Spandidos Publications Logo
  • About
    • About Spandidos
    • Aims and Scopes
    • Abstracting and Indexing
    • Editorial Policies
    • Reprints and Permissions
    • Job Opportunities
    • Terms and Conditions
    • Contact
  • Journals
    • All Journals
    • Oncology Letters
      • Oncology Letters
      • Information for Authors
      • Editorial Policies
      • Editorial Board
      • Aims and Scope
      • Abstracting and Indexing
      • Bibliographic Information
      • Archive
    • International Journal of Oncology
      • International Journal of Oncology
      • Information for Authors
      • Editorial Policies
      • Editorial Board
      • Aims and Scope
      • Abstracting and Indexing
      • Bibliographic Information
      • Archive
    • Molecular and Clinical Oncology
      • Molecular and Clinical Oncology
      • Information for Authors
      • Editorial Policies
      • Editorial Board
      • Aims and Scope
      • Abstracting and Indexing
      • Bibliographic Information
      • Archive
    • Experimental and Therapeutic Medicine
      • Experimental and Therapeutic Medicine
      • Information for Authors
      • Editorial Policies
      • Editorial Board
      • Aims and Scope
      • Abstracting and Indexing
      • Bibliographic Information
      • Archive
    • International Journal of Molecular Medicine
      • International Journal of Molecular Medicine
      • Information for Authors
      • Editorial Policies
      • Editorial Board
      • Aims and Scope
      • Abstracting and Indexing
      • Bibliographic Information
      • Archive
    • Biomedical Reports
      • Biomedical Reports
      • Information for Authors
      • Editorial Policies
      • Editorial Board
      • Aims and Scope
      • Abstracting and Indexing
      • Bibliographic Information
      • Archive
    • Oncology Reports
      • Oncology Reports
      • Information for Authors
      • Editorial Policies
      • Editorial Board
      • Aims and Scope
      • Abstracting and Indexing
      • Bibliographic Information
      • Archive
    • Molecular Medicine Reports
      • Molecular Medicine Reports
      • Information for Authors
      • Editorial Policies
      • Editorial Board
      • Aims and Scope
      • Abstracting and Indexing
      • Bibliographic Information
      • Archive
    • World Academy of Sciences Journal
      • World Academy of Sciences Journal
      • Information for Authors
      • Editorial Policies
      • Editorial Board
      • Aims and Scope
      • Abstracting and Indexing
      • Bibliographic Information
      • Archive
    • International Journal of Functional Nutrition
      • International Journal of Functional Nutrition
      • Information for Authors
      • Editorial Policies
      • Editorial Board
      • Aims and Scope
      • Abstracting and Indexing
      • Bibliographic Information
      • Archive
    • International Journal of Epigenetics
      • International Journal of Epigenetics
      • Information for Authors
      • Editorial Policies
      • Editorial Board
      • Aims and Scope
      • Abstracting and Indexing
      • Bibliographic Information
      • Archive
    • Medicine International
      • Medicine International
      • Information for Authors
      • Editorial Policies
      • Editorial Board
      • Aims and Scope
      • Abstracting and Indexing
      • Bibliographic Information
      • Archive
  • Articles
  • Information
    • Information for Authors
    • Information for Reviewers
    • Information for Librarians
    • Information for Advertisers
    • Conferences
  • Language Editing
Spandidos Publications Logo
  • About
    • About Spandidos
    • Aims and Scopes
    • Abstracting and Indexing
    • Editorial Policies
    • Reprints and Permissions
    • Job Opportunities
    • Terms and Conditions
    • Contact
  • Journals
    • All Journals
    • Biomedical Reports
      • Information for Authors
      • Editorial Policies
      • Editorial Board
      • Aims and Scope
      • Abstracting and Indexing
      • Bibliographic Information
      • Archive
    • Experimental and Therapeutic Medicine
      • Information for Authors
      • Editorial Policies
      • Editorial Board
      • Aims and Scope
      • Abstracting and Indexing
      • Bibliographic Information
      • Archive
    • International Journal of Epigenetics
      • Information for Authors
      • Editorial Policies
      • Editorial Board
      • Aims and Scope
      • Abstracting and Indexing
      • Bibliographic Information
      • Archive
    • International Journal of Functional Nutrition
      • Information for Authors
      • Editorial Policies
      • Editorial Board
      • Aims and Scope
      • Abstracting and Indexing
      • Bibliographic Information
      • Archive
    • International Journal of Molecular Medicine
      • Information for Authors
      • Editorial Policies
      • Editorial Board
      • Aims and Scope
      • Abstracting and Indexing
      • Bibliographic Information
      • Archive
    • International Journal of Oncology
      • Information for Authors
      • Editorial Policies
      • Editorial Board
      • Aims and Scope
      • Abstracting and Indexing
      • Bibliographic Information
      • Archive
    • Medicine International
      • Information for Authors
      • Editorial Policies
      • Editorial Board
      • Aims and Scope
      • Abstracting and Indexing
      • Bibliographic Information
      • Archive
    • Molecular and Clinical Oncology
      • Information for Authors
      • Editorial Policies
      • Editorial Board
      • Aims and Scope
      • Abstracting and Indexing
      • Bibliographic Information
      • Archive
    • Molecular Medicine Reports
      • Information for Authors
      • Editorial Policies
      • Editorial Board
      • Aims and Scope
      • Abstracting and Indexing
      • Bibliographic Information
      • Archive
    • Oncology Letters
      • Information for Authors
      • Editorial Policies
      • Editorial Board
      • Aims and Scope
      • Abstracting and Indexing
      • Bibliographic Information
      • Archive
    • Oncology Reports
      • Information for Authors
      • Editorial Policies
      • Editorial Board
      • Aims and Scope
      • Abstracting and Indexing
      • Bibliographic Information
      • Archive
    • World Academy of Sciences Journal
      • Information for Authors
      • Editorial Policies
      • Editorial Board
      • Aims and Scope
      • Abstracting and Indexing
      • Bibliographic Information
      • Archive
  • Articles
  • Information
    • For Authors
    • For Reviewers
    • For Librarians
    • For Advertisers
    • Conferences
  • Language Editing
Login Register Submit
  • This site uses cookies
  • You can change your cookie settings at any time by following the instructions in our Cookie Policy. To find out more, you may read our Privacy Policy.

    I agree
Search articles by DOI, keyword, author or affiliation
Search
Advanced Search
presentation
Oncology Letters
Join Editorial Board Propose a Special Issue
Print ISSN: 1792-1074 Online ISSN: 1792-1082
Journal Cover
May-2026 Volume 31 Issue 5

Full Size Image

Sign up for eToc alerts
Recommend to Library

Journals

International Journal of Molecular Medicine

International Journal of Molecular Medicine

International Journal of Molecular Medicine is an international journal devoted to molecular mechanisms of human disease.

International Journal of Oncology

International Journal of Oncology

International Journal of Oncology is an international journal devoted to oncology research and cancer treatment.

Molecular Medicine Reports

Molecular Medicine Reports

Covers molecular medicine topics such as pharmacology, pathology, genetics, neuroscience, infectious diseases, molecular cardiology, and molecular surgery.

Oncology Reports

Oncology Reports

Oncology Reports is an international journal devoted to fundamental and applied research in Oncology.

Experimental and Therapeutic Medicine

Experimental and Therapeutic Medicine

Experimental and Therapeutic Medicine is an international journal devoted to laboratory and clinical medicine.

Oncology Letters

Oncology Letters

Oncology Letters is an international journal devoted to Experimental and Clinical Oncology.

Biomedical Reports

Biomedical Reports

Explores a wide range of biological and medical fields, including pharmacology, genetics, microbiology, neuroscience, and molecular cardiology.

Molecular and Clinical Oncology

Molecular and Clinical Oncology

International journal addressing all aspects of oncology research, from tumorigenesis and oncogenes to chemotherapy and metastasis.

World Academy of Sciences Journal

World Academy of Sciences Journal

Multidisciplinary open-access journal spanning biochemistry, genetics, neuroscience, environmental health, and synthetic biology.

International Journal of Functional Nutrition

International Journal of Functional Nutrition

Open-access journal combining biochemistry, pharmacology, immunology, and genetics to advance health through functional nutrition.

International Journal of Epigenetics

International Journal of Epigenetics

Publishes open-access research on using epigenetics to advance understanding and treatment of human disease.

Medicine International

Medicine International

An International Open Access Journal Devoted to General Medicine.

Journal Cover
May-2026 Volume 31 Issue 5

Full Size Image

Sign up for eToc alerts
Recommend to Library

  • Article
  • Citations
    • Cite This Article
    • Download Citation
    • Create Citation Alert
    • Remove Citation Alert
    • Cited By
  • Similar Articles
    • Related Articles (in Spandidos Publications)
    • Similar Articles (Google Scholar)
    • Similar Articles (PubMed)
  • Download PDF
  • Download XML
  • View XML
Case Report Open Access

Primary clear‑cell carcinoma of the liver with gastric antrum metastasis: Integrated management with targeted therapy, immunotherapy and salvage surgery: A case report

  • Authors:
    • Lianshan Zhan
    • Qianwei Li
    • Tian Tian
    • Long Wang
  • View Affiliations / Copyright

    Affiliations: Department of Nuclear Medicine, Guiqian International Hospital, Guiyang, Guizhou 551008, P.R. China, Department of Pathology, Guiqian International Hospital, Guiyang, Guizhou 551008, P.R. China
    Copyright: © Zhan et al. This is an open access article distributed under the terms of Creative Commons Attribution License.
  • Article Number: 163
    |
    Published online on: March 6, 2026
       https://doi.org/10.3892/ol.2026.15516
  • Expand metrics +
Metrics: Total Views: 0 (Spandidos Publications: | PMC Statistics: )
Metrics: Total PDF Downloads: 0 (Spandidos Publications: | PMC Statistics: )
Cited By (CrossRef): 0 citations Loading Articles...

This article is mentioned in:


Abstract

This study reports the case of a patient diagnosed with primary clear‑cell carcinoma of the liver (PCCCL). Intrahepatic metastasis transpired 1 month subsequent to the resection of the intrahepatic primary lesion. Subsequently, the patient commenced systemic treatment utilizing a combination of targeted drugs and programmed cell death‑1 inhibitor. Immune‑related adverse events (irAEs) manifested during the treatment process, encompassing persistent myelosuppression, hypothyroidism and a substantial elevation of adrenocorticotropic hormone levels. Rare gastric metastasis was identified during the follow‑up course. Through multidisciplinary collaboration, entailing the sequential or combined implementation of surgery, targeted therapy and immunotherapy, along with the effective management of irAEs, the primary tumor, intrahepatic metastases and gastric metastasis in the patient were all effectively controlled. At the final follow‑up, no signs of recurrence or metastasis were observed. This case underscores the highly invasive attributes of PCCCL, the diverse metastatic modalities (particularly the rare gastric metastasis), the actual efficacy of systemic treatment and the importance of complex irAE management, thus offering key guidelines for clinical practice.

Introduction

Primary clear-cell carcinoma of the liver (PCCCL) is an infrequent subtype of hepatocellular carcinoma (HCC), with its incidence constituting 3–7% of all cases of HCC. Pathologically, >50% of the tumor cells display clear cytoplasm replete with glycogen. In comparison with common HCC, certain reports propose that PCCCL may possess relatively lower invasiveness and a more favorable prognosis. However, other investigations have indicated that it is predisposed to microvascular invasion (MVI) and extra-hepatic metastasis (1). As a result, the overall survival outcome of PCCCL remains a subject of contention.

While clear cell morphology can also occur in metastatic renal cell carcinoma and other primary hepatic neoplasms, immunohistochemical (IHC) confirmation of hepatocellular origin using markers such as hepatocyte paraffin antigen 1 (HepPar-1), arginase-1 (Arg-1) and glypican-3 (GPC3) becomes essential for the accurate diagnosis of PCCCL (2,3). Furthermore, recent genomic studies have revealed that PCCCL may harbor distinct molecular alterations compared with conventional HCC, including a lower frequency of tumor protein 53 mutations and enrichment of catenin β1 mutations, which could partially explain its relatively indolent behavior in a subset of patients (4).

Currently, the treatment of advanced PCCCL primarily adheres to the HCC diagnosis and treatment guidelines, with surgical intervention serving as the cornerstone of treatment. The combination of targeted therapy and immune checkpoint inhibitors, such as programmed cell death (PD)-1 monoclonal antibodies, is assuming an increasingly prominent role (5). Nevertheless, there is still a substantial dearth of data regarding the differential efficacy of this subtype in systemic treatment and its long-term survival rates. The present case report aims to augment the diagnostic and therapeutic approaches and experiences of PCCCL in clinical practice.

Case report

A 37-year-old female patient was admitted to the hospital in October 2021, presenting with persistent distending pain in the right upper abdomen for 15 days. Throughout the disease course, the patient did not exhibit any symptoms such as nausea, vomiting, anorexia, fatigue, fever, chills or jaundice. The past medical, family and personal history of the patient was unremarkable. Upon admission, a series of laboratory examinations were carried out (normal reference values are provided in parentheses): Alanine aminotransferase was 27.7 U/l (7.0–40.0 U/l), aspartate aminotransferase was 21.5 U/l (13.0–35.0 U/l) and total bilirubin was 9.0 µmol/l (5.0–21.0 µmol/l). The results of the hepatitis B serological profile were as follows: Hepatitis B surface antigen (HBsAg), <0.1 index (<1 index); antibody to hepatitis B surface antigen, 17.9 mIU/ml (<8.0 mIU/ml); hepatitis Be antigen, 0 index (<0.8 index); hepatitis Be antibody, 0.2 index (<0.8 index) and hepatitis B core antibody, 0.1 index (<0.5 index). The α-fetoprotein (AFP) level was 33.9 ng/ml (<25.0 ng/ml), and no elevation was detected in carcinoembryonic antigen, ferritin or carbohydrate antigen 19-9. Abdominal computed tomography (CT) revealed that the liver maintained its normal shape and size. However, an irregular mixed-density mass (containing fat density; Fig. 1A) was identified in segment S6 of the liver. In October 2021, the patient underwent resection of this segment S6. During the operation, the liver was found to be of normal size, with a soft texture and a healthy red color. The exophytic mass in segment S6 of the liver was densely adherent to the omentum of the hepatic flexure of the colon. The tumor had two areas of rupture, accompanied by tiny nodules in the adjacent omentum. Postoperative pathological examination indicated clear cell carcinoma in segment S6 of the liver. In >50% of the tumor cells, clear cytoplasm was observed, which was rich in glycogen (Fig. 1E). According to the Edmondson-Steiner grading system, the mass was classified as grade III. MVI was present (MVI grading, M2), and cancer metastasis was evident in the omental nodules. IHC analysis showed positive results for hepatocyte (Fig. 1F), GPC3 (Fig. 1G) and Ki-67 (40% positive) (Fig. 1H). The postoperative diagnosis was PCCCL (Clinical Research Group of Liver Cancer stage IIIa).

(A) Preoperative non-contrast CT
revealed an irregular, mixed-density mass situated in segment S6
(as indicated by the yellow arrow in the figure, the same applies
to B-D), which contained fat components. The mass measured
7.31×4.92 cm, with CT values ranging from −11 to 34 HU. (B) During
the arterial phase of CT enhancement scanning, multiple small
vessels traverse the tumor, demonstrating moderate heterogeneous
enhancement. (C) In the venous phase and (D) the delayed phase, the
degree of enhancement diminishes, manifesting as the characteristic
of ‘fast-in and fast-out’. (E) H&E staining revealed that the
tumor tissue was predominantly constituted by a high proportion
(80%) of vacuolated clear cells. The tumor cells were arranged in a
sheet-like or nested configuration and exhibited a large cell
volume. The cytoplasm appeared transparent and vacuolated, whereas
the nuclei demonstrated irregular morphologies, suggesting marked
nuclear atypia. Notably, mitotic figures were rarely observed
(scale bar, 50 µm). (F-H) Immunohistochemistry: (F) Hepatocyte (+),
(G) glypican-3 (−) and (H) Ki-67 40% (scale bar, 50 µm).

Figure 1.

(A) Preoperative non-contrast CT revealed an irregular, mixed-density mass situated in segment S6 (as indicated by the yellow arrow in the figure, the same applies to B-D), which contained fat components. The mass measured 7.31×4.92 cm, with CT values ranging from −11 to 34 HU. (B) During the arterial phase of CT enhancement scanning, multiple small vessels traverse the tumor, demonstrating moderate heterogeneous enhancement. (C) In the venous phase and (D) the delayed phase, the degree of enhancement diminishes, manifesting as the characteristic of ‘fast-in and fast-out’. (E) H&E staining revealed that the tumor tissue was predominantly constituted by a high proportion (80%) of vacuolated clear cells. The tumor cells were arranged in a sheet-like or nested configuration and exhibited a large cell volume. The cytoplasm appeared transparent and vacuolated, whereas the nuclei demonstrated irregular morphologies, suggesting marked nuclear atypia. Notably, mitotic figures were rarely observed (scale bar, 50 µm). (F-H) Immunohistochemistry: (F) Hepatocyte (+), (G) glypican-3 (−) and (H) Ki-67 40% (scale bar, 50 µm).

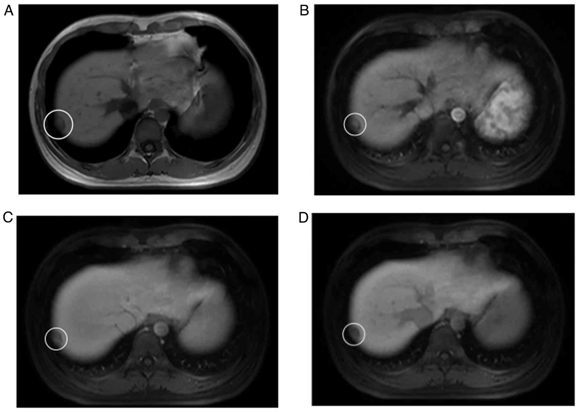
In November 2021, prior to planned further systemic treatment, a follow-up abdominal MRI showed a newly detected subcapsular nodule (18×10 mm) in segmen 7 (S7) of the liver. On T1-weighted imaging, it presented as a slightly hypointense signal lesion (Fig. 2A). Contrast-enhanced scanning showed mild heterogeneous enhancement, and there was no contrast agent uptake during the hepatobiliary-specific phase, which was diagnosed as intrahepatic metastasis (Fig. 2B-D). Subsequently, the patient was administered a combination therapy of lenvatinib (8 mg once daily) and toripalimab (240 mg).

At 1 month after resection of the
primary tumor of liver segment S6, MRI findings were as follows:
(A) As shown by the white circle, the hepatic nodule in segment 7
presents with a slightly hypointense signal on T1-weighted imaging
and an annular hypointense capsule is observable. (B) In the
arterial phase of contrast-enhanced scanning, the lesion manifests
with mild heterogeneous enhancement without capsular enhancement.
In the (C) portal venous and (D) delayed phase, the extent of
enhancement diminishes.

Figure 2.

At 1 month after resection of the primary tumor of liver segment S6, MRI findings were as follows: (A) As shown by the white circle, the hepatic nodule in segment 7 presents with a slightly hypointense signal on T1-weighted imaging and an annular hypointense capsule is observable. (B) In the arterial phase of contrast-enhanced scanning, the lesion manifests with mild heterogeneous enhancement without capsular enhancement. In the (C) portal venous and (D) delayed phase, the extent of enhancement diminishes.

Following the completion of six cycles of immunotherapy, an abdominal CT in July 2022 revealed that the nodule in the liver had not notably diminished in size (17.0×11.0 mm). The treatment regimen was adjusted to lenvatinib at 8 mg once daily in combination with tislelizumab at 200.0 mg every 3 weeks for maintenance treatment. Endoscopy examination indicated antral gastritis and inflammatory alterations in the terminal ileum and the colon. Persistent myelosuppression was noted, with a white blood cell count of 3.3×109/l. Thyroid function was abnormal, with the following specific parameters: Thyroid stimulating hormone, 22.6 mIU/l (0.5–4.7 mIU/l); FT3 and FT4 were normal. The adrenocorticotropic hormone (ACTH) level was 32.4 pg/ml (1.6–13.9 pg/ml between 7:00 and 10:00 a.m.). The patient was regularly followed up in the outpatient clinic during this period and continued to receive combination therapy with lenvatinib and tislelizumab. In August 2023, laboratory results revealed an ACTH concentration of 816.0 pg/ml, the patient experienced an immune-related adverse event (irAEs). As a result, immunotherapy was temporarily suspended. An abdominal CT scan 2 months later indicated that the nodule in the liver had regressed to 10.0×9.0 mm. A laparoscopic resection of liver S7 was performed. The pathological report suggested that the nodule exhibited necrosis subsequent to the treatment for HCC. A postoperative ACTH level of 69.8 pg/ml confirmed the condition and maintenance therapy with lenvatinib combined with tislelizumab was continued.

In June 2024, the patient was admitted to the same hospital presenting with ‘melena accompanied by dizziness, fatigue and transient aphasia’. Blood routine examination results showed a hemoglobin level of 70.0 g/l (115.0–170.0 g/l) and the fecal occult blood test was positive. Gastroscopy revealed a 2.5-cm submucosal elevation at the greater curvature of the gastric antrum, with ulceration and bleeding at the apex (Fig. 3A). Abdominal CT showed thickening of the gastric antrum wall ≤21.0 mm. 18F-fluorodeoxyglucose (18F-FDG) positron emission tomography/CT (PET/CT) imaging indicated increased 18F-FDG uptake of the gastric antrum mass (Fig. 3B); no other abnormalities were detected throughout the body. After blood transfusion and acid-suppressing and gastric-protecting therapies, the symptoms of the patient were alleviated. In July 2024, the patient underwent a distal gastrectomy with gastrojejunostomy. Based on gastroscopy findings, 18F-FDG PET/CT imaging results and pathological analysis of the gastric antral tumor (Fig. 3), the final diagnosis was metastatic hepatocellular carcinoma. The tumor was located in the whole layer of the gastric wall, without penetration of the serosa layer and the resection margins were negative. IHC analysis showed hepatocyte (−) (Fig. 3C), Arg-1 (+) (Fig. 3D) and GPC3 (+) (Fig. 3E). All tissue samples were fixed in 4% formaldehyde, embedded in paraffin and sectioned. Histological assessment: Tissue samples were fixed in 4% formaldehyde at room temperature for 24 h, then embedded in paraffin. Sections of 4 µm thickness were cut and stained with H&E according to standard protocols. Briefly, sections were deparaffinized, rehydrated, stained with hematoxylin for 5 min at room temperature, washed, stained with eosin for 2 min at room temperature, dehydrated, and mounted. Images were captured using a light microscope (BX53; Olympus Corp.) at ×200 magnification; scale bars are indicated in the figure legends.

Non-continuous lenvatinib combined
with tislelizumab after 23 months of treatment. (A) Gastroscopic
examination reveals a submucosal elevated lesion, measuring 2.5 cm
on the anterior wall of the gastric antrum. The surface of the
lesion is irregular, with localized areas covered by a small
quantity of white exudate and dark-red blood clots. (B)
18F-FDG PET/CT imaging indicates increased FDG uptake
within the lesion, with a maximum standardized uptake volume of
11.3 (yellow arrow). (C-E) Immunohistochemistry: (C) Hepatocyte
(−), (D) Arg-1 (+) and (E) glypican- 3 (+) (scale bars, 50 µm).
FDG, fluorodeoxyglucose.

Figure 3.

Non-continuous lenvatinib combined with tislelizumab after 23 months of treatment. (A) Gastroscopic examination reveals a submucosal elevated lesion, measuring 2.5 cm on the anterior wall of the gastric antrum. The surface of the lesion is irregular, with localized areas covered by a small quantity of white exudate and dark-red blood clots. (B) 18F-FDG PET/CT imaging indicates increased FDG uptake within the lesion, with a maximum standardized uptake volume of 11.3 (yellow arrow). (C-E) Immunohistochemistry: (C) Hepatocyte (−), (D) Arg-1 (+) and (E) glypican- 3 (+) (scale bars, 50 µm). FDG, fluorodeoxyglucose.

IHC analysis: IHC was performed on 4-µm paraffin sections using a Roche Ventana Benchmark XT automated staining system (Roche Diagnostics) following the manufacturer's instructions. The staining protocol included deparaffinization, antigen retrieval (CCI solution; Roche Diagnostics) and blocking of endogenous peroxidase. Sections were incubated with primary antibodies against HepPar-1 (cat. no. ZM-0133; 1:100 dilution), GPC3 (cat. no. ZM-0356; 1:200 dilution), Arg-1 (cat. no. ZM-0235; 1:200 dilution) and Ki-67 (ZM-0166; 1:150 dilution). All antibodies were obtained from Shanghai Zhongshan Jinqiao Biotechnology Co., Ltd. All primary antibodies were incubated at 37°C for 32 min. Detection was performed using the UltraView Universal DAB Detection Kit (Roche Diagnostics) according to the manufacturer's protocol, which includes a secondary antibody (goat anti-mouse/rabbit IgG conjugated with horseradish peroxidase). The sections were counterstained with hematoxylin, dehydrated and mounted. Appropriate positive and negative controls were included. Images were captured with a light microscope (Olympus BX53) at ×200 magnification.

After 2 months of recovery, the patient was switched to the second-line treatment for liver cancer: Apatinib 750 mg once a day, combined with tislelizumab. As of the last follow-up in July 2025, there was no evidence indicating recurrence or metastasis.

Discussion

There are no significant differences in age, sex, preoperative AFP level, liver cirrhosis and clinical symptoms between patients with PCCCL and those with common HCC (CHCC) (6). However, the incidence of hepatitis C infection in patients with PCCCL is higher compared with that of patients with CHCC. The clinical diagnosis mainly relies on pathological examination: The cancer cells of PCCCL are characterized by cytoplasm rich in glycogen or fat, a decrease in the number and volume of organelles and mild nuclear atypia. Histological examination reveals a moderate degree of differentiation (7). Therefore, some literature reports indicate that the prognosis of this disease is generally favorable compared with that of CHCC (8). Although rare, gastric metastasis of HCC has been previously documented in the literature (9).

The contrast-enhanced CT images of the lesion in the present case report demonstrate moderate heterogeneous enhancement during the arterial phase, accompanied by multiple small arteries traversing the lesion. In the venous and delayed phases, the enhancement diminishes, presenting a typical ‘fast in, fast out’ enhancement pattern similar to that of CHCC. However, CHCC typically exhibits less and milder fatty degeneration. Additionally, the relatively distinct mass boundary and pseudocapsule shadow differ from the infiltrative growth and indistinct boundaries commonly observed in CHCC of the same size or grade (10). PET/CT has limited sensitivity in the initial diagnosis of HCC. Notably, 18F-FDG PET/CT does not offer superior detection efficiency for small intrahepatic metastases compared to contrast-enhanced MRI. Therefore, 18F-FDG PET/CT was not performed prior to the initial surgery. During the histological section examination, it was found that clear cells accounted for >50%. Furthermore, immunohistochemistry results indicated that both the liver-specific antigens hepatocyte and glypican-3 were positive. Considering the absence of abnormalities in other organs detected by imaging, the final diagnosis was confirmed as PCCCL. During the advanced stage of the tumor, the clinical symptoms of the patient lacked specificity. However, the lesion pattern observed by gastroscopy is different from the typical ulcerative or infiltrative growth patterns of primary gastric cancer. By contrast, on enhanced CT scans, the enhancement degree of the gastric antrum lesions was relatively lower compared with that of the primary liver lesions and there was no fat component. This reflected the fundamental difference in tumor cell growth in different microenvironments. To the best of our knowledge, at present, the mechanisms of gastric metastasis of PCCCL remain to be elucidated. It is speculated that renal clear cell carcinoma, which often has distant metastases, may be associated with the abundance of tumor cells, feeding arteries and MVI. Arg-1 exhibits high specificity for HCC; its positivity in the metastasis would strongly confirm a hepatic origin (2). Glypican-3 was focally positive in the gastric metastases, which supported the hepatocyte origin (3). Secondly, hepatocyte (+) in the primary lesion suggests improved differentiation of hepatocytes, while hepatocyte (−) in the metastatic lesion may indicate that the degree of differentiation of metastatic tumor cells had decreased or that they had dedifferentiated, and certain liver phenotypes had been lost (11). This corresponds to the features of the metastatic lesion on 18F-FDG PET/CT imaging (SUVmax=11.3) (12).

As of present, the treatment protocol for PCCCL remains grounded in the general treatment principles of HCC. The patient demonstrated a stable overall health status, with all liver function indices falling within the normal range. Integrating the findings of preoperative imaging examinations, radical resection was identified as the most suitable treatment approach. For the subsequent two surgeries, both the timing and methodology were strictly aligned with current treatment principles. For resectable lesions, including the primary tumor, intrahepatic recurrence foci and symptomatic solitary gastric metastases, proactive surgical intervention is pivotal in controlling local lesions and attaining survival benefits (13). In recent years, clinical investigations into targeted therapy, immunotherapy (both as monotherapy and combination regimens) for advanced HCC have yielded promising results regarding efficacy and safety profiles, thereby informing the selection of first-line therapeutic strategies. For instance, the REFLECT trial demonstrated that lenvatinib was non-inferior to sorafenib in terms of overall survival (OS) among patients with advanced HCC, solidifying the role of lenvatinib as a first-line treatment option for this patient population (14). A separate retrospective study further indicated that the combination of toripalimab, lenvatinib and hepatic artery infusion chemotherapy markedly improved progression-free survival, OS and tumor response rates when compared with lenvatinib monotherapy in the management of advanced HCC (15). Consequently, the patient in the present case report was administered the potent combination regimen of lenvatinib plus a PD-1 inhibitor, which aligns with the recommendations outlined in clinical practice guidelines. However, following the completion of six treatment cycles, CT evaluation revealed no notable reduction in the metastatic lesion located in S7 of the liver. In contrast with toripalimab, tislelizumab features structural modifications to its Fc region, which mitigate macrophage-mediated T-cell exhaustion and theoretically enhance anti-tumor immune responses (16). As evidenced by subsequent imaging studies, switching to the combination therapy of tislelizumab and lenvatinib resulted in a reduction in the liver S7 lesion, thereby facilitating subsequent surgical intervention. Nevertheless, the patient experienced exacerbation of irAEs, necessitating the temporary suspension of immunotherapy. After a 3-month interval during which the irAEs subsided, the first-line treatment regimen was reinitiated.

Given the heterogeneity of HCC, tumor progression frequently ensues following first-line systemic therapy. The low incidence of PCCCL has also constrained the clinical synthesis of therapeutic strategies for PCCCL metastasis. The phenomenon of ‘hyperprogressive disease’ was first defined in 2017 by Champiat et al (17). It refers to disease progression that meets the Response Evaluation Criteria in Solid Tumors at the first imaging evaluation, along with at least a two-fold increase in the tumor growth rate. This phenomenon may be associated with various factors, including specific genetic alterations and immune microenvironment dysregulation. In the present case, however, a young female patient developed gastric antral metastasis 8 months after resuming immunotherapy following a 3-month treatment pause. It is reasonable to consider this progression part of the natural disease course. Apatinib exhibits high specificity for VEGFR-2 binding without antagonizing VEGFR-3, thereby failing to impede the activation of T cells stimulated by immune checkpoint inhibitors and preserving the lymphoid-immune system. Apatinib has been approved for patients with HCC who have experienced failure of or intolerance to at least one prior line of systemic antineoplastic therapy (18). Subsequent to the re-failure of PD-1 inhibitor therapy, the patient demonstrated a favorable response to the combination regimen of apatinib and tislelizumab, with no evidence of tumor recurrence observed during follow-up to the present date.

Acknowledgements

Not applicable.

Funding

Funding: No funding was received.

Availability of data and materials

The data generated in the present study may be requested from the corresponding author.

Authors' contributions

LZ contributed to the acquisition and analysis of data, was primarily responsible for collecting the patient's complete clinical data, including imaging, pathology, and follow-up records, participated in the interpretation of data regarding the treatment response and outcome and drafted the initial version of the case report and methods sections of the manuscript. TT contributed to the conception and design of this case study, contributed to the analysis and interpretation of the pathological findings, particularly regarding the rare diagnosis of primary clear-cell carcinoma and critically revised the manuscript for important intellectual content, specifically the discussion section. QL and LW conceived the concept of the article and critically revised the manuscript. LZ and QL confirm the authenticity of all raw data. All authors have read and agreed to the published version of the manuscript.

Ethics approval and consent to participate

Not applicable.

Patient consent for publication

The patient provided written informed consent for the publication of her case details, including clinical data and images.

Competing interests

The authors declare that they have no competing interests.

References

1 

Dudani S, de Velasco G, Wells JC, Gan CL, Donskov F, Porta C, Fraccon A, Pasini F, Lee JL, Hansen A, et al: Evaluation of clear cell, papillary, and chromophobe renal cell carcinoma metastasis sites and association with survival. JAMA Netw Open. 4:e20218692021. View Article : Google Scholar : PubMed/NCBI

2 

Yan BC, Gong C, Song J, Krausz T, Tretiakova M, Hyjek E, Al-Ahmadie H, Alves V, Xiao SY, Anders RA and Hart JA: Arginase-1: A new immunohistochemical marker of hepatocytes and hepatocellular neoplasms. Am J Surg Pathol. 34:1147–1154. 2010. View Article : Google Scholar : PubMed/NCBI

3 

Ligato S, Mandich D and Cartun RW: Utility of glypican-3 in differentiating hepatocellular carcinoma from other primary and metastatic lesions in FNA of the liver: an immunocytochemical study. Mod Pathol. 21:626–631. 2008. View Article : Google Scholar : PubMed/NCBI

4 

Calderaro J, Couchy G, Imbeaud S, Amaddeo G, Letouzé E, Blanc JF, Laurent C, Hajji Y, Azoulay D, Bioulac-Sage P, et al: Histological subtypes of hepatocellular carcinoma are related to gene mutations and molecular tumour classification. J Hepatol. 67:727–738. 2017. View Article : Google Scholar : PubMed/NCBI

5 

Donne R and Lujambio A: The liver cancer immune microenvironment: Therapeutic implications for hepatocellular carcinoma. Hepatology. 77:1773–1796. 2023. View Article : Google Scholar : PubMed/NCBI

6 

Liu B, Li J, Yang X, Chen F, Zhang Y and Li H: Diagnosis of primary clear cell carcinoma of the liver based on Faster region-based convolutional neural network. Chin Med J (Engl). 136:2706–2711. 2023. View Article : Google Scholar : PubMed/NCBI

7 

Liu Z, Ma W, Li H and Li Q: Clinicopathological and prognostic features of primary clear cell carcinoma of the liver. Hepatol Res. 38:291–299. 2008. View Article : Google Scholar : PubMed/NCBI

8 

Li ZY, Bi XY, Zhao JJ, Zhao H, Zhou JG, Huang Z, Cai JQ and Zheng XC: Clinicopathological and prognostic analysis of primary clear cell carcinoma of the liver. Zhonghua Zhong Liu Za Zhi (Chinese). 35:140–143. 2013.PubMed/NCBI

9 

Chen WT, Huang SK, Chang ML and Liaw YF: Hepatocellular carcinoma with gastric metastasis mimicking a 4 cm gastrointestinal stromal tumor after a 3-year disease-free interval. J Clin Transl Hepatol. 12:218–221. 2024.PubMed/NCBI

10 

Wang H, Tan B, Zhao B, Gong G and Xu Z: CT findings of primary clear cell carcinoma of liver: With analysis of 19 cases and review of the literature. Abdom Imaging. 39:736–743. 2014. View Article : Google Scholar : PubMed/NCBI

11 

Hanif R and Mansoor S: Hep par-1: A novel immunohistochemical marker for differentiating hepatocellular carcinoma from metastatic carcinoma. J Coll Physicians Surg Pak. 24:186–189. 2014.PubMed/NCBI

12 

Yao Y, Civelek AC and Li XF: The application of 18F-FDG PET/CT imaging for human hepatocellular carcinoma: A narrative review. Quant Imaging Med Surg. 13:6268–6279. 2023. View Article : Google Scholar : PubMed/NCBI

13 

Yang X, Yang C, Zhang S, Geng H, Zhu AX, Bernards R, Qin W, Fan J, Wang C and Gao Q: Precision treatment in advanced hepatocellular carcinoma. Cancer Cell. 42:180–197. 2024. View Article : Google Scholar : PubMed/NCBI

14 

Kudo M, Finn RS, Qin S, Han KH, Ikeda K, Piscaglia F, Baron A, Park JW, Han G, Jassem J, et al: Lenvatinib versus sorafenib in first-line treatment of patients with unresectable hepatocellular carcinoma: A randomised phase 3 non-inferiority trial. Lancet. 391:1163–1173. 2018. View Article : Google Scholar : PubMed/NCBI

15 

Li Y, Wang D, Zhang F, Zheng X, Song Y, Ran Y and Cai X: Hepatic arterial infusion chemotherapy combined with lenvatinib and toripalimab for large hepatocellular carcinoma (>10 cm) with major portal vein tumor thrombosis: A multicenter propensity score matching analysis. Front Immunol. 16:16381732025. View Article : Google Scholar : PubMed/NCBI

16 

Zhang T, Song X, Xu L, Ma J, Zhang Y, Gong W, Zhang Y, Zhou X, Wang Z, Wang Y, et al: The binding of an anti-PD-1 antibody to FcγRI has a profound impact on its biological functions. Cancer Immunol Immunother. 67:1079–1090. 2018. View Article : Google Scholar : PubMed/NCBI

17 

Champiat S, Dercle L, Ammari S, Massard C, Hollebecque A, Postel-Vinay S, Chaput N, Eggermont A, Marabelle A, Soria JC and Ferté C: Hyperprogressive disease is a new pattern of progression in cancer patients treated by anti-PD-1/PD-L1. Clin Cancer Res. 23:1920–1928. 2017. View Article : Google Scholar : PubMed/NCBI

18 

Yu J, Yu J, Chen Y, Yang Y and Yi P: PD-1 inhibitors improve the efficacy of transcatheter arterial chemoembolization combined with apatinib in advanced hepatocellular carcinoma: A meta-analysis and trial sequential analysis. BMC Cancer. 25:5642025. View Article : Google Scholar : PubMed/NCBI

Related Articles

  • Abstract
  • View
  • Download
  • Twitter
Copy and paste a formatted citation
Spandidos Publications style
Zhan L, Li Q, Tian T and Wang L: Primary clear‑cell carcinoma of the liver with gastric antrum metastasis: Integrated management with targeted therapy, immunotherapy and salvage surgery: A case report. Oncol Lett 31: 163, 2026.
APA
Zhan, L., Li, Q., Tian, T., & Wang, L. (2026). Primary clear‑cell carcinoma of the liver with gastric antrum metastasis: Integrated management with targeted therapy, immunotherapy and salvage surgery: A case report. Oncology Letters, 31, 163. https://doi.org/10.3892/ol.2026.15516
MLA
Zhan, L., Li, Q., Tian, T., Wang, L."Primary clear‑cell carcinoma of the liver with gastric antrum metastasis: Integrated management with targeted therapy, immunotherapy and salvage surgery: A case report". Oncology Letters 31.5 (2026): 163.
Chicago
Zhan, L., Li, Q., Tian, T., Wang, L."Primary clear‑cell carcinoma of the liver with gastric antrum metastasis: Integrated management with targeted therapy, immunotherapy and salvage surgery: A case report". Oncology Letters 31, no. 5 (2026): 163. https://doi.org/10.3892/ol.2026.15516
Copy and paste a formatted citation
x
Spandidos Publications style
Zhan L, Li Q, Tian T and Wang L: Primary clear‑cell carcinoma of the liver with gastric antrum metastasis: Integrated management with targeted therapy, immunotherapy and salvage surgery: A case report. Oncol Lett 31: 163, 2026.
APA
Zhan, L., Li, Q., Tian, T., & Wang, L. (2026). Primary clear‑cell carcinoma of the liver with gastric antrum metastasis: Integrated management with targeted therapy, immunotherapy and salvage surgery: A case report. Oncology Letters, 31, 163. https://doi.org/10.3892/ol.2026.15516
MLA
Zhan, L., Li, Q., Tian, T., Wang, L."Primary clear‑cell carcinoma of the liver with gastric antrum metastasis: Integrated management with targeted therapy, immunotherapy and salvage surgery: A case report". Oncology Letters 31.5 (2026): 163.
Chicago
Zhan, L., Li, Q., Tian, T., Wang, L."Primary clear‑cell carcinoma of the liver with gastric antrum metastasis: Integrated management with targeted therapy, immunotherapy and salvage surgery: A case report". Oncology Letters 31, no. 5 (2026): 163. https://doi.org/10.3892/ol.2026.15516
Follow us
  • Twitter
  • LinkedIn
  • Facebook
About
  • Spandidos Publications
  • Careers
  • Cookie Policy
  • Privacy Policy
How can we help?
  • Help
  • Live Chat
  • Contact
  • Email to our Support Team