumor of bone". Oncology Letters 26, no. 6 (2023): 508. https://doi.org/10.3892/ol.2023.14095
Follow us
  • Twitter
  • LinkedIn
  • Facebook
About
  • Spandidos Publications
  • Careers
  • Cookie Policy
  • Privacy Policy
How can we help?
  • Help
  • Live Chat
  • Contact
  • Email to our Support Team