Spandidos Publications Logo
  • About
    • About Spandidos
    • Aims and Scopes
    • Abstracting and Indexing
    • Editorial Policies
    • Reprints and Permissions
    • Job Opportunities
    • Terms and Conditions
    • Contact
  • Journals
    • All Journals
    • Oncology Letters
      • Oncology Letters
      • Information for Authors
      • Editorial Policies
      • Editorial Board
      • Aims and Scope
      • Abstracting and Indexing
      • Bibliographic Information
      • Archive
    • International Journal of Oncology
      • International Journal of Oncology
      • Information for Authors
      • Editorial Policies
      • Editorial Board
      • Aims and Scope
      • Abstracting and Indexing
      • Bibliographic Information
      • Archive
    • Molecular and Clinical Oncology
      • Molecular and Clinical Oncology
      • Information for Authors
      • Editorial Policies
      • Editorial Board
      • Aims and Scope
      • Abstracting and Indexing
      • Bibliographic Information
      • Archive
    • Experimental and Therapeutic Medicine
      • Experimental and Therapeutic Medicine
      • Information for Authors
      • Editorial Policies
      • Editorial Board
      • Aims and Scope
      • Abstracting and Indexing
      • Bibliographic Information
      • Archive
    • International Journal of Molecular Medicine
      • International Journal of Molecular Medicine
      • Information for Authors
      • Editorial Policies
      • Editorial Board
      • Aims and Scope
      • Abstracting and Indexing
      • Bibliographic Information
      • Archive
    • Biomedical Reports
      • Biomedical Reports
      • Information for Authors
      • Editorial Policies
      • Editorial Board
      • Aims and Scope
      • Abstracting and Indexing
      • Bibliographic Information
      • Archive
    • Oncology Reports
      • Oncology Reports
      • Information for Authors
      • Editorial Policies
      • Editorial Board
      • Aims and Scope
      • Abstracting and Indexing
      • Bibliographic Information
      • Archive
    • Molecular Medicine Reports
      • Molecular Medicine Reports
      • Information for Authors
      • Editorial Policies
      • Editorial Board
      • Aims and Scope
      • Abstracting and Indexing
      • Bibliographic Information
      • Archive
    • World Academy of Sciences Journal
      • World Academy of Sciences Journal
      • Information for Authors
      • Editorial Policies
      • Editorial Board
      • Aims and Scope
      • Abstracting and Indexing
      • Bibliographic Information
      • Archive
    • International Journal of Functional Nutrition
      • International Journal of Functional Nutrition
      • Information for Authors
      • Editorial Policies
      • Editorial Board
      • Aims and Scope
      • Abstracting and Indexing
      • Bibliographic Information
      • Archive
    • International Journal of Epigenetics
      • International Journal of Epigenetics
      • Information for Authors
      • Editorial Policies
      • Editorial Board
      • Aims and Scope
      • Abstracting and Indexing
      • Bibliographic Information
      • Archive
    • Medicine International
      • Medicine International
      • Information for Authors
      • Editorial Policies
      • Editorial Board
      • Aims and Scope
      • Abstracting and Indexing
      • Bibliographic Information
      • Archive
  • Articles
  • Information
    • Information for Authors
    • Information for Reviewers
    • Information for Librarians
    • Information for Advertisers
    • Conferences
  • Language Editing
Spandidos Publications Logo
  • About
    • About Spandidos
    • Aims and Scopes
    • Abstracting and Indexing
    • Editorial Policies
    • Reprints and Permissions
    • Job Opportunities
    • Terms and Conditions
    • Contact
  • Journals
    • All Journals
    • Biomedical Reports
      • Information for Authors
      • Editorial Policies
      • Editorial Board
      • Aims and Scope
      • Abstracting and Indexing
      • Bibliographic Information
      • Archive
    • Experimental and Therapeutic Medicine
      • Information for Authors
      • Editorial Policies
      • Editorial Board
      • Aims and Scope
      • Abstracting and Indexing
      • Bibliographic Information
      • Archive
    • International Journal of Epigenetics
      • Information for Authors
      • Editorial Policies
      • Editorial Board
      • Aims and Scope
      • Abstracting and Indexing
      • Bibliographic Information
      • Archive
    • International Journal of Functional Nutrition
      • Information for Authors
      • Editorial Policies
      • Editorial Board
      • Aims and Scope
      • Abstracting and Indexing
      • Bibliographic Information
      • Archive
    • International Journal of Molecular Medicine
      • Information for Authors
      • Editorial Policies
      • Editorial Board
      • Aims and Scope
      • Abstracting and Indexing
      • Bibliographic Information
      • Archive
    • International Journal of Oncology
      • Information for Authors
      • Editorial Policies
      • Editorial Board
      • Aims and Scope
      • Abstracting and Indexing
      • Bibliographic Information
      • Archive
    • Medicine International
      • Information for Authors
      • Editorial Policies
      • Editorial Board
      • Aims and Scope
      • Abstracting and Indexing
      • Bibliographic Information
      • Archive
    • Molecular and Clinical Oncology
      • Information for Authors
      • Editorial Policies
      • Editorial Board
      • Aims and Scope
      • Abstracting and Indexing
      • Bibliographic Information
      • Archive
    • Molecular Medicine Reports
      • Information for Authors
      • Editorial Policies
      • Editorial Board
      • Aims and Scope
      • Abstracting and Indexing
      • Bibliographic Information
      • Archive
    • Oncology Letters
      • Information for Authors
      • Editorial Policies
      • Editorial Board
      • Aims and Scope
      • Abstracting and Indexing
      • Bibliographic Information
      • Archive
    • Oncology Reports
      • Information for Authors
      • Editorial Policies
      • Editorial Board
      • Aims and Scope
      • Abstracting and Indexing
      • Bibliographic Information
      • Archive
    • World Academy of Sciences Journal
      • Information for Authors
      • Editorial Policies
      • Editorial Board
      • Aims and Scope
      • Abstracting and Indexing
      • Bibliographic Information
      • Archive
  • Articles
  • Information
    • For Authors
    • For Reviewers
    • For Librarians
    • For Advertisers
    • Conferences
  • Language Editing
Login Register Submit
  • This site uses cookies
  • You can change your cookie settings at any time by following the instructions in our Cookie Policy. To find out more, you may read our Privacy Policy.

    I agree
Search articles by DOI, keyword, author or affiliation
Search
Advanced Search
presentation
Oncology Letters
Join Editorial Board Propose a Special Issue
Print ISSN: 1792-1074 Online ISSN: 1792-1082
Journal Cover
September-2025 Volume 30 Issue 3

Full Size Image

Sign up for eToc alerts
Recommend to Library

Journals

International Journal of Molecular Medicine

International Journal of Molecular Medicine

International Journal of Molecular Medicine is an international journal devoted to molecular mechanisms of human disease.

International Journal of Oncology

International Journal of Oncology

International Journal of Oncology is an international journal devoted to oncology research and cancer treatment.

Molecular Medicine Reports

Molecular Medicine Reports

Covers molecular medicine topics such as pharmacology, pathology, genetics, neuroscience, infectious diseases, molecular cardiology, and molecular surgery.

Oncology Reports

Oncology Reports

Oncology Reports is an international journal devoted to fundamental and applied research in Oncology.

Experimental and Therapeutic Medicine

Experimental and Therapeutic Medicine

Experimental and Therapeutic Medicine is an international journal devoted to laboratory and clinical medicine.

Oncology Letters

Oncology Letters

Oncology Letters is an international journal devoted to Experimental and Clinical Oncology.

Biomedical Reports

Biomedical Reports

Explores a wide range of biological and medical fields, including pharmacology, genetics, microbiology, neuroscience, and molecular cardiology.

Molecular and Clinical Oncology

Molecular and Clinical Oncology

International journal addressing all aspects of oncology research, from tumorigenesis and oncogenes to chemotherapy and metastasis.

World Academy of Sciences Journal

World Academy of Sciences Journal

Multidisciplinary open-access journal spanning biochemistry, genetics, neuroscience, environmental health, and synthetic biology.

International Journal of Functional Nutrition

International Journal of Functional Nutrition

Open-access journal combining biochemistry, pharmacology, immunology, and genetics to advance health through functional nutrition.

International Journal of Epigenetics

International Journal of Epigenetics

Publishes open-access research on using epigenetics to advance understanding and treatment of human disease.

Medicine International

Medicine International

An International Open Access Journal Devoted to General Medicine.

Journal Cover
September-2025 Volume 30 Issue 3

Full Size Image

Sign up for eToc alerts
Recommend to Library

  • Article
  • Citations
    • Cite This Article
    • Download Citation
    • Create Citation Alert
    • Remove Citation Alert
    • Cited By
  • Similar Articles
    • Related Articles (in Spandidos Publications)
    • Similar Articles (Google Scholar)
    • Similar Articles (PubMed)
  • Download PDF
  • Download XML
  • View XML
Case Report Open Access

Bronchial granular cell tumor incidentally detected during preoperative evaluation of thyroid carcinoma: A case report

  • Authors:
    • Biao Wang
    • Guozhu Liu
    • Baolu Liu
    • Rushuai Hou
    • Cuiping Li
    • Mengjie Li
    • Jian Zhu
  • View Affiliations / Copyright

    Affiliations: Department of Oncology, Cangzhou Fifth Hospital (People's Hospital of Qingxian), Cangzhou, Hebei 062650, P.R. China, Department of Cardiothoracic Urology, Cangzhou Fifth Hospital (People's Hospital of Qingxian), Cangzhou, Hebei 062650, P.R. China, Department of Pathology, Cangzhou Fifth Hospital (People's Hospital of Qingxian), Cangzhou, Hebei 062650, P.R. China, Department of Cardiothoracic Surgery, General Hospital of Central Theater Command of The People's Liberation Army, Wuhan, Hebei 430070, P.R. China
    Copyright: © Wang et al. This is an open access article distributed under the terms of Creative Commons Attribution License.
  • Article Number: 425
    |
    Published online on: July 3, 2025
       https://doi.org/10.3892/ol.2025.15171
  • Expand metrics +
Metrics: Total Views: 0 (Spandidos Publications: | PMC Statistics: )
Metrics: Total PDF Downloads: 0 (Spandidos Publications: | PMC Statistics: )
Cited By (CrossRef): 0 citations Loading Articles...

This article is mentioned in:



Abstract

The present case report describes a rare granular cell tumor (GCT) found in the right lower lobe bronchus of a 36‑year‑old male patient. The tumor was incidentally discovered during preparation for thyroid cancer surgery. The patient had noticed a neck mass 3 months prior to admission, which led to an ultrasound‑guided bilateral thyroid mass perforated biopsy and pathological examination. The examination revealed thyroid papillary carcinoma. A chest computed tomography scan showed a mass measuring ~29x23 cm near the right lower lobe hilum. Bronchoscopy, histopathological examination and immunohistochemical staining confirmed the diagnosis of GCT. The patient underwent a successful right lower lobe resection and had a smooth postoperative recovery. Subsequently, 1 month later, the patient underwent thyroid cancer surgery without any complications. The patient was regularly monitored and no specific discomfort was reported during the 18‑month follow‑up.

Introduction

Granular cell tumors (GCTs) account for only 0.5% of soft tissue tumors and can manifest in various tissues and organs within the body (1). Among them, the skin and the head-neck region are the most prevalent sites (2). Among all GCTs, 2–6% occur in the respiratory system, with the majority occurring in the larynx, while primary bronchial GCTs (BGCTs) are exceptionally rare (1,3). Both domestic and international reports of BGCTs are limited, with most being isolated case reports. The clinical manifestations and imaging features of BGCTs lack specificity, making misdiagnosis and missed diagnosis common (4). Given that BGCTs typically exhibit benign behavior, an accurate preoperative diagnosis is crucial to avoid overtreatment.

The present study reports the case of a 36-year-old male patient who was admitted for the investigation of a ‘thyroid mass’, whereupon a BGCT was incidentally discovered. The objective of the present study was to explore the clinical and pathological features of GCTs in this uncommon location, contributing to a more refined diagnostic understanding of these lesions.

Case report

Case presentation

A 36-year-old male patient was admitted to Cangzhou Fifth Hospital (People's Hospital of Qingxian), Cangzhou, China on August 5, 2023 due to the discovery of a neck mass 3 months prior. The patient incidentally noticed the neck mass without associated pain, fever, cough, dyspnea, palpitations, diaphoresis or prior treatment. As the mass had gradually increased in size, necessitating surgical intervention, the patient was admitted following an outpatient evaluation, during which a provisional diagnosis of a ‘thyroid mass’ was made. The patient had no history of viral hepatitis, tuberculosis, prior surgeries, blood transfusions, drug or food allergies and smoking or alcohol consumption.

On admission, the patient's vital signs were stable with a temperature of 35.8°C, pulse rate of 84 beats per min, respiratory rate of 18 breaths per min and blood pressure of 150/90 mmHg. The superficial lymph nodes were not palpably enlarged, and examination of the head and face revealed no abnormalities. The cardiorespiratory and abdominal examinations were also unremarkable. In addition, there were no jugular vein distension or abnormal pulsations in the neck. Palpation of the right side of the neck revealed a localized lump, measuring ~3.5×3 cm, with no tenderness, a firm consistency, smooth surface, limited mobility and slight movement upon swallowing. The initial diagnosis upon admission was pending confirmation of the nature of the thyroid mass.

Upon further investigation post-admission, the laboratory test results showed a white blood cell count of 4.73×109/l (normal range, 4.0–10.0×109/l), a neutrophil percentage of 59.5% (normal range, 50–70%), a hemoglobin level of 159 g/l (normal range, 110–160 g/l) and a platelet count of 100×109/l (normal range, 100–300×109/l). C-reactive protein was elevated at 68.94 mg/l (normal range, 0–10 mg/l), while the other tumor markers [CEA, neuron-specific enolase, cytokeratin fragment-19, cancer antigen (CA)125 and CA199] were within the normal limits. The thyroid function tests revealed a slightly elevated serum thyroid-stimulating hormone level of 5.781 mIU/l (normal range, 0.5–5.1). Thyroid antibody testing demonstrated normal values. Electrolytes, blood glucose and glycosylated hemoglobin were all within the normal ranges. The patient tested negative for hepatitis B and showed no evidence of syphilis or HIV antibodies. The urinalysis was unremarkable.

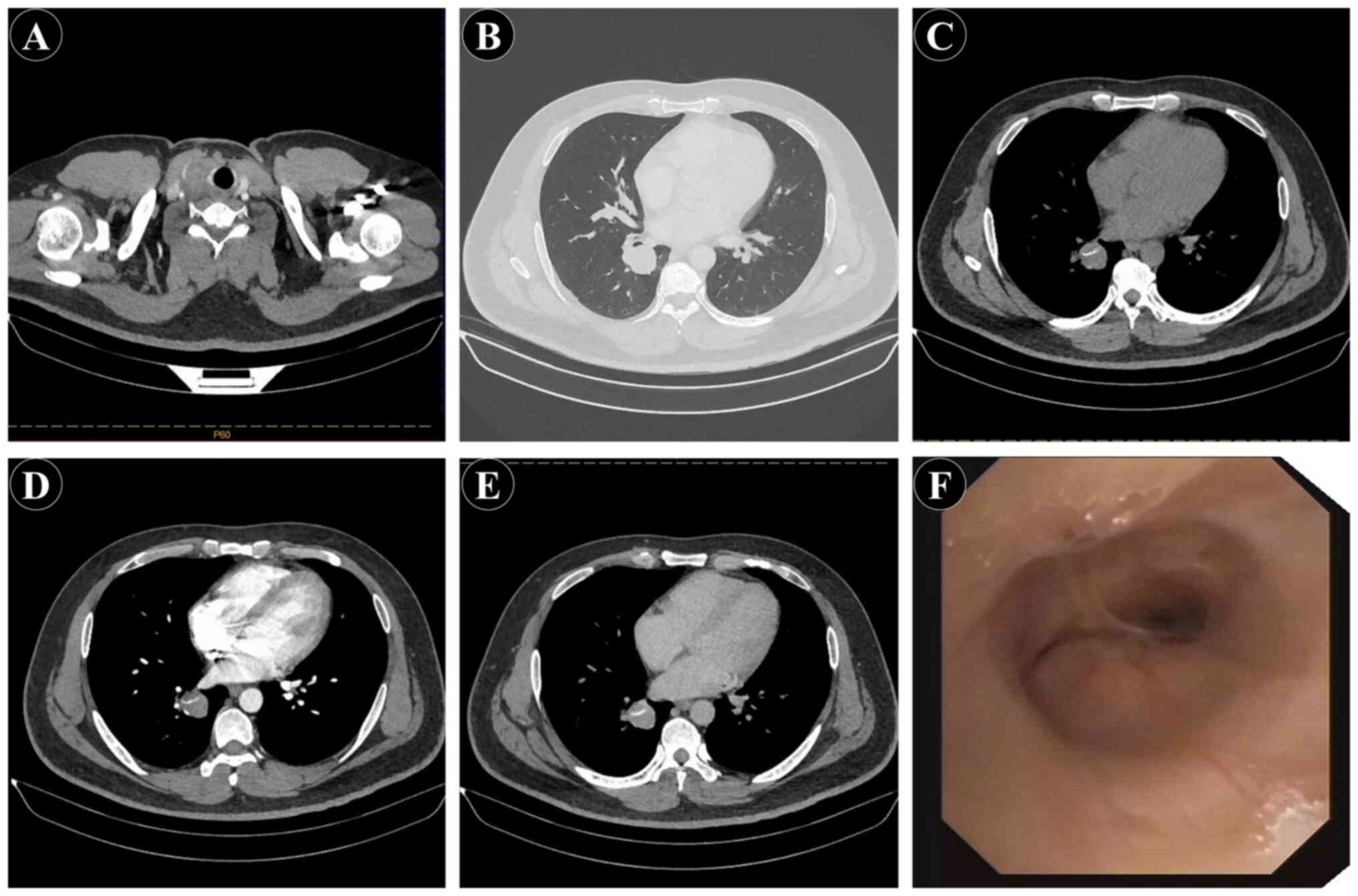
Ultrasound examination identified a solid nodule in the right thyroid lobe (TI-RADS 4b) and a low-density nodule in the left thyroid lobe (TI-RADS 4a), according to the American College of Radiology Thyroid Imaging Reporting and Data System (TI-RADS), version 2017 (5). Multiple lymph nodes were observed in the right cervical level IV area, and lymph nodes were present bilaterally in the neck. A thyroid right lobe mass and a low-density lesion in the left thyroid lobe was therefore considered (Fig. 1A). Subsequent ultrasound-guided bilateral thyroid mass biopsies confirmed papillary thyroid carcinoma. Chest computed tomography (CT) revealed a mass near the hilum of the right lower lobe measuring ~2.9×2.3 cm (Fig. 1B). Enhanced CT suggested mild enhancement, and the lesion exhibited characteristics suggestive of a benign lesion, including a linear calcification (Fig. 1C-E). Contrast-enhanced chest CT demonstrated heterogeneous enhancement of the lesion, which initially raised suspicion for a metastatic lesion from thyroid carcinoma. Local bronchial dilation was noted in the right lower lobe, along with inflammatory changes in both lower lobes. Subsequently, bronchoscopy (Fig. 1F) revealed a smooth mucosal surface in the basal segment of the right lower lobe bronchus, with extrinsic narrowing.

CT and bronchoscopy images. (A)
Thyroid CT examination revealed a mass in the right lobe and a
low-density lesion in the left lobe. (B) Chest enhanced CT scan in
the lung window demonstrated a mass near the right lower lobar
hilum measuring ~2.9×2.3 cm. (C) Chest CT scan in the mediastinal
window displayed lesion attenuation ranging from 23 to 65 HU, with
an average of 42 HU. (D) Arterial phase of the chest CT enhancement
revealed lesion attenuation ranging from 16 to 53 HU, with an
average of 36 HU. (E) Venous phase of the chest CT enhancement
showed lesion attenuation ranging from 35 to 82 HU, with an average
of 59 HU. (F) Intraoperative bronchoscopy revealed a smooth mucosa
in the basal segment of the right lower lobe, with extraluminal
compressive narrowing. CT, computed tomography; HU, Hounsfield
unit.

Figure 1.

CT and bronchoscopy images. (A) Thyroid CT examination revealed a mass in the right lobe and a low-density lesion in the left lobe. (B) Chest enhanced CT scan in the lung window demonstrated a mass near the right lower lobar hilum measuring ~2.9×2.3 cm. (C) Chest CT scan in the mediastinal window displayed lesion attenuation ranging from 23 to 65 HU, with an average of 42 HU. (D) Arterial phase of the chest CT enhancement revealed lesion attenuation ranging from 16 to 53 HU, with an average of 36 HU. (E) Venous phase of the chest CT enhancement showed lesion attenuation ranging from 35 to 82 HU, with an average of 59 HU. (F) Intraoperative bronchoscopy revealed a smooth mucosa in the basal segment of the right lower lobe, with extraluminal compressive narrowing. CT, computed tomography; HU, Hounsfield unit.

The patient underwent video-assisted thoracoscopic surgery for right lower lobe resection under general anesthesia. Intraoperatively, it was observed that the tumor, closely situated to the hilum, could not be separately excised. Consequently, a right lower lobe resection was performed. The bronchus specimen from the lower right lobe was fixed in 10% formalin and underwent routine dehydration, paraffin embedding and hematoxylin and eosin (H&E) staining, which showed GCT features (Fig. 2A and B). Specifically, the tumor cells displayed larger, round or polygonal shapes, with small, oval or plump nuclei centrally located. Rare nuclear inclusions were observed, and the cytoplasm appeared rich with red-staining fine granules. The tumor cells exhibited no atypia, mitotic figures or necrosis, and were arranged in nests and sheets. The immunohistochemistry results (Fig. 2C and D) revealed positivity for CD68 and S-100, while Ki-67 was <1%, supporting the final diagnosis of BGCT (right lower lobe bronchus). The patient experienced an uneventful postoperative course, exhibiting satisfactory recovery. Subsequently, 1 month later, the patient underwent thyroid cancer surgery. No further treatment was administered postoperatively. Follow-up assessments have revealed no discernible discomfort or complications. The latest follow-up was conducted on March 5, 2025.

Pathological and immunohistochemical
diagnosis. (A) Pathological examination at low magnification showed
tumor-like lesions with intact capsules (H&E; magnification,
×200). (B) High magnification view (H&E; magnification, ×400)
showed enlarged tumor cells, predominantly round or polygonal, with
small centrally located nuclei, rich cytoplasm and visible
red-staining granules. No atypia, mitotic figures or necrosis are
observed, presenting a nested and sheet-like arrangement,
consistent with granular cell tumor. Immunohistochemical staining
reveals positive staining for (C) CD68 and (D) S-100
(magnification, ×100). H&E, hematoxylin and eosin.

Figure 2.

Pathological and immunohistochemical diagnosis. (A) Pathological examination at low magnification showed tumor-like lesions with intact capsules (H&E; magnification, ×200). (B) High magnification view (H&E; magnification, ×400) showed enlarged tumor cells, predominantly round or polygonal, with small centrally located nuclei, rich cytoplasm and visible red-staining granules. No atypia, mitotic figures or necrosis are observed, presenting a nested and sheet-like arrangement, consistent with granular cell tumor. Immunohistochemical staining reveals positive staining for (C) CD68 and (D) S-100 (magnification, ×100). H&E, hematoxylin and eosin.

Materials and methods
Histological examination

The bronchial specimen was fixed in 10% neutral buffered formalin at 4°C for 24 h. Tissues were then processed through a graded ethanol series for dehydration, embedded in paraffin and sectioned at 4 sm thickness. The sections were rehydrated through a descending alcohol series (100, 95, 85 and 75%, and distilled water). H&E staining (cat. no. G1120; Beijing Solarbio Science & Technology Co., Ltd.) was performed at room temperature, with hematoxylin staining for 5 min and eosin staining for 1 min. All stained slides were examined using a Nexcope NE910 light microscope (Ningbo Yongxin Optics Co., Ltd.).

Immunohistochemistry

Paraffin-embedded sections (4 µm) were deparaffinized, rehydrated through a descending alcohol series and subjected to antigen retrieval by heating in citrate buffer (pH 6.0; cat. no. G1202; Wuhan Servicebio Technology Co., Ltd.) at 95°C for 20 min. Endogenous peroxidase activity was blocked by incubation with 3% hydrogen peroxide for 10 min. Sections were then incubated with 5% normal goat serum (cat. no. ab7481; Abcam) at room temperature for 30 min to block non-specific binding. The sections were incubated with the following primary antibodies at 4°C overnight: CD68 (1:100; cat. no. ab955; Abcam), S-100 (1:100, cat. no. MA1-26621; Invitrogen; Thermo Fisher Scientific, Inc.) and Ki-67 (1:100; cat. no. M7240; Dako; Agilent Technologies, Inc.). After washing, goat anti-mouse HRP-conjugated secondary antibodies (1:500; cat. no. ab6789; Abcam) were applied at room temperature for 30 min. Immunoreactivity was visualized using DAB chromogen (cat. no. K3468; Dako; Agilent Technologies, Inc.), followed by counterstaining with hematoxylin as aforementioned. Slides were observed using a Nexcope NE910 light microscope.

Discussion

BGCT is clinically rare, and most reported cases worldwide are individual case reports (1,6). The exact etiology and pathogenesis of BGCT remain unclear. Current research suggests that BGCT originates primarily from Schwann cells, presenting as a neurogenic tumor (4,6). BGCT can occur at any age, with a peak incidence between 30 and 50 years, and shows no significant sex predilection (7). The majority of patients present with symptoms such as cough, sputum production, hemoptysis, dyspnea, fever and chest pain due to tumor invasion or obstruction of the bronchus (8). Cases may be incidentally discovered during bronchoscopic examinations or chest imaging studies (9). In the present case, the BGCT was incidentally discovered during preoperative evaluation for thyroid cancer in a 36-year-old male patient, who was asymptomatic and without pain, fever, cough or respiratory distress. Although both BGCT and thyroid cancer were identified in this patient, there is currently no evidence to support a direct relationship between BGCT and thyroid malignancies, to the best of our knowledge.

The imaging characteristics of respiratory GCTs reveal pulmonary lesions with diameters ranging from 0.3 to 6.0 cm, with an average diameter of 1.0 cm (10). By CT, tracheal GCTs may manifest as well-defined, round intraluminal masses or may be located around the bronchi. Tracheal GCTs can cause bronchial obstruction, leading to bronchitis, pneumonia, bronchiectasis, pulmonary fibrosis, atelectasis or recurrent episodes of lobar pneumonia (11). High-resolution CT may reveal segmental consolidation or central nodules distributed within the affected lobe, indicating lobar bronchitis or atelectasis (12). In the present case, contrast-enhanced CT demonstrated heterogeneous enhancement, raising initial concerns of a potential thyroid cancer lung metastasis. Additionally, the lesion in the present case exhibited linear calcifications, warranting further distinction from malignant lesions. To establish a definitive diagnosis, bronchoscopy was performed, revealing smooth mucosa in the basal segment of the right lower lobe with extrinsic compressive narrowing.

The definitive diagnosis of BGCT relies on pathological and immunohistochemical examinations. Macroscopically, GCTs often present as pedunculated or sessile polypoid elevations protruding into the bronchial lumen, exhibiting a lobulated appearance on cut sections, with colors ranging from gray-white to pink or light yellow. The texture is moderate, with clear boundaries from surrounding tissues, lacking a capsule and with minimal stroma. Surface epithelial coverage may show squamous metaplasia, simulating pseudoepitheliomatous hyperplasia, potentially leading to misdiagnosis as squamous cell carcinoma (13). Microscopically, tumor cells are round, oval or polygonal, with abundant eosinophilic granular cytoplasm, small nuclei, occasional visible nucleoli, rare mitoses and minimal necrosis (14,15). Immunohistochemistry typically reveals positivity for S-100 protein and CD68, while Ki-67 expression is rare. Conversely, cytokeratin and epithelial membrane antigen show negative staining, indicating an origin from mesenchymal tissue (14,15). A study has demonstrated high sensitivity and specificity for S-100 protein and CD68 in GCT, with rates ranging from 100 to 65–100%, respectively (16). Therefore, S-100 protein and CD68 serve as valuable immunohistochemical markers for diagnosing GCT (17). In the present case, the diagnosis was confirmed through bronchoscopy, histopathology and immunohistochemical staining, revealing diffusely distributed round and polygonal cells with lightly stained cytoplasm beneath the bronchial mucosa. Immunohistochemistry demonstrated positive staining for S-100 protein and CD68, and negative staining for Ki-67, consistent with the literature, confirming the diagnosis of BGCT (18).

Kim et al (19) reported a predilection of BGCT in the upper lung lobes (10/13) compared with the lower lobes (3/13), with a seemingly higher incidence in the right lung. In the present case, BGCT occurred in the lower right lobe. Current standardized treatment approaches for BGCT remain controversial. Daniel et al (20) argue that, due to the lack of a capsule and infiltrative growth, endoscopic treatments (such as argon plasma coagulation, laser therapy, microwave or cryoablation) carry a risk of recurrence, with reported rates as high as 54%. Therefore, complete surgical resection is advocated as the primary treatment methods, yielding low recurrence rates and favorable outcomes. van der Maten et al (21) considered endoscopic treatment under electronic bronchoscopy as a common therapeutic approach for BGCT. One study reported that patients diagnosed with GCT who do not undergo any treatment did not experience any deaths during subsequent follow-ups (21). In the present case, the patient underwent video-assisted thoracoscopic surgery for right lower lobe resection under general anesthesia. Intraoperatively, the tumor was found to be situated near the hilum, preventing independent excision and necessitating a right lower lobe resection.

In summary, BGCT is an exceedingly rare pulmonary tumor often presenting with subtle or non-specific clinical manifestations. Radiological findings lack specificity, necessitating reliance on histopathological examination for accurate diagnosis. While predominantly benign, complete surgical excision remains the cornerstone of treatment and recurrence prevention for this condition.

Acknowledgements

Not applicable.

Funding

Funding: No funding was received.

Availability of data and materials

The data generated in the present study may be requested from the corresponding author.

Authors' contributions

BW, CL and ML were involved in the diagnosis and treatment of the patient. BW, CL, RH and GL contributed to data acquisition and analysis. BL, RH, GL and JZ participated in the interpretation of findings. BL, ML and JZ provided critical revisions for important intellectual content and supervised the manuscript preparation. BW and ML confirm the authenticity of all the raw data. All authors read and approved the final version of the manuscript.

Ethics approval and consent to participate

The study involving human participants was reviewed and approved by the Ethics Committee of Cangzhou Fifth Hospital (People's Hospital of Qingxian, Cangzhou, China; approval no. 20240503) and was conducted in accordance with the Declaration of Helsinki of 1975.

Patient consent for publication

Written informed consent was obtained from the patient for the publication of any potentially identifiable images or data contained herein.

Competing interests

The authors declare that they have no competing interests.

References

1 

Xu GX, Wang C, Sui JJ, Gao SY, Wang XY, Zhao SL and Tang LJ: A case report of bronchial granular cell tumor. Zhonghua Jie He He Hu Xi Za Zhi. 46:1121–1123. 2023.(In Chinese).

2 

Cardis MA, Ni J and Bhawan J: Granular cell differentiation: A review of the published work. J Dermatol. 44:251–258. 2017. View Article : Google Scholar

3 

Meyer MA, Becker JM and Quinones W: Endobronchial granular cell tumor: A case report. J Radiol Case Rep. 4:29–35. 2010. View Article : Google Scholar : PubMed/NCBI

4 

Lin N, Liu T and Wang R: Lung squamous cell carcinoma combined with bronchial granular cell tumor: Report of 1 case and review of literature. Cancer Res Clin. 36:698–702. 2024.

5 

Tessler FN, Middleton WD, Grant EG, Hoang JK, Berland LL, Teefey SA, Cronan JJ, Beland MD, Desser TS, Frates MC, et al: ACR thyroid imaging, reporting and data system (TI-RADS): White paper of the ACR TI-RADS committee. J Am Coll Radiol. 14:587–595. 2017. View Article : Google Scholar

6 

Houcine Y, Mlika M, Moussa C, Rouis H, Brahem E, Ismail O, Maȃlej S and El Mezni F: Granular cell tumor of the lung and tracheobronchial tree: Two case-presentation with a review of the literature. Rare Tumors. 15:203636132311878222023. View Article : Google Scholar : PubMed/NCBI

7 

Tian G, Ge J and Liu X: A case of bronchial granular cell tumour with literature review. Chin J Respir Crit Care Med. 18:76–80. 2019.

8 

Joung MK, Lee YJ, Chung CU, Lee JE, Jung SS, Kim SY and Kim JO: A case of granular cell tumor of the trachea. Korean J Intern Med. 22:101–105. 2007. View Article : Google Scholar : PubMed/NCBI

9 

Jobrack AD, Goel S and Cotlar AM: Granular cell tumor: Report of 13 cases in a veterans administration hospital. Mil Med. 183:e589–e593. 2018. View Article : Google Scholar : PubMed/NCBI

10 

Deavers M, Guinee D, Koss MN and Travis WD: Granular cell tumors of the lung. Clinicopathologic study of 20 cases. Am J Surg Pathol. 19:627–635. 1995. View Article : Google Scholar

11 

Miyake M, Tateishi U, Maeda T, Arai Y, Hasegawa T and Sugimura K: Bronchial granular cell tumor: A case presenting secondary obstructive changes on CT. Radiat Med. 24:154–157. 2006. View Article : Google Scholar : PubMed/NCBI

12 

Kutuya N and Akiduki A: Radiologic appearance of a bronchial granular cell tumor with secondary obstructive changes. Clin Imaging. 34:148–151. 2010. View Article : Google Scholar : PubMed/NCBI

13 

Ping H, Guangyu Y and Xia G: Tracheobronchial benign tumour diagnosed by bronchoscopic biopsy: A clinicopathologic analysis of 11 cases. Chin J Clin Exp Pathol. 28:415–418. 2012.

14 

Grove J, Meier C, Youssef B and Costello P: A rare case of granular cell tumor in the right upper lung of an adolescent patient. Cureus. 14:e215582022. View Article : Google Scholar : PubMed/NCBI

15 

Yamada S, Katayama Y, Fujimoto Y, Kobori I, Kusano Y, Soga K, Sato T, Matsushima J, Ban S and Tamano M: A granular cell tumor arising in a patient with long-segment Barrett's esophagus. Intern Med. 64:557–561. 2025. View Article : Google Scholar : PubMed/NCBI

16 

An S, Jang J, Min K, Kim MS, Park H, Park YS, Kim J, Lee JH, Song HJ, Kim KJ, et al: Granular cell tumor of the gastrointestinal tract: Histologic and immunohistochemical analysis of 98 cases. Hum Pathol. 46:813–819. 2015. View Article : Google Scholar

17 

Liu HF, Huang Y, Wu CY, Li Y, Wang YC, Zhang LP, Hou LK and Xie HK: Pulmonary granular cell tumors: A clinicopathological analysis of five cases. Zhonghua Bing Li Xue Za Zhi. 52:136–141. 2023.(In Chinese).

18 

Jian W and Xiongzeng Z: Pathology of Soft Tissue Tumours. People's Health Press; Beijing: 2008

19 

Kim HJ, An S and Kim HR: Primary bronchial granular cell tumor in an adult male. Korean J Thorac Cardiovasc Surg. 47:193–196. 2014. View Article : Google Scholar : PubMed/NCBI

20 

Daniel TM, Smith RH, Faunce HF and Sylvest VM: Transbronchoscopic versus surgical resection of tracheobronchial granular cell myoblastomas. Suggested approach based on follow-up of all treated cases. J Thorac Cardiovasc Surg. 80:898–903. 1980. View Article : Google Scholar : PubMed/NCBI

21 

van der Maten J, Blaauwgeers JL, Sutedja TG, Kwa HB, Postmus PE and Wagenaar SS: Granular cell tumors of the tracheobronchial tree. J Thorac Cardiovasc Surg. 126:740–743. 2003. View Article : Google Scholar : PubMed/NCBI

Related Articles

  • Abstract
  • View
  • Download
  • Twitter
Copy and paste a formatted citation
Spandidos Publications style
Wang B, Liu G, Liu B, Hou R, Li C, Li M and Zhu J: Bronchial granular cell tumor incidentally detected during preoperative evaluation of thyroid carcinoma: A case report. Oncol Lett 30: 425, 2025.
APA
Wang, B., Liu, G., Liu, B., Hou, R., Li, C., Li, M., & Zhu, J. (2025). Bronchial granular cell tumor incidentally detected during preoperative evaluation of thyroid carcinoma: A case report. Oncology Letters, 30, 425. https://doi.org/10.3892/ol.2025.15171
MLA
Wang, B., Liu, G., Liu, B., Hou, R., Li, C., Li, M., Zhu, J."Bronchial granular cell tumor incidentally detected during preoperative evaluation of thyroid carcinoma: A case report". Oncology Letters 30.3 (2025): 425.
Chicago
Wang, B., Liu, G., Liu, B., Hou, R., Li, C., Li, M., Zhu, J."Bronchial granular cell tumor incidentally detected during preoperative evaluation of thyroid carcinoma: A case report". Oncology Letters 30, no. 3 (2025): 425. https://doi.org/10.3892/ol.2025.15171
Copy and paste a formatted citation
x
Spandidos Publications style
Wang B, Liu G, Liu B, Hou R, Li C, Li M and Zhu J: Bronchial granular cell tumor incidentally detected during preoperative evaluation of thyroid carcinoma: A case report. Oncol Lett 30: 425, 2025.
APA
Wang, B., Liu, G., Liu, B., Hou, R., Li, C., Li, M., & Zhu, J. (2025). Bronchial granular cell tumor incidentally detected during preoperative evaluation of thyroid carcinoma: A case report. Oncology Letters, 30, 425. https://doi.org/10.3892/ol.2025.15171
MLA
Wang, B., Liu, G., Liu, B., Hou, R., Li, C., Li, M., Zhu, J."Bronchial granular cell tumor incidentally detected during preoperative evaluation of thyroid carcinoma: A case report". Oncology Letters 30.3 (2025): 425.
Chicago
Wang, B., Liu, G., Liu, B., Hou, R., Li, C., Li, M., Zhu, J."Bronchial granular cell tumor incidentally detected during preoperative evaluation of thyroid carcinoma: A case report". Oncology Letters 30, no. 3 (2025): 425. https://doi.org/10.3892/ol.2025.15171
Follow us
  • Twitter
  • LinkedIn
  • Facebook
About
  • Spandidos Publications
  • Careers
  • Cookie Policy
  • Privacy Policy
How can we help?
  • Help
  • Live Chat
  • Contact
  • Email to our Support Team