Spandidos Publications Logo
  • About
    • About Spandidos
    • Aims and Scopes
    • Abstracting and Indexing
    • Editorial Policies
    • Reprints and Permissions
    • Job Opportunities
    • Terms and Conditions
    • Contact
  • Journals
    • All Journals
    • Oncology Letters
      • Oncology Letters
      • Information for Authors
      • Editorial Policies
      • Editorial Board
      • Aims and Scope
      • Abstracting and Indexing
      • Bibliographic Information
      • Archive
    • International Journal of Oncology
      • International Journal of Oncology
      • Information for Authors
      • Editorial Policies
      • Editorial Board
      • Aims and Scope
      • Abstracting and Indexing
      • Bibliographic Information
      • Archive
    • Molecular and Clinical Oncology
      • Molecular and Clinical Oncology
      • Information for Authors
      • Editorial Policies
      • Editorial Board
      • Aims and Scope
      • Abstracting and Indexing
      • Bibliographic Information
      • Archive
    • Experimental and Therapeutic Medicine
      • Experimental and Therapeutic Medicine
      • Information for Authors
      • Editorial Policies
      • Editorial Board
      • Aims and Scope
      • Abstracting and Indexing
      • Bibliographic Information
      • Archive
    • International Journal of Molecular Medicine
      • International Journal of Molecular Medicine
      • Information for Authors
      • Editorial Policies
      • Editorial Board
      • Aims and Scope
      • Abstracting and Indexing
      • Bibliographic Information
      • Archive
    • Biomedical Reports
      • Biomedical Reports
      • Information for Authors
      • Editorial Policies
      • Editorial Board
      • Aims and Scope
      • Abstracting and Indexing
      • Bibliographic Information
      • Archive
    • Oncology Reports
      • Oncology Reports
      • Information for Authors
      • Editorial Policies
      • Editorial Board
      • Aims and Scope
      • Abstracting and Indexing
      • Bibliographic Information
      • Archive
    • Molecular Medicine Reports
      • Molecular Medicine Reports
      • Information for Authors
      • Editorial Policies
      • Editorial Board
      • Aims and Scope
      • Abstracting and Indexing
      • Bibliographic Information
      • Archive
    • World Academy of Sciences Journal
      • World Academy of Sciences Journal
      • Information for Authors
      • Editorial Policies
      • Editorial Board
      • Aims and Scope
      • Abstracting and Indexing
      • Bibliographic Information
      • Archive
    • International Journal of Functional Nutrition
      • International Journal of Functional Nutrition
      • Information for Authors
      • Editorial Policies
      • Editorial Board
      • Aims and Scope
      • Abstracting and Indexing
      • Bibliographic Information
      • Archive
    • International Journal of Epigenetics
      • International Journal of Epigenetics
      • Information for Authors
      • Editorial Policies
      • Editorial Board
      • Aims and Scope
      • Abstracting and Indexing
      • Bibliographic Information
      • Archive
    • Medicine International
      • Medicine International
      • Information for Authors
      • Editorial Policies
      • Editorial Board
      • Aims and Scope
      • Abstracting and Indexing
      • Bibliographic Information
      • Archive
  • Articles
  • Information
    • Information for Authors
    • Information for Reviewers
    • Information for Librarians
    • Information for Advertisers
    • Conferences
  • Language Editing
Spandidos Publications Logo
  • About
    • About Spandidos
    • Aims and Scopes
    • Abstracting and Indexing
    • Editorial Policies
    • Reprints and Permissions
    • Job Opportunities
    • Terms and Conditions
    • Contact
  • Journals
    • All Journals
    • Biomedical Reports
      • Information for Authors
      • Editorial Policies
      • Editorial Board
      • Aims and Scope
      • Abstracting and Indexing
      • Bibliographic Information
      • Archive
    • Experimental and Therapeutic Medicine
      • Information for Authors
      • Editorial Policies
      • Editorial Board
      • Aims and Scope
      • Abstracting and Indexing
      • Bibliographic Information
      • Archive
    • International Journal of Epigenetics
      • Information for Authors
      • Editorial Policies
      • Editorial Board
      • Aims and Scope
      • Abstracting and Indexing
      • Bibliographic Information
      • Archive
    • International Journal of Functional Nutrition
      • Information for Authors
      • Editorial Policies
      • Editorial Board
      • Aims and Scope
      • Abstracting and Indexing
      • Bibliographic Information
      • Archive
    • International Journal of Molecular Medicine
      • Information for Authors
      • Editorial Policies
      • Editorial Board
      • Aims and Scope
      • Abstracting and Indexing
      • Bibliographic Information
      • Archive
    • International Journal of Oncology
      • Information for Authors
      • Editorial Policies
      • Editorial Board
      • Aims and Scope
      • Abstracting and Indexing
      • Bibliographic Information
      • Archive
    • Medicine International
      • Information for Authors
      • Editorial Policies
      • Editorial Board
      • Aims and Scope
      • Abstracting and Indexing
      • Bibliographic Information
      • Archive
    • Molecular and Clinical Oncology
      • Information for Authors
      • Editorial Policies
      • Editorial Board
      • Aims and Scope
      • Abstracting and Indexing
      • Bibliographic Information
      • Archive
    • Molecular Medicine Reports
      • Information for Authors
      • Editorial Policies
      • Editorial Board
      • Aims and Scope
      • Abstracting and Indexing
      • Bibliographic Information
      • Archive
    • Oncology Letters
      • Information for Authors
      • Editorial Policies
      • Editorial Board
      • Aims and Scope
      • Abstracting and Indexing
      • Bibliographic Information
      • Archive
    • Oncology Reports
      • Information for Authors
      • Editorial Policies
      • Editorial Board
      • Aims and Scope
      • Abstracting and Indexing
      • Bibliographic Information
      • Archive
    • World Academy of Sciences Journal
      • Information for Authors
      • Editorial Policies
      • Editorial Board
      • Aims and Scope
      • Abstracting and Indexing
      • Bibliographic Information
      • Archive
  • Articles
  • Information
    • For Authors
    • For Reviewers
    • For Librarians
    • For Advertisers
    • Conferences
  • Language Editing
Login Register Submit
  • This site uses cookies
  • You can change your cookie settings at any time by following the instructions in our Cookie Policy. To find out more, you may read our Privacy Policy.

    I agree
Search articles by DOI, keyword, author or affiliation
Search
Advanced Search
presentation
Oncology Letters
Join Editorial Board Propose a Special Issue
Print ISSN: 1792-1074 Online ISSN: 1792-1082
Journal Cover
June-2024 Volume 27 Issue 6

Full Size Image

Sign up for eToc alerts
Recommend to Library

Journals

International Journal of Molecular Medicine

International Journal of Molecular Medicine

International Journal of Molecular Medicine is an international journal devoted to molecular mechanisms of human disease.

International Journal of Oncology

International Journal of Oncology

International Journal of Oncology is an international journal devoted to oncology research and cancer treatment.

Molecular Medicine Reports

Molecular Medicine Reports

Covers molecular medicine topics such as pharmacology, pathology, genetics, neuroscience, infectious diseases, molecular cardiology, and molecular surgery.

Oncology Reports

Oncology Reports

Oncology Reports is an international journal devoted to fundamental and applied research in Oncology.

Experimental and Therapeutic Medicine

Experimental and Therapeutic Medicine

Experimental and Therapeutic Medicine is an international journal devoted to laboratory and clinical medicine.

Oncology Letters

Oncology Letters

Oncology Letters is an international journal devoted to Experimental and Clinical Oncology.

Biomedical Reports

Biomedical Reports

Explores a wide range of biological and medical fields, including pharmacology, genetics, microbiology, neuroscience, and molecular cardiology.

Molecular and Clinical Oncology

Molecular and Clinical Oncology

International journal addressing all aspects of oncology research, from tumorigenesis and oncogenes to chemotherapy and metastasis.

World Academy of Sciences Journal

World Academy of Sciences Journal

Multidisciplinary open-access journal spanning biochemistry, genetics, neuroscience, environmental health, and synthetic biology.

International Journal of Functional Nutrition

International Journal of Functional Nutrition

Open-access journal combining biochemistry, pharmacology, immunology, and genetics to advance health through functional nutrition.

International Journal of Epigenetics

International Journal of Epigenetics

Publishes open-access research on using epigenetics to advance understanding and treatment of human disease.

Medicine International

Medicine International

An International Open Access Journal Devoted to General Medicine.

Journal Cover
June-2024 Volume 27 Issue 6

Full Size Image

Sign up for eToc alerts
Recommend to Library

  • Article
  • Citations
    • Cite This Article
    • Download Citation
    • Create Citation Alert
    • Remove Citation Alert
    • Cited By
  • Similar Articles
    • Related Articles (in Spandidos Publications)
    • Similar Articles (Google Scholar)
    • Similar Articles (PubMed)
  • Download PDF
  • Download XML
  • View XML
Case Report Open Access

Metastasis to the bladder from primary breast cancer: A case report and literature review

  • Authors:
    • Hanli Zhou
    • Danna Liu
    • Lu Chen
    • Yujie Zhang
    • Xiaoli Zhao
    • Yongchao Ge
    • Mengmeng Liu
    • Tiandong Kong
  • View Affiliations / Copyright

    Affiliations: Department of Oncology, Cancer Hospital of Henan University, The Third People's Hospital of Zhengzhou, Zhengzhou, Henan 450000, P.R. China, Department of Pharmacy, Cancer Hospital of Henan University, The Third People's Hospital of Zhengzhou, Zhengzhou, Henan 450000, P.R. China, Department of Urology, Cancer Hospital of Henan University, The Third People's Hospital of Zhengzhou, Zhengzhou, Henan 450000, P.R. China, Department of Pathology, Cancer Hospital of Henan University, The Third People's Hospital of Zhengzhou, Zhengzhou, Henan 450000, P.R. China
    Copyright: © Zhou et al. This is an open access article distributed under the terms of Creative Commons Attribution License.
  • Article Number: 249
    |
    Published online on: April 5, 2024
       https://doi.org/10.3892/ol.2024.14382
  • Expand metrics +
Metrics: Total Views: 0 (Spandidos Publications: | PMC Statistics: )
Metrics: Total PDF Downloads: 0 (Spandidos Publications: | PMC Statistics: )
Cited By (CrossRef): 0 citations Loading Articles...

This article is mentioned in:



Abstract

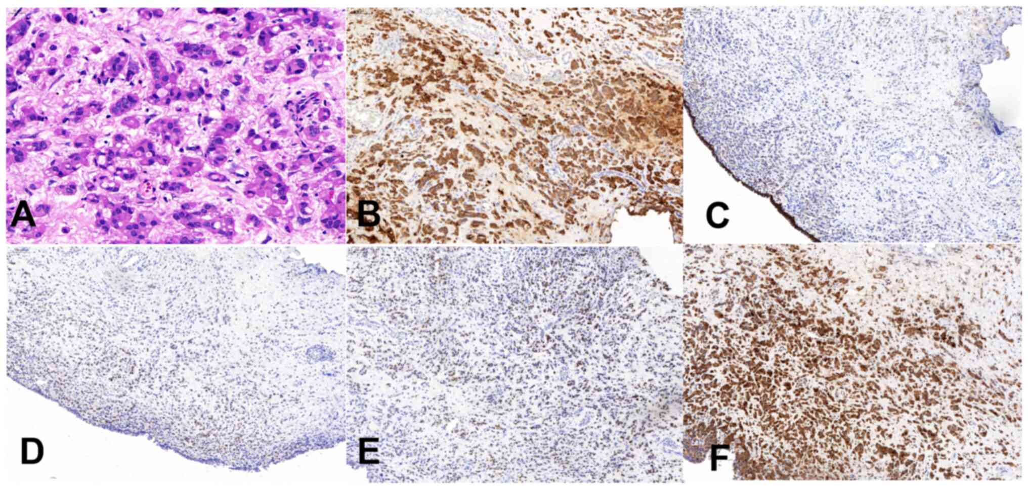
Breast cancer is the most prevalent malignant tumor affecting women and represents the leading cause of female cancer‑related mortality worldwide. Although distant organ metastasis accounts for the majority of breast cancer‑related deaths, reports on bladder metastasis are limited in the existing literature. The present study describes the case of a patient with bladder metastasis originating from breast cancer. In addition, the present study also provides a review of 54 cases of similar disease that have been documented in the currently available literature. The literature review aims to elucidate the clinicopathological characteristics and therapeutic approaches for such conditions. The median time from breast cancer diagnosis to bladder metastasis was found to be 5.6 years (range, 0‑28 years). The origin of the bladder metastases was predominantly invasive ductal carcinoma (IDC) accounting for 52.3% of cases, followed by invasive lobular carcinoma, accounting for 40.9% of cases. The pathology in the primary tumor was the same as the pathology of the bladder metastases in all cases. There was an 88.9% concordance rate for estrogen receptor status, while the progesterone receptor status was 83.3% and the human epidermal growth factor receptor 2 expression status was 100%. The primary initial symptoms included urinary system manifestations, such as increased frequency, urgency, dysuria, urinary incontinence, nocturia and gross hematuria. For the cystoscopic examination, the predominant findings were bladder wall thickening or masses, along with ureteral orifice masses. Overall, the present study demonstrated that the occurrence of bladder metastasis often follows the metastasis of other organs, with IDC being the most prevalent subtype. The pathological characteristics between the primary tumor and bladder metastasis exhibit a high degree of concordance.
View Figures

Figure 1

Figure 2

Figure 3

View References

1 

Katsura C, Ogunmwonyi I, Kankam HK and Saha S: Breast cancer: Presentation, investigation and management. Br J Hosp Med (Lond). 83:1–7. 2022. View Article : Google Scholar : PubMed/NCBI

2 

Arnold M, Morgan E, Rumgay H, Mafra A, Singh D, Laversanne M, Vignat J, Gralow JR, Cardoso F, Siesling S and Soerjomataram I: Current and future burden of breast cancer: Global statistics for 2020 and 2040. Breast. 66:15–23. 2022. View Article : Google Scholar : PubMed/NCBI

3 

Peng Z, Wei J, Lu X, Zheng H, Zhong X, Gao W, Chen Y and Jing J: Treatment and survival patterns of Chinese patients diagnosed with breast cancer between 2005 and 2009 in Southwest China: An observational, population-based cohort study. Medicine (Baltimore). 95:e38652016. View Article : Google Scholar : PubMed/NCBI

4 

Lou Z, Fei X, Christakos G, Yan J and Wu J: Improving spatiotemporal breast cancer assessment and prediction in Hangzhou City, China. Sci Rep. 7:31882017. View Article : Google Scholar : PubMed/NCBI

5 

Trayes KP and Cokenakes S: Breast cancer treatment. Am Fam Physician. 104:171–178. 2021.PubMed/NCBI

6 

Malinaric R, Balzarini F, Granelli G, Ferrari A, Trani G, Ambrosini F, Mantica G, Panarello D, De Rose AF and Terrone C: From women to women-hematuria during therapy for metastatic breast cancer, what to suspect and when to be alarmed; Bladder metastasis from breast cancer-our experience and a systematic literature review. Front Oncol. 12:9769472022. View Article : Google Scholar : PubMed/NCBI

7 

Wei S and Siegal GP: Metastatic organotropism: An intrinsic property of breast cancer molecular subtypes. Adv Anat Pathol. 24:78–81. 2017. View Article : Google Scholar : PubMed/NCBI

8 

Sanguedolce F, Landriscina M, Ambrosi A, Tartaglia N, Cianci P, Di Millo M, Carrieri G, Bufo P and Cormio L: Bladder metastases from breast cancer: Managing the unexpected. a systematic review. Urol Int. 101:125–131. 2018. View Article : Google Scholar : PubMed/NCBI

9 

Ashley S, Choudhury A, Hoskin P, Song Y and Maitre P: Radiotherapy in metastatic bladder cancer. World J Urol. 42:472024. View Article : Google Scholar : PubMed/NCBI

10 

Wu Q, Li J, Zhu S, Wu J, Chen C, Liu Q, Wei W, Zhang Y and Sun S: Breast cancer subtypes predict the preferential site of distant metastases: A SEER based study. Oncotarget. 8:27990–27996. 2017. View Article : Google Scholar : PubMed/NCBI

11 

Bates AW and Baithun SI: Secondary neoplasms of the bladder are histological mimics of nontransitional cell primary tumours: Clinicopathological and histological features of 282 cases. Histopathology. 36:32–40. 2000. View Article : Google Scholar : PubMed/NCBI

12 

Khan NAJ, Abdallah M and Tirona MT: Hormone Receptor Positive/HER2 negative breast cancer with isolated bladder metastasis: A rare case. J Investig Med High Impact Case Rep. 9:232470962110221862021.PubMed/NCBI

13 

Zhu H and Doğan BE: American Joint Committee on Cancer's Staging System for Breast Cancer, Eighth Edition: Summary for Clinicians. Eur J Breast Health. 17:234–238. 2021. View Article : Google Scholar : PubMed/NCBI

14 

Zhai ZX SJJ and Wang ZP: Invasive lobular carcinoma of breast with metastatic tumor of bladder and bone: A case report and literature review. J Contemp Urol Reprod Oncol. 5:308–309. 2013.

15 

Nieder C and Pawinski A: A case of recurrent breast cancer with solitary metastasis to the urinary bladder. Case Rep Oncol Med. 2014:9315462014.PubMed/NCBI

16 

Wang G, Zhou C, Conklin C, Hayes MM, Villamil CF, Ostry A and Jones EC: Metastatic breast carcinoma to the urinary bladder-a report of 11 cases including a tumor to tumor metastasis. Virchows Arch. 474:333–339. 2019. View Article : Google Scholar : PubMed/NCBI

17 

Shah KG, Modi PR and Rizvi J: Breast carcinoma metastasizing to the urinary bladder and retroperitoneum presenting as acute renal failure. Indian J Urol. 27:135–136. 2011. View Article : Google Scholar : PubMed/NCBI

18 

Gatti G, Zurrida S, Gilardi D, Bassani G, dos Santos GR and Luini A: Urinary bladder metastases from breast carcinoma: Review of the literature starting from a clinical case. Tumori. 91:283–286. 2005. View Article : Google Scholar : PubMed/NCBI

19 

Ghaida RA, Ayoub H, Nasr R, Issa G and Bulbul M: Bladder metastasis from primary breast cancer: A case report and literature review. Cent European J Urol. 66:177–184. 2013.PubMed/NCBI

20 

Zagha RM and Hamawy KJ: Solitary breast cancer metastasis to the bladder: An unusual occurrence. Urol Oncol. 25:236–239. 2007. View Article : Google Scholar : PubMed/NCBI

21 

Elia G, Stewart S, Makhuli ZN, Krenzer BE, Mathur S, Simon HM and Mehdi S: Metastatic breast cancer diagnosed during a work-up for urinary incontinence: A case report. Int Urogynecol J Pelvic Floor Dysfunct. 10:39–42. 1999. View Article : Google Scholar : PubMed/NCBI

22 

Poulakis V, Witzsch U, de Vries R and Becht E: Metastatic breast carcinoma to the bladder: 5-year followup. J Urol. 165:9052001. View Article : Google Scholar : PubMed/NCBI

23 

Kleinmann N, Mor Y, Laufer M, Duvdevani M, Fridman E and Ramon J: A solitary metastasis of breast cancer to the urinary bladder. Breast J. 11:4972005. View Article : Google Scholar : PubMed/NCBI

24 

Lin WC and Chen JH: Urinary bladder metastasis from breast cancer with heterogeneic expression of estrogen and progesterone receptors. J Clin Oncol. 25:4308–4310. 2007. View Article : Google Scholar : PubMed/NCBI

25 

Xiao GQ, Chow J and Unger PD: Metastatic tumors to the urinary bladder: Clinicopathologic study of 11 cases. Int J Surg Pathol. 20:342–348. 2012. View Article : Google Scholar : PubMed/NCBI

26 

Cormio L, Sanguedolce F, Di Fino G, Massenio P, Liuzzi G, Ruocco N, Bufo P and Carrieri G: Asymptomatic bladder metastasis from breast cancer. Case Rep Urol. 2014:6725912014.PubMed/NCBI

27 

Al Ibraheemi AA: Case report of metastatic invasive breast lobular carcinoma to the urinary bladder. Int J Hematol Oncol Stem Cell Res. 10:51–55. 2016.PubMed/NCBI

28 

Yoneyama K, Nakagawa M and Hara A: Bladder metastasis from primary breast cancer: A case report. Surg Case Rep. 4:732018. View Article : Google Scholar : PubMed/NCBI

29 

Mohammed S and Bua AA: Metastatic breast cancer to the urinary bladder in the caribbean. Case Rep Oncol. 14:1586–1590. 2021. View Article : Google Scholar : PubMed/NCBI

30 

Haid M, Ignatoff J, Khandekar JD, Graham J and Holland J: Urinary bladder metastases from breast carcinoma. Cancer. 46:229–232. 1980. View Article : Google Scholar : PubMed/NCBI

31 

Berger Y, Nissenblatt M, Salwitz J and Lega B: Bladder involvement in metastatic breast carcinoma. J Urol. 147:137–139. 1992. View Article : Google Scholar : PubMed/NCBI

32 

Soon PS, Lynch W and Schwartz P: Breast cancer presenting initially with urinary incontinence: A case of bladder metastasis from breast cancer. Breast. 13:69–71. 2004. View Article : Google Scholar : PubMed/NCBI

33 

Lawrentschuk N, Chan Y and Bolton DM: Metastatic breast cancer to the bladder. Breast J. 11:1432005. View Article : Google Scholar : PubMed/NCBI

34 

Feldman PA, Madeb R, Naroditsky I, Halachmi S and Nativ O: Metastatic breast cancer to the bladder: A diagnostic challenge and review of the literature. Urology. 59:1382002. View Article : Google Scholar : PubMed/NCBI

35 

Wang D, Jing T, Hui X and Yue W: A case report for Postoperative bladder metastasis of breast cancer. Chin J of Endourology. 16:89–90. 2022.

36 

De Rose AF, Balzarini F, Mantica G, Toncini C and Terrone C: Late urinary bladder metastasis from breast cancer. Arch Ital Urol Androl. 91:60–62. 2019. View Article : Google Scholar : PubMed/NCBI

37 

Gitau SN, Njau A and Mwanzi S: Urinary bladder metastasis from breast cancer: A rare cause of hematuria. BJR Case Rep. 6:201900482020.PubMed/NCBI

38 

Pontes JE and Oldford JR: Metastatic breast carcinoma to the bladder. J Urol. 104:839–842. 1970. View Article : Google Scholar : PubMed/NCBI

39 

Rigatti P, Broglia L, Montorsi F, Maffezzini M, Sironi M, Radice F, Abelli P, Pace M, Diamantini S, Veronesi AM, et al: Breast cancer metastases of the urinary bladder. Int J Tissue React. 13:159–163. 1991.PubMed/NCBI

40 

Silverstein LI, Plaine L, Davis JE and Kabakow B: Breast carcinoma metastatic to bladder. Urology. 29:544–547. 1987. View Article : Google Scholar : PubMed/NCBI

41 

Ryan PD, Harisinghani M, Lerwill MF and Kaufman DS: Case records of the Massachusetts General Hospital. Case 6-2006. A 71-year-old woman with urinary incontinence and a mass in the bladder. N Engl J Med. 354:850–856. 2006. View Article : Google Scholar : PubMed/NCBI

42 

Williams JR, Stott MA and Moisey CU: Bilateral hydronephrosis secondary to breast carcinoma metastasising to the bladder. Br J Urol. 69:97–98. 1992. View Article : Google Scholar : PubMed/NCBI

43 

Schneidau T, Stroumbakis N, Choudhury M, Eshgi M and Mallouh C: Metastatic breast cancer to the bladder: A case report. Int Urol Nephrol. 27:297–300. 1995. View Article : Google Scholar : PubMed/NCBI

44 

Luczyńska E, Pawlik T, Chwalibóg A, Anioł J and Ryś J: Metastatic breast cancer to the bladder case report and review of literature. J Radiol Case Rep. 4:19–26. 2010.PubMed/NCBI

45 

Reichman G, Michielsen DP and De Grève J: Tamoxifen to treat urge-incontinence from an isolated bladder metastasis of a primary breast cancer. Cent European J Urol. 65:36–37. 2012. View Article : Google Scholar : PubMed/NCBI

46 

Sung H, Ferlay J, Siegel RL, Laversanne M, Soerjomataram I, Jemal A and Bray F: Global cancer statistics 2020: GLOBOCAN estimates of incidence and mortality worldwide for 36 cancers in 185 countries. CA Cancer J Clin. 71:209–249. 2021. View Article : Google Scholar : PubMed/NCBI

47 

Wang R, Zhu Y, Liu X, Liao X, He J and Niu L: The Clinicopathological features and survival outcomes of patients with different metastatic sites in stage IV breast cancer. BMC Cancer. 19:10912019. View Article : Google Scholar : PubMed/NCBI

48 

Kamat AM, Hahn NM, Efstathiou JA, Lerner SP, Malmström PU, Choi W, Guo CC, Lotan Y and Kassouf W: Bladder cancer. Lancet. 388:2796–2810. 2016. View Article : Google Scholar : PubMed/NCBI

49 

Alfred Witjes J, Max Bruins H, Carrión A, Cathomas R, Compérat E, Efstathiou JA, Fietkau R, Gakis G, Lorch A, Martini A, et al: European Association of Urology guidelines on muscle-invasive and metastatic bladder cancer: Summary of the 2023 Guidelines. Eur Urol. 85:17–31. 2024. View Article : Google Scholar : PubMed/NCBI

50 

Karaosmanoglu AD, Onur MR, Karcaaltincaba M, Akata D and Ozmen MN: Secondary tumors of the urinary system: An imaging conundrum. Korean J Radiol. 19:742–751. 2018. View Article : Google Scholar : PubMed/NCBI

51 

Lodh B, Sinam RS and Singh KA: Adenocarcinoma of urinary bladder in patient with primary gastric cancer: An unusual synchronous distant metastasis. Indian J Cancer. 53:53–55. 2016. View Article : Google Scholar : PubMed/NCBI

52 

Klinger ME: Secondary tumors of the genito-urinary tract. J Urol. 65:144–153. 1951. View Article : Google Scholar : PubMed/NCBI

53 

Goldstein AG: Metastatic carcinoma to the bladder. J Urol. 98:209–215. 1967. View Article : Google Scholar : PubMed/NCBI

54 

Barroso-Sousa R and Metzger-Filho O: Differences between invasive lobular and invasive ductal carcinoma of the breast: Results and therapeutic implications. Ther Adv Med Oncol. 8:261–266. 2016. View Article : Google Scholar : PubMed/NCBI

55 

Rakha EA and Ellis IO: Lobular breast carcinoma and its variants. Semin Diagn Pathol. 27:49–61. 2010. View Article : Google Scholar : PubMed/NCBI

56 

Makki J: Diversity of breast carcinoma: Histological subtypes and clinical relevance. Clin Med Insights Pathol. 8:23–31. 2015. View Article : Google Scholar : PubMed/NCBI

57 

Roulot A, Héquet D, Guinebretière JM, Vincent-Salomon A, Lerebours F, Dubot C and Rouzier R: Tumoral heterogeneity of breast cancer. Ann Biol Clin (Paris). 74:653–660. 2016.PubMed/NCBI

58 

Bevers TB, Niell BL, Baker JL, Bennett DL, Bonaccio E, Camp MS, Chikarmane S, Conant EF, Eghtedari M, Flanagan MR, et al: NCCN Guidelines® Insights: Breast cancer screening and diagnosis, version 1.2023. J Natl Compr Canc Netw. 21:900–909. 2023. View Article : Google Scholar : PubMed/NCBI

59 

Santinelli A, Pisa E, Stramazzotti D and Fabris G: HER-2 status discrepancy between primary breast cancer and metastatic sites. Impact on target therapy. Int J Cancer. 122:999–1004. 2008. View Article : Google Scholar : PubMed/NCBI

60 

Mao QZ, Rong S, Xia MD, Li HZ and Zang MF: Bladder secondary carcinoma in female. Beijing Medicine. 26:312–314. 2004.

61 

Karjol U, Jonnada P, Cherukuru S and Chandranath A: Bladder metastasis from breast cancer: A systematic review. Cureus. 12:e74082020.PubMed/NCBI

Related Articles

  • Abstract
  • View
  • Download
  • Twitter
Copy and paste a formatted citation
Spandidos Publications style
Zhou H, Liu D, Chen L, Zhang Y, Zhao X, Ge Y, Liu M and Kong T: Metastasis to the bladder from primary breast cancer: A case report and literature review. Oncol Lett 27: 249, 2024.
APA
Zhou, H., Liu, D., Chen, L., Zhang, Y., Zhao, X., Ge, Y. ... Kong, T. (2024). Metastasis to the bladder from primary breast cancer: A case report and literature review. Oncology Letters, 27, 249. https://doi.org/10.3892/ol.2024.14382
MLA
Zhou, H., Liu, D., Chen, L., Zhang, Y., Zhao, X., Ge, Y., Liu, M., Kong, T."Metastasis to the bladder from primary breast cancer: A case report and literature review". Oncology Letters 27.6 (2024): 249.
Chicago
Zhou, H., Liu, D., Chen, L., Zhang, Y., Zhao, X., Ge, Y., Liu, M., Kong, T."Metastasis to the bladder from primary breast cancer: A case report and literature review". Oncology Letters 27, no. 6 (2024): 249. https://doi.org/10.3892/ol.2024.14382
Copy and paste a formatted citation
x
Spandidos Publications style
Zhou H, Liu D, Chen L, Zhang Y, Zhao X, Ge Y, Liu M and Kong T: Metastasis to the bladder from primary breast cancer: A case report and literature review. Oncol Lett 27: 249, 2024.
APA
Zhou, H., Liu, D., Chen, L., Zhang, Y., Zhao, X., Ge, Y. ... Kong, T. (2024). Metastasis to the bladder from primary breast cancer: A case report and literature review. Oncology Letters, 27, 249. https://doi.org/10.3892/ol.2024.14382
MLA
Zhou, H., Liu, D., Chen, L., Zhang, Y., Zhao, X., Ge, Y., Liu, M., Kong, T."Metastasis to the bladder from primary breast cancer: A case report and literature review". Oncology Letters 27.6 (2024): 249.
Chicago
Zhou, H., Liu, D., Chen, L., Zhang, Y., Zhao, X., Ge, Y., Liu, M., Kong, T."Metastasis to the bladder from primary breast cancer: A case report and literature review". Oncology Letters 27, no. 6 (2024): 249. https://doi.org/10.3892/ol.2024.14382
Follow us
  • Twitter
  • LinkedIn
  • Facebook
About
  • Spandidos Publications
  • Careers
  • Cookie Policy
  • Privacy Policy
How can we help?
  • Help
  • Live Chat
  • Contact
  • Email to our Support Team