Spandidos Publications Logo
  • About
    • About Spandidos
    • Aims and Scopes
    • Abstracting and Indexing
    • Editorial Policies
    • Reprints and Permissions
    • Job Opportunities
    • Terms and Conditions
    • Contact
  • Journals
    • All Journals
    • Oncology Letters
      • Oncology Letters
      • Information for Authors
      • Editorial Policies
      • Editorial Board
      • Aims and Scope
      • Abstracting and Indexing
      • Bibliographic Information
      • Archive
    • International Journal of Oncology
      • International Journal of Oncology
      • Information for Authors
      • Editorial Policies
      • Editorial Board
      • Aims and Scope
      • Abstracting and Indexing
      • Bibliographic Information
      • Archive
    • Molecular and Clinical Oncology
      • Molecular and Clinical Oncology
      • Information for Authors
      • Editorial Policies
      • Editorial Board
      • Aims and Scope
      • Abstracting and Indexing
      • Bibliographic Information
      • Archive
    • Experimental and Therapeutic Medicine
      • Experimental and Therapeutic Medicine
      • Information for Authors
      • Editorial Policies
      • Editorial Board
      • Aims and Scope
      • Abstracting and Indexing
      • Bibliographic Information
      • Archive
    • International Journal of Molecular Medicine
      • International Journal of Molecular Medicine
      • Information for Authors
      • Editorial Policies
      • Editorial Board
      • Aims and Scope
      • Abstracting and Indexing
      • Bibliographic Information
      • Archive
    • Biomedical Reports
      • Biomedical Reports
      • Information for Authors
      • Editorial Policies
      • Editorial Board
      • Aims and Scope
      • Abstracting and Indexing
      • Bibliographic Information
      • Archive
    • Oncology Reports
      • Oncology Reports
      • Information for Authors
      • Editorial Policies
      • Editorial Board
      • Aims and Scope
      • Abstracting and Indexing
      • Bibliographic Information
      • Archive
    • Molecular Medicine Reports
      • Molecular Medicine Reports
      • Information for Authors
      • Editorial Policies
      • Editorial Board
      • Aims and Scope
      • Abstracting and Indexing
      • Bibliographic Information
      • Archive
    • World Academy of Sciences Journal
      • World Academy of Sciences Journal
      • Information for Authors
      • Editorial Policies
      • Editorial Board
      • Aims and Scope
      • Abstracting and Indexing
      • Bibliographic Information
      • Archive
    • International Journal of Functional Nutrition
      • International Journal of Functional Nutrition
      • Information for Authors
      • Editorial Policies
      • Editorial Board
      • Aims and Scope
      • Abstracting and Indexing
      • Bibliographic Information
      • Archive
    • International Journal of Epigenetics
      • International Journal of Epigenetics
      • Information for Authors
      • Editorial Policies
      • Editorial Board
      • Aims and Scope
      • Abstracting and Indexing
      • Bibliographic Information
      • Archive
    • Medicine International
      • Medicine International
      • Information for Authors
      • Editorial Policies
      • Editorial Board
      • Aims and Scope
      • Abstracting and Indexing
      • Bibliographic Information
      • Archive
  • Articles
  • Information
    • Information for Authors
    • Information for Reviewers
    • Information for Librarians
    • Information for Advertisers
    • Conferences
  • Language Editing
Spandidos Publications Logo
  • About
    • About Spandidos
    • Aims and Scopes
    • Abstracting and Indexing
    • Editorial Policies
    • Reprints and Permissions
    • Job Opportunities
    • Terms and Conditions
    • Contact
  • Journals
    • All Journals
    • Biomedical Reports
      • Information for Authors
      • Editorial Policies
      • Editorial Board
      • Aims and Scope
      • Abstracting and Indexing
      • Bibliographic Information
      • Archive
    • Experimental and Therapeutic Medicine
      • Information for Authors
      • Editorial Policies
      • Editorial Board
      • Aims and Scope
      • Abstracting and Indexing
      • Bibliographic Information
      • Archive
    • International Journal of Epigenetics
      • Information for Authors
      • Editorial Policies
      • Editorial Board
      • Aims and Scope
      • Abstracting and Indexing
      • Bibliographic Information
      • Archive
    • International Journal of Functional Nutrition
      • Information for Authors
      • Editorial Policies
      • Editorial Board
      • Aims and Scope
      • Abstracting and Indexing
      • Bibliographic Information
      • Archive
    • International Journal of Molecular Medicine
      • Information for Authors
      • Editorial Policies
      • Editorial Board
      • Aims and Scope
      • Abstracting and Indexing
      • Bibliographic Information
      • Archive
    • International Journal of Oncology
      • Information for Authors
      • Editorial Policies
      • Editorial Board
      • Aims and Scope
      • Abstracting and Indexing
      • Bibliographic Information
      • Archive
    • Medicine International
      • Information for Authors
      • Editorial Policies
      • Editorial Board
      • Aims and Scope
      • Abstracting and Indexing
      • Bibliographic Information
      • Archive
    • Molecular and Clinical Oncology
      • Information for Authors
      • Editorial Policies
      • Editorial Board
      • Aims and Scope
      • Abstracting and Indexing
      • Bibliographic Information
      • Archive
    • Molecular Medicine Reports
      • Information for Authors
      • Editorial Policies
      • Editorial Board
      • Aims and Scope
      • Abstracting and Indexing
      • Bibliographic Information
      • Archive
    • Oncology Letters
      • Information for Authors
      • Editorial Policies
      • Editorial Board
      • Aims and Scope
      • Abstracting and Indexing
      • Bibliographic Information
      • Archive
    • Oncology Reports
      • Information for Authors
      • Editorial Policies
      • Editorial Board
      • Aims and Scope
      • Abstracting and Indexing
      • Bibliographic Information
      • Archive
    • World Academy of Sciences Journal
      • Information for Authors
      • Editorial Policies
      • Editorial Board
      • Aims and Scope
      • Abstracting and Indexing
      • Bibliographic Information
      • Archive
  • Articles
  • Information
    • For Authors
    • For Reviewers
    • For Librarians
    • For Advertisers
    • Conferences
  • Language Editing
Login Register Submit
  • This site uses cookies
  • You can change your cookie settings at any time by following the instructions in our Cookie Policy. To find out more, you may read our Privacy Policy.

    I agree
Search articles by DOI, keyword, author or affiliation
Search
Advanced Search
presentation
Oncology Letters
Join Editorial Board Propose a Special Issue
Print ISSN: 1792-1074 Online ISSN: 1792-1082
Journal Cover
February-2026 Volume 31 Issue 2

Full Size Image

Sign up for eToc alerts
Recommend to Library

Journals

International Journal of Molecular Medicine

International Journal of Molecular Medicine

International Journal of Molecular Medicine is an international journal devoted to molecular mechanisms of human disease.

International Journal of Oncology

International Journal of Oncology

International Journal of Oncology is an international journal devoted to oncology research and cancer treatment.

Molecular Medicine Reports

Molecular Medicine Reports

Covers molecular medicine topics such as pharmacology, pathology, genetics, neuroscience, infectious diseases, molecular cardiology, and molecular surgery.

Oncology Reports

Oncology Reports

Oncology Reports is an international journal devoted to fundamental and applied research in Oncology.

Experimental and Therapeutic Medicine

Experimental and Therapeutic Medicine

Experimental and Therapeutic Medicine is an international journal devoted to laboratory and clinical medicine.

Oncology Letters

Oncology Letters

Oncology Letters is an international journal devoted to Experimental and Clinical Oncology.

Biomedical Reports

Biomedical Reports

Explores a wide range of biological and medical fields, including pharmacology, genetics, microbiology, neuroscience, and molecular cardiology.

Molecular and Clinical Oncology

Molecular and Clinical Oncology

International journal addressing all aspects of oncology research, from tumorigenesis and oncogenes to chemotherapy and metastasis.

World Academy of Sciences Journal

World Academy of Sciences Journal

Multidisciplinary open-access journal spanning biochemistry, genetics, neuroscience, environmental health, and synthetic biology.

International Journal of Functional Nutrition

International Journal of Functional Nutrition

Open-access journal combining biochemistry, pharmacology, immunology, and genetics to advance health through functional nutrition.

International Journal of Epigenetics

International Journal of Epigenetics

Publishes open-access research on using epigenetics to advance understanding and treatment of human disease.

Medicine International

Medicine International

An International Open Access Journal Devoted to General Medicine.

Journal Cover
February-2026 Volume 31 Issue 2

Full Size Image

Sign up for eToc alerts
Recommend to Library

  • Article
  • Citations
    • Cite This Article
    • Download Citation
    • Create Citation Alert
    • Remove Citation Alert
    • Cited By
  • Similar Articles
    • Related Articles (in Spandidos Publications)
    • Similar Articles (Google Scholar)
    • Similar Articles (PubMed)
  • Download PDF
  • Download XML
  • View XML
Case Report Open Access

Metastatic urothelial carcinoma of the urethra and glans penis with reported implantation via the urine: A case report

  • Authors:
    • Piotr Kalinowski
    • Paweł Nalej
    • Beata Grochulska‑Nalazek
    • Tomasz Kalinowski
    • Tomasz Demkow
    • Olga Kuczkiewicz‑Siemion
    • Roman Romaniuk
  • View Affiliations / Copyright

    Affiliations: Department of Urogenital Cancer, Maria Skłodowska‑Curie National Research Institute of Oncology, 02‑781 Warsaw, Poland, Department of Pathology and Laboratory Diagnostics, Maria Skłodowska‑Curie National Research Institute of Oncology, 02‑781 Warsaw, Poland
    Copyright: © Kalinowski et al. This is an open access article distributed under the terms of Creative Commons Attribution License.
  • Article Number: 91
    |
    Published online on: December 31, 2025
       https://doi.org/10.3892/ol.2025.15444
  • Expand metrics +
Metrics: Total Views: 0 (Spandidos Publications: | PMC Statistics: )
Metrics: Total PDF Downloads: 0 (Spandidos Publications: | PMC Statistics: )
Cited By (CrossRef): 0 citations Loading Articles...

This article is mentioned in:



Abstract

Urothelial carcinoma accounts for the vast majority of diagnosed bladder cancer cases. Urothelial carcinoma is prone to recurrence and metastasis despite complete resection of the lesions. The present case report describes a patient who underwent cystoprostatectomy due to a diagnosis of recurrent bladder cancer, with a penile lesion found several years after surgery. A partial penectomy was performed and the subsequent histopathology result showed urothelial carcinoma of the urethra and the epithelium of the glans and foreskin nested by micturition. The present case is an extremely rare incidence of the spread of cancer through the urine. To date, only a few such cases have been reported in the literature.

Introduction

Bladder cancer is the seventh most commonly diagnosed cancer in men worldwide and the tenth most common in both sexes, with ~550,000 new cases each year (1–4). The most common location of cancer in the urinary tract is the bladder. Histologically, urothelial carcinoma is the most common type of bladder cancer. According to the European Association of Urology, urothelial carcinoma accounts for >90% of all bladder cancer cases (1). Bladder cancer is a heterogeneous disease and represents a spectrum of lesions with varying degrees of malignancy. Urothelial bladder cancer is more common in developed countries. Additionally, mortality rates are the highest in certain parts of Europe and North Africa, and lowest in Asia, Central America and Central Africa (1–3). Urothelial bladder cancer is known to be linked to several major risk factors, such as cigarette use, infections with the parasite Schistosoma haematobium and occupational contact with chemicals such as aromatic amines and polycyclic aromatic hydrocarbons (1–3). After radical treatment of bladder cancer, metastases are diagnosed in up to 50% of patients and are typically found within the first 2–3 years after surgery. Local and distant recurrences have a poor prognosis (1,3–7). Penile metastasis is extremely rare and is typically considered a late sign of disease dissemination (3–7). The primary source of penile metastasis is typically the genitourinary tract, and less commonly the gastrointestinal tract (4–7).

Case report

A 65-year-old man visited the oncology clinic of the Maria Skłodowska-Curie National Research Institute of Oncology in Warsaw (Poland) in January 2024 due to periodic bleeding from a suspicious lesion on the foreskin and glans penis near the external urethral orifice. The lesion was noticed and observed by the patient for ~6 months. The patient was chronically treated for type 2 diabetes, osteoarthritis, CNS vascular dementia and irritable bowel syndrome. The patient was taking two permanent medications: Betaserc (24 mg once a day_ for the treatment of vertigo and Metformax (500 mg twice a day) to manage diabetes mellitus. Historically, the patient had undergone an appendectomy. As for the family history, it was found that the patient's sister had died of colon cancer.

The patient had presented to a urology clinic in Prof. Witold Orłowski Clinical Hospital (Warsaw, Poland) due to hematuria 15 years earlier. According to the medical history provided by the patient, from 2019 the patient underwent multiple transurethral resection of bladder tumor (TURBT) procedures due to recurrent urothelial non-muscle-invasive bladder cancer. Due to the patient receiving treatment at another hospital, it is not possible to determine the exact number of TURBT procedures performed or the location of the resected lesions during the procedures. Due to recurrent pTa low-grade bladder cancer, the patient was offered and subsequently qualified for Bacillus Calmette-Guérin live-attenuated bacteria intravesical vaccine (so called BCG therapy), which ultimately failed and resulted in recurrence. After another TURBT, the histopathological examination revealed pTa high-grade (HG) bladder cancer, leading to the discontinuation of infusions. Meanwhile, in 2019 and at the same urology clinic, with the use of a transrectal biopsy, the patient was diagnosed with Gleason 6 (3+3) cT1c prostate cancer, according to the Union for International Cancer Control, Tumor, Node, Metastasis classification (8). For this reason, the patient underwent active surveillance. Due to the lack of response to BCG therapy, the concurrent diagnosis of prostate cancer and a marked functional impairment of the bladder manifested by increased lower urinary tract symptoms that originated from poor tolerance to BCG therapy, the patient qualified for cystoprostatectomy.

In October 2020, a radical cystoprostatectomy with urinary diversion using Bricker's method was performed at the urology center in Prof. Witold Orłowski Clinical Hospital. The histopathology result following this procedure revealed pTa HG N0 R0 urothelial carcinoma of the bladder and Gleason 7 (3+4) pT2 N0 R0 prostate cancer. The patient did not undergo urethrectomy during cystoprostatectomy due to the lack of previously diagnosed tumor in situ. Additionally, the documentation provided by the patient did not describe the location of the lesions in the bladder neck and prostatic urethra, which would be an indication for ureterectomy. During the follow-up after bladder and prostate removal surgery, no recurrence was found via imaging studies up to 36 months post-surgery. During a visit to an oncologist at the Maria Skłodowska-Curie National Research Institute of Oncology (Warsaw, Poland) in October 2023, a computed tomography (CT) of the chest, abdomen and pelvis was performed, which indicated no signs of local recurrence or metastatic changes in the abdominal cavity and pelvis. Hyperdense fatty tissue in the penile region was observed and it was noted that further diagnosis by magnetic resonance imaging should be considered. No lymphadenopathy was found. The patient only provided a description of the examination and therefore images are not shown here. At the urology visit scheduled by the oncologist in October 2023 at the Maria Skłodowska-Curie National Research Institute of Oncology, the patient was in good general condition, with good circulatory and respiratory function and no enlarged peripheral lymph nodes. The urostomy was draining normal urine. Red exophytic lesions suspected of malignancy were found on the foreskin and anterior surface of the penile glans. The patient was not diagnosed with phimosis. There were no enlarged palpable lymph nodes in the inguinal area on either side.

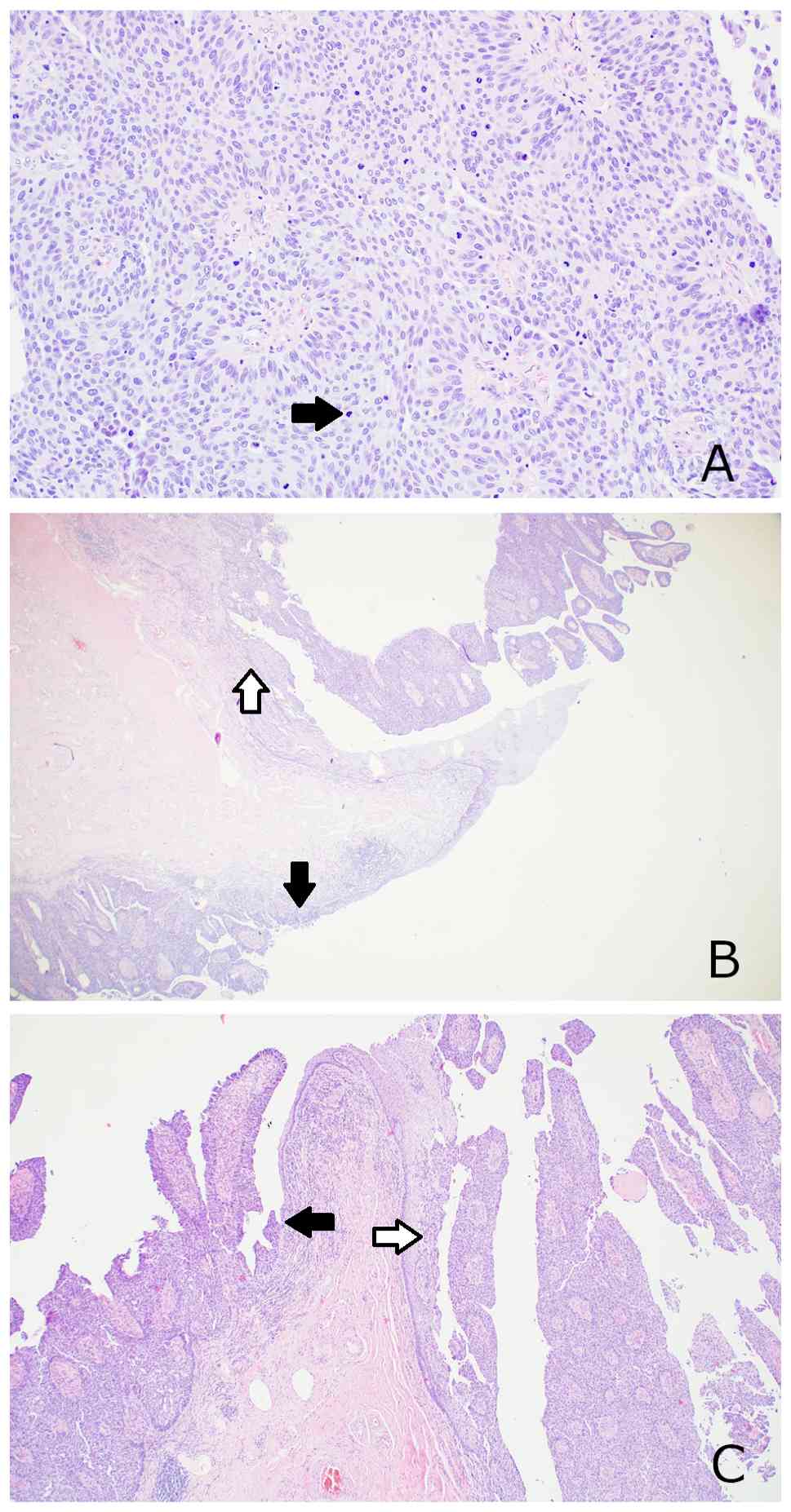
After a urological consultation at Maria Skłodowska-Curie National Research Institute of Oncology in February 2024, due to the macroscopic appearance of the lesions on the glans penis, the patient qualified for and underwent a partial penectomy. The surgical specimen was fixed in 10% neutrally buffered formalin at room temperature (20–30°C) for 24 h. Then, the representative samples were paraffin-embedded, sliced into 4 µm thick sections, stained with hematoxylin and eosin (Mar-Four) at room temperature for 6–10 min and examined using conventional light microscopy. Immunohistochemistry was performed on formalin-fixed, paraffin-embedded tissue sections (3 µm). Slides were deparaffinized in xylene and rehydrated through graded ethanol to water. Heat-induced epitope retrieval was carried out using EnVision™ FLEX Target Retrieval Solution on a Dako Omnis or Autostainer Link 48 platform with PT Link (preheat/cool 65°C, incubation 20 min at 97°C; Dako; Agilent Technologies, Inc.) or Cell Conditioning 1 buffer for 64 min at 95°C on a BenchMark ULTRA automated stainer (Roche Tissue Diagnostics), according to the manufacturers' protocols. Endogenous peroxidase activity was blocked with the system-specific peroxidase-blocking reagent, then ready-to-use or diluted primary antibodies were applied and incubated at room temperature (list of markers; clones, dilutions and suppliers are summarized in Table I). Antibody binding was visualized using a polymer-based HRP/DAB detection system (EnVision™ FLEX, Dako, Agilent Technologies, Inc. or UltraView DAB IHC Detection Kit, Roche Tissue Diagnostics). Slides were counterstained with hematoxylin (~5 min), dehydrated, cleared and mounted in a permanent, non-aqueous medium. All immunostained slides were evaluated using conventional light microscopy. The pathology report demonstrated high-grade urothelial carcinoma (papillary configuration and architectural disorder and enlarged pleomorphic oval shaped hyperchromatic nuclei, with prominent nucleoli and frequent mitotic figures) of the urethra with focal underlying connective tissue invasion (Fig. 1A and B). There was no direct connection between the squamous epithelium lesion and the urethral tumor (Fig. 1C). No angioinvasion or perineural invasion was identified. Immunohistochemically, tumor cells showed strong diffuse expression of GATA binding protein 3 and cytokeratin 7 (Fig. 2), focal expression of S100 calcium binding protein P (Fig. 3A), no expression of p16 (Fig. 3B) or cytokeratin 20 (Fig. 4A) and upregulation of p53 (Fig. 4B). The proliferation index defined by the expression of Ki-67 (MIB-1) was high (in ~70% of tumor cells) (Fig. 4C). Furthermore, a field of non-invasive carcinoma was found within the glans and foreskin epithelium, presenting the same morphology and immunohistochemical profile as the urethral tumor. We consider that the aforementioned microscopic description should be interpreted as urothelial carcinoma implantation into the glans and foreskin epithelium, most likely due to the migration of neoplastic cells originating from the bladder or urethra tumor via urine.

Typical high grade urothelial
carcinoma morphology. (A) Neoplasm with papillary configuration and
architectural disorder, enlarged pleomorphic oval shaped
hyperchromatic nuclei, with prominent nucleoli and frequent mitotic
figures; black arrow (hematoxylin and eosin stain; magnification,
×200). (B) Gland penis with visible border between high grade
urothelial carcinoma of the external meatus of the urethra (black
arrow) and implantation of urothelial carcinoma within squamous
epithelium (white arrow) (hematoxylin and eosin stain;
magnification, ×20). (C) Visible border between non-invasive high
grade urothelial carcinoma of the urethra and normal squamous
epithelium of the glans penis (black arrow). Further within the
epithelium, morphologically identical urothelial carcinoma was
observed replacing normal squamous epithelium of the glans penis
surface (white arrow). There is no direct connection between the
urethral carcinoma and the glans penis surface (hematoxylin and
eosin stain; magnification ×40).

Figure 1.

Typical high grade urothelial carcinoma morphology. (A) Neoplasm with papillary configuration and architectural disorder, enlarged pleomorphic oval shaped hyperchromatic nuclei, with prominent nucleoli and frequent mitotic figures; black arrow (hematoxylin and eosin stain; magnification, ×200). (B) Gland penis with visible border between high grade urothelial carcinoma of the external meatus of the urethra (black arrow) and implantation of urothelial carcinoma within squamous epithelium (white arrow) (hematoxylin and eosin stain; magnification, ×20). (C) Visible border between non-invasive high grade urothelial carcinoma of the urethra and normal squamous epithelium of the glans penis (black arrow). Further within the epithelium, morphologically identical urothelial carcinoma was observed replacing normal squamous epithelium of the glans penis surface (white arrow). There is no direct connection between the urethral carcinoma and the glans penis surface (hematoxylin and eosin stain; magnification ×40).

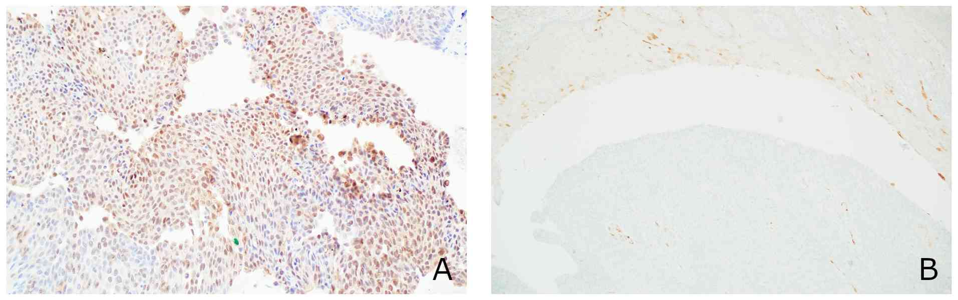
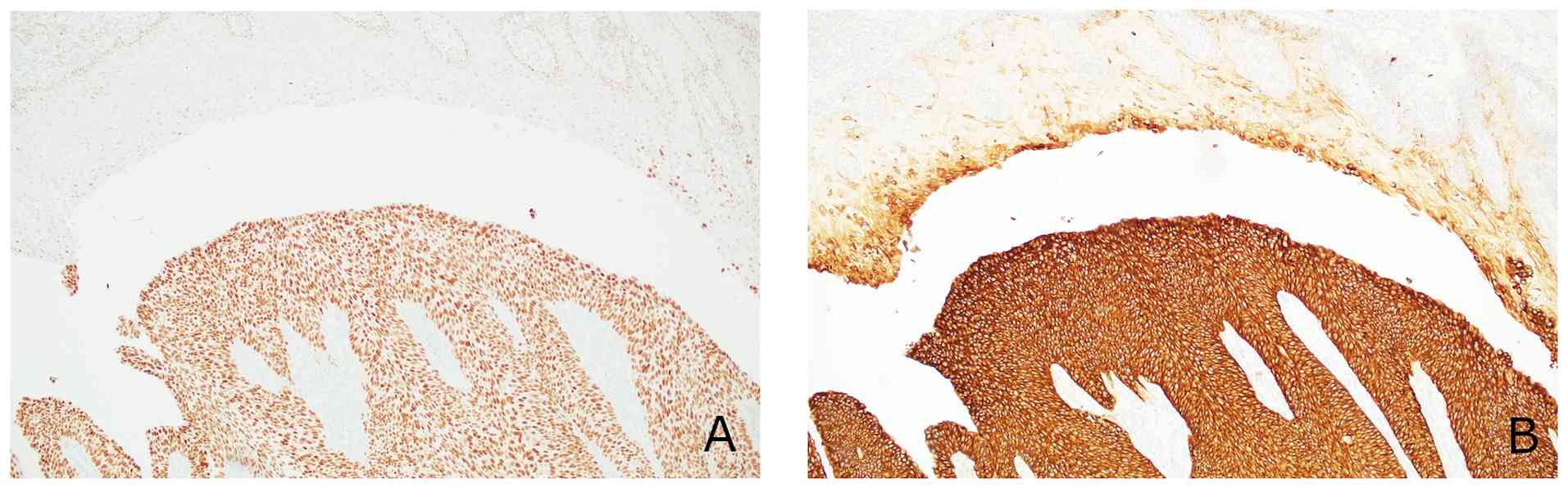
(A) Strong nuclear GATA binding
protein 3 staining in the urethral tumor, with negative staining in
the normal squamous epithelium of the glans penis (magnification,
×100). (B) Cytoplasmic cytokeratin 7 staining in the urethral
tumor, with negative staining in the normal squamous epithelium of
the glans penis (magnification, ×100).

Figure 2.

(A) Strong nuclear GATA binding protein 3 staining in the urethral tumor, with negative staining in the normal squamous epithelium of the glans penis (magnification, ×100). (B) Cytoplasmic cytokeratin 7 staining in the urethral tumor, with negative staining in the normal squamous epithelium of the glans penis (magnification, ×100).

(A) Positive S100 calcium binding
protein P (nuclear) staining in majority of tumor cells
(magnification, ×200). (B) Negative p16 staining in all tumor
cells, compared with normal squamous epithelium (magnification,
×100).

Figure 3.

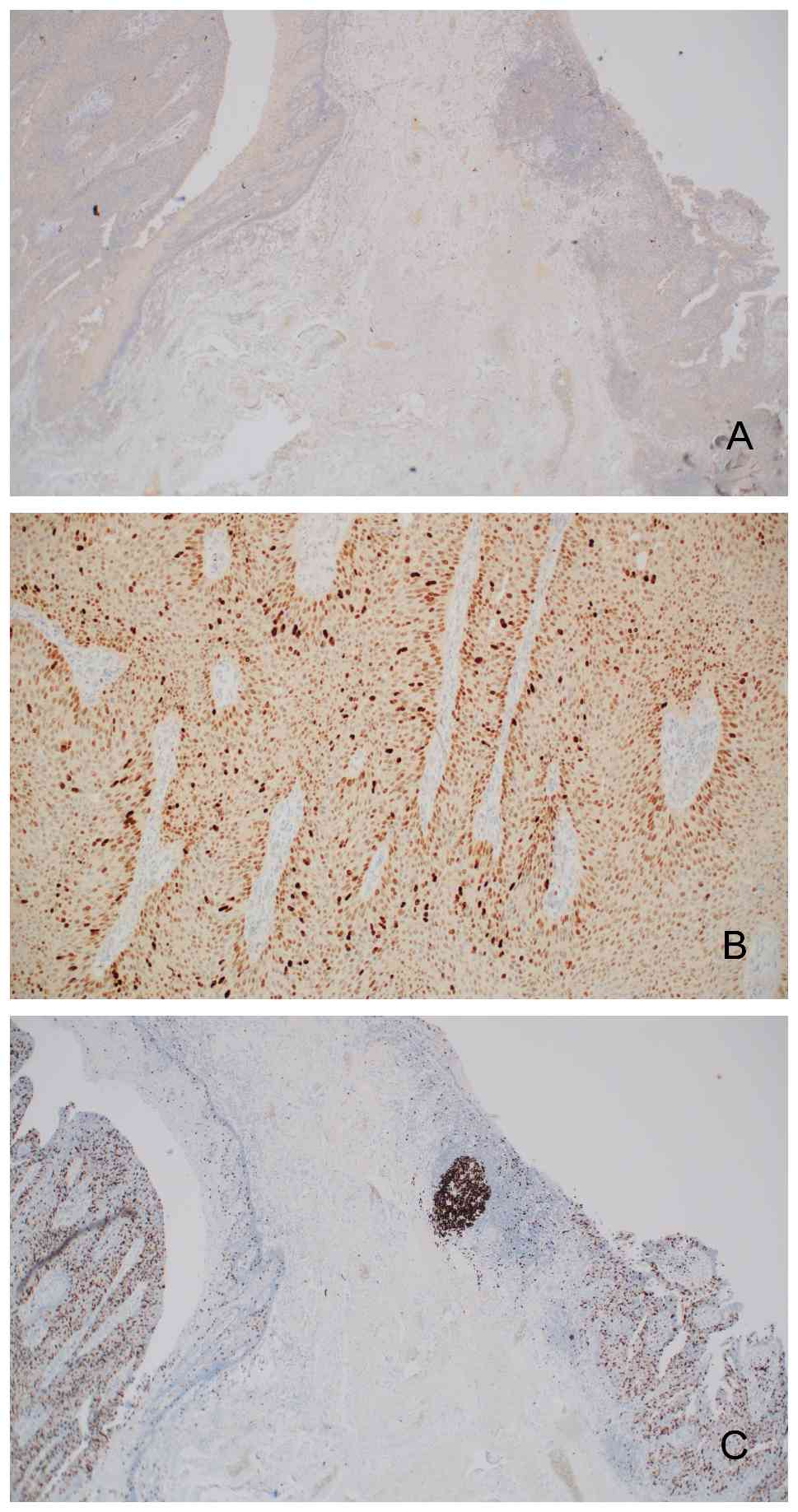
(A) Positive S100 calcium binding protein P (nuclear) staining in majority of tumor cells (magnification, ×200). (B) Negative p16 staining in all tumor cells, compared with normal squamous epithelium (magnification, ×100).

(A) Negative cytokeratin 20 staining
in tumor cells and normal squamous epithelium (magnification, ×40).
(B) Upregulation of p53 in urothelial carcinoma (magnification,
×100). (C) High proliferation index indicated by Ki-67 staining in
tumor cells compared with normal squamous epithelium
(magnification, ×40).

Figure 4.

(A) Negative cytokeratin 20 staining in tumor cells and normal squamous epithelium (magnification, ×40). (B) Upregulation of p53 in urothelial carcinoma (magnification, ×100). (C) High proliferation index indicated by Ki-67 staining in tumor cells compared with normal squamous epithelium (magnification, ×40).

Table I.

Details of immunohistochemical staining.

Table I.

Details of immunohistochemical staining.

ProteinCat. no.CloneDilutionSupplierPlatform
CK7IR619OV-TL 12/30Ready to useDako (Agilent Technologies, Inc.)Autostainer
GATA37107749001L50-823Ready to useRoche DiagnosticsVentana BenchMark
S100P0652393500116/f51:500Roche DiagnosticsManual
Ki-67GA626MIB-1Ready to useDako (Agilent Technologies, Inc.)Omnis
p53M7001D-07Ready to useDako (Agilent Technologies, Inc.)Omnis
p1606695248001E6H4Ready to useRoche DiagnosticsVentana BenchMark
CK20IR777Ks20.8Ready to useDako (Agilent Technologies, Inc.)Autostainer

[i] CK, cytokeratin; GATA3, GATA binding protein 3; S100P, S100 calcium binding protein P.

After receiving the histopathology results, the patient qualified for urethroscopy and diagnostic dissemination. On April 10, 2024, the patient underwent a follow-up urethroscopy, during which the urethra was found to be normal. Therefore, no specimens were collected for histopathology examination. Macroscopically, the physical examination also showed no suspicious changes in the penile stump. CT scans of the chest, abdomen and pelvis revealed no lesions of recurrent disease or distant metastases. The patient had three follow-up visits by August 2025 during which no recurrence of the disease was found.

Discussion

Urothelial carcinoma is a major histological subtype that accounts for nearly 90% of the diagnosed cases of bladder cancer (1–3). The incidence and prevalence of urothelial carcinoma increases with age, peaking in the eighth decade of life (1). Risk factors for developing urothelial carcinoma include age, sex (men are 3–4 times more likely than women to develop this type of cancer), smoking (which accounts for at least half of all cases), exposure to environmental toxins, inflammation and infection of the bladder, genetic predisposition and exposure to radiation and chemotherapy (1–4). The main symptom of urothelial carcinoma is gross hematuria (especially with clots) or hematuria. Less common symptoms include bladder inflammation, difficulty urinating or frequent urination. Some urothelial carcinomas are detected incidentally on imaging studies, such as ultrasound or CT, performed for unrelated reasons. The prognosis of urothelial carcinoma varies and depends on a number of factors, such as tumor size, number of lesions found by cystoscopy, T category in the TNM staging, tumor grade and coexisting carcinoma in situ (1). Patients undergoing cystectomy require long-term monitoring for recurrence. Distant spread of bladder cancer typically occurs through lymphatic pathways. The finding of metastasis in the lymph nodes serves as a key element in establishing the survival prognosis of patients and dictates the requirement for treatment (1,4). The basic mechanisms by which metastases can spread to the skin include direct invasion from an underlying tumor, implantation from a surgical scar and spreading via the lymphatic system or blood vessels (1,5–7,9–13). Distant relapse affects ~50% of patients and is generally detected within 24 months following operation. The most frequent sites for these recurrences are the lymph nodes located above the aortic split, the pulmonary tissue, the hepatic system and the bones (1,5,9).

The occurrence of metastatic lesions in the penile region is a very rare phenomenon and is typically associated with the spread of cancer via the blood vessels. Typically, the first symptom of penile metastatic lesions is a palpable penile lump or mass (51%), priapism (27%), lower urinary tract symptoms (27%), penile pain (17%), urinary retention (13%) and skin changes such as redness or ulceration on the penis (11%) (5–7,9,14). Although penile metastasis can be a late sign of cancer progression and spread, systemic treatment (chemotherapy and immunotherapy) can improve the prognosis of patients (6,8,9,14). Other therapeutic options for lesions located on the penis include conservative treatment, partial or total penectomy, radiation therapy or systemic treatment. In most cases, due to local advancement and/or evidence of spread, chemotherapy or palliative care is the only treatment option for these patients (5,7,9,14). In cases of uncontrolled local symptoms, such as untreatable pain or bleeding, palliative surgery (partial or total penectomy) may be advised (14).

It is possible for urothelial carcinoma cells to implant along the urinary tract during micturition (10,12); however, implantation of the tumor into the foreskin and the epithelium of the glans is extremely rare (5). The uniqueness of the present case lies not only in this rare localization, but also in the fact that the patient had undergone cystoprostatectomy and therefore no longer had a bladder. In such circumstances, any implantation with urine should be located in the Bricker loop or urostomy. An alternative hypothesis for the neoplastic changes that occurred in the patient's urethra and foreskin may be the iatrogenic transfer of cancer cells to the glans penis via surgical instruments or gloves. However, we consider this unlikely in the present case due to the high standards of sterility maintained during the procedures and the 3-year period from cystoprostatectomy until the tumor recurrence was confirmed. The lack of CT images and pathology from the diagnosis and treatment of the patient prior to the occurrence of metastases to the glans penis may be considered a limitation of the present case report. However, recurrence of the disease associated with the transfer of tumor cells within urine therefore confirms the high malignancy of urothelial carcinoma and the need for close observation of patients after radical treatment to detect disease recurrence or dissemination. In terms of the upper urinary tract, there is a hypothesis that cancer cells located in the upper sections, such as the renal pelvis or ureter, may nest in the bladder while not being present in the lower parts of the ureter (1,4). To the best of our knowledge, there is no data to suggest that the presence of a tumor in the distal part of the urethra guarantees the presence of a tumor in the proximal part of the urethra; however, in each case, the entire urethra should be examined. In patients who have undergone cystoprostatectomy or cystectomy with Bricker urinary diversion for oncological reasons, a physical examination of the penis should not be overlooked. In cases where the tumor location in the preceding TURBT was in the bladder neck or near the proximal part of the urethra, it would be reasonable to consider performing follow-up urethroscopy for more accurate monitoring of the oncological disease. This would improve the detection of potential urothelial cancer recurrences and the patient's quality of life. At present, increasingly more treatments are available for the disease in the generalized stage, prolonging the lives of patients and enabling them to achieve long-term remissions. Although the location of metastatic lesions in the penis is encountered occasionally, any occurrence of urethral bleeding should be diagnosed and the penis should be evaluated to exclude this location of metastatic lesions. Men with a history of bladder cancer should be aware of the possibility of penile metastasis.

Acknowledgements

Not applicable.

Funding

Funding: No funding was received.

Availability of data and materials

The data generated in the present study may be requested from the corresponding author.

Authors' contributions

PK wrote the manuscript, collected data, and made substantial contributions to the conception and design of the study. PK and TK performed the operation, provided tissues that could be used as material for the study and were involved in the acquisition of data. OKS and RR carried out the histopathological and microscopic examinations of the tissue, acquired data and made substantial contributions to data interpretation. PK and TD made significant contributions to the conception and content of the manuscript. PN and BGN made substantial contributions to the discussion section, and were responsible for the analysis and interpretation of the data presented in the case report. TK and TD confirm the authenticity of all the raw data. All authors read and approved the final version of the manuscript.

Ethics approval and consent to participate

The patient provided written informed consent for participation in the study. The informed consent procedures were in compliance with The Declaration of Helsinki.

Patient consent for publication

The patient provided written informed consent for the publication of any data and accompanying images.

Competing interests

The authors declare that they have no competing interests.

References

1 

van der Heijden AG, Bruins HM, Carrion A, Cathomas R, Compérat E, Dimitropoulos K, Efstathiou JA, Fietkau R, Kailavasan M, Lorch A, et al: EAU Guidelines on Muscle-invasive and Metastatic Bladder Cancer. European Association of Urology Guidelines on Muscle-invasive and Metastatic Bladder Cancer: Summary of the 2025 Guidelines. Eur Urol. 87:582–600. 2025. View Article : Google Scholar : PubMed/NCBI

2 

Bray F, Ferlay J, Soerjomataram I, Siegel RL, Torre LA and Jemal A: Global cancer statistics 2018: GLOBOCAN estimates of incidence and mortality worldwide for 36 cancers in 185 countries. CA Cancer J Clin. 68:394–424. 2018.PubMed/NCBI

3 

Chavan S, Bray F, Lortet-Tieulent J, Goodman M and Jemal A: International variations in bladder cancer incidence and mortality. Eur Urol. 66:59–73. 2014. View Article : Google Scholar : PubMed/NCBI

4 

Mari A, Campi R, Tellini R, Gandaglia G, Albisinni S, Abufaraj M, Hatzichristodoulou G, Montorsi F, van Velthoven R, Carini M, et al: Patterns and predictors of recurrence after open radical cystectomy for bladder cancer: A comprehensive review of the literature. World J Urol. 36:157–170. 2018. View Article : Google Scholar : PubMed/NCBI

5 

Polanco-Pujol L, Caño-Velasco J, Moralejo-Garate M, Bataller-Monfort V, Subirá-Ríos D and Hernández FC: Penile metastasis from urothelial carcinoma: Review of literature. Arch Esp Urol. 74:208–214. 2021.PubMed/NCBI

6 

Yu T, Cui X, Liang N, Wu S and Lin C: Postoperative metachronous metastasis of bladder cancer to penis: A case report. Arch Esp Urol. 76:622–626. 2023. View Article : Google Scholar : PubMed/NCBI

7 

Sönmez NC, Coşkun B, Arisan S, Güney S and Dalkılıç A: Early penile metastasis from primary bladder cancer as the first systemic manifestation: A case report. Cases J. 2:72812009. View Article : Google Scholar : PubMed/NCBI

8 

Brierley JD, Gospodarowicz MK and Wittekind C: TNM Classification of Malignant Tumours. 8th edition. John Wiley & Sons Ltd.; Oxford: 2017

9 

Guvel S, Kilinc F, Torun D, Egilmez T and Ozkardes H: Malignant priapism secondary to bladder cancer. J Androl. 24:499–500. 2003. View Article : Google Scholar : PubMed/NCBI

10 

Weeratunga GN: Cutaneous metastatic implantation of ureteric urothelial carcinoma to the glans and prepuce. Urol Case Rep. 47:1023392023.PubMed/NCBI

11 

Ogiso S, Maeno A, Yamashita M, Souma T, Nakamura K and Okuno H: Micturitional disturbance due to labial adhesion as a cause of vaginal implantation of bladder urothelial carcinoma. Int J Urol. 13:1454–1455. 2006. View Article : Google Scholar : PubMed/NCBI

12 

Makino T, Kitagawa Y and Namiki M: Metastatic urothelial carcinoma of the prepuce and glans penis: Suspected implantation of non-muscle-invasive bladder cancer via urine. Case Rep Oncol. 7:509–512. 2014. View Article : Google Scholar : PubMed/NCBI

13 

Miyamoto T, Ikehara A, Araki M, Akaeda T and Mihara M: Cutaneous metastatic carcinoma of the penis: Suspected metastasis implantation from a bladder tumor. J Urol. 163:15192000. View Article : Google Scholar : PubMed/NCBI

14 

European Association of Urology (EAU), . ASCO Guidelines on Penile Cancer. EAU Central Office; Arnhem: 2025, https://uroweb.org/guidelines/penile-cancerAugust 8–2025

Related Articles

  • Abstract
  • View
  • Download
  • Twitter
Copy and paste a formatted citation
Spandidos Publications style
Kalinowski P, Nalej P, Grochulska‑Nalazek B, Kalinowski T, Demkow T, Kuczkiewicz‑Siemion O and Romaniuk R: Metastatic urothelial carcinoma of the urethra and glans penis with reported implantation via the urine: A case report. Oncol Lett 31: 91, 2026.
APA
Kalinowski, P., Nalej, P., Grochulska‑Nalazek, B., Kalinowski, T., Demkow, T., Kuczkiewicz‑Siemion, O., & Romaniuk, R. (2026). Metastatic urothelial carcinoma of the urethra and glans penis with reported implantation via the urine: A case report. Oncology Letters, 31, 91. https://doi.org/10.3892/ol.2025.15444
MLA
Kalinowski, P., Nalej, P., Grochulska‑Nalazek, B., Kalinowski, T., Demkow, T., Kuczkiewicz‑Siemion, O., Romaniuk, R."Metastatic urothelial carcinoma of the urethra and glans penis with reported implantation via the urine: A case report". Oncology Letters 31.2 (2026): 91.
Chicago
Kalinowski, P., Nalej, P., Grochulska‑Nalazek, B., Kalinowski, T., Demkow, T., Kuczkiewicz‑Siemion, O., Romaniuk, R."Metastatic urothelial carcinoma of the urethra and glans penis with reported implantation via the urine: A case report". Oncology Letters 31, no. 2 (2026): 91. https://doi.org/10.3892/ol.2025.15444
Copy and paste a formatted citation
x
Spandidos Publications style
Kalinowski P, Nalej P, Grochulska‑Nalazek B, Kalinowski T, Demkow T, Kuczkiewicz‑Siemion O and Romaniuk R: Metastatic urothelial carcinoma of the urethra and glans penis with reported implantation via the urine: A case report. Oncol Lett 31: 91, 2026.
APA
Kalinowski, P., Nalej, P., Grochulska‑Nalazek, B., Kalinowski, T., Demkow, T., Kuczkiewicz‑Siemion, O., & Romaniuk, R. (2026). Metastatic urothelial carcinoma of the urethra and glans penis with reported implantation via the urine: A case report. Oncology Letters, 31, 91. https://doi.org/10.3892/ol.2025.15444
MLA
Kalinowski, P., Nalej, P., Grochulska‑Nalazek, B., Kalinowski, T., Demkow, T., Kuczkiewicz‑Siemion, O., Romaniuk, R."Metastatic urothelial carcinoma of the urethra and glans penis with reported implantation via the urine: A case report". Oncology Letters 31.2 (2026): 91.
Chicago
Kalinowski, P., Nalej, P., Grochulska‑Nalazek, B., Kalinowski, T., Demkow, T., Kuczkiewicz‑Siemion, O., Romaniuk, R."Metastatic urothelial carcinoma of the urethra and glans penis with reported implantation via the urine: A case report". Oncology Letters 31, no. 2 (2026): 91. https://doi.org/10.3892/ol.2025.15444
Follow us
  • Twitter
  • LinkedIn
  • Facebook
About
  • Spandidos Publications
  • Careers
  • Cookie Policy
  • Privacy Policy
How can we help?
  • Help
  • Live Chat
  • Contact
  • Email to our Support Team