Spandidos Publications Logo
  • About
    • About Spandidos
    • Aims and Scopes
    • Abstracting and Indexing
    • Editorial Policies
    • Reprints and Permissions
    • Job Opportunities
    • Terms and Conditions
    • Contact
  • Journals
    • All Journals
    • Oncology Letters
      • Oncology Letters
      • Information for Authors
      • Editorial Policies
      • Editorial Board
      • Aims and Scope
      • Abstracting and Indexing
      • Bibliographic Information
      • Archive
    • International Journal of Oncology
      • International Journal of Oncology
      • Information for Authors
      • Editorial Policies
      • Editorial Board
      • Aims and Scope
      • Abstracting and Indexing
      • Bibliographic Information
      • Archive
    • Molecular and Clinical Oncology
      • Molecular and Clinical Oncology
      • Information for Authors
      • Editorial Policies
      • Editorial Board
      • Aims and Scope
      • Abstracting and Indexing
      • Bibliographic Information
      • Archive
    • Experimental and Therapeutic Medicine
      • Experimental and Therapeutic Medicine
      • Information for Authors
      • Editorial Policies
      • Editorial Board
      • Aims and Scope
      • Abstracting and Indexing
      • Bibliographic Information
      • Archive
    • International Journal of Molecular Medicine
      • International Journal of Molecular Medicine
      • Information for Authors
      • Editorial Policies
      • Editorial Board
      • Aims and Scope
      • Abstracting and Indexing
      • Bibliographic Information
      • Archive
    • Biomedical Reports
      • Biomedical Reports
      • Information for Authors
      • Editorial Policies
      • Editorial Board
      • Aims and Scope
      • Abstracting and Indexing
      • Bibliographic Information
      • Archive
    • Oncology Reports
      • Oncology Reports
      • Information for Authors
      • Editorial Policies
      • Editorial Board
      • Aims and Scope
      • Abstracting and Indexing
      • Bibliographic Information
      • Archive
    • Molecular Medicine Reports
      • Molecular Medicine Reports
      • Information for Authors
      • Editorial Policies
      • Editorial Board
      • Aims and Scope
      • Abstracting and Indexing
      • Bibliographic Information
      • Archive
    • World Academy of Sciences Journal
      • World Academy of Sciences Journal
      • Information for Authors
      • Editorial Policies
      • Editorial Board
      • Aims and Scope
      • Abstracting and Indexing
      • Bibliographic Information
      • Archive
    • International Journal of Functional Nutrition
      • International Journal of Functional Nutrition
      • Information for Authors
      • Editorial Policies
      • Editorial Board
      • Aims and Scope
      • Abstracting and Indexing
      • Bibliographic Information
      • Archive
    • International Journal of Epigenetics
      • International Journal of Epigenetics
      • Information for Authors
      • Editorial Policies
      • Editorial Board
      • Aims and Scope
      • Abstracting and Indexing
      • Bibliographic Information
      • Archive
    • Medicine International
      • Medicine International
      • Information for Authors
      • Editorial Policies
      • Editorial Board
      • Aims and Scope
      • Abstracting and Indexing
      • Bibliographic Information
      • Archive
  • Articles
  • Information
    • Information for Authors
    • Information for Reviewers
    • Information for Librarians
    • Information for Advertisers
    • Conferences
  • Language Editing
Spandidos Publications Logo
  • About
    • About Spandidos
    • Aims and Scopes
    • Abstracting and Indexing
    • Editorial Policies
    • Reprints and Permissions
    • Job Opportunities
    • Terms and Conditions
    • Contact
  • Journals
    • All Journals
    • Biomedical Reports
      • Information for Authors
      • Editorial Policies
      • Editorial Board
      • Aims and Scope
      • Abstracting and Indexing
      • Bibliographic Information
      • Archive
    • Experimental and Therapeutic Medicine
      • Information for Authors
      • Editorial Policies
      • Editorial Board
      • Aims and Scope
      • Abstracting and Indexing
      • Bibliographic Information
      • Archive
    • International Journal of Epigenetics
      • Information for Authors
      • Editorial Policies
      • Editorial Board
      • Aims and Scope
      • Abstracting and Indexing
      • Bibliographic Information
      • Archive
    • International Journal of Functional Nutrition
      • Information for Authors
      • Editorial Policies
      • Editorial Board
      • Aims and Scope
      • Abstracting and Indexing
      • Bibliographic Information
      • Archive
    • International Journal of Molecular Medicine
      • Information for Authors
      • Editorial Policies
      • Editorial Board
      • Aims and Scope
      • Abstracting and Indexing
      • Bibliographic Information
      • Archive
    • International Journal of Oncology
      • Information for Authors
      • Editorial Policies
      • Editorial Board
      • Aims and Scope
      • Abstracting and Indexing
      • Bibliographic Information
      • Archive
    • Medicine International
      • Information for Authors
      • Editorial Policies
      • Editorial Board
      • Aims and Scope
      • Abstracting and Indexing
      • Bibliographic Information
      • Archive
    • Molecular and Clinical Oncology
      • Information for Authors
      • Editorial Policies
      • Editorial Board
      • Aims and Scope
      • Abstracting and Indexing
      • Bibliographic Information
      • Archive
    • Molecular Medicine Reports
      • Information for Authors
      • Editorial Policies
      • Editorial Board
      • Aims and Scope
      • Abstracting and Indexing
      • Bibliographic Information
      • Archive
    • Oncology Letters
      • Information for Authors
      • Editorial Policies
      • Editorial Board
      • Aims and Scope
      • Abstracting and Indexing
      • Bibliographic Information
      • Archive
    • Oncology Reports
      • Information for Authors
      • Editorial Policies
      • Editorial Board
      • Aims and Scope
      • Abstracting and Indexing
      • Bibliographic Information
      • Archive
    • World Academy of Sciences Journal
      • Information for Authors
      • Editorial Policies
      • Editorial Board
      • Aims and Scope
      • Abstracting and Indexing
      • Bibliographic Information
      • Archive
  • Articles
  • Information
    • For Authors
    • For Reviewers
    • For Librarians
    • For Advertisers
    • Conferences
  • Language Editing
Login Register Submit
  • This site uses cookies
  • You can change your cookie settings at any time by following the instructions in our Cookie Policy. To find out more, you may read our Privacy Policy.

    I agree
Search articles by DOI, keyword, author or affiliation
Search
Advanced Search
presentation
Oncology Letters
Join Editorial Board Propose a Special Issue
Print ISSN: 1792-1074 Online ISSN: 1792-1082
Journal Cover
August-2024 Volume 28 Issue 2

Full Size Image

Sign up for eToc alerts
Recommend to Library

Journals

International Journal of Molecular Medicine

International Journal of Molecular Medicine

International Journal of Molecular Medicine is an international journal devoted to molecular mechanisms of human disease.

International Journal of Oncology

International Journal of Oncology

International Journal of Oncology is an international journal devoted to oncology research and cancer treatment.

Molecular Medicine Reports

Molecular Medicine Reports

Covers molecular medicine topics such as pharmacology, pathology, genetics, neuroscience, infectious diseases, molecular cardiology, and molecular surgery.

Oncology Reports

Oncology Reports

Oncology Reports is an international journal devoted to fundamental and applied research in Oncology.

Experimental and Therapeutic Medicine

Experimental and Therapeutic Medicine

Experimental and Therapeutic Medicine is an international journal devoted to laboratory and clinical medicine.

Oncology Letters

Oncology Letters

Oncology Letters is an international journal devoted to Experimental and Clinical Oncology.

Biomedical Reports

Biomedical Reports

Explores a wide range of biological and medical fields, including pharmacology, genetics, microbiology, neuroscience, and molecular cardiology.

Molecular and Clinical Oncology

Molecular and Clinical Oncology

International journal addressing all aspects of oncology research, from tumorigenesis and oncogenes to chemotherapy and metastasis.

World Academy of Sciences Journal

World Academy of Sciences Journal

Multidisciplinary open-access journal spanning biochemistry, genetics, neuroscience, environmental health, and synthetic biology.

International Journal of Functional Nutrition

International Journal of Functional Nutrition

Open-access journal combining biochemistry, pharmacology, immunology, and genetics to advance health through functional nutrition.

International Journal of Epigenetics

International Journal of Epigenetics

Publishes open-access research on using epigenetics to advance understanding and treatment of human disease.

Medicine International

Medicine International

An International Open Access Journal Devoted to General Medicine.

Journal Cover
August-2024 Volume 28 Issue 2

Full Size Image

Sign up for eToc alerts
Recommend to Library

  • Article
  • Citations
    • Cite This Article
    • Download Citation
    • Create Citation Alert
    • Remove Citation Alert
    • Cited By
  • Similar Articles
    • Related Articles (in Spandidos Publications)
    • Similar Articles (Google Scholar)
    • Similar Articles (PubMed)
  • Download PDF
  • Download XML
  • View XML

  • Supplementary Files
    • Supplementary_Data.pdf
Case Report Open Access

SMARCA4‑deficient uterine adnexal tumor with ascites: A case report and literature review

  • Authors:
    • Xiu-Feng Li
    • Yu-Ping Zhang
    • Li-Li Wei
    • Zheng-Jiang Wang
    • Mai-Qing Yang
  • View Affiliations / Copyright

    Affiliations: Department of Pathology, Weifang People's Hospital (First Affiliated Hospital of Shandong Second Medical University), Weifang, Shandong 261041, P.R. China, Department of Pathology, Changyi Maternal and Child Health Hospital, Changyi, Shandong 261300, P.R. China, Department of Pathology, Weifang People's Hospital (First Affiliated Hospital of Shandong Second Medical University), Weifang, Shandong 261041, P.R. China
    Copyright: © Li et al. This is an open access article distributed under the terms of Creative Commons Attribution License.
  • Article Number: 357
    |
    Published online on: June 5, 2024
       https://doi.org/10.3892/ol.2024.14490
  • Expand metrics +
Metrics: Total Views: 0 (Spandidos Publications: | PMC Statistics: )
Metrics: Total PDF Downloads: 0 (Spandidos Publications: | PMC Statistics: )
Cited By (CrossRef): 0 citations Loading Articles...

This article is mentioned in:



Abstract

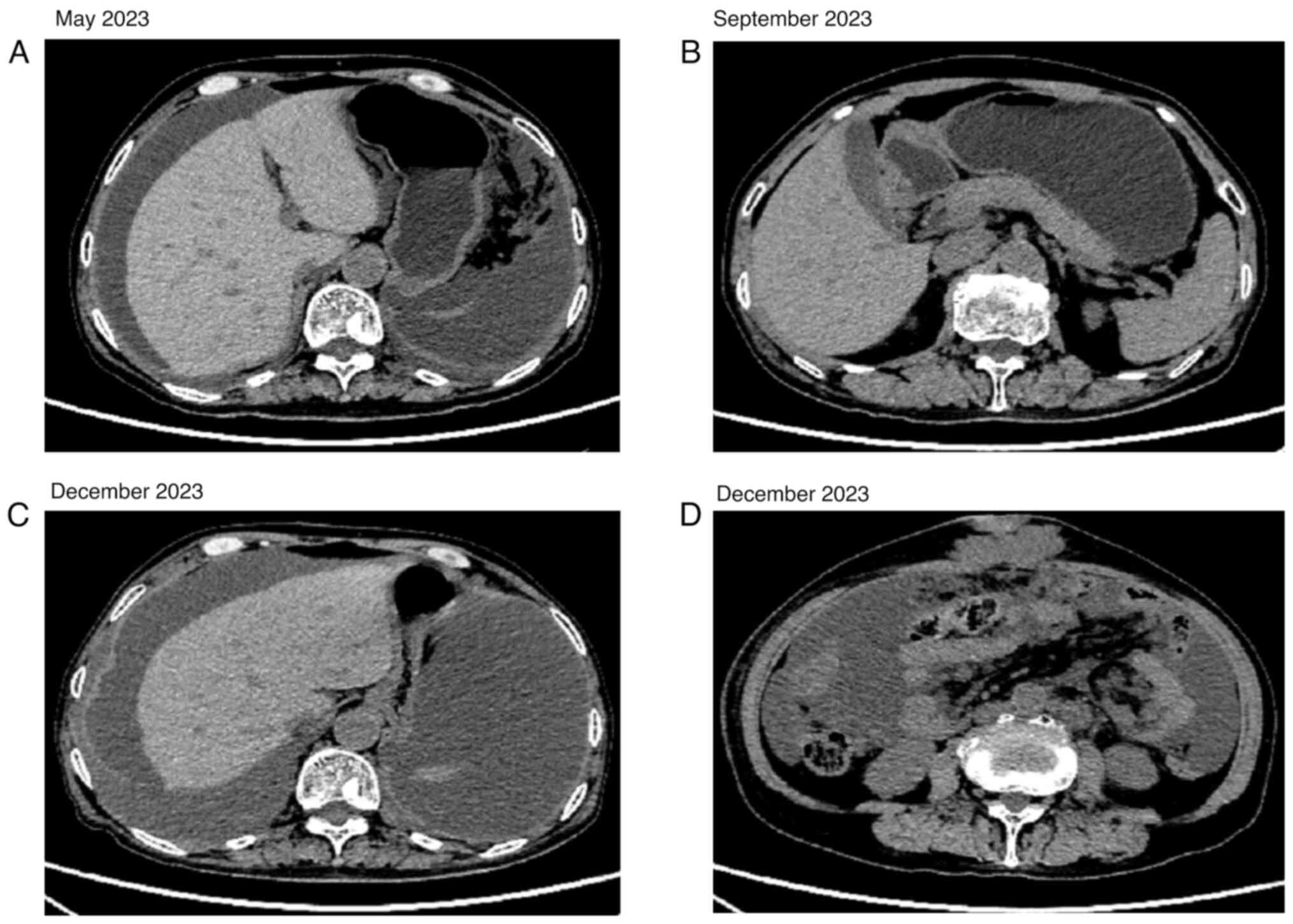
SWI/SNF‑related matrix‑associated actin‑dependent regulator of chromatin subfamily A member 4 (SMARCA4)‑deficient tumors are rare and highly aggressive tumors characterized by a loss of SMARCA4 expression, and SMARCA4‑deficient tumors in the adnexal area of the uterus are particularly rare. The present study describes the case of a 64‑year‑old woman who was admitted to Weifang People's Hospital (Weifang, China) with abdominal distension, and was observed to have a mass with ascites in the adnexal area of the uterus. Based on clinical, imaging and pathological findings, the patient was diagnosed with a SMARCA4‑deficient adnexal tumor with ascites. Biopsy of the left and right adnexal lesions was performed, and the patient was administered chemotherapy. After one cycle of bevacizumab, sindilizumab and carboplatin, no further treatment was administered. After biopsy and chemotherapy, the abdominal distension was alleviated and the general condition of the patient was satisfactory. The patient was followed up and died 3 months after treatment. Notably, it is important to avoid misdiagnosing this tumor as other types of adnexal uterine tumors, and morphological and immunohistochemical features may be useful for diagnosing primary SMARCA4‑deficient tumors in the adnexal area of the uterus.
View Figures

Figure 1

Figure 2

Figure 3

Figure 4

View References

1 

Peng L, Li J, Wu J, Xu B, Wang Z, Giamas G, Stebbing J and Yu Z: A Pan-Cancer Analysis of SMARCA4 alterations in human cancers. Front Immunol. 12:7625982021. View Article : Google Scholar : PubMed/NCBI

2 

Kakkar A, Ashraf SF, Rathor A, Adhya AK, Mani S, Sikka K and Jain D: SMARCA4/BRG1-Deficient Sinonasal Carcinoma. Arch Pathol Lab Med. 146:1122–1130. 2022. View Article : Google Scholar : PubMed/NCBI

3 

Nambirajan A, Singh V, Bhardwaj N, Mittal S, Kumar S and Jain D: SMARCA4/BRG1-Deficient non-small cell lung carcinomas: A case series and review of the literature. Arch Pathol Lab Med. 145:90–98. 2021. View Article : Google Scholar : PubMed/NCBI

4 

Ota T, Ishikawa T, Yasuda R, Yasuda T, Okayama T, Inoue K, Dohi O, Yoshida N, Kamada K, Uchiyama K, et al: The first case of SMARCA4-deficient sarcoma of stomach. Clin J Gastroenterol. 15:531–536. 2022. View Article : Google Scholar : PubMed/NCBI

5 

Duan H, Gao W, Wang L, Cao F and Teng L: Undifferentiated colonic neoplasm with SMARCA4 germline gene mutation and loss of SMARCA4 protein expression: A case report and literature review. Diagn Pathol. 16:302021. View Article : Google Scholar : PubMed/NCBI

6 

Huang R, Chen L, Pan C and Fang X: SMARCA4-deficient dedifferentiated endometrioid carcinoma: A case report. Asian J Surg. 46:5484–5485. 2023. View Article : Google Scholar : PubMed/NCBI

7 

Michel BC, D'Avino AR, Cassel SH, Mashtalir N, McKenzie ZM, McBride MJ, Valencia AM, Zhou Q, Bocker M, Soares LMM, et al: A non-canonical SWI/SNF complex is a synthetic lethal target in cancers driven by BAF complex perturbation. Nat Cell Biol. 20:1410–1420. 2018. View Article : Google Scholar : PubMed/NCBI

8 

Kim SY, Shen Q, Son K, Kim HS, Yang HD, Na MJ, Shin E, Yu S, Kang K, You JS, et al: SMARCA4 oncogenic potential via IRAK1 enhancer to activate Gankyrin and AKR1B10 in liver cancer. Oncogene. 40:4652–4662. 2021. View Article : Google Scholar : PubMed/NCBI

9 

Guerrero-Martínez JA and Reyes JC: High expression of SMARCA4 or SMARCA2 is frequently associated with an opposite prognosis in cancer. Sci Rep. 8:20432018. View Article : Google Scholar : PubMed/NCBI

10 

Witkowski L, Carrot-Zhang J, Albrecht S, Fahiminiya S, Hamel N, Tomiak E, Grynspan D, Saloustros E, Nadaf J, Rivera B, et al: Germline and somatic SMARCA4 mutations characterize small cell carcinoma of the ovary, hypercalcemic type. Nat Genet. 46:438–443. 2014. View Article : Google Scholar : PubMed/NCBI

11 

Kolin DL, Quick CM, Dong F, Fletcher CDM, Stewart CJR, Soma A, Hornick JL, Nucci MR and Howitt BE: SMARCA4-deficient uterine sarcoma and undifferentiated endometrial carcinoma are distinct clinicopathologic entities. Am J Surg Pathol. 44:263–270. 2020. View Article : Google Scholar : PubMed/NCBI

12 

Karanian-Philippe M, Velasco V, Longy M, Floquet A, Arnould L, Coindre JM, Le Naoures-Méar C, Averous G, Guyon F, MacGrogan G and Croce S: SMARCA4 (BRG1) loss of expression is a useful marker for the diagnosis of ovarian small cell carcinoma of the hypercalcemic type (ovarian rhabdoid tumor): A comprehensive analysis of 116 rare gynecologic tumors, 9 soft tissue tumors, and 9 melanomas. Am J Surg Pathol. 39:1197–1205. 2015. View Article : Google Scholar : PubMed/NCBI

13 

Lin DI, Allen JM, Hecht JL, Killian JK, Ngo NT, Edgerly C, Severson EA, Ali SM, Erlich RL, Ramkissoon SH, et al: SMARCA4 inactivation defines a subset of undifferentiated uterine sarcomas with rhabdoid and small cell features and germline mutation association. Mod Pathol. 32:1675–1687. 2019. View Article : Google Scholar : PubMed/NCBI

14 

Azzalini E, Stanta G, Canzonieri V and Bonin S: Overview of tumor heterogeneity in high-grade serous ovarian cancers. Int J Mol Sci. 24:150772023. View Article : Google Scholar : PubMed/NCBI

15 

Brambs CE, Höhn AK, Klagges S, Gläser A, Taubenheim S, Dornhöfer N, Einenkel J, Hiller GGR and Horn LC: Clinico-pathologic characteristics and prognostic factors of ovarian carcinoma with different histologic subtypes-A benchmark analysis of 482 cases. Pathol Res Pract. 233:1538592022. View Article : Google Scholar : PubMed/NCBI

16 

Connor YD, Miao D, Lin DI, Hayne C, Howitt BE, Dalrymple JL, DeLeonardis KR, Hacker MR, Esselen KM and Shea M: Germline mutations of SMARCA4 in small cell carcinoma of the ovary, hypercalcemic type and in SMARCA4-deficient undifferentiated uterine sarcoma: Clinical features of a single family and comparison of large cohorts. Gynecol Oncol. 157:106–114. 2020. View Article : Google Scholar : PubMed/NCBI

17 

Lu B and Shi H: An in-depth look at small cell carcinoma of the ovary, hypercalcemic type (SCCOHT): Clinical implications from recent molecular findings. J Cancer. 10:223–237. 2019. View Article : Google Scholar : PubMed/NCBI

18 

Gao J, Fan R, Chen D, Hou J, Chen H and Lu M: Pathological characteristics and immune microenvironment of SMARCA4-deficient undifferentiated uterine sarcoma. Diagn Pathol. 18:622023. View Article : Google Scholar : PubMed/NCBI

19 

Witkowski L, Goudie C, Ramos P, Boshari T, Brunet JS, Karnezis AN, Longy M, Knost JA, Saloustros E, McCluggage WG, et al: The influence of clinical and genetic factors on patient outcome in small cell carcinoma of the ovary, hypercalcemic type. Gynecol Oncol. 141:454–460. 2016. View Article : Google Scholar : PubMed/NCBI

20 

Shinno Y, Yoshida A, Masuda K, Matsumoto Y, Okuma Y, Yoshida T, Goto Y, Horinouchi H, Yamamoto N, Yatabe Y and Ohe Y: Efficacy of immune checkpoint inhibitors in SMARCA4-Deficient thoracic tumor. Clin Lung Cancer. 23:386–392. 2022. View Article : Google Scholar : PubMed/NCBI

21 

Bhat V, Koneru M, Knapp K, Joneja U, Morrison J and Hong YK: Identification and treatment of SMARCA4 deficient poorly differentiated gastric carcinoma. Am Surg. 89:4987–4989. 2023. View Article : Google Scholar : PubMed/NCBI

22 

Yang P, Xiong F, Lin Y, Liang P and Tang C: Effectiveness of tislelizumab when combined with etoposide and carboplatin in patients with SMARCA4-deficient undifferentiated thoracic tumor: A case report. Transl Cancer Res. 12:1041–1048. 2023. View Article : Google Scholar : PubMed/NCBI

23 

Kunimasa K, Okami J, Takenaka S, Honma K, Kukita Y, Nagata S, Kawamura T, Inoue T, Tamiya M, Kuhara H, et al: Conversion surgery for advanced thoracic SMARCA4-Deficient undifferentiated tumor with atezolizumab in combination with bevacizumab, paclitaxel, and carboplatin treatment: A case report. JTO Clin Res Rep. 2:1002352021.PubMed/NCBI

24 

Kurokawa M, Shimizuguchi T, Ito K, Takao M, Motoi T, Taguchi A, Yasugi T and Karasawa K: Notable Response of SMARCA4-Deficient undifferentiated uterine sarcoma to palliative radiation therapy. Adv Radiat Oncol. 6:1007282021. View Article : Google Scholar : PubMed/NCBI

25 

Romero OA, Vilarrubi A, Alburquerque-Bejar JJ, Gomez A, Andrades A, Trastulli D, Pros E, Setien F, Verdura S, Farré L, et al: SMARCA4 deficient tumours are vulnerable to KDM6A/UTX and KDM6B/JMJD3 blockade. Nat Commun. 12:43192021. View Article : Google Scholar : PubMed/NCBI

26 

Qian B, Leng W, Yan Z, Lu J, Chen S, Yi H and Jiang Z: Clinical Benefit With PARP inhibitor for pathogenic germline FANCA-Mutated relapsed epithelial ovarian cancer: A case report. Front Oncol. 12:7785452022. View Article : Google Scholar : PubMed/NCBI

27 

Liang X, Gao X, Wang F, Li S, Zhou Y, Guo P, Meng Y and Lu T: Clinical characteristics and prognostic analysis of SMARCA4-deficient non-small cell lung cancer. Cancer Med. 12:14171–14182. 2023. View Article : Google Scholar : PubMed/NCBI

Related Articles

  • Abstract
  • View
  • Download
  • Twitter
Copy and paste a formatted citation
Spandidos Publications style
Li X, Zhang Y, Wei L, Wang Z and Yang M: SMARCA4‑deficient uterine adnexal tumor with ascites: A case report and literature review. Oncol Lett 28: 357, 2024.
APA
Li, X., Zhang, Y., Wei, L., Wang, Z., & Yang, M. (2024). SMARCA4‑deficient uterine adnexal tumor with ascites: A case report and literature review. Oncology Letters, 28, 357. https://doi.org/10.3892/ol.2024.14490
MLA
Li, X., Zhang, Y., Wei, L., Wang, Z., Yang, M."SMARCA4‑deficient uterine adnexal tumor with ascites: A case report and literature review". Oncology Letters 28.2 (2024): 357.
Chicago
Li, X., Zhang, Y., Wei, L., Wang, Z., Yang, M."SMARCA4‑deficient uterine adnexal tumor with ascites: A case report and literature review". Oncology Letters 28, no. 2 (2024): 357. https://doi.org/10.3892/ol.2024.14490
Copy and paste a formatted citation
x
Spandidos Publications style
Li X, Zhang Y, Wei L, Wang Z and Yang M: SMARCA4‑deficient uterine adnexal tumor with ascites: A case report and literature review. Oncol Lett 28: 357, 2024.
APA
Li, X., Zhang, Y., Wei, L., Wang, Z., & Yang, M. (2024). SMARCA4‑deficient uterine adnexal tumor with ascites: A case report and literature review. Oncology Letters, 28, 357. https://doi.org/10.3892/ol.2024.14490
MLA
Li, X., Zhang, Y., Wei, L., Wang, Z., Yang, M."SMARCA4‑deficient uterine adnexal tumor with ascites: A case report and literature review". Oncology Letters 28.2 (2024): 357.
Chicago
Li, X., Zhang, Y., Wei, L., Wang, Z., Yang, M."SMARCA4‑deficient uterine adnexal tumor with ascites: A case report and literature review". Oncology Letters 28, no. 2 (2024): 357. https://doi.org/10.3892/ol.2024.14490
Follow us
  • Twitter
  • LinkedIn
  • Facebook
About
  • Spandidos Publications
  • Careers
  • Cookie Policy
  • Privacy Policy
How can we help?
  • Help
  • Live Chat
  • Contact
  • Email to our Support Team