Spandidos Publications Logo
  • About
    • About Spandidos
    • Aims and Scopes
    • Abstracting and Indexing
    • Editorial Policies
    • Reprints and Permissions
    • Job Opportunities
    • Terms and Conditions
    • Contact
  • Journals
    • All Journals
    • Oncology Letters
      • Oncology Letters
      • Information for Authors
      • Editorial Policies
      • Editorial Board
      • Aims and Scope
      • Abstracting and Indexing
      • Bibliographic Information
      • Archive
    • International Journal of Oncology
      • International Journal of Oncology
      • Information for Authors
      • Editorial Policies
      • Editorial Board
      • Aims and Scope
      • Abstracting and Indexing
      • Bibliographic Information
      • Archive
    • Molecular and Clinical Oncology
      • Molecular and Clinical Oncology
      • Information for Authors
      • Editorial Policies
      • Editorial Board
      • Aims and Scope
      • Abstracting and Indexing
      • Bibliographic Information
      • Archive
    • Experimental and Therapeutic Medicine
      • Experimental and Therapeutic Medicine
      • Information for Authors
      • Editorial Policies
      • Editorial Board
      • Aims and Scope
      • Abstracting and Indexing
      • Bibliographic Information
      • Archive
    • International Journal of Molecular Medicine
      • International Journal of Molecular Medicine
      • Information for Authors
      • Editorial Policies
      • Editorial Board
      • Aims and Scope
      • Abstracting and Indexing
      • Bibliographic Information
      • Archive
    • Biomedical Reports
      • Biomedical Reports
      • Information for Authors
      • Editorial Policies
      • Editorial Board
      • Aims and Scope
      • Abstracting and Indexing
      • Bibliographic Information
      • Archive
    • Oncology Reports
      • Oncology Reports
      • Information for Authors
      • Editorial Policies
      • Editorial Board
      • Aims and Scope
      • Abstracting and Indexing
      • Bibliographic Information
      • Archive
    • Molecular Medicine Reports
      • Molecular Medicine Reports
      • Information for Authors
      • Editorial Policies
      • Editorial Board
      • Aims and Scope
      • Abstracting and Indexing
      • Bibliographic Information
      • Archive
    • World Academy of Sciences Journal
      • World Academy of Sciences Journal
      • Information for Authors
      • Editorial Policies
      • Editorial Board
      • Aims and Scope
      • Abstracting and Indexing
      • Bibliographic Information
      • Archive
    • International Journal of Functional Nutrition
      • International Journal of Functional Nutrition
      • Information for Authors
      • Editorial Policies
      • Editorial Board
      • Aims and Scope
      • Abstracting and Indexing
      • Bibliographic Information
      • Archive
    • International Journal of Epigenetics
      • International Journal of Epigenetics
      • Information for Authors
      • Editorial Policies
      • Editorial Board
      • Aims and Scope
      • Abstracting and Indexing
      • Bibliographic Information
      • Archive
    • Medicine International
      • Medicine International
      • Information for Authors
      • Editorial Policies
      • Editorial Board
      • Aims and Scope
      • Abstracting and Indexing
      • Bibliographic Information
      • Archive
  • Articles
  • Information
    • Information for Authors
    • Information for Reviewers
    • Information for Librarians
    • Information for Advertisers
    • Conferences
  • Language Editing
Spandidos Publications Logo
  • About
    • About Spandidos
    • Aims and Scopes
    • Abstracting and Indexing
    • Editorial Policies
    • Reprints and Permissions
    • Job Opportunities
    • Terms and Conditions
    • Contact
  • Journals
    • All Journals
    • Biomedical Reports
      • Information for Authors
      • Editorial Policies
      • Editorial Board
      • Aims and Scope
      • Abstracting and Indexing
      • Bibliographic Information
      • Archive
    • Experimental and Therapeutic Medicine
      • Information for Authors
      • Editorial Policies
      • Editorial Board
      • Aims and Scope
      • Abstracting and Indexing
      • Bibliographic Information
      • Archive
    • International Journal of Epigenetics
      • Information for Authors
      • Editorial Policies
      • Editorial Board
      • Aims and Scope
      • Abstracting and Indexing
      • Bibliographic Information
      • Archive
    • International Journal of Functional Nutrition
      • Information for Authors
      • Editorial Policies
      • Editorial Board
      • Aims and Scope
      • Abstracting and Indexing
      • Bibliographic Information
      • Archive
    • International Journal of Molecular Medicine
      • Information for Authors
      • Editorial Policies
      • Editorial Board
      • Aims and Scope
      • Abstracting and Indexing
      • Bibliographic Information
      • Archive
    • International Journal of Oncology
      • Information for Authors
      • Editorial Policies
      • Editorial Board
      • Aims and Scope
      • Abstracting and Indexing
      • Bibliographic Information
      • Archive
    • Medicine International
      • Information for Authors
      • Editorial Policies
      • Editorial Board
      • Aims and Scope
      • Abstracting and Indexing
      • Bibliographic Information
      • Archive
    • Molecular and Clinical Oncology
      • Information for Authors
      • Editorial Policies
      • Editorial Board
      • Aims and Scope
      • Abstracting and Indexing
      • Bibliographic Information
      • Archive
    • Molecular Medicine Reports
      • Information for Authors
      • Editorial Policies
      • Editorial Board
      • Aims and Scope
      • Abstracting and Indexing
      • Bibliographic Information
      • Archive
    • Oncology Letters
      • Information for Authors
      • Editorial Policies
      • Editorial Board
      • Aims and Scope
      • Abstracting and Indexing
      • Bibliographic Information
      • Archive
    • Oncology Reports
      • Information for Authors
      • Editorial Policies
      • Editorial Board
      • Aims and Scope
      • Abstracting and Indexing
      • Bibliographic Information
      • Archive
    • World Academy of Sciences Journal
      • Information for Authors
      • Editorial Policies
      • Editorial Board
      • Aims and Scope
      • Abstracting and Indexing
      • Bibliographic Information
      • Archive
  • Articles
  • Information
    • For Authors
    • For Reviewers
    • For Librarians
    • For Advertisers
    • Conferences
  • Language Editing
Login Register Submit
  • This site uses cookies
  • You can change your cookie settings at any time by following the instructions in our Cookie Policy. To find out more, you may read our Privacy Policy.

    I agree
Search articles by DOI, keyword, author or affiliation
Search
Advanced Search
presentation
Oncology Reports
Join Editorial Board Propose a Special Issue
Print ISSN: 1021-335X Online ISSN: 1791-2431
Journal Cover
November-2015 Volume 34 Issue 5

Full Size Image

Sign up for eToc alerts
Recommend to Library

Journals

International Journal of Molecular Medicine

International Journal of Molecular Medicine

International Journal of Molecular Medicine is an international journal devoted to molecular mechanisms of human disease.

International Journal of Oncology

International Journal of Oncology

International Journal of Oncology is an international journal devoted to oncology research and cancer treatment.

Molecular Medicine Reports

Molecular Medicine Reports

Covers molecular medicine topics such as pharmacology, pathology, genetics, neuroscience, infectious diseases, molecular cardiology, and molecular surgery.

Oncology Reports

Oncology Reports

Oncology Reports is an international journal devoted to fundamental and applied research in Oncology.

Experimental and Therapeutic Medicine

Experimental and Therapeutic Medicine

Experimental and Therapeutic Medicine is an international journal devoted to laboratory and clinical medicine.

Oncology Letters

Oncology Letters

Oncology Letters is an international journal devoted to Experimental and Clinical Oncology.

Biomedical Reports

Biomedical Reports

Explores a wide range of biological and medical fields, including pharmacology, genetics, microbiology, neuroscience, and molecular cardiology.

Molecular and Clinical Oncology

Molecular and Clinical Oncology

International journal addressing all aspects of oncology research, from tumorigenesis and oncogenes to chemotherapy and metastasis.

World Academy of Sciences Journal

World Academy of Sciences Journal

Multidisciplinary open-access journal spanning biochemistry, genetics, neuroscience, environmental health, and synthetic biology.

International Journal of Functional Nutrition

International Journal of Functional Nutrition

Open-access journal combining biochemistry, pharmacology, immunology, and genetics to advance health through functional nutrition.

International Journal of Epigenetics

International Journal of Epigenetics

Publishes open-access research on using epigenetics to advance understanding and treatment of human disease.

Medicine International

Medicine International

An International Open Access Journal Devoted to General Medicine.

Journal Cover
November-2015 Volume 34 Issue 5

Full Size Image

Sign up for eToc alerts
Recommend to Library

  • Article
  • Citations
    • Cite This Article
    • Download Citation
    • Create Citation Alert
    • Remove Citation Alert
    • Cited By
  • Similar Articles
    • Related Articles (in Spandidos Publications)
    • Similar Articles (Google Scholar)
    • Similar Articles (PubMed)
  • Download PDF
  • Download XML
  • View XML
Article

Expression and promoter methylation of Wnt inhibitory factor-1 in the development of oral submucous fibrosis

  • Authors:
    • Shanghui Zhou
    • Ling Chen
    • Mubarak Mashrah
    • Yun Zhu
    • Zhijing He
    • Yuhua Hu
    • Tingxiu Xiang
    • Zhigang Yao
    • Feng Guo
    • Chenping Zhang
  • View Affiliations / Copyright

    Affiliations: Department of Oral and Maxillofacial-Head and Neck Oncology, Shanghai Ninth People's Hospital, Shanghai Jiaotong University School of Medicine, Shanghai 200011, P.R. China, Molecular Oncology and Epigenetics Laboratory, The First Affiliated Hospital of Chongqing Medical University, Chongqing 400016, P.R. China, Department of Oral and Maxillofacial Surgery, The Second Xiangya Hospital, Central South University, Changsha, Hunan 410008, P.R. China, Department of Oral Pathology, Shanghai Ninth People's Hospital, Shanghai Jiaotong University School of Medicine, Shanghai 200011, P.R. China, Department of Oral Pathology, Xiangya Stomatological Hospital, Central South University, Changsha, Hunan 410078, P.R. China, Department of Oral and Maxillofacial Surgery, Xiangya Hospital, Central South University, Changsha, Hunan 410008, P.R. China
  • Pages: 2636-2642
    |
    Published online on: September 9, 2015
       https://doi.org/10.3892/or.2015.4264
  • Expand metrics +
Metrics: Total Views: 0 (Spandidos Publications: | PMC Statistics: )
Metrics: Total PDF Downloads: 0 (Spandidos Publications: | PMC Statistics: )
Cited By (CrossRef): 0 citations Loading Articles...

This article is mentioned in:



Abstract

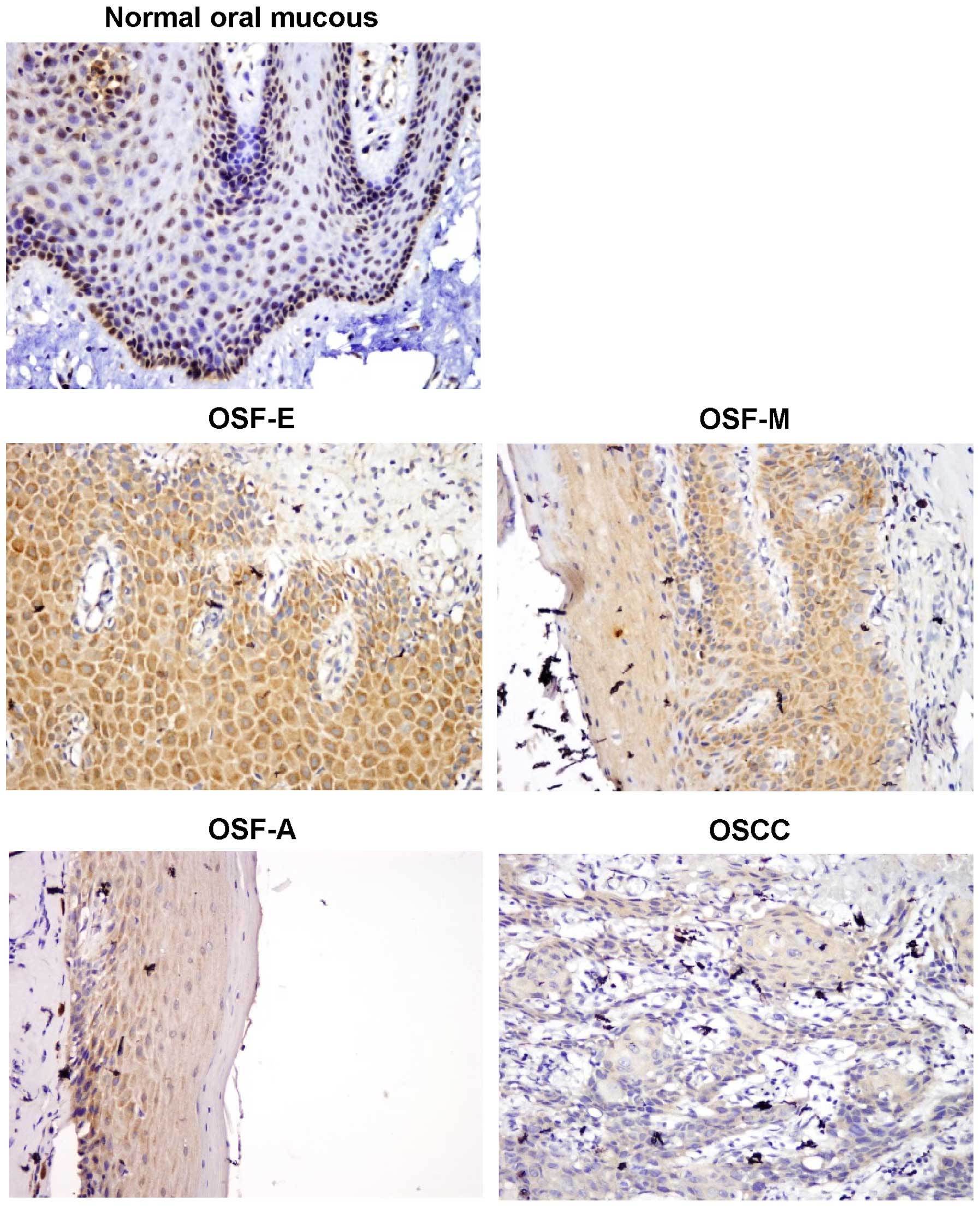
Oral squamous cell carcinoma (OSCC) is a type of head and neck malignancy with a high mortality rate. Oral submucous fibrosis (OSF) is the pre-cancerous lesion of OSCC, whose molecular mechanisms in OSCC tumorigenesis remain largely unclear. Activation of the Wnt/β-catenin signaling pathway plays an important role in oral mucous carcinogenesis, although rare mutations of Wnt signaling molecules are found in OSCC, suggesting an epigenetic mechanism mediating aberrant Wnt/β‑catenin signaling in OSCC. Wnt inhibitory factor-1 (WIF1) is an Wnt antagonist, and its downregulation and methylation have been reported in a number of malignancies. However, the expression and methylation of WIF1 in the development of OSF have yet to be reported. In the present study, we investigated the WIF1 expression level by immuno­histochemical staining and semi‑quantitative RT-PCR in normal oral, OSF and OSCC tissues, as well as the methylation status by methylation-specific PCR and bisulfite genomic sequencing. The results showed that WIF1 was readily expressed in normal oral mucous tissues, but decreased gradually in OSF early, moderately advanced and advanced tissues, and was less expressed in OSCC tissues. Moreover, WIF1 was able to translocate from the nuclear to cytoplasm in OSF and OSCC tissues. Furthermore, WIF1 was frequently methylated in OSCC cases with betel quid chewing habit, but not in normal oral mucous and different stages of OSF tissues, suggesting WIF1 methylation is tumor-specific in the development of OSF. Thus, the results demonstrated that WIF1 is frequently downregulated or silenced by promoter methylation in the carcinogenesis of OSF, which serves as a potential epigenetic biomarker for the early detection of OSCC.
View Figures

Figure 1

Figure 2

Figure 3

Figure 4

Figure 5

View References

1 

Torre LA, Bray F, Siegel RL, Ferlay J, Lortet-Tieulent J and Jemal A: Global cancer statistics, 2012. CA Cancer J Clin. 65:87–108. 2015. View Article : Google Scholar : PubMed/NCBI

2 

Braakhuis BJ, Brakenhoff RH and Leemans CR: Head and neck cancer: Molecular carcinogenesis. Ann Oncol. 16(Suppl 2): ii249–ii250. 2005. View Article : Google Scholar : PubMed/NCBI

3 

Leemans CR, Braakhuis BJ and Brakenhoff RH: The molecular biology of head and neck cancer. Nat Rev Cancer. 11:9–22. 2011. View Article : Google Scholar

4 

Choi S and Myers JN: Molecular pathogenesis of oral squamous cell carcinoma: Implications for therapy. J Dent Res. 87:14–32. 2008. View Article : Google Scholar

5 

Pindborg JJ, Murti PR, Bhonsle RB, Gupta PC, Daftary DK and Mehta FS: Oral submucous fibrosis as a precancerous condition. Scand J Dent Res. 92:224–229. 1984.PubMed/NCBI

6 

Pindborg JJ and Sirsat SM: Oral submucous fibrosis. Oral Surg Oral Med Oral Pathol. 22:764–779. 1966. View Article : Google Scholar : PubMed/NCBI

7 

Tilakaratne WM, Klinikowski MF, Saku T, Peters TJ and Warnakulasuriya S: Oral submucous fibrosis: Review on aetiology and pathogenesis. Oral Oncol. 42:561–568. 2006. View Article : Google Scholar

8 

Wollina U, Verma SB, Ali FM and Patil K: Oral submucous fibrosis: An update. Clin Cosmet Investig Dermatol. 8:193–204. 2015. View Article : Google Scholar : PubMed/NCBI

9 

Murti PR, Bhonsle RB, Pindborg JJ, Daftary DK, Gupta PC and Mehta FS: Malignant transformation rate in oral submucous fibrosis over a 17-year period. Community Dent Oral Epidemiol. 13:340–341. 1985. View Article : Google Scholar : PubMed/NCBI

10 

Zhang X and Reichart PA: A review of betel quid chewing, oral cancer and precancer in Mainland China. Oral Oncol. 43:424–430. 2007. View Article : Google Scholar : PubMed/NCBI

11 

Pillai R, Balaram P and Reddiar KS: Pathogenesis of oral submucous fibrosis. Relationship to risk factors associated with oral cancer. Cancer. 69:2011–2020. 1992. View Article : Google Scholar : PubMed/NCBI

12 

Jian XC, Liu SF, Shen ZH and Yang YH: Histomorphology of oral submucous fibrosis. Report of 24 cases. Chin Med J (Engl). 101:505–509. 1988.

13 

Jones PA and Baylin SB: The fundamental role of epigenetic events in cancer. Nat Rev Genet. 3:415–428. 2002.PubMed/NCBI

14 

Jones PA and Baylin SB: The epigenomics of cancer. Cell. 128:683–692. 2007. View Article : Google Scholar : PubMed/NCBI

15 

Baylin SB and Jones PA: A decade of exploring the cancer epigenome - biological and translational implications. Nat Rev Cancer. 11:726–734. 2011. View Article : Google Scholar : PubMed/NCBI

16 

Supić G, Kozomara R, Branković-Magić M, Jović N and Magić Z: Gene hypermethylation in tumor tissue of advanced oral squamous cell carcinoma patients. Oral Oncol. 45:1051–1057. 2009. View Article : Google Scholar

17 

Towle R, Truong D, Hogg K, Robinson WP, Poh CF and Garnis C: Global analysis of DNA methylation changes during progression of oral cancer. Oral Oncol. 49:1033–1042. 2013. View Article : Google Scholar : PubMed/NCBI

18 

Pannone G, Bufo P, Santoro A, Franco R, Aquino G, Longo F, Botti G, Serpico R, Cafarelli B, Abbruzzese A, et al: WNT pathway in oral cancer: Epigenetic inactivation of WNT-inhibitors. Oncol Rep. 24:1035–1041. 2010.PubMed/NCBI

19 

Ha PK and Califano JA: Promoter methylation and inactivation of tumour-suppressor genes in oral squamous-cell carcinoma. Lancet Oncol. 7:77–82. 2006. View Article : Google Scholar : PubMed/NCBI

20 

Liu F and Millar SE: Wnt/beta-catenin signaling in oral tissue development and disease. J Dent Res. 89:318–330. 2010. View Article : Google Scholar : PubMed/NCBI

21 

Noguti J, DE Moura CF, Hossaka TA, Franco M, Oshima CT, Dedivitis RA and Ribeiro DA: The role of canonical WNT signaling pathway in oral carcinogenesis: A comprehensive review. Anticancer Res. 32:873–878. 2012.PubMed/NCBI

22 

Hsieh JC, Kodjabachian L, Rebbert ML, Rattner A, Smallwood PM, Samos CH, Nusse R, Dawid IB and Nathans J: A new secreted protein that binds to Wnt proteins and inhibits their activities. Nature. 398:431–436. 1999. View Article : Google Scholar : PubMed/NCBI

23 

Gupta PC, Sinor PN, Bhonsle RB, Pawar VS and Mehta HC: Oral submucous fibrosis in India: A new epidemic? Natl Med J India. 11:113–116. 1998.PubMed/NCBI

24 

Chan SL, Cui Y, van Hasselt A, Li H, Srivastava G, Jin H, Ng KM, Wang Y, Lee KY, Tsao GS, et al: The tumor suppressor Wnt inhibitory factor 1 is frequently methylated in nasopharyngeal and esophageal carcinomas. Lab Invest. 87:644–650. 2007. View Article : Google Scholar : PubMed/NCBI

25 

Ai L, Tao Q, Zhong S, Fields CR, Kim WJ, Lee MW, Cui Y, Brown KD and Robertson KD: Inactivation of Wnt inhibitory factor-1 (WIF1) expression by epigenetic silencing is a common event in breast cancer. Carcinogenesis. 27:1341–1348. 2006. View Article : Google Scholar : PubMed/NCBI

26 

Qiu GH, Tan LK, Loh KS, Lim CY, Srivastava G, Tsai ST, Tsao SW and Tao Q: The candidate tumor suppressor gene BLU, located at the commonly deleted region 3p21.3, is an E2F-regulated, stress-responsive gene and inactivated by both epigenetic and genetic mechanisms in nasopharyngeal carcinoma. Oncogene. 23:4793–4806. 2004. View Article : Google Scholar : PubMed/NCBI

27 

Ying J, Li H, Seng TJ, Langford C, Srivastava G, Tsao SW, Putti T, Murray P, Chan AT and Tao Q: Functional epigenetics identifies a protocadherin PCDH10 as a candidate tumor suppressor for nasopharyngeal, esophageal and multiple other carcinomas with frequent methylation. Oncogene. 25:1070–1080. 2006. View Article : Google Scholar

28 

Anastas JN and Moon RT: WNT signalling pathways as therapeutic targets in cancer. Nat Rev Cancer. 13:11–26. 2013. View Article : Google Scholar

29 

Clevers H: Wnt/beta-catenin signaling in development and disease. Cell. 127:469–480. 2006. View Article : Google Scholar : PubMed/NCBI

30 

Polakis P: The many ways of Wnt in cancer. Curr Opin Genet Dev. 17:45–51. 2007. View Article : Google Scholar : PubMed/NCBI

31 

Iwai S, Katagiri W, Kong C, Amekawa S, Nakazawa M and Yura Y: Mutations of the APC, beta-catenin, and axin 1 genes and cytoplasmic accumulation of beta-catenin in oral squamous cell carcinoma. J Cancer Res Clin Oncol. 131:773–782. 2005. View Article : Google Scholar : PubMed/NCBI

32 

Ding Z, Qian YB, Zhu LX and Xiong QR: Promoter methylation and mRNA expression of DKK-3 and WIF-1 in hepatocellular carcinoma. World J Gastroenterol. 15:2595–2601. 2009. View Article : Google Scholar : PubMed/NCBI

33 

Lin YC, You L, Xu Z, He B, Mikami I, Thung E, Chou J, Kuchenbecker K, Kim J, Raz D, et al: Wnt signaling activation and WIF-1 silencing in nasopharyngeal cancer cell lines. Biochem Biophys Res Commun. 341:635–640. 2006. View Article : Google Scholar : PubMed/NCBI

34 

Yee DS, Tang Y, Li X, Liu Z, Guo Y, Ghaffar S, McQueen P, Atreya D, Xie J, Simoneau AR, et al: The Wnt inhibitory factor 1 restoration in prostate cancer cells was associated with reduced tumor growth, decreased capacity of cell migration and invasion and a reversal of epithelial to mesenchymal transition. Mol Cancer. 9:1622010. View Article : Google Scholar : PubMed/NCBI

35 

Mazieres J, He B, You L, Xu Z, Lee AY, Mikami I, Reguart N, Rosell R, McCormick F and Jablons DM: Wnt inhibitory factor-1 is silenced by promoter hypermethylation in human lung cancer. Cancer Res. 64:4717–4720. 2004. View Article : Google Scholar : PubMed/NCBI

36 

Taniguchi H, Yamamoto H, Hirata T, Miyamoto N, Oki M, Nosho K, Adachi Y, Endo T, Imai K and Shinomura Y: Frequent epigenetic inactivation of Wnt inhibitory factor-1 in human gastrointestinal cancers. Oncogene. 24:7946–7952. 2005. View Article : Google Scholar : PubMed/NCBI

37 

Paluszczak J, Sarbak J, Kostrzewska-Poczekaj M, Kiwerska K, Jarmuż-Szymczak M, Grenman R, Mielcarek-Kuchta D and Baer-Dubowska W: The negative regulators of Wnt pathway-DACH1, DKK1, and WIF1 are methylated in oral and oropharyngeal cancer and WIF1 methylation predicts shorter survival. Tumour Biol. 36:2855–2861. 2015. View Article : Google Scholar

Related Articles

  • Abstract
  • View
  • Download
  • Twitter
Copy and paste a formatted citation
Spandidos Publications style
Zhou S, Chen L, Mashrah M, Zhu Y, He Z, Hu Y, Xiang T, Yao Z, Guo F, Zhang C, Zhang C, et al: Expression and promoter methylation of Wnt inhibitory factor-1 in the development of oral submucous fibrosis. Oncol Rep 34: 2636-2642, 2015.
APA
Zhou, S., Chen, L., Mashrah, M., Zhu, Y., He, Z., Hu, Y. ... Zhang, C. (2015). Expression and promoter methylation of Wnt inhibitory factor-1 in the development of oral submucous fibrosis. Oncology Reports, 34, 2636-2642. https://doi.org/10.3892/or.2015.4264
MLA
Zhou, S., Chen, L., Mashrah, M., Zhu, Y., He, Z., Hu, Y., Xiang, T., Yao, Z., Guo, F., Zhang, C."Expression and promoter methylation of Wnt inhibitory factor-1 in the development of oral submucous fibrosis". Oncology Reports 34.5 (2015): 2636-2642.
Chicago
Zhou, S., Chen, L., Mashrah, M., Zhu, Y., He, Z., Hu, Y., Xiang, T., Yao, Z., Guo, F., Zhang, C."Expression and promoter methylation of Wnt inhibitory factor-1 in the development of oral submucous fibrosis". Oncology Reports 34, no. 5 (2015): 2636-2642. https://doi.org/10.3892/or.2015.4264
Copy and paste a formatted citation
x
Spandidos Publications style
Zhou S, Chen L, Mashrah M, Zhu Y, He Z, Hu Y, Xiang T, Yao Z, Guo F, Zhang C, Zhang C, et al: Expression and promoter methylation of Wnt inhibitory factor-1 in the development of oral submucous fibrosis. Oncol Rep 34: 2636-2642, 2015.
APA
Zhou, S., Chen, L., Mashrah, M., Zhu, Y., He, Z., Hu, Y. ... Zhang, C. (2015). Expression and promoter methylation of Wnt inhibitory factor-1 in the development of oral submucous fibrosis. Oncology Reports, 34, 2636-2642. https://doi.org/10.3892/or.2015.4264
MLA
Zhou, S., Chen, L., Mashrah, M., Zhu, Y., He, Z., Hu, Y., Xiang, T., Yao, Z., Guo, F., Zhang, C."Expression and promoter methylation of Wnt inhibitory factor-1 in the development of oral submucous fibrosis". Oncology Reports 34.5 (2015): 2636-2642.
Chicago
Zhou, S., Chen, L., Mashrah, M., Zhu, Y., He, Z., Hu, Y., Xiang, T., Yao, Z., Guo, F., Zhang, C."Expression and promoter methylation of Wnt inhibitory factor-1 in the development of oral submucous fibrosis". Oncology Reports 34, no. 5 (2015): 2636-2642. https://doi.org/10.3892/or.2015.4264
Follow us
  • Twitter
  • LinkedIn
  • Facebook
About
  • Spandidos Publications
  • Careers
  • Cookie Policy
  • Privacy Policy
How can we help?
  • Help
  • Live Chat
  • Contact
  • Email to our Support Team