Spandidos Publications Logo
  • About
    • About Spandidos
    • Aims and Scopes
    • Abstracting and Indexing
    • Editorial Policies
    • Reprints and Permissions
    • Job Opportunities
    • Terms and Conditions
    • Contact
  • Journals
    • All Journals
    • Oncology Letters
      • Oncology Letters
      • Information for Authors
      • Editorial Policies
      • Editorial Board
      • Aims and Scope
      • Abstracting and Indexing
      • Bibliographic Information
      • Archive
    • International Journal of Oncology
      • International Journal of Oncology
      • Information for Authors
      • Editorial Policies
      • Editorial Board
      • Aims and Scope
      • Abstracting and Indexing
      • Bibliographic Information
      • Archive
    • Molecular and Clinical Oncology
      • Molecular and Clinical Oncology
      • Information for Authors
      • Editorial Policies
      • Editorial Board
      • Aims and Scope
      • Abstracting and Indexing
      • Bibliographic Information
      • Archive
    • Experimental and Therapeutic Medicine
      • Experimental and Therapeutic Medicine
      • Information for Authors
      • Editorial Policies
      • Editorial Board
      • Aims and Scope
      • Abstracting and Indexing
      • Bibliographic Information
      • Archive
    • International Journal of Molecular Medicine
      • International Journal of Molecular Medicine
      • Information for Authors
      • Editorial Policies
      • Editorial Board
      • Aims and Scope
      • Abstracting and Indexing
      • Bibliographic Information
      • Archive
    • Biomedical Reports
      • Biomedical Reports
      • Information for Authors
      • Editorial Policies
      • Editorial Board
      • Aims and Scope
      • Abstracting and Indexing
      • Bibliographic Information
      • Archive
    • Oncology Reports
      • Oncology Reports
      • Information for Authors
      • Editorial Policies
      • Editorial Board
      • Aims and Scope
      • Abstracting and Indexing
      • Bibliographic Information
      • Archive
    • Molecular Medicine Reports
      • Molecular Medicine Reports
      • Information for Authors
      • Editorial Policies
      • Editorial Board
      • Aims and Scope
      • Abstracting and Indexing
      • Bibliographic Information
      • Archive
    • World Academy of Sciences Journal
      • World Academy of Sciences Journal
      • Information for Authors
      • Editorial Policies
      • Editorial Board
      • Aims and Scope
      • Abstracting and Indexing
      • Bibliographic Information
      • Archive
    • International Journal of Functional Nutrition
      • International Journal of Functional Nutrition
      • Information for Authors
      • Editorial Policies
      • Editorial Board
      • Aims and Scope
      • Abstracting and Indexing
      • Bibliographic Information
      • Archive
    • International Journal of Epigenetics
      • International Journal of Epigenetics
      • Information for Authors
      • Editorial Policies
      • Editorial Board
      • Aims and Scope
      • Abstracting and Indexing
      • Bibliographic Information
      • Archive
    • Medicine International
      • Medicine International
      • Information for Authors
      • Editorial Policies
      • Editorial Board
      • Aims and Scope
      • Abstracting and Indexing
      • Bibliographic Information
      • Archive
  • Articles
  • Information
    • Information for Authors
    • Information for Reviewers
    • Information for Librarians
    • Information for Advertisers
    • Conferences
  • Language Editing
Spandidos Publications Logo
  • About
    • About Spandidos
    • Aims and Scopes
    • Abstracting and Indexing
    • Editorial Policies
    • Reprints and Permissions
    • Job Opportunities
    • Terms and Conditions
    • Contact
  • Journals
    • All Journals
    • Biomedical Reports
      • Information for Authors
      • Editorial Policies
      • Editorial Board
      • Aims and Scope
      • Abstracting and Indexing
      • Bibliographic Information
      • Archive
    • Experimental and Therapeutic Medicine
      • Information for Authors
      • Editorial Policies
      • Editorial Board
      • Aims and Scope
      • Abstracting and Indexing
      • Bibliographic Information
      • Archive
    • International Journal of Epigenetics
      • Information for Authors
      • Editorial Policies
      • Editorial Board
      • Aims and Scope
      • Abstracting and Indexing
      • Bibliographic Information
      • Archive
    • International Journal of Functional Nutrition
      • Information for Authors
      • Editorial Policies
      • Editorial Board
      • Aims and Scope
      • Abstracting and Indexing
      • Bibliographic Information
      • Archive
    • International Journal of Molecular Medicine
      • Information for Authors
      • Editorial Policies
      • Editorial Board
      • Aims and Scope
      • Abstracting and Indexing
      • Bibliographic Information
      • Archive
    • International Journal of Oncology
      • Information for Authors
      • Editorial Policies
      • Editorial Board
      • Aims and Scope
      • Abstracting and Indexing
      • Bibliographic Information
      • Archive
    • Medicine International
      • Information for Authors
      • Editorial Policies
      • Editorial Board
      • Aims and Scope
      • Abstracting and Indexing
      • Bibliographic Information
      • Archive
    • Molecular and Clinical Oncology
      • Information for Authors
      • Editorial Policies
      • Editorial Board
      • Aims and Scope
      • Abstracting and Indexing
      • Bibliographic Information
      • Archive
    • Molecular Medicine Reports
      • Information for Authors
      • Editorial Policies
      • Editorial Board
      • Aims and Scope
      • Abstracting and Indexing
      • Bibliographic Information
      • Archive
    • Oncology Letters
      • Information for Authors
      • Editorial Policies
      • Editorial Board
      • Aims and Scope
      • Abstracting and Indexing
      • Bibliographic Information
      • Archive
    • Oncology Reports
      • Information for Authors
      • Editorial Policies
      • Editorial Board
      • Aims and Scope
      • Abstracting and Indexing
      • Bibliographic Information
      • Archive
    • World Academy of Sciences Journal
      • Information for Authors
      • Editorial Policies
      • Editorial Board
      • Aims and Scope
      • Abstracting and Indexing
      • Bibliographic Information
      • Archive
  • Articles
  • Information
    • For Authors
    • For Reviewers
    • For Librarians
    • For Advertisers
    • Conferences
  • Language Editing
Login Register Submit
  • This site uses cookies
  • You can change your cookie settings at any time by following the instructions in our Cookie Policy. To find out more, you may read our Privacy Policy.

    I agree
Search articles by DOI, keyword, author or affiliation
Search
Advanced Search
presentation
Oncology Letters
Join Editorial Board Propose a Special Issue
Print ISSN: 1792-1074 Online ISSN: 1792-1082
Journal Cover
June-2024 Volume 27 Issue 6

Full Size Image

Sign up for eToc alerts
Recommend to Library

Journals

International Journal of Molecular Medicine

International Journal of Molecular Medicine

International Journal of Molecular Medicine is an international journal devoted to molecular mechanisms of human disease.

International Journal of Oncology

International Journal of Oncology

International Journal of Oncology is an international journal devoted to oncology research and cancer treatment.

Molecular Medicine Reports

Molecular Medicine Reports

Covers molecular medicine topics such as pharmacology, pathology, genetics, neuroscience, infectious diseases, molecular cardiology, and molecular surgery.

Oncology Reports

Oncology Reports

Oncology Reports is an international journal devoted to fundamental and applied research in Oncology.

Experimental and Therapeutic Medicine

Experimental and Therapeutic Medicine

Experimental and Therapeutic Medicine is an international journal devoted to laboratory and clinical medicine.

Oncology Letters

Oncology Letters

Oncology Letters is an international journal devoted to Experimental and Clinical Oncology.

Biomedical Reports

Biomedical Reports

Explores a wide range of biological and medical fields, including pharmacology, genetics, microbiology, neuroscience, and molecular cardiology.

Molecular and Clinical Oncology

Molecular and Clinical Oncology

International journal addressing all aspects of oncology research, from tumorigenesis and oncogenes to chemotherapy and metastasis.

World Academy of Sciences Journal

World Academy of Sciences Journal

Multidisciplinary open-access journal spanning biochemistry, genetics, neuroscience, environmental health, and synthetic biology.

International Journal of Functional Nutrition

International Journal of Functional Nutrition

Open-access journal combining biochemistry, pharmacology, immunology, and genetics to advance health through functional nutrition.

International Journal of Epigenetics

International Journal of Epigenetics

Publishes open-access research on using epigenetics to advance understanding and treatment of human disease.

Medicine International

Medicine International

An International Open Access Journal Devoted to General Medicine.

Journal Cover
June-2024 Volume 27 Issue 6

Full Size Image

Sign up for eToc alerts
Recommend to Library

  • Article
  • Citations
    • Cite This Article
    • Download Citation
    • Create Citation Alert
    • Remove Citation Alert
    • Cited By
  • Similar Articles
    • Related Articles (in Spandidos Publications)
    • Similar Articles (Google Scholar)
    • Similar Articles (PubMed)
  • Download PDF
  • Download XML
  • View XML
Article Open Access

Analysis of the clinicopathological features of tailgut cyst with emphasis on the development of neoplastic lesions

  • Authors:
    • Toshinori Kobayashi
    • Mitsuaki Ishida
    • Hisanori Miki
    • Takuki Yagyu
    • Masahiko Hatta
    • Madoka Hamada
    • Yoshinobu Hirose
    • Mitsugu Sekimoto
  • View Affiliations / Copyright

    Affiliations: Department of Surgery, Kansai Medical University, Hirakata, Osaka 573‑1010, Japan, Department of Pathology, Osaka Medical and Pharmaceutical University, Takatsuki, Osaka 569‑8686, Japan
    Copyright: © Kobayashi et al. This is an open access article distributed under the terms of Creative Commons Attribution License.
  • Article Number: 286
    |
    Published online on: April 26, 2024
       https://doi.org/10.3892/ol.2024.14419
  • Expand metrics +
Metrics: Total Views: 0 (Spandidos Publications: | PMC Statistics: )
Metrics: Total PDF Downloads: 0 (Spandidos Publications: | PMC Statistics: )
Cited By (CrossRef): 0 citations Loading Articles...

This article is mentioned in:



Abstract

Tailgut cyst is a rare congenital cyst occurring in the retrorectal space and development of neoplastic lesions in tailgut cyst has been reported. Due to the rarity of the tumor, the histogenesis of neoplastic lesions in tailgut cyst has remained elusive. In the present study, the clinicopathological features of tailgut cyst were analyzed with a particular focus on the development of neoplastic lesions. The clinicopathological features of four patients with tailgut cyst (one female and three males) were retrospectively reviewed. No symptoms were present in two patients. Perineal discomfort, and constipation and urinary retention, were described in the other two patients, respectively. Magnetic resonance imaging showed that the cystic lesions were hypointense on T1‑ and hyperintense on T2‑weigted images in all patients. Histopathological analysis revealed that all lesions were multilocular, and cystic walls were covered by squamous and ciliated epithelia without nuclear atypia. The development of neoplastic lesions was noted in two patients. Dysplastic change composed of piling‑up proliferation of glandular cells with mild to moderate nuclear atypia was present in one patient, and invasive adenocarcinoma with a dysplasia component was observed in another patient. Dysplasia of the glandular cells, as seen in two patients in the present series, may be a precursor lesion of invasive adenocarcinoma; therefore, adenocarcinoma arsing in tailgut cyst may show a dysplasia‑carcinoma sequence. While the reported incidence of neoplastic lesions in tailgut cysts is ~9% or less, their frequency remains to be accurately determined. Therefore, complete surgical resection is important for the management of patients with tailgut cyst. Additional clinicopathological and molecular studies with large cohorts may be required to clarify the histogenesis of neoplastic lesion in tailgut cyst.

Introduction

Tailgut cyst is a rare congenital cystic lesion occurring in the retrorectal space between the rectum and the sacrum and above the retrorectal fascia (1). This lesion is presumed to arise from the remnant of the primitive tailgut and is hypothesized to exist due to incomplete regression of the tail extension of the hindgut (1). Less than 200 patients with tailgut cyst have been reported in the English-language literature (1). This cyst mainly affects middle-aged females. Lower back or lower abdominal pain, or urinary symptoms are the common presentations, and incidental detection of the lesion without any symptoms is also not uncommon (1,2). The cysts are usually multilocular and smooth muscle bundles are irregularly distributed in numerous cases (1,2). The wall is covered by several types of epithelia, including columnar, ciliated, keratinizing or non-keratinizing squamous, and transitional types (1,2).

Of note, the development of neoplastic lesions arising from tailgut cyst has been reported (2,3). A recent meta-analysis showed that 26.6% (51 of 196 patients) had a neoplastic lesion in a tailgut cyst, although this result is likely to be biased for frequency of the reported cases of neoplastic transformation (3). In a retrospective analysis of 70 consecutive patients with tailgut cyst, the rate of the neoplastic lesion was ~9% (2). Various types of neoplastic lesion may occur in tailgut cyst, and adenocarcinoma, not otherwise specified, or mucinous adenocarcinoma and neuroendocrine tumors are the most common types of the neoplastic lesions (2,3). These results suggest that the histopathology of the neoplastic lesions reflects the type of epithelium within tailgut cysts. However, due to the rarity of the tumor, the histogenesis of the neoplastic lesions arising from tailgut cyst has remained elusive. In the present article, the clinicopathological features of tailgut cyst were retrospectively analysed, in particular regarding the development of neoplastic lesions.

Materials and methods

Patient selection

Consecutive patients with tailgut cyst who underwent surgical resection at the Department of Surgery at Kansai Medical University Hospital between January 2014 and December 2019 were included in the present study. The diagnostic criteria for tailgut cyst were as follows: A cystic lesion is present in the retrorectal space between the rectum and the sacrum and above the retrorectal fascia on imaging and intraoperative findings, and, histopathologically, the cystic wall is covered by columnar, ciliated, non-keratinizing or keratinizing squamous, or transitional epithelia, usually surrounded by smooth muscle bundles without a teratomatous component, according to review articles (1,2). Accordingly, four patients with tailgut cyst were included in this study.

Histopathological analyses were performed on the epithelial component in the cystic wall and the neoplastic lesions. Thereafter, immunohistochemical analysis was performed in Patient 4.

This retrospective, single-institution study was conducted according to the principles of the Declaration of Helsinki and the study protocol was approved by the Institutional Review Board of Kansai Medical University Hospital (Hirakata, Japan; approval no. 2019088). All data were anonymized. The institutional review board waived the requirement for informed consent because of the retrospective study design, as medical records and archived samples were used with no risk to the participants. Furthermore, the present study did not include minors. For information regarding this study, the opt-out method waived the requirement for informed patient consent when using patient samples in research. A consent form for publication in Japanese was signed by each patient.

Histopathological analysis

Surgically resected specimens were fixed with 10% buffered formalin for 24–48 h. These specimens were dehydrated in ethanol and xylene at room temperature and embedded in paraffin (60°C). Following the preparation of 4-µm sections, they were stained with haematoxylin and eosin at room temperature according to a standard protocol. Two researchers (TK and MI) independently evaluated the histopathological features of all the slides under a microscope.

Immunohistochemical analysis

The tumor from Patient 4 was immunohistochemically analyzed. The 4-µm tumor tissue sections underwent immunohistochemical staining using autostainers (Ultra System; Roche Diagnostics; or Autostainer link 48; DAKO; Agilent Technologies, Inc.), according to the manufacturers' instructions. Sections were incubated with a rabbit monoclonal antibody against caudal type homeobox 2 (CDX2) (cat. no. EPR2764Y; pre-diluted; Roche Diagnostics), a mouse monoclonal antibody against cytokeratin (CK)-7 (cat. no. OV-TL12/30; pre-diluted; DAKO; Agilent Technologies, Inc.), a mouse monoclonal antibody against CK-20 (cat. no. Ks20.8; pre-diluted; DAKO; Agilent Technologies, Inc.) and a mouse monoclonal antibody against p53 (cat. no. DO-7; diluted 1:50; DAKO; Agilent Technologies, Inc.) for 20 min at room temperature. Secondary antibodies were pre-diluted [Optiview DAB Universal Kit (cat. no. 518-111427; Roche Diagnostics) and Envision™ FLEX (cat. no. K8000; DAKO; Agilent Technologies, Inc.] and were used to incubate the sections for 8 min at room temperature. Two researchers (TK and MI) independently evaluated the immunohistochemical staining under a microscope.

Results

Patient characteristics

Table I summarises the clinicopathological features of the patients of the present study. A total of one female and three male patients were included in this study. No symptoms were present in two patients, and discomfort of the perineal region was described in one patient (Patient 1). The remaining patient presented with constipation and urinary retention (Patient 4). Only one patient (Patient 2) had a past history of surgery for a tailbone tumor at the age of 1 year (detailed information was not available).

Table I.

Clinicopathological features of patients with tailgut cyst of the present cohort.

Table I.

Clinicopathological features of patients with tailgut cyst of the present cohort.

Patient no.SexAge, yearsSize, mmSymptomsPast historySerum tumor markersaMagnetic resonance imaging findingsMethod of excisionCiliated epitheliumSquamous epitheliumNeoplastic lesionOutcome
1M3890×60×55Perineal discomfortNoneCEA, 1.7 ng/ml; CA19-9, 12.3 U/mlMultiloculated lesion.Kraske procedure++ (non-keratinizing)DysplasiaNo recurrence seven years after surgery
Hypointense on T1WI, hyperintense on T2WI
2F5240×35×35NoneTailbone tumor (1 year old)CEA, 3.4, ng/ml; CA19-9, 14.1 U/mlCystic lesion accompanied by daughter cyst.Kraske procedure++ (keratinizing)NoneNo recurrence at two years and six months after surgery
Hypointense on T1WI, hyperintense on T2WI
3M3940×35×35NoneVertebral compressionCEA, 2.7 ng/ml; CA19-9, 26.9 U/mlFocal cystic lesion.Kraske procedure++ (non-keratinizing)NoneNo recurrence two years
fracture by falling accident Hypointense on T1WI, hyperintense on T2WI after surgery
4M69150×100×88Constipation and urinary retentionNoneCEA, 1.9 ng/ml; CA19-9, 14.2 U/mlLarge cyst with numerous small septa with a mass with a solid component.Hartmann's procedure++ (non-keratinizing)Adenocarcinoma, not otherwise specified, with dysplasiaCystic lesion recurred two years after surgery, and no adenocarcinoma present
Hypointense on T1WI, hyperintense on T2WI

a CEA normal ranges, 0–5 ng/ml; CA19-9 normal ranges, 0–37 U/ml. CA19-9, carbohydrate antigen 19-9; CEA, carcinoembryonic antigen; M, male; F, female; T1WI, T1-weighted imaging.

Laboratory tests demonstrated that the serum tumor markers carcinoembryonic antigen and carbohydrate antigen 19-9 were within the normal limits in all cases (Table I).

Magnetic resonance imaging (MRI) showed that all lesions were hypointense on T1-weighted imaging (T1WI) and hyperintense on T2WI. MRI T2WI sagittal images of cases 1–4 are presented in Fig. 1A-D, respectively. The cystic lesion in case 4 was enlarged laterally on the left in the MRI-axial image. A solid mass was present along with a large cystic lesion accompanying numerous septa in Patient 4 (Fig. 1D).

Figure 1.

Magnetic resonance imaging of tailgut cysts. (A) Well-circumscribed multilocular lesion, hyperintense on T2W1, in the retrorectal space (Patient 1, arrows). (B) Cystic lesion accompanied by daughter cyst, hyperintense on T2WI (Patient 2, arrows). (C) Focal cystic lesion, hyperintense on T2WI (Patient 3, arrow). (D) Large cyst with numerous small septa with a mass with a solid component, hyperintense on T2WI, in the presacral space (Patient 4, arrows). T2WI, T2-weighted imaging.

With regard to the surgical technique, the lesions in three patients were resected using the Kraske procedure with a combined tailbone resection in the jack-knife position. Hartmann's procedure was needed in one patient (Patient 4), as the lesion invaded into the rectum and the parietal peritoneal reflex developed.

Histopathological and immunohistochemical characteristics

Macroscopic examination of the cut surface of the surgically resected specimens revealed multilocular lesions in all tumors. The cyst wall was composed of fibrous tissue and/or fatty tissue, and irregularly arranged smooth muscle bundles were occasionally observed. The cyst wall was covered by squamous and ciliated epithelia in all four tumors (100%) (Fig. 2, Fig. 3, 4; Table I). Keratinization was noted in one tumor (25%) (Fig. 2), and the remaining three tumors had non-keratinizing squamous epithelium (75%) (Figs. 3 and 4; Table I). These epithelial cells showed no atypia, and no mitotic figures were observed (Fig. 2, Fig. 3, 4). No columnar epithelia were noted in any tumor. Neither skin appendage components, such as hair and sebaceous glands, nor any other teratomatous components, were present in any of the patients. According to these histopathological features and the location of the lesion, a diagnosis of tailgut cyst was made in all four patients.

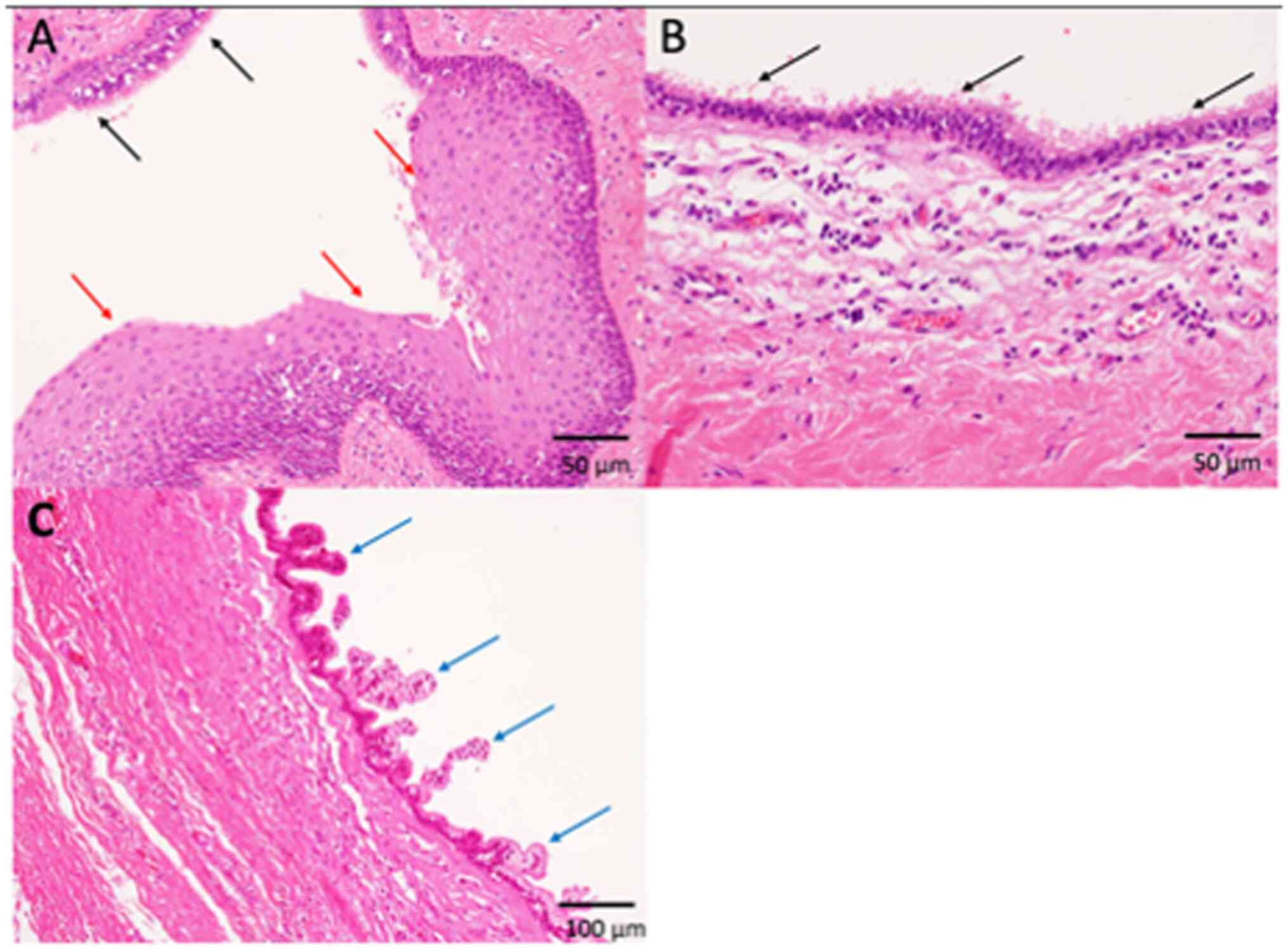
Figure 2.

Histopathological features of the tailgut cyst (Patient 1). (A) The cyst wall is covered with non-keratinizing squamous cells (red arrows) and ciliated epithelial cells (black arrows) and (B) ciliated epithelium (black arrows) (hematoxylin and eosin staining; magnification, 200; scale bars, 50 µm). (C) Dysplasia. Piling-up proliferation of atypical cuboidal glandular cells with mildly to moderately enlarged nuclei. No invasive growth is noted (blue arrows) (hematoxylin and eosin staining; magnification, ×100; scale bar, 100 µm).

Figure 3.

Histopathological features of the tailgut cyst (Patient 2). (A) The cyst wall is covered with ciliated epithelium (black arrows) and (B) keratinizing squamous epithelium (red arrows), skin appendage is not present (hematoxylin and eosin staining; magnification, ×20; scale bars, 500 µm).

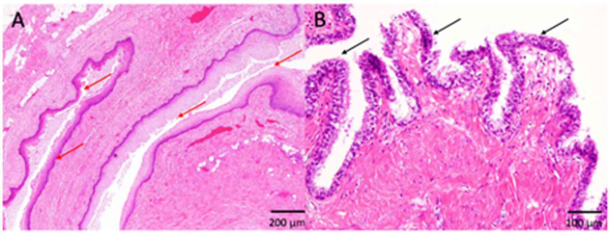
Figure 4.

Histopathological features of the tailgut cyst (Patient 3). (A) The cyst wall is covered with non-keratinizing squamous epithelium (red arrows; magnification, ×40; scale bar, 200 µm) and (B) ciliated epithelium (black arrows; magnification, ×100; scale bar, 100 µm) (hematoxylin and eosin staining).

In two patients (50%), the development of the neoplastic lesions was continuous with the above-mentioned cystic wall. Dysplastic change was observed in one patient (Patient 1). Piling-up proliferation of the cuboidal glandular cells with mildly to moderately enlarged nuclei containing small nucleoli and intracytoplasmic mucin was observed (Fig. 2). No destructive or invasive neoplastic growth was observed. In another patient (Patient 4), infiltrative papillotubular neoplastic growth was observed (Fig. 5A and B). The columnar neoplastic cells had large round to oval nuclei and clear to slightly eosinophilic cytoplasm (Fig. 5C). Dysplastic changes with mildly to moderately enlarged nuclei without invasive neoplastic growth were observed around the invasive component (Fig. 5A and D). Immunohistochemically, the nuclei of carcinoma cells diffusely expressed p53 (Fig. 5E) and CDX2. CK-20-positive (cytoplasmic) carcinoma cells were scattered (Fig. 5F), but no CK-7-positive carcinoma cells were found (data not shown). Therefore, a diagnosis of adenocarcinoma, not otherwise specified, arising in tailgut cyst, was made.

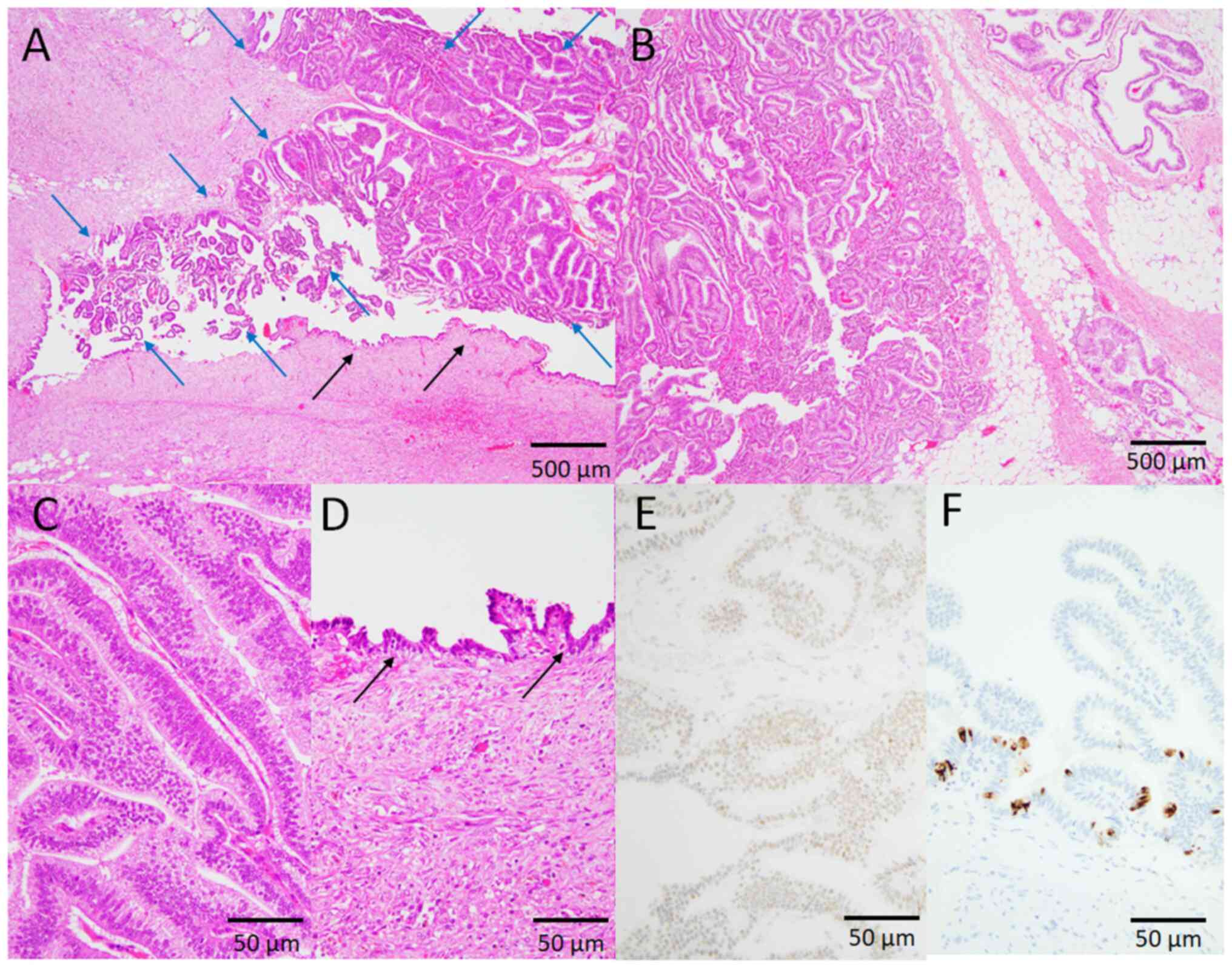
Figure 5.

Histopathological and immunohistochemical features (Patient 4). (A) Papillotubular invasive neoplastic growth is observed (blue arrows). A non-invasive dysplastic area is also observed (black arrows). (B) Invasion of fatty tissue by adenocarcinoma (magnification, ×20; scale bars, 500 µm). (C) Adenocarcinoma cells are columnar in shape and have large round to oval nuclei. (D) Dysplastic cells have mildly to moderately enlarged nuclei (black arrows) (hematoxylin and eosin staining). (E) p53 is diffusely expressed in the nuclei of adenocarcinoma cells. (F) Cytoplasmic cytokeratin 20-positive carcinoma cells are scattered (magnification, ×200; scale bars, 50 µm).

Clinical follow-up results

Of the four patients, three experienced no recurrence more than two years after the surgery at the outpatient clinic and on the postoperative computed tomography (CT) images. However, in Patient 4, the cystic lesion recurred two years after the surgery and showed a tendency to enlarge on MRI several months later; thus, abdominal perineal excision was performed. Pathology results of the resected specimen showed hematoma, but no adenocarcinoma component was present. No recurrence was noted one year after the second surgery in Patient 4 at the outpatient clinic and on the postoperative CT images.

Discussion

In the present study, the clinicopathological characteristics of tailgut cyst were retrospectively analysed. In the present case series, two of four patients developed neoplastic lesions (dysplasia and adenocarcinoma in each).

Various neoplastic and inflammatory lesions may occur in the retrorectal space and the incidence of tumorous lesions is reported to be up to 1 in 40,000 of the population (4). Several types of neoplastic lesion can occur in this region. According to the results of reviewing 1,708 patients with retrorectal lesions, ~70% were benign lesions and the remaining ~30% were malignant tumors (5). The most common lesion in this site was congenital tumors (60.5%), including tailgut cyst, followed by neurogenic tumors (19.1%) and osseous tumors (3.1%) (5). The high frequency of the cystic lesion is one of the characteristic features of lesions in the retrorectal space. Certain histological types of cystic lesion have been reported in this site (2). The most common cystic lesion is developmental cysts, including tailgut cyst, epidermoid cyst, dermoid cyst and duplication cyst. Non-developmental cysts, such as anal gland cyst and parasitic cyst, may also develop. Furthermore, neoplastic lesions with cystic change, including schwannoma, gastrointestinal stromal tumor and aneurysmal bone cyst, are also reported in the retrorectal space (2).

Tailgut cyst is the most common retrorectal cyst, accounting for ~50% of them (2). The characteristic histopathological features of tailgut cyst are as follows: i) The cysts are usually multilocular and contain mucinous material; ii) irregular distribution of smooth muscle bundles is noted within the cyst wall; and iii) various types of epithelia, including keratinizing or non-keratinizing squamous, columnar, ciliated and transitional types, may be present (2). In a retrospective histopathological review of a series of 70 consecutive cases of tailgut cyst, transitional between squamous and columnar epithelium (71%), ciliated columnar epithelium (7%), non-ciliated columnar epithelium (24%), keratinizing squamous epithelium (27%), non-keratinizing squamous epithelium (37%) and more than one epithelial type (7%) were observed as the type of epithelia of the cyst wall (2). Neither skin appendage components, such as hair and sebaceous glands, nor other teratomatous components, are present in tailgut cyst by definition. The pathological diagnosis of tailgut cyst may be straightforward according to the above-mentioned histological features. Imaging studies are useful for detection of the lesion in the retrorectal space and may also provide important information for the selection of the optimal surgical approach. The characteristic computed tomography finding of tailgut cyst is a well-circumscribed multilocular hypodense lesion without calcification, and MRI shows hypointense on T1WI and hyperintense on T2WI (1). The existence of a multilocular cyst, which is usually filled with mucoid content, is a useful diagnostic criterion for tailgut cyst (1). The management of tailgut cyst comprises complete surgical resection-either open, laparoscopic or robot-assisted surgery (1,6–8). The appropriate surgical approach depends on the location and size of the lesion, and its relation with the surrounding structures (1,6,7).

One of the important issues in the management of tailgut cyst is the development of neoplastic lesions within the cyst. Due to the rarity of the lesion, the accurate frequency of the development of neoplastic lesions has not been determined (1–3), although a recent analysis of consecutive patients demonstrated that the rate of neoplastic lesions was ~9% (2). The most common histological type is adenocarcinoma (not otherwise specified or mucinous), following neuroendocrine tumor (2,3). In the present study, 50% of tailgut cyst cases had neoplastic lesions, including dysplasia. This rate of the neoplastic lesion is higher than that of the previous analysis (2), and there may be bias due to the single-centre nature of the study and small cohort. Thus, there was an absence of statistical analysis and generalization of the frequency of the neoplastic lesions in patients with tailgut cyst was in the present study (discussed later). The histogenesis of the neoplastic lesion in tailgut cyst remains unresolved, although histopathological subtypes may reflect the type of epithelium present in tailgut cyst (2,3). Wang et al (9) summarized the clinicopathological features of adenocarcinoma arising from tailgut cyst. According to the results of these 24 patients, most of the patients were middle-aged females (female/male ratio, 10:1; this ratio of female predominance in patients with adenocarcinoma is thought to be higher than that of the whole population of tailgut cyst cases). The chief complaints of these patients were abdominal mass and pain, perianal disease and change of stool habits (9). Cysts with thickened and irregularly enhanced cystic wall boundaries on imaging examinations suggest a malignant potential (9). Of note, the presence of dysplastic glandular epithelia within a pre-existing cystic wall of tailgut cyst around the invasive adenocarcinoma component has been reported in a patient (10). The present study comprised a small case series, in which one patient (Patient 1) had dysplastic glandular epithelia and another patient (Patient 4) had invasive adenocarcinoma with a dysplastic component. Thus, dysplasia is regarded as a precursor lesion of invasive adenocarcinoma occurring in tailgut cyst. These results suggest that adenocarcinoma arising in tailgut cyst shows a dysplasia-carcinoma sequence (10), although no molecular analysis has been performed on the lesions of dysplasia or adenocarcinoma arising from tailgut cyst. The dysplasia-carcinoma sequence may be important for the development of neoplastic lesions, particularly adenocarcinoma, in tailgut cyst; therefore, additional molecular study with a larger cohort may be needed to clarify the pathogenesis of neoplastic lesions arising from tailgut cyst. Immunohistochemical analysis demonstrated that adenocarcinoma in Case 4 of the present study was of the colorectal phenotype (CDX2-positive, CK-7-negative and CK-20-positive), although the immunohistochemical phenotype varies in a previous report (2). Furthermore, overexpression of p53 was noted in the adenocarcinoma component and this finding was consistent with a previous analysis (3).

One of the noteworthy features of the neoplastic lesions in tailgut cyst is a high frequency of occurrence of neuroendocrine tumor (3,11,12). Review of 29 patients with neuroendocrine tumor arising in tailgut cyst showed that middle-aged females were preferentially affected (63%) (12). Chief complaints of these patients were pain, bowel change and urinary problems (12). Pre- and post-operative metastases were noted in 11 and 22% of patients, respectively (12). Imaging studies, particularly MRI, can detect multicystic lesions with solid components in the retrorectal space in these patients. A rare neuroendocrine tumor arising from tailgut cyst with liver metastasis in a 77-year-old male was previously reported (13). In that case, genomic analysis revealed a germline frameshift in breast cancer type-1 associated protein 1 and transcriptional analysis suggested that enteroendocrine L cells in the tailgut are a putative cell of origin of neuroendocrine tumor in tailgut cyst (13). Furthermore, ghrelin-producing neuroendocrine tumors arising from tailgut cyst have also been reported (14). Ghrelin is normally present in the endocrine cells of the gastric mucosa and activates growth hormone release and appetite. The origin and/or mechanism of neuroendocrine tumor development in tailgut cysts, and the reason for its high frequency, remain elusive, although it is suggested that tailgut cyst should be regarded as a precancerous lesion or that its embryonic origin may be related to tumor development (11). In addition, neuroendocrine tumors, even in well-differentiated types, have metastatic potential; therefore, careful observation is required in these patients. Accordingly, due to the high frequency of neoplastic lesions, tailgut cyst should be treated by complete surgical resection, even in asymptomatic patients (8,9,11,14).

There are certain limitations in the present article. First, and most importantly, it was a retrospective and single-centre observational study and comprised a small number of patients with tailgut cyst. This led to bias in the frequency of development of neoplastic lesion within tailgut cyst and the absence of a statistical comparison in the present study. Furthermore, molecular analysis is required to reveal the histogenesis of the neoplastic lesions in tailgut cyst. However, molecular analysis was not performed in the present study. Thus, additional clinicopathological and molecular studies with a larger cohort may be needed to clarify the histogenesis of neoplastic lesions in tailgut cyst.

In conclusion, the present study provided a clinicopathological analysis of an additional four patients with tailgut cyst. The frequency of the development of neoplastic lesions was high and a dysplasia-carcinoma sequence may be present in the development of the neoplastic lesions in tailgut cyst. Thus, complete surgical resection and accurate histopathological diagnosis are important.

Acknowledgements

None.

Funding

Funding: No funding was received.

Availability of data and materials

The data generated in the present study may be requested from the corresponding author.

Authors' contributions

Conception and design of the study: TK and MI; histopathological analysis: TK and MI; acquisition and analysis of data: TK, MI, HM, TY, MasH, MadH, YH and MS; drafting of the manuscript and preparation of tables and figures: TK and MI. TK and MI confirm the authenticity of all the raw data. All authors have read and approved the final version of the manuscript.

Ethics approval and consent to participate

The present study was conducted in accordance with the Declaration of Helsinki, and the study protocol was approved by the Institutional Review Board of the Kansai Medical University Hospital (Hirakata, Japan; protocol no. 2019088). All data are completely anonymized. The present study did not include any minors. For information regarding this study, the opt-out method waived the requirement for informed patient consent when using patient samples in research.

Patient consent for publication

A consent form for publication in Japanese was signed by each patient.

Competing interests

The authors declare that they have no competing interests.

Glossary

Abbreviations

Abbreviations:

CDX2

caudal-type homeobox-2

MRI

magnetic resonance imaging

References

1 

Mastoraki A, Giannakodimos I, Panagiotou K, Frountzas M, Chrysikos D, Kykalos S, Theodoropoulos GE and Schizas D: Epidemiology, diagnostic approach and therapeutic management of tailgut cysts: A systematic review. Int J Clin Pract. 75:e145462021. View Article : Google Scholar : PubMed/NCBI

2 

Brown IS, Sokolova A, Rosty C and Graham RP: Cystic lesions of the retrorectal space. Histopathology. 82:232–241. 2023. View Article : Google Scholar : PubMed/NCBI

3 

Nicoll K, Bartrop C, Walsh S, Foster R, Duncan G, Payne C and Carden C: Malignant transformation of tailgut cysts is significantly higher than previously reported: Systematic review of cases in the literature. Colorectal Dis. 21:869–878. 2019. View Article : Google Scholar : PubMed/NCBI

4 

Jao SW, Beart RW Jr, Spencer RJ, Reiman HM and Ilstrup DM: Retrorectal tumors. Mayo Clinic experience, 1960–1979. Dis Colon Rectum. 28:644–662. 1985. View Article : Google Scholar : PubMed/NCBI

5 

Baek SK, Hwang GS, Vinci A, Jafari MD, Jafari F, Moghadamyeghaneh Z and Pigazzi A: Retrorectal tumors: A comprehensive literature review. World J Surg. 40:2001–2015. 2016. View Article : Google Scholar : PubMed/NCBI

6 

Solís-Peña A, Ngu LWS, Kraft Carré M, Gomez Jurado MJ, Vallribera Valls F, Pellino G and Espin-Basany E: Robotic abdominal resection of tailgut cysts-A technical note with step-by-step description. Colorectal Dis. 24:793–796. 2022. View Article : Google Scholar : PubMed/NCBI

7 

Rompen IF, Scheiwiller A, Winiger A, Metzger J and Gass JM: Robotic-Assisted laparoscopic resection of tailgut cysts. JSLS. 25:e2021.000352021. View Article : Google Scholar : PubMed/NCBI

8 

Patsouras D, Pawa N, Osmani H and Phillips RK: Management of tailgut cysts in a tertiary referral centre: A 10-year experience. Colorectal Dis. 17:724–729. 2015. View Article : Google Scholar : PubMed/NCBI

9 

Wang YS, Guo QY, Zheng FH, Huang ZW, Yan JL, Fan FX, Liu T, Ji SX, Zhao XF and Zheng YX: Retrorectal mucinous adenocarcinoma arising from a tailgut cyst: A case report and review of literature. World J Gastrointest Surg. 14:1072–1081. 2022. View Article : Google Scholar : PubMed/NCBI

10 

Andea AA and Klimstra DS: Adenocarcinoma arising in a tailgut cyst with prominent meningothelial proliferation and thyroid tissue: Case report and review of the literature. Virchows Arch. 446:316–321. 2005. View Article : Google Scholar : PubMed/NCBI

11 

Lee A, Suhardja TS, Nguyen TC and Teoh WM: Neuroendocrine tumour developing within a long-standing tailgut cyst: Case report and review of the literature. Clin J Gastroenterol. 12:539–551. 2019. View Article : Google Scholar : PubMed/NCBI

12 

Iwata E, Orosz Z, The J, Reynolds J, Whitwell D, Tanaka Y and Athanasou NA: Neuroendocrine tumor arising in a tailgut cyst: A rare presacral tumor. Int J Surg Pathol. 27:336–342. 2019. View Article : Google Scholar : PubMed/NCBI

13 

Erdrich J, Schaberg KB, Khodadoust MS, Zhou L, Shelton AA, Visser BC, Ford JM, Alizadeh AA, Quake SR, Kunz PL and Beausang JF: Surgical and molecular characterization of primary and metastatic disease in a neuroendocrine tumor arising in a tailgut cyst. Cold Spring Harb Mol Case Stud. 4:a0030042018. View Article : Google Scholar : PubMed/NCBI

14 

La Rosa S, Boni L, Finzi G, Vigetti D, Papanikolaou N, Tenconi SM, Dionigi G, Clerici M, Garancini S and Capella C: Ghrelin-producing well-differentiated neuroendocrine tumor (carcinoid) of tailgut cyst. Morphological, immunohistochemical, ultrastructural, and RT-PCR study of a case and review of the literature. Endocr Pathol. 21:190–198. 2010. View Article : Google Scholar : PubMed/NCBI

Related Articles

  • Abstract
  • View
  • Download
  • Twitter
Copy and paste a formatted citation
Spandidos Publications style
Kobayashi T, Ishida M, Miki H, Yagyu T, Hatta M, Hamada M, Hirose Y and Sekimoto M: Analysis of the clinicopathological features of tailgut cyst with emphasis on the development of neoplastic lesions. Oncol Lett 27: 286, 2024.
APA
Kobayashi, T., Ishida, M., Miki, H., Yagyu, T., Hatta, M., Hamada, M. ... Sekimoto, M. (2024). Analysis of the clinicopathological features of tailgut cyst with emphasis on the development of neoplastic lesions. Oncology Letters, 27, 286. https://doi.org/10.3892/ol.2024.14419
MLA
Kobayashi, T., Ishida, M., Miki, H., Yagyu, T., Hatta, M., Hamada, M., Hirose, Y., Sekimoto, M."Analysis of the clinicopathological features of tailgut cyst with emphasis on the development of neoplastic lesions". Oncology Letters 27.6 (2024): 286.
Chicago
Kobayashi, T., Ishida, M., Miki, H., Yagyu, T., Hatta, M., Hamada, M., Hirose, Y., Sekimoto, M."Analysis of the clinicopathological features of tailgut cyst with emphasis on the development of neoplastic lesions". Oncology Letters 27, no. 6 (2024): 286. https://doi.org/10.3892/ol.2024.14419
Copy and paste a formatted citation
x
Spandidos Publications style
Kobayashi T, Ishida M, Miki H, Yagyu T, Hatta M, Hamada M, Hirose Y and Sekimoto M: Analysis of the clinicopathological features of tailgut cyst with emphasis on the development of neoplastic lesions. Oncol Lett 27: 286, 2024.
APA
Kobayashi, T., Ishida, M., Miki, H., Yagyu, T., Hatta, M., Hamada, M. ... Sekimoto, M. (2024). Analysis of the clinicopathological features of tailgut cyst with emphasis on the development of neoplastic lesions. Oncology Letters, 27, 286. https://doi.org/10.3892/ol.2024.14419
MLA
Kobayashi, T., Ishida, M., Miki, H., Yagyu, T., Hatta, M., Hamada, M., Hirose, Y., Sekimoto, M."Analysis of the clinicopathological features of tailgut cyst with emphasis on the development of neoplastic lesions". Oncology Letters 27.6 (2024): 286.
Chicago
Kobayashi, T., Ishida, M., Miki, H., Yagyu, T., Hatta, M., Hamada, M., Hirose, Y., Sekimoto, M."Analysis of the clinicopathological features of tailgut cyst with emphasis on the development of neoplastic lesions". Oncology Letters 27, no. 6 (2024): 286. https://doi.org/10.3892/ol.2024.14419
Follow us
  • Twitter
  • LinkedIn
  • Facebook
About
  • Spandidos Publications
  • Careers
  • Cookie Policy
  • Privacy Policy
How can we help?
  • Help
  • Live Chat
  • Contact
  • Email to our Support Team