Spandidos Publications Logo
  • About
    • About Spandidos
    • Aims and Scopes
    • Abstracting and Indexing
    • Editorial Policies
    • Reprints and Permissions
    • Job Opportunities
    • Terms and Conditions
    • Contact
  • Journals
    • All Journals
    • Oncology Letters
      • Oncology Letters
      • Information for Authors
      • Editorial Policies
      • Editorial Board
      • Aims and Scope
      • Abstracting and Indexing
      • Bibliographic Information
      • Archive
    • International Journal of Oncology
      • International Journal of Oncology
      • Information for Authors
      • Editorial Policies
      • Editorial Board
      • Aims and Scope
      • Abstracting and Indexing
      • Bibliographic Information
      • Archive
    • Molecular and Clinical Oncology
      • Molecular and Clinical Oncology
      • Information for Authors
      • Editorial Policies
      • Editorial Board
      • Aims and Scope
      • Abstracting and Indexing
      • Bibliographic Information
      • Archive
    • Experimental and Therapeutic Medicine
      • Experimental and Therapeutic Medicine
      • Information for Authors
      • Editorial Policies
      • Editorial Board
      • Aims and Scope
      • Abstracting and Indexing
      • Bibliographic Information
      • Archive
    • International Journal of Molecular Medicine
      • International Journal of Molecular Medicine
      • Information for Authors
      • Editorial Policies
      • Editorial Board
      • Aims and Scope
      • Abstracting and Indexing
      • Bibliographic Information
      • Archive
    • Biomedical Reports
      • Biomedical Reports
      • Information for Authors
      • Editorial Policies
      • Editorial Board
      • Aims and Scope
      • Abstracting and Indexing
      • Bibliographic Information
      • Archive
    • Oncology Reports
      • Oncology Reports
      • Information for Authors
      • Editorial Policies
      • Editorial Board
      • Aims and Scope
      • Abstracting and Indexing
      • Bibliographic Information
      • Archive
    • Molecular Medicine Reports
      • Molecular Medicine Reports
      • Information for Authors
      • Editorial Policies
      • Editorial Board
      • Aims and Scope
      • Abstracting and Indexing
      • Bibliographic Information
      • Archive
    • World Academy of Sciences Journal
      • World Academy of Sciences Journal
      • Information for Authors
      • Editorial Policies
      • Editorial Board
      • Aims and Scope
      • Abstracting and Indexing
      • Bibliographic Information
      • Archive
    • International Journal of Functional Nutrition
      • International Journal of Functional Nutrition
      • Information for Authors
      • Editorial Policies
      • Editorial Board
      • Aims and Scope
      • Abstracting and Indexing
      • Bibliographic Information
      • Archive
    • International Journal of Epigenetics
      • International Journal of Epigenetics
      • Information for Authors
      • Editorial Policies
      • Editorial Board
      • Aims and Scope
      • Abstracting and Indexing
      • Bibliographic Information
      • Archive
    • Medicine International
      • Medicine International
      • Information for Authors
      • Editorial Policies
      • Editorial Board
      • Aims and Scope
      • Abstracting and Indexing
      • Bibliographic Information
      • Archive
  • Articles
  • Information
    • Information for Authors
    • Information for Reviewers
    • Information for Librarians
    • Information for Advertisers
    • Conferences
  • Language Editing
Spandidos Publications Logo
  • About
    • About Spandidos
    • Aims and Scopes
    • Abstracting and Indexing
    • Editorial Policies
    • Reprints and Permissions
    • Job Opportunities
    • Terms and Conditions
    • Contact
  • Journals
    • All Journals
    • Biomedical Reports
      • Information for Authors
      • Editorial Policies
      • Editorial Board
      • Aims and Scope
      • Abstracting and Indexing
      • Bibliographic Information
      • Archive
    • Experimental and Therapeutic Medicine
      • Information for Authors
      • Editorial Policies
      • Editorial Board
      • Aims and Scope
      • Abstracting and Indexing
      • Bibliographic Information
      • Archive
    • International Journal of Epigenetics
      • Information for Authors
      • Editorial Policies
      • Editorial Board
      • Aims and Scope
      • Abstracting and Indexing
      • Bibliographic Information
      • Archive
    • International Journal of Functional Nutrition
      • Information for Authors
      • Editorial Policies
      • Editorial Board
      • Aims and Scope
      • Abstracting and Indexing
      • Bibliographic Information
      • Archive
    • International Journal of Molecular Medicine
      • Information for Authors
      • Editorial Policies
      • Editorial Board
      • Aims and Scope
      • Abstracting and Indexing
      • Bibliographic Information
      • Archive
    • International Journal of Oncology
      • Information for Authors
      • Editorial Policies
      • Editorial Board
      • Aims and Scope
      • Abstracting and Indexing
      • Bibliographic Information
      • Archive
    • Medicine International
      • Information for Authors
      • Editorial Policies
      • Editorial Board
      • Aims and Scope
      • Abstracting and Indexing
      • Bibliographic Information
      • Archive
    • Molecular and Clinical Oncology
      • Information for Authors
      • Editorial Policies
      • Editorial Board
      • Aims and Scope
      • Abstracting and Indexing
      • Bibliographic Information
      • Archive
    • Molecular Medicine Reports
      • Information for Authors
      • Editorial Policies
      • Editorial Board
      • Aims and Scope
      • Abstracting and Indexing
      • Bibliographic Information
      • Archive
    • Oncology Letters
      • Information for Authors
      • Editorial Policies
      • Editorial Board
      • Aims and Scope
      • Abstracting and Indexing
      • Bibliographic Information
      • Archive
    • Oncology Reports
      • Information for Authors
      • Editorial Policies
      • Editorial Board
      • Aims and Scope
      • Abstracting and Indexing
      • Bibliographic Information
      • Archive
    • World Academy of Sciences Journal
      • Information for Authors
      • Editorial Policies
      • Editorial Board
      • Aims and Scope
      • Abstracting and Indexing
      • Bibliographic Information
      • Archive
  • Articles
  • Information
    • For Authors
    • For Reviewers
    • For Librarians
    • For Advertisers
    • Conferences
  • Language Editing
Login Register Submit
  • This site uses cookies
  • You can change your cookie settings at any time by following the instructions in our Cookie Policy. To find out more, you may read our Privacy Policy.

    I agree
Search articles by DOI, keyword, author or affiliation
Search
Advanced Search
presentation
Oncology Letters
Join Editorial Board Propose a Special Issue
Print ISSN: 1792-1074 Online ISSN: 1792-1082
Journal Cover
June-2026 Volume 31 Issue 6

Full Size Image

Sign up for eToc alerts
Recommend to Library

Journals

International Journal of Molecular Medicine

International Journal of Molecular Medicine

International Journal of Molecular Medicine is an international journal devoted to molecular mechanisms of human disease.

International Journal of Oncology

International Journal of Oncology

International Journal of Oncology is an international journal devoted to oncology research and cancer treatment.

Molecular Medicine Reports

Molecular Medicine Reports

Covers molecular medicine topics such as pharmacology, pathology, genetics, neuroscience, infectious diseases, molecular cardiology, and molecular surgery.

Oncology Reports

Oncology Reports

Oncology Reports is an international journal devoted to fundamental and applied research in Oncology.

Experimental and Therapeutic Medicine

Experimental and Therapeutic Medicine

Experimental and Therapeutic Medicine is an international journal devoted to laboratory and clinical medicine.

Oncology Letters

Oncology Letters

Oncology Letters is an international journal devoted to Experimental and Clinical Oncology.

Biomedical Reports

Biomedical Reports

Explores a wide range of biological and medical fields, including pharmacology, genetics, microbiology, neuroscience, and molecular cardiology.

Molecular and Clinical Oncology

Molecular and Clinical Oncology

International journal addressing all aspects of oncology research, from tumorigenesis and oncogenes to chemotherapy and metastasis.

World Academy of Sciences Journal

World Academy of Sciences Journal

Multidisciplinary open-access journal spanning biochemistry, genetics, neuroscience, environmental health, and synthetic biology.

International Journal of Functional Nutrition

International Journal of Functional Nutrition

Open-access journal combining biochemistry, pharmacology, immunology, and genetics to advance health through functional nutrition.

International Journal of Epigenetics

International Journal of Epigenetics

Publishes open-access research on using epigenetics to advance understanding and treatment of human disease.

Medicine International

Medicine International

An International Open Access Journal Devoted to General Medicine.

Journal Cover
June-2026 Volume 31 Issue 6

Full Size Image

Sign up for eToc alerts
Recommend to Library

  • Article
  • Citations
    • Cite This Article
    • Download Citation
    • Create Citation Alert
    • Remove Citation Alert
    • Cited By
  • Similar Articles
    • Related Articles (in Spandidos Publications)
    • Similar Articles (Google Scholar)
    • Similar Articles (PubMed)
  • Download PDF
  • Download XML
  • View XML

  • Supplementary Files
    • Supplementary_Data.pdf
Article Open Access

Role of CDX2 in the prognosis of colorectal cancer across stages 0‑IV

  • Authors:
    • Guojun Tong
    • Hai Qian
    • Yuefeng Fei
    • Sheng Yu
    • Kun Guo
    • Wenwen Yu
    • Jing Li
    • Sicheng Yan
  • View Affiliations / Copyright

    Affiliations: Department of Colorectal Surgery, Huzhou Central Hospital, Affiliated Central Hospital of Huzhou University, Huzhou, Zhejiang 313003, P.R. China, Department of General Surgery, Huzhou Central Hospital, Affiliated Central Hospital of Huzhou University, Huzhou, Zhejiang 313003, P.R. China, Department of Gastroenterology, Huzhou Central Hospital, Affiliated Central Hospital of Huzhou University, Huzhou, Zhejiang 313003, P.R. China, Central Laboratory Department, Huzhou Central Hospital, Affiliated Central Hospital of Huzhou University, Huzhou, Zhejiang 313003, P.R. China
    Copyright: © Tong et al. This is an open access article distributed under the terms of Creative Commons Attribution License.
  • Article Number: 227
    |
    Published online on: April 8, 2026
       https://doi.org/10.3892/ol.2026.15581
  • Expand metrics +
Metrics: Total Views: 0 (Spandidos Publications: | PMC Statistics: )
Metrics: Total PDF Downloads: 0 (Spandidos Publications: | PMC Statistics: )
Cited By (CrossRef): 0 citations Loading Articles...

This article is mentioned in:


Abstract

Caudal‑type homeobox 2 (CDX2) proteins function as tumour suppressors in colorectal cancer (CRC), but their prognostic value remains controversial. In the present study, a total of 453 eligible patients diagnosed with CRC and having undergone surgery between January 2017 and January 2020 were included after applying exclusion criteria. CDX2 expression was classified as either absent/low (negative or +) or high (++ or +++). Clinicopathological characteristics, 5‑year overall survival (OS) and disease‑free survival (DFS) were compared across groups using Kaplan‑Meier analysis with log‑rank tests. Associations between categorical variables were assessed via Spearman's correlations, while univariate and multivariate analyses were performed using Cox regression models. CDX2 expression was only correlated with tumour‑node‑metastasis (TNM) stage (P=0.001). Tumour carcinoembryonic antigen expression was associated with E‑cadherin (P<0.01) and microsatellite instability (P<0.01). High CDX2 expression was associated with significantly improved OS [stage II: P=0.013; hazard ratio (HR)=0.472; 95% CI, 0.257‑0.867; stage III: P<0.001; HR=0.413; 95% CI, 0.271‑0.628] and DFS (stage II: P=0.042; HR=0.606; 95% CI, 0.370‑0.994; stage III: P<0.001; HR=0.468; 95% CI, 0.334‑0.655). In the pooled‑stage analysis, high CDX2 expression was also associated with improved OS (HR=0.511; 95% CI, 0.371‑0.703) and DFS (HR=0.581; 95% CI, 0.448‑0.753), with all pooled P‑values <0.001. Cox regression identified chemotherapy, TNM stage, differentiation status, Ecadherin expression and CDX2 expression as independent prognostic factors. In conclusion, high CDX2 expression is associated with favourable prognosis in stages II and III CRC and represents an independent prognostic marker for both OS and DFS.

Introduction

Colorectal cancer (CRC) is the most common malignancy of the gastrointestinal tract and a leading cause of cancer-related mortality worldwide (1); for example ~153,020 individuals were diagnosed with CRC and ~52,550 died from the disease in the United States in 2022 (2). Prognosis in patients with CRC is influenced by various clinical factors, including tumour stage, necrosis, vascular invasion, differentiation status, immune markers such as the Ki-67 proliferation index, serum carcinoembryonic antigen (CEA) levels and inflammatory markers (3). However, the tumour-node-metastasis (TNM) staging system, defined by the American Joint Committee on Cancer (AJCC), remains the primary framework for prognostic assessment and treatment planning (4). In previous work, several immunohistochemical markers with potential prognostic relevance in CRC have been evaluated (5–8).

Caudal-type homeobox 2 (CDX2) is an intestinal transcription factor, typically localised to the nuclei of intestinal epithelial cells, which serves a critical role in intestinal development and homeostasis (9,10). As a homeobox gene, CDX2 participates in embryonic development, contributes to the maintenance of dynamic homeostasis within the gut and functions to inhibit proliferation and tumour formation in colon cancer cells (11–13). More recently, CDX2, along with SATB homeobox 2, has been increasingly associated with intestinal inflammation. CDX2 has been shown to modulate inflammasome activity through the expression of tripartite motif containing 31, an inhibitor of NLR family pyrin domain containing 3 (14). In murine colonic epithelium, loss of CDX function results in enhanced macrophage infiltration and elevated expression of proinflammatory cytokines, including TNFα, IL1β and IL6 (14,15). Both CDX1 and CDX2 are essential for maintaining intestinal epithelial homeostasis. In humans, loss of CDX2 is linked to more aggressive CRC subtypes (16). Correspondingly, in an APCmutant murine model, concurrent loss of CDX1 and CDX2 leads to increased polyp formation throughout the intestinal tract (16). Unlike microsatellite instability (MSI) and Ecadherin, which demonstrate stagerestricted prognostic effects (17,18), CDX2 has been preliminarily reported to show stable prognostic relevance across both early and advanced tumour stages (19). Expression levels of CDX2 are associated with tumour differentiation, invasion depth and lymph node metastasis in a stagedependent manner, an association not fully captured by MSI or Ecadherin alone (20). Based on archived specimens, the nextgeneration multitarget stool DNA assay has shown promising performance characteristics, indicating it has high sensitivity for CRC and advanced precancerous lesions, with excellent specificity for CRC screening and will undergo further evaluation in a prospective clinical validation study (21).

Genes such as solute carrier family 17 member 9 (SLC17A9) function as competitive endogenous RNAs that sequester microRNA (miR)12263p, thereby facilitating CRC progression (22). These findings establish SLC17A9 as a novel prognostic biomarker and a potential therapeutic target for CRC (21). Inhibitors of STAT3, particularly those targeting the DNAbinding domain, have been shown to hold therapeutic potential in CRC (23). To address this, subsequent experiments disrupted the trefoil factor 3-Janus kinase 2/STAT3-CDX2 pathway, revealing notable downstream changes that mechanistically link these molecular interactions to CRC progression (24).

CRCs which lose CDX2 expression are known to display aggressive clinical behaviour yet are frequently accompanied by a high density of tumourinfiltrating lymphocytes (25). CDX2low CRC has been associated with worse survival and differential responses to adjuvant chemotherapy (26). The serrated pathway of colorectal carcinogenesis may be linked to gastrictype metaplasia in the colon and alterations in CDX2 expression (1). CDX2, a transcription factor involved in gastrointestinal differentiation, has been suggested as a biomarker for favourable outcomes (such as high CDX2 expression being associated with well and highly differentiated tumours) and may also help identify subtypes responsive to targeted therapies (27). Reduced CDX2 expression is associated with worse survival and several adverse prognostic factors, including advanced tumour stage, higher tumour grade and BRAF mutation (28). Variations in CDX2 expression may also correspond to differences in treatment outcomes. For instance, loss of CDX2 detected by immunohistochemistry (IHC) has been associated with worse prognosis and could help identify patients who are more likely to benefit from chemotherapy (29). Moreover, CDX2positive cancer of unknown primary constitutes a distinct subgroup that tends to respond favourably fluorouracilbased therapy, supporting the role of CDX2 as a predictive biomarker for treatment selection (30). Although loss of CDX2 expression has been linked to worse clinical outcomes and appears to predict benefit from adjuvant chemotherapy in stage II and III CRC, its prognostic relevance in stage II disease, particularly in relation to established clinical risk factors such as MSI status, BRAF mutation status and tumour budding, remains inadequately validated (31).

Building on the established link between CDX2 and CRC, the present study hypothesises that high CDX2 expression exerts a protective effect in CRC and correlates with a favourable prognosis. To test this hypothesis, a retrospective analysis of patients who underwent CRC cancer surgery was performed, including stratified analyses across different TNM stages. To date, few studies (32,33) have comprehensively evaluated the prognostic role of CDX2 beyond AJCC 8th edition stratification, and investigations examining the association between CDX2 expression and both overall survival (OS) and diseasefree survival (DFS) remain limited. Addressing this gap represents a primary aim of the present study.

It is well established that CDX2 is commonly expressed in normal colorectal epithelium, whereas its loss or reduced expression is frequently observed in colorectal tumour tissue and is associated with unfavourable prognosis (34). To further explore this association, the relationship between differential CDX2 expression and prognosis in patients with stage 0-IV CRC treated within a defined period was examined as the first objective of the present study. Additional objectives were to determine whether CDX2 expression correlates with TNM stage, differentiation status, tumour CEA (TCEA) levels, tumour p53 status and other clinicopathological variables and to evaluate whether CDX2 serves as an independent prognostic factor in CRC.

Materials and methods

Patients

A total of 802 patients with CRC who underwent surgery between January 2017 and January 2020 in the Colorectal Surgery Department of Huzhou Central Hospital (Huzhou, China) were initially identified using the medical records system (version 4.37; Hangzhou Lianzhong Medical Science Co., Ltd.) and Haitai software (version 3.0; Nanjing Haitai Medical). After applying the inclusion and exclusion criteria, 453 cases were included in the final analysis. Tumour staging was performed according to the AJCC 8th edition (4). For analytical purposes, TNM staging is presented in two formats: i) Conventional staging (denoted as ‘TNM’), which includes subgroups not used in the final analysis; and ii) a combined grouping that merges overall stages and combines stages 0 and I (denoted as ‘TNM1’).

The inclusion criteria were: i) A diagnosis of CRC confirmed by colonoscopy, computed tomography or pathological examination, regardless of whether the initial diagnosis was made within or outside the Colorectal Surgery Department of Huzhou Central Hospital; ii) patients who underwent colorectal surgery (radical or nonradical) at Huzhou Central Hospital; iii) a diagnosis of primary tumour recurrence or mortality attributable to the primary tumour during the present study period; iv) availability of complete and detailed clinical and pathological records; and v) complete followup data with accurate documentation. The exclusion criteria were: i) The presence of severe cardiac, cerebral, hepatic or pulmonary disease that rendered the patient unfit for surgery; ii) mortality due to nonCRC causes, or pathological confirmation of nonadenocarcinoma malignancies, such as gastrointestinal stromal tumours, neural tumours, lymphomas or melanomas; and (iii) incomplete clinicopathological data or insufficient followup information. Based on these criteria, 349 cases were excluded.

Follow-up

Patients were routinely followed up at the outpatient clinic 2 weeks after surgery. Subsequent follow-ups were scheduled every 3 months during the first year, every 6 months during the second year and annually for the following 3 years, for a total follow-up period of 5 years postoperatively. Followup data were obtained through telephone interviews and outpatient medical records. The endoffollowup date was January 2025, with a median followup duration of 58 months.

CDX2 detection by IHC (Elivision method)

For CDX2 immunohistochemistry, formalin-fixed paraffin-embedded tissue sections of CRC tissues (4 µm thickness) were used. Tissue fixation was performed using 10% neutral buffered formalin at room temperature for 24–48 h. After deparaffinization and rehydration, antigen retrieval was performed. Pretreatment was conducted with BOND Epitope Retrieval Solution 2 (cat. no. AR9640; Leica Biosystems) at 100°C for 30 min. The sample was incubated with a blocking agent containing 3% hydrogen peroxide for 5 min at room temperature. Immunohistochemical staining for CDX2 was performed on an automated immunostainer (BONDIII; Leica Biosystems) using the BOND Refine detection kit (cat. no. AR9640; Leica Biosystems). A CDX2 antibody (clone EPR2764Y; Epredia; cat. no. RM2116; dilution 1:500) served as the primary antibody. The primary antibody was incubated at room temperature for 20 min. Subsequently, the BOND Refine detection kit was applied according to the manufacturer's instructions, with the secondary antibody incubated at room temperature for 6 min. Slides were scanned using a NanoZoomer XR scanner (Hamamatsu Photonics K.K) under ×200 and ×400 objective magnifications. The resulting digital images were analysed with QuPath software (35). Cellular detection was performed using the software's builtin cell detection function. Intensity features were incorporated to calculate Haralick's texture features, and smoothed features (within a 20 µm radius) were generated using the corresponding smoothing function. An object classifier was trained to distinguish tumour cells from stromal cells. The intensity of 3,3′diaminobenzidine (DAB) chromogen staining was quantified for each tumour cell using QuPath, with the DAB threshold set in accordance with the manufacturer's protocol (BONDIII; Leica Biosystems).

CDX2 classification

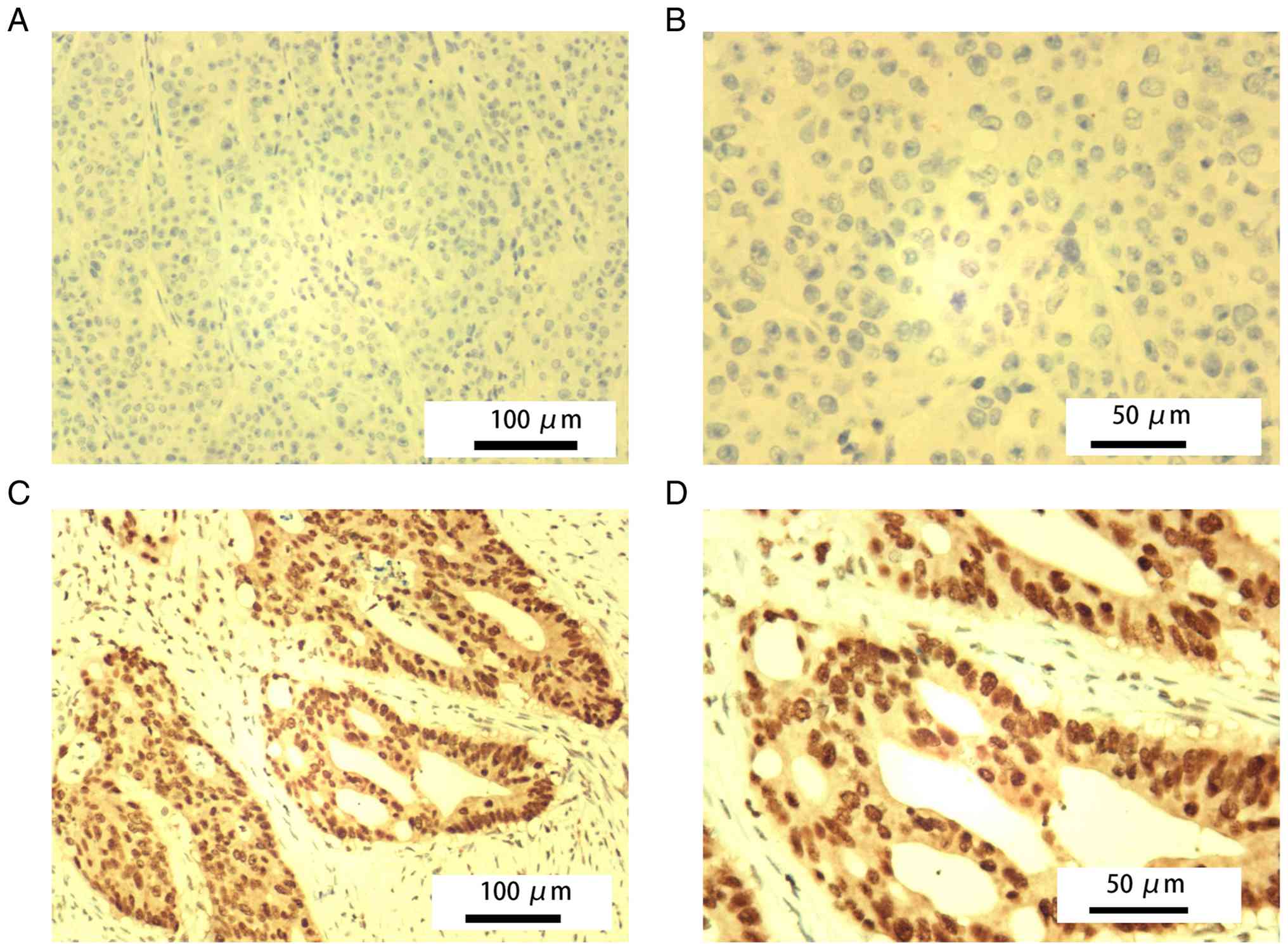
For each cell, DAB staining intensity was classified into four categories according to predefined thresholds. The CDX2 scoring cutoffs were established by the pathology department in line with the CDX2 kit protocol (cat. no. AR9640; Leica Biosystems) and recent literature (9): A DAB intensity value <0.25 was classified as negative (−); 0.25–0.55 as weakly positive (+); 0.55–0.85 as moderately positive (++); and >0.85 as strongly positive (+++). Considering that cases with complete CDX2 negativity are comparatively uncommon and do not encompass the full spectrum of TNM staging categories (36), CDX2 (−) samples and CDX2 (+) samples were consolidated into a unified group, defined as CDX2 absent/low, which classification approach has been previously utilized by other researchers (36). For binary group comparison and to facilitate subsequent analyses, cases classified as CDX2 (−) and CDX2 (+) were combined into a ‘CDX2 absent/low’ group (Fig. 1A and B), while cases classified as CDX2 (++) and CDX2 (+++) were combined into a ‘CDX2 high’ group (Fig. 1C and D). Each case was assessed independently by two experienced pathologists who were blinded to clinical outcomes. In cases of discordance, a third senior pathologist adjudicated to minimise interobserver bias. Receiver operating characteristic curve analysis was performed to evaluate the diagnostic efficacy of this classification. The resulting area under the curve values were 0.75 for OS and 0.72 for DFS (both >0.5), confirming its discriminative power in terms of sensitivity and specificity (Fig. S1).

Representative images of CDX2
expression in colorectal cancer. (A) CDX2 absent/low expression at
×200 magnification. (B) CDX2 absent/low expression at ×400
magnification. (C) CDX2 high expression at ×200 magnification. (D)
CDX2 high expression at ×400 magnification. CDX2, caudal-type
homeobox 2.

Figure 1.

Representative images of CDX2 expression in colorectal cancer. (A) CDX2 absent/low expression at ×200 magnification. (B) CDX2 absent/low expression at ×400 magnification. (C) CDX2 high expression at ×200 magnification. (D) CDX2 high expression at ×400 magnification. CDX2, caudal-type homeobox 2.

Statistical analysis

All clinical and followup data were entered into SPSS version 29.0 (IBM Corp.). Missing values were imputed with the series mean prior to analysis. Continuous clinicopathological variables were compared between the CDX2 absent/low and CDX2 high expression groups using independentsamples Student's ttests. Categorical data were analysed with crosstabulation and Pearson's χ2 test. Ordinal categorical variables were assessed using Spearman's correlation. The primary endpoints were defined as the time from surgery to mortality or until 5-years postoperatively, which served as the study cut-off. Analysis of 5 year OS and DFS was performed using Kaplan-Meier curves with logrank tests; risk tables were generated according to CDX2 expression levels. Correlation analyses and relation maps were performed in SPSS 29, while correlation heatmaps were visualised using R 4.4.1 R (Posit Software, PBC). The R packages ‘corrplot’ (https://cran.r-project.org/package=corrplot), ‘ggplot2’ (https://cran.r-project.org/package=ggplot2), ‘survival’ (https://cran.r-project.org/package=survival) and ‘survminer’ (https://cran.r-project.org/package=survminer) were employed for visualisation. Univariate and multivariate Cox regression analyses were conducted incorporating clinical, pathological and biochemical variables. Omnibus tests and the enter method were used in the Cox regression analysis. In the multivariate analysis, all variables were initially included using the enter method. To minimize bias, continuous variables were supplemented with the statistically recognized sequence mean imputation for missing values. Additionally, cases with missing values of the categorical variable CDX2 were excluded to reduce bias. Fisher's exact test was used if expected values in cells were <5. P<0.05 was considered to indicate a statistically significant difference.

Results

General data

The present study included 453 patients, of whom 266 were men (58.7%) and 187 women (41.3%). Participant age ranged from 25 to 90 years, with a median of 66 years. The CDX2 absent/low group consisted of 217 cases (47.9%), including 123 men (27.2%) and 94 women (20.8%). The CDX2 high group included 236 cases (52.1%), with 143 men (31.6%) and 93 women (20.5%). No significant difference in sex distribution was observed between the two groups (χ2=0.713; P=0.398). The mean ages were 64.9±11.2 years in the CDX2 absent/low group and 65.9±10.7 years in the CDX2 high group; this difference was not statistically significant (t=−0.97; P=0.334). Baseline characteristics are summarised in Table I.

Table I.

Clinicopathological features of CDX2 classifications.

Table I.

Clinicopathological features of CDX2 classifications.

VariablesCDX2 absent/low (n=217)CDX2 high (n=236) t/χ2P-value (two-sided)
Sex 0.7130.398
  Men123 (27.2)143 (31.6)
  Women94 (20.8)93 (20.5)
Age, years64.9±11.265.9±10.7−0.970.334
Symptom duration, days23.3±11.822.1±8.21.300.193
Laparoscopy 3.4660.063
  Yes125 (27.6)156 (34.4)
  No92 (20.3)80 (17.7)
Lymph nodes harvested15.7±6.615.7±9.70.0010.999
Tumour size, cm
  Min3.3±1.43.2±1.50.8160.415
  Max4.6±1.84.6±1.8−0.1280.898
CA72-4, U/ml5.7±11.46.5±24.4−0.4500.653
CA19-9, U/ml96.9±500.345.3±143.41.4660.144
CA15-3, U/ml9.2±4.49.5±7.7−0.6360.525
CA125, U/ml17.9±17.818.1±4.7−0.0610.951
CEA, ng/ml16.3±63.116.3±54.70.0001.000
Preoperative CRP, mg/l7.8±16.27.7±21.30.0690.945
Preoperative album, g/l37.6±5.337.8±4.7−0.5580.578
Cost, thousand RMB43.4±9.843.0±10.50.4350.664
Chemotherapy 0.2610.610
  Yes142 (31.3)149 (32.9)
  No75 (16.6)87 (19.2)
TNM1 11.0110.012a
  0 and I28 (6.2)45 (9.9)
  II71 (15.7)96 (21.2)
  III103 (22.7)88 (19.4)
  IV15 (3.3)7 (1.5)
Differentiation 1.2230.543
  Poor and undifferentiated92 (20.3)94 (20.8)
  Moderate121 (26.7)134 (29.6)
  High4 (0.9)8 (1.8)
MSI 0.1830.668
  Low162 (35.8)172 (38.0)
  High55 (12.1)64 (14.1)
TP53 10.1860.017a
  Negative55 (12.1)40 (8.8)
  +31 (6.8)46 (10.2)
  ++32 (7.1)54 (11.9)
  +++99 (21.9)96 (21.2)
TCEA 3.1070.389b
  Negative2 (0.4)1 (0.2)
  +141 (31.1)165 (36.4)
  ++11 (2.4)16 (3.5)
  +++63 (13.9)54 (11.9)
E-cadherin 3.6390.303b
  Negative1 (0.2)2 (0.4)
  +79 (17.4)99 (21.9)
  ++55 (12.1)65 (14.3)
  +++82 (18.1)70 (15.5)
Top2 0.6780.712
  +37 (8.2)34 (7.5)
  ++162 (35.8)180 (39.7)
  +++18 (4.0)22 (4.9)

{ label (or @symbol) needed for fn[@id='tfn1-ol-31-6-15581'] } Data presented as means ± SD or n (%).

a P<0.05;

b Fisher's exact test was used if expected values in cells were <5. TNM1 indicates total stage of American Joint Committee on Cancer-8 after combining substages. CDX2, caudal-type homeobox transcription factor 2; CRP, Preoperative C-reactive protein; TP53, tumour p53; TCEA, tumour carcinoembryonic antigen; MSI, microsatellite instability; TOP2, topoisomerase II α; TNM, tumour-node-metastasis.

Clinicopathological features between CDX2 absent/low and CDX2 high groups

No significant differences were found between the CDX2 absent/low and CDX2 high groups in the following continuous variables: Symptom duration (23.3±11.8 vs. 22.1±8.2 months; P=0.193), number of lymph nodes harvested (15.7±6.56 vs. 15.7±9.69; P=0.999), minimum tumour size (3.3±1.5 vs. 3.2±1.5cm; P=0.415) and maximum tumour size (4.6±1.8 vs. 4.6±1.8 cm; P=0.898). Similarly, no significant differences were found in levels of carbohydrate antigen (CA) 72–4 (CA72-4), CA19-9, CA15-3, CA125, CEA, preoperative C-reactive protein (CRP), preoperative albumin, treatment cost, receipt of chemotherapy, surgical approach (laparoscopy), TCEA, differentiation grade, MSI status, E-cadherin expression or topoisomerase II α (Top2) expression (all P>0.05). However, significant differences between the two groups were identified in TNM1 stage (P=0.012) and tumour p53 (tp53) expression (P=0.017). Detailed results are presented in Table I.

Correlations between CDX2 and other variables

Pairwise associations between all categorical variables listed in Table II were analysed using Spearman's rank correlation. Significant correlations were found between tp53 and differentiation (P=0.016) and between tp53 and TNM1 stage (P=0.024). Significant correlations were also observed between TCEA and E-cadherin (P<0.001), between E-cadherin and MSI (P<0.001), between tumour differentiation and TNM1 stage (P<0.001) and between TNM1 stage and CDX2 expression (P=0.001). Correlation coefficients and P-values are provided in Table II and visualised in a correlation matrix (Fig. 2A). To further clarify these relationships, crosstabulation analyses confirmed strong associations between CDX2 expression (absent/low vs. high) and moderate differentiation, TNM1 stages II and III and poor/undifferentiated differentiation. A strong association was also observed between moderate differentiation and TNM1 stages II and III (Fig. 2B).

Correlation and relational analysis
of CDX2. (A) Spearman correlation heatmap between CDX2 and
variables including TP53, TCEA, MSI, Ecadherin, Top2,
differentiation and TNM1 stage, generated using R 4.4.1. Blue
indicates positive correlations, red indicates negative
correlations and white indicates nearzero correlation. Asterisks
denote statistical significance: *P<0.05; **P<0.01;
***P<0.001. (B) Relation map between CDX2 expression (absent/low
vs. high), TNM1 stage and differentiation, generated using SPSS 29.
Circle size corresponds to the number of cases; line thickness
indicates the strength of association. CDX2, caudal-type homeobox
2; MSI, microsatellite instability; TCEA, tumour carcinoembryonic
antigen; TP53, tumour p53; TNM, tumour-node-metastasis; Top2,
topoisomerase II α.

Figure 2.

Correlation and relational analysis of CDX2. (A) Spearman correlation heatmap between CDX2 and variables including TP53, TCEA, MSI, Ecadherin, Top2, differentiation and TNM1 stage, generated using R 4.4.1. Blue indicates positive correlations, red indicates negative correlations and white indicates nearzero correlation. Asterisks denote statistical significance: *P<0.05; **P<0.01; ***P<0.001. (B) Relation map between CDX2 expression (absent/low vs. high), TNM1 stage and differentiation, generated using SPSS 29. Circle size corresponds to the number of cases; line thickness indicates the strength of association. CDX2, caudal-type homeobox 2; MSI, microsatellite instability; TCEA, tumour carcinoembryonic antigen; TP53, tumour p53; TNM, tumour-node-metastasis; Top2, topoisomerase II α.

Table II.

Spearman (two tailed) correlation analysis matrix between CDX2 and other variables.

Table II.

Spearman (two tailed) correlation analysis matrix between CDX2 and other variables.

VariableResultTP53TCEAMSIE-cadherinTop2 DifferentiationTNM1CDX2
TP53Coef.1.0000.019−0.0430.0360.0900.113a0.106a0.012
P-value/0.6880.3570.4440.0550.016a0.024a0.806
TCEACoef.0.0191.0000.0740.298c−0.040−0.0170.048−0.062
P-value0.688/0.117 <0.001c0.3910.7180.3080.188
MSICoef.−0.0430.0741.0000.191c−0.041−0.0350.0110.020
P-value0.3570.117/ <0.001c0.3840.4530.8140.669
E-cadherinCoef.0.0360.298b0.191c1.0000.051−0.003−0.015−0.075
P-value0.444<0.01 <0.001c/0.2770.9510.7570.110
Top2Coef.0.090−0.040−0.0410.0511.000−0.0030.0180.038
P-value0.0550.3910.3840.277/0.9470.6960.423
DifferentiationCoef.0.113a−0.017−0.035−0.003−0.0031.000−0.212c0.034
P-value0.016a0.7180.4530.9510.947/ <0.001c0.470
TNM1Coef.0.106a0.0480.011−0.0150.018−0.212c1.000−0.151b
P-value0.024a0.3080.8140.7570.696 <0.001c/0.001b
CDX2Coef.0.012−0.0620.020−0.0750.0380.034−0.151b1.000
P-value0.8060.1880.6690.1100.4230.4700.001b/

a P<0.05,

b P<0.01 and

c P<0.001. TNM1 indicates total stage of American Joint Committee on Cancer-8 after combining substages. CDX2, caudal-type homeobox transcription factor 2; TP53, tumour p53; TCEA, tumour carcinoembryonic antigen; MSI, microsatellite instability; TOP2, topoisomerase II α; TNM, tumour-node-metastasis; coef, coefficient.

Systematic cluster analysis of CDX2, TNM1, TCEA and MSI

A systematic cluster analysis was conducted due to the correlations identified between the four variables analyzed. The results demonstrated that CDX2 clustered most closely with MSI (coefficient=258), followed by MSI with TCEA (coefficient=495), and finally MSI with TNM1 (coefficient=876). As illustrated in Fig. 3, CDX2 exhibited a high degree of similarity with MSI.

Hierarchical cluster analysis with
coefficient table. Systematic cluster analysis was performed using
SPSS 29. The results indicate that CDX2 clusters most closely with
MSI (coefficient=227), followed by the linkage between MSI and TCEA
(coefficient=475), and finally between MSI and TNM1
(coefficient=866). CDX2, caudal-type homeobox 2; MSI,
microsatellite instability; TCEA, tumour carcinoembryonic antigen;
TNM, tumour-node-metastasis.

Figure 3.

Hierarchical cluster analysis with coefficient table. Systematic cluster analysis was performed using SPSS 29. The results indicate that CDX2 clusters most closely with MSI (coefficient=227), followed by the linkage between MSI and TCEA (coefficient=475), and finally between MSI and TNM1 (coefficient=866). CDX2, caudal-type homeobox 2; MSI, microsatellite instability; TCEA, tumour carcinoembryonic antigen; TNM, tumour-node-metastasis.

OS and DFS analysis by CDX2 expression across CRC stages 0-IV

Kaplan-Meier survival analysis with logrank tests was used to compare 5year OS and DFS between CDX2 expression groups. For OS, high CDX2 expression was associated with significantly improved survival in stage II (P=0.013) and stage III CRC (P<0.001; Fig. 4B and C), but not in stage I (P=0.11) or stage IV (P=0.69; Fig. 4A and D). In the pooledstage analysis (all stages combined), the CDX2 high group showed significantly improved OS compared with the CDX2 absent/low group (P<0.001; Fig. 4E). Similarly, for DFS, high CDX2 expression was associated with significantly improved outcomes in stage II (P=0.042) and stage III (P<0.001) disease (Fig. 5B and C), but not in stage I (P=0.16) or stage IV (P=0.94) (Fig. 5A and D). In the pooledstage analysis, the CDX2 high group exhibited significantly improved DFS compared with the CDX2 absent/low group (P<0.001; Fig. 5E).

Kaplan-Meier curves for 5-year OS
stratified by CDX2 expression across colorectal cancer stages and
in the pooled analysis, with numberatrisk tables. (A) Stage 0 and I
(P=0.11). (B) Stage II (P=0.01). (C) Stage III (P<0.001). (D)
Stage IV (P=0.69). (E) Pooledstage analysis (P<0.001). OS,
overall survival; HR, hazard ratio.

Figure 4.

Kaplan-Meier curves for 5-year OS stratified by CDX2 expression across colorectal cancer stages and in the pooled analysis, with numberatrisk tables. (A) Stage 0 and I (P=0.11). (B) Stage II (P=0.01). (C) Stage III (P<0.001). (D) Stage IV (P=0.69). (E) Pooledstage analysis (P<0.001). OS, overall survival; HR, hazard ratio.

Kaplan-Meier curves for 5 year DFS
stratified by CDX2 expression across colorectal cancer stages and
in the pooled analysis, with numberatrisk tables. (A) Stage 0 and I
(P=0.16). (B) Stage II (P=0.04). (C) Stage III (P<0.001). (D)
Stage IV (P=0.94). (E) Pooledstage analysis (P<0.001). CDX2,
caudal-type homeobox 2; DFS, disease-free survival; HR, hazard
ratio.

Figure 5.

Kaplan-Meier curves for 5 year DFS stratified by CDX2 expression across colorectal cancer stages and in the pooled analysis, with numberatrisk tables. (A) Stage 0 and I (P=0.16). (B) Stage II (P=0.04). (C) Stage III (P<0.001). (D) Stage IV (P=0.94). (E) Pooledstage analysis (P<0.001). CDX2, caudal-type homeobox 2; DFS, disease-free survival; HR, hazard ratio.

Univariate and multivariate Cox regression analyses of OS and DFS

Cox regression models were used for univariate and multivariate analyses. Univariate analysis identified the following variables as significantly associated with worse OS: Not laparoscopic surgery (vs. laparoscopy), no chemotherapy, higher TNM1 stage, worse differentiation, MSIstable status, negative and positive Ecadherin expression and low CDX2 expression (all P<0.05). Sex, TCEA and Top2 expression were not significant predictors of OS (all P>0.05). For DFS, significant variables included not laparoscopic surgery, no chemotherapy, higher TNM1 stage, worse differentiation, negative and positive Ecadherin expression and low CDX2 expression (all P<0.001). Notably, MSI status was significant for OS (P=0.015) but not for DFS (P>0.05). Detailed results are presented in Table III. Variables that were significant in both univariate OS and DFS analyses were included in the multivariate models. Laparoscopy was not retained as an independent factor in the multivariate models (OS, P=0.393; DFS, P=0.087). The remaining factors, chemotherapy, TNM1 stage, differentiation grade, Ecadherin expression and CDX2 expression, were statistically significant independent prognostic factors for both OS and DFS (all P<0.05), confirming their role in CRC prognosis. Detailed multivariate results are shown in Table IV.

Table III.

Univariate analysis for OS and DFS by COX regression.

Table III.

Univariate analysis for OS and DFS by COX regression.

OSDFS


VariablesHR95% CIP-valueHR95% CIP-value
Sex 0.836 0.352
  Men1 1
  Women0.9680.709–1.321 1.1280.875–1.453
Laparoscopy <0.001c <0.001c
  Yes1 1
  No1.6831.238–2.287 1.6901.313–2.177
Chemotherapy <0.001c <0.001c
  No1 1
  Yes1.8461.304–2.614 1.8971.423–2.528
TNM1 <0.001c <0.001c
  0 and I1 1
  II5.3361.913–14.882 2.9591.559–5.615
  III15.4515.682–42.035 8.9054.817–16.461
  IV54.38718.452–160.302 25.21812.1.2–52.551
Differentiation <0.001c <0.001c
  Poor and undifferentiated1 1
  Moderate0.4000.292–0.547 0.4660.361–0.602
  High0.2210.054–0.896 0.1540.038–0.621
MSI 0.015a 0.165
  Low1 1
  High0.8880.625–1.261 0.8110.604–1.090
TCEA 0.545 0.498
  Negative1 1
  +0.5680.140–2.301 0.8380.208–3.380
  ++0.7690.170–3.472 1.2020.278~5.202
  +++0.6780.165–2.795 0.9460.232–3.863
E-cadherind 0.030a 0.019a
  Negative and +1 1
  ++1.4471.007–2.081 1.3370.990–1.806
  +++0.8820.650–1.285 0.8480.624–1.154
Top2 0.201 0.398
  +1 1
  ++0.7050.481–1.034 0.8080.582–1.121
  +++0.7770.429–1.408 0.7590.452–1.275
CDX2 <0.001c <0.001c
  Absent/low1 1
  High0.4370.319–0.599 0.5150.399–0.665

{ label (or @symbol) needed for fn[@id='tfn7-ol-31-6-15581'] } Counting variables in tables were included in univariate analysis by COX regression.

a P<0.05;

b P<0.01;

c P<0.001;

d n numbers of negative CDX2 expression were too small so they were combined with + to avoid bias. CDX2, caudal-type homeobox transcription factor 2; DFS, disease-free survival; HR, hazard ratio; MSI, microsatellite instability; OS, overall survival; TCEA, tumour carcinoembryonic antigen; TNM1 indicates total stage of American Joint Committee on Cancer-8 after combining substages, TNM, tumour-node-metastasis; Top2, topoisomerase II α.

Table IV.

Multivariate analysis by Cox regression of OS and DFS for colorectal cancer.

Table IV.

Multivariate analysis by Cox regression of OS and DFS for colorectal cancer.

OSDFS


VariablesHR95% CIP-valueHR95% CIP-value
Laparoscopy 0.393 0.087
  Yes1 1
  No1.1510.833–1.589 1.2590.967–1.641
Chemotherapy 0.015a 0.018a
  No1 1
  Yes0.6160.417–0.910 0.6720.483–0.935
TNM1 <0.001b <0.001b
  0 and I1 1
  II5.5881.947–16.037 2.9871.520–5.868
  III16.5755.688–48.30 9.2834.646–18.549
  IV53.23216.747–169.198 24.22210.746–54.598
Differentiation <0.001b <0.001b
  Poor and undifferentiated1 1
  Moderate0.5340.386–0.740 0.6130.470–0.799
  High0.2920.069–1.228 0.2210.054–0.909
E-cadherinc 0.043a 0.040a
  Negative and +1 1
  ++1.4761.019–2.138 1.3480.993–1.828
  +++0.9260.632–1.357 0.8950.656–1.222
CDX2 <0.001b <0.001b
  Absent/low1 1
  High0.4820.347–0.669 0.5570.427–0.725

{ label (or @symbol) needed for fn[@id='tfn12-ol-31-6-15581'] } Variables that have significant difference by univariate analysis were put into multivariate analysis by Cox regression.

a P<0.05;

b P<0.001;

c n numbers of negative CDX2 expression were too small so they were combined with + to avoid bias. CDX2, caudal-type homeobox transcription factor 2; DFS, disease-free survival; HR, hazard ratio; OS, overall survival; TNM, tumour-node-metastasis.

Discussion

CDX2, a nuclear homeobox transcription factor encoded by the CDX homeobox gene (10,37), is established as a specific and sensitive immunohistochemical biomarker in colorectal adenocarcinoma (38). Its loss of expression is associated with highgrade tumours and advanced disease stage in CRC (38–41). Foundational research across the past decades has characterised CDX2 as a tumour suppressor (42–44), while more recent clinical studies link high CDX2 expression to a favourable prognosis in CRC (1,9). However, these prior investigations have predominantly focused on OS, without examining DFS or conducting stagespecific analyses across TNM stages. Moreover, they have not conclusively established CDX2 as an independent prognostic factor in CRC. The relationships between CDX2 expression and other clinical or immunohistochemical variables also remain underexplored.

A previous study has reported notable associations between tumour histological differentiation and various factors, including perineural invasion, vascular invasion, mismatchrepair deficiency, p53 status, CDX2 expression and Ecadherin (41). The influence of CDX2 on prognosis merits further investigation, particularly as biological and molecular heterogeneity may confound the assessment of other prognostic markers (45). CDX2negative phenotypes are associated with poorly differentiated histological subtypes (46). Addressing these gaps was a primary aim of the present study.

As negative CDX2 expression occurs in ~7.8% of cases (47), CDX2 (−) and CDX2 (+) cases were combined into a ‘CDX2 absent/low’ group, and CDX2 (++) and CDX2 (+++) cases into a ‘CDX2 high’ group to enable more robust statistical comparisons.

In the present cohort, CDX2 absent/low expression accounted for 47.9% of cases, and CDX2 high expression for 52.1%. This incidence of CDX2 absent/low (47.9%) aligns with the reported rate of <48% for CDX2low expression alone in prior literature (48), a concordance attributable to the inclusive classification combining negative and low cases. No significant differences were observed between the CDX2 expression groups regarding sex, age, tumour size, lymph node yield, differentiation grade or preoperative serum levels of CA72-4, CA19-9, CA15-3, CA125, CEA, CRP and albumin. However, a significant association was identified between CDX2 expression and pooled TNM1 stage, with a higher prevalence of CDX2 absent/low expression in stages III and IV, a relationship not clearly detailed in existing literature (49).

CRC prognostication traditionally relies on the Union for International Cancer Control/AJCC TNM staging system. Nonetheless, stageindependent survival variations observed in clinical practice suggest that prognosis, risk stratification and guidance for neoadjuvant/adjuvant therapy are governed by a complex interplay of stage, pathological features and biomarkers. Histological characteristics, such as tumour budding, perineural invasion and lymph node metrics, alongside molecular markers such as MSI, KRAS, BRAF and CDX2, can enhance prognostic assessment and optimise adjuvant treatment (50).

Although a higher frequency of CDX2 absent/low expression was noted in tissues with elevated p53 expression and an initial analysis suggested significance, subsequent Spearman correlation analysis did not confirm a statistically significant association, a finding consistent with a prior report indicating p53 has no association with CDX2 expression (45). Nevertheless, strong relationships were observed between CDX2 expression (absent/low vs. high) and moderate tumour differentiation; between CDX2 expression and TNM1 stages II–III; and between CDX2 expression and poor differentiation/undifferentiated. A pronounced association was also evident between moderate differentiation and TNM1 stages II–III. These specific interrelationships have not been thoroughly examined in previous studies (45,49–57). Systematic cluster analysis in the present investigation revealed that CDX2 clustered closely with MSI, yet TNM1 stage retained the dominant influence. This finding challenges suggestions that prognostic markers for CRC could supplant TNM staging in therapeutic decision-making (58) and reinforces the role of TNM as the cornerstone for clinical management in CRC (49).

Correlation analysis demonstrated an inverse relationship between CDX2 expression and TNM stage: Elevated CDX2 expression was associated with more favourable outcomes, whereas advanced TNM stage predicted worse prognosis, results that align with the aforementioned survival data. In the pooled analysis of TNM1 stages, high CDX2 expression was associated with greater OS and DFS, partially corroborating previous findings indicating that high CDX2 expression may be associated with a good prognosis of CRC (1,9). However, stagespecific stratification revealed that the prognostic benefit of high CDX2 expression for both OS and DFS was confined to stages II and III. This may be explained by the limited discriminative power of prognostic markers in earlystage (I) disease and the universally adverse prognosis characteristic of stage IV CRC (59).

The present study demonstrates that established factors such as chemotherapy, TNM1 stage, differentiation grade and immunohistochemical markers including MSI, Ecadherin and CDX2 are notable prognostic determinants in CRC (7,49,60–62). TCEA, by contrast, did not emerge as an independent prognostic factor in the present study cohort, contradicting a finding from an earlier study (6). This discrepancy highlights the limitation of relying on singlemarker assessment and highlights the necessity for a multimodal prognostic approach. In this context, the combined utility of preoperative serum CEA and postoperative TCEA has recently been explored (8). Other serum tumour markers (such as CA724, CA199, CA153 and CA125) showed no significant variation across CDX2 expression groups and were therefore not included in the univariate or multivariate Cox regression models. As the prognostic value of these markers is welldocumented, they were not the focus of the present analysis. Nevertheless, the potential synergistic prognostic value of combining these markers with CDX2 and CEA warrants future investigation, as a panel of complementary biomarkers could enhance prognostic precision.

The emphasis on CDX2 expression and its correlations aligns with the increasing focus on molecular subtyping in CRC management. As a key intestinal differentiation marker, CDX2 could serve as an anchor for constructing multimodal prognostic models that integrate clinical, pathological and molecular data. Validation of combined biomarker panels and refinement of riskstratification strategies will require future studies with larger, multicentre cohorts.

Treatment stratification based on CDX2 expression levels represents a promising strategy for personalising therapy in gastrointestinal malignancies. CDX2 exerts contextdependent effects on tumour biology: High expression is often associated with favourable responses to chemotherapy and immunotherapy, whereas low expression is associated with drug resistance and aggressive phenotypes (20,63). Stratifying patients by CDX2 status could therefore guide therapeutic selection, with highCDX2 tumours potentially benefiting from conventional cytotoxic agents and lowCDX2 tumours necessitating combinatorial approaches targeting compensatory pathways such as epithelialmesenchymal transition. This stratified paradigm not only aims to optimise outcomes by minimising ineffective treatments and toxicity but also addresses tumour heterogeneity, thereby advancing precision oncology approaches grounded in specific molecular profiles rather than empirical algorithms (64–66).

The present study has several limitations. External validation in an independent cohort or publicly available dataset would substantially enhance the robustness and reproducibility of the prognostic role of CDX2 identified in present research. In the present study, the analysis was based on a single-centre cohort with strict inclusion and exclusion criteria to ensure the homogeneity of the study population. Publicly available datasets, including The Cancer Genome Atlas and Gene Expression Omnibus databases (https://www.cancer.gov/ccg/research/genome-sequencing/tcga; http://www.ncbi.nlm.nih.gov/geo/) were used to attempt to validate the present findings (data not shown); however, a majority of these datasets lack standardised CDX2 IHC data (the primary detection method of CDX2 in the present study) or consistent follow-up endpoints, which limits the direct comparability of data. External validation is a key step to confirm the prognostic value of CDX2 and this should be prioritised in future research agendas. To ensure balanced datasets, CDX2 (−) and CDX2 (+) cases were combined into a composite ‘CDX2 absent/low’ group. Although this approach deviates from the reported prevalence of CDX2low expression (≤48%) in contemporary literature (1), it was methodologically required to avoid excluding key subgroups during TNMstage analyses, especially in a largescale study where such exclusions could affect feasibility. Two specific statistical limitations should be noted: First, no correction for multiple testing was applied across the comparisons performed; and second, formal protocols for handling missing data were not implemented. Further limitations include the relatively modest sample size, the singlecentre design and the classification of CDX2 expression based on IHC rather than genetic testing. These factors increase potential type I error, risk bias and limit generalizability. Consequently, findings require validation in larger, multi-centre studies using standardized IHC and prospective data. Serum markers CA724, CA199, CA153, CA125 and CEA were recorded as continuous variables in the present study and showed no significant association with CDX2 expression groups; they were therefore not included in the Cox regression analysis. As a potential direction for future research, these markers could be categorised into normal and elevated groups according to established reference values, creating categorical variables suitable for Cox regression modelling.

In conclusion, elevated CDX2 expression is associated with significantly improved OS and DFS in patients with stage II and III CRC, as well as in pooledstage analyses. CDX2 represents an independent prognostic biomarker in CRC. These findings, however, require validation in largescale, multi-centre prospective studies. Future research should focus on the following: i) Evaluating the combined prognostic utility of CDX2 with serum biomarkers such as CEA, CA199 and CA724; ii) assessing its synergistic effects with immunohistochemical markers including p53 status, MSI and Ecadherin expression; and iii) establishing standardised scoring systems for CDX2 expression.

Supplementary Material

Supporting Data

Acknowledgements

The authors would like to thank Professor Zhaozheng Zheng, Professor Yan Chen and Dr Chong Zhu (Department of Colorectal Surgery, Huzhou Central Hospital, Affiliated Central Hospital of Huzhou University, Huzhou, Zhejiang, P.R. China) for contributing clinical data to the present study.

Funding

Funding: No funding was received.

Availability of data and materials

The data generated in the present study may be requested from the corresponding author.

Authors' contributions

GT, YF and HQ contributed to conceptualisation, formal analysis, investigation, methodology, supervision and the writing of the original draft, as well as reviewing and editing the manuscript. SYu, KG, JL, WY and SYa were involved in conceptualisation, methodology and supervision. GT, YF and HQ were responsible for data curation and validation. GT and YF confirm the authenticity of all the raw data. All authors read and approved the final version of the manuscript.

Ethics approval and consent to participate

The present study was conducted in accordance with the ethical principles of the Declaration of Helsinki and was approved by the Ethics Committee of Huzhou Central Hospital (approval no. 20250901702). The need for written informed consent from all participants for the use of their tissue samples and medical records for research purposes was waived.

Patient consent for publication

Not applicable.

Competing interests

The authors declare that they have no competing interests.

References

1 

Cazacu SM, Iordache S, Iovănescu VF, Streba L, Neagoe CD, Busuioc CJ, Cârţu D and Florescu MM: The role of CDX2, MUC5AC, and p53 in the evaluation of the progression of serrated lesions toward colorectal carcinoma. Rom J Morphol Embryol. 66:99–109. 2025. View Article : Google Scholar : PubMed/NCBI

2 

Siegel RL, Wagle NS, Cercek A, Smith RA and Jemal A: Colorectal cancer statistics, 2023. CA Cancer J Clin. 73:233–254. 2023.PubMed/NCBI

3 

Tong G, Wang Y, Qian H, Tan Z, Shen Y and Li H: The effects of two combined methods of P53 expression and preoperative serum CEA detection on the prognosis of colorectal cancer. Front Oncol. 15:15908362025. View Article : Google Scholar : PubMed/NCBI

4 

Tong GJ, Zhang GY, Liu J, Zheng ZZ, Chen Y, Niu PP and Xu XT: Comparison of the eighth version of the American Joint Committee on Cancer manual to the seventh version for colorectal cancer: A retrospective review of our data. World J Clin Oncol. 9:148–161. 2018. View Article : Google Scholar : PubMed/NCBI

5 

Tong G, Shen Y, Li H, Qian H and Tan Z: NLRC4, inflammation and colorectal cancer (Review). Int J Oncol. 65:992024. View Article : Google Scholar : PubMed/NCBI

6 

Tong G, Xu W, Zhang G, Liu J, Zheng Z, Chen Y, Niu P and Xu X: The role of tissue and serum carcinoembryonic antigen in stages I to III of colorectal cancer-A retrospective cohort study. Cancer Med. 7:5327–5338. 2018. View Article : Google Scholar : PubMed/NCBI

7 

Tong G, Zhang G, Hu Y, Xu X and Wang Y: Correlation between mismatch repair statuses and the prognosis of stage I–IV colorectal cancer. Front Oncol. 13:12783982024. View Article : Google Scholar : PubMed/NCBI

8 

Tong G, Li H, Shen Y, Tan Z and Qian H: The combined evaluation of preoperative serum CEA and postoperative tissue CEA as a prognostic factor in stages 0-IV colorectal cancer: A retrospective cohort study. Front Med (Lausanne). 11:14470412025. View Article : Google Scholar : PubMed/NCBI

9 

Sirniö P, Elomaa H, Tuomisto A, Äijälä VK, Karjalainen H, Kastinen M, Tapiainen VV, Sirkiä O, Ahtiainen M, Helminen O, et al: CDX2 and SATB2 loss are associated with myeloid cell infiltration and poor survival in colorectal cancer. Cancer Immunol Immunother. 74:1112025. View Article : Google Scholar : PubMed/NCBI

10 

Beck F: The role of Cdx genes in the mammalian gut. Gut. 2004.53:1394–1396. 2004. View Article : Google Scholar : PubMed/NCBI

11 

Sweetser S, Smyrk TC and Sinicrope FA: Serrated colon polyps as precursors to colorectal cancer. Clin Gastroenterol Hepatol. 11:760–767; quiz e54-5. 2013. View Article : Google Scholar : PubMed/NCBI

12 

Balbinot C, Armant O, Elarouci N, Marisa L, Martin E, De Clara E, Onea A, Deschamps J, Beck F, Freund JN and Duluc I: The Cdx2 homeobox gene suppresses intestinal tumorigenesis through non-cell-autonomous mechanisms. J Exp Med. 215:911–926. 2018. View Article : Google Scholar : PubMed/NCBI

13 

Yu J, Liu D, Sun X, Yang K, Yao J, Cheng C, Wang C and Zheng J: CDX2 inhibits the proliferation and tumor formation of colon cancer cells by suppressing Wnt/β-catenin signaling via transactivation of GSK-3β and Axin2 expression. Cell Death Dis. 10:262019. View Article : Google Scholar : PubMed/NCBI

14 

Jahan S, Awaja N, Hess B, Hajjar S, Sad S and Lohnes D: The transcription factor Cdx2 regulates inflammasome activity through expression of the NLRP3 suppressor TRIM31 to maintain intestinal homeostasis. J Biol Chem. 298:1023862022. View Article : Google Scholar : PubMed/NCBI

15 

Wang YS, Kou Y, Zhu RT, Han BW, Li CH, Wang HJ, Wu HB, Xia TM and Che XM: CDX2 as a predictive biomarker involved in immunotherapy response suppresses metastasis through EMT in colorectal cancer. Dis Markers. 2022:90256682022. View Article : Google Scholar : PubMed/NCBI

16 

Zhu Y, Hryniuk A, Foley T, Hess B and Lohnes D: Cdx2 Regulates Intestinal EphrinB1 through the Notch Pathway. Genes (Basel). 12:1882021. View Article : Google Scholar : PubMed/NCBI

17 

Mehmood MS and Danaf N: Bacteroides fragilis toxin in colorectal tumors activates STAT3 and drives microsatellite instability. Ann Med Surg (Lond). 88:957–958. 2025. View Article : Google Scholar : PubMed/NCBI

18 

Arnold A, Tronser M, Sers C, Ahadova A, Endris V, Mamlouk S, Horst D, Möbs M, Bischoff P, Kloor M and Bläker H: The majority of β-catenin mutations in colorectal cancer is homozygous. BMC Cancer. 20:10382020. View Article : Google Scholar : PubMed/NCBI

19 

Leskela S, Romero I, Cristobal E, Pérez-Mies B, Rosa-Rosa JM, Gutierrez-Pecharroman A, Santón A, Gonzalez BO, López-Reig R, Hardisson D, et al: The frequency and prognostic significance of the histologic type in early-stage ovarian carcinoma: A reclassification study by the spanish group for ovarian cancer research (GEICO). Am J Surg Pathol. 44:149–161. 2020. View Article : Google Scholar : PubMed/NCBI

20 

Chan WY, Chua W, Wilkinson K, Epitakaduwa C, Mandaliya H, Descallar J, Roberts TL, Becker TM, Ng W, Lee CS and Lim SH: The Prognostic and Predictive Utility of CDX2 in Colorectal Cancer. Int J Mol Sci. 25:86732024. View Article : Google Scholar : PubMed/NCBI

21 

Kamal R, Paul P and Diksha Awasthi A: Exploring gene therapy: The next generation of colorectal cancer treatment. Curr Gene Ther. 25:195–198. 2025. View Article : Google Scholar : PubMed/NCBI

22 

Xu Z, Yu Y, Ni H, Sun W and Kuang Y: LINC01836 promotes colorectal cancer progression and functions as ceRNA to Target SLC17A9 by Sponging miR-1226-3p. Protein Pept Lett. 31:43–60. 2024. View Article : Google Scholar : PubMed/NCBI

23 

Suleman M, Khan SU, Ali S, Alghamdi A, Alissa M, Mushtaq RY and Crovella S: Probing the Depths of Molecular Complexity: STAT3 as a Key Architect in Colorectal Cancer Pathogenesis. Curr Gene Ther. 25:433–452. 2025. View Article : Google Scholar : PubMed/NCBI

24 

Wang Y, Qian F, Shan B, Zhang L, Zhong J, Chen S, Yao M, Li S, Cao X, Fei S and Pang X: TFF3 initiates gastric intestinal metaplasia by activating JAK2 and STAT3 under high salt conditions. Sci Rep. 15:235762025. View Article : Google Scholar : PubMed/NCBI

25 

Lee JA, Park HE, Jin HY, Jin L, Yoo SY, Cho NY, Bae JM, Kim JH and Kang GH: The combination of CDX2 expression status and tumor-infiltrating lymphocyte density as a prognostic factor in adjuvant FOLFOX-treated patients with stage III colorectal cancers. J Pathol Transl Med. 59:50–59. 2025. View Article : Google Scholar : PubMed/NCBI

26 

Mukohyama J, Koizumi M, Yamashita K, Yoshimi A, Shida D and Kakeji Y: Knockdown of CDX2 Induces microRNA-221 Up-regulation in Human colon cancer cells. Anticancer Res. 44:3553–3556. 2024. View Article : Google Scholar : PubMed/NCBI

27 

Voutsadakis IA: CDX2-Suppressed colorectal cancers possess potentially targetable alterations in receptor tyrosine kinases and other colorectal-cancer-associated pathways. Diseases. 12:2342024. View Article : Google Scholar : PubMed/NCBI

28 

Bae JM, Lee TH, Cho NY, Kim TY and Kang GH: Loss of CDX2 expression is associated with poor prognosis in colorectal cancer patients. World J Gastroenterol. 21:1457–1467. 2015. View Article : Google Scholar : PubMed/NCBI

29 

Cecchini MJ, Walsh JC, Parfitt J, Chakrabarti S, Correa RJ, MacKenzie MJ and Driman DK: CDX2 and Muc2 immunohistochemistry as prognostic markers in stage II colon cancer. Hum Pathol. 90:70–79. 2019. View Article : Google Scholar : PubMed/NCBI

30 

Fuentes Bayne HE, Suleiman R, Eiring RA, McGarrah PW, Thome SD, Graham RP, Garcia JJ and Halfdanarson TR: CDX2 expression as a predictive and prognostic biomarker of 5-FU response in cancer of unknown primary. ESMO Open. 10:1055152025. View Article : Google Scholar : PubMed/NCBI

31 

Slik K, Turkki R, Carpén O, Kurki S, Korkeila E, Sundström J and Pellinen T: CDX2 loss with microsatellite stable phenotype predicts poor clinical outcome in stage II colorectal carcinoma. Am J Surg Pathol. 43:1473–1482. 2019. View Article : Google Scholar : PubMed/NCBI

32 

Wouters VM, Helderman RFCPA, Cameron K, van der Hooff SR, Torang A, van den Bergh S, Jackstadt R, Sansom OJ, van Neerven SM and Medema JP: CDX2 downregulation regulates intrinsic WNT pathway activation, dictating metastasis in APC and CTNNB1 wildtype colorectal cancer. Oncogene. 44:2091–2102. 2025. View Article : Google Scholar : PubMed/NCBI

33 

Arcos M, Goodla L, Kim H, Desai SP, Liu R, Yin K, Liu Z, Martin DR and Xue X: PINK1-deficiency facilitates mitochondrial iron accumulation and colon tumorigenesis. Autophagy. 21:737–753. 2025. View Article : Google Scholar : PubMed/NCBI

34 

Hassan S, Mirza T, Khatoon A, Bukhari U, Shaikh F and Karim A: BRAF mutations and the association of V600E with CD133 and CDX2 expression in a Pakistani colorectal carcinoma cohort. BMC Cancer. 24:11622024. View Article : Google Scholar : PubMed/NCBI

35 

Dzung A, Saltari A, Tiso N, Lyck R, Dummer R and Levesque MP: STK11 Prevents invasion through signal transducer and activator of transcription 3/5 and FAK repression in cutaneous melanoma. J Invest Dermatol. 142:1171–1182.e10. 2022. View Article : Google Scholar : PubMed/NCBI

36 

Konukiewitz B, Schmitt M, Silva M, Pohl J, Lang C, Steiger K, Halfter K, Engel J, Schlitter AM, Boxberg M, et al: Loss of CDX2 in colorectal cancer is associated with histopathologic subtypes and microsatellite instability but is prognostically inferior to hematoxylin-eosin-based morphologic parameters from the WHO classification. Br J Cancer. 125:1632–1646. 2021. View Article : Google Scholar : PubMed/NCBI

37 

Saad RS, Ghorab Z, Khalifa MA and Xu M: CDX2 as a marker for intestinal differentiation: Its utility and limitations. World J Gastrointest Surg. 3:159–166. 2011. View Article : Google Scholar : PubMed/NCBI

38 

Kaimaktchiev V, Terracciano L, Tornillo L, Spichtin H, Stoios D, Bundi M, Korcheva V, Mirlacher M, Loda M, Sauter G and Corless CL: The homeobox intestinal differentiation factor CDX2 is selectively expressed in gastrointestinal adenocarcinomas. Mod Pathol. 17:1392–1399. 2004. View Article : Google Scholar : PubMed/NCBI

39 

Werling RW, Yaziji H, Bacchi CE and Gown AM: CDX2, a highly sensitive and specific marker of adenocarcinomas of intestinal origin: An immunohistochemical survey of 476 primary and metastatic carcinomas. Am J Surg Pathol. 27:303–310. 2003. View Article : Google Scholar : PubMed/NCBI

40 

Choi BJ, Kim CJ, Cho YG, Song JH, Kim SY, Nam SW, Lee SH, Yoo NJ, Lee JY and Park WS: Altered expression of CDX2 in colorectal cancers. APMIS. 114:50–54. 2006. View Article : Google Scholar : PubMed/NCBI

41 

Sayar I, Akbas EM, Isik A, Gokce A, Peker K, Demirtas L and Gürbüzel M: Relationship among mismatch repair deficiency, CDX2 loss, p53 and E-cadherin in colon carcinoma and suitability of using a double panel of mismatch repair proteins by immunohistochemistry. Pol J Pathol. 66:246–253. 2015. View Article : Google Scholar : PubMed/NCBI

42 

Davidsen J, Jessen SB, Watt SK, Larsen S, Dahlgaard K, Kirkegaard T, Gögenur I and Troelsen JT: CDX2 expression and perioperative patient serum affects the adhesion properties of cultured colon cancer cells. BMC Cancer. 20:4262020. View Article : Google Scholar : PubMed/NCBI

43 

Hryniuk A, Grainger S, Savory JG and Lohnes D: Cdx1 and Cdx2 function as tumor suppressors. J Biol Chem. 289:33343–33354. 2014. View Article : Google Scholar : PubMed/NCBI

44 

Platet N, Hinkel I, Richert L, Murdamoothoo D, Moufok-Sadoun A, Vanier M, Lavalle P, Gaiddon C, Vautier D, Freund JN and Gross I: The tumor suppressor CDX2 opposes pro-metastatic biomechanical modifications of colon cancer cells through organization of the actin cytoskeleton. Cancer Lett. 386:57–64. 2017. View Article : Google Scholar : PubMed/NCBI

45 

da Silva JL, de Albuquerque LZ, Rodrigues FR, Bastos NC, Small IA, Barroso EBC, Cordero FL, Fernandes DS, Paulino E and de Melo AC: Exploring biomarkers and prognostic factors in uterine carcinosarcoma: An insight into L1CAM, CDX2, p53, and MSI status. PLoS One. 18:e02854472023. View Article : Google Scholar : PubMed/NCBI

46 

Kato S, Koshino A, Lasota J, Komura M, Wang C, Ebi M, Ogasawara N, Kojima K, Tsuzuki T, Kasai K, et al: Use of SATB2 and CDX2 Immunohistochemistry to Characterize and Diagnose Colorectal Cancer. Appl Immunohistochem Mol Morphol. 32:362–370. 2024. View Article : Google Scholar : PubMed/NCBI

47 

Caldas ÁMC, Nunes WA, Taboada R, Cesca MG, Germano JN and Riechelmann RP: Loss of CDX2 and high COX2 (PTGS2) expression in metastatic colorectal cancer. Ecancermedicalscience. 18:16662024. View Article : Google Scholar : PubMed/NCBI

48 

Yu J, Li S, Xu Z, Guo J, Li X, Wu Y, Zheng J and Sun X: CDX2 inhibits epithelial-mesenchymal transition in colorectal cancer by modulation of Snail expression and β-catenin stabilisation via transactivation of PTEN expression. Br J Cancer. 124:270–280. 2021. View Article : Google Scholar : PubMed/NCBI

49 

Chen K, Collins G, Wang H and Toh JWT: Pathological features and prognostication in colorectal cancer. Curr Oncol. 28:5356–5383. 2021. View Article : Google Scholar : PubMed/NCBI

50 

Jain R, Sansoni ER, Angel J, Gleysteen JP, Hayes DN and Owosho AA: salivary duct carcinoma with rhabdoid features of the parotid gland with No E-Cadherin Expression: A Report with Anti-HER2 therapy and review of the literature. Dent J (Basel). 11:2292023. View Article : Google Scholar : PubMed/NCBI

51 

Veraguas-Dávila D, Saéz-Ruíz D, Álvarez MC, Saravia F, Castro FO and Rodríguez-Alvarez L: Analysis of trophectoderm markers in domestic cat blastocysts cultured without zona pellucida. Zygote. 30:841–848. 2022. View Article : Google Scholar : PubMed/NCBI

52 

Bahrami A, Jafari A and Ferns GA: The dual role of microRNA-9 in gastrointestinal cancers: OncomiR or tumor suppressor? Biomed Pharmacother. 145:1123942022. View Article : Google Scholar : PubMed/NCBI

53 

Perna C, Navarro A, Ruz-Caracuel I, Caniego-Casas T, Cristóbal E, Leskelä S, Longo F, Caminoa A, Santón A, Ferreiro R, et al: Molecular heterogeneity of high grade colorectal adenocarcinoma. Cancers (Basel). 13:2332021. View Article : Google Scholar : PubMed/NCBI

54 

Melincovici CS, Boşca AB, Şuşman S, Cutaş A, Mărginean M, Ilea A, Moldovan IM, Jianu EM, Neag MA, Bulboacă AE and Mihu CM: Assessment of mismatch repair deficiency, CDX2, beta-catenin and E-cadherin expression in colon cancer: Molecular characteristics and impact on prognosis and survival-an immunohistochemical study. Rom J Morphol Embryol. 61:715–727. 2020. View Article : Google Scholar : PubMed/NCBI

55 

Zhang JF, Qu LS, Qian XF, Xia BL, Mao ZB and Chen WC: Nuclear transcription factor CDX2 inhibits gastric cancercell growth and reverses epithelialtomesenchymal transition in vitro and in vivo. Mol Med Rep. 12:5231–5238. 2015. View Article : Google Scholar : PubMed/NCBI

56 

Ilie-Petrov AC, Cristian DA, Diaconescu AS, Chitul A, Blajin A, Popa A, Mandi DM, Negreanu R, Vieru C, Vrîncianu R and Ardeleanu CM: Molecular deciphering of colorectal cancer: Exploring molecular classifications and analyzing the interplay among molecular biomarkers MMR/MSI, KRAS, NRAS, BRAF and CDX2-A comprehensive literature review. Chirurgia (Bucur). 119:136–155. 2024. View Article : Google Scholar : PubMed/NCBI

57 

da Silveira Santos JPL, Machado CJ, Junior EP, Rodrigues J, Vidigal PT and Resende V: Immunohistochemical predictors for intestinal and pancreatobiliary types of adenocarcinoma of the ampulla of vater. J Gastrointest Surg. 22:1171–1178. 2018. View Article : Google Scholar : PubMed/NCBI

58 

Puccini A, Berger MD, Zhang W and Lenz HJ: What we know about stage II and III colon cancer: It's still not enough. Target Oncol. 12:265–275. 2017. View Article : Google Scholar : PubMed/NCBI

59 

Bruun J, Sveen A, Barros R, Eide PW, Eilertsen I, Kolberg M, Pellinen T, David L, Svindland A, Kallioniemi O, et al: Prognostic, predictive, and pharmacogenomic assessments of CDX2 refine stratification of colorectal cancer. Mol Oncol. 12:1639–1655. 2018. View Article : Google Scholar : PubMed/NCBI

60 

Shi X, Lu L, Wang Z, Dai Y, Hu S, Wu Z, Yu R, Liu T, Jiang Y, Ma Y, et al: The potential role of tumor deposits in the prognosis and TNM staging for colorectal cancer. J Gastrointest Oncol. 15:2473–2495. 2024. View Article : Google Scholar : PubMed/NCBI

61 

Zeng J, Fan W, Li J, Wu G and Wu H: KRAS/NRAS mutations associated with distant metastasis and BRAF/PIK3CA mutations associated with poor tumor differentiation in colorectal cancer. Int J Gen Med. 16:4109–4120. 2023. View Article : Google Scholar : PubMed/NCBI

62 

Dong XF, Wang Y, Tang CH, Huang BF, Du Z, Wang Q, Shao JK, Lu HJ and Wang CQ: Upregulated WTAP expression in colorectal cancer correlates with tumor site and differentiation. PLoS One. 17:e02637492022. View Article : Google Scholar : PubMed/NCBI

63 

Delhorme JB, Bersuder E, Terciolo C, Vlami O, Chenard MP, Martin E, Rohr S, Brigand C, Duluc I, Freund JN and Gross I: CDX2 controls genes involved in the metabolism of 5-fluorouracil and is associated with reduced efficacy of chemotherapy in colorectal cancer. Biomed Pharmacother. 147:1126302022. View Article : Google Scholar : PubMed/NCBI

64 

Mochizuki K, Kudo SE, Kato K, Kudo K, Ogawa Y, Kouyama Y, Takashina Y, Ichimasa K, Tobo T, Toshima T, et al: Molecular and clinicopathological differences between depressed and protruded T2 colorectal cancer. PLoS One. 17:e02735662022. View Article : Google Scholar : PubMed/NCBI

65 

Badia-Ramentol J, Gimeno-Valiente F, Duréndez E, Martínez-Ciarpaglini C, Linares J, Iglesias M, Cervantes A, Calon A and Tarazona N: The prognostic potential of CDX2 in colorectal cancer: Harmonizing biology and clinical practice. Cancer Treat Rev. 121:1026432023. View Article : Google Scholar : PubMed/NCBI

66 

Aydin SG, Olmez OF, Selvi O, Geredeli C, Ozden F, Bilici A, Acikgoz O, Karci E, Kutlu Y, Hamdard J and Aydin A: The prognostic role of mismatch repair status and CDX-2 expression with inflammatory markers and pathological risk factors in stage II and III colon cancer: Multicenter real-life data. J Gastrointest Cancer. 55:227–236. 2024. View Article : Google Scholar : PubMed/NCBI

Related Articles

  • Abstract
  • View
  • Download
  • Twitter
Copy and paste a formatted citation
Spandidos Publications style
Tong G, Qian H, Fei Y, Yu S, Guo K, Yu W, Li J and Yan S: Role of CDX2 in the prognosis of colorectal cancer across stages 0‑IV. Oncol Lett 31: 227, 2026.
APA
Tong, G., Qian, H., Fei, Y., Yu, S., Guo, K., Yu, W. ... Yan, S. (2026). Role of CDX2 in the prognosis of colorectal cancer across stages 0‑IV. Oncology Letters, 31, 227. https://doi.org/10.3892/ol.2026.15581
MLA
Tong, G., Qian, H., Fei, Y., Yu, S., Guo, K., Yu, W., Li, J., Yan, S."Role of CDX2 in the prognosis of colorectal cancer across stages 0‑IV". Oncology Letters 31.6 (2026): 227.
Chicago
Tong, G., Qian, H., Fei, Y., Yu, S., Guo, K., Yu, W., Li, J., Yan, S."Role of CDX2 in the prognosis of colorectal cancer across stages 0‑IV". Oncology Letters 31, no. 6 (2026): 227. https://doi.org/10.3892/ol.2026.15581
Copy and paste a formatted citation
x
Spandidos Publications style
Tong G, Qian H, Fei Y, Yu S, Guo K, Yu W, Li J and Yan S: Role of CDX2 in the prognosis of colorectal cancer across stages 0‑IV. Oncol Lett 31: 227, 2026.
APA
Tong, G., Qian, H., Fei, Y., Yu, S., Guo, K., Yu, W. ... Yan, S. (2026). Role of CDX2 in the prognosis of colorectal cancer across stages 0‑IV. Oncology Letters, 31, 227. https://doi.org/10.3892/ol.2026.15581
MLA
Tong, G., Qian, H., Fei, Y., Yu, S., Guo, K., Yu, W., Li, J., Yan, S."Role of CDX2 in the prognosis of colorectal cancer across stages 0‑IV". Oncology Letters 31.6 (2026): 227.
Chicago
Tong, G., Qian, H., Fei, Y., Yu, S., Guo, K., Yu, W., Li, J., Yan, S."Role of CDX2 in the prognosis of colorectal cancer across stages 0‑IV". Oncology Letters 31, no. 6 (2026): 227. https://doi.org/10.3892/ol.2026.15581
Follow us
  • Twitter
  • LinkedIn
  • Facebook
About
  • Spandidos Publications
  • Careers
  • Cookie Policy
  • Privacy Policy
How can we help?
  • Help
  • Live Chat
  • Contact
  • Email to our Support Team