Spandidos Publications Logo
  • About
    • About Spandidos
    • Aims and Scopes
    • Abstracting and Indexing
    • Editorial Policies
    • Reprints and Permissions
    • Job Opportunities
    • Terms and Conditions
    • Contact
  • Journals
    • All Journals
    • Oncology Letters
      • Oncology Letters
      • Information for Authors
      • Editorial Policies
      • Editorial Board
      • Aims and Scope
      • Abstracting and Indexing
      • Bibliographic Information
      • Archive
    • International Journal of Oncology
      • International Journal of Oncology
      • Information for Authors
      • Editorial Policies
      • Editorial Board
      • Aims and Scope
      • Abstracting and Indexing
      • Bibliographic Information
      • Archive
    • Molecular and Clinical Oncology
      • Molecular and Clinical Oncology
      • Information for Authors
      • Editorial Policies
      • Editorial Board
      • Aims and Scope
      • Abstracting and Indexing
      • Bibliographic Information
      • Archive
    • Experimental and Therapeutic Medicine
      • Experimental and Therapeutic Medicine
      • Information for Authors
      • Editorial Policies
      • Editorial Board
      • Aims and Scope
      • Abstracting and Indexing
      • Bibliographic Information
      • Archive
    • International Journal of Molecular Medicine
      • International Journal of Molecular Medicine
      • Information for Authors
      • Editorial Policies
      • Editorial Board
      • Aims and Scope
      • Abstracting and Indexing
      • Bibliographic Information
      • Archive
    • Biomedical Reports
      • Biomedical Reports
      • Information for Authors
      • Editorial Policies
      • Editorial Board
      • Aims and Scope
      • Abstracting and Indexing
      • Bibliographic Information
      • Archive
    • Oncology Reports
      • Oncology Reports
      • Information for Authors
      • Editorial Policies
      • Editorial Board
      • Aims and Scope
      • Abstracting and Indexing
      • Bibliographic Information
      • Archive
    • Molecular Medicine Reports
      • Molecular Medicine Reports
      • Information for Authors
      • Editorial Policies
      • Editorial Board
      • Aims and Scope
      • Abstracting and Indexing
      • Bibliographic Information
      • Archive
    • World Academy of Sciences Journal
      • World Academy of Sciences Journal
      • Information for Authors
      • Editorial Policies
      • Editorial Board
      • Aims and Scope
      • Abstracting and Indexing
      • Bibliographic Information
      • Archive
    • International Journal of Functional Nutrition
      • International Journal of Functional Nutrition
      • Information for Authors
      • Editorial Policies
      • Editorial Board
      • Aims and Scope
      • Abstracting and Indexing
      • Bibliographic Information
      • Archive
    • International Journal of Epigenetics
      • International Journal of Epigenetics
      • Information for Authors
      • Editorial Policies
      • Editorial Board
      • Aims and Scope
      • Abstracting and Indexing
      • Bibliographic Information
      • Archive
    • Medicine International
      • Medicine International
      • Information for Authors
      • Editorial Policies
      • Editorial Board
      • Aims and Scope
      • Abstracting and Indexing
      • Bibliographic Information
      • Archive
  • Articles
  • Information
    • Information for Authors
    • Information for Reviewers
    • Information for Librarians
    • Information for Advertisers
    • Conferences
  • Language Editing
Spandidos Publications Logo
  • About
    • About Spandidos
    • Aims and Scopes
    • Abstracting and Indexing
    • Editorial Policies
    • Reprints and Permissions
    • Job Opportunities
    • Terms and Conditions
    • Contact
  • Journals
    • All Journals
    • Biomedical Reports
      • Information for Authors
      • Editorial Policies
      • Editorial Board
      • Aims and Scope
      • Abstracting and Indexing
      • Bibliographic Information
      • Archive
    • Experimental and Therapeutic Medicine
      • Information for Authors
      • Editorial Policies
      • Editorial Board
      • Aims and Scope
      • Abstracting and Indexing
      • Bibliographic Information
      • Archive
    • International Journal of Epigenetics
      • Information for Authors
      • Editorial Policies
      • Editorial Board
      • Aims and Scope
      • Abstracting and Indexing
      • Bibliographic Information
      • Archive
    • International Journal of Functional Nutrition
      • Information for Authors
      • Editorial Policies
      • Editorial Board
      • Aims and Scope
      • Abstracting and Indexing
      • Bibliographic Information
      • Archive
    • International Journal of Molecular Medicine
      • Information for Authors
      • Editorial Policies
      • Editorial Board
      • Aims and Scope
      • Abstracting and Indexing
      • Bibliographic Information
      • Archive
    • International Journal of Oncology
      • Information for Authors
      • Editorial Policies
      • Editorial Board
      • Aims and Scope
      • Abstracting and Indexing
      • Bibliographic Information
      • Archive
    • Medicine International
      • Information for Authors
      • Editorial Policies
      • Editorial Board
      • Aims and Scope
      • Abstracting and Indexing
      • Bibliographic Information
      • Archive
    • Molecular and Clinical Oncology
      • Information for Authors
      • Editorial Policies
      • Editorial Board
      • Aims and Scope
      • Abstracting and Indexing
      • Bibliographic Information
      • Archive
    • Molecular Medicine Reports
      • Information for Authors
      • Editorial Policies
      • Editorial Board
      • Aims and Scope
      • Abstracting and Indexing
      • Bibliographic Information
      • Archive
    • Oncology Letters
      • Information for Authors
      • Editorial Policies
      • Editorial Board
      • Aims and Scope
      • Abstracting and Indexing
      • Bibliographic Information
      • Archive
    • Oncology Reports
      • Information for Authors
      • Editorial Policies
      • Editorial Board
      • Aims and Scope
      • Abstracting and Indexing
      • Bibliographic Information
      • Archive
    • World Academy of Sciences Journal
      • Information for Authors
      • Editorial Policies
      • Editorial Board
      • Aims and Scope
      • Abstracting and Indexing
      • Bibliographic Information
      • Archive
  • Articles
  • Information
    • For Authors
    • For Reviewers
    • For Librarians
    • For Advertisers
    • Conferences
  • Language Editing
Login Register Submit
  • This site uses cookies
  • You can change your cookie settings at any time by following the instructions in our Cookie Policy. To find out more, you may read our Privacy Policy.

    I agree
Search articles by DOI, keyword, author or affiliation
Search
Advanced Search
presentation
Oncology Letters
Join Editorial Board Propose a Special Issue
Print ISSN: 1792-1074 Online ISSN: 1792-1082
Journal Cover
May-2025 Volume 29 Issue 5

Full Size Image

Sign up for eToc alerts
Recommend to Library

Journals

International Journal of Molecular Medicine

International Journal of Molecular Medicine

International Journal of Molecular Medicine is an international journal devoted to molecular mechanisms of human disease.

International Journal of Oncology

International Journal of Oncology

International Journal of Oncology is an international journal devoted to oncology research and cancer treatment.

Molecular Medicine Reports

Molecular Medicine Reports

Covers molecular medicine topics such as pharmacology, pathology, genetics, neuroscience, infectious diseases, molecular cardiology, and molecular surgery.

Oncology Reports

Oncology Reports

Oncology Reports is an international journal devoted to fundamental and applied research in Oncology.

Experimental and Therapeutic Medicine

Experimental and Therapeutic Medicine

Experimental and Therapeutic Medicine is an international journal devoted to laboratory and clinical medicine.

Oncology Letters

Oncology Letters

Oncology Letters is an international journal devoted to Experimental and Clinical Oncology.

Biomedical Reports

Biomedical Reports

Explores a wide range of biological and medical fields, including pharmacology, genetics, microbiology, neuroscience, and molecular cardiology.

Molecular and Clinical Oncology

Molecular and Clinical Oncology

International journal addressing all aspects of oncology research, from tumorigenesis and oncogenes to chemotherapy and metastasis.

World Academy of Sciences Journal

World Academy of Sciences Journal

Multidisciplinary open-access journal spanning biochemistry, genetics, neuroscience, environmental health, and synthetic biology.

International Journal of Functional Nutrition

International Journal of Functional Nutrition

Open-access journal combining biochemistry, pharmacology, immunology, and genetics to advance health through functional nutrition.

International Journal of Epigenetics

International Journal of Epigenetics

Publishes open-access research on using epigenetics to advance understanding and treatment of human disease.

Medicine International

Medicine International

An International Open Access Journal Devoted to General Medicine.

Journal Cover
May-2025 Volume 29 Issue 5

Full Size Image

Sign up for eToc alerts
Recommend to Library

  • Article
  • Citations
    • Cite This Article
    • Download Citation
    • Create Citation Alert
    • Remove Citation Alert
    • Cited By
  • Similar Articles
    • Related Articles (in Spandidos Publications)
    • Similar Articles (Google Scholar)
    • Similar Articles (PubMed)
  • Download PDF
  • Download XML
  • View XML
Case Report Open Access

Castleman disease coexisting with papillary thyroid carcinoma: A case report

  • Authors:
    • Fei Wu
    • Honghao Li
    • Rui Hai
    • Kefan Chen
    • Jie Yao
    • Yun Liu
    • Shanshan Liu
    • Xiangyu Zhou
  • View Affiliations / Copyright

    Affiliations: Department of Thyroid Surgery, The Affiliated Hospital of Southwest Medical University, Luzhou, Sichuan 646000, P.R. China, Department of Cytology, The Affiliated Hospital of Southwest Medical University, Luzhou, Sichuan 646000, P.R. China, Department of General Medicine, The Affiliated Hospital of Southwest Medical University, Luzhou, Sichuan 646000, P.R. China
    Copyright: © Wu et al. This is an open access article distributed under the terms of Creative Commons Attribution License.
  • Article Number: 218
    |
    Published online on: March 5, 2025
       https://doi.org/10.3892/ol.2025.14964
  • Expand metrics +
Metrics: Total Views: 0 (Spandidos Publications: | PMC Statistics: )
Metrics: Total PDF Downloads: 0 (Spandidos Publications: | PMC Statistics: )
Cited By (CrossRef): 0 citations Loading Articles...

This article is mentioned in:



Abstract

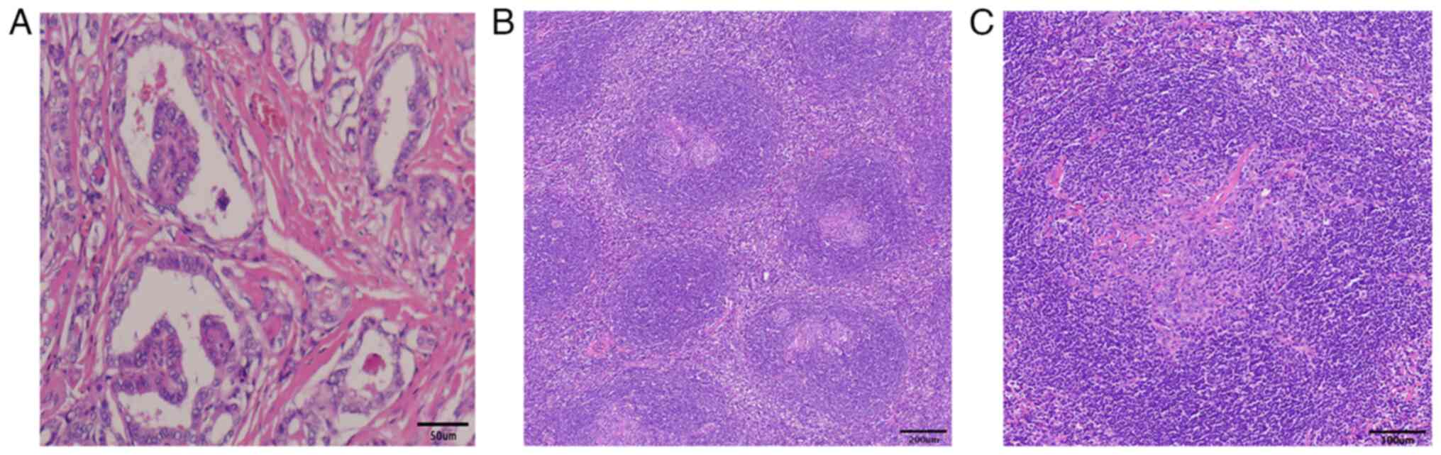
Castleman disease (CD) is a rare lymphoproliferative disorder of unknown etiology characterized by lymph node enlargement. CD cannot be confirmed by preoperative puncture cytology, and definitive diagnosis depends on postoperative histopathology. Due to the lack of characteristic clinical manifestations and imaging features, in clinical practice, CD is often easily missed or misdiagnosed, and it is frequently mistaken for lymphoma or autoimmune diseases. Cases of CD that coexist with papillary thyroid carcinoma (PTC) are particularly rare and are often misdiagnosed as PTC with lymph node metastasis. The present study discusses the diagnosis, treatment process and prognosis of a case involving PTC that is complicated with unilateral, single‑center CD. This patient was diagnosed with a right lobe nodal gland of the thyroid gland combined with a mass in the left supraclavicular fossa. The postoperative pathological examination revealed a right lobe papillary carcinoma of the thyroid gland with metastasis of the right cervical lymph node combined with CD in the left supraclavicular fossa. The immunohistochemical results of the right cervical lymph node were thyroglobulin (+), thyroid transcription factor‑1(+). Immunohistochemical results of left supraclavicular fossa mass: Bcl‑2 (low expression in the germinal center, high expression outside), Bcl‑6 (germinal center +), Cyclin D1 (‑), cluster of differentiation 38 (focally+). In future clinical practice, when encountering PTC with mediastinal masses, clinicians should consider not only common lymph node metastases but also the possibility of CD. Overall, this study aims to provide valuable insights and experience for clinicians regarding CD and PTC.
View Figures

Figure 1

Figure 2

Figure 3

Figure 4

View References

1 

Kitahara CM and Schneider AB: Epidemiology of thyroid cancer. Cancer Epidemiol Biomarkers Prev. 31:1284–1297. 2022. View Article : Google Scholar : PubMed/NCBI

2 

Pizzato M, Li M, Vignat J, Laversanne M, Singh D, La Vecchia C and Vaccarella S: The epidemiological landscape of thyroid cancer worldwide: GLOBOCAN estimates for incidence and mortality rates in 2020. Lancet Diabetes Endocrinol. 10:264–272. 2022. View Article : Google Scholar : PubMed/NCBI

3 

Castleman B and Towne VW: Case records of the massachusetts general hospital: Case No. 40231. N Engl J Med. 250:1001–1005. 1954.PubMed/NCBI

4 

Talat N, Belgaumkar AP and Schulte KM: Surgery in Castleman's disease: A systematic review of 404 published cases. Ann Surg. 255:677–684. 2012. View Article : Google Scholar : PubMed/NCBI

5 

Carbone A, Borok M, Damania B, Gloghini A, Polizzotto MN, Jayanthan RK, Fajgenbaum DC and Bower M: Castleman disease. Nat Rev Dis Primers. 7:842021. View Article : Google Scholar : PubMed/NCBI

6 

Oksenhendler E, Boutboul D, Fajgenbaum D, Mirouse A, Fieschi C, Malphettes M, Vercellino L, Meignin V, Gérard L and Galicier L: The full spectrum of Castleman disease: 273 Patients studied over 20 years. Br J Haematol. 180:206–216. 2018. View Article : Google Scholar : PubMed/NCBI

7 

Keller AR, Hochholzer L and Castleman B: Hyaline-vascular and plasma-cell types of giant lymph node hyperplasia of the mediastinum and other locations. Cancer. 29:670–683. 1972. View Article : Google Scholar : PubMed/NCBI

8 

So YK, Kim MJ, Kim S and Son YI: Lateral lymph node metastasis in papillary thyroid carcinoma: A systematic review and meta-analysis for prevalence, risk factors, and location. Int J Surg. 50:94–103. 2018. View Article : Google Scholar : PubMed/NCBI

9 

Strollo DC, Rosado de Christenson ML and Jett JR: Primary mediastinal tumors. Part 1: Tumors of the anterior mediastinum. Chest. 112:511–522. 1997. View Article : Google Scholar : PubMed/NCBI

10 

Cibas ES and Ali SZ: The 2017 Bethesda system for reporting thyroid cytopathology. Thyroid. 27:1341–1346. 2017. View Article : Google Scholar : PubMed/NCBI

11 

Filetti S, Durante C, Hartl D, Leboulleux S, Locati LD, Newbold K, Papotti MG and Berruti A; ESMO Guidelines Committee. Electronic address, : simpleclinicalguideclinicalguidelines@esmo.org: Thyroid cancer: ESMO clinical practice guidelines for diagnosis, treatment and follow-up†. Ann Oncol. 30:1856–1883. 2019. View Article : Google Scholar : PubMed/NCBI

12 

Simpson D: Epidemiology of castleman disease. Hematol Oncol Clin North Am. 32:1–10. 2018. View Article : Google Scholar : PubMed/NCBI

13 

Wong RSM: Unicentric castleman disease. Hematol Oncol Clin North Am. 32:65–73. 2018. View Article : Google Scholar : PubMed/NCBI

14 

Wang XQ, Zhong NN, Sun Q, Yan SC, Xu GC, Wang YG, Peng LW, Liu B and Bu LL: Comprehensive analysis of 65 patients with Castleman disease in a single center in China. Sci Rep. 12:86942022. View Article : Google Scholar : PubMed/NCBI

15 

Haap M, Wiefels J, Horger M, Hoyer A and Müssig K: Clinical, laboratory and imaging findings in Castleman's disease-The subtype decides. Blood Rev. 32:225–234. 2018. View Article : Google Scholar : PubMed/NCBI

16 

Akram W, Degliuomini J, Wallack MK, Huang S, Okechukwu E and Eric T: Unicentric Castleman's disease masquerading as a carcinoid tumor of the small intestine. Am Surg. 82:e287–e289. 2016. View Article : Google Scholar : PubMed/NCBI

17 

Kang D, Lee J, Lee H and Baek S: Unicentric Castleman's disease in the orbit: A case report. Indian J Ophthalmol. 63:555–557. 2015. View Article : Google Scholar : PubMed/NCBI

18 

Tsai MH, Pai HH, Yen PT, Huang TS and Ho YS: Nasopharyngeal Castleman's disease. J Formos Med Assoc. 95:877–880. 1996.PubMed/NCBI

19 

Liu Y, Chen G, Qiu X, Xu S, Wu Y, Liu R, Zhou Q and Chen J: Intrapulmonary unicentric Castleman disease mimicking peripheral pulmonary malignancy. Thorac Cancer. 5:576–580. 2014. View Article : Google Scholar : PubMed/NCBI

20 

Zhang E, Li Y and Lang N: Case report: Castleman's disease involving the renal sinus resembling renal cell carcinoma. Front Surg. 9:10013502022. View Article : Google Scholar : PubMed/NCBI

21 

Boutboul D, Fadlallah J, Chawki S, Fieschi C, Malphettes M, Dossier A, Gérard L, Mordant P, Meignin V, Oksenhendler E and Galicier L: Treatment and outcome of unicentric Castleman disease: A retrospective analysis of 71 cases. Br J Haematol. 186:269–273. 2019. View Article : Google Scholar : PubMed/NCBI

22 

Gündüz E, Kırkızlar HO, Ümit EG, Karaman Gülsaran S, Özkocaman V, Özkalemkaş F, Candar Ö, Elverdi T, Küçükyurt S, Paydaş S, et al: Castleman disease: A multicenter case series from turkey. Turk J Haematol. 39:130–135. 2022.PubMed/NCBI

23 

van Rhee F, Oksenhendler E, Srkalovic G, Voorhees P, Lim M, Dispenzieri A, Ide M, Parente S, Schey S, Streetly M, et al: International evidence-based consensus diagnostic and treatment guidelines for unicentric Castleman disease. Blood Adv. 4:6039–6050. 2020. View Article : Google Scholar : PubMed/NCBI

24 

Fajgenbaum DC, Uldrick TS, Bagg A, Frank D, Wu D, Srkalovic G, Simpson D, Liu AY, Menke D, Chandrakasan S, et al: International, evidence-based consensus diagnostic criteria for HHV-8-negative/idiopathic multicentric Castleman disease. Blood. 129:1646–1657. 2017. View Article : Google Scholar : PubMed/NCBI

25 

Zhao S, Wan Y, Huang Z, Song B and Yu J: Imaging and clinical features of Castleman Disease. Cancer Imaging. 19:532019. View Article : Google Scholar : PubMed/NCBI

26 

Yu G, Cao F, Gong H, Liu P, Sun G and Zhang W: Embolization of blood-supply artery followed by surgery for treatment of mesorectal Castleman's disease: Case report and literature review. Gastroenterol Rep (Oxf). 7:141–145. 2019. View Article : Google Scholar : PubMed/NCBI

27 

Xu Y, Shao S, Kang H, Xu Z, Wen G, Shan Y, Gong Z, Al-Sharabi A, Qu B, Ren Y, et al: A unicentric center, multicenter, and mixed-type Castleman disease: Three case reports and a review of the literature. Medicine (Baltimore). 103:e377222024. View Article : Google Scholar : PubMed/NCBI

28 

Jain P and Wang M: Mantle cell lymphoma: 2019 Update on the diagnosis, pathogenesis, prognostication, and management. Am J Hematol. 94:710–725. 2019. View Article : Google Scholar : PubMed/NCBI

29 

Sathiyamoorthy S and Maleki Z: Cytomorphologic overlap of differentiated thyroid carcinoma and lung adenocarcinoma and diagnostic value of TTF-1 and TGB on cytologic material. Diagn Cytopathol. 42:5–10. 2014. View Article : Google Scholar : PubMed/NCBI

30 

Kreft A, Hansen T and Kirkpatrick CJ: Thyroid transcription factor 1 expression in cystic lesions of the neck: An immunohistochemical investigation of thyroglossal duct cysts, branchial cleft cysts and metastatic papillary thyroid cancer. Virchows Arch. 447:9–11. 2005. View Article : Google Scholar : PubMed/NCBI

31 

Hua Y, Liang C, Yang J, Wang L, Xu A, Xi L, Wang S and Wang Z: Clinical characteristics and prognosis of patients with Castleman disease in a Chinese hospital: Paraneoplastic pemphigus is an independent risk factor. Am J Transl Res. 14:1051–1059. 2022.PubMed/NCBI

32 

Murakami M, Johkoh T, Hayashi S, Ohshima S, Mizuki M, Nakatsuka SI, Tomobe M, Kuroyanagi K, Nakasone A and Nishimoto N: Clinicopathologic characteristics of 342 patients with multicentric Castleman disease in Japan. Mod Rheumatol. 30:843–851. 2020. View Article : Google Scholar : PubMed/NCBI

Related Articles

  • Abstract
  • View
  • Download
  • Twitter
Copy and paste a formatted citation
Spandidos Publications style
Wu F, Li H, Hai R, Chen K, Yao J, Liu Y, Liu S and Zhou X: Castleman disease coexisting with papillary thyroid carcinoma: A case report. Oncol Lett 29: 218, 2025.
APA
Wu, F., Li, H., Hai, R., Chen, K., Yao, J., Liu, Y. ... Zhou, X. (2025). Castleman disease coexisting with papillary thyroid carcinoma: A case report. Oncology Letters, 29, 218. https://doi.org/10.3892/ol.2025.14964
MLA
Wu, F., Li, H., Hai, R., Chen, K., Yao, J., Liu, Y., Liu, S., Zhou, X."Castleman disease coexisting with papillary thyroid carcinoma: A case report". Oncology Letters 29.5 (2025): 218.
Chicago
Wu, F., Li, H., Hai, R., Chen, K., Yao, J., Liu, Y., Liu, S., Zhou, X."Castleman disease coexisting with papillary thyroid carcinoma: A case report". Oncology Letters 29, no. 5 (2025): 218. https://doi.org/10.3892/ol.2025.14964
Copy and paste a formatted citation
x
Spandidos Publications style
Wu F, Li H, Hai R, Chen K, Yao J, Liu Y, Liu S and Zhou X: Castleman disease coexisting with papillary thyroid carcinoma: A case report. Oncol Lett 29: 218, 2025.
APA
Wu, F., Li, H., Hai, R., Chen, K., Yao, J., Liu, Y. ... Zhou, X. (2025). Castleman disease coexisting with papillary thyroid carcinoma: A case report. Oncology Letters, 29, 218. https://doi.org/10.3892/ol.2025.14964
MLA
Wu, F., Li, H., Hai, R., Chen, K., Yao, J., Liu, Y., Liu, S., Zhou, X."Castleman disease coexisting with papillary thyroid carcinoma: A case report". Oncology Letters 29.5 (2025): 218.
Chicago
Wu, F., Li, H., Hai, R., Chen, K., Yao, J., Liu, Y., Liu, S., Zhou, X."Castleman disease coexisting with papillary thyroid carcinoma: A case report". Oncology Letters 29, no. 5 (2025): 218. https://doi.org/10.3892/ol.2025.14964
Follow us
  • Twitter
  • LinkedIn
  • Facebook
About
  • Spandidos Publications
  • Careers
  • Cookie Policy
  • Privacy Policy
How can we help?
  • Help
  • Live Chat
  • Contact
  • Email to our Support Team