Spandidos Publications Logo
  • About
    • About Spandidos
    • Aims and Scopes
    • Abstracting and Indexing
    • Editorial Policies
    • Reprints and Permissions
    • Job Opportunities
    • Terms and Conditions
    • Contact
  • Journals
    • All Journals
    • Oncology Letters
      • Oncology Letters
      • Information for Authors
      • Editorial Policies
      • Editorial Board
      • Aims and Scope
      • Abstracting and Indexing
      • Bibliographic Information
      • Archive
    • International Journal of Oncology
      • International Journal of Oncology
      • Information for Authors
      • Editorial Policies
      • Editorial Board
      • Aims and Scope
      • Abstracting and Indexing
      • Bibliographic Information
      • Archive
    • Molecular and Clinical Oncology
      • Molecular and Clinical Oncology
      • Information for Authors
      • Editorial Policies
      • Editorial Board
      • Aims and Scope
      • Abstracting and Indexing
      • Bibliographic Information
      • Archive
    • Experimental and Therapeutic Medicine
      • Experimental and Therapeutic Medicine
      • Information for Authors
      • Editorial Policies
      • Editorial Board
      • Aims and Scope
      • Abstracting and Indexing
      • Bibliographic Information
      • Archive
    • International Journal of Molecular Medicine
      • International Journal of Molecular Medicine
      • Information for Authors
      • Editorial Policies
      • Editorial Board
      • Aims and Scope
      • Abstracting and Indexing
      • Bibliographic Information
      • Archive
    • Biomedical Reports
      • Biomedical Reports
      • Information for Authors
      • Editorial Policies
      • Editorial Board
      • Aims and Scope
      • Abstracting and Indexing
      • Bibliographic Information
      • Archive
    • Oncology Reports
      • Oncology Reports
      • Information for Authors
      • Editorial Policies
      • Editorial Board
      • Aims and Scope
      • Abstracting and Indexing
      • Bibliographic Information
      • Archive
    • Molecular Medicine Reports
      • Molecular Medicine Reports
      • Information for Authors
      • Editorial Policies
      • Editorial Board
      • Aims and Scope
      • Abstracting and Indexing
      • Bibliographic Information
      • Archive
    • World Academy of Sciences Journal
      • World Academy of Sciences Journal
      • Information for Authors
      • Editorial Policies
      • Editorial Board
      • Aims and Scope
      • Abstracting and Indexing
      • Bibliographic Information
      • Archive
    • International Journal of Functional Nutrition
      • International Journal of Functional Nutrition
      • Information for Authors
      • Editorial Policies
      • Editorial Board
      • Aims and Scope
      • Abstracting and Indexing
      • Bibliographic Information
      • Archive
    • International Journal of Epigenetics
      • International Journal of Epigenetics
      • Information for Authors
      • Editorial Policies
      • Editorial Board
      • Aims and Scope
      • Abstracting and Indexing
      • Bibliographic Information
      • Archive
    • Medicine International
      • Medicine International
      • Information for Authors
      • Editorial Policies
      • Editorial Board
      • Aims and Scope
      • Abstracting and Indexing
      • Bibliographic Information
      • Archive
  • Articles
  • Information
    • Information for Authors
    • Information for Reviewers
    • Information for Librarians
    • Information for Advertisers
    • Conferences
  • Language Editing
Spandidos Publications Logo
  • About
    • About Spandidos
    • Aims and Scopes
    • Abstracting and Indexing
    • Editorial Policies
    • Reprints and Permissions
    • Job Opportunities
    • Terms and Conditions
    • Contact
  • Journals
    • All Journals
    • Biomedical Reports
      • Information for Authors
      • Editorial Policies
      • Editorial Board
      • Aims and Scope
      • Abstracting and Indexing
      • Bibliographic Information
      • Archive
    • Experimental and Therapeutic Medicine
      • Information for Authors
      • Editorial Policies
      • Editorial Board
      • Aims and Scope
      • Abstracting and Indexing
      • Bibliographic Information
      • Archive
    • International Journal of Epigenetics
      • Information for Authors
      • Editorial Policies
      • Editorial Board
      • Aims and Scope
      • Abstracting and Indexing
      • Bibliographic Information
      • Archive
    • International Journal of Functional Nutrition
      • Information for Authors
      • Editorial Policies
      • Editorial Board
      • Aims and Scope
      • Abstracting and Indexing
      • Bibliographic Information
      • Archive
    • International Journal of Molecular Medicine
      • Information for Authors
      • Editorial Policies
      • Editorial Board
      • Aims and Scope
      • Abstracting and Indexing
      • Bibliographic Information
      • Archive
    • International Journal of Oncology
      • Information for Authors
      • Editorial Policies
      • Editorial Board
      • Aims and Scope
      • Abstracting and Indexing
      • Bibliographic Information
      • Archive
    • Medicine International
      • Information for Authors
      • Editorial Policies
      • Editorial Board
      • Aims and Scope
      • Abstracting and Indexing
      • Bibliographic Information
      • Archive
    • Molecular and Clinical Oncology
      • Information for Authors
      • Editorial Policies
      • Editorial Board
      • Aims and Scope
      • Abstracting and Indexing
      • Bibliographic Information
      • Archive
    • Molecular Medicine Reports
      • Information for Authors
      • Editorial Policies
      • Editorial Board
      • Aims and Scope
      • Abstracting and Indexing
      • Bibliographic Information
      • Archive
    • Oncology Letters
      • Information for Authors
      • Editorial Policies
      • Editorial Board
      • Aims and Scope
      • Abstracting and Indexing
      • Bibliographic Information
      • Archive
    • Oncology Reports
      • Information for Authors
      • Editorial Policies
      • Editorial Board
      • Aims and Scope
      • Abstracting and Indexing
      • Bibliographic Information
      • Archive
    • World Academy of Sciences Journal
      • Information for Authors
      • Editorial Policies
      • Editorial Board
      • Aims and Scope
      • Abstracting and Indexing
      • Bibliographic Information
      • Archive
  • Articles
  • Information
    • For Authors
    • For Reviewers
    • For Librarians
    • For Advertisers
    • Conferences
  • Language Editing
Login Register Submit
  • This site uses cookies
  • You can change your cookie settings at any time by following the instructions in our Cookie Policy. To find out more, you may read our Privacy Policy.

    I agree
Search articles by DOI, keyword, author or affiliation
Search
Advanced Search
presentation
Oncology Letters
Join Editorial Board Propose a Special Issue
Print ISSN: 1792-1074 Online ISSN: 1792-1082
Journal Cover
December-2023 Volume 26 Issue 6

Full Size Image

Sign up for eToc alerts
Recommend to Library

Journals

International Journal of Molecular Medicine

International Journal of Molecular Medicine

International Journal of Molecular Medicine is an international journal devoted to molecular mechanisms of human disease.

International Journal of Oncology

International Journal of Oncology

International Journal of Oncology is an international journal devoted to oncology research and cancer treatment.

Molecular Medicine Reports

Molecular Medicine Reports

Covers molecular medicine topics such as pharmacology, pathology, genetics, neuroscience, infectious diseases, molecular cardiology, and molecular surgery.

Oncology Reports

Oncology Reports

Oncology Reports is an international journal devoted to fundamental and applied research in Oncology.

Experimental and Therapeutic Medicine

Experimental and Therapeutic Medicine

Experimental and Therapeutic Medicine is an international journal devoted to laboratory and clinical medicine.

Oncology Letters

Oncology Letters

Oncology Letters is an international journal devoted to Experimental and Clinical Oncology.

Biomedical Reports

Biomedical Reports

Explores a wide range of biological and medical fields, including pharmacology, genetics, microbiology, neuroscience, and molecular cardiology.

Molecular and Clinical Oncology

Molecular and Clinical Oncology

International journal addressing all aspects of oncology research, from tumorigenesis and oncogenes to chemotherapy and metastasis.

World Academy of Sciences Journal

World Academy of Sciences Journal

Multidisciplinary open-access journal spanning biochemistry, genetics, neuroscience, environmental health, and synthetic biology.

International Journal of Functional Nutrition

International Journal of Functional Nutrition

Open-access journal combining biochemistry, pharmacology, immunology, and genetics to advance health through functional nutrition.

International Journal of Epigenetics

International Journal of Epigenetics

Publishes open-access research on using epigenetics to advance understanding and treatment of human disease.

Medicine International

Medicine International

An International Open Access Journal Devoted to General Medicine.

Journal Cover
December-2023 Volume 26 Issue 6

Full Size Image

Sign up for eToc alerts
Recommend to Library

  • Article
  • Citations
    • Cite This Article
    • Download Citation
    • Create Citation Alert
    • Remove Citation Alert
    • Cited By
  • Similar Articles
    • Related Articles (in Spandidos Publications)
    • Similar Articles (Google Scholar)
    • Similar Articles (PubMed)
  • Download PDF
  • Download XML
  • View XML

  • Supplementary Files
    • Supplementary_Data.pdf
Case Report Open Access

SMARCA4‑deficient non‑small cell lung cancer with an EGFR mutation: A case report

  • Authors:
    • Lijun Sun
    • Qiong Fu
    • Lijiang Chen
    • Meijuan Di
    • Jianhua Cao
  • View Affiliations / Copyright

    Affiliations: Department of Pathology, Xiaoshan Affiliated Hospital of Wenzhou Medical University, Hangzhou, Zhejiang 311200, P.R. China, Department of Respiratory Medicine, Xiaoshan Affiliated Hospital of Wenzhou Medical University, Hangzhou, Zhejiang 311200, P.R. China
    Copyright: © Sun et al. This is an open access article distributed under the terms of Creative Commons Attribution License.
  • Article Number: 513
    |
    Published online on: October 13, 2023
       https://doi.org/10.3892/ol.2023.14100
  • Expand metrics +
Metrics: Total Views: 0 (Spandidos Publications: | PMC Statistics: )
Metrics: Total PDF Downloads: 0 (Spandidos Publications: | PMC Statistics: )
Cited By (CrossRef): 0 citations Loading Articles...

This article is mentioned in:



Abstract

SWI/SNF‑related, matrix‑associated, actin‑dependent regulator of chromatin, subfamily a, member 4 (SMARCA4)‑deficient non‑small cell lung cancer (dNSCLC) is a rare malignant tumor that originates in the lungs. It occurs more frequently in male smokers, and the epidermal growth factor receptor (EGFR) gene is often mutation‑free. In the present study, the case of a 60‑year‑old, non‑smoking female patient diagnosed with SMARCA4‑dNSCLC is reported. Biopsy of the tumor showed solid flaky, nest‑like infiltrating growth. Immunohistochemistry revealed the following: SMARCA4/BRG1(‑), SMARCB1/INI‑1(+), cytokeratin7 (+), cytokeratin 5.2 (+), CK5/6(+) and calretinin(+). The Ki‑67 positivity index was 75%, and the thyroid transcription factor‑1, NapsinA, p40, nuclear protein in testis, CD34, Sal‑like protein 4, SRY‑box transcription factor 2 and synaptophysin were negative. Molecular analysis showed mutations in both EGFR and TP53. The pathological diagnosis was SMARCA4‑dNSCLC with an EGFR gene mutation. The present case report could be used for broadening the pathological diagnosis of SMARCA4‑dNSCLC and for selecting appropriate treatment approaches.

Introduction

SWI/SNF-related, matrix-associated, actin-dependent regulator of chromatin, subfamily a, member 4 (SMARCA4)- deficient non-small cell lung cancer (SMARCA4-dNSCLC) is an uncommon yet notable malignancy originating within the lung. The distinct characteristics of SMARCA4-dNSCLC were first proposed in 2017 by Agaimy et al (1) who highlighted the expression of cytokeratin 7 (CK7) and the loss of the BRG1 protein as the defining features of the disease. SMARCA4-dNSCLC is a rare subtype of NSCLC, exhibiting a distinctive combination of histomorphology, immunophenotype and molecular genetic attributes. Unlike classical lung adenocarcinoma, the primary driver genes implicated in SMARCA4-dNSCLC, as revealed by molecular detection tests, primarily involve SMARCA4, TP53, KRAS and STK11, while the more commonly associated driver genes like EGFR, ALK and ROS1 show no marked association (1).

Drawing from the collective insights of various retrospective studies (2–4), it is evident that SMARCA4-dNSCLC predominantly affects individuals ~60 years of age, with a male predilection and a notable history of prolonged smoking. A comprehensive literature review underscores the infrequent occurrence of EGFR mutations in SMARCA4-dNSCLC cases (1,5,6). In the present report, a case of SMARCA4-dNSCLC displaying an EGFR mutation is reported, a finding that carries notable implications for both pathologists and clinicians. The current case report further accentuates the intricate landscape of lung cancer subtypes and highlights the importance of a nuanced understanding of their molecular underpinnings to guide accurate diagnosis and tailored therapeutic approaches.

Case report

Case presentation

In January 2023, a 60-year-old female patient was admitted to Xiaoshan Affiliated Hospital of Wenzhou Medical University (Hangzhou, China). A ‘mass in the middle lobe of the right lung’ was found using a chest computed tomography (CT) scan after undergoing physical and radiological examinations for 2 days. The patient had undergone breast-conserving surgery >3 years before the publication of the present case report, and received postoperative radiotherapy for bilateral breast cancer (5 week cycles, with 2 Gy, 5 times a week, to a total of 50 Gy; 5 times to the tumor bed for a total of 30 times).

Physical examination

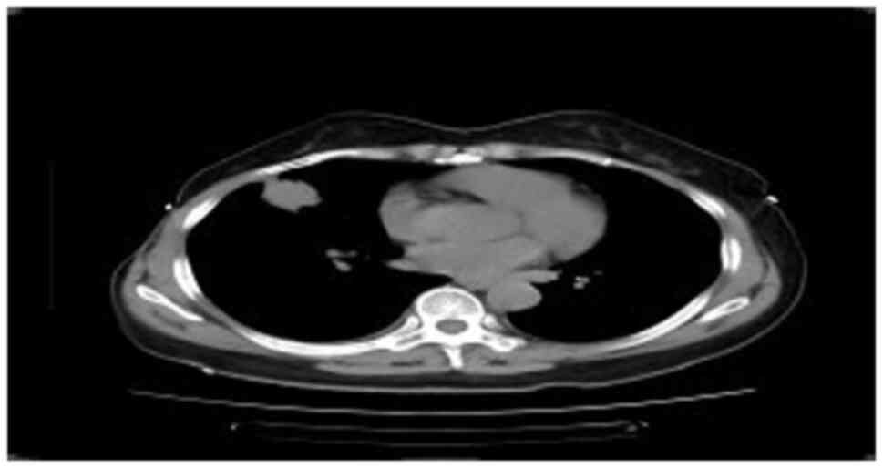
Chest CT (Fig. 1) revealed a mass in the middle lobe of the right lung, measuring ~3.1×2.8×2.8 cm in size, with small burrs and traction near the pleura. Multiple small nodules were observed in the right lung, and the diameter of the largest nodule was ~1.0 cm; no abnormalities of the cardiac shadow, mediastinum and bilateral hilum were observed. There was a small effusion in the right thoracic cavity along with local pleural thickening on the right side. In January 2023, ultrasound bronchoscopic biopsy was performed on the outer segment of the right middle lung. Positron emission tomography-CT examination, also carried out in January 2023, revealed a mass in the lateral segment of the right middle lobe of the lung, measuring ~3.5×2.5×2.5 cm in size, which was clear with no uniform boundary, and showed roughly uniform internal density, increased uptake of fluorodeoxyglucose (FDG), distal bronchus truncation in the lateral segment of the right middle lobe, and unclear boundary between the lesion and the adjacent pleura. A few fibrous cord shadows could be observed in the upper lobe of the lingual and base segments of the lower lobe of the left lung. No abnormal density lesions, such as nodules and masses, were observed in the remaining two lung fields, and no abnormal FDG metabolism was observed. Nodular thickening and increased FDG uptake were observed in the right pleura, including the lateral, interlobular fissure and diaphragmatic pleura. A small effusion in the right thoracic cavity was visible. Slightly larger lymph nodes were found in the right hilum of the lung and mediastinum behind the anterior tracheal vena cava and under the carina. The larger lymph nodes were located behind the anterior tracheal vena cava, with a diameterof~1.8cm and increased uptake of FDG.

Figure 1.

Chest computed tomography revealed a mass in the middle lobe of the right lung with small burrs and traction near the pleura.

Macro-examination

Five pieces of gray tissue were obtained with a total volume 0.3×0.2×0.1 cm. The texture of the tissue was soft.

Microscopic observations

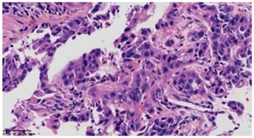
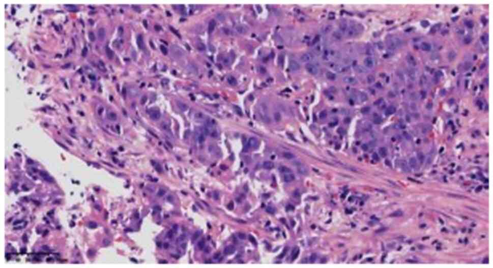
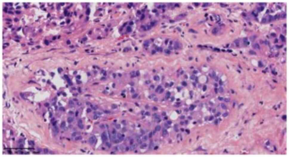
Tissues were fixed with 4% neutral formalin (12 h at 25°C) and embedded in paraffin. Continuous 4-µm thick tissue sections were prepared and stained with hematoxylin and eosin (8 h at 25°C) and EnVision immunohistochemical staining. The sections were viewed under a light microscope. In one of the fibrous tissues, the tumor cells showed solid flaky, nest-like infiltrating growth, with medium to large cells and some obvious nucleoli (Fig. 2). In the larger tumor cells, the cytoplasm was rich and partially acidophilus (Fig. 3), cell atypia was obvious, mitotic image was easy to observe, but no definite necrosis was identified, while the cytoplasm of the small focal cells showed light blue mucus (Fig. 4). Scattered lymphocyte infiltration was observed in the interstitium.

Figure 2.

Tumor cells showed solid flaky, nest-like infiltrating growth with medium to large cells and some obvious nucleoli (magnification, ×400; scale bar, 50 µm; H&E staining).

Figure 3.

In the larger tumor cells, the cytoplasm was rich and partially acidophilic (magnification, ×400; scale bar, 50 µm; H&E staining).

Figure 4.

Cytoplasm of small focal cells with light blue mucus (magnification, ×400; scale bar, 50 µm; H&E staining).

Immunohistochemistry

Staining was performed using the EnVision Systems method and the protocol was as follows: Unstained slides were placed in an oven at 60°C for 120 min, followed by dewaxing in xylene I, I and III, where Roman numerals indicate different amounts of 500-ml reagent cylinders, for 10 min per cylinder. The slides were washed in 100% ethanol I, 100% ethanol II and 95% ethanol for 3 min per bottle. 85 and 75% ethanol were used for 1 min per bottle, then tissues were rinsed with distilled water to complete hydration. The slides were placed in EDTA repair solution (cat. no. MVS-0099; pH 9.0; 1:50; Fuzhou MaixinBiotech Co., Ltd.) at 100°C for 20 min for antigen repair, washed with water after natural cooling, treated with 3% hydrogen peroxide solution for 10 min, and then rinsed with PBS. Primary antibody was added and incubated at room temperature for 40 min, then washed with PBS three times for 5 min each. Sheep anti-rat/Rabbit IgG polymer labeled with horseradish peroxidase (HRP)(cat. no. PV8000D; Beijing Zhongshan Jinqiao Biotechnology Co., Ltd.) was used for incubation at room temperature for 15 min. Washing was performed with PBS three times for 5 min each. DAB color developing solution (polymer method; cat. no. KIT-0014; 1:50; Fuzhou Maixin Biotech Co., Ltd.) was added and incubated at 25°C for 5–10 min, and then slides were washed with distilled water. Slides were redyed with hematoxylin for 1 min, washed with tap water, and turned blue in PBS solution. Subsequently, the slide was cleaned with 75% ethanol, 2 bottles of 500 ml 95% ethanol and 2 bottles of 500 ml 100% ethanol for 1 min each, in order to remove excess water and facilitate microscopic observation. Finally, they were placed in xylene solution I, II and III for 1 min each, sealed with neutral gum and observed under a light microscope. Tumor cells showed SMARCA4 (ready-to-use; clone EBV5B; cat. no. ZA-0673) deletion (Fig. 5), and positive results for SMARCB1 (ready-to-use; clone OTIR4G9; cat. no. ZA-0696) (Fig. 6), CK7 (ready-to-use; clone OV-TL12/30; cat. no. kit-0021) (Fig. 7), cytokeratin (CAM)5.2 (ready-to-use; clone CAM5.2; cat. no. ZM-0316) (Fig. S1), CK5/6 (ready-to-use; clone OTI1F8; cat. no. ZM-0313) (Fig. S2) and calretinin (ready-to-use; clone MX027; cat. no. MAB-0716) (Fig. S3). However, they were negative for thyroid transcription factor-1 (TTF-1) (1:200; clone SPT24; cat. no. ZM-0270) (Fig. S4), Napsin A (ready-to-use; clone IP64; cat. no. ZM-0473) (Fig. S5), p40 (ready-to-use; clone MXR010; cat. no.RMA-1006) (Fig. S6), Synaptophysin (SYN) (ready-to-use; clone EP158; cat. no. ZA-0506) (Fig. S7), Chromogranin A (CGA) (ready-to-use; clone MX018; cat. no. MAB-0707) (Fig. S8), SRY-box transcription factor 2 (SOX2) (ready-to-use; clone EP103; cat. no. ZA-0571) (Fig. S9), CD34 (ready-to-use; clone QBEnd/10; cat. no. kit-0004) (Fig. S10), Sal-like protein 4 (SALL4) (ready-to-use; clone 6E3; cat. no. ZM-0393) (Fig. S11), NUT (ready-to-use; clone C52B1; cat. no. ZA-0671) (Fig. S12), ALK (ready-to-use; clone 1A4; cat. no. ZM-0848) (Fig. S13), podoplanin (D2-40) (ready-to-use; clone D2-40; cat. no. ZM-0465) (Fig. S14), Wilm's tumor protein (WT-1) (ready-to-use; clone MX012; cat. no. MAB-0678) (Fig. S15), vimentin (ready-to-use; clone MX034; cat. no. MAB-0735) (Fig. S16), GATA binding protein 3 (GATA3) (ready-to-use; clone EP368; cat. no. ZA-0661) (Fig. S17) and estrogen receptor (ER) (ready-to-use; clone SP1; cat. no. kit-0012) (Fig. S18). Additionally, p63 (ready-to-use; clone UMAB4; cat. no. ZM-0406) (Fig. S19) was partially weakly positive, carcinoembryonic antigen (CEA) (ready-to-use; clone COL-1; cat. no. kit-0008) (Fig. S20) was focally positive, and the Ki-67 (1:200; clone UMAB107; cat. no. ZM-0166) (Fig. 8) positivity index was 75%. SMARCA4, SMARCB1, SALL4, SOX2, NUT, ALK, p63, D2-40, TTF-1, Napsin A, CK5/6, CAM5.2, Ki-67, SYN and GATA3 antibodies were purchased from Beijing Zhongshan Jinqiao Biotechnology Co., Ltd., and CR, WT-1, CD34, CEA, VIM, ER, CK7, CGA and p40 antibodies were purchased from Fuzhou Maixin Biotech Co., Ltd Molecular detection showed an L858R mutation in exon 21 of EGFR, mutation abundance of 11.59%, TP53 mutation, high tumor mutation load, no tumor microsatellite instability and no mutations in ALK, KRAS, ROS1 and STK11. Next-generation sequencing (NGS) had been previously performed by Beijing ACCB Biotech Ltd., and the NGS results were provided by the patient themselves.

Figure 5.

Tumor cells were negative for SWI/SNF-related, matrix-associated, actin-dependent regulator of chromatin, subfamily a, member 4 (magnification, ×200; scale bar, 100 µm).

Figure 6.

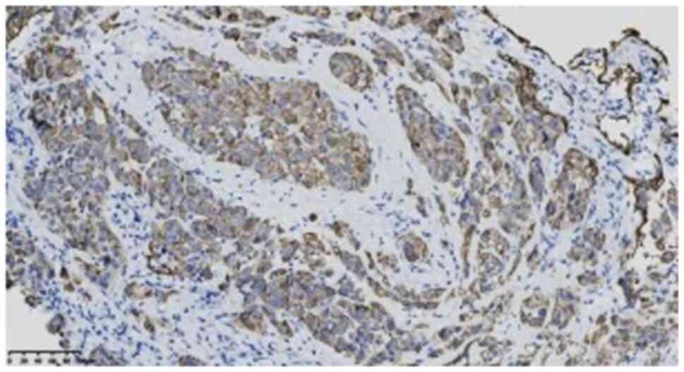
Tumor cells were positive for SWI/SNF-related, matrix-associated, actin-dependent regulator of chromatin, subfamily b, member 1 (magnification, ×200; scale bar, 100 µm).

Figure 7.

Tumor cells were positive for cytokeratin 7 (magnification, ×200; scale bar, 100 µm).

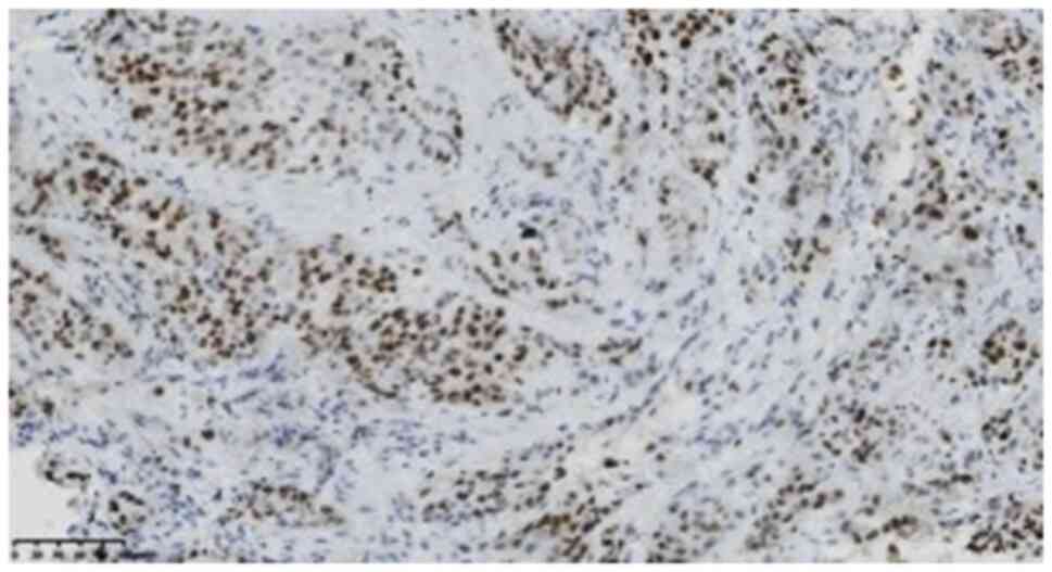
Figure 8.

Ki-67 labeling index was 75% (magnification, ×200; scale bar, 100 µm).

Pathological diagnosis

The final diagnosis was SMARCA4-dNSCLC with an L858R mutation in exon 21 of EGFR.

Follow-up

After molecular detection, the patient was treated with osimertinib (80 mg orally, once daily), the targeted drug for the EGFR mutation. At the publication of the present case report, the patient was in fair condition.

Discussion

SMARCA4 is a tumor suppressor gene, located at 19p13.2, encoding the BRG1 protein. This protein is one of the notable subunits of the SWI/SNF chromatin remodeling complex (7), which is involved in the chromatin remodeling process. Therefore, it is involved in marked cellular processes and in functional regulation, such as gene expression proliferation and differentiation, and inhibition of tumorigenesis (7,8). Mutations in the SWI/SNF complex have been detected in a variety of human tumors, and are most commonly found in SMARCA4 (9). In 2015, Le Loarer et al (10) first reported a group of chest tumors with absence of SMARCA4 expression, characterized by rhabdomyoid histology aggressiveness and poor prognosis, and the authors proposed the nomenclature ‘thoracicsarcoma with the absence of SMARCA4’. Subsequently, studies reported that 8–25% of SMARCA4 gene deletions occur in NSCLC, raising questions about whether these tumors are true sarcomas, undifferentiated or dedifferentiated carcinomas (2,5,11,12). Several studies have reported that SMARCA4-dNSCLC ranges from well-differentiated lung adenocarcinoma to poorly differentiated lung cancer, and most cases of SMARCA4-dNSCLC are poorly differentiated (1,3,13,14). Additionally, it has been reported that SMARCA4-dNSCLC often has areas of classic NSCLC as well as focal solid areas or a rhabdoid morphology (15).

In the present case, there was insufficient tissue for effective examination, and the cells appeared poorly differentiated under a light microscope (LEICA DM2000), showing solid flaky and nest-like infiltrating growth. There were no glandular, tubular and papillary structures, and a light blue mucus was visible in the cytoplasm of small focal cells, with AB/PAS positivity. Immunohistochemistry results revealed that CK7, CAM5.2, CK5/6, and SMARCB1 were positive, while SMARCA4 was negative. Molecular analysis indicated EGFR and TP53 mutations, suggesting epithelial differentiation of SMARCA4-dNSCLC, which can be distinguished from SMARCA4-deficient thoracic tumors. SMARCA4 deletion has been reported in 10.0, 9.8, 7.0, 3.7 and 2.7% of large cell neuroendocrine carcinomas, adenocarcinomas, NSCLCs, squamous cell and small cell carcinomas, respectively (14). Data from several large retrospective studies indicated that the median age of patients with SMARCA4-dNSCLC was ~60 years, and that they were predominantly male with a long history of smoking (2–4). A review of the literature revealed that EGFR mutations in SMARCA4-dNSCLC are rare (1,5,6). The largest number of cases reported is 4,813 from the Memorial Sloan-Kettering Cancer Center in the United States (5), among which ~8% (n=407) of cases had the SMARCA4 mutation. Among commonly altered genes in lung cancer, the most frequent co-occurring mutations with SMARCA4 alterations were in TP53 (56%), KEAP1 (41%), STK11 (39%) and KRAS (36%). A total of <4% of the 1,140 EGFR mutations were associated with SMARCA4 mutations (5). EGFR mutations are more common in non-smoking or light smoking Asian female patients with adenocarcinoma (16). Data from a study show that the mutation rate of EGFR in patients with lung cancer in China was 47.6%, which is notably higher than that in Western countries (16). However, EGFR mutations in patients with SMARCA4-dNSCLC have not been reported in China, and it is hypothesized that this finding is related to the small number of SMARCA4-dNSCLC cases reported in the country; additionally, most of the cases involve male patients. As the number of cases increases, reports of related mutated genes may accumulate. The patient of the present case report was a 60-year-old non-smoking female with a history of double breast cancer. Molecular analysis revealed an L858R mutation in exon 21 of EGFR. Whether the EGFR mutation in this patient with SMARCA4-dNSCLC is related to the bilateral breast cancer history is unclear. Therefore, more cases need to be reported due to the limited data currently available.

SMARCA4-dNSCLC should be distinguished from the following tumors: i) Solid lung adenocarcinoma: Tumor cells have solid flaky and nest-like structures, it is positive for CK7 and similar to SMARCA4-dNSCLC, but the former can generally be identified due to positive expressions of TTF-1 and Napsin A; ii) epithelioid malignant mesothelioma: Immunohistochemically, it can be distinguished due to it being WT-1, HMBE1 and D2-40 positive; iii) large cell carcinoma: The immunohistochemical expression of squamous cell carcinoma, adenocarcinoma and neuroendocrine carcinoma is often absent, while CK7 is diffusely positive with absent SMARCA4 in SMARCA4-dNSCLC; iv) large cell neuroendocrine carcinoma: It is positive for SYN, CGA, TTF-1 and CD56, and has no SMARCA4 deletion; v)SMARCA4-deficient thoracic tumor: A new category of tumors proposed in the 2021 edition of the WHO Thoracic Tumor Classification (5th edition) (17), defined by SMARCA4 deficiency, but can also involve expression of CD34, SOX2 and SALL4; CK is only weakly positive or focal positive, while CD34, SOX2 and SALL4 are negative, and diffusely strong positive expression of CK7 and CAM5.2 is also observed; vi) germ cell tumors: Most commonly occur in children and adolescents, and often express markers such as SALL4 and OCT3/4; vii) NUT cancer: No NUT expression is observed; and viii) metastatic SMARCA4 deletion tumors: Metastasis to other sites should be excluded by clinical examination; for example, there were no masses in other sites in the present case, Gata3 and ER were negative, and there was no SMARCA4 deletion in the primary breast cancer tissue as observed following immunohistochemical staining, thus, breast cancer metastasis could be excluded.

In summary, the histomorphological, immunohistochemical and molecular detection results of the current case support the diagnosis of SMARCA4-dNSCLC with an EGFR gene mutation. In terms of treatment, SMARCA4-dNSCLC is a newly proposed tumor, which usually lacks mutations in common genes such as EGFR, ALK and ROS1, and there is currently no unified standardized treatment plan. A study has shown that inhibitors such as PD-L1/PD1, EZH2 and CDK4/6 may be used for treatment (3), along with platinum-based chemotherapy (18). The patient of the present case report was a non-smoking female with SMARCA4-dNSCLC accompanied by an L858R mutation in exon 21 of EGFR. The efficacy of EGFR-targeted drug therapy in patients with SMARCA4-dNSCLC has not been reported, which may be related to the small number of reported cases of SMARCA4-dNSCLC, and most of the reported cases involved male smokers. Since the patient of the current case report had undergone bilateral breast cancer treatment 3 years ago, and considering the weakened physical endurance of the patient, the EGFR-targeted drug osimertinib was used for treatment for <1 month. The patient survived, but the evaluation of long-term efficacy of treatment requires continuous follow-up.

Supplementary Material

Supporting Data

Acknowledgements

Not applicable.

Funding

Funding: No funding was received.

Availability of data and materials

The datasets used and/or analyzed during the current study are available from the corresponding author on reasonable request.

Authors' contributions

LS and MD conceived the study idea and drafted the manuscript. JC and QF carried out data collection. LC interpreted the data and revised the manuscript. LS and MD confirm the authenticity of all the raw data. All authors have read and approved the final manuscript.

Ethics approval and consent to participate

Not applicable.

Patient consent for publication

The patient provided written informed consent for the case study to be published.

Competing interests

The authors declare that they have no competing interests.

Glossary

Abbreviations

Abbreviations:

SMARCA4-dNSCLC

SMARCA4-deficient non-small cell lung cancer

CT

computed tomography

FDG

fluorodeoxyglucose

References

1 

Agaimy A, Fuchs F, Moskalev EA, Sirbu H, Hartmann A and Haller F: SMARCA4-deficient pulmonary adenocarcinoma: Clinicopathological, immunohistochemical, and molecular characteristics of a novel aggressive neoplasm with a consistent TTF1neg/CK7pos/HepPar-1pos immunophenotype. Virchows Arch. 471:599–609. 2017. View Article : Google Scholar : PubMed/NCBI

2 

Dagogo-Jack I, Schrock AB, Kem M, Jessop N, Lee J, Ali SM, Ross JS, Lennerz JK, Shaw AT and Mino-Kenudson M: Clinicopathologic characteristics of BRG1-deficient NSCLC. J Thorac Oncol. 15:766–776. 2020. View Article : Google Scholar : PubMed/NCBI

3 

Naito T, Udagawa H, Umemura S, Sakai T, Zenke Y, Kirita K, Matsumoto S, Yoh K, Niho S, Tsuboi M, et al: Non-small cell lung cancer with loss of expression of the SWI/SNF complex is associated with aggressive clinicopathological features, PD-L1-positive status, and high tumor mutation burden. Lung Cancer. 138:35–42. 2019. View Article : Google Scholar : PubMed/NCBI

4 

Rekhtman N, Montecalvo J, Chang JC, Alex D, Ptashkin RN, Ai N, Sauter JL, Kezlarian B, Jungbluth A, Desmeules P, et al: SMARCA4-deficient thoracic sarcomatoid tumors represent primarily smoking-related undifferentiated carcinomas rather than primary thoracic sarcomas. J Thorac Oncol. 15:231–247. 2020. View Article : Google Scholar : PubMed/NCBI

5 

Schoenfeld AJ, Bandlamudi C, Lavery JA, Montecalvo J, Namakydoust A, Rizvi H, Egger J, Concepcion CP, Paul S, Arcila ME, et al: The Genomic landscape of SMARCA4 alterations and associations with outcomes in patients with lung cancer. Clin Cancer Res. 26:5701–5708. 2020. View Article : Google Scholar : PubMed/NCBI

6 

Sui YX, Jin L, Guo GD, Luo M, Qin XY, You LS and Chen LF: Clinicopathological analysis of the SMARCA4-deficient non-small cell lung carcinoma. Zhonghua Bing Li Xue Za Zhi. 50:1366–1368. 2021.(In Chinese). PubMed/NCBI

7 

St Pierre R and Kadoch C: Mammalian SWI/SNF complexes in cancer: Emerging therapeutic opportunities. Curr Opin Genet Dev. 42:56–67. 2017. View Article : Google Scholar : PubMed/NCBI

8 

Masliah-Planchon J, Bièche I, Guinebretière JM, Bourdeaut F and Delattre O: SWI/SNF chromatin remodeling and human malignancies. Annu Rev Pathol. 10:145–171. 2015. View Article : Google Scholar : PubMed/NCBI

9 

Abou Alaiwi S, Nassar AH, Xie W, Bakouny Z, Berchuck JE, Braun DA, Baca SC, Nuzzo PV, Flippot R, Mouhieddine TH, et al: Mammalian SWI/SNF complex genomic alterations and immune checkpoint blockade in solid tumors. Cancer Immunol Res. 8:1075–1084. 2020. View Article : Google Scholar : PubMed/NCBI

10 

Le Loarer F, Watson S, Pierron G, de Montpreville VT, Ballet S, Firmin N, Auguste A, Pissaloux D, Boyault S, Paindavoine S, et al: SMARCA4 inactivation defines a group of undifferentiated thoracic malignancies transcriptionally related to BAF-deficient sarcomas. Nat Genet. 47:1200–1205. 2015. View Article : Google Scholar : PubMed/NCBI

11 

Fernando TM, Piskol R, Bainer R, Sokol ES, Trabucco SE, Zhang Q, Trinh H, Maund S, Kschonsak M, Chaudhuri S, et al: Functional characterization of SMARCA4 variants identified by targeted exome-sequencing of 131,668 cancer patients. Nat Commun. 11:55512020. View Article : Google Scholar : PubMed/NCBI

12 

La Fleur L, Falk-Sörqvist E, Smeds P, Berglund A, Sundström M, Mattsson JS, Brandén E, Koyi H, Isaksson J, Brunnström H, et al: Mutation patterns in a population-based non-small cell lung cancer cohort and prognostic impact of concomitant mutations in KRAS and TP53 or STK11. Lung Cancer. 130:50–58. 2019. View Article : Google Scholar : PubMed/NCBI

13 

Herpel E, Rieker RJ, Dienemann H, Muley T, Meister M, Hartmann A, Warth A and Agaimy A: SMARCA4 and SMARCA2 deficiency in non-small cell lung cancer: Immunohistochemical survey of 316 consecutive specimens. Ann Diagn Pathol. 26:47–51. 2017. View Article : Google Scholar : PubMed/NCBI

14 

Nambirajan A, Singh V, Bhardwaj N, Mittal S, Kumar S and Jain D: SMARCA4/BRG1-deficient non-small cell lung carcinomas: A case series and review of the literature. Arch Pathol Lab Med. 145:90–98. 2021. View Article : Google Scholar : PubMed/NCBI

15 

Jin YP, Wang L, Wang Y, Wu DY, Zhang H and Xia QX: [Gastric SWI/SNF complex deletion-associated undifferentiated carcinoma with rhabdoid phenotype: A clinicopathological and molecular analysis]. Zhonghua Bing Li Xue Za Zhi. 51:1229–1234. 2022.(In Chinese). PubMed/NCBI

16 

Liu SY, Mok T and Wu YL: Novel targeted agents for the treatment of lung cancer in China. Cancer. 121 (Suppl 17):S3089–S3096. 2015. View Article : Google Scholar

17 

Tsao MS, Nicholson AG, Maleszewski JJ, Marx A and Travis WD: Introduction to 2021 WHO classification of thoracic tumors. J Thorac Oncol. 17:e1–e4. 2022. View Article : Google Scholar : PubMed/NCBI

18 

Bell EH, Chakraborty AR, Mo X, Liu Z, Shilo K, Kirste S, Stegmaier P, McNulty M, Karachaliou N, Rosell R, et al: SMARCA4/BRG1 is a novel prognostic biomarker predictive of cisplatin-based chemotherapy outcomes in resected non-small cell lung cancer. Clin Cancer Res. 22:2396–2404. 2016. View Article : Google Scholar : PubMed/NCBI

Related Articles

  • Abstract
  • View
  • Download
  • Twitter
Copy and paste a formatted citation
Spandidos Publications style
Sun L, Fu Q, Chen L, Di M and Cao J: SMARCA4‑deficient non‑small cell lung cancer with an <em>EGFR</em> mutation: A case report. Oncol Lett 26: 513, 2023.
APA
Sun, L., Fu, Q., Chen, L., Di, M., & Cao, J. (2023). SMARCA4‑deficient non‑small cell lung cancer with an <em>EGFR</em> mutation: A case report. Oncology Letters, 26, 513. https://doi.org/10.3892/ol.2023.14100
MLA
Sun, L., Fu, Q., Chen, L., Di, M., Cao, J."SMARCA4‑deficient non‑small cell lung cancer with an <em>EGFR</em> mutation: A case report". Oncology Letters 26.6 (2023): 513.
Chicago
Sun, L., Fu, Q., Chen, L., Di, M., Cao, J."SMARCA4‑deficient non‑small cell lung cancer with an <em>EGFR</em> mutation: A case report". Oncology Letters 26, no. 6 (2023): 513. https://doi.org/10.3892/ol.2023.14100
Copy and paste a formatted citation
x
Spandidos Publications style
Sun L, Fu Q, Chen L, Di M and Cao J: SMARCA4‑deficient non‑small cell lung cancer with an <em>EGFR</em> mutation: A case report. Oncol Lett 26: 513, 2023.
APA
Sun, L., Fu, Q., Chen, L., Di, M., & Cao, J. (2023). SMARCA4‑deficient non‑small cell lung cancer with an <em>EGFR</em> mutation: A case report. Oncology Letters, 26, 513. https://doi.org/10.3892/ol.2023.14100
MLA
Sun, L., Fu, Q., Chen, L., Di, M., Cao, J."SMARCA4‑deficient non‑small cell lung cancer with an <em>EGFR</em> mutation: A case report". Oncology Letters 26.6 (2023): 513.
Chicago
Sun, L., Fu, Q., Chen, L., Di, M., Cao, J."SMARCA4‑deficient non‑small cell lung cancer with an <em>EGFR</em> mutation: A case report". Oncology Letters 26, no. 6 (2023): 513. https://doi.org/10.3892/ol.2023.14100
Follow us
  • Twitter
  • LinkedIn
  • Facebook
About
  • Spandidos Publications
  • Careers
  • Cookie Policy
  • Privacy Policy
How can we help?
  • Help
  • Live Chat
  • Contact
  • Email to our Support Team