Spandidos Publications Logo
  • About
    • About Spandidos
    • Aims and Scopes
    • Abstracting and Indexing
    • Editorial Policies
    • Reprints and Permissions
    • Job Opportunities
    • Terms and Conditions
    • Contact
  • Journals
    • All Journals
    • Oncology Letters
      • Oncology Letters
      • Information for Authors
      • Editorial Policies
      • Editorial Board
      • Aims and Scope
      • Abstracting and Indexing
      • Bibliographic Information
      • Archive
    • International Journal of Oncology
      • International Journal of Oncology
      • Information for Authors
      • Editorial Policies
      • Editorial Board
      • Aims and Scope
      • Abstracting and Indexing
      • Bibliographic Information
      • Archive
    • Molecular and Clinical Oncology
      • Molecular and Clinical Oncology
      • Information for Authors
      • Editorial Policies
      • Editorial Board
      • Aims and Scope
      • Abstracting and Indexing
      • Bibliographic Information
      • Archive
    • Experimental and Therapeutic Medicine
      • Experimental and Therapeutic Medicine
      • Information for Authors
      • Editorial Policies
      • Editorial Board
      • Aims and Scope
      • Abstracting and Indexing
      • Bibliographic Information
      • Archive
    • International Journal of Molecular Medicine
      • International Journal of Molecular Medicine
      • Information for Authors
      • Editorial Policies
      • Editorial Board
      • Aims and Scope
      • Abstracting and Indexing
      • Bibliographic Information
      • Archive
    • Biomedical Reports
      • Biomedical Reports
      • Information for Authors
      • Editorial Policies
      • Editorial Board
      • Aims and Scope
      • Abstracting and Indexing
      • Bibliographic Information
      • Archive
    • Oncology Reports
      • Oncology Reports
      • Information for Authors
      • Editorial Policies
      • Editorial Board
      • Aims and Scope
      • Abstracting and Indexing
      • Bibliographic Information
      • Archive
    • Molecular Medicine Reports
      • Molecular Medicine Reports
      • Information for Authors
      • Editorial Policies
      • Editorial Board
      • Aims and Scope
      • Abstracting and Indexing
      • Bibliographic Information
      • Archive
    • World Academy of Sciences Journal
      • World Academy of Sciences Journal
      • Information for Authors
      • Editorial Policies
      • Editorial Board
      • Aims and Scope
      • Abstracting and Indexing
      • Bibliographic Information
      • Archive
    • International Journal of Functional Nutrition
      • International Journal of Functional Nutrition
      • Information for Authors
      • Editorial Policies
      • Editorial Board
      • Aims and Scope
      • Abstracting and Indexing
      • Bibliographic Information
      • Archive
    • International Journal of Epigenetics
      • International Journal of Epigenetics
      • Information for Authors
      • Editorial Policies
      • Editorial Board
      • Aims and Scope
      • Abstracting and Indexing
      • Bibliographic Information
      • Archive
    • Medicine International
      • Medicine International
      • Information for Authors
      • Editorial Policies
      • Editorial Board
      • Aims and Scope
      • Abstracting and Indexing
      • Bibliographic Information
      • Archive
  • Articles
  • Information
    • Information for Authors
    • Information for Reviewers
    • Information for Librarians
    • Information for Advertisers
    • Conferences
  • Language Editing
Spandidos Publications Logo
  • About
    • About Spandidos
    • Aims and Scopes
    • Abstracting and Indexing
    • Editorial Policies
    • Reprints and Permissions
    • Job Opportunities
    • Terms and Conditions
    • Contact
  • Journals
    • All Journals
    • Biomedical Reports
      • Information for Authors
      • Editorial Policies
      • Editorial Board
      • Aims and Scope
      • Abstracting and Indexing
      • Bibliographic Information
      • Archive
    • Experimental and Therapeutic Medicine
      • Information for Authors
      • Editorial Policies
      • Editorial Board
      • Aims and Scope
      • Abstracting and Indexing
      • Bibliographic Information
      • Archive
    • International Journal of Epigenetics
      • Information for Authors
      • Editorial Policies
      • Editorial Board
      • Aims and Scope
      • Abstracting and Indexing
      • Bibliographic Information
      • Archive
    • International Journal of Functional Nutrition
      • Information for Authors
      • Editorial Policies
      • Editorial Board
      • Aims and Scope
      • Abstracting and Indexing
      • Bibliographic Information
      • Archive
    • International Journal of Molecular Medicine
      • Information for Authors
      • Editorial Policies
      • Editorial Board
      • Aims and Scope
      • Abstracting and Indexing
      • Bibliographic Information
      • Archive
    • International Journal of Oncology
      • Information for Authors
      • Editorial Policies
      • Editorial Board
      • Aims and Scope
      • Abstracting and Indexing
      • Bibliographic Information
      • Archive
    • Medicine International
      • Information for Authors
      • Editorial Policies
      • Editorial Board
      • Aims and Scope
      • Abstracting and Indexing
      • Bibliographic Information
      • Archive
    • Molecular and Clinical Oncology
      • Information for Authors
      • Editorial Policies
      • Editorial Board
      • Aims and Scope
      • Abstracting and Indexing
      • Bibliographic Information
      • Archive
    • Molecular Medicine Reports
      • Information for Authors
      • Editorial Policies
      • Editorial Board
      • Aims and Scope
      • Abstracting and Indexing
      • Bibliographic Information
      • Archive
    • Oncology Letters
      • Information for Authors
      • Editorial Policies
      • Editorial Board
      • Aims and Scope
      • Abstracting and Indexing
      • Bibliographic Information
      • Archive
    • Oncology Reports
      • Information for Authors
      • Editorial Policies
      • Editorial Board
      • Aims and Scope
      • Abstracting and Indexing
      • Bibliographic Information
      • Archive
    • World Academy of Sciences Journal
      • Information for Authors
      • Editorial Policies
      • Editorial Board
      • Aims and Scope
      • Abstracting and Indexing
      • Bibliographic Information
      • Archive
  • Articles
  • Information
    • For Authors
    • For Reviewers
    • For Librarians
    • For Advertisers
    • Conferences
  • Language Editing
Login Register Submit
  • This site uses cookies
  • You can change your cookie settings at any time by following the instructions in our Cookie Policy. To find out more, you may read our Privacy Policy.

    I agree
Search articles by DOI, keyword, author or affiliation
Search
Advanced Search
presentation
Oncology Reports
Join Editorial Board Propose a Special Issue
Print ISSN: 1021-335X Online ISSN: 1791-2431
Journal Cover
December 2013 Volume 30 Issue 6

Full Size Image

Sign up for eToc alerts
Recommend to Library

Journals

International Journal of Molecular Medicine

International Journal of Molecular Medicine

International Journal of Molecular Medicine is an international journal devoted to molecular mechanisms of human disease.

International Journal of Oncology

International Journal of Oncology

International Journal of Oncology is an international journal devoted to oncology research and cancer treatment.

Molecular Medicine Reports

Molecular Medicine Reports

Covers molecular medicine topics such as pharmacology, pathology, genetics, neuroscience, infectious diseases, molecular cardiology, and molecular surgery.

Oncology Reports

Oncology Reports

Oncology Reports is an international journal devoted to fundamental and applied research in Oncology.

Experimental and Therapeutic Medicine

Experimental and Therapeutic Medicine

Experimental and Therapeutic Medicine is an international journal devoted to laboratory and clinical medicine.

Oncology Letters

Oncology Letters

Oncology Letters is an international journal devoted to Experimental and Clinical Oncology.

Biomedical Reports

Biomedical Reports

Explores a wide range of biological and medical fields, including pharmacology, genetics, microbiology, neuroscience, and molecular cardiology.

Molecular and Clinical Oncology

Molecular and Clinical Oncology

International journal addressing all aspects of oncology research, from tumorigenesis and oncogenes to chemotherapy and metastasis.

World Academy of Sciences Journal

World Academy of Sciences Journal

Multidisciplinary open-access journal spanning biochemistry, genetics, neuroscience, environmental health, and synthetic biology.

International Journal of Functional Nutrition

International Journal of Functional Nutrition

Open-access journal combining biochemistry, pharmacology, immunology, and genetics to advance health through functional nutrition.

International Journal of Epigenetics

International Journal of Epigenetics

Publishes open-access research on using epigenetics to advance understanding and treatment of human disease.

Medicine International

Medicine International

An International Open Access Journal Devoted to General Medicine.

Journal Cover
December 2013 Volume 30 Issue 6

Full Size Image

Sign up for eToc alerts
Recommend to Library

  • Article
  • Citations
    • Cite This Article
    • Download Citation
    • Create Citation Alert
    • Remove Citation Alert
    • Cited By
  • Similar Articles
    • Related Articles (in Spandidos Publications)
    • Similar Articles (Google Scholar)
    • Similar Articles (PubMed)
  • Download PDF
  • Download XML
  • View XML
Article

CD14 regulates gastric cancer cell epithelial‑mesenchymal transition and invasion in vitro

  • Authors:
    • Kang Li
    • Zeng Dan
    • Xuejun Hu
    • Luobu Gesang
    • Yongge Ze
    • Zhaxi Bianba
  • View Affiliations / Copyright

    Affiliations: Department of Gastroenterology, People's Hospital of Tibet Autonomous Region, Lhasa 850000, P.R. China, Department of Oncology, People's Hospital of Tibet Autonomous Region, Lhasa 850000, P.R. China
  • Pages: 2725-2732
    |
    Published online on: September 19, 2013
       https://doi.org/10.3892/or.2013.2733
  • Expand metrics +
Metrics: Total Views: 0 (Spandidos Publications: | PMC Statistics: )
Metrics: Total PDF Downloads: 0 (Spandidos Publications: | PMC Statistics: )
Cited By (CrossRef): 0 citations Loading Articles...

This article is mentioned in:


Abstract

Cluster of differentiation 14 (CD14) protein functions as a co-receptor with either the Toll-like receptor TLR4 or MD-2 in the detection of bacterial lipopolysaccharide (LPS) and plays a role in the innate immune system. Recently, it was shown to have effects on the regulation of epithelial-mesenchymal transition (EMT). Thus, the present study investigated the effects of CD14 knockdown on the regulation of gastric cancer cell EMT and invasive capacity following treatment with or without LPS. Knockdown of CD14 expression using CD14 shRNA in MGC-803 cells significantly enhanced E-cadherin expression, but reduced N-cadherin and vimentin expression in both LPS-treated and untreated cells. Morphologically, the phenotype of LPS-treated CD14-knockdown cells was altered to a sporadic long spindle shape. Moreover, TNF-α-treated cells were further elongated, connections between cells were reduced, the gap between the cells was increased and the cells were transformed into mesenchymal cells. Furthermore, the invasive capacity of CD14-knockdown cells was significantly lower compared to that of the negative control shRNA-transfected MGC-803 cells. LPS-treated CD14-knockdown cells had significantly lower levels of tumor cell invasive ability when compared to the LPS-treated parental MGC-803 cells. However, addition of TNF-α to LPS-treated CD14-knockdown cells significantly increased tumor cell invasion. This study demonstrated that CD14 promoted tumor cell EMT and invasion through TNF-α, whereas knockdown of CD14 expression inhibited gastric cancer cell invasion and EMT.

Introduction

Gastric cancer is a significant worldwide health issue, accounting for approximately one million new cases and more than 700,000 cancer-related deaths in 2008 (1). The majority of gastric cancer cases occurs in developing countries, and these regional variations may in part reflect differences in dietary patterns and the prevalence of Helicobacter pylori infection (2). Gastric cancer progression during the late stages significantly contributes to treatment failure, similar to most other cancers. Previous studies have shown that cancer cells obtain an interstitial cell phenotype and characteristics associated with invasive capacity via epithelial-mesenchymal transition (EMT), leading to invasion into surrounding tissues or distant organs (cancer metastasis) (3). However, to date, it remains to be defined how gastric cancer cells acquire EMT and malignant transformation. Thus, research on this topic could provide novel targets for gastric cancer treatment and prevention.

Helicobacter pylori infection plays a significant role in gastric cancer development and progression (4), while cluster of differentiation 14 (CD14) functions as a co-receptor with either Toll-like receptor TLR4 or MD-2 in the detection of bacterial lipopolysaccharide (LPS) and plays a role in the innate immune system (5,6). Another study showed that LPS, the main component of Gram-negative bacteria endotoxin, is able to induce EMT of cancer cells (7). Specifically, membrane CD14, together with TLR4, binds to LPS and transmits signals into the nucleus, activating the release of a series of cytokines (8,9), which may promote gastric carcinogenesis. For example, a previous study found that certain polymorphisms of the CD14 gene promoter region are associated with the susceptibility to gastric cancer, which could be due to alterations in CD14 expression (10).

CD14 also affects the apoptosis of cancer cells and regulates cell cycle distribution through nuclear transcription factors (11,12). These data clearly indicate that CD14 plays a role in gastric carcinogenesis; however, the underlying mechanisms remain to be determined. Thus, in the present study we aimed to ascertain whether CD14 affects gastric cancer cell EMT and invasion using shRNA technology and the underlying mechanisms responsible for CD14-mediated tumor cell EMT and invasion. These studies could provide experimental evidence for future treatment and prognosis of gastric cancer.

Materials and methods

Cell lines and culture

Gastric cancer cell lines (SGC-7901, MGC-803, BGC-823 and MKN-28) were provided by the Institute of Biochemistry and Cell Biology, Chinese Academy of Sciences (Shanghai, China) and were cultured in RPMI-1640 medium containing 10% fetal bovine serum (FBS), 100 U/ml penicillin and 100 mg/l streptomycin (Solarbio, Beijing, China) at 37°C in a humidified incubator with 5% CO2 and 95% air. The cells were passaged every 2–3 days with 0.05% trypsin-EDTA.

RNA isolation and RT-PCR

Total RNA was extracted from cultured cells using TRIzol reagent, and reversely transcribed into cDNA using the cDNA First Strand synthesis kit (both from Beijing Tiangen Company, Beijing, China) according to the manufacturer’s instructions. PCR was performed in a 20 μl volume containing 1 μl of cDNA template, 1 μl of upstream and downstream primers, 10 μl of 2X TaqPCR Master Mix (Beijing Tiangen Company) and 7 μl of water from the Ultrapure Water Polishing System (Heal Force, Hong Kong, China). The primers used in this study are listed in Table I and were synthesized by Sangon Company (Shanghai, China). PCR conditions were set at an initial 95°C for 5 min, followed by 30 cycles of 95°C for 20 sec, 58°C for 20 sec, and 72°C for 30 sec, and a final extension at 72°C for 5 min. The PCR products were then separated using electrophoresis on a 1.5% agarose gel. β-actin mRNA was used as an internal control for semi-quantitative analyses of target genes.

Table I

PCR primers used in the present study.

Table I

PCR primers used in the present study.

GeneSequencesExpected PCR product size (bp)
CD14 5′-TCAGAGGTTCGGAAGACTTATCG-3′
5′-CTTTAGAAACGGCTCTAGGTTGAGA-3′
239
E-cadherin 5′-ATGCCGCCATCGCTTACAC-3′
5′-CGACGTTAGCCTCGTTCTCA-3′
285
N-cadherin 5′-CAACACACTCGCAGACGCTCA-3′
5′-AAGACGGCTCCAGGCAGTTT-3′
228
Vimentin 5′-CAACACACTCGCAGACGCTCA-3′
5′-AAGACGGCTCCAGGCAGTTT-3′
160
TNF-α 5′-GTCTCCTACCAGACCAAGGTCAAC-3′
5′-CACAGGGCAATGATCCCAAAGTAG-3′
221
TGF-β 5′-CAACAATTCCTGGCGATACC-3′
5′-GCTAAGGCGAAAGCCCTCAAT-3′
136

[i] CD14, cluster of differentiation 14.

Protein extraction and western blotting

Total cellular protein was extracted from the cells in RIPA lysis buffer, and the protein concentration was quantified using the BCA method. Protein lysis containing 40 μg protein was separated using sodium dodecyl sulfate polyacrylamide gel electrophoresis (SDS-PAGE) and transferred onto PVDF membranes (Millipore, Bedford, MA, USA). The membranes were then incubated with 5% skim milk solution in phosphate-buffered saline (PBS) for 50 min and then with the primary antibody (i.e., CD14 at a dilution of 1:500; TNF-α at 1:1,000; TGF-β1 at 1:500; E-cadherin at 1:800; N-cadherin at 1:1,000; vimentin at 1:600) at 4°C overnight. Anti-TNF-α antibody was purchased from R&D Systems (Minneapolis, MN, USA), anti-CD14, anti-vimentin and anti-TGF-β1 antibodies were from Santa Cruz Biotechnology, Inc. (Santa Cruz, CA, USA), and anti-TNF-α, anti-E-cadherin and anti-N-cadherin antibodies were obtained from Abcam (Cambridge, MA, USA). On the following day, the membranes were washed with PBS/Tween-20 and then incubated with a secondary antibody at a dilution of 1:4,000 for 45 min at 37°C. Following washing with PBS-Tween-20 in triplicate, the membranes were incubated with enhanced chemiluminescence (ECL) substrate for visualizing the positive protein bands following expose to X-ray film. The membranes were then stripped and re-blotted with anti-β-actin antibody as the internal control.

Construction of the CD14 shRNA vector and gene transfection

In the present study, we designed 4 siRNA primers to knockdown CD14 expression and 1 unrelated interference sequence according to a previously published method (13), while GAPDH interference sequences were used as the positive control. These DNA sequences were synthesized by GenePharma (Shanghai, China) and were used for transfection into MGC-803 cells. The interference efficiency was measured 48 h following transfection using western blotting (data not shown). The CD14 siRNA with the highest interference efficiency was selected for expression vector construction, i.e., the DNA sequences (5′-GGTACTGAGCATTGCCCAA-3′) were located at 898 nucleotides of CD14 mRNA (NM_000591) and used for vector construction. The corresponding sense and antisense oligonucleotides were: 5′-GATCCCCGGTACTG AGCATTGCCCAATTCAAGAGATTGGGCAATGCTCA GTACCTTTTT-3′ and 5′-AGCTAAAAAGGTACTGAG CATTGCCCAATCTCTTGAATTGGGCAATGCTCAGTA CCGGG-3′, respectively. These 2 oligonucleotides were digested with BamHI and HindIII (Takara, Dalian, China) and then annealed and ligated into pGCsi-H1/Neo (GenePharma). Following amplification and DNA sequencing, this vector plus negative control vectors were used for the subsequent experiments. To knockdown CD14 expression, gastric cancer MGC-803 cells were seeded onto 6-well plates with RPMI-1640 media containing 10% FBS and grown overnight to reach 80–90% confluence. On the following day, cells were transfected with CD14 shRNA and negative control plasmids, using Lipofectamine 2000 (Invitrogen Life Technologies, Carlsbad, CA, USA) according to the manufacturer’s instructions. After 5 h of transfection, the media were replaced with RPMI-1640 media containing 20% FBS. Transfection efficiency was then determined 48 h later using a fluorescence microscope. The cells were further cultured in a complete media containing 800 μg/ml G418 (Invitrogen Life Technologies) and the media were replaced every 2–3 days for 2 weeks. G418 concentration was reduced to 400 μg/ml. Once the cells had a strong expression of green fluorescence, the cells were expanded and then used for the experiments.

Lipopolysaccharides and TNF-α treatment

The stable CD14-knockdown and negative control cells were cultured routinely in RPMI-1640 media containing 10% FBS, 100 U/ml penicillin, 100 mg/l streptomycin and 400 μg/ml G418. Cells at a logarithmic growth phase were then treated with lipopolysaccharides (LPS at 1 μg/ml) for 4 h. The cells were grouped for the following experiments. The treatment groups were as follows: control cells, sh-CD14-alone cells, LPS-alone cells, LPS + sh-CD14 cells, LPS + sh-CD14 + TNF-α cells.

Tumor cell Transwell invasion assay

To determine the effects of CD14 knockdown on the invasive ability of the cells with or without LPS treatment, we inoculated cells (2×105/well) into the upper chamber of Transwell plates (Corning Incorporated, Corning, NY, USA) coated with Matrigel (BD Biosciences, San Jose, CA, USA). In the lower chamber, RPMI-1640 medium containing 10% FBS was added, and the cells were cultured for 48 h. The cells remaining on the surface of the upper chamber were removed using cotton swaps, and the cells that had invaded onto the bottom surface were fixed with 40 ml/l formaldehyde for 15 min and stained with hematoxylin for 2 min. The cells were evaluated and counted under a light microscope. Five fields were chosen for each well, and the numbers of invaded cells were recorded.

Statistical analyses

Statistical analyses were performed using SPSS 16.0 software (SPSS, Inc., Chicago, IL, USA). The experimental data are expressed as means ± SD. The Student’s t-test was used for comparison between 2 groups. P<0.05 was considered to indicate a statistically significant result.

Results

Expression of CD14 in gastric cancer cell lines

In the present study, we assessed CD14 expression in the different gastric cancer cell lines using semi-quantitative RT-PCR and western blotting. We found that the highest levels of CD14 mRNA and protein were detected in MGC-803 cells, followed by MKN-28 and BGC-823, whereas SGC-7901 had the lowest levels of CD14 mRNA and protein (Fig. 1A). Thus, we selected the MGC-803 cell line for subsequent CD14-knockdown experiments.

Figure 1

Knockdown of CD14 in gastric cancer cell lines. (A) Expression of CD14 in gastric cancer cells analyzed using RT-PCR and western blotting. P<0.05, compared to CD14 expression in the SGC-7901 cells (n=3). (B) Stable knockdown of CD14 expression in gastric cancer MGC-803 cells as detected using RT-PCR and western blotting. P<0.01, compared to the negative control shRNA-transfected cells (n=3). CD14, cluster of differentiation 14.

Establishment of stable CD14-knockdown cells

To assess the role of CD14 protein in gastric cancer, we used CD14 shRNA to knockdown CD14 expression in the MGC-803 gastric cancer cell line and negative control shRNA was used as a control. Following 48 h of gene transfection, green fluorescent-positive cells were identified as CD14-shRNA. After 4 weeks of G418 selection, 90% of the cells produced green fluorescence, indicating that cells achieved stable transfection of CD14-shRNA. Expression of CD14 at the mRNA and protein levels was then detected in the stable cells, and the data showed that the levels were reduced by 72 and 63%, respectively, when compared to the control cells (Fig. 1B).

Changes in cell morphology following CD14 knockdown

Parental MGC-803 cells exhibited prismatic or polygonal morphology with adherent growth (Fig. 2A-a), while stable CD14-knockdown cells did not show significant changes in morphology (Fig. 2A-b). Moreover, previous studies have demonstrated that LPS can bind to CD14 and promote TNF-α expression in cells, which in turn increases TGF expression and induces tumor cells to EMT (14,15). Therefore, we treated these CD14-knockdown cells with LPS for 4 h and found that these cells were altered to a sporadic long spindle shape (Fig. 2A-c and -d) when compared to the parental or negative control vector-transfected cells. In addition, TNF-α treated cells were further elongated, connections between cells were reduced, the gap between the cells was increased, and the cells were transformed into mesenchymal cells when compared to the LPS + sh-CD14 cells (Fig. 2A-e).

Figure 2

Effects of CD14 knockdown on gastric cancer cell morphology. (A) Cell morphology. (a) The negative control shRNA-transfected cells; (b) CD14 shRNA-transfected cells; (c) LPS-treated negative control shRNA-transfected cells; (d) LPS-treated CD14 shRNA-transfected cells; (e) LPS and TNF-α-treated CD14 shRNA-transfected cells (x100 magnification). (B) Tumor cell invasion. **P<0.01 compared to the negative control shRNA-transfected cells (group A); #P<0.05 compared to the CD14 shRNA-transfected cells (group B); @@P<0.01 compared to LPS-treated negative control shRNA cells (group C); &&P<0.01 compared to the LPS and TNF-α-treated CD14 shRNA-transfected cells (group E). CD14, cluster of differentiation 14.

Effects of CD14 knockdown on regulation of LPS-induced EMT in gastric cancer cells

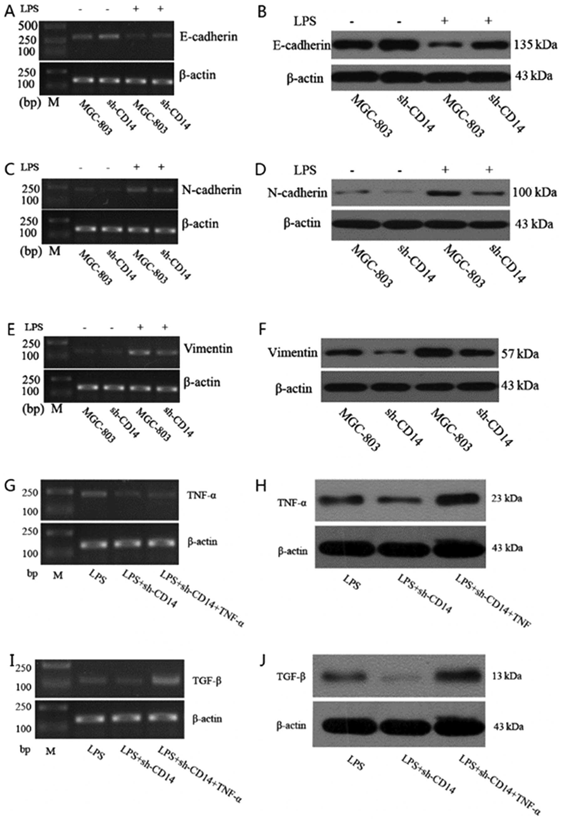
We further confirmed the effects of CD14 knockdown on gastric cancer cells. We found that CD14 knockdown increased expression of E-cadherin protein (P<0.05), but reduced expression of N-cadherin and vimentin proteins (P<0.05). Since LPS was able to activate CD14 protein, we treated these cells with LPS for 4 h and found that LPS treatment of parental MGC-803 cells significantly reduced E-cadherin expression (P<0.01), whereas N-cadherin and vimentin expression were significantly increased (P<0.01) compared to the untreated cells, indicating that LPS promotes EMT in gastric cancer cells. However, in the stable CD14-knockdown cells, LPS treatment significantly increased E-cadherin expression (P<0.05), while N-cadherin and vimentin expression was significantly reduced (P<0.05) compared to the cells treated with LPS only, indicating that in the event of lack of CD14 expression, LPS treatment does not induce EMT (Fig. 3A–F).

Figure 3

Effect of CD14 knockdown on the regulation of gene expression. Expression of (A and B) E-cadherin, (C and D) N-cadherin, (E and F) vimentin, (G and H) TNF-α and (I and J) TGF-β as determined using RT-PCR and Western blot analysis, respectively. The cells with CD14 knockdown were treated with or without LPS (see Materials and method) and were then subjected to RT-PCR and Western blot analysis of gene expression.

Effect of CD14 knockdown on expression of TNF-α and TGF-β

We determined the effects of CD14 knockdown on expression of TNF-α and TGF-β. Compared to LPS-treated parental MGC-803 cells, expression of TNF-α and TGF-β in the LPS-treated CD14-knockdown cells was significantly reduced (P<0.05). Moreover, expression of TNF-α and TGF-β was significantly higher in the LPS and TNF-α-treated CD14-knockdown cells than that of the LPS-treated parental shRNA-transfected cells (Fig. 3G–J).

Effect of CD14 knockdown on the regulation of gastric cancer cell EMT through TNF-α

LPS treatment of the CD14 knockdown MGC-803 cells resulted in a higher expression of E-cadherin and lower expression of N-cadherin and vimentin when compared to the LPS-treated negative control shRNA-transfected cells (Fig. 4). However, TNF-α treatment of these cells significantly reduced E-cadherin expression and increased expression of N-cadherin and vimentin compared to LPS-treated CD14-knockdown MGC-803 cells (Fig. 4).

Figure 4

Effect of TNF-α treatment on the regulation of E-cadherin, vimentin and N-cadherin expression. Expression of (A and B) E-cadherin (C and D) N-cadherin and (E and F) vimentin as determined using RT-PCR and Western blot analysis, respectively. Cells with CD14 knockdown were treated with or without LPS (see Materials and methods) and were then subjected to RT-PCR and Western blot analysis of gene expression. P-value, compared to the control cells.

Effect of CD14 knockdown on the regulation of gastric cancer cell invasion

Tumor cell EMT usually results in cell migration and invasion. Therefore, we assessed tumor cell invasion capacity following CD14 knockdown and LPS treatment. Indeed, the invasive capacity of CD14-knockdown cells was significantly lower than that of the negative control shRNA-transfected MGC-803 cells (P<0.01; Fig. 2B-a and -b). LPS-treated parental MGC-803 cells had significantly higher invasive capacity than that of the control cells without LPS treatment (P<0.05; Fig. 2B-c), whereas LPS-treated CD14-knockdown cells showed significantly lower levels of tumor cell invasion than that of the LPS-treated parental MGC-803 cells (P<0.01; Fig. 2B-d). Nevertheless, addition of TNF-α to LPS-treated CD14-knockdown cells significantly increased invasion (P<0.01; Fig. 2B-e). These results indicate that CD14 can facilitate cancer cell invasion via upregulation of TNF-α.

Discussion

Cancer invasion and metastases contribute to advanced stage disease and increased cancer-related deaths. Molecularly, they are the consequence of multiple factorial interactions. For cancer metastases, induced tumor cell migration and invasion through cell connection disruption are essential steps. Although EMT is a normal physiological process during embryonic development and organ formation or even during fibrosis, induction of tumor cell EMT can cause tumor migration, invasion and distant metastasis (16). Molecularly, E-cadherin plays an important role in maintenance of epithelial cell polarity and tight junctions between cells. Reduction in E-cadherin expression may promote EMT. In contrast to E-cadherin, N-cadherin is commonly found in cancer cells and provides a mechanism for transendothelial migration; thus promoting tumor cell invasion and metastasis (17). A previous study hypothesized that conversion of E-cadherin to N-cadherin leads to EMT (18). Moreover, vimentin is a marker of mesenchymal cells and is normally expressed at a low level or is absent in epithelial cells (19). However, vimentin is highly expressed in invasive tumor cells or during the EMT process. Therefore, downregulation of E-cadherin or upregulation of N-cadherin and vimentin are considered markers of EMT. In the present study, we found that knockdown of CD14 expression increased E-cadherin expression, but decreased N-cadherin and vimentin expression. Our data indicate that CD14 protein is positively associated with EMT of gastric cancer cells. Further study showed that knockdown of CD14 expression reduced gastric cancer cell invasive capacity, even following LPS treatment.

LPS is the main component of endotoxin in Gram-negative bacteria, e.g., H. pylori infection is a major cause of chronic gastritis and is an initial factor in gastric cancer (20). In the present study, we found that LPS treatment reduced E-cadherin expression and enhanced N-cadherin and vimentin expression in gastric cancer cells, indicating that LPS promotes EMT of gastric cancer cells. Furthermore, CD14 normally binds to LPS to form a LPS-CD14//TLR4-MD2 complex, which results in the activation NF-κB and other transcriptional factors (21–23). However, our present data demonstrated that CD14 knockdown enhanced E-cadherin but reduced N-cadherin and vimentin expression in the LPS-treated cells and in turn inhibited LPS-induced EMT. Thus, the role of CD14 in LPS-induced EMT may play an important role in gastric cancer development and progression.

TNF-α, an important inflammatory factor, was reported to induce EMT and promote tumor cell migration and invasion through stabilization of Snail and the NF-κB pathway (24). To further clarify the mechanisms of CD14 in promoting EMT of gastric cancer cells, our present data showed that CD14 knockdown significantly reduced TNF-α expression, which was associated with enhanced expression of E-cadherin and decreased expression of N-cadherin and vimentin. Most importantly, CD14 knockdown did not affect expression of E-cadherin, N-cadherin and vimentin in cells treated with TNF-α. These data indicate that TNF-α expression may mediate the effects of CD14 knockdown on inhibition of LPS-induced EMT. Furthermore, TGF-β is a potent EMT-promoting factor in a variety of epithelial and cancer cells (25). TGF-β inhibits tumor growth and promotes apoptosis in the early stages of tumor development, but during the late stages, cancer cells lose the sensitivity to TGF-β and secrete a large amount of TGF-β, leading to tumor invasion via EMT (26). Our present data showed that CD14 knockdown significantly reduced TGF-β expression, which suggests that TGF-β participates in CD14-induced gastric cancer cell EMT process. However, further study is needed to verify how these genes are activated by CD14. In addition, although CD14 is a high affinity receptor for LPS, it does not have transmembrane regions and requires the TLR4 to transmit the signals into the nucleus. Previous studies have shown that TLR4-induced liver fibrosis and immune escape of lung cancer cells were mediated by promotion of TGF-β expression (27,28). A previous study also demonstrated that supernatant from CD14-overexpressing cells significantly promoted tumor cell invasion (29). Thus, we suspect that the impact of CD14 on EMT may also be associated with the TLR4 pathway, but we did not provide experimental data to support it, which is a limitation of this study. Expression of CD14 and TLR4 was found to be significantly higher in highly invasive cancer cells (e.g., prostate cancer PC3 cells) than levels in cells with low invasiveness (30). These data indicate that CD14 needs to work with TLR4 for functionality.

In summary, the present study is a proof-of-principle study to demonstrate the role of CD14 in mediating the EMT and invasion of gastric cancer cells in vitro. Future studies will provide mechanistic data to support the current findings in vitro and in vivo.

Acknowledgements

This study was supported in part by a grant from the National Natural Science Foundation of China (no. 81060165).

References

1 

Ferlay J, Shin HR, Bray F, Forman D, Mathers C and Parkin DM: Estimates of worldwide burden of cancer in 2008: GLOBOCAN 2008. Int J Cancer. 127:2893–2917. 2010. View Article : Google Scholar : PubMed/NCBI

2 

Ji J: Chinese guidelines for diagnosis and treatment of gastric cancer (2011 edition). Transl Gastrointest Cancer. 1:103–114. 2012.

3 

Thiery JP: Epithelial-mesenchymal transitions in tumor progression. Nat Rev Cancer. 2:442–454. 2002. View Article : Google Scholar : PubMed/NCBI

4 

Herrera V and Parsonnet J: Helicobacter pylori and gastric adenocarcinoma. Clin Microbiol Infect. 15:971–976. 2009. View Article : Google Scholar

5 

Wright SD, Ramos RA, Tobias PS, Ulevitch RJ and Mathison JC: CD14, a receptor for complexes of lipopolysaccharide (LPS) and LPS binding protein. Science. 249:1431–1433. 1990. View Article : Google Scholar : PubMed/NCBI

6 

Pugin J, Heumann ID, Tomasz A, Kravchenko VV, Akamatsu Y, Nishijima M, Glauser MP, Tobias PS and Ulevitch RJ: CD14 is a pattern recognition receptor. Immunity. 1:509–516. 1994. View Article : Google Scholar : PubMed/NCBI

7 

Chen MC, Chang WW, Kuan YD, Lin ST, Hsu HC and Lee CH: Resveratrol inhibits LPS-induced epithelial-mesenchymal transition in mouse melanoma model. Innate Immun. 18:685–693. 2012. View Article : Google Scholar : PubMed/NCBI

8 

Gioannini TL and Weiss JP: Regulation of interactions of Gram-negative bacterial endotoxins with mammalian cells. Immunol Res. 39:249–260. 2007. View Article : Google Scholar : PubMed/NCBI

9 

Miyake K: Innate immune sensing of pathogens and danger signals by cell surface Toll-like receptors. Semin Immunol. 19:3–10. 2007. View Article : Google Scholar : PubMed/NCBI

10 

Zhao D, Sun T, Zhang X, Guo Y, Yu D, Yang M, Tan W, Wang G and Lin D: Role of CD14 promoter polymorphisms in Helicobacter pylori infection-related gastric carcinoma. Clin Cancer Res. 13:2362–2368. 2007. View Article : Google Scholar : PubMed/NCBI

11 

Kanczkowski W, Tymoszuk P, Ehrhart-Bornstein M, Wirth MP, Zacharowski K and Bornstein SR: Abrogation of TLR4 and CD14 expression and signaling in human adrenocortical tumors. J Clin Endocrinol Metab. 95:E421–E429. 2010. View Article : Google Scholar : PubMed/NCBI

12 

Zanoni I, Ostuni R, Capuano G, Collini M, Caccia M, Ronchi AE, Rocchetti M, Mingozzi F, Foti M, Chirico G, Costa B, Zaza A, Ricciardi-Castagnoli P and Granucci F: CD14 regulates the dendritic cell life cycle after LPS exposure through NFAT activation. Nature. 460:264–268. 2009. View Article : Google Scholar : PubMed/NCBI

13 

Reynolds A, Leake D, Boese Q, Scaringe S, Marshall WS and Khvorova A: Rational siRNA design for RNA interference. Nat Biotechnol. 22:326–330. 2004. View Article : Google Scholar : PubMed/NCBI

14 

Kawata M, Koinuma D, Ogami T, Umezawa K, Iwata C, Watabe T and Miyazono K: TGF-β-induced epithelial-mesenchymal transition of A549 lung adenocarcinoma cells is enhanced by pro-inflammatory cytokines derived from RAW 264.7 macrophage cells. J Biochem. 151:205–216. 2012.

15 

Bates RC and Mercurio AM: Tumor necrosis factor-α stimulates the epithelial-to-mesenchymal transition of human colonic organoids. Mol Biol Cell. 14:1790–1800. 2003.

16 

Guarino M: Epithelial-mesenchymal transition and tumour invasion. Int J Biochem Cell Biol. 39:2153–2160. 2007. View Article : Google Scholar : PubMed/NCBI

17 

Nakajima S, Doi R, Toyoda E, Tsuji S, Wada M, Koizumi M, Tulachan SS, Ito D, Kami K, Mori T, Kawaguchi Y, Fujimoto K, Hosotani R and Imamura M: N-cadherin expression and epithelial-mesenchymal transition in pancreatic carcinoma. Clin Cancer Res. 10:4125–4133. 2004. View Article : Google Scholar : PubMed/NCBI

18 

Cavallaro U, Schaffhauser B and Christofori G: Cadherins and the tumour progression: is it all in a switch? Cancer Lett. 176:123–128. 2002. View Article : Google Scholar : PubMed/NCBI

19 

Lang SH, Hyde C, Reid IN, Hitchcock IS, Hart CA, Bryden AA, Villette JM, Stower MJ and Maitland NJ: Enhanced expression of vimentin in motile prostate cell lines and in poorly differentiated and metastatic prostate carcinoma. Prostate. 52:253–263. 2002. View Article : Google Scholar : PubMed/NCBI

20 

Polk DB and Peek RM Jr: Helicobacter pylori: gastric cancer and beyond. Nature Rev Cancer. 10:403–414. 2010. View Article : Google Scholar

21 

Triantafilou M and Triantafilou K: The dynamics of LPS recognition: complex orchestration of multiple receptors. J Endotoxin Res. 11:5–11. 2005.PubMed/NCBI

22 

Le Roy D, Di Padova F, Adachi Y, Glauser MP, Calandra T and Heumann D: Critical role of lipopolysaccharide-binding protein and CD14 in immune responses against gram-negative bacteria. J Immunol. 167:2759–2765. 2001.PubMed/NCBI

23 

Schimke J, Mathison J, Morgiewicz J and Ulevitch RJ: Anti-CD14 mAb treatment provides therapeutic benefit after in vivo exposure to endotoxin. Proc Natl Acad Sci USA. 95:13875–13880. 1998. View Article : Google Scholar : PubMed/NCBI

24 

Wu Y, Deng J, Rychahou PG, Qiu S, Evers BM and Zhou BP: Stabilization of snail by NF-κB is required for inflammation-induced cell migration and invasion. Cancer Cell. 15:416–428. 2009.

25 

Iwano M: EMT and TGF-beta in renal fibrosis. Front Biosci. 2:229–238. 2010. View Article : Google Scholar : PubMed/NCBI

26 

Zavadil J and Böttinger EP: TGF-β and epithelial-to-mesenchymal transitions. Oncogene. 24:5764–5774. 2005.

27 

Seki E, De Minicis S, Osterreicher CH, Kluwe J, Osawa Y, Brenner DA and Schwabe RF: TLR4 enhances TGF-β signaling and hepatic fibrosis. Nat Med. 13:1324–1332. 2007.

28 

He W, Liu Q, Wang L, Chen W, Li N and Cao X: TLR4 signaling promotes immune escape of human lung cancer cells by inducing immunosuppressive cytokines and apoptosis resistance. Mol Immunol. 44:2850–2859. 2007. View Article : Google Scholar : PubMed/NCBI

29 

Song MN and Cho SY: CD14 acts as an angiogenic factor by inducing basic fibroblast growth factor (bFGF). Bull Korean Chem Soc. 28:1613–1614. 2007. View Article : Google Scholar

30 

Hua D, Liu MY, Cheng ZD, Qin XJ, Zhang HM, Chen Y, Qin GJ, Liang G, Li JN, Han XF and Liu DX: Small interfering RNA-directed targeting of Toll-like receptor 4 inhibits human prostate cancer cell invasion, survival and tumorigenicity. Mol Immunol. 46:2876–2884. 2009. View Article : Google Scholar : PubMed/NCBI

Related Articles

  • Abstract
  • View
  • Download
  • Twitter
Copy and paste a formatted citation
Spandidos Publications style
Li K, Dan Z, Hu X, Gesang L, Ze Y and Bianba Z: CD14 regulates gastric cancer cell epithelial‑mesenchymal transition and invasion in vitro. Oncol Rep 30: 2725-2732, 2013.
APA
Li, K., Dan, Z., Hu, X., Gesang, L., Ze, Y., & Bianba, Z. (2013). CD14 regulates gastric cancer cell epithelial‑mesenchymal transition and invasion in vitro. Oncology Reports, 30, 2725-2732. https://doi.org/10.3892/or.2013.2733
MLA
Li, K., Dan, Z., Hu, X., Gesang, L., Ze, Y., Bianba, Z."CD14 regulates gastric cancer cell epithelial‑mesenchymal transition and invasion in vitro". Oncology Reports 30.6 (2013): 2725-2732.
Chicago
Li, K., Dan, Z., Hu, X., Gesang, L., Ze, Y., Bianba, Z."CD14 regulates gastric cancer cell epithelial‑mesenchymal transition and invasion in vitro". Oncology Reports 30, no. 6 (2013): 2725-2732. https://doi.org/10.3892/or.2013.2733
Copy and paste a formatted citation
x
Spandidos Publications style
Li K, Dan Z, Hu X, Gesang L, Ze Y and Bianba Z: CD14 regulates gastric cancer cell epithelial‑mesenchymal transition and invasion in vitro. Oncol Rep 30: 2725-2732, 2013.
APA
Li, K., Dan, Z., Hu, X., Gesang, L., Ze, Y., & Bianba, Z. (2013). CD14 regulates gastric cancer cell epithelial‑mesenchymal transition and invasion in vitro. Oncology Reports, 30, 2725-2732. https://doi.org/10.3892/or.2013.2733
MLA
Li, K., Dan, Z., Hu, X., Gesang, L., Ze, Y., Bianba, Z."CD14 regulates gastric cancer cell epithelial‑mesenchymal transition and invasion in vitro". Oncology Reports 30.6 (2013): 2725-2732.
Chicago
Li, K., Dan, Z., Hu, X., Gesang, L., Ze, Y., Bianba, Z."CD14 regulates gastric cancer cell epithelial‑mesenchymal transition and invasion in vitro". Oncology Reports 30, no. 6 (2013): 2725-2732. https://doi.org/10.3892/or.2013.2733
Follow us
  • Twitter
  • LinkedIn
  • Facebook
About
  • Spandidos Publications
  • Careers
  • Cookie Policy
  • Privacy Policy
How can we help?
  • Help
  • Live Chat
  • Contact
  • Email to our Support Team