Spandidos Publications Logo
  • About
    • About Spandidos
    • Aims and Scopes
    • Abstracting and Indexing
    • Editorial Policies
    • Reprints and Permissions
    • Job Opportunities
    • Terms and Conditions
    • Contact
  • Journals
    • All Journals
    • Oncology Letters
      • Oncology Letters
      • Information for Authors
      • Editorial Policies
      • Editorial Board
      • Aims and Scope
      • Abstracting and Indexing
      • Bibliographic Information
      • Archive
    • International Journal of Oncology
      • International Journal of Oncology
      • Information for Authors
      • Editorial Policies
      • Editorial Board
      • Aims and Scope
      • Abstracting and Indexing
      • Bibliographic Information
      • Archive
    • Molecular and Clinical Oncology
      • Molecular and Clinical Oncology
      • Information for Authors
      • Editorial Policies
      • Editorial Board
      • Aims and Scope
      • Abstracting and Indexing
      • Bibliographic Information
      • Archive
    • Experimental and Therapeutic Medicine
      • Experimental and Therapeutic Medicine
      • Information for Authors
      • Editorial Policies
      • Editorial Board
      • Aims and Scope
      • Abstracting and Indexing
      • Bibliographic Information
      • Archive
    • International Journal of Molecular Medicine
      • International Journal of Molecular Medicine
      • Information for Authors
      • Editorial Policies
      • Editorial Board
      • Aims and Scope
      • Abstracting and Indexing
      • Bibliographic Information
      • Archive
    • Biomedical Reports
      • Biomedical Reports
      • Information for Authors
      • Editorial Policies
      • Editorial Board
      • Aims and Scope
      • Abstracting and Indexing
      • Bibliographic Information
      • Archive
    • Oncology Reports
      • Oncology Reports
      • Information for Authors
      • Editorial Policies
      • Editorial Board
      • Aims and Scope
      • Abstracting and Indexing
      • Bibliographic Information
      • Archive
    • Molecular Medicine Reports
      • Molecular Medicine Reports
      • Information for Authors
      • Editorial Policies
      • Editorial Board
      • Aims and Scope
      • Abstracting and Indexing
      • Bibliographic Information
      • Archive
    • World Academy of Sciences Journal
      • World Academy of Sciences Journal
      • Information for Authors
      • Editorial Policies
      • Editorial Board
      • Aims and Scope
      • Abstracting and Indexing
      • Bibliographic Information
      • Archive
    • International Journal of Functional Nutrition
      • International Journal of Functional Nutrition
      • Information for Authors
      • Editorial Policies
      • Editorial Board
      • Aims and Scope
      • Abstracting and Indexing
      • Bibliographic Information
      • Archive
    • International Journal of Epigenetics
      • International Journal of Epigenetics
      • Information for Authors
      • Editorial Policies
      • Editorial Board
      • Aims and Scope
      • Abstracting and Indexing
      • Bibliographic Information
      • Archive
    • Medicine International
      • Medicine International
      • Information for Authors
      • Editorial Policies
      • Editorial Board
      • Aims and Scope
      • Abstracting and Indexing
      • Bibliographic Information
      • Archive
  • Articles
  • Information
    • Information for Authors
    • Information for Reviewers
    • Information for Librarians
    • Information for Advertisers
    • Conferences
  • Language Editing
Spandidos Publications Logo
  • About
    • About Spandidos
    • Aims and Scopes
    • Abstracting and Indexing
    • Editorial Policies
    • Reprints and Permissions
    • Job Opportunities
    • Terms and Conditions
    • Contact
  • Journals
    • All Journals
    • Biomedical Reports
      • Information for Authors
      • Editorial Policies
      • Editorial Board
      • Aims and Scope
      • Abstracting and Indexing
      • Bibliographic Information
      • Archive
    • Experimental and Therapeutic Medicine
      • Information for Authors
      • Editorial Policies
      • Editorial Board
      • Aims and Scope
      • Abstracting and Indexing
      • Bibliographic Information
      • Archive
    • International Journal of Epigenetics
      • Information for Authors
      • Editorial Policies
      • Editorial Board
      • Aims and Scope
      • Abstracting and Indexing
      • Bibliographic Information
      • Archive
    • International Journal of Functional Nutrition
      • Information for Authors
      • Editorial Policies
      • Editorial Board
      • Aims and Scope
      • Abstracting and Indexing
      • Bibliographic Information
      • Archive
    • International Journal of Molecular Medicine
      • Information for Authors
      • Editorial Policies
      • Editorial Board
      • Aims and Scope
      • Abstracting and Indexing
      • Bibliographic Information
      • Archive
    • International Journal of Oncology
      • Information for Authors
      • Editorial Policies
      • Editorial Board
      • Aims and Scope
      • Abstracting and Indexing
      • Bibliographic Information
      • Archive
    • Medicine International
      • Information for Authors
      • Editorial Policies
      • Editorial Board
      • Aims and Scope
      • Abstracting and Indexing
      • Bibliographic Information
      • Archive
    • Molecular and Clinical Oncology
      • Information for Authors
      • Editorial Policies
      • Editorial Board
      • Aims and Scope
      • Abstracting and Indexing
      • Bibliographic Information
      • Archive
    • Molecular Medicine Reports
      • Information for Authors
      • Editorial Policies
      • Editorial Board
      • Aims and Scope
      • Abstracting and Indexing
      • Bibliographic Information
      • Archive
    • Oncology Letters
      • Information for Authors
      • Editorial Policies
      • Editorial Board
      • Aims and Scope
      • Abstracting and Indexing
      • Bibliographic Information
      • Archive
    • Oncology Reports
      • Information for Authors
      • Editorial Policies
      • Editorial Board
      • Aims and Scope
      • Abstracting and Indexing
      • Bibliographic Information
      • Archive
    • World Academy of Sciences Journal
      • Information for Authors
      • Editorial Policies
      • Editorial Board
      • Aims and Scope
      • Abstracting and Indexing
      • Bibliographic Information
      • Archive
  • Articles
  • Information
    • For Authors
    • For Reviewers
    • For Librarians
    • For Advertisers
    • Conferences
  • Language Editing
Login Register Submit
  • This site uses cookies
  • You can change your cookie settings at any time by following the instructions in our Cookie Policy. To find out more, you may read our Privacy Policy.

    I agree
Search articles by DOI, keyword, author or affiliation
Search
Advanced Search
presentation
Oncology Letters
Join Editorial Board Propose a Special Issue
Print ISSN: 1792-1074 Online ISSN: 1792-1082
Journal Cover
April-2026 Volume 31 Issue 4

Full Size Image

Sign up for eToc alerts
Recommend to Library

Journals

International Journal of Molecular Medicine

International Journal of Molecular Medicine

International Journal of Molecular Medicine is an international journal devoted to molecular mechanisms of human disease.

International Journal of Oncology

International Journal of Oncology

International Journal of Oncology is an international journal devoted to oncology research and cancer treatment.

Molecular Medicine Reports

Molecular Medicine Reports

Covers molecular medicine topics such as pharmacology, pathology, genetics, neuroscience, infectious diseases, molecular cardiology, and molecular surgery.

Oncology Reports

Oncology Reports

Oncology Reports is an international journal devoted to fundamental and applied research in Oncology.

Experimental and Therapeutic Medicine

Experimental and Therapeutic Medicine

Experimental and Therapeutic Medicine is an international journal devoted to laboratory and clinical medicine.

Oncology Letters

Oncology Letters

Oncology Letters is an international journal devoted to Experimental and Clinical Oncology.

Biomedical Reports

Biomedical Reports

Explores a wide range of biological and medical fields, including pharmacology, genetics, microbiology, neuroscience, and molecular cardiology.

Molecular and Clinical Oncology

Molecular and Clinical Oncology

International journal addressing all aspects of oncology research, from tumorigenesis and oncogenes to chemotherapy and metastasis.

World Academy of Sciences Journal

World Academy of Sciences Journal

Multidisciplinary open-access journal spanning biochemistry, genetics, neuroscience, environmental health, and synthetic biology.

International Journal of Functional Nutrition

International Journal of Functional Nutrition

Open-access journal combining biochemistry, pharmacology, immunology, and genetics to advance health through functional nutrition.

International Journal of Epigenetics

International Journal of Epigenetics

Publishes open-access research on using epigenetics to advance understanding and treatment of human disease.

Medicine International

Medicine International

An International Open Access Journal Devoted to General Medicine.

Journal Cover
April-2026 Volume 31 Issue 4

Full Size Image

Sign up for eToc alerts
Recommend to Library

  • Article
  • Citations
    • Cite This Article
    • Download Citation
    • Create Citation Alert
    • Remove Citation Alert
    • Cited By
  • Similar Articles
    • Related Articles (in Spandidos Publications)
    • Similar Articles (Google Scholar)
    • Similar Articles (PubMed)
  • Download PDF
  • Download XML
  • View XML
Case Report

Successful treatment with tepotinib followed by pembrolizumab in pulmonary pleomorphic carcinoma harbouring a MET exon 14 skipping mutation: A case report

  • Authors:
    • Susumu Tanaka
    • Yu Saida
    • Yumi Ando
    • Jun Arinami
    • Ryo Yamazaki
    • Tomoya Wakabayashi
    • Hiroki Watanabe
    • Kohei Kushiro
    • Ryo Suzuki
    • Naohiro Yanagimura
    • Masashi Arita
    • Miyuki Sato
    • Tomohiro Tanaka
    • Koichiro Nozaki
    • Satoshi Watanabe
    • Shuhei Kondo
    • Hajime Umezu
    • Toshiaki Kikuchi
  • View Affiliations / Copyright

    Affiliations: Department of Respiratory Medicine and Infectious Diseases, Niigata University Graduate School of Medical and Dental Sciences, Niigata 951‑8510, Japan, Division of Pathology, Niigata University Medical and Dental Hospital, Niigata 951‑8510, Japan
  • Article Number: 138
    |
    Published online on: February 12, 2026
       https://doi.org/10.3892/ol.2026.15491
  • Expand metrics +
Metrics: Total Views: 0 (Spandidos Publications: | PMC Statistics: )
Metrics: Total PDF Downloads: 0 (Spandidos Publications: | PMC Statistics: )
Cited By (CrossRef): 0 citations Loading Articles...

This article is mentioned in:


Abstract

Pulmonary pleomorphic carcinoma (PPC) is a subtype of sarcomatoid carcinoma that accounts for 0.1‑0.3% of all lung cancer cases. PPC is typically resistant to chemotherapy and radiotherapy, and no standard treatment protocols are currently established. Moreover, to the best of our knowledge, the effectiveness of the MET inhibitor tepotinib in the treatment of PPC has not yet been reported. Herein, the present study describes the case of a 75‑year‑old woman with PPC harbouring a MET exon 14 skipping mutation who was successfully treated with tepotinib as first‑line systemic therapy, followed by pembrolizumab as subsequent immune checkpoint inhibitor therapy. Although the tumour relapsed 4 months postoperatively, treatment with tepotinib resulted in a favourable response and subsequent pembrolizumab therapy achieved a durable response. This case suggests that patients with sarcomatoid carcinoma, which is generally associated with a poor prognosis, may experience improved outcomes with the use of molecular targeted therapies and immune checkpoint inhibitors.

Introduction

Pulmonary sarcomatoid carcinoma is a rare tumour that accounts for approximately 0.5% of all lung tumours (1). Pulmonary pleomorphic carcinoma (PPC), the most common subtype of pulmonary sarcomatoid carcinoma, is a poorly differentiated non-small cell lung cancer (NSCLC) that accounts for 0.1–0.3% of all lung tumours (2). Pleomorphic carcinoma is diagnosed when tumours consist exclusively of spindle and/or giant cells or when spindle and/or giant cells account for ≥10% of the total tumour (3). Therefore, to confirm the pathological diagnosis of PPC, the entire tumour needs to be evaluated via surgical resection, and a biopsy specimen is insufficient for a definitive diagnosis. This kind of tumour is highly malignant, rapidly progressing, and refractory to various therapies (4). The outcome of surgical resection is poor, with 57.1% of pN0 cases reported to have vascular invasion (5), and distant metastases is commonly detected early after surgery. The median survival time for patients with PPC is 10–12 months, with a 5-year survival rate of approximately 10%, and the response to chemotherapy is poorer than that of NSCLC (6). However, recent advances in molecular targeted therapy and immune checkpoint inhibitors (ICIs) have led to significant progress in therapeutic strategies.

MET exon 14 skipping mutations are found in approximately 3% of NSCLC cases (7). Unlike other driver gene mutations/translocations, including those in EGFR, ALK, and ROS1, the MET exon 14 skipping mutation has also been detected in older patients and smokers (7). It is characterised by the fact that it is not only found in pulmonary adenocarcinomas but also in approximately 5% of pulmonary adenosquamous carcinomas and 10–32% of pulmonary sarcomatoid carcinomas (6,8,9). Although tepotinib and capmatinib have been approved by the Food and Drug Administration (FDA) for the treatment of unresectable advanced or recurrent NSCLC with MET exon 14 skipping mutations (7,10), to our knowledge, no previous study has reported on the use of MET inhibitors in patients with pulmonary sarcomatoid carcinoma. Herein, we report the case of a patient with PPC with a MET exon 14 skipping mutation that was successfully treated with tepotinib as the primary drug and with pembrolizumab as the subsequent ICI therapy.

Case report

A 75-year-old woman with no history of smoking underwent left upper lobectomy, pulmonary angioplasty, and lymph node dissection (ND2a-2) for an approximately 4-cm mass in the left upper lobe with pulmonary artery invasion (Fig. 1A and F) in May 2022 at Niigata University Medical and Dental Hospital (Niigata, Japan). The patient had comorbidities such as hypertension, chronic kidney disease, and atrial fibrillation.

Computed tomography images over the
clinical course. (A) Primary tumour of the left upper lobe shown on
lung window. (B) Pleural dissemination of the left diaphragm at the
time of postoperative recurrence, 26 mm in diameter. (C) Pleural
dissemination of the left diaphragm decreased to 5 mm in diameter 2
months after tepotinib initiation. (D) Pleural dissemination of the
left diaphragm had grown to 93 mm in diameter prior to the
initiation of pembrolizumab. (E) Pleural dissemination of the left
diaphragm decreased to 25 mm in diameter 5 months after initiation
of pembrolizumab. (F) Primary tumour of the left upper lobe shown
on mediastinal window. (G) Left adrenal metastasis at the time of
postoperative recurrence, 21 mm in diameter. (H) Left adrenal
metastasis decreased to 12 mm in diameter 2 months after initiation
of tepotinib. (I) Size of left adrenal metastasis remained largely
unchanged, measuring 13 mm before initiation of pembrolizumab. (J)
Size of left adrenal metastasis remained unchanged, measuring 13 mm
5 months after initiation of pembrolizumab. Nab-PTX, nanoparticle
albumin-bound paclitaxel; CEA, carcinoembryonic antigen; SLX,
Sialyl Lewis X antigen; CYFRA, cytokeratin 19 fragment.

Figure 1.

Computed tomography images over the clinical course. (A) Primary tumour of the left upper lobe shown on lung window. (B) Pleural dissemination of the left diaphragm at the time of postoperative recurrence, 26 mm in diameter. (C) Pleural dissemination of the left diaphragm decreased to 5 mm in diameter 2 months after tepotinib initiation. (D) Pleural dissemination of the left diaphragm had grown to 93 mm in diameter prior to the initiation of pembrolizumab. (E) Pleural dissemination of the left diaphragm decreased to 25 mm in diameter 5 months after initiation of pembrolizumab. (F) Primary tumour of the left upper lobe shown on mediastinal window. (G) Left adrenal metastasis at the time of postoperative recurrence, 21 mm in diameter. (H) Left adrenal metastasis decreased to 12 mm in diameter 2 months after initiation of tepotinib. (I) Size of left adrenal metastasis remained largely unchanged, measuring 13 mm before initiation of pembrolizumab. (J) Size of left adrenal metastasis remained unchanged, measuring 13 mm 5 months after initiation of pembrolizumab. Nab-PTX, nanoparticle albumin-bound paclitaxel; CEA, carcinoembryonic antigen; SLX, Sialyl Lewis X antigen; CYFRA, cytokeratin 19 fragment.

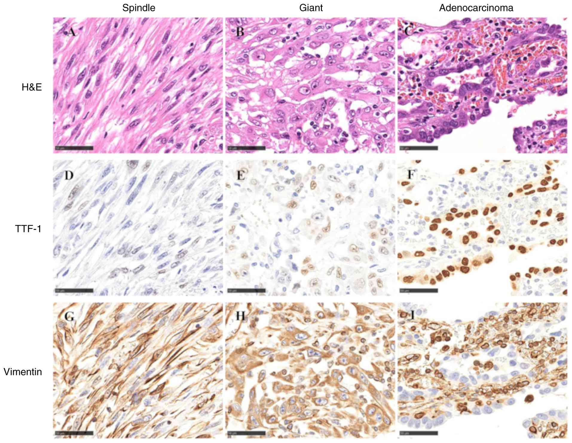
Pathological examination of the resected specimen showed the presence of PPC consisting of spindle cell carcinoma (50%), giant cell carcinoma (30%), and adenocarcinoma components (20%) (Fig. 2A-C). Immunohistochemical analysis showed that the spindle cells, giant cells, and adenocarcinoma components (Fig. 2D-F) were weakly positive, weakly positive, and positive, respectively, for thyroid transcription factor-1 (TTF-1) while they were positive, positive, and negative, respectively, for vimentin (Fig. 2G-I). For haematoxylin and eosin staining, surgically resected specimens were fixed in 10% neutral buffered formalin at room temperature for 48 h. Representative tissue samples were selected, embedded in paraffin and sectioned at a thickness of 4 µm. The sections were then deparaffinized in xylene, rehydrated through a graded series of ethanol, and stained with haematoxylin for 5 min and eosin for 2 min at room temperature. Immunohistochemical staining was performed on the 4-µm sections prepared from formalin-fixed, paraffin-embedded tissue. Briefly, antigen retrieval was carried out using citrate buffer (pH 6.0) and endogenous peroxidase blocking was performed with 3% hydrogen peroxide (cat. no. 081-04215; FUJIFILM Wako Pure Chemical Corporation) for 5 min at room temperature. The primary antibodies used were TTF-1 (1:200; for 30 min at room temperature; clone SPT24; cat. no. NCL-L-TTF-1; Leica Biosystems) and vimentin (1:1; for 30 min at room temperature; clone V9; cat. no. 718511; Nichirei Biosciences, Inc.). Histofine® Simple Stain™ MAX PO (MULTI) (1:1; for 30 min at room temperature; cat. no. 424151; Nichirei Biosciences, Inc.) was used as a secondary antibody. Immunoreactivity was visualized using 3,3′-diaminobenzidine, and nuclei were counterstained with haematoxylin. All slides were examined under a light microscope.

Histological findings of the surgical
specimens. H&E staining of (A) spindle cells component, (B)
giant cells component and (C) adenocarcinoma component.
Immunohistochemical staining for TTF-1 was (D) weakly positive in
the spindle cells component, (E) weakly positive in the giant cells
component and (F) positive in the adenocarcinoma component.
Immunohistochemical staining for Vimentin was (G) positive in
spindle cells component, (H) positive in giant cells component and
(I) negative in adenocarcinoma component. Black bar, 50 µm.
H&E, haematoxylin and eosin; TTF-1, thyroid transcription
factor-1

Figure 2.

Histological findings of the surgical specimens. H&E staining of (A) spindle cells component, (B) giant cells component and (C) adenocarcinoma component. Immunohistochemical staining for TTF-1 was (D) weakly positive in the spindle cells component, (E) weakly positive in the giant cells component and (F) positive in the adenocarcinoma component. Immunohistochemical staining for Vimentin was (G) positive in spindle cells component, (H) positive in giant cells component and (I) negative in adenocarcinoma component. Black bar, 50 µm. H&E, haematoxylin and eosin; TTF-1, thyroid transcription factor-1

According to the 8th TNM classification, the pathological stage was T2aN0M0 stage IB.

Three months postoperatively, the patient experienced left shoulder pain, and visited the hospital, with an Eastern Cooperative Oncology Group performance status of 2 owing to the pain and state of recovery postoperatively. Computed tomography (CT) showed a 26-mm nodule on the left diaphragm, which was considered to indicate pleural dissemination, bilateral adrenal metastases (right: 11 mm, left: 21 mm), and multiple bone metastases, including to the fourth cervical vertebra and left ribs (Fig. 1B and G). The CEA level was 11.9 ng/ml (normal range, ≤5.0 ng/ml), SLX level was 110 U/ml (normal range, ≤38 U/ml), and CYFRA level was 12.5 ng/ml (normal range, ≤3.5 ng/ml). Palliative radiotherapy was administered for bone metastases, with 30 Gy in 10 fractions to the fourth cervical vertebra and 20 Gy in 5 fractions to the left eighth rib.

Analysis of the resected tumour using the Oncomine™ Dx Target Test Multi CDx System with next-generation sequencing (NGS) revealed a MET exon 14 skipping mutation, with a PD-L1 expression level of >75% by PD-L1 IHC 22C3 pharm Dx Dako. As both analyses were performed as outsourced tests, the raw data were not available. In September 2022, four months after surgery, the patient was hospitalized and received tepotinib (500 mg/day) as primary drug therapy after the completion of radiotherapy. On day 10 of tepotinib treatment, the dose was reduced to 250 mg/day owing to a grade 2 creatinine increase, according to the Common Terminology Criteria for Adverse Events, version 5.0. On day 17, grade 2 liver injury occurred and tepotinib was discontinued. One week after withdrawal, both hepatic and renal functions recovered and tepotinib was restarted at 125 mg/day. Subsequently, the patient experienced no apparent adverse events.

Two months after initiating tepotinib, CT imaging showed a reduction in pleural dissemination on the left diaphragm (5 mm) and in bilateral adrenal metastases (right: 5 mm, left: 12 mm) (Fig. 1C and H), and the response was assessed as a partial response (PR).

However, 5 months after the initiation of tepotinib, a CT scan showed that although the reduction in the extent of the bilateral adrenal metastases was maintained, the pleural dissemination had progressed and the amount of left pleural effusion had increased (pleural dissemination: 93 mm, left adrenal metastasis: 13 mm, Fig. 1D and I), leading to the diagnosis of progressive disease (PD).

Consequently, the patient underwent pleural drainage and pleurodesis using talc. At the beginning of the secondary treatment, the patient was found to have inflammation in the left lower lobe, which was possibly caused by pleurodesis. Owing to concerns regarding the progression of pulmonary inflammation, ICIs were avoided. Therefore, nab-paclitaxel was administered as the second-line therapy. After the first course of nab-paclitaxel, the size of the pleural dissemination increased, accompanied by an increase in chest pain, leading to the assessment of PD. At that time, the ground-glass opacity of the left lower lobe had disappeared; therefore, pembrolizumab was started as third-line therapy. Thereafter, the left pleural dissemination shrunk and the chest pain disappeared; the response was assessed as PR (pleural dissemination: 25 mm, left adrenal metastasis: 13 mm, Fig. 1E and J). The patient had no apparent adverse events. Nine months after the initiation of pembrolizumab, the patient required palliative radiotherapy for enlargement of a left iliac metastasis. No significant disease progression was observed at other sites, and pembrolizumab treatment was successfully continued for a total of 19 months. Subsequently, the patient developed infection and heart failure. Owing to a decline in performance status, anticancer therapy was discontinued, and the patient died of primary disease 36 months after surgery at the receiving hospital.

Discussion

In the present case, PPC was pathologically diagnosed using a resected specimen and the patient experienced recurrence soon after surgery. NGS revealed a MET exon 14 skipping mutation, and PD-L1 was highly expressed. The optimal first-line therapy for MET exon 14 skipping-positive NSCLC remains undetermined, with differing recommendations across guidelines regarding whether to use a MET inhibitor or standard systemic therapy including ICI (11–13). In this case, given the patient's symptomatic condition and poor performance, a MET inhibitor was prioritized considering the expectation of a favourable response characteristic of molecularly targeted drugs. Tepotinib as a primary therapy achieved a good short-term response. Subsequently, pembrolizumab treatment resulted in a favourable long-term response.

Although tepotinib and capmatinib have been approved by the FDA and are standard therapies for NSCLC with MET exon 14 skipping mutations, little is known about their efficacy in sarcomatoid carcinoma with MET exon 14 skipping mutations. Previously, in a phase II VISION study on the use of tepotinib for treating MET exon 14 skipping mutation-positive unresectable advanced NSCLC, the overall response rate (ORR) was 46%, with a progression-free survival (mPFS) of 8.5 months and overall survival (mOS) of 17.1 months. However, the majority of the cases were adenocarcinomas, and only 1/99 cases (approximately 1%) was that of sarcoma-like NSCLC (14). Another phase II study on the use of capmatinib (GEOMETRY mono-1 study) showed an ORR of 68% and mPFS of 12.4 months in untreated patients and an ORR of 41% and mPFS of 5.4 months in previously treated patients (15). However, it was not specified whether patients with sarcomatoid carcinomas were included in this study. In contrast, a phase II study of savolitinib monotherapy in locally advanced or metastatic MET exon 14 skipping-positive NSCLC in China reported an ORR of 40% and mPFS of 5.5 months in 25 patients with pulmonary sarcomatoid carcinoma, suggesting a potential benefit in patients with pulmonary sarcomatoid carcinoma (16). Nonetheless, there are insufficient data on the effect of MET inhibitors on sarcomatoid carcinomas with MET exon 14 skipping mutations. To the best of our knowledge, this is the first report of a PPC harbouring a MET exon 14 skipping mutation that was successfully treated with tepotinib.

In recent years, research on the biological characteristics of pulmonary sarcomatoid carcinoma has progressed, and it has become clear that therapeutic intervention based on genetic mutations is as important as that in other NSCLCs. Microdissection analysis of the epithelial and sarcomatoid components of PPCs has revealed that both components harbour similar genomic alterations, including activating driver mutations (17). Therefore, even in heterogeneous cancers such as pleomorphic carcinoma, a certain effect of molecular targeted therapies can be expected when driver mutations are detected.

In our patient's case, the PFS with tepotinib was relatively shorter than that reported in studies on NSCLC with MET exon 14 skipping. Acquired resistance to the selective tepotinib in MET exon 14 skipping NSCLC involves both on-target and off-target mechanisms. On-target resistance is predominantly caused by secondary mutations in the MET kinase domain, especially at residues D1228 and Y1230, which impair drug binding and restore MET signalling despite continued tepotinib exposure. Off-target or bypass resistance mechanisms include alterations in KRAS, EGFR/HER family genes, and other downstream effectors, which reactivate proliferative signalling independent of MET inhibition (18,19). In this case, the presence of pleomorphic carcinoma, a histologic subtype known for its marked heterogeneity, may have contributed to the tumour's susceptibility to phenotypic change. In addition, the reduction of the systemic therapy dose to one-quarter of the standard level due to renal and hepatic dysfunction likely influenced the short PFS.

Pulmonary sarcomatoid carcinoma is known to be an immune-hot tumour with a high tumour mutation burden, abundant CD8+ T cell infiltration, and high expression of PD-L1 (20). For treating these tumours, ICIs such as anti-PD-1/PD-L1 and anti-CTLA-4 antibodies are expected to be effective. In fact, a previous analysis of 124 patients with advanced or metastatic pulmonary sarcomatoid carcinoma treated with ICI revealed an ORR of 59%, mPFS of 10.5 months, and mOS of 32.8 months, and 81 patients (65%) were strongly positive for PD-L1 (21). Additionally, in the analysis of 37 patients with pulmonary sarcomatoid carcinoma who were treated with ICI monotherapy as secondary treatment, an ORR of 40.5%, mPFS of 4.9 months, and mOS of 12.7 months were obtained regardless of PD-L1 expression (22). In another single-arm phase II study conducted at a Korean institution to evaluate the efficacy of durvalumab and tremelimumab in 18 patients with recurrent or metastatic pulmonary sarcomatoid carcinoma, the ORR, mPFS, and mOS were 26.7%, 5.9 months, and 15.4 months, respectively (23). In our case, PPC showed high PD-L1 expression, for which pembrolizumab led to a durable response. Thus, ICIs are gradually improving clinical outcomes of patients with sarcomatoid carcinomas such as PPC. Therefore, ICIs should be considered as key drugs for the treatment of sarcomatoid carcinoma.

This case report has several limitations. First, the patient's advanced age, poor performance status and the need for pleurodesis and palliative care during the course of treatment required careful consideration of treatment selection at each stage. In addition, dose reduction of tepotinib was necessary, which likely limited its efficacy. Given these constraints, determining the optimal first-line treatment for this case, characterized by MET exon 14 skipping mutation, high PD-L1 expression, and sarcomatoid carcinoma rather than conventional NSCLC, remains challenging. Another limitation is that a tumour re-biopsy could not be performed at the time the patient developed resistance to tepotinib because of the patient's poor performance status and the need for an urgent change in treatment, which ultimately precluded elucidation of the underlying resistance mechanism.

In conclusion, the present study describes the case of patient with PPC with a MET exon 14 skipping mutation that was treated with tepotinib and subsequently pembrolizumab therapy that led to a durable response. Therefore, sarcomatoid carcinoma, which is generally considered to have a poor prognosis, may have a better prognosis when treated with ICI and MET inhibitors. Consequently, it is critical to consider driver mutations in PPC and other pulmonary sarcomatoid carcinomas and to seize the opportunity to treat patients with these carcinomas using molecular targeted medications or ICIs.

Acknowledgements

Not applicable.

Funding

Funding: No funding was received.

Availability of data and materials

The data generated in the present study may be requested from the corresponding author.

Authors' contributions

ST contributed to conceptualization and writing the original draft. YS conceptualized the study, wrote the original draft, and reviewed and edited the manuscript. YA, JA, RY, TW, HW, KK, RS, NY, MA, MS, TT, KN and SK contributed to data collection. SW, HU and TK contributed to analysis and interpretation of the data, supervision and editing. YS, SW, and TK confirm the authenticity of all the raw data. All authors read and approved the final manuscript.

Ethics approval and consent to participate

Written informed consent was obtained from the patient, including consent to participate.

Patient consent for publication

Written informed consent was obtained from the patient, including consent for publication of the findings.

Competing interests

The authors declare that they have no competing interests.

References

1 

Steuer CE, Behera M, Liu Y, Fu C, Gillespie TW, Saba NF, Shin DM, Pillai RN, Pakkala S, Owonikoko TK, et al: Pulmonary sarcomatoid carcinoma: An analysis of the national cancer data base. Clin Lung Cancer. 18:286–292. 2017. View Article : Google Scholar : PubMed/NCBI

2 

Chang YL, Lee YC, Shih JY and Wu CT: Pulmonary pleomorphic (spindle) cell carcinoma: Peculiar clinicopathologic manifestations different from ordinary non-small cell carcinoma. Lung Cancer. 34:91–97. 2001. View Article : Google Scholar : PubMed/NCBI

3 

Nicholson AG, Tsao MS, Beasley MB, Borczuk AC, Brambilla E, Cooper WA, Dacic S, Jain D, Kerr KM, Lantuejoul S, et al: The 2021 WHO classification of lung tumors: Impact of advances since 2015. J Thorac Oncol. 17:362–387. 2022. View Article : Google Scholar : PubMed/NCBI

4 

Tamura Y, Fujiwara Y, Yamamoto N, Nokihara H, Horinouchi H, Kanda S, Goto Y, Kubo E, Kitahara S, Tsuruoka K, et al: Retrospective analysis of the efficacy of chemotherapy and molecular targeted therapy for advanced pulmonary pleomorphic carcinoma. BMC Res Notes. 8:8002015. View Article : Google Scholar : PubMed/NCBI

5 

Rossi G, Cavazza A, Sturm N, Migaldi M, Facciolongo N, Longo L, Maiorana A and Brambilla E: Pulmonary carcinomas with pleomorphic, sarcomatoid, or sarcomatous elements: A clinicopathologic and immunohistochemical study of 75 cases. Am J Surg Pathol. 27:311–324. 2003. View Article : Google Scholar : PubMed/NCBI

6 

Yuki T, Sakuma T, Ohbayashi C, Yoshimura M, Tsubota N, Okita Y and Okada M: Pleomorphic carcinoma of the lung: A surgical outcome. J Thorac Cardiovasc Surg. 134:399–404. 2007. View Article : Google Scholar : PubMed/NCBI

7 

Awad MM, Oxnard GR, Jackman DM, Savukoski DO, Hall D, Shivdasani P, Heng JC, Dahlberg SE, Jänne PA, Verma S, et al: MET Exon 14 mutations in non-small-cell lung cancer are associated with advanced age and stage-dependent MET genomic amplification and c-Met overexpression. J Clin Oncol. 34:721–730. 2016. View Article : Google Scholar : PubMed/NCBI

8 

Fishback NF, Travis WD, Moran CA, Guinee DG Jr, McCarthy WF and Koss MN: Pleomorphic (spindle/giant cell) carcinoma of the lung. A clinicopathologic correlation of 78 cases. Cancer. 73:2936–2945. 1994. View Article : Google Scholar : PubMed/NCBI

9 

Frampton GM, Ali SM, Rosenzweig M, Chmielecki J, Lu X, Bauer TM, Akimov M, Bufill JA, Lee C, Jentz D, et al: Activation of MET via diverse exon 14 splicing alterations occurs in multiple tumor types and confers clinical sensitivity to MET inhibitors. Cancer Discov. 5:850–859. 2015. View Article : Google Scholar : PubMed/NCBI

10 

Tong JH, Yeung SF, Chan AWH, Chung LY, Chau SL, Lung RWM, Tong CY, Chow C, Tin EKY, Yu YH, et al: MET amplification and exon 14 splice site mutation define unique molecular subgroups of non-small cell lung carcinoma with poor prognosis. Clin Cancer Res. 22:3048–3056. 2016. View Article : Google Scholar : PubMed/NCBI

11 

Riely GJ, Wood DE, Aisner DL, Loo BW Jr, Axtell AL, Bauman JR, Bharat A, Chang JY, Desai A, Dilling TJ, et al: NCCN guidelines® insights: Non-small cell lung cancer, version 7.2025. J Natl Compr Canc Netw. 23:354–362. 2025. View Article : Google Scholar : PubMed/NCBI

12 

Reuss JE, Kuruvilla S, Ismaila N, Azar IH, Feldman J, Furuya N, Wheatley-Price P, Roof L, Velazquez AI, Wang Y and Leighl NB: Therapy for stage IV non-small cell lung cancer with driver alterations: ASCO living guideline, version 2025.1. J Clin Oncol. 43:e31–e44. 2025. View Article : Google Scholar : PubMed/NCBI

13 

Hendriks LEL, Cortiula F, Martins-Branco D, Mariamidze E, Popat S and Reck M; ESMO Guidelines Committee. Electronic address, : simpleclinicalguidelines@esmo.org: Updated treatment recommendations for systemic treatment: From the ESMO oncogene-addicted metastatic NSCLC living guideline. Ann Oncol. 36:1227–1231. 2025. View Article : Google Scholar : PubMed/NCBI

14 

Paik PK, Felip E, Veillon R, Sakai H, Cortot AB, Garassino MC, Mazieres J, Viteri S, Senellart H, Van Meerbeeck J, et al: Tepotinib in non-small-cell lung cancer with MET exon 14 skipping mutations. N Engl J Med. 383:931–943. 2020. View Article : Google Scholar : PubMed/NCBI

15 

Wolf J, Seto T, Han JY, Reguart N, Garon EB, Groen HJM, Tan DSW, Hida T, de Jonge M, Orlov SV, et al: Capmatinib in MET exon 14-mutated or MET-amplified non-small-cell lung cancer. N Engl J Med. 383:944–957. 2020. View Article : Google Scholar : PubMed/NCBI

16 

Lu S, Fang J, Li X, Cao L, Zhou J, Guo Q, Liang Z, Cheng Y, Jiang L, Yang N, et al: Once-daily savolitinib in Chinese patients with pulmonary sarcomatoid carcinomas and other non-small-cell lung cancers harbouring MET exon 14 skipping alterations: A multicentre, single-arm, open-label, phase 2 study. Lancet Respir Med. 9:1154–1164. 2021. View Article : Google Scholar : PubMed/NCBI

17 

Nagano M, Kohsaka S, Hayashi T, Ueno T, Kojima S, Shinozaki-Ushiku A, Morita S, Tsuda M, Tanaka S, Shinohara T, et al: Comprehensive molecular profiling of pulmonary pleomorphic carcinoma. NPJ Precis Oncol. 5:572021. View Article : Google Scholar : PubMed/NCBI

18 

Fujino T, Kobayashi Y, Suda K, Koga T, Nishino M, Ohara S, Chiba M, Shimoji M, Tomizawa K, Takemoto T and Mitsudomi T: Sensitivity and resistance of MET exon 14 mutations in lung cancer to eight MET tyrosine kinase inhibitors in vitro. J Thorac Oncol. 14:1753–1765. 2019. View Article : Google Scholar : PubMed/NCBI

19 

Yao Y, Yang H, Zhu B, Wang S, Pang J, Wu X, Xu Y, Zhang J, Zhang J, Ou Q, et al: Mutations in the MET tyrosine kinase domain and resistance to tyrosine kinase inhibitors in non-small-cell lung cancer. Respir Res. 24:282023. View Article : Google Scholar : PubMed/NCBI

20 

Vieira T, Antoine M, Hamard C, Fallet V, Duruisseaux M, Rabbe N, Rodenas A, Cadranel J and Wislez M: Sarcomatoid lung carcinomas show high levels of programmed death ligand-1 (PD-L1) and strong immune-cell infiltration by TCD3 cells and macrophages. Lung Cancer. 98:51–58. 2016. View Article : Google Scholar : PubMed/NCBI

21 

Hazama D, Nakahama K, Kodama H, Miyazaki A, Azuma K, Kawashima Y, Sato Y, Ito K, Shiraishi Y, Miura K, et al: Effectiveness and safety of immune checkpoint inhibitors alone or in combination with chemotherapy in pulmonary sarcomatoid carcinoma. JTO Clin Res Rep. 5:1006132024.PubMed/NCBI

22 

Domblides C, Leroy K, Monnet I, Mazières J, Barlesi F, Gounant V, Baldacci S, Mennecier B, Toffart AC, Audigier-Valette C, et al: Efficacy of immune checkpoint inhibitors in lung sarcomatoid carcinoma. J Thorac Oncol. 15:860–866. 2020. View Article : Google Scholar : PubMed/NCBI

23 

Kim M, Keam B, Ock CY, Kim SH, Kim YJ, Lim SM, Kim JS, Kim TM, Hong SH, Ahn MS, et al: Phase II study of durvalumab and tremelimumab in pulmonary sarcomatoid carcinoma: KCSG-LU16-07. Thorac Cancer. 11:3482–3489. 2020. View Article : Google Scholar : PubMed/NCBI

Related Articles

  • Abstract
  • View
  • Download
  • Twitter
Copy and paste a formatted citation
Spandidos Publications style
Tanaka S, Saida Y, Ando Y, Arinami J, Yamazaki R, Wakabayashi T, Watanabe H, Kushiro K, Suzuki R, Yanagimura N, Yanagimura N, et al: <p>Successful treatment with tepotinib followed by pembrolizumab in pulmonary pleomorphic carcinoma harbouring a <em>MET</em> exon 14 skipping mutation: A case report</p>. Oncol Lett 31: 138, 2026.
APA
Tanaka, S., Saida, Y., Ando, Y., Arinami, J., Yamazaki, R., Wakabayashi, T. ... Kikuchi, T. (2026). <p>Successful treatment with tepotinib followed by pembrolizumab in pulmonary pleomorphic carcinoma harbouring a <em>MET</em> exon 14 skipping mutation: A case report</p>. Oncology Letters, 31, 138. https://doi.org/10.3892/ol.2026.15491
MLA
Tanaka, S., Saida, Y., Ando, Y., Arinami, J., Yamazaki, R., Wakabayashi, T., Watanabe, H., Kushiro, K., Suzuki, R., Yanagimura, N., Arita, M., Sato, M., Tanaka, T., Nozaki, K., Watanabe, S., Kondo, S., Umezu, H., Kikuchi, T."<p>Successful treatment with tepotinib followed by pembrolizumab in pulmonary pleomorphic carcinoma harbouring a <em>MET</em> exon 14 skipping mutation: A case report</p>". Oncology Letters 31.4 (2026): 138.
Chicago
Tanaka, S., Saida, Y., Ando, Y., Arinami, J., Yamazaki, R., Wakabayashi, T., Watanabe, H., Kushiro, K., Suzuki, R., Yanagimura, N., Arita, M., Sato, M., Tanaka, T., Nozaki, K., Watanabe, S., Kondo, S., Umezu, H., Kikuchi, T."<p>Successful treatment with tepotinib followed by pembrolizumab in pulmonary pleomorphic carcinoma harbouring a <em>MET</em> exon 14 skipping mutation: A case report</p>". Oncology Letters 31, no. 4 (2026): 138. https://doi.org/10.3892/ol.2026.15491
Copy and paste a formatted citation
x
Spandidos Publications style
Tanaka S, Saida Y, Ando Y, Arinami J, Yamazaki R, Wakabayashi T, Watanabe H, Kushiro K, Suzuki R, Yanagimura N, Yanagimura N, et al: <p>Successful treatment with tepotinib followed by pembrolizumab in pulmonary pleomorphic carcinoma harbouring a <em>MET</em> exon 14 skipping mutation: A case report</p>. Oncol Lett 31: 138, 2026.
APA
Tanaka, S., Saida, Y., Ando, Y., Arinami, J., Yamazaki, R., Wakabayashi, T. ... Kikuchi, T. (2026). <p>Successful treatment with tepotinib followed by pembrolizumab in pulmonary pleomorphic carcinoma harbouring a <em>MET</em> exon 14 skipping mutation: A case report</p>. Oncology Letters, 31, 138. https://doi.org/10.3892/ol.2026.15491
MLA
Tanaka, S., Saida, Y., Ando, Y., Arinami, J., Yamazaki, R., Wakabayashi, T., Watanabe, H., Kushiro, K., Suzuki, R., Yanagimura, N., Arita, M., Sato, M., Tanaka, T., Nozaki, K., Watanabe, S., Kondo, S., Umezu, H., Kikuchi, T."<p>Successful treatment with tepotinib followed by pembrolizumab in pulmonary pleomorphic carcinoma harbouring a <em>MET</em> exon 14 skipping mutation: A case report</p>". Oncology Letters 31.4 (2026): 138.
Chicago
Tanaka, S., Saida, Y., Ando, Y., Arinami, J., Yamazaki, R., Wakabayashi, T., Watanabe, H., Kushiro, K., Suzuki, R., Yanagimura, N., Arita, M., Sato, M., Tanaka, T., Nozaki, K., Watanabe, S., Kondo, S., Umezu, H., Kikuchi, T."<p>Successful treatment with tepotinib followed by pembrolizumab in pulmonary pleomorphic carcinoma harbouring a <em>MET</em> exon 14 skipping mutation: A case report</p>". Oncology Letters 31, no. 4 (2026): 138. https://doi.org/10.3892/ol.2026.15491
Follow us
  • Twitter
  • LinkedIn
  • Facebook
About
  • Spandidos Publications
  • Careers
  • Cookie Policy
  • Privacy Policy
How can we help?
  • Help
  • Live Chat
  • Contact
  • Email to our Support Team