Spandidos Publications Logo
  • About
    • About Spandidos
    • Aims and Scopes
    • Abstracting and Indexing
    • Editorial Policies
    • Reprints and Permissions
    • Job Opportunities
    • Terms and Conditions
    • Contact
  • Journals
    • All Journals
    • Oncology Letters
      • Oncology Letters
      • Information for Authors
      • Editorial Policies
      • Editorial Board
      • Aims and Scope
      • Abstracting and Indexing
      • Bibliographic Information
      • Archive
    • International Journal of Oncology
      • International Journal of Oncology
      • Information for Authors
      • Editorial Policies
      • Editorial Board
      • Aims and Scope
      • Abstracting and Indexing
      • Bibliographic Information
      • Archive
    • Molecular and Clinical Oncology
      • Molecular and Clinical Oncology
      • Information for Authors
      • Editorial Policies
      • Editorial Board
      • Aims and Scope
      • Abstracting and Indexing
      • Bibliographic Information
      • Archive
    • Experimental and Therapeutic Medicine
      • Experimental and Therapeutic Medicine
      • Information for Authors
      • Editorial Policies
      • Editorial Board
      • Aims and Scope
      • Abstracting and Indexing
      • Bibliographic Information
      • Archive
    • International Journal of Molecular Medicine
      • International Journal of Molecular Medicine
      • Information for Authors
      • Editorial Policies
      • Editorial Board
      • Aims and Scope
      • Abstracting and Indexing
      • Bibliographic Information
      • Archive
    • Biomedical Reports
      • Biomedical Reports
      • Information for Authors
      • Editorial Policies
      • Editorial Board
      • Aims and Scope
      • Abstracting and Indexing
      • Bibliographic Information
      • Archive
    • Oncology Reports
      • Oncology Reports
      • Information for Authors
      • Editorial Policies
      • Editorial Board
      • Aims and Scope
      • Abstracting and Indexing
      • Bibliographic Information
      • Archive
    • Molecular Medicine Reports
      • Molecular Medicine Reports
      • Information for Authors
      • Editorial Policies
      • Editorial Board
      • Aims and Scope
      • Abstracting and Indexing
      • Bibliographic Information
      • Archive
    • World Academy of Sciences Journal
      • World Academy of Sciences Journal
      • Information for Authors
      • Editorial Policies
      • Editorial Board
      • Aims and Scope
      • Abstracting and Indexing
      • Bibliographic Information
      • Archive
    • International Journal of Functional Nutrition
      • International Journal of Functional Nutrition
      • Information for Authors
      • Editorial Policies
      • Editorial Board
      • Aims and Scope
      • Abstracting and Indexing
      • Bibliographic Information
      • Archive
    • International Journal of Epigenetics
      • International Journal of Epigenetics
      • Information for Authors
      • Editorial Policies
      • Editorial Board
      • Aims and Scope
      • Abstracting and Indexing
      • Bibliographic Information
      • Archive
    • Medicine International
      • Medicine International
      • Information for Authors
      • Editorial Policies
      • Editorial Board
      • Aims and Scope
      • Abstracting and Indexing
      • Bibliographic Information
      • Archive
  • Articles
  • Information
    • Information for Authors
    • Information for Reviewers
    • Information for Librarians
    • Information for Advertisers
    • Conferences
  • Language Editing
Spandidos Publications Logo
  • About
    • About Spandidos
    • Aims and Scopes
    • Abstracting and Indexing
    • Editorial Policies
    • Reprints and Permissions
    • Job Opportunities
    • Terms and Conditions
    • Contact
  • Journals
    • All Journals
    • Biomedical Reports
      • Information for Authors
      • Editorial Policies
      • Editorial Board
      • Aims and Scope
      • Abstracting and Indexing
      • Bibliographic Information
      • Archive
    • Experimental and Therapeutic Medicine
      • Information for Authors
      • Editorial Policies
      • Editorial Board
      • Aims and Scope
      • Abstracting and Indexing
      • Bibliographic Information
      • Archive
    • International Journal of Epigenetics
      • Information for Authors
      • Editorial Policies
      • Editorial Board
      • Aims and Scope
      • Abstracting and Indexing
      • Bibliographic Information
      • Archive
    • International Journal of Functional Nutrition
      • Information for Authors
      • Editorial Policies
      • Editorial Board
      • Aims and Scope
      • Abstracting and Indexing
      • Bibliographic Information
      • Archive
    • International Journal of Molecular Medicine
      • Information for Authors
      • Editorial Policies
      • Editorial Board
      • Aims and Scope
      • Abstracting and Indexing
      • Bibliographic Information
      • Archive
    • International Journal of Oncology
      • Information for Authors
      • Editorial Policies
      • Editorial Board
      • Aims and Scope
      • Abstracting and Indexing
      • Bibliographic Information
      • Archive
    • Medicine International
      • Information for Authors
      • Editorial Policies
      • Editorial Board
      • Aims and Scope
      • Abstracting and Indexing
      • Bibliographic Information
      • Archive
    • Molecular and Clinical Oncology
      • Information for Authors
      • Editorial Policies
      • Editorial Board
      • Aims and Scope
      • Abstracting and Indexing
      • Bibliographic Information
      • Archive
    • Molecular Medicine Reports
      • Information for Authors
      • Editorial Policies
      • Editorial Board
      • Aims and Scope
      • Abstracting and Indexing
      • Bibliographic Information
      • Archive
    • Oncology Letters
      • Information for Authors
      • Editorial Policies
      • Editorial Board
      • Aims and Scope
      • Abstracting and Indexing
      • Bibliographic Information
      • Archive
    • Oncology Reports
      • Information for Authors
      • Editorial Policies
      • Editorial Board
      • Aims and Scope
      • Abstracting and Indexing
      • Bibliographic Information
      • Archive
    • World Academy of Sciences Journal
      • Information for Authors
      • Editorial Policies
      • Editorial Board
      • Aims and Scope
      • Abstracting and Indexing
      • Bibliographic Information
      • Archive
  • Articles
  • Information
    • For Authors
    • For Reviewers
    • For Librarians
    • For Advertisers
    • Conferences
  • Language Editing
Login Register Submit
  • This site uses cookies
  • You can change your cookie settings at any time by following the instructions in our Cookie Policy. To find out more, you may read our Privacy Policy.

    I agree
Search articles by DOI, keyword, author or affiliation
Search
Advanced Search
presentation
Oncology Letters
Join Editorial Board Propose a Special Issue
Print ISSN: 1792-1074 Online ISSN: 1792-1082
Journal Cover
March-2026 Volume 31 Issue 3

Full Size Image

Sign up for eToc alerts
Recommend to Library

Journals

International Journal of Molecular Medicine

International Journal of Molecular Medicine

International Journal of Molecular Medicine is an international journal devoted to molecular mechanisms of human disease.

International Journal of Oncology

International Journal of Oncology

International Journal of Oncology is an international journal devoted to oncology research and cancer treatment.

Molecular Medicine Reports

Molecular Medicine Reports

Covers molecular medicine topics such as pharmacology, pathology, genetics, neuroscience, infectious diseases, molecular cardiology, and molecular surgery.

Oncology Reports

Oncology Reports

Oncology Reports is an international journal devoted to fundamental and applied research in Oncology.

Experimental and Therapeutic Medicine

Experimental and Therapeutic Medicine

Experimental and Therapeutic Medicine is an international journal devoted to laboratory and clinical medicine.

Oncology Letters

Oncology Letters

Oncology Letters is an international journal devoted to Experimental and Clinical Oncology.

Biomedical Reports

Biomedical Reports

Explores a wide range of biological and medical fields, including pharmacology, genetics, microbiology, neuroscience, and molecular cardiology.

Molecular and Clinical Oncology

Molecular and Clinical Oncology

International journal addressing all aspects of oncology research, from tumorigenesis and oncogenes to chemotherapy and metastasis.

World Academy of Sciences Journal

World Academy of Sciences Journal

Multidisciplinary open-access journal spanning biochemistry, genetics, neuroscience, environmental health, and synthetic biology.

International Journal of Functional Nutrition

International Journal of Functional Nutrition

Open-access journal combining biochemistry, pharmacology, immunology, and genetics to advance health through functional nutrition.

International Journal of Epigenetics

International Journal of Epigenetics

Publishes open-access research on using epigenetics to advance understanding and treatment of human disease.

Medicine International

Medicine International

An International Open Access Journal Devoted to General Medicine.

Journal Cover
March-2026 Volume 31 Issue 3

Full Size Image

Sign up for eToc alerts
Recommend to Library

  • Article
  • Citations
    • Cite This Article
    • Download Citation
    • Create Citation Alert
    • Remove Citation Alert
    • Cited By
  • Similar Articles
    • Related Articles (in Spandidos Publications)
    • Similar Articles (Google Scholar)
    • Similar Articles (PubMed)
  • Download PDF
  • Download XML
  • View XML

  • Supplementary Files
    • Supplementary_Data.pdf
Article Open Access

Epithelioid and spindle cell rhabdomyosarcoma of the rib with FUS‑TFCP2 fusion: A case report and literature review

  • Authors:
    • Danli Ye
    • Min Wu
    • Jiawen Zong
    • Weipeng Zeng
    • Guangning Yan
    • Juan Zhou
    • Wei Wang
  • View Affiliations / Copyright

    Affiliations: Department of Pathology, General Hospital of Southern Theater Command, People's Liberation Army of China, Guangzhou, Guangdong 510010, P.R. China, Department of Oncology, General Hospital of Southern Theater Command, People's Liberation Army of China, Guangzhou, Guangdong 510010, P.R. China
    Copyright: © Ye et al. This is an open access article distributed under the terms of Creative Commons Attribution License.
  • Article Number: 115
    |
    Published online on: January 20, 2026
       https://doi.org/10.3892/ol.2026.15468
  • Expand metrics +
Metrics: Total Views: 0 (Spandidos Publications: | PMC Statistics: )
Metrics: Total PDF Downloads: 0 (Spandidos Publications: | PMC Statistics: )
Cited By (CrossRef): 0 citations Loading Articles...

This article is mentioned in:


Abstract

Rhabdomyosarcoma (RMS) with FUS RNA binding protein‑transcription factor cellular promoter 2 (FUS‑TFCP2) fusion is categorized as a subtype of spindle cell/sclerosing RMS. The current study reports a case of rib RMS with FUS‑TFCP2 fusion in a 29‑year‑old male patient who presented with a rib mass that had existed for 3 months without causing any discomfort. A computed tomography scan revealed an occupying lesion at the second rib bone with a surrounding soft‑tissue mass, along with left cervical lymph node metastasis. Histologically, the tumor was composed of fascicles of spindle to epithelioid cells, some of which showed eccentric nuclei resembling rhabdomyoblasts. The stroma was collagenous/sclerotic and occasionally myxoid. Immunohistochemistry revealed positive expression for desmin, myoblast determination protein 1 and smooth muscle actin, with partial expression of anaplastic lymphoma kinase, pan‑CK and myogenin. Next‑generation sequencing confirmed FUS‑TFCP2 fusion and showed deletions in cyclin‑dependent kinase inhibitor (CDKN)2A and CDKN2B. Fluorescence in situ hybridization using a break‑apart probe showed a translocation of TFCP2. Left cervical lymph node metastasis was confirmed. The patient succumbed to the disease 4 months after surgery. RMS with FUS‑TFCP2 fusion is rare, highly aggressive and associated with a poor prognosis.

Introduction

Rhabdomyosarcoma (RMS) is a non-epithelial malignant tumor that differentiates into immature skeletal muscle with rhabdomyoblastic differentiation (1). The 2020 WHO classification of tumors of soft tissue and bones has introduced new subtypes of spindle cell/sclerosing RMS (SS-RMS). SS-RMS exhibit significant clinical and genetic heterogeneity. Based on molecular characteristics, SS-RMS can be further subdivided into i) congenital/infantile spindle cell RMS, which contains gene fusions involving vestigial-like family member 2, nuclear receptor coactivator 1/2 (NCOA1/2) and serum response factor (2,3); ii) ss-RMS with myogenic differentiation 1 mutations (4); and iii) intraosseous RMS with EWS RNA binding protein 1/FUS RNA binding protein-transcription factor cellular promoter 2 (EWSR1/FUS-TFCP2) fusions (collectively referred to as FET-TFCP2 fusion RMS) or Meis homeobox 1-NCOA2 fusions (5).

RMS with TFCP2 rearrangements (TFCP2-RMS) were first described in 2018 (6). The tumor consists of spindle and epithelioid cells, predominantly occurs in the craniofacial bones and most commonly affects the mandible. TFCP2-RMS exhibits positive expression of myogenic markers, including desmin, myogenin and myoblast determination protein 1 (MyoD1), positive expression of epithelial markers, such as pan-CK and epithelial membrane antigen (EMA), and anaplastic lymphoma kinase (ALK) upregulation (5). The tumor has a predilection for the craniofacial bones, particularly the jaws of young adults, and is often associated with a rapid clinical course and poor prognosis (7).

To the best of our knowledge, to date, a total of 108 cases have been reported, mainly affecting the craniofacial bones, with only 1 case occurring in the rib (8). The present study reports an additional case of TFCP2-RMS occurring in the rib and reviews the relevant literature. The aim of the present study is to enhance the understanding of this rare subtype of RMS by summarizing its clinicopathological features, immunophenotype, molecular alterations and prognosis.

Case report

Case presentation

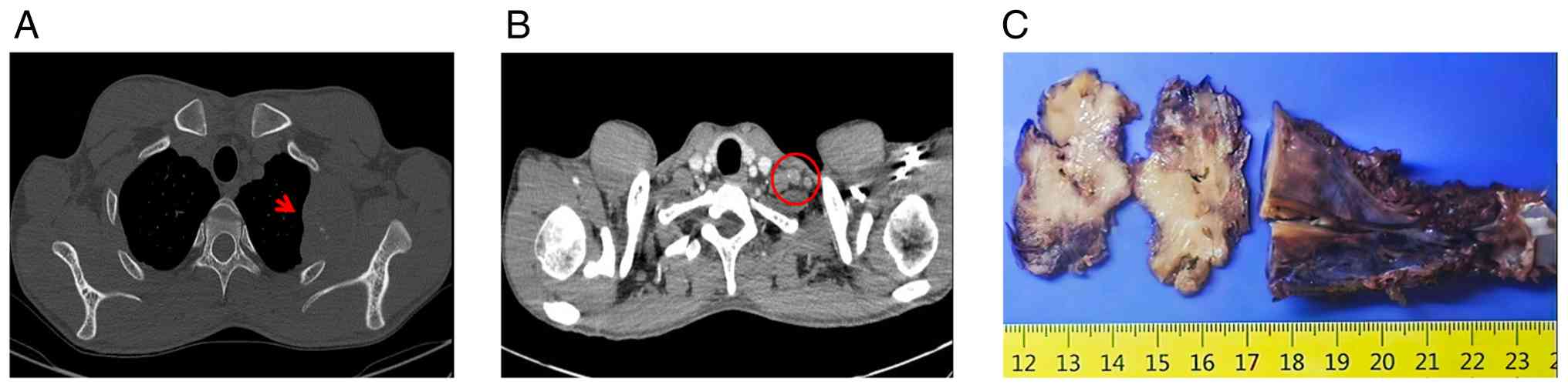
A 29-year-old male was admitted to the General Hospital of Southern Theater Command (Guangzhou, China) in June 2023 with a 3-month history of an asymptomatic rib mass. A computed tomography scan demonstrated a destructive lesion arising from the second rib bone with a surrounding soft-tissue mass, measuring ~51×40 mm in diameter. The mass showed mild enhancement after contrast, along with left cervical lymphadenopathy (Fig. 1A and B). The patient underwent surgical resection of the tumor in the left second rib and a left cervical lymph node dissection.

Imaging and gross pathological
features of the rib tumor. (A) Non-enhanced CT: Osteolytic
destruction in left second rib (red arrow) with a soft-tissue mass
(51×40 mm). (B) Contrast-enhanced CT: Lymph nodes in the left
supraclavicular fossa and axilla (largest: 20×12 mm, mild
enhancement; red circle indicates the supraclavicular node). (C)
Gross specimen: Grayish-white cut surface with firm consistency and
extensive bone destruction. CT, computed tomography.

Figure 1.

Imaging and gross pathological features of the rib tumor. (A) Non-enhanced CT: Osteolytic destruction in left second rib (red arrow) with a soft-tissue mass (51×40 mm). (B) Contrast-enhanced CT: Lymph nodes in the left supraclavicular fossa and axilla (largest: 20×12 mm, mild enhancement; red circle indicates the supraclavicular node). (C) Gross specimen: Grayish-white cut surface with firm consistency and extensive bone destruction. CT, computed tomography.

Gross examination revealed that the tumor exhibited a destructive growth pattern, with erosion of the rib and absence of normal bone tissue. The tumor appeared solid, grayish-white and firm in consistency (Fig. 1C). Microscopically, the neoplasm exhibited a biphasic population of spindled and epithelioid tumor cells. The spindled component was arranged in intersecting fascicles with focal, ill-defined storiform architecture and displayed permeative infiltration of osseous trabeculae (Fig. 2A and B). The epithelioid cells were arranged in small clusters, nests or cords, with eosinophilic cytoplasm and rhabdoid features, vesicular nuclei and prominent nucleoli (Fig. 2C and D). The tumor cells demonstrated marked cytological atypia and frequent mitotic activity. The tumor showed marked collagenous/sclerotic and occasionally myxoid stroma. The tumor cells had metastasized to the left cervical lymph nodes (Fig. 2E). Immunohistochemical analysis revealed that the tumor cells exhibited focal positivity for CK (Fig. 2F), myogenin (Fig. 2G), ALK (Fig. 2H) and S-100 (Fig. S1A). Diffuse positivity was observed for α-smooth muscle actin (SMA), myogenic differentiation 1 (MyoD1), desmin and vimentin (Fig. S1B-E). The tumor cells were negative for SRY-box transcription factor 10 (SOX-10), cyclin-dependent kinase 4 (CDK4), mouse double minute 2 (MDM2), special AT-rich sequence binding protein 2 (SATB2), friend leukaemia virus integration 1 gene (Fli-1) and cluster of differentiation 34 (CD34) proteins (Fig. S1F-K). Additionally, the expression of trimethylated histone H3 at lysine 27 (H3K27me3), Brahma-related gene 1 (BRG-1) and integrase interactor-1 (INI-1) retained intact expression (Fig. S1L-N). The Ki-67 proliferation index was approximately 30% (Fig. S1O). Next generation sequencing (NGS) revealed TFCP-FUS gene fusion and deletion of CDKN2A and CDKN2B. Fluorescence in situ hybridization (FISH) using a break-apart probe showed a translocation of TFCP2 (Fig. 2I). The patient did not receive postoperative adjuvant radiotherapy/chemotherapy due to: i) TFCP2-rearranged rhabdomyosarcoma being an extremely rare, highly aggressive subtype with no recognized standard adjuvant regimen and limited response to conventional chemotherapy; and ii) rapid postoperative deterioration of the patient's general condition precluding treatment tolerance, following full family communication. The patient succumbed 4 months after surgery.

Histopathological and molecular
features. (A) Spindle cells, arranged in fascicles infiltrating
osseous trabeculae (H&E staining; ×200 magnification). (B)
Permeative bone invasion (H&E staining; ×200 magnification).
(C) Rhabdoid cells (H&E staining; ×400 magnification). (D)
Epithelioid cells: Eosinophilic-amphophilic cytoplasm, pleomorphic
hyperchromatic nuclei (H&E staining; ×400 magnification). (E)
Cervical lymph node metastasis: Dense spindle cells (H&E
staining; ×400 magnification). (F) Pan-CK (IHC staining; ×400
magnification). (G) Myogenin (IHC staining; ×400 magnification).
(H) Anaplastic lymphoma kinase (IHC staining; ×400 magnification).
(I) Fluorescence in situ hybridization: Transcription factor
cellular promoter 2 break-apart (separation of orange/green
signals). H&E, hematoxylin and eosin; IHC,
immunohistochemistry.

Figure 2.

Histopathological and molecular features. (A) Spindle cells, arranged in fascicles infiltrating osseous trabeculae (H&E staining; ×200 magnification). (B) Permeative bone invasion (H&E staining; ×200 magnification). (C) Rhabdoid cells (H&E staining; ×400 magnification). (D) Epithelioid cells: Eosinophilic-amphophilic cytoplasm, pleomorphic hyperchromatic nuclei (H&E staining; ×400 magnification). (E) Cervical lymph node metastasis: Dense spindle cells (H&E staining; ×400 magnification). (F) Pan-CK (IHC staining; ×400 magnification). (G) Myogenin (IHC staining; ×400 magnification). (H) Anaplastic lymphoma kinase (IHC staining; ×400 magnification). (I) Fluorescence in situ hybridization: Transcription factor cellular promoter 2 break-apart (separation of orange/green signals). H&E, hematoxylin and eosin; IHC, immunohistochemistry.

Materials and methods

Hematoxylin-eosin (H&E) staining and Immunohistochemistry (IHC)

Tissue samples for conventional microscopy were processed as follows: Fixation in 10% neutral buffered formalin at 37°C for 12 h, followed by sequential routine dehydration, clearing and paraffin embedding. Following section preparation at a thickness of 4 µm, the sections were subjected to H&E staining. Briefly, after deparaffinization in xylene and rehydration through a graded ethanol series, the sections were stained with hematoxylin at room temperature for 3–8 min, differentiated in 1% acid alcohol at room temperature for several seconds, and then blued in running tap water or a weak alkaline solution at room temperature. Subsequently, the sections were counterstained with eosin Y solution at room temperature for 1–3 min. Finally, the sections were dehydrated through an ascending alcohol series, cleared in xylene and mounted with a resinous medium. The stained sections were used for subsequent microscopic observation with an Olympus BX43 upright biological light microscope (Olympus Corporation). The formalin-fixed paraffin-embedded (FFPE) tissue sections were deparaffinized and rehydrated using xylene and graded alcohols. Following antigen retrieval, sections were blocked with 10% normal goat serum (cat. no. X090710; Agilent Technologies, Inc.) at room temperature for 30 min to reduce non-specific binding. The sections were incubated overnight at 4°C with one of the following primary antibodies. Staining was performed with ready-to-use antibodies, including Pan-CK (cat. no. RTU-AE1/AE3-601-QH; QuanhHui International Trading Co., Ltd.), MyoD1 (cat. no. IHC630-7; GenomeMe Lab, Inc.), Ki67 (cat. no. ZM-0166; Beijing Zhongshan Jinqiao Biotechnology Co., Ltd.), SMA (cat. no. ZM-0003; Beijing Zhongshan Jinqiao Biotechnology Co., Ltd.), vimentin (cat. no. RTU-Vim-U9-QH; QUANHUI), SOX-10 (cat. no. ZA-0624; Beijing Zhongshan Jinqiao Biotechnology Co., Ltd.), CDK4 (cat. no. ZA-0614; Beijing Zhongshan Jinqiao Biotechnology Co., Ltd.), MDM2 (cat. no. ZM-0425; Beijing Zhongshan Jinqiao Biotechnology Co., Ltd.), SATB2 (cat. no. ZM-0163; Beijing Zhongshan Jinqiao Biotechnology Co., Ltd.), Fli-1 (cat. no. RTU-FLI-1-QH; QUANHUI), CD34 (cat. no. ZA-0550; Beijing Zhongshan Jinqiao Biotechnology Co., Ltd.), H3K27me3 (cat. no. RMA-0843; Fuzhou Maixin Biotech Co., Ltd.), BRG-1 (cat. no. ZA-0673; Beijing Zhongshan Jinqiao Biotechnology Co., Ltd.) and INI-1 (cat. no. ZA-0696; Beijing Zhongshan Jinqiao Biotechnology Co., Ltd.) on the Dako Link48 platform (Agilent Technologies, Inc.). External positive control tissues were provided for each slide to validate staining specificity. Subsequently, the sections were incubated with the secondary antibody using the ready-to-use Dako Real Envision Detection System (HRP-labeled polymer; cat. no. K5007; Agilent Technologies, Inc.) at room temperature for 30 min, and were stained using the Dako Real Envision kit (Agilent Technologies, Inc.). The sections were then observed using an Olympus BX43 upright biological light microscope.

Fluorescence in situ hybridization (FISH)

FISH was performed on 4-µm FFPE sections with a TFCP2 (12q13) break-apart probe (Guangzhou Amoytop Medical Technology Co., Ltd.) according to the manufacturer's instructions. Briefly, the procedure was as follows: 4 µm FFPE tissue sections were baked at 65°C for 12–16 h, deparaffinized in xylene and rehydrated through graded alcohols. Subsequently, the sections were boiled at 100°C for 25 min, digested with pepsin for 10 min and then dehydrated to dryness via graded alcohols. Under dark conditions, 10 µl of hybridization solution containing the probe was added to the sample area, followed by cover slipping and sealing. The sections were denatured at 85°C for 5 min and then hybridized at 37°C for 10–18 h. After hybridization, the sealing gel was removed, and the sections were washed with 0.1% NP-40/2X SSC washing buffer at 37°C to eliminate non-specific binding. Following graded alcohol dehydration and air-drying, DAPI counterstain was applied, and the sections were incubated in the dark for a short period before observation under an Olympus BX53 fluorescence microscope (Olympus Corporation). Normal interphase nuclei exhibited two red-green fused signals, whereas the presence of one red, one green and one fused signal was indicative of TFCP2 gene breakage.

DNA and RNA NGS analysis

NGS experiments were commissioned to Hybribio Biotech Co., Ltd., for execution. For sample processing, genomic DNA (gDNA) samples were prepared using the Haipu HP FFPE Tissue gDNA Extraction Kit (magnetic bead-based; catalog no. HP036; HaploX; Shenzhen HaploS Biotechnology Co., Ltd.). In the sample quality assessment stage, the integrity of processed samples was evaluated using an Agilent 4200 Bioanalyzer (Agilent Technologies, Inc.), while sample concentrations were quantified via quantitative polymerase chain reaction (qPCR). Sequencing was performed on the Illumina NovaSeq 6000 platform (Illumina Inc.), employing a paired-end 150 bp read length; the corresponding sequencing kit used was the NovaSeq 6000 S4 Reagent Kit v1.5 (300 cycles; catalog no. 20046933; Illumina, Inc.). The final library was loaded at a concentration of 1.8 nM, as quantified by qPCR. Differential gene expression analysis was performed using Cuffdiff within the Cufflinks package (version 2.2.1; http://cole-trapnell-lab.github.io/cufflinks/). Genes with differential expression defined as q<0.05 and |log2(fold change)|>0.8 were further analyzed and validated by qPCR.

Literature review

Since the first report of TFCP2-RMS in 2018, 109 cases have been reported (including the current study) (Tables I and II) (5–37). A review of the literature showed that the tumors mostly affect young adults but may also occur in elderly patients and infants. The median age of diagnosis is 33 years (range, 7–86 years). There is slight female predominance, with a female to male of 1.53:1 (66:43). The majority of cases (n=92) have an intraosseous component. A total of 66 cases (60.6%) have been located in craniofacial regions, most commonly in the mandible (n=22), while other less common sites (20.2%; n=22) include the pelvic bones, spine, ilium, pubis, femurs and ribs. The remaining 19.3% (n=21) affect the soft tissues, such as the skin (11,15,25), bladder (13,36), chest wall (6), abdominal wall (13,33), peritoneum (7), mediastinum (24) and ileum (8) (Fig. 3).

Distribution of cases for the
TFCP2-RMS for sex and location. (A) Sex distribution of patients
with TFCP2-RMS. (B) Location distribution of patients with
TFCP2-RMS. TFCP2, transcription factor cellular promoter 2; RMS,
rhabdomyosarcoma.

Figure 3.

Distribution of cases for the TFCP2-RMS for sex and location. (A) Sex distribution of patients with TFCP2-RMS. (B) Location distribution of patients with TFCP2-RMS. TFCP2, transcription factor cellular promoter 2; RMS, rhabdomyosarcoma.

Table I.

Molecular genetic features.

Table I.

Molecular genetic features.

First author, yearAge, yearsSexLocationMyogeninMyoD1DesminCKALKEMAMolecularALK gene(Refs.)
Ishiyama et al, 202358MCutaneous (scalp)+F+F+++NAF::TFusion(1)
Si et al, 202539FMandible-F+-D+D+NATNA(9)
Le Loarer et al,16FSphenoid boneF++D+++-F::T50% +(7)
202026FSacrumF+++++-F::T50% +
38FPeritoneumF+++++F+E::T50% +
32MHard palate and upper lip-+D++--E::TWT
20M Orbito-temporosphenoidF++D++--F::T<5% +
86MInguinalF+++F++-E::T100% +
18FFemur+F+D+++-E::T100% +
17FCervico-occipital junction-++NA+F+F::T100% +
31MOccipital boneF+D+D+++-F::T100% +
32MMandibleF+D++++-F::T70%
58FMandibleF++D+++-F::T70%
12FMandible++D+++F+F::T50%
11FMaxillaF++D+W+W+F+E::T<5% +
25MMandible-+-++-E::T80%
Panferova et al, 202216FMandibleF+NA+W+F+NAE::TNA(10)
Duan et al,54FLower back, skinS+++S+++F::T,T::AFusion(11)
202328MMaxilla-++++NAE::TNA
Chen et al,31FMaxilla-+P+P+F+NAE::TNA(12)
202249FMaxilla-++-F+NAE::TNA
Li et al, 20246-36,F (n=9),Head and neck3/14 b +14/14+14/14+8/14+9/14+5/14+F::T14*NA(13)
mid22M (n=5)region (n=9), (n=8),
(n=14) pelvis (n=2), bladder E::T
(n=1), pubic bone (n=6)
(n=1), abdominal wall, humerus and pubic bone (n=1)
Carrillo-26FMandible-+NA+P+NAF::TWT(14)
Ng et al, 202359FMandible-++a++-F::TWT
Demirkesen et al, 202335FScapular-skinW+++++-F::TFusion(15)
Csizmok et al, 202431MMandibleNANAF++F+-F::TDeletion(32)
Haug et al, 202355FThoracic vertebrae-++++NAE::TUpregulation(17)
Chrisinger et al,20FPelvicS+++NA+NAF::TNA(18)
202020-30FFrontal bone-+-+P+NAE::TNA
Li et al, 202330FAbdominal wall+++++-E::TWT(33)
Agaram et al, 201927MOther bone+++++NAF::TNA(5)
Koutlas et al, 202115MMandibleF++P++-NAE::TNA(19)
Dehner et al,21FSkull+++++NAF::TNA(8)
202330FMaxilla+NA++NANAF::TNA
60MRight shoulder-++++NAE::TNA
18MLeft pubic ramus+++++NAF::TNA
43FMaxilla+++++NAF::TNA
31FPosterior iliac crest-++-+NAE::TNA
41FPelvic-++NA+NAE::TNA
32FL5 vertebra-++NA+NAF::TNA
26FLeft iliac bone+++-+NAF::TNA
48FPelvicNANA+NANANAF::TNA
43MFourth rib+++-+NAF::TNA
13MMaxilla+++-NANAF::TNA
27FMaxilla+++++NAF::TNA
44MIleumNANANANANANAF::TNA
70FMandible+++--NAE::TNA
62FT7 vertebra-++NA+NAF::TNA
Xu et al, 202122MMandibleF++F+++NAF::TWT(20)
27FSkullF+++++NAE::TNA
20FMaxilla+NAF+++NAE::TNA
29MSkull++++NANAE::TWT
33FMaxilla++F+++NAE::TNA
18MSkull-NA-++NAF::TWT
40FNeck superficial soft tissue+NA+++NAF::TDeletion
43FMandibleR +++++NAF::TNA
34MMandibleNAP++--NAF::TDeletion
16MMandibleF+F+F+++NAF::TDeletion
Zhu et al, 201974cFMaxillaF+P++-+-F::TWT(16)
Silva17FMaxillaS +++NANANAF::TNA(21)
Cunha et al, 2022
Valerio et al, 202319FMandible-+F++D+-F::TDeletion(22)
Watson et al,27FChest wall+++NANANAE::TNA(6)
201827FPelvic+++NANANAF::TNA
27FSphenoid bone+++NANANAF::TNA
Chen et al, 202440FMandible-++++NAE::TNA(23)
Schöpf et al,17FIliac boneNANANANANANAF::TWT(24)
202460MMediastinumNANANANANANAE::TWT
9FMandibleNANANANANANAE::TWT
48MMaxillarNANANANANANAF::TWT
35MOccipital/nuchal soft tissue++++W+NAF::TDeletion
49FMandibleNANANANANANAF::TWT
25MShoulder soft tissueNANANANANANAE::TDeletion
14FMaxillarNANANANANANAF::TDeletion
15FTemporal/sphenoid boneNANANANANANAF::TWT
38MMaxillarNANANANANANAF::TDeletion
40FOccipital/nuchal soft tissueW+F+F+NA+NAF::TWT
58MEthmoidal cells/frontal sinusNANANANANANAE::TDeletion
Fang et al, 202413MMandible+++F++-F::TNA(34)
Machado et al, 202549FCutaneous (left lower back)F++++++F::TWT(25)
55MCutaneous (right flank)NA+F+++NAF::TWT
67MCutaneous (thoracic skin)F++F+++-F::TUpregulation
25MCutaneous (shoulder/back)+++++-E::TUpregulation, rearrangement
Flaitz, 202215FMandibleR +D+R+NA+NAF::TNA(26)
Plotzke et al, 202418MFemur-+F+++NAE::TUpregulation(35)
Zhong et al, 202426MMandible-S++++NAF::TNA(27)
Gallagher et al,58MMaxilla+++++NATNA(28)
202322MMaxillaNA++++NATNA
43FZygomatic region-++++NANANA
Tagami et al, 201970FLumbar vertebraF++F+++NAF::TNA(29)
Dashti et al, 201872MMandible+++++NAF::TUpregulation(30)
Bradova et al, 202465MSupraumbilical area soft tissuesFew+D+NAF+D++F::TNA(31)
7FMandibleNAD+Few+F+D+NAE::T,2*V::ANA
51FMaxillaNAD+NAW+D+NAF::TNA
Ma et al, 20238FBladder-++-F+NAE::TDeletion(36)
Brunac et al, 202016FCraniovertebral junction+++-+NAF::TNA(37)
Present study29MLumps in the ribsFew+++F+F++F::TNA

a The first resection specimen was desmin-negative and the second was positive.

b Immunohistochemistry for this marker was positive in 3 of the 14 patients.

c This case has been reported in both citations 16 and 20. ALK, anaplastic lymphoma kinase; EMA, epithelial membrane antigen; MyoD1, myoblast determination protein 1; CK, pan-cytokeratin; F, female; M, male; -, negative; +, positive; F+, focally+; R, rare; S, scattered; w, weak; D, diffuse; P, patchy; mid, median age; E::T, EWSR1::TFCP2; F::T, FUS::TFCP2; T, TFCP2 rearrangement; E::T,2*V::A, EWSR1ex5::TFCP2ex2, VAX2ex2::ALKex2 and VAX2intron2::ALKex2; F::T,T::A, FUS exon 6::TFCP2 exon 2 and TIMP3 exon 1::ALK exon 12; NA, not applicable.

Table II.

Clinicopathological features.

Table II.

Clinicopathological features.

First author, yearAge, yearsSexLocationCytologicalEvolutionTreatmentOutcome, time in months(Refs.)
Ishiyama et al, 202358MCutaneous (scalp)s, roLocal recur, met to lymph nodeSTAWD, 7(1)
Si et al, 202539FMandibles, eNoST, CHT, RTAWOD, 3(9)
Le Loarer et al, 202016FSphenoid bones, ePro, local recur and met femur boneST, CHTDOD, 15(7)
26FSacrumeLocal proCHTDOD, 4
38FPeritoneums, ePro and lymphangitic cardinomatosisCHTDOD, 2
32MHard palate and upper lips, eLocal proCHTDOD, 8
20M Orbito-temporo-sphenoids, eLocal proCHTDOD, 6
86MInguinals, eLocal recur and proSTDOD, 6
18FFemurs, eLocal proCHTDOD, 8
17FCervico-occipital junctionroStable with ALK inhibitorCHT, RT, Crizotinib, alectinibAWD, 15
31MOccipital bones, eLocal recur, lung metSTDOD, 6
32MMandiblesLocal recur, mandible, lung, soft tissue metST, CHTAWD, 14
58FMandibles, eNoST, CHT, RTANED, 21
12FMandibles, eNoST, CHT, RTANED, 21
11FMaxillaeLocal proCHT, RTDOD, NA
25MMandibleeNoST, CHTANED, 20
Panferova et al, 202216FMandiblesLocal recur, lymph node metST, CHT, RTDOD, 11.5(10)
Duan et al, 202354FLower back, skins, eLung metST, Crizotinib, alectinibAWOD, 11(11)
28MMaxillas, ro, eNAST, RTNA, 3
Chen et al, 202231FMaxillasLymph nodeSTAWD, 5(12)
49FMaxillas, eRecurST, RT, apatinibAWD, 32
Li et al, 20246-36,F (n=9),Head and neck regions, e(n=14)met or recur(n=12),ST, CHTDOD(n=7),(13)
mid2M (n=5)(n=9), pelvis (n=2), no (n=1),NA(n=1)(n=8);ST,AWD(n=5),
(n=14) bladder (n=1), pubic bone CHT, RTAWOD(n=1),
(n=1), abdominal wall, (n=5;CHTNA(n=1),
humerus and pubic (n=1) anti-5-37
bone (n=1) ALK c
Carrillo-Ng et al,26FMandiblesRecurST, RTAWD, 60(14)
202359FMandiblesRecurSTAWD, 22
Demirkesen et al, 202335FScapular-skins, e#(R)Local recur, met to lymph nodeST, RTAWD, 9(15)
Csizmok et al, 202431MMandibles, eLocal recur, met to lung met alectinibST, CHT, RT,DOD, 12(32)
Haug et al, 202355FThoracic vertebraes, eRecurCHT, RTDOD, 6(17)
Chrisinger et al, 202020FPelvics, e, ro, rhaMet (lung, gluteal soft tissue nodules, liver, osseous)CHT, RTDOD, 11(18)
20-30FFrontal bones, eRecur in acetabulum, iliac bone, lungST, CHT, RTDOD, 17
Li et al, 202330FAbdominal walls, eRecurST, TCMAWD, 24(33)
Agaram et al, 201927MOther bonesNANANA(5)
Koutlas et al, 202115MMandibles, eMet (lymph node, bone)ST, CHTAWD, 7(19)
Dehner et al, 202321FSkulls, eLocal recurRTAWD, 2(8)
30FMaxillas, eLocal recurST, CHT, RTDOD, 24
60MRight shoulders, eMet to lymph nodeSTNA
18MLeft pubic ramuss, eMet (lymph nodes, bone, bilateral lung, skull)CHTAWD, 3
43FMaxillas, e, rhaMet to boneCHTAWD, 24
31FPosterior iliac crests, sclMet to bonePalliative careDOD, 1
41FPelvics, sclMet to bone, lungCHT, RTAWD, 8
32FL5 vertebras, sclMet to bone, retroperitoneum, soft tissueST, CHTDOD, 15.5
26FLeft iliac bones, eMet (lung, bone, thyroid, adrenal, liver, soft tissue)CHT, RTDOD, 11
48FPelvics, sclMet to lung, bone, liverCHTDOD, 5
43MFourth ribs, eMet to soft tissue, boneCHT, RTDOD, 5
13MMaxillas, eNACHT, RTNA
27FMaxillas, eNANANA
44MIleums, e, rhaNACHTAWD, 1
70FMandibles, eNANANA
62FT7 vertebras, eNoST, CHTDOD, 34
Xu et al, 202122MMandibles, eMet to lymph nodeCHT, RTNA(20)
27FSkulls, eMet to boneNAAWD, 1
20FMaxillas, eMet to boneNANA
29MSkulls, eMet to lungNAAWD, 2
33FMaxillas, eNASTNED, 108
18MSkulls, eNANANA
40FNeck superficial soft tissues, ro, eNANANA
43FMandibles, eNACHT, RTNA
34MMandibles, e, rhaNoCHT, RTAWD, 10
16MMandibles, e, rhaRecur, met (bone, lung, lymph node)CHT, RTDOD, 20
Zhu et al, 2019;74dFMaxillas, eRecur, met to lymph nodeNADOD, 21(16)
Silva Cunha et al, 202217FMaxillas, eRecurST, CHTDOD, 9(21)
Valerio et al, 202319FMandibles, eRecurST, CHT, RT, alectinib, LorlatinibDOD, 11(22)
Watson et al, 201827FChest walleNANADOD, 5(6)
27FPelviceNANADOD, 5
27FSphenoid boneeNANADOD, 5
Chen et al, 202440FMandibles, eNoST, RTAWOD, 6(23)
Schöpf et al, 202417FIliac boneNAMet (bone, pleura, lung)ST, CHT, RT, alectinib, lorlatinibDOD, 34(24)
60MMediastinumsmet to lungST, RT, crizotinibDOD, 20
9FMandibleNALocal pro, met (lung, lymph nodes)CHTDOD, 25
48MMaxillarsMet (lung, lymph nodes, bone)ST, CHT, crizotinibDOD, 16
35MOccipital/nuchal soft tissuesRecur, met (lung, lymph nodes, malignant pleural effusion)ST, ceritinibDOD, 42
49FMandibles, e, rhaMet to lymph nodesST, CHT, RTDOD, 36
25MShoulder soft tissueeMet (lymph nodes, lung, bone)ST, RTAWD, 19
14FMaxillarNALocal proCHTDOD, 14
15FTemporal/sphenoid bones, e, rhaLocal proCHT, RTDOD, 9
38MMaxillars, e, rhaLocal relapse, NAST, CHT, RT, crizotinibDOD, 48
40FOccipital/nuchal soft tissuesLocal relapse, NASTDOD, 42
58MEthmoidal cells/frontal sinussLocal proCHT, crizotinibDOD, 33
Fang et al, 202413MMandiblesMet (vertebra and chest)ST, CHTDOD, 6(34)
Machado et al, 202549FCutaneous (left lower back)s, eNoNANED, 4(25)
55MCutaneous (riht flank)eNoST, RTNED, 49
67MCutaneous (thoracic skin)s, eLocal recurST, crizotinibNED, 50
25M Cutaneous(shoulder/back)e, rhaLymph node, met (lung and bone)ST, RTDOD, 19
Flaitz, 202215FMandibles, eNAST, CHT, RTNA(26)
Plotzke et al, 202418MFemurs, eRecur, met to bone chestST, CHTDOD, 25(35)
Zhong et al, 202426MMandibles, eLocal recurSTDOD, 6(27)
Gallagher et al, 202358MMaxillas, eNACHTDOD, 3(28)
22MMaxillas, eNANANA
43FZygomatic regions, eNANANA
Tagami et al, 201970FLumbar vertebras, ro, rhaNoCHT, RTAWD, 6(29)
Dashti et al, 201872MMandibles, eNoSTAWOD, 2(30)
Bradova et al, 202465MSupraumbilical area soft tissuesSNoSTANED, 38(31)
7FMandibles, eNoRT and CHT, crizotinibAWD, 8
51FMaxillas, eNoSTAWD, 48
Ma et al, 20238FBladdersLocal recur, met to lungST, CHTDOD, 14(36)
Brunac et al, 202016FCraniovertebral junctionroRecur, stable with ALK inhibitorST, CHT, RT, crizotinib, alectinib, lorlatinibAWD, 19(37)
Present study29MLumps in the ribss, e, rhaProSTDOD, 4

c 5 of the 14 patients received an ALK inhibitor, but the specific individuals were not specifically identified in the records.

d This case has been reported in both citations 16 and 20. F, female; M, male; s, spindle; e, epithelioid; ro, round; rha, rhabdoid; scl, sclerotic; #(R), histomorphology at recurrence; met, metastasis; pro, progression; recur, recurrence; mid, median age; CHT, chemotherapy; RT, radiotherapy; ST, surgery; TCM, traditional Chinese medicine; AWD, alive with disease; AWOD, alive without disease; ANED, alive no evidence of disease; DOD, dead of disease; NED, no evidence of disease; NA, not applicable.

Histologically, the tumors are composed of a mixture of different cellular phenotypes, including spindle cells, epithelioid cells, round cells and rhabdomyoblasts. Among the 109 cases reported in the literature (including the present case), except for 3 cases without morphological description, the most frequent pattern described is a combined spindle and epithelioid morphology (64 cases), followed by heterogeneous mixtures of two to four cell types (18 cases). Pure phenotypes include spindle cell (14 cases), epithelioid (8 cases) and round cell (2 cases).

Immunohistochemically, TFCP2-RMS invariably exhibits dual myogenic and epithelial differentiation. The myogenic compartment shows uniform, robust expression: MyoD1 (91/91; 100%), desmin (91/95; 95.8%) and myogenin (57/91; 62.6%). Epithelial commitment is reflected in diffuse, strong staining for cytokeratin (70/86; 81.4%) and EMA (13/41; 31.7%). ALK is expressed in nearly all cases (81/90; 90.0%).

Among 109 initially enrolled cases, molecular genetic testing was successfully performed on 108 cases (1 excluded due to insufficient tissue). FUS::TFCP2 fusions were identified in 67 cases (62.0%), including 1 case of dual fusion (FUS::TFCP2 and TIMP3::ALK), while EWSR1::TFCP2 fusions were detected in 38 cases (35.2%), including 1 case of triple fusion (EWSR1 exon5::TFCP2 exon2, VAX2 exon2::ALK exon2 and VAX2 intron2::ALK exon2). FISH revealed TFCP2 rearrangements with unknown partners in 3 cases (2.8%). Among 49 cases analyzed by RNA sequencing and FISH, ALK alterations included: No alterations (19/49;38.8%), focal upregulation (16/49; 32.7%), partial deletions (12/49; 24.5%) and ALK gene fusions (2/49; 4.1%).

Treatment for TFCP2-RMS primarily involves surgery, frequently supplemented with chemotherapy and/or radiotherapy. After excluding 15 undocumented cases from the literature review, 94 patients received documented treatments: 1 underwent radiation therapy, 1 received palliative care for multiple metastases, 14 had chemotherapy, 17 underwent surgery and 61 received surgery with radiotherapy and/or chemotherapy. Among these 94 patients, 19 were treated with ALK inhibitors) (7,11–13,22,24,25,31,32,37). Due to limited treatment duration and follow-up, the prognosis was unknown for 8 of these ALK-treated patients. Of the remaining 11, a subgroup of 6 experienced temporary remission before eventual disease progression, while 5 maintained stable disease while on ALK inhibitors. Follow-up information was available for 93 patients. Among the 93 patients followed up for a mean time of 34 months (median, 15 months; range, 0–108 months), 55.9% (n=52) died of the disease within a mean time of 18 months (median, 14 months; range, 1–48 months), whereas 30.1% (n=28) remained alive with disease after a mean follow-up time of 17.6 months (median, 14.5 months; range, 1–60 months), while 14.0% (n=13) were disease-free with a mean follow-up time of 27 months (median, 21 months; range, 2–108 months).

Univariate comparisons were used to statistically evaluated clinical parameters as potential predictors of overall survival (OS) in patients, using Kaplan-Meier curves and log-rank tests (Table III). The median survival time was 21 months (Fig. S2). Among the clinical parameters of sex, age, ALK status, treatment, recurrence and tumor location, patients <30 years showed the worst prognosis. Tumor location significantly impacted survival, with bone tumors arising outside the head and neck region associated with a worse prognosis. By contrast, soft-tissue tumors demonstrated no statistically significant survival difference compared with head and neck tumors (Fig. 4A). Treatment with standard chemotherapy adversely affected OS compared with surgery alone or combined modality therapy (surgery with radiotherapy and/or chemotherapy), which was potentially attributable to more advanced clinical stages at diagnosis (Fig. 4B). Patients experiencing disease recurrence also had a significantly poorer prognosis. However, no statistically significant associations were observed for sex or ALK status levels (Table III).

Overall survival analysis of patients
with rhabdomyosarcoma with transcription factor cellular promoter 2
rearrangements by Kaplan-Meier univariate analysis. (A) Comparison
of Kaplan-Meier curves for overall survival of patients stratified
by primary tumor site (bones outside the head and neck, head and
neck region, and soft tissues) (P=0.002). (B) Comparison of overall
survival Kaplan-Meier curves by treatment: Standard chemotherapy,
surgery alone, or surgery combined with radiotherapy and/or
chemotherapy (P<0.001).

Figure 4.

Overall survival analysis of patients with rhabdomyosarcoma with transcription factor cellular promoter 2 rearrangements by Kaplan-Meier univariate analysis. (A) Comparison of Kaplan-Meier curves for overall survival of patients stratified by primary tumor site (bones outside the head and neck, head and neck region, and soft tissues) (P=0.002). (B) Comparison of overall survival Kaplan-Meier curves by treatment: Standard chemotherapy, surgery alone, or surgery combined with radiotherapy and/or chemotherapy (P<0.001).

Table III.

Overall survival of selected prognostically relevant parameters.

Table III.

Overall survival of selected prognostically relevant parameters.

Concomitant variableStandard error (95% confidence interval)P-value
Sex0.423 (20.170–21.830)0.106
Age2.929 (14.258–25.742)0.011a
ALK0.423 (20.170–21.830)0.066
Treatment3.704 (121.741–27.259) <0.001a
Recurrence4.166 (11.835–28.165)0.001a
Location2.929 (14.258–25.742)0.002a

a P<0.05.

Discussion

TFCP2-RMS is an extremely rare tumor, with only 108 cases having been reported to date, to the best of our knowledge (6). The present study aims to broaden our knowledge about the biological behavior, histological characteristics, treatment and prognosis of these rare tumors.

Despite diverse histological patterns, TFCP2-RMS typically displays features of mesenchymal malignant neoplasms, including infiltrative growth, marked cellular pleomorphism, high mitotic activity and necrosis. Rhabdomyoblasts are either absent or only focally present. Immunohistochemistry is required to confirm a RMS diagnosis. Notably, desmin, MyoD1 and myogenin are positively expressed in TFCP2-RMS. Additionally, CK and ALK positivity are critical for diagnosing TFCP2-RMS (6,13).

NGS-detected homozygous loss of CDKN2A/CDKN2B simultaneously disables the two key cell-cycle brakes, retinoblastoma-associated protein and tumor protein p53 (p53), in FUS-TFCP2 RMS (38). This dual disruption may explain the rapid progression of the tumor despite only moderate Ki-67 labeling, providing both a biomarker of aggressive behavior and a rationale for CDK4/6 or p53 pathway-directed therapies.

The TFCP2 gene, also known as late SV40 factor, encodes a transcription factor CP2 (also known as late SV40 factor), and is located on human chromosome 12q13.12 (12). TFCP2 plays a critical role in DNA synthesis, cell survival and anti-apoptosis by regulating cell cycle-related genes and modulating apoptosis-related genes (such as Bcl-2 family members). Aberrant TFCP2 expression or rearrangement has been implicated in diverse cancer types, including hepatocellular, pancreatic, renal, thyroid, oral, breast, cervical and colorectal cancer, where its upregulation or gene fusion drives tumor progression and correlates with a poor prognosis (39,40). For TFCP2-RMS, TFCP2 rearrangements generate fusion proteins that further augment tumor cell proliferation and aggressiveness, which may underlie the high aggressiveness and poor prognosis of this subtype.

TFCP2-RMS, a bone-predominant sarcoma, should be differentiated from metastatic sarcomatoid carcinoma, mesenchymal chondrosarcoma, osteosarcoma, dedifferentiated chondrosarcoma and epithelioid sarcoma-like hemangioendothelioma. For soft-tissue tumors, the main differential diagnoses include epithelioid hemangioendothelioma, pseudomyogenic hemangioendothelioma, pleural malignant mesothelioma, malignant peripheral nerve sheath tumor, inflammatory myofibroblastic tumor, EWSR1-POZ/BTB and AT hook containing zinc finger 1 fusion-associated spindle and round cell sarcomas, and embryonal rhabdomyosarcoma (12).

The standard treatment regimen comprises surgery combined with chemoradiotherapy. The present survival analysis demonstrated that surgical intervention alone or in conjunction with radiotherapy resulted in significantly improved overall survival compared with chemotherapy alone, which may offer critical guidance for clinical decision-making. Despite a median overall survival time of 21 months reported in general, the present case presented with lymph node metastasis at diagnosis, which precluded chemotherapy, and the survival time was only 4 months. We hypothesize that tumors originating in the ribs may exhibit particularly aggressive biological behavior, a finding consistent with the observation that primary bone tumors at other sites are associated with shorter survival times than those in the head and neck. Notably, another rib case in the literature also demonstrated a limited survival time (5 months) despite receiving chemoradiotherapy without surgical resection (8).

In conclusion, TFCP2-RMS represents a rare and highly aggressive subtype of RMS; it predominantly involves the craniofacial bones in young males, with the present case being only the second reported example of rib origin. The unusual rib location and diffuse CK expression pose significant diagnostic challenges. Heightened recognition of its key clinicopathological features, predominance in young adults, epithelioid-spindled morphology, expression of rhabdomyoblastic markers and frequent ALK positivity, is therefore critical for accurate diagnosis. Molecular detection of TFCP2 translocation further confirms the diagnosis. Notably, bone tumors arising outside the head and neck, recurrence, standard chemotherapy use and age <30 years adversely impact overall survival time.

Supplementary Material

Supporting Data

Acknowledgements

Not applicable.

Funding

This study was supported by the Natural Science Foundation of Guangdong Province of China (grant no. 2023A1515012384) and Guangdong Provincial Medical Science and Technology Research Fund (grant no. A2023190).

Availability of data and materials

The sequencing data generated in the present study are available in the NCBI SRA under accession numbers SRP650875 (BioProject) and SRR36280525 (Run). The respective URLs are: https://trace.ncbi.nlm.nih.gov/Traces/?view=study&acc=SRP65087 and https://www.ncbi.nlm.nih.gov/sra/SRR36280525. Additional data are available from the corresponding author upon request.

Authors' contributions

DLY, MW and WW conceived and designed the study. DLY and MW wrote the manuscript. JWZ, WPZ and JZ acquired MRI and CT images, and performed immunohistochemical analysis. GNY and DLY analyzed and interpreted the results. All authors have read and approved the final manuscript. DLY, MW and WW confirm the authenticity of all the raw data.

Ethics approval and consent to participate

This study involving humans was approved by the Ethics Committee of General Hospital of Southern Theater Command, People's Liberation Army of China (Guangzhou, China; approval no. NZLLKZ2025021). The study was conducted in accordance with the local legislation and institutional requirements. The participants provided their written informed consent to participate in this study.

Patient consent for publication

Written informed consent was obtained from the patient for the case information and images to be published in the present case report.

Competing interests

The authors declare that they have no competing interests.

References

1 

Ishiyama T, Kato I, Ito J, Matsumura M, Saito K, Kawabata Y, Kato S, Takeyama M and Fujii S: Rhabdomyosarcoma with FUS::TFCP2 fusion in the scalp: A rare case report depicting round and spindle cell morphology. Int J Surg Pathol. 31:805–812. 2023. View Article : Google Scholar : PubMed/NCBI

2 

Alaggio R, Zhang L, Sung YS, Huang SC, Chen CL, Bisogno G, Zin A, Agaram NP, LaQuaglia MP, Wexler LH and Antonescu CR: A molecular study of pediatric spindle and sclerosing rhabdomyosarcoma: Identification of novel and recurrent VGLL2-related fusions in infantile cases. Am J Surg Pathol. 40:224–235. 2016. View Article : Google Scholar : PubMed/NCBI

3 

Karanian M, Pissaloux D, Gomez-Brouchet A, Chevenet C, Le Loarer F, Fernandez C, Minard V, Corradini N, Castex MP, Duc-Gallet A, et al: SRF-FOXO1 and SRF-NCOA1 fusion genes delineate a distinctive subset of well-differentiated rhabdomyosarcoma. Am J Surg Pathol. 44:607–616. 2020. View Article : Google Scholar : PubMed/NCBI

4 

Agaram NP, LaQuaglia MP, Alaggio R, Zhang L, Fujisawa Y, Ladanyi M, Wexler LH and Antonescu CR: MYOD1-mutant spindle cell and sclerosing rhabdomyosarcoma: An aggressive subtype irrespective of age. A reappraisal for molecular classification and risk stratification. Mod Pathol. 32:27–36. 2019. View Article : Google Scholar : PubMed/NCBI

5 

Agaram NP, Zhang L, Sung YS, Cavalcanti MS, Torrence D, Wexler L, Francis G, Sommerville S, Swanson D, Dickson BC, et al: Expanding the spectrum of intraosseous rhabdomyosarcoma: Correlation between 2 distinct gene fusions and phenotype. Am J Surg Pathol. 43:695–702. 2019. View Article : Google Scholar : PubMed/NCBI

6 

Watson S, Perrin V, Guillemot D, Reynaud S, Coindre JM, Karanian M, Guinebretiere JM, Freneaux P, Le Loarer F, Bouvet M, et al: Transcriptomic definition of molecular subgroups of small round cell sarcomas. J Pathol. 245:29–40. 2018. View Article : Google Scholar : PubMed/NCBI

7 

Le Loarer F, Cleven AHG, Bouvier C, Castex MP, Romagosa C, Moreau A, Salas S, Bonhomme B, Gomez-Brouchet A, Laurent C, et al: A subset of epithelioid and spindle cell rhabdomyosarcomas is associated with TFCP2 fusions and common ALK upregulation. Mod Pathol. 33:404–419. 2020. View Article : Google Scholar : PubMed/NCBI

8 

Dehner CA, Broski SM, Meis JM, Murugan P, Chrisinger JSA, Sosa C, Petersen M, Halling KC, Gupta S and Folpe AL: Fusion-driven spindle cell rhabdomyosarcomas of bone and soft tissue: A clinicopathologic and molecular genetic study of 25 cases. Mod Pathol. 36:1002712023. View Article : Google Scholar : PubMed/NCBI

9 

Si C, Wang Y and Zhu J: A rare case report of intraosseous spindle and epithelioid rhabdomyosarcoma with TFCP2 rearrangement: A pathological diagnostic conundrum and literature review. Int J Surg Pathol. 33:125–130. 2025. View Article : Google Scholar : PubMed/NCBI

10 

Panferova A, Sinichenkova KY, Abu Jabal M, Usman N, Sharlai A, Roshchin V, Konovalov D and Druy A: EWSR1-TFCP2 in an adolescent represents an extremely rare and aggressive form of intraosseous spindle cell rhabdomyosarcomas. Cold Spring Harb Mol Case Stud. 8:a0062092022. View Article : Google Scholar : PubMed/NCBI

11 

Duan FL, Yang H, Gong X, Zuo Z, Qin S, Ji J, Zhou C, Dai J, Guo P and Liu Y: Clinicopathological features of rhabdomyosarcoma with novel FET::TFCP2 and TIMP3::ALK fusion: Report of two cases and literature review. Histopathology. 82:478–484. 2023. View Article : Google Scholar : PubMed/NCBI

12 

Chen XY, Chen G, Zhu Q, Zhu WF, He C and Huang RF: Clinicopathological features of rhabdomyosarcoma with TFCP2 fusions. Zhonghua Bing Li Xue Za Zhi. 51:545–547. 2022.(In Chinese). PubMed/NCBI

13 

Li HL, Mo CH, Xie L, Wu YX, Zeng M and Mao RJ: Clinicopathological study of epithelioid and spindle cell rhabdomysarcoma with EWSR1/FUS-TFCP2 fusion. Zhonghua Bing Li Xue Za Zhi. 53:58–63. 2024.(In Chinese). PubMed/NCBI

14 

Carrillo-Ng H, Liang Y, Chang S, Afkhami M, Gernon T, Bell D and Arias-Stella JA: Complete mimicry: Rhabdomyosarcoma with FUS::TFCP2 fusion masquerading as carcinoma-diagnostic challenge and report of two cases. Genes Chromosomes Cancer. 62:430–436. 2023. View Article : Google Scholar : PubMed/NCBI

15 

Demirkesen C, Danyeli AE, Yildiz P, Ertekin SS, Yilmaz B, Karahan SI and Bahrami A: Cutaneous rhabdomyosarcoma with FUS::TFCP2 fusion: A case report emphasizing early detection. J Cutan Pathol. 50:1059–1064. 2023. View Article : Google Scholar : PubMed/NCBI

16 

Zhu G, Benayed R, Ho C, Mullaney K, Sukhadia P, Rios K, Berry R, Rubin BP, Nafa K, Wang L, et al: Diagnosis of known sarcoma fusions and novel fusion partners by targeted RNA sequencing with identification of a recurrent ACTB-FOSB fusion in pseudomyogenic hemangioendothelioma. Mod Pathol. 32:609–620. 2019. View Article : Google Scholar : PubMed/NCBI

17 

Haug L, Doll J, Appenzeller S, Kunzmann V, Rosenwald A, Maurus K and Gerhard-Hartmann E: Epithelioid and spindle cell rhabdomyosarcoma with EWSR1::TFCP2 fusion mimicking metastatic lung cancer: A case report and literature review. Pathol Res Pract. 249:1547792023. View Article : Google Scholar : PubMed/NCBI

18 

Chrisinger JSA, Wehrli B, Dickson BC, Fasih S, Hirbe AC, Shultz DB, Zadeh G, Gupta AA and Demicco EG: Epithelioid and spindle cell rhabdomyosarcoma with FUS-TFCP2 or EWSR1-TFCP2 fusion: Report of two cases. Virchows Arch. 477:725–732. 2020. View Article : Google Scholar : PubMed/NCBI

19 

Koutlas IG, Olson DR and Rawwas J: FET(EWSR1)-TFCP2 Rhabdomyosarcoma: An additional example of this aggressive variant with predilection for the gnathic bones. Head Neck Pathol. 15:374–380. 2021. View Article : Google Scholar : PubMed/NCBI

20 

Xu B, Suurmeijer AJH, Agaram NP, Zhang L and Antonescu CR: Head and neck rhabdomyosarcoma with TFCP2 fusions and ALK overexpression: A clinicopathological and molecular analysis of 11 cases. Histopathology. 79:347–357. 2021. View Article : Google Scholar : PubMed/NCBI

21 

Silva Cunha JL, Cavalcante IL, da Silva Barros CC, Alves PM, Nonaka CFW, Albuquerque AFM, de Almeida OP, de Andrade BAB and Cavalcante RB: Intraosseous rhabdomyosarcoma of the maxilla with TFCP2 fusion: A rare aggressive subtype with predilection for the gnathic bones. Oral Oncol. 130:1058762022. View Article : Google Scholar : PubMed/NCBI

22 

Valerio E, Furtado Costa JL, Perez Fraile NM, Credidio CH, Taveira Garcia MR, Neto CS and Costa FD: Intraosseous spindle Cell/Epithelioid rhabdomyosarcoma with TFCP2 rearrangement: A recent recognized subtype with partial response to alectinib. Int J Surg Pathol. 31:861–865. 2023. View Article : Google Scholar : PubMed/NCBI

23 

Chen F, Wang J, Sun Y and Zhang J: Mandibular rhabdomyosarcoma with TFCP2 rearrangement and osteogenic differentiation: A case misdiagnosed as fibrous dysplasia or low-grade central osteosarcoma. Oral Surg Oral Med Oral Pathol Oral Radiol. 137:e143–e149. 2024. View Article : Google Scholar : PubMed/NCBI

24 

Schöpf J, Uhrig S, Heilig CE, Lee KS, Walther T, Carazzato A, Dobberkau AM, Weichenhan D, Plass C, Hartmann M, et al: Multi-omic and functional analysis for classification and treatment of sarcomas with FUS-TFCP2 or EWSR1-TFCP2 fusions. Nat Commun. 15:512024. View Article : Google Scholar : PubMed/NCBI

25 

Machado I, Wardelmann E, Zhao M, Song J, Wang Y, Braun SA, Catasus L, Ferre M, Leoveanu I, Westhoff J, et al: Primary cutaneous rhabdomyosarcoma with EWSR1/FUS::TFCP2 fusion: Four new cases with distinctive morphology, immunophenotypic, and genetic profile. Virchows Arch. 486:1187–1198. 2025. View Article : Google Scholar : PubMed/NCBI

26 

Flaitz C and Hicks J: Primary Intraosseous Rhabdomyosarcoma: Rare Subtype Involving Mandible with Unique Translocation. Oral Surgery Oral Med Oral Pathol Oral Radiol. 133:1572022. View Article : Google Scholar

27 

Zhong P, Wei S, Xiao H and Zeng Y: Rhabdomyosarcoma with FUS::TFCP2 fusion in the mandible: A rare aggressive subtype, but can be misdiagnosed as ossifying fibroma. Int J Surg Pathol. 32:758–766. 2024. View Article : Google Scholar : PubMed/NCBI

28 

Gallagher KPD, Roza A, Tager E, Mariz B, Soares CD, Rocha AC, Abrahao AC, Romanach MJ, Carlos R, Hunter KD, et al: Rhabdomyosarcoma with TFCP2 rearrangement or typical Co-expression of AE1/AE3 and ALK: Report of three new cases in the head and neck region and literature review. Head Neck Pathol. 17:546–561. 2023. View Article : Google Scholar : PubMed/NCBI

29 

Tagami Y, Sugita S, Kubo T, Iesato N, Emori M, Takada K, Tsujiwaki M, Segawa K, Sugawara T, Kikuchi T and Hasegawa T: Spindle cell rhabdomyosarcoma in a lumbar vertebra with FUS-TFCP2 fusion. Pathol Res Pract. 215:1523992019. View Article : Google Scholar : PubMed/NCBI

30 

Dashti NK, Wehrs RN, Thomas BC, Nair A, Davila J, Buckner JC, Martinez AP, Sukov WR, Halling KC, Howe BM and Folpe AL: Spindle cell rhabdomyosarcoma of bone with FUS-TFCP2 fusion: Confirmation of a very recently described rhabdomyosarcoma subtype. Histopathology. 73:514–520. 2018. View Article : Google Scholar : PubMed/NCBI

31 

Bradova M, Mosaieby E, Michal M, Vanecek T, Ing SK, Grossmann P, Koshyk O, Kinkor Z, Laciok S, Nemcova A, et al: Spindle cell rhabdomyosarcomas: With TFCP2 rearrangements, and novel EWSR1::ZBTB41 and PLOD2::RBM6 gene fusions. A study of five cases and review of the literature. Histopathology. 84:776–793. 2024. View Article : Google Scholar : PubMed/NCBI

32 

Csizmok V, Grisdale CJ, Williamson LM, Lim HJ, Lee L, Renouf DJ, Jones SJM, Marra MA, Laskin J and Smrke A: Diagnostic and therapeutic implications of a FUS::TFCP2 fusion and ALK activation in a metastatic rhabdomyosarcoma. Genes Chromosomes Cancer. 63:e232592024. View Article : Google Scholar : PubMed/NCBI

33 

Li Y, Li D, Wang J and Tang J: Epithelioid and spindle rhabdomyosarcoma with TFCP2 rearrangement in abdominal wall: A distinctive entity with poor prognosis. Diagn Pathol. 18:412023. View Article : Google Scholar : PubMed/NCBI

34 

Fang Z, Duan C, Wang S, Fu L, Yang P, Yu T, Deel MD, Lau LMS, Ma X, Ni X and Su Y: Pediatric spindle cell/sclerosing rhabdomyosarcoma with FUS-TFCP2 fusion: A case report and literature review. Transl Pediatr. 13:178–191. 2024. View Article : Google Scholar : PubMed/NCBI

35 

Plotzke JM, Rabah R, Robinson DR, Edmonds A, Bloom DA, Mody R and Heider A: Primary intraosseous spindle cell rhabdomyosarcoma: A case report in an unusual location. Pediatr Dev Pathol. 27:597–602. 2024. View Article : Google Scholar : PubMed/NCBI

36 

Ma Y, Feng J, Ding D, Zhao J and Tian F: TFCP2-rearranged epithelioid and spindle cell rhabdomyosarcoma in the bladder: A rare case in an 8-year-old female child. Pediatr Blood Cancer. 70:e299352023. View Article : Google Scholar : PubMed/NCBI

37 

Brunac AC, Laprie A, Castex MP, Laurent C, Le Loarer F, Karanian M, Le Guellec S, Guillemot D, Pierron G and Gomez-Brouchet A: The combination of radiotherapy and ALK inhibitors is effective in the treatment of intraosseous rhabdomyosarcoma with FUS-TFCP2 fusion transcript. Pediatr Blood Cancer. 67:e281852020. View Article : Google Scholar : PubMed/NCBI

38 

Ginn MP, Denu RA, Ingram DR, Wani KM, Lazar AJ, Harrison DJ, Nakazawa MS, Conley AP, Patel S and Livingston JA: TFCP2 Fusion-Positive Rhabdomyosarcomas: A Report of 10 cases and a review of the literature. Cancers (Basel). 17:14412025. View Article : Google Scholar : PubMed/NCBI

39 

Kotarba G, Krzywinska E, Grabowska AI, Taracha A and Wilanowski T: TFCP2/TFCP2L1/UBP1 transcription factors in cancer. Cancer Lett. 420:72–79. 2018. View Article : Google Scholar : PubMed/NCBI

40 

Hsu WH, LaBella KA, Lin Y, Xu P, Lee R, Hsieh CE, Yang L, Zhou A, Blecher JM, Wu CJ, et al: Oncogenic KRAS drives lipofibrogenesis to promote angiogenesis and colon cancer progression. Cancer Discov. 13:2652–2673. 2023. View Article : Google Scholar : PubMed/NCBI

Related Articles

  • Abstract
  • View
  • Download
  • Twitter
Copy and paste a formatted citation
Spandidos Publications style
Ye D, Wu M, Zong J, Zeng W, Yan G, Zhou J and Wang W: <p>Epithelioid and spindle cell rhabdomyosarcoma of the rib with FUS‑TFCP2 fusion: A case report and literature review</p>. Oncol Lett 31: 115, 2026.
APA
Ye, D., Wu, M., Zong, J., Zeng, W., Yan, G., Zhou, J., & Wang, W. (2026). <p>Epithelioid and spindle cell rhabdomyosarcoma of the rib with FUS‑TFCP2 fusion: A case report and literature review</p>. Oncology Letters, 31, 115. https://doi.org/10.3892/ol.2026.15468
MLA
Ye, D., Wu, M., Zong, J., Zeng, W., Yan, G., Zhou, J., Wang, W."<p>Epithelioid and spindle cell rhabdomyosarcoma of the rib with FUS‑TFCP2 fusion: A case report and literature review</p>". Oncology Letters 31.3 (2026): 115.
Chicago
Ye, D., Wu, M., Zong, J., Zeng, W., Yan, G., Zhou, J., Wang, W."<p>Epithelioid and spindle cell rhabdomyosarcoma of the rib with FUS‑TFCP2 fusion: A case report and literature review</p>". Oncology Letters 31, no. 3 (2026): 115. https://doi.org/10.3892/ol.2026.15468
Copy and paste a formatted citation
x
Spandidos Publications style
Ye D, Wu M, Zong J, Zeng W, Yan G, Zhou J and Wang W: <p>Epithelioid and spindle cell rhabdomyosarcoma of the rib with FUS‑TFCP2 fusion: A case report and literature review</p>. Oncol Lett 31: 115, 2026.
APA
Ye, D., Wu, M., Zong, J., Zeng, W., Yan, G., Zhou, J., & Wang, W. (2026). <p>Epithelioid and spindle cell rhabdomyosarcoma of the rib with FUS‑TFCP2 fusion: A case report and literature review</p>. Oncology Letters, 31, 115. https://doi.org/10.3892/ol.2026.15468
MLA
Ye, D., Wu, M., Zong, J., Zeng, W., Yan, G., Zhou, J., Wang, W."<p>Epithelioid and spindle cell rhabdomyosarcoma of the rib with FUS‑TFCP2 fusion: A case report and literature review</p>". Oncology Letters 31.3 (2026): 115.
Chicago
Ye, D., Wu, M., Zong, J., Zeng, W., Yan, G., Zhou, J., Wang, W."<p>Epithelioid and spindle cell rhabdomyosarcoma of the rib with FUS‑TFCP2 fusion: A case report and literature review</p>". Oncology Letters 31, no. 3 (2026): 115. https://doi.org/10.3892/ol.2026.15468
Follow us
  • Twitter
  • LinkedIn
  • Facebook
About
  • Spandidos Publications
  • Careers
  • Cookie Policy
  • Privacy Policy
How can we help?
  • Help
  • Live Chat
  • Contact
  • Email to our Support Team