Spandidos Publications Logo
  • About
    • About Spandidos
    • Aims and Scopes
    • Abstracting and Indexing
    • Editorial Policies
    • Reprints and Permissions
    • Job Opportunities
    • Terms and Conditions
    • Contact
  • Journals
    • All Journals
    • Oncology Letters
      • Oncology Letters
      • Information for Authors
      • Editorial Policies
      • Editorial Board
      • Aims and Scope
      • Abstracting and Indexing
      • Bibliographic Information
      • Archive
    • International Journal of Oncology
      • International Journal of Oncology
      • Information for Authors
      • Editorial Policies
      • Editorial Board
      • Aims and Scope
      • Abstracting and Indexing
      • Bibliographic Information
      • Archive
    • Molecular and Clinical Oncology
      • Molecular and Clinical Oncology
      • Information for Authors
      • Editorial Policies
      • Editorial Board
      • Aims and Scope
      • Abstracting and Indexing
      • Bibliographic Information
      • Archive
    • Experimental and Therapeutic Medicine
      • Experimental and Therapeutic Medicine
      • Information for Authors
      • Editorial Policies
      • Editorial Board
      • Aims and Scope
      • Abstracting and Indexing
      • Bibliographic Information
      • Archive
    • International Journal of Molecular Medicine
      • International Journal of Molecular Medicine
      • Information for Authors
      • Editorial Policies
      • Editorial Board
      • Aims and Scope
      • Abstracting and Indexing
      • Bibliographic Information
      • Archive
    • Biomedical Reports
      • Biomedical Reports
      • Information for Authors
      • Editorial Policies
      • Editorial Board
      • Aims and Scope
      • Abstracting and Indexing
      • Bibliographic Information
      • Archive
    • Oncology Reports
      • Oncology Reports
      • Information for Authors
      • Editorial Policies
      • Editorial Board
      • Aims and Scope
      • Abstracting and Indexing
      • Bibliographic Information
      • Archive
    • Molecular Medicine Reports
      • Molecular Medicine Reports
      • Information for Authors
      • Editorial Policies
      • Editorial Board
      • Aims and Scope
      • Abstracting and Indexing
      • Bibliographic Information
      • Archive
    • World Academy of Sciences Journal
      • World Academy of Sciences Journal
      • Information for Authors
      • Editorial Policies
      • Editorial Board
      • Aims and Scope
      • Abstracting and Indexing
      • Bibliographic Information
      • Archive
    • International Journal of Functional Nutrition
      • International Journal of Functional Nutrition
      • Information for Authors
      • Editorial Policies
      • Editorial Board
      • Aims and Scope
      • Abstracting and Indexing
      • Bibliographic Information
      • Archive
    • International Journal of Epigenetics
      • International Journal of Epigenetics
      • Information for Authors
      • Editorial Policies
      • Editorial Board
      • Aims and Scope
      • Abstracting and Indexing
      • Bibliographic Information
      • Archive
    • Medicine International
      • Medicine International
      • Information for Authors
      • Editorial Policies
      • Editorial Board
      • Aims and Scope
      • Abstracting and Indexing
      • Bibliographic Information
      • Archive
  • Articles
  • Information
    • Information for Authors
    • Information for Reviewers
    • Information for Librarians
    • Information for Advertisers
    • Conferences
  • Language Editing
Spandidos Publications Logo
  • About
    • About Spandidos
    • Aims and Scopes
    • Abstracting and Indexing
    • Editorial Policies
    • Reprints and Permissions
    • Job Opportunities
    • Terms and Conditions
    • Contact
  • Journals
    • All Journals
    • Biomedical Reports
      • Information for Authors
      • Editorial Policies
      • Editorial Board
      • Aims and Scope
      • Abstracting and Indexing
      • Bibliographic Information
      • Archive
    • Experimental and Therapeutic Medicine
      • Information for Authors
      • Editorial Policies
      • Editorial Board
      • Aims and Scope
      • Abstracting and Indexing
      • Bibliographic Information
      • Archive
    • International Journal of Epigenetics
      • Information for Authors
      • Editorial Policies
      • Editorial Board
      • Aims and Scope
      • Abstracting and Indexing
      • Bibliographic Information
      • Archive
    • International Journal of Functional Nutrition
      • Information for Authors
      • Editorial Policies
      • Editorial Board
      • Aims and Scope
      • Abstracting and Indexing
      • Bibliographic Information
      • Archive
    • International Journal of Molecular Medicine
      • Information for Authors
      • Editorial Policies
      • Editorial Board
      • Aims and Scope
      • Abstracting and Indexing
      • Bibliographic Information
      • Archive
    • International Journal of Oncology
      • Information for Authors
      • Editorial Policies
      • Editorial Board
      • Aims and Scope
      • Abstracting and Indexing
      • Bibliographic Information
      • Archive
    • Medicine International
      • Information for Authors
      • Editorial Policies
      • Editorial Board
      • Aims and Scope
      • Abstracting and Indexing
      • Bibliographic Information
      • Archive
    • Molecular and Clinical Oncology
      • Information for Authors
      • Editorial Policies
      • Editorial Board
      • Aims and Scope
      • Abstracting and Indexing
      • Bibliographic Information
      • Archive
    • Molecular Medicine Reports
      • Information for Authors
      • Editorial Policies
      • Editorial Board
      • Aims and Scope
      • Abstracting and Indexing
      • Bibliographic Information
      • Archive
    • Oncology Letters
      • Information for Authors
      • Editorial Policies
      • Editorial Board
      • Aims and Scope
      • Abstracting and Indexing
      • Bibliographic Information
      • Archive
    • Oncology Reports
      • Information for Authors
      • Editorial Policies
      • Editorial Board
      • Aims and Scope
      • Abstracting and Indexing
      • Bibliographic Information
      • Archive
    • World Academy of Sciences Journal
      • Information for Authors
      • Editorial Policies
      • Editorial Board
      • Aims and Scope
      • Abstracting and Indexing
      • Bibliographic Information
      • Archive
  • Articles
  • Information
    • For Authors
    • For Reviewers
    • For Librarians
    • For Advertisers
    • Conferences
  • Language Editing
Login Register Submit
  • This site uses cookies
  • You can change your cookie settings at any time by following the instructions in our Cookie Policy. To find out more, you may read our Privacy Policy.

    I agree
Search articles by DOI, keyword, author or affiliation
Search
Advanced Search
presentation
Oncology Reports
Join Editorial Board Propose a Special Issue
Print ISSN: 1021-335X Online ISSN: 1791-2431
Journal Cover
May-2015 Volume 33 Issue 5

Full Size Image

Sign up for eToc alerts
Recommend to Library

Journals

International Journal of Molecular Medicine

International Journal of Molecular Medicine

International Journal of Molecular Medicine is an international journal devoted to molecular mechanisms of human disease.

International Journal of Oncology

International Journal of Oncology

International Journal of Oncology is an international journal devoted to oncology research and cancer treatment.

Molecular Medicine Reports

Molecular Medicine Reports

Covers molecular medicine topics such as pharmacology, pathology, genetics, neuroscience, infectious diseases, molecular cardiology, and molecular surgery.

Oncology Reports

Oncology Reports

Oncology Reports is an international journal devoted to fundamental and applied research in Oncology.

Experimental and Therapeutic Medicine

Experimental and Therapeutic Medicine

Experimental and Therapeutic Medicine is an international journal devoted to laboratory and clinical medicine.

Oncology Letters

Oncology Letters

Oncology Letters is an international journal devoted to Experimental and Clinical Oncology.

Biomedical Reports

Biomedical Reports

Explores a wide range of biological and medical fields, including pharmacology, genetics, microbiology, neuroscience, and molecular cardiology.

Molecular and Clinical Oncology

Molecular and Clinical Oncology

International journal addressing all aspects of oncology research, from tumorigenesis and oncogenes to chemotherapy and metastasis.

World Academy of Sciences Journal

World Academy of Sciences Journal

Multidisciplinary open-access journal spanning biochemistry, genetics, neuroscience, environmental health, and synthetic biology.

International Journal of Functional Nutrition

International Journal of Functional Nutrition

Open-access journal combining biochemistry, pharmacology, immunology, and genetics to advance health through functional nutrition.

International Journal of Epigenetics

International Journal of Epigenetics

Publishes open-access research on using epigenetics to advance understanding and treatment of human disease.

Medicine International

Medicine International

An International Open Access Journal Devoted to General Medicine.

Journal Cover
May-2015 Volume 33 Issue 5

Full Size Image

Sign up for eToc alerts
Recommend to Library

  • Article
  • Citations
    • Cite This Article
    • Download Citation
    • Create Citation Alert
    • Remove Citation Alert
    • Cited By
  • Similar Articles
    • Related Articles (in Spandidos Publications)
    • Similar Articles (Google Scholar)
    • Similar Articles (PubMed)
  • Download PDF
  • Download XML
  • View XML
Article

High level of CFTR expression is associated with tumor aggression and knockdown of CFTR suppresses proliferation of ovarian cancer in vitro and in vivo

  • Authors:
    • Jiao Xu
    • Min Yong
    • Jia Li
    • Xiaojing Dong
    • Tinghe Yu
    • Xiao Fu
    • Lina Hu
  • View Affiliations / Copyright

    Affiliations: Department of Obsterics and Gynecology, The Second Affiliated Hospital of Chongqing Medical University, Chongqing 400010, P.R. China, Department of Pathology, The Second Affiliated Hospital of Chongqing Medical University, Chongqing 400010, P.R. China, Laboratory of Obsterics and Gynecology, The Second Affiliated Hospital of Chongqing Medical University, Chongqing 400010, P.R. China
  • Pages: 2227-2234
    |
    Published online on: March 3, 2015
       https://doi.org/10.3892/or.2015.3829
  • Expand metrics +
Metrics: Total Views: 0 (Spandidos Publications: | PMC Statistics: )
Metrics: Total PDF Downloads: 0 (Spandidos Publications: | PMC Statistics: )
Cited By (CrossRef): 0 citations Loading Articles...

This article is mentioned in:



Abstract

The cystic fibrosis transmembrane conductance regulator (CFTR) belongs to the ATP-binding cassette (ABC) transporter family, members of which are involved in various types of cancer. The relationship between CFTR and ovarian cancer remains to be elucidated. The aim of the present study was to investigate the expression of CFTR in human ovarian cancer tissues and its clinical significance in the progression of ovarian cancer. The role of CFTR in the malignant invasion, migration and proliferation of ovarian cancer in vitro and in vivo was also investigated. Immunohistochemical staining analysis was performed to detect the expression of CFTR in 83 cases of human epithelial ovarian cancer specimens. Moreover, SKOV3 and A2780 stable cell lines containing shRNA gene specific for CFTR were established. Cell proliferation and motility were observed and compared with CFTR-RNAi cells. Tumorigenicity of CFTR-RNAi cells was investigated by tumor xenograft experiments conducted subcutaneously in nude mice. The expresssion of CFTR in ovarian cancer was significantly higher than that in benign ovarian tumor and normal ovaries (P<0.05). In ovarian cancer, CFTR expression was significantly associated with advanced FIGO stage, poor histopathological grade and serum Ca-125 (P<0.05). Furthermore, we observed that CFTR staining was stronger in the serous type as compared to the other types (P<0.05). Compared with the negative control, decreased cell invasion, migration, proliferation, adhesion and colony formation were observed in CFTR-RNAi cells in vitro. In vivo, tumorigenic abilities of CFTR-RNAi cells were significantly repressed compared with that of the control groups. CFTR overexpression may play an important role in the development and progression of ovarian cancer. Additionally, the downregulation of CFTR suppresses aggressive malignant biological behaviors of ovarian cancer cells in vitro and in vivo.

Introduction

Ovarian cancer is the fifth leading cause of mortality in females, with epithelial ovarian cancer being the most common pathological type (1). In developed countries, it is the most lethal gynecologic cancer since >70% of women were diagnosed with advanced stage and cure rates at this stage are <30% (2). Identification of molecular markers or pathways may be useful in determining the potential therapeutic targets or novel therapeutic methods.

The cystic fibrosis transmembrane conductance regulator (CFTR), an ~170 kDa glycosylated protein, is known as a cAMP-dependent chloride (Cl-) anion conducting channel (3). CFTR is found in epithelial cells of human tissues, including the female reproductive tract (4). By controlling ion and protein transport, CFTR is thought to function in most human cells to assist in the maintenance of cell homeostasis (5). CFTR belongs to the ATP-binding cassette (ABC) transporter family, members of which utilize ATPase activity to transport substrates across cell membranes and which are involved in various types of cancer (6). The CFTR gene mutation, the major of which is the deletion of phenylalanine at position 508, may lead to dysfunction at the plasma membrane (7). Such mutations were associated with an increased risk of digestive tract cancers (8), for example, pancreatic cancer (9). However, it has been demonstrated that, CFTR mutation plays a protective role for the risk of prostate cancer (10), malignant melanoma (7) and lung cancer (11).

In the absence of the CFTR gene mutation, CFTR plays a tumor-suppressing role in regulation of prostate cancer development through miR-193b targeting urokinase plasminogen activator (uPA) (12). Another study proposed that CFTR expression was significantly downregulated in breast cancer, which promotes epithelial-to-mesenchymal transition and is associated with poor prognosis (13). CFTR is also known to be involved in modulating signaling pathways in cell inflammation and apoptosis (14,15). Although previous studies suggested a role for CFTR in various types of cancer, the relationship between CFTR and ovarian cancer remains to be determined.

Therefore, in the present study, to identify the potential role of CFTR in the pathogenesis of ovarian cancer, CFTR expression was evaluated in human epithelial ovarian cancer, benign epithelial ovarian tumor and normal ovarian tissues using immunohistochemical staining. The role of CFTR in the malignancy of ovarian cancer was observed in CFTR-RNAi SKOV3 and A2780 cells in vitro and in vivo. The present study demonstrated that CFTR expression of ovarian cancer, which was associated with clinical features, was significantly higher than that in benign ovarian tumor and normal ovaries. CFTR knockdown suppressed the malignant behavior of ovarian cancer cells, including cell invasion, motility and proliferation.

Materials and methods

Patients and specimens

There were 112 paraffin-embedded tissue samples, including 83 epithelial ovarian cancer, 18 benign epithelial tumor and 11 normal ovarian tissues (resected for non-ovarian diseases) that were collected from the Department of Pathology, the Second Affiliated Hospital of Chongqing Medical University between 2010 and 2013. All the ovarian cancer patients underwent surgical exploration and cytoreduction as the initial treatment. The clinicopathological characteristics are presented in Table I. The patients were staged according to the International Federation of Gynecology and obstetrics (FIGO). The tissue blocks were re-evaluated by two senior pathologists for histological type and histopathologic grading. Tissue samples were obtained following informed consent by the patients. The study protocol was approved by the Ethics Committee of the Second Affiliated Hospital of Chongqing Medical University.

Table I

Association of CFTR expression with clinicopathological characteristics in 83 cases of human epithelial ovarian cancer.

Table I

Association of CFTR expression with clinicopathological characteristics in 83 cases of human epithelial ovarian cancer.

CharacteristicsNo. of pts
(n=83)
CFTR expression
P-value
Low no.
(%)
High no.
(%)
Age (years)
 <51.04716 (34)31 (66)0.654
 >51.03614 (39)22 (61)
Serum Ca-125 level (U/ml)
 <351711 (65)6 (35)0.010a
 >356619 (29)47 (71)
FIGO stage
 I/II3118 (58)13 (42)0.002a
 III/IV5212 (23)40 (77)
Histological grade
 11814 (78)4 (22)0.000a
 2299 (31)20 (69)
 3367 (19)29 (81)
Grades 2–3 vs. 1
Ascites (ml)
 <100157 (47)8 (53)0.384
 >1006823 (34)45 (66)
Tumor type
 Serous5412 (22)42 (78)
 Mucinous86 (75)2 (25)0.006a
 Clear cell144 (29)10 (71)0.726
 Endometrioid compared with serous type75 (71)2 (29)0.015a
Tumor size (cm)
 <5132 (15)11 (85)0.121
 >57028 (40)42 (60)
Serum HE4 level (pm)
 <702211 (50)11 (50)
 >706119 (31)42 (69)0.129

a Significant difference. CFTR, cystic fibrosis transmembrane conductance regulator; pts, patients.

Immunohistochemistry

The tissue slides were deparaffinized in xylene and rehydrated through graded ethanol. Antigen retrieval was performed in 10 mmol/l boiling sodium citrate buffer at pH 6.0 for 15 min by microwave irradiation. The slides were then incubated with 3% hydrogen peroxide (H2O2) for 10 min at room temperature. After rinsing, the non-specific binding site was blocked with 10% normal goat serum for 15 min at room temperature. A mouse monoclonal anti-human CFTR antibody (diluted 1:200, ab2784; Abcam, Cambridge, Uk) was applied to slides in a moist chamber at 4°C overnight. After washing with phosphate-buffered saline (PBS), the slides were incubated with biotinylated secondary antibody for 15 min at room temperature (diluted 1:1,000, cat. no. SP-9002; Zhongshan Golden Bridge Inc., China). The slides were treated with ABC reagent for 15 min at room temperature, and stained with 3,3′-diaminobenzidine (DAB), followed by counterstaining with hematoxylin.

Cells with brown staining for the membrane and/or cytoplasm were considered positive. A semi-quantitative scoring system was applied to assess protein level based on intensity (0–3: 0, absence of staining; 1, weakly stained; 2, moderately stained; and 3, strongly stained) and percentage of positive tumor cells (0–3: absence of positive cells; 1, 0.1–33% of cells positive; 2, 33.1–66% of cells positive; 3, >66.1% of cells positive) and generated a score ranging from 0 to 9 when multiplied (16). Low expression was defined as a staining score of 0–4, and high expression was defined as a staining score of 5–9.

Cell lines and culture conditions

The human A2780 and SKOV3 epithelial ovarian cancer cell lines were obtained from the Laboratory of Obsterics and Gynecology, the Second Affiliated Hospital of Chongqing Medical University. The cells were cultured in Dulbecco’s modified Eagle’s medium supplemented with 10% fetal bovine serum and antibiotics (100 U/ml penicillin and 100 μg/ml streptomycin) (all from Invitrogen, Carlsbad, CA, USA). The cells were cultured in an incubator with 5% CO2 at 37°C.

Western blotting

Total proteins were extracted using lysis buffer (Beyotime, Jiangsu, China) consisting of 50 mM Tris (pH 7.4), 1% Triton X-100, 1% sodium deoxycholate, 0.1% SDS and a protease inhibitor mixture supplemented with 1 mM phenylmethanesulfonyl fluoride (PMSF) according to the manufacturer’s instructions. The protein concentration was measured using a BCA protein assay kit (Beyotime). Total proteins (100 μg) of each sample were separated on 8% SDS-PAGE gel by electrophoresis and transferred to polyvinylidene fluoride (PVDF) membranes (Millipore Corporation, Billerica, MA, USA). The membranes were then blocked in 5% skim milk at 37°C for 1 h. Subsequently, the membranes were incubated, respectively, in mouse monoclonal anti-human CFTR antibody (diluted 1:1,000, ab2784) and rabbit monoclonal anti-β-actin antibody (diluted 1:1,000, ab133626) (both from Abcam) at 4°C overnight. After washing with TBST, the membranes were incubated with HRP-conjugated secondary antibodies for 1 h at room temperature. Proteins were visualized with the ECL system (GE Healthcare, Pittsburgh, PA, USA) using the ChemiDoc XRS system (Bio-Rad, Philadelphia, PA, USA).

Gene knockdown

To knockdown CFTR in the ovarian cells, four human CFTR-specific small hairpin RNA (shRNA) expression vectors in pGFP-V-RS plasmid were purchased from OriGene (TG313958; OriGene Technologies, Inc., Rockville, MD, USA). Cells transfected with non-effective shRNA cassette in pGFP-V-RS plasmid were used as a negative control. Vector DNA (1 μg) was transfected into A2780 and SKOV3 cells by PolyJet™ transfection reagent (SignaGen Laboratories, Ijamsville, MD, USA). At two days after transfection, 2.5×106 cells were digested and replanted into five 10-cm dishes in full medium containing puromycin at concentration of 0.9 μg/ml for A2780 and 0.5 μg/ml for SKOV3 cells, and selected for 2–3 weeks. Puromycin-resistant and GFP-positive cell colonies were separated and verified by western blotting. The stably transfected cell lines were then cultured in medium containing 0.5 μg/ml of puromycin for A2780 and 0.25 μg/ml for SKOV3 cells for subsequent studies.

Cell invasion and migration assays

For cell invasion and migration assays, a cell invasion assay kit (8-μm pore size; Cell Biolabs Inc., San Diego, CA, USA) was used according to the manufacturer’s instructions. Approximately 1×105 cells were placed into the Transwell insert with serum-free media. After 24–48 h, the cells on the inner layer of the Transwell insert were wiped away, then inserts were fixed and stained, and photographed with a light microscope under high magnification objective. Each insert was then transferred to an empty well, and extracted with extraction solution for 10 min on an orbital shaker. Extraction solution (100 μl) from each sample was transferred to a 96-well microtiter plate and OD 560 nm was measured using a microplate reader (Thermo Scientific, waltham, MA, USA). The procedure was repeated independently three times with triplicate inserts for each group.

Plate colony formation assay

We seeded 200 cells into 6-well culture plates in triplicate. The cells were collected after 14 days and then stained with Giemsa stain. The colony containing >50 cells was counted under the microscope.

Cell adhesion assay

We pre-coated 96-well plates with 100 μl Matrigel at concentration of 0.04 μg/ml (BD Matrigel, Franklin Lakes, NJ, USA). Prior to cell seeding, the plates were incubated in serum-free medium at 37°C for 30 min for rehydration. Cells (3×104) were seeded in 100 μl growth medium in triplicate and incubated for 1 h. After rinsing, the adherent cells were fixed using 4% formaldehyde for 10 min, and stained by crystal violet. Adherent cell staining was extracted by acetic acid and quantified using a microplate reader (Thermo Scientific) at OD 490 nm.

Cell proliferation assay

For the proliferation assay, 500 cells were seeded in 96-well plates in triplicate and cultured for days 1, 2, 3, 4 and 5. The ST-8 Cell Counting Kit (KeyGen Biotech, Nanjing, China) and a modified 3-(4,5-dimethylthiazol-2-yl)-2,5-diphenyltetrazolium bromide (MTT) assay method, were applied to estimate the proliferation of viable cells. The cells were collected at specific time-points (6, 24, 48, 72, 96 and 120 h) and incubated for an additional 2 h in 10% WST-8 solution at 37°C. Absorbance was measured at 450 nm using a microplate reader (Thermo Scientific). The procedure was repeated independently three times.

Tumor formation in nude mice

To investigate tumorigenicity, 5-week-old athymic female nude mice were provided by the Institution Animal Care Committee at Chongqing Medical University. Approximately 4×106 cells in 100 μl suspension of SKOV3-CFTRi cells (7 implants) with PBS and SKOV3-NC cells (cells transfected with non-effective shRNA cassette) as a control (7 implants) were injected subcutaneously. The tumor size was measured on a weekly basis and monitored over 5 weeks. At the end of the experiment, the mice were euthanized and the xenografts collected for subsequent analysis. The tumor size was calculated as: 0.5234 × [long diameter (short diameter)2]. The experimental procedure was approved by the Institution Animal Care Committee at Chongqing Medical University.

Statistics analysis

Independent Student’s t-test was used to make a comparison of the data between two groups. Relevance analysis between CFTR immunostaining and clinicopathological characteristics was performed by Pearson’s χ2 or Fisher’s exact tests. Statistical analysis was carried out by SPSS 17.0 software (SPSS, Inc., Chicago, IL, USA). P<0.05 (two-sided) was considered to indicate a statistically significant result.

Results

CFTR exhibits a high expression in ovarian cancer and is correlated with clinicopathological characteristics

CFTR staining was predominantly detected in the cell membrane and cytoplasm (Fig. 1A). The expression of CFTR in ovarian cancer specimens was significantly higher than that in benign (P<0.05) and normal ovaries (P<0.05, Fig. 1B). Moreover, in a majority of benign tumors (77.8%) and normal ovaries (90.1%), it was difficult to detect CFTR, which was in contrast to the cancer group (Fig. 1B). Regarding the clinicopathological characteristics, the statistical analysis revealed that the CFTR protein level was well-related to advanced clinical stages (stage III/IV vs. I/II, P<0.05), poor histological grade (grade 2–3 vs. 1, p<0.05), and a higher serum Ca-125 level (P<0.05, Table I). Furthermore, we observed that CFTR staining was stronger in the serous type and clear cell type as compared to the remaining types (P<0.05, Table I).

Figure 1

Expression of CFTR in epithelial ovarian cancer, benign ovarian tumor and normal ovary tissue samples. (A and B) By immunohistochemical staining, CFTR staining was predominantly localized in the cytoplasm and cytomembrane of epithelial ovarian cancer tissues (n=83). By contrast, CFTR expression was undetectable in a majority of benign (n=18) samples and normal ovaries (n=11) (original magnification, ×200). P<0.05. (C) CFTR was expressed in four different histological types of epithelial ovarian cancer samples (original magnification, ×200). CFTR, cystic fibrosis transmembrane conductance regulator.

Silencing of CFTR expression by RNA interference

To examine the role of CFTR in serous ovarian cancer cells, we knocked down CFTR in SKOV3 and A2780 cells. The cells were transfected with CFTR-specific shRNA expression pGFP-V-RS vectors and the stably transfected cells were selected (referred to as CFTRi in Fig. 2A and B). Non-effective shRNA-infected cells were designated as a negative control, referred to as SKOV3-NC and A2780-NC. Western blot results revealed that the CFTR protein level of CFTRi cells was significantly reduced compared with that of its corresponding control cells (Fig. 2C). Thus, SKOV3-CFTRi3 and A2780-CFTRi2 were used in the subsequent experiments.

Figure 2

Human A2780 and SKOV3 epithelial ovarian cancer cell lines were transfected with CFTR-specific shRNA expression pGFP-V-RS vectors and the stably transfected cells were selected. (A) Strong green fluorescence was detected under fluorescence microscopy after 2–3 weeks selection with puromycin at a concentration of 0.9 μg/ml for A2780 and 0.5 μg/ml for SKOV3 cells, respectively (original magnification, ×100). (B) Strong green fluorescence was also detected under fluorescence microscopy after 2 months selection with puromycin at a concentration of 0.5 μg/ml for A2780 and 0.25 μg/ml for SKOV3 cells (original magnification, ×100). (C) The CFTR protein of each puromycin-resistant cell as well as GFP-positive cell colonies and negative control cells was measured by western blot analysis (~170 kDa). β-actin was used as an internal control (~43 kDa). Representative images are shown. CFTR, cystic fibrosis transmembrane conductance regulator.

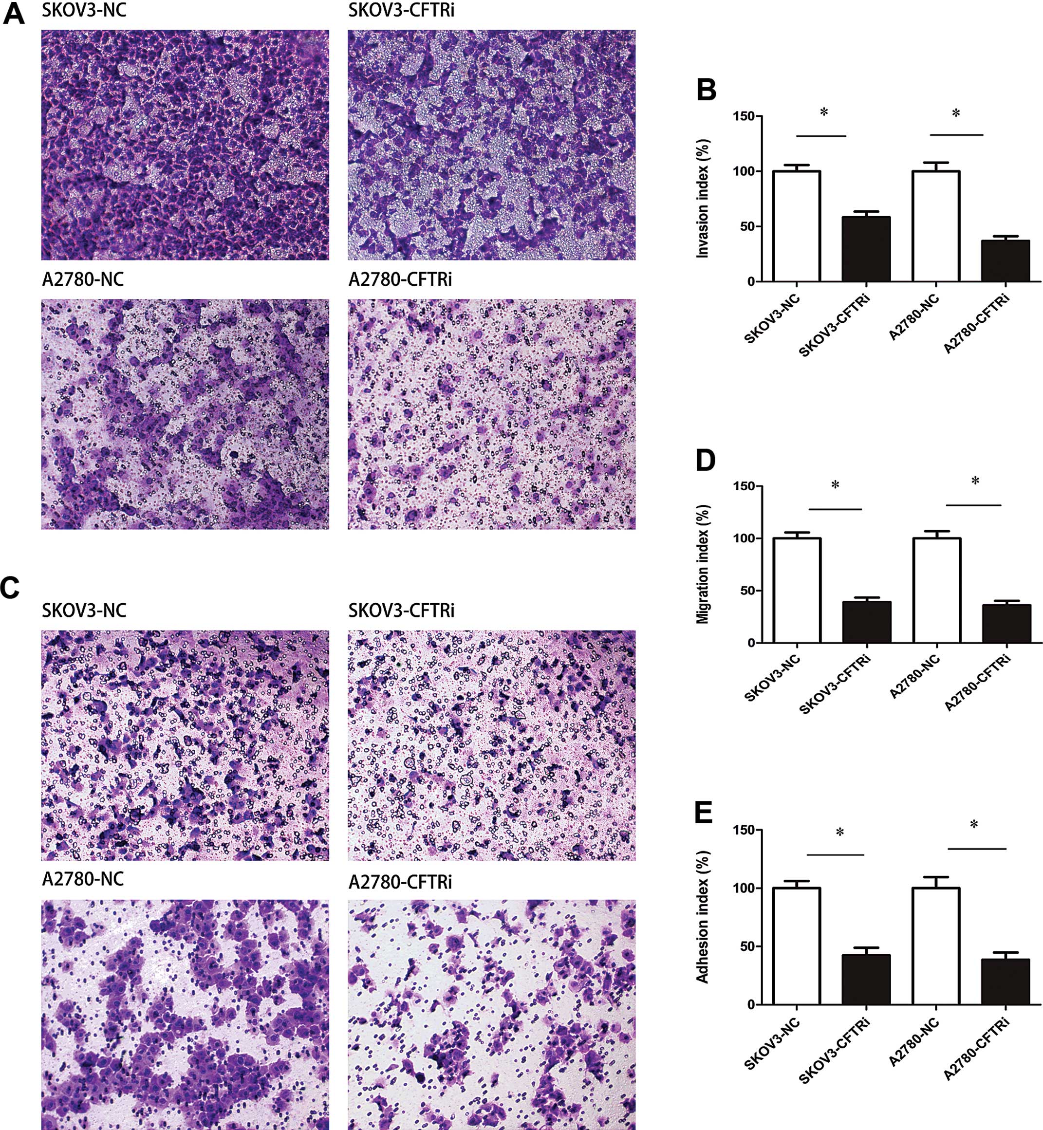
Knockdown of CFTR inhibits cell motility and invasion in vitro

SKOV3-CFTRi3 cells exhibited an impaired migration capacity of 60.89% compared to SKOV3-NC cells (P<0.05) (Fig. 3A and B). Similarly, A2780-CFTRi2 cells had a reduced migration capacity of 63.93% compared to A2780-NC cells (P<0.05). For SKOV3-CFTRi3 and A2780-CFTRi2, an ~41.72 and 63.11% reduction in the number of migratory cells was observed compared with SKOV3-NC and A2780-NC cells (P<0.05 for both, Fig. 3C and D).

Figure 3

Knockdown of CFTR inhibits cell invasion, migration and cell adhesion in vitro. (A and B) Invasion assays showed an impaired capacity compared with the control cells in the invasion assay, P<0.05. (C and D) SKOV3-CFTRi and A2780-CFTRi cells exhibit a marked impaired capacity compared with the control cells in the migration assays, P<0.05. (E) SKOV3-CFTRi and A2780-CFTRi cells exhibit a marked impaired capacity compared with the control cells in the adhesion assays, P<0.05. CFTR, cystic fibrosis transmembrane conductance regulator.

Knockdown of CFTR inhibits cell adhesion in vitro

As shown in Fig. 3E, there was a 42.31 and 38.52% decreased percentage of optical density (OD) value in SKOV3-CFTRi3 and A2780-CFTRi2 cells compared to the control cells (P<0.05 for both).

Knockdown of CFTR inhibits proliferation and colony formation in vitro

The results of the WST-8 assay (Fig. 4C and D) showed that the growth ability of SKOV3-CFTRi3 and A2780-CFTRi2 cells decreased compared with the corresponding control cells. Moreover, CFTR knockdown cells also had a low colony formation ability as the number of colonies of CFTRi cells were decreased when compared with the corresponding control cells (Fig. 4A and B).

Figure 4

Knockdown of CFTR inhibits colony formation and proliferation in vitro. (A and B) Statistical analysis of the colony-formation assay is shown. The number of CFTRi cell colonies was decreased compared with it corresponding control cells; P<0.05. (C and D) As evaluated using MTT assay, SKOV3-CFTRi and A2780-CFTRi cells demonstrated a significant growth-inhibiting effect from the second day compared with the control cells. CFTR, cystic fibrosis transmembrane conductance regulator.

CFTR knockdown inhibits xenograft tumor formation

Cells were subcutaneously injected into the flanks to form xenograft tumors in nude mice. We measured the size of xenograft tumors once a week for a total of five weeks. We observed that the tumor size of the SKOV3-CFTRi3 group was statistically significantly smaller than that of the SKOV3-NC group from the third week until the end of the experiment (Fig. 5A). The size of xenograft tumors of SKOV3-CFTRi3 (183±61 cm3) was significantly smaller than that of the control (713±270 cm3) at the end of experiment (Fig. 5B and C). At the same time, the average tumor weight of SKOV3-CFTRi3 group was lower than that of the control group (Fig. 5D). Notably, these results showed that CFTR knockdown affected the tumor size significantly rather than the incidence of tumor formation, suggesting that CFTR knockdown suppresses tumor progression rather than tumor initiation in vivo.

Figure 5

CFTR knockdown inhibits xenograft tumor formation in vivo. (A and B) Images of mice and tumor samples at the fifth week after SKOV3-CFTRi and SKOV3-NC cell injection. (C) Tumor growth curves of xenografts in nude mice. (D) Tumor weight of group SKOV3-CFTRi and SKOV3-NC, P<0.05. CFTR, cystic fibrosis transmembrane conductance regulator.

Discussion

CFTR is a membrane of the ATP-binding cassette (ABC) transporter family, which is an ancient family of transmembrane proteins. The ABCC subfamily of ABC transporters includes CFTR and the MRPs, which were active drug exporters (6). In this study, we initially investigated the expression and localization of CFTR in ovarian cancer, benign tumors and normal ovaries by immunohistochemical analysis. The results showed that CFTR expression was significantly increased in ovarian cancer compared with the other tissue types. Moreover, we focused on the association between the CFTR and clinicopathological characteristics to determine the potential clinical significance in ovarian cancer. Of those characteristics, the high expression of CFTR was well-associated with poor clinical stage, advanced histological grade and an increased Ca-125 level. These results indicated that the expression of CFTR had a positive correlation with the progression state and malignancy degree of ovarian cancer, suggesting that CFTR is a potential biomarker in progression of ovarian cancer. In subsequent experiments, we investigated the expression of CFTR in metastasis outside the pelvis or retroperitoneal or inguinal node of patients, and measured the conditions of prognosis and survival data of patients to evaluate the prognostic value of CFTR. Notably, we found that CFTR expression was significantly higher in the serous carcinoma and clear cell carcinoma as compared to the remaining carcinomas used in our study. Serous ovarian cancer is the most common histotype and accounts for more than half of epithelial ovarian cancer patients (17). Therefore, we selected the serous ovarian cancer cell lines for further study.

In our experiments, the expression of CFTR in SKOV3 and A2780 cells was knocked down by shRNA-mediated gene silencing. To enhance the efficiency of transfection, we generated and isolated stable transfectants proved important in the investigation of the function of CFTR in malignant behaviors in vivo. It was observed that CFTR-RNAi cells showed decreased cell motility, invasion, adhersion, colony formation, and proliferation, particularly migration and invasion. We have demonstrated the effect of CFTR knockdown on the inhibition of malignant behaviors, indicating that CFTR is a potential therapeutic target to ovarian cancer treatment.

We also investigated the function of CFTR in malignant behaviors in vivo. The results revealed xenograft tumors existing in CFTR expressed larger tumor size and rapid tumor growth. The present study has therefore demonstrated that inhibition of CFTR suppressed xenograft tumor development in vivo.

Accumulating evidence suggests that CFTR plays a key role in the progression and metastasis of cancer. Genetic variations in CFTR may be associated with increased or decreased risk for developing cancers, suggesting that CFTR is a tumor suppressor or promoter, according to the type of tumor (7,9–11), MUC4, an important protein suppressing the progression and metastasis of pancreatic cancer cells, has proven to be downregulated by CFTR (18). In the female reproductive system, it has been reported that the overexpression of CFTR in cervical cancer is concerned with cancer development, aggressive biological behaviors and poor prognosis of patients (19).

Previous studies have showed that CFTR binds to ezrin-radixin-moesin-binding (ERM) phosphoprotein 50 (EBP50), an apical membrane PDZ domain-containing protein. EBP50 is essential in the apical polarization of CFTR in epithelial cells (20) and is known to interact via its C-terminal domain with the ERM-family proteins, which in turn bind to the actin cytoskeleton (21). We hypothesized that the CFTR affects the cell adhersion, invasion and migration abilities due to connecting membrane rafts to the actin cytoskeleton.

However, EBP50 is identified as a specific Cbp-binding partner, and Cbp binds the protein tyrosine kinase Csk (21). The Cbp-Csk complex suppresses the activity of membrane-associated Src-family kinases which play an important role in the regulation of essential cell functions such as growth and receptor signaling (22–24). Therefore, we suggest that the overexpression of CFTR in ovarian cancer progression may be associated with the activation of c-src signaling pathway. Thus, further investigation is needed to identify the mechanisms of CFTR in ovarian cancer development and progression.

In conclusion, to the best of our knowledge, our data have provided clinical and laboratorial evidence for the first time that CFTR expression is well correlated with ovarian cancer progression and aggressive behaviors, indicating CFTR may be a novel tumor marker for ovarian cancer, particularly for serous carcinoma. However, a greater number of cases should be included to make the prospective studies valid. Nevertheless, our result supports the important role of CFTR in ovarian cancer.

Acknowledgments

This study was supported by the National Natural Science Foundation of China (grant no. 81172492), the Key Project of Chongqing Science and Technology Commission (grant no. CSTC 2012JJB10030), and the Key Project of Chongqing Municipal Health Bureau (grant no. 2011-1-056).

References

1 

Siegel R, Naishadham D and Jemal A: Cancer statistics, 2013. CA Cancer J Clin. 63:11–30. 2013. View Article : Google Scholar : PubMed/NCBI

2 

Rauh-Hain JA, Krivak TC, Del Carmen MG and Olawaiye AB: Ovarian cancer screening and early detection in the general population. Rev Obstet Gynecol. 4:15–21. 2011.PubMed/NCBI

3 

Bear CE, Li CH, Kartner N, et al: Purification and functional reconstitution of the cystic fibrosis transmembrane conductance regulator (CFTR). Cell. 68:809–818. 1992. View Article : Google Scholar : PubMed/NCBI

4 

Tizzano EF, Silver MM, Chitayat D, Benichou JC and Buchwald M: Differential cellular expression of cystic fibrosis transmembrane regulator in human reproductive tissues. Clues for the infertility in patients with cystic fibrosis. Am J Pathol. 144:906–914. 1994.PubMed/NCBI

5 

Schwiebert EM, Benos DJ, Egan ME, Stutts MJ and Guggino WB: CFTR is a conductance regulator as well as a chloride channel. Physiol Rev. 79(Suppl 1): S145–S166. 1999.PubMed/NCBI

6 

Higgins CF: ABC transporters: from microorganisms to man. Annu Rev Cell Biol. 8:67–113. 1992. View Article : Google Scholar : PubMed/NCBI

7 

Padua RA, Warren N, Grimshaw D, et al: The cystic fibrosis ΔF508 gene mutation and cancer. Hum Mutat. 10:45–48. 1997. View Article : Google Scholar

8 

Neglia JP, FitzSimmons SC, Maisonneuve P, et al: The risk of cancer among patients with cystic fibrosis. Cystic Fibrosis and Cancer Study Group. N Engl J Med. 332:494–499. 1995. View Article : Google Scholar : PubMed/NCBI

9 

Mcwilliams RR, Petersen GM, Rabe KG, et al: Cystic fibrosis transmembrane conductance regulator (CFTR) gene mutations and risk for pancreatic adenocarcinoma. Cancer. 116:203–209. 2010.

10 

Qiao D, Yi L, Hua L, et al: Cystic fibrosis transmembrane conductance regulator (CFTR) gene 5T allele may protect against prostate cancer: a case-control study in Chinese Han population. J Cyst Fibros. 7:210–214. 2008. View Article : Google Scholar

11 

Li Y, Sun Z, Wu Y, et al: Cystic fibrosis transmembrane conductance regulator gene mutation and lung cancer risk. Lung Cancer. 70:14–21. 2010. View Article : Google Scholar : PubMed/NCBI

12 

Xie C, Jiang XH, Zhang JT, et al: CFTR suppresses tumor progression through miR-193b targeting urokinase plasminogen activator (uPA) in prostate cancer. Oncogene. 32:2282–2291. 2291.e1–2291.e7. 2013. View Article : Google Scholar

13 

Zhang JT, Jiang XH, Xie C, et al: Downregulation of CFTR promotes epithelial-to-mesenchymal transition and is associated with poor prognosis of breast cancer. Biochim Biophys Acta. 1833:2961–2969. 2013. View Article : Google Scholar : PubMed/NCBI

14 

Wu Z, Peng X, Li J, Zhang Y and Hu L: Constitutive activation of nuclear factor κB contributes to cystic fibrosis transmembrane conductance regulator expression and promotes human cervical cancer progression and poor prognosis. Int J Gynecol Cancer. 23:906–915. 2013. View Article : Google Scholar : PubMed/NCBI

15 

Jacquot J, Tabary O, Le Rouzic P and Clement A: Airway epithelial cell inflammatory signalling in cystic fibrosis. Int J Biochem Cell Biol. 40:1703–1715. 2008. View Article : Google Scholar : PubMed/NCBI

16 

Au CW, Siu MK, Liao X, et al: Tyrosine kinase B receptor and BDNF expression in ovarian cancers - effect on cell migration, angiogenesis and clinical outcome. Cancer Lett. 281:151–161. 2009. View Article : Google Scholar : PubMed/NCBI

17 

Wang J, Dai JM, Che YL, et al: Elmo1 helps dock180 to regulate Rac1 activity and cell migration of ovarian cancer. Int J Gynecol Cancer. 24:844–850. 2014. View Article : Google Scholar : PubMed/NCBI

18 

Singh AP, Chauhan SC, Andrianifahanana M, et al: MUC4 expression is regulated by cystic fibrosis transmembrane conductance regulator in pancreatic adenocarcinoma cells via transcriptional and post-translational mechanisms. Oncogene. 26:30–41. 2007. View Article : Google Scholar

19 

Peng X, Wu Z, Yu L, et al: Overexpression of cystic fibrosis transmembrane conductance regulator (CFTR) is associated with human cervical cancer malignancy, progression and prognosis. Gynecol Oncol. 125:470–476. 2012. View Article : Google Scholar : PubMed/NCBI

20 

Moyer BD, Denton J, Karlson KH, et al: A PDZ-interacting domain in CFTR is an apical membrane polarization signal. J Clin Invest. 104:1353–1361. 1999. View Article : Google Scholar : PubMed/NCBI

21 

Brdicková N, Brdicka T, Andera L, et al: Interaction between two adapter proteins, PAG and EBP50: a possible link between membrane rafts and actin cytoskeleton. FEBS Lett. 507:133–136. 2001. View Article : Google Scholar : PubMed/NCBI

22 

Wiener JR, Windham TC, Estrella VC, et al: Activated Src protein tyrosine kinase is overexpressed in late-stage human ovarian cancers. Gynecol Oncol. 88:73–79. 2003. View Article : Google Scholar

23 

Wiener JR, Nakano K, Kruzelock RP, Bucana CD, Bast RC Jr and Gallick GE: Decreased Src tyrosine kinase activity inhibits malignant human ovarian cancer tumor growth in a nude mouse model. Clin Cancer Res. 5:2164–2170. 1999.PubMed/NCBI

24 

Kim HS, Han HD, Armaiz-Pena GN, et al: Functional roles of Src and Fgr in ovarian carcinoma. Clin Cancer Res. 17:1713–1721. 2011. View Article : Google Scholar : PubMed/NCBI

Related Articles

  • Abstract
  • View
  • Download
  • Twitter
Copy and paste a formatted citation
Spandidos Publications style
Xu J, Yong M, Li J, Dong X, Yu T, Fu X and Hu L: High level of CFTR expression is associated with tumor aggression and knockdown of CFTR suppresses proliferation of ovarian cancer in vitro and in vivo. Oncol Rep 33: 2227-2234, 2015.
APA
Xu, J., Yong, M., Li, J., Dong, X., Yu, T., Fu, X., & Hu, L. (2015). High level of CFTR expression is associated with tumor aggression and knockdown of CFTR suppresses proliferation of ovarian cancer in vitro and in vivo. Oncology Reports, 33, 2227-2234. https://doi.org/10.3892/or.2015.3829
MLA
Xu, J., Yong, M., Li, J., Dong, X., Yu, T., Fu, X., Hu, L."High level of CFTR expression is associated with tumor aggression and knockdown of CFTR suppresses proliferation of ovarian cancer in vitro and in vivo". Oncology Reports 33.5 (2015): 2227-2234.
Chicago
Xu, J., Yong, M., Li, J., Dong, X., Yu, T., Fu, X., Hu, L."High level of CFTR expression is associated with tumor aggression and knockdown of CFTR suppresses proliferation of ovarian cancer in vitro and in vivo". Oncology Reports 33, no. 5 (2015): 2227-2234. https://doi.org/10.3892/or.2015.3829
Copy and paste a formatted citation
x
Spandidos Publications style
Xu J, Yong M, Li J, Dong X, Yu T, Fu X and Hu L: High level of CFTR expression is associated with tumor aggression and knockdown of CFTR suppresses proliferation of ovarian cancer in vitro and in vivo. Oncol Rep 33: 2227-2234, 2015.
APA
Xu, J., Yong, M., Li, J., Dong, X., Yu, T., Fu, X., & Hu, L. (2015). High level of CFTR expression is associated with tumor aggression and knockdown of CFTR suppresses proliferation of ovarian cancer in vitro and in vivo. Oncology Reports, 33, 2227-2234. https://doi.org/10.3892/or.2015.3829
MLA
Xu, J., Yong, M., Li, J., Dong, X., Yu, T., Fu, X., Hu, L."High level of CFTR expression is associated with tumor aggression and knockdown of CFTR suppresses proliferation of ovarian cancer in vitro and in vivo". Oncology Reports 33.5 (2015): 2227-2234.
Chicago
Xu, J., Yong, M., Li, J., Dong, X., Yu, T., Fu, X., Hu, L."High level of CFTR expression is associated with tumor aggression and knockdown of CFTR suppresses proliferation of ovarian cancer in vitro and in vivo". Oncology Reports 33, no. 5 (2015): 2227-2234. https://doi.org/10.3892/or.2015.3829
Follow us
  • Twitter
  • LinkedIn
  • Facebook
About
  • Spandidos Publications
  • Careers
  • Cookie Policy
  • Privacy Policy
How can we help?
  • Help
  • Live Chat
  • Contact
  • Email to our Support Team