Spandidos Publications Logo
  • About
    • About Spandidos
    • Aims and Scopes
    • Abstracting and Indexing
    • Editorial Policies
    • Reprints and Permissions
    • Job Opportunities
    • Terms and Conditions
    • Contact
  • Journals
    • All Journals
    • Oncology Letters
      • Oncology Letters
      • Information for Authors
      • Editorial Policies
      • Editorial Board
      • Aims and Scope
      • Abstracting and Indexing
      • Bibliographic Information
      • Archive
    • International Journal of Oncology
      • International Journal of Oncology
      • Information for Authors
      • Editorial Policies
      • Editorial Board
      • Aims and Scope
      • Abstracting and Indexing
      • Bibliographic Information
      • Archive
    • Molecular and Clinical Oncology
      • Molecular and Clinical Oncology
      • Information for Authors
      • Editorial Policies
      • Editorial Board
      • Aims and Scope
      • Abstracting and Indexing
      • Bibliographic Information
      • Archive
    • Experimental and Therapeutic Medicine
      • Experimental and Therapeutic Medicine
      • Information for Authors
      • Editorial Policies
      • Editorial Board
      • Aims and Scope
      • Abstracting and Indexing
      • Bibliographic Information
      • Archive
    • International Journal of Molecular Medicine
      • International Journal of Molecular Medicine
      • Information for Authors
      • Editorial Policies
      • Editorial Board
      • Aims and Scope
      • Abstracting and Indexing
      • Bibliographic Information
      • Archive
    • Biomedical Reports
      • Biomedical Reports
      • Information for Authors
      • Editorial Policies
      • Editorial Board
      • Aims and Scope
      • Abstracting and Indexing
      • Bibliographic Information
      • Archive
    • Oncology Reports
      • Oncology Reports
      • Information for Authors
      • Editorial Policies
      • Editorial Board
      • Aims and Scope
      • Abstracting and Indexing
      • Bibliographic Information
      • Archive
    • Molecular Medicine Reports
      • Molecular Medicine Reports
      • Information for Authors
      • Editorial Policies
      • Editorial Board
      • Aims and Scope
      • Abstracting and Indexing
      • Bibliographic Information
      • Archive
    • World Academy of Sciences Journal
      • World Academy of Sciences Journal
      • Information for Authors
      • Editorial Policies
      • Editorial Board
      • Aims and Scope
      • Abstracting and Indexing
      • Bibliographic Information
      • Archive
    • International Journal of Functional Nutrition
      • International Journal of Functional Nutrition
      • Information for Authors
      • Editorial Policies
      • Editorial Board
      • Aims and Scope
      • Abstracting and Indexing
      • Bibliographic Information
      • Archive
    • International Journal of Epigenetics
      • International Journal of Epigenetics
      • Information for Authors
      • Editorial Policies
      • Editorial Board
      • Aims and Scope
      • Abstracting and Indexing
      • Bibliographic Information
      • Archive
    • Medicine International
      • Medicine International
      • Information for Authors
      • Editorial Policies
      • Editorial Board
      • Aims and Scope
      • Abstracting and Indexing
      • Bibliographic Information
      • Archive
  • Articles
  • Information
    • Information for Authors
    • Information for Reviewers
    • Information for Librarians
    • Information for Advertisers
    • Conferences
  • Language Editing
Spandidos Publications Logo
  • About
    • About Spandidos
    • Aims and Scopes
    • Abstracting and Indexing
    • Editorial Policies
    • Reprints and Permissions
    • Job Opportunities
    • Terms and Conditions
    • Contact
  • Journals
    • All Journals
    • Biomedical Reports
      • Information for Authors
      • Editorial Policies
      • Editorial Board
      • Aims and Scope
      • Abstracting and Indexing
      • Bibliographic Information
      • Archive
    • Experimental and Therapeutic Medicine
      • Information for Authors
      • Editorial Policies
      • Editorial Board
      • Aims and Scope
      • Abstracting and Indexing
      • Bibliographic Information
      • Archive
    • International Journal of Epigenetics
      • Information for Authors
      • Editorial Policies
      • Editorial Board
      • Aims and Scope
      • Abstracting and Indexing
      • Bibliographic Information
      • Archive
    • International Journal of Functional Nutrition
      • Information for Authors
      • Editorial Policies
      • Editorial Board
      • Aims and Scope
      • Abstracting and Indexing
      • Bibliographic Information
      • Archive
    • International Journal of Molecular Medicine
      • Information for Authors
      • Editorial Policies
      • Editorial Board
      • Aims and Scope
      • Abstracting and Indexing
      • Bibliographic Information
      • Archive
    • International Journal of Oncology
      • Information for Authors
      • Editorial Policies
      • Editorial Board
      • Aims and Scope
      • Abstracting and Indexing
      • Bibliographic Information
      • Archive
    • Medicine International
      • Information for Authors
      • Editorial Policies
      • Editorial Board
      • Aims and Scope
      • Abstracting and Indexing
      • Bibliographic Information
      • Archive
    • Molecular and Clinical Oncology
      • Information for Authors
      • Editorial Policies
      • Editorial Board
      • Aims and Scope
      • Abstracting and Indexing
      • Bibliographic Information
      • Archive
    • Molecular Medicine Reports
      • Information for Authors
      • Editorial Policies
      • Editorial Board
      • Aims and Scope
      • Abstracting and Indexing
      • Bibliographic Information
      • Archive
    • Oncology Letters
      • Information for Authors
      • Editorial Policies
      • Editorial Board
      • Aims and Scope
      • Abstracting and Indexing
      • Bibliographic Information
      • Archive
    • Oncology Reports
      • Information for Authors
      • Editorial Policies
      • Editorial Board
      • Aims and Scope
      • Abstracting and Indexing
      • Bibliographic Information
      • Archive
    • World Academy of Sciences Journal
      • Information for Authors
      • Editorial Policies
      • Editorial Board
      • Aims and Scope
      • Abstracting and Indexing
      • Bibliographic Information
      • Archive
  • Articles
  • Information
    • For Authors
    • For Reviewers
    • For Librarians
    • For Advertisers
    • Conferences
  • Language Editing
Login Register Submit
  • This site uses cookies
  • You can change your cookie settings at any time by following the instructions in our Cookie Policy. To find out more, you may read our Privacy Policy.

    I agree
Search articles by DOI, keyword, author or affiliation
Search
Advanced Search
presentation
Oncology Letters
Join Editorial Board Propose a Special Issue
Print ISSN: 1792-1074 Online ISSN: 1792-1082
Journal Cover
December-2023 Volume 26 Issue 6

Full Size Image

Sign up for eToc alerts
Recommend to Library

Journals

International Journal of Molecular Medicine

International Journal of Molecular Medicine

International Journal of Molecular Medicine is an international journal devoted to molecular mechanisms of human disease.

International Journal of Oncology

International Journal of Oncology

International Journal of Oncology is an international journal devoted to oncology research and cancer treatment.

Molecular Medicine Reports

Molecular Medicine Reports

Covers molecular medicine topics such as pharmacology, pathology, genetics, neuroscience, infectious diseases, molecular cardiology, and molecular surgery.

Oncology Reports

Oncology Reports

Oncology Reports is an international journal devoted to fundamental and applied research in Oncology.

Experimental and Therapeutic Medicine

Experimental and Therapeutic Medicine

Experimental and Therapeutic Medicine is an international journal devoted to laboratory and clinical medicine.

Oncology Letters

Oncology Letters

Oncology Letters is an international journal devoted to Experimental and Clinical Oncology.

Biomedical Reports

Biomedical Reports

Explores a wide range of biological and medical fields, including pharmacology, genetics, microbiology, neuroscience, and molecular cardiology.

Molecular and Clinical Oncology

Molecular and Clinical Oncology

International journal addressing all aspects of oncology research, from tumorigenesis and oncogenes to chemotherapy and metastasis.

World Academy of Sciences Journal

World Academy of Sciences Journal

Multidisciplinary open-access journal spanning biochemistry, genetics, neuroscience, environmental health, and synthetic biology.

International Journal of Functional Nutrition

International Journal of Functional Nutrition

Open-access journal combining biochemistry, pharmacology, immunology, and genetics to advance health through functional nutrition.

International Journal of Epigenetics

International Journal of Epigenetics

Publishes open-access research on using epigenetics to advance understanding and treatment of human disease.

Medicine International

Medicine International

An International Open Access Journal Devoted to General Medicine.

Journal Cover
December-2023 Volume 26 Issue 6

Full Size Image

Sign up for eToc alerts
Recommend to Library

  • Article
  • Citations
    • Cite This Article
    • Download Citation
    • Create Citation Alert
    • Remove Citation Alert
    • Cited By
  • Similar Articles
    • Related Articles (in Spandidos Publications)
    • Similar Articles (Google Scholar)
    • Similar Articles (PubMed)
  • Download PDF
  • Download XML
  • View XML
Case Report Open Access

Coexistence of small gastrointestinal stromal tumor and pancreatic cancer: A case report and literature review

  • Authors:
    • Xia Chen
    • Yiwei Tan
    • An'An Gong
  • View Affiliations / Copyright

    Affiliations: Department of Endocrinology, Yiwu Central Hospital, Yiwu, Zhejiang 322000, P.R. China, Department of Hepatopancreatobiliary Surgery, Yiwu Central Hospital, Yiwu, Zhejiang 322000, P.R. China
    Copyright: © Chen et al. This is an open access article distributed under the terms of Creative Commons Attribution License.
  • Article Number: 509
    |
    Published online on: October 11, 2023
       https://doi.org/10.3892/ol.2023.14096
  • Expand metrics +
Metrics: Total Views: 0 (Spandidos Publications: | PMC Statistics: )
Metrics: Total PDF Downloads: 0 (Spandidos Publications: | PMC Statistics: )
Cited By (CrossRef): 0 citations Loading Articles...

This article is mentioned in:



Abstract

Small gastrointestinal stromal tumors (GISTs) are rare and malignant tumors that originate in the mesenchymal tissue. Due to their insidious onset and nonspecific symptoms, they are often misdiagnosed, and are generally detected during the diagnosis and treatment of other diseases. The present case report reviewed the treatment process of a patient with a small GIST coexisting with pancreatic cancer who was admitted to the Yiwu Central Hospital (Yiwu, China) in June 2018. The patient was diagnosed and treated comprehensively using a combined approach of urology, and gastrointestinal and hepatobiliary surgery. The present case report provides important clinical insights, which allow for an improved understanding of GIST and provides a reference for clinical treatment.

Introduction

A gastrointestinal stromal tumor (GIST) is a spindle cell tumor of the gastrointestinal tract derived from mesenchymal tissue and accounts for ~0.2% of gastrointestinal tumors worldwide (1). In China, the incidence rate of GIST is 1–2/100,000 individuals (2,3). Clinical data have shown that GIST can occur in various parts of the digestive tract; however, the stomach is the most common location, accounting for 60–70% of cases, followed by the small intestine accounting for 20–30% of cases, and the colon and rectum accounting for 18.1% of cases. The disease may also present in the esophagus, mesentery, momentum and retroperitoneum (4,5). Small GISTs are rare with the incidence of small GISTs coexisting with pancreatic cancer even rarer and in recent years, to the best of our knowledge, only one case of pancreatic body cancer being mistaken for GIST has been reported in Chinese and English literature (6). In the present study, a 54-year-old male patient with a primary small pelvic GIST coexisting with pancreatic cancer was reported on for the first time, to the best of our knowledge. The present case report provides interesting clinical insights that may assist in future diagnosis and treatment of similar cases.

Case report

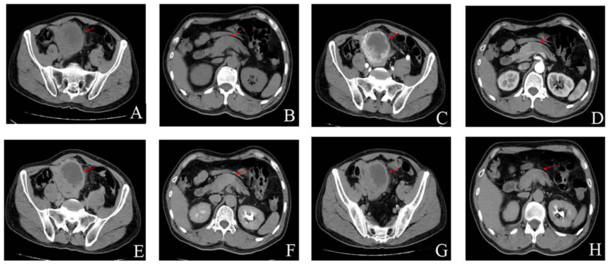
A 54-year-old male patient was admitted to the Yiwu Central Hospital (Yiwu, China) for diagnosis and treatment in June 2018, due to ‘right ureteral calculi found in physical examination for 2 days’. A total of 2 days before admission, a B-ultrasound examination of the patient's urinary system in Yiwu Second People's Hospital (Yiwu, China) showed ‘right upper ureteral calculi and pelvic space occupation’. The patient reported frequent and urgent urination, pain during urination and occasional discomfort in the lower abdomen. Physical examination upon admission revealed a body temperature of 36.9°C, a pulse of 100 bpm, respiration of 19 breaths/min, blood pressure of 104/74 mmHg (1 mmHg=0.133 kPa) and oxygen saturation of 99%. No notable abnormalities were found in the cardiopulmonary examination. Urinary CT results indicated ‘right upper ureteral calculi, dilation of the upper ureter and renal pelvis, low-density lesions of the left kidney and masses in the adnexal right lower abdomen’. An auxiliary examination was performed and routine blood testing revealed a white blood cell count of 12.01×109/l, CRP of 161.10 mg/l and a neutrophil count of 8.90×109/l. Coagulation parameter assessment revealed fibrinogen levels of 6.767 g/l and D-dimer levels of 2,330 mg/l, and the blood type of the patient was Rh-positive B. Urine analysis revealed sedimentary white blood cells at 102/ml and urinary sediment epithelial cells at 13/ml. Biochemical analysis indicated g-glutamyl transferase levels of 353 U/l and alkaline phosphatase levels of 349 U/l. A color Doppler ultrasound of the digestive system showed multiple calculi in the upper right ureter with right hydronephrosis and a left renal cyst with prostatic hyperplasia with calcification. Chest posterior-anterior CT showed no notable substantial lesions. The preliminary diagnoses were right ureteral calculi with hydronephrosis and a pelvic mass. As the nature of the pelvic space occupation was unknown and the routine blood test indicated an inflammatory reaction, broad-spectrum antibacterial drugs for anti-infection treatment were temporarily administered. Subsequently, an enhanced CT of the urinary system showed a pelvic space-occupying lesion, indicating the potential presence of a stromal tumor; due to these data, a puncture biopsy was recommended and space-occupying pancreatic cancer was considered (Fig. 1).

Figure 1.

Enhanced CT scan of the urinary system. (A) Plain CT scan, Pelvic stromal tumor, (B) Plain CT scan, pancreatic cancer, (C) CT enhanced scan of cortical phase, pelvic stromal tumor, (D) CT enhanced scan of cortical phase, pancreatic cancer, (E) CT enhanced scan of medullary phase, pelvic stromal tumor, (F) CT enhanced scan of medullary phase, pancreatic cancer, (G) CT enhanced scan of the excretion period, pelvic stromal tumor and (H) CT enhanced scan of the excretion period, pancreatic cancer. The red arrows indicate the location of the lesion. CT, computerized tomography.

Additionally, the enhanced CT of the urinary system revealed that the distal pancreatic duct was dilated, with body and tail atrophy observed. Calculi were identified in the ventral segment of the right ureter with dilatation of the upper ureter and right renal pelvis, indicating a possible bilateral renal cyst or prostatic hyperplasia. In accordance with the opinion of experts in hepatobiliary surgery, a right indwelling ureteral stent was implanted after anti-infection treatment during urological surgery, and the pancreatic and pelvic space-occupying lesion was treated after infection control by hepatobiliary surgery. Implantation of the right indwelling ureteral stent was successfully performed under local anesthesia with antibiotics and fluid infusion administered as the postoperative treatment for the stent implantation. From these data, a postoperative diagnosis of right ureteral calculus with hydronephrosis, pelvic mass and pancreatic space-occupying lesion was made.

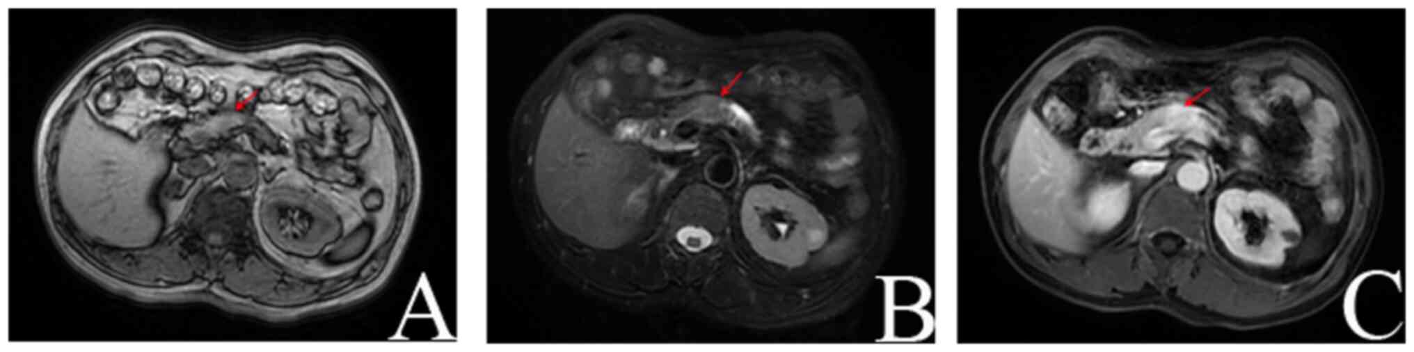
Following this, the patient was transferred to the hepatobiliary surgery department of the same hospital for further evaluation; subsequently, a comprehensive examination using a hepatobiliary 1.5T magnetic resonance imaging (MRI) protocol was conducted. This imaging protocol included plain scans, diffusion-weighted imaging and enhanced scans. The MRI findings revealed the presence of a space-occupying lesion in the pancreatic body, indicative of pancreatic cancer. Additionally, atrophy was observed in the distal body and tail glands of the pancreas, accompanied by pancreatic duct dilation. Furthermore, the examination revealed multiple cysts in the liver with bilateral renal cysts observed, bilateral renal cysts have no pathological concern (Fig. 2). Diagnoses of a pancreatic space-occupying lesion in the pelvic space, a hepatic cyst, a renal cyst and a right ureteral calculus with hydronephrosis were made. A definitive diagnosis was ascertained for the patient following a multidisciplinary expert consultation and the evaluation indicated the presence of a space-occupying lesion in the pancreas, raising concern for possible pancreatic cancer. The presence of a pancreatic tumor could not be conclusively ruled out at this stage and additionally, a space-occupying lesion in the pelvic region was identified, warranting further investigation. Moreover, the expert consultation considered the possibility of a small GIST being present. Surgery was deemed the most appropriate primary treatment for pancreatic cancer with the aim to remove the tumor, and keep the biliary and pancreatic ducts unobstructed. General anesthesia was used in this case as in accordance with more extensive operations in similar cases.

Figure 2.

Hepatobiliary 1.5T magnetic resonance plain scan, diffusion weighted imaging and enhanced scan. (A) T1WI pancreatic cancer, (B) T2WI pancreatic cancer, (C) delay period, pancreatic cancer. T1WI, T1-weighted image; T2WI, T2-weighted image. The red arrows indicate the location of the lesion.

The primary surgical method was laparoscopic distal pancreatectomy and small intestinal tumor resection. The specific surgical method was to be determined by the intraoperative pathological results during the operation. The patient underwent laparoscopic distal pancreatectomy, splenectomy, portal vein repair, porta hepatis, parapancreatic and paravascular lymph node dissection, and resection of the GIST, sigmoid colon and partial bladder under general anesthesia. Following successful anesthesia, the indwelling gastric tube and catheter were inserted, the ‘Y’ position was taken and the trocar laparoscopic guide hole was placed 10 mm below the umbilicus. Additionally, a 10-mm trocar was inserted into the midline of the left and right clavicle above the umbilicus, and a 5-mm trocar was inserted into the anterior axillary line on both sides. During the operation, the pelvic GIST occupied ~15×10 cm. It was stiff and fixed to the anterior abdominal wall of the pelvic cavity and invaded the sigmoid bladder. Additionally, there was a palpable mass ~4 cm in diameter in the neck of the pancreas, which was invaded the splenic vein and surrounding tissue, and the tail of the pancreas was stiff. Distal pancreatectomy and splenectomy combined with porta hepatis, parapancreatic and mesenteric paravascular lymph node dissection were performed.

During the operation, multiple gastrointestinal surgery experts were consulted. In agreement with the consensus recommendation, the small intestine and the sigmoid colon were cut 5 cm away from the mass and closed, and 15 cm of the small intestine and 10 cm of the long intestine were removed. The long sigmoid colon was removed and the mass was resected after removing part of the bladder wall. Continuous suture was performed to repair the bladder. The small intestine and sigmoid colon were sutured end to end and the mesentery was repaired. The colon anastomosis was ~35 cm from the anus and the small intestine anastomosis was 85 cm away from the ileocecal loop. After the operation, meticulous hemostasis and abdominal cavity irrigation were performed, a drainage tube was inserted and the trocar laparoscopic hole was closed layer by layer. The operation lasted 97 min and the intraoperative bleeding volume was 72 ml. The operation was smooth, the anesthesia was satisfactory and the patient returned to the ward safely. After the operation, the patient was treated with antibiotics, stomach nourishment and fluid supplement. A plain abdominal CT scan showed postoperative tumor occupation changes in the pancreas and peripancreatic inflammatory exudation 8 days post-surgery (Fig. 3).

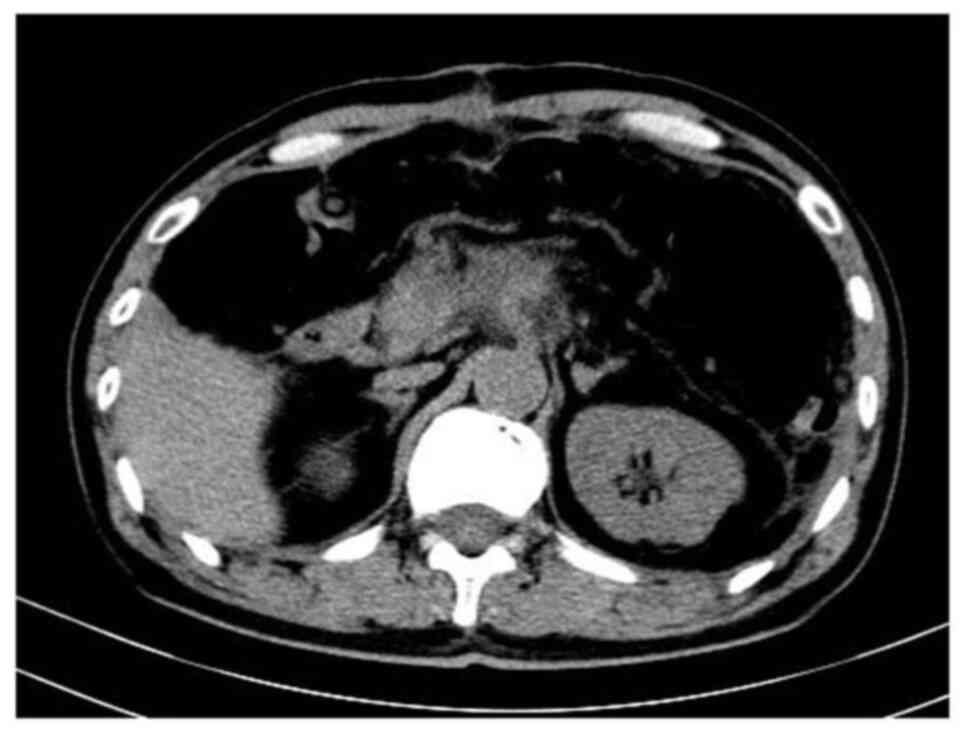
Figure 3.

Plain abdominal CT scan showing the postoperative changes of the pancreas. CT, computerized tomography.

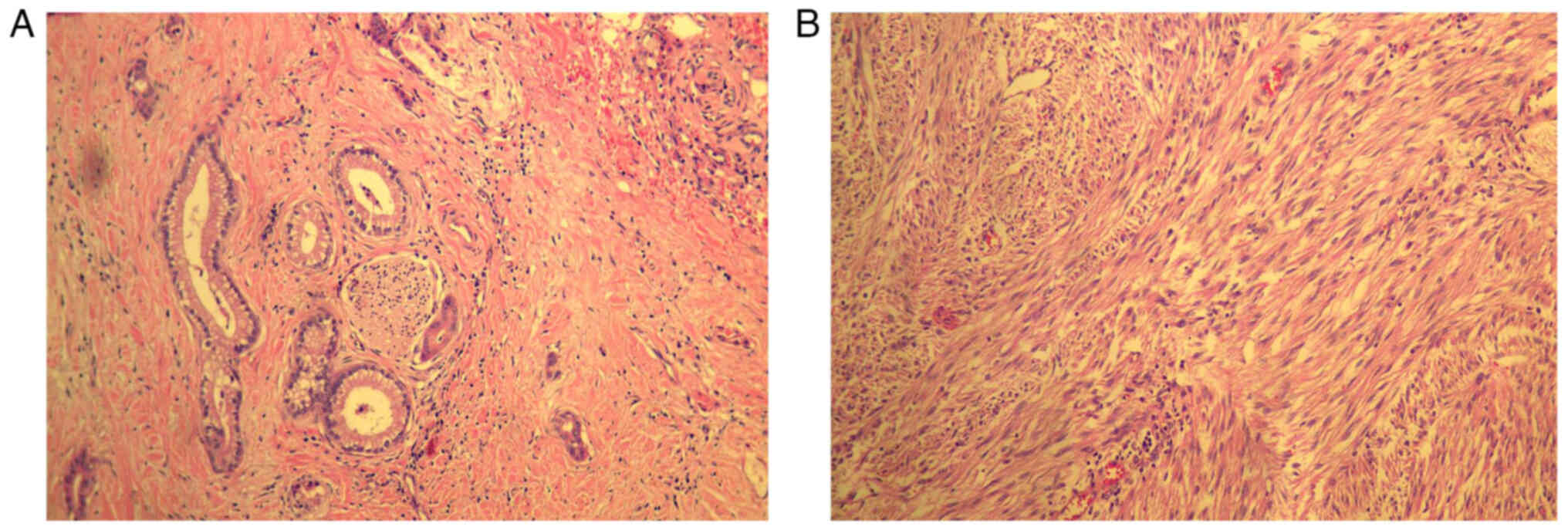
Postoperative hematoxylin and eosin (H&E) staining pathology findings showed: i) Moderately differentiated adenocarcinoma (pancreas) ~4.5×4×2 cm in size, invaded peripancreatic fibrous adipose tissue and invaded nerves (Fig. 4A); ii) no lymph node metastasis was observed with 0/8 lymph nodes (near the splenic portal) and 0/4 lymph nodes affected; iii) a stromal (small intestine) tumor ~8×7×5 cm in size (Fig. 4B), with necrosis, mitosis <5/50 high power field, moderate risk, invaded the myometrium of the sigmoid colon and mesentery of the small intestine and sigmoid. A small amount of bladder muscle wall adhered to and fused with the fibers and adipose tissue around the tumor; iv) negative margins of the pancreas, small intestine and sigmoid colon; and v) spleen tissue immunohistochemistry (Fig. 5). GIST1 and pancreatic cancer specimens were fixed with 4% neutral buffered formalin (at 35°C for 24 h), dehydrated and cleared with 70% ethanol for 3 h, 30% ethanol for 3 h, 90% ethanol for 2 h, 95% ethanol for 2.5 h, 100% ethanol I for 1.5 h and 100% ethanol II for 1.5 h before being embedded in paraffin and sectioned at 5 µm. Immunohistochemistry was performed using EnVision (OriGene Technologies, Inc.) two-step method and DAB staining. Each specimen was subjected to immunohistochemical detection of antibodies against CD117 (cat. no. ZA-0523), Dog-1 (cat. no. ZM-0371), CD34 (cat. no. ZM-0046), Ki-67 (cat. no. ZM-0166), S-100 (cat. no. ZM-0224), Vim (cat. no. TA801297), SMA (cat. no. ZM-0003), Desmin (cat. no. ZM-0610), CK7 (cat. no. ZM-0071), CK19 (cat. no. ZA-0670), CK20 (cat. no. ZA-0574), P53 (cat. no. ZM-0408), TTF-1 (cat. no. ZM-0270), PSA (cat. no. ZM-0218), and CAM5.2 (cat. no. ZM-0316). All antibody reagents were purchased from OriGene Technologies, Inc. with a dilution of 1:200. Goat anti IgG was the secondary antibody (1:2,000; Abcam; cat. no. K006153P, K000328P). Section E (E is the serial number code in pathology): Discovered on GIST1 (DOG-1; +), CD117 (+), CD34 (+), Ki-67 (10%+), S-100 (−), vimentin (+), SMA (+) and desmin (−); section R (R is another serial number code in pathology): CK7 (+), CK19 (+), CK20 (+), Ki-67 (5%+), P53 (−), thyroid transcription factor-1 (−), prostate specific antigen (−), S-100 (+) and CAM5.2 (+). The patient had a cough, low percutaneous arterial oxygen saturation and a pulmonary infection in the first 2 days after surgery. On day 4 after surgery, the patient passed gas via the anus. the patient did not show signs of distension, nausea, vomiting or fever after eating. The patient was discharged from the hospital 22 days post-surgery.

Figure 4.

Pathological examination results. (A) Pancreatic cancer cells were arranged in a strip shape and inflammatory cell infiltration was visible. H&E staining, magnification, ×200. (B) Mesenchymal tumor cells were mainly spindle-shaped and arranged in short bundles. The transition area between spindle-shaped cells and epithelioid cells could be seen. H&E staining, magnification, 200×. H&E, hematoxylin and eosin.

Figure 5.

Immunohistochemical results. (A) dog-1 in small intestine, (B) CD117 in small intestine, (C) CD34 in small intestine, (D) vimentin in small intestine, (E) CK7 in pancreas, (F) CK20 in pancreas and (G) CAM5.2 in pancreas. GIST, small gastrointestinal stromal tumor.

Discussion

To the best of our knowledge, the present case report describes the first case of small GIST coexisting with pancreatic cancer. GIST has no specific clinical symptoms with symptoms generally related to the location and size of the tumor, the relationship between the tumor and the intestinal wall, and the benign or malignant nature of the tumor (7). Notably, the location and size of the tumor are the main factors that determine the change in symptoms (8). The most common symptoms are gastrointestinal bleeding, upper abdominal discomfort and dysphagia (9). In the present study, the patient had repeated right upper abdominal pain for 2 months, right lower back pain with hematuria for 20 days and was admitted to the hospital for examination after right ureteral calculi were found 2 days following physical examination. The diagnosis of GIST is generally difficult, and is mainly based on tumor location, histology and immunohistochemistry examination (10). In the present study, the case was complex with ureteral calculi, pancreatic cancer, pelvic small intestinal stromal tumor and hepatorenal cysts reported. During diagnosis and treatment, experts in imaging, urology, hepatobiliary surgery and gastrointestinal surgery made cooperative, comprehensive evaluations, which provided strong evidence for obtaining a more accurate diagnosis before the operation. Immunohistochemical CD117 (+) and DOG-1 (+) protein expression are the main criteria for the diagnosis of GIST (11). CD117 is highly consistent with DOG-1, with the positive rate of GIST diagnosis by CD117 being 94–98% and the positive diagnosis rate of DOG-1 being 94–96% (12). Other positive antigens indicative of GIST include: CD34 (positive rate, 70%), SMA (positive rate, 30%), S-100 (positive rate, 5%) and desmin (positive rate, 2%) (13,14). The immunohistochemical results of the case in the present study were DOG-1 (+), CD117 (+), CD34 (+), S-100 (−), SMA (+) and desmin (−). These clinical data were consistent with the immunohistochemical diagnostic criteria of GIST (10).

GIST possesses the potential for malignant transformation and its biological behavior is assessed through tumor pathological classification. The 2017 edition of the Expert Consensus on the Diagnosis and Treatment of Gastrointestinal Stromal Tumor in China (15) divides the risk of GIST into four levels: Extremely low, low, medium and high. The risk of a tumor is directly related to its size with tumors <5 cm observed to constitute a low or moderate-low risk, and tumors >10 cm constituting a high risk (16). In the present study, the size of the small GIST tumor was 8×7×5 cm and was considered a moderate risk. During the operation, it was found that cancer cells had invaded the muscle layer of the sigmoid colon, and the mesentery of the small intestine and sigmoid colon. Additionally, a small portion of the bladder muscle wall had adhered and was fused with the fibers and adipose tissue around the tumor. Previous clinical experience has shown that surgical resection is the preferred treatment for small GISTs and pancreatic cancer (17,18). However, due to multiple complications, the case in the present study was treated with laparoscopic distal pancreatectomy, splenectomy, portal vein repair, porta hepatis, parapancreatic and paravascular lymph node dissection, and resection of the small GIST, sigmoid colon and partial bladder under general anesthesia.

The diagnosis and treatment of the present case offers a distinct advantage as it involved cooperation among multidisciplinary experts and the successful removal of multiple lesions through laparoscopic surgery. However, it is essential to acknowledge certain limitations, such as the rarity of the condition, resulting in limited diagnosis and treatment experience. Furthermore, the intricacies associated with diagnosis and treatment of this condition were compounded, making it challenging to arrive at a definitive diagnosis until after the surgical procedure. The results of the present study show that laparoscopic surgery for patients with small GISTs has a good clinical effect, which has clinical reference value.

In summary, GISTs are rare in clinical practice and even rarer when coinciding with pancreatic cancer. Collaborative diagnosis and treatment by multidisciplinary experts was present throughout the whole treatment process of the present case. It is hypothesized that with continuous improvement of the understanding of this disease, the ongoing in-depth study of the pathogenesis, as well as the development of more clinical studies, a more scientific basis can be provided, and ultimately reduce the recurrence rate, prolong the overall survival time and improve the overall efficacy of patients with GIST and pancreatic cancer.

Acknowledgements

Not applicable.

Funding

Funding: No funding was received.

Availability of data and materials

The datasets used and/or analyzed during the current study are available from the corresponding author on reasonable request.

Authors' contributions

XC carried out the study methodology, investigation, data curation and wrote the original draft. YT carried out the study investigation, and wrote and edited the review.AG conceived the idea for the study, supervised the study, and wrote and edited the review. XC, YT and AG confirm the authenticity of all the raw data. All authors read and approved the final version of the manuscript.

Ethics approval and consent to participate

Not applicable.

Patient consent for publication

The patient provided written informed consent for the publication of any data and/or accompanying images.

Competing interests

The authors declare that they have no competing interests.

References

1 

Blay JY, Kang YK, Nishida T and von Mehren M: Gastrointestinal stromal tumours. Nat Rev Dis Primers. 7:222021. View Article : Google Scholar : PubMed/NCBI

2 

Mazur MT and Clark HB: Gastric stromal tumors. Reappraisal of histogenesis. Am J Surg Pathol. 7:507–519. 1983. View Article : Google Scholar : PubMed/NCBI

3 

Sikai W: A national study on the incidence rate of gastrointestinal stromal tumors in urban population of China. Chin J Med. 102:4672022.

4 

Miettinen M, Sarlomo-Rikala M and Lasota J: Gastrointestinal stromal tumors: Recent advances in understanding of their biology. Hum Pathol. 30:1213–1220. 1999. View Article : Google Scholar : PubMed/NCBI

5 

Miettinen M, Majidi M and Lasota J: Pathology and diagnostic criteria of gastrointestinal stromal tumors (GISTs): A review. Eur J Cancer. 38 (Suppl 5):S39–S51. 2002. View Article : Google Scholar : PubMed/NCBI

6 

Bejiga G: Pancreatic body cancer presenting with dysphagia and palpable abdominal mass being mistaken for gastric gastrointestinal stromal tumor: ‘Case report’. Int J Surg Case Rep. 92:1068352022. View Article : Google Scholar : PubMed/NCBI

7 

Zhijun L, Mi Z and Shangming Y: Clinical analysis of extraabdominal and pelvic metastasis of gastrointestinal stromal tumors. Shenzhen J Integrated Traditional Chin Western Med. 27:143–144. 2017.

8 

Wang YP, Li YI and Song C: Clinicopathological features and prognosis of small gastrointestinal stromal tumors outside the stomach. Oncol Lett. 10:2723–2730. 2015. View Article : Google Scholar : PubMed/NCBI

9 

Fan X, Han H, Sun Z, Zhang L, Chen G, Mzee SAS, Yang H and Chen J: Prognostic value of bleeding in gastrointestinal stromal tumors: A meta-analysis. Technol Cancer Res Treat. 20:153303382110342592021. View Article : Google Scholar : PubMed/NCBI

10 

Hirota S: Differential diagnosis of gastrointestinal stromal tumor by histopathology and immunohistochemistry. Transl Gastroenterol Hepatol. 3:272018. View Article : Google Scholar : PubMed/NCBI

11 

Wu CE, Tzen CY, Wang SY and Yeh CN: Clinical diagnosis of gastrointestinal stromal tumor (GIST): From the molecular genetic point of view. Cancers (Basel). 11:6792019. View Article : Google Scholar : PubMed/NCBI

12 

Junjie Y, Yehong Y, Jinhua G, et al: A case of giant stromal tumor of the duodenum with cystic transformation. Guangdong Med J. 38:26162017.

13 

Arpaci T, Tokat F, Arpaci RB, Akbas T, Ugurluer G and Yavuz S: Primary pericardial extragastrointestinal stromal tumor: A case report and literature review. Oncol Lett. 9:2726–2728. 2015. View Article : Google Scholar : PubMed/NCBI

14 

Hu D, Duan Y, Chen Y, Li B, Du Y and Shi S: A case report of gastrointestinal stromal tumor of the duodenum. Am J Transl Res. 15:8279–8285. 2022.PubMed/NCBI

15 

Gastrointestinal stromal tumor expert committee of the Chinese Society of Clinical Oncology Chinese Consensus on the Diagnosis and Treatment of Gastrointestinal Stromal Tumors (2017 Edition). Electronic J Comprehensive Tumor Ther. 4:31–43. 2018.

16 

Shi P, Zhang J, Li Y and Ma L: Comparative study of ultrasound findings and pathological risk classification of gastrointestinal stromal tumors. Modern Oncol Med. 2795–2797. 2015.(In Chinese).

17 

Madhavan A, Phillips AW, Donohoe CL, Willows RJ, Immanuel A, Verril M and Griffin SM: Surgical management of gastric gastrointestinal stromal tumours: Comparison of outcomes for local and radical resection. Gastroenterol Res Pract. 2018:21402532018. View Article : Google Scholar : PubMed/NCBI

18 

Masiak-Segit W, Rawicz-Pruszyński K, Skórzewska M and Polkowski WP: Surgical treatment of pancreatic cancer. Pol Przegl Chir. 90:45–53. 2018. View Article : Google Scholar : PubMed/NCBI

Related Articles

  • Abstract
  • View
  • Download
  • Twitter
Copy and paste a formatted citation
Spandidos Publications style
Chen X, Tan Y and Gong A: Coexistence of small gastrointestinal stromal tumor and pancreatic cancer: A case report and literature review. Oncol Lett 26: 509, 2023.
APA
Chen, X., Tan, Y., & Gong, A. (2023). Coexistence of small gastrointestinal stromal tumor and pancreatic cancer: A case report and literature review. Oncology Letters, 26, 509. https://doi.org/10.3892/ol.2023.14096
MLA
Chen, X., Tan, Y., Gong, A."Coexistence of small gastrointestinal stromal tumor and pancreatic cancer: A case report and literature review". Oncology Letters 26.6 (2023): 509.
Chicago
Chen, X., Tan, Y., Gong, A."Coexistence of small gastrointestinal stromal tumor and pancreatic cancer: A case report and literature review". Oncology Letters 26, no. 6 (2023): 509. https://doi.org/10.3892/ol.2023.14096
Copy and paste a formatted citation
x
Spandidos Publications style
Chen X, Tan Y and Gong A: Coexistence of small gastrointestinal stromal tumor and pancreatic cancer: A case report and literature review. Oncol Lett 26: 509, 2023.
APA
Chen, X., Tan, Y., & Gong, A. (2023). Coexistence of small gastrointestinal stromal tumor and pancreatic cancer: A case report and literature review. Oncology Letters, 26, 509. https://doi.org/10.3892/ol.2023.14096
MLA
Chen, X., Tan, Y., Gong, A."Coexistence of small gastrointestinal stromal tumor and pancreatic cancer: A case report and literature review". Oncology Letters 26.6 (2023): 509.
Chicago
Chen, X., Tan, Y., Gong, A."Coexistence of small gastrointestinal stromal tumor and pancreatic cancer: A case report and literature review". Oncology Letters 26, no. 6 (2023): 509. https://doi.org/10.3892/ol.2023.14096
Follow us
  • Twitter
  • LinkedIn
  • Facebook
About
  • Spandidos Publications
  • Careers
  • Cookie Policy
  • Privacy Policy
How can we help?
  • Help
  • Live Chat
  • Contact
  • Email to our Support Team