Spandidos Publications Logo
  • About
    • About Spandidos
    • Aims and Scopes
    • Abstracting and Indexing
    • Editorial Policies
    • Reprints and Permissions
    • Job Opportunities
    • Terms and Conditions
    • Contact
  • Journals
    • All Journals
    • Oncology Letters
      • Oncology Letters
      • Information for Authors
      • Editorial Policies
      • Editorial Board
      • Aims and Scope
      • Abstracting and Indexing
      • Bibliographic Information
      • Archive
    • International Journal of Oncology
      • International Journal of Oncology
      • Information for Authors
      • Editorial Policies
      • Editorial Board
      • Aims and Scope
      • Abstracting and Indexing
      • Bibliographic Information
      • Archive
    • Molecular and Clinical Oncology
      • Molecular and Clinical Oncology
      • Information for Authors
      • Editorial Policies
      • Editorial Board
      • Aims and Scope
      • Abstracting and Indexing
      • Bibliographic Information
      • Archive
    • Experimental and Therapeutic Medicine
      • Experimental and Therapeutic Medicine
      • Information for Authors
      • Editorial Policies
      • Editorial Board
      • Aims and Scope
      • Abstracting and Indexing
      • Bibliographic Information
      • Archive
    • International Journal of Molecular Medicine
      • International Journal of Molecular Medicine
      • Information for Authors
      • Editorial Policies
      • Editorial Board
      • Aims and Scope
      • Abstracting and Indexing
      • Bibliographic Information
      • Archive
    • Biomedical Reports
      • Biomedical Reports
      • Information for Authors
      • Editorial Policies
      • Editorial Board
      • Aims and Scope
      • Abstracting and Indexing
      • Bibliographic Information
      • Archive
    • Oncology Reports
      • Oncology Reports
      • Information for Authors
      • Editorial Policies
      • Editorial Board
      • Aims and Scope
      • Abstracting and Indexing
      • Bibliographic Information
      • Archive
    • Molecular Medicine Reports
      • Molecular Medicine Reports
      • Information for Authors
      • Editorial Policies
      • Editorial Board
      • Aims and Scope
      • Abstracting and Indexing
      • Bibliographic Information
      • Archive
    • World Academy of Sciences Journal
      • World Academy of Sciences Journal
      • Information for Authors
      • Editorial Policies
      • Editorial Board
      • Aims and Scope
      • Abstracting and Indexing
      • Bibliographic Information
      • Archive
    • International Journal of Functional Nutrition
      • International Journal of Functional Nutrition
      • Information for Authors
      • Editorial Policies
      • Editorial Board
      • Aims and Scope
      • Abstracting and Indexing
      • Bibliographic Information
      • Archive
    • International Journal of Epigenetics
      • International Journal of Epigenetics
      • Information for Authors
      • Editorial Policies
      • Editorial Board
      • Aims and Scope
      • Abstracting and Indexing
      • Bibliographic Information
      • Archive
    • Medicine International
      • Medicine International
      • Information for Authors
      • Editorial Policies
      • Editorial Board
      • Aims and Scope
      • Abstracting and Indexing
      • Bibliographic Information
      • Archive
  • Articles
  • Information
    • Information for Authors
    • Information for Reviewers
    • Information for Librarians
    • Information for Advertisers
    • Conferences
  • Language Editing
Spandidos Publications Logo
  • About
    • About Spandidos
    • Aims and Scopes
    • Abstracting and Indexing
    • Editorial Policies
    • Reprints and Permissions
    • Job Opportunities
    • Terms and Conditions
    • Contact
  • Journals
    • All Journals
    • Biomedical Reports
      • Information for Authors
      • Editorial Policies
      • Editorial Board
      • Aims and Scope
      • Abstracting and Indexing
      • Bibliographic Information
      • Archive
    • Experimental and Therapeutic Medicine
      • Information for Authors
      • Editorial Policies
      • Editorial Board
      • Aims and Scope
      • Abstracting and Indexing
      • Bibliographic Information
      • Archive
    • International Journal of Epigenetics
      • Information for Authors
      • Editorial Policies
      • Editorial Board
      • Aims and Scope
      • Abstracting and Indexing
      • Bibliographic Information
      • Archive
    • International Journal of Functional Nutrition
      • Information for Authors
      • Editorial Policies
      • Editorial Board
      • Aims and Scope
      • Abstracting and Indexing
      • Bibliographic Information
      • Archive
    • International Journal of Molecular Medicine
      • Information for Authors
      • Editorial Policies
      • Editorial Board
      • Aims and Scope
      • Abstracting and Indexing
      • Bibliographic Information
      • Archive
    • International Journal of Oncology
      • Information for Authors
      • Editorial Policies
      • Editorial Board
      • Aims and Scope
      • Abstracting and Indexing
      • Bibliographic Information
      • Archive
    • Medicine International
      • Information for Authors
      • Editorial Policies
      • Editorial Board
      • Aims and Scope
      • Abstracting and Indexing
      • Bibliographic Information
      • Archive
    • Molecular and Clinical Oncology
      • Information for Authors
      • Editorial Policies
      • Editorial Board
      • Aims and Scope
      • Abstracting and Indexing
      • Bibliographic Information
      • Archive
    • Molecular Medicine Reports
      • Information for Authors
      • Editorial Policies
      • Editorial Board
      • Aims and Scope
      • Abstracting and Indexing
      • Bibliographic Information
      • Archive
    • Oncology Letters
      • Information for Authors
      • Editorial Policies
      • Editorial Board
      • Aims and Scope
      • Abstracting and Indexing
      • Bibliographic Information
      • Archive
    • Oncology Reports
      • Information for Authors
      • Editorial Policies
      • Editorial Board
      • Aims and Scope
      • Abstracting and Indexing
      • Bibliographic Information
      • Archive
    • World Academy of Sciences Journal
      • Information for Authors
      • Editorial Policies
      • Editorial Board
      • Aims and Scope
      • Abstracting and Indexing
      • Bibliographic Information
      • Archive
  • Articles
  • Information
    • For Authors
    • For Reviewers
    • For Librarians
    • For Advertisers
    • Conferences
  • Language Editing
Login Register Submit
  • This site uses cookies
  • You can change your cookie settings at any time by following the instructions in our Cookie Policy. To find out more, you may read our Privacy Policy.

    I agree
Search articles by DOI, keyword, author or affiliation
Search
Advanced Search
presentation
Oncology Letters
Join Editorial Board Propose a Special Issue
Print ISSN: 1792-1074 Online ISSN: 1792-1082
Journal Cover
December-2024 Volume 28 Issue 6

Full Size Image

Sign up for eToc alerts
Recommend to Library

Journals

International Journal of Molecular Medicine

International Journal of Molecular Medicine

International Journal of Molecular Medicine is an international journal devoted to molecular mechanisms of human disease.

International Journal of Oncology

International Journal of Oncology

International Journal of Oncology is an international journal devoted to oncology research and cancer treatment.

Molecular Medicine Reports

Molecular Medicine Reports

Covers molecular medicine topics such as pharmacology, pathology, genetics, neuroscience, infectious diseases, molecular cardiology, and molecular surgery.

Oncology Reports

Oncology Reports

Oncology Reports is an international journal devoted to fundamental and applied research in Oncology.

Experimental and Therapeutic Medicine

Experimental and Therapeutic Medicine

Experimental and Therapeutic Medicine is an international journal devoted to laboratory and clinical medicine.

Oncology Letters

Oncology Letters

Oncology Letters is an international journal devoted to Experimental and Clinical Oncology.

Biomedical Reports

Biomedical Reports

Explores a wide range of biological and medical fields, including pharmacology, genetics, microbiology, neuroscience, and molecular cardiology.

Molecular and Clinical Oncology

Molecular and Clinical Oncology

International journal addressing all aspects of oncology research, from tumorigenesis and oncogenes to chemotherapy and metastasis.

World Academy of Sciences Journal

World Academy of Sciences Journal

Multidisciplinary open-access journal spanning biochemistry, genetics, neuroscience, environmental health, and synthetic biology.

International Journal of Functional Nutrition

International Journal of Functional Nutrition

Open-access journal combining biochemistry, pharmacology, immunology, and genetics to advance health through functional nutrition.

International Journal of Epigenetics

International Journal of Epigenetics

Publishes open-access research on using epigenetics to advance understanding and treatment of human disease.

Medicine International

Medicine International

An International Open Access Journal Devoted to General Medicine.

Journal Cover
December-2024 Volume 28 Issue 6

Full Size Image

Sign up for eToc alerts
Recommend to Library

  • Article
  • Citations
    • Cite This Article
    • Download Citation
    • Create Citation Alert
    • Remove Citation Alert
    • Cited By
  • Similar Articles
    • Related Articles (in Spandidos Publications)
    • Similar Articles (Google Scholar)
    • Similar Articles (PubMed)
  • Download PDF
  • Download XML
  • View XML

  • Supplementary Files
    • Supplementary_Data.pdf
Case Report Open Access

Recovery of temperature to normal may indicate the best time for surgery in patients with lung cancer complicated by a lung abscess: A case report

  • Authors:
    • Yunbin Li
    • Yanping Tang
    • Xiaosong Li
    • Jian Li
  • View Affiliations / Copyright

    Affiliations: Department of Thoracic Surgery, The Affiliated Hospital of Guizhou Medical University, Guiyang, Guizhou 550004, P.R. China
    Copyright: © Li et al. This is an open access article distributed under the terms of Creative Commons Attribution License.
  • Article Number: 608
    |
    Published online on: October 14, 2024
       https://doi.org/10.3892/ol.2024.14742
  • Expand metrics +
Metrics: Total Views: 0 (Spandidos Publications: | PMC Statistics: )
Metrics: Total PDF Downloads: 0 (Spandidos Publications: | PMC Statistics: )
Cited By (CrossRef): 0 citations Loading Articles...

This article is mentioned in:



Abstract

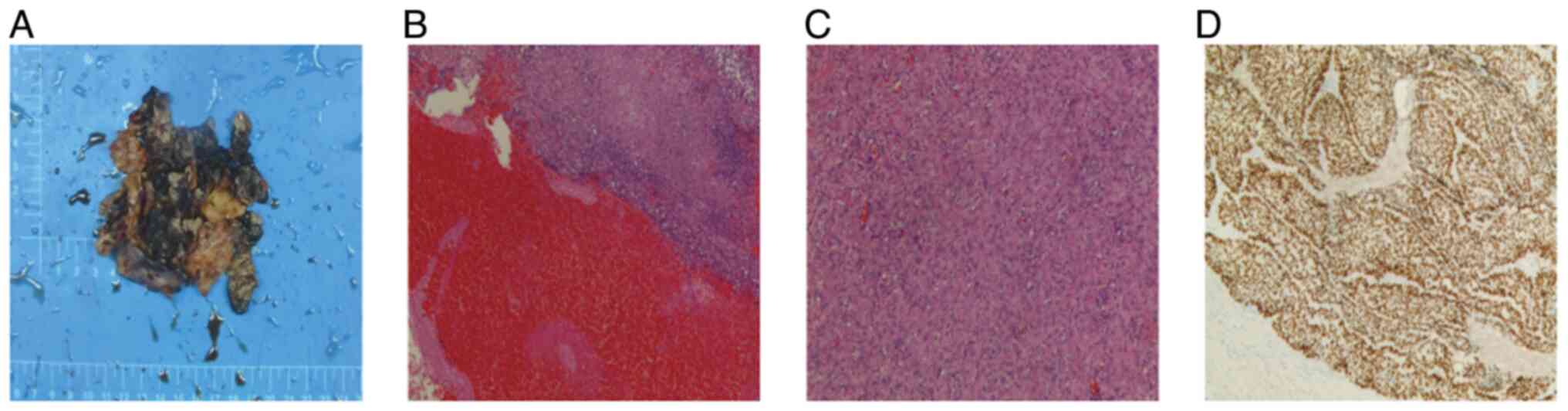
In clinical practice, the management of a lung abscess (LA) usually initiates with antibiotic administration to address the infection. Nevertheless, for cases presenting with refractory pulmonary tumors complicated by a LA, surgical intervention stands as an essential therapeutic recourse. The current study presents case involving lung cancer complicated by a LA. Despite continuously elevated infection marker levels, surgical intervention was promptly performed following the normalization of the patient's temperature. Subsequent postoperative histopathological analysis and immunohistochemistry revealed a moderately differentiated squamous cell carcinoma located in the lower right lung, classified as T2aN0M0, Ib stage. Following a 2‑year follow‑up period, no cancer recurrence was observed and the patient exhibited a favorable prognosis. This case highlights the vital role of surgical timing in the management of lung cancer complicated by an acute LA. Early surgical intervention may play a crucial role in arresting the advancement of lung cancer, indicating that prompt surgery upon temperature normalization could serve as a significant treatment indication for these patients.
View Figures

Figure 1

Figure 2

Figure 3

Figure 4

Figure 5

Figure 6

View References

1 

Yazbeck MF, Dahdel M, Kalra A, Browne AS and Pratter MR: Lung abscess: Update on microbiology and management. Am J Ther. 21:217–221. 2014. View Article : Google Scholar : PubMed/NCBI

2 

Hraiech S, Ladjal K, Guervilly C, Hyvernat H, Papazian L, Forel JM, Lopez A, Peres N, Dellamonica J, Leone M and Gragueb-Chatti I: Lung abscess following ventilator-associated pneumonia during COVID-19: A retrospective multicenter cohort study. Crit Care. 27:3852023. View Article : Google Scholar : PubMed/NCBI

3 

Kuhajda I, Zarogoulidis K, Tsirgogianni K, Tsavlis D, Kioumis I, Kosmidis C, Tsakiridis K, Mpakas A, Zarogoulidis P, Zissimopoulos A, et al: Lung abscess-etiology, diagnostic and treatment options. Ann Transl Med. 3:1832015.PubMed/NCBI

4 

Sperling S, Dahl VN and Floe A: Lung abscess: An update on the current knowledge and call for future investigations. Curr Opin Pulm Med. 30:229–234. 2024. View Article : Google Scholar : PubMed/NCBI

5 

Vaarst JK, Sperling S, Dahl VN, Floe A, Laursen CB, Gissel TN, Gjoerup PH and Bendstrup E: Lung abscess: Clinical characteristics of 222 Danish patients diagnosed from 2016 to 2021. Respir Med. 216:1073052023. View Article : Google Scholar : PubMed/NCBI

6 

Zhang H, Liu Q, Lei Y, Zhou J, Jiang W, Cui Y, He Q, Zhu J, Zhu Z, Sun Y and Ke Z: Direct interaction between CD155 and CD96 promotes immunosuppression in lung adenocarcinoma. Cell Mol Immunol. 18:1575–1577. 2021. View Article : Google Scholar : PubMed/NCBI

7 

Lee JH, Hong H, Tamburrini M and Park CM: Percutaneous transthoracic catheter drainage for lung abscess: A systematic review and meta-analysis. Eur Radiol. 32:1184–1194. 2022. View Article : Google Scholar : PubMed/NCBI

8 

Yang S, Wu L and Xu L, Huang X, Sun X, Yang L and Xu L: Lung abscess secondary to lung cancer with a coinfection of Granulicatellaadiacens and other bacteria: A case report. BMC Infect Dis. 21:pp. 6622021, View Article : Google Scholar : PubMed/NCBI

9 

Rivera C, Arame A, Pricopi C, Riquet M, Mangiameli G, Abdennadher M, Dahan M and Le Pimpec Barthes F: Pneumonectomy for benign disease: Indications and postoperative outcomes, a nationwide study. Eur J Cardiothorac Surg. 48:435–440. 2015. View Article : Google Scholar : PubMed/NCBI

10 

Evans SS, Repasky EA and Fisher DT: Fever and the thermal regulation of immunity: The immune system feels the heat. Nat Rev Immunol. 15:335–349. 2015. View Article : Google Scholar : PubMed/NCBI

11 

Sulyok I, Fleischmann E, Stift A, Roth G, Lebherz-Eichinger D, Kasper D, Spittler A and Kimberger O: Effect of preoperative fever-range whole-body hyperthermia on immunological markers in patients undergoing colorectal cancer surgery. Br J Anaesth. 109:754–761. 2012. View Article : Google Scholar : PubMed/NCBI

12 

Goldstraw P, Chansky K, Crowley J, Rami-Porta R, Asamura H, Eberhardt WE, Nicholson AG, Groome P, Mitchell A, Bolejack V, et al: The IASLC lung cancer staging project: Proposals for revision of the TNM stage groupings in the forthcoming (Eighth) edition of the TNM classification for lung cancer. J Thorac Oncol. 11:39–51. 2016. View Article : Google Scholar : PubMed/NCBI

13 

Wood DE, Kazerooni EA, Baum SL, Eapen GA, Ettinger DS, Hou L, Jackman DM, Klippenstein D, Kumar R, Lackner RP, et al: Lung cancer screening, version 3.2018, NCCN clinical practice guidelines in oncology. J Natl Compr Canc Netw. 16:412–441. 2018. View Article : Google Scholar : PubMed/NCBI

14 

Sidorenkov G, Stadhouders R, Jacobs C, Mohamed Hoesein FAA, Gietema HA, Nackaerts K, Saghir Z, Heuvelmans MA, Donker HC, Aerts JG, et al: Multi-source data approach for personalized outcome prediction in lung cancer screening: Update from the NELSON trial. Eur J Epidemiol. 38:445–454. 2023. View Article : Google Scholar : PubMed/NCBI

15 

Rolston KVI and Nesher L: Post-obstructive pneumonia in patients with cancer: A review. Infect Dis Ther. 7:29–38. 2018. View Article : Google Scholar : PubMed/NCBI

16 

Shirley RM and Baddley JW: Cryptococcal lung disease. Curr Opin Pulm Med. 15:254–260. 2009. View Article : Google Scholar : PubMed/NCBI

17 

Sui X, Huang Y, Song W, Zheng F, Wang X, Xu X, Wang Z, Jiang J and Jin Z: Clinical features of pulmonary cryptococcosis in thin-section CT in immunocompetent and non-AIDS immunocompromised patients. Radiol Med. 125:31–38. 2020. View Article : Google Scholar : PubMed/NCBI

18 

Neacşu F, Vârban AŞ, Simion G, Şurghie R, Pătraşcu OM, Sajin M, Dumitru M and Vrînceanu D: Lung cancer mimickers-a case series of seven patients and review of the literature. Rom J Morphol Embryol. 62:697–704. 2021. View Article : Google Scholar : PubMed/NCBI

19 

Han JY, Lee KN, Lee JK, Kim YH, Choi SJ, Jeong YJ, Roh MS and Choi PJ: An overview of thoracic actinomycosis: CT features. Insights Imaging. 4:245–252. 2013. View Article : Google Scholar : PubMed/NCBI

20 

Ngu S, Narula N, Abureesh M, Li JJ and Chalhoub M: Endobronchial aspergilloma-a comprehensive literature review with focus on diagnosis and treatment modalities. Eur J Clin Microbiol Infect Dis. 39:601–605. 2020. View Article : Google Scholar : PubMed/NCBI

21 

Baker RR: The treatment of lung abscess. Current concepts. Chest. 87:709–710. 1985. View Article : Google Scholar : PubMed/NCBI

22 

Hou GJ, He Y and Zhao P: Video-assisted thoracoscopic left upper lobectomy and broncho-and-angioplasty for a giant central lung cancer complicated with intratumoral abscess: One case report. J Thorac Dis. 10:pp. 4484–4486. 2018, View Article : Google Scholar : PubMed/NCBI

23 

Hu L, Lin J, Li J, Cao Y and Lin L: Lung abscess secondary to lung cancer with Eikenella corrodens and Streptococcus anginosus: A case report. BMC Infect Dis. 20:pp. 3512020, View Article : Google Scholar : PubMed/NCBI

24 

Reimel BA, Krishnadasen B, Cuschieri J, Klein MB, Gross J and Karmy-Jones R: Surgical management of acute necrotizing lung infections. Can Respir J. 13:369–373. 2006. View Article : Google Scholar : PubMed/NCBI

25 

Yamanashi K, Okumura N, Takahashi A, Nakashima T and Matsuoka T: Surgical and survival outcomes of lung cancer patients with intratumoral lung abscesses. J Cardiothorac Surg. 12:442017. View Article : Google Scholar : PubMed/NCBI

26 

Desai H and Agrawal A: Pulmonary emergencies: Pneumonia, acute respiratory distress syndrome, lung abscess, and empyema. Med Clin North Am. 96:1127–1148. 2012. View Article : Google Scholar : PubMed/NCBI

Related Articles

  • Abstract
  • View
  • Download
  • Twitter
Copy and paste a formatted citation
Spandidos Publications style
Li Y, Tang Y, Li X and Li J: Recovery of temperature to normal may indicate the best time for surgery in patients with lung cancer complicated by a lung abscess: A case report. Oncol Lett 28: 608, 2024.
APA
Li, Y., Tang, Y., Li, X., & Li, J. (2024). Recovery of temperature to normal may indicate the best time for surgery in patients with lung cancer complicated by a lung abscess: A case report. Oncology Letters, 28, 608. https://doi.org/10.3892/ol.2024.14742
MLA
Li, Y., Tang, Y., Li, X., Li, J."Recovery of temperature to normal may indicate the best time for surgery in patients with lung cancer complicated by a lung abscess: A case report". Oncology Letters 28.6 (2024): 608.
Chicago
Li, Y., Tang, Y., Li, X., Li, J."Recovery of temperature to normal may indicate the best time for surgery in patients with lung cancer complicated by a lung abscess: A case report". Oncology Letters 28, no. 6 (2024): 608. https://doi.org/10.3892/ol.2024.14742
Copy and paste a formatted citation
x
Spandidos Publications style
Li Y, Tang Y, Li X and Li J: Recovery of temperature to normal may indicate the best time for surgery in patients with lung cancer complicated by a lung abscess: A case report. Oncol Lett 28: 608, 2024.
APA
Li, Y., Tang, Y., Li, X., & Li, J. (2024). Recovery of temperature to normal may indicate the best time for surgery in patients with lung cancer complicated by a lung abscess: A case report. Oncology Letters, 28, 608. https://doi.org/10.3892/ol.2024.14742
MLA
Li, Y., Tang, Y., Li, X., Li, J."Recovery of temperature to normal may indicate the best time for surgery in patients with lung cancer complicated by a lung abscess: A case report". Oncology Letters 28.6 (2024): 608.
Chicago
Li, Y., Tang, Y., Li, X., Li, J."Recovery of temperature to normal may indicate the best time for surgery in patients with lung cancer complicated by a lung abscess: A case report". Oncology Letters 28, no. 6 (2024): 608. https://doi.org/10.3892/ol.2024.14742
Follow us
  • Twitter
  • LinkedIn
  • Facebook
About
  • Spandidos Publications
  • Careers
  • Cookie Policy
  • Privacy Policy
How can we help?
  • Help
  • Live Chat
  • Contact
  • Email to our Support Team