Spandidos Publications Logo
  • About
    • About Spandidos
    • Aims and Scopes
    • Abstracting and Indexing
    • Editorial Policies
    • Reprints and Permissions
    • Job Opportunities
    • Terms and Conditions
    • Contact
  • Journals
    • All Journals
    • Oncology Letters
      • Oncology Letters
      • Information for Authors
      • Editorial Policies
      • Editorial Board
      • Aims and Scope
      • Abstracting and Indexing
      • Bibliographic Information
      • Archive
    • International Journal of Oncology
      • International Journal of Oncology
      • Information for Authors
      • Editorial Policies
      • Editorial Board
      • Aims and Scope
      • Abstracting and Indexing
      • Bibliographic Information
      • Archive
    • Molecular and Clinical Oncology
      • Molecular and Clinical Oncology
      • Information for Authors
      • Editorial Policies
      • Editorial Board
      • Aims and Scope
      • Abstracting and Indexing
      • Bibliographic Information
      • Archive
    • Experimental and Therapeutic Medicine
      • Experimental and Therapeutic Medicine
      • Information for Authors
      • Editorial Policies
      • Editorial Board
      • Aims and Scope
      • Abstracting and Indexing
      • Bibliographic Information
      • Archive
    • International Journal of Molecular Medicine
      • International Journal of Molecular Medicine
      • Information for Authors
      • Editorial Policies
      • Editorial Board
      • Aims and Scope
      • Abstracting and Indexing
      • Bibliographic Information
      • Archive
    • Biomedical Reports
      • Biomedical Reports
      • Information for Authors
      • Editorial Policies
      • Editorial Board
      • Aims and Scope
      • Abstracting and Indexing
      • Bibliographic Information
      • Archive
    • Oncology Reports
      • Oncology Reports
      • Information for Authors
      • Editorial Policies
      • Editorial Board
      • Aims and Scope
      • Abstracting and Indexing
      • Bibliographic Information
      • Archive
    • Molecular Medicine Reports
      • Molecular Medicine Reports
      • Information for Authors
      • Editorial Policies
      • Editorial Board
      • Aims and Scope
      • Abstracting and Indexing
      • Bibliographic Information
      • Archive
    • World Academy of Sciences Journal
      • World Academy of Sciences Journal
      • Information for Authors
      • Editorial Policies
      • Editorial Board
      • Aims and Scope
      • Abstracting and Indexing
      • Bibliographic Information
      • Archive
    • International Journal of Functional Nutrition
      • International Journal of Functional Nutrition
      • Information for Authors
      • Editorial Policies
      • Editorial Board
      • Aims and Scope
      • Abstracting and Indexing
      • Bibliographic Information
      • Archive
    • International Journal of Epigenetics
      • International Journal of Epigenetics
      • Information for Authors
      • Editorial Policies
      • Editorial Board
      • Aims and Scope
      • Abstracting and Indexing
      • Bibliographic Information
      • Archive
    • Medicine International
      • Medicine International
      • Information for Authors
      • Editorial Policies
      • Editorial Board
      • Aims and Scope
      • Abstracting and Indexing
      • Bibliographic Information
      • Archive
  • Articles
  • Information
    • Information for Authors
    • Information for Reviewers
    • Information for Librarians
    • Information for Advertisers
    • Conferences
  • Language Editing
Spandidos Publications Logo
  • About
    • About Spandidos
    • Aims and Scopes
    • Abstracting and Indexing
    • Editorial Policies
    • Reprints and Permissions
    • Job Opportunities
    • Terms and Conditions
    • Contact
  • Journals
    • All Journals
    • Biomedical Reports
      • Information for Authors
      • Editorial Policies
      • Editorial Board
      • Aims and Scope
      • Abstracting and Indexing
      • Bibliographic Information
      • Archive
    • Experimental and Therapeutic Medicine
      • Information for Authors
      • Editorial Policies
      • Editorial Board
      • Aims and Scope
      • Abstracting and Indexing
      • Bibliographic Information
      • Archive
    • International Journal of Epigenetics
      • Information for Authors
      • Editorial Policies
      • Editorial Board
      • Aims and Scope
      • Abstracting and Indexing
      • Bibliographic Information
      • Archive
    • International Journal of Functional Nutrition
      • Information for Authors
      • Editorial Policies
      • Editorial Board
      • Aims and Scope
      • Abstracting and Indexing
      • Bibliographic Information
      • Archive
    • International Journal of Molecular Medicine
      • Information for Authors
      • Editorial Policies
      • Editorial Board
      • Aims and Scope
      • Abstracting and Indexing
      • Bibliographic Information
      • Archive
    • International Journal of Oncology
      • Information for Authors
      • Editorial Policies
      • Editorial Board
      • Aims and Scope
      • Abstracting and Indexing
      • Bibliographic Information
      • Archive
    • Medicine International
      • Information for Authors
      • Editorial Policies
      • Editorial Board
      • Aims and Scope
      • Abstracting and Indexing
      • Bibliographic Information
      • Archive
    • Molecular and Clinical Oncology
      • Information for Authors
      • Editorial Policies
      • Editorial Board
      • Aims and Scope
      • Abstracting and Indexing
      • Bibliographic Information
      • Archive
    • Molecular Medicine Reports
      • Information for Authors
      • Editorial Policies
      • Editorial Board
      • Aims and Scope
      • Abstracting and Indexing
      • Bibliographic Information
      • Archive
    • Oncology Letters
      • Information for Authors
      • Editorial Policies
      • Editorial Board
      • Aims and Scope
      • Abstracting and Indexing
      • Bibliographic Information
      • Archive
    • Oncology Reports
      • Information for Authors
      • Editorial Policies
      • Editorial Board
      • Aims and Scope
      • Abstracting and Indexing
      • Bibliographic Information
      • Archive
    • World Academy of Sciences Journal
      • Information for Authors
      • Editorial Policies
      • Editorial Board
      • Aims and Scope
      • Abstracting and Indexing
      • Bibliographic Information
      • Archive
  • Articles
  • Information
    • For Authors
    • For Reviewers
    • For Librarians
    • For Advertisers
    • Conferences
  • Language Editing
Login Register Submit
  • This site uses cookies
  • You can change your cookie settings at any time by following the instructions in our Cookie Policy. To find out more, you may read our Privacy Policy.

    I agree
Search articles by DOI, keyword, author or affiliation
Search
Advanced Search
presentation
Oncology Letters
Join Editorial Board Propose a Special Issue
Print ISSN: 1792-1074 Online ISSN: 1792-1082
Journal Cover
June-2026 Volume 31 Issue 6

Full Size Image

Sign up for eToc alerts
Recommend to Library

Journals

International Journal of Molecular Medicine

International Journal of Molecular Medicine

International Journal of Molecular Medicine is an international journal devoted to molecular mechanisms of human disease.

International Journal of Oncology

International Journal of Oncology

International Journal of Oncology is an international journal devoted to oncology research and cancer treatment.

Molecular Medicine Reports

Molecular Medicine Reports

Covers molecular medicine topics such as pharmacology, pathology, genetics, neuroscience, infectious diseases, molecular cardiology, and molecular surgery.

Oncology Reports

Oncology Reports

Oncology Reports is an international journal devoted to fundamental and applied research in Oncology.

Experimental and Therapeutic Medicine

Experimental and Therapeutic Medicine

Experimental and Therapeutic Medicine is an international journal devoted to laboratory and clinical medicine.

Oncology Letters

Oncology Letters

Oncology Letters is an international journal devoted to Experimental and Clinical Oncology.

Biomedical Reports

Biomedical Reports

Explores a wide range of biological and medical fields, including pharmacology, genetics, microbiology, neuroscience, and molecular cardiology.

Molecular and Clinical Oncology

Molecular and Clinical Oncology

International journal addressing all aspects of oncology research, from tumorigenesis and oncogenes to chemotherapy and metastasis.

World Academy of Sciences Journal

World Academy of Sciences Journal

Multidisciplinary open-access journal spanning biochemistry, genetics, neuroscience, environmental health, and synthetic biology.

International Journal of Functional Nutrition

International Journal of Functional Nutrition

Open-access journal combining biochemistry, pharmacology, immunology, and genetics to advance health through functional nutrition.

International Journal of Epigenetics

International Journal of Epigenetics

Publishes open-access research on using epigenetics to advance understanding and treatment of human disease.

Medicine International

Medicine International

An International Open Access Journal Devoted to General Medicine.

Journal Cover
June-2026 Volume 31 Issue 6

Full Size Image

Sign up for eToc alerts
Recommend to Library

  • Article
  • Citations
    • Cite This Article
    • Download Citation
    • Create Citation Alert
    • Remove Citation Alert
    • Cited By
  • Similar Articles
    • Related Articles (in Spandidos Publications)
    • Similar Articles (Google Scholar)
    • Similar Articles (PubMed)
  • Download PDF
  • Download XML
  • View XML

  • Supplementary Files
    • Supplementary_Data.pdf
Case Report Open Access

Comprehensive treatment for intracranial invasive sinonasal intestinal‑type adenocarcinoma with a focus on radiotherapy dosage and immunological combination therapy: A case report

  • Authors:
    • Lianlian Yang
    • Qian Zhao
    • Fang Yi
    • Wenyan Guo
    • Qiongwen Zhang
    • Song Zhou
    • Dong Li
    • Zhihui Li
  • View Affiliations / Copyright

    Affiliations: Department of Oncology, The General Hospital of Western Theater Command, Chengdu, Sichuan 610083, P.R. China, Department of Oncology, Dazhu County People's Hospital, Dazhou, Sichuan 635199, P.R. China, Department of Ultrasound, The General Hospital of Western Theater Command, Chengdu, Sichuan 610083, P.R. China, Department of Head and Neck Oncology, Cancer Center, West China Hospital, Sichuan University, Chengdu, Sichuan 610041, P.R. China, Department of Neurosurgery, Dazhu County People's Hospital, Dazhou, Sichuan 635199, P.R. China
    Copyright: © Yang et al. This is an open access article distributed under the terms of Creative Commons Attribution License.
  • Article Number: 216
    |
    Published online on: April 2, 2026
       https://doi.org/10.3892/ol.2026.15571
  • Expand metrics +
Metrics: Total Views: 0 (Spandidos Publications: | PMC Statistics: )
Metrics: Total PDF Downloads: 0 (Spandidos Publications: | PMC Statistics: )
Cited By (CrossRef): 0 citations Loading Articles...

This article is mentioned in:


Abstract

For sinonasal intestinal‑type adenocarcinoma (ITAC), no standardized treatment exists, particularly for cases with advanced‑stage disease with intracranial invasion or recurrence. The present study describes the case of a 60‑year‑old male patient with ITAC and intracranial invasion who underwent surgery followed by radiotherapy; however, this was terminated early after 25 of 30 sessions [equivalent dose in 2‑Gy fractions (EQD2), 54.72 Gy] due to the risk of damaging the optic nerve. The tumor recurred in the same place 12 months after the surgery. A biopsy revealed a combined positive score (CPS) of 5, indicating that the tumor was programmed death‑ligand 1‑positive (PD‑L1‑positive), leading to treatment with albumin‑bound paclitaxel, cisplatin and camrelizumab for 4 cycles, followed by 12 cycles of maintenance therapy with camrelizumab. The patient maintained progression‑free survival for 11 months. On the whole, the present case report highlights the need for sufficient radiotherapy (≥66 Gy EQD2) for ITAC in complex anatomical areas, highlighting the role of advanced techniques to overcome dose limitations. Moreover, the ‘chemo‑immuno induction plus immuno‑maintenance’ approach in PD‑L1‑positive patients exhibits potential for long‑term disease control, providing a novel treatment model for advanced‑stage ITAC.

Introduction

Sinonasal intestinal-type adenocarcinoma (ITAC) is a rare category of malignant tumor, with a significantly higher incidence among individuals exposed to wood and leather dust (1,2). Histopathologically and immunophenotypically, ITAC resembles intestinal adenocarcinoma and shares the same immunophenotype [cytokeratin (CK)20+/caudal-type homeobox 2 (CDX2)+/villin+] as colorectal cancer (3). Histologically, ITAC is classified into the colonic, papillary, solid, mucinous and mixed subtypes. Well-differentiated papillary intestinal adenocarcinomas are associated with a more favorable prognosis, whereas solid and mucinous intestinal adenocarcinomas are associated with a poorer prognosis (1).

Clinically, ITAC most commonly occurs in the ethmoid sinus, followed by the nasal cavity and other sinuses (4). Early symptoms of ITAC typically include nasal congestion, rhinorrhea and localized pain. As the tumor progresses to an advanced stage, ocular symptoms may manifest, such as proptosis, diplopia and blindness. In cases where the tumor invades the cranial cavity, patients may experience headaches and nausea, and facial ulceration may occur (5).

Surgical resection combined with adjuvant therapy remains the cornerstone of ITAC management (6,7); however, the selection of the surgical approach and radiotherapy regimen varies substantially according to the stage of the tumor, the anatomical location and the extent of invasion.

With regard to surgical approaches, the endoscopic endonasal approach (EEA) is preferred for early-stage ITAC due to its benefits of reduced surgical trauma, fewer complications and a shorter period of hospitalization (8,9). Patients with T3-T4 stage tumors may still derive benefits from EEA, provided there is no extensive invasion of the skull base or orbit (9). In cases with locally advanced tumors that invade complex anatomical structures, such as the skull base, dura mater, orbit and maxillary sinus, a more intricate EEA, in conjunction with open surgery, is warranted (10).

Post-operative adjuvant radiotherapy is typically recommended to complement surgical resection for high-risk cases, with a standard dose range of 60–70 Gy (6,7). However, anatomical constraints often necessitate compromises in the radiotherapy dose. The proximity of the ethmoid sinus/cranial base area to critical structures, such as the optic nerve and brainstem, poses challenges in achieving an optimal balance between delivering an adequate dose to the target area and protecting organs at risk (OAR) using conventional radiotherapy techniques. Consequently, developing strategies to ensure sufficient dosing to the target area, while safeguarding the OAR remains an urgent issue.

There is currently no standardized systemic treatment available for an ITAC that cannot be fully resected through palliative surgery or that recurs or metastasizes post-surgery. Given the morphological and molecular similarities between ITAC and colorectal cancer, several studies have suggested the use of neoadjuvant fluorouracil-based chemotherapy regimens (4,11). Previous clinical trials have predominantly concentrated on early-stage nasal sinus adenocarcinoma, yielding favorable outcomes. Nonetheless, the median progression-free survival (PFS) time for metastatic ITAC treated with chemotherapy is only 1.2 months (12). This underscores the urgent need for more effective therapeutic options for advanced-stage ITAC.

The tumor protein p53 (TP53) gene is the most frequently mutated in ITAC, with a mutation incidence of 40–50%, and the status of the p53 protein can serve as a predictor of the tumor response to chemotherapy (13). Furthermore, KRAS proto-oncogene GTPase mutations are present in ~43% of patients with ITAC (14), while nuclear β-catenin expression is observed in 31–53% of ITAC cases (15). Consequently, targeted therapies addressing these specific mutations represent a promising avenue for future research into the treatment of advanced-stage ITAC.

Combined immunotherapy or immunotherapy alone has demonstrated promising outcomes in the treatment of various types of head and neck squamous cell carcinomas, as well as colorectal cancer (16–18). Previous research has identified that 17% of ITACs express programmed death-ligand 1 (PD-L1), suggesting the presence of an immunosuppressive environment in this malignancy (19). Although this evidence suggests that immunotherapy holds therapeutic potential, the clinical data remain limited to case reports (20,21).

The present study constitutes a preliminary systematic validation of radiotherapy dose thresholds and describes a potentially promising approach combining immunotherapy with chemotherapy, followed by sequential immunotherapy as a single-agent maintenance treatment. This strategy could provide preliminary insights for the management of advanced-stage ITAC.

Case report

Initial treatment

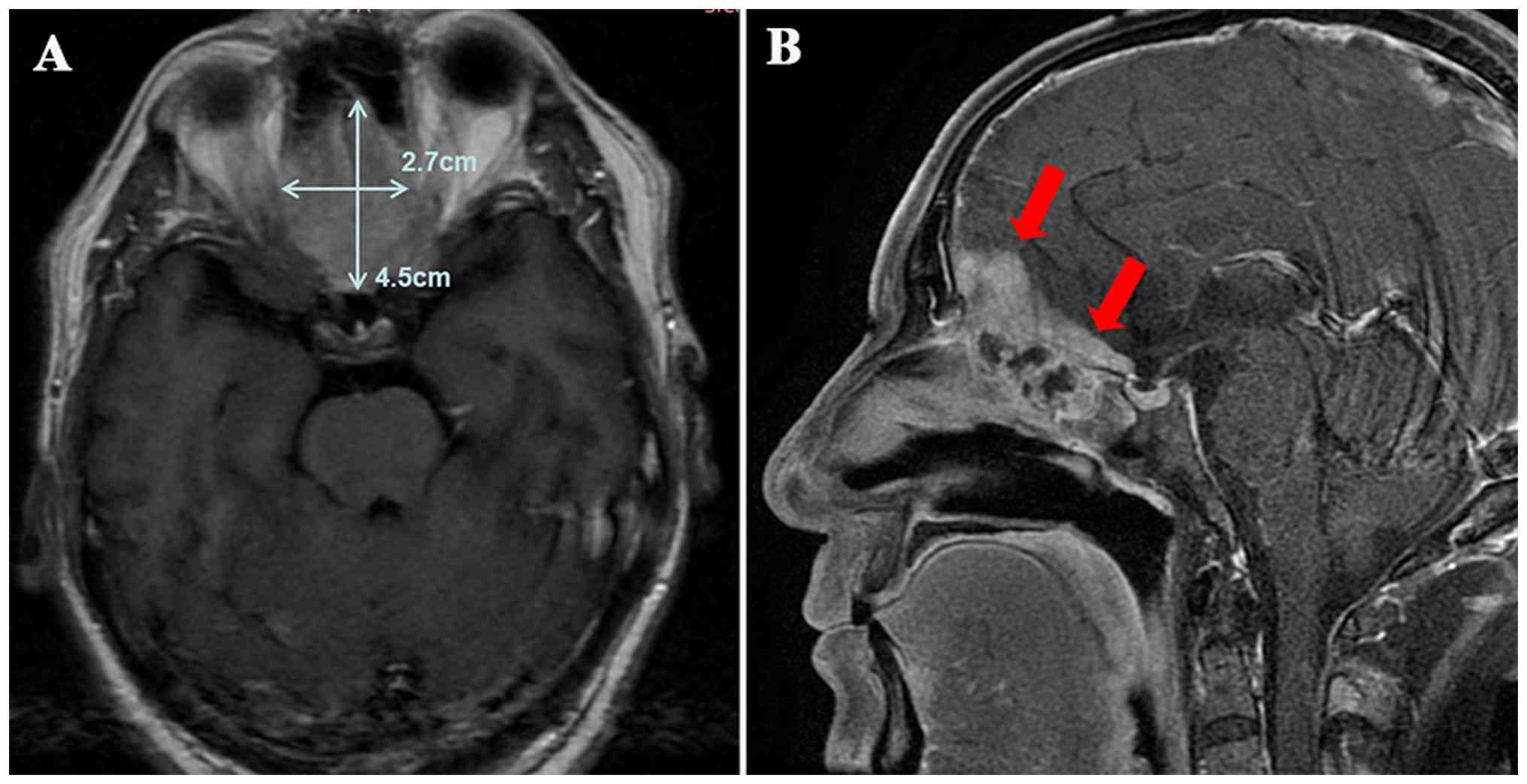
A 60-year-old man presented to West China Hospital, Sichuan University (Chengdu, China) in February 2023 with the primary complaint of progressive loss of vision in the left eye over the past month. Magnetic resonance imaging (MRI) revealed a mass measuring 4.5×2.7 cm located in the region of the ethmoid and sphenoid sinus, with invasion into the intracranial area (Fig. 1). Following a multidisciplinary team discussion, a decision was made to proceed with surgical intervention. The approach selected included a combination of transnasal endoscopy and microscopic craniotomy, accompanied by anterior skull base resection, encompassing the paranasal sinuses, as well as the intracranial and orbital regions. A post-operative pathological analysis indicated the following immunohistochemical findings: CK7(−), CK20(+), CDX2 (+) and villin(+) (Fig. 2), thereby confirming a diagnosis of ITAC. Immunohistochemical staining with CK7, CK20, CDX-2 and villin antibodies (Beijing Zhongshan Jinqiao Biotechnology Co., Ltd.) was performed by the Department of Pathology. Due to the positive surgical margin, adjuvant radiotherapy was administered 2 months later at the General Hospital of Western Theater Command (Chengdu, China). The radiotherapy target volume definitions were as follows: i) Gross tumor volume of the tumor bed (GTV-tb); this encompasses the surgical tumor bed area and any radiographically involved margins visible on imaging. ii) Clinical target volume 1/high-risk clinical volume (CTV-1): This includes the expansion of GTV-tb by 0.5 cm, along with the nasal vestibule, nasal cavity, turbinates and hard palate. However, when the expansion zone approaches critical adjacent structures (such as the optic nerves or cavernous sinus), the margin is reduced to 0.1 cm (Fig. 3). The radiotherapy regimen included a planned dose of 6,480 cGy in 30 fractions (216 cGy per fraction) to the planned GTV-tb (PGTV-tb) [equivalent dose in 2-Gy fractions (EQD2)=65.66 Gy, α/β=10], and 6,000 cGy in 30 fractions (200 cGy per fraction) to the planning CTV-1 (PTV-1) [EQD2=60.00 Gy, α/β=10]. Due to concerns about potential injury to the optic nerve, the patient and their family decided to shorten the radiotherapy course to 25 sessions. The final delivered doses were ~5,400 cGy to the PGTV-tb (estimated EQD2, 54.72 Gy; α/β=10) and 5,000 cGy to the PTV-1. Concurrent chemotherapy was administered with a regimen of cisplatin at 30 mg on days 1–2 every week for four cycles (1 week per cycle).

A soft-tissue mass identified in the
ethmoid and sphenoid sinus of the patient. (A) Axial
contrast-enhanced T1-weighted MRI illustrating the tumor with a
measured diameter of 4.5×2.7 cm. (B) Sagittal contrast-enhanced
T1-weighted MRI demonstrating tumor invasion into the intracranial
area (indicated by red arrows). MRI, magnetic resonance
imaging.

Figure 1.

A soft-tissue mass identified in the ethmoid and sphenoid sinus of the patient. (A) Axial contrast-enhanced T1-weighted MRI illustrating the tumor with a measured diameter of 4.5×2.7 cm. (B) Sagittal contrast-enhanced T1-weighted MRI demonstrating tumor invasion into the intracranial area (indicated by red arrows). MRI, magnetic resonance imaging.

Immunohistochemical staining results
suggesting that the tumor is an intestinal-type adenocarcinoma.
Original magnification, ×100. (A) CK7(−), (B) CK20(+), (C) CDX2(+)
and (D) villin(+). CK, cytokeratin; CDX2, caudal-type homeobox
2.

Figure 2.

Immunohistochemical staining results suggesting that the tumor is an intestinal-type adenocarcinoma. Original magnification, ×100. (A) CK7(−), (B) CK20(+), (C) CDX2(+) and (D) villin(+). CK, cytokeratin; CDX2, caudal-type homeobox 2.

Examples of target volume
delineation. (A-C) Target area contours on axial planes at
different levels of non-contrast computed tomography images. (D-F)
Display of the target contours in (D) axial, (E) sagittal and (F)
coronal views. The red outline represents the gross tumor volume of
the tumor bed and the green outline represents the clinical target
volume 1/high-risk clinical volume.

Figure 3.

Examples of target volume delineation. (A-C) Target area contours on axial planes at different levels of non-contrast computed tomography images. (D-F) Display of the target contours in (D) axial, (E) sagittal and (F) coronal views. The red outline represents the gross tumor volume of the tumor bed and the green outline represents the clinical target volume 1/high-risk clinical volume.

Recurrence

At 12 months post-surgery, the patient experienced bilateral vision loss, visual distortion, headaches, nausea and vomiting. A positron emission tomography-computed tomography (PET-CT) scan indicated tumor recurrence in the ethmoid and sphenoid sinuses, the anterior portion of the left nasal cavity and the nasal septum (Fig. 4). The biopsy results confirmed the presence of ITAC. Immunohistochemistry revealed PD-L1 expression with a combined positive score (CPS) of 5 and programmed cell death protein 1 (PD-1) positivity at 5% (22). The diagnosis of tumor recurrence, including PET-CT imaging and pathological biopsy, was confirmed at West China Hospital of Sichuan University. Systemic therapy was initiated with a regimen consisting of albumin-bound paclitaxel (300 mg on day 1), cisplatin (30 mg on days 1–3) and camrelizumab (200 mg on day 1) administered intravenously every 3 weeks for four cycles (3 weeks per cycle). Following four cycles of systemic therapy, grade II myelosuppression occurred (white blood cell count, 2.49×109/l; normal reference range, 3.5–9.5×109/l. The physical strength of the patient also markedly declined. The treatment regimen was adjusted to maintenance therapy with single-agent camrelizumab. The monotherapy schedule consisted of 200 mg camrelizumab administered once every 3 weeks. A total of 12 cycles were completed. The detailed course of treatment, including the initiation, adjustment and the duration of each therapeutic intervention, is summarized in a flowchart in Fig. 5. The Systemic therapy and the follow-up was based at the West China hospital and Dazhu People's Hospital.

Positron emission tomography-computed
tomography scan indicating tumor recurrence in the ethmoid and
sphenoid sinus, the anterior portion of the left nasal cavity and
the nasal septum (18F-fluorodeoxyglucose tracer).

Figure 4.

Positron emission tomography-computed tomography scan indicating tumor recurrence in the ethmoid and sphenoid sinus, the anterior portion of the left nasal cavity and the nasal septum (18F-fluorodeoxyglucose tracer).

Flowchart of the treatment course of
the patient. D, day.

Figure 5.

Flowchart of the treatment course of the patient. D, day.

Follow-up

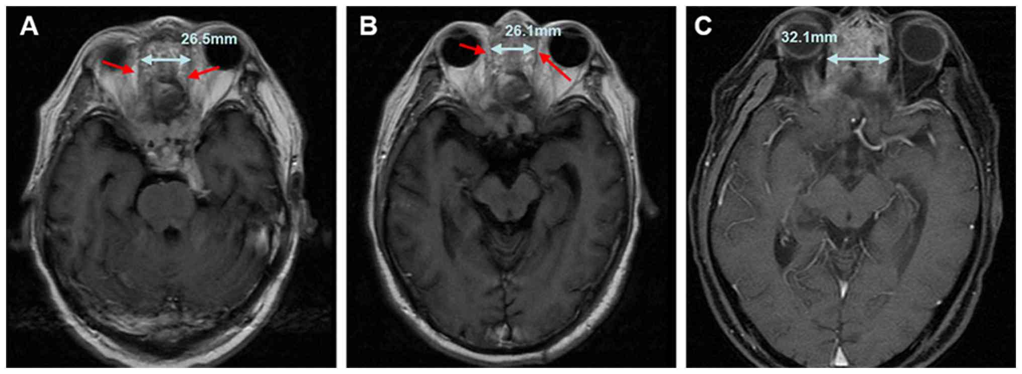
During treatment, the patient underwent MRI at each follow-up at a fixed interval of 2–3 months (sometimes according to their personal schedule). At the 11-month follow-up after the initiation of chemoimmunotherapy (February 2025), MRI (T1-weighted contrast-enhanced sequence) showed significant tumor progression compared with the scan performed at the 7-month follow-up. The longest diameter of the ethmoid sinus lesion had increased from 26.1 to 32.1 mm, with ill-defined boundaries and expanded invasion into surrounding tissues, which was consistent with the progressive disease based on the Response Evaluation Criteria in Solid Tumors 1.1 (RECIST 1.1) (Fig. 6). Following disease progression, the patient received anlotinib (12 mg once daily for 2 weeks on and 1 week off, with 3 weeks per cycle) and local interventional therapy to relieve symptoms, but subsequently developed intracranial and pulmonary metastatic progression. After that, the patient chose not to return for regular follow-up visits and was managed with best supportive care, being admitted to the hospital only when severe complications (fatigue, infection and vomiting) developed.

Follow-up assessment of tumor
progression based on Response Evaluation Criteria in Solid Tumors
1.1 criteria (progressive disease, defined as an increase of ≥20%
in the longest diameter of target lesions compared with the
baseline or the last non-progressive assessment, with an absolute
increase of ≥5 mm). (A) Axial view of contrast-enhanced T1-weighted
MRI at the 5th month of follow-up. An enhanced soft-tissue signal
was observed in the ethmoid sinus, with a measured tumor longest
diameter of ~26.5 mm. A clear separation between the tumor and the
orbit was noted (indicated by the red arrow). (B) Axial view of
contrast-enhanced T1-weighted MRI at the 7th month of follow-up.
The shape and scope of the enhanced soft tissue signal in the
ethmoid sinus were almost consistent with those at the 5th month,
with a measured tumor longest diameter of ~26.1 mm. A clear
separation between the tumor and the orbit remained visible
(indicated by the red arrow). (C) Axial view of contrast-enhanced
T1-weighted MRI at the 11th month of follow-up. The enhanced soft
tissue signal in the ethmoid sinus was notably larger than
previously, with a measured tumor longest diameter of ~32.1 mm (an
increase of 23.0% and an absolute increase of 6.0 mm compared with
the 7th month, meeting the progressive disease criteria). The tumor
showed ill-defined boundaries with surrounding tissues, suggesting
an expanded invasive range of the tumor. MRI, magnetic resonance
imaging.

Figure 6.

Follow-up assessment of tumor progression based on Response Evaluation Criteria in Solid Tumors 1.1 criteria (progressive disease, defined as an increase of ≥20% in the longest diameter of target lesions compared with the baseline or the last non-progressive assessment, with an absolute increase of ≥5 mm). (A) Axial view of contrast-enhanced T1-weighted MRI at the 5th month of follow-up. An enhanced soft-tissue signal was observed in the ethmoid sinus, with a measured tumor longest diameter of ~26.5 mm. A clear separation between the tumor and the orbit was noted (indicated by the red arrow). (B) Axial view of contrast-enhanced T1-weighted MRI at the 7th month of follow-up. The shape and scope of the enhanced soft tissue signal in the ethmoid sinus were almost consistent with those at the 5th month, with a measured tumor longest diameter of ~26.1 mm. A clear separation between the tumor and the orbit remained visible (indicated by the red arrow). (C) Axial view of contrast-enhanced T1-weighted MRI at the 11th month of follow-up. The enhanced soft tissue signal in the ethmoid sinus was notably larger than previously, with a measured tumor longest diameter of ~32.1 mm (an increase of 23.0% and an absolute increase of 6.0 mm compared with the 7th month, meeting the progressive disease criteria). The tumor showed ill-defined boundaries with surrounding tissues, suggesting an expanded invasive range of the tumor. MRI, magnetic resonance imaging.

Discussion

Sinonasal ITAC is an uncommon malignancy with a high post-operative recurrence rate, which is a major cause of treatment failure in numerous patients (23). However, to date, no consensus has been reached on the recurrence patterns of ITAC. The present case report aimed to explore the clinical course of patients with ITAC experiencing recurrence. The present study describes a detailed account of the management of a 60-year-old patient diagnosed with ITAC with cranial invasion. The patient underwent an endoscopic combined transcranial tumor resection, followed by adjuvant post-operative radiotherapy. Tumor recurrence was observed after a 12-month follow-up period, and a biopsy confirmed the pathology as ITAC. Immunohistochemical analysis revealed PD-1 positivity at 5% and a PD-L1 CPS of 5. Consequently, the treatment strategy was modified to include four cycles of chemotherapy combined with anti-PD-1 immunotherapy, followed by maintenance monotherapy with immunotherapy. At the 11-month follow-up, disease progression was observed.

The present case highlights two critical issues in the treatment of advanced intracranial infiltrative ITAC, providing valuable insight into the management of this rare neoplasm.

First, inadequate post-operative radiotherapy dosage is likely a key factor contributing to early local recurrence. Non-‘R0’ resection represents a high-risk factor for the early post-operative recurrence of ITAC (24). In the present case, the tumor was located in the ethmoid sinus and had extended to the skull and orbit, adjacent to the optic nerve and other vital structures. The anatomical complexity of this region rendered a complete ‘R0’ resection challenging, which may have contributed to the early post-operative recurrence of the patient. In an observational study, Abu-Shama et al (25) analyzed the surgical data of 13 patients with localized recurrence and found that difficulty was experienced in dissecting the cribriform plate or the lateral lamina during surgery in 11 of these patients.

An insufficient adjuvant radiotherapy dose may be associated with early local recurrence. Based on the postoperative radiotherapy doses for sinonasal intestinal-type adenocarcinoma reported in the previous literature (26–31) (Table I) and the positive surgical margins of this patient, the radiation oncologists formulated an initial radiotherapy plan with a total dose of 66 Gy. However, due to concerns about potential optic nerve damage (with the optimal maximum dose of the optic nerve recommended to be ≤54 Gy), the patient ultimately received only 25 sessions, a dose substantially lower than the planned regimen and the ≥66 Gy EQD2 generally recommended for adjuvant radiotherapy in postoperative high-risk areas (such as those with margin positivity, neural invasion or extra-peritoneal invasion) (26). Definite recurrence was observed at merely 12 months following surgery, primarily involving the bilateral ethmoid sinus margins, anterior left nasal cavity and nasal septum. These sites were within or adjacent to the original radiotherapy target volume, suggesting that an insufficient radiotherapy dose may be a key factor in the early local recurrence.

Table I.

Previous studies on postoperative radiotherapy doses and clinical outcomes of ITAC.

Table I.

Previous studies on postoperative radiotherapy doses and clinical outcomes of ITAC.

First author, yearLiterature typeTumor typeRadiation doseOutcomes(Refs.)
Parys et al, 2025Retrospective study (200 cases)ITACR1/R2 resection: 66–70 Gy/33-35 fractions; R0 resection: 60–62 Gy/30-31 fractions-(26)
Wang et al, 2025Retrospective study (81 cases)SNACR1/R2 resection: 66–70 Gy/33-35 fractions; R0 resection: 60–62 Gy/30-31 fractions-(27)
Hsu et al, 2015Case report (1 case)ITACCTV-1: 70 Gy/35 fractions; CTV-2: 59.5 Gy/35 fractionsPFS: 37 months(28)
Hoeben et al, 2015Literature reviewITAC60-66 Gy/30-33 fractions-(29)
Antognoni et al, 2015Retrospective study (30 cases)ITAC50-60 Gy/25-30 fractions for CTV; 54 Gy/25-27 fractions for elective neck irradiation-(30)
Askoxylakis et al, 2016Retrospective study (122 cases)Sinonasal tumorsMedian total dose: 64 Gy/32-53 fractionsPatients who received a dose of ≥60 Gy had significantly improved OS and LRFS(31)

[i] ITAC, intestinal-type adenocarcinoma; SNAC, sinonasal adenocarcinoma; CTV, clinical target volume; PFS, progression-free survival; OS, overall survival; LRFS, local recurrence-free survival.

For ITACs involving complex anatomical structures adjacent to critical organs (e.g., optic nerve and brainstem), particularly those with high-risk factors, such as intracranial invasion and narrow surgical margins, achieving ‘R0’ resection margins during surgery is notably challenging. Therefore, post-operative radiotherapy should aim to deliver a curative dose. A dose of 66 Gy EQD2 is recommended, as per previous studies (26,27). The application of advanced radiotherapy modalities, including proton and heavy ion therapy, is recommended for precise dose distribution. Proton and heavy ion therapies, due to their distinctive Bragg peak effect, enable the concentration of high radiation doses within the target area, while substantially minimizing exposure to surrounding vital structures. This capability facilitates safe dose escalation and enhances tumor control (32,33). For instance, proton therapy has been shown to achieve a 43% local control rate in patients with unresectable advanced sinus tumors (34). Additionally, carbon ion therapy permits dose escalation up to 73 Gy without an increase in acute toxicity (35).

Secondly, PD-L1 expression-guided chemoimmunotherapy followed by sequential immunotherapy maintenance may hold potential clinical value for advanced recurrent sinonasal ITAC.

The pathological analysis of the biopsy tissue from the recurrence site revealed 5% PD-1 positivity and a PD-L1 CPS of 5. Although the value is at the threshold, the presence of PD-1 positive tumor-infiltrating lymphocytes may indicate potential for an enhanced immune response (36). As an anti-PD-1 monoclonal antibody, camrelizumab blocks PD-1 on immune cells to reverse PD-L1-induced immune suppression. Consequently, a combination treatment regimen consisting of albumin-bound paclitaxel, cisplatin and camrelizumab was subsequently administered in the present case. This regimen was formulated based on the following considerations: i) Chemotherapy with paclitaxel and platinum compounds is known to induce immunogenic tumor cell death and increase T-cell infiltration (37,38); and ii) platinum compounds are recognized for promoting PD-L1 expression and enhancing the sensitivity to immune checkpoint inhibitors (39). Considering the tolerability of long-term combination therapy, the treatment was subsequently adjusted to camrelizumab monotherapy maintenance. This strategy, termed ‘chemotherapy-induced combined immune maintenance’, has shown efficacy in clinical practice for various solid tumors, such as lung cancer (40). After the initiation of this regimen, the patient achieved a PFS time of 11 months (followed by disease progression) with good treatment tolerance.

Survival rates for early-stage ITAC are relatively favorable. Dallan et al (41) reported a 5-year cancer-specific survival rate of 81.7% in a cohort of 440 European patients with ITAC, which was consistent with the findings in the study by Camp et al (42). Additionally, van de Velde et al (43) documented a 5-year overall survival rate of 47.8% (95% CI, 39.4–55.6) among patients with ITAC in The Netherlands. By contrast, the prognosis of patients with advanced or metastatic ITAC remains less favorable. Sarradin et al (12) conducted a retrospective analysis on the efficacy of chemotherapy in 6 patients with advanced ITAC, revealing that 3 patients with meningeal involvement experienced rapid disease progression, with a median PFS time of only 1.2 months. In the present case, the tumor of the patient had invaded the orbit at initial diagnosis, breached the meninges, invaded the skull and recurred swiftly post-surgery, all of which are considered poor prognostic indicators. Nevertheless, the patient achieved a prolonged PFS time of 11 months following chemoimmunotherapy combined with subsequent immunotherapy maintenance. This case provides preliminary evidence supporting the potential of this therapeutic strategy for PD-1/PD-L1-positive patients with advanced or recurrent ITAC.

The present case report has several limitations. Firstly, as a single case report, the present study lacks statistical analysis and can only provide limited reference value. Secondly, due to the different positions of the patient during the radiotherapy planning CT and the PET-CT scan for recurrence diagnosis, precise registration comparison between the two could not be performed. Nevertheless, sectional images near the optic nerve (the main recurrence site) are included in Fig. S1. Thirdly, the recurrence diagnosis described in this manuscript was based on pathology reports rather than retrievable original image files, which may represent a limitation of this study. Fourthly, due to the low incidence of this tumor, there were virtually no established clinical guidelines to reference during the management of this patient. The present study merely proposes two preliminary hypotheses, and further data from other cases and studies are required to provide stronger evidence for the treatment of ITAC.

In conclusion, ITAC is characterized by local invasiveness, which poses substantial challenges to treatment, particularly when intracranial tissue is involved. The analysis of this case provides two preliminary insights: First, an adequate postoperative adjuvant radiotherapy dose (≥66 Gy EQD2) may be important for controlling local recurrence. Second, for patients with recurrent or metastatic ITAC, the assessment of PD-1/PD-L1 expression may provide a valuable reference for treatment decision-making. In patients who are PD-1-positive or exhibit a PD-L1 CPS ≥1, a treatment strategy involving chemotherapy followed by sequential immune monotherapy maintenance therapy, such as camrelizumab, may serve as a potential salvage treatment. This approach may achieve durable disease control in some cases and provide preliminary references for the treatment of advanced ITAC.

Supplementary Material

Supporting Data

Acknowledgements

Not applicable.

Funding

The present study was funded by the Sichuan Provincial Administration of Traditional Chinese Medicine Special Fund Top Project (grant no. 2024MS191).

Availability of data and materials

The data generated in the present study may be requested from the corresponding author.

Authors' contributions

ZL and LY contributed to the study conceptualization. DL and ZL provided clinical advice on patient management. QZ, SZ and QWZ participated in patient treatment and clinical care. FY and WYG acquired and analyzed the medical imaging data. LY and QZ participated in the analysis and interpretation of clinical examination results, drafted and revised the manuscript. ZL and LY confirm the authenticity of all the raw data. All authors have read and approved the manuscript.

Ethics approval and consent to participate

The study was approved by the Ethics Committee of the General Hospital of Western Theater Command (approval no. 2025EC5-KY007). The patient and their family members were fully informed about the treatment modality and provided signed informed consent.

Patient consent for publication

Written informed consent was obtained from the patient for the publication of this case report, including the publication of all images, clinical data and other data included in the manuscript.

Competing interests

The authors declare that they have no competing interests.

References

1 

Leivo I: Intestinal-type adenocarcinoma: Classification, immunophenotype, molecular features and differential diagnosis. Head Neck Pathol. 11:295–300. 2017. View Article : Google Scholar : PubMed/NCBI

2 

Baptista Freitas M, Costa M, Freire Coelho A, Rodrigues Pereira P, Leal M, Sarmento C, Águas L and Barbosa M: Sinonasal adenocarcinoma: Clinicopathological characterization and prognostic factors. Cureus. 16:e560672024.PubMed/NCBI

3 

Kennedy MT, Jordan RCK, Berean KW and Perez-Ordoñez B: Expression pattern of CK7, CK20, CDX-2, and villin in intestinal-type sinonasal adenocarcinoma. J Clin Pathol. 57:932–937. 2004. View Article : Google Scholar : PubMed/NCBI

4 

Leivo I: Sinonasal adenocarcinoma: Update on classification, immunophenotype and molecular features. Head Neck Pathol. 10:68–74. 2016. View Article : Google Scholar : PubMed/NCBI

5 

Eggesbø HB: Imaging of sinonasal tumours. Cancer Imaging. 12:136–152. 2012. View Article : Google Scholar : PubMed/NCBI

6 

Rampinelli V, Ferrari M and Nicolai P: Intestinal-type adenocarcinoma of the sinonasal tract: An update. Curr Opin Otolaryngol Head Neck Surg. 26:115–121. 2018. View Article : Google Scholar : PubMed/NCBI

7 

Siddiqui F, Smith RV, Yom SS, Beitler JJ, Busse PM, Cooper JS, Hanna EY, Jones CU, Koyfman SA, Quon H, et al: ACR appropriateness criteria® nasal cavity and paranasal sinus cancers. Head Neck. 39:407–418. 2017. View Article : Google Scholar : PubMed/NCBI

8 

Meccariello G, Deganello A, Choussy O, Gallo O, Vitali D, De Raucourt D and Georgalas C: Endoscopic nasal versus open approach for the management of sinonasal adenocarcinoma: A pooled-analysis of 1826 patients. Head Neck. 38 (Suppl 1):E2267–E2274. 2016. View Article : Google Scholar : PubMed/NCBI

9 

Vermassen T, De Keukeleire S, Saerens M, Heerwegh S, Debacker JM, Huvenne W, Deron P, Creytens D, Ferdinande L, Rottey S, et al: Choice of surgery in intestinal-type adenocarcinoma of the sinonasal tract: A long-term comparative study. Eur Arch Otorhinolaryngol. 281:2993–3004. 2024. View Article : Google Scholar : PubMed/NCBI

10 

Keizer ME, Hovinga KE, Lacko M, Eekers DBP, Baijens LWJ, Kremer B and Temel Y: Clinical outcome in patients with large sinonasal tumors with intracranial extension. J Neurol Surg B Skull Base. 85:347–357. 2023.PubMed/NCBI

11 

Licitra L, Suardi S, Bossi P, Locati LD, Mariani L, Quattrone P, Lo Vullo S, Oggionni M, Olmi P, Cantù G, et al: Prediction of TP53 status for primary cisplatin, fluorouracil, and leucovorin chemotherapy in ethmoid sinus intestinal-type adenocarcinoma. J Clin Oncol. 22:4901–4906. 2004. View Article : Google Scholar : PubMed/NCBI

12 

Sarradin V, Betrian S, Chaltiel L, Brac De La Perriere C and Delord JP: 5-Fluorouracil with oxaliplatin and/or irinotecan for advanced sinonasal intestinal-type adenocarcinoma (ITAC). Bull Cancer. 110:168–173. 2023. View Article : Google Scholar : PubMed/NCBI

13 

Bossi P, Perrone F, Miceli R, Cantù G, Mariani L, Orlandi E, Fallai C, Locati LD, Cortelazzi B, Quattrone P, et al: Tp53 status as guide for the management of ethmoid sinus intestinal-type adenocarcinoma. Oral Oncol. 49:413–419. 2013. View Article : Google Scholar : PubMed/NCBI

14 

Szablewski V, Solassol J, Poizat F, Larrieux M, Crampette L, Mange A, Bascoul-Mollevi C and Costes V: EGFR expression and KRAS and BRAF mutational status in intestinal-type sinonasal adenocarcinoma. Int J Mol Sci. 14:5170–5181. 2013. View Article : Google Scholar : PubMed/NCBI

15 

Hermsen MA, Riobello C, García-Marín R, Cabal VN, Suárez-Fernández L, López F and Llorente JL: Translational genomics of sinonasal cancers. Semin Cancer Biol. 61:101–109. 2020. View Article : Google Scholar : PubMed/NCBI

16 

Le X, Ferrarotto R, Wise-Draper T and Gillison M: Evolving role of immunotherapy in recurrent metastatic head and neck cancer. J Natl Compr Cancer Netw. 18:899–906. 2020. View Article : Google Scholar

17 

Harrington KJ, Burtness B, Greil R, Soulières D, Tahara M, de Castro G Jr, Psyrri A, Brana I, Basté N, Neupane P, et al: Pembrolizumab with or without chemotherapy in recurrent or metastatic head and neck squamous cell carcinoma: Updated results of the phase III KEYNOTE-048 study. J Clin Oncol. 41:790–802. 2023. View Article : Google Scholar : PubMed/NCBI

18 

André T, Shiu KK, Kim TW, Jensen BV, Jensen LH, Punt CJA, Smith D, Garcia-Carbonero R, Alcaide-Garcia J, Gibbs P, et al: Pembrolizumab versus chemotherapy in microsatellite instability-high or mismatch repair-deficient metastatic colorectal cancer: 5-year follow-up from the randomized phase III KEYNOTE-177 study. Ann Oncol. 36:277–284. 2025. View Article : Google Scholar : PubMed/NCBI

19 

Riobello C, Vivanco B, Reda S, López-Hernández A, García-Inclán C, Potes-Ares S, Cabal VN, López F, Llorente JL and Hermsen MA: Programmed death ligand-1 expression as immunotherapeutic target in sinonasal cancer. Head Neck. 40:818–827. 2018. View Article : Google Scholar : PubMed/NCBI

20 

Thomas Z, Jambunathan P, Jibi A, John AO and Singh A: Low-dose nivolumab and cabozantinib in recurrent intestinal-type papillary adenocarcinoma of the sinonasal region. BMJ Case Rep. 16:e2550212023. View Article : Google Scholar : PubMed/NCBI

21 

Yang L, Lu L, Ma J, Xu Z and Li N: A case of high-grade non-intestinal paranasal sinus adenocarcinoma primary in the maxillary sinus: Targeted therapy after postoperative immunocombination with chemotherapy. J Cancer Res Clin Oncol. 150:3812024. View Article : Google Scholar : PubMed/NCBI

22 

Paver EC, Cooper WA, Colebatch AJ, Ferguson PM, Hill SK, Lum T, Shin JS, O'Toole S, Anderson L, Scolyer RA and Gupta R: Programmed death ligand-1 (PD-L1) as a predictive marker for immunotherapy in solid tumours: A guide to immunohistochemistry implementation and interpretation. Pathology. 53:141–156. 2021. View Article : Google Scholar : PubMed/NCBI

23 

Huang EI, Lu A, Tsai YT, Wang TC, Chuang HC, Chen WC and Chen PT: Decreasing recurrence and increasing survival rates in patients of ethmoid or sphenoid intestinal-type adenocarcinomas: Systematic review and meta-analysis with 1126 cases. Medicine (Baltimore). 100:e273412021. View Article : Google Scholar : PubMed/NCBI

24 

Riobello C, Sánchez-Fernández P, Córdoba MCC, González-Gutiérrez M, Vivanco B, Cabal VN, Fernández LS, García-Marín R, Codina-Martínez H, Lorenzo-Guerra SL, et al: Next-generation sequencing reveals remarkable genetic stability in primary and corresponding recurrent intestinal-type sinonasal adenocarcinoma. Head Neck. 46:2010–2019. 2024. View Article : Google Scholar : PubMed/NCBI

25 

Abu-Shama Y, Renard S, Nguyen DT, Henrot P, Toussaint B, Rumeau C, Gallet P and Jankowski R: Descriptive analysis of recurrences of nasal intestinal-type adenocarcinomas after radiotherapy. Head Neck. 44:1356–1367. 2022. View Article : Google Scholar : PubMed/NCBI

26 

Parys QA, De Witte M, Hauben E, Clement PM, Hermans R, Decramer T, van Loon J, Nuyts S, Jorissen M, Vander Poorten V and Van Gerven L: Long-term outcomes of endoscopic resection and tailored adjuvant radiotherapy for sinonasal intestinal-type adenocarcinoma: A historical single-center cohort study in 200 patients. Front Oncol. 15:15221132025. View Article : Google Scholar : PubMed/NCBI

27 

Wang J, Wang T, Zhao K, Li Y and Song X: A retrospective analysis of patients with primary sinonasal adenocarcinoma underwent radiotherapy running title: Radiotherapy for sinonasal adenocarcinoma. Sci Rep. 15:371152025. View Article : Google Scholar : PubMed/NCBI

28 

Hsu YC, Lu TY, Huang CJ and Huang MY: Intensity-modulated radiation therapy for a sinonasal intestinal-type adenocarcinoma patient: A rare case report. Ther Radiol Oncol. 1:32017. View Article : Google Scholar

29 

Hoeben A, van de Winkel L, Hoebers F, Kross K, Driessen C, Slootweg P, Tjan-Heijnen VC and van Herpen C: Intestinal-type sinonasal adenocarcinomas: The road to molecular diagnosis and personalized treatment. Head Neck. 38:1564–1570. 2016. View Article : Google Scholar : PubMed/NCBI

30 

Antognoni P, Turri-Zanoni M, Gottardo S, Molteni M, Volpi L, Facco C, Freguia S, Mordacchini C, AlQahtani A, Bignami M, et al: Endoscopic resection followed by adjuvant radiotherapy for sinonasal intestinal-type adenocarcinoma: Retrospective analysis of 30 consecutive patients. Head Neck. 37:677–684. 2015. View Article : Google Scholar : PubMed/NCBI

31 

Askoxylakis V, Hegenbarth P, Timke C, Saleh-Ebrahimi L, Debus J, Röder F and Huber PE: Intensity modulated radiation therapy (IMRT) for sinonasal tumors: A single center long-term clinical analysis. Radiat Oncol. 11:172016. View Article : Google Scholar : PubMed/NCBI

32 

Dagan R, Uezono H, Bryant C, Holtzman AL, Morris CG and Mendenhall WM: Long-term outcomes from proton therapy for sinonasal cancers. Int J Part Ther. 8:200–212. 2021. View Article : Google Scholar : PubMed/NCBI

33 

Mirandola A, Russo S, Bonora M, Vischioni B, Camarda AM, Ingargiola R, Molinelli S, Ronchi S, Rossi E, Vai A, et al: A patient selection approach based on NTCP models and DVH parameters for definitive proton therapy in locally advanced sinonasal cancer patients. Cancers (Basel). 14:26782022. View Article : Google Scholar : PubMed/NCBI

34 

Saito T, Ishikawa H, Ohnishi K, Aihara T, Mizumoto M, Fukumitsu N, Sugawara K, Okumura T and Sakurai H: Proton beam therapy for locally advanced and unresectable (T4bN0M0) squamous cell carcinoma of the ethmoid sinus: A report of seven cases and a literature review. Oncol Lett. 10:201–205. 2015. View Article : Google Scholar : PubMed/NCBI

35 

Jensen AD, Nikoghosyan AV, Ecker S, Ellerbrock M, Debus J and Münter MW: Carbon ion therapy for advanced sinonasal malignancies: Feasibility and acute toxicity. Radiat Oncol. 6:302011. View Article : Google Scholar : PubMed/NCBI

36 

Ma KL, Mitchell TC, Dougher M, Sharon CE, Tortorello GN, Elder DE, Morgan EE, Gimotty PA, Huang AC, Amaravadi RK, et al: Tumor-infiltrating lymphocytes in necrotic tumors after melanoma neoadjuvant anti-PD-1 therapy correlate with pathologic response and recurrence-free survival. Clin Cancer Res. 30:4987–4994. 2024. View Article : Google Scholar : PubMed/NCBI

37 

Larionova I, Cherdyntseva N, Liu T, Patysheva M, Rakina M and Kzhyshkowska J: Interaction of tumor-associated macrophages and cancer chemotherapy. Oncoimmunology. 8:15960042019. View Article : Google Scholar : PubMed/NCBI

38 

Melero I, Castanon E, Alvarez M, Champiat S and Marabelle A: Intratumoural administration and tumour tissue targeting of cancer immunotherapies. Nat Rev Clin Oncol. 18:558–576. 2021. View Article : Google Scholar : PubMed/NCBI

39 

Lesterhuis WJ, Punt CJA, Hato SV, Eleveld-Trancikova D, Jansen BJ, Nierkens S, Schreibelt G, de Boer A, Van Herpen CM, Kaanders JH, et al: Platinum-based drugs disrupt STAT6-mediated suppression of immune responses against cancer in humans and mice. J Clin Invest. 121:3100–3108. 2011. View Article : Google Scholar : PubMed/NCBI

40 

Li Y, Zhao J, Li R, Yao X, Dong X, Zhang R and Li Y: Treatment options for tumor progression after initial immunotherapy in advanced non-small cell lung cancer: A real-world study. Neoplasia. 57:1010432024. View Article : Google Scholar : PubMed/NCBI

41 

Dallan I, Fiacchini G, Tricò D, Barucco M, Turri-Zanoni M, Ferrari M, Di Girolami L, Schiavo G, Emanuelli E, Mattavelli D, et al: Sinonasal intestinal-type adenocarcinoma: Multi-institutional retrospective analysis based on 440 patients with long-term follow-up. Eur J Cancer. 226:1156232025. View Article : Google Scholar : PubMed/NCBI

42 

Camp S, Van Gerven L, Poorten VV, Nuyts S, Hermans R, Hauben E and Jorissen M: Long-term follow-up of 123 patients with adenocarcinoma of the sinonasal tract treated with endoscopic resection and postoperative radiation therapy. Head Neck. 38:294–300. 2016. View Article : Google Scholar : PubMed/NCBI

43 

van de Velde LJ, Breimer GE, Scheurleer WFJ, de Ridder M, Devriese LA, Braunius WW, de Bree R, van Dijk BAC and Rijken JA: Sinonasal intestinal-type adenocarcinoma in the Netherlands: A nationwide study (2008–2022). Head Neck. 47:2531–2540. 2025. View Article : Google Scholar : PubMed/NCBI

Related Articles

  • Abstract
  • View
  • Download
  • Twitter
Copy and paste a formatted citation
Spandidos Publications style
Yang L, Zhao Q, Yi F, Guo W, Zhang Q, Zhou S, Li D and Li Z: Comprehensive treatment for intracranial invasive sinonasal intestinal‑type adenocarcinoma with a focus on radiotherapy dosage and immunological combination therapy: A case report. Oncol Lett 31: 216, 2026.
APA
Yang, L., Zhao, Q., Yi, F., Guo, W., Zhang, Q., Zhou, S. ... Li, Z. (2026). Comprehensive treatment for intracranial invasive sinonasal intestinal‑type adenocarcinoma with a focus on radiotherapy dosage and immunological combination therapy: A case report. Oncology Letters, 31, 216. https://doi.org/10.3892/ol.2026.15571
MLA
Yang, L., Zhao, Q., Yi, F., Guo, W., Zhang, Q., Zhou, S., Li, D., Li, Z."Comprehensive treatment for intracranial invasive sinonasal intestinal‑type adenocarcinoma with a focus on radiotherapy dosage and immunological combination therapy: A case report". Oncology Letters 31.6 (2026): 216.
Chicago
Yang, L., Zhao, Q., Yi, F., Guo, W., Zhang, Q., Zhou, S., Li, D., Li, Z."Comprehensive treatment for intracranial invasive sinonasal intestinal‑type adenocarcinoma with a focus on radiotherapy dosage and immunological combination therapy: A case report". Oncology Letters 31, no. 6 (2026): 216. https://doi.org/10.3892/ol.2026.15571
Copy and paste a formatted citation
x
Spandidos Publications style
Yang L, Zhao Q, Yi F, Guo W, Zhang Q, Zhou S, Li D and Li Z: Comprehensive treatment for intracranial invasive sinonasal intestinal‑type adenocarcinoma with a focus on radiotherapy dosage and immunological combination therapy: A case report. Oncol Lett 31: 216, 2026.
APA
Yang, L., Zhao, Q., Yi, F., Guo, W., Zhang, Q., Zhou, S. ... Li, Z. (2026). Comprehensive treatment for intracranial invasive sinonasal intestinal‑type adenocarcinoma with a focus on radiotherapy dosage and immunological combination therapy: A case report. Oncology Letters, 31, 216. https://doi.org/10.3892/ol.2026.15571
MLA
Yang, L., Zhao, Q., Yi, F., Guo, W., Zhang, Q., Zhou, S., Li, D., Li, Z."Comprehensive treatment for intracranial invasive sinonasal intestinal‑type adenocarcinoma with a focus on radiotherapy dosage and immunological combination therapy: A case report". Oncology Letters 31.6 (2026): 216.
Chicago
Yang, L., Zhao, Q., Yi, F., Guo, W., Zhang, Q., Zhou, S., Li, D., Li, Z."Comprehensive treatment for intracranial invasive sinonasal intestinal‑type adenocarcinoma with a focus on radiotherapy dosage and immunological combination therapy: A case report". Oncology Letters 31, no. 6 (2026): 216. https://doi.org/10.3892/ol.2026.15571
Follow us
  • Twitter
  • LinkedIn
  • Facebook
About
  • Spandidos Publications
  • Careers
  • Cookie Policy
  • Privacy Policy
How can we help?
  • Help
  • Live Chat
  • Contact
  • Email to our Support Team