Spandidos Publications Logo
  • About
    • About Spandidos
    • Aims and Scopes
    • Abstracting and Indexing
    • Editorial Policies
    • Reprints and Permissions
    • Job Opportunities
    • Terms and Conditions
    • Contact
  • Journals
    • All Journals
    • Oncology Letters
      • Oncology Letters
      • Information for Authors
      • Editorial Policies
      • Editorial Board
      • Aims and Scope
      • Abstracting and Indexing
      • Bibliographic Information
      • Archive
    • International Journal of Oncology
      • International Journal of Oncology
      • Information for Authors
      • Editorial Policies
      • Editorial Board
      • Aims and Scope
      • Abstracting and Indexing
      • Bibliographic Information
      • Archive
    • Molecular and Clinical Oncology
      • Molecular and Clinical Oncology
      • Information for Authors
      • Editorial Policies
      • Editorial Board
      • Aims and Scope
      • Abstracting and Indexing
      • Bibliographic Information
      • Archive
    • Experimental and Therapeutic Medicine
      • Experimental and Therapeutic Medicine
      • Information for Authors
      • Editorial Policies
      • Editorial Board
      • Aims and Scope
      • Abstracting and Indexing
      • Bibliographic Information
      • Archive
    • International Journal of Molecular Medicine
      • International Journal of Molecular Medicine
      • Information for Authors
      • Editorial Policies
      • Editorial Board
      • Aims and Scope
      • Abstracting and Indexing
      • Bibliographic Information
      • Archive
    • Biomedical Reports
      • Biomedical Reports
      • Information for Authors
      • Editorial Policies
      • Editorial Board
      • Aims and Scope
      • Abstracting and Indexing
      • Bibliographic Information
      • Archive
    • Oncology Reports
      • Oncology Reports
      • Information for Authors
      • Editorial Policies
      • Editorial Board
      • Aims and Scope
      • Abstracting and Indexing
      • Bibliographic Information
      • Archive
    • Molecular Medicine Reports
      • Molecular Medicine Reports
      • Information for Authors
      • Editorial Policies
      • Editorial Board
      • Aims and Scope
      • Abstracting and Indexing
      • Bibliographic Information
      • Archive
    • World Academy of Sciences Journal
      • World Academy of Sciences Journal
      • Information for Authors
      • Editorial Policies
      • Editorial Board
      • Aims and Scope
      • Abstracting and Indexing
      • Bibliographic Information
      • Archive
    • International Journal of Functional Nutrition
      • International Journal of Functional Nutrition
      • Information for Authors
      • Editorial Policies
      • Editorial Board
      • Aims and Scope
      • Abstracting and Indexing
      • Bibliographic Information
      • Archive
    • International Journal of Epigenetics
      • International Journal of Epigenetics
      • Information for Authors
      • Editorial Policies
      • Editorial Board
      • Aims and Scope
      • Abstracting and Indexing
      • Bibliographic Information
      • Archive
    • Medicine International
      • Medicine International
      • Information for Authors
      • Editorial Policies
      • Editorial Board
      • Aims and Scope
      • Abstracting and Indexing
      • Bibliographic Information
      • Archive
  • Articles
  • Information
    • Information for Authors
    • Information for Reviewers
    • Information for Librarians
    • Information for Advertisers
    • Conferences
  • Language Editing
Spandidos Publications Logo
  • About
    • About Spandidos
    • Aims and Scopes
    • Abstracting and Indexing
    • Editorial Policies
    • Reprints and Permissions
    • Job Opportunities
    • Terms and Conditions
    • Contact
  • Journals
    • All Journals
    • Biomedical Reports
      • Information for Authors
      • Editorial Policies
      • Editorial Board
      • Aims and Scope
      • Abstracting and Indexing
      • Bibliographic Information
      • Archive
    • Experimental and Therapeutic Medicine
      • Information for Authors
      • Editorial Policies
      • Editorial Board
      • Aims and Scope
      • Abstracting and Indexing
      • Bibliographic Information
      • Archive
    • International Journal of Epigenetics
      • Information for Authors
      • Editorial Policies
      • Editorial Board
      • Aims and Scope
      • Abstracting and Indexing
      • Bibliographic Information
      • Archive
    • International Journal of Functional Nutrition
      • Information for Authors
      • Editorial Policies
      • Editorial Board
      • Aims and Scope
      • Abstracting and Indexing
      • Bibliographic Information
      • Archive
    • International Journal of Molecular Medicine
      • Information for Authors
      • Editorial Policies
      • Editorial Board
      • Aims and Scope
      • Abstracting and Indexing
      • Bibliographic Information
      • Archive
    • International Journal of Oncology
      • Information for Authors
      • Editorial Policies
      • Editorial Board
      • Aims and Scope
      • Abstracting and Indexing
      • Bibliographic Information
      • Archive
    • Medicine International
      • Information for Authors
      • Editorial Policies
      • Editorial Board
      • Aims and Scope
      • Abstracting and Indexing
      • Bibliographic Information
      • Archive
    • Molecular and Clinical Oncology
      • Information for Authors
      • Editorial Policies
      • Editorial Board
      • Aims and Scope
      • Abstracting and Indexing
      • Bibliographic Information
      • Archive
    • Molecular Medicine Reports
      • Information for Authors
      • Editorial Policies
      • Editorial Board
      • Aims and Scope
      • Abstracting and Indexing
      • Bibliographic Information
      • Archive
    • Oncology Letters
      • Information for Authors
      • Editorial Policies
      • Editorial Board
      • Aims and Scope
      • Abstracting and Indexing
      • Bibliographic Information
      • Archive
    • Oncology Reports
      • Information for Authors
      • Editorial Policies
      • Editorial Board
      • Aims and Scope
      • Abstracting and Indexing
      • Bibliographic Information
      • Archive
    • World Academy of Sciences Journal
      • Information for Authors
      • Editorial Policies
      • Editorial Board
      • Aims and Scope
      • Abstracting and Indexing
      • Bibliographic Information
      • Archive
  • Articles
  • Information
    • For Authors
    • For Reviewers
    • For Librarians
    • For Advertisers
    • Conferences
  • Language Editing
Login Register Submit
  • This site uses cookies
  • You can change your cookie settings at any time by following the instructions in our Cookie Policy. To find out more, you may read our Privacy Policy.

    I agree
Search articles by DOI, keyword, author or affiliation
Search
Advanced Search
presentation
Oncology Reports
Join Editorial Board Propose a Special Issue
Print ISSN: 1021-335X Online ISSN: 1791-2431
Journal Cover
September 2013 Volume 30 Issue 3

Full Size Image

Sign up for eToc alerts
Recommend to Library

Journals

International Journal of Molecular Medicine

International Journal of Molecular Medicine

International Journal of Molecular Medicine is an international journal devoted to molecular mechanisms of human disease.

International Journal of Oncology

International Journal of Oncology

International Journal of Oncology is an international journal devoted to oncology research and cancer treatment.

Molecular Medicine Reports

Molecular Medicine Reports

Covers molecular medicine topics such as pharmacology, pathology, genetics, neuroscience, infectious diseases, molecular cardiology, and molecular surgery.

Oncology Reports

Oncology Reports

Oncology Reports is an international journal devoted to fundamental and applied research in Oncology.

Experimental and Therapeutic Medicine

Experimental and Therapeutic Medicine

Experimental and Therapeutic Medicine is an international journal devoted to laboratory and clinical medicine.

Oncology Letters

Oncology Letters

Oncology Letters is an international journal devoted to Experimental and Clinical Oncology.

Biomedical Reports

Biomedical Reports

Explores a wide range of biological and medical fields, including pharmacology, genetics, microbiology, neuroscience, and molecular cardiology.

Molecular and Clinical Oncology

Molecular and Clinical Oncology

International journal addressing all aspects of oncology research, from tumorigenesis and oncogenes to chemotherapy and metastasis.

World Academy of Sciences Journal

World Academy of Sciences Journal

Multidisciplinary open-access journal spanning biochemistry, genetics, neuroscience, environmental health, and synthetic biology.

International Journal of Functional Nutrition

International Journal of Functional Nutrition

Open-access journal combining biochemistry, pharmacology, immunology, and genetics to advance health through functional nutrition.

International Journal of Epigenetics

International Journal of Epigenetics

Publishes open-access research on using epigenetics to advance understanding and treatment of human disease.

Medicine International

Medicine International

An International Open Access Journal Devoted to General Medicine.

Journal Cover
September 2013 Volume 30 Issue 3

Full Size Image

Sign up for eToc alerts
Recommend to Library

  • Article
  • Citations
    • Cite This Article
    • Download Citation
    • Create Citation Alert
    • Remove Citation Alert
    • Cited By
  • Similar Articles
    • Related Articles (in Spandidos Publications)
    • Similar Articles (Google Scholar)
    • Similar Articles (PubMed)
  • Download PDF
  • Download XML
  • View XML
Article

Reduced expression of mutS homolog 2 and mutL homolog 1 affects overall survival in laryngeal squamous cell carcinoma patients: Investigation into a potential cause

  • Authors:
    • Hong-Li Gong
    • Yong Shi
    • Yi Shi
    • Chun-Ping Wu
    • Peng-Yu Cao
    • Liang Zhou
    • Chen Xu
  • View Affiliations / Copyright

    Affiliations: Department of Otolaryngology, Eye, Ear, Nose and Throat Hospital, Fudan University, Shanghai 200031, P.R. China, Department of Clinical Laboratory, Shanghai Pudong Hospital, Fudan University Pudong Medical Center, Shanghai 201399, P.R. China, Shanghai Key Laboratory for Reproductive Medicine, Department of Histology and Embryology, Shanghai Jiao Tong University School of Medicine, Shanghai 200025, P.R. China
  • Pages: 1371-1379
    |
    Published online on: June 20, 2013
       https://doi.org/10.3892/or.2013.2559
  • Expand metrics +
Metrics: Total Views: 0 (Spandidos Publications: | PMC Statistics: )
Metrics: Total PDF Downloads: 0 (Spandidos Publications: | PMC Statistics: )
Cited By (CrossRef): 0 citations Loading Articles...

This article is mentioned in:



Abstract

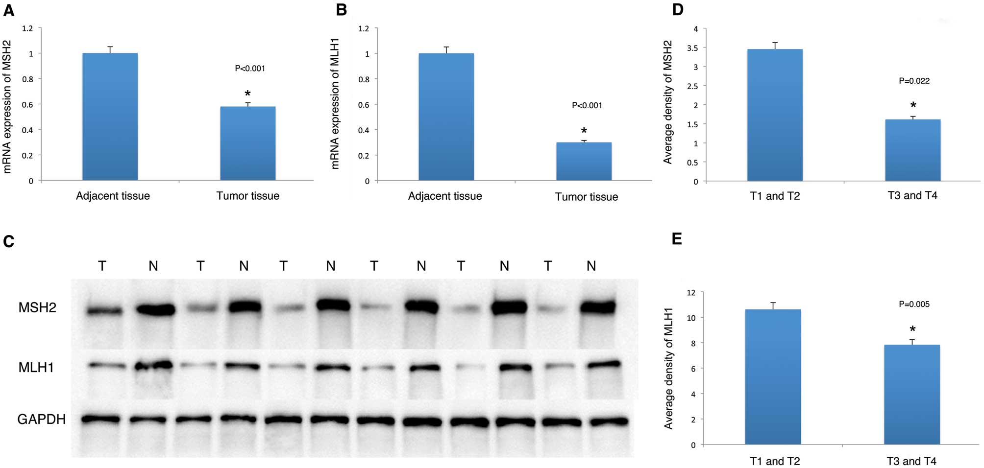
The risk factors affecting the survival rates of laryngeal carcinoma are not well understood. In this study, we investigated the expression status of mutS homolog 2 (MSH2) and mutL homolog 1 (MLH1) and examined the relationship between these two molecules and overall survival rates in laryngeal cancer. We also explored the potential reason for the altered expression of these two genes. Using real-time polymerase chain reaction and western blotting, we detected MSH2 and MLH1 expression in laryngeal cancer tissue samples. We collected a retrospective cohort with 180 laryngeal cancer patients, and inspected MSH2 and MLH1 staining with tissue microarray immunohistochemistry. Prognostic value of clinicopathological characteristics was evaluated by statistical analysis. Laryngeal carcinoma cells were co-cultured with Helicobacter pylori (H. pylori) bacteria. MSH2 and MLH1 were expressed at lower levels compared to those of adjacent tissues in 21 laryngeal carcinoma patients. Patients with negative expression of MSH2 and MLH1 tended to have a higher risk of mortality compared to patients with positive expression (HR=4.38; HR=3.0, respectively). Cigarette smoking rate was higher in the MLH1 expression positive group. H. pylori infection reduced the MSH2 and MLH1 expression levels of laryngeal carcinoma cell lines within co-culture conditions. It is suggested that the altered expression levels of MSH2 and MLH1 probably affect the overall survival of laryngeal carcinoma patients. H. pylori infection may have an effect on the expression of MSH2 and MLH1 in laryngeal carcinoma patients.
View Figures

Figure 1

Figure 2

Figure 3

Figure 4

View References

1 

Parkin DM, Bray F, Ferlay J and Pisani P: Global cancer statistics, 2002. CA Cancer J Clin. 55:74–108. 2005. View Article : Google Scholar

2 

Stenson KM, Maccracken E, Kunnavakkam RW, et al: Chemoradiation for patients with large-volume laryngeal cancers. Head Neck. 34:1162–1167. 2012.PubMed/NCBI

3 

Rudolph E, Dyckhoff G, Becher H, Dietz A and Ramroth H: Effects of tumour stage, comorbidity and therapy on survival of laryngeal cancer patients: a systematic review and a meta-analysis. Eur Arch Otorhinolaryngol. 268:165–179. 2011. View Article : Google Scholar : PubMed/NCBI

4 

van Loon Y, Sjögren EV, Langeveld TP, Baatenburg de Jong RJ, Schoones JW and van Rossum MA: Functional outcomes after radiotherapy or laser surgery in early glottic carcinoma systematic review. Head Neck. 34:1179–1189. 2012.

5 

Farshadpour F, Kranenborg H, Calkoen EV, Hordijk GJ, Koole R, Slootweg PJ and Terhaard CH: Survival analysis of head and neck squamous cell carcinoma: influence of smoking and drinking. Head Neck. 33:817–823. 2011. View Article : Google Scholar : PubMed/NCBI

6 

Torrente MC, Rodrigo JP, Haigentz M Jr, et al: Human papillomavirus infections in laryngeal cancer. Head Neck. 33:581–586. 2011. View Article : Google Scholar : PubMed/NCBI

7 

Marur S, D’Souza G, Westra WH and Forastiere AA: HPV-associated head and neck cancer: a virus related cancer epidemic. Lancet Oncol. 11:781–789. 2010. View Article : Google Scholar : PubMed/NCBI

8 

Weinstock GM: Genomic approaches to studying the human microbiota. Nature. 489:250–256. 2012. View Article : Google Scholar : PubMed/NCBI

9 

Gong H, Shi Y, Zhou L, Tao L, Shi Y, Cao W and Cheng L: Helicobacter pylori infection of the larynx may be an emerging risk factor for laryngeal squamous cell carcinoma. Clin Transl Oncol. 14:905–910. 2012. View Article : Google Scholar

10 

Hewish M, Lord CJ, Martin SA, Cunningham D and Ashworth A: Mismatch repair deficient colorectal cancer in the era of personalized treatment. Nat Rev Clin Oncol. 7:197–208. 2010. View Article : Google Scholar : PubMed/NCBI

11 

Martin SA, Lord CJ and Ashworth A: Therapeutic targeting of the DNA mismatch repair pathway. Clin Cancer Res. 16:5107–5113. 2010. View Article : Google Scholar : PubMed/NCBI

12 

Sargent DJ, Marsoni S, Monges G, et al: Defective mismatch repair as a predictive marker for lack of efficacy of fluorouracil-based adjuvant therapy in colon cancer. J Clin Oncol. 28:3219–3226. 2010. View Article : Google Scholar : PubMed/NCBI

13 

Wei Q, Eicher SA, Guan Y, et al: Reduced expression of hMLH1 and hGTBP/hMSH6: a risk factor for head and neck cancer. Cancer Epidemiol Biomarkers Prev. 7:309–314. 1998.PubMed/NCBI

14 

Fernandes AM, De Souza VR, Springer CR, Cardoso SV, Loyola AM, Mesquita RA and Aguiar MC: Tobacco and inflammation effects in immunoexpression of hMSH2 and hMLH1 in epithelium of oral mucosa. Anticancer Res. 27:2433–2438. 2007.PubMed/NCBI

15 

Kouso H, Yoshino I, Miura N, et al: Expression of mismatch repair proteins, hMLH1/hMSH2, in non-small cell lung cancer tissues and its clinical significance. J Surg Oncol. 98:377–383. 2008. View Article : Google Scholar : PubMed/NCBI

16 

Adachi M, Ijichi K, Hasegawa Y, Nakamura H, Ogawa T and Kanematsu N: Human MLH1 status can potentially predict cisplatin sensitivity but not microsatellite instability in head and neck squamous cell carcinoma cells. Exp Ther Med. 1:93–96. 2010.

17 

Caldeira PC, Abreu MH, Batista AC and do Carmo MA: hMLH1 immunoexpression is related to the degree of epithelial dysplasia in oral leukoplakia. J Oral Pathol Med. 40:153–159. 2011. View Article : Google Scholar : PubMed/NCBI

18 

Czerninski R, Krichevsky S, Ashhab Y, Gazit D, Patel V and Ben-Yehuda D: Promoter hypermethylation of mismatch repair genes, hMLH1 and hMSH2 in oral squamous cell carcinoma. Oral Dis. 15:206–213. 2009. View Article : Google Scholar : PubMed/NCBI

19 

Marani C, Alvino E, Caporali S, Vigili MG, Mancini G and Rahimi S: DNA mismatch repair protein expression and microsatellite instability in primary mucosal melanomas of the head and neck. Histopathology. 50:780–788. 2007. View Article : Google Scholar : PubMed/NCBI

20 

Nunn J, Nagini S, Risk JM, et al: Allelic imbalance at the DNA mismatch repair loci, hMSH2, hMLH1, hPMS1, hPMS2 and hMSH3, in squamous cell carcinoma of the head and neck. Oral Oncol. 39:115–129. 2003. View Article : Google Scholar : PubMed/NCBI

21 

Wang Y, Irish J, MacMillan C, et al: High frequency of microsatellite instability in young patients with head-and-neck squamous-cell carcinoma: lack of involvement of the mismatch repair genes hMLH1 and hMSH2. Int J Cancer. 93:353–360. 2001. View Article : Google Scholar : PubMed/NCBI

22 

Sobin LH and Wittekind CH: International Union Against Cancer (UICC): TNM classification of malignant tumors. 6th edition. John Wiley and Sons; New York: 2002

23 

Tomayko MM and Reynolds CP: Determination of subcutaneous tumor size in athymic (nude) mice. Cancer Chemother Pharmacol. 24:148–154. 1989. View Article : Google Scholar : PubMed/NCBI

24 

Shi Y, Gong HL, Zhou L, Tian J and Wang Y: CD24: a novel cancer biomarker in laryngeal squamous cell carcinoma. ORL J Otorhinolaryngol Relat Spec. 74:78–85. 2012. View Article : Google Scholar : PubMed/NCBI

25 

Zhu XD, Zhang JB, Zhuang PY, et al: High expression of macrophage colony-stimulating factor in peritumoral liver tissue is associated with poor survival after curative resection of hepatocellular carcinoma. J Clin Oncol. 26:2707–2716. 2008. View Article : Google Scholar

26 

Lanza G, Gafa R, Santini A, Maestri I, Guerzoni L and Cavazzini L: Immunohistochemical test for MLH1 and MSH2 expression predicts clinical outcome in stage II and III colorectal cancer patients. J Clin Oncol. 24:2359–2367. 2006. View Article : Google Scholar : PubMed/NCBI

27 

Rezaii J, Tavakoli H, Esfandiari K, et al: Association between Helicobacter pylori infection and laryngo-hypopharyngeal carcinoma: a case-control study and review of the literature. Head Neck. 30:1624–1627. 2008.PubMed/NCBI

28 

Titiz A, Ozcakir O, Ceyhan S, Yilmaz YF, Unal A and Akyon Y: The presence of Helicobacter pylori in the larynx pathologies. Auris Nasus Larynx. 35:534–538. 2008.

29 

Rubin JS, Benjamin E, Prior A and Lavy J: The prevalence of Helicobacter pylori infection in malignant and premalignant conditions of the head and neck. J Laryngol Otol. 117:118–121. 2003.

Related Articles

  • Abstract
  • View
  • Download
  • Twitter
Copy and paste a formatted citation
Spandidos Publications style
Gong H, Shi Y, Shi Y, Wu C, Cao P, Zhou L and Xu C: Reduced expression of mutS homolog 2 and mutL homolog 1 affects overall survival in laryngeal squamous cell carcinoma patients: Investigation into a potential cause. Oncol Rep 30: 1371-1379, 2013.
APA
Gong, H., Shi, Y., Shi, Y., Wu, C., Cao, P., Zhou, L., & Xu, C. (2013). Reduced expression of mutS homolog 2 and mutL homolog 1 affects overall survival in laryngeal squamous cell carcinoma patients: Investigation into a potential cause. Oncology Reports, 30, 1371-1379. https://doi.org/10.3892/or.2013.2559
MLA
Gong, H., Shi, Y., Shi, Y., Wu, C., Cao, P., Zhou, L., Xu, C."Reduced expression of mutS homolog 2 and mutL homolog 1 affects overall survival in laryngeal squamous cell carcinoma patients: Investigation into a potential cause". Oncology Reports 30.3 (2013): 1371-1379.
Chicago
Gong, H., Shi, Y., Shi, Y., Wu, C., Cao, P., Zhou, L., Xu, C."Reduced expression of mutS homolog 2 and mutL homolog 1 affects overall survival in laryngeal squamous cell carcinoma patients: Investigation into a potential cause". Oncology Reports 30, no. 3 (2013): 1371-1379. https://doi.org/10.3892/or.2013.2559
Copy and paste a formatted citation
x
Spandidos Publications style
Gong H, Shi Y, Shi Y, Wu C, Cao P, Zhou L and Xu C: Reduced expression of mutS homolog 2 and mutL homolog 1 affects overall survival in laryngeal squamous cell carcinoma patients: Investigation into a potential cause. Oncol Rep 30: 1371-1379, 2013.
APA
Gong, H., Shi, Y., Shi, Y., Wu, C., Cao, P., Zhou, L., & Xu, C. (2013). Reduced expression of mutS homolog 2 and mutL homolog 1 affects overall survival in laryngeal squamous cell carcinoma patients: Investigation into a potential cause. Oncology Reports, 30, 1371-1379. https://doi.org/10.3892/or.2013.2559
MLA
Gong, H., Shi, Y., Shi, Y., Wu, C., Cao, P., Zhou, L., Xu, C."Reduced expression of mutS homolog 2 and mutL homolog 1 affects overall survival in laryngeal squamous cell carcinoma patients: Investigation into a potential cause". Oncology Reports 30.3 (2013): 1371-1379.
Chicago
Gong, H., Shi, Y., Shi, Y., Wu, C., Cao, P., Zhou, L., Xu, C."Reduced expression of mutS homolog 2 and mutL homolog 1 affects overall survival in laryngeal squamous cell carcinoma patients: Investigation into a potential cause". Oncology Reports 30, no. 3 (2013): 1371-1379. https://doi.org/10.3892/or.2013.2559
Follow us
  • Twitter
  • LinkedIn
  • Facebook
About
  • Spandidos Publications
  • Careers
  • Cookie Policy
  • Privacy Policy
How can we help?
  • Help
  • Live Chat
  • Contact
  • Email to our Support Team