Spandidos Publications Logo
  • About
    • About Spandidos
    • Aims and Scopes
    • Abstracting and Indexing
    • Editorial Policies
    • Reprints and Permissions
    • Job Opportunities
    • Terms and Conditions
    • Contact
  • Journals
    • All Journals
    • Oncology Letters
      • Oncology Letters
      • Information for Authors
      • Editorial Policies
      • Editorial Board
      • Aims and Scope
      • Abstracting and Indexing
      • Bibliographic Information
      • Archive
    • International Journal of Oncology
      • International Journal of Oncology
      • Information for Authors
      • Editorial Policies
      • Editorial Board
      • Aims and Scope
      • Abstracting and Indexing
      • Bibliographic Information
      • Archive
    • Molecular and Clinical Oncology
      • Molecular and Clinical Oncology
      • Information for Authors
      • Editorial Policies
      • Editorial Board
      • Aims and Scope
      • Abstracting and Indexing
      • Bibliographic Information
      • Archive
    • Experimental and Therapeutic Medicine
      • Experimental and Therapeutic Medicine
      • Information for Authors
      • Editorial Policies
      • Editorial Board
      • Aims and Scope
      • Abstracting and Indexing
      • Bibliographic Information
      • Archive
    • International Journal of Molecular Medicine
      • International Journal of Molecular Medicine
      • Information for Authors
      • Editorial Policies
      • Editorial Board
      • Aims and Scope
      • Abstracting and Indexing
      • Bibliographic Information
      • Archive
    • Biomedical Reports
      • Biomedical Reports
      • Information for Authors
      • Editorial Policies
      • Editorial Board
      • Aims and Scope
      • Abstracting and Indexing
      • Bibliographic Information
      • Archive
    • Oncology Reports
      • Oncology Reports
      • Information for Authors
      • Editorial Policies
      • Editorial Board
      • Aims and Scope
      • Abstracting and Indexing
      • Bibliographic Information
      • Archive
    • Molecular Medicine Reports
      • Molecular Medicine Reports
      • Information for Authors
      • Editorial Policies
      • Editorial Board
      • Aims and Scope
      • Abstracting and Indexing
      • Bibliographic Information
      • Archive
    • World Academy of Sciences Journal
      • World Academy of Sciences Journal
      • Information for Authors
      • Editorial Policies
      • Editorial Board
      • Aims and Scope
      • Abstracting and Indexing
      • Bibliographic Information
      • Archive
    • International Journal of Functional Nutrition
      • International Journal of Functional Nutrition
      • Information for Authors
      • Editorial Policies
      • Editorial Board
      • Aims and Scope
      • Abstracting and Indexing
      • Bibliographic Information
      • Archive
    • International Journal of Epigenetics
      • International Journal of Epigenetics
      • Information for Authors
      • Editorial Policies
      • Editorial Board
      • Aims and Scope
      • Abstracting and Indexing
      • Bibliographic Information
      • Archive
    • Medicine International
      • Medicine International
      • Information for Authors
      • Editorial Policies
      • Editorial Board
      • Aims and Scope
      • Abstracting and Indexing
      • Bibliographic Information
      • Archive
  • Articles
  • Information
    • Information for Authors
    • Information for Reviewers
    • Information for Librarians
    • Information for Advertisers
    • Conferences
  • Language Editing
Spandidos Publications Logo
  • About
    • About Spandidos
    • Aims and Scopes
    • Abstracting and Indexing
    • Editorial Policies
    • Reprints and Permissions
    • Job Opportunities
    • Terms and Conditions
    • Contact
  • Journals
    • All Journals
    • Biomedical Reports
      • Information for Authors
      • Editorial Policies
      • Editorial Board
      • Aims and Scope
      • Abstracting and Indexing
      • Bibliographic Information
      • Archive
    • Experimental and Therapeutic Medicine
      • Information for Authors
      • Editorial Policies
      • Editorial Board
      • Aims and Scope
      • Abstracting and Indexing
      • Bibliographic Information
      • Archive
    • International Journal of Epigenetics
      • Information for Authors
      • Editorial Policies
      • Editorial Board
      • Aims and Scope
      • Abstracting and Indexing
      • Bibliographic Information
      • Archive
    • International Journal of Functional Nutrition
      • Information for Authors
      • Editorial Policies
      • Editorial Board
      • Aims and Scope
      • Abstracting and Indexing
      • Bibliographic Information
      • Archive
    • International Journal of Molecular Medicine
      • Information for Authors
      • Editorial Policies
      • Editorial Board
      • Aims and Scope
      • Abstracting and Indexing
      • Bibliographic Information
      • Archive
    • International Journal of Oncology
      • Information for Authors
      • Editorial Policies
      • Editorial Board
      • Aims and Scope
      • Abstracting and Indexing
      • Bibliographic Information
      • Archive
    • Medicine International
      • Information for Authors
      • Editorial Policies
      • Editorial Board
      • Aims and Scope
      • Abstracting and Indexing
      • Bibliographic Information
      • Archive
    • Molecular and Clinical Oncology
      • Information for Authors
      • Editorial Policies
      • Editorial Board
      • Aims and Scope
      • Abstracting and Indexing
      • Bibliographic Information
      • Archive
    • Molecular Medicine Reports
      • Information for Authors
      • Editorial Policies
      • Editorial Board
      • Aims and Scope
      • Abstracting and Indexing
      • Bibliographic Information
      • Archive
    • Oncology Letters
      • Information for Authors
      • Editorial Policies
      • Editorial Board
      • Aims and Scope
      • Abstracting and Indexing
      • Bibliographic Information
      • Archive
    • Oncology Reports
      • Information for Authors
      • Editorial Policies
      • Editorial Board
      • Aims and Scope
      • Abstracting and Indexing
      • Bibliographic Information
      • Archive
    • World Academy of Sciences Journal
      • Information for Authors
      • Editorial Policies
      • Editorial Board
      • Aims and Scope
      • Abstracting and Indexing
      • Bibliographic Information
      • Archive
  • Articles
  • Information
    • For Authors
    • For Reviewers
    • For Librarians
    • For Advertisers
    • Conferences
  • Language Editing
Login Register Submit
  • This site uses cookies
  • You can change your cookie settings at any time by following the instructions in our Cookie Policy. To find out more, you may read our Privacy Policy.

    I agree
Search articles by DOI, keyword, author or affiliation
Search
Advanced Search
presentation
Oncology Letters
Join Editorial Board Propose a Special Issue
Print ISSN: 1792-1074 Online ISSN: 1792-1082
Journal Cover
March-2025 Volume 29 Issue 3

Full Size Image

Sign up for eToc alerts
Recommend to Library

Journals

International Journal of Molecular Medicine

International Journal of Molecular Medicine

International Journal of Molecular Medicine is an international journal devoted to molecular mechanisms of human disease.

International Journal of Oncology

International Journal of Oncology

International Journal of Oncology is an international journal devoted to oncology research and cancer treatment.

Molecular Medicine Reports

Molecular Medicine Reports

Covers molecular medicine topics such as pharmacology, pathology, genetics, neuroscience, infectious diseases, molecular cardiology, and molecular surgery.

Oncology Reports

Oncology Reports

Oncology Reports is an international journal devoted to fundamental and applied research in Oncology.

Experimental and Therapeutic Medicine

Experimental and Therapeutic Medicine

Experimental and Therapeutic Medicine is an international journal devoted to laboratory and clinical medicine.

Oncology Letters

Oncology Letters

Oncology Letters is an international journal devoted to Experimental and Clinical Oncology.

Biomedical Reports

Biomedical Reports

Explores a wide range of biological and medical fields, including pharmacology, genetics, microbiology, neuroscience, and molecular cardiology.

Molecular and Clinical Oncology

Molecular and Clinical Oncology

International journal addressing all aspects of oncology research, from tumorigenesis and oncogenes to chemotherapy and metastasis.

World Academy of Sciences Journal

World Academy of Sciences Journal

Multidisciplinary open-access journal spanning biochemistry, genetics, neuroscience, environmental health, and synthetic biology.

International Journal of Functional Nutrition

International Journal of Functional Nutrition

Open-access journal combining biochemistry, pharmacology, immunology, and genetics to advance health through functional nutrition.

International Journal of Epigenetics

International Journal of Epigenetics

Publishes open-access research on using epigenetics to advance understanding and treatment of human disease.

Medicine International

Medicine International

An International Open Access Journal Devoted to General Medicine.

Journal Cover
March-2025 Volume 29 Issue 3

Full Size Image

Sign up for eToc alerts
Recommend to Library

  • Article
  • Citations
    • Cite This Article
    • Download Citation
    • Create Citation Alert
    • Remove Citation Alert
    • Cited By
  • Similar Articles
    • Related Articles (in Spandidos Publications)
    • Similar Articles (Google Scholar)
    • Similar Articles (PubMed)
  • Download PDF
  • Download XML
  • View XML
Case Report Open Access

Urothelial carcinoma metastasis to the appendix as the first manifestation of dissemination after radical cystectomy: A case report

  • Authors:
    • Pawel Nalej
    • Piotr Kalinowski
    • Olga Kuczkiewicz-Siemion
    • Bernard Adamowicz
    • Tomasz Kalinowski
    • Tomasz  Demkow
  • View Affiliations / Copyright

    Affiliations: Department of Urogenital Cancer, Maria Skłodowska-Curie National Research Institute of Oncology, 02-781 Warsaw, Poland, Department of Pathology and Laboratory Diagnostics, Maria Sklodowska-Curie National Research Institute of Oncology, 02-781 Warsaw, Poland
    Copyright: © Nalej et al. This is an open access article distributed under the terms of Creative Commons Attribution License.
  • Article Number: 163
    |
    Published online on: January 27, 2025
       https://doi.org/10.3892/ol.2025.14909
  • Expand metrics +
Metrics: Total Views: 0 (Spandidos Publications: | PMC Statistics: )
Metrics: Total PDF Downloads: 0 (Spandidos Publications: | PMC Statistics: )
Cited By (CrossRef): 0 citations Loading Articles...

This article is mentioned in:



Abstract

Urothelial carcinoma of the urinary tract is the seventh most commonly diagnosed cancer in men and the 10th most common when both genders are considered. The most common site of malignancy in the urinary tract is the bladder. Radical cystectomy with urinary diversion is considered the best treatment option for patients with advanced urothelial bladder cancer. The most common long‑term complication of urinary diversion is the deterioration of renal function, mainly caused by uretero‑enteric strictures. Malignant neoplasms of the appendix are rare and metastatic involvement of the appendix during the course of any neoplastic disease is very rare. The current study presents a unique case of a 67‑year‑old man with urothelial cancer metastasis to the appendix, which was accidentally detected in an inflamed appendix removed during surgical treatment of an uretero‑enteric stricture after radical cystectomy. To the best of our knowledge, bladder cancer metastasis to the appendix has not been previously reported as the first manifestation of dissemination. This case report provides evidence expanding the spectrum of known forms of metastatic urothelial carcinoma and may help in the development of guidelines for the surveillance and treatment of bladder cancer.

Introduction

Urothelial carcinoma is the most common histological type of carcinoma of the urinary tract. The bladder is the most frequent site of malignancy in the urinary tract. Bladder cancer is the seventh most commonly diagnosed cancer in men and the tenth most common for both genders combined (1). Radical cystectomy is considered the best treatment option for patients with advanced urothelial bladder cancer and remains the standard of care for muscle-invasive bladder cancer and high-risk nonmuscle-invasive disease (1–10). Systematic follow-up after radical treatment allows for proper diagnosis of possible surgical complications and is also important in the context of the potential spread of the disease. The most common complications associated with surgical urinary diversion after radical cystectomy include uretero-enteric strictures, which may lead to deterioration of renal function (2). Detection of urothelial cancer metastases during follow-up after radical treatment is important, as it is associated with poor prognosis (1,7). Malignant neoplasms of the appendix are rare and metastatic involvement of the appendix during the course of any neoplastic disease is very rare (8,11–13). The current study presented the case of a patient whose first metastasis of urothelial carcinoma was found to involve the appendix.

Case report

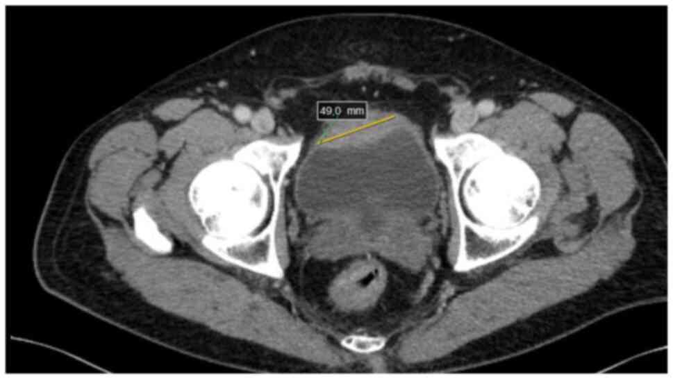
A 67-year-old male patient with a history of hypercholesterolemia, and no other comorbidities, was referred to the urologist for hematuria in September 2021. The patient underwent transurethral resection of the bladder tumor and was diagnosed with pT2 high-grade urothelial bladder cancer. The patient was then referred to the Department of Urogenital Cancer at the Maria Skłodowska-Curie National Research Institute of Oncology (Warsaw, Poland). Computed tomography (CT) performed in October 2021 due to the diagnosis of muscle-invasive bladder cancer detected a neoplastic infiltration of the anterior wall of the urinary bladder, measuring ~13×49 mm, extending beyond the bladder wall, with no lymphadenopathy or metastatic changes in parenchymal organs or bones (Fig. 1). The patient received neoadjuvant treatment consisting of four courses of gemcitabine and cisplatin chemotherapy, followed by a cystoprostatectomy in March 2022. During the cystoprostatectomy, the Bricker technique of urinary diversion was used, which involves spatulating the ends of the ureters and suturing each ureter separately to the end of an isolated intestinal loop, the so-called Bricker loop, the other end of which is used as a urostomy (5). There were no clinical or intraoperative indications for additional removal of the appendix; therefore, the appendix was left in place.

Figure 1.

Preoperative CT scan. Neoplastic infiltration of the anterior wall of the urinary bladder, measuring ~49 mm in its greatest dimension, marked with a yellow bar.

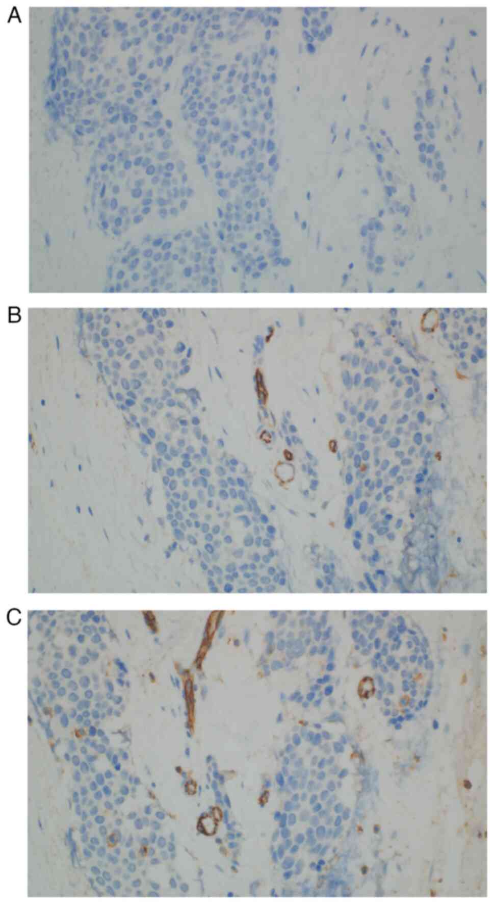
The postoperative histopathological examination showed high-grade pT3a urothelial carcinoma of the urinary bladder. The first postoperative CT scan showed no local recurrence and no lymphadenopathy or metastases in the parenchymal organs or bones (Fig. 2). The patient remained under observation with no signs of progression of the disease. Regular CT scans were performed every 3 months and other supportive examinations were performed as part of the oncological follow-up. In March 2023, the patient was readmitted to the Department of Urogenital Cancer at the Maria Skłodowska-Curie National Research Institute of Oncology (Warsaw, Poland) for suspected uretero-enteric strictures and bilateral hydronephrosis. The patient qualified for surgical treatment. The last CT scan before the planned surgery (performed in January 2023) revealed no recurrence or metastasis of urothelial carcinoma. Laparotomy was performed, during which an inflammatory infiltration was found intraoperatively, absorbing the junctions of the ureters with the Bricker loop and the appendix. The appendix was located in close proximity to the Bricker loop, but not in direct contact with it; the surrounding tissues were inflamed. This finding suggested appendicitis accompanying the ureteral strictures. Macroscopically, there was no suspicion of cancer recurrence. The ureters were resected and implanted into the Bricker loop. The inflamed appendix was removed and submitted for histopathological examination, which revealed neoplastic cells arranged in irregular nests or single cells within the subserosal connective tissue (Fig. 3). Neoplastic cells showed high-grade nuclear features, such as nuclear pleomorphism, hyperchromasia, a high nuclear-to-cytoplasm ratio and mitotic figures (Fig. 4). The following immunoprofile was observed: p40d (+), cytokeratin (CK)AE1/AE3 [CKAE1/3 (+)], CK high molecular weight (+), CK5/6 (+), CK20 (−), CK7 (−), caudal-type homeobox transcription factor 2 (−), GATA binding protein 3 [GATA-3 (+)], S100 calcium binding protein P (−), Uroplakin III (−), insulinoma-associated protein 1 (−), Synaptophysin (−), Chromogranin (−), prostate-specific acid phosphatase (−) and antigen Ki-67 [Ki-67 (+)] with ~30% positive nuclei (Fig. 4, Fig. 5, Fig. 6, Fig. 7, Fig. 8, Fig. 9A). A pronounced retraction artifact was present; therefore, vascular invasion was excluded by immunohistochemistry [CD34 (−), CD31 (−); Fig. 9B and C]. All immunohistochemistry protocols were performed according to the instructions of the manufacturer and staining platforms. The details of all antibodies used are provided in Table I. Ultimately, the neoplasm's morphology, in correlation with immunohistochemical results, corresponded to a cancer metastasis to the appendix, primarily of urothelial origin. The differential diagnosis included colorectal cancer, neuroendocrine neoplasms and prostate cancer.

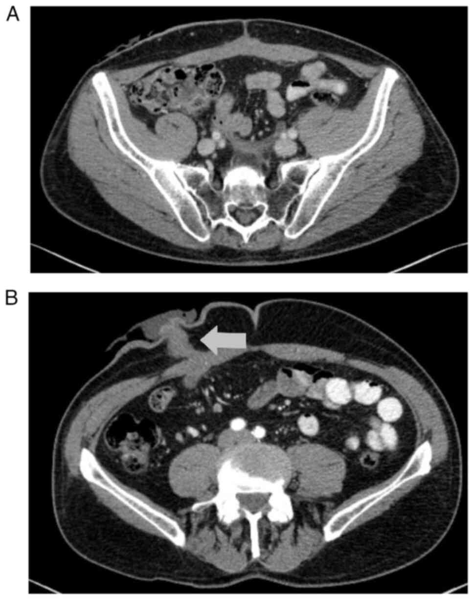
Figure 2.

First postoperative CT scan. (A) No local recurrence, no lymphadenopathy, no metastases in the parenchymal organs or bones. (B) The arrow indicates the Bricker loop.

Figure 3.

Histopathological results of the removed appendix. Neoplastic cells arranged in irregular nests or single cells within the appendiceal subserosal connective tissue (hematoxylin and eosin; magnification, ×40; scale bar, 500 µm).

Figure 4.

Histopathological results of the removed appendix. High-grade nuclear features and mitotic activity (hematoxylin and eosin; magnification, ×400; scale bar, 50 µm).

Figure 5.

Immunohistochemical results of the removed appendix. The neoplastic cells show expression of (A) p40d, (B) CKAE1/AE3, (C) CK high molecular weight and (D) CK5/6 (magnification, ×400; scale bar, 50 µm). CK, cytokeratin.

Figure 6.

Immunohistochemical results of the removed appendix. Negative expression for (A) CK20, (B) CK7 and (C) caudal-type homeobox transcription factor 2 (magnification, ×400). CK, cytokeratin.

Figure 7.

Immunohistochemical results of the removed appendix. The neoplastic cells show expression of (A) GATA binding protein 3, (B) S100 calcium binding protein P and (C) Ki-67 with ~30% positive nuclei (magnification, ×400; scale bar, 50 µm).

Figure 8.

Immunohistochemical results of the removed appendix. Negative expression for (A) uroplakin III, (B) insulinoma-associated protein 1, (C) synaptophysin and (D) chromogranin by (magnification, ×400).

Figure 9.

Immunohistochemical results of the removed appendix. Negative expression for (A) prostate-specific acid phosphatase, (B) CD34 and (C) CD31 by (magnification, ×400).

Table I.

Details of immunohistochemical staining.

Table I.

Details of immunohistochemical staining.

ProteinCat. no.CloneDilutionSupplierPlatform
p40d6A784DAK-p40Ready to useDako; Agilent Technologies, Inc.Omnis
CKAE1/AE3IR053AE1/AE3 colneReady to useDako; Agilent Technologies, Inc.Autostainer
CKHMWIR05134βE12Ready to useDako; Agilent Technologies, Inc.Autostainer
CK5/6IR780D5/16 B4Ready to useDako; Agilent Technologies, Inc.Autostainer
CK20IR777 Ks20.8Ready to useDako; Agilent Technologies, Inc.Autostainer
CK7IR619OV-TL 12/30Ready to useDako; Agilent Technologies, Inc.Autostainer
CDX-26A080DAK-CDX2Ready to useDako; Agilent Technologies, Inc.Omnis
GATA-37107749001L50-823Ready to useRoche DiagnosticsBenchMark
S100P0652393500116/f51:500Roche DiagnosticsManual
Uroplakin III64119232001SP73Ready to useRoche DiagnosticsVentana BenchMark
INSM1G2922A-81:500Santa Cruz Biotechnology, Inc.Manual
SynaptophysinGA660DAK-SYNAPReady to useDako; Agilent Technologies, Inc.Omnis
Chromogranin AMO869DAK-A31:200Dako; Agilent Technologies, Inc.Autostainer
PSAPMO792PASE/4LJ1:500Dako; Agilent Technologies, Inc.Autostainer
Ki-67GA626MIB-1Ready to useDako; Agilent Technologies, Inc.Omnis
CD31GA610JC70AReady to useDako; Agilent Technologies, Inc.Omnis
CD34GA632QBEnd10Ready to useDako; Agilent Technologies, Inc.Omnis

[i] PSAP, prostate-specific acid phosphatase; INSM1, insulinoma-associated protein 1; CK, cytokeratin; CKHMW, CK high molecular weight; GATA3, GATA binding protein 3; CDX2, caudal-type homeobox transcription factor 2; S100P, S100 calcium binding protein P.

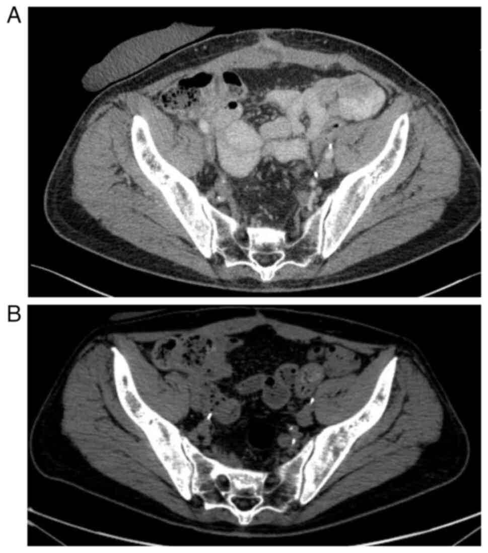
The first follow-up CT scan performed in April 2023 showed progression of the disease: Foci of sclerotic remodeling were found in the vertebrae, ribs and pelvis (suggestive of metastasis; Fig. 10A), though no local recurrence, lymphadenopathy or hydronephrosis were observed. The metabolically active nature of the changes observed on the CT scan was confirmed by a bone scintigram (data not shown), which diagnosed multifocal active metastasis to the skeletal system. For this reason, the patient qualified for four cycles of chemotherapy (consisting of gemcitabine and carboplatin) and received bisphosphonates as prophylaxis to prevent bone loss and reduce the risk of skeletal-related events. After four cycles of chemotherapy, the patient underwent four cycles of maintenance treatment with avelumab immunotherapy. Follow-up computed tomography examinations performed in December 2023 revealed further progression of the disease (Fig. 10B). The patient's general health gradually deteriorated and the patient did not return for further therapy.

Figure 10.

(A) First follow-up CT scan. Progression of the disease: Foci of sclerotic remodeling found in the pelvis. (B) Follow-up computed tomography performed in December 2023-further progression of the disease.

Discussion

Patients who undergo cystectomy require long-term monitoring for disease recurrence and evaluation of urinary diversion function. As far as oncological observation is concerned, there is no clearly defined protocol for carrying out control examinations. The Guidelines of the European Association of Urology point out that current surveillance protocols are based on recurrence patterns obtained only from retrospective series, most of which employ different follow-up regimens and imaging techniques (1).

Deterioration of renal function is the most common long-term complication of urinary diversion, affecting up to 35% of patients, mainly due to uretero-enteric strictures (UES) (2,3). The incidence of UES ranges in the literature from 2.6 to 13%, depending, among other factors, on the surgical technique. According to data analyzed by Ericson et al (4), which included 279 open and 689 robotic cystectomies, UES occurred in 9.3% of patients who underwent open cystectomy, 11.3% after robotic cystectomy with extracorporeal urinary diversion and 13.0% after robotic intracorporeal cystectomy. Known risk factors for UES include an elevated body mass index, anastomotic technique, preoperative chemotherapy and early complications of Clavien-Dindo grade ≥III. Preoperative chemotherapy administration is an independent predictor of stricture formation (5). The most commonly used method of treating UES is open surgery due to its high success rate, though at the cost of significant morbidity. Endourological procedures are associated with a lower risk of complications, but a higher risk of recurrence in long-term follow-up. Robotic-assisted surgery for UES offers success rates comparable to open surgery while reducing surgical morbidity (6).

It is generally thought that bladder cancer most likely spreads to distant organs via the lymphatic system. Detection of lymph node metastases is an important prognostic factor for patient survival and the need for adjuvant therapy (1,8,10). Previous reports emphasize the role of lymphangiogenesis and lymphatic vessel density, suggesting that both processes may be potential prognostic markers and mechanisms of metastatic spread in patients with urothelial bladder cancer (10). Local and distant recurrences after radical treatment of bladder cancer are associated with a poor prognosis (1,10). The reported rate of local pelvic recurrence is 5–15%, usually occurring within 6 to 18 months after surgery. Local recurrence of transitional cell carcinoma after radical cystectomy may occur in the surgical bed or pelvic lymph nodes. Up to 50% of patients experience distant recurrences, usually diagnosed within two years after surgery, in the surrounding lymph nodes above the aortic bifurcation, lungs, liver and bones (1,9). Therefore, tumors in the appendix should be considered distant metastases, alongside bone metastases detected on CT scans.

Malignant neoplasms of the appendix are rare. Among primary tumors, the most common are neuroendocrine neoplasms, followed by adenocarcinomas, particularly mucinous carcinomas (11). Metastatic involvement of the appendix in any neoplastic disease is rare. A search of the Medline database found no reports of the appendix as the primary site of metastasis for urothelial carcinoma. A small number of cases of metastases from various primary tumors have occasionally been reported as single case reports (12). In the literature, most of these cases manifested as acute appendicitis. The proposed mechanism for the development of acute appendicitis caused by tumor metastasis is the attachment of cancer cells to the serosa, followed by infiltration into the muscularis propria, mucosa, obstructive luminal narrowing and secondary inflammation. The described mechanism distinguishes this condition from primary appendix cancer, which usually originates in the mucosa and infiltrates outward (12). In a review of 7,970 appendectomies examined by Connor et al (13), metastasis of other cancers to the appendix was found in only 11 cases, most commonly (55%) in patients with primary colorectal disease. To the best of our knowledge, bladder cancer metastasis to the appendix has not been previously reported.

In conclusion, cancer metastases to the appendix are rare. The current study presented a unique case of urothelial carcinoma metastasis to the appendix, which was detected in an inflamed appendix removed during surgical treatment for UES. Inflammatory infiltration around the appendix, adjacent to the Bricker loop, drew in the uretero-intestinal anastomoses, causing bilateral hydronephrosis in a patient one year after radical cystectomy. Distant metastases of urothelial carcinoma are associated with poor prognosis and require systemic treatment.

Acknowledgements

Not applicable.

Funding

Funding: No funding was received.

Availability of data and materials

The data generated in the present study may be requested from the corresponding author.

Authors' contributions

PN wrote the manuscript, obtained data and made substantial contributions to the conception and design of the manuscript. PN, BA and TK performed the operation (TK was the first surgeon who performed the operation), provided tissues that could be used as material for the study and were involved in the acquisition of data. OKS carried out microscopic examinations of the tissue, acquired data and made substantial contributions to the interpretation of data. OKS carried out the histopathology examination. PK and TD made significant contributions to the conception and content of the manuscript, in particular PK contributed to the Case report section and TD to the Discussion section. TK and TD confirm the authenticity of all the raw data. All authors have read and approved the final version of the manuscript.

Ethics approval and consent to participate

The patient provided written informed consent for participation in the study. The informed consent procedures were in compliance with the Helsinki Declaration.

Patient consent for publication

The patient provided written informed consent for the publication of any data and/or accompanying images.

Competing interests

The authors declare that they have no competing interests.

References

1 

EAU Guidelines, . Edn. presented at the EAU Annual Congress Paris. 2024.ISBN 978-94-92671-23-3.

2 

Eisenberg MS, Thompson RH, Frank I, Kim SP, Cotter KJ, Tollefson MK, Kaushik D, Thapa P, Tarrell R and Boorjian SA: Long-term renal function outcomes after radical cystectomy. J Urol. 191:619–625. 2014. View Article : Google Scholar : PubMed/NCBI

3 

Jin XD, Roethlisberger S, Burkhard FC, Birkhaeuser F, Thoeny HC and Studer UE: Long-term renal function after urinary diversion by ileal conduit or orthotopic ileal bladder substitution. Eur Urol. 61:491–497. 2012. View Article : Google Scholar : PubMed/NCBI

4 

Ericson KJ, Thomas LJ, Zhang JH, Knorr JM, Khanna A, Crane A, Zampini AM, Murthy PB, Berglund RK, Pascal-Haber G and Lee BHL: Uretero-enteric anastomotic stricture following radical cystectomy: A comparison of open, robotic extracorporeal, and robotic intracorporeal approaches. Urology. 144:130–135. 2020. View Article : Google Scholar : PubMed/NCBI

5 

Krafft U, Mahmoud O, Hess J, Radtke JP, Panic A, Püllen L, Darr C, Kesch C, Szarvas T, Rehme C, et al: Comparative analysis of bricker versus wallace ureteroenteric anastomosis and identification of predictors for postoperative ureteroenteric stricture. Langenbecks Arch Surg. 407:1233–1240. 2022. View Article : Google Scholar : PubMed/NCBI

6 

Albisinni S, Aoun F, Mjaess G, Abou Zahr R, Diamand R, Porpiglia F, Esperto F, Autorino R, Fiori C, Tubaro A, et al: Contemporary management of benign uretero-enteric strictures after cystectomy: A systematic review. Minerva Urol Nephrol. 73:724–730. 2021.PubMed/NCBI

7 

Stein JP, Lieskovsky G, Cote R, Groshen S, Feng AC, Boyd S, Skinner E, Bochner B, Thangathurai D, Mikhail M, et al: Radical cystectomy in the treatment of invasive bladder cancer: Long-term results in 1,054 patients. J Clin Oncol. 19:666–675. 2001. View Article : Google Scholar : PubMed/NCBI

8 

Mari A, Campi R, Tellini R, Gandaglia G, Albisinni S, Abufaraj M, Hatzichristodoulou G, Montorsi F, van Velthoven R, Carini M, et al: Patterns and predictors of recurrence after open radical cystectomy for bladder cancer: A comprehensive review of the literature. World J Urol. 36:157–170. 2018. View Article : Google Scholar : PubMed/NCBI

9 

Ghoneim MA, Abdel-Latif M, el-Mekresh M, Abol-Enein H, Mosbah A, Ashamallah A and el-Baz MA: Radical cystectomy for carcinoma of the bladder: 2,720 consecutive cases 5 years later. J Urol. 180:121–127. 2008. View Article : Google Scholar : PubMed/NCBI

10 

Wu ZS, Ding W, Cai J, Bashir G, Li YQ and Wu S: Communication of cancer cells and lymphatic vessels in cancer: Focus on bladder cancer. Onco Targets Ther. 12:8161–8177. 2019. View Article : Google Scholar : PubMed/NCBI

11 

Lyss AP: Appendiceal malignancies. Semin Oncol. 15:129–137. 1988.PubMed/NCBI

12 

Yadav S, Mittal N, Kumar R, Janu A and Prabhash K: Metastasis to appendix presenting as acute appendicitis-A rare case report and review of literature. J Gastrointest Cancer. 52:1114–1118. 2021. View Article : Google Scholar : PubMed/NCBI

13 

Connor SJ, Hanna GB and Frizelle FA: Appendiceal tumors: Retrospective clinicopathologic analysis of appendiceal tumors from 7,970 appendectomies. Dis Colon Rectum. 41:75–80. 1998. View Article : Google Scholar : PubMed/NCBI

Related Articles

  • Abstract
  • View
  • Download
  • Twitter
Copy and paste a formatted citation
Spandidos Publications style
Nalej P, Kalinowski P, Kuczkiewicz-Siemion O, Adamowicz B, Kalinowski T and Demkow T: Urothelial carcinoma metastasis to the appendix as the first manifestation of dissemination after radical cystectomy: A case report. Oncol Lett 29: 163, 2025.
APA
Nalej, P., Kalinowski, P., Kuczkiewicz-Siemion, O., Adamowicz, B., Kalinowski, T., & Demkow, T. (2025). Urothelial carcinoma metastasis to the appendix as the first manifestation of dissemination after radical cystectomy: A case report. Oncology Letters, 29, 163. https://doi.org/10.3892/ol.2025.14909
MLA
Nalej, P., Kalinowski, P., Kuczkiewicz-Siemion, O., Adamowicz, B., Kalinowski, T., Demkow, T."Urothelial carcinoma metastasis to the appendix as the first manifestation of dissemination after radical cystectomy: A case report". Oncology Letters 29.3 (2025): 163.
Chicago
Nalej, P., Kalinowski, P., Kuczkiewicz-Siemion, O., Adamowicz, B., Kalinowski, T., Demkow, T."Urothelial carcinoma metastasis to the appendix as the first manifestation of dissemination after radical cystectomy: A case report". Oncology Letters 29, no. 3 (2025): 163. https://doi.org/10.3892/ol.2025.14909
Copy and paste a formatted citation
x
Spandidos Publications style
Nalej P, Kalinowski P, Kuczkiewicz-Siemion O, Adamowicz B, Kalinowski T and Demkow T: Urothelial carcinoma metastasis to the appendix as the first manifestation of dissemination after radical cystectomy: A case report. Oncol Lett 29: 163, 2025.
APA
Nalej, P., Kalinowski, P., Kuczkiewicz-Siemion, O., Adamowicz, B., Kalinowski, T., & Demkow, T. (2025). Urothelial carcinoma metastasis to the appendix as the first manifestation of dissemination after radical cystectomy: A case report. Oncology Letters, 29, 163. https://doi.org/10.3892/ol.2025.14909
MLA
Nalej, P., Kalinowski, P., Kuczkiewicz-Siemion, O., Adamowicz, B., Kalinowski, T., Demkow, T."Urothelial carcinoma metastasis to the appendix as the first manifestation of dissemination after radical cystectomy: A case report". Oncology Letters 29.3 (2025): 163.
Chicago
Nalej, P., Kalinowski, P., Kuczkiewicz-Siemion, O., Adamowicz, B., Kalinowski, T., Demkow, T."Urothelial carcinoma metastasis to the appendix as the first manifestation of dissemination after radical cystectomy: A case report". Oncology Letters 29, no. 3 (2025): 163. https://doi.org/10.3892/ol.2025.14909
Follow us
  • Twitter
  • LinkedIn
  • Facebook
About
  • Spandidos Publications
  • Careers
  • Cookie Policy
  • Privacy Policy
How can we help?
  • Help
  • Live Chat
  • Contact
  • Email to our Support Team