Spandidos Publications Logo
  • About
    • About Spandidos
    • Aims and Scopes
    • Abstracting and Indexing
    • Editorial Policies
    • Reprints and Permissions
    • Job Opportunities
    • Terms and Conditions
    • Contact
  • Journals
    • All Journals
    • Oncology Letters
      • Oncology Letters
      • Information for Authors
      • Editorial Policies
      • Editorial Board
      • Aims and Scope
      • Abstracting and Indexing
      • Bibliographic Information
      • Archive
    • International Journal of Oncology
      • International Journal of Oncology
      • Information for Authors
      • Editorial Policies
      • Editorial Board
      • Aims and Scope
      • Abstracting and Indexing
      • Bibliographic Information
      • Archive
    • Molecular and Clinical Oncology
      • Molecular and Clinical Oncology
      • Information for Authors
      • Editorial Policies
      • Editorial Board
      • Aims and Scope
      • Abstracting and Indexing
      • Bibliographic Information
      • Archive
    • Experimental and Therapeutic Medicine
      • Experimental and Therapeutic Medicine
      • Information for Authors
      • Editorial Policies
      • Editorial Board
      • Aims and Scope
      • Abstracting and Indexing
      • Bibliographic Information
      • Archive
    • International Journal of Molecular Medicine
      • International Journal of Molecular Medicine
      • Information for Authors
      • Editorial Policies
      • Editorial Board
      • Aims and Scope
      • Abstracting and Indexing
      • Bibliographic Information
      • Archive
    • Biomedical Reports
      • Biomedical Reports
      • Information for Authors
      • Editorial Policies
      • Editorial Board
      • Aims and Scope
      • Abstracting and Indexing
      • Bibliographic Information
      • Archive
    • Oncology Reports
      • Oncology Reports
      • Information for Authors
      • Editorial Policies
      • Editorial Board
      • Aims and Scope
      • Abstracting and Indexing
      • Bibliographic Information
      • Archive
    • Molecular Medicine Reports
      • Molecular Medicine Reports
      • Information for Authors
      • Editorial Policies
      • Editorial Board
      • Aims and Scope
      • Abstracting and Indexing
      • Bibliographic Information
      • Archive
    • World Academy of Sciences Journal
      • World Academy of Sciences Journal
      • Information for Authors
      • Editorial Policies
      • Editorial Board
      • Aims and Scope
      • Abstracting and Indexing
      • Bibliographic Information
      • Archive
    • International Journal of Functional Nutrition
      • International Journal of Functional Nutrition
      • Information for Authors
      • Editorial Policies
      • Editorial Board
      • Aims and Scope
      • Abstracting and Indexing
      • Bibliographic Information
      • Archive
    • International Journal of Epigenetics
      • International Journal of Epigenetics
      • Information for Authors
      • Editorial Policies
      • Editorial Board
      • Aims and Scope
      • Abstracting and Indexing
      • Bibliographic Information
      • Archive
    • Medicine International
      • Medicine International
      • Information for Authors
      • Editorial Policies
      • Editorial Board
      • Aims and Scope
      • Abstracting and Indexing
      • Bibliographic Information
      • Archive
  • Articles
  • Information
    • Information for Authors
    • Information for Reviewers
    • Information for Librarians
    • Information for Advertisers
    • Conferences
  • Language Editing
Spandidos Publications Logo
  • About
    • About Spandidos
    • Aims and Scopes
    • Abstracting and Indexing
    • Editorial Policies
    • Reprints and Permissions
    • Job Opportunities
    • Terms and Conditions
    • Contact
  • Journals
    • All Journals
    • Biomedical Reports
      • Information for Authors
      • Editorial Policies
      • Editorial Board
      • Aims and Scope
      • Abstracting and Indexing
      • Bibliographic Information
      • Archive
    • Experimental and Therapeutic Medicine
      • Information for Authors
      • Editorial Policies
      • Editorial Board
      • Aims and Scope
      • Abstracting and Indexing
      • Bibliographic Information
      • Archive
    • International Journal of Epigenetics
      • Information for Authors
      • Editorial Policies
      • Editorial Board
      • Aims and Scope
      • Abstracting and Indexing
      • Bibliographic Information
      • Archive
    • International Journal of Functional Nutrition
      • Information for Authors
      • Editorial Policies
      • Editorial Board
      • Aims and Scope
      • Abstracting and Indexing
      • Bibliographic Information
      • Archive
    • International Journal of Molecular Medicine
      • Information for Authors
      • Editorial Policies
      • Editorial Board
      • Aims and Scope
      • Abstracting and Indexing
      • Bibliographic Information
      • Archive
    • International Journal of Oncology
      • Information for Authors
      • Editorial Policies
      • Editorial Board
      • Aims and Scope
      • Abstracting and Indexing
      • Bibliographic Information
      • Archive
    • Medicine International
      • Information for Authors
      • Editorial Policies
      • Editorial Board
      • Aims and Scope
      • Abstracting and Indexing
      • Bibliographic Information
      • Archive
    • Molecular and Clinical Oncology
      • Information for Authors
      • Editorial Policies
      • Editorial Board
      • Aims and Scope
      • Abstracting and Indexing
      • Bibliographic Information
      • Archive
    • Molecular Medicine Reports
      • Information for Authors
      • Editorial Policies
      • Editorial Board
      • Aims and Scope
      • Abstracting and Indexing
      • Bibliographic Information
      • Archive
    • Oncology Letters
      • Information for Authors
      • Editorial Policies
      • Editorial Board
      • Aims and Scope
      • Abstracting and Indexing
      • Bibliographic Information
      • Archive
    • Oncology Reports
      • Information for Authors
      • Editorial Policies
      • Editorial Board
      • Aims and Scope
      • Abstracting and Indexing
      • Bibliographic Information
      • Archive
    • World Academy of Sciences Journal
      • Information for Authors
      • Editorial Policies
      • Editorial Board
      • Aims and Scope
      • Abstracting and Indexing
      • Bibliographic Information
      • Archive
  • Articles
  • Information
    • For Authors
    • For Reviewers
    • For Librarians
    • For Advertisers
    • Conferences
  • Language Editing
Login Register Submit
  • This site uses cookies
  • You can change your cookie settings at any time by following the instructions in our Cookie Policy. To find out more, you may read our Privacy Policy.

    I agree
Search articles by DOI, keyword, author or affiliation
Search
Advanced Search
presentation
Oncology Letters
Join Editorial Board Propose a Special Issue
Print ISSN: 1792-1074 Online ISSN: 1792-1082
Journal Cover
December-2024 Volume 28 Issue 6

Full Size Image

Sign up for eToc alerts
Recommend to Library

Journals

International Journal of Molecular Medicine

International Journal of Molecular Medicine

International Journal of Molecular Medicine is an international journal devoted to molecular mechanisms of human disease.

International Journal of Oncology

International Journal of Oncology

International Journal of Oncology is an international journal devoted to oncology research and cancer treatment.

Molecular Medicine Reports

Molecular Medicine Reports

Covers molecular medicine topics such as pharmacology, pathology, genetics, neuroscience, infectious diseases, molecular cardiology, and molecular surgery.

Oncology Reports

Oncology Reports

Oncology Reports is an international journal devoted to fundamental and applied research in Oncology.

Experimental and Therapeutic Medicine

Experimental and Therapeutic Medicine

Experimental and Therapeutic Medicine is an international journal devoted to laboratory and clinical medicine.

Oncology Letters

Oncology Letters

Oncology Letters is an international journal devoted to Experimental and Clinical Oncology.

Biomedical Reports

Biomedical Reports

Explores a wide range of biological and medical fields, including pharmacology, genetics, microbiology, neuroscience, and molecular cardiology.

Molecular and Clinical Oncology

Molecular and Clinical Oncology

International journal addressing all aspects of oncology research, from tumorigenesis and oncogenes to chemotherapy and metastasis.

World Academy of Sciences Journal

World Academy of Sciences Journal

Multidisciplinary open-access journal spanning biochemistry, genetics, neuroscience, environmental health, and synthetic biology.

International Journal of Functional Nutrition

International Journal of Functional Nutrition

Open-access journal combining biochemistry, pharmacology, immunology, and genetics to advance health through functional nutrition.

International Journal of Epigenetics

International Journal of Epigenetics

Publishes open-access research on using epigenetics to advance understanding and treatment of human disease.

Medicine International

Medicine International

An International Open Access Journal Devoted to General Medicine.

Journal Cover
December-2024 Volume 28 Issue 6

Full Size Image

Sign up for eToc alerts
Recommend to Library

  • Article
  • Citations
    • Cite This Article
    • Download Citation
    • Create Citation Alert
    • Remove Citation Alert
    • Cited By
  • Similar Articles
    • Related Articles (in Spandidos Publications)
    • Similar Articles (Google Scholar)
    • Similar Articles (PubMed)
  • Download PDF
  • Download XML
  • View XML

  • Supplementary Files
    • Supplementary_Data1.pdf
    • Supplementary_Data2.pdf
Article Open Access

Fotemustine in recurrent high‑grade glioma: MRI neuro‑radiological findings

  • Authors:
    • Anna Paola Savoldi
    • Elena Anghileri
    • Marco Moscatelli
    • Antonio Silvani
    • Bianca Pollo
    • Cuccarini Valeria
    • Riccardo Pascuzzo
    • Domenico Aquino
    • Marina Grisoli
    • Fabio M. Doniselli
  • View Affiliations / Copyright

    Affiliations: Neuroradiology Unit, Fondazione IRCCS Istituto Neurologico Carlo Besta, I‑20133 Milan, Italy, Neuro‑Oncology Unit, Fondazione IRCCS Istituto Neurologico Carlo Besta, I‑20133 Milan, Italy, Neuropathology Unit, Fondazione IRCCS Istituto Neurologico Carlo Besta, I‑20133 Milan, Italy
    Copyright: © Savoldi et al. This is an open access article distributed under the terms of Creative Commons Attribution License.
  • Article Number: 570
    |
    Published online on: September 27, 2024
       https://doi.org/10.3892/ol.2024.14703
  • Expand metrics +
Metrics: Total Views: 0 (Spandidos Publications: | PMC Statistics: )
Metrics: Total PDF Downloads: 0 (Spandidos Publications: | PMC Statistics: )
Cited By (CrossRef): 0 citations Loading Articles...

This article is mentioned in:



Abstract

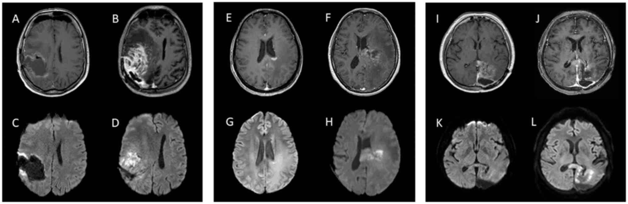
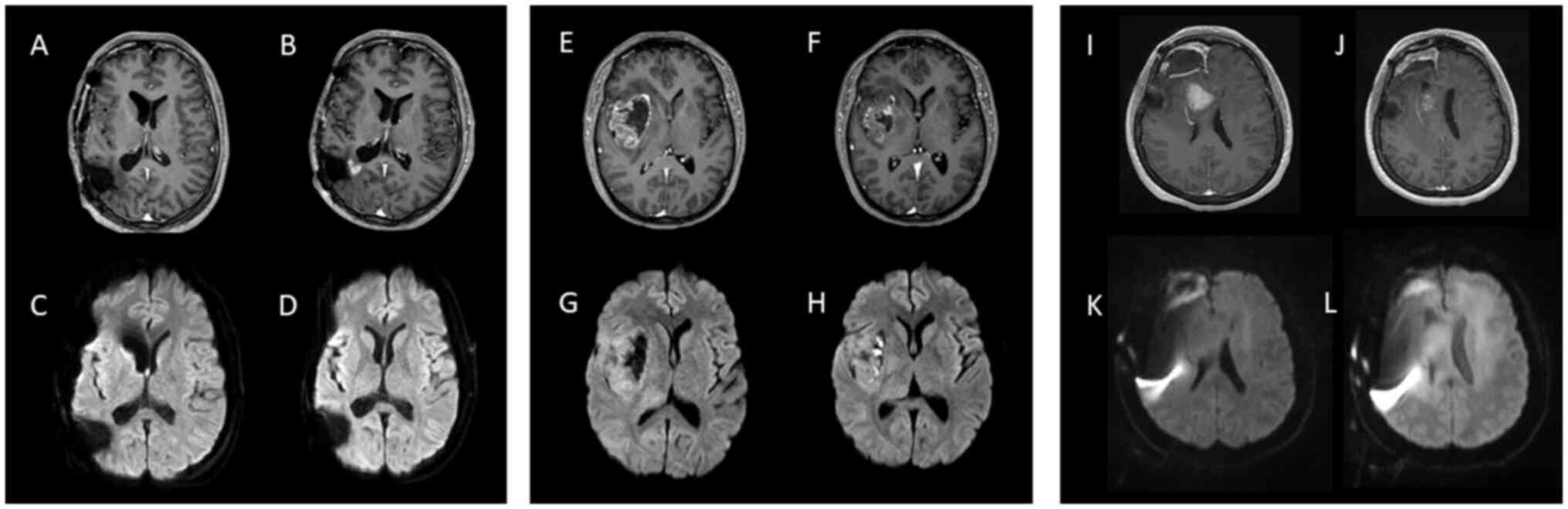
The use of fotemustine (FTM) has been authorized in certain countries for the treatment of recurrent high‑grade gliomas (HGG) after Stupp therapy. However, to the best of our knowledge, no studies have assessed changes in magnetic resonance imaging (MRI) during treatment with FTM monotherapy. The aim of the present study was to assess the neuroradiological findings in a cohort of patients with recurrent HGG treated with FTM monotherapy. Patients with HGG already undergoing the Stupp protocol were retrospectively included. MRIs (pre‑ and post‑FTM treatment) were analyzed by two neuroradiologists in consensus: Volume and diffusion values of the contrast‑enhanced component were measured on T1‑weighted volumetric sequences after gadolinium injection and on apparent diffusion coefficient (ADC) maps, respectively. A total of 19 patients [median age, 49 years; interquartile range (IQR), 43‑57 years] were included, 17 of whom had glioblastoma and 2 had astrocytoma isocitrate dehydrogenase‑mutated grade 4. The median duration of FTM therapy was 4 months (IQR, 2‑6 months). The median tumor volume measured on the contrast‑enhanced component was 2,216 mm3 (IQR, 768‑13,169 mm3) at baseline and 9,217 mm3 (IQR, 3,455‑16,697 mm3) at the end of treatment, with a median change of +38% (IQR, ‑45‑+574%). A total of seven patients showed a volume decrease. ADC value analysis of the enhancement area demonstrated no significant difference between the pre‑ and the post‑FTM treatment periods (P=0.36); however, in three patients, the decreases in ADC levels were particularly marked. In conclusion, the present study described a series of patients with recurrent HGG treated with FTM in monotherapy, demonstrating a prevalent increase in lesion enhancement and three cases of marked restrictions on diffusion‑weighted imaging. Further prospective studies are required to corroborate such preliminary results.
View Figures

Figure 1

Figure 2

Figure 3

View References

1 

Ostrom QT, Cioffi G, Gittleman H, Patil N, Waite K, Kruchko C and Barnholtz-Sloan JS: CBTRUS statistical report: Primary brain and other central nervous system Tumors Diagnosed in the United States in 2012–2016. Neuro Oncol. 21 (Suppl 5):v1–v100. 2019. View Article : Google Scholar : PubMed/NCBI

2 

Burnet NG, Jefferies SJ, Benson RJ, Hunt DP and Treasure FP: Years of life lost (YLL) from cancer is an important measure of population burden- and should be considered when allocating research funds. Br J Cancer. 92:241–245. 2005. View Article : Google Scholar : PubMed/NCBI

3 

Majewska P, Ioannidis S, Raza MH, Tanna N, Bulbeck H and Williams M: Postprogression survival in patients with glioblastoma treated with concurrent chemoradiotherapy: A routine care cohort study. CNS Oncol. 6:307–313. 2017. View Article : Google Scholar : PubMed/NCBI

4 

Stupp R, Mason WP, Van Den Bent MJ, Weller M, Fisher B, Taphoorn MJ, Belanger K, Brandes AA, Marosi C, Bogdahn U, et al: Radiotherapy plus concomitant and adjuvant temozolomide for glioblastoma. N Engl J Med. 352:987–996. 2005. View Article : Google Scholar : PubMed/NCBI

5 

van den Bent MJ, Tesileanu CMS, Wick W, Sanson M, Brandes AA, Clement PM, Erridge S, Vogelbaum MA, Nowak AK, Baurain JF, et al: Adjuvant and concurrent temozolomide for 1p/19q non-co-deleted anaplastic glioma (CATNON; EORTC study 26053-22054): Second interim analysis of a randomised, open-label, phase 3 study. Lancet Oncol. 22:813–823. 2021. View Article : Google Scholar : PubMed/NCBI

6 

Central Nervous System Cancers-NCCN Guidelines, . https://www.nccn.org/professionals/physician_gls/pdf/cns.pdf12–Apr. 2023

7 

Gallo C, Buonerba C, Di Lorenzo G, Romeo V, De Placido S and Marinelli A: Can high-dose fotemustine reverse MGMT resistance in glioblastoma multiforme? J Neurooncol. 100:311–319. 2010. View Article : Google Scholar : PubMed/NCBI

8 

Wei W, Chen X, Ma X, Wang D and Guo Z: The efficacy and safety of various dose-dense regimens of temozolomide for recurrent high-grade glioma: A systematic review with meta-analysis. J Neurooncol. 125:339–349. 2015. View Article : Google Scholar : PubMed/NCBI

9 

Jiapaer S, Furuta T, Tanaka S, Kitabayashi T and Nakada M: Potential strategies overcoming the temozolomide resistance for glioblastoma. Neurol Med Chir (Tokyo). 58:405–421. 2018. View Article : Google Scholar : PubMed/NCBI

10 

Malkki H: Trial Watch: Glioblastoma vaccine therapy disappointment in Phase III trial. Nat Rev Neurol. 12:1902016. View Article : Google Scholar : PubMed/NCBI

11 

Wang Y, Xing D, Zhao M, Wang J and Yang Y: The role of a single angiogenesis inhibitor in the treatment of recurrent Glioblastoma multiforme: A Meta-analysis and systematic review. PLoS One. 11:e01521702016. View Article : Google Scholar : PubMed/NCBI

12 

Birzu C, French P, Caccese M, Cerretti G, Idbaih A, Zagonel V and Lombardi G: Recurrent Glioblastoma: From molecular landscape to new treatment perspectives. Cancers (Basel). 13:472020. View Article : Google Scholar : PubMed/NCBI

13 

Beauchesne P: Fotemustine: A third-generation nitrosourea for the treatment of recurrent malignant gliomas. Cancers (Basel). 4:77–87. 2012. View Article : Google Scholar : PubMed/NCBI

14 

Addeo R, De Santi MS, Del Prete S and Caraglia M: Fotemustine and recurrent glioblastoma: Possible new opportunities for an old drug. Cancer Chemother Pharmacol. 64:863–866. 2009. View Article : Google Scholar : PubMed/NCBI

15 

Addeo R, Caraglia M, De Santi MS, Montella L, Abbruzzese A, Parlato C, Vincenzi B, Carraturo M, Faiola V, Genovese M, et al: A new schedule of fotemustine in temozolomide-pretreated patients with relapsing glioblastoma. J Neurooncol. 102:417–424. 2011. View Article : Google Scholar : PubMed/NCBI

16 

Frenay M, Giroux B, Khoury S, Derlon JM and Namer M: Phase II study of fotemustine in recurrent supratentorial malignant gliomas. Eur J Cancer. 27:852–856. 1991. View Article : Google Scholar : PubMed/NCBI

17 

Fabrini MG, Silvano G, Lolli I, Perrone F, Marsella A, Scotti V and Cionini L: A multi-institutional phase II study on second-line Fotemustine chemotherapy in recurrent glioblastoma. J Neurooncol. 92:79–86. 2009. View Article : Google Scholar : PubMed/NCBI

18 

De Felice F, Bulzonetti N, Musio D, D'Elia A, Salvati M and Tombolini V: Low-dose fotemustine as second-line chemotherapy for recurrent glioblastoma multiforme. Anticancer Res. 33:4013–4016. 2013.PubMed/NCBI

19 

Lombardi G, Farina P, Della Puppa A, Cecchin D, Pambuku A, Bellu L and Zagonel V: An overview of fotemustine in high-grade gliomas: From single agent to association with bevacizumab. Biomed Res Int. 2014:6985422014. View Article : Google Scholar : PubMed/NCBI

20 

Addeo R, Lamberti G, Simonetti G, Iodice P, Marinelli A, Montella L, Cappabianca S, Gaviani P, Caraglia M, Prete SD and Silvani A: Biweekly fotemustine schedule for recurrent glioblastoma in the elderly: Activity and toxicity assessment of a multicenter study. CNS Oncol. 8:CNS322019. View Article : Google Scholar : PubMed/NCBI

21 

Weller M, van den Bent M, Hopkins K, Tonn JC, Stupp R, Falini A, Cohen-Jonathan-Moyal E, Frappaz D, Henriksson R, Balana C, et al: EANO guideline for the diagnosis and treatment of anaplastic gliomas and glioblastoma. Lancet Oncol. 15:e395–e403. 2014. View Article : Google Scholar : PubMed/NCBI

22 

Leone A, Colamaria A, Fochi NP, Sacco M, Landriscina M, Parbonetti G, de Notaris M, Coppola G, De Santis E, Giordano G and Carbone F: Recurrent Glioblastoma treatment: State of the art and future perspectives in the precision medicine era. Biomedicines. 10:19272022. View Article : Google Scholar : PubMed/NCBI

23 

Yushkevich PA, Piven J, Hazlett HC, Smith RG, Ho S, Gee JC and Gerig G: User-guided 3D active contour segmentation of anatomical structures: Significantly improved efficiency and reliability. Neuroimage. 31:1116–1128. 2006. View Article : Google Scholar : PubMed/NCBI

24 

Fedorov A, Beichel R, Kalpathy-Cramer J, Finet J, Fillion-Robin JC, Pujol S, Bauer C, Jennings D, Fennessy F, Sonka M, et al: 3D slicer as an image computing platform for the quantitative imaging network. Magn Reson Imaging. 30:1323–1341. 2012. View Article : Google Scholar : PubMed/NCBI

25 

WHO Classification of Tumours Editorial Board, . World Health Organization classification of tumours of the central nervous system. 5th edition. International Agency for Research on Cancer; Lyon: 2021

26 

Wen PY, Macdonald DR, Reardon DA, Cloughesy TF, Sorensen AG, Galanis E, Degroot J, Wick W, Gilbert MR, Lassman AB, et al: Updated response assessment criteria for high-grade gliomas: Response assessment in Neuro-oncology working group. J Clin Oncol. 28:1963–1972. 2010. View Article : Google Scholar : PubMed/NCBI

27 

De Rossi A, Rossi L, Laudisi A, Sini V, Toppo L, Marchesi F, Tortorelli G, Leti M, Turriziani M, Aquino A, et al: Focus on fotemustine. J Exp Clin Cancer Res. 25:461–468. 2006.PubMed/NCBI

28 

Marinelli A, Lamberti G, Cerbone L, Cordua N, Buonerba C, Peluso G, Di Lorenzo G and De Placido S: High-dose fotemustine in temozolomide-pretreated glioblastoma multiforme patients. Medicine (Baltimore). 97:e112542018. View Article : Google Scholar : PubMed/NCBI

29 

Pérez-Segura P, Manneh R, Ceballos I, García A, Benavides M, Fuster J, Vaz MA, Cano JM, Berros JP, Covela M, et al: GEINOFOTE: Efficacy and safety of fotemustine in patients with high-grade recurrent gliomas and poor performance status. Clin Transl Oncol. 18:805–812. 2016. View Article : Google Scholar : PubMed/NCBI

30 

Prelaj A, Rebuzzi S, Grassi M, Salvati M, D'Elia A, Buttarelli F, Ferrara C, Tomao S and Bianco V: Non-conventional fotemustine schedule as second-line treatment in recurrent malignant gliomas: Survival across disease and treatment subgroup analysis and review of the literature. Mol Clin Oncol. 10:58–66. 2018.PubMed/NCBI

31 

Scoccianti S, Detti B, Sardaro A, Iannalfi A, Meattini I, Leonulli BG, Borghesi S, Martinelli F, Bordi L, Ammannati F and Biti G: Second-line chemotherapy with fotemustine in temozolomide-pretreated patients with relapsing glioblastoma: A single institution experience. Anticancer Drugs. 19:613–620. 2008. View Article : Google Scholar : PubMed/NCBI

32 

Kono K, Inoue Y, Nakayama K, Shakudo M, Morino M, Ohata K, Wakasa K and Yamada R: The role of diffusion-weighted imaging in patients with brain tumors. AJNR Am J Neuroradiol. 22:1081–1088. 2001.PubMed/NCBI

33 

Leao DJ, Craig PG, Godoy LF, Leite CC and Policeni B: Response assessment in Neuro-oncology criteria for gliomas: Practical approach using conventional and advanced techniques. Am J Neuroradiol. 41:10–20. 2020. View Article : Google Scholar : PubMed/NCBI

34 

Hsu CH, Lober RM, Li MD, Partap S, Murphy PA, Barnes PD, Fisher PG and Yeom KW: Decreased tumor apparent diffusion coefficient correlates with objective response of pediatric low-grade glioma to bevacizumab. J Neurooncol. 122:491–496. 2015. View Article : Google Scholar : PubMed/NCBI

35 

Galla N, Chiang G, Chakraborty S, Singh R, John Tsiouris A, Boockvar J and Kovanlikaya I: Apparent diffusion coefficient changes predict survival after intra-arterial bevacizumab treatment in recurrent glioblastoma. Neuroradiology. 59:499–505. 2017. View Article : Google Scholar : PubMed/NCBI

36 

Pope WB, Qiao XJ, Kim HJ, Lai A, Nghiemphu P, Xue X, Ellingson BM, Schiff D, Aregawi D, Cha S, et al: Apparent diffusion coefficient histogram analysis stratifies progression-free and overall survival in patients with recurrent GBM treated with bevacizumab: A multi-center study. J Neurooncol. 108:491–498. 2012. View Article : Google Scholar : PubMed/NCBI

37 

Sener RN: Diffusion MRI: Apparent diffusion coefficient (ADC) values in the normal brain and a classification of brain disorders based on ADC values. Comput Med Imaging Graph. 25:299–326. 2001. View Article : Google Scholar : PubMed/NCBI

38 

Kamali A, Gandhi A, Nunez LC, Lugo AE, Arevalo-Espejo O, Zhu JJ, Esquenazi-Levy Y, Zhang X and Riascos RF: The role of apparent diffusion coefficient values in Glioblastoma: Differentiating tumor progression versus treatment-related changes. J Comput Assist Tomogr. 46:923–928. 2022. View Article : Google Scholar : PubMed/NCBI

39 

Hegi ME, Diserens AC, Gorlia T, Hamou MF, de Tribolet N, Weller M, Kros JM, Hainfellner JA, Mason W, Mariani L, et al: MGMT gene silencing and benefit from temozolomide in glioblastoma. N Engl J Med. 352:997–1003. 2005. View Article : Google Scholar : PubMed/NCBI

40 

Fabi A, Metro G, Russillo M, Vidiri A, Carapella CM, Maschio M, Cognetti F, Jandolo B, Mirri MA, Sperduti I, et al: Treatment of recurrent malignant gliomas with fotemustine monotherapy: Impact of dose and correlation with MGMT promoter methylation. BMC Cancer. 9:1012009. View Article : Google Scholar : PubMed/NCBI

Related Articles

  • Abstract
  • View
  • Download
  • Twitter
Copy and paste a formatted citation
Spandidos Publications style
Savoldi AP, Anghileri E, Moscatelli M, Silvani A, Pollo B, Valeria C, Pascuzzo R, Aquino D, Grisoli M, Doniselli FM, Doniselli FM, et al: Fotemustine in recurrent high‑grade glioma: MRI neuro‑radiological findings. Oncol Lett 28: 570, 2024.
APA
Savoldi, A.P., Anghileri, E., Moscatelli, M., Silvani, A., Pollo, B., Valeria, C. ... Doniselli, F.M. (2024). Fotemustine in recurrent high‑grade glioma: MRI neuro‑radiological findings. Oncology Letters, 28, 570. https://doi.org/10.3892/ol.2024.14703
MLA
Savoldi, A. P., Anghileri, E., Moscatelli, M., Silvani, A., Pollo, B., Valeria, C., Pascuzzo, R., Aquino, D., Grisoli, M., Doniselli, F. M."Fotemustine in recurrent high‑grade glioma: MRI neuro‑radiological findings". Oncology Letters 28.6 (2024): 570.
Chicago
Savoldi, A. P., Anghileri, E., Moscatelli, M., Silvani, A., Pollo, B., Valeria, C., Pascuzzo, R., Aquino, D., Grisoli, M., Doniselli, F. M."Fotemustine in recurrent high‑grade glioma: MRI neuro‑radiological findings". Oncology Letters 28, no. 6 (2024): 570. https://doi.org/10.3892/ol.2024.14703
Copy and paste a formatted citation
x
Spandidos Publications style
Savoldi AP, Anghileri E, Moscatelli M, Silvani A, Pollo B, Valeria C, Pascuzzo R, Aquino D, Grisoli M, Doniselli FM, Doniselli FM, et al: Fotemustine in recurrent high‑grade glioma: MRI neuro‑radiological findings. Oncol Lett 28: 570, 2024.
APA
Savoldi, A.P., Anghileri, E., Moscatelli, M., Silvani, A., Pollo, B., Valeria, C. ... Doniselli, F.M. (2024). Fotemustine in recurrent high‑grade glioma: MRI neuro‑radiological findings. Oncology Letters, 28, 570. https://doi.org/10.3892/ol.2024.14703
MLA
Savoldi, A. P., Anghileri, E., Moscatelli, M., Silvani, A., Pollo, B., Valeria, C., Pascuzzo, R., Aquino, D., Grisoli, M., Doniselli, F. M."Fotemustine in recurrent high‑grade glioma: MRI neuro‑radiological findings". Oncology Letters 28.6 (2024): 570.
Chicago
Savoldi, A. P., Anghileri, E., Moscatelli, M., Silvani, A., Pollo, B., Valeria, C., Pascuzzo, R., Aquino, D., Grisoli, M., Doniselli, F. M."Fotemustine in recurrent high‑grade glioma: MRI neuro‑radiological findings". Oncology Letters 28, no. 6 (2024): 570. https://doi.org/10.3892/ol.2024.14703
Follow us
  • Twitter
  • LinkedIn
  • Facebook
About
  • Spandidos Publications
  • Careers
  • Cookie Policy
  • Privacy Policy
How can we help?
  • Help
  • Live Chat
  • Contact
  • Email to our Support Team