Spandidos Publications Logo
  • About
    • About Spandidos
    • Aims and Scopes
    • Abstracting and Indexing
    • Editorial Policies
    • Reprints and Permissions
    • Job Opportunities
    • Terms and Conditions
    • Contact
  • Journals
    • All Journals
    • Oncology Letters
      • Oncology Letters
      • Information for Authors
      • Editorial Policies
      • Editorial Board
      • Aims and Scope
      • Abstracting and Indexing
      • Bibliographic Information
      • Archive
    • International Journal of Oncology
      • International Journal of Oncology
      • Information for Authors
      • Editorial Policies
      • Editorial Board
      • Aims and Scope
      • Abstracting and Indexing
      • Bibliographic Information
      • Archive
    • Molecular and Clinical Oncology
      • Molecular and Clinical Oncology
      • Information for Authors
      • Editorial Policies
      • Editorial Board
      • Aims and Scope
      • Abstracting and Indexing
      • Bibliographic Information
      • Archive
    • Experimental and Therapeutic Medicine
      • Experimental and Therapeutic Medicine
      • Information for Authors
      • Editorial Policies
      • Editorial Board
      • Aims and Scope
      • Abstracting and Indexing
      • Bibliographic Information
      • Archive
    • International Journal of Molecular Medicine
      • International Journal of Molecular Medicine
      • Information for Authors
      • Editorial Policies
      • Editorial Board
      • Aims and Scope
      • Abstracting and Indexing
      • Bibliographic Information
      • Archive
    • Biomedical Reports
      • Biomedical Reports
      • Information for Authors
      • Editorial Policies
      • Editorial Board
      • Aims and Scope
      • Abstracting and Indexing
      • Bibliographic Information
      • Archive
    • Oncology Reports
      • Oncology Reports
      • Information for Authors
      • Editorial Policies
      • Editorial Board
      • Aims and Scope
      • Abstracting and Indexing
      • Bibliographic Information
      • Archive
    • Molecular Medicine Reports
      • Molecular Medicine Reports
      • Information for Authors
      • Editorial Policies
      • Editorial Board
      • Aims and Scope
      • Abstracting and Indexing
      • Bibliographic Information
      • Archive
    • World Academy of Sciences Journal
      • World Academy of Sciences Journal
      • Information for Authors
      • Editorial Policies
      • Editorial Board
      • Aims and Scope
      • Abstracting and Indexing
      • Bibliographic Information
      • Archive
    • International Journal of Functional Nutrition
      • International Journal of Functional Nutrition
      • Information for Authors
      • Editorial Policies
      • Editorial Board
      • Aims and Scope
      • Abstracting and Indexing
      • Bibliographic Information
      • Archive
    • International Journal of Epigenetics
      • International Journal of Epigenetics
      • Information for Authors
      • Editorial Policies
      • Editorial Board
      • Aims and Scope
      • Abstracting and Indexing
      • Bibliographic Information
      • Archive
    • Medicine International
      • Medicine International
      • Information for Authors
      • Editorial Policies
      • Editorial Board
      • Aims and Scope
      • Abstracting and Indexing
      • Bibliographic Information
      • Archive
  • Articles
  • Information
    • Information for Authors
    • Information for Reviewers
    • Information for Librarians
    • Information for Advertisers
    • Conferences
  • Language Editing
Spandidos Publications Logo
  • About
    • About Spandidos
    • Aims and Scopes
    • Abstracting and Indexing
    • Editorial Policies
    • Reprints and Permissions
    • Job Opportunities
    • Terms and Conditions
    • Contact
  • Journals
    • All Journals
    • Biomedical Reports
      • Information for Authors
      • Editorial Policies
      • Editorial Board
      • Aims and Scope
      • Abstracting and Indexing
      • Bibliographic Information
      • Archive
    • Experimental and Therapeutic Medicine
      • Information for Authors
      • Editorial Policies
      • Editorial Board
      • Aims and Scope
      • Abstracting and Indexing
      • Bibliographic Information
      • Archive
    • International Journal of Epigenetics
      • Information for Authors
      • Editorial Policies
      • Editorial Board
      • Aims and Scope
      • Abstracting and Indexing
      • Bibliographic Information
      • Archive
    • International Journal of Functional Nutrition
      • Information for Authors
      • Editorial Policies
      • Editorial Board
      • Aims and Scope
      • Abstracting and Indexing
      • Bibliographic Information
      • Archive
    • International Journal of Molecular Medicine
      • Information for Authors
      • Editorial Policies
      • Editorial Board
      • Aims and Scope
      • Abstracting and Indexing
      • Bibliographic Information
      • Archive
    • International Journal of Oncology
      • Information for Authors
      • Editorial Policies
      • Editorial Board
      • Aims and Scope
      • Abstracting and Indexing
      • Bibliographic Information
      • Archive
    • Medicine International
      • Information for Authors
      • Editorial Policies
      • Editorial Board
      • Aims and Scope
      • Abstracting and Indexing
      • Bibliographic Information
      • Archive
    • Molecular and Clinical Oncology
      • Information for Authors
      • Editorial Policies
      • Editorial Board
      • Aims and Scope
      • Abstracting and Indexing
      • Bibliographic Information
      • Archive
    • Molecular Medicine Reports
      • Information for Authors
      • Editorial Policies
      • Editorial Board
      • Aims and Scope
      • Abstracting and Indexing
      • Bibliographic Information
      • Archive
    • Oncology Letters
      • Information for Authors
      • Editorial Policies
      • Editorial Board
      • Aims and Scope
      • Abstracting and Indexing
      • Bibliographic Information
      • Archive
    • Oncology Reports
      • Information for Authors
      • Editorial Policies
      • Editorial Board
      • Aims and Scope
      • Abstracting and Indexing
      • Bibliographic Information
      • Archive
    • World Academy of Sciences Journal
      • Information for Authors
      • Editorial Policies
      • Editorial Board
      • Aims and Scope
      • Abstracting and Indexing
      • Bibliographic Information
      • Archive
  • Articles
  • Information
    • For Authors
    • For Reviewers
    • For Librarians
    • For Advertisers
    • Conferences
  • Language Editing
Login Register Submit
  • This site uses cookies
  • You can change your cookie settings at any time by following the instructions in our Cookie Policy. To find out more, you may read our Privacy Policy.

    I agree
Search articles by DOI, keyword, author or affiliation
Search
Advanced Search
presentation
Oncology Letters
Join Editorial Board Propose a Special Issue
Print ISSN: 1792-1074 Online ISSN: 1792-1082
Journal Cover
April-2026 Volume 31 Issue 4

Full Size Image

Sign up for eToc alerts
Recommend to Library

Journals

International Journal of Molecular Medicine

International Journal of Molecular Medicine

International Journal of Molecular Medicine is an international journal devoted to molecular mechanisms of human disease.

International Journal of Oncology

International Journal of Oncology

International Journal of Oncology is an international journal devoted to oncology research and cancer treatment.

Molecular Medicine Reports

Molecular Medicine Reports

Covers molecular medicine topics such as pharmacology, pathology, genetics, neuroscience, infectious diseases, molecular cardiology, and molecular surgery.

Oncology Reports

Oncology Reports

Oncology Reports is an international journal devoted to fundamental and applied research in Oncology.

Experimental and Therapeutic Medicine

Experimental and Therapeutic Medicine

Experimental and Therapeutic Medicine is an international journal devoted to laboratory and clinical medicine.

Oncology Letters

Oncology Letters

Oncology Letters is an international journal devoted to Experimental and Clinical Oncology.

Biomedical Reports

Biomedical Reports

Explores a wide range of biological and medical fields, including pharmacology, genetics, microbiology, neuroscience, and molecular cardiology.

Molecular and Clinical Oncology

Molecular and Clinical Oncology

International journal addressing all aspects of oncology research, from tumorigenesis and oncogenes to chemotherapy and metastasis.

World Academy of Sciences Journal

World Academy of Sciences Journal

Multidisciplinary open-access journal spanning biochemistry, genetics, neuroscience, environmental health, and synthetic biology.

International Journal of Functional Nutrition

International Journal of Functional Nutrition

Open-access journal combining biochemistry, pharmacology, immunology, and genetics to advance health through functional nutrition.

International Journal of Epigenetics

International Journal of Epigenetics

Publishes open-access research on using epigenetics to advance understanding and treatment of human disease.

Medicine International

Medicine International

An International Open Access Journal Devoted to General Medicine.

Journal Cover
April-2026 Volume 31 Issue 4

Full Size Image

Sign up for eToc alerts
Recommend to Library

  • Article
  • Citations
    • Cite This Article
    • Download Citation
    • Create Citation Alert
    • Remove Citation Alert
    • Cited By
  • Similar Articles
    • Related Articles (in Spandidos Publications)
    • Similar Articles (Google Scholar)
    • Similar Articles (PubMed)
  • Download PDF
  • Download XML
  • View XML
Case Report Open Access

Gliosarcoma of the right cerebellar hemisphere and parahippocampal region: A case report and literature review

  • Authors:
    • Fa Wu
    • Yulin Yang
    • Zaiqing Wang
    • Rui Jiang
    • Tingting Wu
    • Ting Yu
    • Peng Wang
  • View Affiliations / Copyright

    Affiliations: Department of Radiology, The General Hospital of Western Theater Command, Chengdu, Sichuan 610083, P.R. China, Department of Ultrasound, Longquanyi District First People's Hospital, Chengdu, Sichuan 610000, P.R. China, Department of Radiology, Chengdu Bayi Orthopedic Hospital, Chengdu, Sichuan 610100, P.R. China, Department of Pathology, The General Hospital of Western Theater Command, Chengdu, Sichuan 610083, P.R. China
    Copyright: © Wu et al. This is an open access article distributed under the terms of Creative Commons Attribution License.
  • Article Number: 147
    |
    Published online on: February 25, 2026
       https://doi.org/10.3892/ol.2026.15500
  • Expand metrics +
Metrics: Total Views: 0 (Spandidos Publications: | PMC Statistics: )
Metrics: Total PDF Downloads: 0 (Spandidos Publications: | PMC Statistics: )
Cited By (CrossRef): 0 citations Loading Articles...

This article is mentioned in:


Abstract

Intracranial gliosarcoma (GSM) is a rare and aggressive variant of glioblastoma, characterized by a dismal prognosis and high rates of early recurrence and metastasis. Preoperative differentiation from other neoplasms based on imaging features remains a significant clinical challenge. The current study reports the case of a 55‑year‑old female who presented with a headache as the primary clinical symptom. The patient underwent brain MRI due to progressively worsening symptoms of diplopia, intermittent dull headaches localized to the right occipital region and an unsteady gait. Preoperative magnetic resonance imaging revealed a large, lobulated mass in the right cerebellar hemisphere extending into the parahippocampal region. The diagnosis of WHO Grade IV GSM was confirmed by postoperative histopathological and immunohistochemical analysis, which revealed a biphasic pattern with glial fibrillary acidic protein‑positive glial and smooth muscle actin/vimentin‑positive sarcomatous components, alongside a high Ki‑67 proliferation index of 30%. The patient underwent a subtotal resection followed by adjuvant radiotherapy with concurrent temozolomide chemotherapy. Despite this multimodal treatment, follow‑up imaging demonstrated tumor recurrence at 2 months, with significant further progression and brain herniation observed at the 12‑month follow‑up. The present case underscores the diagnostic challenges and aggressive clinical course of GSM, particularly when located in the cerebellum. The rapid recurrence despite combined‑modality therapy highlights the need for improved diagnostic strategies and more effective treatment protocols for this formidable disease.

Introduction

According to the 2021 World Health Organization (WHO) Classification of Tumors of the Central Nervous System, gliosarcoma (GSM) is a distinct histopathological variant of isocitrate dehydrogenase (IDH)-wild-type glioblastoma (GBM), categorized as a WHO Grade IV neoplasm, the highest malignancy grade for central nervous system tumors (1,2). Clinically, GSM is exceptionally rare, accounting for only 1.5–8% of all GBM cases, with a median onset age of ~52 years and a slight male predominance (male-to-female ratio, 1.2:1-1.5:1) (3–5). The prognosis is poor, with untreated patients having a median overall survival (OS) time of only 4 months. Even with standard multimodal therapy (following the Stupp protocol), the median OS time only extends to 6.6–18.5 months (most commonly 12–15 months) (6–8). Prognostic factors include tumor location (supratentorial lesions fare better than infratentorial ones), extent of surgical resection (gross-total resection improves survival) and molecular markers such as O6-methylguanine-DNA methyltransferase promoter methylation (4,6,9).

The preoperative diagnosis of GSM is challenging due to non-specific clinical and imaging features. Clinically, supratentorial GSM typically causes seizures, focal neurological deficits or elevated intracranial pressure (headaches and nausea), while infratentorial cases may present with ataxia, diplopia or brainstem compression symptoms (10). Imaging often shows a heterogeneously enhancing mass with peritumoral edema, overlapping with malignant meningioma (distinguished by epithelial membrane antigen (EMA) positivity and glial fibrillary acidic protein (GFAP) negativity), anaplastic astrocytoma (no biphasic histology and lower Ki-67 index), or metastatic tumors (history of extracranial primary tumors and lineage-specific markers) (11–13). A definitive diagnosis relies on histopathology (biphasic glial-sarcomatous components) and immunohistochemistry (GFAP-positive glial cells, smooth muscle actin (SMA)/vimentin-positive sarcomatous cells) (12,13). Treatment primarily involves maximal safe surgical resection (often subtotal for deep/infratentorial lesions to preserve neural function), followed by adjuvant intensity-modulated radiotherapy (IMRT; total, 60 Gy in 30 fractions) and concurrent temozolomide chemotherapy (75 mg/m2 during radiotherapy, then 150–200 mg/m2 for 5 days every 28 days for 6 cycles) (8,14),16,17). Despite this, >70% of patients experience recurrence within 12 months, with no standardized salvage therapy (6,15).

GSM most commonly arises in supratentorial regions (temporal, frontal and parietal lobes), with infratentorial (cerebellar and brainstem) cases accounting for <5% (3,9). This rarity, combined with the anatomical constraints of the posterior fossa, makes cerebellar GSM particularly challenging to diagnose and treat. The present study reports an unusual case of GSM originating in the right cerebellar hemisphere with extension to the parahippocampal region, detailing the patient's clinical presentation, comprehensive imaging findings, pathological characteristics, treatment course and outcomes. A review of the relevant literature is also included to enhance understanding of this rare tumor's behavior and management complexities.

Case report

Patient presentation

A 55-year-old woman presented to the General Hospital of Western Theater Command (Chengdu, China) in April 2022 with a 2-month history of diplopia. At 1 month prior to admission, the patient developed intermittent, dull headaches localized to the right occipital region. The symptoms progressively worsened, culminating in an unsteady gait with a tendency to tilt to one side. A physical examination revealed instability upon standing when the left eye was covered (positive Romberg sign), while stability was maintained with the right eye covered. The right finger-nose test was positive, indicating cerebellar dysfunction. No facial numbness, dysphagia or limb motor deficits were observed. Routine laboratory investigations were within normal limits. All imaging, neurosurgical procedures and pathological examinations were performed at the General Hospital of Western Theater Command. The patient was first admitted to the Department of Neurosurgery in April 2022. At 10 days post-admission, the patient underwent resection of the right cerebellar space-occupying lesion, craniotomy decompression and repair of cerebrospinal fluid leakage via the infratentorial supracerebellar approach. The operation lasted 6 h and 2 min, with a smooth procedure and satisfactory anesthesia effect. Intraoperative blood loss was 200 ml, and no blood transfusion was required. The patient regained spontaneous breathing uneventfully postoperatively. In August 2022, the patient subsequently received cranial radiotherapy combined with concurrent chemotherapy. The chemotherapeutic regimen consisted of oral temozolomide administered once daily, as later described. In March 2023, the patient returned to the Oncology Outpatient Department at the General Hospital of Western Theater Command for a follow-up magnetic resonance imaging (MRI) examination.

Imaging findings and follow-up

Preoperative brain MRI demonstrated a large (4.0×2.8×2.7 cm), lobulated, mixed-signal-intensity mass occupying the right cerebellar hemisphere and parahippocampal region. The lesion exhibited partial diffusion restriction on diffusion-weighted imaging/apparent diffusion coefficient sequences. Susceptibility-weighted imaging revealed intralesional punctate hypointensities suggestive of microhemorrhages or calcifications. Post-contrast T1-weighted imaging revealed marked heterogeneous enhancement. Significant perilesional edema, manifesting as T1 hypointensity and T2 hyperintensity, was noted in the adjacent cerebellar parenchyma, extending to involve the right brainstem and cerebellar vermis. Mass effect resulted in compression of the fourth ventricle. Magnetic resonance spectroscopy (MRS) within the lesion demonstrated a characteristically elevated choline (Cho) peak and a markedly reduced N-acetylaspartate (NAA) peak, consistent with high cellular turnover and neuronal loss. Patchy slightly prolonged T1 and isointense T1 signals were noted in the right cerebellar hemisphere and right parahippocampal region (Fig. 1A). On T2-weighted imaging, the same region exhibited slightly prolonged T2 signals interspersed with small patchy slightly shortened T2 signals (Fig. 1B), with a lobulated mixed-signal mass identified in this area. Susceptibility-weighted imaging revealed punctate hypointense foci within the lesion (Fig. 1C). Fluid-attenuated inversion recovery imaging showed hyperintense signals in the lesion (Fig. 1D). Marked heterogeneous enhancement of the lesion was seen on axial (Fig. 1E) and coronal (Fig. 1F) post-contrast images. The lesion involved the right brainstem and cerebellar vermis, with compression of the adjacent fourth ventricle and brainstem. MRS of the lesion area revealed a decreased NAA peak, a significant elevation of the Cho peak and a nearly unchanged creatine (Cr) peak (Fig. 1G).

Magnetic resonance imaging findings of
gliosarcoma in the right cerebellar hemisphere and right
parahippocampal region. (A) In the right cerebellar hemisphere and
right parahippocampal region, patchy slightly hyperintense and
isointense signals on T1-weighted imaging were observed. (B) On
T2-weighted imaging, slightly hyperintense signals were noted,
mixed with small patchy slightly hypointense signals. (C)
Susceptibility-weighted imaging demonstrates punctate hypointense
foci within the lesion. (D) Fluid-attenuated inversion recovery
imaging shows hyperintensity. The lesions exhibited obvious
inhomogeneous enhancement on (E) axial and (F) coronal images. The
lesion involves the right portion of the brainstem and cerebellar
vermis, with compression of the adjacent fourth ventricle and
brainstem. (G) The peak value of NAA in the lesion area was
decreased, the peak value of Cho was significantly increased, and
the peak value of Cr remained basically unchanged. MRI, magnetic
resonance imaging; NAA, N-acetylaspartate; Cr, creatine; TSE/M,
turbo spin echo/magnetization.

Figure 1.

Magnetic resonance imaging findings of gliosarcoma in the right cerebellar hemisphere and right parahippocampal region. (A) In the right cerebellar hemisphere and right parahippocampal region, patchy slightly hyperintense and isointense signals on T1-weighted imaging were observed. (B) On T2-weighted imaging, slightly hyperintense signals were noted, mixed with small patchy slightly hypointense signals. (C) Susceptibility-weighted imaging demonstrates punctate hypointense foci within the lesion. (D) Fluid-attenuated inversion recovery imaging shows hyperintensity. The lesions exhibited obvious inhomogeneous enhancement on (E) axial and (F) coronal images. The lesion involves the right portion of the brainstem and cerebellar vermis, with compression of the adjacent fourth ventricle and brainstem. (G) The peak value of NAA in the lesion area was decreased, the peak value of Cho was significantly increased, and the peak value of Cr remained basically unchanged. MRI, magnetic resonance imaging; NAA, N-acetylaspartate; Cr, creatine; TSE/M, turbo spin echo/magnetization.

At the 2-month postoperative follow-up, MRI confirmed tumor recurrence in the primary site. The recurrent lesion exhibited trans-tentorial extension, involving the right cerebellar tentorium and right brainstem, with persistent heterogeneous contrast enhancement (Fig. 2).

Recurrence of gliosarcoma on 2-month
follow-up magnetic resonance imaging. A lobulated mixed-signal mass
predominantly with (A) slightly long T1 and (B) slightly long T2
signals is present in the right cerebellar hemisphere and right
parahippocampal region. (C) Fluid-attenuated inversion recovery
imaging shows hyperintensity. After enhancement, the (D) axial, (E)
sagittal and (F) coronal images of the lesion exhibited obvious
inhomogeneous enhancement and annular enhancement. The lesion is
growing across the tentorium, with thickening and significant
enhancement of the adjacent right cerebellar tentorium; it involves
the right portion of the brainstem, causing compression of the
adjacent fourth ventricle and brainstem. (G) Magnetic resonance
spectroscopy of the recurrent lesion reveals a decreased NAA peak
and an increased Cho peak in the lesion area. The left panel shows
the voxel placement (yellow grid). The middle and right panels
display the spectrum without pseudo-color mapping, likely due to
extremely low metabolite concentrations, incomplete water
suppression (note the prominent water peak on the right), and/or
post-processing thresholds. NAA, N-acetylaspartate; Cr, creatine;
TSE/M, turbo spin echo/magnetization.

Figure 2.

Recurrence of gliosarcoma on 2-month follow-up magnetic resonance imaging. A lobulated mixed-signal mass predominantly with (A) slightly long T1 and (B) slightly long T2 signals is present in the right cerebellar hemisphere and right parahippocampal region. (C) Fluid-attenuated inversion recovery imaging shows hyperintensity. After enhancement, the (D) axial, (E) sagittal and (F) coronal images of the lesion exhibited obvious inhomogeneous enhancement and annular enhancement. The lesion is growing across the tentorium, with thickening and significant enhancement of the adjacent right cerebellar tentorium; it involves the right portion of the brainstem, causing compression of the adjacent fourth ventricle and brainstem. (G) Magnetic resonance spectroscopy of the recurrent lesion reveals a decreased NAA peak and an increased Cho peak in the lesion area. The left panel shows the voxel placement (yellow grid). The middle and right panels display the spectrum without pseudo-color mapping, likely due to extremely low metabolite concentrations, incomplete water suppression (note the prominent water peak on the right), and/or post-processing thresholds. NAA, N-acetylaspartate; Cr, creatine; TSE/M, turbo spin echo/magnetization.

By the 12-month follow-up, the recurrent tumor had enlarged considerably, with further involvement of the right temporal lobe. The imaging revealed extensive perilesional edema, a significant mass effect with midline shift and evidence of brain herniation (Fig. 3).

Enlargement of the recurrent
gliosarcoma with brain herniation formation on 1-year follow-up
magnetic resonance imaging. The dura mater in the right occipital
region was thickened with obvious enhancement. The right cerebellar
hemisphere, right parahippocampal region and right temporal lobe
exhibited patchy mixed signal shadows. (A) On the T1WI sequence,
slightly longer T1 signals were observed, and (B) on the T2WI
sequence, slightly longer T2 signals were observed. (C)
Fluid-attenuated inversion recovery imaging shows isointense and
slightly hyperintense signals. After enhancement, the (D) axial,
(E) sagittal and (F) coronal images of the lesion exhibited obvious
inhomogeneous enhancement and annular enhancement. The lesion grows
across the tentorium, with thickening and significant enhancement
of the adjacent right cerebellar tentorium; it involves the right
portion of the brainstem, causing compression of the adjacent
fourth ventricle, right lateral ventricle and brainstem, with
leftward shift of the midline structures. (G) Magnetic resonance
spectroscopy reveals a decreased NAA peak and an increased Cho peak
in the lesion area. NAA, N-acetylaspartate; Cr, creatine; TSE/M,
turbo spin echo/magnetization.

Figure 3.

Enlargement of the recurrent gliosarcoma with brain herniation formation on 1-year follow-up magnetic resonance imaging. The dura mater in the right occipital region was thickened with obvious enhancement. The right cerebellar hemisphere, right parahippocampal region and right temporal lobe exhibited patchy mixed signal shadows. (A) On the T1WI sequence, slightly longer T1 signals were observed, and (B) on the T2WI sequence, slightly longer T2 signals were observed. (C) Fluid-attenuated inversion recovery imaging shows isointense and slightly hyperintense signals. After enhancement, the (D) axial, (E) sagittal and (F) coronal images of the lesion exhibited obvious inhomogeneous enhancement and annular enhancement. The lesion grows across the tentorium, with thickening and significant enhancement of the adjacent right cerebellar tentorium; it involves the right portion of the brainstem, causing compression of the adjacent fourth ventricle, right lateral ventricle and brainstem, with leftward shift of the midline structures. (G) Magnetic resonance spectroscopy reveals a decreased NAA peak and an increased Cho peak in the lesion area. NAA, N-acetylaspartate; Cr, creatine; TSE/M, turbo spin echo/magnetization.

Operative record

Under general anesthesia, the patient was positioned in a left lateral prone position with Mayfield head frame fixation. A right paramedian occipital straight incision was made. A craniotomy was performed, exposing the transverse sinus. Upon dural opening, significant cerebellar swelling and elevated intracranial pressure were noted. A subtentorial supracerebellar approach was utilized. After arachnoid dissection and mobilization of venous structures, a firm, poorly demarcated tumor was identified in the tentorial region. Due to persistent tension in the posterior fossa despite cerebrospinal fluid (CSF) release and dehydration, a complete dissection was deemed unsafe. An internal decompression was performed via piecemeal resection of the tumor and a portion of the cerebellar tissue. Meticulous dissection preserved the superior cerebellar artery and key venous structures. An attempt to access the supratentorial component via tentorial incision was limited by anatomical constraints, resulting in residual supratentorial tumor. Hemostasis was achieved, the dural defect was repaired with an artificial graft and the bone flap was secured. A surgical drain was placed before layered closure.

Immunohistochemistry

The postoperative tumor tissue was fixed in 10% neutral buffered formalin at 25°C for 24 h, routinely processed, paraffin-embedded and sectioned at a 4-µm thickness. Immunohistochemical staining was performed using the EnVision two-step method. Endogenous peroxidase activity was blocked with 3% hydrogen peroxide for 10 min at room temperature. Antigen retrieval was performed with heat induction using EDTA buffer (pH 9.0) at a constant temperature of 100°C in a microwave, followed by graded alcohol rehydration. Sections were then blocked with normal goat serum (OriGene Technologies, Inc.) for 30 min at room temperature. Primary antibodies (all Fuzhou Maixin Biotechnology Development Co., Ltd.) were applied and incubated overnight at 4°C in a humidified chamber. A detailed list of the antibodies, including the clones, dilutions and catalog numbers, is shown in Table I. Subsequently, the HRP-labeled secondary antibody from the EnVision kit (catalog no. KIT-5001; Fuzhou Maixin Biotechnology Development Co., Ltd.) was applied and incubated for 30 min at room temperature. Hematoxylin and eosin (H&E) staining was performed on the gliosarcoma tissues following a standardized protocol, with all procedures conducted at 25°C unless otherwise specified. Freshly resected gliosarcoma tissues (≤3 mm in thickness) were fixed in 10% neutral buffered formalin (pH 7.4) at 25°C for 24 h (a maximum fixation duration of 72 h was applied to avoid over-fixation), then processed for routine paraffin embedding. Serial 4-µm thick sections were cut using a rotary microtome, mounted on positively charged glass slides and baked at 60°C for 30 min for adhesion. H&E staining was implemented using the Hematoxylin-Eosin Staining Solution (Shaanxi Medical Device Preparation No. 20180101, Xi'an Meijiajia, China) with the following steps: Xylene deparaffinization (10, 10 and 5 min); graded alcohol rehydration (100% ethanol, 2×5 min; 95% ethanol, 3 min; 85% ethanol, 3 min; and 75% ethanol, 3 min); Harris hematoxylin staining (5–8 min); differentiation in 1% acid alcohol (3–5 sec); bluing in 0.5% lithium carbonate solution (10–20 sec); alcoholic Eosin Y staining (1–3 min); graded alcohol dehydration (95% ethanol, 3 min; 100% ethanol, 2×3 min); xylene clearing (2×5 min); and permanent mounting with neutral balsam. For immunohistochemical staining, the chromogenic reaction was visualized using a DAB substrate kit (cat. no. ab64238; Abcam), followed by hematoxylin counterstaining. All stained slides were examined under an Olympus BX53 bright-field light microscope (equipped with a DP74 digital camera; Olympus Corporation), and representative images were captured at magnifications of ×100 (scale bar, 200 µm), ×200 (scale bar, 100 µm) and ×400 (scale bar, 50 µm; for identifying the biphasic glial and sarcomatous components) for documentation.

Table I.

Antibodies for immunohistochemistry.

Table I.

Antibodies for immunohistochemistry.

AntibodyClone numberRecommended dilutionCatalog numberSupplier
ActinMX0831:100MAB-0871Fuzhou Maixin Biotech Co., Ltd.
CD34QBEnd/10Ready-to-useKit-0004Fuzhou Maixin Biotech Co., Ltd.
Pan-CKAE1/AE3Ready-to-use0349Shanghai Long Island Antibody Diagnostica Inc.
CaldesmonMX0771:50MAB-0865Fuzhou Maixin Biotech Co., Ltd.
CalponinMX0231:100MAB-0712Fuzhou Maixin Biotech Co., Ltd.
DesminMX0461:50MAB-0766Fuzhou Maixin Biotech Co., Ltd.
EMAMX132E29Ready-to-useMAB-1101Fuzhou Maixin Biotech Co., Ltd.
ERMXR0301:50RMA-1065Fuzhou Maixin Biotech Co., Ltd.
GFAPMX-047 Ready-to-use/1:100MAB-0769Fuzhou Maixin Biotech Co., Ltd.
Ki-67MX-006 Ready-to-use/1:50MAB-0672Fuzhou Maixin Biotech Co., Ltd.
PRMXR0081:50RMA-0895Fuzhou Maixin Biotech Co., Ltd.
S-100rMM-S1 Ready-to-use/1:1000466Shanghai Long Island Antibody Diagnostica Inc.
SMA1D6 Ready-to-use/1:100MAB-0575Fuzhou Maixin Biotech Co., Ltd.
SOX-10MXR0261:100RMA-1058Fuzhou Maixin Biotech Co., Ltd.
STAT-6YE3611:100YE361Abcam Shanghai Trading Co., Ltd.
VimMX034 Ready-to-use/1:200MAB-0735Fuzhou Maixin Biotech Co., Ltd.

[i] CK, cytokeratin; EMA, epithelial membrane antigen; ER, estrogen receptor; GFAP, glial fibrillary acidic protein; PR, progesterone receptor; SMA, smooth muscle actin; SOX-10, SRY-box transcription factor 10; STAT6, signal transducer and activator of transcription 6; Vim, vimentin.

Pathological results

Histopathological examination confirmed the diagnosis of GSM (WHO Grade IV) (2). Macroscopically, the tumor was irregular with a firm, grey-brown cut surface. Microscopically, a biphasic pattern was evident, comprising both glial and sarcomatous components. The sarcomatous areas consisted of densely packed, fascicularly arranged spindle cells with abundant cytoplasm and prominent stromal vascular proliferation. The glial component was composed of fibrillary and gemistocytic astrocytoma cells, arranged in nests and diffuse sheets, with frequent mitotic figures (Fig. 4B and C).

Pathological images of the resected
gliosarcoma. (A) The tumor displays an irregular morphology with a
grey-brown cut surface and firm consistency. (B and C) Hematoxylin
and eosin-stained tissue samples at (B) ×40 and (C) ×100
magnification. The tumor is composed of dual components: Glial and
sarcomatous. The sarcomatous component exhibits a spindle cell
sarcoma pattern, characterized by densely packed long fascicles of
spindle cells arranged in fascicular or small cluster-like
configurations, abundant cytoplasm and prominent stromal vascular
proliferation. (D) Glial fibrillary acidic protein positivity (×200
magnification). (E) Weak positivity for S-100 (×200 magnification).
(F) Smooth muscle actin positivity (×200 magnification). (G)
Vimentin positivity (×200 magnification). (H) Ki-67 positivity
(30%) (×200 magnification). (I) Caldesmon negativity (×200
magnification). (J) CD34 negativity (×200 magnification). (K)
Cytokeratin negativity (×200 magnification). (L) Epithelial
membrane antigen negativity (×200 magnification). (M) Progesterone
receptor negativity (×200 magnification).

Figure 4.

Pathological images of the resected gliosarcoma. (A) The tumor displays an irregular morphology with a grey-brown cut surface and firm consistency. (B and C) Hematoxylin and eosin-stained tissue samples at (B) ×40 and (C) ×100 magnification. The tumor is composed of dual components: Glial and sarcomatous. The sarcomatous component exhibits a spindle cell sarcoma pattern, characterized by densely packed long fascicles of spindle cells arranged in fascicular or small cluster-like configurations, abundant cytoplasm and prominent stromal vascular proliferation. (D) Glial fibrillary acidic protein positivity (×200 magnification). (E) Weak positivity for S-100 (×200 magnification). (F) Smooth muscle actin positivity (×200 magnification). (G) Vimentin positivity (×200 magnification). (H) Ki-67 positivity (30%) (×200 magnification). (I) Caldesmon negativity (×200 magnification). (J) CD34 negativity (×200 magnification). (K) Cytokeratin negativity (×200 magnification). (L) Epithelial membrane antigen negativity (×200 magnification). (M) Progesterone receptor negativity (×200 magnification).

Immunohistochemical staining was critical for establishing the definitive diagnosis. The staining profile revealed a distinct immunophenotype: The neoplastic cell exhibited focal positivity for calponin and GFAP (Fig. 4D), weak positivity for S-100 (Fig. 4E) and strong, diffuse positivity for smooth muscle actin (SMA) and vimentin (Fig. 4F and G, respectively). A high proliferative index was indicated by a Ki-67 labeling index of 30% (Fig. 4H). Furthermore, the tumor cells were consistently negative for a panel of markers including caldesmon, CD34, cytokeratin (CK), EMA and progesterone receptor, as illustrated in Fig. 4I-M. This combined pattern of strong co-expression of SMA and vimentin with a high Ki-67 index, alongside the absence of specific lineage markers, was instrumental in narrowing the differential diagnosis.

Postoperative treatment

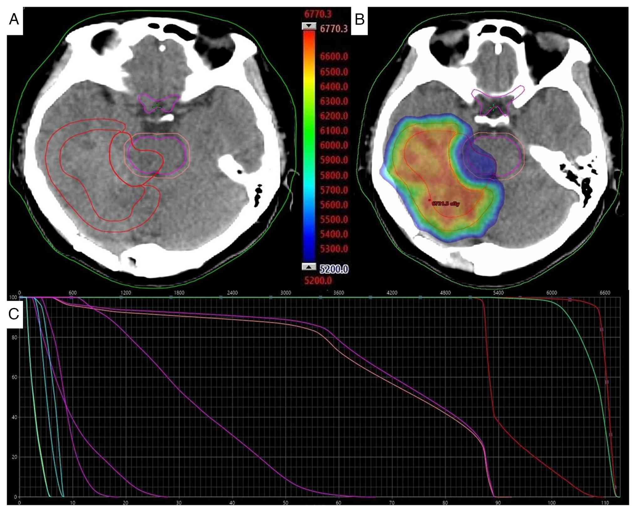
Before radiotherapy, a head CT scan was performed using a helical tomotherapy system (Accuray, Inc.). The scanning parameters were as follows: The patient was positioned in a supine position, utilizing helical scanning with a tube voltage of 120 kV, tube current ranging from 200 to 250 mAsec and a slice thickness of 1 mm. The scanning range extended 2 cm from the upper edge of the parietal scalp to the lower part of the skull base. This scan was conducted for radiotherapy localization. The patient subsequently received adjuvant IMRT concurrent with daily oral temozolomide at a dose of 100 mg for a total of 38 days. The planning target volume (PTV) for the postoperative bed (PTV1) received 6,500 cGy in 30 fractions, while the adjacent brainstem region (PTV2) received 5,200 cGy (max dose, 5,358.8 cGy) (Fig. 5). Supportive care included intravenous administration of 20% mannitol (a routine dehydrating agent for cerebral edema) at a dose of 250 ml per infusion, administered every 8 h (1–2 g/kg body weight) via rapid intravenous drip (completed within 30–60 min), for a total of 38 consecutive days.

Intracranial lesion radiotherapy
treatment plan. (A) Target delineation: The GTVs were defined as
GTV-65 (intracranial lesions outside the brainstem) and GTV-53
(brainstem lesions). The planning target volumes were generated by
expanding the respective GTVs by 0.8 cm, and the brainstem
interface was not expanded. (B) The dose distribution was shown on
the axial computed tomography slices with equal dose, and the total
dose was 6,731.5 cGy. (C) Dose-volume histogram of target volume
and organs at risk; dosage limits for dangerous organs follow the
Radiation Therapy Oncology Group guidelines (18). GTV, gross tumor volume.

Figure 5.

Intracranial lesion radiotherapy treatment plan. (A) Target delineation: The GTVs were defined as GTV-65 (intracranial lesions outside the brainstem) and GTV-53 (brainstem lesions). The planning target volumes were generated by expanding the respective GTVs by 0.8 cm, and the brainstem interface was not expanded. (B) The dose distribution was shown on the axial computed tomography slices with equal dose, and the total dose was 6,731.5 cGy. (C) Dose-volume histogram of target volume and organs at risk; dosage limits for dangerous organs follow the Radiation Therapy Oncology Group guidelines (18). GTV, gross tumor volume.

Follow-up and outcome

The patient's most recent follow-up was in March 2023. At that time, a neurological examination revealed mild limitations to the downward movement in the right eye, a positive right finger-nose test and a positive Romberg sign, indicating persistent cerebellar dysfunction. No significant abnormalities were noted on routine laboratory tests. However, follow-up MRI demonstrated significant enlargement and progression of the recurrent lesion in the right cerebellar hemisphere and parahippocampal region, with suspected brainstem invasion. This rapid progression, observed despite combined modality therapy, underscores the highly aggressive nature of cerebellar GSM.

Following this last evaluation, the patient's condition continued to deteriorate due to disease progression, and the patient succumbed to the disease in July 2023. This outcome further underscores the dismal prognosis associated with this aggressive tumor variant, particularly when located in the posterior fossa.

Discussion

GSM has a poor prognosis with high recurrence rates (15), as illustrated in the present case, where the disease progressed rapidly leading to a poor clinical status by the last follow-up in March 2023. Untreated patients have a median overall survival time of 4 months, while combined modality therapy extends this to 6.6–18.5 months (7). GSM is a highly aggressive tumor with a median age of onset of ~52 years and a slight male predominance (4). The clinical course is typically rapid, characterized by significant mass effect and peritumoral edema. Symptoms are directly related to the tumor's location and invasion of adjacent structures, often leading to elevated intracranial pressure (10). The current patient's presentation with diplopia and occipital headaches is consistent with this profile, exacerbated by the rare cerebellar location causing brainstem compression. Beyond symptomatology, this anatomical distinction fundamentally impacts therapeutic strategy. The compact anatomy of the posterior fossa and proximity to critical brainstem structures often preclude the aggressive surgical margins achievable in non-eloquent supratentorial regions. Consequently, the surgical goal in cerebellar GSM frequently shifts from a gross-total resection to maximal safe debulking and cytoreduction, inherently increasing the risk of local recurrence due to residual disease burden.

MRI is the cornerstone of preoperative evaluation for GSM. GSM typically presents as a heterogeneously enhancing mass with ill-defined margins, marked edema and frequent dural attachment, which can mimic a malignant meningioma (11). Signal characteristics often include T1 hypointensity, T2 hyperintensity and heterogeneous post-contrast enhancement, occasionally with a ‘reticular’ pattern (16). MRS consistently shows an elevated Cho/NAA ratio, reflecting high cellularity and malignancy (17). The present case exhibited these typical features, alongside the unusual finding of a large cerebellar location and trans-tentorial spread.

The aggressive course observed in the present patient, characterized by early recurrence and trans-tentorial spread, can be critically contextualized within the broader literature on GSM. While the biphasic histology and poor prognosis are consistent with the defining features of GSM (1,12,13), several aspects of the present case highlight its distinctiveness and amplify its clinical challenge.

GSM most frequently arises in supratentorial locations, particularly the temporal lobe, with cerebellar origins being exceptionally rare (3,4). This anatomical distinction is not merely incidental. Supratentorial GSM, while aggressive, often permits a more extensive surgical resection in non-eloquent areas. By contrast, in the present case, the origin in the cerebellar hemisphere, with immediate proximity to and compression of the brainstem, inherently limited the goal of surgery to a subtotal resection for decompression. This unavoidable surgical constraint likely contributed to the high residual tumor burden, a factor strongly associated with early recurrence in GBM and its variants (6,9). The presenting symptoms of ataxia and brainstem compression are direct manifestations of this location, differing from the more common seizures or focal neurological deficits seen in temporal lobe GSM (10).

The Ki-67 proliferation index of 30% in the present case is at the higher end of the spectrum reported for GSM (typically ranging from 15 to 30%) (4,13). This elevated proliferative activity provides a histopathological link to the explosively aggressive behavior observed radiologically, including the rapid trans-tentorial extension noted at the 2-month follow-up. This pattern of spread is less commonly detailed in reports of supratentorial GSM but may be facilitated in cerebellar cases by anatomical routes along the tentorium. Furthermore, the marked perilesional edema and heterogeneous ‘reticular’ enhancement pattern on MRI, as seen in the present patient, are features described in GSM series (11,17). However, when these features occur in the posterior fossa, the resultant mass effect on the brainstem and fourth ventricle carries more immediate life-threatening implications, such as herniation, which ultimately occurred in the present patient at 12 months postoperatively.

The median overall survival time for GSM treated with multimodal therapy is 6.6–18.5 months (6,7). In the present patient, the rapid progression leading to brain herniation at 12 months aligns with the poorer end of this spectrum. This outcome underscores that cerebellar GSM may confer an even worse prognosis than its supratentorial counterparts, a hypothesis supported by the compounded challenges of limited resectability and critical adjacent neuroanatomy. This aligns with findings of the study by Feng et al (9), which identified tumor location as a significant prognostic factor in a nomogram analysis.

Pathologically, GSM is defined by its biphasic glial (GFAP+) and sarcomatous (vimentin+/SMA+) morphology (1,12,13).

There is no standardized treatment protocol for GSM. Maximal safe surgical resection remains the primary treatment, followed by adjuvant chemoradiotherapy, mirroring the Stupp protocol for GBM (8,9). High-dose radiotherapy and combined modality therapy have been identified as favorable prognostic factors (14). Despite aggressive therapy, the prognosis remains poor, with a median overall survival time of 6.6–18.5 months and high recurrence rates (6). The early recurrence in the present patient, despite combined-modality therapy, can be attributed to the tumor's critical location limiting the extent of resection and its inherent high malignancy, potentially with early CSF dissemination.

In conclusion, the present study highlights a rare case of cerebellar GSM with classic biphasic pathology and a highly aggressive clinical course. Preoperative imaging, while suggestive of a high-grade glioma, is non-specific, and a definitive diagnosis relies on thorough histopathological and immunohistochemical evaluation. The rapid recurrence and progression observed in the present patient, despite multimodal therapy, underscore the therapeutic challenges posed by GSM and emphasize the urgent need for novel diagnostic and treatment strategies to improve patient outcomes.

Acknowledgements

The authors would like to thank Dr Yihao Peng (Department of Radiology, The General Hospital of Western Theater Command, Chengdu, China) and Dr Jie Wu (Department of Radiology, The General Hospital of Western Theater Command) for the collection, sorting and verification of radiological and histopathological data.

Funding

This research was supported by the Foundation of General Hospital of Western Theater Command (grant no. 2024-YGLC-B07).

Availability of data and materials

The data generated in the present study are included in the figures and/or tables of this article.

Authors' contributions

FW, YY, ZW, RJ designed the study and conceptual framework. FW performed clinical data collection and case follow-up, PW advised on patient treatment and analyzed patient data, and YY and ZW assisted with clinical data collection. FW, PW and TY obtained clinical specimens, performed imaging and conducted the pathological analysis. FW sorted and verified the case data, and PW, YY, RJ and TW analyzed and organized the patient data. FW, PW and RJ drafted the case description and manuscript composition. PW, YY and TY revised the manuscript and provided academic polishing. FW, YY, RJ and PW prepared imaging, pathological figures and tables. FW, PW and TY provided study design oversight and clinical guidance. Project administration was performed by PW. Funding acquisition was the responsibility of FW. All authors have read and approved the final manuscript. FW and TY confirm the authenticity of all the raw data.

Ethics approval and consent to participate

Not applicable.

Patient consent for publication

Written informed consent for the publication of this case report and accompanying images was obtained from the patient prior to her death.

Competing interests

The authors declare that they have no competing interests.

References

1 

Louis DN, Perry A, Reifenberger G, von Deimling A, Figarella-Branger D, Cavenee WK, Ohgaki H, Wiestler OD, Kleihues P and Ellison DW: The 2016 world health organization classification of tumors of the central nervous system: A summary. Acta Neuropathol (Berl). 131:803–820. 2016. View Article : Google Scholar

2 

Louis DN, Perry A, Wesseling P, Brat DJ, Cree IA, Figarella-Branger D, Hawkins C, Ng HK, Pfister SM, Reifenberger G, et al: The 2021 WHO classification of tumors of the central nervous system: A summary. Neuro Oncol. 23:1231–1251. 2021. View Article : Google Scholar

3 

Gerges C, Elder T, Penuela M, Rossetti N, Maynard M, Jeong S, Wright CH, Wright J, Zhou X, Burant C, et al: Comparative epidemiology of gliosarcoma and glioblastoma and the impact of Race on overall survival: A systematic literature review. Clin Neurol Neurosurg. 195:1060542020. View Article : Google Scholar : PubMed/NCBI

4 

Chen L, Rizk E, Sherief M, Chang M, Lucas CH, Bettegowda C, Croog V, Mukherjee D, Rincon-Torroella J, Kamson DO, et al: Molecular characterization of gliosarcoma reveals prognostic biomarkers and clinical parallels with glioblastoma. J Neurooncol. 171:403–411. 2024. View Article : Google Scholar

5 

Karasev S, Talybov R, Chertoyev S, Trofimova T, Mochalov V, Kleshchevnikova T, Loginova N and Karaseva I: Diagnostic challenges of gliosarcoma: Case report of a rare glioblastoma histopathological variant. Front Radiol. 5:16874012025. View Article : Google Scholar

6 

Wang X, Jiang J, Liu M and You C: Treatments of gliosarcoma of the brain: A systematic review and meta-analysis. Acta Neurol Belg. 121:1789–1797. 2020. View Article : Google Scholar : PubMed/NCBI

7 

La Torre D, Della Torre A, Lo Turco E, Longo P, Pugliese D, Lacroce P, Raudino G, Romano A, Lavano A and Tomasello F: Primary intracranial gliosarcoma: Is it really a variant of glioblastoma? an update of the clinical, radiological, and biomolecular characteristics. J Clin Med. 13:832024. View Article : Google Scholar

8 

Hashmi FA, Salim A, Shamim MS and Bari ME: Biological characteristics and outcomes of gliosarcoma. J Pak Med Assoc. 68:1273–1275. 2018.

9 

Feng SS, Li HB, Fan F, Li J, Cao H, Xia ZW, Yang K, Zhu XS, Cheng TT and Cheng Q: Clinical characteristics and disease-specific prognostic nomogram for primary gliosarcoma: A SEER population-based analysis. Sci Rep. 9:107442019. View Article : Google Scholar : PubMed/NCBI

10 

Saki A, Faghihi U and Balde I: Differentiating gliosarcoma from glioblastoma: A novel approach using PEACE and XGBoost to deal with datasets with ultra-high dimensional confounders. Life (Basel). 14:8822024.PubMed/NCBI

11 

Wang Y and Zhang Z: A case report: Gliosarcoma associated with a germline heterozygous mutation in MSH2. Front Neurol. 15:13882632024. View Article : Google Scholar

12 

Jiang NN, Larrazabal R, Alsunbul W and Lu JQ: Multiple pathological components in gliosarcoma. J Biomed Res. 35:408–410. 2020. View Article : Google Scholar : PubMed/NCBI

13 

Castelli J, Feuvret L, Haoming QC, Biau J, Jouglar E, Berger A, Truc G, Gutierrez FL, Morandi X, Le Reste PJ, et al: Prognostic and therapeutic factors of gliosarcoma from a multi-institutional series. J Neurooncol. 129:85–92. 2016. View Article : Google Scholar

14 

Adeberg S, Bernhardt D, Harrabi SB, Diehl C, Koelsche C, Rieken S, Unterberg A, von Deimling A and Debus J: Radiotherapy plus concomitant temozolomide in primary gliosarcoma. J Neurooncol. 128:341–348. 2016. View Article : Google Scholar

15 

Xu L, Yang Z, Chen H, Sun C, Tu C, Gu Z and Luo M: Conditional survival and changing risk profile in patients with gliosarcoma. Front Med (Lausanne). 11:14431572024. View Article : Google Scholar : PubMed/NCBI

16 

Martinez A, Binks S, Pumarola M, Hardas A, Easton A, Campo L, Browne M, Martins S, Garosi LS, Di Dona F and Tauro A: Gliosarcoma associated with bilateral hippocampal sclerosis in a cat presenting complex partial seizures with orofacial involvement: A case report. Clin Case Rep. 12:e91232024. View Article : Google Scholar : PubMed/NCBI

17 

Fukada A, de Souza Queiroz L and Reis F: Gliosarcomas: Magnetic resonance imaging findings. Arq Neuropsiquiatr. 78:112–120. 2020. View Article : Google Scholar : PubMed/NCBI

18 

Gondi V, Bauman G, Bradfield L, Burri SH, Cabrera AR, Cunningham DA, Eaton BR, Hattangadi-Gluth JA, Kim MM, Kotecha R, et al: Radiation therapy for brain metastases: An ASTRO clinical practice guideline. Pract Radiat Oncol. 12:265–282. 2022. View Article : Google Scholar

Related Articles

  • Abstract
  • View
  • Download
  • Twitter
Copy and paste a formatted citation
Spandidos Publications style
Wu F, Yang Y, Wang Z, Jiang R, Wu T, Yu T and Wang P: Gliosarcoma of the right cerebellar hemisphere and parahippocampal region: A case report and literature review. Oncol Lett 31: 147, 2026.
APA
Wu, F., Yang, Y., Wang, Z., Jiang, R., Wu, T., Yu, T., & Wang, P. (2026). Gliosarcoma of the right cerebellar hemisphere and parahippocampal region: A case report and literature review. Oncology Letters, 31, 147. https://doi.org/10.3892/ol.2026.15500
MLA
Wu, F., Yang, Y., Wang, Z., Jiang, R., Wu, T., Yu, T., Wang, P."Gliosarcoma of the right cerebellar hemisphere and parahippocampal region: A case report and literature review". Oncology Letters 31.4 (2026): 147.
Chicago
Wu, F., Yang, Y., Wang, Z., Jiang, R., Wu, T., Yu, T., Wang, P."Gliosarcoma of the right cerebellar hemisphere and parahippocampal region: A case report and literature review". Oncology Letters 31, no. 4 (2026): 147. https://doi.org/10.3892/ol.2026.15500
Copy and paste a formatted citation
x
Spandidos Publications style
Wu F, Yang Y, Wang Z, Jiang R, Wu T, Yu T and Wang P: Gliosarcoma of the right cerebellar hemisphere and parahippocampal region: A case report and literature review. Oncol Lett 31: 147, 2026.
APA
Wu, F., Yang, Y., Wang, Z., Jiang, R., Wu, T., Yu, T., & Wang, P. (2026). Gliosarcoma of the right cerebellar hemisphere and parahippocampal region: A case report and literature review. Oncology Letters, 31, 147. https://doi.org/10.3892/ol.2026.15500
MLA
Wu, F., Yang, Y., Wang, Z., Jiang, R., Wu, T., Yu, T., Wang, P."Gliosarcoma of the right cerebellar hemisphere and parahippocampal region: A case report and literature review". Oncology Letters 31.4 (2026): 147.
Chicago
Wu, F., Yang, Y., Wang, Z., Jiang, R., Wu, T., Yu, T., Wang, P."Gliosarcoma of the right cerebellar hemisphere and parahippocampal region: A case report and literature review". Oncology Letters 31, no. 4 (2026): 147. https://doi.org/10.3892/ol.2026.15500
Follow us
  • Twitter
  • LinkedIn
  • Facebook
About
  • Spandidos Publications
  • Careers
  • Cookie Policy
  • Privacy Policy
How can we help?
  • Help
  • Live Chat
  • Contact
  • Email to our Support Team