Spandidos Publications Logo
  • About
    • About Spandidos
    • Aims and Scopes
    • Abstracting and Indexing
    • Editorial Policies
    • Reprints and Permissions
    • Job Opportunities
    • Terms and Conditions
    • Contact
  • Journals
    • All Journals
    • Oncology Letters
      • Oncology Letters
      • Information for Authors
      • Editorial Policies
      • Editorial Board
      • Aims and Scope
      • Abstracting and Indexing
      • Bibliographic Information
      • Archive
    • International Journal of Oncology
      • International Journal of Oncology
      • Information for Authors
      • Editorial Policies
      • Editorial Board
      • Aims and Scope
      • Abstracting and Indexing
      • Bibliographic Information
      • Archive
    • Molecular and Clinical Oncology
      • Molecular and Clinical Oncology
      • Information for Authors
      • Editorial Policies
      • Editorial Board
      • Aims and Scope
      • Abstracting and Indexing
      • Bibliographic Information
      • Archive
    • Experimental and Therapeutic Medicine
      • Experimental and Therapeutic Medicine
      • Information for Authors
      • Editorial Policies
      • Editorial Board
      • Aims and Scope
      • Abstracting and Indexing
      • Bibliographic Information
      • Archive
    • International Journal of Molecular Medicine
      • International Journal of Molecular Medicine
      • Information for Authors
      • Editorial Policies
      • Editorial Board
      • Aims and Scope
      • Abstracting and Indexing
      • Bibliographic Information
      • Archive
    • Biomedical Reports
      • Biomedical Reports
      • Information for Authors
      • Editorial Policies
      • Editorial Board
      • Aims and Scope
      • Abstracting and Indexing
      • Bibliographic Information
      • Archive
    • Oncology Reports
      • Oncology Reports
      • Information for Authors
      • Editorial Policies
      • Editorial Board
      • Aims and Scope
      • Abstracting and Indexing
      • Bibliographic Information
      • Archive
    • Molecular Medicine Reports
      • Molecular Medicine Reports
      • Information for Authors
      • Editorial Policies
      • Editorial Board
      • Aims and Scope
      • Abstracting and Indexing
      • Bibliographic Information
      • Archive
    • World Academy of Sciences Journal
      • World Academy of Sciences Journal
      • Information for Authors
      • Editorial Policies
      • Editorial Board
      • Aims and Scope
      • Abstracting and Indexing
      • Bibliographic Information
      • Archive
    • International Journal of Functional Nutrition
      • International Journal of Functional Nutrition
      • Information for Authors
      • Editorial Policies
      • Editorial Board
      • Aims and Scope
      • Abstracting and Indexing
      • Bibliographic Information
      • Archive
    • International Journal of Epigenetics
      • International Journal of Epigenetics
      • Information for Authors
      • Editorial Policies
      • Editorial Board
      • Aims and Scope
      • Abstracting and Indexing
      • Bibliographic Information
      • Archive
    • Medicine International
      • Medicine International
      • Information for Authors
      • Editorial Policies
      • Editorial Board
      • Aims and Scope
      • Abstracting and Indexing
      • Bibliographic Information
      • Archive
  • Articles
  • Information
    • Information for Authors
    • Information for Reviewers
    • Information for Librarians
    • Information for Advertisers
    • Conferences
  • Language Editing
Spandidos Publications Logo
  • About
    • About Spandidos
    • Aims and Scopes
    • Abstracting and Indexing
    • Editorial Policies
    • Reprints and Permissions
    • Job Opportunities
    • Terms and Conditions
    • Contact
  • Journals
    • All Journals
    • Biomedical Reports
      • Information for Authors
      • Editorial Policies
      • Editorial Board
      • Aims and Scope
      • Abstracting and Indexing
      • Bibliographic Information
      • Archive
    • Experimental and Therapeutic Medicine
      • Information for Authors
      • Editorial Policies
      • Editorial Board
      • Aims and Scope
      • Abstracting and Indexing
      • Bibliographic Information
      • Archive
    • International Journal of Epigenetics
      • Information for Authors
      • Editorial Policies
      • Editorial Board
      • Aims and Scope
      • Abstracting and Indexing
      • Bibliographic Information
      • Archive
    • International Journal of Functional Nutrition
      • Information for Authors
      • Editorial Policies
      • Editorial Board
      • Aims and Scope
      • Abstracting and Indexing
      • Bibliographic Information
      • Archive
    • International Journal of Molecular Medicine
      • Information for Authors
      • Editorial Policies
      • Editorial Board
      • Aims and Scope
      • Abstracting and Indexing
      • Bibliographic Information
      • Archive
    • International Journal of Oncology
      • Information for Authors
      • Editorial Policies
      • Editorial Board
      • Aims and Scope
      • Abstracting and Indexing
      • Bibliographic Information
      • Archive
    • Medicine International
      • Information for Authors
      • Editorial Policies
      • Editorial Board
      • Aims and Scope
      • Abstracting and Indexing
      • Bibliographic Information
      • Archive
    • Molecular and Clinical Oncology
      • Information for Authors
      • Editorial Policies
      • Editorial Board
      • Aims and Scope
      • Abstracting and Indexing
      • Bibliographic Information
      • Archive
    • Molecular Medicine Reports
      • Information for Authors
      • Editorial Policies
      • Editorial Board
      • Aims and Scope
      • Abstracting and Indexing
      • Bibliographic Information
      • Archive
    • Oncology Letters
      • Information for Authors
      • Editorial Policies
      • Editorial Board
      • Aims and Scope
      • Abstracting and Indexing
      • Bibliographic Information
      • Archive
    • Oncology Reports
      • Information for Authors
      • Editorial Policies
      • Editorial Board
      • Aims and Scope
      • Abstracting and Indexing
      • Bibliographic Information
      • Archive
    • World Academy of Sciences Journal
      • Information for Authors
      • Editorial Policies
      • Editorial Board
      • Aims and Scope
      • Abstracting and Indexing
      • Bibliographic Information
      • Archive
  • Articles
  • Information
    • For Authors
    • For Reviewers
    • For Librarians
    • For Advertisers
    • Conferences
  • Language Editing
Login Register Submit
  • This site uses cookies
  • You can change your cookie settings at any time by following the instructions in our Cookie Policy. To find out more, you may read our Privacy Policy.

    I agree
Search articles by DOI, keyword, author or affiliation
Search
Advanced Search
presentation
Oncology Letters
Join Editorial Board Propose a Special Issue
Print ISSN: 1792-1074 Online ISSN: 1792-1082
Journal Cover
December-2023 Volume 26 Issue 6

Full Size Image

Sign up for eToc alerts
Recommend to Library

Journals

International Journal of Molecular Medicine

International Journal of Molecular Medicine

International Journal of Molecular Medicine is an international journal devoted to molecular mechanisms of human disease.

International Journal of Oncology

International Journal of Oncology

International Journal of Oncology is an international journal devoted to oncology research and cancer treatment.

Molecular Medicine Reports

Molecular Medicine Reports

Covers molecular medicine topics such as pharmacology, pathology, genetics, neuroscience, infectious diseases, molecular cardiology, and molecular surgery.

Oncology Reports

Oncology Reports

Oncology Reports is an international journal devoted to fundamental and applied research in Oncology.

Experimental and Therapeutic Medicine

Experimental and Therapeutic Medicine

Experimental and Therapeutic Medicine is an international journal devoted to laboratory and clinical medicine.

Oncology Letters

Oncology Letters

Oncology Letters is an international journal devoted to Experimental and Clinical Oncology.

Biomedical Reports

Biomedical Reports

Explores a wide range of biological and medical fields, including pharmacology, genetics, microbiology, neuroscience, and molecular cardiology.

Molecular and Clinical Oncology

Molecular and Clinical Oncology

International journal addressing all aspects of oncology research, from tumorigenesis and oncogenes to chemotherapy and metastasis.

World Academy of Sciences Journal

World Academy of Sciences Journal

Multidisciplinary open-access journal spanning biochemistry, genetics, neuroscience, environmental health, and synthetic biology.

International Journal of Functional Nutrition

International Journal of Functional Nutrition

Open-access journal combining biochemistry, pharmacology, immunology, and genetics to advance health through functional nutrition.

International Journal of Epigenetics

International Journal of Epigenetics

Publishes open-access research on using epigenetics to advance understanding and treatment of human disease.

Medicine International

Medicine International

An International Open Access Journal Devoted to General Medicine.

Journal Cover
December-2023 Volume 26 Issue 6

Full Size Image

Sign up for eToc alerts
Recommend to Library

  • Article
  • Citations
    • Cite This Article
    • Download Citation
    • Create Citation Alert
    • Remove Citation Alert
    • Cited By
  • Similar Articles
    • Related Articles (in Spandidos Publications)
    • Similar Articles (Google Scholar)
    • Similar Articles (PubMed)
  • Download PDF
  • Download XML
  • View XML
Case Report

Rare presentation of esophageal squamous cell carcinoma with rectal metastasis: A case report

  • Authors:
    • Mei Kang
    • Liyang Zhu
    • Mingwei Yang
    • Yin Zhang
    • Shiyu Wang
    • Yichun Wang
  • View Affiliations / Copyright

    Affiliations: Department of Radiation Oncology, First Affiliated Hospital of Anhui Medical University, Hefei, Anhui 230022, P.R. China, Department of Pathology, First Affiliated Hospital of Anhui Medical University, Hefei, Anhui 230022, P.R. China, Department of Radiology, First Affiliated Hospital of Anhui Medical University, Hefei, Anhui 230022, P.R. China
  • Article Number: 510
    |
    Published online on: October 12, 2023
       https://doi.org/10.3892/ol.2023.14097
  • Expand metrics +
Metrics: Total Views: 0 (Spandidos Publications: | PMC Statistics: )
Metrics: Total PDF Downloads: 0 (Spandidos Publications: | PMC Statistics: )
Cited By (CrossRef): 0 citations Loading Articles...

This article is mentioned in:



Abstract

Esophageal cancer is usually diagnosed at an advanced stage, resulting in poor survival. The common sites of distant metastasis include lung, liver and bones. The present study reports a rare case of esophageal squamous cell carcinoma (SCC) with rectal metastasis. A 65‑year‑old man was diagnosed with middle thoracic esophageal SCC with multiple lymph node metastasis. The patient achieved good response after chemoradiotherapy and adjuvant chemotherapy. During following up, the computed tomography and magnetic resonance scans showed a mass in front of the rectum with intact mucosa. Biopsies were performed and histopathological findings showed SCC, consistent with metastasis from primary esophageal SCC. The patient subsequently received palliative chemoradiotherapy to the rectal tumour and survived for 5 months. To the best of our knowledge, the present case is the first report of metastatic rectal SCC from the esophagus. It is important to take a biopsy of this unexpected lesion for histological analysis, which can help to discriminate metastatic from primary cancer. The goal of treatment is palliative therapy to improve quality of life and survival for this metastatic disease.

Introduction

Esophageal carcinoma (EC) is one of the leading causes of cancer-associated mortalities, and the majority of EC in China are squamous cell carcinoma (SCC) (1). The characteristics of esophageal SCC are quite different from those of esophageal adenocarcinoma (EAC). The gene expression of ESCC is most semblable to that of head and neck squamous cell carcinoma, while EAC is most semblable to gastric adenocarcinoma (2). Esophageal SCC predominate in the upper and middle third of the esophagus and are associated with nitrosamine compounds, hot food, smoking and alcohol exposure, etc.

The symptoms are usually not obvious in early stage of EC. Therefore, most patients are diagnosed with advanced disease, resulting in poor survival. The common sites of metastasis are the lymph node, lung, liver and bones. Certain unexpected sites have been reported, such as the skin, eyes, muscles and breasts (3). Metastasis to the pelvic cavity from esophageal SCC is extremely rare, and the clinical manifestations are not typical. The standards for the diagnosis of these unexpected sites are less established. The present study reports a rare case of esophageal squamous cell carcinoma (SCC) with rectal metastasis, which may help us to have a better understanding for this disease.

Case presentation

A 65-year-old man was admitted to the Department of Radiation Oncology, First Affiliated Hospital of Anhui Medical University (Hefei, China) with dysphagia for >1 month at March 2018. Esophagoscopic evaluation revealed a protruding lesion of esophageal wall located 25-cm from the incisors, precluding passage of the endoscope (Fig. 1A). Histopathological findings showed SCC after biopsy (Fig. 1B and C). The barium swallow showed irregular esophageal stricture and destruction of esophageal mucosa in the upper-middle segment (Fig. 1D). A thickened esophageal wall and an enlarged lymph node in the left supraclavicular area were found on computed tomography (CT) scans of the neck, chest and upper abdomen (Fig. 1E and F). Fine-needle aspiration biopsy of this lymph node was performed, and a diagnosis of SCC was rendered. After a systematic evaluation, the patient received definite intensity modulated radiotherapy (IMRT) with 64.0 Gy in 32 fractions and two concurrent cycles of chemotherapy with paclitaxel and platinum. In addition, 2 additional cycles of adjuvant chemotherapy using the same regimens were admitted thereafter.

Figure 1.

Esophageal squamous cell carcinoma with multiple lymph node metastases. (A) Endoscope showed a protrusion lesion of esophageal wall. Biopsy of esophageal lesions at a magnification of (B) ×100 and (C) ×400 showed middle differentiated squamous cell carcinoma (hematoxylin and eosin staining). (D) Barium esophagram demonstrated interruption and destruction of esophageal mucosa, and esophageal lumen stenosis. (E) Thickened esophageal wall on CT image. (F) An enlarged lymph node in station 104L. (G) Enlarged lymph node in station 7 on CT image. (H) Enlarged lymph nodes in station 13 and station 16a2 and (I) 16b1 on CT image. (J) Approximately normal esophageal mucosa after chemoradiotherapy. The arrows show the lesion locations. Lymph node stations based on Japanese Classification of Esophageal Cancer (4). CT, computed tomography.

The patient achieved a clinical complete response; however, 1 year later, numerous enlarged paraaortic lymph nodes with no symptoms were found by a follow-up CT scan (Fig. 1G-I). The esophageal mucosa was normal (Fig. 1J) and there were no signs of metastatic spread in other sites. The patient received IMRT with 50.0 Gy in 25 fractions to the retroperitoneal area and two cycles of chemotherapy with carboplatin and Tigeo capsule. Lymph node stations in the present study were based on the Japanese Classification of Esophageal Cancer of 11th edition (4).

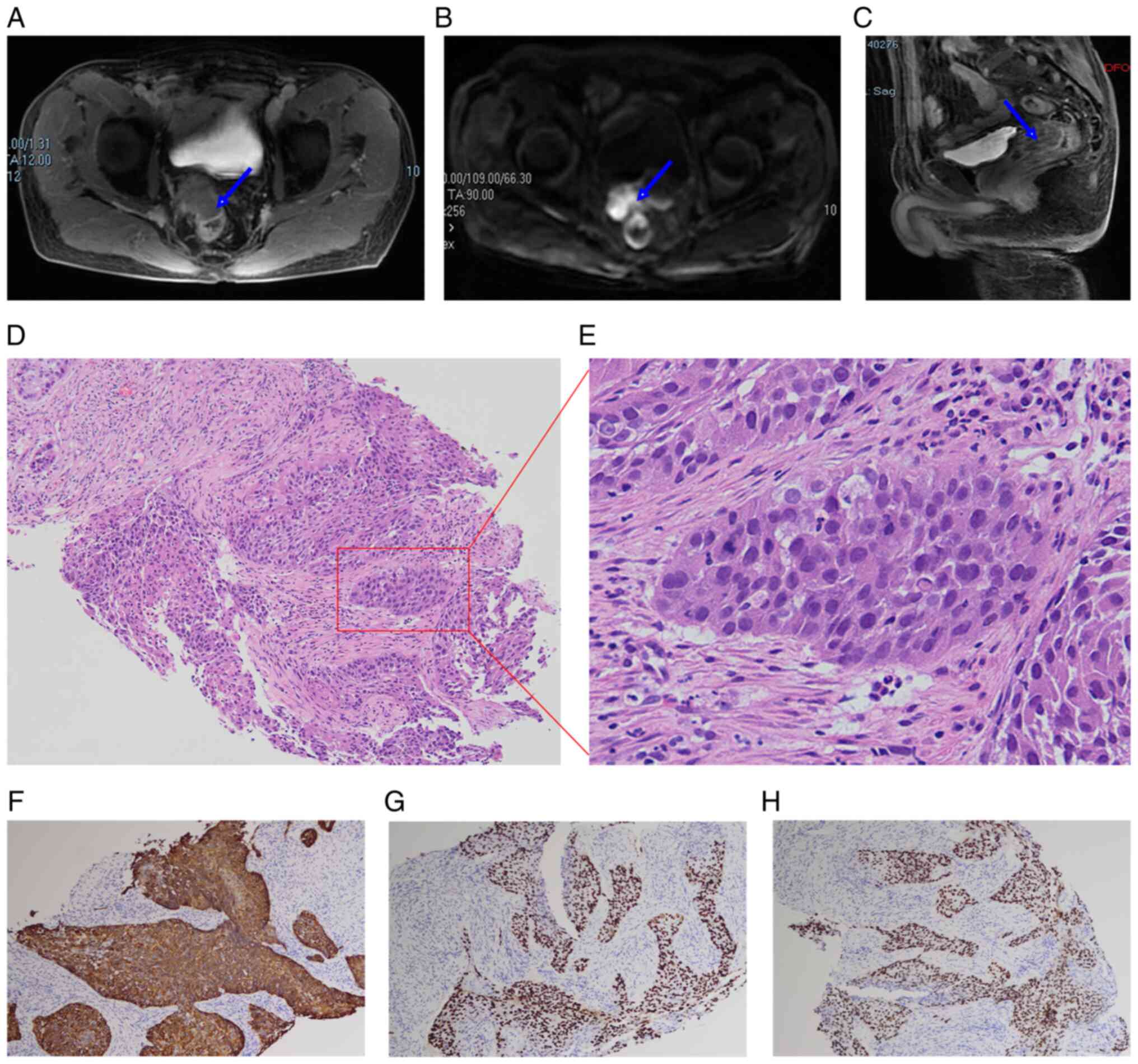
The patient was not followed up regularly and returned to the hospital 8 months later. A mass in front of the rectum was found by a follow-up CT scan at the People's Hospital of Huoqiu County (Huoqiu, China). There were no symptoms of discomfort. A pelvic enhanced magnetic resonance (MR) scan revealed a mass in front of the rectum on the right side without invasion of the rectal mucosa (Fig. 2A-C). Serum tumor makers indicated that his carcinoembryonic antigen (CEA) level was slightly elevated (6.1 ng/ml). To make a definite diagnosis, a transrectal ultrasound-guided biopsy of the mass instead of colonoscopy was performed because the rectal mucosa was intact on MR images. Histopathological findings showed SCC with identical cytomorphology to the primary esophageal tumour (Fig. 2D and E). Immunohistochemical findings include positive CK5/6, p40 and p63 staining (Fig. 2F-H) and negative CK7, CDX-2 and Villin staining, which was consistent with a metastatic lesion from esophageal SCC. A CT scan of the neck, chest and abdomen demonstrated no obvious residual tumour. After a discussion with the patient, palliative IMRT with 36.0 Gy in 18 fractions and a cycle of concurrent chemotherapy with the Tigeo capsule was administered. Further treatment was refused because of diarrhea and a decrease in platelets (32×109/l). After discharge, the patient died 5 months later. The treatment timeline was shown in Fig. 3.

Figure 2.

Magnetic resonance and histological results of the rectal mass. An irregular mass with intact mucosa anterior the middle rectum was shown on (A) transverse enhanced image, (B) transverse diffusion-weighted image and (C) sagittal enhanced image. The arrows show the lesion locations. Histopathological examination showed middle differentiated squamous cell carcinoma with identical cytomorphology to primary esophageal tumor at a magnification of (D) ×100 and (E) ×400 (hematoxylin and eosin staining). (F) Positive CK5/6, (G) p40 and (H) positive p63 staining. Magnification, ×100.

Figure 3.

Timeline of treatments. *Lymph node stations based on Japanese Classification of Esophageal Cancer. Cab, carboplatin; cCR, clinical complete response; CRT, chemoradiotherapy; CT, chemotherapy; DDP, platinum; Tax, paclitaxel; Tig, tigeo; LN, lymph node.

Discussion

EC is the seventh most common cancer and sixth most common cause of cancer-associated mortalities worldwide in 2020 (5). SCC and adenocarcinoma are the most common histological subtypes with quite different aetiologies (2). China has a high incidence rate, accounting for ~50% of the global total cases, and >90% of cases are SCC (1). Despite improvements in diagnosis and treatments, overall survival is still poor for EC. One important reason is that most patients are diagnosed at an advanced stage, making radical treatment difficult.

There are five main routes of metastasis for EC: i) Direct invasion; ii) lymphatic system; iii) hematogenous; iv) transperitoneal; and v) intraluminal implantation. The common metastatic sites are the lymph node, lungs, liver and bones. Occasionally, brain metastasis can be found in EC (6). Additionally, some unexpected sites have been reported, such as the skin, eyes, muscles and breasts (3). Table I summarizes the reported cases of colonic metastasis from esophageal SCC (7–14). To the best of our knowledge, rectal metastasis from esophageal SCC has not been previously reported.

Table I.

Published cases of colonic metastasis from esophageal squamous cell carcinoma.

Table I.

Published cases of colonic metastasis from esophageal squamous cell carcinoma.

Authors (year)Age, yearsSexLocationSymptomTreatmentSurvival from colonic metastasis(Refs.)
Iwase et al, 200451ManSigmoidBleedingChemotherapy1 year(7)
Shimada et al, 201464ManTransverseNoneResection2.5 months(8)
Hasegawa et al, 201577ManTransversePainResection2 months(9)
Garg et al, 201760ManAscendingBleedingRadiation6 months(10)
Fang et al, 201763ManSigmoidPain, nauseaUnknownUnknown(11)
Wiseman et al, 202071WomanRectosigmoidNoneRadiation6 months(12)
Chen et al, 202268ManAscendingNoneUnknownUnknown(13)
Zhang et al, 202273WomanTransverseNoneChemotherapyUnknown(14)

Although it is rare, primary rectal SCC can also be found, accounting for ~0.3% of all rectal cancer (15). The etiology of primary rectal SCC remains unclear, and the most prominent theory is chronic inflammation leading to squamous metaplasia and subsequent carcinoma (16). To diagnose primary rectal SCC, four criteria were proposed by researchers (15,17): i) Absence of SCC in any other organ that may spread directly to rectum; ii) the affected rectum should not be involved in any squamous-lined fistula tract; iii) exclusion of the tumor being from proximal extension of anal SCC; and iv) confirmation of SCC by histopathology.

Given that rectal cancer can be SCC, metastatic rectal SCC should be discriminated from primary rectal SCC. Primary rectal SCC lesions usually have an appearance of lesions infiltrating from the mucosa gradually to the deep wall of the rectum. Histologically, it is not possible to determine whether it is of rectal or metastatic origin based on morphological characteristics. Features that led to classifying the present case as metastasis included the intact overlying mucosa of the rectum and histological features identical to those of esophageal tumour cells.

Metastatic involvement of the rectum out from pelvic tumors is rare. There are cases of metastatic rectal cancer from breast cancer (18), gastroesophageal adenocarcinoma (19) and gastric cancer (20). The hematogenous spread of circulating tumour cells is a plausible explanation for these distant metastases. Due to the complex lymphatic drainage of the esophagus, lymphatic spread may be another potential explanation (21). In the present case, there were extensive abdominal lymph node metastases without involvement of common distant organs. Therefore, retrograde lymphatic spread of cancer cells to the rectum should be considered, as has been proposed in cases of a Krukenburg tumor (22).

A pelvic examination is not usually a part of the workup for EC (23). The present case may heighten the awareness of unexpected metastasis to the pelvis, especially for patients with extensive abdominal lymph node metastases. Positron emission tomography (PET) may be helpful in detecting these unusual metastases (9,11). It is a limitation that PET was not performed in the present case report. For rectal tumors, MRI can help to find the tumour location and morphology and identify its relationship with surrounding structures (24). Biopsy is requested to determine the histological type and molecular markers of the tumour.

For patients with stage IV ESCC, systematic therapy or palliative care is recommended based on the Karnofsky performance in the National Comprehensive Caner Network (NCCN) guidelines (25). To improve quality of life and survival, a multidisciplinary approach is usually needed. The present patient received chemoradiotherapy to the rectum because the well-controlled tumor in other sites after chemoradiotherapy. In recent years, immunotherapy with PD-1 inhibitors has demonstrated promising activity in recurrent or metastatic esophageal SCC (26,27).

To the best of our knowledge, the present case is the first report of esophageal SCC with middle rectal metastasis. It is of utmost importance to take a biopsy of this unexpected lesion for histological analysis, which can help to discriminate metastatic from primary cancer. The goal of treatment with multidisciplinary approach is palliative therapy to improve quality of life and survival for this metastatic disease.

Acknowledgements

Not applicable.

Funding

The present study was supported by University Natural Science Research Project of Anhui Province (grant no. KJ2021A0300).

Availability of data and materials

All data generated or analyzed during this study are available from the corresponding author on reasonable request.

Authors' contributions

YW contributed to the conception and design of the work. MK, LZ, SW and YZ collected the data and wrote the original draft. MK, MY and YW contributed to the interpretation of data. YW revised the manuscript. SW and YW confirm the authenticity of all the raw data. All authors read and approved the final manuscript.

Ethics approval and consent to participate

The present study was approved by the Ethics Committee of First Affiliated Hospital of Anhui Medical University, Hefei, China (approval no. PJ2023-10-39).

Patient consent for publication

Written informed consent was obtained from the patient for the publication of anonymized data and any accompanying images.

Competing interests

The authors declare that they have no competing interests.

References

1 

Li J, Xu J, Zheng Y, Gao Y, He S, Li H, Zou K, Li N, Tian J, Chen W and He J: Esophageal cancer: Epidemiology, risk factors and screening. Chin J Cancer Res. 33:535–547. 2021. View Article : Google Scholar : PubMed/NCBI

2 

Cancer Genome Atlas Research Network; Analysis Working Group: Asan University; BC Cancer Agency; Brigham and Women's Hospital; Broad Institute; Brown University; Case Western Reserve University; Dana-Farber Cancer Institute; Duke University, et al, . Integrated genomic characterization of oesophageal carcinoma. Nature. 541:169–175. 2017. View Article : Google Scholar : PubMed/NCBI

3 

Shaheen O, Ghibour A and Alsaid B: Esophageal cancer metastases to unexpected sites: A systematic review. Gastroenterol Res Pract. 2017:16573102017. View Article : Google Scholar : PubMed/NCBI

4 

Japan Esophageal Society, . Japanese Classification of Esophageal Cancer, 11th Edition: part I. Esophagus. 14:1–36. 2017. View Article : Google Scholar : PubMed/NCBI

5 

Sung H, Ferlay J, Siegel RL, Laversanne M, Soerjomataram I, Jemal A and Bray F: Global cancer statistics 2020: GLOBOCAN estimates of incidence and mortality worldwide for 36 cancers in 185 countries. CA Cancer J Clin. 71:209–249. 2021. View Article : Google Scholar : PubMed/NCBI

6 

Ai D, Zhu H, Ren W, Chen Y, Liu Q, Deng J, Ye J, Fan J and Zhao K: Patterns of distant organ metastases in esophageal cancer: A population-based study. J Thorac Dis. 9:3023–3030. 2017. View Article : Google Scholar : PubMed/NCBI

7 

Iwase H, Indo T, Shimada M, Tsuzuki T, Nakarai K, Kaida S, Doi R, Okeya M and Kato E: Esophageal cancer with colonic metastasis successfully treated by chemoradiotherapy followed by chemotherapy with S-1 and cisplatin. Int J Clin Oncol. 9:398–402. 2004. View Article : Google Scholar : PubMed/NCBI

8 

Shimada Y, Okumura T, Hojo S, Sukegawa K, Nagata T, Hayashi S and Tsukada K: Synchronous asymptomatic colonic metastasis from primary esophageal squamous cell carcinoma. J Surg Case Rep. 2014:rjt1172014. View Article : Google Scholar : PubMed/NCBI

9 

Hasegawa H, Oshikiri T, Yasuda T, Sumi Y, Fujino Y, Tominaga M and Kakeji Y: Colonic metastasis after resection of primary esophageal squamous cell carcinoma: report of a case. Esophagus. 12:383–386. 2015. View Article : Google Scholar

10 

Garg N, Stoehr C, Zhao YS, Rojas H and Hsueh CT: Metastatic squamous cell carcinoma of colon from esophageal cancer. Exp Hematol Oncol. 6:112017. View Article : Google Scholar : PubMed/NCBI

11 

Fang N, Wang YL, Zeng L, Wu ZJ and Liu LL: Colonic metastasis from esophageal squamous cell carcinoma demonstrated with 18F-FDG PET/CT. Clin Nucl Med. 42:456–457. 2017. View Article : Google Scholar : PubMed/NCBI

12 

Wiseman D, Ferri L, Lakatos PL, Fiset PO and Bessissow T: Esophageal squamous cell carcinoma with colonic metastases. ACG Case Rep J. 7:e003352020. View Article : Google Scholar : PubMed/NCBI

13 

Chen YH, Lin CY, Chen YT, Wu IC and Wang YK: Unusual metastases of esophageal squamous cell carcinoma. Clin Nucl Med. 47:354–356. 2022. View Article : Google Scholar : PubMed/NCBI

14 

Zhang Y, Dam A and Nakanishi Y: A case of esophageal squamous cell carcinoma metastasized to the colonic anastomotic site of right hemicolectomy. ACG Case Rep J. 9:e007332022. View Article : Google Scholar : PubMed/NCBI

15 

Astaras C, Bornand A and Koessler T: Squamous rectal carcinoma: A rare malignancy, literature review and management recommendations. ESMO Open. 6:1001802021. View Article : Google Scholar : PubMed/NCBI

16 

Vyas N, Ahmad S, Bhuiyan K, Catalano C, Alkhawam H, Sogomonian R, Nguyen J, Walfish A and Aron J: Primary squamous cell carcinoma of the rectum: A case report and literature review. J Community Hosp Intern Med Perspect. 6:317082016. View Article : Google Scholar : PubMed/NCBI

17 

Williams GT, Blackshaw AJ and Morson BC: Squamous carcinoma of the colorectum and its genesis. J Pathol. 129:139–147. 1979. View Article : Google Scholar : PubMed/NCBI

18 

Amin AA, Reddy A, Jha M and Prasad K: Rectal metastasis from breast cancer: An interval of 17 years. BMJ Case Rep. 2011:bcr01201136832011. View Article : Google Scholar : PubMed/NCBI

19 

Makker J, Karki N, Sapkota B, Niazi M and Remy P: rare presentation of gastroesophageal carcinoma with rectal metastasis: A case report. Am J Case Rep. 17:611–615. 2016. View Article : Google Scholar : PubMed/NCBI

20 

Watanabe Y, Iwamoto R, Kitagawa S, Kinoshita S, Ueno M, Mineta S, Okamoto Y, Uraoka M, Kubota H, Higashida M, et al: A resected case of rectal metastasis from gastric cancer. Gan To Kagaku Ryoho. 46:2378–2379. 2019.(In Japanese). PubMed/NCBI

21 

Wang Y, Zhu L, Xia W and Wang F: Anatomy of lymphatic drainage of the esophagus and lymph node metastasis of thoracic esophageal cancer. Cancer Manag Res. 10:6295–6303. 2018. View Article : Google Scholar : PubMed/NCBI

22 

Al-Agha OM and Nicastri AD: An in-depth look at Krukenberg tumor: An overview. Arch Pathol Lab Med. 130:1725–1730. 2006. View Article : Google Scholar : PubMed/NCBI

23 

Gollub MJ, Lefkowitz R, Moskowitz CS, Ilson D, Kelsen D and Felderman H: Pelvic CT in patients with esophageal cancer. AJR Am J Roentgenol. 184:487–490. 2005. View Article : Google Scholar : PubMed/NCBI

24 

Horvat N, Carlos Tavares Rocha C, Clemente Oliveira B, Petkovska I and Gollub MJ: MRI of rectal cancer: Tumor staging, imaging techniques, and management. Radiographics. 39:367–387. 2019. View Article : Google Scholar : PubMed/NCBI

25 

Ajani JA, D'Amico TA, Bentrem DJ, Cooke D, Corvera C, Das P, Enzinger PC, Enzler T, Farjah F, Gerdes H, et al: Esophageal and esophagogastric junction cancers, version 2.2023, NCCN clinical practice guidelines in oncology. J Natl Compr Canc Netw. 21:393–422. 2023. View Article : Google Scholar : PubMed/NCBI

26 

Sun JM, Shen L, Shah MA, Enzinger P, Adenis A, Doi T, Kojima T, Metges JP, Li Z, Kim SB, et al: Pembrolizumab plus chemotherapy versus chemotherapy alone for first-line treatment of advanced oesophageal cancer (KEYNOTE-590): A randomised, placebo-controlled, phase 3 study. Lancet. 398:759–771. 2021. View Article : Google Scholar : PubMed/NCBI

27 

Doki Y, Ajani JA, Kato K, Xu J, Wyrwicz L, Motoyama S, Ogata T, Kawakami H, Hsu CH, Adenis A, et al: Nivolumab combination therapy in advanced esophageal squamous-cell carcinoma. N Engl J Med. 386:449–462. 2022. View Article : Google Scholar : PubMed/NCBI

Related Articles

  • Abstract
  • View
  • Download
  • Twitter
Copy and paste a formatted citation
Spandidos Publications style
Kang M, Zhu L, Yang M, Zhang Y, Wang S and Wang Y: Rare presentation of esophageal squamous cell carcinoma with rectal metastasis: A case report. Oncol Lett 26: 510, 2023.
APA
Kang, M., Zhu, L., Yang, M., Zhang, Y., Wang, S., & Wang, Y. (2023). Rare presentation of esophageal squamous cell carcinoma with rectal metastasis: A case report. Oncology Letters, 26, 510. https://doi.org/10.3892/ol.2023.14097
MLA
Kang, M., Zhu, L., Yang, M., Zhang, Y., Wang, S., Wang, Y."Rare presentation of esophageal squamous cell carcinoma with rectal metastasis: A case report". Oncology Letters 26.6 (2023): 510.
Chicago
Kang, M., Zhu, L., Yang, M., Zhang, Y., Wang, S., Wang, Y."Rare presentation of esophageal squamous cell carcinoma with rectal metastasis: A case report". Oncology Letters 26, no. 6 (2023): 510. https://doi.org/10.3892/ol.2023.14097
Copy and paste a formatted citation
x
Spandidos Publications style
Kang M, Zhu L, Yang M, Zhang Y, Wang S and Wang Y: Rare presentation of esophageal squamous cell carcinoma with rectal metastasis: A case report. Oncol Lett 26: 510, 2023.
APA
Kang, M., Zhu, L., Yang, M., Zhang, Y., Wang, S., & Wang, Y. (2023). Rare presentation of esophageal squamous cell carcinoma with rectal metastasis: A case report. Oncology Letters, 26, 510. https://doi.org/10.3892/ol.2023.14097
MLA
Kang, M., Zhu, L., Yang, M., Zhang, Y., Wang, S., Wang, Y."Rare presentation of esophageal squamous cell carcinoma with rectal metastasis: A case report". Oncology Letters 26.6 (2023): 510.
Chicago
Kang, M., Zhu, L., Yang, M., Zhang, Y., Wang, S., Wang, Y."Rare presentation of esophageal squamous cell carcinoma with rectal metastasis: A case report". Oncology Letters 26, no. 6 (2023): 510. https://doi.org/10.3892/ol.2023.14097
Follow us
  • Twitter
  • LinkedIn
  • Facebook
About
  • Spandidos Publications
  • Careers
  • Cookie Policy
  • Privacy Policy
How can we help?
  • Help
  • Live Chat
  • Contact
  • Email to our Support Team