Spandidos Publications Logo
  • About
    • About Spandidos
    • Aims and Scopes
    • Abstracting and Indexing
    • Editorial Policies
    • Reprints and Permissions
    • Job Opportunities
    • Terms and Conditions
    • Contact
  • Journals
    • All Journals
    • Oncology Letters
      • Oncology Letters
      • Information for Authors
      • Editorial Policies
      • Editorial Board
      • Aims and Scope
      • Abstracting and Indexing
      • Bibliographic Information
      • Archive
    • International Journal of Oncology
      • International Journal of Oncology
      • Information for Authors
      • Editorial Policies
      • Editorial Board
      • Aims and Scope
      • Abstracting and Indexing
      • Bibliographic Information
      • Archive
    • Molecular and Clinical Oncology
      • Molecular and Clinical Oncology
      • Information for Authors
      • Editorial Policies
      • Editorial Board
      • Aims and Scope
      • Abstracting and Indexing
      • Bibliographic Information
      • Archive
    • Experimental and Therapeutic Medicine
      • Experimental and Therapeutic Medicine
      • Information for Authors
      • Editorial Policies
      • Editorial Board
      • Aims and Scope
      • Abstracting and Indexing
      • Bibliographic Information
      • Archive
    • International Journal of Molecular Medicine
      • International Journal of Molecular Medicine
      • Information for Authors
      • Editorial Policies
      • Editorial Board
      • Aims and Scope
      • Abstracting and Indexing
      • Bibliographic Information
      • Archive
    • Biomedical Reports
      • Biomedical Reports
      • Information for Authors
      • Editorial Policies
      • Editorial Board
      • Aims and Scope
      • Abstracting and Indexing
      • Bibliographic Information
      • Archive
    • Oncology Reports
      • Oncology Reports
      • Information for Authors
      • Editorial Policies
      • Editorial Board
      • Aims and Scope
      • Abstracting and Indexing
      • Bibliographic Information
      • Archive
    • Molecular Medicine Reports
      • Molecular Medicine Reports
      • Information for Authors
      • Editorial Policies
      • Editorial Board
      • Aims and Scope
      • Abstracting and Indexing
      • Bibliographic Information
      • Archive
    • World Academy of Sciences Journal
      • World Academy of Sciences Journal
      • Information for Authors
      • Editorial Policies
      • Editorial Board
      • Aims and Scope
      • Abstracting and Indexing
      • Bibliographic Information
      • Archive
    • International Journal of Functional Nutrition
      • International Journal of Functional Nutrition
      • Information for Authors
      • Editorial Policies
      • Editorial Board
      • Aims and Scope
      • Abstracting and Indexing
      • Bibliographic Information
      • Archive
    • International Journal of Epigenetics
      • International Journal of Epigenetics
      • Information for Authors
      • Editorial Policies
      • Editorial Board
      • Aims and Scope
      • Abstracting and Indexing
      • Bibliographic Information
      • Archive
    • Medicine International
      • Medicine International
      • Information for Authors
      • Editorial Policies
      • Editorial Board
      • Aims and Scope
      • Abstracting and Indexing
      • Bibliographic Information
      • Archive
  • Articles
  • Information
    • Information for Authors
    • Information for Reviewers
    • Information for Librarians
    • Information for Advertisers
    • Conferences
  • Language Editing
Spandidos Publications Logo
  • About
    • About Spandidos
    • Aims and Scopes
    • Abstracting and Indexing
    • Editorial Policies
    • Reprints and Permissions
    • Job Opportunities
    • Terms and Conditions
    • Contact
  • Journals
    • All Journals
    • Biomedical Reports
      • Information for Authors
      • Editorial Policies
      • Editorial Board
      • Aims and Scope
      • Abstracting and Indexing
      • Bibliographic Information
      • Archive
    • Experimental and Therapeutic Medicine
      • Information for Authors
      • Editorial Policies
      • Editorial Board
      • Aims and Scope
      • Abstracting and Indexing
      • Bibliographic Information
      • Archive
    • International Journal of Epigenetics
      • Information for Authors
      • Editorial Policies
      • Editorial Board
      • Aims and Scope
      • Abstracting and Indexing
      • Bibliographic Information
      • Archive
    • International Journal of Functional Nutrition
      • Information for Authors
      • Editorial Policies
      • Editorial Board
      • Aims and Scope
      • Abstracting and Indexing
      • Bibliographic Information
      • Archive
    • International Journal of Molecular Medicine
      • Information for Authors
      • Editorial Policies
      • Editorial Board
      • Aims and Scope
      • Abstracting and Indexing
      • Bibliographic Information
      • Archive
    • International Journal of Oncology
      • Information for Authors
      • Editorial Policies
      • Editorial Board
      • Aims and Scope
      • Abstracting and Indexing
      • Bibliographic Information
      • Archive
    • Medicine International
      • Information for Authors
      • Editorial Policies
      • Editorial Board
      • Aims and Scope
      • Abstracting and Indexing
      • Bibliographic Information
      • Archive
    • Molecular and Clinical Oncology
      • Information for Authors
      • Editorial Policies
      • Editorial Board
      • Aims and Scope
      • Abstracting and Indexing
      • Bibliographic Information
      • Archive
    • Molecular Medicine Reports
      • Information for Authors
      • Editorial Policies
      • Editorial Board
      • Aims and Scope
      • Abstracting and Indexing
      • Bibliographic Information
      • Archive
    • Oncology Letters
      • Information for Authors
      • Editorial Policies
      • Editorial Board
      • Aims and Scope
      • Abstracting and Indexing
      • Bibliographic Information
      • Archive
    • Oncology Reports
      • Information for Authors
      • Editorial Policies
      • Editorial Board
      • Aims and Scope
      • Abstracting and Indexing
      • Bibliographic Information
      • Archive
    • World Academy of Sciences Journal
      • Information for Authors
      • Editorial Policies
      • Editorial Board
      • Aims and Scope
      • Abstracting and Indexing
      • Bibliographic Information
      • Archive
  • Articles
  • Information
    • For Authors
    • For Reviewers
    • For Librarians
    • For Advertisers
    • Conferences
  • Language Editing
Login Register Submit
  • This site uses cookies
  • You can change your cookie settings at any time by following the instructions in our Cookie Policy. To find out more, you may read our Privacy Policy.

    I agree
Search articles by DOI, keyword, author or affiliation
Search
Advanced Search
presentation
Oncology Letters
Join Editorial Board Propose a Special Issue
Print ISSN: 1792-1074 Online ISSN: 1792-1082
Journal Cover
December-2024 Volume 28 Issue 6

Full Size Image

Sign up for eToc alerts
Recommend to Library

Journals

International Journal of Molecular Medicine

International Journal of Molecular Medicine

International Journal of Molecular Medicine is an international journal devoted to molecular mechanisms of human disease.

International Journal of Oncology

International Journal of Oncology

International Journal of Oncology is an international journal devoted to oncology research and cancer treatment.

Molecular Medicine Reports

Molecular Medicine Reports

Covers molecular medicine topics such as pharmacology, pathology, genetics, neuroscience, infectious diseases, molecular cardiology, and molecular surgery.

Oncology Reports

Oncology Reports

Oncology Reports is an international journal devoted to fundamental and applied research in Oncology.

Experimental and Therapeutic Medicine

Experimental and Therapeutic Medicine

Experimental and Therapeutic Medicine is an international journal devoted to laboratory and clinical medicine.

Oncology Letters

Oncology Letters

Oncology Letters is an international journal devoted to Experimental and Clinical Oncology.

Biomedical Reports

Biomedical Reports

Explores a wide range of biological and medical fields, including pharmacology, genetics, microbiology, neuroscience, and molecular cardiology.

Molecular and Clinical Oncology

Molecular and Clinical Oncology

International journal addressing all aspects of oncology research, from tumorigenesis and oncogenes to chemotherapy and metastasis.

World Academy of Sciences Journal

World Academy of Sciences Journal

Multidisciplinary open-access journal spanning biochemistry, genetics, neuroscience, environmental health, and synthetic biology.

International Journal of Functional Nutrition

International Journal of Functional Nutrition

Open-access journal combining biochemistry, pharmacology, immunology, and genetics to advance health through functional nutrition.

International Journal of Epigenetics

International Journal of Epigenetics

Publishes open-access research on using epigenetics to advance understanding and treatment of human disease.

Medicine International

Medicine International

An International Open Access Journal Devoted to General Medicine.

Journal Cover
December-2024 Volume 28 Issue 6

Full Size Image

Sign up for eToc alerts
Recommend to Library

  • Article
  • Citations
    • Cite This Article
    • Download Citation
    • Create Citation Alert
    • Remove Citation Alert
    • Cited By
  • Similar Articles
    • Related Articles (in Spandidos Publications)
    • Similar Articles (Google Scholar)
    • Similar Articles (PubMed)
  • Download PDF
  • Download XML
  • View XML
Article Open Access

β‑catenin expression in endometrioid type endometrial cancer: Expression patterns and impact on disease outcomes

  • Authors:
    • Orkun Han
    • Aysun Alci
    • Hulya Tosun Yildirim
    • Mustafa Gokkaya
    • Necim Yalcin
    • Selim Kandemir
    • Mehmet Goksu
    • Isin Ureyen
    • Tayfun Toptas
  • View Affiliations / Copyright

    Affiliations: Department of Obstetrics and Gynecology, Saglik Bilimleri University Antalya Training and Research Hospital, 07100 Antalya, Turkey, Department of Gynecological Oncology, Saglik Bilimleri University Antalya Training and Research Hospital, 07100 Antalya, Turkey, Department of Pathology, Saglik Bilimleri University Antalya Training and Research Hospital, 07100 Antalya, Turkey
    Copyright: © Han et al. This is an open access article distributed under the terms of Creative Commons Attribution License.
  • Article Number: 580
    |
    Published online on: October 2, 2024
       https://doi.org/10.3892/ol.2024.14713
  • Expand metrics +
Metrics: Total Views: 0 (Spandidos Publications: | PMC Statistics: )
Metrics: Total PDF Downloads: 0 (Spandidos Publications: | PMC Statistics: )
Cited By (CrossRef): 0 citations Loading Articles...

This article is mentioned in:



Abstract

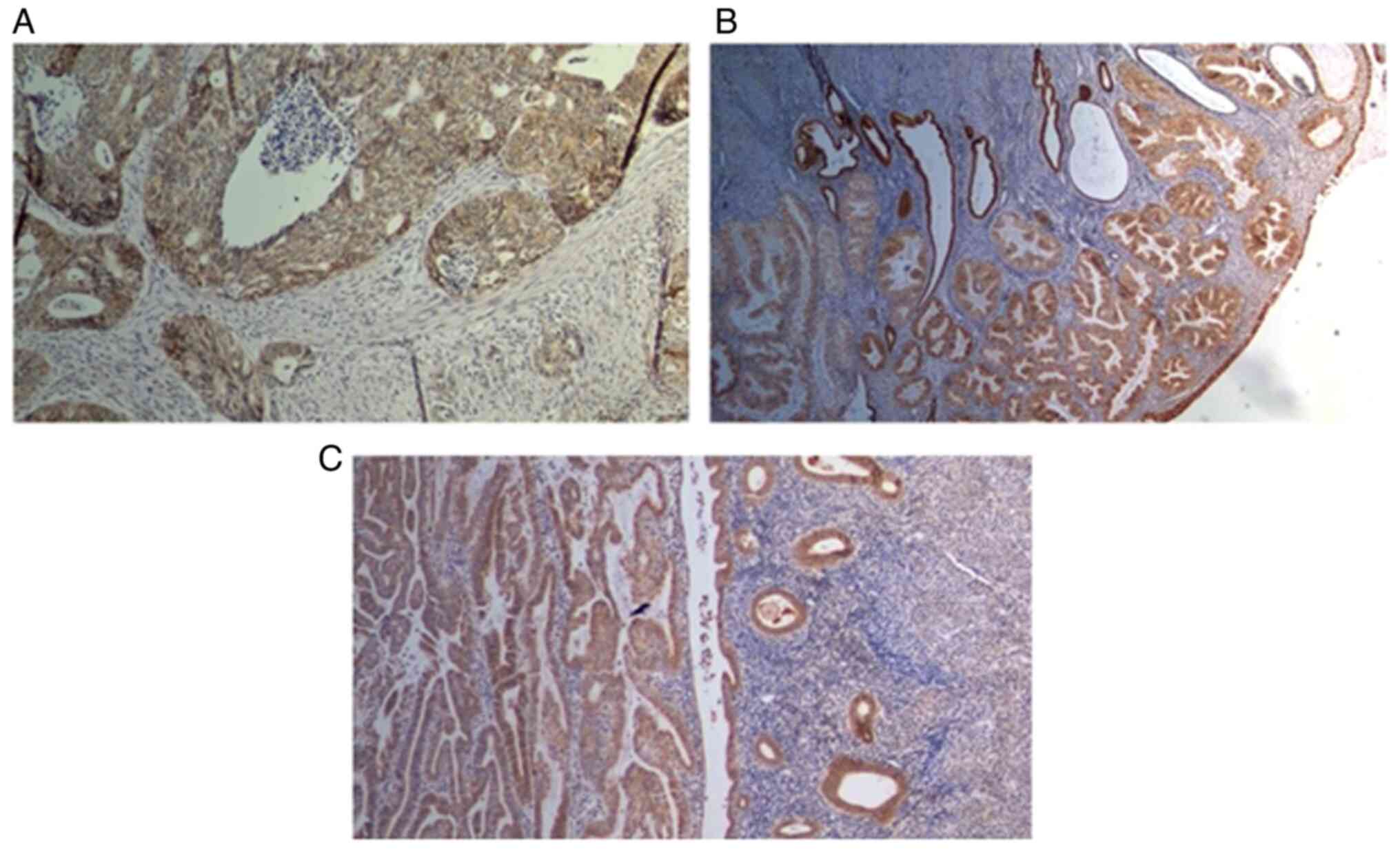
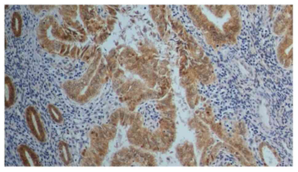
Determination of nuclear and/or cytoplasmic expression of β‑catenin by immunohistochemistry in patients with endometrial cancer (EC) may constitute a potential diagnostic method for identifying patients with a catenin β1 (CTNNB1) gene mutation and those at risk of disease recurrence. The present study aimed to investigate β‑catenin expression patterns in hysterectomy specimens of patients with endometrioid type EC using immunohistochemistry, and to examine the prognostic impact of β‑catenin. The study was a single‑institutional, retrospective cohort trial enrolling consecutive patients with a postoperative histopathological diagnosis of endometrioid EC who underwent hysterectomy between January 2015 and December 2018. Histopathology slides from 75 patients were stained with a monoclonal antibody targeting the β‑catenin protein. Any percentage of nuclear staining, whether focal or diffuse, was considered ‘β‑catenin nuclear‑positive’. The cytoplasmic staining reaction of β‑catenin was assessed based on the percentage of stained cells and staining intensity. Immune‑reactivity score (IRS) values were determined by multiplying the scores for the percentage of staining and staining intensity. IRS values 0 to 2 were regarded as negative expression, 3 to 4 as low expression, 6 to 8 as moderate expression, and 9 to 12 as high expression. Recurrence‑free survival (RFS) was used as the prognostic endpoint. Only 2 out of 75 tissue samples (2.7%) exhibited nuclear β‑catenin expression, with a low staining percentage of 5%. By contrast, cytoplasmic staining was observed in all samples (100%). According to the IRS findings, 1.3% of the samples exhibited negative cytoplasmic expression, 42.7% low expression, 38.7% moderate expression and 17.3% high expression. Cox regression analysis revealed that staining with β‑catenin, either nuclear or cytoplasmic, had no impact on RFS, and stage was the sole independent prognostic factor. In conclusion, based on these results, β‑catenin expression in endometrioid EC was revealed to be mostly cytoplasmic, with only 2.7% of tissue samples exhibiting nuclear expression. Overall, β‑catenin expression has no impact on RFS.
View Figures

Figure 1

Figure 2

View References

1 

Ferlay J, Colombet M, Soerjomataram I, Parkin DM, Piñeros M, Znaor A and Bray F: Cancer statistics for the year 2020: An overview. Int J Cancer. 5:10.1002/ijc.33588. 2021.

2 

Åkesson Å, Adok C and Dahm-Kähler P: Recurrence and survival in endometrioid endometrial cancer-a population-based cohort study. Gynecol Oncol. 168:127–134. 2023. View Article : Google Scholar : PubMed/NCBI

3 

NCCN Clinical practice guidelines in oncology (NCCN Guidelines), . Uterine Neoplasms: Version1.2024. Available at:. https://www.nccn.org/professionals/physician_gls/pdf/uterine.pdfFebruary 15–2024

4 

Cancer Genome Atlas Research Network, . Kandoth C, Schultz N, Cherniack AD, Akbani R, Liu Y, Shen H, Robertson AG, Pashtan I, Shen R, et al: Integrated genomic characterization of endometrial carcinoma. Nature. 497:67–73. 2013. View Article : Google Scholar : PubMed/NCBI

5 

Travaglino A, Raffone A, Raimondo D, Reppuccia S, Ruggiero A, Arena A, Casadio P, Zullo F, Insabato L, Seracchioli R and Mollo A: Prognostic significance of CTNNB1 mutation in early stage endometrial carcinoma: A systematic review and meta-analysis. Arch Gynecol Obstet. 306:423–431. 2022. View Article : Google Scholar : PubMed/NCBI

6 

Parrish ML, Broaddus RR and Gladden AB: Mechanisms of mutant β-catenin in endometrial cancer progression. Front Oncol. 12:10093452022. View Article : Google Scholar : PubMed/NCBI

7 

Travaglino A, Raffone A, Saccone G, De Luca C, Mollo A, Mascolo M, De Placido G, Insabato L and Zullo F: Immunohistochemical nuclear expression of β-catenin as a surrogate of CTNNB1 exon 3 mutation in endometrial cancer. Am J Clin Pathol. 151:529–538. 2019. View Article : Google Scholar : PubMed/NCBI

8 

Berek JS, Matias-Guiu X, Creutzberg C, Fotopoulou C, Gaffney D, Kehoe S, Lindemann K, Mutch D and Concin N; Endometrial Cancer Staging Subcommittee and FIGO Women's Cancer Committee, : FIGO staging of endometrial cancer: 2023. Int J Gynaecol Obstet. 162:383–394. 2023. View Article : Google Scholar : PubMed/NCBI

9 

Kim G, Kurnit KC, Djordjevic B, Singh C, Munsell MF, Wang WL, Lazar AJ, Zhang W and Broaddus R: Nuclear β-catenin localization and mutation of the CTNNB1 gene: A context-dependent association. Mod Pathol. 31:1553–1559. 2018. View Article : Google Scholar : PubMed/NCBI

10 

Remmele W and Stegner HE: Recommendation for uniform definition of an immunoreactive score (IRS) for immunohistochemical estrogen receptor detection (ER-ICA) in breast cancer tissue. Pathologe. 8:138–140. 1987.PubMed/NCBI

11 

Stelloo E, Nout RA, Osse EM, Jürgenliemk-Schulz IJ, Jobsen JJ, Lutgens LC, van der Steen-Banasik EM, Nijman HW, Putter H, Bosse T, et al: Improved risk assessment by integrating molecular and clinicopathological factors in early-stage endometrial cancer-combined analysis of the PORTEC cohorts. Clin Cancer Res. 22:4215–4224. 2016. View Article : Google Scholar : PubMed/NCBI

12 

Kurnit KC, Kim GN, Fellman BM, Urbauer DL, Mills GB, Zhang W and Broaddus RR: CTNNB1 (beta-catenin) mutation identifies low grade, early stage endometrial cancer patients at increased risk of recurrence. Mod Pathol. 30:1032–1041. 2017. View Article : Google Scholar : PubMed/NCBI

13 

Moroney MR, Davies KD, Wilberger AC, Sheeder J, Post MD, Berning AA, Fisher C, Lefkowits C, Guntupalli SR, Behbakht K and Corr BR: Molecular markers in recurrent stage I, grade 1 endometrioid endometrial cancers. Gynecol Oncol. 153:517–520. 2019. View Article : Google Scholar : PubMed/NCBI

14 

Costigan DC, Dong F, Nucci MR and Howitt BE: Clinicopathologic and immunohistochemical correlates of CTNNB1 mutated endometrial endometrioid carcinoma. Int J Gynecol Pathol. 39:119–127. 2020. View Article : Google Scholar : PubMed/NCBI

15 

Ruz-Caracuel I, López-Janeiro Á, Heredia-Soto V, Ramón-Patino JL, Yébenes L, Berjón A, Hernández A, Gallego A, Ruiz P, Redondo A, et al: Clinicopathological features and prognostic significance of CTNNB1 mutation in low-grade, early-stage endometrial endometrioid carcinoma. Virchows Arch. 479:1167–1176. 2021. View Article : Google Scholar : PubMed/NCBI

16 

Tribulo P, Moss JI, Ozawa M, Jiang Z, Tian XC and Hansen PJ: WNT regulation of embryonic development likely involves pathways independent of nuclear CTNNB1. Reproduction. 153:405–419. 2017. View Article : Google Scholar : PubMed/NCBI

17 

Imboden S, Tapia C, Scheiwiller N, Kocbek V, Altermatt HJ, Janzen J, Mueller MD and McKinnon B: Early-stage endometrial cancer, CTNNB1 mutations, and the relation between lymphovascular space invasion and recurrence. Acta Obstet Gynecol Scand. 99:196–203. 2020. View Article : Google Scholar : PubMed/NCBI

18 

Kovacs G, Billfeldt NK, Farkas N, Dergez T, Javorhazy A, Banyai D, Pusztai C and Szanto A: Cytoplasmic expression of β-catenin is an independent predictor of progression of conventional renal cell carcinoma: A simple immunostaining score. Histopathology. 70:273–280. 2017. View Article : Google Scholar : PubMed/NCBI

19 

Kitson S, Sivalingam VN, Bolton J, McVey R, Nickkho-Amiry M, Powell ME, Leary A, Nijman HW, Nout RA, Bosse T, et al: Ki-67 in endometrial cancer: Scoring optimization and prognostic relevance for window studies. Mod Pathol. 30:459–468. 2017. View Article : Google Scholar : PubMed/NCBI

Related Articles

  • Abstract
  • View
  • Download
  • Twitter
Copy and paste a formatted citation
Spandidos Publications style
Han O, Alci A, Yildirim HT, Gokkaya M, Yalcin N, Kandemir S, Goksu M, Ureyen I and Toptas T: β‑catenin expression in endometrioid type endometrial cancer: Expression patterns and impact on disease outcomes. Oncol Lett 28: 580, 2024.
APA
Han, O., Alci, A., Yildirim, H.T., Gokkaya, M., Yalcin, N., Kandemir, S. ... Toptas, T. (2024). β‑catenin expression in endometrioid type endometrial cancer: Expression patterns and impact on disease outcomes. Oncology Letters, 28, 580. https://doi.org/10.3892/ol.2024.14713
MLA
Han, O., Alci, A., Yildirim, H. T., Gokkaya, M., Yalcin, N., Kandemir, S., Goksu, M., Ureyen, I., Toptas, T."β‑catenin expression in endometrioid type endometrial cancer: Expression patterns and impact on disease outcomes". Oncology Letters 28.6 (2024): 580.
Chicago
Han, O., Alci, A., Yildirim, H. T., Gokkaya, M., Yalcin, N., Kandemir, S., Goksu, M., Ureyen, I., Toptas, T."β‑catenin expression in endometrioid type endometrial cancer: Expression patterns and impact on disease outcomes". Oncology Letters 28, no. 6 (2024): 580. https://doi.org/10.3892/ol.2024.14713
Copy and paste a formatted citation
x
Spandidos Publications style
Han O, Alci A, Yildirim HT, Gokkaya M, Yalcin N, Kandemir S, Goksu M, Ureyen I and Toptas T: β‑catenin expression in endometrioid type endometrial cancer: Expression patterns and impact on disease outcomes. Oncol Lett 28: 580, 2024.
APA
Han, O., Alci, A., Yildirim, H.T., Gokkaya, M., Yalcin, N., Kandemir, S. ... Toptas, T. (2024). β‑catenin expression in endometrioid type endometrial cancer: Expression patterns and impact on disease outcomes. Oncology Letters, 28, 580. https://doi.org/10.3892/ol.2024.14713
MLA
Han, O., Alci, A., Yildirim, H. T., Gokkaya, M., Yalcin, N., Kandemir, S., Goksu, M., Ureyen, I., Toptas, T."β‑catenin expression in endometrioid type endometrial cancer: Expression patterns and impact on disease outcomes". Oncology Letters 28.6 (2024): 580.
Chicago
Han, O., Alci, A., Yildirim, H. T., Gokkaya, M., Yalcin, N., Kandemir, S., Goksu, M., Ureyen, I., Toptas, T."β‑catenin expression in endometrioid type endometrial cancer: Expression patterns and impact on disease outcomes". Oncology Letters 28, no. 6 (2024): 580. https://doi.org/10.3892/ol.2024.14713
Follow us
  • Twitter
  • LinkedIn
  • Facebook
About
  • Spandidos Publications
  • Careers
  • Cookie Policy
  • Privacy Policy
How can we help?
  • Help
  • Live Chat
  • Contact
  • Email to our Support Team