Spandidos Publications Logo
  • About
    • About Spandidos
    • Aims and Scopes
    • Abstracting and Indexing
    • Editorial Policies
    • Reprints and Permissions
    • Job Opportunities
    • Terms and Conditions
    • Contact
  • Journals
    • All Journals
    • Oncology Letters
      • Oncology Letters
      • Information for Authors
      • Editorial Policies
      • Editorial Board
      • Aims and Scope
      • Abstracting and Indexing
      • Bibliographic Information
      • Archive
    • International Journal of Oncology
      • International Journal of Oncology
      • Information for Authors
      • Editorial Policies
      • Editorial Board
      • Aims and Scope
      • Abstracting and Indexing
      • Bibliographic Information
      • Archive
    • Molecular and Clinical Oncology
      • Molecular and Clinical Oncology
      • Information for Authors
      • Editorial Policies
      • Editorial Board
      • Aims and Scope
      • Abstracting and Indexing
      • Bibliographic Information
      • Archive
    • Experimental and Therapeutic Medicine
      • Experimental and Therapeutic Medicine
      • Information for Authors
      • Editorial Policies
      • Editorial Board
      • Aims and Scope
      • Abstracting and Indexing
      • Bibliographic Information
      • Archive
    • International Journal of Molecular Medicine
      • International Journal of Molecular Medicine
      • Information for Authors
      • Editorial Policies
      • Editorial Board
      • Aims and Scope
      • Abstracting and Indexing
      • Bibliographic Information
      • Archive
    • Biomedical Reports
      • Biomedical Reports
      • Information for Authors
      • Editorial Policies
      • Editorial Board
      • Aims and Scope
      • Abstracting and Indexing
      • Bibliographic Information
      • Archive
    • Oncology Reports
      • Oncology Reports
      • Information for Authors
      • Editorial Policies
      • Editorial Board
      • Aims and Scope
      • Abstracting and Indexing
      • Bibliographic Information
      • Archive
    • Molecular Medicine Reports
      • Molecular Medicine Reports
      • Information for Authors
      • Editorial Policies
      • Editorial Board
      • Aims and Scope
      • Abstracting and Indexing
      • Bibliographic Information
      • Archive
    • World Academy of Sciences Journal
      • World Academy of Sciences Journal
      • Information for Authors
      • Editorial Policies
      • Editorial Board
      • Aims and Scope
      • Abstracting and Indexing
      • Bibliographic Information
      • Archive
    • International Journal of Functional Nutrition
      • International Journal of Functional Nutrition
      • Information for Authors
      • Editorial Policies
      • Editorial Board
      • Aims and Scope
      • Abstracting and Indexing
      • Bibliographic Information
      • Archive
    • International Journal of Epigenetics
      • International Journal of Epigenetics
      • Information for Authors
      • Editorial Policies
      • Editorial Board
      • Aims and Scope
      • Abstracting and Indexing
      • Bibliographic Information
      • Archive
    • Medicine International
      • Medicine International
      • Information for Authors
      • Editorial Policies
      • Editorial Board
      • Aims and Scope
      • Abstracting and Indexing
      • Bibliographic Information
      • Archive
  • Articles
  • Information
    • Information for Authors
    • Information for Reviewers
    • Information for Librarians
    • Information for Advertisers
    • Conferences
  • Language Editing
Spandidos Publications Logo
  • About
    • About Spandidos
    • Aims and Scopes
    • Abstracting and Indexing
    • Editorial Policies
    • Reprints and Permissions
    • Job Opportunities
    • Terms and Conditions
    • Contact
  • Journals
    • All Journals
    • Biomedical Reports
      • Information for Authors
      • Editorial Policies
      • Editorial Board
      • Aims and Scope
      • Abstracting and Indexing
      • Bibliographic Information
      • Archive
    • Experimental and Therapeutic Medicine
      • Information for Authors
      • Editorial Policies
      • Editorial Board
      • Aims and Scope
      • Abstracting and Indexing
      • Bibliographic Information
      • Archive
    • International Journal of Epigenetics
      • Information for Authors
      • Editorial Policies
      • Editorial Board
      • Aims and Scope
      • Abstracting and Indexing
      • Bibliographic Information
      • Archive
    • International Journal of Functional Nutrition
      • Information for Authors
      • Editorial Policies
      • Editorial Board
      • Aims and Scope
      • Abstracting and Indexing
      • Bibliographic Information
      • Archive
    • International Journal of Molecular Medicine
      • Information for Authors
      • Editorial Policies
      • Editorial Board
      • Aims and Scope
      • Abstracting and Indexing
      • Bibliographic Information
      • Archive
    • International Journal of Oncology
      • Information for Authors
      • Editorial Policies
      • Editorial Board
      • Aims and Scope
      • Abstracting and Indexing
      • Bibliographic Information
      • Archive
    • Medicine International
      • Information for Authors
      • Editorial Policies
      • Editorial Board
      • Aims and Scope
      • Abstracting and Indexing
      • Bibliographic Information
      • Archive
    • Molecular and Clinical Oncology
      • Information for Authors
      • Editorial Policies
      • Editorial Board
      • Aims and Scope
      • Abstracting and Indexing
      • Bibliographic Information
      • Archive
    • Molecular Medicine Reports
      • Information for Authors
      • Editorial Policies
      • Editorial Board
      • Aims and Scope
      • Abstracting and Indexing
      • Bibliographic Information
      • Archive
    • Oncology Letters
      • Information for Authors
      • Editorial Policies
      • Editorial Board
      • Aims and Scope
      • Abstracting and Indexing
      • Bibliographic Information
      • Archive
    • Oncology Reports
      • Information for Authors
      • Editorial Policies
      • Editorial Board
      • Aims and Scope
      • Abstracting and Indexing
      • Bibliographic Information
      • Archive
    • World Academy of Sciences Journal
      • Information for Authors
      • Editorial Policies
      • Editorial Board
      • Aims and Scope
      • Abstracting and Indexing
      • Bibliographic Information
      • Archive
  • Articles
  • Information
    • For Authors
    • For Reviewers
    • For Librarians
    • For Advertisers
    • Conferences
  • Language Editing
Login Register Submit
  • This site uses cookies
  • You can change your cookie settings at any time by following the instructions in our Cookie Policy. To find out more, you may read our Privacy Policy.

    I agree
Search articles by DOI, keyword, author or affiliation
Search
Advanced Search
presentation
Oncology Letters
Join Editorial Board Propose a Special Issue
Print ISSN: 1792-1074 Online ISSN: 1792-1082
Journal Cover
June-2026 Volume 31 Issue 6

Full Size Image

Sign up for eToc alerts
Recommend to Library

Journals

International Journal of Molecular Medicine

International Journal of Molecular Medicine

International Journal of Molecular Medicine is an international journal devoted to molecular mechanisms of human disease.

International Journal of Oncology

International Journal of Oncology

International Journal of Oncology is an international journal devoted to oncology research and cancer treatment.

Molecular Medicine Reports

Molecular Medicine Reports

Covers molecular medicine topics such as pharmacology, pathology, genetics, neuroscience, infectious diseases, molecular cardiology, and molecular surgery.

Oncology Reports

Oncology Reports

Oncology Reports is an international journal devoted to fundamental and applied research in Oncology.

Experimental and Therapeutic Medicine

Experimental and Therapeutic Medicine

Experimental and Therapeutic Medicine is an international journal devoted to laboratory and clinical medicine.

Oncology Letters

Oncology Letters

Oncology Letters is an international journal devoted to Experimental and Clinical Oncology.

Biomedical Reports

Biomedical Reports

Explores a wide range of biological and medical fields, including pharmacology, genetics, microbiology, neuroscience, and molecular cardiology.

Molecular and Clinical Oncology

Molecular and Clinical Oncology

International journal addressing all aspects of oncology research, from tumorigenesis and oncogenes to chemotherapy and metastasis.

World Academy of Sciences Journal

World Academy of Sciences Journal

Multidisciplinary open-access journal spanning biochemistry, genetics, neuroscience, environmental health, and synthetic biology.

International Journal of Functional Nutrition

International Journal of Functional Nutrition

Open-access journal combining biochemistry, pharmacology, immunology, and genetics to advance health through functional nutrition.

International Journal of Epigenetics

International Journal of Epigenetics

Publishes open-access research on using epigenetics to advance understanding and treatment of human disease.

Medicine International

Medicine International

An International Open Access Journal Devoted to General Medicine.

Journal Cover
June-2026 Volume 31 Issue 6

Full Size Image

Sign up for eToc alerts
Recommend to Library

  • Article
  • Citations
    • Cite This Article
    • Download Citation
    • Create Citation Alert
    • Remove Citation Alert
    • Cited By
  • Similar Articles
    • Related Articles (in Spandidos Publications)
    • Similar Articles (Google Scholar)
    • Similar Articles (PubMed)
  • Download PDF
  • Download XML
  • View XML
Case Report Open Access

Primary thoracic synovial sarcoma in a 45‑year‑old male: A case report and literature review

  • Authors:
    • Baolei Liang
    • Jichun Zhang
    • Mingqiang Shen
    • Cuilian Li
    • Mingxiao Hou
    • Yunen Liu
    • Qingyong Cai
  • View Affiliations / Copyright

    Affiliations: Department of Thoracic and Cardiovascular Surgery, The Fifth Affiliated Hospital, Southern Medical University, Guangzhou, Guangdong 510900, P.R. China, Department of Vascular Surgery, Weifang People's Hospital, Weifang, Shandong 261031, P.R. China, Shuren International College, Shenyang Medical College, Shenyang, Liaoning 110801, P.R. China
    Copyright: © Liang et al. This is an open access article distributed under the terms of Creative Commons Attribution License.
  • Article Number: 209
    |
    Published online on: March 31, 2026
       https://doi.org/10.3892/ol.2026.15564
  • Expand metrics +
Metrics: Total Views: 0 (Spandidos Publications: | PMC Statistics: )
Metrics: Total PDF Downloads: 0 (Spandidos Publications: | PMC Statistics: )
Cited By (CrossRef): 0 citations Loading Articles...

This article is mentioned in:


Abstract

Synovial sarcoma (SS), a rare soft tissue cancer, develops at various body sites, with a predominant occurrence in the limbs. This report presents a rare case of primary thoracic SS (PTSS) in a 45‑year‑old male patient, characterized by chronic cough and occasional shortness of breath. Imaging examination revealed a substantial tumor mass in the left thoracic cavity. Although preoperative biopsy misdiagnosed the tumor as a solitary fibrous tumor, postoperative molecular analysis revealed that the tumor was SS based on the characteristic t(X;18)(p11.2;q11.2) translocation. The precise origin of the tumor within the thoracic cavity remained unclear, and the involvement of the pleura, chest wall and mediastinum was considered. The patient underwent surgical resection of the tumor followed by adjuvant chemotherapy with doxorubicin and nedaplatin. Regrettably, the patient showed widespread metastatic progression 8 months post‑surgery and died 18 months thereafter because of tumor dissemination and associated complications. This case highlights the diagnostic challenges of PTSS and underscores the need for increased clinical awareness of rare thoracic tumors.

Introduction

Synovial sarcoma (SS), a relatively rare malignant soft tissue tumor, has been progressively understood since its first description in 1936 (1,2). Although it most frequently develops in the extremities, cases with a primary thoracic origin, referred to as primary thoracic SS (PTSS), are exceedingly rare, with only a few incidences reported in the literature (3–6). PTSS often shows nonspecific clinical features, with common symptoms such as cough, chest pain and shortness of breath, which could be easily misdiagnosed as frequently reported thoracic diseases, such as lung cancer or benign lung conditions.

PTSS poses major diagnostic challenges because of its rarity and its ability to mimic other malignancies. Its diagnosis often relies on the combination of imaging modalities, histopathological examination and molecular analysis. A key diagnostic feature of SS is the chromosomal translocation t(X;18)(p11.2;q11.2), detectable by techniques such as fluorescence in situ hybridization (FISH) and reverse transcription-polymerase chain reaction. However, in certain cases, the preoperative diagnosis can be difficult, as noted in the present case, where the tumor was initially misdiagnosed as a solitary fibrous tumor (SFT) based on histological and immunohistochemical (IHC) findings.

The origin of PTSS within the thoracic cavity remains controversial, with certain reports suggesting the involvement of the pleura, chest wall, mediastinum or a combination of these structures (7). Accurate localization of the tumor's primary site is crucial for appropriate staging and treatment planning; however, in numerous cases, including the present case, the precise origin cannot be definitively determined (8).

Given the limited number of PTSS cases and the lack of high-level evidence for standardized treatment protocols, therapeutic strategies often involve a combination of surgery, chemotherapy and radiation therapy customized according to the patient's health condition. However, the prognosis for PTSS remains poor, with a high risk of recurrence and metastasis (9).

The current study presents the case of a patient diagnosed with PTSS, who, despite receiving surgical tumor resection and subsequent adjuvant chemotherapy, died due to widespread metastasis and associated complications.

Case report

A 45-year-old male presented to The Second Forestry Hospital of Heilongjiang Province (Yichun, China) in April 2021 with persistent chest pain and dyspnea. The patient's medical history was notable for chronic smoking, with no other significant comorbidities. On initial examination, the patient appeared normal but exhibited mild respiratory distress (10). Chest X-ray revealed a large mass in the left hemithorax. Additional imaging with a computed tomography (CT) scan confirmed the presence of a tumor mass measuring 18.5×16.4×9.3 cm, localized to the left thoracic cavity, with broad contact to the parietal pleura but no clear chest wall invasion (Fig. 1A). The preoperative staging work-up included contrast-enhanced chest CT, non-contrast head CT and abdominal ultrasonography. Based on these examinations, no evidence of distant metastasis was detected. A positron emission tomography-CT scan, which could have provided a more comprehensive metastatic survey, was not performed due to the patient's financial constraints. All laboratory tests, including complete blood count; renal, liver and coagulation profiles; and tumor markers (cancer antigen 125, cancer antigen 153 and carcinoembryonic antigen), were within their normal ranges.

Radiological, gross and
histopathological findings of the primary thoracic synovial
sarcoma. (A) Axial contrast-enhanced chest CT scan (mediastinal
window) reveals a large, heterogeneous mass (18.5×16.4×9.3 cm)
occupying the anterior left hemithorax. The mass causes a
substantial mass effect, leading to compressive atelectasis of the
left lung. No definite mediastinal lymphadenopathy was identified.
(B) A follow-up chest CT scan (mediastinal window) on postoperative
day 5 shows successful re-expansion of the left lung, with no
residual pneumothorax or significant pleural effusion. (C) Gross
specimen of the resected tumor following left pneumonectomy. The
tumor measured 18.5 cm in diameter and appeared solid and tan in
color, with visible areas of hemorrhage. (D) Histopathological
examination (hematoxylin and eosin staining; original
magnification, ×400; scale bar, 50 µm) demonstrates hypercellular
proliferation of uniform spindle-shaped cells with indistinct
cytoplasm arranged in intersecting fascicles, consistent with the
monophasic variant of synovial sarcoma.

Figure 1.

Radiological, gross and histopathological findings of the primary thoracic synovial sarcoma. (A) Axial contrast-enhanced chest CT scan (mediastinal window) reveals a large, heterogeneous mass (18.5×16.4×9.3 cm) occupying the anterior left hemithorax. The mass causes a substantial mass effect, leading to compressive atelectasis of the left lung. No definite mediastinal lymphadenopathy was identified. (B) A follow-up chest CT scan (mediastinal window) on postoperative day 5 shows successful re-expansion of the left lung, with no residual pneumothorax or significant pleural effusion. (C) Gross specimen of the resected tumor following left pneumonectomy. The tumor measured 18.5 cm in diameter and appeared solid and tan in color, with visible areas of hemorrhage. (D) Histopathological examination (hematoxylin and eosin staining; original magnification, ×400; scale bar, 50 µm) demonstrates hypercellular proliferation of uniform spindle-shaped cells with indistinct cytoplasm arranged in intersecting fascicles, consistent with the monophasic variant of synovial sarcoma.

CT-guided percutaneous biopsy was performed. The specimens were fixed in 10% neutral buffered formalin, embedded in paraffin and cut at 4-µm thickness. Histological examination (H&E staining; Fuzhou Maixin Biotechnology Development Co., Ltd.) was performed according to standard clinical protocols and revealed randomly arranged spindle-like cells with indistinct cell borders. All immunohistochemical staining in this case was performed on an automated staining system (Benchmark XT; Roche Diagnostics) strictly according to the manufacturer's protocols. Primary antibodies were obtained from Fuzhou Maixin Biotechnology Development Co., Ltd. as ready-to-use reagents (prediluted 1:100). The initial panel focused on the most common differential diagnosis and showed positive staining for vimentin (cat. no. MAB-0735), cluster of differentiation 34 (CD34; cat. no. MAR-1076) and B-cell lymphoma 2 (BCL-2; cat. no. MAB-0711) (Fig. 2A and B). Because this profile typically represents SFT, additional staining was not initially performed, as the findings were deemed sufficient for a preoperative diagnosis. Following a multidisciplinary discussion, the team decided to proceed with direct surgical intervention on the basis of the pathological findings (11,12).

IHC findings and confirmatory
molecular cytogenetic profiling. (A and B) Initial IHC staining
(original magnification, ×400; scale bar, 50 µm) of the biopsy
specimen shows positive staining for (A) CD34 and (B) BCL-2, a
profile that initially raised consideration for solitary fibrous
tumor. IHC and molecular cytogenetic profiling confirming the
diagnosis of monophasic synovial sarcoma. (C-E) IHC staining
(original magnification, ×400; scale bar, 50 µm) shows (C) strong
and diffuse nuclear positivity for transducin-like enhancer of
split 1, supporting the diagnosis; (D) negative nuclear staining
for STAT6, effectively excluding solitary fibrous tumor; and (E) a
high Ki-67 proliferation index of ~30% (scale bar, 50 µm). (F) SS18
gene fluorescence in situ hybridization analysis using
break-apart probes (original magnification, ×1,000) reveals
multiple positive signal patterns indicative of SS18 gene
rearrangement. The 5′ and 3′ends of the SS18 gene are
labeled with red and green fluorescence, respectively. One pattern
shows an abnormal signal (a single red SS18 5′ signal accompanied
by normal red-green fusion signals, indicated by yellow
arrowheads), while another shows a typical break-apart pattern
(separated green SS18 3′ and red SS18 5′signals, indicated by white
arrowheads). IHC, immunohistochemical.

Figure 2.

IHC findings and confirmatory molecular cytogenetic profiling. (A and B) Initial IHC staining (original magnification, ×400; scale bar, 50 µm) of the biopsy specimen shows positive staining for (A) CD34 and (B) BCL-2, a profile that initially raised consideration for solitary fibrous tumor. IHC and molecular cytogenetic profiling confirming the diagnosis of monophasic synovial sarcoma. (C-E) IHC staining (original magnification, ×400; scale bar, 50 µm) shows (C) strong and diffuse nuclear positivity for transducin-like enhancer of split 1, supporting the diagnosis; (D) negative nuclear staining for STAT6, effectively excluding solitary fibrous tumor; and (E) a high Ki-67 proliferation index of ~30% (scale bar, 50 µm). (F) SS18 gene fluorescence in situ hybridization analysis using break-apart probes (original magnification, ×1,000) reveals multiple positive signal patterns indicative of SS18 gene rearrangement. The 5′ and 3′ends of the SS18 gene are labeled with red and green fluorescence, respectively. One pattern shows an abnormal signal (a single red SS18 5′ signal accompanied by normal red-green fusion signals, indicated by yellow arrowheads), while another shows a typical break-apart pattern (separated green SS18 3′ and red SS18 5′signals, indicated by white arrowheads). IHC, immunohistochemical.

Because of the large tumor size, the patient underwent open thoracotomy. The procedure, which lasted for 4 h with an estimated blood loss of 600 ml, revealed a large soft tissue mass occupying the thoracic cavity. The tumor's epicenter was located on the parietal pleura, with firm adhesions and direct invasion into the adjacent mediastinum and chest wall. Scattered satellite lesions were also noted on the lung surface. Because the preoperative diagnosis of SFT suggested a benign nature of the mass, macroscopic complete resection of the tumor mass was planned. Therefore, intraoperative frozen section analysis was not performed, and an en bloc resection of the main tumor mass, along with the involved mediastinal pleura, chest wall and all identifiable satellite nodules, was conducted. Macroscopically, the resection appeared complete. However, postoperative pathological examination of the entire specimen revealed deep tumor infiltration and the surgical margins were microscopically positive (R1 resection) at the mediastinal involvement site. The R1 resection, with positive surgical margins, was a significant factor influencing the high risk of recurrence and metastasis in this case.

Gross examination of the resected specimen (Fig. 1C) revealed a well-circumscribed, but unencapsulated, greyish-white soft tissue mass measuring 18.5×16.4×9.3 cm in the greatest dimension. The cut surface was solid and tan-white, with focal hemorrhagic areas and ~20% necrosis. Histological examination (Fig. 1D) demonstrated a hypercellular tumor composed of relatively uniform, spindle-shaped cells arranged in intersecting fascicles. The tumor cells exhibited oval nuclei, scant cytoplasm and predominantly monophasic fibrous morphology. Mitotic activity, assessed on H&E-stained sections, was elevated, with an average of 12 mitoses per 10 high-power fields. An extensive IHC panel was performed as described above, using ready-to-use primary antibodies (prediluted 1:100; Fuzhou Maixin Biotechnology Development Co., Ltd.), which revealed diffuse nuclear positivity for transducin-like enhancer of split 1 (TLE1; cat. no. MAB-0686) (Fig. 2C) and membranous positivity for CD117 (c-kit; cat. no. Kit-0029) as well as focal immunoreactivity for epithelial membrane antigen (EMA; cat. no. MAB-1101) and low-molecular-weight cytokeratins [CK (cat. no. RAB-0050) and CK19 (cat. no. MAB-0829)] (Fig. 3A-D). The tumor was entirely negative for STAT6 (nuclear; cat. no. RMA-1066) (Fig. 2D), which effectively ruled out the diagnosis of SFT. A mesothelial marker panel [Calretinin (cat. no. MAB-0716), Wilms tumor-1 (cat. no. RMA-1151), D2-40 (cat. no. MAB-0567) and CK5/6 (cat. no. RMA-1144)] also yielded a negative result, excluding the diagnosis of sarcomatoid mesothelioma (Fig. 4A-D). The Ki-67 (cat. no. RMA-0542) proliferative index was ~30%, indicating a moderately high rate of cell proliferation (Fig. 2E) (13,14). The surgical margins were positive for tumor cells (R1 resection), with the closest margin measuring <1 mm at the mediastinal aspect. The diagnosis was confirmed cytogenetically by fluorescence in situ hybridization (FISH) using the Vysis SS18 Break Apart FISH Probe Kit (Abbott Molecular), performed strictly according to the manufacturer's protocols. The analysis revealed a rearrangement of the SS18 (SYT) gene locus in 80% of the nuclei assessed, and thus, fusion-specific SS18-SSX IHC was not performed (Fig. 2F). Pathological staging of the tumor was T4G3NxM0, which is classified as stage III according to the American Joint Committee on Cancer staging system (15,16).

Immunohistochemical profile
supportive of monophasic synovial sarcoma. (A-D) IHC staining
showing (A) focal immunoreactivity for epithelial membrane antigen,
(B) strong and diffuse membranous positivity for CD117 (c-kit), and
(C and D) focal positivity for low-molecular-weight (C) CK and (D)
CK19 (original magnification, ×400; scale bar, 50 µm). CK,
cytokeratin.

Figure 3.

Immunohistochemical profile supportive of monophasic synovial sarcoma. (A-D) IHC staining showing (A) focal immunoreactivity for epithelial membrane antigen, (B) strong and diffuse membranous positivity for CD117 (c-kit), and (C and D) focal positivity for low-molecular-weight (C) CK and (D) CK19 (original magnification, ×400; scale bar, 50 µm). CK, cytokeratin.

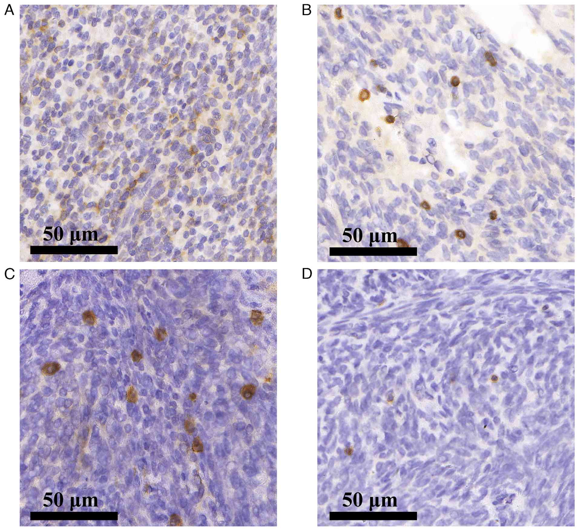
Immunohistochemical staining
excluding major differential diagnoses. (A-D) IHC staining
(original magnification, ×400) shows negative results for key
markers used to rule out other entities: (A) Calretinin, (B) Wilms
tumor-1, (C) D2-40 and (D) cytokeratin 5/6 (scale bar, 50 µm).

Figure 4.

Immunohistochemical staining excluding major differential diagnoses. (A-D) IHC staining (original magnification, ×400) shows negative results for key markers used to rule out other entities: (A) Calretinin, (B) Wilms tumor-1, (C) D2-40 and (D) cytokeratin 5/6 (scale bar, 50 µm).

The patient's postoperative recovery was uneventful. A follow-up chest CT scan demonstrated improved expansion of the left lung (Fig. 1B), and the chest tube was removed on postoperative day 5 once drainage decreased to <100 ml per day. In light of the high-risk pathological features (M0 by preoperative imaging, T4G3NxM0 and stage III disease with R1 resection), the multidisciplinary tumor board recommended a comprehensive adjuvant strategy consisting of radiotherapy to the tumor bed followed by systemic chemotherapy (17). Chemotherapy was commenced on postoperative day 21 with a 6-cycle regimen of doxorubicin (70 mg/m2) and nedaplatin (50 mg/m2). However, the patient discontinued treatment after 3 cycles due to grade 2 nausea and fatigue, exacerbated by personal and financial constraints. The total cost of the initial surgical resection was contained under $3,000, reflecting these substantial financial limitations. The rationale for adjuvant radiotherapy was thoroughly explained to the patient to mitigate the high risk of local recurrence; however, despite counseling, the patient declined this intervention. At 8 months after surgery, the patient was re-admitted with persistent cough and cachexia; repeat CT imaging revealed multiple bilateral pulmonary nodules, indicative of widespread metastatic progression (data not shown). The accumulated financial burden was a major factor contributing to the patient's reluctance towards further therapies. The multidisciplinary team discussed evidence-based salvage options, including palliative radiotherapy, second-line systemic agents (such as ifosfamide, trabectedin or pazopanib) and best supportive care. After considering the limited prognosis and potential treatment-related burdens, the patient elected to forgo all further anticancer therapy. The patient died 18 months postoperation. The overall clinical course is summarized in Fig. 5.

Timeline showing the clinical course,
management and outcome of the patient with primary thoracic
synovial sarcoma. This schematic outlines key events from initial
presentation to death over an 18-month period, highlighting the
rapid disease progression despite multimodal therapy. The interval
from surgery to metastasis detection was ~8 months, and the overall
survival was 18 months post-diagnosis.

Figure 5.

Timeline showing the clinical course, management and outcome of the patient with primary thoracic synovial sarcoma. This schematic outlines key events from initial presentation to death over an 18-month period, highlighting the rapid disease progression despite multimodal therapy. The interval from surgery to metastasis detection was ~8 months, and the overall survival was 18 months post-diagnosis.

Discussion

PTSS is a rare and diagnostically challenging malignancy (10), typically presenting with nonspecific symptoms that complicate and often delay accurate diagnosis. To summarize recent findings, a comprehensive literature search of the PubMed (https://pubmed.ncbi.nlm.nih.gov/), Embase (https://www.embase.com/) and Web of Science (https://www.webofscience.com/) databases from 2020 to the present was conducted. The search strategy utilized the following keywords: ‘mediastinal synovial sarcoma’, ‘chest wall synovial sarcoma’, ‘thoracic synovial sarcoma’, and ‘pulmonary synovial sarcoma’. As summarized in Table I (11,18–37), which shows a comprehensive literature review from 2020 to the present, this entity primarily affects young to middle-aged adults and often appears as sizable tumors at the time of identification. A key issue related to its characterization is the controversy over its primary anatomic site-whether it originates from the pleura, chest wall or mediastinum. This diagnostic uncertainty is compounded by the frequent finding of extensive tumor infiltration, which can obscure the true anatomic epicenter. Consequently, attempting to define the tumor origin based solely on proximity to surrounding structures is an oversimplification that can be misleading (10). In the present case, preoperative imaging revealed the mass to have its broadest and most intimate contact with the parietal pleura. Intraoperatively, while the tumor showed adhesions to both the parietal pleura and mediastinum, the most extensive and firmest attachment was observed to the parietal pleura. Therefore, synthesizing imaging and surgical findings, the parietal pleura is considered the most probable site of origin. However, this assessment is made with caution due to notable inconsistencies: A primary tumor of the parietal pleura would typically be expected to show direct infiltration into the adjacent chest wall musculature, which was not observed. Similarly, a primary mediastinal origin fails to adequately explain the overall growth pattern and adhesion findings. Given these unresolved questions and in the interest of utmost pathological and clinical rigor, it may be concluded that, while the parietal pleura is the most likely origin, a definitive anatomic epicenter cannot be assigned. Consequently, the tumor is pragmatically classified as a PTSS arising within the thoracic cavity, consistent with the literature describing cases with widespread involvement where the precise origin remains indeterminate (10,11,23,25,33,38–41).

Table I.

Summary of the clinical characteristics of primary thoracic synovial sarcoma from selected literature.

Table I.

Summary of the clinical characteristics of primary thoracic synovial sarcoma from selected literature.

First author, yearNumber of casesMedian age (range), yearsGender (M/F)Common symptomsOriginMedian tumor size, cmPrimary treatment5-year survival(Refs.)
Pieropan, 20222041 (28–54)13/7Chest pain: 11 (55%), Dyspnea: 5 (25%), Hemoptysis: 3 (15%), Cough: 3 (15%), Dysphagia: 2 (10%), Chest bulge: 1 (5%), Arm swelling: 1 (5%); Incidental finding: 2 (10%)Thoracic Cavity11.0 (IQR: 8–15)Surgery: 20 (100%), Chemotherapy: 2 (10%), Radiotherapy: 11 (55%)22% (OS) 1(11)
Abdulghaffar, 2020139MChest painChest wall17.5Surgery + chemotherapy-(18)
Wan, 2020167MIncidental findingPleura3.8Surgery + chemotherapy-(19)
Choudhary, 2020171MDry cough, right-sided chest pain, dyspneaPleura-Chemotherapy-(20)
Kagawa, 2020161FRight-sided chest painLung13Surgery + chemoradiotherapyDeath(21)
Kim, 2020126FChest painChest wall3Surgery-(22)
Khalili, 2021224, 29FCoughing, shortness of breathPleura9.5/-Surgery ± chemotherapy-(23)
Kumar, 2021126MDyspnea, cough, fever, left-sided chest painPleura-Palliative chemotherapy and radiotherapy-(24)
Saad, 2021114FDyspneaMediastinum1.4Not specifiedDeath(25)
He, 20211348 (IQR: 27–58)7/6Chest pain: 5 (38.46%), Coughing: 8 (61.54%), Dyspnea: 6 (46.15%), Blood in sputum: 3 (23.08%), Yellow sputum: 2 (15.38%), Body examination: 1 (7.69%)Thoracic cavity6.0 (IQR: 5.5–9.0)Surgery: 10 (76.92%), Chemotherapy: 10 (76.92%), Radiotherapy: 4 (30.77%), Immunotherapy: 2 (15.38%), Targeted therapy: 1 (7.69%), Knife therapy: 1 (7.69%)Death: 7 (53.85%), Survival: 6 (46.15%)(26)
Vishnoi, 2021139MChest painChest wall6Surgery + chemoradiotherapyDeath(27)
Patel, 202219MPneumothoraxPleura1.5Surgery-(28)
Oneglia, 2022112MDyspnea, cough, chest pain, pneumothoraxLung<5Surgery + chemoradiotherapy-(29)
Shilo, 2023129FPneumothorax, coughLung1.3Surgery-(30)
Wu, 2023138FHemoptysisPleura13.0Surgery + anlotinibDeath(31)
Hozain, 2023136FChest pain, syncopeMediastinum12.5Surgery + chemoradiotherapy-(32)
Zang, 2023118MDry cough, wheezingPleura7.8Surgery + chemotherapy-(33)
Do, 2023160FPneumothoraxPleura-Surgery-(34)
Idrees, 2024123FPain, chest wall massChest wall12.0Surgery + chemotherapy-(35)
Imen, 2024154MLeft-sided chest pain, dyspneaPleura6.8SurgeryDeath(36)
Vega-Gonzalez, 2025158FRapid weight loss, dyspneaPleura-Chemotherapy-(37)
Present case, 2025145MCough, dyspneaThoracic cavity18.5Surgery + chemotherapyDeath-

[i] M, male; F, female; IQR, interquartile range; ‘-’, data were not reported in the original study.

In the present case, the diagnostic challenge of PTSS was further complicated by the discrepancy between the findings of preoperative biopsy and postoperative pathological examination. Initially, the tumor was misdiagnosed as an SFT, leading to the missed opportunity for initiating neoadjuvant chemotherapy. The definitive diagnosis of SS was made postoperatively after identifying the characteristic t(X;18)(p11.2;q11.2) translocation (15,16). This underscores the importance of preoperative molecular analysis. The initial biopsy findings, based on cellular morphology and an IHC profile of CD34- and BCL-2-positive spindle cells, were highly suggestive of SFT. At this stage, these findings were considered sufficient for a preoperative diagnosis, and the rarity of PTSS lowered the level of clinical suspicion. Consequently, neither additional IHC staining (such as STAT-6) nor molecular analysis was performed preoperatively. The clinical treatment approach primarily focused on obtaining a definitive diagnosis and achieving local control through surgical resection. This case highlights a critical diagnostic pitfall: For large or atypical thoracic spindle cell tumors, a higher index of suspicion for rare sarcomas and broader preoperative diagnostic panels can help avoid misdiagnosis and facilitate neoadjuvant treatment planning (42,43).

Complete surgical resection (R0) remains the cornerstone of PTSS treatment, strongly correlating with improved survival outcomes (11). However, in the present case, achieving clear surgical margins was particularly challenging because of the tumor's extensive involvement of the mediastinum, chest wall and lung surface. The tumor had to be bluntly dissected from these structures during surgery, making it impossible to confirm whether residual tumor tissue remained. Given the uncertainty regarding margin clearance, adjuvant therapies such as radiation and chemotherapy are essential to reduce the risk of recurrence, particularly in cases with a high likelihood of residual disease (9).

In the broader context of sarcoma management, ongoing efforts aim to optimize systemic therapy, particularly for rare subtypes where high-level evidence is scarce (44). For the present patient with PTSS, the established first-line adjuvant regimen is doxorubicin combined with ifosfamide (42,43). However, following a multidisciplinary tumor board (MDT) discussion, a modified regimen of doxorubicin plus nedaplatin was opted for. This decision was primarily driven by concerns regarding the potential nephrotoxicity and neurotoxicity of ifosfamide, with the aim of preserving the patient's quality of life during recovery. It must be acknowledged that high-level evidence specifically supporting the efficacy of nedaplatin in SS is lacking. The consideration of a platinum-based agent in this case was grounded in evidence suggesting class activity of platinum drugs in SS. This is supported by studies reporting the treatment activity of cisplatin in SS (45), a finding corroborated by another report (46). Furthermore, cisplatin-containing regimens have demonstrated activity in advanced thoracic sarcomas (45,46). Based on this pharmacological rationale and its potentially more favorable toxicity profile, nedaplatin was selected as an alternative. This case highlights that the management of complex thoracic sarcomas often requires individualized decision-making within an MDT framework, where efficacy, toxicity and patient-specific factors must be carefully balanced (47).

Despite the benefits of conventional chemotherapy, there is a critical need to develop novel therapeutic strategies for treating advanced SS. Immunotherapy, particularly with programmed cell death-1/programmed death ligand 1 inhibitors, has shown modest efficacy as a monotherapy, and combination strategies are currently under investigation (48). Adoptive T-cell therapy, particularly targeting antigens such as NY-ESO-1 and MAGE-A4, shows promising potential for treating SS. Clinical trials have demonstrated positive results, and Food and Drug Administration-approved therapies have shown remarkable progress in treating advanced cases. Despite challenges such as tumor heterogeneity, these therapies are becoming more effective, and future treatments may improve with more potent strategies, including dual antigen targeting and checkpoint inhibitors (49). Additionally, targeted therapies such as ATR inhibitors, which target key kinases in the DNA damage response pathway, as well as BCL-2 inhibitors, are being actively explored (46,50). These emerging therapies represent the priority areas of SS research and provide hope for improving future treatment outcomes.

In the present case, the pathological staging of the tumor was T4NxM0G3 (stage III), which typically necessitates aggressive adjuvant therapy to improve both local control and overall survival (12,51–53). Regrettably, because of incomplete adherence to adjuvant therapy, primarily driven by treatment-related toxicities and, crucially, by the patient's significant financial constraints, the prognosis was adversely affected. This case illustrates the gap between optimal multimodal treatment plans and their feasible execution, highlighting that socioeconomic factors are critical determinants of outcome alongside medical strategies. Several key insights can be drawn from this case: Improving preoperative diagnostic accuracy is crucial for considering neoadjuvant chemotherapy; early intervention, ideally at the localized disease stage, may increase the likelihood of achieving complete resection; and adherence to a full course of adjuvant therapies, which may require addressing underlying socioeconomic barriers, is essential to enhance survival outcomes.

In conclusion, PTSS is a rare and aggressive malignancy with significant diagnostic challenges. Accurate preoperative diagnosis, timely surgical intervention and comprehensive multimodal adjuvant therapy are essential for improving patient outcomes. The present case report highlights the importance of maintaining a high index of suspicion for rare sarcomas and the need for a broader diagnostic approach, including molecular analysis, to avoid misdiagnosis. Given the limited evidence and rarity of PTSS, further research is necessary to refine treatment strategies and improve patient survival. Additional multicenter studies, particularly involving neoadjuvant and targeted therapies, are required to establish more effective treatment protocols and improve survival outcomes for patients with PTSS.

Acknowledgements

Not applicable.

Funding

This research was supported by the President Foundation of The Fifth Affiliated Hospital, Southern Medical University (grant nos. YZ2022ZX08, YZ2022ZX10 and YZ2022ZX18). Additionally, this study was supported by the Clinical Research Special Fund of the Guangdong Medical Association (grant nos. 2024QC-A1017 and 2024QC-A1018).

Availability of data and materials

The data generated in the present study may be requested from the corresponding authors.

Authors' contributions

BL designed the study, analyzed the data and drafted the original manuscript. JZ, MS and CL were responsible for data acquisition and the literature search. YL, MH and QC contributed to the analysis and interpretation of the data and critically revised the manuscript for important intellectual content. BL and QC confirmed the authenticity of all the raw data. All authors have read and agreed to the published version of the manuscript.

Ethics approval and consent to participate

Not applicable.

Patient consent for publication

As the patient is deceased, written informed consent was obtained from the patient's next of kin for the publication of this case report and any accompanying clinical information and images.

Competing interests

The authors declare that they have no competing interests.

References

1 

Salah S and Salem A: Primary synovial sarcomas of the mediastinum: A systematic review and pooled analysis of the published literature. ISRN Oncol. 2014:4125272014.PubMed/NCBI

2 

Blay JY, von Mehren M, Jones RL, Martin-Broto J, Stacchiotti S, Bauer S, Gelderblom H, Orbach D, Hindi N, Dei Tos A and Nathenson M: Synovial sarcoma: Characteristics, challenges, and evolving therapeutic strategies. ESMO Open. 8:1016182023. View Article : Google Scholar : PubMed/NCBI

3 

Eisenberg RB and Horn RC: Synovial sarcoma of the chest wall; report of a case. Ann Surg. 131:281–286. 1950. View Article : Google Scholar : PubMed/NCBI

4 

Zhou Y, Dong W, Zou F, Zhou DA and Ma JA: Primary giant mediastinal synovial sarcoma of the neck: A case report and review of the literature. Oncol Lett. 7:140–144. 2014. View Article : Google Scholar : PubMed/NCBI

5 

Kara HV, Javidfar J and D'Amico TA: Surgical excision for mediastinal synovial sarcoma with limited response to chemoradiotherapy. Ann Thorac Surg. 98:e69–e70. 2014. View Article : Google Scholar : PubMed/NCBI

6 

Kang MK, Cho KH, Lee YH, Han IY, Yoon YC, Park KT, Kang DK and Kim BM: Primary synovial sarcoma of the parietal pleura: A case report. Korean J Thorac Cardiovasc Surg. 46:159–161. 2013. View Article : Google Scholar : PubMed/NCBI

7 

Satoh H, Ohara G and Hizawa N: Primary synovial sarcoma of the chest wall. J Thorac Oncol. 2:10602007. View Article : Google Scholar : PubMed/NCBI

8 

Liang Y, Wang H, Yang J, Li X, Dai C, Shao P, Tian G, Wang B and Wang Y: A deep learning framework to predict tumor Tissue-of-Origin based on copy number alteration. Front Bioeng Biotechnol. 8:7012020. View Article : Google Scholar : PubMed/NCBI

9 

Dewi KP, Dewi IP, Iswanto I and Wulandari L: A review on pulmonary and mediastinal synovial sarcoma. J Basic Clin Physiol Pharmacol. 34:169–175. 2023. View Article : Google Scholar : PubMed/NCBI

10 

Duran-Mendicuti A, Costello P and Vargas SO: Primary synovial sarcoma of the chest: Radiographic and clinicopathologic correlation. J Thorac Imaging. 18:87–93. 2003. View Article : Google Scholar : PubMed/NCBI

11 

Pieropan S, Mercier O, Mitilian D, Pradère P, Fabre D, Ion DI, Mir O, Galbardi B, Thomas De Montpreville V and Fadel E: Feasibility and long-term outcomes of surgery for primary thoracic synovial sarcoma. Interact Cardiovasc Thorac Surg. 35:ivac2382022. View Article : Google Scholar : PubMed/NCBI

12 

Endara SA, De la Torre JS, Terán FJ, Alarcón JP and Tovar CE: Multidisciplinary management of recurrent synovial sarcoma of the chest wall. N Am Spine Soc J. 15:1002432023.PubMed/NCBI

13 

Suster S and Moran CA: Primary synovial sarcomas of the mediastinum: A clinicopathologic, immunohistochemical, and ultrastructural study of 15 cases. Am J Surg Pathol. 29:569–578. 2005. View Article : Google Scholar : PubMed/NCBI

14 

Zeren H, Moran CA, Suster S, Fishback NF and Koss MN: Primary pulmonary sarcomas with features of monophasic synovial sarcoma: A clinicopathological, immunohistochemical, and ultrastructural study of 25 cases. Hum Pathol. 26:474–480. 1995. View Article : Google Scholar : PubMed/NCBI

15 

Aubry MC, Bridge JA, Wickert R and Tazelaar HD: Primary monophasic synovial sarcoma of the pleura: Five cases confirmed by the presence of SYT-SSX fusion transcript. Am J Surg Pathol. 25:776–781. 2001. View Article : Google Scholar : PubMed/NCBI

16 

Takenaka S, Ueda T, Naka N, Araki N, Hashimoto N, Myoui A, Ozaki T, Nakayama T, Toguchida J, Tanaka K, et al: Prognostic implication of SYT-SSX fusion type in synovial sarcoma: A multi-institutional retrospective analysis in Japan. Oncol Rep. 19:467–476. 2008.PubMed/NCBI

17 

Spillane AJ, A'Hern R, Judson IR, Fisher C and Thomas JM: Synovial sarcoma: A clinicopathologic, staging, and prognostic assessment. J Clin Oncol. 18:3794–3803. 2000. View Article : Google Scholar : PubMed/NCBI

18 

Abdulghaffar S, AlNuaimi D, AlMulla M, Eldoky Y, Farhan R, Kumar N and Khairi TE: A rare case of pleuropulmonary synovial sarcoma of the chest wall: A case report and a literature review. Radiol Case Rep. 16:175–179. 2021. View Article : Google Scholar : PubMed/NCBI

19 

Wan JL, Lam YF, Foong KW, Abdul Ghani N and Lachmanan K: A case of primary pleural synovial sarcoma with endobronchial recurrence. Respirol Case Rep. 8:e005472020. View Article : Google Scholar : PubMed/NCBI

20 

Choudhary CR, Desai G, Verma L and Yogi SK: Synovial cell sarcoma of the pleura: An uncommon cause of a haemorrhagic pleural effusion. Int J Adv Med. 7:704–706. 2020. View Article : Google Scholar

21 

Kagawa Y, Kitaguchi S, Konishi H, Hashimoto K, Norihito O, Mizumoto T, Nishino R and Sugahara F: Primary advanced pulmonary synovial sarcoma treated with a multidisciplinary approach. Int Cancer Conf J. 9:72–76. 2020. View Article : Google Scholar : PubMed/NCBI

22 

Kim M, Lee SE and Choi JH: Synovial sarcoma of the anterior chest wall: A case report. J Korean Soc Radiol. 81:1227–1233. 2020. View Article : Google Scholar

23 

Khalili N, Askari E, Khalili N, Daneshvar-Kakhki A, Sadr M, Haseli S and Pourabdollah Toutkaboni M: Primary pleuropulmonary synovial sarcoma: Report of two cases and a comprehensive review of the literature. Cancer Invest. 40:268–281. 2022. View Article : Google Scholar : PubMed/NCBI

24 

Kumar S, Goyal K, Bhatt R, Bansal S and Mishra M: Primary pleural synovial sarcoma: A rare cause of hemorrhagic pleural effusion. Adv Respir Med. 89:60–62. 2021. View Article : Google Scholar : PubMed/NCBI

25 

Saad A, Bouacida I, Ben Radhia B, Zribi H, Dridi A and Marghli A: Primary synovial sarcoma of the mediastinum: A poor prognosis in a 14-year-old girl. Respirol Case Rep. 9:e008112021. View Article : Google Scholar : PubMed/NCBI

26 

He H, Yang L, Peng Y, Liu L, Liu L, Xue Q and Gao S: The value of multidisciplinary team (MDT) management in the diagnosis and treatment of primary intrathoracic synovial sarcomas: A single-center experience. J Thorac Dis. 13:600–612. 2021. View Article : Google Scholar : PubMed/NCBI

27 

Vishnoi JR, Sasidhar A, Kala P, Khera S, Pareek P, Misra S and Jain A: Primary synovial sarcoma of the anterior chest wall: A rare entity at unusual Location-case report. SN Compr Clin Med. 3:1066–1070. 2021. View Article : Google Scholar

28 

Patel PB, Sankrith M and Cedeno-Rodriguez A: Pediatric pleuropulmonary synovial sarcoma: A case report in a recurrent spontaneous pneumothorax. Respir Med Case Rep. 36:1016222022.PubMed/NCBI

29 

Oneglia MM, Fernández Sardá MS, Felizzia G, Álvarez M, Barrenechea M, Giubergia V, Dicembrino M and Castaños C: Persistent spontaneous pneumothorax as a primary manifestation of primary synovial sarcoma of the lung: A case report. Arch Argent Pediatr. 121:e2022027142023.PubMed/NCBI

30 

Shilo K, Kneuertz PJ, Liebner D and Chen W: Case report: Pulmonary synovial sarcoma in a Long-term survivor of childhood Hodgkin lymphoma. Front Oncol. 13:10961602023. View Article : Google Scholar : PubMed/NCBI

31 

Wu D, Zhang H, Li X, Liu J, Liu M, Liu H, Dong M and Chen J: Whole-exome sequencing in primary pulmonary synovial sarcoma misdiagnosed as mesothelioma: A case report and literature review. Thorac Cancer. 14:1520–1529. 2023. View Article : Google Scholar : PubMed/NCBI

32 

Hozain AE, Corvin C, Li H, Zane K, McGinnis T, Olson DJ, Connell PP and Madariaga MLL: Mediastinal synovial sarcoma 14 years after talc pleurodesis for spontaneous pneumothorax. Ann Thorac Surg Short Rep. 1:515–518. 2023. View Article : Google Scholar : PubMed/NCBI

33 

Zang Y, Ma C, Xing X and Li H: Primary synovial sarcoma of the pleura in an 18-year-old male patient: A case report. Oncol Lett. 26:4612023. View Article : Google Scholar : PubMed/NCBI

34 

Do Q, Katiyar V, Rizzo J and Singh V: Primary pleuropulmonary synovial sarcoma presenting with recurrent spontaneous pneumothorax. BMJ Case Rep. 16:e2545602023. View Article : Google Scholar : PubMed/NCBI

35 

Idrees RB, Malik M, Malik F, Rehman B, Sarwar T, Mustansar A and Chaudhary MH: Chest wall synovial sarcoma: A unique encounter at the breast base. Cureus. 16:e634992024.PubMed/NCBI

36 

Imen M, Ahmed L, Wissal R, Bechir BR and Taieb C: A case report of primary pleural synovial sarcoma, an uncommon etiology of a thoracic parietal mass. Int J Surg Case Rep. 126:1106632025. View Article : Google Scholar : PubMed/NCBI

37 

Vega-Gonzalez J, Toro JAC, García EL, Ospina GM, Serrano MT, Gallardo AMC, Giménez RB, Martínez DH, Egido AG, García LA, et al: EWSR1::SSX1 Fusion-driven synovial sarcoma: A case presentation and review of the literature. Genes Chromosomes Cancer. 64:e700482025. View Article : Google Scholar : PubMed/NCBI

38 

Abu-Zaid A, AlNajjar A, Alotaibi S, Alshawaf R, Alqeshtaini N, Alhaidar R, Mohammed S and AlKattan K: Huge primary mediastinal synovial sarcoma fully occupying the right hemithorax. J Cancer Res Ther. 14:682–686. 2018. View Article : Google Scholar : PubMed/NCBI

39 

Liu Y, Cui M, Zhou X, Zhai D, Qin M, Fan G and Cai W: A case report: Synovial sarcoma of the mediastinum in an 18-year-old teenager. Front Oncol. 14:12882132024. View Article : Google Scholar : PubMed/NCBI

40 

Lin GQ, Li YQ, Huang LJ, Luo FY, Jiang HH and Luo WJ: Chest wall tumors: Diagnosis, treatment and reconstruction. Exp Ther Med. 9:1807–1812. 2015. View Article : Google Scholar : PubMed/NCBI

41 

Ouadnouni Y, Smahi M, Bouchikh M, Achir A, Msougar Y, Lakranbi M and Benosman A: A rare tumor of the chest wall: The synovial sarcoma. Pan Afr Med J. 9:22011.(In French). PubMed/NCBI

42 

Minami Y, Matsumoto S, Ae K, Tanizawa T, Hayakawa K, Funauchi Y, Saito M and Tsuda Y: The role of neoadjuvant chemotherapy in resectable primary synovial sarcoma. Anticancer Res. 40:1029–1034. 2020. View Article : Google Scholar : PubMed/NCBI

43 

Pasquali S and Gronchi A: Neoadjuvant chemotherapy in soft tissue sarcomas: Latest evidence and clinical implications. Ther Adv Med Oncol. 9:415–429. 2017. View Article : Google Scholar : PubMed/NCBI

44 

Gómez-Puerto D, Cicala CM, Valverde C and Serrano C: Emerging treatments for sarcoma: From 2024 onward. Expert Opin Emerg Drugs. Feb 3–2025.(Epub ahead of print). doi: 10.1080/14728214. View Article : Google Scholar : PubMed/NCBI

45 

Rodriguez-Cid JR, Juarez-Vignon Whaley JJ, Sánchez-Domínguez G, Guzmán-Casta J, Carrasco-CaraChards S, Guzmán-Huesca J, Riera-Sala R, Sánchez-Ríos CP, Cruz-Zermeño M, Seidman-Sorsby A, et al: Epirubicin, cisplatin plus ifosfamide versus standard chemotherapeutic regimens for advanced/unresectable primary thoracic sarcomas. J Cancer Res Clin Oncol. 149:5479–5491. 2023. View Article : Google Scholar : PubMed/NCBI

46 

Jones SE, Fleuren EDG, Frankum J, Konde A, Williamson CT, Krastev DB, Pemberton HN, Campbell J, Gulati A, Elliott R, et al: ATR is a therapeutic target in synovial sarcoma. Cancer Res. 77:7014–7026. 2017. View Article : Google Scholar : PubMed/NCBI

47 

Shamsi ZA, Paraoan V, Kim C, Saifuddin SR, Cosker TDA, Whitwell D, Gibbons CLMH, Stavroulias D and DiChiara F: Management and outcomes of thoracic sarcomas-a collaboration between Orthopaedic Oncology and cardiothoracic surgery: Seven-year clinical data from a tertiary referral centre. J Cardiothorac Surg. 20:982025. View Article : Google Scholar : PubMed/NCBI

48 

Nowicki TS, Akiyama R, Huang RR, Shintaku IP, Wang X, Tumeh PC, Singh A, Chmielowski B, Denny C, Federman N and Ribas A: Infiltration of CD8 T cells and expression of PD-1 and PD-L1 in synovial sarcoma. Cancer Immunol Res. 5:118–126. 2017. View Article : Google Scholar : PubMed/NCBI

49 

Ruemmele T, Macedo R, Stein MN, Chan HT, Mapara MY, Jacquemont CF and Reshef R: Emapalumab for severe cytokine release syndrome in solid tumor CAR-T: A case report. Front Oncol. 15:15436222025. View Article : Google Scholar : PubMed/NCBI

50 

Fairchild CK, Floros K, Jacob S, Coon C, Puchalapalli M, Hu B, Dozmorov M, Koblinski J, Smith S, Domson G, et al: Evaluation of combined BCL-2/MCL-1 inhibition as a therapeutic approach for synovial sarcoma. J Clin Oncol. 38:e235612020. View Article : Google Scholar

51 

Song S, Park J, Kim HJ, Kim IH, Han I, Kim HS and Kim S: Effects of adjuvant radiotherapy in patients with synovial sarcoma. Am J Clin Oncol. 40:306–311. 2017. View Article : Google Scholar : PubMed/NCBI

52 

Seo SW, Kim J, Son J and Lim S: Evaluation of conditional treatment effects of adjuvant treatments on patients with synovial sarcoma using Bayesian subgroup analysis. BMC Med Inform Decis Mak. 20:3202020. View Article : Google Scholar : PubMed/NCBI

53 

Desar IME, Fleuren EDG and van der Graaf WTA: Systemic treatment for adults with synovial sarcoma. Curr Treat Options Oncol. 19:132018. View Article : Google Scholar : PubMed/NCBI

Related Articles

  • Abstract
  • View
  • Download
  • Twitter
Copy and paste a formatted citation
Spandidos Publications style
Liang B, Zhang J, Shen M, Li C, Hou M, Liu Y and Cai Q: Primary thoracic synovial sarcoma in a 45‑year‑old male:&nbsp;A case report and literature review. Oncol Lett 31: 209, 2026.
APA
Liang, B., Zhang, J., Shen, M., Li, C., Hou, M., Liu, Y., & Cai, Q. (2026). Primary thoracic synovial sarcoma in a 45‑year‑old male:&nbsp;A case report and literature review. Oncology Letters, 31, 209. https://doi.org/10.3892/ol.2026.15564
MLA
Liang, B., Zhang, J., Shen, M., Li, C., Hou, M., Liu, Y., Cai, Q."Primary thoracic synovial sarcoma in a 45‑year‑old male:&nbsp;A case report and literature review". Oncology Letters 31.6 (2026): 209.
Chicago
Liang, B., Zhang, J., Shen, M., Li, C., Hou, M., Liu, Y., Cai, Q."Primary thoracic synovial sarcoma in a 45‑year‑old male:&nbsp;A case report and literature review". Oncology Letters 31, no. 6 (2026): 209. https://doi.org/10.3892/ol.2026.15564
Copy and paste a formatted citation
x
Spandidos Publications style
Liang B, Zhang J, Shen M, Li C, Hou M, Liu Y and Cai Q: Primary thoracic synovial sarcoma in a 45‑year‑old male:&nbsp;A case report and literature review. Oncol Lett 31: 209, 2026.
APA
Liang, B., Zhang, J., Shen, M., Li, C., Hou, M., Liu, Y., & Cai, Q. (2026). Primary thoracic synovial sarcoma in a 45‑year‑old male:&nbsp;A case report and literature review. Oncology Letters, 31, 209. https://doi.org/10.3892/ol.2026.15564
MLA
Liang, B., Zhang, J., Shen, M., Li, C., Hou, M., Liu, Y., Cai, Q."Primary thoracic synovial sarcoma in a 45‑year‑old male:&nbsp;A case report and literature review". Oncology Letters 31.6 (2026): 209.
Chicago
Liang, B., Zhang, J., Shen, M., Li, C., Hou, M., Liu, Y., Cai, Q."Primary thoracic synovial sarcoma in a 45‑year‑old male:&nbsp;A case report and literature review". Oncology Letters 31, no. 6 (2026): 209. https://doi.org/10.3892/ol.2026.15564
Follow us
  • Twitter
  • LinkedIn
  • Facebook
About
  • Spandidos Publications
  • Careers
  • Cookie Policy
  • Privacy Policy
How can we help?
  • Help
  • Live Chat
  • Contact
  • Email to our Support Team