Spandidos Publications Logo
  • About
    • About Spandidos
    • Aims and Scopes
    • Abstracting and Indexing
    • Editorial Policies
    • Reprints and Permissions
    • Job Opportunities
    • Terms and Conditions
    • Contact
  • Journals
    • All Journals
    • Oncology Letters
      • Oncology Letters
      • Information for Authors
      • Editorial Policies
      • Editorial Board
      • Aims and Scope
      • Abstracting and Indexing
      • Bibliographic Information
      • Archive
    • International Journal of Oncology
      • International Journal of Oncology
      • Information for Authors
      • Editorial Policies
      • Editorial Board
      • Aims and Scope
      • Abstracting and Indexing
      • Bibliographic Information
      • Archive
    • Molecular and Clinical Oncology
      • Molecular and Clinical Oncology
      • Information for Authors
      • Editorial Policies
      • Editorial Board
      • Aims and Scope
      • Abstracting and Indexing
      • Bibliographic Information
      • Archive
    • Experimental and Therapeutic Medicine
      • Experimental and Therapeutic Medicine
      • Information for Authors
      • Editorial Policies
      • Editorial Board
      • Aims and Scope
      • Abstracting and Indexing
      • Bibliographic Information
      • Archive
    • International Journal of Molecular Medicine
      • International Journal of Molecular Medicine
      • Information for Authors
      • Editorial Policies
      • Editorial Board
      • Aims and Scope
      • Abstracting and Indexing
      • Bibliographic Information
      • Archive
    • Biomedical Reports
      • Biomedical Reports
      • Information for Authors
      • Editorial Policies
      • Editorial Board
      • Aims and Scope
      • Abstracting and Indexing
      • Bibliographic Information
      • Archive
    • Oncology Reports
      • Oncology Reports
      • Information for Authors
      • Editorial Policies
      • Editorial Board
      • Aims and Scope
      • Abstracting and Indexing
      • Bibliographic Information
      • Archive
    • Molecular Medicine Reports
      • Molecular Medicine Reports
      • Information for Authors
      • Editorial Policies
      • Editorial Board
      • Aims and Scope
      • Abstracting and Indexing
      • Bibliographic Information
      • Archive
    • World Academy of Sciences Journal
      • World Academy of Sciences Journal
      • Information for Authors
      • Editorial Policies
      • Editorial Board
      • Aims and Scope
      • Abstracting and Indexing
      • Bibliographic Information
      • Archive
    • International Journal of Functional Nutrition
      • International Journal of Functional Nutrition
      • Information for Authors
      • Editorial Policies
      • Editorial Board
      • Aims and Scope
      • Abstracting and Indexing
      • Bibliographic Information
      • Archive
    • International Journal of Epigenetics
      • International Journal of Epigenetics
      • Information for Authors
      • Editorial Policies
      • Editorial Board
      • Aims and Scope
      • Abstracting and Indexing
      • Bibliographic Information
      • Archive
    • Medicine International
      • Medicine International
      • Information for Authors
      • Editorial Policies
      • Editorial Board
      • Aims and Scope
      • Abstracting and Indexing
      • Bibliographic Information
      • Archive
  • Articles
  • Information
    • Information for Authors
    • Information for Reviewers
    • Information for Librarians
    • Information for Advertisers
    • Conferences
  • Language Editing
Spandidos Publications Logo
  • About
    • About Spandidos
    • Aims and Scopes
    • Abstracting and Indexing
    • Editorial Policies
    • Reprints and Permissions
    • Job Opportunities
    • Terms and Conditions
    • Contact
  • Journals
    • All Journals
    • Biomedical Reports
      • Information for Authors
      • Editorial Policies
      • Editorial Board
      • Aims and Scope
      • Abstracting and Indexing
      • Bibliographic Information
      • Archive
    • Experimental and Therapeutic Medicine
      • Information for Authors
      • Editorial Policies
      • Editorial Board
      • Aims and Scope
      • Abstracting and Indexing
      • Bibliographic Information
      • Archive
    • International Journal of Epigenetics
      • Information for Authors
      • Editorial Policies
      • Editorial Board
      • Aims and Scope
      • Abstracting and Indexing
      • Bibliographic Information
      • Archive
    • International Journal of Functional Nutrition
      • Information for Authors
      • Editorial Policies
      • Editorial Board
      • Aims and Scope
      • Abstracting and Indexing
      • Bibliographic Information
      • Archive
    • International Journal of Molecular Medicine
      • Information for Authors
      • Editorial Policies
      • Editorial Board
      • Aims and Scope
      • Abstracting and Indexing
      • Bibliographic Information
      • Archive
    • International Journal of Oncology
      • Information for Authors
      • Editorial Policies
      • Editorial Board
      • Aims and Scope
      • Abstracting and Indexing
      • Bibliographic Information
      • Archive
    • Medicine International
      • Information for Authors
      • Editorial Policies
      • Editorial Board
      • Aims and Scope
      • Abstracting and Indexing
      • Bibliographic Information
      • Archive
    • Molecular and Clinical Oncology
      • Information for Authors
      • Editorial Policies
      • Editorial Board
      • Aims and Scope
      • Abstracting and Indexing
      • Bibliographic Information
      • Archive
    • Molecular Medicine Reports
      • Information for Authors
      • Editorial Policies
      • Editorial Board
      • Aims and Scope
      • Abstracting and Indexing
      • Bibliographic Information
      • Archive
    • Oncology Letters
      • Information for Authors
      • Editorial Policies
      • Editorial Board
      • Aims and Scope
      • Abstracting and Indexing
      • Bibliographic Information
      • Archive
    • Oncology Reports
      • Information for Authors
      • Editorial Policies
      • Editorial Board
      • Aims and Scope
      • Abstracting and Indexing
      • Bibliographic Information
      • Archive
    • World Academy of Sciences Journal
      • Information for Authors
      • Editorial Policies
      • Editorial Board
      • Aims and Scope
      • Abstracting and Indexing
      • Bibliographic Information
      • Archive
  • Articles
  • Information
    • For Authors
    • For Reviewers
    • For Librarians
    • For Advertisers
    • Conferences
  • Language Editing
Login Register Submit
  • This site uses cookies
  • You can change your cookie settings at any time by following the instructions in our Cookie Policy. To find out more, you may read our Privacy Policy.

    I agree
Search articles by DOI, keyword, author or affiliation
Search
Advanced Search
presentation
Oncology Letters
Join Editorial Board Propose a Special Issue
Print ISSN: 1792-1074 Online ISSN: 1792-1082
Journal Cover
May-2025 Volume 29 Issue 5

Full Size Image

Sign up for eToc alerts
Recommend to Library

Journals

International Journal of Molecular Medicine

International Journal of Molecular Medicine

International Journal of Molecular Medicine is an international journal devoted to molecular mechanisms of human disease.

International Journal of Oncology

International Journal of Oncology

International Journal of Oncology is an international journal devoted to oncology research and cancer treatment.

Molecular Medicine Reports

Molecular Medicine Reports

Covers molecular medicine topics such as pharmacology, pathology, genetics, neuroscience, infectious diseases, molecular cardiology, and molecular surgery.

Oncology Reports

Oncology Reports

Oncology Reports is an international journal devoted to fundamental and applied research in Oncology.

Experimental and Therapeutic Medicine

Experimental and Therapeutic Medicine

Experimental and Therapeutic Medicine is an international journal devoted to laboratory and clinical medicine.

Oncology Letters

Oncology Letters

Oncology Letters is an international journal devoted to Experimental and Clinical Oncology.

Biomedical Reports

Biomedical Reports

Explores a wide range of biological and medical fields, including pharmacology, genetics, microbiology, neuroscience, and molecular cardiology.

Molecular and Clinical Oncology

Molecular and Clinical Oncology

International journal addressing all aspects of oncology research, from tumorigenesis and oncogenes to chemotherapy and metastasis.

World Academy of Sciences Journal

World Academy of Sciences Journal

Multidisciplinary open-access journal spanning biochemistry, genetics, neuroscience, environmental health, and synthetic biology.

International Journal of Functional Nutrition

International Journal of Functional Nutrition

Open-access journal combining biochemistry, pharmacology, immunology, and genetics to advance health through functional nutrition.

International Journal of Epigenetics

International Journal of Epigenetics

Publishes open-access research on using epigenetics to advance understanding and treatment of human disease.

Medicine International

Medicine International

An International Open Access Journal Devoted to General Medicine.

Journal Cover
May-2025 Volume 29 Issue 5

Full Size Image

Sign up for eToc alerts
Recommend to Library

  • Article
  • Citations
    • Cite This Article
    • Download Citation
    • Create Citation Alert
    • Remove Citation Alert
    • Cited By
  • Similar Articles
    • Related Articles (in Spandidos Publications)
    • Similar Articles (Google Scholar)
    • Similar Articles (PubMed)
  • Download PDF
  • Download XML
  • View XML
Case Report Open Access

Personalized combination therapy for diffuse midline glioma: A case report

  • Authors:
    • Mengqi Sun
    • Jizhou Zheng
    • Long Gong
    • Zihuang Li
    • Lijun Wang
  • View Affiliations / Copyright

    Affiliations: Department of Radiation Oncology, Shenzhen People's Hospital (The Second Clinical Medical College of Jinan University, The First Affiliated Hospital of Southern University of Science and Technology), Shenzhen, Guangdong 518000, P.R. China
    Copyright: © Sun et al. This is an open access article distributed under the terms of Creative Commons Attribution License.
  • Article Number: 234
    |
    Published online on: March 17, 2025
       https://doi.org/10.3892/ol.2025.14980
  • Expand metrics +
Metrics: Total Views: 0 (Spandidos Publications: | PMC Statistics: )
Metrics: Total PDF Downloads: 0 (Spandidos Publications: | PMC Statistics: )
Cited By (CrossRef): 0 citations Loading Articles...

This article is mentioned in:



Abstract

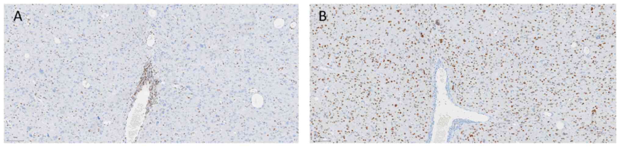
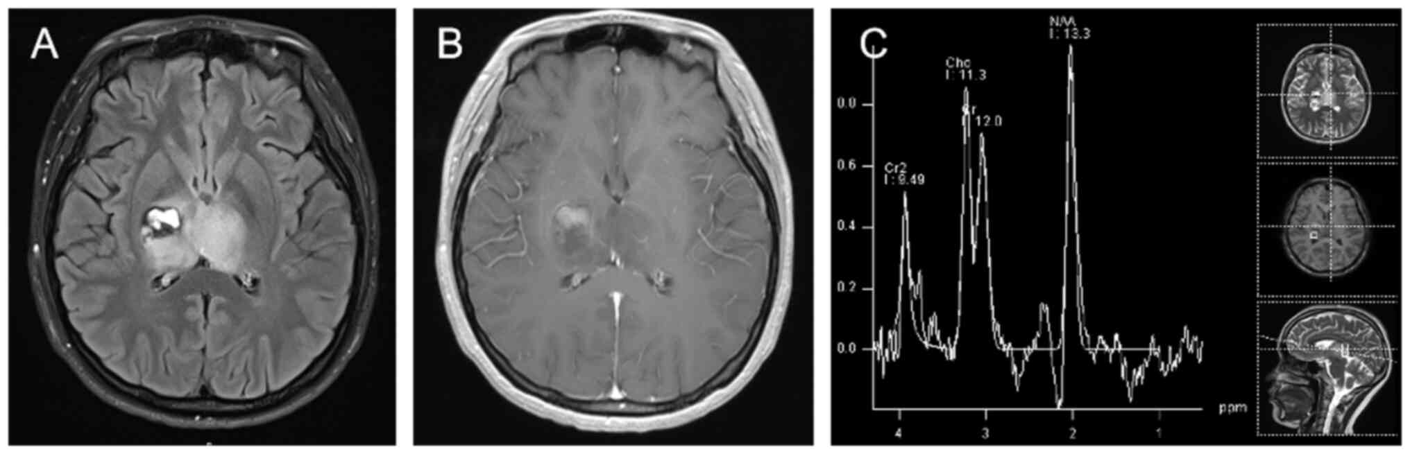
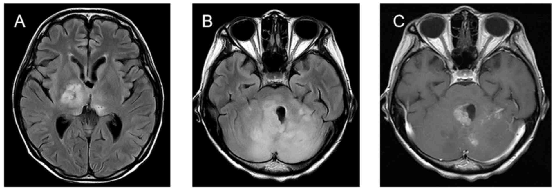
The present study aimed to analyze the efficacy of personalized combination therapy for patients with H3K27M mutant diffuse midline glioma (DMG) so as to explore new treatment options for further clinical research. The clinical data and prognosis of a patient with H3K27M mutant DMG are summarized and discussed in the context of the relevant literature. The patient was a 20‑year‑old female diagnosed with DMG treated with a combination of surgery, radiotherapy, chemotherapy, electric field therapy, immunotherapy and targeted therapy. An overall survival time of 28 months was achieved. In summary, personalized treatment strategies are expected to provide longer‑lasting survival benefits for patients with DMG.
View Figures

Figure 1

Figure 2

Figure 3

Figure 4

Figure 5

Figure 6

View References

1 

Ostrom QT, Cioffi G, Gittleman H, Patil N, Waite K, Kruchko C and Barnholtz-Sloan JS: CBTRUS statistical report: Primary brain and other central nervous system tumors diagnosed in the United States in 2012–2016. Neuro Oncol. 21 (Suppl 5):v1–v100. 2019. View Article : Google Scholar : PubMed/NCBI

2 

Angelico G, Mazzucchelli M, Attanasio G, Tinnirello G, Farina J, Zanelli M, Palicelli A, Bisagni A, Barbagallo GMV, Certo F, et al: H3K27me3 loss in central nervous system tumors: Diagnostic, prognostic, and therapeutic implications. Cancers (Basel). 16:34512024. View Article : Google Scholar : PubMed/NCBI

3 

McNamara C, Mankad K, Thust S, Dixon L, Limback-Stanic C, D'Arco F, Jacques TS and Löbel U: 2021 WHO classification of tumours of the central nervous system: A review for the neuroradiologist. Neuroradiology. 64:1919–1950. 2022. View Article : Google Scholar : PubMed/NCBI

4 

Cabrera AR, Kirkpatrick JP, Fiveash JB, Shih HA, Koay EJ, Lutz S, Petit J, Chao ST, Brown PD, Vogelbaum M, et al: Radiation therapy for glioblastoma: Executive summary of an American society for radiation oncology evidence-based clinical practice guideline. Pract Radiat Oncol. 6:217–225. 2016. View Article : Google Scholar : PubMed/NCBI

5 

Wen PY, van den Bent M, Youssef G, Cloughesy TF, Ellingson BM, Weller M, Galanis E, Barboriak DP, de Groot J, Gilbert MR, et al: RANO 2.0: Update to the response assessment in neuro-oncology criteria for high- and low-grade gliomas in adults. J Clin Oncol. 41:5187–5199. 2023. View Article : Google Scholar : PubMed/NCBI

6 

Schwartzentruber J, Korshunov A, Liu XY, Jones DT, Pfaff E, Jacob K, Sturm D, Fontebasso AM, Quang DA, Tönjes M, et al: Driver mutations in histone H3.3 and chromatin remodelling genes in paediatric glioblastoma. Nature. 482:226–231. 2012. View Article : Google Scholar : PubMed/NCBI

7 

DeWitt JC, Mock A and Louis DN: The 2016 WHO classification of central nervous system tumors: What neurologists need to know. Curr Opin Neurol. 30:643–649. 2017. View Article : Google Scholar : PubMed/NCBI

8 

Lo Greco MC, Marano G, La Rocca M, Acquaviva G, Milazzotto R, Liardo RLE, Basile A, Foti PV, Palmucci S, David E, et al: Latest advancements in the management of H3K27M-mutant diffuse intrinsic pontine glioma: A narrative review. Cancers (Basel). 17:4202025. View Article : Google Scholar : PubMed/NCBI

9 

Akdemir EY, Odia Y, Hall MD, Mehta MP and Kotecha R: An update on H3K27M-altered diffuse midline glioma: Diagnostic and therapeutic challenges in clinical practice. Pract Radiat Oncol. 14:443–451. 2024. View Article : Google Scholar : PubMed/NCBI

10 

China Society for Radiation Oncology, . Expert consensus of China on radiation therapy for gliomas in 2017. Chin J Radiat Oncol. 27:123–131. 2018.(In Chinese).

11 

Yoon HI, Wee CW, Kim YZ, Seo Y, Im JH, Dho YS, Kim KH, Hong JB, Park JS, Choi SH, et al: The Korean society for neuro-oncology (KSNO) guideline for adult diffuse midline glioma: Version 2021.1. Brain Tumor Res Treat. 9:1–8. 2021. View Article : Google Scholar : PubMed/NCBI

12 

Abe H, Natsumeda M, Kanemaru Y, Watanabe J, Tsukamoto Y, Okada M, Yoshimura J, Oishi M and Fujii Y: MGMT expression contributes to temozolomide resistance in H3K27M-mutant diffuse midline gliomas and MGMT silencing to temozolomide sensitivity in IDH-mutant gliomas. Neurol Med Chir (Tokyo). 58:290–295. 2018. View Article : Google Scholar : PubMed/NCBI

13 

Guerra-García P, Marshall LV, Cockle JV, Ramachandran PV, Saran FH, Jones C and Carceller F: Challenging the indiscriminate use of temozolomide in pediatric high-grade gliomas: A review of past, current, and emerging therapies. Pediatr Blood Cancer. 67:e280112020. View Article : Google Scholar : PubMed/NCBI

14 

Mao M, Wu Y and He Q: Recent advances in targeted drug delivery for the treatment of glioblastoma. Nanoscale. 16:8689–8707. 2024. View Article : Google Scholar : PubMed/NCBI

15 

Oberoi RK, Parrish KE, Sio TT, Mittapalli RK, Elmquist WF and Sarkaria JN: Strategies to improve delivery of anticancer drugs across the blood-brain barrier to treat glioblastoma. Neuro Oncol. 18:27–36. 2016. View Article : Google Scholar : PubMed/NCBI

16 

Di Nunno V, Lombardi G, Simonelli M, Minniti G, Mastronuzzi A, Di Ruscio V, Corrà M, Padovan M, Maccari M, Caccese M, et al: The role of adjuvant chemotherapy in patients with H3K27 altered diffuse midline gliomas: A multicentric retrospective study. J Neurooncol. 167:145–154. 2024. View Article : Google Scholar : PubMed/NCBI

17 

Ali AS, Lombardo J, Niazi MZ, Miller RC, Alnahhas I, Martinez NL, Andrews DW, Judy KD and Shi W: Concurrent chemoradiation and tumor treating fields (TTFields, 200 kHz) for patients with newly diagnosed glioblastoma: Patterns of progression in a single institution pilot study. J Neurooncol. 160:345–350. 2022. View Article : Google Scholar : PubMed/NCBI

18 

Gött H, Kiez S, Dohmen H, Kolodziej M and Stein M: Tumor treating fields therapy is feasible and safe in a 3-year-old patient with diffuse midline glioma H3K27M-a case report. Childs Nerv Syst. 38:1791–1796. 2022. View Article : Google Scholar : PubMed/NCBI

19 

Ehteda A, Simon S, Franshaw L, Giorgi FM, Liu J, Joshi S, Rouaen JRC, Pang CNI, Pandher R, Mayoh C, et al: Dual targeting of the epigenome via FACT complex and histone deacetylase is a potent treatment strategy for DIPG. Cell Rep. 35:1089942021. View Article : Google Scholar : PubMed/NCBI

20 

Hwang EI, Sayour EJ, Flores CT, Grant G, Wechsler-Reya R, Hoang-Minh LB, Kieran MW, Salcido J, Prins RM, Figg JW, et al: The current landscape of immunotherapy for pediatric brain tumors. Nat Cancer. 3:11–24. 2022. View Article : Google Scholar : PubMed/NCBI

21 

Estevez-Ordonez D, Gary SE, Atchley TJ, Maleknia PD, George JA, Laskay NMB, Gross EG, Devulapalli RK and Johnston JM: Immunotherapy for pediatric brain and spine tumors: Current state and future directions. Pediatr Neurosurg. 58:313–336. 2023. View Article : Google Scholar : PubMed/NCBI

22 

Kline C, Liu SJ, Duriseti S, Banerjee A, Nicolaides T, Raber S, Gupta N, Haas-Kogan D, Braunstein S and Mueller S: Reirradiation and PD-1 inhibition with nivolumab for the treatment of recurrent diffuse intrinsic pontine glioma: A single-institution experience. J Neurooncol. 140:629–638. 2018. View Article : Google Scholar : PubMed/NCBI

23 

Wang Y, Xu J, Luo N, Qi C and Tao R: Successful treatment of an adult patient with diffuse midline glioma employing olaparib combined with bevacizumab. Invest New Drugs. 39:1432–1435. 2021. View Article : Google Scholar : PubMed/NCBI

24 

Venneti S, Kawakibi AR, Ji S, Waszak SM, Sweha SR, Mota M, Pun M, Deogharkar A, Chung C, Tarapore RS, et al: Clinical efficacy of ONC201 in H3K27M-mutant diffuse midline gliomas is driven by disruption of integrated metabolic and epigenetic pathways. Cancer Discov. 13:2370–2393. 2023. View Article : Google Scholar : PubMed/NCBI

Related Articles

  • Abstract
  • View
  • Download
  • Twitter
Copy and paste a formatted citation
Spandidos Publications style
Sun M, Zheng J, Gong L, Li Z and Wang L: Personalized combination therapy for diffuse midline glioma: A case report. Oncol Lett 29: 234, 2025.
APA
Sun, M., Zheng, J., Gong, L., Li, Z., & Wang, L. (2025). Personalized combination therapy for diffuse midline glioma: A case report. Oncology Letters, 29, 234. https://doi.org/10.3892/ol.2025.14980
MLA
Sun, M., Zheng, J., Gong, L., Li, Z., Wang, L."Personalized combination therapy for diffuse midline glioma: A case report". Oncology Letters 29.5 (2025): 234.
Chicago
Sun, M., Zheng, J., Gong, L., Li, Z., Wang, L."Personalized combination therapy for diffuse midline glioma: A case report". Oncology Letters 29, no. 5 (2025): 234. https://doi.org/10.3892/ol.2025.14980
Copy and paste a formatted citation
x
Spandidos Publications style
Sun M, Zheng J, Gong L, Li Z and Wang L: Personalized combination therapy for diffuse midline glioma: A case report. Oncol Lett 29: 234, 2025.
APA
Sun, M., Zheng, J., Gong, L., Li, Z., & Wang, L. (2025). Personalized combination therapy for diffuse midline glioma: A case report. Oncology Letters, 29, 234. https://doi.org/10.3892/ol.2025.14980
MLA
Sun, M., Zheng, J., Gong, L., Li, Z., Wang, L."Personalized combination therapy for diffuse midline glioma: A case report". Oncology Letters 29.5 (2025): 234.
Chicago
Sun, M., Zheng, J., Gong, L., Li, Z., Wang, L."Personalized combination therapy for diffuse midline glioma: A case report". Oncology Letters 29, no. 5 (2025): 234. https://doi.org/10.3892/ol.2025.14980
Follow us
  • Twitter
  • LinkedIn
  • Facebook
About
  • Spandidos Publications
  • Careers
  • Cookie Policy
  • Privacy Policy
How can we help?
  • Help
  • Live Chat
  • Contact
  • Email to our Support Team