Spandidos Publications Logo
  • About
    • About Spandidos
    • Aims and Scopes
    • Abstracting and Indexing
    • Editorial Policies
    • Reprints and Permissions
    • Job Opportunities
    • Terms and Conditions
    • Contact
  • Journals
    • All Journals
    • Oncology Letters
      • Oncology Letters
      • Information for Authors
      • Editorial Policies
      • Editorial Board
      • Aims and Scope
      • Abstracting and Indexing
      • Bibliographic Information
      • Archive
    • International Journal of Oncology
      • International Journal of Oncology
      • Information for Authors
      • Editorial Policies
      • Editorial Board
      • Aims and Scope
      • Abstracting and Indexing
      • Bibliographic Information
      • Archive
    • Molecular and Clinical Oncology
      • Molecular and Clinical Oncology
      • Information for Authors
      • Editorial Policies
      • Editorial Board
      • Aims and Scope
      • Abstracting and Indexing
      • Bibliographic Information
      • Archive
    • Experimental and Therapeutic Medicine
      • Experimental and Therapeutic Medicine
      • Information for Authors
      • Editorial Policies
      • Editorial Board
      • Aims and Scope
      • Abstracting and Indexing
      • Bibliographic Information
      • Archive
    • International Journal of Molecular Medicine
      • International Journal of Molecular Medicine
      • Information for Authors
      • Editorial Policies
      • Editorial Board
      • Aims and Scope
      • Abstracting and Indexing
      • Bibliographic Information
      • Archive
    • Biomedical Reports
      • Biomedical Reports
      • Information for Authors
      • Editorial Policies
      • Editorial Board
      • Aims and Scope
      • Abstracting and Indexing
      • Bibliographic Information
      • Archive
    • Oncology Reports
      • Oncology Reports
      • Information for Authors
      • Editorial Policies
      • Editorial Board
      • Aims and Scope
      • Abstracting and Indexing
      • Bibliographic Information
      • Archive
    • Molecular Medicine Reports
      • Molecular Medicine Reports
      • Information for Authors
      • Editorial Policies
      • Editorial Board
      • Aims and Scope
      • Abstracting and Indexing
      • Bibliographic Information
      • Archive
    • World Academy of Sciences Journal
      • World Academy of Sciences Journal
      • Information for Authors
      • Editorial Policies
      • Editorial Board
      • Aims and Scope
      • Abstracting and Indexing
      • Bibliographic Information
      • Archive
    • International Journal of Functional Nutrition
      • International Journal of Functional Nutrition
      • Information for Authors
      • Editorial Policies
      • Editorial Board
      • Aims and Scope
      • Abstracting and Indexing
      • Bibliographic Information
      • Archive
    • International Journal of Epigenetics
      • International Journal of Epigenetics
      • Information for Authors
      • Editorial Policies
      • Editorial Board
      • Aims and Scope
      • Abstracting and Indexing
      • Bibliographic Information
      • Archive
    • Medicine International
      • Medicine International
      • Information for Authors
      • Editorial Policies
      • Editorial Board
      • Aims and Scope
      • Abstracting and Indexing
      • Bibliographic Information
      • Archive
  • Articles
  • Information
    • Information for Authors
    • Information for Reviewers
    • Information for Librarians
    • Information for Advertisers
    • Conferences
  • Language Editing
Spandidos Publications Logo
  • About
    • About Spandidos
    • Aims and Scopes
    • Abstracting and Indexing
    • Editorial Policies
    • Reprints and Permissions
    • Job Opportunities
    • Terms and Conditions
    • Contact
  • Journals
    • All Journals
    • Biomedical Reports
      • Information for Authors
      • Editorial Policies
      • Editorial Board
      • Aims and Scope
      • Abstracting and Indexing
      • Bibliographic Information
      • Archive
    • Experimental and Therapeutic Medicine
      • Information for Authors
      • Editorial Policies
      • Editorial Board
      • Aims and Scope
      • Abstracting and Indexing
      • Bibliographic Information
      • Archive
    • International Journal of Epigenetics
      • Information for Authors
      • Editorial Policies
      • Editorial Board
      • Aims and Scope
      • Abstracting and Indexing
      • Bibliographic Information
      • Archive
    • International Journal of Functional Nutrition
      • Information for Authors
      • Editorial Policies
      • Editorial Board
      • Aims and Scope
      • Abstracting and Indexing
      • Bibliographic Information
      • Archive
    • International Journal of Molecular Medicine
      • Information for Authors
      • Editorial Policies
      • Editorial Board
      • Aims and Scope
      • Abstracting and Indexing
      • Bibliographic Information
      • Archive
    • International Journal of Oncology
      • Information for Authors
      • Editorial Policies
      • Editorial Board
      • Aims and Scope
      • Abstracting and Indexing
      • Bibliographic Information
      • Archive
    • Medicine International
      • Information for Authors
      • Editorial Policies
      • Editorial Board
      • Aims and Scope
      • Abstracting and Indexing
      • Bibliographic Information
      • Archive
    • Molecular and Clinical Oncology
      • Information for Authors
      • Editorial Policies
      • Editorial Board
      • Aims and Scope
      • Abstracting and Indexing
      • Bibliographic Information
      • Archive
    • Molecular Medicine Reports
      • Information for Authors
      • Editorial Policies
      • Editorial Board
      • Aims and Scope
      • Abstracting and Indexing
      • Bibliographic Information
      • Archive
    • Oncology Letters
      • Information for Authors
      • Editorial Policies
      • Editorial Board
      • Aims and Scope
      • Abstracting and Indexing
      • Bibliographic Information
      • Archive
    • Oncology Reports
      • Information for Authors
      • Editorial Policies
      • Editorial Board
      • Aims and Scope
      • Abstracting and Indexing
      • Bibliographic Information
      • Archive
    • World Academy of Sciences Journal
      • Information for Authors
      • Editorial Policies
      • Editorial Board
      • Aims and Scope
      • Abstracting and Indexing
      • Bibliographic Information
      • Archive
  • Articles
  • Information
    • For Authors
    • For Reviewers
    • For Librarians
    • For Advertisers
    • Conferences
  • Language Editing
Login Register Submit
  • This site uses cookies
  • You can change your cookie settings at any time by following the instructions in our Cookie Policy. To find out more, you may read our Privacy Policy.

    I agree
Search articles by DOI, keyword, author or affiliation
Search
Advanced Search
presentation
Oncology Letters
Join Editorial Board Propose a Special Issue
Print ISSN: 1792-1074 Online ISSN: 1792-1082
Journal Cover
March-2025 Volume 29 Issue 3

Full Size Image

Sign up for eToc alerts
Recommend to Library

Journals

International Journal of Molecular Medicine

International Journal of Molecular Medicine

International Journal of Molecular Medicine is an international journal devoted to molecular mechanisms of human disease.

International Journal of Oncology

International Journal of Oncology

International Journal of Oncology is an international journal devoted to oncology research and cancer treatment.

Molecular Medicine Reports

Molecular Medicine Reports

Covers molecular medicine topics such as pharmacology, pathology, genetics, neuroscience, infectious diseases, molecular cardiology, and molecular surgery.

Oncology Reports

Oncology Reports

Oncology Reports is an international journal devoted to fundamental and applied research in Oncology.

Experimental and Therapeutic Medicine

Experimental and Therapeutic Medicine

Experimental and Therapeutic Medicine is an international journal devoted to laboratory and clinical medicine.

Oncology Letters

Oncology Letters

Oncology Letters is an international journal devoted to Experimental and Clinical Oncology.

Biomedical Reports

Biomedical Reports

Explores a wide range of biological and medical fields, including pharmacology, genetics, microbiology, neuroscience, and molecular cardiology.

Molecular and Clinical Oncology

Molecular and Clinical Oncology

International journal addressing all aspects of oncology research, from tumorigenesis and oncogenes to chemotherapy and metastasis.

World Academy of Sciences Journal

World Academy of Sciences Journal

Multidisciplinary open-access journal spanning biochemistry, genetics, neuroscience, environmental health, and synthetic biology.

International Journal of Functional Nutrition

International Journal of Functional Nutrition

Open-access journal combining biochemistry, pharmacology, immunology, and genetics to advance health through functional nutrition.

International Journal of Epigenetics

International Journal of Epigenetics

Publishes open-access research on using epigenetics to advance understanding and treatment of human disease.

Medicine International

Medicine International

An International Open Access Journal Devoted to General Medicine.

Journal Cover
March-2025 Volume 29 Issue 3

Full Size Image

Sign up for eToc alerts
Recommend to Library

  • Article
  • Citations
    • Cite This Article
    • Download Citation
    • Create Citation Alert
    • Remove Citation Alert
    • Cited By
  • Similar Articles
    • Related Articles (in Spandidos Publications)
    • Similar Articles (Google Scholar)
    • Similar Articles (PubMed)
  • Download PDF
  • Download XML
  • View XML

  • Supplementary Files
    • Supplementary_Data.pdf
Case Report Open Access

Type III pleuropulmonary blastoma: A case report

  • Authors:
    • Shuai Luo
    • Xiaoxue Tian
    • Ting Xu
    • Jinjing Wang
  • View Affiliations / Copyright

    Affiliations: Department of Pathology, Affiliated Hospital of Zunyi Medical University, Zunyi, Guizhou 563000, P.R. China
    Copyright: © Luo et al. This is an open access article distributed under the terms of Creative Commons Attribution License.
  • Article Number: 117
    |
    Published online on: January 3, 2025
       https://doi.org/10.3892/ol.2025.14864
  • Expand metrics +
Metrics: Total Views: 0 (Spandidos Publications: | PMC Statistics: )
Metrics: Total PDF Downloads: 0 (Spandidos Publications: | PMC Statistics: )
Cited By (CrossRef): 0 citations Loading Articles...

This article is mentioned in:



Abstract

Pleuropulmonary blastoma (PPB) is an uncommon malignant neoplasm occurring in infants. The disease is intimately linked to mutations in the Dcr‑1 homolog and ribonuclease type III (DICER1) genes. Imaging techniques are crucial for diagnosing PPB, yet distinguishing PPB from other pulmonary masses proves challenging. Early detection of PPB is problematic, and it is often diagnosed at an advanced pathological stage with a poor prognosis. The present report discusses a PPB case and evaluates its clinical manifestations, imaging characteristics, pathological features and molecular genetic changes. The patient was a 3‑year‑old female who presented to Affiliated Hospital of Zunyi Medical University (Zunyi, China) with an unexplained cough. Chest computed tomography revealed a mass in the right thoracic cavity, which was identified as a neoplastic lesion and considered a potential PPB. Surgical intervention was performed. The postoperative pathological examination confirmed PPB (type III) with rhabdomyomatous and chondroid differentiation. After surgery, the patient was treated with regular chemotherapy and at follow‑up was doing well without recurrence. In conclusion, PPB represents a rare pathological diagnosis. The present report highlights the significance of noting clinical symptoms in infants, promptly performing pulmonary imaging and pathological examinations, and performing genetic testing when required. Furthermore, long‑term surveillance of families with DICER1 syndrome is vital for infants diagnosed with PPB.

Introduction

Pleuropulmonary blastoma (PPB) predominantly manifests in infants, particularly those <6 years old (1). According to the data of the International PPB registry, the incidence of PPB is 0.35–0.65/100 000 (2). According to the pathological findings (3), PPB can be divided into three types: Type I is cystic without solid component; Type II is a cystic-solid mass; and type III is a complete solid mass with liquefaction and necrosis. The prognosis of PPB is significantly correlated with the pathological type and stage of the tumor. Type I PPB can progress to Type II and III, and the prognosis of type I PPB is significantly more favorable than that of Type II and III PPB, since type II and III PPB often have recurrence and distant metastasis. According to a study (4), the 5-year survival rate of patients with Type I PPB is 82%, and that of Type II and III PPB is 71 and 53%, respectively. Therefore, early diagnosis of PPB is necessary, which is of great significance to improve the survival rate of patients.

The primary clinical manifestations are respiratory symptoms, including cough, fever, dyspnea and respiratory distress. Imaging examinations can enable in the diagnostic process; however, pathological examination remains the ‘gold standard’ for the diagnosis of PPB. The pathological classification of PPB is highly linked to both the treatment approach and the prognosis of the patient. Therefore, accurate pathological classification is crucial. Type I and Type Ir PPB (also known as degenerative or static PPB, it is so named since only well-differentiated fibers and cartilage can be seen in the tumor capsule wall and the lack of primitive childish embryonic components) are primarily managed with surgical intervention, supplemented by radiotherapy if required, whereas Types II and III necessitate chemotherapy following surgical resection. The exact pathogenesis of PPB remains unknown (5).

The present report describes the case of PPB and analyses its clinical manifestations, imaging features, pathological features and molecular genetic changes to improve the understanding of this disease.

Case report

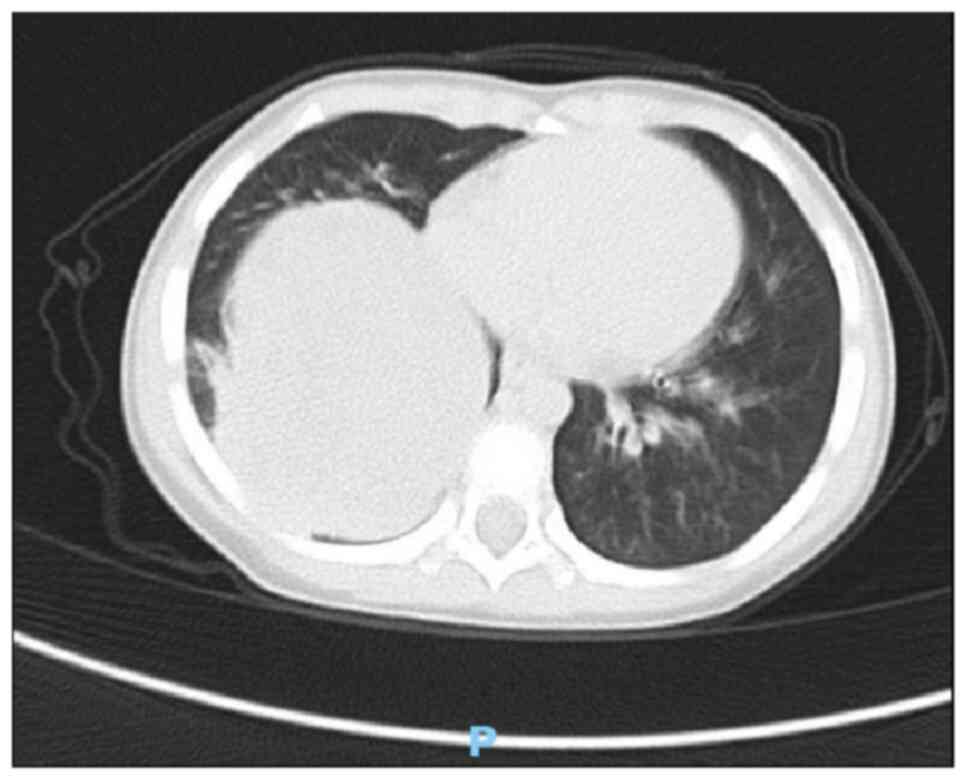
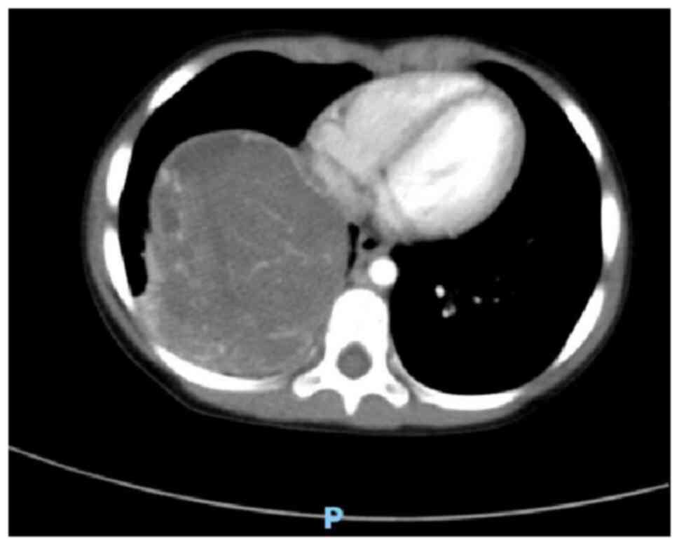
A 3-year-old female patient was admitted to the Affiliated Hospital of Zunyi Medical University (Zunyi, China) in May 2023 for further evaluation after presenting with a 2-month history of cough without obvious inducement and without symptoms including sputum, fever, chills, shortness of breath, dyspnea, abdominal pain, abdominal distension, nausea, vomiting, urinary frequency, and urgency. The symptoms had not markedly improved after oral anti-inflammatory treatment. A chest X-ray revealed bronchitis and a mass in the right thoracic cavity (data not shown), prompting a recommendation for a contrast-enhanced chest computed tomography (CT) scan. Physical examination showed a good mental state, no evident three concave signs, a stable and regular breathing rhythm, symmetrical thorax bilaterally, no pleural friction rub and no subcutaneous crepitus. The right lung exhibited hyperresonance with distinct fine moist rales. A chest CT plain scan and enhanced scan revealed a mass measuring ~85×74×68 mm in the right lower thoracic cavity with uneven density, clear boundaries, and significant heterogeneous enhancement on the contrast-enhanced scan (Figs. 1 and 2). Multiple tortuous vascular shadows were noted within the mass. The right lower lobe was compressed, and flaky increased density shadows were observed in the right middle and lower lobes. The mediastinum remained centered, with no enlarged lymph nodes in the mediastinum or bilateral pulmonary hila. The size and morphology of the heart appeared normal. These findings indicated a space-occupying lesion in the right thoracic cavity, which was considered a neoplastic lesion likely representing PPB.

Figure 1.

Chest CT plain scan shows a mass of ~85×74×68 mm in size in the lower right chest with uneven density and clear boundaries.

Figure 2.

Chest CT enhancement shows uneven and obvious enhancement of the lower right thoracic mass.

Following the completion of relevant examinations (including routine blood work, liver function test, coagulation function test, HIV+, syphilis+ hepatitis C and other infection indicators, stool and urine test, heart color Doppler ultrasound and electrocardiogram) and the exclusion of surgical contraindications, a thoracoscopic right middle and lower lobectomy with thoracic lesion resection was performed. Intraoperative findings revealed firmer lung tissue in the right middle and lower lobes, with the tumor occupying nearly the entire middle and lower lobes, measuring 80×70×60 mm, with indistinct boundaries and slightly thickened interlobar fissures.

A pathological biopsy examination was performed on the lung tissue specimen, measuring 92×85×76 mm. Gross examination revealed a mass of fragmented gray-white to gray-brown tissue, ~81×72×58 mm in size (Fig. 3). The cut surface appeared gray-white and solid, with a delicate cut surface. The boundary between the mass and the surrounding lung tissue was relatively distinct, with certain areas exhibiting tight adhesion to the visceral pleura. The specimens were fixed in 4% neutral formalin at room temperature for 12 h, followed by routine dehydration, paraffin embedding and sectioning at a thickness of 5 µm. Hematoxylin and eosin staining was then performed at room temperature for 5 min each. Microscopic examination (Leica Biosystems) at low magnification revealed tumor cells diffusely distributed in sheets with high cellular density, and a few glandular-like structures were visible between the spindle-shaped solid sheets of tissue (Fig. 4). At high magnification, the solid part was composed of immature primitive embryonic components (Fig. 5), lacking malignant epithelial elements. In certain areas, embryonal rhabdomyosarcoma (ERMS)-like differentiation (Fig. 6) and immature chondrosarcoma-like differentiation (Fig. 7) were observed. The tumor cells exhibited anaplastic changes, with hyperchromatic enlarged nuclei, an increased nucleo-cytoplasmic ratio, and the presence of tumor giant cells and pathological mitotic figures.

Figure 3.

Observation of the lung tissue reveals a mass of fragmented gray-white and gray-brown tissue. The cut surface appears gray and solid with a delicate texture.

Figure 4.

Low-power microscopy reveals that the tumor cells are diffuse and distributed with high cell density (H&E stain; magnification, ×10).

Figure 5.

High-power microscopy shows that the solid portion of the tumor is composed of naive primitive embryonic components (H&E stain; magnification, ×400).

Figure 6.

Microscopy reveals that the tumor cells lack malignant epithelial components, and embryonal rhabdomyosarcoma-like differentiation can be seen in certain areas (blue arrow) (H&E stain; magnification, ×400).

Figure 7.

Immature chondrosarcomatoid differentiation can be seen in certain areas (blue arrow) of the tumor (H&E stain; magnification, ×60).

For immunohistochemistry, the specimens were fixed in 10% neutral formalin (12 h) at 28°C., followed by routine dehydration, paraffin embedding and sectioning at a thickness of 3 µm. Immunohistochemistry using the Envision twostep method was employed to assess the expression of relevant proteins in the tumor tissue. The staining procedures were performed strictly according to the manufacturer's instructions (all primary antibodies used were rabbit or mouse anti-human monoclonal antibodies, purchased from Fuzhou Maixin Biotechnology Development Co. Ltd., and were used at a working concentration of 1:100). The primary antibodies were added to the sections and incubated overnight (12 h) at 4°C. The sections were then prewarmed at 37°C for 30 min, washed 3 times (5 min/time) with PBS (cat. no. TW-0821), incubated in an oven at 37°C for 15 min with secondary antibody (cat. no. DNS-0811) and washed 3 times (5 min/time) with PBS. DAB color development (cat. no. TT-0801; 1:20 preparation) was performed. Microscopic examination (Leica Biosystems) results demonstrated the following: The tumor cells exhibited positivity for Vimentin (cat. no. RMA0547), CD10 (cat. no. MAB0668) and CD56 (cat. no. MAB0743) (Fig. 8A-C). Desmin, myogenic differentiation 1 (MyoD1) (cat. no. MAB0822) and CD99 (cat. no. MAB0059) were focally or sporadically positive (Fig. 8D-F). Spalt like transcription factor 4 (cat. no. MAB0691) demonstrated focal positivity (Fig. 8G), whilst smooth muscle actin (SMA; cat. no. Kit0006) showed local focal positivity (Fig. 8H). Myogenin (cat. no. MAB0866) exhibited local scattered focal positivity (Fig. 8I). Human Melanoma Black 45 (cat. no. MAB0098) was sporadically positive in certain regions and CD34 (cat. no. Kit0004) displayed local positivity (Fig. S1). CK-Pan (AE1/AE3; cat. no. Kit0009), epithelial membrane antigen (cat. no. Kit0011), thyroid transcription factor-1 (TTF-1; cat. no. MAB0677) and Catenin (cat. no. MAB0754) were positive in the mature epithelium entrapped within the tumor, and signal transducer and activator of transcription 6 (cat. no. MRA0845), anaplastic lymphoma kinase (ALK; cat. no. MAB0848), CD21 (cat. no. MAB0708), Chromogranin A (cat. no. MAB0707), OCT3/4 (cat. no. MAB0874), S-100 (cat. no. Kit0007) and Synaptophysin (cat. no. MAB0742) were all negative (Fig. S2).

Figure 8.

Immunohistochemistry results. The tumor cells exhibited positivity for (A) Vimentin, (B) CD10 and (C) CD56. (D) Desmin, (E) myogenic differentiation 1 and (F) CD99 were focally or sporadically positive. (G) Sal-like protein 4 demonstrated focal positivity, whilst (H) SMA showed local focal positivity. (I) Myogenin exhibited local scattered focal positivity (magnification, ×200).

Based on the clinical history, pathological morphological characteristics and immunohistochemical results, the diagnosis was as follows: PPB (Type III) of the right middle and lower lobes, accompanied by rhabdomyosarcoma, chondrosarcoma and other differentiation. The tumor involved the visceral pleura, whilst the bronchial and pulmonary stumps were not affected by the tumor.

After surgery, the patient was treated with IVADo (ifosfamide + vincristine + actinomycin D + adriamycin) regimen for 12 courses in Chongqing Children's Hospital (Chongqing, China). IVADo chemotherapy consisted of ifosfamide 3 g/m2/dose IV on days 1 and 2 (6 g/m2/cycle) with MESNA, vincristine 1.5 mg/m2 IV on day 1 (maximum 2 mg), actinomycin-D 1.5 mg/m2 IV on day 1 (maximum 2 mg) and doxorubicin 30 mg/m2/dose IV on days 1 and 2 (60 mg/m2/cycle) for four 21-day cycles followed by IVA (ifosfamide, vincristine and actinomycin-D) on day 1 for eight 21-day cycles. The patient was reexamined by chest and abdominal imaging every 3 months. At present, the patient has recovered well and has had no recurrence.

Discussion

Characteristics of the disease

Malignant lung tumors in infants are rare, constituting only 0.5–1.0% of primary lung neoplasms at the global level (6). PPB, first characterized in 1988, is identified as a malignant tumor arising within the pulmonary interstitium of infants and is the most prevalent primary lung tumor in this demographic, typically originating from the lung and/or pleura (7). It predominantly comprises malignant primitive embryonic mesenchymal components along with benign pulmonary epithelial elements. The clinical manifestations of PPB are nonspecific, primarily including respiratory symptoms such as cough, sputum and dyspnea. Consequently, PPB is often missed or misdiagnosed (5). Furthermore, the majority of cases documented in the literature pertain to infants <6 years old (4,8), though instances have been noted in adolescents (9) and even adults (10–12). Moreover, the incidence rate shows no significant difference between sexes. Common metastatic sites encompass the brain, bone, spleen, lymph nodes, kidneys, pancreas and adrenal glands (12–14). In the present case, PPB manifested in the lung of a 3-year-old patient, with cough as the initial symptom.

Imaging characteristics

Imaging examinations, particularly chest CT scans, are valuable in differentiating the characteristics of lung lesions. These scans can not only identify the heterogeneity of PPB but also provide diagnostic insights into the presence of pleural effusion and chest wall invasion. For larger masses, a biopsy can be performed under CT guidance to confirm the diagnosis (15). In the present case, CT revealed a right lung mass identified as a neoplastic lesion, possibly indicative of PPB. Differentiation between neurogenic tumors and germ cell-derived tumors is necessary and should be corroborated with clinical and pathological findings. Typically, PPB presents as a solitary, well-defined mass that can exceed 10 cm (13). Based on histological variations, CT scans display different imaging characteristics. Type I PPB lesions often appear as single or multiple subpleural or intrapulmonary cystic masses, requiring differential diagnosis from other cystic lesions such as bronchogenic cysts, pulmonary cysts, pulmonary bullae and interstitial emphysema. Type II PPB frequently presents as intrapulmonary cystic and solid masses, whilst type III PPB predominantly manifests as solid lesions with uniform density and clear boundaries. The differential diagnosis of type II and III PPB, especially when locally invasive, often necessitates differentiation from other malignant tumors, such as neuroblastoma, Ewing's sarcoma and rhabdomyosarcoma. Although CT provides valuable reference data for clinicians and pathologists in diagnosing PPB, it is not definitive, and the final diagnosis relies on pathological examination (3,4).

Pathological characteristics

According to the Dehner classification (14), PPB is categorized into type I (completely cystic, with a better prognosis), type II (cystic and solid) and type III (completely solid, with a poor prognosis). Certain studies further classify PPB into four types (Ir, I, II and III) based on gross pathological appearance and morphological characteristics. Type I cystic PPB may progress to invasive types II and III but may also regress to type Ir, where ‘r’ denotes regression, characterized by the absence of malignant tumor cells. Types II and III PPB are invasive (14,16,17). Types I and Ir exhibit a lower degree of malignancy, whereas types II and III are highly malignant and invasive. Type I PPB is typically unilateral, solitary, peripheral and >5 cm (4). Microscopically, cystic structures with fibrous septa containing immature mesenchymal cells and benign respiratory epithelium are observed. In type Ir, the cyst wall fibrous septa lack immature cells compared with type I. Type II PPB is characterized by both cystic and solid areas, with nodular solid regions containing undifferentiated ovoid and stellate cells growing in sheets, whilst the cystic areas resemble those in type I PPB. Type III is purely solid and microscopically appears as a mixture of blast cells with sarcomatoid areas (chondrosarcomatous, fibrosarcomatous, rhabdomyosarcomatous and anaplastic components) present, often with frequent mitotic figures. Types II and III PPB are histologically similar in the solid areas, necessitating adequate sampling for evaluation (14,18). The immunophenotype of PPB is non-specific. Tumor cells express Vimentin and, in most cases, muscle-specific actin. Depending on differentiation, rhabdomyoblastic areas express desmin, MyoD1 and Myogenin, whilst cartilaginous areas express S-100. CK and TTF-1 mark cystic benign epithelial cells and benign epithelial cells entrapped within the tumor substance (19).

Differential diagnosis

Type III PPB must be distinguished from the following tumors: i) Classic pulmonary blastoma, which is a biphasic highly malignant tumor containing both malignant epithelial and mesenchymal components, whereas PPB comprises benign epithelial and malignant mesenchymal components. The primary distinguishing factor between the two is the presence or absence of malignant epithelial cells observed microscopically; ii) ERMS, as both ERMS and PPB exhibit concurrent mutations in Dcr-1 homolog and ribonuclease type III (DICER1), making immunohistochemistry crucial for differentiation. ERMS is a highly malignant soft tissue sarcoma originating from mesenchymal stem cells during the embryonic period, characterized by differentiation towards rhabdomyosarcoma. It presents primitive undifferentiated stellate cells, small round cells and well-differentiated cells that stain strongly with eosin, displaying tadpole-shaped, spindle-shaped, ribbon-like, tennis racket-like and large round tumor cells. ERMS shows diffuse strong expression of MyoD1 and Myogenin, whereas PPB expresses these markers focally when rhabdomyoblastic differentiation is present (19). Furthermore, a previous study reported that insulin-like growth factor is overexpressed in ERMS but under-expressed in PPB (20). Immunohistochemistry is essential for differentiating between these two entities; iii) mesenchymal chondrosarcoma (MC), a highly malignant biphasic tumor comprising undifferentiated primitive round cells and well-differentiated hyaline cartilage. The tumor cells are small to medium-sized round cells that express CD99, unlike PPB. Cartilage differentiation in MC can vary from loosely arranged small lesions to well-differentiated large areas of mature cartilage, often containing large granular calcifications. MC is characterized by the HEY1-NCOA2 fusion gene, whereas PPB primarily exhibits heterozygous germline mutations in DICER1 (21); iv) inflammatory myofibroblastic tumor (IMT), which the World Health Organization, in 2020, defined as a unique, rarely metastatic tumor composed of spindle-shaped myofibroblasts and fibroblasts accompanied by plasma cells, lymphocytes, eosinophils and other inflammatory cells (22). The immunophenotype of IMT expresses Vimentin and shows varying degrees of expression of SMA, calponin and desmin. A total of 50–60% of cases are ALK-positive, with about 2/3 of IMTs exhibiting ALK gene rearrangements. By contrast, PPB does not express ALK or have ALK gene rearrangements; and v) primitive neuroectodermal tumor (PNET), which is primarily composed of small round and short spindle-shaped primitive cells with diffuse distribution. Homer-Wright pseudorosettes may be observed. PNET expresses neuron-specific enolase and synaptophysin, which PPB does not express (23).

The patient in the present case had type III PPB with rhabdomyosarcoma, chondrosarcoma and other differentiations, accompanied by pleural invasion. During diagnosis, it is crucial to differentiate PPB from classic pulmonary blastoma, ERMS and MC. Moreover, differentiation should be based on clinical history, characteristic pathological morphology and immunohistochemical results.

Genetic modification

PPB and other tumors exhibit familial characteristics. Whole-exome sequencing has identified heterozygous germline mutations in DICER1 in infants with PPB. The DICER1 protein belongs to the ribonuclease III enzyme family (24) and the DICER1 gene is a highly conserved gene located on chromosome 14q32.13, encoding 1,992 amino acids and comprising 27 exons. This gene controls the production of the ribonuclease enzyme, Dicer1, which serves a critical role in regulating protein translation (25). Data from the International PPB Registry indicate that ~70% of patients with PPB possess DICER1 gene mutations (8). Common pathogenic mutations in the DICER1 gene include loss-of-function (LOF) mutations and hotspot missense mutations in the RNase IIIb domain, with LOF mutations being the predominant mode of familial inheritance. There is a marked association between DICER1 and Sertoli-Leydig cell tumors (and ovarian germ cell tumors), suggesting that patients with these tumors should be tested for germline or somatic DICER1 mutations. Thyroid nodular hyperplasia, with or without papillary thyroid carcinoma, may be the most common associated pathology in DICER1 germline mutation carriers. Other DICER1-related tumors include cervical (non-vaginal) ERMS, ciliated müllerian mixed tumor, nasal chondromesenchymal hamartoma, small intestinal hamartomatous polyps and pituitary blastoma. Any of these tumors, individually or in combination, may indicate DICER1-related syndrome. Therefore, it is particularly important for clinicians and pathologists to raise this concern and recommend genetic counseling and testing (14). From the clinical history, typical morphology and immunohistochemical results in the present case, the diagnosis was clear; however, genetic testing was not available, which was a limitation.

Treatment and prognosis

The treatment of PPB includes surgery, chemotherapy, radiotherapy and neoadjuvant therapy. Complete surgical resection is the main goal of treatment for children with PPB. It has also been reported that neural cell adhesion molecule 1/fibroblast growth factor module can be used as a therapeutic target for pleuropulmonary blastoma (26). Type I and Ir PPB have not been reported to have metastases and are treated with complete resection with wide negative margins. Systemic chemotherapy and surgical resection are the key to the treatment of type II and type III PPB. Neoadjuvant chemotherapy after biopsy can be used for large tumors that are difficult to resect and with unpredictable negative margins. Furthermore, the prognosis of PPB is related to the pathological classification. The 5-year overall survival rate of type I and Ir PPB has been reported to be 98.0%, and that of type II and III PPB is 71 and 53%, respectively (4).

The present report describes a rare case of PPB (type III) with rhabdomyosarcoma and chondrosarcoma differentiation occurring in the middle and lower lobe of the right lung. Regular chemotherapy was performed after surgery, and the patient was followed up for 12 months. Therefore, the present report demonstrates that a comprehensive description of PPB, including clinical manifestations, imaging features, pathological features and molecular genetic changes provide a good reference value for clinical diagnosis and treatment.

PPB is the most common pulmonary malignant tumor in children, its incidence is low, it is difficult to distinguish from other lung space occupying lesions, it is difficult to diagnose early, and it often progresses into a pathological type with a poor prognosis. The disease is closely related to a DICER1 gene variation, and children with DICER1 syndrome and their relatives are at risk of developing multisystem tumors. The clinical manifestations of children with PPB should be paid attention to, lung imaging and pathological examinations in the early stage should be performed, as well as genetic testing if necessary and long-term monitoring of the family of a patient with DICER1 syndrome.

Supplementary Material

Supporting Data

Acknowledgements

Not applicable.

Funding

Funding: No funding was received.

Availability of data and materials

The data generated in the present study may be requested from the corresponding author.

Authors' contributions

SL and JW analyzed the data, conducted the histopathological evaluation and assisted in writing the manuscript.. XT acquired the CT scan images. TX performed the immunohistochemical staining. XT analyzed the patient data. JJW and SL confirm the authenticity of all the raw data. All authors have read and approved the final version of the manuscript.

Ethics approval and consent to participate

The present case report was approved by the Ethics Committee of the Affiliated Hospital of Zunyi Medical University (Zunyi, China; approval no. KLLY-2024-354).

Patient consent for publication

Written informed consent was obtained from the parents of the patient for the publication of the present case report and any accompanying images.

Competing interests

The authors declare that they have no competing interests.

Glossary

Abbreviations

Abbreviations:

PPB

pleuropulmonary blastoma

DICER1

Dcr-1 homolog and ribonuclease type III

CT

computed tomography

References

1 

Masarweh K, Mordechai O, Gur M, Bar-Yoseph R, Bentur L and Ilivitzki A: Challenges in DICER1-associated lung disease. J Clin Med. 12:19182023. View Article : Google Scholar : PubMed/NCBI

2 

Nasr A, Himidan S, Pastor AC, Taylor G and Kim PC: Is congenital cystic adenomatoid malformation a premalignant lesion for pleuropulmonary blastoma? J Pediatr Surg. 45:1086–1089. 2010. View Article : Google Scholar : PubMed/NCBI

3 

Dehner LP: Pleuropulmonary blastoma is THE pulmonary blastoma of childhood. Semin Diagn Pathol. 11:144–151. 1994.PubMed/NCBI

4 

Messinger YH, Stewart DR, Priest JR, Williams GM, Harris AK, Schultz KA, Yang J, Doros L, Rosenberg PS, Hill DA and Dehner LP: Pleuropulmonary blastoma: A report on 350 central pathology-confirmed pleuropulmonary blastoma cases by the International Pleuropulmonary Blastoma Registry. Cancer. 121:276–285. 2015. View Article : Google Scholar : PubMed/NCBI

5 

Hemead H, Aly RG, Kotb M and Abdelaziz A: Pediatric pleuropulmonary blastoma: Analysis of four cases. BMC Cancer. 24:12682024. View Article : Google Scholar : PubMed/NCBI

6 

Hussain M, Baig FA and Hussain S: Pulmonary blastoma. J Coll Physicians Surg Pak. 17:438–440. 2007.PubMed/NCBI

7 

Bownes LV, Hutchins SC, Cardenas AM, Kelly DR and Beierle EA: Pleuropulmonary blastoma in an adolescent. J Pediatr Surg Case Rep. 59:1014822020. View Article : Google Scholar : PubMed/NCBI

8 

Schultz KAP, Harris AK, Nelson AT, Watson D, Lucas JT Jr, Miniati D, Stewart DR, Hagedorn KN, Mize W, Kamihara J, et al: Outcomes for children with type II and type III pleuropulmonary blastoma following chemotherapy: A report from the international PPB/DICER1 registry. J Clin Oncol. 41:778–789. 2023. View Article : Google Scholar : PubMed/NCBI

9 

Gbande P, Abukeshek T, Bensari F and El-Kamel S: Pleuropulmonary blastoma, a rare entity in childhood. Case Reports. 7:202002062021.PubMed/NCBI

10 

Berean K, Truong LD, Dudley AW Jr and Cagle PT: Immunohistochemical characterization of pulmonary blastoma. Am J Clin Pathol. 89:773–777. 1988. View Article : Google Scholar : PubMed/NCBI

11 

Bhalerao S, Adhav A, Gandhe S and Nagarkar R: Metachronous pleuropulmonary blastoma in an adult patient with endometrial cancer: A case report. Oxf Med Case Reports. 2019:omz0562019. View Article : Google Scholar : PubMed/NCBI

12 

Liu AH, Zheng WY and Wu L: Pleuropulmonary blastoma in an adult women with pleurorrhea as the major clinical manifestation: Report of a case. Nan Fang Yi Ke Da Xue Xue Bao. 28:2241–2243. 2008.(In Chinese). PubMed/NCBI

13 

Koss MN, Hochholzer L and O'Leary T: Pulmonary blastomas. Cancer. 67:2368–2381. 1991. View Article : Google Scholar : PubMed/NCBI

14 

Dehner LP, Messinger YH, Schultz KA, Williams GM, Wikenheiser-Brokamp K and Hill DA: Pleuropulmonary blastoma: Evolution of an entity as an entry into a familial tumor predisposition syndrome. Pediatr Dev Pathol. 18:504–511. 2015. View Article : Google Scholar : PubMed/NCBI

15 

Engwall-Gill AJ, Chan SS, Boyd KP, Saito JM, Fallat ME, St Peter SD, Bolger-Theut S, Crotty EJ, Green JR, Hulett Bowling RL, et al: Accuracy of chest computed tomography in distinguishing cystic pleuropulmonary blastoma from benign congenital lung malformations in children. JAMA Netw Open. 5:e22198142022. View Article : Google Scholar : PubMed/NCBI

16 

Bisogno G, Sarnacki S, Stachowicz-Stencel T, Colin VM, Ferrari A, Godzinski J, Villars MG, Bien E, Hameury F, Helfre S, et al: Pleuropulmonary blastoma in children and adolescents: The EXPeRT/PARTNER diagnostic and therapeutic recommendations. Pediatr Blood Cancer. 68 (Suppl 1):e290452021. View Article : Google Scholar : PubMed/NCBI

17 

Landry-Truchon K, Houde N, Lhuillier M, Charron L, Hadchouel A, Delacourt C, Foulkes WD, Galmiche-Rolland L and Jeannotte L: Deletion of Yy1 in mouse lung epithelium unveils molecular mechanisms governing pleuropulmonary blastoma pathogenesis. Dis Model Mech. 13:dmm0459892020. View Article : Google Scholar : PubMed/NCBI

18 

Knight S, Knight T, Khan A and Murphy J: Current management of pleuropulmonary blastoma: A surgical perspective. Children (Basel). 6:862019.PubMed/NCBI

19 

Han LM, Weiel JJ, Longacre TA and Folkins AK: DICER1-associated tumors in the female genital tract: Molecular basis, clinicopathologic features, and differential diagnosis. Adv Anat Pathol. 29:297–308. 2022.PubMed/NCBI

20 

Venkatramani R, Triche TJ, Wang L, Shimada H and Mascarenhas L: Insulin-like growth factor 2 gene expression molecularly differentiates pleuropulmonary blastoma and embryonal rhabdomyosarcoma. J Pediatr Hematol Oncol. 37:e356–360. 2015. View Article : Google Scholar : PubMed/NCBI

21 

Folpe A, Graham RP, Martinez A, Schembri-Wismayer D, Boland J and Fritchie KJ: Mesenchymal chondrosarcomas showing immunohistochemical evidence of rhabdomyoblastic differentiation: A potential diagnostic pitfall. Hum Pathol. 77:28–34. 2018. View Article : Google Scholar : PubMed/NCBI

22 

Gros L, Dei Tos AP, Jones RL and Digklia A: Inflammatory myofibroblastic tumour: State of the Art. Cancers (Basel). 14:36622022. View Article : Google Scholar : PubMed/NCBI

23 

Onoda T, Kanno M, Sato H, Takahashi N, Izumino H, Ohta H, Emura T, Katoh H, Ohizumi H, Ohtake H, et al: Identification of novel ALK rearrangement A2M-ALK in a neonate with fetal lung interstitial tumor. Genes Chromosomes Cancer. 53:865–874. 2014. View Article : Google Scholar : PubMed/NCBI

24 

Dehner LP, Schultz KA and Hill DA: Pleuropulmonary blastoma: More than a lung neoplasm of childhood. Mo Med. 116:206–210. 2019.PubMed/NCBI

25 

González IA, Stewart DR, Schultz KAP, Field AP, Hill DA and Dehner LP: DICER1 tumor predisposition syndrome: An evolving story initiated with the pleuropulmonary blastoma. Mod Pathol. 35:4–22. 2022. View Article : Google Scholar : PubMed/NCBI

26 

Shukrun R, Golan H, Caspi R, Pode-Shakked N, Pleniceanu O, Vax E, Bar-Lev DD, Pri-Chen S, Jacob-Hirsch J, Schiby G, et al: NCAM1/FGF module serves as a putative pleuropulmonary blastoma therapeutic target. Oncogenesis. 8:482019. View Article : Google Scholar : PubMed/NCBI

Related Articles

  • Abstract
  • View
  • Download
  • Twitter
Copy and paste a formatted citation
Spandidos Publications style
Luo S, Tian X, Xu T and Wang J: Type III pleuropulmonary blastoma: A case report. Oncol Lett 29: 117, 2025.
APA
Luo, S., Tian, X., Xu, T., & Wang, J. (2025). Type III pleuropulmonary blastoma: A case report. Oncology Letters, 29, 117. https://doi.org/10.3892/ol.2025.14864
MLA
Luo, S., Tian, X., Xu, T., Wang, J."Type III pleuropulmonary blastoma: A case report". Oncology Letters 29.3 (2025): 117.
Chicago
Luo, S., Tian, X., Xu, T., Wang, J."Type III pleuropulmonary blastoma: A case report". Oncology Letters 29, no. 3 (2025): 117. https://doi.org/10.3892/ol.2025.14864
Copy and paste a formatted citation
x
Spandidos Publications style
Luo S, Tian X, Xu T and Wang J: Type III pleuropulmonary blastoma: A case report. Oncol Lett 29: 117, 2025.
APA
Luo, S., Tian, X., Xu, T., & Wang, J. (2025). Type III pleuropulmonary blastoma: A case report. Oncology Letters, 29, 117. https://doi.org/10.3892/ol.2025.14864
MLA
Luo, S., Tian, X., Xu, T., Wang, J."Type III pleuropulmonary blastoma: A case report". Oncology Letters 29.3 (2025): 117.
Chicago
Luo, S., Tian, X., Xu, T., Wang, J."Type III pleuropulmonary blastoma: A case report". Oncology Letters 29, no. 3 (2025): 117. https://doi.org/10.3892/ol.2025.14864
Follow us
  • Twitter
  • LinkedIn
  • Facebook
About
  • Spandidos Publications
  • Careers
  • Cookie Policy
  • Privacy Policy
How can we help?
  • Help
  • Live Chat
  • Contact
  • Email to our Support Team