Spandidos Publications Logo
  • About
    • About Spandidos
    • Aims and Scopes
    • Abstracting and Indexing
    • Editorial Policies
    • Reprints and Permissions
    • Job Opportunities
    • Terms and Conditions
    • Contact
  • Journals
    • All Journals
    • Oncology Letters
      • Oncology Letters
      • Information for Authors
      • Editorial Policies
      • Editorial Board
      • Aims and Scope
      • Abstracting and Indexing
      • Bibliographic Information
      • Archive
    • International Journal of Oncology
      • International Journal of Oncology
      • Information for Authors
      • Editorial Policies
      • Editorial Board
      • Aims and Scope
      • Abstracting and Indexing
      • Bibliographic Information
      • Archive
    • Molecular and Clinical Oncology
      • Molecular and Clinical Oncology
      • Information for Authors
      • Editorial Policies
      • Editorial Board
      • Aims and Scope
      • Abstracting and Indexing
      • Bibliographic Information
      • Archive
    • Experimental and Therapeutic Medicine
      • Experimental and Therapeutic Medicine
      • Information for Authors
      • Editorial Policies
      • Editorial Board
      • Aims and Scope
      • Abstracting and Indexing
      • Bibliographic Information
      • Archive
    • International Journal of Molecular Medicine
      • International Journal of Molecular Medicine
      • Information for Authors
      • Editorial Policies
      • Editorial Board
      • Aims and Scope
      • Abstracting and Indexing
      • Bibliographic Information
      • Archive
    • Biomedical Reports
      • Biomedical Reports
      • Information for Authors
      • Editorial Policies
      • Editorial Board
      • Aims and Scope
      • Abstracting and Indexing
      • Bibliographic Information
      • Archive
    • Oncology Reports
      • Oncology Reports
      • Information for Authors
      • Editorial Policies
      • Editorial Board
      • Aims and Scope
      • Abstracting and Indexing
      • Bibliographic Information
      • Archive
    • Molecular Medicine Reports
      • Molecular Medicine Reports
      • Information for Authors
      • Editorial Policies
      • Editorial Board
      • Aims and Scope
      • Abstracting and Indexing
      • Bibliographic Information
      • Archive
    • World Academy of Sciences Journal
      • World Academy of Sciences Journal
      • Information for Authors
      • Editorial Policies
      • Editorial Board
      • Aims and Scope
      • Abstracting and Indexing
      • Bibliographic Information
      • Archive
    • International Journal of Functional Nutrition
      • International Journal of Functional Nutrition
      • Information for Authors
      • Editorial Policies
      • Editorial Board
      • Aims and Scope
      • Abstracting and Indexing
      • Bibliographic Information
      • Archive
    • International Journal of Epigenetics
      • International Journal of Epigenetics
      • Information for Authors
      • Editorial Policies
      • Editorial Board
      • Aims and Scope
      • Abstracting and Indexing
      • Bibliographic Information
      • Archive
    • Medicine International
      • Medicine International
      • Information for Authors
      • Editorial Policies
      • Editorial Board
      • Aims and Scope
      • Abstracting and Indexing
      • Bibliographic Information
      • Archive
  • Articles
  • Information
    • Information for Authors
    • Information for Reviewers
    • Information for Librarians
    • Information for Advertisers
    • Conferences
  • Language Editing
Spandidos Publications Logo
  • About
    • About Spandidos
    • Aims and Scopes
    • Abstracting and Indexing
    • Editorial Policies
    • Reprints and Permissions
    • Job Opportunities
    • Terms and Conditions
    • Contact
  • Journals
    • All Journals
    • Biomedical Reports
      • Information for Authors
      • Editorial Policies
      • Editorial Board
      • Aims and Scope
      • Abstracting and Indexing
      • Bibliographic Information
      • Archive
    • Experimental and Therapeutic Medicine
      • Information for Authors
      • Editorial Policies
      • Editorial Board
      • Aims and Scope
      • Abstracting and Indexing
      • Bibliographic Information
      • Archive
    • International Journal of Epigenetics
      • Information for Authors
      • Editorial Policies
      • Editorial Board
      • Aims and Scope
      • Abstracting and Indexing
      • Bibliographic Information
      • Archive
    • International Journal of Functional Nutrition
      • Information for Authors
      • Editorial Policies
      • Editorial Board
      • Aims and Scope
      • Abstracting and Indexing
      • Bibliographic Information
      • Archive
    • International Journal of Molecular Medicine
      • Information for Authors
      • Editorial Policies
      • Editorial Board
      • Aims and Scope
      • Abstracting and Indexing
      • Bibliographic Information
      • Archive
    • International Journal of Oncology
      • Information for Authors
      • Editorial Policies
      • Editorial Board
      • Aims and Scope
      • Abstracting and Indexing
      • Bibliographic Information
      • Archive
    • Medicine International
      • Information for Authors
      • Editorial Policies
      • Editorial Board
      • Aims and Scope
      • Abstracting and Indexing
      • Bibliographic Information
      • Archive
    • Molecular and Clinical Oncology
      • Information for Authors
      • Editorial Policies
      • Editorial Board
      • Aims and Scope
      • Abstracting and Indexing
      • Bibliographic Information
      • Archive
    • Molecular Medicine Reports
      • Information for Authors
      • Editorial Policies
      • Editorial Board
      • Aims and Scope
      • Abstracting and Indexing
      • Bibliographic Information
      • Archive
    • Oncology Letters
      • Information for Authors
      • Editorial Policies
      • Editorial Board
      • Aims and Scope
      • Abstracting and Indexing
      • Bibliographic Information
      • Archive
    • Oncology Reports
      • Information for Authors
      • Editorial Policies
      • Editorial Board
      • Aims and Scope
      • Abstracting and Indexing
      • Bibliographic Information
      • Archive
    • World Academy of Sciences Journal
      • Information for Authors
      • Editorial Policies
      • Editorial Board
      • Aims and Scope
      • Abstracting and Indexing
      • Bibliographic Information
      • Archive
  • Articles
  • Information
    • For Authors
    • For Reviewers
    • For Librarians
    • For Advertisers
    • Conferences
  • Language Editing
Login Register Submit
  • This site uses cookies
  • You can change your cookie settings at any time by following the instructions in our Cookie Policy. To find out more, you may read our Privacy Policy.

    I agree
Search articles by DOI, keyword, author or affiliation
Search
Advanced Search
presentation
Oncology Reports
Join Editorial Board Propose a Special Issue
Print ISSN: 1021-335X Online ISSN: 1791-2431
Journal Cover
December 2013 Volume 30 Issue 6

Full Size Image

Sign up for eToc alerts
Recommend to Library

Journals

International Journal of Molecular Medicine

International Journal of Molecular Medicine

International Journal of Molecular Medicine is an international journal devoted to molecular mechanisms of human disease.

International Journal of Oncology

International Journal of Oncology

International Journal of Oncology is an international journal devoted to oncology research and cancer treatment.

Molecular Medicine Reports

Molecular Medicine Reports

Covers molecular medicine topics such as pharmacology, pathology, genetics, neuroscience, infectious diseases, molecular cardiology, and molecular surgery.

Oncology Reports

Oncology Reports

Oncology Reports is an international journal devoted to fundamental and applied research in Oncology.

Experimental and Therapeutic Medicine

Experimental and Therapeutic Medicine

Experimental and Therapeutic Medicine is an international journal devoted to laboratory and clinical medicine.

Oncology Letters

Oncology Letters

Oncology Letters is an international journal devoted to Experimental and Clinical Oncology.

Biomedical Reports

Biomedical Reports

Explores a wide range of biological and medical fields, including pharmacology, genetics, microbiology, neuroscience, and molecular cardiology.

Molecular and Clinical Oncology

Molecular and Clinical Oncology

International journal addressing all aspects of oncology research, from tumorigenesis and oncogenes to chemotherapy and metastasis.

World Academy of Sciences Journal

World Academy of Sciences Journal

Multidisciplinary open-access journal spanning biochemistry, genetics, neuroscience, environmental health, and synthetic biology.

International Journal of Functional Nutrition

International Journal of Functional Nutrition

Open-access journal combining biochemistry, pharmacology, immunology, and genetics to advance health through functional nutrition.

International Journal of Epigenetics

International Journal of Epigenetics

Publishes open-access research on using epigenetics to advance understanding and treatment of human disease.

Medicine International

Medicine International

An International Open Access Journal Devoted to General Medicine.

Journal Cover
December 2013 Volume 30 Issue 6

Full Size Image

Sign up for eToc alerts
Recommend to Library

  • Article
  • Citations
    • Cite This Article
    • Download Citation
    • Create Citation Alert
    • Remove Citation Alert
    • Cited By
  • Similar Articles
    • Related Articles (in Spandidos Publications)
    • Similar Articles (Google Scholar)
    • Similar Articles (PubMed)
  • Download PDF
  • Download XML
  • View XML
Article

Epigallocatechin-3-gallate and trichostatin A synergistically inhibit human lymphoma cell proliferation through epigenetic modification of p16INK4a

  • Authors:
    • Dan-Sen Wu
    • Jian-Zhen Shen
    • Ai-Fang Yu
    • Hai-Ying Fu
    • Hua-Rong Zhou
    • Song-Fei Shen
  • View Affiliations / Copyright

    Affiliations: Department of Hematology, Union Hospital of Fujian Medical University, Fujian Institute of Hematology, Fuzhou, Fujian 35001, P.R. China
  • Pages: 2969-2975
    |
    Published online on: September 19, 2013
       https://doi.org/10.3892/or.2013.2734
  • Expand metrics +
Metrics: Total Views: 0 (Spandidos Publications: | PMC Statistics: )
Metrics: Total PDF Downloads: 0 (Spandidos Publications: | PMC Statistics: )
Cited By (CrossRef): 0 citations Loading Articles...

This article is mentioned in:



Abstract

DNA methylation and histone deacetylation play important roles in the occurrence and development of cancers by inactivating the expression of tumor suppressors, including p16INK4a, a cyclin-dependent kinase inhibitor. The present study investigated the effect of epigallocatechin‑3-gallate (EGCG) alone or in combination with trichostatin A (TSA) on p16INK4a gene expression and growth in human malignant lymphoma CA46 cells. CA46 cell viability and cell cycle were analyzed; methylation of the p16INK4a gene was assessed by nested methylation-specific PCR (n-MSP). p16INK4a mRNA and protein expression was determined by real-time quantitative PCR and western blot analyses, respectively. Both EGCG and TSA alone inhibited CA46 cell proliferation; the combined treatment (6 µg/ml EGCG and 15 ng/ml TSA) significantly reduced CA46 cell proliferation from 24 to 96 h (all P<0.001). Cells treated with 24 µg/ml EGCG or the combination treatment (6 µg/ml EGCG and 15 ng/ml TSA) had lower proliferative indices when compared to the other groups. Co-treatment with EGCG and TSA decreased p16INK4a gene methylation, which coincided with increased p16INK4a mRNA and protein expression. Thus, EGCG and TSA synergistically reactivate p16INK4a gene expression in part through reducing promoter methylation, which may decrease CA46 cell proliferation.

Introduction

Cell cycle progression is regulated by a series of cyclin-dependent kinases (CDKs) and cyclin-dependent kinase inhibitors (CDKIs). p16INK4a, a member of the INK4 family of CDKIs and a tumor suppressor, inhibits CDK4, maintaining the hyperphosphorylation of retinoblastoma (Rb) that suppresses cell cycle progression (1). The p16-cyclin D1-CDK4-Rb pathway regulates cell cycle transition from the G1 to the S phase; point mutations and/or epigenetic modifications in this pathway are observed in almost all human cancers (2,3). In addition to regulating the CDK4-Rb pathway, p16INK4a decreases eukaryotic elongation factor (eEF) 1A2 expression, reducing cancer cell proliferation (4). It also induces cellular senescence in a cooperative manner with p21Waf1/Cip1, which was confirmed in double-knockout mice that were more susceptible to skin tumor formation (5). Moreover, enforced expression of p16INK4a in cisplatin-resistant non-small cell lung cancer cells increased their sensitivity to low cisplatin concentrations (6). Thus, treatments that increase p16INK4a expression may be beneficial in reducing cancer cell growth.

Epigenetic modifications, such as the methylation of CpG islands within gene promoters and histone deacetylation, can inactivate tumor-suppressor genes, including p16INK4a. Specifically, epigenetic regulation of p16INK4a expression through DNA methylation and/or histone deacetylation has been observed in many types of human cancers (2). Methylation of p16INK4a may be an early event in carcinogenesis (7). Furthermore, the detection of p16INK4a hypermethylation at higher concentrations in the plasma of breast cancer patients than in healthy control patients suggests that it may be a suitable tool for cancer screening, and its prognostic value has been suggested for breast and prostate cancer patients (7,8).

Epigallocatechin-3-gallate (EGCG), a green tea-derived polyphenol, was found to reduce DNA methylation of the p16INK4a promoter, reactivating its expression in the human pancreatic carcinoma cell line, PANC-1 and in human skin cancer cells (9,10). In addition, trichostatin A (TSA), a histone deacetylase (HDAC) inhibitor, elevated histone deacetylation of the HBP1 region, thereby inducing p16INK4a expression and subsequent cell apoptosis and differentiation (11). Thus, DNA methyltransferases (DNMTs) and HDACs may represent important therapeutic targets for the design of antitumor drugs (12,13).

The present study sought to prove the hypothesis that EGCG and TSA may synergistically enhance p16INK4a expression via epigenetic modification. After treatment with EGCG and TSA alone or in combination, cell proliferation, cell cycle progression, promoter methylation, and p16INK4a expression were examined in human Burkitt lymphoma CA46 cells.

Materials and methods

Reagent preparation and cell culture

EGCG (Sigma, St. Louis, MO, USA) was diluted to 10 mg/ml with phosphate-buffered saline (PBS) (pH 7.4). TSA (Sigma) was diluted to 2 mg/ml with dimethyl sulfoxide (DMSO). Both were stored at −20°C until further use. The CA46 human Burkitt lymphoma cell line (CRL-1648™, ATCC, Atlanta, GA, USA) was maintained in RPMI-1640 complete medium (Gibco, Carlsbad, CA, USA) containing 10% fetal bovine serum (FBS) (Sijiqing, Zhejiang, China) at 37°C with 5% CO2.

Cell proliferation analysis

Cell proliferation was assessed with the MTT assay (Sigma) following the manufacturer’s instructions. Cells (4×103/well) were seeded onto 96-well plates in 90 μl of growth medium containing the indicated treatment. On days 1, 2, 3 and 4, 10 μl of MTT solution was added. After 2–3 h at 37°C, optical density (OD) was measured at 450 nm, and the inhibition rate was determined as follows: [1 − (ODexperiment − ODblank)/(ODnegative − ODblank)] × 100%. This experiment was performed three times.

Cell cycle analysis

CA46 cells (1×106/well) were cultured with the indicated treatment for 48 h after which the cells were collected and washed twice with PBS. After fixing with 70% ethanol at 4°C overnight, the cells were stained with 40 μg/ml propidium iodide (PI; Sigma). Flow cytometry was performed with a FACSCalibur flow cytometer (Becton-Dickinson, Franklin Lakes, NJ, USA). WinList v6.0 software (Topsham, ME, USA) was used to set the gate, and data were analyzed with ModFit LT V3.0 (Invitrogen). The proliferative index was determined as follows, where the G1, S, G2, and M values represent the proportion of cells in the corresponding phase: (S + G2/M)/(GO/G1 + S + G2/M) ×100%. This experiment was performed three times.

Nested methylation-sensitive PCR (n-MSP)

Genomic DNA was isolated from 2×106 CA46 cells using the traditional chloroform extraction method followed by bisulfite modification using the EpiTect Bisulfite kit (Qiagen, Gaithersburg, MD, USA) following the manufacturer’s instructions and was stored at −20°C. n-MSP was performed with a two-stage nested approach as previously described by Palmisano et al(14) using the 2720 Thermal Cycler (Applied Biosystems, Foster City, CA, USA). Briefly, PCR amplification of a sequence of the p16 gene that was 280 bp in length and included a promoter region rich in CpG was undertaken using primers specific for bisulfite modification (primers for the first stage; Table I) and the following PCR conditions: one cycle at 95°C for 10 min; 40 cycles at 95°C for 30 sec, 60°C for 30 sec, 72°C for 30 sec; and one cycle at 72°C for 10 min. All primers were synthesized by Invitrogen. After the products were diluted 30-fold, 2 μl was used for the second stage PCR using primers specific for methylated and unmethylated templates (Table I). The PCR conditions were as follows: 40 cycles of 95°C for 30 sec, 60°C for 30 sec and 72°C for 30 sec and a final extension at 72°C for 10 min. The final products were subjected to gel electrophoresis and sequencing. Sensitivity for detecting methylated alleles was determined using DNA from peripheral lymphocytes of healthy subjects which served as a control.

Table I

Primer sequences for n-MSP and real-time PCR.

Table I

Primer sequences for n-MSP and real-time PCR.

Primer sequence (5′-3′)
n-MSP
 p16 for first stageF: GAAGAAAGAGGAGGGGTTGG
R: CTACAAACCCTCTACCCACC
 p16 for methylatedF: TTATTAGAGGGTGGGGCGGATCGC
R: GACCCCGAACCGCGACCGTAA
 p16 for unmethylatedF: TTATTAGAGGGTGGGGTGGATTGT
R: CAACCCCAAACCACAACCATAA
q-PCR
 p16F: GAATTGGAATCAGGTAGC
R: GAGGAGGTCTGTGATTAC
 GAPDHF: GAAGGTGAAGGTCGGAGTCAAC
R: CAGAGTTAAAAGCAGCCCTGGT

[i] F, forward, R, reverse.

Real-time PCR analysis

Total RNA was extracted from cells (2×106) with TRIzol (Invitrogen) according to the manufacturer’s instructions. The Reverse Transcription system (Promega, Madison, WI, USA) was used for the reverse transcription into cDNA, and real-time PCR was undertaken using the SYBR Green Master (ROX, Roche, Germany), primers (Table I) and an ABI 7500 thermal cycler. The conditions were as follows: 40 cycles of 95°C for 1 min, 95°C for 15 sec and 60°C for 30 sec. The melting curve was subsequently performed to ensure primer specificity. Relative gene expression was determined using the 2−ΔΔCt method. Untreated cells served as the control. This experiment was carried out seven times in triplicate.

Western blot analysis

Cells (2×106) were collected after the indicated treatments for 72 h and lysed in RIPA buffer (Thermo Fisher Scientific, Waltham, MA, USA). The protein concentration was determined with a BCA kit (Pierce, Rockford, IL, USA) after which 60 μg was separated by SDS-PAGE and transferred onto nitrocellulose membranes (Bio-Rad Laboratories, Hercules, CA, USA). After the membrane was blocked in non-fat milk at room temperature for 2 h, it was incubated with primary antibodies specific for p16 or β-actin (Abcam®, Hong Kong) at 4°C overnight. After washing, the membrane was incubated with a horseradish peroxidase-conjugated secondary antibody (Pierce) at room temperature for 2 h. Visualization was carried out using the ECL Plus kit (Pierce).

Statistical analysis

The continuous variables are presented as the mean and standard deviation. For comparisons of the experimental groups, one-way ANOVA was used. When a significant difference between groups was apparent, multiple comparisons were performed using the Bonferroni procedure with type-I error adjustment. SAS software package, version 9.2 (SAS Institute, Inc., Cary, NC, USA) was used for the statistical analysis. All statistic assessments were evaluated at a two-sided α level of 0.05.

Results

Effects of EGCC and TSA on CA46 cell growth

As shown in Fig. 1, both EGCG and TSA inhibited CA46 cell proliferation after 48 h. Increasing EGCG concentrations did not further inhibit CA46 cell growth when compared to the growth of cells treated with 6 μg/ml EGCG (Fig. 1A), while significant inhibition was observed with 24 and 48 ng/ml TSA at 48 h when compared to the cells treated with 3 ng/ml TSA (both P≤0.001; Fig. 1B). The effects of EGCG and TSA co-treatment on CA46 cell proliferation was assessed using various concentrations of each. Significantly greater growth inhibition was observed with 12 μg/ml EGCG + 30 ng/ml TSA, 6 μg/ml EGCG + 15 ng/ml TSA and 3 μg/ml EGCG + 7.5 ng/ml TSA when compared to cells treated with 1.5 μg/ml EGCG + 3.75 ng/ml TSA (all P<0.001; Fig. 1C).

Figure 1

Effects of EGCC and TSA on CA46 cell growth. CA46 cell proliferation after 48 h was assessed in the presence of increasing concentrations of (A) EGCG and (B) TSA using the MTT assay. Data are presented as cell growth inhibition. (C) CA46 cell growth inhibition after co-administration of EGCG and TSA at the indicated concentrations for 48 h. Combination treatment consisting of EGCG at 6 μg/ml and TSA at 15 ng/ml was selected for the subsequent experiments. (D) CA46 cell growth over various time periods following incubation with the indicated treatments. Data represent the means ± SD of three independent experiments. *Indicates a significant difference compared with the group treated with the lowest concentration; P<0.001.

Analysis of the effects of EGCG and TSA alone or in combination on CA46 proliferation over time was also assessed (Fig. 1D). From 24 to 96 h, CA46 cell survival was significantly higher in the untreated group when compared to cell survival in all of the treatment groups (all P<0.001). Furthermore, significantly reduced CA46 cell growth was observed in the combined treatment group (6 μg/ml EGCG and 15 ng/ml TSA) at 24 h and the effect continued until the end of the study (all P<0.001; Fig. 1D).

Effects of EGCG and TSA on CA46 cell cycle progression

Flow cytometry was performed to observe the effects of EGCG and TSA alone and in combination on cell cycle progression. With the exception of CA46 cells treated with 6 μg/ml EGCG, the proportion of cells in the G0/G1 phase was significantly higher in the treatment groups when compared to the proportion of cells in the control group (all P≤0.002; Fig. 2A). Among the groups tested, the cells treated with 24 μg/ml EGCG and the combined treatment had the greatest proportion of cells in the G0/G1 phase. In contrast, with the exception of CA46 cells treated with 6 μg/ml EGCG, the proportion of cells in the S phase was significantly lower in the treatment groups when compared to the proportion of cells in the control group (all P<0.001; Fig. 2A). Finally, the proportion of cells in the G2/M phase was significantly higher in the combined treatment group when compared to this proportion in the control group (P≤0.002; Fig. 2A). Subsequent analysis of the proliferative index revealed that the cells treated with 12 μg/ml EGCG, 24 μg/ml EGCG, 30 ng/ml TSA or the combination treatment had lower proliferative indices than the control group (Fig. 2B).

Figure 2

Effects of EGCG and TSA on CA46 cell cycle progression. (A) The cell cycle phases and (B) proliferative indices of CA46 cells were determined after treatment with EGCG and TSA for 48 h using flow cytometry. Combination treatment consisted of 6 μg/ml EGCG and 15 ng/ml TSA. Data represent the mean ± SD of three independent experiments. *Indicates a significant difference compared with the untreated control group.

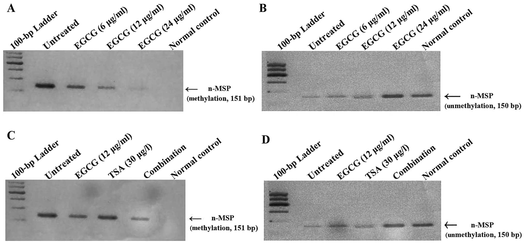
Effects of EGCG and TSA on the methylation of the p16INK4a gene in CA46 cells

As shown in Fig. 3A, n-MSP analysis revealed a 151-bp band, corresponding to a methylated product, in the untreated controls, which decreased with increasing concentrations of EGCG. A corresponding increase in the 150-bp unmethylated product was observed with EGCG treatment at increasing concentrations (Fig. 3B). Whereas TSA did not dramatically alter the methylation status of the p16INK4a gene, the combination treatment (6 μg/ml EGCG and 15 ng/ml TSA) decreased p16INK4a methylation and concurrently increased the unmethylated status of the p16INK4a gene to a greater degree than the untreated control (Fig. 3C and D).

Figure 3

Effects of EGCG and TSA on the methylation of the p16INK4a gene in CA46 cells. n-MSP was performed using (A and C) methylated- and (B and D) unmethylated-specific primers after CA46 cells were treated with the indicated concentrations of EGCG and TSA for 48 h. Combination treatment consisted of 6 μg/ml EGCG and 15 ng/ml TSA. Normal controls consisted of DNA from peripheral lymphocytes of healthy subjects. Data are representative of three independent experiments.

Effects of EGCG and TSA on p16INK4a expression

The effects of EGCG and TSA on p16INK4a mRNA and protein expression were determined by RT-PCR and western blot analyses, respectively. As shown in Fig. 4A, p16INK4a mRNA expression significantly increased with 24 μg/ml EGCG, 30 ng/ml TSA, and the combined treatment when compared to p16INK4a mRNA expression in the control group (all P≤0.003). Notably, p16INK4a mRNA expression in the combined treatment group was significantly higher than that of the other groups (all P<0.001; Fig. 4A). Similar results were observed for p16 protein expression. Both EGCG and TSA increased p16 protein expression in a dose-dependent manner (Fig. 4B and C). Furthermore, a combination of EGCG and TSA increased p16 expression to a greater extent than that observed with EGCG treatment alone (Fig. 4B).

Figure 4

Effects of EGCG and TSA on p16INK4a mRNA and protein expression. (A) After CA46 cells were treated with the indicated concentrations of EGCG and TSA for 48 h, p16INK4a mRNA expression was determined using RT-PCR analysis. Data represent the mean ± SD of seven independent experiments. *Indicates a significant difference compared with the control group; †indicates a significant difference compared with the combined treatment (6 μg/ml EGCG and 15 ng/ml TSA) group. (B and C) After CA46 cells were treated with the indicated concentrations of EGCG and TSA for 72 h, p16INK4a protein expression was determined using western blot analysis. Data are representative of three independent experiments.

Discussion

Methylation of the p16INK4a promoter and histone deacetylation have been associated with the occurrence and development of many types of cancers (2,15–18). Abnormal CpG methylation of the tumor-suppressor gene, p16INK4a, may significantly inhibit its expression. In the present study, co-treatment of CA46 cells with EGCG and TSA reduced p16INK4a gene methylation, reactivated p16INK4a expression and reduced cell proliferation to a greater extent than either agent alone. EGCG and TSA may modulate p16INK4a expression through epigenetic modification, reducing DNA methylation and histone acetylation.

In the present study, co-treatment with EGCG and TSA inhibited the proliferation of CA46 cells, by arresting these cells in the G0–G1 phase, to a greater extent than either agent alone. These results are similar to the additive effects of EGCG and TSA on NF-κB activity and cell invasion as previously reported (19). These effects may be mediated at least in part through increased p16INK4a expression, which inhibits cancer cell proliferation and induces cellular senescence (4,5). Reduced p16INK4a expression may result in sustained binding of CDK4/CDK6 to cyclin D and subsequent phosphorylation of Rb protein, resulting in uncontrolled cell proliferation (2,3). p16INK4a expression may also mediate cell senescence (5,20); it may also inhibit cell growth by directly interacting with the eukaryotic elongation factor 1A2 (eEF1A2), reducing its expression (4). In addition, EGCG-induced apoptosis of Jurkat cells through hydrogen peroxide production has been demonstrated (21). Further analyses may determine whether the anti-proliferative effects of EGCG and TSA combination therapy are mediated by altered p16INK4a expression.

DNMT inhibitors not only interfere with the binding of methylation-sensitive transcription factors to target genes and directly inhibit RNA polymerase activity, but also indirectly alter histone acetylation (10). The methyl-CpG-binding protein (MeCP) can specifically bind to methylated DNA and recruit HDACs, thereby inducing focal histone deacetylation and transcription inhibition (22–24). Furthermore, TSA can reactivate the expression of genes which were reduced as a result of DNA methylation (25,26). In AML1/ETO-positive leukemia cells, the methyltransferase inhibitor, 5-azacytidine, increased the activity of FR901228, a histone deacetylase inhibitor, to elevate histone acetylation (27). In the present study, co-treatment with EGCG and TSA increased DNA demethylation of the p16INK4a gene to a greater extent than EGCG alone, which upregulated its expression. These results are similar to a study with leukemia cell lines (28), in which TSA and 5-aza-2′-deoxycytidine co-treatment reactivated the expression of genes with high methylation and static transcription; however, similar changes were not observed after treatment with TSA alone. Similarly, in the present study, TSA treatment alone did not dramatically alter the methylation status of the p16INK4 gene, suggesting that chromatin is maintained in a closed formation through DNA methylation, thus impairing the effect of TSA. In human skin cancer cells, EGCG not only inhibited DNA methylation but also increased histone acetylation (10). Therefore, further studies are necessary to analyze the levels of histone acetylation following EGCG treatment with and without TSA.

The mechanism underlying the EGCG-induced DNA demethylation is largely unclear. For example, it may inhibit dihydrofolate reductase and subsequent folate metabolism, thereby inhibiting DNA and RNA synthesis and reversing p16INK4a methylation (29,30). Conversely, EGCG may directly inhibit DNMT activity, inducing reactivation of methylation-silenced genes as previously reported (10,31–34). Direct interaction of EGCG to the catalytic site of DNMT 1 has been reported (32), in addition to oxidation of DNMT by EGCG (20). Furthermore, inhibition of HDACs by EGCG has been reported (21). Although the mechanism by which EGCG altered p16INK4a methylation in the present study was not determined, we speculate that it may directly inhibit DNMT activity or indirectly reduce their expression via interfering with folate metabolism. Further studies will be undertaken to test these postulations.

Reactivation of p16INK4a will likely be of clinical benefit to cancer patients as its expression has been associated with longer disease-free survival and better prognosis in human breast cancer (35). In addition, the prognostic value of determining p16INK4a promoter methylation has been reported for breast (7) and prostate cancers (8). Further in vivo studies are needed to evaluate the possible benefits of combining EGCG with a clinically useful HDAC inhibitor, such as suberoylanilide hydroxamic acid.

The present study is limited in that the mechanisms by which EGCG and TSA co-treatment reduced CA46 cell proliferation and reversed p16INK4a promoter methylation were not assessed. Further studies will be conducted to analyze HDAC and DNMT activity and histone acetylation after treatment with TSA and EGCG. In addition, the IC50 values of EGCG and TSA were not determined in the present study and, therefore, will be undertaken in further analyses.

Taken together, the additive effect of EGCG and TSA co-treatment on the increase in the expression of p16INK4a tumor suppressor and the inhibition of CA46 cell proliferation suggests that combination treatment containing HDAC and DNMT inhibitors may be useful in cancer treatment. Further in vivo study will be undertaken to fully elucidate the benefits of epigenetic modifications using EGCG with an HDAC inhibitor, such as suberoylanilide hydroxamic acid.

Acknowledgements

The present study was supported by grants from the Fujian Medical University (09-ZD021), the National Natural Science Foundation of China (81370629 and 81300428), the Natural Science Foundation of Fujian Province (2011J01179), the Fujian Provincial Health Bureau Youth Research Projects (2010-1-12), and National Clinical Key Specialty Construction Project.

References

1 

Li G, Ji Y, Liu C, Li J and Zhou Y: Reduced levels of p15INK4b, p16INK4a, p21cip1 and p27kip1 in pancreatic carcinoma. Mol Med Rep. 5:1106–1110. 2012.PubMed/NCBI

2 

Herman JG, Merlo A, Mao L, et al: Inactivation of the CDKN2/p16/MTS1 gene is frequently associated with aberrant DNA methylation in all common human cancers. Cancer Res. 55:4525–4530. 1995.

3 

Sherr CJ: Cancer cell cycles. Science. 274:1672–1677. 1996. View Article : Google Scholar : PubMed/NCBI

4 

Lee MH, Choi BY, Cho YY, et al: Tumor suppressor p16INK4a inhibits cancer cell growth by down-regulating eEF1A2 through a direct interaction. J Cell Sci. 126:1744–1752. 2013.PubMed/NCBI

5 

Takeuchi S, Takahashi A, Motoi N, et al: Intrinsic cooperation between p16INK4a and p21Waf1/Cip1 in the onset of cellular senescence and tumor suppression in vivo. Cancer Res. 70:9381–9390. 2010.

6 

Fang K, Chiu CC, Li CH, Chang YT and Hwang HT: Cisplatin-induced senescence and growth inhibition in human non-small cell lung cancer cells with ectopic transfer of p16INK4a. Oncol Res. 16:479–488. 2007. View Article : Google Scholar : PubMed/NCBI

7 

Lee JJ, Ko E, Cho J, et al: Methylation and immunoexpression of p16INK4a tumor suppressor gene in primary breast cancer tissue and their quantitative p16INK4a hypermethylation in plasma by real-time PCR. Korean J Pathol. 46:554–561. 2012.PubMed/NCBI

8 

Ameri A, Alidoosti A, Hosseini SY, et al: Prognostic value of promoter hypermethylation of retinoic acid receptor beta (RARB) and CDKN2 (p16/MTS1) in prostate cancer. Chin J Cancer Res. 23:306–311. 2011.PubMed/NCBI

9 

Zhu Z, Wang Y, Liu Z, Wang F and Zhao Q: Inhibitory effects of epigallocatechin-3-gallate on cell proliferation and the expression of HIF-1α and P-gp in the human pancreatic carcinoma cell line PANC-1. Oncol Rep. 27:1567–1572. 2012.PubMed/NCBI

10 

Nandakumar V, Vaid M and Katiyar SK: (-)-Epigallocatechin-3-gallate reactivates silenced tumor suppressor genes, Cip1/p21 and p16INK4a, by reducing DNA methylation and increasing histones acetylation in human skin cancer cells. Carcinogenesis. 32:537–544. 2011. View Article : Google Scholar : PubMed/NCBI

11 

Wang W, Pan K, Chen Y, Huang C and Zhang X: The acetylation of transcription factor HBP1 by p300/CBP enhances p16INK4A expression. Nucleic Acids Res. 40:981–995. 2012. View Article : Google Scholar : PubMed/NCBI

12 

Zanders ED: Overview of chemical genomics and proteomics. Methods Mol Biol. 800:3–10. 2012. View Article : Google Scholar

13 

Sandoval J and Esteller M: Cancer epigenomics: beyond genomics. Curr Opin Genet Dev. 22:50–55. 2012. View Article : Google Scholar : PubMed/NCBI

14 

Palmisano WA, Divine KK, Saccomanno G, et al: Predicting lung cancer by detecting aberrant promoter methylation in sputum. Cancer Res. 60:5954–5958. 2000.PubMed/NCBI

15 

Choung HK, Kim YA, Lee MJ, Kim N and Khwarg SI: Multigene methylation analysis of ocular adnexal MALT lymphoma and their relationship to Chlamydophila psittaci infection and clinical characteristics in South Korea. Invest Ophthalmol Vis Sci. 53:1928–1935. 2012. View Article : Google Scholar : PubMed/NCBI

16 

Zainuddin N, Kanduri M, Berglund M, et al: Quantitative evaluation of p16INK4a promoter methylation using pyrosequencing in de novo diffuse large B-cell lymphoma. Leukemia Res. 35:438–443. 2011.

17 

Sato H, Oka T, Shinnou Y, et al: Multi-step aberrant CpG island hyper-methylation is associated with the progression of adult T-cell leukemia/lymphoma. Am J Pathol. 176:402–415. 2010. View Article : Google Scholar : PubMed/NCBI

18 

Kondo T, Oka T, Sato H, et al: Accumulation of aberrant CpG hypermethylation by Helicobacter pylori infection promotes development and progression of gastric MALT lymphoma. Int J Oncol. 35:547–557. 2009.PubMed/NCBI

19 

Kim SO and Kim MR: (-)-Epigallocatechin 3-gallate inhibits invasion by inducing the expression of Raf kinase inhibitor protein in AsPC 1 human pancreatic adenocarcinoma cells through the modulation of histone deacetylase activity. Int J Oncol. 42:349–358. 2013.

20 

Rajarajacholan UK, Thalappilly S and Riabowol K: The ING1a tumor suppressor regulates endocytosis to induce cellular senescence via the Rb-E2F pathway. PLoS Biol. 11:e10015022013. View Article : Google Scholar : PubMed/NCBI

21 

Nakagawa H, Hasumi K, Woo JT, Nagai K and Wachi M: Generation of hydrogen peroxide primarily contributes to the induction of Fe(II)-dependent apoptosis in Jurkat cells by (-)-epigallocatechin gallate. Carcinogenesis. 25:1567–1574. 2004. View Article : Google Scholar : PubMed/NCBI

22 

Satoh A, Toyota M, Itoh F, et al: DNA methylation and histone deacetylation associated with silencing DAP kinase gene expression in colorectal and gastric cancers. Br J Cancer. 86:1817–1823. 2002. View Article : Google Scholar : PubMed/NCBI

23 

Steele N, Finn P, Brown R and Plumb JA: Combined inhibition of DNA methylation and histone acetylation enhances gene re-expression and drug sensitivity in vivo. Br J Cancer. 100:758–763. 2009. View Article : Google Scholar : PubMed/NCBI

24 

Dannenberg LO and Edenberg HJ: Epigenetics of gene expression in human hepatoma cells: expression profiling the response to inhibition of DNA methylation and histone deacetylation. BMC Genomics. 7:1812006. View Article : Google Scholar : PubMed/NCBI

25 

Oh HJ, Lee TH, Lee JH and Lee BC: Trichostatin A improves preimplantation development of bovine cloned embryos and alters expression of epigenetic and pluripotency genes in cloned blastocysts. J Vet Med Sci. 74:1409–1415. 2012. View Article : Google Scholar

26 

Wu X, Li Y, Li GP, et al: Trichostatin A improved epigenetic modifications of transfected cells but did not improve subsequent cloned embryo development. Anim Biotechnol. 19:211–224. 2008. View Article : Google Scholar

27 

Klisovic MI, Maghraby EA, Parthun MR, et al: Depsipeptide (FR 901228) promotes histone acetylation, gene transcription, apoptosis and its activity is enhanced by DNA methyltransferase inhibitors in AML1/ETO-positive leukemic cells. Leukemia. 17:350–358. 2003. View Article : Google Scholar : PubMed/NCBI

28 

Shaker S, Bernstein M, Momparler LF and Momparler RL: Preclinical evaluation of antineoplastic activity of inhibitors of DNA methylation (5-aza-2′-deoxycytidine) and histone deacetylation (trichostatin A, depsipeptide) in combination against myeloid leukemic cells. Leuk Res. 27:437–444. 2003.

29 

Beltz LA, Bayer DK, Moss AL and Simet IM: Mechanisms of cancer prevention by green and black tea polyphenols. Anticancer Agents Med Chem. 6:389–406. 2006. View Article : Google Scholar : PubMed/NCBI

30 

Navarro-Martínez MD, García-Cánovas F and Rodríguez-López JN: Tea polyphenol epigallocatechin-3-gallate inhibits ergosterol synthesis by disturbing folic acid metabolism in Candida albicans. J Antimicrob Chemother. 57:1083–1092. 2006.PubMed/NCBI

31 

Fang M, Chen D and Yang CS: Dietary polyphenols may affect DNA methylation. J Nutr. 137:223S–228S. 2007.PubMed/NCBI

32 

Fang MZ, Wang Y, Ai N, et al: Tea polyphenol (-)-epigallo-catechin-3-gallate inhibits DNA methyltransferase and reactivates methylation-silenced genes in cancer cell lines. Cancer Res. 63:7563–7570. 2003.PubMed/NCBI

33 

Li Y and Tollefsbol TO: Impact on DNA methylation in cancer prevention and treatment by bioactive dietary components. Curr Med Chem. 17:2141–2151. 2010. View Article : Google Scholar : PubMed/NCBI

34 

Lee WJ, Shim JY and Zhu BT: Mechanisms for the inhibition of DNA methyltransferases by tea catechins and bioflavonoids. Mol Pharmacol. 68:1018–1030. 2005. View Article : Google Scholar : PubMed/NCBI

35 

Peurala E, Koivunen P, Haapasaari KM, Bloigu R and Jukkola-Vuorinen A: The prognostic significance and value of cyclin D1, CDK4 and p16 in human breast cancer. Breast Cancer Res. 15:R52013. View Article : Google Scholar : PubMed/NCBI

Related Articles

  • Abstract
  • View
  • Download
  • Twitter
Copy and paste a formatted citation
Spandidos Publications style
Wu D, Shen J, Yu A, Fu H, Zhou H and Shen S: Epigallocatechin-3-gallate and trichostatin A synergistically inhibit human lymphoma cell proliferation through epigenetic modification of p16INK4a. Oncol Rep 30: 2969-2975, 2013.
APA
Wu, D., Shen, J., Yu, A., Fu, H., Zhou, H., & Shen, S. (2013). Epigallocatechin-3-gallate and trichostatin A synergistically inhibit human lymphoma cell proliferation through epigenetic modification of p16INK4a. Oncology Reports, 30, 2969-2975. https://doi.org/10.3892/or.2013.2734
MLA
Wu, D., Shen, J., Yu, A., Fu, H., Zhou, H., Shen, S."Epigallocatechin-3-gallate and trichostatin A synergistically inhibit human lymphoma cell proliferation through epigenetic modification of p16INK4a". Oncology Reports 30.6 (2013): 2969-2975.
Chicago
Wu, D., Shen, J., Yu, A., Fu, H., Zhou, H., Shen, S."Epigallocatechin-3-gallate and trichostatin A synergistically inhibit human lymphoma cell proliferation through epigenetic modification of p16INK4a". Oncology Reports 30, no. 6 (2013): 2969-2975. https://doi.org/10.3892/or.2013.2734
Copy and paste a formatted citation
x
Spandidos Publications style
Wu D, Shen J, Yu A, Fu H, Zhou H and Shen S: Epigallocatechin-3-gallate and trichostatin A synergistically inhibit human lymphoma cell proliferation through epigenetic modification of p16INK4a. Oncol Rep 30: 2969-2975, 2013.
APA
Wu, D., Shen, J., Yu, A., Fu, H., Zhou, H., & Shen, S. (2013). Epigallocatechin-3-gallate and trichostatin A synergistically inhibit human lymphoma cell proliferation through epigenetic modification of p16INK4a. Oncology Reports, 30, 2969-2975. https://doi.org/10.3892/or.2013.2734
MLA
Wu, D., Shen, J., Yu, A., Fu, H., Zhou, H., Shen, S."Epigallocatechin-3-gallate and trichostatin A synergistically inhibit human lymphoma cell proliferation through epigenetic modification of p16INK4a". Oncology Reports 30.6 (2013): 2969-2975.
Chicago
Wu, D., Shen, J., Yu, A., Fu, H., Zhou, H., Shen, S."Epigallocatechin-3-gallate and trichostatin A synergistically inhibit human lymphoma cell proliferation through epigenetic modification of p16INK4a". Oncology Reports 30, no. 6 (2013): 2969-2975. https://doi.org/10.3892/or.2013.2734
Follow us
  • Twitter
  • LinkedIn
  • Facebook
About
  • Spandidos Publications
  • Careers
  • Cookie Policy
  • Privacy Policy
How can we help?
  • Help
  • Live Chat
  • Contact
  • Email to our Support Team