Spandidos Publications Logo
  • About
    • About Spandidos
    • Aims and Scopes
    • Abstracting and Indexing
    • Editorial Policies
    • Reprints and Permissions
    • Job Opportunities
    • Terms and Conditions
    • Contact
  • Journals
    • All Journals
    • Oncology Letters
      • Oncology Letters
      • Information for Authors
      • Editorial Policies
      • Editorial Board
      • Aims and Scope
      • Abstracting and Indexing
      • Bibliographic Information
      • Archive
    • International Journal of Oncology
      • International Journal of Oncology
      • Information for Authors
      • Editorial Policies
      • Editorial Board
      • Aims and Scope
      • Abstracting and Indexing
      • Bibliographic Information
      • Archive
    • Molecular and Clinical Oncology
      • Molecular and Clinical Oncology
      • Information for Authors
      • Editorial Policies
      • Editorial Board
      • Aims and Scope
      • Abstracting and Indexing
      • Bibliographic Information
      • Archive
    • Experimental and Therapeutic Medicine
      • Experimental and Therapeutic Medicine
      • Information for Authors
      • Editorial Policies
      • Editorial Board
      • Aims and Scope
      • Abstracting and Indexing
      • Bibliographic Information
      • Archive
    • International Journal of Molecular Medicine
      • International Journal of Molecular Medicine
      • Information for Authors
      • Editorial Policies
      • Editorial Board
      • Aims and Scope
      • Abstracting and Indexing
      • Bibliographic Information
      • Archive
    • Biomedical Reports
      • Biomedical Reports
      • Information for Authors
      • Editorial Policies
      • Editorial Board
      • Aims and Scope
      • Abstracting and Indexing
      • Bibliographic Information
      • Archive
    • Oncology Reports
      • Oncology Reports
      • Information for Authors
      • Editorial Policies
      • Editorial Board
      • Aims and Scope
      • Abstracting and Indexing
      • Bibliographic Information
      • Archive
    • Molecular Medicine Reports
      • Molecular Medicine Reports
      • Information for Authors
      • Editorial Policies
      • Editorial Board
      • Aims and Scope
      • Abstracting and Indexing
      • Bibliographic Information
      • Archive
    • World Academy of Sciences Journal
      • World Academy of Sciences Journal
      • Information for Authors
      • Editorial Policies
      • Editorial Board
      • Aims and Scope
      • Abstracting and Indexing
      • Bibliographic Information
      • Archive
    • International Journal of Functional Nutrition
      • International Journal of Functional Nutrition
      • Information for Authors
      • Editorial Policies
      • Editorial Board
      • Aims and Scope
      • Abstracting and Indexing
      • Bibliographic Information
      • Archive
    • International Journal of Epigenetics
      • International Journal of Epigenetics
      • Information for Authors
      • Editorial Policies
      • Editorial Board
      • Aims and Scope
      • Abstracting and Indexing
      • Bibliographic Information
      • Archive
    • Medicine International
      • Medicine International
      • Information for Authors
      • Editorial Policies
      • Editorial Board
      • Aims and Scope
      • Abstracting and Indexing
      • Bibliographic Information
      • Archive
  • Articles
  • Information
    • Information for Authors
    • Information for Reviewers
    • Information for Librarians
    • Information for Advertisers
    • Conferences
  • Language Editing
Spandidos Publications Logo
  • About
    • About Spandidos
    • Aims and Scopes
    • Abstracting and Indexing
    • Editorial Policies
    • Reprints and Permissions
    • Job Opportunities
    • Terms and Conditions
    • Contact
  • Journals
    • All Journals
    • Biomedical Reports
      • Information for Authors
      • Editorial Policies
      • Editorial Board
      • Aims and Scope
      • Abstracting and Indexing
      • Bibliographic Information
      • Archive
    • Experimental and Therapeutic Medicine
      • Information for Authors
      • Editorial Policies
      • Editorial Board
      • Aims and Scope
      • Abstracting and Indexing
      • Bibliographic Information
      • Archive
    • International Journal of Epigenetics
      • Information for Authors
      • Editorial Policies
      • Editorial Board
      • Aims and Scope
      • Abstracting and Indexing
      • Bibliographic Information
      • Archive
    • International Journal of Functional Nutrition
      • Information for Authors
      • Editorial Policies
      • Editorial Board
      • Aims and Scope
      • Abstracting and Indexing
      • Bibliographic Information
      • Archive
    • International Journal of Molecular Medicine
      • Information for Authors
      • Editorial Policies
      • Editorial Board
      • Aims and Scope
      • Abstracting and Indexing
      • Bibliographic Information
      • Archive
    • International Journal of Oncology
      • Information for Authors
      • Editorial Policies
      • Editorial Board
      • Aims and Scope
      • Abstracting and Indexing
      • Bibliographic Information
      • Archive
    • Medicine International
      • Information for Authors
      • Editorial Policies
      • Editorial Board
      • Aims and Scope
      • Abstracting and Indexing
      • Bibliographic Information
      • Archive
    • Molecular and Clinical Oncology
      • Information for Authors
      • Editorial Policies
      • Editorial Board
      • Aims and Scope
      • Abstracting and Indexing
      • Bibliographic Information
      • Archive
    • Molecular Medicine Reports
      • Information for Authors
      • Editorial Policies
      • Editorial Board
      • Aims and Scope
      • Abstracting and Indexing
      • Bibliographic Information
      • Archive
    • Oncology Letters
      • Information for Authors
      • Editorial Policies
      • Editorial Board
      • Aims and Scope
      • Abstracting and Indexing
      • Bibliographic Information
      • Archive
    • Oncology Reports
      • Information for Authors
      • Editorial Policies
      • Editorial Board
      • Aims and Scope
      • Abstracting and Indexing
      • Bibliographic Information
      • Archive
    • World Academy of Sciences Journal
      • Information for Authors
      • Editorial Policies
      • Editorial Board
      • Aims and Scope
      • Abstracting and Indexing
      • Bibliographic Information
      • Archive
  • Articles
  • Information
    • For Authors
    • For Reviewers
    • For Librarians
    • For Advertisers
    • Conferences
  • Language Editing
Login Register Submit
  • This site uses cookies
  • You can change your cookie settings at any time by following the instructions in our Cookie Policy. To find out more, you may read our Privacy Policy.

    I agree
Search articles by DOI, keyword, author or affiliation
Search
Advanced Search
presentation
Oncology Letters
Join Editorial Board Propose a Special Issue
Print ISSN: 1792-1074 Online ISSN: 1792-1082
Journal Cover
May-2025 Volume 29 Issue 5

Full Size Image

Sign up for eToc alerts
Recommend to Library

Journals

International Journal of Molecular Medicine

International Journal of Molecular Medicine

International Journal of Molecular Medicine is an international journal devoted to molecular mechanisms of human disease.

International Journal of Oncology

International Journal of Oncology

International Journal of Oncology is an international journal devoted to oncology research and cancer treatment.

Molecular Medicine Reports

Molecular Medicine Reports

Covers molecular medicine topics such as pharmacology, pathology, genetics, neuroscience, infectious diseases, molecular cardiology, and molecular surgery.

Oncology Reports

Oncology Reports

Oncology Reports is an international journal devoted to fundamental and applied research in Oncology.

Experimental and Therapeutic Medicine

Experimental and Therapeutic Medicine

Experimental and Therapeutic Medicine is an international journal devoted to laboratory and clinical medicine.

Oncology Letters

Oncology Letters

Oncology Letters is an international journal devoted to Experimental and Clinical Oncology.

Biomedical Reports

Biomedical Reports

Explores a wide range of biological and medical fields, including pharmacology, genetics, microbiology, neuroscience, and molecular cardiology.

Molecular and Clinical Oncology

Molecular and Clinical Oncology

International journal addressing all aspects of oncology research, from tumorigenesis and oncogenes to chemotherapy and metastasis.

World Academy of Sciences Journal

World Academy of Sciences Journal

Multidisciplinary open-access journal spanning biochemistry, genetics, neuroscience, environmental health, and synthetic biology.

International Journal of Functional Nutrition

International Journal of Functional Nutrition

Open-access journal combining biochemistry, pharmacology, immunology, and genetics to advance health through functional nutrition.

International Journal of Epigenetics

International Journal of Epigenetics

Publishes open-access research on using epigenetics to advance understanding and treatment of human disease.

Medicine International

Medicine International

An International Open Access Journal Devoted to General Medicine.

Journal Cover
May-2025 Volume 29 Issue 5

Full Size Image

Sign up for eToc alerts
Recommend to Library

  • Article
  • Citations
    • Cite This Article
    • Download Citation
    • Create Citation Alert
    • Remove Citation Alert
    • Cited By
  • Similar Articles
    • Related Articles (in Spandidos Publications)
    • Similar Articles (Google Scholar)
    • Similar Articles (PubMed)
  • Download PDF
  • Download XML
  • View XML
Case Report Open Access

Tongue squamous cell carcinoma masked by herpes simplex virus infection: A case report

  • Authors:
    • Hideaki Sato
    • Masanori Takekawa
    • Sayaka Yuzawa
    • Masayuki Motohashi
    • Shinya Matsuda
    • Makoto Adachi
  • View Affiliations / Copyright

    Affiliations: Department of Oral and Maxillofacial Surgery, Asahikawa Medical University, Asahikawa, Hokkaido 078‑8510, Japan, Department of Diagnostic Pathology, Asahikawa Medical University Hospital, Asahikawa, Hokkaido 078‑8510, Japan
    Copyright: © Sato et al. This is an open access article distributed under the terms of Creative Commons Attribution License.
  • Article Number: 248
    |
    Published online on: March 26, 2025
       https://doi.org/10.3892/ol.2025.14994
  • Expand metrics +
Metrics: Total Views: 0 (Spandidos Publications: | PMC Statistics: )
Metrics: Total PDF Downloads: 0 (Spandidos Publications: | PMC Statistics: )
Cited By (CrossRef): 0 citations Loading Articles...

This article is mentioned in:



Abstract

Herpes simplex virus (HSV) infection can potentially mask underlying malignancies, complicating clinical diagnosis and potentially delaying the detection of a serious pathology. The present study describes the case of a 37‑year‑old man with a 20‑year smoking history that presented with a tongue ulcer masked by HSV infection, who underwent comprehensive diagnostic investigations. Initial histopathological examination revealed characteristic HSV infection features, including multinucleation and intercellular bridge destruction. Despite symptomatic improvement of the viral infection, persistent leukoplakia and erythroplakia warranted further investigation. Sequential biopsies and clinical monitoring led to a partial glossectomy. Final pathology confirmed squamous cell carcinoma of the tongue with negative tumor margins. The present case emphasizes the critical importance of thorough evaluation of persistent oral lesions, especially in high‑risk patients, as viral infections can complicate the diagnosis of underlying malignancies. Furthermore, it highlights the need for continued surveillance when clinical suspicion remains high, even after initial benign findings.

Introduction

Herpes simplex virus (HSV) infection is one of the most common viral infections worldwide, affecting approximately 67% of the world population under age 50 (1). HSV usually causes skin and mucosal lesions that heal spontaneously, but poses complex diagnostic challenges for clinicians when underlying disease, especially malignancies, are hidden (2). Recent epidemiological studies have revealed the potential involvement of viral infections in cancer development, indicating that chronic viral infections may contribute to carcinogenesis through various mechanisms (3).

Oral squamous cell carcinoma (SCC) remains a significant global health problem with increasing incidence, especially among younger adults. Traditional risk factors include tobacco use, alcohol consumption, and human papillomavirus (HPV) infection. The relationship between HSV infection and oral malignancies has attracted attention in recent years, particularly regarding its potential role in masking or modifying pre-existing lesions (4). Although the molecular mechanisms underlying this association have not been fully elucidated, emerging evidence suggests that virus-induced inflammation, immunomodulation, and direct cellular effects may contribute to malignant transformation (5).

The relationship between viral infection and carcinogenesis is particularly important in the oral cavity, where persistent inflammatory responses and repeated tissue damage can create a microenvironment that favors the progression of the tumorigenesis cascade (6). Persistent viral infection can alter local immune responses, promote cellular proliferation, and progression of pre-existing dysplastic changes (7).

However, the contribution of HSV to the development of oral SCC has not yet been clearly elucidated. In this report, we describe a rare case in which an HSV-induced ulcer led to the diagnosis of tongue SCC. This case demonstrates the importance of thorough evaluation of persistent oral lesions, especially in patients with significant risk factors such as smoking and alcohol consumption.

Case report

A 37-year-old man presented to the Department of Oral and Maxillofacial Surgery, Asahikawa Medical University (Asahikawa, Japan) in June 2017 with a three-day history of tongue pain and a low-grade fever of 37°C. The patient reported that he had noticed a white lesion on the left border of tongue more than 10 years ago, but had not sought medical attention because it was asymptomatic. Recently, the lesion became painful, and he visited his dentist, who suspected a tongue tumor and referred him to our department for further examination. The patient had no significant medical history but reported a 20-year history of heavy smoking (40 cigarettes per day) and alcohol consumption, averaging approximately 3 units per day, mainly whiskey and spirits.

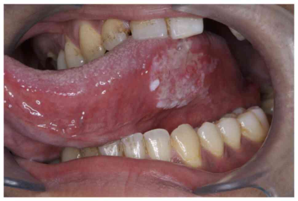
The patient appeared well-nourished and normal built, with a recorded temperature of 37.3°C. Intraoral examination revealed no sharp cusps or broken teeth, and there were no signs of traumatic occlusion or parafunctional habits. No ill-fitting dental prostheses or sharp edges of dental restorations that could cause chronic irritation to the tongue were observed. A shallow ulcer, measuring 28×20 mm in diameter, with induration and intense tenderness to touch was observed on the left lateral border of the tongue (Fig. 1). Residual leukoplakia and erythema were present around the ulcer. Extraoral examination revealed a soybean-sized swollen left submandibular lymph node with mild tenderness. The left superior internal jugular lymph node was also thumb-sized and palpable.

Figure 1.

Clinical presentation of the tongue lesion. A shallow ulcer with residual leukoplakia and erythema is observed on the left lateral border of the tongue.

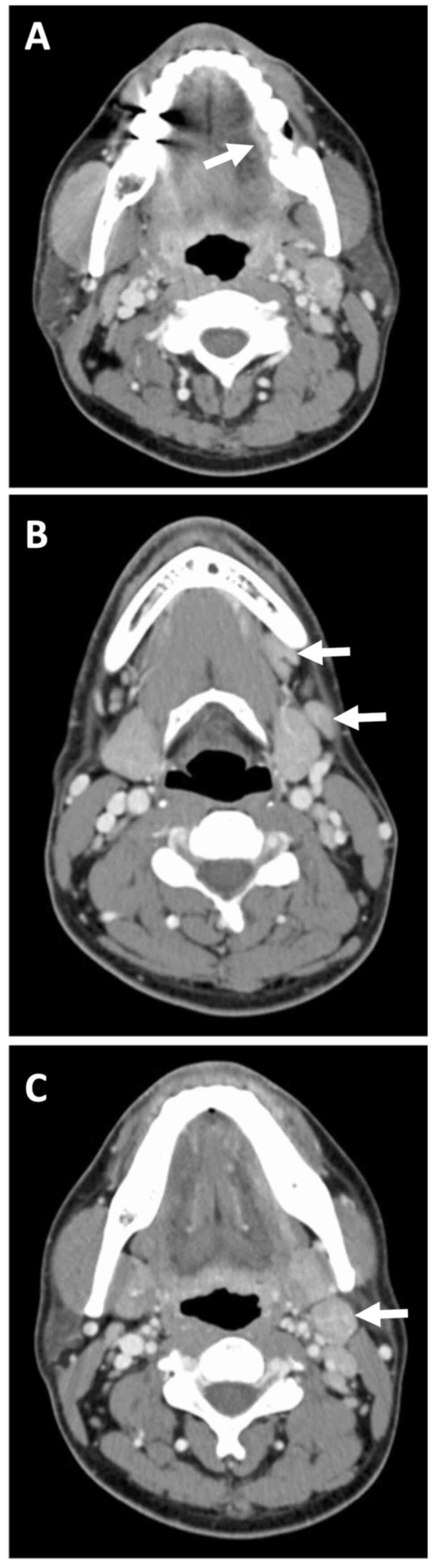
Contrast-enhanced computed tomography (CT) confirmed a shallow enhancing lesion in the left tongue, and the left submandibular and upper internal jugular lymph nodes were also enlarged (Fig. 2A-C). Blood tests revealed mild leukocytosis (WBC: 10,500/µl) with 75% neutrophils and a slight increase in C-reactive protein (CRP: 0.6 mg/dl). Liver and renal function tests were within normal limits. A biopsy of the tongue ulcer was performed, and histopathological examination revealed typical features of HSV infection, including multinucleation, molding of nuclear contours, and intranuclear inclusions, which were positive for HSV1 by immunohistochemistry (Fig. 3A and B). Serological testing showed elevated HSV IgM levels and low HSV IgG levels, suggesting primary HSV infection. The patient's clinical symptoms subsided within 1 week without antiviral treatment, and a follow-up examination demonstrated increasing HSV IgG titers.

Figure 2.

Contrast-enhanced computed tomography images. (A) Arrow indicates a shallow enhancing lesion in the left lateral border of the tongue. (B) Arrows point to an enlarged left submandibular lymph node. (C) Arrow shows an enlarged left upper internal jugular lymph node.

Figure 3.

Histopathological findings of the first biopsy. (A) Histopathological examination showing multinucleation, molding of nuclear contours, and intranuclear inclusions, consistent with HSV infection. (B) Squamous cells were positive for HSV by immunohistochemistry. Magnification: (A) ×40 and (B) ×100. HSV, herpes simplex virus.

Two months later, magnetic resonance imaging (MRI) revealed decrease in signal intensity at the site of lesion and shrinkage of the affected lymph nodes. However, leukoplakia and erythroplakia persisted (Fig. 4), necessitating a second biopsy. Histopathological diagnosis showed atypical squamous epithelium with inflammation but could not confirm malignancy (Fig. 5A and B). Due to the suspicious clinical findings, the patient was advised to undergo partial glossectomy.

Figure 4.

Clinical view of the tongue lesion. Left lateral border of the tongue two months after the initial presentation.

Figure 5.

Second biopsy findings. Histopathological examination reveals atypical squamous epithelium with enlarged nuclei accompanied by inflammation. Magnification: (A) ×40 and (B) ×200.

Before resection, Lugol's iodine staining was performed to differentiate the lesion. Unstained area corresponding to the leukoplakia and erythroplakia were identified (Fig. 6). A partial glossectomy was performed with a 10-mm safety margin. Histopathological analysis of the resected specimen confirmed squamous cell carcinoma (pT1N0M0) with tumor-free margins (Fig. 7A and B). Notably, no HSV-infected cells were detected in the resected specimen.

Figure 6.

Preoperative Lugol's iodine staining. Unstained areas correspond to leukoplakia and erythroplakia, guiding partial glossectomy.

Figure 7.

Histopathological images of the resected specimen. Squamous cell carcinoma (pT1N0M0) with tumor-free margins was confirmed, and no herpes simplex virus-infected cells were detected. Magnification: (A) ×40 and (B) ×200.

The patient's postoperative course was uneventful, with no pain and surgical site healed completely. One month after surgery, fluorodeoxyglucose positron emission tomography (FDG-PET) and upper gastrointestinal endoscopy were performed, which showed no signs of recurrence, metastasis, or synchronous malignancy. The patient has been followed up for 7 year after surgery and has shown no signs of recurrence or metastasis.

Discussion

This case of oral SCC in a 37-year-old patient raises several important clinical and biological considerations. Despite the patient's significant smoking and alcohol history, the early age of onset suggests additional underlying factors may have contributed to carcinogenesis. Growing evidence indicates that early-onset oral cancer may be associated with genetic predisposition and immune system alterations (8), including mutations in tumor suppressor genes such as TP53 and CDKN2A (9). The TP53 pathway, in particular, plays a crucial role in DNA damage response and cell cycle regulation, while CDKN2A regulates the cell cycle through the p16 and p14ARF proteins (10). Disruption of these pathways can lead to compromised genome stability and altered immune surveillance (11). Although we did not perform genetic or detailed immunological analyses in our patient, such evaluations might prove valuable in similar cases to better understand the pathogenesis of early-onset oral cancer, particularly in the context of environmental risk factors. The case was further complicated by HSV infection, which initially masked the underlying malignancy, highlighting the challenges in early detection of oral cancer when concurrent pathologies are present.

The patient's extensive history of smoking and alcohol consumption represents significant risk factors for oral carcinogenesis. Tobacco smoke contains numerous carcinogens, particularly tobacco-specific nitrosamines (TSNAs), which can form DNA adducts leading to mutations in critical genes (12). Alcohol acts synergistically by serving as a solvent for these carcinogens, increasing cellular permeability, and generating acetaldehyde, a potent carcinogen (13). This combined exposure can lead to accumulation of oxidative stress, activation of pro-inflammatory pathways, and disruption of DNA repair mechanisms (14). The chronic exposure to these agents can create a field cancerization effect, potentially explaining the early onset of malignancy in this case despite the patient's young age (15,16).

The transition from an asymptomatic leukoplakia to a painful lesion after 10 years coincided with HSV infection. The acute pain was attributed to the viral-induced inflammation and ulceration, as evidenced by the elevated inflammatory markers and the characteristic histopathological features of HSV infection. The resolution of pain following viral clearance, while suspicious features persisted, supports this interpretation. This temporal relationship between viral infection and symptom onset illustrates how HSV infection can alter the clinical presentation of pre-existing lesions.

In this case, considering the long-standing history of leukoplakia, it is more likely that HSV infection occurred in the context of pre-existing dysplastic changes rather than being a causative factor. Several lines of evidence support this interpretation: First, the patient had a 10-year history of leukoplakia prior to HSV infection. Second, while the viral-related symptoms resolved completely, the underlying suspicious features persisted. Third, the final surgical specimen showed no evidence of HSV-infected cells, suggesting that the viral infection was a temporary event superimposed on a pre-existing pathological process. Recent molecular biology studies have elucidated various interactions between HSV infection and existing neoplastic tissue. HSV infection may trigger specific immune responses and create a pro-inflammatory microenvironment, potentially contributing to tumor progression (17). Furthermore, HSV proteins may interact with cellular regulatory machinery inhibit normal cell cycle control and apoptotic pathways (18). In the present case, HPV testing was not performed, which is a limitation of our study. HPV is recognized as one of the major risk factors for oral squamous cell carcinoma, particularly in younger patients (7). Recent studies have suggested that co-infection with HSV and HPV may increase carcinogenic risk. HSV infection can cause persistent inflammation and create local immunosuppressive conditions that may promote persistent HPV infection (19). Furthermore, HSV envelope proteins have been suggested to inhibit cellular tumor suppression mechanisms, potentially enhancing the expression of HPV-derived oncogenes (20,21). Considering these mechanisms, if our patient had been HPV-positive, dual viral infection might have contributed to carcinogenesis. Future similar cases should consider HPV testing as part of the diagnostic workup.

The immunological aspects of viral-cancer interactions are particularly noteworthy. Chronic viral infections may modulate the immune system, creating conditions favorable for tumor development and progression (22). This immune modulation may be particularly important in patients with additional risk factors, such as patient's history of heavy smoking and alcohol consumption.

The diagnostic challenges presented by this case demonstrate the importance of a strong suspicion of underlying malignancy in cases of persistent or atypical viral infections, especially in high-risk patients. The synergistic effect of multiple risk factors has been shown to significantly increase the likelihood of malignant transformation (23).

The initial misleading biopsy results in this case highlight important technical considerations in the diagnosis of oral cancer. The timing, location, and method of biopsy can significantly impact diagnostic accuracy, particularly in the presence of concurrent HSV infection. Biopsies performed during acute inflammation may be compromised by necrotic tissue and inflammatory changes, potentially obscuring underlying malignancy. Additionally, sampling from the center of ulcerative lesions may miss diagnostic tissue, as these areas often contain primarily inflammatory or necrotic material. In retrospect, multiple biopsies from the periphery of the lesion, including apparently healthy marginal tissue, might have provided more accurate initial results. Furthermore, when initial biopsies are inconclusive but clinical suspicion remains high, repeat biopsies after the resolution of acute inflammation should be considered. This approach, along with careful selection of biopsy sites guided by clinical features such as induration or color changes, may help avoid diagnostic delays in similar cases.

From a clinical perspective, this case provides several important insights. The presence of persistent leukoplakia or dysplastic lesions requires careful attention. As demonstrated in our case, HSV infection can potentially delay the diagnosis of underlying malignancy, emphasizing the need for thorough clinical follow-up. This is particularly important when patients present with a long-standing history of oral lesions, even if they were previously asymptomatic.

Additionally, comprehensive risk assessment should consider not only traditional factors such as smoking and alcohol consumption, but also the potential impact of viral infections. The presence of ulceration, leukoplakia, and erythroplakia should raise suspicion and warrant further investigations, including serial biopsies, to rule out malignancy. A holistic understanding of these combined risk factors can help clinicians in identifying high-risk patients and tailor surveillance accordingly. Finally, this case illustrates the value of repeat examinations and imaging when initial findings appear benign but clinical suspicion remains high. This approach allows for early detection of progressing pathology, allowing for timely intervention and improved patient outcomes.

In conclusion, this case demonstrates the complex interplay between viral infection and oral cancer and emphasizes the importance of thorough evaluation and follow-up in cases of persistent oral lesions. The presence of HSV infection should not deter clinicians from considering potential malignancies, especially in patients with additional risk factors. Further studies are needed to fully elucidate the mechanisms by which viral infection influence the development and progression of cancer in the oral cavity.

Acknowledgements

Not applicable.

Funding

Funding: No funding was received.

Availability of data and materials

The data generated in the present study may be requested from the corresponding author.

Authors' contributions

MT and MA conceived and designed the study. HS, MT and SY analyzed and confirmed the imaging examination results. HS, MT and SY analyzed and confirmed the pathological data. MM and SM performed the surgery and provided surgical expertise to the study. HS, MT and SY confirm the authenticity of all the raw data. HS drafted the manuscript, and MT, SY and MA revised it before submission. All authors read and approved the final version of the manuscript.

Ethics approval and consent to participate

Not applicable.

Patient consent for publication

The patient provided written informed consent for the publication of this case report.

Competing interests

The authors declare that they have no competing interests.

References

1 

James C, Harfouche M, Welton NJ, Turner KM, Abu-Raddad LJ, Gottlieb SL and Looker KJ: Herpes simplex virus: Global infection prevalence and incidence estimates, 2016. Bull World Health Organ. 98:315–329. 2020. View Article : Google Scholar : PubMed/NCBI

2 

Kamala KA, Ashok L and Annigeri RG: Herpes associated erythema multiforme. Contemp Clin Dent. 2:372–375. 2011. View Article : Google Scholar : PubMed/NCBI

3 

Zapatka M, Borozan I, Brewer DS, Iskar M, Grundhoff A, Alawi M, Desai N, Sültmann H, Moch H; PCAWG Pathogens, ; et al: The landscape of viral associations in human cancers. Nat Genet. 52:320–330. 2020. View Article : Google Scholar : PubMed/NCBI

4 

Koivikko T, Rodrigues PC, Vehvilainen M, Hyvönen P, Sundquist E, Arffman RK, Al-Samadi A, Välimaa H, Salo T and Risteli M: Detection of herpes simplex virus in oral tongue squamous cell carcinoma. Front Pharmacol. 14:11821522023. View Article : Google Scholar : PubMed/NCBI

5 

Cao S, Wylie KM, Wyczalkowski MA, Karpova A, Ley J, Sun S, Mashl RJ, Liang WW, Wang X, Johnson K, et al: Dynamic host immune response in virus-associated cancers. Commun Biol. 2:1092019. View Article : Google Scholar : PubMed/NCBI

6 

Niklander SE: Inflammatory mediators in oral cancer: Pathogenic mechanisms and diagnostic potential. Front Oral Health. 2:6422382021. View Article : Google Scholar : PubMed/NCBI

7 

Fakhry C, Blackford AL, Neuner G, Xiao W, Jiang B, Agrawal A and Gillison ML: Association of oral human papillomavirus DNA persistence with cancer progression after primary treatment for oral cavity and oropharyngeal squamous cell carcinoma. JAMA Oncol. 5:985–992. 2019. View Article : Google Scholar : PubMed/NCBI

8 

Huang Y, Zhao J, Mao G, Lee GS, Zhang J, Bi L, Gu L, Chang Z, Valentino J and Li GM: Identification of novel genetic variants predisposing to familial oral squamous cell carcinomas. Cell Discov. 5:572019. View Article : Google Scholar : PubMed/NCBI

9 

Adorno-Farias D, Morales-Pison S, Gischkow-Rucatti G, Margarit S and Fernandez-Ramires R: Genetic and epigenetic landscape of early-onset oral squamous cell carcinoma: Insights of genomic underserved and underrepresented populations. Genet Mol Biol. 47 (Suppl 1):e202400362024.PubMed/NCBI

10 

Wang H, Guo M, Wei H and Chen Y: Targeting p53 pathways: Mechanisms, structures, and advances in therapy. Signal Transduct Target Ther. 8:922023. View Article : Google Scholar : PubMed/NCBI

11 

Borrero LJ and El-Deiry WS: Tumor suppressor p53: Biology, signaling pathways, and therapeutic targeting. Biochim Biophys Acta Rev Cancer. 1876:1885562021. View Article : Google Scholar : PubMed/NCBI

12 

Hecht SS: DNA adduct formation from tobacco-specific N-nitrosamines. Mutat Res. 424:127–142. 1999. View Article : Google Scholar : PubMed/NCBI

13 

Rumgay H, Murphy N, Ferrari P and Soerjomataram I: Alcohol and cancer: Epidemiology and biological mechanisms. Nutrients. 13:31732021. View Article : Google Scholar : PubMed/NCBI

14 

Mansoori AA and Jain SK: Molecular links between alcohol and tobacco induced DNA damage, gene polymorphisms and patho-physiological consequences: A systematic review of hepatic carcinogenesis. Asian Pac J Cancer Prev. 16:4803–4812. 2015. View Article : Google Scholar : PubMed/NCBI

15 

Muto M, Katada C, Yokoyama T, Yano T, Oda I, Ezoe Y, Tanabe S, Shimizu Y, Doyama H, Koike T, et al: Field effect of alcohol, cigarette smoking, and their cessation on the development of multiple dysplastic lesions and squamous cell carcinoma: A long-term multicenter cohort study. Gastro Hep Adv. 1:265–276. 2022. View Article : Google Scholar : PubMed/NCBI

16 

Hamilton AC, Donnelly DW, Fitzpatrick D and Coleman HG: Early-Onset cancers in adults: A review of epidemiology, supportive care needs and future research priorities. Cancers (Basel). 14:40212022. View Article : Google Scholar : PubMed/NCBI

17 

Zhang L, Wang W, Wang R, Zhang N, Shang H, Bi Y, Chen D, Zhang C, Li L, Yin J, et al: Reshaping the immune microenvironment by oncolytic herpes simplex virus in murine pancreatic ductal adenocarcinoma. Mol Ther. 29:744–761. 2021. View Article : Google Scholar : PubMed/NCBI

18 

Agelidis AM and Shukla D: Cell entry mechanisms of HSV: What we have learned in recent years. Future Virol. 10:1145–1154. 2015. View Article : Google Scholar : PubMed/NCBI

19 

Guidry JT and Scott RS: The interaction between human papillomavirus and other viruses. Virus Res. 231:139–147. 2017. View Article : Google Scholar : PubMed/NCBI

20 

Walker JD, Sehgal I and Kousoulas KG: Oncolytic herpes simplex virus 1 encoding 15-prostaglandin dehydrogenase mitigates immune suppression and reduces ectopic primary and metastatic breast cancer in mice. J Virol. 85:7363–7371. 2011. View Article : Google Scholar : PubMed/NCBI

21 

Pisani S, Imperi M, Seganti L, Superti F, Tinari A, Bucci M and Degener AM: Effect of HSV-2 infection on the expression of HPV 16 genes in CaSki cells. Int J Immunopathol Pharmacol. 17:65–70. 2004. View Article : Google Scholar : PubMed/NCBI

22 

Zuniga EI, Macal M, Lewis GM and Harker JA: Innate and adaptive immune regulation during chronic viral infections. Annu Rev Virol. 2:573–597. 2015. View Article : Google Scholar : PubMed/NCBI

23 

Prabhu A, Obi KO and Rubenstein JH: The synergistic effects of alcohol and tobacco consumption on the risk of esophageal squamous cell carcinoma: A meta-analysis. Am J Gastroenterol. 109:822–827. 2014. View Article : Google Scholar : PubMed/NCBI

Related Articles

  • Abstract
  • View
  • Download
  • Twitter
Copy and paste a formatted citation
Spandidos Publications style
Sato H, Takekawa M, Yuzawa S, Motohashi M, Matsuda S and Adachi M: Tongue squamous cell carcinoma masked by herpes simplex virus infection: A case report. Oncol Lett 29: 248, 2025.
APA
Sato, H., Takekawa, M., Yuzawa, S., Motohashi, M., Matsuda, S., & Adachi, M. (2025). Tongue squamous cell carcinoma masked by herpes simplex virus infection: A case report. Oncology Letters, 29, 248. https://doi.org/10.3892/ol.2025.14994
MLA
Sato, H., Takekawa, M., Yuzawa, S., Motohashi, M., Matsuda, S., Adachi, M."Tongue squamous cell carcinoma masked by herpes simplex virus infection: A case report". Oncology Letters 29.5 (2025): 248.
Chicago
Sato, H., Takekawa, M., Yuzawa, S., Motohashi, M., Matsuda, S., Adachi, M."Tongue squamous cell carcinoma masked by herpes simplex virus infection: A case report". Oncology Letters 29, no. 5 (2025): 248. https://doi.org/10.3892/ol.2025.14994
Copy and paste a formatted citation
x
Spandidos Publications style
Sato H, Takekawa M, Yuzawa S, Motohashi M, Matsuda S and Adachi M: Tongue squamous cell carcinoma masked by herpes simplex virus infection: A case report. Oncol Lett 29: 248, 2025.
APA
Sato, H., Takekawa, M., Yuzawa, S., Motohashi, M., Matsuda, S., & Adachi, M. (2025). Tongue squamous cell carcinoma masked by herpes simplex virus infection: A case report. Oncology Letters, 29, 248. https://doi.org/10.3892/ol.2025.14994
MLA
Sato, H., Takekawa, M., Yuzawa, S., Motohashi, M., Matsuda, S., Adachi, M."Tongue squamous cell carcinoma masked by herpes simplex virus infection: A case report". Oncology Letters 29.5 (2025): 248.
Chicago
Sato, H., Takekawa, M., Yuzawa, S., Motohashi, M., Matsuda, S., Adachi, M."Tongue squamous cell carcinoma masked by herpes simplex virus infection: A case report". Oncology Letters 29, no. 5 (2025): 248. https://doi.org/10.3892/ol.2025.14994
Follow us
  • Twitter
  • LinkedIn
  • Facebook
About
  • Spandidos Publications
  • Careers
  • Cookie Policy
  • Privacy Policy
How can we help?
  • Help
  • Live Chat
  • Contact
  • Email to our Support Team